Logo AVEPA

Clínica Veterinaria de Pequeños Animales

Revista oficial de AVEPA

  • Inicio
  • Último número
  • Archivo
  • Artículos
  • Para autores
  • Contacto
Cursos Junio-Septiembre 2026
ANUNCIO

Clínica Veterinaria de Pequeños Animales

Revista oficial de AVEPA

  • Inicio
  • Último número
  • Archivo
  • Artículos
  • Para autores
  • Contacto
Curso Oftalmología 2026
ANUNCIO
Clin Vet Peq Anim Vol. 36 • Nº 2 • junio 2016

Diagnóstico y tratamiento de la reabsorción dental felina. A propósito de un caso clínico

Diagnosis and treatment of feline tooth resorptions. Case report

Artículo original referido a un solo caso clínico

P. Castelló

Suma Grupo Veterinario, Servicio de Odontología y Cirugía Oral. Valencia www.sumagrupoveterinario.es

Contacto: odontologia@sumagrupoveterinario.es
Palabras clave: Gato, Reabsorción dental felina.
Keywords: Cat, Feline tooth resorption.
Clin. Vet. Peq. Anim, 2016, 36 (2): 91-96
Descargar artículo

Resumen

A pesar de que la lesión reabsortiva dental felina es una patología con una elevada prevalencia en la medicina felina, existe una baja tasa de diagnóstico, asociada a la falta de aplicación de un correcto protocolo diagnóstico y la infravaloración del dolor que producen estas lesiones. Por medio de este caso clínico se expone cómo realizar un correcto diagnóstico y la aplicación del tratamiento más adecuado para cada tipo de lesión. Se presenta una descripción de la clasificación aceptada por el Colegio Americano de Odontología Veterinaria (AVDC) de las lesiones reabsortivas que nos permitirá a su vez exponer los diferentes tratamiento existentes.

Abstract

Even though feline dental resorption is a highly prevalent pathology in feline medicine, there is a low rate of diagnosis associated with the absence of a correct diagnostic protocol and the underestimation of pain caused by these injuries. This case report explains how to make a correct diagnosis and the most appropriate treatment. A description of the classification accepted by the American Veterinary Dental College (AVDC) of the resorptive lesions is presented, which in turn will enable us to explain the different existing treatments.

AVEPA Elearning

La presencia de este logo en un artículo de la revista indica que se publicará un examen sobre el mismo en la plataforma AVEPA Elearning. Su resolución aporta 0,15 créditos dentro del sistema de acreditaciones de especialidades veterinarias de AVEPA.

Introducción

Las lesiones de reabsorción dental que acontecen en felinos, anteriormente denominada lesión odontoclástica reabsortiva felina (FORL) y también conocida como “lesión neck” o “falsa caries felina”, representa una de las patologías más frecuentes en gatos domésticos, a pesar de que frecuentemente esté infradiagnosticada. Se define como una destrucción de tejido dental duro asociado a la activación de las células odontoclásticas en estos animales.[ Reiter AM, Mendoza KA. Feline Odontoclastic resortive lesions. An unsolve enigma in veterinary dentistry. Vet Clin Small Anim 2002; 32: 791-837. [PubMed] , Mestrinho LA, Runhau J, Bragança M, Niza MRE. Risk Assessment of Feline Tooth Resorption: A Portuguese Clinical Case Control. J Vet Dent 2013; 30:78-83. [PubMed] , Milhaljevic SY, Kernmaier A, Mertens-Jentsch S. Radiographic Changes Associated with tooth Resorption type 2 in cats. J Vet Dent 2012; 29:20-26. [PubMed] ]

La prevalencia de esta enfermedad se encuentra entre 28,5 y 67%, y hasta un 75% de los gatos pueden presentar este tipo de patología a lo largo de su vida.[ Mestrinho LA, Runhau J, Bragança M, Niza MRE. Risk Assessment of Feline Tooth Resorption: A Portuguese Clinical Case Control. J Vet Dent 2013; 30:78-83. [PubMed] , Milhaljevic SY, Kernmaier A, Mertens-Jentsch S. Radiographic Changes Associated with tooth Resorption type 2 in cats. J Vet Dent 2012; 29:20-26. [PubMed] , Ingham KE, Gorrel C, Blackburn J, Farnsworth W. Prevalence of odontoclastic resorptive lesions in a population of clinically healthy cats. J Small Anim Pract 2001; 42:439-443. [PubMed] ]

Estas lesiones se manifiestan como una destrucción dental (interna o externa), que afecta con mayor frecuencia a la unión cemento-esmalte y las regiones apicales. Las lesiones externas pueden ser difíciles de identificar debido a que en ocasiones están cubiertas por encía o cálculo dental. Cuando estas lesiones progresan, a menudo van asociadas a inflamación gingival, sangrado o hiperplasia.[ Scarlet JM, Saidla J, Hess J. Risk factors for odontoclastic resorptive lesions in cats. J Am Anim Hosp Asoc 1999; 35: 188-192. [PubMed] , Collados J. Clasificación de las reabsorciones dentales. En: Atlas visual de patologías dentales y orales. Servet Ed. Zaragoza, España 2008; 13. ]

La causa por la cual se desarrollan es actualmente desconocida; y la patogenia de esta enfermedad es controvertida. Algunos autores argumentan que existen determinados factores que pueden influir en su desarrollo, como son la inflamación oral crónica, gingivitis y enfermedad periodontal, enfermedades metabólicas y endocrinas, acidosis sistémica, elevados niveles de vitamina D en suero, la regulación del calcio, hipoxia local, baja densidad específica urinaria, enfermedades víricas, alteraciones anatómicas, traumatismos y alteraciones nutricionales.[ Reiter AM, Mendoza KA. Feline Odontoclastic resortive lesions. An unsolve enigma in veterinary dentistry. Vet Clin Small Anim 2002; 32: 791-837. [PubMed] , Scarlet JM, Saidla J, Hess J. Risk factors for odontoclastic resorptive lesions in cats. J Am Anim Hosp Asoc 1999; 35: 188-192. [PubMed] , Reiter AM, Lyon KF, Nachreiner RF, Shofer FS. Evaluation of calciotropic hormones in cats with odontoclastic resortive lesions. J Am Vet Res 2005; 66:1446-52. , Reiter AM, Lewis JR, Okuda A. Update on the etiology of tooth resorption in domestic cats. Vet Clin Small Anim 2005; 35:913-942. [PubMed] ]

La incidencia de esta patología aumenta con la edad y es el tercer premolar mandibular, tanto izquierdo como derecho, la pieza dental más afectada (correspondientes con 307 y 407 en el sistema de Triadan modificado).[ Mestrinho LA, Runhau J, Bragança M, Niza MRE. Risk Assessment of Feline Tooth Resorption: A Portuguese Clinical Case Control. J Vet Dent 2013; 30:78-83. [PubMed] , Ingham KE, Gorrel C, Blackburn J, Farnsworth W. Prevalence of odontoclastic resorptive lesions in a population of clinically healthy cats. J Small Anim Pract 2001; 42:439-443. [PubMed] , Heaton M, Wilkinson J, Gorrel C, Butterwick R. A rapid screening technique for feline odontoclastic resorptive lesions. J Small Anim Pract 2004; 45:598-601. [PubMed] , AVDC board. Veterinary Dental Nomenclature. Recommendations from the AVDC Nomenclature Committee adopted by the American Dental College Board. Most recently updated May 2012. [AVDC] ]

Los gatos con lesiones reabsortivas y sintomatología clínica suelen presentar halitosis, disfagia, anorexia, deshidratación, pérdida de peso, letargia y malestar, aunque estos síntomas no son patognomónicos de esta enfermedad dental. También podemos observar que agitan la cabeza, tienen estornudos, y movimientos excesivos de la lengua. En ocasiones muestran movimientos espontáneos y repetitivos de la mandíbula al comer, beber o acicalarse.[ Reiter AM, Mendoza KA. Feline Odontoclastic resortive lesions. An unsolve enigma in veterinary dentistry. Vet Clin Small Anim 2002; 32: 791-837. [PubMed] , DuPont GA. Radiographic Evaluation and Treatment of Feline Dental Resorptive Lesions. Vet Clin Small Anim 2005; 35: 943–962. [PubMed] ]

Las lesiones reabsortivas son dolorosas como consecuencia de la exposición de los túbulos dentinarios y de la afección de la pulpa dental. En los casos en los que las lesiones son subgingivales o están cubiertas por encía o tejido de granulación, no se expone la dentina a aire o gradientes de presión y suelen ser asintomáticas.[ Reiter AM, Mendoza KA. Feline Odontoclastic resortive lesions. An unsolve enigma in veterinary dentistry. Vet Clin Small Anim 2002; 32: 791-837. [PubMed] , DuPont GA. Radiographic Evaluation and Treatment of Feline Dental Resorptive Lesions. Vet Clin Small Anim 2005; 35: 943–962. [PubMed] ]

En los pacientes sintomáticos se puede observar que se les cae la comida de la boca mientras se alimentan, evitan comer comida dura y, en algunos casos, incluso podemos observar signos de agresividad.[ Reiter AM, Mendoza KA. Feline Odontoclastic resortive lesions. An unsolve enigma in veterinary dentistry. Vet Clin Small Anim 2002; 32: 791-837. [PubMed] ]

El diagnóstico de esta patología se lleva a cabo mediante la observación de los signos clínicos característicos, el examen oral bajo anestesia y los signos radiológicos.[ Reiter AM, Mendoza KA. Feline Odontoclastic resortive lesions. An unsolve enigma in veterinary dentistry. Vet Clin Small Anim 2002; 32: 791-837. [PubMed] , Heaton M, Wilkinson J, Gorrel C, Butterwick R. A rapid screening technique for feline odontoclastic resorptive lesions. J Small Anim Pract 2004; 45:598-601. [PubMed] , DuPont GA. Radiographic Evaluation and Treatment of Feline Dental Resorptive Lesions. Vet Clin Small Anim 2005; 35: 943–962. [PubMed] ]

El Colegio Americano de Odontología Veterinaria (AVDC) clasifica las reabsorciones dentales de dos formas: la primera está basada en la gravedad y localización de la reabsorción (Fig. 1 y Tabla 1); la segunda según las imágenes radiográficas (Tabla 2).[ AVDC board. Veterinary Dental Nomenclature. Recommendations from the AVDC Nomenclature Committee adopted by the American Dental College Board. Most recently updated May 2012. [AVDC] ]

<p>Clasificación del Colegio Americano de Odontología Veterinaria (AVDC) de las reabsorciones dentales por su gravedad y localización.</p>
Figura 1

Clasificación del Colegio Americano de Odontología Veterinaria (AVDC) de las reabsorciones dentales por su gravedad y localización.

Image
Tabla 1
Image
Tabla 2

El objetivo de este caso clínico es exponer cómo realizar un correcto diagnóstico y la aplicación del tratamiento más adecuado para cada tipo de lesión.

Caso clínico

Se presentó en el Servicio de Odontología un gato macho común Europeo, castrado, de 11 años de edad y 6,8 kg de peso con una historia de anorexia, babeo y dolor a la manipulación de la región rostral de la mandíbula. Presentaba una inflamación en la región mentoniana (Fig. 2). Previamente a nuestra consulta se había tomado una citología de la región inflamada, obteniendo una muestra de aspecto purulento compuesta por una población celular formada por neutrófilos y macrófagos.

<p>Inflamación en la región mentoniana. A. Vista lateral. B. Vista ventral.</p>
Figura 2

Inflamación en la región mentoniana. A. Vista lateral. B. Vista ventral.

Se realizó al paciente un hemograma y bioquímica sérica en la que no se observaron alteraciones destacables. Se descartó que el paciente presentara inmunodeficiencia o leucemia vírica mediante técnicas de inmunoensayo (ELISA). Se le administró meloxicam (Metacam®, Boehringer Ingelheim, Barcelona) a 2 mg/kg subcutáneo y Cefovencina sódica (Convenia®, Pfizer, Madrid) a 8 mg/Kg subcutáneo.

Los diagnósticos diferenciales que se plantearon inicialmente fueron neoplasia, presencia de cuerpo extraño y patología de origen dental.

Para poder realizar el examen oral se procedió a la sedación del paciente, ya que se resistía a la manipulación orofacial. Se administró metadona (Metasedin®, Esteve, Barcelona) a 0,2 mg/kg intramuscular y medetomidina (Domtor®, Pfizer, Madrid) a 0,01 mg/kg intramuscular.

La exploración de la cavidad oral mostró que el aspecto de las encías era normal, sin observarse inflamación, decoloración ni sangrado. Se determinó que 107, 108, 207 y 208 (correspondientes con el tercer y cuarto premolar maxilar derecho; y el tercer y cuarto premolar maxilar izquierdo)[ AVDC board. Veterinary Dental Nomenclature. Recommendations from the AVDC Nomenclature Committee adopted by the American Dental College Board. Most recently updated May 2012. [AVDC] ] presentaban un índice 1 de cálculo dental (del 1 al 25% de la corona estaba cubierta por cálculo dental).[ AVDC board. Veterinary Dental Nomenclature. Recommendations from the AVDC Nomenclature Committee adopted by the American Dental College Board. Most recently updated May 2012. [AVDC] ]

Se exploró la cavidad oral mediante sonda periodontal (Sonda explorador XP23 Hu- Friedy®) sin detectarse bolsas periodontales, reabsorciones ni fracturas dentales. En el 304 (canino mandibular izquierdo)[ AVDC board. Veterinary Dental Nomenclature. Recommendations from the AVDC Nomenclature Committee adopted by the American Dental College Board. Most recently updated May 2012. [AVDC] ] se apreció una bolsa periodontal de 7 mm (la medición fisiológica del surco gingival es de 1 mm),[ Tutt C. Equiping a Veterinary Dental Operatory. En: Small Animal Dentistry: A manual of techniques. Blackwell publishing, Oxford, UK 2008; 59-82. ] que asociamos, a la espera de la confirmación radiológica, con una pérdida ósea y de ligamento periodontal en esa región.

Se administró propofol (Vetofol®, Esteve, Barcelona) a 1 mg/kg intravenoso para proceder a realizar un estudio radiológico dental completo. Para obtener la imagen radiológica de los molares y premolares mandibulares se empleó una técnica paralela; para radiografiar incisivos y caninos se realizó una radiografía oclusal mediante la técnica bisectriz; y finalmente, para visualizar correctamente los molares y premolares maxilares, se empleó la técnica extraoral paralela, modificando ligeramente el ángulo.[ Oakes A. Radiology Techniques. En: An Atlas of Veterinary Dental Radiology. Iowa State University Press, Ames 2008. , Collados J. Modelos de radiografías dentales del gato. En: Atlas visual de patologías dentales y orales Servet Ed. Zaragoza, España 2008; 269. ]

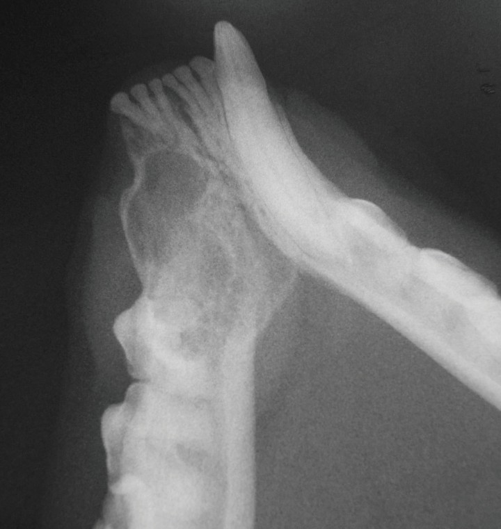
En la radiografía dental oclusal de los caninos mandibulares (Fig. 3) se observó una imagen compatible con lesión reabsortiva en el tercio coronal de la raíz del 304, junto con una zona radiolúcida compatible con una osteolisis severa en el área periapical de este canino. Se apreció una moderada reabsorción radicular en la región apical del 304, no pudiendo determinar si la lesión era debida a la presencia de una reabsorción dental o a la patología periapical asociada.

<p>Radiografía dental oclusal de los caninos mandibulares. Se observa una imagen compatible con lesión reabsortiva en el tercio coronal de la raíz del 304 junto con una zona radiolúcida compatible con una osteolisis severa en el área periapical de este canino. Se aprecia una moderada reabsorción radicular en la región apical del 304.</p>
Figura 3

Radiografía dental oclusal de los caninos mandibulares. Se observa una imagen compatible con lesión reabsortiva en el tercio coronal de la raíz del 304 junto con una zona radiolúcida compatible con una osteolisis severa en el área periapical de este canino. Se aprecia una moderada reabsorción radicular en la región apical del 304.

Finalmente se observó una pérdida de hueso vertical, asociada probablemente con la lesión endoperiodontal tipo 1 que padecía el paciente. Se puede concluir con cierta seguridad que tras afectarse la pulpa, consecuencia de una lesión reabsortiva presente en el tercio coronal de la raíz del 304, se produjo una afección pulpar, posiblemente de origen bacteriano que, tras producir una necrosis pulpar, migró a través del delta apical hasta el ligamento periodontal, produciendo una enfermedad periodontal. De esta forma confirmamos radiológicamente lo que la sonda periodontal nos había indicado en la exploración oral previa.

Estas lesiones, observadas mediante la radiología oral, explican la presencia del absceso dental que provoca la inflamación y la presencia de material purulento en la citología anteriormente mencionada.

La lesión reabsortiva presente en 304 la podemos clasificar como clase 3, tipo 3. La clasificaremos clase 3 (según la clasificación de la AVDC de las reabsorciones dentales felinas por su gravedad y localización),[ AVDC board. Veterinary Dental Nomenclature. Recommendations from the AVDC Nomenclature Committee adopted by the American Dental College Board. Most recently updated May 2012. [AVDC] ] ya que podemos observar una pérdida profunda de tejido duro dental en la superficie bucal del tercio coronal de la raíz del 304, apreciándose que la lesión se extiende a la cavidad pulpar y que la mayor parte del diente conserva su integridad. La clasificaremos como tipo 3 (según la clasificación del AVDC de las reabsorciones dentales felinas por la imagen radiológica)[ AVDC board. Veterinary Dental Nomenclature. Recommendations from the AVDC Nomenclature Committee adopted by the American Dental College Board. Most recently updated May 2012. [AVDC] ] porque además de observar la lesión focal radiolúcida antes mencionada, también se aprecia una disminución de la radiopacidad de parte del diente localizada en la porción apical de la raíz de 304, caracterizada por la pérdida del espacio ocupado por el ligamento periodontal.[ Lyon KF, Visser CJ, Okuda A, Anthony JMG: Feline stomatitis syndrome, periodontal disease, and feline odontoclastic resortive lesions. En: An Atlas of Veterinary Dental Radiology. Iowa State University Press, Ames 2008; 177-198. , Dupont GA, DeBowes LJ. Tooth Resorption. En: Atlas of Dental Radiography in Dogs and Cats: A Practical Guide to Techniques and Interpretation. Ed. Saunders, Elsevier Inc. St. Louis, Missouri 2009; 172-181. ]

En estos casos, el tratamiento indicado es la extracción dental,[ DuPont GA. Radiographic Evaluation and Treatment of Feline Dental Resorptive Lesions. Vet Clin Small Anim 2005; 35: 943–962. [PubMed] , Bellows J. Oral Pathology. En: Feline Dentistry. Oral Assesment, Treatment, and Preventive Care. Ed. Wiley Blackwell Ames Iowa, USA 2010; 115-128. ] por lo que se procedió a inducir al animal con propofol (Vetofol®, Esteve, Barcelona) a 1 mg/kg intravenoso y se continuó el mantenimiento con isofluorano (Isovet®, Braun, Barcelona).

La técnica quirúrgica empleada para realizar la extracción de 304 se realizó en base a la bibliografía existente[ Volker MK, Luskin IR. Surgical Extraction of the Mandibular Canine Tooth in the Cat. J Vet Dent 2012;29:134-137. [SAGE] ]. Se creó un colgajo mucoperióstico mediante una incisión de relajación vertical (hoja bisturí nº11) entre el 304 y 303, seguida de una incisión intrasulcular efectuada en sentido distal desde 304 hasta 307. Tras la incisión se realizó una elevación del colgajo mucoperióstico mediante un elevador de periostio (P24G de Hu-Friedy®). Se tomaron precauciones para dejar intacto el foramen mentoniano medio al exponer el hueso (Fig. 4). No fue necesario eliminar hueso alveolar debido a la pérdida ósea que presentaba 304, por lo que se procedió a extraer la pieza dental mediante el uso de un luxador (luxador nº 3 recto de Hu-Friedy®). Tras la utilización del luxador en las regiones mesial y distal de 304, se luxó el canino y posteriormente se extrajo mediante unos fórceps (Fórceps nº 150S de Hu-Friedy®). Tras la extracción se procedió a realizar una toma de biopsia del hueso alveolar y de los tejidos periodontales con el fin de descartar una etiología neoplásica. Finalmente se suturó la mucosa lingual con el colgajo mucoperióstico empleando una sutura sintética monofilamento absorbible de 5/0 con aguja atraumática (Monosyn® Braun, Barcelona).

<p>Imagen intraquirúrgica de la extracción de 304. Se observa el colgajo mucoperióstico creado para facilitar la extracción de 304.</p>
Figura 4

Imagen intraquirúrgica de la extracción de 304. Se observa el colgajo mucoperióstico creado para facilitar la extracción de 304.

Se administró analgesia postoperatoria, buprenorfina (Buprex®, RB Pharmaceuticals Limited, Madrid) a 0,04 mg/kg cada 8 horas subcutáneo durante 48 h. junto con meloxicam (Metacam®, Boehringer Ingelheim, Barcelona) a 2 mg/kg subcutáneo (posteriormente se administró vía oral) y cefovencina sódica (Convenia®, Pfizer, Madrid) a 8 mg/kg subcutáneo.

Se realizaron controles a la semana y a los 15 días, observándose una correcta cicatrización y una reducción de la inflamación de la zona mentoniana (Fig. 5).

<p>Imagen de control a los 15 días tras la extracción. A. Se observa una reducción de la inflamación en la región mentoniana. B. Se aprecia una completa cicatrización.</p>
Figura 5

Imagen de control a los 15 días tras la extracción. A. Se observa una reducción de la inflamación en la región mentoniana. B. Se aprecia una completa cicatrización.

A los cuatro meses de la extracción se efectuó un control radiológico. La radiografía dental oclusal no mostró signos de recurrencia y se evidenciaron signos de remodelación ósea (Fig. 6).

<p>Radiografía dental oclusal realizada a los cuatro meses tras la extracción. No se observan imágenes que indiquen recurrencia y se evidencian signos compatibles con remodelación ósea.</p>
Figura 6

Radiografía dental oclusal realizada a los cuatro meses tras la extracción. No se observan imágenes que indiquen recurrencia y se evidencian signos compatibles con remodelación ósea.

Los resultados anatomopatológicos descartaron en gran medida que el proceso fuese neoplásico, asociando las lesiones a un proceso inflamatorio agudo piogranulomatoso.

Discusión

Por medio de este caso clínico evidenciamos la necesidad de realizar un correcto diagnóstico de las patologías que afectan a la cavidad oral felina, basado en un examen minucioso de la cavidad oral preliminar y bajo sedación, junto con un estudio radiológico dental completo.

En ocasiones las lesiones supragingivales no son mas que la punta del iceberg, ya que tan solo nos muestran una pequeña parte de los cambios patológicos que pueden estar afectando al diente. Algunas lesiones, como ocurre en este caso, afectan a la zona subgingival del diente y solo pueden ser detectadas mediante un estudio radiológico dental.[ DuPont GA. Radiographic Evaluation and Treatment of Feline Dental Resorptive Lesions. Vet Clin Small Anim 2005; 35: 943–962. [PubMed] ] De este hecho podemos deducir que realizar un estudio radiológico completo, haya, o no, síntomas clínicos, puede ayudarnos a diagnosticar reabsorciones dentales y prevenir sus consecuencias antes de que haya afección de la cámara pulpar y sintomatología evidente.

En este caso concreto, tras la exploración oral de nuestro paciente previa al estudio radiológico, no observamos lesiones compatibles con lesiones reabsortivas, sino que observamos un absceso en la región mentoniana y un bolsa periodontal de mayor profundidad de lo normal en 304 (como consecuencia de una clase 3 de lesión reabsortiva). La pérdida extensa de tejido duro dental debida a la lesión reabsortiva generó una necrosis pulpar, provocando una lesión endoperiodontal tipo 1 y, como consecuencia, radiológicamente no solo apreciamos la lesión reabsortiva, sino también osteolisis en la zona periapical de 304 y pérdida de hueso vertical y del ligamento periodontal.

Al menos un tercio de la población felina desarrollará a lo largo de su vida lesiones reabsortivas. Además, esta posibilidad aumentará con la edad.[ Reiter AM, Mendoza KA. Feline Odontoclastic resortive lesions. An unsolve enigma in veterinary dentistry. Vet Clin Small Anim 2002; 32: 791-837. [PubMed] ] Debido a que la prevalencia es significativa y la etiología desconocida, tan solo podemos controlar los posibles factores que la pueden predisponer y realizar diagnósticos tempranos para evitar, como en este caso, las consecuencias que conlleva una clase avanzada de lesión reabsortiva. De esta forma, para poder diagnosticar de forma prematura esta patología y evitar la aparición de sintomatología característica de esta afección (asociada fundamentalmente a la presencia de dolor), recomendamos realizar tratamientos periodontales periódicos y proponer estudios radiológicos. Del mismo modo, realizando un diagnóstico temprano evitamos el desarrollo de patologías secundarias asociadas a las lesiones reabsortivas.

El tratamiento que se lleva a cabo es diferente según la clase y tipo de lesión reabsortiva que se presenta en cada caso. El tratamiento de elección es la extracción dental, ya que el desconocimiento de la etiología y el carácter progresivo de las lesiones reabsortivas hacen que los tratamientos conservadores, aplicados en a los estadíos iniciales de la lesión (clase 1 y clase 2) y basados en el uso de resinas, sea desalentador y requiera de controles radiográficos para evaluar la evolución de la lesión.[ DuPont GA. Radiographic Evaluation and Treatment of Feline Dental Resorptive Lesions. Vet Clin Small Anim 2005; 35: 943–962. [PubMed] ] Existe una tercera alternativa de tratamiento en los casos en los que las raíces dentales estén anquilosadas y las extracciones sean complejas. En estos casos, según publicaciones recientes, estaría indicada la amputación coronal (clase 2 a 4 tipo 2 según la clasificación del AVDC), siempre y cuando el diente afectado no presente signos de enfermedad periodontal o gingivoestomatitis felina y no sean pacientes portadores de retrovirus (FelV, FiV).[ DuPont GA. Radiographic Evaluation and Treatment of Feline Dental Resorptive Lesions. Vet Clin Small Anim 2005; 35: 943–962. [PubMed] ] La amputación coronal estaría desaconsejada en los casos en que radiológicamente se observen alteraciones compatibles con patologías apicales o periapicales.[ DuPont GA. Radiographic Evaluation and Treatment of Feline Dental Resorptive Lesions. Vet Clin Small Anim 2005; 35: 943–962. [PubMed] ] Este tipo de técnica es menos traumática y más rápida, pero requiere controles radiológicos en los que se aprecie que continua el proceso de reabsorción y no aparecen patologías asociadas.[ Biberauer G. Radiographical Type 2 TR (tooth resorption) in cats treated with Crown amputation. Review of clinical cases with long-term dental radiographic follow-up. Proceedings of the European Congress of Veterinary Dentistry, Prague- Czech Republic 2013. ] Existen estudios en los que se ha observado que el proceso de reabsorción y reemplazamiento por tejido óseo continúa hasta 3 años después de la amputación coronal.[ DuPont GA. Radiographic Evaluation and Treatment of Feline Dental Resorptive Lesions. Vet Clin Small Anim 2005; 35: 943–962. [PubMed] ]

Finalmente, insistir en que la alta incidencia y la baja tasa de diagnóstico es debida posiblemente a la falta de aplicación de un correcto protocolo diagnóstico que, como hemos argumentado a lo largo de este artículo, es vital para prevenir afecciones como las que hemos relatatado. La alta incidencia, junto con la baja tasa de diagnóstico y que la sintomatología que presenta esta patología es fundamentalmente el dolor, son unos buenos argumentos para realizar un mayor número de estudios radiográficos.

Agradecimientos

La autora agradece la colaboración de Javier Collados, responsable del servicio de Odontología y Cirugía Oral de Sinergia Veterinaria, por sus revisiones previas del artículo.

 

Fuente de financiación: Esta investigación no se realizó con fondos comerciales, públicos o del sector privado.

Conflicto de intereses: Los autores declaran que no existe conflicto de intereses.

Bibliografía

  1. [1] Reiter AM, Mendoza KA. Feline Odontoclastic resortive lesions. An unsolve enigma in veterinary dentistry. Vet Clin Small Anim 2002; 32: 791-837. [PubMed]
  2. [2] Mestrinho LA, Runhau J, Bragança M, Niza MRE. Risk Assessment of Feline Tooth Resorption: A Portuguese Clinical Case Control. J Vet Dent 2013; 30:78-83. [PubMed]
  3. [3] Milhaljevic SY, Kernmaier A, Mertens-Jentsch S. Radiographic Changes Associated with tooth Resorption type 2 in cats. J Vet Dent 2012; 29:20-26. [PubMed]
  4. [4] Ingham KE, Gorrel C, Blackburn J, Farnsworth W. Prevalence of odontoclastic resorptive lesions in a population of clinically healthy cats. J Small Anim Pract 2001; 42:439-443. [PubMed]
  5. [5] Scarlet JM, Saidla J, Hess J. Risk factors for odontoclastic resorptive lesions in cats. J Am Anim Hosp Asoc 1999; 35: 188-192. [PubMed]
  6. [6] Collados J. Clasificación de las reabsorciones dentales. En: Atlas visual de patologías dentales y orales. Servet Ed. Zaragoza, España 2008; 13.
  7. [7] Reiter AM, Lyon KF, Nachreiner RF, Shofer FS. Evaluation of calciotropic hormones in cats with odontoclastic resortive lesions. J Am Vet Res 2005; 66:1446-52.
  8. [8] Reiter AM, Lewis JR, Okuda A. Update on the etiology of tooth resorption in domestic cats. Vet Clin Small Anim 2005; 35:913-942. [PubMed]
  9. [9] Heaton M, Wilkinson J, Gorrel C, Butterwick R. A rapid screening technique for feline odontoclastic resorptive lesions. J Small Anim Pract 2004; 45:598-601. [PubMed]
  10. [10] DuPont GA. Radiographic Evaluation and Treatment of Feline Dental Resorptive Lesions. Vet Clin Small Anim 2005; 35: 943–962. [PubMed]
  11. [11] AVDC board. Veterinary Dental Nomenclature. Recommendations from the AVDC Nomenclature Committee adopted by the American Dental College Board. Most recently updated May 2012. [AVDC]
  12. [12] Tutt C. Equiping a Veterinary Dental Operatory. En: Small Animal Dentistry: A manual of techniques. Blackwell publishing, Oxford, UK 2008; 59-82.
  13. [13] Oakes A. Radiology Techniques. En: An Atlas of Veterinary Dental Radiology. Iowa State University Press, Ames 2008.
  14. [14] Collados J. Modelos de radiografías dentales del gato. En: Atlas visual de patologías dentales y orales Servet Ed. Zaragoza, España 2008; 269.
  15. [15] Lyon KF, Visser CJ, Okuda A, Anthony JMG: Feline stomatitis syndrome, periodontal disease, and feline odontoclastic resortive lesions. En: An Atlas of Veterinary Dental Radiology. Iowa State University Press, Ames 2008; 177-198.
  16. [16] Dupont GA, DeBowes LJ. Tooth Resorption. En: Atlas of Dental Radiography in Dogs and Cats: A Practical Guide to Techniques and Interpretation. Ed. Saunders, Elsevier Inc. St. Louis, Missouri 2009; 172-181.
  17. [17] Bellows J. Oral Pathology. En: Feline Dentistry. Oral Assesment, Treatment, and Preventive Care. Ed. Wiley Blackwell Ames Iowa, USA 2010; 115-128.
  18. [18] Volker MK, Luskin IR. Surgical Extraction of the Mandibular Canine Tooth in the Cat. J Vet Dent 2012;29:134-137. [SAGE]
  19. [19] Biberauer G. Radiographical Type 2 TR (tooth resorption) in cats treated with Crown amputation. Review of clinical cases with long-term dental radiographic follow-up. Proceedings of the European Congress of Veterinary Dentistry, Prague- Czech Republic 2013.

Artículos recomendados

Estas recomendaciones se ofrecen de forma automática.

  • Seroprevalencia de la infección por Toxoplasma gondii en mascotas exóticas (conejos, hurones y cobayas) en clínicas veterinarias de España
    P. Moraleda-Berral, A. Montoya, J.P. Barrera, et al.
    Clin Vet Peq Anim Vol. 46 - Nº 1 · MAR 2026 · Artículo original referido a un solo caso clínico
  • Sarcoma histiocítico ocular felino
    M.T. Artacho-Burgos, A. I. Raya-Bermúdez
    Clin Vet Peq Anim Vol. 45 - Nº 4 · DIC 2025 · Artículo original referido a un solo caso clínico
  • Fallo hepático en un perro tras intoxicación por ingestión de semillas de Cycas revoluta

    C. García, A. Segarra, N. Bedía, et al.
    Clin Vet Peq Anim Vol. 45 - Nº 3 · SEP 2025 · Artículo original referido a un solo caso clínico
  • Inicio
  • Introducción
  • Caso clínico
  • Discusión
  • Agradecimientos
  • Bibliografía
Artículo anterior Índice de la revista Artículo siguiente
ANUNCIO
Próximos cursos ATVs Elearning
Índice
Inicio Introducción Caso clínico Discusión Agradecimientos Bibliografía
Dechra - DuOtic
ANUNCIO

¿No eres socio de AVEPA y quieres recibir comunicación de las nuevas ediciones en tu correo?

Suscríbete

Suscríbete y te avisaremos cuando publiquemos un nuevo número

Suscribirme

Enlaces rápidos

  • Inicio
  • Último número
  • Archivo
  • Artículos

Información

  • Comité editorial
  • Política de cookies
  • Política de privacidad
  • Términos y condiciones

Contacto

  • info@imaginice.com
  • Envíanos tu artículo
© 2026 Ice Salud Vet SL. Todos los derechos reservados.

Usamos cookies para mejorar tu experiencia. Selecciona cuáles aceptas: