Logo AVEPA

Clínica Veterinaria de Pequeños Animales

Revista oficial de AVEPA

  • Inicio
  • Último número
  • Archivo
  • Artículos
  • Para autores
  • Contacto
Cursos Junio-Septiembre 2026
ANUNCIO

Clínica Veterinaria de Pequeños Animales

Revista oficial de AVEPA

  • Inicio
  • Último número
  • Archivo
  • Artículos
  • Para autores
  • Contacto
Curso Oftalmología 2026
ANUNCIO
Clin Vet Peq Anim Vol. 41 • Nº 2 • junio 2021

Caso clínico de Neurología

Caso Clínico de...

X. Raurell

Hospital Veterinari Molins. Carrer B, 27. 08620 Sant Vicenç dels Horts (Barcelona).

C. Centellas

Hospital Veterinari Molins. Carrer B, 27. 08620 Sant Vicenç dels Horts (Barcelona).

G. Feliz

Hospital Veterinari Molins. Carrer B, 27. 08620 Sant Vicenç dels Horts (Barcelona).

A. Segura

Hospital Veterinari Molins. Carrer B, 27. 08620 Sant Vicenç dels Horts (Barcelona).

L. Hueso

Hospital Veterinari Molins. Carrer B, 27. 08620 Sant Vicenç dels Horts (Barcelona).

A. Zamora

Hospital Veterinari Molins. Carrer B, 27. 08620 Sant Vicenç dels Horts (Barcelona).

Contacto: xavier.raurell@hvmolins.com
Descargar artículo

Historia clínica

Se presenta una gata Común Europea de 7 meses de edad con deformidad facial, estertores, proptosis y úlcera corneal en el ojo izquierdo, debido a mordedura de un perro con una evolución de dos días. Aunque al inicio presentó, según los propietarios, obnubilación, en el momento de la admisión presentaba un examen neurológico normal. Se recoloca el globo ocular izquierdo y se cubre con un colgajo de membrana nictitante. Se aprovechó la misma sedación [0,2 mg/kg metadona IV (Metasedin 10 mg/ml, B.Braun Medical S.A, Jaén), 1 mg/kg alfaxalona IV (Alfaxan 10 mg/ml, Jurox, North Kansas City), 0,2 mg/kg midazolam IV (Midazolam Normon 15 mg/3 ml, Normon laboratorios S.A, Tres Cantos, Madrid)] para realizar radiografías torácicas en dos proyecciones ortogonales, ecografía abdominal y un TAC craneal (Figs. 1A y 1B) debido a la deformidad facial presentada. Después de 48 h de ingreso, se le da el alta con amoxicilina-clavulánico (Synulox gatos 50 mg/comp., Zoetis, Madrid), meloxicam (Meloxidyl gatos 0,5 mg/ml, Ceva, Barcelona), tobramicina en colirio (Tobrex colirio, Alcón Cusí, El Masnou, Barcelona) y gel oftálmico (Siccafluid, Ursapharm, Saarbrücken, Alemania) en el ojo izquierdo y en observación en su vivienda habitual. A los 8 días se presenta con una historia de tropiezos contra objetos en casa, déficit en la respuesta de amenaza y midriasis sin reflejo pupilar en el ojo derecho, obnubilación y ptisis bulbi en el izquierdo. El resto del examen neurológico resultó normal. Se hizo una neurolocalización a nivel cerebral difusa y probablemente afectando al núcleo geniculado lateral del tálamo (NGLT) izquierdo o rostral a este. Se realizó un diagnóstico diferencial entre traumatismo (hematoma, neumoencéfalo traumático) e infeccioso (absceso por la mordedura). En este momento se realiza TAC de revisión (Figs. 2A y 2B).

<p>TAC inicial. Cortes transversales en algoritmo de hueso del TAC, adquirido en algoritmo de tejido blando y hueso a 0,6 mm de grosor. (<strong>A</strong>) Corte caudal al seno frontal. Se observa una fractura simple y deprimida en la parte temporal del hueso frontal izquierdo (flecha blanca), desplazamiento de la fosa etmoidal en su unión con el hueso frontal del lado derecho (flecha amarilla), desplazamiento del meato etmoidal y preesfenoides (flecha negra), y fractura simple de la lámina perpendicular derecha del hueso palatino (flecha azul) (<strong>B</strong>) Corte a la altura de las bullas timpánicas que muestra una bóveda craneal íntegra y acúmulo moderado de aire en el tejido subcutáneo de la región temporal izquierda (flechas).</p>
Figura 1

TAC inicial. Cortes transversales en algoritmo de hueso del TAC, adquirido en algoritmo de tejido blando y hueso a 0,6 mm de grosor. (A) Corte caudal al seno frontal. Se observa una fractura simple y deprimida en la parte temporal del hueso frontal izquierdo (flecha blanca), desplazamiento de la fosa etmoidal en su unión con el hueso frontal del lado derecho (flecha amarilla), desplazamiento del meato etmoidal y preesfenoides (flecha negra), y fractura simple de la lámina perpendicular derecha del hueso palatino (flecha azul) (B) Corte a la altura de las bullas timpánicas que muestra una bóveda craneal íntegra y acúmulo moderado de aire en el tejido subcutáneo de la región temporal izquierda (flechas).

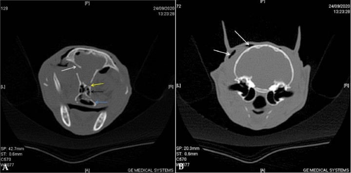
<p>TAC de revisión. Cortes transversales en algoritmo de hueso del TAC de revisión, adquirido en algoritmo de tejido blando y hueso con un grosor de 2 mm. (<strong>A</strong>) Se observa una fractura simple y deprimida en la parte temporal del hueso frontal izquierdo (flecha blanca), desplazamiento de la fosa etmoidal en su unión con el hueso frontal del lado derecho (flecha amarilla), desplazamiento del meato etmoidal y preesfenoides (flecha negra), y fractura simple de la lámina perpendicular derecha del hueso palatino (flecha azul). Además, se aprecia una lesión redonda de bordes bien definidos, hipoatenuante e intracraneal justo en la fractura de la parte temporal del hueso frontal izquierdo (flecha sólida), así como enfisema subcutáneo sobre dicho hueso (asterisco). (<strong>B</strong>) Corte a la altura de las bullas timpánicas en el que se observan dos lesiones intracraneales (con sospecha de ser intraventriculares), redondas, de bordes bien definidos e hipoatenuantes (flechas), con contenido de densidad aire (entre 976 y 1000,05 HU). Además, se observa enfisema subcutáneo a nivel temporal y parietal en el lado derecho (asteriscos).</p>
Figura 2

TAC de revisión. Cortes transversales en algoritmo de hueso del TAC de revisión, adquirido en algoritmo de tejido blando y hueso con un grosor de 2 mm. (A) Se observa una fractura simple y deprimida en la parte temporal del hueso frontal izquierdo (flecha blanca), desplazamiento de la fosa etmoidal en su unión con el hueso frontal del lado derecho (flecha amarilla), desplazamiento del meato etmoidal y preesfenoides (flecha negra), y fractura simple de la lámina perpendicular derecha del hueso palatino (flecha azul). Además, se aprecia una lesión redonda de bordes bien definidos, hipoatenuante e intracraneal justo en la fractura de la parte temporal del hueso frontal izquierdo (flecha sólida), así como enfisema subcutáneo sobre dicho hueso (asterisco). (B) Corte a la altura de las bullas timpánicas en el que se observan dos lesiones intracraneales (con sospecha de ser intraventriculares), redondas, de bordes bien definidos e hipoatenuantes (flechas), con contenido de densidad aire (entre 976 y 1000,05 HU). Además, se observa enfisema subcutáneo a nivel temporal y parietal en el lado derecho (asteriscos).

¿Qué alteraciones se observan en el primer TAC?

El estudio inicial de TAC mostró fracturas múltiples en huesos de la cara, base de cráneo y bóveda.

En la Fig. 1A se muestra una imagen transversal en algoritmo de hueso, caudal al seno frontal, en la que se observa una fractura simple y deprimida en la parte temporal del hueso frontal izquierdo, desplazamiento de la fosa etmoidal en su unión con el hueso frontal del lado derecho, desplazamiento del meato etmoidal y preesfenoides, y fractura simple de la lámina perpendicular derecha del hueso palatino. Además, también se puede constatar la presencia de una lesión hipoatenuante en comparación con el músculo, compatible con aire debajo de los músculos temporales, en mayor cantidad en el del lado izquierdo, en la zona retrobulbar dorso-medial, e intracraneal dorso-lateral izquierdo a modo de neumoencéfalo. 

En el resto del estudio, además, se evidenciaron fracturas múltiples deprimidas en la parte orbital del hueso frontal bilateralmente a distintas alturas. También se observó una fractura simple y no desplazada en la lámina horizontal del hueso palatino del lado izquierdo, una fractura simple y deprimida en el maxilar derecho y una fractura no desplazada de la rama mandibular izquierda. Las zonas más caudales del cráneo resultaron sin fracturas (Fig. 1B).

¿Qué ha ocurrido entre los dos TACs?

El aire acumulado en las distintas zonas ha entrado a través de una fístula (Fig. 3) y se ha instaurado un gradiente de presión negativo hacia la cavidad craneal situándose probablemente en los ventrículos laterales, provocando un gran aumento del tamaño de los mismos y adoptando una forma redondeada.

<p>Reformateo dorsal en ventana de hueso en el que se muestra que la lesión intracraneal, hipoatenuante, de márgenes bien definidos y redondeados, de densidad aire (probablemente ventrículo lateral izquierdo) (flecha sólida) comunica con el espacio extradural (flecha amarilla) mediante una fístula (flecha blanca). Además, se observa enfisema en los tejidos blandos del mismo lado (asterisco).</p>
Figura 3

Reformateo dorsal en ventana de hueso en el que se muestra que la lesión intracraneal, hipoatenuante, de márgenes bien definidos y redondeados, de densidad aire (probablemente ventrículo lateral izquierdo) (flecha sólida) comunica con el espacio extradural (flecha amarilla) mediante una fístula (flecha blanca). Además, se observa enfisema en los tejidos blandos del mismo lado (asterisco).

¿Cuál es el diagnóstico en el segundo TAC?

Neumoencéfalo intraventricular a tensión traumático.

El neumoencéfalo se define como un acúmulo de aire o gas dentro de la cavidad craneal.[ Osborn A.G. Diagnostic Imaging Brain. Pneumocephalus II-4 18-21 (skull,Scalp, and meninges). Amirsys, 2004. , Cavanaugh R.P, Aiken S.W, Schatzberg S.J. Intraventricular tension pneumocephalus and cervical subaracnoid pneumorrhachis in a bullmastiff dog after craniotomy. J Small Anim Pract 2008; 49: 244-248. [pubMed] ] Este puede ser asintomático o a tensión cuando el acúmulo de aire causa signos neurológicos.[ Garosi L.S, Penderis J, Brearley M.J, Brearley J.C, Dennis R, et al. Intraventricular tension pneumocephalus as a complication of transfrontal craniectomy: a case report. Vet Surg 2002; 31:226-231. [pubMed] , Uriarte A, Capello R. Transfrontal craniotomy. En Shores A. And Brisson BA (ed) Current Techniques in Canine and Feline Neurosurgery .Wiley Blackwell, 2017; 99-107. ] Dicho acúmulo puede situarse en el espacio epidural, subdural, subaracnoideo o a nivel intraventricular o intraparenquimatoso.[ Garosi L.S, Penderis J, Brearley M.J, Brearley J.C, Dennis R, et al. Intraventricular tension pneumocephalus as a complication of transfrontal craniectomy: a case report. Vet Surg 2002; 31:226-231. [pubMed] ] Puede darse como complicación después de craneotomías,[ Cavanaugh R.P, Aiken S.W, Schatzberg S.J. Intraventricular tension pneumocephalus and cervical subaracnoid pneumorrhachis in a bullmastiff dog after craniotomy. J Small Anim Pract 2008; 49: 244-248. [pubMed] , Garosi L.S, Penderis J, Brearley M.J, Brearley J.C, Dennis R, et al. Intraventricular tension pneumocephalus as a complication of transfrontal craniectomy: a case report. Vet Surg 2002; 31:226-231. [pubMed] ] traumatismos,[ Hecht S. Brain trauma-Pneumocephalus. En Mai W (ed) Diagnostic MRI in Dogs and Cats CRC Press, 2.018; 314. , Haley A.C, Abramson C. Traumatic pneumocephalus in a dog. J Am Vet Med Assoc 2009; 234,(10):1295-1298. [pubMed] , Thieman K, Echandi RL, Arendse A, Henry G. Imaging diagnosis: trauma-induced tension pneumocephalus. Vet Radiol Ultrasound 2008; 49:362-364. [pubMed] ] meningoencefalitis[  Fletcher D, Snyder J.M, Messinger J.S, Chiu A.G, Vite C.H. Ventricular pneumocephalus and septic meningoencephalitis secondary to dorsal rhinotomy and nasal polypectomy in a dog. J Am Vet Med Assoc, 2006; 229 (2): 240-245. [pubMed] ] y meningoencefaloceles.[ Shea A., Domínguez E., Stewart J. Spontaneous non-traumatic tension pneumocephalus in a dog with nasal meningoencephalocele. Vet Rec Case Rep 2018; 6. ]

¿Qué opciones de tratamiento tenemos?

En la mayoría de ocasiones de neumoencéfalo el aire acumulado es mínimo y no existen signos clínicos, por lo que se puede optar por observar y hacer seguimiento, ya que el aire suele reabsorberse en 2-3 semanas. En caso contrario estaría indicada una actuación inmediata. En medicina humana el tratamiento se basa en tres tipos de actuaciones. La primera es la reparación de la interrupción en el cráneo y meninges, la segunda es la evacuación del aire, mediante trepanación y drenaje, y la tercera es evitar cualquier tipo de factor agravante como la ventilación a presión positiva o la presencia de válvulas ventrículo-peritoneales o drenajes lumbares y ajustar su presión.[ González-Bonet L.G, Goig-Revert F.A, Rodríguez-Mena R.y Barcia-Mariño. Neumoencéfalo a tensión tras herida en cuero cabelludo en portadora de válvula de derivación ventrículo-peritoneal: caso clínico y revisión de la literatura. Neurocirugía, 2009; 20:152-158. [pubMed] ] En veterinaria el tratamiento del neumoencéfalo consiste en el restablecimiento de la presión intracraneal normal mediante la reparación de la posible fístula y de la dura con fascia temporal, grasa, parches hemostáticos o substitutos sintéticos de dura.[ Cavanaugh R.P, Aiken S.W, Schatzberg S.J. Intraventricular tension pneumocephalus and cervical subaracnoid pneumorrhachis in a bullmastiff dog after craniotomy. J Small Anim Pract 2008; 49: 244-248. [pubMed] , Garosi L.S, Penderis J, Brearley M.J, Brearley J.C, Dennis R, et al. Intraventricular tension pneumocephalus as a complication of transfrontal craniectomy: a case report. Vet Surg 2002; 31:226-231. [pubMed] , Uriarte A, Capello R. Transfrontal craniotomy. En Shores A. And Brisson BA (ed) Current Techniques in Canine and Feline Neurosurgery .Wiley Blackwell, 2017; 99-107. ] Además, en algunos de los casos descritos en veterinaria, se utilizó una aguja fina para evacuar el aire intraventricular[ Cavanaugh R.P, Aiken S.W, Schatzberg S.J. Intraventricular tension pneumocephalus and cervical subaracnoid pneumorrhachis in a bullmastiff dog after craniotomy. J Small Anim Pract 2008; 49: 244-248. [pubMed] , Garosi L.S, Penderis J, Brearley M.J, Brearley J.C, Dennis R, et al. Intraventricular tension pneumocephalus as a complication of transfrontal craniectomy: a case report. Vet Surg 2002; 31:226-231. [pubMed] , Thieman K, Echandi RL, Arendse A, Henry G. Imaging diagnosis: trauma-induced tension pneumocephalus. Vet Radiol Ultrasound 2008; 49:362-364. [pubMed] ] y en otros, polimetilmetacrilato para reparar y sellar el hueso frontal y placa cribiforme.[ Haley A.C, Abramson C. Traumatic pneumocephalus in a dog. J Am Vet Med Assoc 2009; 234,(10):1295-1298. [pubMed] , Thieman K, Echandi RL, Arendse A, Henry G. Imaging diagnosis: trauma-induced tension pneumocephalus. Vet Radiol Ultrasound 2008; 49:362-364. [pubMed] ] En un caso se usó un injerto del ala del ilion para la reparación de la placa cribiforme.[  Fletcher D, Snyder J.M, Messinger J.S, Chiu A.G, Vite C.H. Ventricular pneumocephalus and septic meningoencephalitis secondary to dorsal rhinotomy and nasal polypectomy in a dog. J Am Vet Med Assoc, 2006; 229 (2): 240-245. [pubMed] ] En otro, se insertó un tubo de rinostomía para igualar la presión intracraneal con la del seno frontal, pero sin un resultado evidente.[ Cavanaugh R.P, Aiken S.W, Schatzberg S.J. Intraventricular tension pneumocephalus and cervical subaracnoid pneumorrhachis in a bullmastiff dog after craniotomy. J Small Anim Pract 2008; 49: 244-248. [pubMed] ]

Discusión

El acúmulo de aire dentro de la cavidad craneal es un fenómeno muy frecuente en personas después de craneotomías y traumatismos y suele ser asintomático.[ Osborn A.G. Diagnostic Imaging Brain. Pneumocephalus II-4 18-21 (skull,Scalp, and meninges). Amirsys, 2004. , Garosi L.S, Penderis J, Brearley M.J, Brearley J.C, Dennis R, et al. Intraventricular tension pneumocephalus as a complication of transfrontal craniectomy: a case report. Vet Surg 2002; 31:226-231. [pubMed] ] El neumoencéfalo a tensión (neumoencéfalo sintomático) se produce cuando el aire se acumula bajo presión y provoca signos clínicos que suelen ser progresivos.[ Garosi L.S, Penderis J, Brearley M.J, Brearley J.C, Dennis R, et al. Intraventricular tension pneumocephalus as a complication of transfrontal craniectomy: a case report. Vet Surg 2002; 31:226-231. [pubMed] , Uriarte A, Capello R. Transfrontal craniotomy. En Shores A. And Brisson BA (ed) Current Techniques in Canine and Feline Neurosurgery .Wiley Blackwell, 2017; 99-107. ]

En medicina humana existen varias causas descritas que pueden conducir a la presencia de gas intracraneal a tensión. Entre ellas se encuentran las yatrogénicas (postoperatorias en neurocirugía de cráneo y columna y en otorrinolaringología), tras procedimientos invasivos como punciones lumbares, anestesias espinales-epidurales, ventriculostomías, agujeros de trépano para evacuación de hematomas subdurales y derivaciones ventrículo-peritoneales.[ Osborn A.G. Diagnostic Imaging Brain. Pneumocephalus II-4 18-21 (skull,Scalp, and meninges). Amirsys, 2004. , Garosi L.S, Penderis J, Brearley M.J, Brearley J.C, Dennis R, et al. Intraventricular tension pneumocephalus as a complication of transfrontal craniectomy: a case report. Vet Surg 2002; 31:226-231. [pubMed] , González-Bonet L.G, Goig-Revert F.A, Rodríguez-Mena R.y Barcia-Mariño. Neumoencéfalo a tensión tras herida en cuero cabelludo en portadora de válvula de derivación ventrículo-peritoneal: caso clínico y revisión de la literatura. Neurocirugía, 2009; 20:152-158. [pubMed] ] También está descrito después de anestesias con óxido nitroso, por afectación traumática o neoplásica de cavidades óseas neumatizadas o huesos de la cavidad craneal.[ Osborn A.G. Diagnostic Imaging Brain. Pneumocephalus II-4 18-21 (skull,Scalp, and meninges). Amirsys, 2004. , González-Bonet L.G, Goig-Revert F.A, Rodríguez-Mena R.y Barcia-Mariño. Neumoencéfalo a tensión tras herida en cuero cabelludo en portadora de válvula de derivación ventrículo-peritoneal: caso clínico y revisión de la literatura. Neurocirugía, 2009; 20:152-158. [pubMed] ] Otras causas descritas en medicina humana son otitis medias, microorganismos productores de gas, barotrauma durante submarinismo, espontáneo[ Osborn A.G. Diagnostic Imaging Brain. Pneumocephalus II-4 18-21 (skull,Scalp, and meninges). Amirsys, 2004. , Garosi L.S, Penderis J, Brearley M.J, Brearley J.C, Dennis R, et al. Intraventricular tension pneumocephalus as a complication of transfrontal craniectomy: a case report. Vet Surg 2002; 31:226-231. [pubMed] , González-Bonet L.G, Goig-Revert F.A, Rodríguez-Mena R.y Barcia-Mariño. Neumoencéfalo a tensión tras herida en cuero cabelludo en portadora de válvula de derivación ventrículo-peritoneal: caso clínico y revisión de la literatura. Neurocirugía, 2009; 20:152-158. [pubMed] ] y radioterapia.[ Garosi L.S, Penderis J, Brearley M.J, Brearley J.C, Dennis R, et al. Intraventricular tension pneumocephalus as a complication of transfrontal craniectomy: a case report. Vet Surg 2002; 31:226-231. [pubMed] , Haley A.C, Abramson C. Traumatic pneumocephalus in a dog. J Am Vet Med Assoc 2009; 234,(10):1295-1298. [pubMed] ] Los neumoencéfalos asintomáticos ocurren en el 3% de todas las fracturas craneales, en el 8% de fracturas en senos paranasales y en el 100% de pacientes después de cirugías supratentoriales en las primeras 48 horas.[ Osborn A.G. Diagnostic Imaging Brain. Pneumocephalus II-4 18-21 (skull,Scalp, and meninges). Amirsys, 2004. ]

Entre las causas de neumoencéfalo a tensión descritas en veterinaria se encuentran las yatrogénicas después de craneotomías por meningiomas frontales,[ Cavanaugh R.P, Aiken S.W, Schatzberg S.J. Intraventricular tension pneumocephalus and cervical subaracnoid pneumorrhachis in a bullmastiff dog after craniotomy. J Small Anim Pract 2008; 49: 244-248. [pubMed] , Garosi L.S, Penderis J, Brearley M.J, Brearley J.C, Dennis R, et al. Intraventricular tension pneumocephalus as a complication of transfrontal craniectomy: a case report. Vet Surg 2002; 31:226-231. [pubMed] ] postraumáticas después de traumatismo craneal y craneo-facial,[ Haley A.C, Abramson C. Traumatic pneumocephalus in a dog. J Am Vet Med Assoc 2009; 234,(10):1295-1298. [pubMed] , Thieman K, Echandi RL, Arendse A, Henry G. Imaging diagnosis: trauma-induced tension pneumocephalus. Vet Radiol Ultrasound 2008; 49:362-364. [pubMed] ] séptica por E. coli en rinitis-sinusitis crónica[  Fletcher D, Snyder J.M, Messinger J.S, Chiu A.G, Vite C.H. Ventricular pneumocephalus and septic meningoencephalitis secondary to dorsal rhinotomy and nasal polypectomy in a dog. J Am Vet Med Assoc, 2006; 229 (2): 240-245. [pubMed] ] y espontáneo por meningoencefalocele nasal.[ Shea A., Domínguez E., Stewart J. Spontaneous non-traumatic tension pneumocephalus in a dog with nasal meningoencephalocele. Vet Rec Case Rep 2018; 6. ] Un estudio multicéntrico sobre fracturas traumáticas de cráneo con 91 perros y 95 gatos mostró una incidencia de neumoencéfalo asintomático del 5,3% en el total de los 186 animales.[ Amengual-Batle P, José-López R, Durand A et al. Traumatic skull fractures in dogs and cats: a comparative analysis of neurological and computed tomographic features. J Vet Intern Med. 2020; 34: 1975-1985. [pubMed] ]

El neumoencéfalo a tensión se origina cuando existe una interrupción a través de cráneo y meninges que viene dada por las causas anteriormente citadas y, además, por el establecimiento de un gradiente de presiones entre la presión atmosférica y la presión intracraneal.[ Osborn A.G. Diagnostic Imaging Brain. Pneumocephalus II-4 18-21 (skull,Scalp, and meninges). Amirsys, 2004. ] Existe un equilibrio entre los factores que disminuyen la presión intracraneal y los que aumentan la presión del aire extradural. La formación de fístulas entre el aire extradural y ventrículos cerebrales favorece la entrada de aire a modo de válvula unidireccional.[ Garosi L.S, Penderis J, Brearley M.J, Brearley J.C, Dennis R, et al. Intraventricular tension pneumocephalus as a complication of transfrontal craniectomy: a case report. Vet Surg 2002; 31:226-231. [pubMed] , González-Bonet L.G, Goig-Revert F.A, Rodríguez-Mena R.y Barcia-Mariño. Neumoencéfalo a tensión tras herida en cuero cabelludo en portadora de válvula de derivación ventrículo-peritoneal: caso clínico y revisión de la literatura. Neurocirugía, 2009; 20:152-158. [pubMed] ] Este factor junto con la fuga de líquido cefalorraquídeo (LCR) son dos condicionantes muy importantes para favorecer la disminución de la presión intracraneal, lo que provoca un gradiente de presión negativa hacia el interior de la cavidad craneal y facilita la entrada de aire extradural. La tos y los estornudos también pueden favorecer la formación del neumoencéfalo.[ Cavanaugh R.P, Aiken S.W, Schatzberg S.J. Intraventricular tension pneumocephalus and cervical subaracnoid pneumorrhachis in a bullmastiff dog after craniotomy. J Small Anim Pract 2008; 49: 244-248. [pubMed] , Garosi L.S, Penderis J, Brearley M.J, Brearley J.C, Dennis R, et al. Intraventricular tension pneumocephalus as a complication of transfrontal craniectomy: a case report. Vet Surg 2002; 31:226-231. [pubMed] , González-Bonet L.G, Goig-Revert F.A, Rodríguez-Mena R.y Barcia-Mariño. Neumoencéfalo a tensión tras herida en cuero cabelludo en portadora de válvula de derivación ventrículo-peritoneal: caso clínico y revisión de la literatura. Neurocirugía, 2009; 20:152-158. [pubMed] ]

En nuestro caso, la entrada de aire hacia la cavidad craneal ocurrió a través del seno frontal y de las fracturas en dicho hueso, de la dura y de la fístula creada que actuó como válvula unidireccional (Fig. 3). Además, esta paciente presentó estornudos frecuentes debido a las lesiones en la cavidad nasal que provocaron sangrado y hematomas. 

La presentación de signos neurológicos como ceguera y obnubilación, así como las imágenes de TAC sugerían un neumoencéfalo a tensión. La ceguera se atribuyó a la compresión del Núcleo Geniculado Lateral (NGLT) izquierdo por el aire acumulado.

Se observaron fracturas en los huesos de las tres principales subdivisiones del cráneo: cara (maxilar, palatino), bóveda craneal (frontal y etmoides) y base de cráneo (preesfenoides). El estudio completo del TAC reveló fracturas conminutas y simples, la mayoría desplazadas y/o deprimidas (Fig. 4).

<p>Reformateo 3D, vista dorsal del cráneo que muestra las fracturas a nivel frontal que provocan el desplazamiento en dicha zona (flechas).</p>
Figura 4

Reformateo 3D, vista dorsal del cráneo que muestra las fracturas a nivel frontal que provocan el desplazamiento en dicha zona (flechas).

Se optó por la cirugía para permitir la retirada de fragmentos óseos y hematomas, la limpieza con salino fisiológico para evitar infecciones, evacuar el aire intraventricular mediante aguja fina, reparar la fístula y sellar los defectos óseos del hueso frontal. La fístula no se llegó a visualizar, la dura se selló con un parche de celulosa y el hueso frontal con polimetilmetacrilato (Fig. 5). El TAC postoperatorio aún mostraba un neumoencéfalo considerable y en el mismo procedimiento se insertó un catéter intraventricular (Hydrocephalus Shunt System HpbioR, Sao Paulo, Brasil) a modo de drenaje a nivel parietal y se dejó durante unos minutos mientras se repetían dos TACs de control adicionales. Con este sistema no se evacuó una cantidad de aire considerable, aunque sí se observó cierta reducción en el volumen ventricular (Fig. 6). Se mantuvo durante unos veinte minutos en total y se optó por retirarlo y esperar.

<p>Reformateo 3D, vista frontal postoperatoria en la que se aprecia el sellado del hueso frontal con cemento óseo (flechas).</p>
Figura 5

Reformateo 3D, vista frontal postoperatoria en la que se aprecia el sellado del hueso frontal con cemento óseo (flechas).

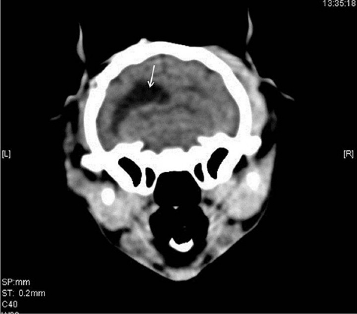
<p>Corte transversal en algoritmo de hueso de 2 mm de grosor a la altura de las bullas timpánicas del TAC postoperatorio en el que se muestra el catéter intraventricular (flecha) en el ventrículo lateral izquierdo, el cual se muestra dilatado, con márgenes bien definidos, redondeado e hipoatenuante (flecha sólida), igual que el ventrículo lateral derecho pero este en menor cantidad.</p>
Figura 6

Corte transversal en algoritmo de hueso de 2 mm de grosor a la altura de las bullas timpánicas del TAC postoperatorio en el que se muestra el catéter intraventricular (flecha) en el ventrículo lateral izquierdo, el cual se muestra dilatado, con márgenes bien definidos, redondeado e hipoatenuante (flecha sólida), igual que el ventrículo lateral derecho pero este en menor cantidad.

La recuperación postoperatoria más inmediata fue favorable, pues la paciente se mostraba más activa y a los 4 días de la intervención se le dio el alta hospitalaria, con amoxicilina-clavulánico, meloxicam, tobramicina en colirio y gel oftálmico en el ojo izquierdo. En la revisión a los 7 días la gata empezaba a sortear obstáculos inesperados en casa, según el propietario, y presentaba respuesta de amenaza. Diecisiete días después, se enucleó el ojo izquierdo y se realizó un nuevo TAC de revisión en el que se observó una completa resolución del neumoencéfalo (Fig. 7). Seis meses después de la intervención, la paciente sigue con calidad de vida, es visual, y no ha mostrado más signos relacionados con el traumatismo ni con el neumoencéfalo. Hay que tener en cuenta la aparición de posibles signos neurológicos en un futuro como ataques epilépticos, ya que estos se pueden presentar como secuela de los traumatismos craneoencefálicos.

<p>Corte transversal en algoritmo de tejido blando de 2 mm de grosor a la altura de las bullas timpánicas del TAC realizado a los 17 días de la cirugía en el que se observa la resolución del neumoencéfalo. Se observa una dilatación del ventrículo lateral izquierdo (flecha).</p>
Figura 7

Corte transversal en algoritmo de tejido blando de 2 mm de grosor a la altura de las bullas timpánicas del TAC realizado a los 17 días de la cirugía en el que se observa la resolución del neumoencéfalo. Se observa una dilatación del ventrículo lateral izquierdo (flecha).

Fuente de financiación: este trabajo no se ha realizado con fondos comerciales, públicos o del sector privado. 

Conflicto de intereses: los autores declaran que no existe conflicto de intereses.

Bibliografía

  1. [1] Osborn A.G. Diagnostic Imaging Brain. Pneumocephalus II-4 18-21 (skull,Scalp, and meninges). Amirsys, 2004.
  2. [2] Cavanaugh R.P, Aiken S.W, Schatzberg S.J. Intraventricular tension pneumocephalus and cervical subaracnoid pneumorrhachis in a bullmastiff dog after craniotomy. J Small Anim Pract 2008; 49: 244-248. [pubMed]
  3. [3] Garosi L.S, Penderis J, Brearley M.J, Brearley J.C, Dennis R, et al. Intraventricular tension pneumocephalus as a complication of transfrontal craniectomy: a case report. Vet Surg 2002; 31:226-231. [pubMed]
  4. [4] Uriarte A, Capello R. Transfrontal craniotomy. En Shores A. And Brisson BA (ed) Current Techniques in Canine and Feline Neurosurgery .Wiley Blackwell, 2017; 99-107.
  5. [5] Hecht S. Brain trauma-Pneumocephalus. En Mai W (ed) Diagnostic MRI in Dogs and Cats CRC Press, 2.018; 314.
  6. [6] Haley A.C, Abramson C. Traumatic pneumocephalus in a dog. J Am Vet Med Assoc 2009; 234,(10):1295-1298. [pubMed]
  7. [7] Thieman K, Echandi RL, Arendse A, Henry G. Imaging diagnosis: trauma-induced tension pneumocephalus. Vet Radiol Ultrasound 2008; 49:362-364. [pubMed]
  8. [8]  Fletcher D, Snyder J.M, Messinger J.S, Chiu A.G, Vite C.H. Ventricular pneumocephalus and septic meningoencephalitis secondary to dorsal rhinotomy and nasal polypectomy in a dog. J Am Vet Med Assoc, 2006; 229 (2): 240-245. [pubMed]
  9. [9] Shea A., Domínguez E., Stewart J. Spontaneous non-traumatic tension pneumocephalus in a dog with nasal meningoencephalocele. Vet Rec Case Rep 2018; 6.
  10. [10] González-Bonet L.G, Goig-Revert F.A, Rodríguez-Mena R.y Barcia-Mariño. Neumoencéfalo a tensión tras herida en cuero cabelludo en portadora de válvula de derivación ventrículo-peritoneal: caso clínico y revisión de la literatura. Neurocirugía, 2009; 20:152-158. [pubMed]
  11. [11] Amengual-Batle P, José-López R, Durand A et al. Traumatic skull fractures in dogs and cats: a comparative analysis of neurological and computed tomographic features. J Vet Intern Med. 2020; 34: 1975-1985. [pubMed]

Artículos recomendados

Estas recomendaciones se ofrecen de forma automática.

  • Caso clínico de… Urgencias

    I. Sunyer
    Clin Vet Peq Anim Vol. 45 - Nº 2 · JUN 2025 · Caso Clínico de...
  • Caso clínico de… Cirugía de tejidos blandos

    N. Jurado, L. Fresno, L. Santos
    Clin Vet Peq Anim Vol. 44 - Nº 1 · MAR 2024 · Caso Clínico de...
  • Caso clínico de… Urgencias

    M. Solana, C. Gómez-Ullate, J.L. Puchol, et al.
    Clin Vet Peq Anim Vol. 43 - Nº 4 · DIC 2023 · Caso Clínico de...
  • Inicio
  • Historia clínica
  • ¿Qué alteraciones se observan en el primer TAC?
  • ¿Qué ha ocurrido entre los dos TACs?
  • ¿Cuál es el diagnóstico en el segundo TAC?
  • ¿Qué opciones de tratamiento tenemos?
  • Discusión
  • Bibliografía
Artículo anterior Índice de la revista Artículo siguiente
ANUNCIO
Próximos cursos ATVs Elearning
Índice
Inicio Historia clínica ¿Qué alteraciones se observan en el primer TAC? ¿Qué ha ocurrido entre los dos TACs? ¿Cuál es el diagnóstico en el segundo TAC? ¿Qué opciones de tratamiento tenemos? Discusión Bibliografía
Boehringer - NexGard
ANUNCIO

¿No eres socio de AVEPA y quieres recibir comunicación de las nuevas ediciones en tu correo?

Suscríbete

Suscríbete y te avisaremos cuando publiquemos un nuevo número

Suscribirme

Enlaces rápidos

  • Inicio
  • Último número
  • Archivo
  • Artículos

Información

  • Comité editorial
  • Política de cookies
  • Política de privacidad
  • Términos y condiciones

Contacto

  • info@imaginice.com
  • Envíanos tu artículo
© 2026 Ice Salud Vet SL. Todos los derechos reservados.

Usamos cookies para mejorar tu experiencia. Selecciona cuáles aceptas: