Logo AVEPA

Clínica Veterinaria de Pequeños Animales

Revista oficial de AVEPA

  • Inicio
  • Último número
  • Archivo
  • Artículos
  • Para autores
  • Contacto
Cursos Junio-Septiembre 2026
ANUNCIO

Clínica Veterinaria de Pequeños Animales

Revista oficial de AVEPA

  • Inicio
  • Último número
  • Archivo
  • Artículos
  • Para autores
  • Contacto
Curso Oftalmología 2026
ANUNCIO
Clin Vet Peq Anim Vol. 44 • Nº 4 • diciembre 2024

Abordaje diagnóstico y terapéutico de una aspergilosis sinonasal en un perro

Diagnostic and Therapeutic Approach to Sinonasal Aspergillosis in a Dog

Artículo original referido a un solo caso clínico

C. Trillo-Figueroa-Penadés

Hospital Veterinario Les Alfábegues. c/ Teodoro Llorente 12. 46117 Bétera (Valencia).

A. Navarro-Arnal

Hospital Veterinario Les Alfábegues. c/ Teodoro Llorente 12. 46117 Bétera (Valencia).

A. Ferrada-Muñoz

Hospital Veterinario Les Alfábegues. c/ Teodoro Llorente 12. 46117 Bétera (Valencia).

E. Álvarez-Avellaneda

Hospital Veterinario Les Alfábegues. c/ Teodoro Llorente 12. 46117 Bétera (Valencia).

Contacto: celiatfp.vet@gmail.com
Palabras clave: aspergilosis sinonasal, Aspergillus fumigatus, rinoscopia, secreción nasal, trepanación senos.
Keywords: sinonasal aspergillosis, Aspergillus fumigatus, rhinoscopy, nasal discharge, sinus trephination.

Clin Vet Peq Anim 2024, 44 (4): 235-240

Descargar artículo

Resumen

El siguiente caso clínico expone el protocolo diagnóstico y terapéutico de un paciente canino que acudió con un cuadro de secreción nasal purulenta crónica. Tras el estudio mediante TC, rinoscopia y estudio microbiológico e histopatológico de las muestras obtenidas se obtuvo un diagnóstico de aspergilosis sinonasal. Inicialmente se trató mediante la aplicación tópica intranasal de pomada con antifúngico (clotrimazol) sin presentar una respuesta completa, por lo que se procedió a la trepanación de los senos y aplicación de los productos antifúngicos (combinando la realización de una instilación de enilconazol y posterior aplicación de la pomada) dentro de los mismos y de la cavidad nasal, observándose una resolución de los signos clínicos junto a la desaparición de las placas fúngicas.

Abstract

The following clinical case presents the diagnostic and therapeutic protocol of a canine patient who presented with a chronic purulent nasal discharge. After CT scan, rhinoscopy and microbiological and histopathological study, the diagnosis of sinonasal aspergillosis was confirmed. Initially, it was treated with the intranasal topical application of antifungal ointment (clotrimazole) without showing a complete response, so sinus trephination and application of antifungal products (combining a bath with enilconazole and subsequent application of the ointment) within the sinuses and nasal cavity were performed, observing a resolution of the clinical signs along with the disappearance of the fungal plaques.

AVEPA Elearning

La presencia de este logo en un artículo de la revista indica que se publicará un examen sobre el mismo en la plataforma AVEPA Elearning. Su resolución aporta 0,15 créditos dentro del sistema de acreditaciones de especialidades veterinarias de AVEPA.

Introducción

La rinitis/rinosinusitis fúngica es una enfermedad causada por la inhalación de conidios, habitualmente producida por Aspergillus fumigatus, un hongo saprófito ambiental oportunista. Es común inhalar los conidios sin desarrollar enfermedad; sin embargo, en caso de que los mecanismos de defensa local se vean comprometidos debido a otra causa (p. ej., inflamación, neoplasia o cuerpo extraño), es capaz de colonizar la mucosa, pudiendo extenderse y llegar a producir lisis de la lámina cribriforme.[ Billen F, Peeters D: Canine aspergillosis. En Ettinger SJ, Feldman EC, Cote E (8th): Textbook of Veterinary Internal Medicine. Misouri, Saunders Elsevier, 2017: 1035-1039. , Sharman MJ, Mansfield CS. Sinonasal aspergilosis in dogs: a review. Small Anim Pract 2012; 53(8): 434-44. [PubMed] ] Es una de las causas más comunes en perros de secreción nasal crónica (7-34 %) mucopurulenta e incluso hemorrágica, unilateral o bilateral, con una evolución de semanas a meses.[ Billen F, Peeters D: Canine aspergillosis. En Ettinger SJ, Feldman EC, Cote E (8th): Textbook of Veterinary Internal Medicine. Misouri, Saunders Elsevier, 2017: 1035-1039. , Lopez J: Sneezing and nasal discharge. En Ettinger SJ, Feldman EC, Cote E (8th): Textbook of Veterinary Internal Medicine. Misouri, Saunders Elsevier, 2017: 111-115. ]

Las razas dolicocéfalas (golden retriever, labrador retriever, pastor belga, pastor alemán, rottweiler, border collie, bull terrier) se encuentran predispuestas.[ Billen F, Peeters D: Canine aspergillosis. En Ettinger SJ, Feldman EC, Cote E (8th): Textbook of Veterinary Internal Medicine. Misouri, Saunders Elsevier, 2017: 1035-1039. ] La multiplicación de los microorganismos fúngicos se ve favorecido por las altas temperaturas y la humedad; por ello, es más frecuente en climas tropicales, aunque puede darse en cualquier geolocalización.[ Magro M, Sykes J, Vishkautsan P, Martínez-López B. Spatial patterns and impacts of environmental and climatic factors on canine sinonasal aspergillosis in Northern California. Front Vet Sci 2017; 3(4):104. [PubMed] ]

Caso clínico

Se presentó en consulta un paciente canino, macho castrado, mestizo de 8 años de edad, dolicocéfalo y de 31 kg de peso, correctamente vacunado y desparasitado. Acude a consulta debido a un cuadro de descarga nasal purulenta unilateral (ollar izquierdo) de 2 meses de evolución. Anteriormente en otro centro veterinario se realizaron analíticas sanguíneas y radiografías de tórax sin mostrar alteraciones. En la exploración física únicamente se observó secreción nasal mucopurulenta del ollar izquierdo asociada a despigmentación ventral; el resto de parámetros evaluados fueron normales.

Existen múltiples causas de secreción nasal. En el caso de la secreción nasal unilateral purulenta es probable que el origen sea una patología intranasal, aunque otras enfermedades sistémicas, provocadas por patógenos como Leishmania spp o Ehrlichia spp., o patologías pulmonares (p. ej., bronconeumonía) también pueden cursar con descarga nasal. En este caso, dada la reseña del paciente es improbable que presentase una patología congénita (paladar hendido, disquinesia ciliar o atresia coanal), no se describe historia de traumatismo previo y en la exploración física no se evidenciaron ruidos respiratorios ni alteración en la auscultación pulmonar que indicase la presencia de patología pulmonar o enfermedad en la nasofaringe. Dada la historia clínica es probable que estuviéramos ante un proceso inflamatorio/infeccioso (p. ej., fístula oronasal, rinitis alérgica o linfoplasmocitaria, cuerpo extraño o rinitis fúngica) o ante una neoplasia (adenocarcinoma, carcinoma de células escamosas, condrosarcoma, fibrosarcoma, melanoma, osteosarcoma). Debido a la cronicidad del proceso es poco probable que la causa fuese un proceso vírico (adenovirus o moquillo). Las infecciones bacterianas se consideran como una complicación de la patología primaria produciendo una infección secundaria oportunista, ya que no son patógenas por ellas mismas (a excepción de Bordetella bronchiseptica). Destacar que la presencia de la despigmentación nasal suele ser sugestivo de infección fúngica.[ Billen F, Peeters D: Canine aspergillosis. En Ettinger SJ, Feldman EC, Cote E (8th): Textbook of Veterinary Internal Medicine. Misouri, Saunders Elsevier, 2017: 1035-1039. , Sharman MJ, Mansfield CS. Sinonasal aspergilosis in dogs: a review. Small Anim Pract 2012; 53(8): 434-44. [PubMed] , Lopez J: Sneezing and nasal discharge. En Ettinger SJ, Feldman EC, Cote E (8th): Textbook of Veterinary Internal Medicine. Misouri, Saunders Elsevier, 2017: 111-115. ]

Dada la presencia de secreción nasal crónica unilateral con la sospecha de una patología intranasal, inicialmente se recomendó realizar una TC previa a la rinoscopia, con la intención de realizar ambos procedimientos el mismo día. Hay que tener en cuenta que el manejo previo de la rinoscopia puede alterar los hallazgos e impedir una adecuada valoración de las imágenes, teniendo que realizarse la TC días más tarde para valorar la integridad de la lámina cribiforme y escoger el tratamiento más adecuado, dando lugar a un retraso del mismo.[ Billen F, Peeters D: Canine aspergillosis. En Ettinger SJ, Feldman EC, Cote E (8th): Textbook of Veterinary Internal Medicine. Misouri, Saunders Elsevier, 2017: 1035-1039. , Sharman MJ, Mansfield CS. Sinonasal aspergilosis in dogs: a review. Small Anim Pract 2012; 53(8): 434-44. [PubMed] , Peeters D, Clercx C. Update on canine sinonasal aspergillosis. Vet Clin Small Anim 2007; 37: 901-916. [PubMed] ]

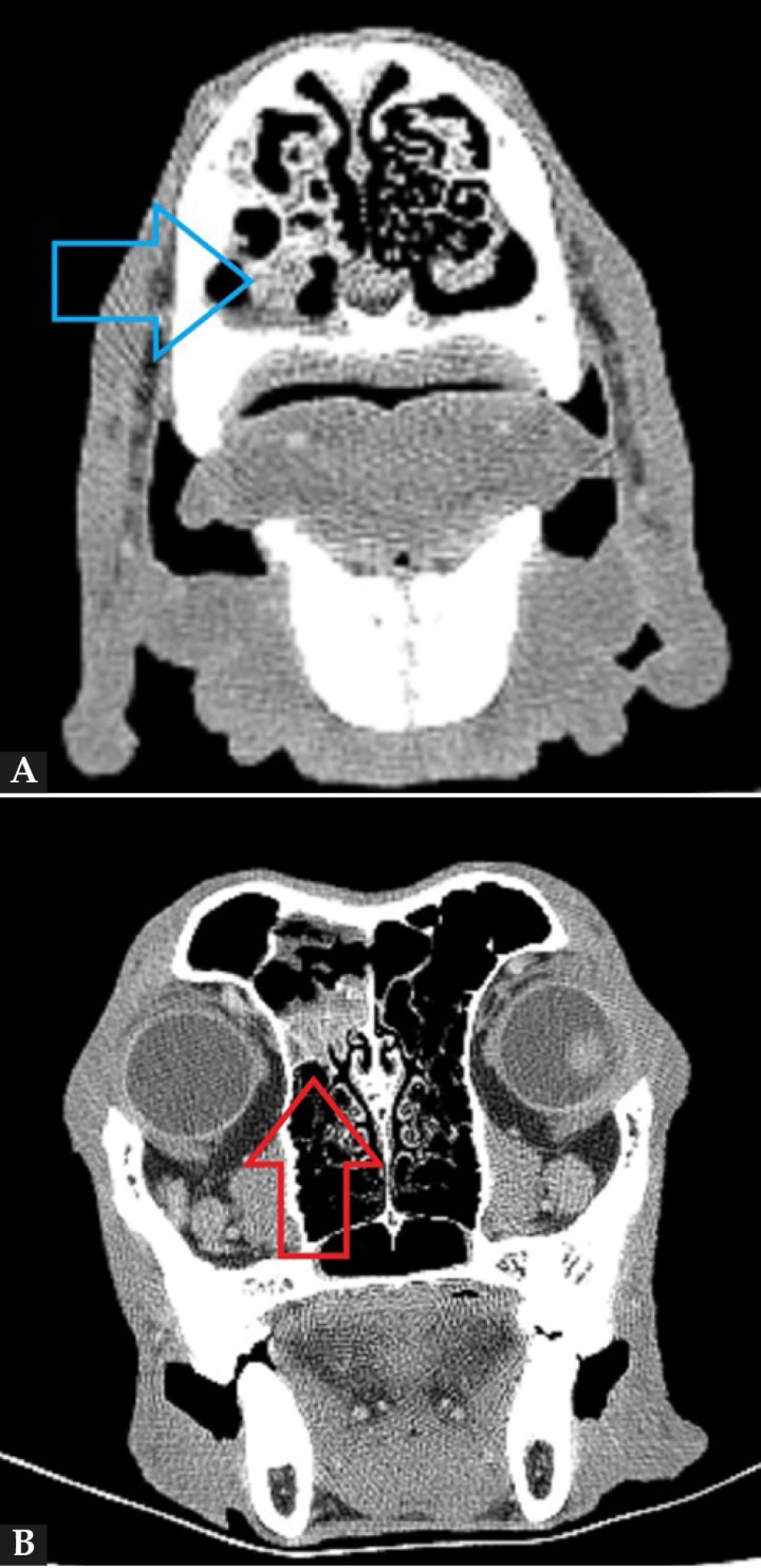
Se procedió a realizar una TC de cráneo (posicionamiento en recumbencia esternal, con 1,25 mm de corte, adquiriendo imágenes pre y postcontraste con contraste yodado Iohexol (Omnipaque 300 mg/ml, GE Healthcare Bio-Sciences, Florida) 400 mg/kg, con algoritmo de reconstrucción de tejido blando y hueso, General Electrics Healthcare, 4 cortes, España, Madrid). En la TC se observó en la cavidad nasal izquierda una moderada destrucción de turbinetes nasales con severo engrosamiento de la mucosa nasal y presencia de tejido blando anómalo (Fig. 1A), sin presencia de masas o cuerpos extraños, ni afectación de la lámina cribiforme. Dichas lesiones se extendían al seno frontal izquierdo (Fig. 1B). A continuación, se realizó una rinoscopia (fibroscopio 5,9 mm, FujiFilm, España, Madrid) donde se observó en la cavidad nasal izquierda múltiples placas de color blanquecino con aspecto caseoso/algodonoso adheridas a la mucosa nasal con eritema y congestión asociados (Fig. 2), junto a la destrucción moderada de los turbinetes, mostrando un aspecto cavitado. La cavidad nasal derecha no presentó alteraciones. Se tomaron muestras de tejido (placa fúngica y mucosa adyacente) para cultivo y análisis histopatológico. En el cultivo se obtuvo un crecimiento de Aspergillus fumigatus, y en los resultados de la biopsia de la placa fúngica se observó un tejido eosinofílico con abundantes hifas septadas, mientras que en el tejido adyacente se evidenció una mucosa erosionada y ulcerada con abundantes neutrófilos y macrófagos con hifas fúngicas esporádicas. 

(A) Imagen de la TC de cráneo (región nasal, corte transversal en ventana de hueso postcontraste). Se observa una diferencia evidente entre la cavidad nasal derecha e izquierda, con moderada pérdida y destrucción de los turbinetes junto al engrosamiento de la mucosa y la presencia de tejido blando anómalo de la cavidad nasal izquierda (flecha azul). (B) Imagen de la TC de cráneo (región frontoorbitaria, corte transversal en ventana de hueso postcontraste). Se evidencia la presencia de engrosamiento de la mucosa y de tejido blando anómalo ubicado en el seno frontal izquierdo (flecha roja).
Figura 1
(A) Imagen de la TC de cráneo (región nasal, corte transversal en ventana de hueso postcontraste). Se observa una diferencia evidente entre la cavidad nasal derecha e izquierda, con moderada pérdida y destrucción de los turbinetes junto al engrosamiento de la mucosa y la presencia de tejido blando anómalo de la cavidad nasal izquierda (flecha azul). (B) Imagen de la TC de cráneo (región frontoorbitaria, corte transversal en ventana de hueso postcontraste). Se evidencia la presencia de engrosamiento de la mucosa y de tejido blando anómalo ubicado en el seno frontal izquierdo (flecha roja).
Imagen de la rinoscopia en cavidad nasal izquierda (meato nasal). Se pueden observar placas fúngicas de color blanquecino (flecha roja) y secreción mucopurulenta (flecha azul). Debido a la destrucción de los turbinetes presenta un aspecto más cavitado.
Figura 2
Imagen de la rinoscopia en cavidad nasal izquierda (meato nasal). Se pueden observar placas fúngicas de color blanquecino (flecha roja) y secreción mucopurulenta (flecha azul). Debido a la destrucción de los turbinetes presenta un aspecto más cavitado.

Como terapia se optó por la aplicación tópica intranasal de una pomada depot de clotrimazol 1 % (Ginecanesgen pomada 20 mg/g, Bayer, Barcelona) dada su alta efectividad y la necesidad de menos tiempo anestésico.[ Billen F, Peeters D: Canine aspergillosis. En Ettinger SJ, Feldman EC, Cote E (8th): Textbook of Veterinary Internal Medicine. Misouri, Saunders Elsevier, 2017: 1035-1039. , Sharman MJ, Mansfield CS. Sinonasal aspergilosis in dogs: a review. Small Anim Pract 2012; 53(8): 434-44. [PubMed] , Peeters D, Clercx C. Update on canine sinonasal aspergillosis. Vet Clin Small Anim 2007; 37: 901-916. [PubMed] , Ballber C, Hill TL, Bommer NX. Minimally invasive treatment of sinonasal aspergillosis in dogs. J Vet Intern Med 2018; 32(6): 2069-2073. [PubMed] , Hazuchova K, Neiger R, Stengel C. Topical treatment of mycotic rhinitis-rhinosinusitis in dogs with meticulous debridement and 1% clotrimazole cream: 64 cases (2007-2014). J Am Vet Med Assoc 2017; 250(3): 309-315. [PubMed] , Belda B, Petrovitch N, Mathews KG. Sinonasal aspergillosis: Outcome after topical treatment in dogs with cribriform plate lysis. J Vet Intern Med 2018; 32(4): 1353-1358. [PubMed] ] Previamente, se desbridaron las placas y se extrajeron mediante el uso de pinzas y sonda de aspiración junto con la aplicación de lavados con suero salino fisiológico (Vídeo 1, Fig. 3). A continuación, con el paciente en recumbencia esternal, se colocaron gasas en la nasofaringe y se aplicó la pomada a través de sondas urinarias (Kruuse, Langeskov, Dinamarca) (Vídeo 2) hasta ocupar toda la cavidad nasal izquierda con tejido afectado (aproximadamente 20 g), dejándola actuar 15 minutos. Posteriormente, se colocó la cabeza en posición declive inclinada hacia abajo para evitar la filtración de la crema hacia la faringe. 

Video 1
Desbridamiento de las placas mediante el uso de sonda de aspiración. Haz clic en la imagen para ver el vídeo.
Aspecto tras el desbridamiento de la cavidad nasal izquierda (meato nasal), con ausencia del laberinto etmoidal. La mucosa presenta un aspecto eritematoso con focos de sangrado tras el proceso.
Figura 3
Aspecto tras el desbridamiento de la cavidad nasal izquierda (meato nasal), con ausencia del laberinto etmoidal. La mucosa presenta un aspecto eritematoso con focos de sangrado tras el proceso.
Video 2
Aplicación del producto antifúngico (crema depot) a través de sondas nasales. Haz clic en la imagen para ver el vídeo.

Tras el primer tratamiento los signos clínicos se mantuvieron, por lo que se realizó una segunda rinoscopia a las 3 semanas, observándose una mejoría respecto a la anterior, pero aún presentaba pequeñas placas fúngicas (Fig. 4). 

Rinoscopia de control tras 3 semanas del primer tratamiento con crema antifúngica. Se observan pequeñas placas (flecha azul).
Figura 4
Rinoscopia de control tras 3 semanas del primer tratamiento con crema antifúngica. Se observan pequeñas placas (flecha azul).

Dada la afección del seno frontal izquierdo se realizó una trepanación para poder acceder con el fibroscopio, evidenciando placas de gran tamaño en el seno izquierdo (Fig. 5). Se volvió a realizar el mismo procedimiento de desbridamiento y lavado de las placas de la cavidad nasal junto al de las placas del seno (a través de los orificios realizados); posteriormente, se aplicó una suspensión líquida de enilconazol 2 % (fórmula magistral 200 mg/ml, Valencia) mediante sondas introducidas en los senos y los orificios nasales, taponando las narinas y la nasofaringe mediante sondas Foley (MILA international Inc, Kentucky, EE. UU.) hasta ocupar toda la cavidad nasal y senos, manteniéndola durante 15 minutos. Tras ello, se drenó por gravedad mediante la retirada de las sondas Foley y colocación de la cabeza en posición declive. Finalmente, se aplicó una crema depot de clotrimazol 1 % a través de las sondas, ocupando los senos y el tejido de la cavidad nasal afectado (aproximadamente 30 g). Tras el segundo tratamiento se mantuvo con secreción mucosanguinolenta 4 días y luego comenzó a disminuir la severidad, desapareciendo a los 7 días tras el tratamiento. Se realizó una rinoscopia de control a las 2 semanas donde no se evidenciaron placas fúngicas. En los controles telefónicos, realizados mensualmente durante los 3 meses siguientes, el paciente mantuvo episodios de estornudos esporádicos, en ocasiones acompañados de secreción mucosa, sin volver a presentar recidiva de secreción purulenta hasta la actualidad (8 meses tras la rinoscopia de control).

Visualización de las placas fúngicas (flecha roja) dentro del seno frontal izquierdo a través de los orificios realizados mediante trepanación.
Figura 5
Visualización de las placas fúngicas (flecha roja) dentro del seno frontal izquierdo a través de los orificios realizados mediante trepanación.

Discusión

La aspergilosis sinonasal es una causa frecuente de secreción nasal purulenta. Suele presentarse junto a otros signos clínicos como estornudos, estornudo inverso, despigmentación del plano nasal con o sin ulceración y aumento o disminución del flujo nasal y, en casos severos, dolor facial, apatía e hiporexia. Si existe afectación de la lámina cribiforme puede acompañarse de signos neurológicos.[ Billen F, Peeters D: Canine aspergillosis. En Ettinger SJ, Feldman EC, Cote E (8th): Textbook of Veterinary Internal Medicine. Misouri, Saunders Elsevier, 2017: 1035-1039. , Sharman MJ, Mansfield CS. Sinonasal aspergilosis in dogs: a review. Small Anim Pract 2012; 53(8): 434-44. [PubMed] ]

Los hallazgos más comunes de la TC son la destrucción de los cornetes nasales y ausencia del laberinto etmoidal, junto a la presencia de tejido blando anómalo y engrosamiento de la mucosa adyacente, pudiendo extenderse a los senos (72-74 %). En casos graves puede presentar reacción ósea y lisis de la lámina cribiforme.[ Billen F, Peeters D: Canine aspergillosis. En Ettinger SJ, Feldman EC, Cote E (8th): Textbook of Veterinary Internal Medicine. Misouri, Saunders Elsevier, 2017: 1035-1039. , Sharman MJ, Mansfield CS. Sinonasal aspergilosis in dogs: a review. Small Anim Pract 2012; 53(8): 434-44. [PubMed] ] Estas lesiones no son específicas, pudiendo presentarse hallazgos similares en otras patologías (p. ej., rinitis linfoplasmocitaria).[ Sharman MJ, Mansfield CS. Sinonasal aspergilosis in dogs: a review. Small Anim Pract 2012; 53(8): 434-44. [PubMed] ] La TC también permite valorar la presencia de causas predisponentes (cuerpos extraños, neoplasias, fracturas), además de la afectación de los senos y la presencia de afectación de la lámina cribiforme.[ Billen F, Peeters D: Canine aspergillosis. En Ettinger SJ, Feldman EC, Cote E (8th): Textbook of Veterinary Internal Medicine. Misouri, Saunders Elsevier, 2017: 1035-1039. , Sharman MJ, Mansfield CS. Sinonasal aspergilosis in dogs: a review. Small Anim Pract 2012; 53(8): 434-44. [PubMed] , Peeters D, Clercx C. Update on canine sinonasal aspergillosis. Vet Clin Small Anim 2007; 37: 901-916. [PubMed] ] En el presente caso se observaron alteraciones compatibles, llegando a afectar al seno frontal izquierdo, pero no presentaba una severa destrucción de los cornetes ni afectación de la lámina; posiblemente, la enfermedad estuviera en una fase temprana. 

La rinoscopia permite visualizar las placas fúngicas adheridas a la mucosa, con una coloración blanca o verdosa con aspecto caseoso o algodonoso, junto a la destrucción de los turbinetes, perdiendo el aspecto laberíntico característico y visualizándose como una cavidad, acompañado de secreción mucopurulenta o sanguinopurulenta. En el 17 % de los casos pueden afectarse únicamente los senos requiriendo su trepanación para valorarlos visualmente.[ Billen F, Peeters D: Canine aspergillosis. En Ettinger SJ, Feldman EC, Cote E (8th): Textbook of Veterinary Internal Medicine. Misouri, Saunders Elsevier, 2017: 1035-1039. , Sharman MJ, Mansfield CS. Sinonasal aspergilosis in dogs: a review. Small Anim Pract 2012; 53(8): 434-44. [PubMed] , Peeters D, Clercx C. Update on canine sinonasal aspergillosis. Vet Clin Small Anim 2007; 37: 901-916. [PubMed] ]

Las imágenes de la TC junto a la visualización de las placas fúngicas ya nos indica la presencia de una rinitis micótica; sin embargo, para obtener el diagnóstico definitivo se debe demostrar la presencia del agente infeccioso (Aspergillus fumigatus) mediante la visualización directa de estructuras fúngicas, con citología de improntas de las placas, mediante biopsia (de las placas y del tejido adyacente) o mediante el cultivo de las placas fúngicas.[ Billen F, Peeters D: Canine aspergillosis. En Ettinger SJ, Feldman EC, Cote E (8th): Textbook of Veterinary Internal Medicine. Misouri, Saunders Elsevier, 2017: 1035-1039. , Sharman MJ, Mansfield CS. Sinonasal aspergilosis in dogs: a review. Small Anim Pract 2012; 53(8): 434-44. [PubMed] , Peeters D, Clercx C. Update on canine sinonasal aspergillosis. Vet Clin Small Anim 2007; 37: 901-916. [PubMed] ] Suele acompañarse de ulceración e inflamación mixta/neutrofílica de la mucosa.[ Sharman MJ, Mansfield CS. Sinonasal aspergilosis in dogs: a review. Small Anim Pract 2012; 53(8): 434-44. [PubMed] , Lopez J: Sneezing and nasal discharge. En Ettinger SJ, Feldman EC, Cote E (8th): Textbook of Veterinary Internal Medicine. Misouri, Saunders Elsevier, 2017: 111-115. ] En el presente caso se obtuvieron resultados positivos tanto en las muestras de biopsia como en el cultivo. En un estudio reciente se comparó las técnicas de diagnóstico, observándose sensibilidades más bajas, recomendando combinar varias técnicas de detección, junto a las pruebas de imagen.[ Prior C, Swales H, Sharman M, et al. Diagnostic findings in sinonasal aspergillosis in dogs in the United Kingdom: 475 cases (2011-2021). J Small Anim Pract 2024; 65(8): 622-630. [PubMed] ] La serología y PCR no han demostrado sensibilidades mayores a las otras técnicas, por lo que no se realiza de forma rutinaria como prueba de screening.[ Prior C, Swales H, Sharman M, et al. Diagnostic findings in sinonasal aspergillosis in dogs in the United Kingdom: 475 cases (2011-2021). J Small Anim Pract 2024; 65(8): 622-630. [PubMed] ] En otro artículo, se comprobó la utilidad de la PCR en casos en los que no es posible realizar una rinoscopia (ya sea como primer diagnóstico o en el seguimiento) y se llegó a la conclusión de que un resultado positivo incrementa significativamente la sospecha de presencia del hongo.[ Prior C, Swales H, Sharman M, et al. Diagnostic findings in sinonasal aspergillosis in dogs in the United Kingdom: 475 cases (2011-2021). J Small Anim Pract 2024; 65(8): 622-630. [PubMed] , Biénès T, Vangrinsven E, Fastrès A, et al. Utility of fungal polymerase chain reaction on nasal swab samples in the diagnosis and monitoring of sinonasal aspergillosis in dogs. J Vet Intern Med 2022; 36(4): 1295-1302. [PubMed] ]

Respecto al tratamiento, actualmente se recomienda la aplicación tópica de antifúngicos dada su alta tasa de éxito (del 100 % tras 1 o 2 sesiones) en comparación con los tratamientos sistémicos que, además, deben administrarse durante largos periodos de tiempo y pueden estar asociados a efectos adversos. Se utilizan antifúngicos orales en caso de enfermedad sistémica, en situaciones en las que el tratamiento tópico pueda producir efectos secundarios indeseados (afectación de la lámina cribiforme) o por rechazo de los tutores al tratamiento tópico.[ Billen F, Peeters D: Canine aspergillosis. En Ettinger SJ, Feldman EC, Cote E (8th): Textbook of Veterinary Internal Medicine. Misouri, Saunders Elsevier, 2017: 1035-1039. ] Sin embargo, en varios artículos se aplicó tratamiento tópico con afectación de la lámina sin observarse complicaciones neurológicas.[ Billen F, Peeters D: Canine aspergillosis. En Ettinger SJ, Feldman EC, Cote E (8th): Textbook of Veterinary Internal Medicine. Misouri, Saunders Elsevier, 2017: 1035-1039. , Sharman MJ, Mansfield CS. Sinonasal aspergilosis in dogs: a review. Small Anim Pract 2012; 53(8): 434-44. [PubMed] , Ballber C, Hill TL, Bommer NX. Minimally invasive treatment of sinonasal aspergillosis in dogs. J Vet Intern Med 2018; 32(6): 2069-2073. [PubMed] , Belda B, Petrovitch N, Mathews KG. Sinonasal aspergillosis: Outcome after topical treatment in dogs with cribriform plate lysis. J Vet Intern Med 2018; 32(4): 1353-1358. [PubMed] ] En caso de rechazar el tratamiento tópico, en un estudio se combinó el desbridamiento quirúrgico junto a la administración de voriconazol oral con una alta tasa de curación.[ Bray RN, Raghu CL, Leuin AS, Barry-Heffernan CA, Pritchard JC. Oral administration of voriconazole with surgical fungal plaque debridement for the treatment of sinonasal aspergillosis with cribriform plate lysis in three dogs. J Am Vet Med Assoc 2020; 256(1): 111-116. [PubMed] ]

Para la aplicación del tratamiento tópico se recomienda hacer uso de técnicas mínimamente invasivas, aplicando dentro de la cavidad nasal infusiones de clotrimazol 1 % o enilconazol 2 %, o de cremas depot con clotrimazol o bifonazol.[ Billen F, Peeters D: Canine aspergillosis. En Ettinger SJ, Feldman EC, Cote E (8th): Textbook of Veterinary Internal Medicine. Misouri, Saunders Elsevier, 2017: 1035-1039. , Sharman MJ, Mansfield CS. Sinonasal aspergilosis in dogs: a review. Small Anim Pract 2012; 53(8): 434-44. [PubMed] , Peeters D, Clercx C. Update on canine sinonasal aspergillosis. Vet Clin Small Anim 2007; 37: 901-916. [PubMed] , Ballber C, Hill TL, Bommer NX. Minimally invasive treatment of sinonasal aspergillosis in dogs. J Vet Intern Med 2018; 32(6): 2069-2073. [PubMed] , Hazuchova K, Neiger R, Stengel C. Topical treatment of mycotic rhinitis-rhinosinusitis in dogs with meticulous debridement and 1% clotrimazole cream: 64 cases (2007-2014). J Am Vet Med Assoc 2017; 250(3): 309-315. [PubMed] , Belda B, Petrovitch N, Mathews KG. Sinonasal aspergillosis: Outcome after topical treatment in dogs with cribriform plate lysis. J Vet Intern Med 2018; 32(4): 1353-1358. [PubMed] , Vangrinsven E, Girod M, Goossens D, et al. Comparison of two minimally invasive enilconazole perendoscopic infusion protocols for the treatment of canine sinonasal aspergillosis. J Small Anim Pract 2018; 59(12): 777-782. [PubMed] , Billen F, Guieu LV, Bernaerts F, et al. Efficacy of intrasinusal administration of bifonazole cream alone or in combination with enilconazole irrigation in canine sino-nasal aspergillosis: 17 cases. Can Vet J 2010; 51(2): 164-168. [PubMed] ]

Los primeros procedimientos requerían tiempos de anestesia prolongados, irrigando toda la cavidad nasal con el producto y realizando cambios de decúbito cada 15 minutos.[ Billen F, Peeters D: Canine aspergillosis. En Ettinger SJ, Feldman EC, Cote E (8th): Textbook of Veterinary Internal Medicine. Misouri, Saunders Elsevier, 2017: 1035-1039. , Sharman MJ, Mansfield CS. Sinonasal aspergilosis in dogs: a review. Small Anim Pract 2012; 53(8): 434-44. [PubMed] , Vangrinsven E, Girod M, Goossens D, et al. Comparison of two minimally invasive enilconazole perendoscopic infusion protocols for the treatment of canine sinonasal aspergillosis. J Small Anim Pract 2018; 59(12): 777-782. [PubMed] ] Sin embargo, en un estudio se observó que aplicando únicamente las infusiones en decúbito dorsal durante 15 minutos se obtenía una eficacia similar.[ Vangrinsven E, Girod M, Goossens D, et al. Comparison of two minimally invasive enilconazole perendoscopic infusion protocols for the treatment of canine sinonasal aspergillosis. J Small Anim Pract 2018; 59(12): 777-782. [PubMed] ] Actualmente, se está extendiendo el uso de cremas antifúngicas, observándose tasas altas de eficacia y requiriendo únicamente pocos minutos para su aplicación, dado que el producto se mantiene más tiempo en contacto gracias a su viscosidad.[ Billen F, Peeters D: Canine aspergillosis. En Ettinger SJ, Feldman EC, Cote E (8th): Textbook of Veterinary Internal Medicine. Misouri, Saunders Elsevier, 2017: 1035-1039. , Ballber C, Hill TL, Bommer NX. Minimally invasive treatment of sinonasal aspergillosis in dogs. J Vet Intern Med 2018; 32(6): 2069-2073. [PubMed] , Belda B, Petrovitch N, Mathews KG. Sinonasal aspergillosis: Outcome after topical treatment in dogs with cribriform plate lysis. J Vet Intern Med 2018; 32(4): 1353-1358. [PubMed] , Billen F, Guieu LV, Bernaerts F, et al. Efficacy of intrasinusal administration of bifonazole cream alone or in combination with enilconazole irrigation in canine sino-nasal aspergillosis: 17 cases. Can Vet J 2010; 51(2): 164-168. [PubMed] ] Aunque está descrita una alta eficacia con el uso único de pomada depot tras dos tratamientos, para el segundo tratamiento del paciente del caso aquí descrito se realizó una instilación local intranasal con enilconazol y, posteriormente, se aplicó la pomada.[ Peeters D, Clercx C. Update on canine sinonasal aspergillosis. Vet Clin Small Anim 2007; 37: 901-916. [PubMed] , Ballber C, Hill TL, Bommer NX. Minimally invasive treatment of sinonasal aspergillosis in dogs. J Vet Intern Med 2018; 32(6): 2069-2073. [PubMed] , Belda B, Petrovitch N, Mathews KG. Sinonasal aspergillosis: Outcome after topical treatment in dogs with cribriform plate lysis. J Vet Intern Med 2018; 32(4): 1353-1358. [PubMed] , Billen F, Guieu LV, Bernaerts F, et al. Efficacy of intrasinusal administration of bifonazole cream alone or in combination with enilconazole irrigation in canine sino-nasal aspergillosis: 17 cases. Can Vet J 2010; 51(2): 164-168. [PubMed] ]

Se ha demostrado que el desbridamiento adecuado previo de las placas fúngicas (incluidos los senos afectados) es un paso fundamental para el éxito terapéutico.[ Billen F, Peeters D: Canine aspergillosis. En Ettinger SJ, Feldman EC, Cote E (8th): Textbook of Veterinary Internal Medicine. Misouri, Saunders Elsevier, 2017: 1035-1039. , Sharman MJ, Mansfield CS. Sinonasal aspergilosis in dogs: a review. Small Anim Pract 2012; 53(8): 434-44. [PubMed] , Peeters D, Clercx C. Update on canine sinonasal aspergillosis. Vet Clin Small Anim 2007; 37: 901-916. [PubMed] , Vangrinsven E, Girod M, Goossens D, et al. Comparison of two minimally invasive enilconazole perendoscopic infusion protocols for the treatment of canine sinonasal aspergillosis. J Small Anim Pract 2018; 59(12): 777-782. [PubMed] ] En caso de no poder acceder a los senos a través de la cavidad nasal, es necesario su trepanación para eliminar las placas y aplicar el tratamiento.[ Billen F, Peeters D: Canine aspergillosis. En Ettinger SJ, Feldman EC, Cote E (8th): Textbook of Veterinary Internal Medicine. Misouri, Saunders Elsevier, 2017: 1035-1039. , Hazuchova K, Neiger R, Stengel C. Topical treatment of mycotic rhinitis-rhinosinusitis in dogs with meticulous debridement and 1% clotrimazole cream: 64 cases (2007-2014). J Am Vet Med Assoc 2017; 250(3): 309-315. [PubMed] , Vangrinsven E, Girod M, Goossens D, et al. Comparison of two minimally invasive enilconazole perendoscopic infusion protocols for the treatment of canine sinonasal aspergillosis. J Small Anim Pract 2018; 59(12): 777-782. [PubMed] , Billen F, Guieu LV, Bernaerts F, et al. Efficacy of intrasinusal administration of bifonazole cream alone or in combination with enilconazole irrigation in canine sino-nasal aspergillosis: 17 cases. Can Vet J 2010; 51(2): 164-168. [PubMed] ] En este caso, hasta que no se realizó un desbridamiento adecuado y una aplicación del tratamiento tópico en los senos mediante su trepanación no se obtuvo una curación completa.

Es recomendable repetir la rinoscopia a las 3-4 semanas para valorar la persistencia de las placas fúngicas o, en su defecto, realizar una PCR.[ Sharman MJ, Mansfield CS. Sinonasal aspergilosis in dogs: a review. Small Anim Pract 2012; 53(8): 434-44. [PubMed] , Peeters D, Clercx C. Update on canine sinonasal aspergillosis. Vet Clin Small Anim 2007; 37: 901-916. [PubMed] , Biénès T, Vangrinsven E, Fastrès A, et al. Utility of fungal polymerase chain reaction on nasal swab samples in the diagnosis and monitoring of sinonasal aspergillosis in dogs. J Vet Intern Med 2022; 36(4): 1295-1302. [PubMed] ] En este caso tras el segundo tratamiento hubo una curación completa, demostrándose mediante rinoscopia la ausencia de placas fúngicas. No se pudo valorar los senos mediante TC ni sinuscopia.

Las principales complicaciones del tratamiento tópico son debidas a su acción irritante por contacto: inflamación severa de faringe y laringe (desarrollando disnea severa) y meningoencefalitis y convulsiones en casos de afectación de la lámina cribiforme.[ Billen F, Peeters D: Canine aspergillosis. En Ettinger SJ, Feldman EC, Cote E (8th): Textbook of Veterinary Internal Medicine. Misouri, Saunders Elsevier, 2017: 1035-1039. , Sharman MJ, Mansfield CS. Sinonasal aspergilosis in dogs: a review. Small Anim Pract 2012; 53(8): 434-44. [PubMed] , Peeters D, Clercx C. Update on canine sinonasal aspergillosis. Vet Clin Small Anim 2007; 37: 901-916. [PubMed] ] Por ello, se debe evitar la fuga del producto hacia la laringe mediante sondas Foley y tejidos absorbentes en la nasofaringe.[ Billen F, Peeters D: Canine aspergillosis. En Ettinger SJ, Feldman EC, Cote E (8th): Textbook of Veterinary Internal Medicine. Misouri, Saunders Elsevier, 2017: 1035-1039. , Sharman MJ, Mansfield CS. Sinonasal aspergilosis in dogs: a review. Small Anim Pract 2012; 53(8): 434-44. [PubMed] , Ballber C, Hill TL, Bommer NX. Minimally invasive treatment of sinonasal aspergillosis in dogs. J Vet Intern Med 2018; 32(6): 2069-2073. [PubMed] , Vangrinsven E, Girod M, Goossens D, et al. Comparison of two minimally invasive enilconazole perendoscopic infusion protocols for the treatment of canine sinonasal aspergillosis. J Small Anim Pract 2018; 59(12): 777-782. [PubMed] ]

A consecuencia de la destrucción de los cornetes, los pacientes están predispuestos al desarrollo de infecciones bacterianas secundarias y rinitis linfoplasmocitaria, manteniendo hasta en la mitad de los casos sintomatología respiratoria sin asociarse a una recidiva de la infección fúngica.[ Billen F, Peeters D: Canine aspergillosis. En Ettinger SJ, Feldman EC, Cote E (8th): Textbook of Veterinary Internal Medicine. Misouri, Saunders Elsevier, 2017: 1035-1039. ] En el presente caso el paciente mantuvo cuadros crónicos e intermitentes de secreción nasal mucosa y estornudos. Anecdóticamente, se ha observado el desarrollo de tumores nasosinusales tras un tratamiento tópico, que pueden atribuirse a la inflamación crónica producida por la rinitis fúngica.[ Greci V, Stefanello D, Di Giancamillo M, Mortellaro CM. Sinonasal tumor in 3 dogs after successful topical treatment for frontal sinus aspergillosis. Can Vet J 2009; 50(11): 1191-1194. [PubMed] ]

En conclusión, en el presente caso, dada la afección del seno frontal izquierdo no hubo una respuesta adecuada al tratamiento tras la realización única de un desbridamiento de las placas y la aplicación de pomada solo de la cavidad nasal. Fue necesario para su completa curación la trepanación de los senos para acceder a ellos y realizar una adecuada eliminación de las placas fúngicas junto a la aplicación de tratamiento tópico (combinando una instilación de solución antifúngica con la posterior aplicación de pomada), tanto en cavidad nasal como en el seno afectado.


Fuente de financiación: este trabajo no se ha realizado con fondos comerciales públicos o del sector privado. 

Conflicto de intereses: los autores declaran que no hay conflicto de intereses.

Bibliografía

  1. [1] Billen F, Peeters D: Canine aspergillosis. En Ettinger SJ, Feldman EC, Cote E (8th): Textbook of Veterinary Internal Medicine. Misouri, Saunders Elsevier, 2017: 1035-1039.
  2. [2] Sharman MJ, Mansfield CS. Sinonasal aspergilosis in dogs: a review. Small Anim Pract 2012; 53(8): 434-44. [PubMed]
  3. [3] Lopez J: Sneezing and nasal discharge. En Ettinger SJ, Feldman EC, Cote E (8th): Textbook of Veterinary Internal Medicine. Misouri, Saunders Elsevier, 2017: 111-115.
  4. [4] Magro M, Sykes J, Vishkautsan P, Martínez-López B. Spatial patterns and impacts of environmental and climatic factors on canine sinonasal aspergillosis in Northern California. Front Vet Sci 2017; 3(4):104. [PubMed]
  5. [5] Peeters D, Clercx C. Update on canine sinonasal aspergillosis. Vet Clin Small Anim 2007; 37: 901-916. [PubMed]
  6. [6] Ballber C, Hill TL, Bommer NX. Minimally invasive treatment of sinonasal aspergillosis in dogs. J Vet Intern Med 2018; 32(6): 2069-2073. [PubMed]
  7. [7] Hazuchova K, Neiger R, Stengel C. Topical treatment of mycotic rhinitis-rhinosinusitis in dogs with meticulous debridement and 1% clotrimazole cream: 64 cases (2007-2014). J Am Vet Med Assoc 2017; 250(3): 309-315. [PubMed]
  8. [8] Belda B, Petrovitch N, Mathews KG. Sinonasal aspergillosis: Outcome after topical treatment in dogs with cribriform plate lysis. J Vet Intern Med 2018; 32(4): 1353-1358. [PubMed]
  9. [9] Prior C, Swales H, Sharman M, et al. Diagnostic findings in sinonasal aspergillosis in dogs in the United Kingdom: 475 cases (2011-2021). J Small Anim Pract 2024; 65(8): 622-630. [PubMed]
  10. [10] Biénès T, Vangrinsven E, Fastrès A, et al. Utility of fungal polymerase chain reaction on nasal swab samples in the diagnosis and monitoring of sinonasal aspergillosis in dogs. J Vet Intern Med 2022; 36(4): 1295-1302. [PubMed]
  11. [11] Bray RN, Raghu CL, Leuin AS, Barry-Heffernan CA, Pritchard JC. Oral administration of voriconazole with surgical fungal plaque debridement for the treatment of sinonasal aspergillosis with cribriform plate lysis in three dogs. J Am Vet Med Assoc 2020; 256(1): 111-116. [PubMed]
  12. [12] Vangrinsven E, Girod M, Goossens D, et al. Comparison of two minimally invasive enilconazole perendoscopic infusion protocols for the treatment of canine sinonasal aspergillosis. J Small Anim Pract 2018; 59(12): 777-782. [PubMed]
  13. [13] Billen F, Guieu LV, Bernaerts F, et al. Efficacy of intrasinusal administration of bifonazole cream alone or in combination with enilconazole irrigation in canine sino-nasal aspergillosis: 17 cases. Can Vet J 2010; 51(2): 164-168. [PubMed]
  14. [14] Greci V, Stefanello D, Di Giancamillo M, Mortellaro CM. Sinonasal tumor in 3 dogs after successful topical treatment for frontal sinus aspergillosis. Can Vet J 2009; 50(11): 1191-1194. [PubMed]

Artículos recomendados

Estas recomendaciones se ofrecen de forma automática.

  • Seroprevalencia de la infección por Toxoplasma gondii en mascotas exóticas (conejos, hurones y cobayas) en clínicas veterinarias de España
    P. Moraleda-Berral, A. Montoya, J.P. Barrera, et al.
    Clin Vet Peq Anim Vol. 46 - Nº 1 · MAR 2026 · Artículo original referido a un solo caso clínico
  • Descripción del primer caso autóctono de Pneumonyssoides caninum en las Islas Canarias (España)

    D.L. Casas-García, J. Villalobos-Gómez, M.L. Ramírez-Bordón, et al.
    Clin Vet Peq Anim Vol. 40 - Nº 3 · SEP 2020 · Artículo original referido a un solo caso clínico
  • Miasis nasal (O. ovis) canina: a propósito de un caso clínico

    D.L. Casas-García, F.J. González-León, B. Díaz-Cepedano, et al.
    Clin Vet Peq Anim Vol. 37 - Nº 4 · DIC 2017 · Artículo original referido a un solo caso clínico
  • Inicio
  • Introducción
  • Caso clínico
  • Discusión
  • Bibliografía
Artículo anterior Índice de la revista Artículo siguiente
ANUNCIO
Próximos cursos ATVs Elearning
Índice
Inicio Introducción Caso clínico Discusión Bibliografía
Dechra - DuOtic
ANUNCIO

¿No eres socio de AVEPA y quieres recibir comunicación de las nuevas ediciones en tu correo?

Suscríbete

Suscríbete y te avisaremos cuando publiquemos un nuevo número

Suscribirme

Enlaces rápidos

  • Inicio
  • Último número
  • Archivo
  • Artículos

Información

  • Comité editorial
  • Política de cookies
  • Política de privacidad
  • Términos y condiciones

Contacto

  • info@imaginice.com
  • Envíanos tu artículo
© 2026 Ice Salud Vet SL. Todos los derechos reservados.

Usamos cookies para mejorar tu experiencia. Selecciona cuáles aceptas: