Logo AVEPA

Clínica Veterinaria de Pequeños Animales

Revista oficial de AVEPA

  • Inicio
  • Último número
  • Archivo
  • Artículos
  • Para autores
  • Contacto
Oferta 3+1
ANUNCIO

Clínica Veterinaria de Pequeños Animales

Revista oficial de AVEPA

  • Inicio
  • Último número
  • Archivo
  • Artículos
  • Para autores
  • Contacto
Curso Fluidoterapia
ANUNCIO
Clin Vet Peq Anim Vol. 39 • Nº 2 • junio 2019

Aplicaciones clínicas de la gammagrafía en pequeños animales

Clinical applications of scintigraphy in small animals

Artículos de Revisión

M.P. Xifra

Iodocat. Avda. de la Reina Sofía, 25, 28919 Leganés (Madrid)

Y. Espada

Departamento de Medicina y Cirugía Animal, Fundació Hospital Clínic Veterinari, UAB. Carrer de l’Hospital s/n, 08193 Cerdanyola del Vallès (Barcelona)

S.I. Serrano

Iodocat. Avda. de la Reina Sofía, 25, 28919 Leganés (Madrid)

E. Rollán

Departamento de Medicina y Cirugía Animal, Facultad de Veterinaria, UCM. Avda. Puerta de Hierro s/n, 28040 Madrid

M.R. Broome

Advanced Veterinary Medical Imaging. 3047 Edinger Ave. 92780 Tustin, CA (EE. UU.)

M.E. Peterson

Animal Endocrine Clinic. 21 West 100th Street. 10025 New York, NY (EE. UU.)

Contacto: pilarxifra@yahoo.es
Palabras clave: gammagrafía veterinaria, gammagrafía tiroidea, gammagrafía renal, gammagrafía ósea, gammagrafía hepática.
Keywords: veterinary scintigraphy, thyroid scintigraphy, renal scintigraphy, bone scintigraphy, hepatic scintigraphy.

Clin. Vet. Peq. Anim, 2019, 39 (2): 71-81

Descargar artículo

Resumen

La gammagrafía es una técnica de diagnóstico por imagen que se utiliza con frecuencia en medicina humana, en la que es el método diagnóstico de elección en algunas patologías por aportar información tanto anatómica como funcional. Sin embargo, en la clínica de pequeños animales es una de las pruebas menos solicitadas, probablemente por la escasa difusión de su aplicación diagnóstica. En este trabajo se realiza una revisión de las principales indicaciones y procedimientos disponibles en medicina de pequeños animales: la gammagrafía tiroidea, renal, ósea y hepática.

Abstract

Scintigraphy is a diagnostic imaging technique that is frequently used in human medicine, being the diagnostic method of choice in some pathologies for providing both anatomical and functional information. However, in the clinic of small animals it is one of the least demanded tests, probably due to the uncommon request of its application as a diagnostic in veterinary medicine. This work is a review of the main indications and procedures of this technique available in small animal medicine: the thyroid, renal, bone and liver scintigraphy.

AVEPA Elearning

La presencia de este logo en un artículo de la revista indica que se publicará un examen sobre el mismo en la plataforma AVEPA Elearning. Su resolución aporta 0,15 créditos dentro del sistema de acreditaciones de especialidades veterinarias de AVEPA.

Introducción

La gammagrafía es una técnica de diagnóstico por imagen que está basada en el uso de radiotrazadores o radiofármacos (moléculas soporte, con afinidad por un determinado tejido, unidas a un átomo radiactivo).[ Daniel GB, Berry CR. Textbook of veterinary nuclear medicine. 2nd ed. Harrisburg, USA: American College of Veterinary Radiology; 2006. ] Al incorporarse a un tejido, el radiofármaco emite una pequeña cantidad de radiación gamma que puede detectarse con un equipo externo (gammacámara).[ Daniel GB, Berry CR. Textbook of veterinary nuclear medicine. 2nd ed. Harrisburg, USA: American College of Veterinary Radiology; 2006. ] La radiación emitida permite visualizar el grado de captación, distribución y eliminación del radiofármaco en el tejido,[ Daniel GB, Berry CR. Textbook of veterinary nuclear medicine. 2nd ed. Harrisburg, USA: American College of Veterinary Radiology; 2006. ] dependiendo del momento en el que se realice la lectura.

Los estudios pueden realizarse con adquisición estática o dinámica de la imagen. Con los estudios estáticos se obtiene una imagen fija de la radiación emitida por el radiofármaco en un momento determinado, lo cual nos aporta información morfológica del tejido (tamaño, forma, localización) y de su funcionalidad metabólica relativa.[ Daniel GB, Berry CR. Textbook of veterinary nuclear medicine. 2nd ed. Harrisburg, USA: American College of Veterinary Radiology; 2006. ] En los estudios dinámicos, se adquiere una secuencia de imágenes que nos proporciona información de la funcionalidad y/o distribución del radiofármaco, mediante la medición de las tasas de acumulación y eliminación del mismo por el órgano.[ Daniel GB, Berry CR. Textbook of veterinary nuclear medicine. 2nd ed. Harrisburg, USA: American College of Veterinary Radiology; 2006. ]

En pequeños animales las dosis de radiofármaco administrado son muy bajas y la radiación recibida por el paciente es 20 veces menor a la obtenida en un estudio radiológico convencional.[ Bomben AM, Chiliutti CA. Actividades de radiofármacos administradas en prácticas diagnósticas y terapéuticas en medicina nuclear en Argentina: resultados de una encuesta. VI Congreso Regional de Seguridad Radiológica y Nuclear. Lima, Perú; 2003. ] Esto hace que sea posible permanecer en la sala sujetando al paciente mientras se realiza la adquisición, lo que evita, en la mayoría de los casos, la sedación mientras se realiza la prueba (Fig. 1). Al utilizar radiofármacos con una vida media corta se reduce el tiempo de hospitalización, pudiendo dar de alta al paciente una vez terminado el procedimiento, en función del protocolo de cada instalación.

<p>Realización de una gammagrafía renal en un gato.</p>
Figura 1

Realización de una gammagrafía renal en un gato.

Las principales aplicaciones de la gammagrafía en la clínica de pequeños animales son las utilizadas en el diagnóstico de patologías tiroideas, renales, óseas y hepáticas (Tabla 1).

Image
Tabla 1

Gammagrafía tiroidea

La gammagrafía nos proporciona información tanto de la anatomía como de la funcionalidad del tiroides, por lo que es muy útil en el manejo de la enfermedad tiroidea.

Para la realización de la gammagrafía tiroidea se utilizan como radiofármaco el yodo radiactivo 131 (131I), el yodo radiactivo 123 (123I) o el 99mTc-pertecnetato (99mTcO-4 ). Tanto el yodo como el tecnecio son moléculas que tienen alta afinidad por el metabolismo de las células foliculares del tiroides, que captan y acumulan de forma selectiva estas sustancias.[ Daniel GB, Berry CR. Textbook of veterinary nuclear medicine. 2nd ed. Harrisburg, USA: American College of Veterinary Radiology; 2006. , Xifra MP, Peterson ME. Hipertiroidismo felino. En: Pérez MD, Arenas C, Melian C (eds): Manual de Endocrinología en Pequeños Animales. 2ª ed. Barcelona, España. Multimédica; 2018:143-192. , Peterson ME, Broome MR. Thyroid scintigraphy findings in 2096 cats with hyperthyroidism. Vet Radiol Ultrasound. 2015; 56(1):84-95. [PubMed] ] El uso de 99mTc-pertecnetato está más extendido, ya que tiene varias ventajas sobre el yodo radiactivo: la captación es muy rápida (el procedimiento para obtener las imágenes puede comenzar 20 minutos después de su administración), la calidad de la imagen es superior y no produce destrucción del tejido tiroideo tras su administración, como sucede con el 131I. El 123I también proporciona imágenes de gran calidad sin destrucción de tejido, pero tiene un coste marcadamente elevado.[ Xifra MP, Peterson ME. Hipertiroidismo felino. En: Pérez MD, Arenas C, Melian C (eds): Manual de Endocrinología en Pequeños Animales. 2ª ed. Barcelona, España. Multimédica; 2018:143-192. , Peterson ME, Broome MR. Thyroid scintigraphy findings in 2096 cats with hyperthyroidism. Vet Radiol Ultrasound. 2015; 56(1):84-95. [PubMed] ]

Es recomendable suspender la medicación antitiroidea y/o la dieta baja en yodo de 1 a 2 semanas antes de realizar la gammagrafía, ya que ambas pueden provocar un aumento de la captación de 99mTc-pertecnetato en las glándulas tiroideas.[ Daniel GB, Berry CR. Textbook of veterinary nuclear medicine. 2nd ed. Harrisburg, USA: American College of Veterinary Radiology; 2006. , Nieckarz JA, Daniel GB. The effect of methimazole on thyroid uptake of pertechnetate and radioiodine in normal cats. Vet Radiol Ultrasound. 2001; 42(5):448-457. [PubMed] , Scott-Moncrieff JC, Heng HG, Weng HY, Dimeo D, Jones MD. Effect of a limited iodine diet on iodine uptake by thyroid glands in hyperthyroid cats. J Vet Intern Med. 2015; 29(5):1322-1326. [PubMed] ] Este aumento de la captación de 99mTc-pertecnetato podría interpretarse como casos leves de hipertiroidismo (falsos positivos en la gammagrafía). En gatos con hipertiroidismo de moderado a grave la prueba no se ve tan afectada por estas causas.[ Xifra MP, Peterson ME. Hipertiroidismo felino. En: Pérez MD, Arenas C, Melian C (eds): Manual de Endocrinología en Pequeños Animales. 2ª ed. Barcelona, España. Multimédica; 2018:143-192. , Nieckarz JA, Daniel GB. The effect of methimazole on thyroid uptake of pertechnetate and radioiodine in normal cats. Vet Radiol Ultrasound. 2001; 42(5):448-457. [PubMed] , Scott-Moncrieff JC, Heng HG, Weng HY, Dimeo D, Jones MD. Effect of a limited iodine diet on iodine uptake by thyroid glands in hyperthyroid cats. J Vet Intern Med. 2015; 29(5):1322-1326. [PubMed] ]

Para la realización de la gammagrafía tiroidea inyectaremos, preferiblemente por vía intravenosa, una dosis de 3-5 mCi (111-185 MBq) de 99mTc-pertecnetato por paciente y tomaremos las imágenes a los 20-60 minutos tras la inyección.[ Daniel GB, Berry CR. Textbook of veterinary nuclear medicine. 2nd ed. Harrisburg, USA: American College of Veterinary Radiology; 2006. , Xifra MP, Peterson ME. Hipertiroidismo felino. En: Pérez MD, Arenas C, Melian C (eds): Manual de Endocrinología en Pequeños Animales. 2ª ed. Barcelona, España. Multimédica; 2018:143-192. , Peterson ME, Broome MR. Thyroid scintigraphy findings in 2096 cats with hyperthyroidism. Vet Radiol Ultrasound. 2015; 56(1):84-95. [PubMed] ] Es preferible realizar la adquisición de la imagen a los 60 minutos, ya que la calidad obtenida es mejor al disminuir la radiación de fondo.[ Xifra MP, Peterson ME. Hipertiroidismo felino. En: Pérez MD, Arenas C, Melian C (eds): Manual de Endocrinología en Pequeños Animales. 2ª ed. Barcelona, España. Multimédica; 2018:143-192. , Peterson ME, Broome MR. Thyroid scintigraphy findings in 2096 cats with hyperthyroidism. Vet Radiol Ultrasound. 2015; 56(1):84-95. [PubMed] ]

Realizaremos una proyección ventral, para lo cual colocaremos al paciente en decúbito esternal sobre la gammacámara. Se debe tener en cuenta que la gammacámara está situada debajo del paciente, por lo que la imagen obtenida estará invertida (la derecha de la imagen se corresponde con la izquierda del paciente).[ Xifra MP, Peterson ME. Hipertiroidismo felino. En: Pérez MD, Arenas C, Melian C (eds): Manual de Endocrinología en Pequeños Animales. 2ª ed. Barcelona, España. Multimédica; 2018:143-192. , Peterson ME, Broome MR. Thyroid scintigraphy findings in 2096 cats with hyperthyroidism. Vet Radiol Ultrasound. 2015; 56(1):84-95. [PubMed] ] También podremos realizar proyecciones laterales y oblicuas, que serán particularmente útiles cuando estemos planificando la extirpación quirúrgica y la proyección ventral no sea suficiente para confirmar si están afectados uno o ambos lóbulos.[ Xifra MP, Peterson ME. Hipertiroidismo felino. En: Pérez MD, Arenas C, Melian C (eds): Manual de Endocrinología en Pequeños Animales. 2ª ed. Barcelona, España. Multimédica; 2018:143-192. , Peterson ME, Broome MR. Thyroid scintigraphy findings in 2096 cats with hyperthyroidism. Vet Radiol Ultrasound. 2015; 56(1):84-95. [PubMed] ]

En la imagen estática ventral, los lóbulos tiroideos normales caninos y felinos aparecen como dos áreas bien definidas de captación del radiofármaco en la región cervical ventral.[ Daniel GB, Berry CR. Textbook of veterinary nuclear medicine. 2nd ed. Harrisburg, USA: American College of Veterinary Radiology; 2006. ] La valoración del grado de captación en el tiroides se realiza por comparación con la captación en las glándulas salivares zigomáticas (gato)[ Peterson ME, Broome MR. Thyroid scintigraphy findings in 2096 cats with hyperthyroidism. Vet Radiol Ultrasound. 2015; 56(1):84-95. [PubMed] , Peterson ME, Guterl JN, Rishniw M, Broome MR. Evaluation of quantitative thyroid scintigraphy for diagnosis and staging of disease severity in cats with hyperthyroidism: comparison of the percent thyroidal uptake of pertechnetate to thyroid-to-salivary ratio and thyroid-to-background ratios. Vet Radiol Ultrasound. 2016; 57(4):427-440. [PubMed] ] y parótidas (perro)[ Broome MR, Peterson ME, Walker JR. Clinical features and treatment outcomes of 41 dogs with sublingual ectopic thyroid neoplasia. J Vet Intern Med. 2014; 28(5):1560-1568. [PubMed] , Xifra MP, Peterson ME. Hipertiroidismo y tumores tiroideos en el perro. En: Pérez MD, Arenas C, Melian C (eds): Manual de Endocrinología en Pequeños Animales 2ª ed. Barcelona, España: Multimédica; 2018. 127-42. ] estableciendo la ratio de captación tiroidea/captación salivar (ratio T/S). En condiciones normales, ambos tejidos presentan una captación similar (ratio T/S normal < 1,5).

Las principales indicaciones de la gammagrafía tiroidea en pequeños animales son el hipertiroidismo felino, las neoplasias tiroideas caninas y el hipotiroidismo congénito.

Hipertiroidismo felino

En los gatos con hipertiroidismo el metabolismo de las células foliculares del tiroides está aumentado, por lo que presentan una mayor captación de tecnecio (ratio T/S > 1,5). La determinación mediante gammagrafía del porcentaje de captación de tecnecio (%TcTU) permite valorar la funcionalidad del tiroides.[ Xifra MP, Peterson ME. Hipertiroidismo felino. En: Pérez MD, Arenas C, Melian C (eds): Manual de Endocrinología en Pequeños Animales. 2ª ed. Barcelona, España. Multimédica; 2018:143-192. , Peterson ME, Broome MR. Thyroid scintigraphy findings in 2096 cats with hyperthyroidism. Vet Radiol Ultrasound. 2015; 56(1):84-95. [PubMed] , Peterson ME, Guterl JN, Rishniw M, Broome MR. Evaluation of quantitative thyroid scintigraphy for diagnosis and staging of disease severity in cats with hyperthyroidism: comparison of the percent thyroidal uptake of pertechnetate to thyroid-to-salivary ratio and thyroid-to-background ratios. Vet Radiol Ultrasound. 2016; 57(4):427-440. [PubMed] ]

Además de su funcionalidad, la gammagrafía nos permite determinar las características anatómicas (tamaño, forma y localización) del tejido tiroideo hiperfuncional, estableciéndose tres patrones gammagráficos de lesión: unilateral, bilateral y multifocal.[ Xifra MP, Peterson ME. Hipertiroidismo felino. En: Pérez MD, Arenas C, Melian C (eds): Manual de Endocrinología en Pequeños Animales. 2ª ed. Barcelona, España. Multimédica; 2018:143-192. , Peterson ME, Broome MR. Thyroid scintigraphy findings in 2096 cats with hyperthyroidism. Vet Radiol Ultrasound. 2015; 56(1):84-95. [PubMed] ]

Aproximadamente un 30 % de los gatos hipertiroideos presentan un aumento de tamaño y una mayor captación del radiofármaco en un solo lóbulo tiroideo (patrón unilateral) (Fig. 2A).[ Xifra MP, Peterson ME. Hipertiroidismo felino. En: Pérez MD, Arenas C, Melian C (eds): Manual de Endocrinología en Pequeños Animales. 2ª ed. Barcelona, España. Multimédica; 2018:143-192. , Peterson ME, Broome MR. Thyroid scintigraphy findings in 2096 cats with hyperthyroidism. Vet Radiol Ultrasound. 2015; 56(1):84-95. [PubMed] ] El lóbulo contralateral normal no será visible al tener su funcionalidad disminuida y no captar pertecnetato, ya que el lóbulo hiperfuncional suprime la secreción de tirotropina (TSH).[ Xifra MP, Peterson ME. Hipertiroidismo felino. En: Pérez MD, Arenas C, Melian C (eds): Manual de Endocrinología en Pequeños Animales. 2ª ed. Barcelona, España. Multimédica; 2018:143-192. ] Si el lóbulo contralateral presenta captación del radiofármaco, aunque la ratio T/S no esté aumentada, se considera que su tejido es hiperfuncional y, por lo tanto, se clasifica como patrón bilateral (Fig. 2B).[ Xifra MP, Peterson ME. Hipertiroidismo felino. En: Pérez MD, Arenas C, Melian C (eds): Manual de Endocrinología en Pequeños Animales. 2ª ed. Barcelona, España. Multimédica; 2018:143-192. , Peterson ME, Broome MR. Thyroid scintigraphy findings in 2096 cats with hyperthyroidism. Vet Radiol Ultrasound. 2015; 56(1):84-95. [PubMed] ]

<p>Gammagrafías tiroideas con diferentes patrones de lesión en gatos. (<strong>A</strong>) Gato hipertiroideo, patrón unilateral. Aumento de captación de <sup>99m</sup>Tc (ratio T/S: 4,8) en el lóbulo tiroideo izquierdo. Lóbulo derecho suprimido y no visible. (<strong>B</strong>) Gato hipertiroideo, patrón bilateral. Aumento de captación (ratio T/S: 2,7) en el lóbulo tiroideo izquierdo. El lóbulo derecho es visible, y aunque su captación tenga una ratio T/S<1,5 (=1,06), se considera hiperfuncional. (<strong>C</strong>) Gato hipertiroideo, patrón bilateral asimétrico. Aumento de captación (ratio T/S: 6,35) en ambos lóbulos. El lóbulo tiroideo izquierdo, de mayor tamaño, aparece desplazado a la entrada de la cavidad torácica. (<strong>D</strong>) Gato hipertiroideo, patrón multifocal con tejido ectópico. Aumento de captación (ratio T/S: 14,4) en los dos lóbulos tiroideos y en tejido tiroideo ectópico mediastínico.</p>
Figura 2

Gammagrafías tiroideas con diferentes patrones de lesión en gatos. (A) Gato hipertiroideo, patrón unilateral. Aumento de captación de 99mTc (ratio T/S: 4,8) en el lóbulo tiroideo izquierdo. Lóbulo derecho suprimido y no visible. (B) Gato hipertiroideo, patrón bilateral. Aumento de captación (ratio T/S: 2,7) en el lóbulo tiroideo izquierdo. El lóbulo derecho es visible, y aunque su captación tenga una ratio T/S<1,5 (=1,06), se considera hiperfuncional. (C) Gato hipertiroideo, patrón bilateral asimétrico. Aumento de captación (ratio T/S: 6,35) en ambos lóbulos. El lóbulo tiroideo izquierdo, de mayor tamaño, aparece desplazado a la entrada de la cavidad torácica. (D) Gato hipertiroideo, patrón multifocal con tejido ectópico. Aumento de captación (ratio T/S: 14,4) en los dos lóbulos tiroideos y en tejido tiroideo ectópico mediastínico.

El 70 % de los gatos hipertiroideos presentan un patrón bilateral con afectación de ambos lóbulos (Fig. 2C).[ Xifra MP, Peterson ME. Hipertiroidismo felino. En: Pérez MD, Arenas C, Melian C (eds): Manual de Endocrinología en Pequeños Animales. 2ª ed. Barcelona, España. Multimédica; 2018:143-192. , Peterson ME, Broome MR. Thyroid scintigraphy findings in 2096 cats with hyperthyroidism. Vet Radiol Ultrasound. 2015; 56(1):84-95. [PubMed] ] En estos casos el aumento de tamaño y captación puede ser simétrico o asimétrico.

En un pequeño número de gatos, el hipertiroidismo puede estar producido por lesiones multifocales (más de dos áreas de captación del radionucleótido).[ Xifra MP, Peterson ME. Hipertiroidismo felino. En: Pérez MD, Arenas C, Melian C (eds): Manual de Endocrinología en Pequeños Animales. 2ª ed. Barcelona, España. Multimédica; 2018:143-192. , Peterson ME, Broome MR. Thyroid scintigraphy findings in 2096 cats with hyperthyroidism. Vet Radiol Ultrasound. 2015; 56(1):84-95. [PubMed] ] Como la gammagrafía tiroidea evidencia todo el tejido tiroideo existente, es muy útil para detectar lesiones en cualquier localización. Un pequeño porcentaje de gatos (<4 %) presenta tejido tiroideo ectópico, localizado desde el área sublingual hasta el mediastino craneal, que puede aparecer hiperfuncional en casos de hipertiroidismo (Fig. 2D). También permite visualizar lóbulos tiroideos hiperfuncionales desplazados a la cavidad torácica, ya que la glándula tiroidea está poco adherida a los tejidos adyacentes y, al hipertrofiarse, aumenta de peso y puede introducirse en la cavidad torácica.[ Xifra MP, Peterson ME. Hipertiroidismo felino. En: Pérez MD, Arenas C, Melian C (eds): Manual de Endocrinología en Pequeños Animales. 2ª ed. Barcelona, España. Multimédica; 2018:143-192. , Peterson ME, Broome MR. Thyroid scintigraphy findings in 2096 cats with hyperthyroidism. Vet Radiol Ultrasound. 2015; 56(1):84-95. [PubMed] ]

En los casos de carcinoma tiroideo se evidencia una imagen gammagráfica característica, frecuentemente con patrón multifocal de grandes masas que pueden introducirse en el tórax, con captación de pertecnetato heterogénea y límites mal definidos (Fig. 3).[ Xifra MP, Peterson ME. Hipertiroidismo felino. En: Pérez MD, Arenas C, Melian C (eds): Manual de Endocrinología en Pequeños Animales. 2ª ed. Barcelona, España. Multimédica; 2018:143-192. , Peterson ME, Broome MR. Thyroid scintigraphy findings in 2096 cats with hyperthyroidism. Vet Radiol Ultrasound. 2015; 56(1):84-95. [PubMed] , Xifra MP, Serrano SI, Peterson ME. Sospecha de carcinoma tiroideo felino: tratamiento con yodo radiactivo. Clinoncovet; Revista clínica de medicina felina. 2018; 11: 20-29. ] La gammagrafía también permite detectar metástasis de carcinomas tiroideos en los nódulos linfáticos regionales.[ Xifra MP, Peterson ME. Hipertiroidismo felino. En: Pérez MD, Arenas C, Melian C (eds): Manual de Endocrinología en Pequeños Animales. 2ª ed. Barcelona, España. Multimédica; 2018:143-192. , Peterson ME, Broome MR. Thyroid scintigraphy findings in 2096 cats with hyperthyroidism. Vet Radiol Ultrasound. 2015; 56(1):84-95. [PubMed] , Xifra MP, Serrano SI, Peterson ME. Sospecha de carcinoma tiroideo felino: tratamiento con yodo radiactivo. Clinoncovet; Revista clínica de medicina felina. 2018; 11: 20-29. ]

<p>Gammagrafía tiroidea de un gato con hipertiroidismo grave, patrón multifocal. (<strong>A</strong>) Imagen ventral. (<strong>B</strong>) Imagen lateral. Presencia de varias zonas de marcada captación de <sup>99m</sup>Tc-pertecnetato (ratio T/S: 50,7) en región cervical y torácica. Las lesiones presentan un gran volumen (>10 cm<sup>3</sup>) y están mal delimitadas (bordes irregulares). Esta imagen es compatible con sospecha de carcinoma tiroideo. El paciente fue tratado con éxito con dosis altas de <sup>131</sup>I (30 mCi).</p>
Figura 3

Gammagrafía tiroidea de un gato con hipertiroidismo grave, patrón multifocal. (A) Imagen ventral. (B) Imagen lateral. Presencia de varias zonas de marcada captación de 99mTc-pertecnetato (ratio T/S: 50,7) en región cervical y torácica. Las lesiones presentan un gran volumen (>10 cm3) y están mal delimitadas (bordes irregulares). Esta imagen es compatible con sospecha de carcinoma tiroideo. El paciente fue tratado con éxito con dosis altas de 131I (30 mCi).

La gammagrafía tiroidea es, por lo tanto, un método diagnóstico que aporta valiosa información en la valoración del paciente felino con hipertiroidismo y puede resultar particularmente útil en las siguientes circunstancias:

- Para confirmar el diagnóstico en hipertiroidismo oculto (Fig. 4A). Más del 10 % de los gatos hipertiroideos pueden presentar valores de T4 total dentro del rango de referencia. La gammagrafía tiroidea es más sensible que las determinaciones hormonales para confirmar el diagnóstico, ya que permite visualizar el tejido tiroideo hiperfuncional antes de que las elevaciones hormonales sean detectables.[ Xifra MP, Peterson ME. Hipertiroidismo felino. En: Pérez MD, Arenas C, Melian C (eds): Manual de Endocrinología en Pequeños Animales. 2ª ed. Barcelona, España. Multimédica; 2018:143-192. , Peterson ME. More than just T4: Diagnostic testing for hyperthyroidism in cats. J Feline Med Surg. 2013; 15:765-777. [PubMed] ]

- Para descartar falsos positivos laboratoriales (Fig. 4B). Algunos gatos con sospecha de hipertiroidismo pueden presentar valores de hormonas tiroideas elevados sin patología tiroidea asociada. Un 2 % de gatos eutiroideos tienen valores de T4 total por encima del rango de referencia de forma fisiológica. Por otra parte, en un 20 % de gatos con valores elevados de T4 libre el aumento puede estar asociado a patologías no tiroideas (enfermedad inflamatoria intestinal, diabetes, etc.). La gammagrafía tiroidea permite discriminar estos casos al demostrar la ausencia de tejido hiperfuncional tiroideo.[ Xifra MP, Peterson ME. Hipertiroidismo felino. En: Pérez MD, Arenas C, Melian C (eds): Manual de Endocrinología en Pequeños Animales. 2ª ed. Barcelona, España. Multimédica; 2018:143-192. , Peterson ME. More than just T4: Diagnostic testing for hyperthyroidism in cats. J Feline Med Surg. 2013; 15:765-777. [PubMed] ]

<p>Gammagrafía tiroidea en hipertiroidismo oculto y en falso positivo laboratorial. (<strong>A</strong>) Gato con valores de T<sub>4</sub> total (3 µg/dl) dentro del rango de referencia (0,9-4,7 µg/dl). El estudio con gammagrafía muestra tejido hiperfuncional en el lóbulo izquierdo (hipertiroidismo oculto). (<strong>B</strong>) Gato con valores de T<sub>4</sub> total elevados (5,4 µg/dl) sospechoso de hipertiroidismo. Gammagrafía tiroidea normal, sin alteración en la captación del radiofármaco (ratio T/S: 0,7). Compatible con gato sin lesión tiroidea (falso positivo laboratorial).</p>
Figura 4

Gammagrafía tiroidea en hipertiroidismo oculto y en falso positivo laboratorial. (A) Gato con valores de T4 total (3 µg/dl) dentro del rango de referencia (0,9-4,7 µg/dl). El estudio con gammagrafía muestra tejido hiperfuncional en el lóbulo izquierdo (hipertiroidismo oculto). (B) Gato con valores de T4 total elevados (5,4 µg/dl) sospechoso de hipertiroidismo. Gammagrafía tiroidea normal, sin alteración en la captación del radiofármaco (ratio T/S: 0,7). Compatible con gato sin lesión tiroidea (falso positivo laboratorial).

- Para planificar el posible tratamiento quirúrgico en gatos hipertiroideos. Al poder visualizar todo el tejido tiroideo hiperfuncional, la gammagrafía aporta datos anatómicos indispensables (afectación de uno o de ambos lóbulos tiroideos, existencia de tejido ectópico, intratorácico o metastásico) en la evaluación de la viabilidad del tratamiento quirúrgico.[ Xifra MP, Peterson ME. Hipertiroidismo felino. En: Pérez MD, Arenas C, Melian C (eds): Manual de Endocrinología en Pequeños Animales. 2ª ed. Barcelona, España. Multimédica; 2018:143-192. ]

- Cuando se sospecha de carcinoma tiroideo. Ante la presunción de carcinoma tiroideo, el patrón gammagráfico característico permite una mejor aproximación a esta patología, tanto en la valoración de las opciones terapéuticas (abordaje quirúrgico o tratamiento con dosis altas de 131I), como en el establecimiento de su pronóstico.[ Xifra MP, Peterson ME. Hipertiroidismo felino. En: Pérez MD, Arenas C, Melian C (eds): Manual de Endocrinología en Pequeños Animales. 2ª ed. Barcelona, España. Multimédica; 2018:143-192. , Peterson ME, Broome MR. Thyroid scintigraphy findings in 2096 cats with hyperthyroidism. Vet Radiol Ultrasound. 2015; 56(1):84-95. [PubMed] , Xifra MP, Serrano SI, Peterson ME. Sospecha de carcinoma tiroideo felino: tratamiento con yodo radiactivo. Clinoncovet; Revista clínica de medicina felina. 2018; 11: 20-29. ]

- Para calcular las dosis de radiofármaco (dosis personalizadas) en el tratamiento con yodo radiactivo (131I). El objetivo del tratamiento con 131I en gatos hipertiroideos es la destrucción de todo tejido hiperfuncional respetando el tejido tiroideo sano. La gammagrafía nos aporta datos del volumen y del porcentaje de captación de tecnecio[ Peterson ME, Guterl JN, Rishniw M, Broome MR. Evaluation of quantitative thyroid scintigraphy for diagnosis and staging of disease severity in cats with hyperthyroidism: comparison of the percent thyroidal uptake of pertechnetate to thyroid-to-salivary ratio and thyroid-to-background ratios. Vet Radiol Ultrasound. 2016; 57(4):427-440. [PubMed] ] del tejido hiperfuncional, lo cual nos permite ajustar las dosis en cada caso para obtener un mayor porcentaje de curación, minimizando el riesgo de producir hipotiroidismo iatrogénico (Fig. 5).[ Xifra MP, Peterson ME. Hipertiroidismo felino. En: Pérez MD, Arenas C, Melian C (eds): Manual de Endocrinología en Pequeños Animales. 2ª ed. Barcelona, España. Multimédica; 2018:143-192. , Peterson ME, Xifra MP, Broome MR. Treatment of hyperthyroidism: radioiodine. En: Feldman EC, Fracassi F, Peterson ME (eds). Feline Endocrinology. Milan, Italia: Edra; 2019:227-254. , Xifra Rubio P, Serrano Garcia, SI, Peterson ME. Hipertiroidismo felino: Diagnóstico y evolución de la enfermedad mediante gammagrafía y tratamiento con yodo radiactivo (131I). Rev Cient Esp Med Intern Peq Anim 2018;2:25-31. , Lucy JM, Peterson ME, Randolph JF et al. Efficacy of low-dose (2 mCi) versus standard-dose (4 mCi) radioiodine treatment for cats with mild-to-moderate hyperthyroidism. J Vet Intern Med. 2017; 31:326-334. [PubMed] , Peterson ME, Guterl JN, Nichols R, Rishniw M. Evaluation of serum thyroid-stimulating hormone concentration as a diagnostic test for hyperthyroidism in cats. J Vet Intern Med. 2015; 29:1327-1334. [PubMed] ]

<p>Gammagrafías tiroideas, pretratamiento y postratamiento con <sup>131</sup>I, de un gato hipertiroideo. (<strong>A</strong>) Gammagrafía pretratamiento que muestra un patrón unilateral derecho con aumento de captación de <sup>99m</sup>Tc-pertecnetato (ratio T/S: 4,5). El paciente fue tratado con una dosis baja de <sup>131</sup>I (1,4 mCi), ajustada en base a los datos obtenidos en la gammagrafía previa. (<strong>B</strong>) Gammagrafía a los 6 meses postratamiento, que muestra el restablecimiento del eutiroidismo sin producir hipotiroidismo iatrogénico (ratio T/S: 1,2).</p>
Figura 5

Gammagrafías tiroideas, pretratamiento y postratamiento con 131I, de un gato hipertiroideo. (A) Gammagrafía pretratamiento que muestra un patrón unilateral derecho con aumento de captación de 99mTc-pertecnetato (ratio T/S: 4,5). El paciente fue tratado con una dosis baja de 131I (1,4 mCi), ajustada en base a los datos obtenidos en la gammagrafía previa. (B) Gammagrafía a los 6 meses postratamiento, que muestra el restablecimiento del eutiroidismo sin producir hipotiroidismo iatrogénico (ratio T/S: 1,2).

- Para valorar la evolución en gatos hipertiroideos tratados con cirugía o yodo radiactivo. La realización de gammagrafías tiroideas postratamiento nos permite confirmar el éxito de los tratamientos realizados (eliminación de la totalidad del tejido hiperfuncional y existencia de tejido remanente sano).[ Xifra MP, Peterson ME. Hipertiroidismo felino. En: Pérez MD, Arenas C, Melian C (eds): Manual de Endocrinología en Pequeños Animales. 2ª ed. Barcelona, España. Multimédica; 2018:143-192. , Peterson ME, Xifra MP, Broome MR. Treatment of hyperthyroidism: radioiodine. En: Feldman EC, Fracassi F, Peterson ME (eds). Feline Endocrinology. Milan, Italia: Edra; 2019:227-254. , Xifra Rubio P, Serrano Garcia, SI, Peterson ME. Hipertiroidismo felino: Diagnóstico y evolución de la enfermedad mediante gammagrafía y tratamiento con yodo radiactivo (131I). Rev Cient Esp Med Intern Peq Anim 2018;2:25-31. ]

 

Neoplasia tiroidea canina

Las neoplasias tiroideas caninas presentan diferencias significativas respecto a las que se observan en el gato, por lo que las aplicaciones de la gammagrafía tiroidea son diferentes. Una de las diferencias fundamentales es que el 90 % de las neoplasias tiroideas no son hiperfuncionales y no se manifiestan con hipertiroidismo clínico.[ Xifra MP, Peterson ME. Hipertiroidismo y tumores tiroideos en el perro. En: Pérez MD, Arenas C, Melian C (eds): Manual de Endocrinología en Pequeños Animales 2ª ed. Barcelona, España: Multimédica; 2018. 127-42. , Wucherer KL, Wilke V. Thyroid cancer in dogs: an update based on 638 cases (1995-2005). J Am Anim Hosp Assoc. 2010; 46(4):249-254. [PubMed] ] Además, la mayoría de los tumores tiroideos caninos detectados son malignos (carcinomas de las células foliculares del tiroides y, en menor medida, carcinomas medulares de las células C del tiroides).[ Wucherer KL, Wilke V. Thyroid cancer in dogs: an update based on 638 cases (1995-2005). J Am Anim Hosp Assoc. 2010; 46(4):249-254. [PubMed] ]

En las neoplasias tiroideas caninas la captación del 99mTc-pertecnetato puede estar aumentada (Fig. 6), ser normal o presentar un patrón mixto con áreas de diferente intensidad.[ Broome MR, Peterson ME, Walker JR. Clinical features and treatment outcomes of 41 dogs with sublingual ectopic thyroid neoplasia. J Vet Intern Med. 2014; 28(5):1560-1568. [PubMed] , Xifra MP, Peterson ME. Hipertiroidismo y tumores tiroideos en el perro. En: Pérez MD, Arenas C, Melian C (eds): Manual de Endocrinología en Pequeños Animales 2ª ed. Barcelona, España: Multimédica; 2018. 127-42. ] En cualquiera de estas situaciones, la gammagrafía nos permite visualizar el tejido tiroideo gracias a la afinidad que tiene el radiofármaco por el mismo.

<p>Gammagrafía tiroidea de un perro con elevación en la T<sub>4</sub> total y sintomatología compatible con hipertiroidismo. Se observa un aumento de tamaño y captación de <sup>99m</sup>Tc-pertecnetato (ratio T/S: 7) del lóbulo tiroideo derecho con supresión del lóbulo contralateral (no visible en la gammagrafía). La imagen es compatible con un tumor tiroideo hiperfuncional unilateral, sin invasión de tejidos adyacentes ni metástasis, por lo que la tiroidectomía sería el tratamiento de elección en este caso.</p>
Figura 6

Gammagrafía tiroidea de un perro con elevación en la T4 total y sintomatología compatible con hipertiroidismo. Se observa un aumento de tamaño y captación de 99mTc-pertecnetato (ratio T/S: 7) del lóbulo tiroideo derecho con supresión del lóbulo contralateral (no visible en la gammagrafía). La imagen es compatible con un tumor tiroideo hiperfuncional unilateral, sin invasión de tejidos adyacentes ni metástasis, por lo que la tiroidectomía sería el tratamiento de elección en este caso.

Con la gammagrafía tiroidea podemos confirmar si una masa es de origen tiroideo independientemente de su localización, pudiendo ser de ayuda en el diagnóstico diferencial de masas en la región sublingual, cervical y mediastínica.[ Broome MR, Peterson ME, Walker JR. Clinical features and treatment outcomes of 41 dogs with sublingual ectopic thyroid neoplasia. J Vet Intern Med. 2014; 28(5):1560-1568. [PubMed] , Xifra MP, Peterson ME. Hipertiroidismo y tumores tiroideos en el perro. En: Pérez MD, Arenas C, Melian C (eds): Manual de Endocrinología en Pequeños Animales 2ª ed. Barcelona, España: Multimédica; 2018. 127-42. ]

Ante un perro con sospecha de padecer una neoplasia tiroidea, la gammagrafía nos aportará información valiosa para la determinación del estadio clínico de la enfermedad tumoral. Podremos analizar la presencia de infiltración de los tejidos adyacentes, además de detectar tejido ectópico y metastásico (Fig. 7). De este modo, será posible valorar la opción terapéutica quirúrgica y emitir un pronóstico.[ Broome MR, Peterson ME, Walker JR. Clinical features and treatment outcomes of 41 dogs with sublingual ectopic thyroid neoplasia. J Vet Intern Med. 2014; 28(5):1560-1568. [PubMed] , Xifra MP, Peterson ME. Hipertiroidismo y tumores tiroideos en el perro. En: Pérez MD, Arenas C, Melian C (eds): Manual de Endocrinología en Pequeños Animales 2ª ed. Barcelona, España: Multimédica; 2018. 127-42. ]

<p>Gammagrafía tiroidea de un perro con masa palpable en la región cervical. (<strong>A</strong>) Imagen ventral. (<strong>B</strong>) Imagen lateral. Aumento de tamaño de ambos lóbulos tiroideos, con márgenes irregulares y sin aumento de captación de <sup>99m</sup>Tc-pertecnetato (ratio T/S: 1,4). En tórax se observa un aumento de captación compatible con metástasis. La imagen es compatible con carcinoma tiroideo bilateral no hiperfuncional, con infiltración de los tejidos adyacentes y metástasis pulmonares, por lo que el tratamiento quirúrgico no estaría indicado.</p>
Figura 7

Gammagrafía tiroidea de un perro con masa palpable en la región cervical. (A) Imagen ventral. (B) Imagen lateral. Aumento de tamaño de ambos lóbulos tiroideos, con márgenes irregulares y sin aumento de captación de 99mTc-pertecnetato (ratio T/S: 1,4). En tórax se observa un aumento de captación compatible con metástasis. La imagen es compatible con carcinoma tiroideo bilateral no hiperfuncional, con infiltración de los tejidos adyacentes y metástasis pulmonares, por lo que el tratamiento quirúrgico no estaría indicado.

También es de utilidad repetir la gammagrafía después de la tiroidectomía para valorar el éxito de la misma.[ Broome MR, Peterson ME, Walker JR. Clinical features and treatment outcomes of 41 dogs with sublingual ectopic thyroid neoplasia. J Vet Intern Med. 2014; 28(5):1560-1568. [PubMed] , Xifra MP, Peterson ME. Hipertiroidismo y tumores tiroideos en el perro. En: Pérez MD, Arenas C, Melian C (eds): Manual de Endocrinología en Pequeños Animales 2ª ed. Barcelona, España: Multimédica; 2018. 127-42. ]

 

Hipotiroidismo congénito

El hipotiroidismo congénito en el perro y en el gato puede ser debido a alteraciones en el desarrollo del tejido tiroideo (disgenesia tiroidea) o a defectos en la síntesis de hormonas tiroideas (dishormonogénesis).[ Peterson ME. Primary goitrous hypothyroidism in a young adult domestic longhair cat: diagnosis and treatment monitoring. J Fel Med Surg Open Rep. 2015; 1(2):1-7. [PubMed] ] En la disgenesia tiroidea la glándula tiroides está hipoplásica o aplásica, mientras que en la dishormonogénesis aparece hiperplásica por la estimulación crónica de la TSH hipofisaria, en respuesta a los bajos niveles de hormonas tiroideas.

La gammagrafía tiroidea con pertecnetato permite la diferenciación entre ambas patologías. Los animales con disgenesia tiroidea van a presentar una mínima o nula captación del radiofármaco en la región anatómica de la glándula tiroides al no existir tejido tiroideo; sin embargo, los animales con dishormonogénesis mostrarán un aumento del tamaño de los lóbulos tiroideos con captación aumentada del radiofármaco (Fig. 8).[ Peterson ME. Primary goitrous hypothyroidism in a young adult domestic longhair cat: diagnosis and treatment monitoring. J Fel Med Surg Open Rep. 2015; 1(2):1-7. [PubMed] ]

<p>Gammagrafía tiroidea de un gato con disminución de hormonas tiroideas (T<sub>4</sub> total y libre) y elevación de la TSH. Muestra un aumento de tamaño y captación de <sup>99m</sup>Tc-pertecnetato en ambos lóbulos tiroideos. Los datos clínicos y la imagen de la gammagrafía son compatibles con hipotiroidismo producido por dishormonogénesis.</p>
Figura 8

Gammagrafía tiroidea de un gato con disminución de hormonas tiroideas (T4 total y libre) y elevación de la TSH. Muestra un aumento de tamaño y captación de 99mTc-pertecnetato en ambos lóbulos tiroideos. Los datos clínicos y la imagen de la gammagrafía son compatibles con hipotiroidismo producido por dishormonogénesis.

Gammagrafía renal

La gammagrafía renal es una técnica que aporta información tanto morfológica como funcional de los riñones.[ Kerl ME, Cook CR. Glomerular filtration rate and renal scintigraphy. Clin Tech Small Anim Pract. 2005; 20:31-38. [PubMed] , Tyson R and Daniel GB. Renal Scintigraphy in Veterinary Medicine. Semin Nucl Med. 2014; 44:35-46. [PubMed] , Xifra MP, Serrano SI, Salgüero R, Broome MR. Valoración de la tasa de filtración glomerular (TFG) individual mediante gammagrafía renal; a propósito de un caso clínico. Clinfelivet; Revista clínica de medicina felina. 2019; 2: 13-17. ] Mientras otras técnicas de diagnóstico por imagen como la radiología o la ecografía son superiores para detectar cambios anatómicos y estructurales de los riñones, la gammagrafía permite evaluar la funcionalidad renal.[ Kerl ME, Cook CR. Glomerular filtration rate and renal scintigraphy. Clin Tech Small Anim Pract. 2005; 20:31-38. [PubMed] , Tyson R and Daniel GB. Renal Scintigraphy in Veterinary Medicine. Semin Nucl Med. 2014; 44:35-46. [PubMed] , Xifra MP, Serrano SI, Salgüero R, Broome MR. Valoración de la tasa de filtración glomerular (TFG) individual mediante gammagrafía renal; a propósito de un caso clínico. Clinfelivet; Revista clínica de medicina felina. 2019; 2: 13-17. ]

El principal radiofármaco utilizado en pequeños animales para la realización de la gammagrafía renal es el 99mTc-Ácido Dietileno-Triamino-Pentaacético (99mTc-DTPA). Esta molécula es captada selectivamente por el tejido renal y excretada exclusivamente mediante filtración glomerular, sin absorción ni secreción tubular.[ Kerl ME, Cook CR. Glomerular filtration rate and renal scintigraphy. Clin Tech Small Anim Pract. 2005; 20:31-38. [PubMed] , Tyson R and Daniel GB. Renal Scintigraphy in Veterinary Medicine. Semin Nucl Med. 2014; 44:35-46. [PubMed] , Xifra MP, Serrano SI, Salgüero R, Broome MR. Valoración de la tasa de filtración glomerular (TFG) individual mediante gammagrafía renal; a propósito de un caso clínico. Clinfelivet; Revista clínica de medicina felina. 2019; 2: 13-17. , Gates GF. Glomerular filtration rate: estimation from fractional renal accumulation of 99mTc-DTPA (stannous). Am J Roent. 1982; 138:565-570. [PubMed] ] Mediante la visualización de la captación, la acumulación y la eliminación del radiofármaco podemos determinar y medir la tasa de filtración glomerular (TFG) global e individual de cada riñón.[ Xifra MP, Serrano SI, Salgüero R, Broome MR. Valoración de la tasa de filtración glomerular (TFG) individual mediante gammagrafía renal; a propósito de un caso clínico. Clinfelivet; Revista clínica de medicina felina. 2019; 2: 13-17. , Gates GF. Glomerular filtration rate: estimation from fractional renal accumulation of 99mTc-DTPA (stannous). Am J Roent. 1982; 138:565-570. [PubMed] , Krawiec DR, Bardertscher RR, Twardock AR, Rubin SI, Gelberg HB. Evaluation of 99mTc-diethylenetriaminepentaacetic acid nuclear imaging for quantitative determination of glomerular filtration rate of dogs. Am J Vet Res. 1986; 47:2175-2179. [PubMed] , Uribe D, Krawiec DR, Twardock AR, Gelberg HB. Quantitative renal scintigraphic determination of the glomerular filtration rate in cats with normal and abnormal kidney function, using 99mTc-diethylenetriaminepentaacetic acid. Am J Vet Res 1992; 53(7):1101-7. [PubMed] ]

Es recomendable no utilizar sedación, ya que puede interferir con los resultados de la prueba.[ Newell PY, Smeak DD, Wisner ER et al. Effects of three sedative protocols on glomerular filtration rate in clinically normal dogs. Am J Vet Res. 1997; 58:446-450. [PubMed] , Mitchell SK, Toal RL, Daniel GB, Rohrbach BW. Evaluation of renal hemodynamics in awake and isofluorane-anesthetized cats with pulsed-wave doppler and quantitative scintigraphy. Vet Radiol Ultrasound. 1998; 39(5):451-458. [PubMed] , Winter MD, Miles KG, Riedesel DH. Effect of sedation protocol on glomerular filtration rate in cats as determined by use of quantitative renal scintigraphy. Am J Vet Res. 2011; 72(9):1223-5. [PubMed] ] No requiere hospitalización, no perjudica la función renal y la dosis de radiación que recibe el paciente se considera mínima, inferior a la recibida en una exploración radiológica rutinaria.[ Bomben AM, Chiliutti CA. Actividades de radiofármacos administradas en prácticas diagnósticas y terapéuticas en medicina nuclear en Argentina: resultados de una encuesta. VI Congreso Regional de Seguridad Radiológica y Nuclear. Lima, Perú; 2003. , Kerl ME, Cook CR. Glomerular filtration rate and renal scintigraphy. Clin Tech Small Anim Pract. 2005; 20:31-38. [PubMed] ]

Para la realización de la gammagrafía renal se coloca al paciente en decúbito lateral izquierdo y la gammacámara en posición vertical, con el fin de obtener una proyección dorsal del área renal. Se inyectan por paciente 1-4 mCi (37-148 MBq) de 99mTc-DTPA intravenoso en la vena cefálica para iniciar inmediatamente y mantener durante 6 minutos una adquisición dinámica del tracto urinario.[ Kerl ME, Cook CR. Glomerular filtration rate and renal scintigraphy. Clin Tech Small Anim Pract. 2005; 20:31-38. [PubMed] , Tyson R and Daniel GB. Renal Scintigraphy in Veterinary Medicine. Semin Nucl Med. 2014; 44:35-46. [PubMed] , Xifra MP, Serrano SI, Salgüero R, Broome MR. Valoración de la tasa de filtración glomerular (TFG) individual mediante gammagrafía renal; a propósito de un caso clínico. Clinfelivet; Revista clínica de medicina felina. 2019; 2: 13-17. , Uribe D, Krawiec DR, Twardock AR, Gelberg HB. Quantitative renal scintigraphic determination of the glomerular filtration rate in cats with normal and abnormal kidney function, using 99mTc-diethylenetriaminepentaacetic acid. Am J Vet Res 1992; 53(7):1101-7. [PubMed] ] En perros hay que realizar, además, una proyección lateral para corregir la profundidad de los riñones.[ Krawiec DR, Bardertscher RR, Twardock AR, Rubin SI, Gelberg HB. Evaluation of 99mTc-diethylenetriaminepentaacetic acid nuclear imaging for quantitative determination of glomerular filtration rate of dogs. Am J Vet Res. 1986; 47:2175-2179. [PubMed] ]

Posteriormente, se procesan las imágenes para obtener una imagen sumatoria de las adquisiciones dinámicas entre el minuto 1 y 3 post inyección (Fig. 9). Con ella, se calculan los valores de TFG tanto global como individual de cada riñón.[ Xifra MP, Serrano SI, Salgüero R, Broome MR. Valoración de la tasa de filtración glomerular (TFG) individual mediante gammagrafía renal; a propósito de un caso clínico. Clinfelivet; Revista clínica de medicina felina. 2019; 2: 13-17. , Gates GF. Glomerular filtration rate: estimation from fractional renal accumulation of 99mTc-DTPA (stannous). Am J Roent. 1982; 138:565-570. [PubMed] , Krawiec DR, Bardertscher RR, Twardock AR, Rubin SI, Gelberg HB. Evaluation of 99mTc-diethylenetriaminepentaacetic acid nuclear imaging for quantitative determination of glomerular filtration rate of dogs. Am J Vet Res. 1986; 47:2175-2179. [PubMed] , Uribe D, Krawiec DR, Twardock AR, Gelberg HB. Quantitative renal scintigraphic determination of the glomerular filtration rate in cats with normal and abnormal kidney function, using 99mTc-diethylenetriaminepentaacetic acid. Am J Vet Res 1992; 53(7):1101-7. [PubMed] ]

<p>Imagen sumatoria de la gammagrafía renal dinámica en una perra con valores de creatinina normal. Aumento de la actividad del flujo sanguíneo en el tórax por la disminución en el aclaramiento renal, con muy baja captación del radiofármaco por el riñón izquierdo. Tasas de filtración glomerular disminuidas: TFG global de 0,57 ml/min/kg (N: >3 ml/min/kg); TFG del riñón derecho de 0,50 ml/min/kg; TFG del riñón izquierdo de 0,07 ml/min/kg. El estudio es compatible con enfermedad renal subclínica, en la que el riñón izquierdo prácticamente no contribuye a la funcionalidad renal.</p>
Figura 9

Imagen sumatoria de la gammagrafía renal dinámica en una perra con valores de creatinina normal. Aumento de la actividad del flujo sanguíneo en el tórax por la disminución en el aclaramiento renal, con muy baja captación del radiofármaco por el riñón izquierdo. Tasas de filtración glomerular disminuidas: TFG global de 0,57 ml/min/kg (N: >3 ml/min/kg); TFG del riñón derecho de 0,50 ml/min/kg; TFG del riñón izquierdo de 0,07 ml/min/kg. El estudio es compatible con enfermedad renal subclínica, en la que el riñón izquierdo prácticamente no contribuye a la funcionalidad renal.

Gracias a la medición de la TFG mediante gammagrafía, podemos detectar disminuciones en la funcionalidad renal antes de que se produzca la elevación de los parámetros sanguíneos (enfermedad renal subclínica). Además, es el único método que nos permite calcular la TFG individual de cada riñón.[ Kerl ME, Cook CR. Glomerular filtration rate and renal scintigraphy. Clin Tech Small Anim Pract. 2005; 20:31-38. [PubMed] , Tyson R and Daniel GB. Renal Scintigraphy in Veterinary Medicine. Semin Nucl Med. 2014; 44:35-46. [PubMed] ] La gammagrafía renal es una herramienta útil para conocer la funcionalidad renal antes y después de procedimientos quirúrgicos como la nefrostomía o la nefrectomía. La evaluación previa de la funcionalidad individualizada de cada riñón puede afectar a la planificación quirúrgica propuesta.[ Kerl ME, Cook CR. Glomerular filtration rate and renal scintigraphy. Clin Tech Small Anim Pract. 2005; 20:31-38. [PubMed] , Tyson R and Daniel GB. Renal Scintigraphy in Veterinary Medicine. Semin Nucl Med. 2014; 44:35-46. [PubMed] , Xifra MP, Serrano SI, Salgüero R, Broome MR. Valoración de la tasa de filtración glomerular (TFG) individual mediante gammagrafía renal; a propósito de un caso clínico. Clinfelivet; Revista clínica de medicina felina. 2019; 2: 13-17. ]

También es posible realizar una gammagrafía renal administrando diuréticos (furosemida), lo que permite diferenciar cuándo una dilatación de la pelvis renal o del uréter se debe a una obstrucción mecánica o funcional (p. ej., pielonefritis), ya que podemos valorar la permeabilidad de los riñones en pacientes con hidronefrosis.[ Daniel GB, Berry CR. Textbook of veterinary nuclear medicine. 2nd ed. Harrisburg, USA: American College of Veterinary Radiology; 2006. , Tyson R and Daniel GB. Renal Scintigraphy in Veterinary Medicine. Semin Nucl Med. 2014; 44:35-46. [PubMed] ]

 

Gammagrafía ósea

La gammagrafía ósea es una técnica extremadamente sensible para detectar cambios en el metabolismo óseo asociados a enfermedades del sistema esquelético, lesiones en tejidos blandos (musculares y en ligamentos) y artropatías.[ Daniel GB, Berry CR. Textbook of veterinary nuclear medicine. 2nd ed. Harrisburg, USA: American College of Veterinary Radiology; 2006. , Lamb CR. Bone scintigraphy in small animals. J Am Vet Med Assoc. 1987; 191(12):1616-1622. ] En perros, la gammagrafía se utiliza principalmente para el estudio de neoplasias primarias y secundarias del sistema esquelético,[ Lamb CR. Bone scintigraphy in small animals. J Am Vet Med Assoc. 1987; 191(12):1616-1622. , Hahn KA, Hurd C, Cantwell HD. Single-phase methylene diphosphate bone scintigraphy in the diagnostic evaluation of dogs with osteosarcoma. J Am Vet Med Assoc. 1990; 196(9):1483-1486. [PubMed] , Lamb CR, Berg J, Bengtson AE. Preoperative measurement of canine primary bone tumors, using radiography and bone scintigraphy. J Am Vet Med Assoc. 1990; 196(9):1474-1478. [PubMed] , Ogilvie GK, Allhands RV, Reynolds HA. Use of radionuclide imaging to identify malignant mammary tumor bone metastases in dogs. J Am Vet Med Assoc. 1989; 195(2):220-222. [PubMed] , Oblak ML, Boston SE, Woods JP, Nykamp S. Comparison of concurrent imaging modalities for staging of dogs with appendicular primary bone tumours. Vet Comp Oncol. 2015; 13(1):28-39. [PubMed] ] así como para el diagnóstico diferencial de cojeras.[ Schwarz T, Johnson VS, Voute L, Sullivan M. Bone scintigraphy in the investigation of occult lameness in the dog. J Small Anim Pract. 2004; 45(5):232-237. [PubMed] , Samoy Y, Van Ryssen B, Van Caelenberg A et al. Single-phase bone scintigraphy in dogs with obscure lameness. J Small Anim Pract. 2008; 49(9):444-450. [PubMed] , Van Bruggen LW, Hazewinkel HA, Wolschrijn CF, Voorhout G, Pollak YW, Barthez PY. Bone scintigraphy for the diagnosis of an abnormal medial coronoid process in dogs. Vet Radiol Ultrasound. 2010; 51(3):344-348. [PubMed] , Debruyn K, Peremans K, Vandermeulen E, Van Ryssen B, Saunders JH. Evaluation of semi-quantitative bone scintigraphy in canine elbows. Vet J. 2013; 196(3):424-430. [PubMed] ]

El radiofármaco utilizado es el 99mTc unido a difosfonatos [99mTc-difosfonato de metileno (99mTc-MDP) o 99mTc- oxidronato disódico (99mTc-HDP)]. Tras la administración, es incorporado en la porción mineral del hueso reflejando el estado de remodelación ósea, así como la perfusión tisular. La intensidad de fijación es proporcional al grado de actividad osteogénica, la cual aumenta en toda lesión ósea al representar un mecanismo de reparación.[ Daniel GB, Berry CR. Textbook of veterinary nuclear medicine. 2nd ed. Harrisburg, USA: American College of Veterinary Radiology; 2006. , Lamb CR. Bone scintigraphy in small animals. J Am Vet Med Assoc. 1987; 191(12):1616-1622. ]

Se inyectan por vía intravenosa (safena o cefálica según la región a estudiar) 0,4-0,5 mCi/kg (14-20 MBq/kg) de 99mTc-MDP o 99mTc-HDP. Las imágenes son tomadas en tres fases: una adquisición dinámica inmediatamente después de la inyección (fase vascular), adquisiciones estáticas 5 minutos después (fase tejido blando) e imágenes estáticas 2 horas después (fase ósea). La mayoría de los perros requieren una sedación ligera para la adquisición óptima de imágenes de la fase ósea a fin de evitar los artefactos de movimiento y conseguir una mejor calidad de la imagen.[ Daniel GB, Berry CR. Textbook of veterinary nuclear medicine. 2nd ed. Harrisburg, USA: American College of Veterinary Radiology; 2006. , Lamb CR. Bone scintigraphy in small animals. J Am Vet Med Assoc. 1987; 191(12):1616-1622. ] Hay que considerar que suelen ser pacientes muy musculados y en ocasiones con dolor, con lo que la manipulación mejora con la sedación del paciente.

Debido a que la gammagrafía ósea revela cambios en el metabolismo óseo más que en la estructura, complementa los hallazgos radiológicos. Las alteraciones en la gammagrafía ósea suelen observarse antes que los signos radiológicos puesto que los cambios en el metabolismo óseo preceden a los cambios estructurales.[ Lamb CR. Bone scintigraphy in small animals. J Am Vet Med Assoc. 1987; 191(12):1616-1622. ]

Es el método diagnóstico de elección para detectar metástasis de tumores óseos primarios debido a su alta sensibilidad.[ Lamb CR. Bone scintigraphy in small animals. J Am Vet Med Assoc. 1987; 191(12):1616-1622. , Hahn KA, Hurd C, Cantwell HD. Single-phase methylene diphosphate bone scintigraphy in the diagnostic evaluation of dogs with osteosarcoma. J Am Vet Med Assoc. 1990; 196(9):1483-1486. [PubMed] ] También está indicada para localizar alteraciones óseas metabólicas, traumáticas e infecciosas, y en los casos de neoplasias cuyo potencial metastásico incluya el tejido óseo (Fig. 10).[ Daniel GB, Berry CR. Textbook of veterinary nuclear medicine. 2nd ed. Harrisburg, USA: American College of Veterinary Radiology; 2006. , Ogilvie GK, Allhands RV, Reynolds HA. Use of radionuclide imaging to identify malignant mammary tumor bone metastases in dogs. J Am Vet Med Assoc. 1989; 195(2):220-222. [PubMed] ]

<p>Estudio por imagen de paciente canino con sospecha de tumor óseo primario en húmero derecho. (<strong>A</strong>) Radiografía con lesión osteolítica en tercio proximal del húmero derecho. (<strong>B</strong>) Gammagrafía ósea del mismo paciente. Se aprecia un aumento de captación de <sup>99m</sup>Tc-HDP en el tercio proximal del húmero compatible con neoplasia ósea primaria. Otros hallazgos son el aumento de captación del radiofármaco en la unión costocondral de la costilla n.º 11 (sugerente de artrosis), y en la zona distal de la escápula y articulación del codo (compatibles con enfermedad degenerativa articular).</p>
Figura 10

Estudio por imagen de paciente canino con sospecha de tumor óseo primario en húmero derecho. (A) Radiografía con lesión osteolítica en tercio proximal del húmero derecho. (B) Gammagrafía ósea del mismo paciente. Se aprecia un aumento de captación de 99mTc-HDP en el tercio proximal del húmero compatible con neoplasia ósea primaria. Otros hallazgos son el aumento de captación del radiofármaco en la unión costocondral de la costilla n.º 11 (sugerente de artrosis), y en la zona distal de la escápula y articulación del codo (compatibles con enfermedad degenerativa articular).

Ocasionalmente, el examen clínico puede no ser concluyente en la localización de la cojera debido a que el paciente presente una gran tolerancia al dolor, ausencia de palpación de anomalías morfológicas o no permita el examen por estrés, agresividad o hiperestesia.[ Schwarz T, Johnson VS, Voute L, Sullivan M. Bone scintigraphy in the investigation of occult lameness in the dog. J Small Anim Pract. 2004; 45(5):232-237. [PubMed] , Samoy Y, Van Ryssen B, Van Caelenberg A et al. Single-phase bone scintigraphy in dogs with obscure lameness. J Small Anim Pract. 2008; 49(9):444-450. [PubMed] ] La radiología puede así mismo no ser concluyente, ya que los cambios radiológicos pueden retrasarse en su aparición o no reflejar la causa de la cojera. La gammagrafía es una técnica muy sensible para detectar cambios tempranos en la remodelación ósea y/o verdadera patología y para evaluar la actividad de la lesión.[ Schwarz T, Johnson VS, Voute L, Sullivan M. Bone scintigraphy in the investigation of occult lameness in the dog. J Small Anim Pract. 2004; 45(5):232-237. [PubMed] , Samoy Y, Van Ryssen B, Van Caelenberg A et al. Single-phase bone scintigraphy in dogs with obscure lameness. J Small Anim Pract. 2008; 49(9):444-450. [PubMed] ] Por ejemplo, en el diagnóstico diferencial de cojeras del miembro anterior permite determinar si la patología tiene su origen en el codo (fragmentación del proceso coronoides medial) o en el hombro (lesiones del sistema extensor o contracturas del músculo infraespinoso/supraespinoso). Al localizar anatómicamente la lesión, es posible restringir a la zona afectada los estudios de tomografía computarizada (TC) o artroscopia (Figs. 11-13).[ Samoy Y, Van Ryssen B, Van Caelenberg A et al. Single-phase bone scintigraphy in dogs with obscure lameness. J Small Anim Pract. 2008; 49(9):444-450. [PubMed] , Van Bruggen LW, Hazewinkel HA, Wolschrijn CF, Voorhout G, Pollak YW, Barthez PY. Bone scintigraphy for the diagnosis of an abnormal medial coronoid process in dogs. Vet Radiol Ultrasound. 2010; 51(3):344-348. [PubMed] , Debruyn K, Peremans K, Vandermeulen E, Van Ryssen B, Saunders JH. Evaluation of semi-quantitative bone scintigraphy in canine elbows. Vet J. 2013; 196(3):424-430. [PubMed] ]

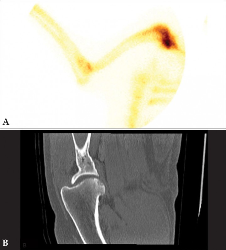
<p>Estudio de un paciente canino con dolor inespecífico en extremidad anterior izquierda. (<strong>A</strong>) Gammagrafía ósea, adquisición en fase ósea 2 horas después de la administración de <sup>99m</sup>Tc-HDP, proyección ventral de las extremidades anteriores en las que se observa un foco con aumento de captación del radioisótopo en la región de la articulación del codo izquierdo, principalmente en la porción distal de la misma. La imagen es compatible con patología del proceso coronoides medial. (<strong>B</strong>) TC del codo izquierdo del mismo paciente, plano transversal en algoritmo hueso en el que se observa un área hipoatenuante en el coronoides medial sin línea de fractura evidente, compatible con condromalacia y enfermedad de coronoides medial sin presencia de fragmentos. La gammagrafía permitió en este caso localizar la articulación con patología (codo) que es la que se examinó con la TC.</p>
Figura 11

Estudio de un paciente canino con dolor inespecífico en extremidad anterior izquierda. (A) Gammagrafía ósea, adquisición en fase ósea 2 horas después de la administración de 99mTc-HDP, proyección ventral de las extremidades anteriores en las que se observa un foco con aumento de captación del radioisótopo en la región de la articulación del codo izquierdo, principalmente en la porción distal de la misma. La imagen es compatible con patología del proceso coronoides medial. (B) TC del codo izquierdo del mismo paciente, plano transversal en algoritmo hueso en el que se observa un área hipoatenuante en el coronoides medial sin línea de fractura evidente, compatible con condromalacia y enfermedad de coronoides medial sin presencia de fragmentos. La gammagrafía permitió en este caso localizar la articulación con patología (codo) que es la que se examinó con la TC.

<p>Estudio por imagen de un perro con cojera de la extremidad anterior izquierda. (<strong>A</strong>) Gammagrafía en fase ósea en la que se aprecia aumento de captación de <sup>99m</sup>Tc-HDP en la articulación escapulohumeral. (<strong>B</strong>) Reconstrucción sagital de TC de hombro izquierdo en algoritmo hueso con pequeños defectos subcondrales en la superficie caudal de la cabeza humeral compatible con osteocondrosis (TC cortesía de ARS Veterinaria). La gammagrafía permitió en este perro de raza grande (montaña del Pirineo) localizar la articulación que presentaba patología para realizar la TC solo de la región anatómica afectada.</p>
Figura 12

Estudio por imagen de un perro con cojera de la extremidad anterior izquierda. (A) Gammagrafía en fase ósea en la que se aprecia aumento de captación de 99mTc-HDP en la articulación escapulohumeral. (B) Reconstrucción sagital de TC de hombro izquierdo en algoritmo hueso con pequeños defectos subcondrales en la superficie caudal de la cabeza humeral compatible con osteocondrosis (TC cortesía de ARS Veterinaria). La gammagrafía permitió en este perro de raza grande (montaña del Pirineo) localizar la articulación que presentaba patología para realizar la TC solo de la región anatómica afectada.

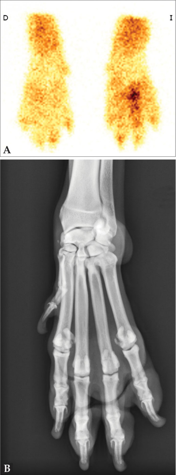
<p>Estudio por imagen de un perro con cojera oculta. (<strong>A</strong>) Gammagrafía en fase ósea en la que se observa un aumento de captación focal en el borde distal del IV metacarpiano de la mano izquierda. (<strong>B</strong>) Radiografía dorsopalmar de la articulación metacarpofalángica izquierda con signos de artrosis a la altura del cuarto metacarpiano y con sesamoideos metacarpofalángicos multipartidos. La gammagrafía permitió localizar el foco con patología en la porción distal de la extremidad, centrando el estudio radiológico en ella y sugiriendo la presencia de artrosis y tendinitis del flexor digital profundo.</p>
Figura 13

Estudio por imagen de un perro con cojera oculta. (A) Gammagrafía en fase ósea en la que se observa un aumento de captación focal en el borde distal del IV metacarpiano de la mano izquierda. (B) Radiografía dorsopalmar de la articulación metacarpofalángica izquierda con signos de artrosis a la altura del cuarto metacarpiano y con sesamoideos metacarpofalángicos multipartidos. La gammagrafía permitió localizar el foco con patología en la porción distal de la extremidad, centrando el estudio radiológico en ella y sugiriendo la presencia de artrosis y tendinitis del flexor digital profundo.

Gracias a que detecta lesiones tempranas, la gammagrafía ósea posibilita el diagnóstico y el tratamiento precoz de la enfermedad, lo que permite ofrecer una mejor terapia en las patologías que cursan con cojera, así como en las fases iniciales de las neoplasias.[ Oblak ML, Boston SE, Woods JP, Nykamp S. Comparison of concurrent imaging modalities for staging of dogs with appendicular primary bone tumours. Vet Comp Oncol. 2015; 13(1):28-39. [PubMed] , Schwarz T, Johnson VS, Voute L, Sullivan M. Bone scintigraphy in the investigation of occult lameness in the dog. J Small Anim Pract. 2004; 45(5):232-237. [PubMed] , Samoy Y, Van Ryssen B, Van Caelenberg A et al. Single-phase bone scintigraphy in dogs with obscure lameness. J Small Anim Pract. 2008; 49(9):444-450. [PubMed] , Van Bruggen LW, Hazewinkel HA, Wolschrijn CF, Voorhout G, Pollak YW, Barthez PY. Bone scintigraphy for the diagnosis of an abnormal medial coronoid process in dogs. Vet Radiol Ultrasound. 2010; 51(3):344-348. [PubMed] ]

Otra ventaja de esta técnica es que es posible obtener imágenes del cuerpo entero en una sola adquisición.[ Oblak ML, Boston SE, Woods JP, Nykamp S. Comparison of concurrent imaging modalities for staging of dogs with appendicular primary bone tumours. Vet Comp Oncol. 2015; 13(1):28-39. [PubMed] , Schwarz T, Johnson VS, Voute L, Sullivan M. Bone scintigraphy in the investigation of occult lameness in the dog. J Small Anim Pract. 2004; 45(5):232-237. [PubMed] , Samoy Y, Van Ryssen B, Van Caelenberg A et al. Single-phase bone scintigraphy in dogs with obscure lameness. J Small Anim Pract. 2008; 49(9):444-450. [PubMed] , Van Bruggen LW, Hazewinkel HA, Wolschrijn CF, Voorhout G, Pollak YW, Barthez PY. Bone scintigraphy for the diagnosis of an abnormal medial coronoid process in dogs. Vet Radiol Ultrasound. 2010; 51(3):344-348. [PubMed] ]

Gammagrafía hepática

La gammagrafía presenta dos principales aplicaciones en el estudio de las enfermedades hepáticas: la gammagrafía hepática portal transcolónica y la gammagrafía hepatobiliar.

 

Gammagrafía hepática portal transcolónica

Se trata de una técnica sensible, sencilla y no invasiva para el diagnóstico de shunts portosistémicos en perros y gatos, que no requiere sedación ni anestesia.[ Daniel GB, Berry CR. Textbook of veterinary nuclear medicine. 2nd ed. Harrisburg, USA: American College of Veterinary Radiology; 2006. , Daniel GB, Bright R, Ollis P, Shull R. Per rectal portal scintigraphy using 99mTechnetium pertechnetate to diagnose portosystemic shunts in dogs and cats. J Vet Intern Med. 1991; 5(1):23-27. [PubMed] , Morandi F. Liver Scintigraphy in Veterinary Medicine. Semin Nucl Med. 2001; 44:15-23. [PubMed] ]

El radiofármaco utilizado (99mTc-pertecnetato) se deposita en el colon distal mediante una sonda de alimentación y se evalúa la ruta de absorción. La dosis recomendada por paciente es de 5-20 mCi (185-740 MBq) en el perro y 5-10 mCi (185-370 MBq) en el gato. Inmediatamente después de administrar el radiofármaco, se realiza una adquisición dinámica durante 2 minutos con el paciente en decúbito lateral derecho colocado sobre la gammacámara.[ Daniel GB, Bright R, Ollis P, Shull R. Per rectal portal scintigraphy using 99mTechnetium pertechnetate to diagnose portosystemic shunts in dogs and cats. J Vet Intern Med. 1991; 5(1):23-27. [PubMed] , Morandi F. Liver Scintigraphy in Veterinary Medicine. Semin Nucl Med. 2001; 44:15-23. [PubMed] ]

En un animal normal, el radiofármaco es absorbido por la circulación portal y rápidamente transportado al hígado. Cuando existe un shunt portosistémico, el radiofármaco aparece primero en el corazón. Con la gammagrafía portal podemos diferenciar si el shunt es extra o intrahepático, aunque no siempre es posible determinar la localización anatómica exacta. Además, permite realizar una curva de captación actividad-tiempo y calcular la fracción de derivación (shunt fraction) que evalúa la gravedad del shunt, lo que resulta muy útil en el seguimiento del paciente tras la cirugía correctora. Aunque el diagnóstico de la displasia microvascular hepática se realiza mediante estudio histopatológico, la gammagrafía transcolónica puede detectar una disminución en el tiempo de tránsito del radiofármaco por el hígado en pacientes afectados.[ Daniel GB, Bright R, Ollis P, Shull R. Per rectal portal scintigraphy using 99mTechnetium pertechnetate to diagnose portosystemic shunts in dogs and cats. J Vet Intern Med. 1991; 5(1):23-27. [PubMed] , Morandi F. Liver Scintigraphy in Veterinary Medicine. Semin Nucl Med. 2001; 44:15-23. [PubMed] ]

Otra variante de esta técnica es la gammagrafía transesplénica que consiste en la administración del radiofármaco directamente en el parénquima esplénico mediante guía ecográfica (Fig. 14). Presenta como ventaja la reducción de la dosis a administrar por animal (2 mCi, 74 MBq) y el inconveniente de precisar anestesia o sedación profunda. La limitación de esta técnica es que no permite detectar shunts caudales a la entrada de la vena esplénica en la vena porta.[ Espada Y, Novellas R, Saló F. Diagnóstico de shunt portosistémico mediante gammagrafía per-rectal y trans-esplénica en el perro. Clin Vet Peq Anim. 2007; 27(3):183-187. ]

<p>Gammagrafía de una perra con sospecha de <em>shunt</em> portosistémico. Imagen sumatoria de la adquisición dinámica de los primeros 3 minutos después de inyectar una dosis de 1 mCi en el parénquima esplénico (B). Se observa la presencia del radiofármaco antes en el corazón (C) que en el hígado (H). Los dos puntos en la parte inferior de la imagen son los marcadores con radiofármaco que señalan la localización del hígado y del corazón y que sirven de orientación durante la fase dinámica. La imagen confirma la presencia de un <em>shunt</em> extrahepático.</p>
Figura 14

Gammagrafía de una perra con sospecha de shunt portosistémico. Imagen sumatoria de la adquisición dinámica de los primeros 3 minutos después de inyectar una dosis de 1 mCi en el parénquima esplénico (B). Se observa la presencia del radiofármaco antes en el corazón (C) que en el hígado (H). Los dos puntos en la parte inferior de la imagen son los marcadores con radiofármaco que señalan la localización del hígado y del corazón y que sirven de orientación durante la fase dinámica. La imagen confirma la presencia de un shunt extrahepático.

 

Gammagrafía hepatobiliar

La gammagrafía con 99mTc-mebrofenina permite evaluar la fracción de extracción hepática de esta molécula, aportando datos sobre la funcionalidad de los hepatocitos.[ Daniel GB, Berry CR. Textbook of veterinary nuclear medicine. 2nd ed. Harrisburg, USA: American College of Veterinary Radiology; 2006. ] Además, es posible valorar la funcionalidad y permeabilidad del sistema biliar, por lo que es de gran utilidad en el estudio de las lesiones obstructivas biliares extrahepáticas, la cinética de la vesícula biliar y la presencia de colecistitis agudas o crónicas.[ Daniel GB, Berry CR. Textbook of veterinary nuclear medicine. 2nd ed. Harrisburg, USA: American College of Veterinary Radiology; 2006. ]

Otras aplicaciones de la gammagrafía

La gammagrafía presenta otras muchas aplicaciones en medicina veterinaria de pequeños animales para el diagnóstico de diversas patologías.

Así, es utilizada también para:

- Patologías respiratorias. La gammagrafía pulmonar mediante inyección intravenosa de 99mTc-macroagregado de albúmina (99mTc-MAA) puede utilizarse para el diagnóstico del tromboembolismo pulmonar y de la enfermedad crónica obstructiva pulmonar. Otra aplicación de esta técnica es la gammagrafía mucociliar, que se utiliza para el diagnóstico de la discinesia ciliar; en ella se valora la capacidad de desplazamiento del 99mTc-MAA depositado craneal a la carina.[ Daniel GB, Berry CR. Textbook of veterinary nuclear medicine. 2nd ed. Harrisburg, USA: American College of Veterinary Radiology; 2006. , Harnagel SH, Hornof WJ, Koblik PD, Fisher PE. The use of 99mTc radioaerosol ventilation and macroaggregated albumin perfusion imaging for the detection of pulmonary emboli in the dog. Vet Radiol. 1989; 30(1):22-27. ]

- Enfermedades de la glándula paratiroides. La gammagrafía paratiroidea es de ayuda en el estudio de estados de hipercalcemia, ya que permite evidenciar el tejido paratiroideo hiperfuncional por la afinidad del 99mTc-sestamibi por el mismo.[ Daniel GB, Berry CR. Textbook of veterinary nuclear medicine. 2nd ed. Harrisburg, USA: American College of Veterinary Radiology; 2006. , Matwichuk CL, Taylor SM, Daniel GB et al. Double-phase parathyroid scintigraphy in dogs using technetium-99M-sestamibi. Vet Radiol Ultrasound 2000; 41(5):461-469. [PubMed] , Matwichuk CL1, Taylor SM, Wilkinson AA et al. Use of technetium Tc 99m sestamibi for detection of a parathyroid adenoma in a dog with primary hyperparathyroidism. J Am Vet Med Assoc. 1996; 209(10):1733-6. [PubMed] ]

- Patologías gastrointestinales. La gammagrafía gastrointestinal con alimento marcado con diversos radiofármacos permite evaluar la motilidad/tiempo de tránsito esofágico y de vaciado gástrico. Con la gammagrafía intestinal con glóbulos rojos marcados con 99mTc podemos evidenciar áreas de sangrado digestivo.[ Daniel GB, Berry CR. Textbook of veterinary nuclear medicine. 2nd ed. Harrisburg, USA: American College of Veterinary Radiology; 2006. , Boillat CS, Gaschen FP, Gaschen L, Stout RW, Hosgood GL. Variability associated with repeated measurements of gastrointestinal tract motility in dogs obtained by use of a wireless motility capsule system and scintigraphy. Am J Vet Res. 2010; 71(8):903-8. [PubMed] , Twedt DC, Reichle JK, Devitt CM, Wheeler SL. Clinical vignette. Localization of focal intestinal bleeding using technetium-labeled in vivo red blood cells in a dog. J Vet Intern Med. 1998; 12(5):398-400. [PubMed] ]

- Enfermedades linfáticas. La gammagrafía con 99mTc-sulfuro coloidal puede utilizarse para el estudio de la circulación linfática: localización del nódulo linfático centinela y de obstrucciones de vasos linfáticos, así como determinación del origen (venoso o linfático) en el edema de extremidades.[ Daniel GB, Berry CR. Textbook of veterinary nuclear medicine. 2nd ed. Harrisburg, USA: American College of Veterinary Radiology; 2006. , Tuohy JL, Worley DR. Pulmonary lymph node charting in normal dogs with blue dye and scintigraphic lymphatic mapping. Res Vet Sci. 2014; 97(1):148-155. [PubMed] ]

Conclusión

La gammagrafía es una técnica de diagnóstico por la imagen muy utilizada en medicina humana por la valiosa información clínica que aporta en diversas patologías.

La gammagrafía tiroidea permite valorar la anatomía del tiroides y su capacidad funcional, por lo que su uso tiene una gran utilidad en el estudio diagnóstico del hipertiroidismo, del hipotiroidismo y del carcinoma tiroideo, tanto en el perro como en el gato.

La gammagrafía renal es la única técnica que permite determinar la función renal (TFG) de cada uno de los riñones de manera independiente, por lo que está especialmente indicada en la valoración del pronóstico del paciente antes de una nefrectomía.

La gammagrafía ósea es una técnica extremadamente sensible para detectar cambios metabólicos en los tejidos del aparato locomotor (tejido óseo y articular). Puede utilizarse tanto en la aproximación diagnóstica de cojeras de origen desconocido (para localizar anatómicamente la zona afectada en las que centrar otras pruebas diagnósticas más específicas), como en la detección temprana de metástasis de tumores óseos.

Consideramos que el uso de la gammagrafía, aunque aún esté poco extendido en Medicina Veterinaria, puede ser de gran ayuda para los clínicos veterinarios de pequeños animales en el diagnóstico de diversas patologías.

 

Fuente de financiación: este trabajo no se realizó con fondos comerciales, públicos o del sector privado.

Conflicto de intereses: los autores declaran que no existe conflicto de intereses en los datos publicados.

Bibliografía

  1. [1] Daniel GB, Berry CR. Textbook of veterinary nuclear medicine. 2nd ed. Harrisburg, USA: American College of Veterinary Radiology; 2006.
  2. [2] Bomben AM, Chiliutti CA. Actividades de radiofármacos administradas en prácticas diagnósticas y terapéuticas en medicina nuclear en Argentina: resultados de una encuesta. VI Congreso Regional de Seguridad Radiológica y Nuclear. Lima, Perú; 2003.
  3. [3] Xifra MP, Peterson ME. Hipertiroidismo felino. En: Pérez MD, Arenas C, Melian C (eds): Manual de Endocrinología en Pequeños Animales. 2ª ed. Barcelona, España. Multimédica; 2018:143-192.
  4. [4] Peterson ME, Broome MR. Thyroid scintigraphy findings in 2096 cats with hyperthyroidism. Vet Radiol Ultrasound. 2015; 56(1):84-95. [PubMed]
  5. [5] Nieckarz JA, Daniel GB. The effect of methimazole on thyroid uptake of pertechnetate and radioiodine in normal cats. Vet Radiol Ultrasound. 2001; 42(5):448-457. [PubMed]
  6. [6] Scott-Moncrieff JC, Heng HG, Weng HY, Dimeo D, Jones MD. Effect of a limited iodine diet on iodine uptake by thyroid glands in hyperthyroid cats. J Vet Intern Med. 2015; 29(5):1322-1326. [PubMed]
  7. [7] Peterson ME, Guterl JN, Rishniw M, Broome MR. Evaluation of quantitative thyroid scintigraphy for diagnosis and staging of disease severity in cats with hyperthyroidism: comparison of the percent thyroidal uptake of pertechnetate to thyroid-to-salivary ratio and thyroid-to-background ratios. Vet Radiol Ultrasound. 2016; 57(4):427-440. [PubMed]
  8. [8] Broome MR, Peterson ME, Walker JR. Clinical features and treatment outcomes of 41 dogs with sublingual ectopic thyroid neoplasia. J Vet Intern Med. 2014; 28(5):1560-1568. [PubMed]
  9. [9] Xifra MP, Peterson ME. Hipertiroidismo y tumores tiroideos en el perro. En: Pérez MD, Arenas C, Melian C (eds): Manual de Endocrinología en Pequeños Animales 2ª ed. Barcelona, España: Multimédica; 2018. 127-42.
  10. [10] Xifra MP, Serrano SI, Peterson ME. Sospecha de carcinoma tiroideo felino: tratamiento con yodo radiactivo. Clinoncovet; Revista clínica de medicina felina. 2018; 11: 20-29.
  11. [11] Peterson ME. More than just T4: Diagnostic testing for hyperthyroidism in cats. J Feline Med Surg. 2013; 15:765-777. [PubMed]
  12. [12] Peterson ME, Xifra MP, Broome MR. Treatment of hyperthyroidism: radioiodine. En: Feldman EC, Fracassi F, Peterson ME (eds). Feline Endocrinology. Milan, Italia: Edra; 2019:227-254.
  13. [13] Xifra Rubio P, Serrano Garcia, SI, Peterson ME. Hipertiroidismo felino: Diagnóstico y evolución de la enfermedad mediante gammagrafía y tratamiento con yodo radiactivo (131I). Rev Cient Esp Med Intern Peq Anim 2018;2:25-31.
  14. [14] Lucy JM, Peterson ME, Randolph JF et al. Efficacy of low-dose (2 mCi) versus standard-dose (4 mCi) radioiodine treatment for cats with mild-to-moderate hyperthyroidism. J Vet Intern Med. 2017; 31:326-334. [PubMed]
  15. [15] Peterson ME, Guterl JN, Nichols R, Rishniw M. Evaluation of serum thyroid-stimulating hormone concentration as a diagnostic test for hyperthyroidism in cats. J Vet Intern Med. 2015; 29:1327-1334. [PubMed]
  16. [16] Wucherer KL, Wilke V. Thyroid cancer in dogs: an update based on 638 cases (1995-2005). J Am Anim Hosp Assoc. 2010; 46(4):249-254. [PubMed]
  17. [17] Peterson ME. Primary goitrous hypothyroidism in a young adult domestic longhair cat: diagnosis and treatment monitoring. J Fel Med Surg Open Rep. 2015; 1(2):1-7. [PubMed]
  18. [18] Kerl ME, Cook CR. Glomerular filtration rate and renal scintigraphy. Clin Tech Small Anim Pract. 2005; 20:31-38. [PubMed]
  19. [19] Tyson R and Daniel GB. Renal Scintigraphy in Veterinary Medicine. Semin Nucl Med. 2014; 44:35-46. [PubMed]
  20. [20] Xifra MP, Serrano SI, Salgüero R, Broome MR. Valoración de la tasa de filtración glomerular (TFG) individual mediante gammagrafía renal; a propósito de un caso clínico. Clinfelivet; Revista clínica de medicina felina. 2019; 2: 13-17.
  21. [21] Gates GF. Glomerular filtration rate: estimation from fractional renal accumulation of 99mTc-DTPA (stannous). Am J Roent. 1982; 138:565-570. [PubMed]
  22. [22] Krawiec DR, Bardertscher RR, Twardock AR, Rubin SI, Gelberg HB. Evaluation of 99mTc-diethylenetriaminepentaacetic acid nuclear imaging for quantitative determination of glomerular filtration rate of dogs. Am J Vet Res. 1986; 47:2175-2179. [PubMed]
  23. [23] Uribe D, Krawiec DR, Twardock AR, Gelberg HB. Quantitative renal scintigraphic determination of the glomerular filtration rate in cats with normal and abnormal kidney function, using 99mTc-diethylenetriaminepentaacetic acid. Am J Vet Res 1992; 53(7):1101-7. [PubMed]
  24. [24] Newell PY, Smeak DD, Wisner ER et al. Effects of three sedative protocols on glomerular filtration rate in clinically normal dogs. Am J Vet Res. 1997; 58:446-450. [PubMed]
  25. [25] Mitchell SK, Toal RL, Daniel GB, Rohrbach BW. Evaluation of renal hemodynamics in awake and isofluorane-anesthetized cats with pulsed-wave doppler and quantitative scintigraphy. Vet Radiol Ultrasound. 1998; 39(5):451-458. [PubMed]
  26. [26] Winter MD, Miles KG, Riedesel DH. Effect of sedation protocol on glomerular filtration rate in cats as determined by use of quantitative renal scintigraphy. Am J Vet Res. 2011; 72(9):1223-5. [PubMed]
  27. [27] Lamb CR. Bone scintigraphy in small animals. J Am Vet Med Assoc. 1987; 191(12):1616-1622.
  28. [28] Hahn KA, Hurd C, Cantwell HD. Single-phase methylene diphosphate bone scintigraphy in the diagnostic evaluation of dogs with osteosarcoma. J Am Vet Med Assoc. 1990; 196(9):1483-1486. [PubMed]
  29. [29] Lamb CR, Berg J, Bengtson AE. Preoperative measurement of canine primary bone tumors, using radiography and bone scintigraphy. J Am Vet Med Assoc. 1990; 196(9):1474-1478. [PubMed]
  30. [30] Ogilvie GK, Allhands RV, Reynolds HA. Use of radionuclide imaging to identify malignant mammary tumor bone metastases in dogs. J Am Vet Med Assoc. 1989; 195(2):220-222. [PubMed]
  31. [31] Oblak ML, Boston SE, Woods JP, Nykamp S. Comparison of concurrent imaging modalities for staging of dogs with appendicular primary bone tumours. Vet Comp Oncol. 2015; 13(1):28-39. [PubMed]
  32. [32] Schwarz T, Johnson VS, Voute L, Sullivan M. Bone scintigraphy in the investigation of occult lameness in the dog. J Small Anim Pract. 2004; 45(5):232-237. [PubMed]
  33. [33] Samoy Y, Van Ryssen B, Van Caelenberg A et al. Single-phase bone scintigraphy in dogs with obscure lameness. J Small Anim Pract. 2008; 49(9):444-450. [PubMed]
  34. [34] Van Bruggen LW, Hazewinkel HA, Wolschrijn CF, Voorhout G, Pollak YW, Barthez PY. Bone scintigraphy for the diagnosis of an abnormal medial coronoid process in dogs. Vet Radiol Ultrasound. 2010; 51(3):344-348. [PubMed]
  35. [35] Debruyn K, Peremans K, Vandermeulen E, Van Ryssen B, Saunders JH. Evaluation of semi-quantitative bone scintigraphy in canine elbows. Vet J. 2013; 196(3):424-430. [PubMed]
  36. [36] Daniel GB, Bright R, Ollis P, Shull R. Per rectal portal scintigraphy using 99mTechnetium pertechnetate to diagnose portosystemic shunts in dogs and cats. J Vet Intern Med. 1991; 5(1):23-27. [PubMed]
  37. [37] Morandi F. Liver Scintigraphy in Veterinary Medicine. Semin Nucl Med. 2001; 44:15-23. [PubMed]
  38. [38] Espada Y, Novellas R, Saló F. Diagnóstico de shunt portosistémico mediante gammagrafía per-rectal y trans-esplénica en el perro. Clin Vet Peq Anim. 2007; 27(3):183-187.
  39. [39] Harnagel SH, Hornof WJ, Koblik PD, Fisher PE. The use of 99mTc radioaerosol ventilation and macroaggregated albumin perfusion imaging for the detection of pulmonary emboli in the dog. Vet Radiol. 1989; 30(1):22-27.
  40. [40] Matwichuk CL, Taylor SM, Daniel GB et al. Double-phase parathyroid scintigraphy in dogs using technetium-99M-sestamibi. Vet Radiol Ultrasound 2000; 41(5):461-469. [PubMed]
  41. [41] Matwichuk CL1, Taylor SM, Wilkinson AA et al. Use of technetium Tc 99m sestamibi for detection of a parathyroid adenoma in a dog with primary hyperparathyroidism. J Am Vet Med Assoc. 1996; 209(10):1733-6. [PubMed]
  42. [42] Boillat CS, Gaschen FP, Gaschen L, Stout RW, Hosgood GL. Variability associated with repeated measurements of gastrointestinal tract motility in dogs obtained by use of a wireless motility capsule system and scintigraphy. Am J Vet Res. 2010; 71(8):903-8. [PubMed]
  43. [43] Twedt DC, Reichle JK, Devitt CM, Wheeler SL. Clinical vignette. Localization of focal intestinal bleeding using technetium-labeled in vivo red blood cells in a dog. J Vet Intern Med. 1998; 12(5):398-400. [PubMed]
  44. [44] Tuohy JL, Worley DR. Pulmonary lymph node charting in normal dogs with blue dye and scintigraphic lymphatic mapping. Res Vet Sci. 2014; 97(1):148-155. [PubMed]

Artículos recomendados

Estas recomendaciones se ofrecen de forma automática.

  • Biomarcadores de daño y remodelación cardíaca, inflamación y estrés oxidativo en perros con cardiopatías. Parte III

    I. Miralles-Plaza, M. J. Fernández-del-Palacio
    Clin Vet Peq Anim Vol. 45 - Nº 3 · SEP 2025 · Artículos de Revisión
  • Biomarcadores de daño y remodelación cardíaca, inflamación y estrés oxidativo en perros con cardiopatías. Parte II

    I. Miralles-Plaza, M. J. Fernández-del-Palacio
    Clin Vet Peq Anim Vol. 45 - Nº 2 · JUN 2025 · Artículos de Revisión
  • Biomarcadores de daño y remodelación cardíaca, inflamación y estrés oxidativo en perros con cardiopatías. Parte I

    I. Miralles-Plaza, M. J. Fernández-del-Palacio
    Clin Vet Peq Anim Vol. 45 - Nº 1 · MAR 2025 · Artículos de Revisión
  • Inicio
  • Introducción
  • Gammagrafía tiroidea
  • Gammagrafía renal
  • Gammagrafía ósea
  • Gammagrafía hepática
  • Otras aplicaciones de la gammagrafía
  • Conclusión
  • Bibliografía
Artículo anterior Índice de la revista Artículo siguiente
ANUNCIO
Oferta 3+1
Índice
Inicio Introducción Gammagrafía tiroidea Gammagrafía renal Gammagrafía ósea Gammagrafía hepática Otras aplicaciones de la gammagrafía Conclusión Bibliografía
Suscripción AVEPA Elearning
ANUNCIO

¿No eres socio de AVEPA y quieres recibir comunicación de las nuevas ediciones en tu correo?

Suscríbete

Suscríbete y te avisaremos cuando publiquemos un nuevo número

Suscribirme

Enlaces rápidos

  • Inicio
  • Último número
  • Archivo
  • Artículos

Información

  • Comité editorial
  • Política de cookies
  • Política de privacidad
  • Términos y condiciones

Contacto

  • info@imaginice.com
  • Envíanos tu artículo
© 2026 Ice Salud Vet SL. Todos los derechos reservados.

Usamos cookies para mejorar tu experiencia. Selecciona cuáles aceptas: