Logo AVEPA

Clínica Veterinaria de Pequeños Animales

Revista oficial de AVEPA

  • Inicio
  • Último número
  • Archivo
  • Artículos
  • Para autores
  • Contacto
Cursos Junio-Septiembre 2026
ANUNCIO

Clínica Veterinaria de Pequeños Animales

Revista oficial de AVEPA

  • Inicio
  • Último número
  • Archivo
  • Artículos
  • Para autores
  • Contacto
Curso Oftalmología 2026
ANUNCIO
Clin Vet Peq Anim Vol. 39 • Nº 3 • septiembre 2019

Extracción endoscópica de un anzuelo sin sedal clavado en la curvatura menor del estómago de un perro

Endoscopic extraction of a fish hook without a line stuck to the lesser curvature of the stomach in a dog

Artículo original referido a un solo caso clínico

J.M. Martínez-Gómez-Rodulfo

Endoscopia Veterinaria Ayora. c/ Humanista Furió 5. 46022 Valencia.

J.R. Granados-Ortega

Endoscopia Veterinaria Ayora. c/ Humanista Furió 5. 46022 Valencia.

I. Ayala de la Peña

Dpto. Medicina y Cirugía Animal. Facultad de Veterinaria. Universidad de Murcia. Campus de Espinardo. Universidad de Murcia. 30100 Espinardo (Murcia).

Contacto: endoscopia@cvayora.net
Palabras clave: extracción de anzuelos, perro, cuerpo extraño digestivo, endoscopia, desanzuelador.
Keywords: extraction of fishhooks, dog, foreign body digestive tract, endoscopy, disgorger.

Clin Vet Peq Anim 2019, 39 (3): 147-152

Descargar artículo

Resumen

En las localidades costeras los perros, atraídos por el cebo de pesca, ingieren con cierta frecuencia anzuelos de pesca. Debido al peligro de perforación que tienen estos cuerpos extraños es recomendable su extracción, siendo la endoscopia la técnica de elección para anzuelos esofágicos y gástricos. El tipo de anzuelo, su tamaño, el número y la presencia o ausencia de sedal, junto con la circunstancia de que esté clavado o no, determinan la dificultad en la extracción. Se presenta un caso clínico de extracción endoscópica de un anzuelo especialmente complicado por ser de grandes dimensiones y de gran poder traumático, que se encontraba clavado en el cardias y con la particularidad de no presentar sedal. Se describe una práctica y novedosa técnica para la extracción endoscópica de anzuelos clavados en la mucosa que no presentan sedal. Para ello se utilizó un sedal introducido por un anudador extracorpóreo, asegurándolo al anzuelo y facilitando su extracción mediante un tubo rígido en paralelo al endoscopio.

Abstract

Fishhooks are commonly ingested by dogs attracted by fishing baits at coastal locations. Extraction of fishhooks is strongly recommended, due to the risk of perforation, and endoscopy is the first-line technique both for esophageal and gastric located fishhooks. Extraction difficulty depends on the type size, and number of the hook, presence or absence of a fishing line, and whether it is pinned or not. A specially complicated clinical case of endoscopic removal of a large and highly damaging fishhook (without fishing line), pinned at the gastric cardiac region, is presented. A new and practical technique for the endoscopic removal of fishhooks without fishing line, pinned in the mucosa, is described. A fishline was entered through an extracorporeal knotter and attached to the fishhook, expediting its extraction by a rigid tube set parallel to the endoscope.

Introducción

La ingestión de cuerpos extraños es frecuente en perros y, en menor medida, en gatos.[ Binvel M, Poujol L, Peyron C, Dunie-Merigot A, Bernardin F: Endoscopic and surgical removal of oesophageal and gastric fishhook foreign bodies in 33 animals. J Small Anim Pract 2018;59:45-49. [PubMed] ] La mayoría de los autores coinciden en señalar los huesos esofágicos como los cuerpos extraños más frecuentes;[ Rousseau A, Prittie J, Broussard J, Fox PR, Hoskinson J: Incidence and characterization of esophagitis following esophageal foreign body removal in dogs: 60 cases (1999-2003). J Vet Emerg Crit Care (San Antonio) 2007;17:159-163. , Gianella P, Pfammatter NS, Burgener IA: Oesophageal and gastric endoscopic foreign body removal: complications and follow-up of 102 dogs. J Small Anim Pract 2009;50:649-654. [PubMed] , Juvet F, Pinilla M, Shiel R, Mooney CT: Oesophageal foreign bodies in dogs: factors affecting success of endoscopic retrieval. Irish Vet J 2010;63:163-168. [PMC] ] sin embargo, los hábitos alimenticios y la localización geográfica son circunstancias que influyen en el tipo de cuerpos extraños que ingieren los animales de compañía.[ Leib MS, Sartor LL: Esophageal foreign body obstruction caused by a dental chew treat in 31 dogs (2000-2006). J Am Vet Med Assoc 2008;232:1021-1025. [PubMed] ] En las localidades costeras o cercanas a ríos pesqueros, es frecuente que los perros ingieran anzuelos de pesca.[ Michels GM, Jones BD, Huss BT, Wagner-Mann C: Endoscopic and surgical retrieval of fishhooks from the stomach and esophagus in dogs and cats: 75 cases (1977-1993). J Am Vet Med Assoc 1995;207:1194-1197. [PubMed] ]

Muchos de estos objetos ingeridos, incluidos los anzuelos, son eliminados naturalmente sin necesidad de intervención.[ Aihole JS. Fate of Sharp Metallic Foreign Bodies. Indian pediatrics 2019;56:145. [PubMed] ] Sin embargo, conviene extraer los objetos afilados para evitar una perforación digestiva.[ Binvel M, Poujol L, Peyron C, Dunie-Merigot A, Bernardin F: Endoscopic and surgical removal of oesophageal and gastric fishhook foreign bodies in 33 animals. J Small Anim Pract 2018;59:45-49. [PubMed] ] La endoscopia es la mejor opción terapéutica para el cuerpo extraño esofágico y gástrico, y tan solo en los casos en los que exista una perforación de grandes dimensiones habrá que recurrir a la cirugía.[ Binvel M, Poujol L, Peyron C, Dunie-Merigot A, Bernardin F: Endoscopic and surgical removal of oesophageal and gastric fishhook foreign bodies in 33 animals. J Small Anim Pract 2018;59:45-49. [PubMed] , Michels GM, Jones BD, Huss BT, Wagner-Mann C: Endoscopic and surgical retrieval of fishhooks from the stomach and esophagus in dogs and cats: 75 cases (1977-1993). J Am Vet Med Assoc 1995;207:1194-1197. [PubMed] , Brisson BA, Wainberg SH, Malek S, Reabel S, Defarges A, Sears WC: Risk factors and prognostic indicators for surgical outcome of dogs with esophageal foreign body obstructions. J Am Vet Med Assoc 2018;252:301-308. [PubMed] ]

A pesar de la alta frecuencia de presentación de los anzuelos y la importancia terapéutica de la endoscopia en estos casos,[ Binvel M, Poujol L, Peyron C, Dunie-Merigot A, Bernardin F: Endoscopic and surgical removal of oesophageal and gastric fishhook foreign bodies in 33 animals. J Small Anim Pract 2018;59:45-49. [PubMed] , Michels GM, Jones BD, Huss BT, Wagner-Mann C: Endoscopic and surgical retrieval of fishhooks from the stomach and esophagus in dogs and cats: 75 cases (1977-1993). J Am Vet Med Assoc 1995;207:1194-1197. [PubMed] ] son escasas las publicaciones que describen la técnica de extracción endoscópica de anzuelos.

La experiencia de los autores es que la extracción endoscópica de anzuelos clavados y desprovistos de sedal puede resultar compleja e incluso infructuosa.[ Martínez JM, Granados JR, Sánchez FM: Estudio epidemiológico sobre la ingesta de anzuelos en perros y su eficacia de extracción por endoscopia. In: comunicación A, ed. Medicina y cirugía del sistema digestivo y de la nutrición (XXXIII Congreso Anual de AMVAC). Madrid: 2016:416-417. ] Es por ello que se describe la extracción de un anzuelo de grandes dimensiones (29 x 12 mm) sin sedal, que se encontraba profundamente clavado en la mucosa del cardias de un perro.

Caso clínico

Se remitió a nuestro centro una perra mestiza de nueve meses y 21,4 kg. Durante un paseo por la playa el propietario observó que su animal tenía un trozo de sedal de pesca colgando por la boca. Para extraer el sedal de la boca, traccionó fuertemente consiguiendo sacar un trozo de línea sin anzuelo. Ante la sospecha de que el anzuelo pudiera haber quedado clavado en el tubo digestivo acudió a su veterinario, quien realizó una radiografía laterolateral en la que se constató la presencia de un anzuelo en el estómago.

Por temas económicos, los propietarios solo autorizaron la repetición de una proyección radiográfica con el fin de observar un posible desplazamiento en sentido aboral del cuerpo extraño (Fig. 1), Para ello se sedó al animal con una combinación de medetomidina 0,01 mg/kg i.m. (Sedin® 1 mg/ml; Laboratorios Calier; Les Franqueses del Vallès), ketamina 1 mg/kg i.m. (Imalgene® 100 mg/ml; Laboratorios Merial; Sant Cugat del Vallès) y butorfanol 0,1 mg/kg i.m. (Butomidor® 10 mg/ml; Laboratorios Richterpharma AG; Wels). Una vez confirmada la ubicación del anzuelo en el estómago, se procedió a realizar la endoscopia bajo anestesia general. La inducción se realizó con propofol 1-4 mg/kg i.v. (Propofol Lipuro® 10 mg/ml; Laboratorios Braun; Rubí) y el mantenimiento anestésico con isofluorano al 1,5 % por vía inhalatoria (IsoVet® 1000 mg/g; Laboratorios Braun; Rubí).

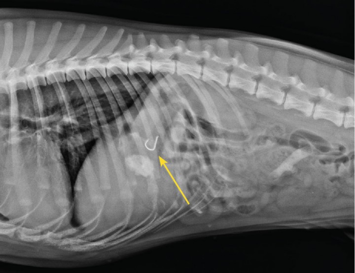
<p>Radiografía laterolateral derecha. Se aprecia el anzuelo (flecha amarilla) localizado en el estómago. Es imprescindible la realización de una radiografía previa a la extracción endoscópica de un cuerpo extraño. En muchas ocasiones los objetos pueden cambiar de localización, desplazándose al intestino y, por tanto, fuera del alcance del endoscopio.</p>
Figura 1

Radiografía laterolateral derecha. Se aprecia el anzuelo (flecha amarilla) localizado en el estómago. Es imprescindible la realización de una radiografía previa a la extracción endoscópica de un cuerpo extraño. En muchas ocasiones los objetos pueden cambiar de localización, desplazándose al intestino y, por tanto, fuera del alcance del endoscopio.

El animal fue posicionado en decúbito lateral izquierdo, provisto de un abrebocas. Para la endoscopia se usó gastroscopio Fujinon® EG-530 FP (Fujinon Corporation; Saitama) de una longitud útil de 1,2 m y 8,5 mm de diámetro exterior. En la exploración del esófago no se observaron alteraciones endoscópicas. En el estómago, clavado en la curvatura menor muy próximo a la porción cardial, se localizó un anzuelo de grandes dimensiones sin sedal (Fig. 2).

<p>Imagen endoscópica en retroflexión en la que se aprecia el anzuelo profundamente clavado en curvatura menor, en el cuerpo del estómago, muy próximo a la porción cardial.</p>
Figura 2

Imagen endoscópica en retroflexión en la que se aprecia el anzuelo profundamente clavado en curvatura menor, en el cuerpo del estómago, muy próximo a la porción cardial.

Se realizó un primer intento de extracción con unas pinzas de dientes de cocodrilo, pero no fue posible por estar fuertemente clavado y antes de contribuir a profundizarlo más se decidió probar otra alternativa.

Para su extracción, se planificó un procedimiento que incluyó tres pasos bien definidos: agarre del anzuelo mediante un asa de polipectomía, posicionamiento de un hilo de pesca sobre el anzuelo mediante un anudador rígido y, por último, desanzuelado y remoción del anzuelo mediante un tubo rígido en paralelo al endoscopio. La técnica requiere al menos de la participación de dos personas.

Se introdujo el asa de polipectomía de 220 cm de longitud y 2,8 mm de diámetro (PolySnare® MedWork; Höchstadt an der Aisch) por el canal de trabajo del endoscopio y, dirigiéndola hacia el anzuelo, se cerró alrededor de la tija del anzuelo (Fig. 3). Una vez abrazado el anzuelo con el lazo del asa de polipectomía, el endoscopio se extrajo del animal, permaneciendo el asa de polipectomía unido al anzuelo. El asa de polipectomía no se pudo extraer completamente del endoscopio, pues lo impide la empuñadura de este.

<div>
<div class=\"Basic-Text-Frame\">
<p>Partes del anzuelo. Las grandes dimensiones y la presencia de muerte y trabas hacen que este anzuelo sea especialmente traumático.</p>
</div>
</div>
Figura 3

Partes del anzuelo. Las grandes dimensiones y la presencia de muerte y trabas hacen que este anzuelo sea especialmente traumático.

Para el posicionamiento de un sedal sobre el anzuelo, se utilizó un anudador fabricado con un tubo hueco de cobre de diámetro externo 4 mm y 650 mm de longitud, por cuyo interior se introdujo un hilo de pesca trenzado de dacrón de 120 lbs (Rapid Daron Lineaeffe®). El sedal sobresalió holgadamente por ambos extremos del tubo y en uno de los extremos se realizó un nudo de Roeder alrededor de la funda del asa de polipectomía que se encontraba sujetando el anzuelo firmemente (Fig. 4) (Vídeo 1).

<p>(<strong>A</strong>) Anudador extracorpóreo con detalle del lazo con nudo corredizo de Roeder. (<strong>B</strong>) Paso del asa de polipectomía por el anzuelo. (<strong>C</strong>) Paso de la linea de pesca. (<strong>D</strong>) Cierre del nudo sobre el anzuelo. (<strong>E</strong>) Retirada del asa y tubo anudador (ver Vídeo 1).</p>
Figura 4

(A) Anudador extracorpóreo con detalle del lazo con nudo corredizo de Roeder. (B) Paso del asa de polipectomía por el anzuelo. (C) Paso de la linea de pesca. (D) Cierre del nudo sobre el anzuelo. (E) Retirada del asa y tubo anudador (ver Vídeo 1).

Video 1

El asa de polipectomía se usó como guía, deslizando la lazada del anudador hacia el anzuelo. Esto se consiguió con una serie de movimientos coordinados entre el endoscopista y ayudante, que fueron introduciendo el anudador y el endoscopio simultáneamente por el esófago (Fig. 5) hasta llegar al anzuelo. Una vez identificado el anzuelo, se cerró la lazada sobre su tija y se liberó el asa de polipectomía de este (Fig. 6) (Vídeo 2). Tras la maniobra descrita, se extrajo el endoscopio del animal dejando el sedal de pesca con un extremo anudado en el anzuelo y el otro sobresaliendo por la cavidad oral.

<p>Inserción del anudador bajo visión endoscópica. La funda de teflón del asa de polipectomía, introducida previamente, sirve de guía para dirigir el nudo.</p>
Figura 5

Inserción del anudador bajo visión endoscópica. La funda de teflón del asa de polipectomía, introducida previamente, sirve de guía para dirigir el nudo.

<p>Paso del lazo con el nudo de Roeder por la paleta del anzuelo para anudarlo en la tija (ver Vídeo 2).</p>
Figura 6

Paso del lazo con el nudo de Roeder por la paleta del anzuelo para anudarlo en la tija (ver Vídeo 2).

Video 2

Para el desanzuelado y remoción del anzuelo se utilizó un tubo rígido de cobre con un diámetro externo de 10 mm y 110 cm de longitud. El extremo del hilo que salía por la boca del animal se introdujo en dicho tubo y se usó como guía. El ayudante, bajo supervisión del endoscopista para evitar la perforación de la mucosa, fue introduciendo el tubo desanzuelador por el esófago hasta alcanzar el anzuelo en el interior del estómago. En este momento, la tija del anzuelo se introdujo en el tubo desanzuelador guiada por el sedal, manteniendo en todo momento la tensión sobre éste y, finalmente, se empujó con el extremo del tubo la curva del anzuelo hacia la luz gástrica hasta liberarlo (Fig. 7) (Vídeo 3).

<p>Desanzuelado. Una vez introducido el anzuelo con ayuda del sedal en el tubo desanzuelador, con un impulso en dirección aboral se desclava de la mucosa (ver Vídeo 3).</p>
Figura 7

Desanzuelado. Una vez introducido el anzuelo con ayuda del sedal en el tubo desanzuelador, con un impulso en dirección aboral se desclava de la mucosa (ver Vídeo 3).

Video 3

 

Para la extracción del anzuelo, endoscopista y ayudante fueron retrocediendo simultáneamente el desanzuelador y el endoscopio a través del cardias y lumen esofágico. Se prestó especial atención en no clavar de nuevo el anzuelo en los esfínteres esofágicos inferior y superior, lo que se consiguió con el insuflado y los movimientos del extremo distal del endoscopio (Fig. 8) (Vídeo 4).

<p>Extracción. La maniobra de extracción requiere movimientos lentos para no clavar de nuevo la punta del anzuelo. Los movimientos del extremo distal y la insuflación ayudan al pasar por los esfínteres esofágicos (ver Vídeo 4).</p>
Figura 8

Extracción. La maniobra de extracción requiere movimientos lentos para no clavar de nuevo la punta del anzuelo. Los movimientos del extremo distal y la insuflación ayudan al pasar por los esfínteres esofágicos (ver Vídeo 4).

Video 4

Una vez extraído el anzuelo se procedió a la revisión de la mucosa esofágica y gástrica sin evidenciar ninguna lesión importante. Los propietarios no autorizaron la realización de radiografías posextracción para valorar la posible perforación, aunque la recuperación del animal fue excelente y durante su seguimiento a corto y largo plazo no manifestó ningún síntoma.

El tiempo total empleado en la extracción fue de 21 minutos y el animal, que se recuperó sin complicaciones, fue dado de alta pasada una hora tras la finalización del procedimiento.

Discusión

La mayoría de los estudios señalan los huesos y los fragmentos óseos como los cuerpos extraños más frecuentes en perros y gatos.[ Rousseau A, Prittie J, Broussard J, Fox PR, Hoskinson J: Incidence and characterization of esophagitis following esophageal foreign body removal in dogs: 60 cases (1999-2003). J Vet Emerg Crit Care (San Antonio) 2007;17:159-163. , Gianella P, Pfammatter NS, Burgener IA: Oesophageal and gastric endoscopic foreign body removal: complications and follow-up of 102 dogs. J Small Anim Pract 2009;50:649-654. [PubMed] , Moore AH: Removal of oesophageal foreign bodies in dogs: use of the fluoroscopic method and outcome. J Small Anim Pract 2001;42:227-230. [PubMed] , Hayes G: Gastrointestinal foreign bodies in dogs and cats: a retrospective study of 208 cases. J Small Anim Pract 2009;50:576-583. [PubMed] , Deroy C, Corcuff JB, Billen F, Hamaide A: Removal of oesophageal foreign bodies: comparison between oesophagoscopy and oesophagotomy in 39 dogs. J Small Anim Pract 2015;56:613-617. [PubMed] ] Los anzuelos de pesca son considerados como cuerpos extraños poco comunes en perros y gatos, con una frecuencia entre el 0 % y el 17 %.[ Rousseau A, Prittie J, Broussard J, Fox PR, Hoskinson J: Incidence and characterization of esophagitis following esophageal foreign body removal in dogs: 60 cases (1999-2003). J Vet Emerg Crit Care (San Antonio) 2007;17:159-163. , Gianella P, Pfammatter NS, Burgener IA: Oesophageal and gastric endoscopic foreign body removal: complications and follow-up of 102 dogs. J Small Anim Pract 2009;50:649-654. [PubMed] , Juvet F, Pinilla M, Shiel R, Mooney CT: Oesophageal foreign bodies in dogs: factors affecting success of endoscopic retrieval. Irish Vet J 2010;63:163-168. [PMC] , Leib MS, Sartor LL: Esophageal foreign body obstruction caused by a dental chew treat in 31 dogs (2000-2006). J Am Vet Med Assoc 2008;232:1021-1025. [PubMed] , Moore AH: Removal of oesophageal foreign bodies in dogs: use of the fluoroscopic method and outcome. J Small Anim Pract 2001;42:227-230. [PubMed] , Deroy C, Corcuff JB, Billen F, Hamaide A: Removal of oesophageal foreign bodies: comparison between oesophagoscopy and oesophagotomy in 39 dogs. J Small Anim Pract 2015;56:613-617. [PubMed] ] En nuestro caso, los huesos también representan los cuerpos extraños más frecuentes [20,86% (121/580)], seguidos muy de cerca por los anzuelos [19,31% (112/580)].[ Martínez JM, Granados JR, Sánchez FM: Estudio epidemiológico sobre la ingesta de anzuelos en perros y su eficacia de extracción por endoscopia. In: comunicación A, ed. Medicina y cirugía del sistema digestivo y de la nutrición (XXXIII Congreso Anual de AMVAC). Madrid: 2016:416-417. ] Es probable que la ubicación de nuestro centro veterinario sea la causa de esta alta incidencia, pues en las localidades costeras la ingestión de anzuelos por perros es una patología frecuente.[ Martínez JM, Granados JR, Sánchez FM: Estudio epidemiológico sobre la ingesta de anzuelos en perros y su eficacia de extracción por endoscopia. In: comunicación A, ed. Medicina y cirugía del sistema digestivo y de la nutrición (XXXIII Congreso Anual de AMVAC). Madrid: 2016:416-417. ]

En la mayoría de los casos, los propietarios son testigos de la ingestión del anzuelo, o bien tienen alguna evidencia altamente sospechosa de su ingestión como suele ser la presencia de un sedal de pesca colgando por la boca, por lo que en estos casos normalmente es una patología de sencillo diagnóstico.[ Binvel M, Poujol L, Peyron C, Dunie-Merigot A, Bernardin F: Endoscopic and surgical removal of oesophageal and gastric fishhook foreign bodies in 33 animals. J Small Anim Pract 2018;59:45-49. [PubMed] ]

En todos los casos se debe realizar como mínimo una radiografía, ya que además de confirmar la presencia y la localización del anzuelo, nos puede aportar información adicional como, por ejemplo, signos compatibles con perforación.[ Martínez JM, Granados JR, Sánchez FM: Estudio epidemiológico sobre la ingesta de anzuelos en perros y su eficacia de extracción por endoscopia. In: comunicación A, ed. Medicina y cirugía del sistema digestivo y de la nutrición (XXXIII Congreso Anual de AMVAC). Madrid: 2016:416-417. , Dunlap AE, Risselada M: Caudal Mediastinal Fish Hook Foreign Body with Pulmonary Artery Penetration in Two Dogs. J Am Anim Hosp Assoc 2018. [PubMed] ] Es conveniente destacar la necesidad de realizar una radiografía inmediatamente antes de la endoscopia, pues un anzuelo suelto puede desplazarse en cualquier momento cambiando su localización inicial.[ Binvel M, Poujol L, Peyron C, Dunie-Merigot A, Bernardin F: Endoscopic and surgical removal of oesophageal and gastric fishhook foreign bodies in 33 animals. J Small Anim Pract 2018;59:45-49. [PubMed] ]

Los anzuelos son percibidos por los propietarios y veterinarios como cuerpos extraños peligrosos por su capacidad de perforación.[ Michels GM, Jones BD, Huss BT, Wagner-Mann C: Endoscopic and surgical retrieval of fishhooks from the stomach and esophagus in dogs and cats: 75 cases (1977-1993). J Am Vet Med Assoc 1995;207:1194-1197. [PubMed] ] En personas, la perforación por ingestión de objetos punzantes se produce en entre un 15 % y un 35 % de los casos.[ Vizcarrondo FJ, Brady PG, Nord HJ: Foreign bodies of the upper gastrointestinal tract. Gastrointestinal endoscopy 1983;29:208-210. [PubMed] ] En animales, la perforación por ingestión de agujas de costura se produce en el 17 % de los casos.[ Pratt CL, Reineke EL, Drobatz KJ: Sewing needle foreign body ingestion in dogs and cats: 65 cases (2000-2012). J Am Vet Med Assoc 2014;245:302-308. [PubMed] ] No hay ningún estudio específico sobre la capacidad perforante de los anzuelos, aunque probablemente no son tan peligrosos como parece pues, en nuestra casuística, un 11,61% de los anzuelos han sido defecados sin ocasionar ninguna complicación.[ Martínez JM, Granados JR, Sánchez FM: Estudio epidemiológico sobre la ingesta de anzuelos en perros y su eficacia de extracción por endoscopia. In: comunicación A, ed. Medicina y cirugía del sistema digestivo y de la nutrición (XXXIII Congreso Anual de AMVAC). Madrid: 2016:416-417. ] Debido a la alta efectividad de la endoscopia en la recuperación de anzuelos, la recomendación del clínico ha de ser la extracción de éstos siempre que se encuentren en esófago o estómago.[ Binvel M, Poujol L, Peyron C, Dunie-Merigot A, Bernardin F: Endoscopic and surgical removal of oesophageal and gastric fishhook foreign bodies in 33 animals. J Small Anim Pract 2018;59:45-49. [PubMed] ]

A diferencia de los huesos y otros cuerpos extraños voluminosos, que quedan retenidos mayoritariamente en el esófago caudal,[ Rousseau A, Prittie J, Broussard J, Fox PR, Hoskinson J: Incidence and characterization of esophagitis following esophageal foreign body removal in dogs: 60 cases (1999-2003). J Vet Emerg Crit Care (San Antonio) 2007;17:159-163. , Gianella P, Pfammatter NS, Burgener IA: Oesophageal and gastric endoscopic foreign body removal: complications and follow-up of 102 dogs. J Small Anim Pract 2009;50:649-654. [PubMed] , Juvet F, Pinilla M, Shiel R, Mooney CT: Oesophageal foreign bodies in dogs: factors affecting success of endoscopic retrieval. Irish Vet J 2010;63:163-168. [PMC] , Leib MS, Sartor LL: Esophageal foreign body obstruction caused by a dental chew treat in 31 dogs (2000-2006). J Am Vet Med Assoc 2008;232:1021-1025. [PubMed] , Moore AH: Removal of oesophageal foreign bodies in dogs: use of the fluoroscopic method and outcome. J Small Anim Pract 2001;42:227-230. [PubMed] , Deroy C, Corcuff JB, Billen F, Hamaide A: Removal of oesophageal foreign bodies: comparison between oesophagoscopy and oesophagotomy in 39 dogs. J Small Anim Pract 2015;56:613-617. [PubMed] ] los anzuelos (debido a su diseño) quedan retenidos en el esófago craneal.[ Binvel M, Poujol L, Peyron C, Dunie-Merigot A, Bernardin F: Endoscopic and surgical removal of oesophageal and gastric fishhook foreign bodies in 33 animals. J Small Anim Pract 2018;59:45-49. [PubMed] , Michels GM, Jones BD, Huss BT, Wagner-Mann C: Endoscopic and surgical retrieval of fishhooks from the stomach and esophagus in dogs and cats: 75 cases (1977-1993). J Am Vet Med Assoc 1995;207:1194-1197. [PubMed] ] Muchos anzuelos localizados en estas posiciones craneales son extraídos por los veterinarios de atención primaria sin apoyo endoscópico.[ Martínez JM, Granados JR, Sánchez FM: Estudio epidemiológico sobre la ingesta de anzuelos en perros y su eficacia de extracción por endoscopia. In: comunicación A, ed. Medicina y cirugía del sistema digestivo y de la nutrición (XXXIII Congreso Anual de AMVAC). Madrid: 2016:416-417. ] En otras posiciones, los intentos de extracción tirando del sedal no suelen ser efectivos y, con frecuencia, contribuyen a clavar el anzuelo o lesionar, e incluso perforar, la mucosa.[ Binvel M, Poujol L, Peyron C, Dunie-Merigot A, Bernardin F: Endoscopic and surgical removal of oesophageal and gastric fishhook foreign bodies in 33 animals. J Small Anim Pract 2018;59:45-49. [PubMed] ] Una evaluación retrospectiva mostró que los anzuelos estaban clavados en todos los casos en los que se había intentado extraer a ciegas los anzuelos sin éxito.[ Binvel M, Poujol L, Peyron C, Dunie-Merigot A, Bernardin F: Endoscopic and surgical removal of oesophageal and gastric fishhook foreign bodies in 33 animals. J Small Anim Pract 2018;59:45-49. [PubMed] ] Por otro lado, los casos en que se había intentado extraer el anzuelo sin éxito ascendían a un 66,66 %, en un 49,42 % por parte del propietario y en un 17,24 % por parte del veterinario de atención primaria.[ Binvel M, Poujol L, Peyron C, Dunie-Merigot A, Bernardin F: Endoscopic and surgical removal of oesophageal and gastric fishhook foreign bodies in 33 animals. J Small Anim Pract 2018;59:45-49. [PubMed] ] Es posible que, en el presente caso, el intento del propietario de extraer el anzuelo provocara el clavado profundo del anzuelo, aparte de la rotura de su sedal que hubiera sido de gran utilidad para su extracción.

En algunas ocasiones es posible extraer anzuelos clavados superficialmente con la ayuda de unas pinzas de cuerpos extraños o asas de polipectomía. El endoscopio se introduce en un tubo hueco (sobretubo) que sirve para proteger la mucosa y ayudar a desclavar el anzuelo. En este caso, intentamos extraer el anzuelo por este método, pero no fue posible por estar profundamente clavado.

Una vez que el anzuelo estaba suelto, se podría haber usado un sobretubo para prevenir el daño de la mucosa durante la extracción. Para evitar soltar el anzuelo y que se volviera a clavar, se podría haber introducido el tubo desanzuelador en el sobretubo avanzándolo hasta cubrir el anzuelo. En ese momento no disponíamos de un sobretubo de longitud y diámetro interno adecuados, por lo que realizamos la extracción bajo visión directa.

Existen desanzueladores comerciales de uso veterinario (Disgorger Canine; Veterinary Instrumentation; Sheffield) para la extracción a ciegas de anzuelos del esófago. Para su utilización es imprescindible que el sedal esté presente y sea accesible. Cuando no se tiene visión de la punta del anzuelo durante el desanzuelado, en nuestra experiencia es frecuente clavar inadvertidamente el anzuelo en la mucosa durante la extracción, por lo que, desde nuestro punto de vista, la técnica de extracción de los anzuelos a ciegas es peligrosa y no debería usarse. En el 8,08 % de los casos hemos tenido que extraer con bastante dificultad anzuelos profundamente clavados en la mucosa que previamente se habían intentado extraer a ciegas. En el caso descrito, hemos utilizado como desanzuelador un tubo hueco que se manejó en paralelo al endoscopio, teniendo en todo momento la visión del anzuelo. Por otra parte, tampoco hubiera sido posible el uso de un desanzuelador a ciegas debido a la ausencia de sedal.

Con respecto al material de los elementos fabricados, se utilizaron tubos de cobre tanto para el anudador como para el desanzuelador, pues era de los que disponíamos en ese momento. Es probable que la utilización de tubos rígidos de otros materiales como el acero inoxidable, siendo estos de una longitud y calibre adecuados y provistos de bordes romos, hubiera sido igualmente exitosa. Más importante, desde nuestro punto vista, es el material del hilo de pesca. El sedal trenzado de dacrón es ideal por su poca flexibilidad, gran resistencia, baja memoria y poca capacidad abrasiva.

La longitud y el grosor del tubo usado en este caso eran los adecuados para el tamaño del animal y el anzuelo. Esta técnica es factible en animales más pequeños, aunque en ese caso el grosor y la longitud del tubo desanzuelador tendrían que ser inferiores.

La recuperación endoscópica de los anzuelos tiene un alto porcentaje de éxito y pocas complicaciones.[ Binvel M, Poujol L, Peyron C, Dunie-Merigot A, Bernardin F: Endoscopic and surgical removal of oesophageal and gastric fishhook foreign bodies in 33 animals. J Small Anim Pract 2018;59:45-49. [PubMed] ] Algunos autores señalan que una de las circunstancias que más determina la dificultad de la extracción endoscópica, y que puede ser la causa que determine tener que realizar una cirugía, es el tipo de anzuelo.[ Binvel M, Poujol L, Peyron C, Dunie-Merigot A, Bernardin F: Endoscopic and surgical removal of oesophageal and gastric fishhook foreign bodies in 33 animals. J Small Anim Pract 2018;59:45-49. [PubMed] ] Los anzuelos triples o ancoteras y los anzuelos con trabas conllevan una gran dificultad de extracción por endoscopia.[ Binvel M, Poujol L, Peyron C, Dunie-Merigot A, Bernardin F: Endoscopic and surgical removal of oesophageal and gastric fishhook foreign bodies in 33 animals. J Small Anim Pract 2018;59:45-49. [PubMed] ] Nuestros porcentajes de extracción del 96,55 %[ Martínez JM, Granados JR, Sánchez FM: Estudio epidemiológico sobre la ingesta de anzuelos en perros y su eficacia de extracción por endoscopia. In: comunicación A, ed. Medicina y cirugía del sistema digestivo y de la nutrición (XXXIII Congreso Anual de AMVAC). Madrid: 2016:416-417. ] son superiores a los de otros autores, que se sitúan en el 82 %.[ Binvel M, Poujol L, Peyron C, Dunie-Merigot A, Bernardin F: Endoscopic and surgical removal of oesophageal and gastric fishhook foreign bodies in 33 animals. J Small Anim Pract 2018;59:45-49. [PubMed] , Michels GM, Jones BD, Huss BT, Wagner-Mann C: Endoscopic and surgical retrieval of fishhooks from the stomach and esophagus in dogs and cats: 75 cases (1977-1993). J Am Vet Med Assoc 1995;207:1194-1197. [PubMed] ] Desde nuestro punto de vista, la técnica de extración junto con el uso combinado de la endoscopia rígida y flexible aumentan los porcentajes de resolución por endoscopia.[ Martínez JM, Granados JR, Sánchez FM: Estudio epidemiológico sobre la ingesta de anzuelos en perros y su eficacia de extracción por endoscopia. In: comunicación A, ed. Medicina y cirugía del sistema digestivo y de la nutrición (XXXIII Congreso Anual de AMVAC). Madrid: 2016:416-417. ] Con la técnica descrita extrajimos un anzuelo especialmente complicado, por tratarse de un anzuelo de grandes dimensiones y con trabas, clavado en el cardias y sin sedal.

Otra técnica descrita en medicina humana para la extracción de anzuelos clavados en el cardias se basa en la utilización de un esfinterotomo de aguja o puntiforme para la disección del anzuelo de la mucosa.[ Colizzo J, Keshishian J, Brady P: Embedded Fishhook in the Gastric Cardia: Novel Removal Utilizing Electrocautery Needle-Knife Dissection. ACG Case Reports J2013;1:4-6. [PubMed] ] En nuestro caso, el anzuelo estaba completamente incrustado en la mucosa, por lo que su disección usando la técnica del esfinterotomo hubiera conllevado un gran riesgo de perforación.

La cirugía, a la que muchos autores recurren hasta en un 18 % de los casos,[ Binvel M, Poujol L, Peyron C, Dunie-Merigot A, Bernardin F: Endoscopic and surgical removal of oesophageal and gastric fishhook foreign bodies in 33 animals. J Small Anim Pract 2018;59:45-49. [PubMed] ] tiene muchos más inconvenientes que la endoscopia, por lo que debería relegarse a los escasísimos casos en los que no sea posible la resolución endoscópica.

En nuestro caso el 96,97 % de los anzuelos esofágicos y gástricos se han podido extraer por endoscopia frente a un 3,03 % en los que no se pudo.9 Entre estos últimos, uno de ellos se encontraba localizado en el hígado debido a intentos anteriores de extracción quirúrgica, por lo que no era accesible. En los otros dos casos, la causa del fracaso de la endoscopia fue la rotura del sedal debida a un exceso de tensión en el mismo por un exceso de tracción, quedando los anzuelos en ambos casos completamente clavados en la mucosa sin poder ver ninguna de sus partes. En algunos casos los sedales están en muy malas condiciones en el momento de la realización de la endoscopia por lo que es probable que la colocación de un sedal de seguridad antes de proceder a la extracción, tal y como se ha descrito en este caso, pudiera haber supuesto el éxito de la endoscopia.

Por último, hay que destacar que la técnica descrita requiere cierta destreza con el manejo del endoscopio, aunque una vez adquirida, el resultado es muy satisfactorio.

 

Fuente de financiación: esta investigación no se realizó con fondos comerciales, públicos o del sector privado.

Conflicto de intereses: los autores declaran que no existe conflicto de intereses en los datos publicados.

Bibliografía

  1. [1] Binvel M, Poujol L, Peyron C, Dunie-Merigot A, Bernardin F: Endoscopic and surgical removal of oesophageal and gastric fishhook foreign bodies in 33 animals. J Small Anim Pract 2018;59:45-49. [PubMed]
  2. [2] Rousseau A, Prittie J, Broussard J, Fox PR, Hoskinson J: Incidence and characterization of esophagitis following esophageal foreign body removal in dogs: 60 cases (1999-2003). J Vet Emerg Crit Care (San Antonio) 2007;17:159-163.
  3. [3] Gianella P, Pfammatter NS, Burgener IA: Oesophageal and gastric endoscopic foreign body removal: complications and follow-up of 102 dogs. J Small Anim Pract 2009;50:649-654. [PubMed]
  4. [4] Juvet F, Pinilla M, Shiel R, Mooney CT: Oesophageal foreign bodies in dogs: factors affecting success of endoscopic retrieval. Irish Vet J 2010;63:163-168. [PMC]
  5. [5] Leib MS, Sartor LL: Esophageal foreign body obstruction caused by a dental chew treat in 31 dogs (2000-2006). J Am Vet Med Assoc 2008;232:1021-1025. [PubMed]
  6. [6] Michels GM, Jones BD, Huss BT, Wagner-Mann C: Endoscopic and surgical retrieval of fishhooks from the stomach and esophagus in dogs and cats: 75 cases (1977-1993). J Am Vet Med Assoc 1995;207:1194-1197. [PubMed]
  7. [7] Aihole JS. Fate of Sharp Metallic Foreign Bodies. Indian pediatrics 2019;56:145. [PubMed]
  8. [8] Brisson BA, Wainberg SH, Malek S, Reabel S, Defarges A, Sears WC: Risk factors and prognostic indicators for surgical outcome of dogs with esophageal foreign body obstructions. J Am Vet Med Assoc 2018;252:301-308. [PubMed]
  9. [9] Martínez JM, Granados JR, Sánchez FM: Estudio epidemiológico sobre la ingesta de anzuelos en perros y su eficacia de extracción por endoscopia. In: comunicación A, ed. Medicina y cirugía del sistema digestivo y de la nutrición (XXXIII Congreso Anual de AMVAC). Madrid: 2016:416-417.
  10. [10] Moore AH: Removal of oesophageal foreign bodies in dogs: use of the fluoroscopic method and outcome. J Small Anim Pract 2001;42:227-230. [PubMed]
  11. [11] Hayes G: Gastrointestinal foreign bodies in dogs and cats: a retrospective study of 208 cases. J Small Anim Pract 2009;50:576-583. [PubMed]
  12. [12] Deroy C, Corcuff JB, Billen F, Hamaide A: Removal of oesophageal foreign bodies: comparison between oesophagoscopy and oesophagotomy in 39 dogs. J Small Anim Pract 2015;56:613-617. [PubMed]
  13. [13] Dunlap AE, Risselada M: Caudal Mediastinal Fish Hook Foreign Body with Pulmonary Artery Penetration in Two Dogs. J Am Anim Hosp Assoc 2018. [PubMed]
  14. [14] Vizcarrondo FJ, Brady PG, Nord HJ: Foreign bodies of the upper gastrointestinal tract. Gastrointestinal endoscopy 1983;29:208-210. [PubMed]
  15. [15] Pratt CL, Reineke EL, Drobatz KJ: Sewing needle foreign body ingestion in dogs and cats: 65 cases (2000-2012). J Am Vet Med Assoc 2014;245:302-308. [PubMed]
  16. [16] Colizzo J, Keshishian J, Brady P: Embedded Fishhook in the Gastric Cardia: Novel Removal Utilizing Electrocautery Needle-Knife Dissection. ACG Case Reports J2013;1:4-6. [PubMed]

Artículos recomendados

Estas recomendaciones se ofrecen de forma automática.

  • Fallo hepático en un perro tras intoxicación por ingestión de semillas de Cycas revoluta

    C. García, A. Segarra, N. Bedía, et al.
    Clin Vet Peq Anim Vol. 45 - Nº 3 · SEP 2025 · Artículo original referido a un solo caso clínico
  • Pseudoaneurisma venoso de presunto origen yatrogénico causado al realizar una biopsia ósea

    F. Osorio, L. Feo, J. Puig
    Clin Vet Peq Anim Vol. 45 - Nº 1 · MAR 2025 · Artículo original referido a un solo caso clínico
  • Concordancia entre IDEXX SediVue Dx y el cultivo de orina en perros y gatos

    L. Di Filippo, I. Frías, R. Santiago
    Clin Vet Peq Anim Vol. 44 - Nº 1 · MAR 2024 · Artículo original referido a múltiples casos clínicos
  • Inicio
  • Introducción
  • Caso clínico
  • Discusión
  • Bibliografía
Artículo anterior Índice de la revista Artículo siguiente
ANUNCIO
Próximos cursos ATVs Elearning
Índice
Inicio Introducción Caso clínico Discusión Bibliografía
Alivira - Vominil
ANUNCIO

¿No eres socio de AVEPA y quieres recibir comunicación de las nuevas ediciones en tu correo?

Suscríbete

Suscríbete y te avisaremos cuando publiquemos un nuevo número

Suscribirme

Enlaces rápidos

  • Inicio
  • Último número
  • Archivo
  • Artículos

Información

  • Comité editorial
  • Política de cookies
  • Política de privacidad
  • Términos y condiciones

Contacto

  • info@imaginice.com
  • Envíanos tu artículo
© 2026 Ice Salud Vet SL. Todos los derechos reservados.

Usamos cookies para mejorar tu experiencia. Selecciona cuáles aceptas: