Logo AVEPA

Clínica Veterinaria de Pequeños Animales

Revista oficial de AVEPA

  • Inicio
  • Último número
  • Archivo
  • Artículos
  • Para autores
  • Contacto
Cursos Junio-Septiembre 2026
ANUNCIO

Clínica Veterinaria de Pequeños Animales

Revista oficial de AVEPA

  • Inicio
  • Último número
  • Archivo
  • Artículos
  • Para autores
  • Contacto
Curso Oftalmología 2026
ANUNCIO
Clin Vet Peq Anim Vol. 40 • Nº 2 • junio 2020

¿Cuál es tu diagnóstico?

¿Cuál es tu diagnóstico?

J. Marcos-de los Ríos

Anicura Hospital Veterinario Buenavista. c/ Rafael Altamira 3, bajo. 3306 Oviedo

Descargar artículo

Historia clínica

Se presenta un perro macho castrado de 5 años, Griffon Azul de Gascuña de 22 kg de peso. Acude a consulta por una cojera con inflamación de la extremidad anterior izquierda de 1 semana de evolución. En la exploración se observa dolor a la palpación de las extremidades anteriores con zonas de inflamación, sobre todo del tercio distal de las mismas. Las extremidades posteriores presentan también inflamación de la zona tarsal de forma más leve. Las alteraciones analíticas encontradas son neutrofilia leve (11,94 K/μl; valor de referencia: 2,95-11,64 K/μl), monocitosis (2,61 K/μl; valor de referencia: 0,16-1,12 K/μl), incremento de la ALP (296 U/l; valor de referencia: 23-212 U/l) e hiperglobulinemia (4,7 g/dl; valor de referencia: 2,5-4,5 g/dl). Se realizan radiografías digitales simples con proyecciones dorsopalmares (Fig. 1) y mediolaterales (Fig. 2) de extremidad anterior derecha e izquierda y proyecciones mediolaterales de la extremidad posterior derecha e izquierda (Fig. 3).

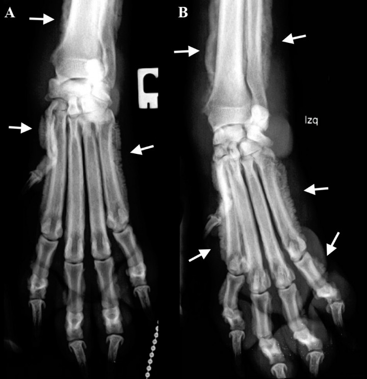
<p>Proyección dorsopalmar de la zona del carpo y metacarpo. <strong>(A)</strong> Derecha.<strong> (B) </strong>Izquierda. </p>
Figura 1

Proyección dorsopalmar de la zona del carpo y metacarpo. (A) Derecha. (B) Izquierda. 

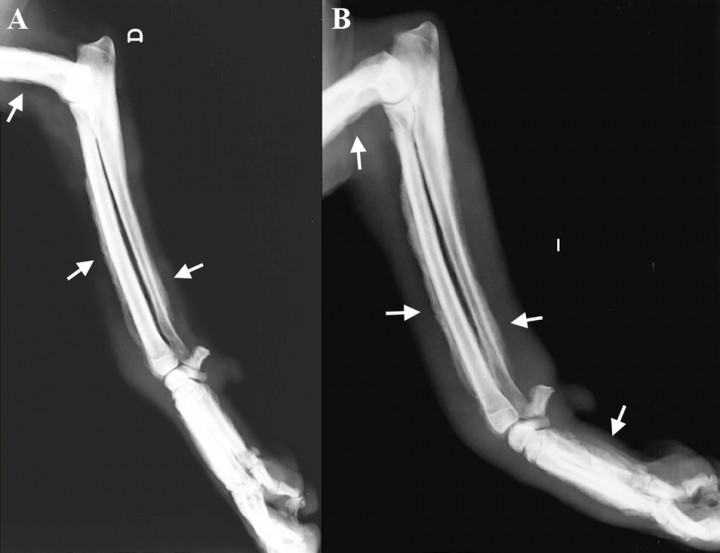
<p>Proyección mediolateral de cúbito y radio. <strong>(A) </strong>Derecha. <strong>(B) </strong>Izquierda.</p>
Figura 2

Proyección mediolateral de cúbito y radio. (A) Derecha. (B) Izquierda.

<p>Proyección mediolateral de tibia y peroné. <strong>(A) </strong>Derecha. <strong>(B) </strong>Izquierda.</p>
Figura 3

Proyección mediolateral de tibia y peroné. (A) Derecha. (B) Izquierda.

Describe las anormalidades radiográficas que se observan

En los huesos del carpo, metacarpo, falanges, cúbito, radio y húmero de las extremidades anteriores y en el cuerpo del metatarso, hueso del calcáneo, tercio distal de la diáfisis de la tibia y del fémur de las extremidades posteriores se observa una reacción perióstica en empalizada bien delimitada. No existe destrucción ósea y las superficies articulares no están afectadas. Existe engrosamiento de tejidos blandos (Figs. 4, 5 y 6).

<p>Mismas radiografías de la Figura 1. Se observa reacción perióstica del tipo en empalizada (ver flechas) con afectación de la falange media de 2º dedo, en el aspecto lateral y medial de las falanges proximales (dedo I, II, III, IV, V), en el aspecto lateral del cuerpo del hueso metacarpiano I, II y V y del III y IV de forma más leve, y del tercio distal del cúbito y radio. No existe afectación de las superficies articulares ni destrucción ósea. Tumefacción de los tejidos blandos en la zona del carpo.</p>
Figura 4

Mismas radiografías de la Figura 1. Se observa reacción perióstica del tipo en empalizada (ver flechas) con afectación de la falange media de 2º dedo, en el aspecto lateral y medial de las falanges proximales (dedo I, II, III, IV, V), en el aspecto lateral del cuerpo del hueso metacarpiano I, II y V y del III y IV de forma más leve, y del tercio distal del cúbito y radio. No existe afectación de las superficies articulares ni destrucción ósea. Tumefacción de los tejidos blandos en la zona del carpo.

<p>Mismas radiografías de la Figura 2. Se observa reacción perióstica del tipo en empalizada (ver flechas) con afectación del aspecto dorsal y palmar del cuerpo de los huesos metacarpianos y del proceso accesorio del carpo, de la cara craneal de la epífisis distal y de la diáfisis del radio, del borde caudal de la diáfisis distal del cúbito y del margen craneal y caudal del tercio distal del húmero. No hay afectación de las superficies articulares ni destrucción ósea. Se aprecia la tumefacción de los tejidos blandos.</p>
Figura 5

Mismas radiografías de la Figura 2. Se observa reacción perióstica del tipo en empalizada (ver flechas) con afectación del aspecto dorsal y palmar del cuerpo de los huesos metacarpianos y del proceso accesorio del carpo, de la cara craneal de la epífisis distal y de la diáfisis del radio, del borde caudal de la diáfisis distal del cúbito y del margen craneal y caudal del tercio distal del húmero. No hay afectación de las superficies articulares ni destrucción ósea. Se aprecia la tumefacción de los tejidos blandos.

<p>Mismas radiografías de la Figura 3. Se observa reacción perióstica del tipo en empalizada (ver flechas) en el aspecto dorsal del cuerpo del metatarso y del hueso calcáneo con afectación del tercio distal de la diáfisis de la tibia en su aspecto caudal. La rótula presenta en su cara craneal las mismas lesiones, al igual que el tercio distal de la diáfisis del fémur. En la extremidad posterior izquierda se observa afectación del hueso calcáneo, del tercio distal de la diáfisis de la tibia en su aspecto caudal y en el aspecto craneal del fémur. No existe afectación de las superficies articulares. Tumefacción de los tejidos blandos del tarso.</p>
Figura 6

Mismas radiografías de la Figura 3. Se observa reacción perióstica del tipo en empalizada (ver flechas) en el aspecto dorsal del cuerpo del metatarso y del hueso calcáneo con afectación del tercio distal de la diáfisis de la tibia en su aspecto caudal. La rótula presenta en su cara craneal las mismas lesiones, al igual que el tercio distal de la diáfisis del fémur. En la extremidad posterior izquierda se observa afectación del hueso calcáneo, del tercio distal de la diáfisis de la tibia en su aspecto caudal y en el aspecto craneal del fémur. No existe afectación de las superficies articulares. Tumefacción de los tejidos blandos del tarso.

¿Cuáles son los diagnósticos diferenciales con estos signos radiográficos?

El signo radiológico presente en las radiografías es una reacción perióstica en empalizada; dicho modelo en la cortical de los huesos largos es compatible con osteopatía hipertrófica y osteomielitis hematógena.

¿Qué otras técnicas de imagen realizarías para alcanzar el diagnóstico definitivo?

A partir de las lesiones observadas, la mayoría de los casos de la osteopatía hipertrófica están asociados a procesos crónicos torácicos y, menos frecuentemente, a patologías abdominales. Por lo tanto, está indicada la realización de radiografías de la cavidad torácica y abdominal y de ecografía abdominal para buscar la causa subyacente.

En la radiografía lateral derecha de la cavidad torácica (Fig. 7) se observó la presencia de patrón intersticial nodular multifocal en los lóbulos pulmonares caudales, donde se visualizan dos masas bien diferenciadas de forma redondeada con opacidad de tejido blando, contorno regular de 4,5 y 6 cm de diámetro, respectivamente, que se superponen parcialmente. El resto de estructuras se muestran sin alteraciones radiológicas evidentes. Por motivos económicos no se realizaron el resto de proyecciones radiográficas (lateral izquierda y ventrodorsal/dorsoventral) que son necesarias para una correcta localización de las lesiones y para valorar la toma de muestras para el estudio citológico.

<p>Proyección lateral derecha de tórax. Se observa patrón intersticial nodular multifocal en los lóbulos pulmonares caudales donde se observan dos masas bien diferenciadas de forma redondeada con opacidad de tejido blando, de contorno regular de 4,5 cm y 6 cm de diámetro, respectivamente, que se superponen parcialmente.</p>
Figura 7

Proyección lateral derecha de tórax. Se observa patrón intersticial nodular multifocal en los lóbulos pulmonares caudales donde se observan dos masas bien diferenciadas de forma redondeada con opacidad de tejido blando, de contorno regular de 4,5 cm y 6 cm de diámetro, respectivamente, que se superponen parcialmente.

Los hallazgos de las lesiones pulmonares junto con las lesiones óseas conllevan que el diagnóstico más probable sea una osteopatía hipertrófica pulmonar secundaria a un tumor pulmonar.

Comentario

La osteopatía hipertrófica pulmonar (OHP) es un desorden osteoproliferativo generalizado poco frecuente que afecta principalmente a los huesos largos de las extremidades, especialmente distalmente, siendo causada por una enfermedad crónica, generalmente intratorácica.[ Bergman, PJ. Paraneoplastic Syndromes. En Withrow SJ. and MacEwen EG (eds). Small Animal Clinical Oncology. Fifth edition. St. Louis, Saunders Elsevier. 2012; 91-92. ]

Puede afectar a perros de cualquier raza o tamaño; sin embargo, puesto que se asocia a neoplasia, suele observarse en animales mayores. Los signos clínicos de los perros afectados incluyen una historia de letargia, resistencia al movimiento e inflamación de la parte distal de las extremidades.[ Schulz K, Hayashi K, Fossum TW. En Other Deseases of Bones and Joints. Chapter 36 en Small Animal Surgery. Fifth edition. Philadelphia, Elsevier Inc. 2019; 1297-1298. ]

La fisiopatología de esta enfermedad no está aclarada, aunque existen diversas teorías que no han sido demostradas. Una de ellas considera que el pulmón, debido a la alteración torácica, sintetiza sustancias vasodilatadoras que causan directamente el proceso. Otras postulan que los cambios del periostio son producidos por estimulación vagal por vía neurológica aferente por parte del órgano afectado.[ Bergman, PJ. Paraneoplastic Syndromes. En Withrow SJ. and MacEwen EG (eds). Small Animal Clinical Oncology. Fifth edition. St. Louis, Saunders Elsevier. 2012; 91-92. ] Teorías más recientes sugieren que el exceso de producción de somatocrinina[ Mito K, Maruyama R, Uenishi Y, et al: Hypertrophic pulmonary osteoarthropathy associated with non-small cell lung cancer demonstrated growth hormone-releasing hormone by immunohistochemical analysis. Internal Medicine 2001; 40 (6): 532-535. [PubMed] ] y/o del factor de crecimiento endotelial vascular por parte del tumor pueden contribuir a la OHP.[ Abe Y, Kurita S, Ohkubo Y, et al: A case of pulmonary adenocarcinoma associated with hypertrophic osteoarthropathy due to vascular endothelial growth factor. Anticancer Res 2002; 22 (6B): 3485-3488. [PubMed] ]

La etiología de la enfermedad puede ser causada por un síndrome paraneoplásico o asociarse a otras enfermedades como neoplasias (tumores pulmonares primarios y metastásicos, carcinomas esofágicos, rabdomiosarcomas de vejiga de la orina, carcinomas renales de células de transición y nefroblastomas), lesiones granulomatosas, megaesófago crónico, conducto arterioso persistente, endocarditis bacterianas y dirofilariosis.[ Schulz K, Hayashi K, Fossum TW. En Other Deseases of Bones and Joints. Chapter 36 en Small Animal Surgery. Fifth edition. Philadelphia, Elsevier Inc. 2019; 1297-1298. ] Aunque la causa más común es la neoplasia pulmonar, también ha sido descrita en casos de neoplasia primaria abdominal.[ Schulz K, Hayashi K, Fossum TW. En Other Deseases of Bones and Joints. Chapter 36 en Small Animal Surgery. Fifth edition. Philadelphia, Elsevier Inc. 2019; 1297-1298. ]

El diagnóstico presuntivo se realiza mediante la observación de las lesiones de modelo en empalizada de las extremidades, siendo importante la realización de un diagnóstico diferencial con los tumores óseos, los cuales no suelen tener una presentación bilateral, y la osteodistrofia hipertrófica, que es una patología exclusiva de animales jóvenes.

La radiología de tórax tiene una buena sensibilidad para la detección de lesiones nodulares aisladas de tamaño mayor a 5 mm de diámetro, mientras que la tomografía computerizada está especialmente indicada para la búsqueda de lesiones menores a 2 mm, lo que permite determinar la localización exacta de las lesiones y la detección de pequeñas metástasis que no son identificables mediante la radiología convencional.[ García MI. En Cuello y Tórax. Capítulo 2 en Atlas de Interpretación Radiológica en Pequeños Animales. 1ª edición. Zaragoza, Servet editorial. 2013; 132-134. ]

El tratamiento, en función de la etiología, es el de la enfermedad causal mediante las técnicas médicas o quirúrgicas adecuadas, pudiendo las alteraciones óseas remitir de forma total o parcial. Aunque los signos clínicos desaparecen en 1-2 semanas tras el tratamiento, las lesiones óseas pueden tardar meses.[ Schulz K, Hayashi K, Fossum TW. En Other Deseases of Bones and Joints. Chapter 36 en Small Animal Surgery. Fifth edition. Philadelphia, Elsevier Inc. 2019; 1297-1298. ]

En el presente caso las alteraciones clínicas y radiográficas encontradas fueron semejantes a las descritas en la literatura. Se pone de manifiesto la necesidad de utilizar técnicas de imagen para encontrar la causa subyacente del proceso y así diagnosticar una OHP. En este caso no se ha utilizado la ecografía abdominal, ya que la causa primaria de la enfermedad era pulmonar, pero es un método útil en los casos en los que se sospeche que la causa primaria sea abdominal. La toma de muestras de las lesiones ayuda a tener un diagnóstico definitivo. En este caso no se pudo alcanzar un diagnóstico definitivo para llevar a cabo el tratamiento específico, ya que el propietario lo desestimó por motivos económicos.

 

Fuente de financiación: este trabajo no se realizó con fondos comerciales, públicos o del sector privado.

Conflicto de intereses: los autores declaran que no existen conflictos de intereses.

Bibliografía

  1. [1] Bergman, PJ. Paraneoplastic Syndromes. En Withrow SJ. and MacEwen EG (eds). Small Animal Clinical Oncology. Fifth edition. St. Louis, Saunders Elsevier. 2012; 91-92.
  2. [2] Schulz K, Hayashi K, Fossum TW. En Other Deseases of Bones and Joints. Chapter 36 en Small Animal Surgery. Fifth edition. Philadelphia, Elsevier Inc. 2019; 1297-1298.
  3. [3] Mito K, Maruyama R, Uenishi Y, et al: Hypertrophic pulmonary osteoarthropathy associated with non-small cell lung cancer demonstrated growth hormone-releasing hormone by immunohistochemical analysis. Internal Medicine 2001; 40 (6): 532-535. [PubMed]
  4. [4] Abe Y, Kurita S, Ohkubo Y, et al: A case of pulmonary adenocarcinoma associated with hypertrophic osteoarthropathy due to vascular endothelial growth factor. Anticancer Res 2002; 22 (6B): 3485-3488. [PubMed]
  5. [5] García MI. En Cuello y Tórax. Capítulo 2 en Atlas de Interpretación Radiológica en Pequeños Animales. 1ª edición. Zaragoza, Servet editorial. 2013; 132-134.

Artículos recomendados

Estas recomendaciones se ofrecen de forma automática.

  • ¿Cuál es tu diagnóstico?
    L. Martín-Carrasco, E. Mínguez-Pereira, R. Salgüero-Fernández, et al.
    Clin Vet Peq Anim Vol. 46 - Nº 1 · MAR 2026 · ¿Cuál es tu diagnóstico?
  • ¿Cuál es tu diagnóstico?
    D. Marbella, A.M. Hernández-Guerra, L. Montalvà-Minguet
    Clin Vet Peq Anim Vol. 45 - Nº 4 · DIC 2025 · ¿Cuál es tu diagnóstico?
  • ¿Cuál es tu diagnóstico?

    J.D. Carrillo, M. Soler, M.S. Echalecu, et al.
    Clin Vet Peq Anim Vol. 45 - Nº 3 · SEP 2025 · ¿Cuál es tu diagnóstico?
  • Inicio
  • Historia clínica
  • Describe las anormalidades radiográficas que se observan
  • ¿Cuáles son los diagnósticos diferenciales con estos signos radiográficos?
  • ¿Qué otras técnicas de imagen realizarías para alcanzar el diagnóstico definitivo?
  • Comentario
  • Bibliografía
Artículo anterior Índice de la revista Artículo siguiente
ANUNCIO
Próximos cursos ATVs Elearning
Índice
Inicio Historia clínica Describe las anormalidades radiográficas que se observan ¿Cuáles son los diagnósticos diferenciales con estos signos radiográficos? ¿Qué otras técnicas de imagen realizarías para alcanzar el diagnóstico definitivo? Comentario Bibliografía
Advance Affinity - Intolerance Duck
ANUNCIO

¿No eres socio de AVEPA y quieres recibir comunicación de las nuevas ediciones en tu correo?

Suscríbete

Suscríbete y te avisaremos cuando publiquemos un nuevo número

Suscribirme

Enlaces rápidos

  • Inicio
  • Último número
  • Archivo
  • Artículos

Información

  • Comité editorial
  • Política de cookies
  • Política de privacidad
  • Términos y condiciones

Contacto

  • info@imaginice.com
  • Envíanos tu artículo
© 2026 Ice Salud Vet SL. Todos los derechos reservados.

Usamos cookies para mejorar tu experiencia. Selecciona cuáles aceptas: