Logo AVEPA

Clínica Veterinaria de Pequeños Animales

Revista oficial de AVEPA

  • Inicio
  • Último número
  • Archivo
  • Artículos
  • Para autores
  • Contacto
Cursos Junio-Septiembre 2026
ANUNCIO

Clínica Veterinaria de Pequeños Animales

Revista oficial de AVEPA

  • Inicio
  • Último número
  • Archivo
  • Artículos
  • Para autores
  • Contacto
Curso Oftalmología 2026
ANUNCIO
Clin Vet Peq Anim Vol. 44 • Nº 2 • junio 2024

¿Cuál es tu diagnóstico?

¿Cuál es tu diagnóstico?

L. Martín-Carrasco

Servicio de Diagnóstico por Imagen del Hospital Clínico Veterinario Complutense, Universidad Complutense de Madrid. Avenida Puerta de Hierro s/n. 28040 Madrid.

Otros artículos de L. Martín-Carrasco:
  • ¿Cuál es tu diagnóstico?
    Clin Vet Peq Anim Vol. 46 • Nº 1 • marzo 2026

R. Salgüero-Fernández

Servicio de Diagnóstico por Imagen del Hospital Clínico Veterinario Complutense, Universidad Complutense de Madrid. Avenida Puerta de Hierro s/n. 28040 Madrid. Veterios Hospital Veterinario. Arrastaria 23. 28022 Madrid.

Contacto: lauram22@ucm.es
Descargar artículo

Historia clínica

Acudió a consulta de urgencias un perro mestizo, macho castrado de 12 años, con sintomatología de abdomen agudo y decaimiento de 5 horas de evolución. Como antecedentes, presentaba una enfermedad degenerativa de la válvula mitral en fase B1.

La exploración mostró un dolor abdominal marcado, temperatura de 40,8 ºC, mucosas pálidas, una deshidratación aproximada del 4 % y un soplo grado II/VI.

Se realizó un estudio analítico donde la bioquímica sanguínea reveló un aumento marcado de la ALT con valor de 2055 U/l (rango normal: 47-67 U/l). El hemograma, incluido los tiempos de coagulación, no reveló ninguna anomalía. 

Se realizó un estudio radiográfico de abdomen con proyecciones lateral izquierda y ventrodorsal (Fig. 1).

<p>Radiografías de abdomen de un perro mestizo de 12 años en proyección lateral izquierda (<strong>A</strong>) y proyección ventrodorsal (<strong>B</strong>).</p>
Figura 1

Radiografías de abdomen de un perro mestizo de 12 años en proyección lateral izquierda (A) y proyección ventrodorsal (B).

Describe las alteraciones radiográficas observadas

Se observa una disminución de la visualización de las serosas abdominales en el abdomen craneal y medio (Fig. 2), con presencia de pequeñas burbujas de gas libre caudoventral a la silueta hepática compatible con neumoperitoneo (Fig. 2A). Ambas proyecciones mostraban una hepatomegalia con bordes redondeados excediendo levemente el arco costal, con presencia de una zona de opacidad gas, de morfología y bordes irregulares, poco definidos, localizada en la zona de proyección hepática en su aspecto craneoventral y con lateralización hacia la derecha (Fig. 2). Así mismo, se apreció otra lesión, de opacidad gas y de menor tamaño, caudalmente a la previamente descrita, en la zona media del hígado y asociada a un efecto masa en la proyección ventrodorsal, que producía hacia caudal un desplazamiento del cuerpo gástrico y antro pilórico (Fig. 2B). Como hallazgo incidental, se observó una espondilosis ventrolateral deformante en la columna lumbar.

<p>Imágenes ampliadas de las radiografías en proyección lateral izquierda (<strong>A</strong>) y ventrodorsal (<strong>B</strong>). Se observa la lesión de opacidad gas y bordes irregulares localizada en la proyección hepática, en su aspecto craneoventral y lateralizada a la derecha (flechas blancas). Se muestra otra lesión de opacidad gas, de menor tamaño respecto a la descrita, en la zona media del hígado (flechas moradas), que provoca un efecto masa (*) y genera un desplazamiento hacia caudal del antro pilórico y cuerpo gástrico (flechas negras). Caudoventral a la silueta hepática se observan pequeñas burbujas de gas libre compatible con neumoperitoneo (flechas azules).</p>
Figura 2

Imágenes ampliadas de las radiografías en proyección lateral izquierda (A) y ventrodorsal (B). Se observa la lesión de opacidad gas y bordes irregulares localizada en la proyección hepática, en su aspecto craneoventral y lateralizada a la derecha (flechas blancas). Se muestra otra lesión de opacidad gas, de menor tamaño respecto a la descrita, en la zona media del hígado (flechas moradas), que provoca un efecto masa (*) y genera un desplazamiento hacia caudal del antro pilórico y cuerpo gástrico (flechas negras). Caudoventral a la silueta hepática se observan pequeñas burbujas de gas libre compatible con neumoperitoneo (flechas azules).

¿Cuáles son los diagnósticos diferenciales compatibles con los signos radiográficos observados?

La pérdida de diferenciación de serosas fue compatible con un leve volumen de líquido libre abdominal o inflamación peritoneal, sin poder descartar otras causas como una carcinomatosis/sarcomatosis peritoneal. Las causas más comunes de neumoperitoneo incluyen heridas penetrantes, fuga de gas de órganos enfisematosos, perforación o rotura de órganos que contienen gas debido a traumatismos, neoplasias o ulceraciones y por causas iatrogénicas, (p. ej., laparotomías).[ Dennis R, Kirberger R, Barr F, et al. Other abdominal structures: abdominal wall. peritoneal and retroperitoneal cavities. parenchymal organs. En: Dennis R, Kirberger R, Barr F, eds. Handbook of Small Animal Radiology and Ultrasound – Techniques and Differential Diagnoses. 2nd ed. Croydon: Saunders Elsevier; 2010; 229-266. ] La lesión localizada en la proyección hepática más cranealmente y lateralizada hacia la derecha con contenido gas, según su localización, podría ser compatible con un absceso hepático, colecistitis enfisematosa, neoplasia o granuloma hepático infectado. La lesión localizada más caudalmente y con efecto masa a nivel gástrico podría corresponderse con otro absceso o con la presencia de una masa necrosada de origen benigno (p. ej., hiperplasia nodular, quiste, hematoma) o maligno (p. ej., carcinoma hepatocelular). 

Ante el conjunto de los hallazgos radiológicos encontrados, la sospecha principal fue de una rotura de un absceso/neoplasia hepática necrosada.

¿Es necesario realizar otras técnicas de diagnóstico por imagen o pruebas para alcanzar el diagnóstico definitivo?

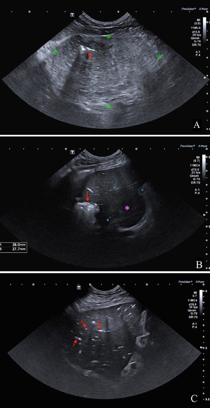
En el presente caso, se realizó una ecografía abdominal donde se identificó la presencia de una masa hepática, heterogénea y de bordes poco definidos, de 8,2 x 6,1 cm, localizada en el aspecto ventral derecho y medio del hígado, con mineralizaciones diminutas y presencia de focos ecogénicos que provocaban artefacto de reverberación compatible con gas intralesional (Fig. 3A); así como otro nódulo hipoecoico de 2,8 x 2,7 cm (Fig. 3B). Además, en el aspecto craneal de los lóbulos hepáticos derechos, se encontró una lesión cavitada, con gas en su interior (Fig. 3B) y múltiples acúmulos de gas intravascular adyacentes a la lesión (Fig. 3C). También se observó un pequeño volumen de líquido libre ecogénico entre los órganos abdominales, gas libre y reacción peritoneal adyacente al hígado. 

<p>Imágenes ecográficas del parénquima hepático mostrando diferentes lesiones. (<strong>A</strong>) Se observa una masa hepática (*) con presencia de gas intralesional (flecha roja). (<strong>B</strong>) Lesión hepática con gas en su interior que produce artefacto de reverberación (flecha roja) y un nódulo hipoecoico y bien delimitado (*). (<strong>C</strong>) Se aprecian múltiples acúmulos de gas intraparenquimatosos a nivel intravascular (flechas rojas).</p>
Figura 3

Imágenes ecográficas del parénquima hepático mostrando diferentes lesiones. (A) Se observa una masa hepática (*) con presencia de gas intralesional (flecha roja). (B) Lesión hepática con gas en su interior que produce artefacto de reverberación (flecha roja) y un nódulo hipoecoico y bien delimitado (*). (C) Se aprecian múltiples acúmulos de gas intraparenquimatosos a nivel intravascular (flechas rojas).

Se realizó una abdominocentesis ecoguiada que confirmó una peritonitis séptica. Con estos hallazgos, el diagnóstico presuntivo fue de dos abscesos asociados a masas hepáticas con posible rotura, peritonitis y neumoperitoneo, así como hepatitis enfisematosa concurrente. 

Se realizó una laparotomía exploratoria bajo anestesia general extirpando, mediante una lobectomía parcial del lóbulo medial derecho, la masa hepática de mayor tamaño, cuya histopatología fue compatible con un carcinoma hepatocelular bien diferenciado (Fig. 4). 

<p>Imágenes realizadas en la intervención en las que se observa la masa de mayor tamaño compatible con un carcinoma hepatocelular bien diferenciado (cedidas por Gustavo Ortiz, Hospital Clínico Veterinario Complutense, Universidad Complutense de Madrid. Avenida Puerta de Hierro s/n, 28040 Madrid).</p>
Figura 4

Imágenes realizadas en la intervención en las que se observa la masa de mayor tamaño compatible con un carcinoma hepatocelular bien diferenciado (cedidas por Gustavo Ortiz, Hospital Clínico Veterinario Complutense, Universidad Complutense de Madrid. Avenida Puerta de Hierro s/n, 28040 Madrid).

El paciente se recuperó sin incidencias, dándole el alta a los dos días tras el diagnóstico.

Comentario

Los abscesos hepáticos se describen como un acúmulo de pus localizados en el parénquima hepático. Estas lesiones son poco frecuentes en perros y gatos y se pueden formar a partir de infecciones extrahepáticas incluyendo infecciones ascendentes del tracto biliar, infecciones a través de la vascularización hepática y por proximidad con otras zonas infectadas adyacentes. Otras causas son las traumáticas, como heridas penetrantes, torsiones, contusiones o biopsias, neoplasias, y están descritas en pacientes diagnosticados de diabetes mellitus.[ Welch Fossum, T. Cirugía del hígado. En: Welch Fossum T. 3ª ed. Cirugía en pequeños animales. Barcelona, España: Elsevier; 2009; 531-559. , Burke JE, Hess RS, McEntee EP, et al. Hepatic abscessation in dogs: A multicenter study of 56 cases (2010-2019). J Vet Emerg Crit Care 2023; 33(6): 665-675 [PubMed] ]

El diagnóstico presuntivo de los abscesos hepáticos se realiza mediante los hallazgos durante la exploración física y con las diferentes técnicas de diagnóstico por imagen. Los signos clínicos incluyen anorexia, letargia, pérdida de peso, vómitos y dolor abdominal. En la exploración física suelen presentar fiebre, hepatomegalia y distensión abdominal.[ Welch Fossum, T. Cirugía del hígado. En: Welch Fossum T. 3ª ed. Cirugía en pequeños animales. Barcelona, España: Elsevier; 2009; 531-559. ]

Las radiografías del abdomen pueden mostrar hepatomegalia, pero rara vez se aprecia una masa bien definida.[ Welch Fossum, T. Cirugía del hígado. En: Welch Fossum T. 3ª ed. Cirugía en pequeños animales. Barcelona, España: Elsevier; 2009; 531-559. ] Cuando el absceso esté producido por bacterias productoras de gas, superpuesto con el parénquima hepático, el gas se podrá visualizar como un patrón moteado e irregular, normalmente en un área localizada.[ Larson MM. Liver and spleen. En: Thrall DE, 7th ed. Textbook of Veterinary Diagnostic Radiology. St. Louis, MO: Elsevier; 2018; 792-822 ]

En los estudios ecográficos, los abscesos hepáticos presentan una apariencia variable según su duración. Generalmente, los abscesos hepáticos suelen mostrar una pared ecogénica con una parte central anecoica o hipoecoica. Si estos contienen gas, se identificará artefacto de reverberación en su interior.[ Larson MM. Liver and spleen. En: Thrall DE, 7th ed. Textbook of Veterinary Diagnostic Radiology. St. Louis, MO: Elsevier; 2018; 792-822 ] Dichos hallazgos han sido previamente descritos en el caso clínico presentado.

Aunque la tomografía computarizada no se realizó en este caso, la apariencia de los abscesos ha sido reportada como lesiones hipoatenuantes y heterogéneas que realzan en su periferia y no en su centro, y que pueden contener gas en su interior.[ Rosen S, Lumbrezer-Johnson S, Hostnik E, Salyer S, Selmic LE. Recurrent liver abscessation in a dog with an incompletely resected hepatocellular adenoma. Vet Rec Case Rep 2023; 11-536 ] Además, esta técnica identificará y delimitará otras lesiones con mayor exactitud y así permitirá una mejor planificación del procedimiento quirúrgico. 

El pronóstico es variable, desde un pronóstico reservado hasta tasas de supervivencia del 70-100 % dependiendo de la rapidez con la que se haya diagnosticado, de la causa subyacente y del estado clínico general del animal.[ Burke JE, Hess RS, McEntee EP, et al. Hepatic abscessation in dogs: A multicenter study of 56 cases (2010-2019). J Vet Emerg Crit Care 2023; 33(6): 665-675 [PubMed] , Schwarz, L. A., Penninck, D. G., & Leveille-Webster, C. Hepatic abscesses in 13 dogs: a review of the ultrasonographic findings, clinical data and therapeutic options. Vet Radiol Ultrasound. 1998; 39(4): 357-365 [PubMed] ] El tratamiento médico incluye la administración de fluidoterapia junto con una antibioterapia en base a un cultivo y antibiograma. La resección quirúrgica estará indicada cuando el paciente se encuentre estable para el procedimiento anestésico,[ Welch Fossum, T. Cirugía del hígado. En: Welch Fossum T. 3ª ed. Cirugía en pequeños animales. Barcelona, España: Elsevier; 2009; 531-559. ] como se procedió en nuestro caso.

Como conclusión, las técnicas de diagnóstico por imagen son imprescindibles en el diagnóstico de abscesos hepáticos, siendo la combinación de la radiología y la ecografía la más utilizada hoy en día, pudiendo realizar una tomografía computarizada para los casos más complejos, lo cual aporta una mayor caracterización de las lesiones.

Fuente de financiación: este trabajo no se ha realizado con fondos comerciales, públicos o del sector privado.

Conflicto de intereses: los autores declaran que no existe conflicto de intereses.

Bibliografía

  1. [1] Dennis R, Kirberger R, Barr F, et al. Other abdominal structures: abdominal wall. peritoneal and retroperitoneal cavities. parenchymal organs. En: Dennis R, Kirberger R, Barr F, eds. Handbook of Small Animal Radiology and Ultrasound – Techniques and Differential Diagnoses. 2nd ed. Croydon: Saunders Elsevier; 2010; 229-266.
  2. [2] Welch Fossum, T. Cirugía del hígado. En: Welch Fossum T. 3ª ed. Cirugía en pequeños animales. Barcelona, España: Elsevier; 2009; 531-559.
  3. [3] Burke JE, Hess RS, McEntee EP, et al. Hepatic abscessation in dogs: A multicenter study of 56 cases (2010-2019). J Vet Emerg Crit Care 2023; 33(6): 665-675 [PubMed]
  4. [4] Larson MM. Liver and spleen. En: Thrall DE, 7th ed. Textbook of Veterinary Diagnostic Radiology. St. Louis, MO: Elsevier; 2018; 792-822
  5. [5] Rosen S, Lumbrezer-Johnson S, Hostnik E, Salyer S, Selmic LE. Recurrent liver abscessation in a dog with an incompletely resected hepatocellular adenoma. Vet Rec Case Rep 2023; 11-536
  6. [6] Schwarz, L. A., Penninck, D. G., & Leveille-Webster, C. Hepatic abscesses in 13 dogs: a review of the ultrasonographic findings, clinical data and therapeutic options. Vet Radiol Ultrasound. 1998; 39(4): 357-365 [PubMed]

Artículos recomendados

Estas recomendaciones se ofrecen de forma automática.

  • ¿Cuál es tu diagnóstico?
    L. Martín-Carrasco, E. Mínguez-Pereira, R. Salgüero-Fernández, et al.
    Clin Vet Peq Anim Vol. 46 - Nº 1 · MAR 2026 · ¿Cuál es tu diagnóstico?
  • ¿Cuál es tu diagnóstico?
    D. Marbella, A.M. Hernández-Guerra, L. Montalvà-Minguet
    Clin Vet Peq Anim Vol. 45 - Nº 4 · DIC 2025 · ¿Cuál es tu diagnóstico?
  • ¿Cuál es tu diagnóstico?

    J.D. Carrillo, M. Soler, M.S. Echalecu, et al.
    Clin Vet Peq Anim Vol. 45 - Nº 3 · SEP 2025 · ¿Cuál es tu diagnóstico?
  • Inicio
  • Historia clínica
  • Describe las alteraciones radiográficas observadas
  • ¿Cuáles son los diagnósticos diferenciales compatibles con los signos radiográficos observados?
  • ¿Es necesario realizar otras técnicas de diagnóstico por imagen o pruebas para alcanzar el diagnóstico definitivo?
  • Comentario
  • Bibliografía
Artículo anterior Índice de la revista Artículo siguiente
ANUNCIO
Próximos cursos ATVs Elearning
Índice
Inicio Historia clínica Describe las alteraciones radiográficas observadas ¿Cuáles son los diagnósticos diferenciales compatibles con los signos radiográficos observados? ¿Es necesario realizar otras técnicas de diagnóstico por imagen o pruebas para alcanzar el diagnóstico definitivo? Comentario Bibliografía
Boehringer - NexGard
ANUNCIO

¿No eres socio de AVEPA y quieres recibir comunicación de las nuevas ediciones en tu correo?

Suscríbete

Suscríbete y te avisaremos cuando publiquemos un nuevo número

Suscribirme

Enlaces rápidos

  • Inicio
  • Último número
  • Archivo
  • Artículos

Información

  • Comité editorial
  • Política de cookies
  • Política de privacidad
  • Términos y condiciones

Contacto

  • info@imaginice.com
  • Envíanos tu artículo
© 2026 Ice Salud Vet SL. Todos los derechos reservados.

Usamos cookies para mejorar tu experiencia. Selecciona cuáles aceptas: