Logo AVEPA

Clínica Veterinaria de Pequeños Animales

Revista oficial de AVEPA

  • Inicio
  • Último número
  • Archivo
  • Artículos
  • Para autores
  • Contacto
Cursos Junio-Septiembre 2026
ANUNCIO

Clínica Veterinaria de Pequeños Animales

Revista oficial de AVEPA

  • Inicio
  • Último número
  • Archivo
  • Artículos
  • Para autores
  • Contacto
Curso Oftalmología 2026
ANUNCIO
Clin Vet Peq Anim Vol. 45 • Nº 1 • marzo 2025

¿Cuál es tu diagnóstico?

¿Cuál es tu diagnóstico?

N. Aguilar-Gallego

Hospital Veterinario de la Universidad Católica de Valencia. Avinguda de Pérez Galdós, 51. 46018 Patraix (Valencia).

Contacto: natagallegoo@me.com
Descargar artículo

Historia

Siamés macho castrado de 6 años de edad que acudió al Servicio de Urgencias tras tres días de apatía, anorexia de dos días de evolución y dos vómitos espumosos. Los propietarios desconocían si había orinado recientemente, ya que convivía con más gatos.

El paciente acudió en estado de shock. Presentaba una condición corporal elevada (5/9) y la palpación abdominal era normal.

En la analítica aportada por su centro veterinario destacaba una azotemia grave [creatinina 7,57 mg/dl (rango normal: 0,7-2,00 mg/dl) y BUN >140 mg/dl (rango normal: 13-37 mg/dl)]. Se realizó una gasometría venosa donde se observó una acidosis metabólica.

Tras la estabilización del animal, se realizaron radiografías de tórax (compatibles con la normalidad) y de abdomen (Fig. 1).

Radiografías de abdomen. (A) Radiografía ventrodorsal. (B) Radiografía lateral derecha. (C) Radiografía lateral izquierda. D: derecha; I: izquierda.
Figura 1
Radiografías de abdomen. (A) Radiografía ventrodorsal. (B) Radiografía lateral derecha. (C) Radiografía lateral izquierda. D: derecha; I: izquierda.

Describe las anormalidades encontradas

Se observó distensión marcada de la vejiga de la orina con presencia de efecto masa, y desplazamiento craneal y ventral del paquete intestinal. En ambas proyecciones laterales (Figs. 2B y 2C) se visualizó la presencia de pequeñas estructuras de opacidad mineral, forma irregular y bordes mal definidos en la luz vesical. Además, en el interior de la uretra distal se apreció abundante cantidad de material mineral alcanzando una longitud de 2,8 cm. Se vio también un aumento moderado del tamaño del riñón derecho (3,5 veces L2) (Fig. 2A). En la proyección lateral izquierda (Fig. 2C), caudal y dorsal al riñón derecho, en retroperitoneo, se observaron varias estructuras de opacidad mineral, de pequeño tamaño (en torno a 2 y 5 mm), amorfas y de bordes bien definidos. El riñón derecho presentaba un tamaño normal, con bordes irregulares y una estructura de opacidad mineral, redondeada, de bordes irregulares y 8,2 mm en pelvis renal.

Mismas radiografías que en la Figura 1. En la radiografía ventrodorsal de abdomen (A) se observa distensión marcada de la vejiga de la orina (flecha azul), un aumento moderado del tamaño renal derecho (flecha blanca) y la presencia de mineralizaciones en proyección renal izquierda (círculo blanco). En las proyecciones laterales (B y C) se observa una distensión marcada de la vejiga de la orina con desplazamiento craneal y ventral del paquete intestinal (flechas amarillas). Además, se aprecia un aumento marcado del tamaño renal derecho (flecha verde) y mineralizaciones en proyección renal (círculos blancos) y ureteral (círculos rojos). El riñón izquierdo presenta bordes irregulares y tamaño dentro de la normalidad (flecha roja). La uretra distal contiene abundante material mineral en su interior (flechas blancas).
Figura 2
Mismas radiografías que en la Figura 1. En la radiografía ventrodorsal de abdomen (A) se observa distensión marcada de la vejiga de la orina (flecha azul), un aumento moderado del tamaño renal derecho (flecha blanca) y la presencia de mineralizaciones en proyección renal izquierda (círculo blanco). En las proyecciones laterales (B y C) se observa una distensión marcada de la vejiga de la orina con desplazamiento craneal y ventral del paquete intestinal (flechas amarillas). Además, se aprecia un aumento marcado del tamaño renal derecho (flecha verde) y mineralizaciones en proyección renal (círculos blancos) y ureteral (círculos rojos). El riñón izquierdo presenta bordes irregulares y tamaño dentro de la normalidad (flecha roja). La uretra distal contiene abundante material mineral en su interior (flechas blancas).

Establece los diagnósticos diferenciales de los hallazgos encontrados

El conjunto de los hallazgos encontrados incluyó como principal diagnóstico diferencial una obstrucción uretral por presencia de abundante material mineral en la uretra distal, con distensión grave de la vejiga de la orina y pequeñas estructuras minerales en su interior compatibles con urolitos.

Por otro lado, la renomegalia derecha y la presencia de estructuras minerales en proyección de uréter derecho podrían corresponder a una hidronefrosis secundaria a una obstrucción ureteral por ureterolitos.

En el riñón izquierdo, los bordes irregulares y la presencia de mineralizaciones/ renolitos en su parénquima y pelvis renal fueron cambios sugestivos de nefritis intersticial crónica.

¿Qué otras técnicas de diagnóstico realizarías para alcanzar un diagnóstico definitivo?

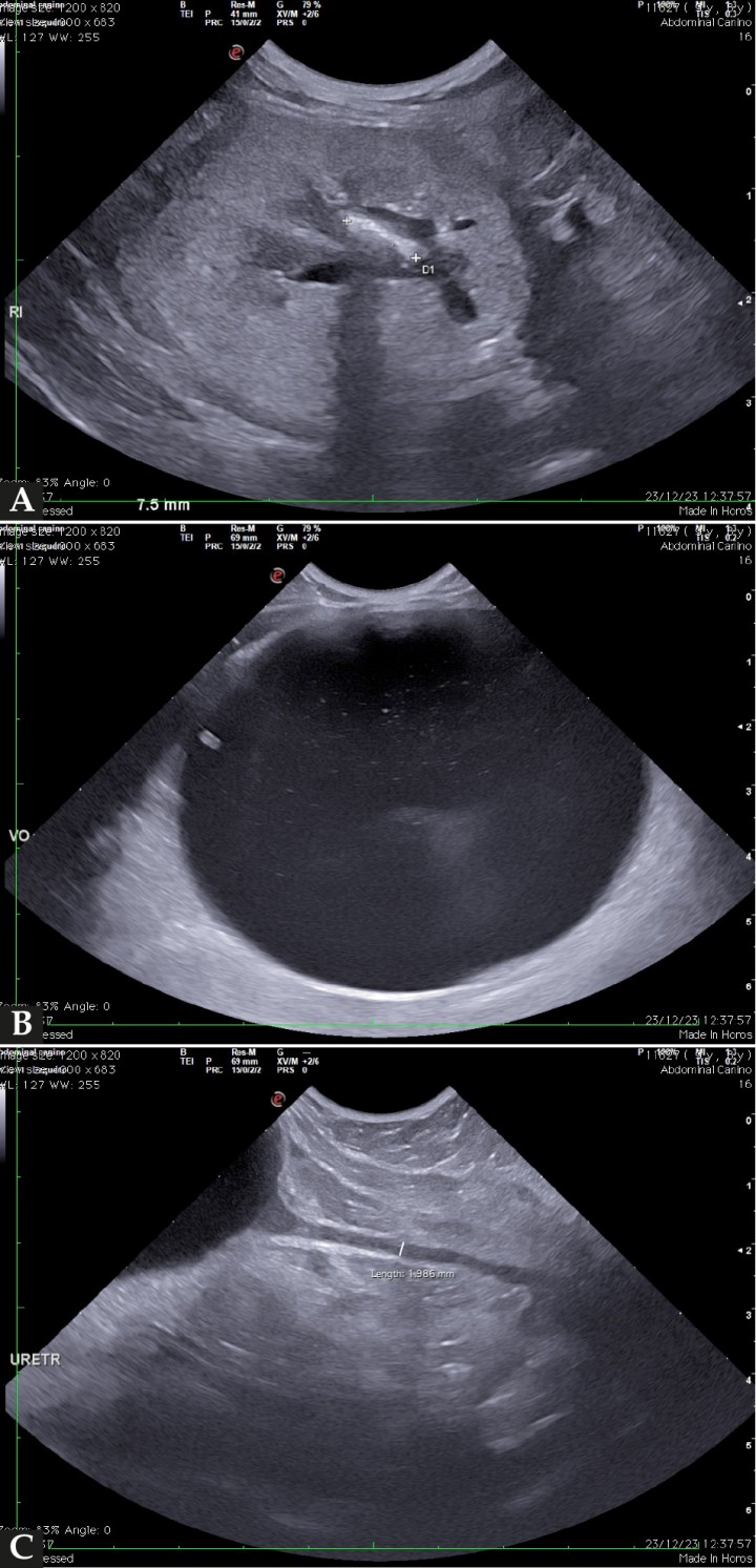
En el caso descrito, se realizó una ecografía abdominal completa utilizando un ecógrafo Esaote MyLabTM X8VET (Esaote S.p.A, Génova) en la que se observó una renomegalia marcada del riñón derecho (6,52 cm) con dilatación de la pelvis renal (3,43 cm), así como destrucción de la morfología renal normal y contenido ecogénico de pequeño tamaño en suspensión (Figs. 3A y 3B).

(A) Imagen ecográfíca del riñón derecho en corte sagital en la que se observa dilatación de la pelvis renal con contenido ecogénico en suspensión y una marcada renomegalia asociada. (B) Imagen ecográfica de un corte transversal del riñón derecho en el que se observa una dilatación severa de la pelvis renal. (C) Imagen ecográfica del uréter derecho dilatado (flecha azul) y tortuoso justo craneal a un ureterolito obstructivo (flecha amarilla).
Figura 3
(A) Imagen ecográfíca del riñón derecho en corte sagital en la que se observa dilatación de la pelvis renal con contenido ecogénico en suspensión y una marcada renomegalia asociada. (B) Imagen ecográfica de un corte transversal del riñón derecho en el que se observa una dilatación severa de la pelvis renal. (C) Imagen ecográfica del uréter derecho dilatado (flecha azul) y tortuoso justo craneal a un ureterolito obstructivo (flecha amarilla).

El uréter proximal derecho se observaba dilatado (3,6 mm) y tortuoso justo craneal a una estructura hiperecoica, amorfa, de bordes mal definidos, de 4,2 x 2,4 mm de tamaño que generaba una fuerte sombra acústica distal (Fig. 3C). Posterior a esta estructura, persistía la distensión ureteral, así como otra estructura de características similares a la descrita previamente. Caudal a este último hallazgo, el uréter se perdía. El retroperitoneo adyacente se observaba engrosado y marcadamente aumentado de ecogenicidad.

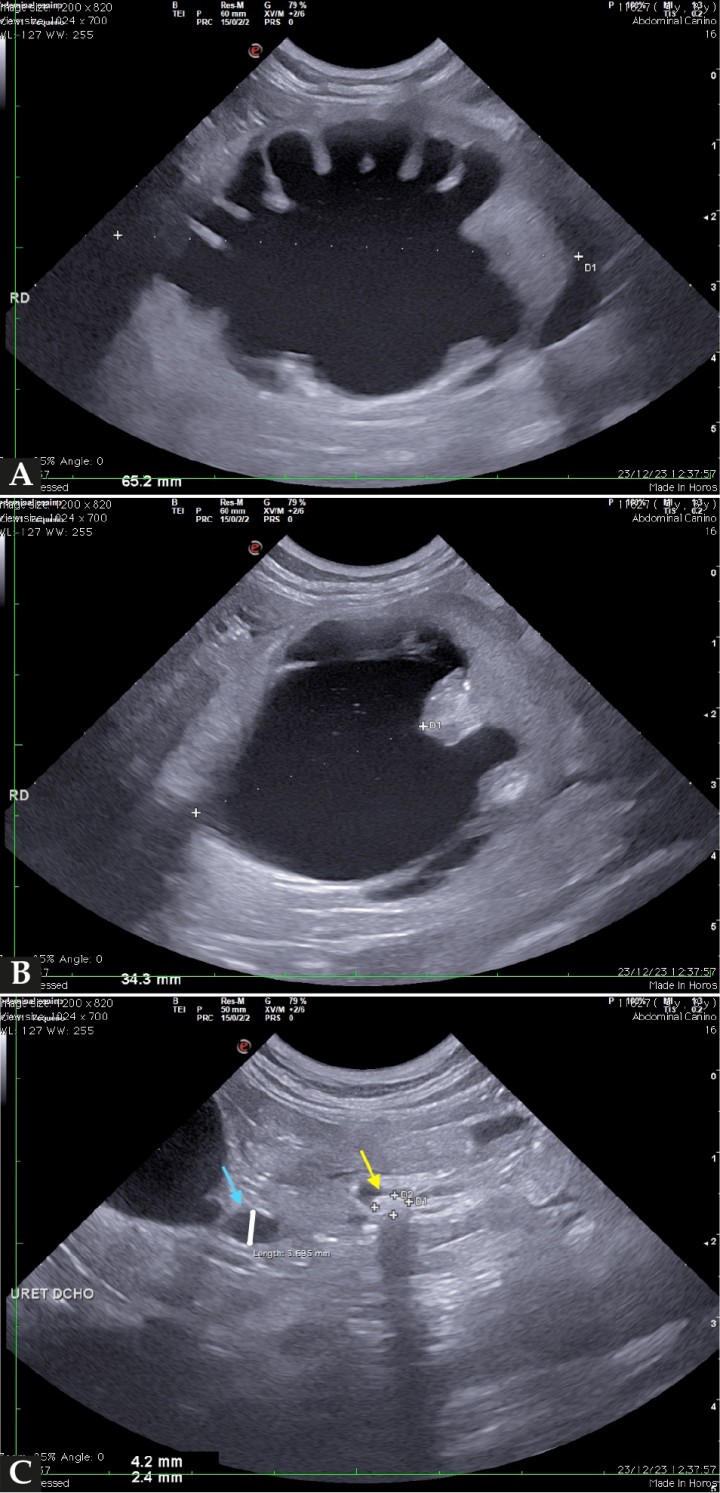
Con respecto al riñón izquierdo, el parénquima renal se observaba hiperecoico, con pérdida marcada de diferenciación corticomedular y un tamaño renal normal (3,7 cm); la pelvis renal se observó dilatada (0,85 cm) y en su interior se identificó una estructura hiperecoica, alargada, de 0,75 cm de longitud y bordes mal definidos que generaba una fuerte sombra acústica distal (Fig. 4A). El uréter izquierdo estaba ligeramente distendido (0,15 cm), con presencia de material ecogénico de pequeño tamaño en su interior, aparentemente no obstructivo, que no generaba sombra acústica distal.

(A) Imagen ecográfica del riñón izquierdo en corte transversal en la que se observa un aumento marcado de la ecogenicidad del parénquima renal, con pérdida de diferenciación corticomedular y la presencia de un renolito de 7,5 mm (entre cursores), que genera sombra acústica distal. (B) Imagen ecográfica de la vejiga de la orina severamente distendida con material ecogénico de pequeño tamaño en suspensión. (C) Imagen ecográfica de la uretra proximal en corte longitudinal con una dilatación de casi 2 mm.
Figura 4
(A) Imagen ecográfica del riñón izquierdo en corte transversal en la que se observa un aumento marcado de la ecogenicidad del parénquima renal, con pérdida de diferenciación corticomedular y la presencia de un renolito de 7,5 mm (entre cursores), que genera sombra acústica distal. (B) Imagen ecográfica de la vejiga de la orina severamente distendida con material ecogénico de pequeño tamaño en suspensión. (C) Imagen ecográfica de la uretra proximal en corte longitudinal con una dilatación de casi 2 mm.

La vejiga de la orina se observó marcadamente distendida, con presencia de ligera cantidad de contenido ecogénico en suspensión, sin identificar estructuras ecogénicas de mayor tamaño que generasen sombra acústica distal (Fig. 4B). La uretra valorable ecográficamente se observó dilatada (3 mm), sin evidenciar material ecogénico en dicho tramo y no pudiendo descartarlo en la porción distal no valorable (Fig. 4C). El peritoneo adyacente se encontraba hiperecoico, engrosado y con una leve cantidad de líquido libre tanto perivesical como retroperitoneal.

El diagnóstico presuntivo fue compatible con obstrucción ureteral derecha por ureterolitos con hidronefrosis secundaria, así como obstrucción uretral concomitante por abundante material mineral en uretra distal (identificado radiológicamente). El renolito del riñón izquierdo no parecía obstructivo en el momento del estudio, aunque no se podía descartar completamente. Los cambios degenerativos identificados en el riñón izquierdo fueron compatibles con nefritis intersticial crónica como diagnóstico más probable.

Comentario

La ecografía es la modalidad diagnóstica de elección para la mayoría de desórdenes que afectan al tracto urinario, aportando información de gran utilidad en el diagnóstico y seguimiento de patologías como la obstrucción ureteral combinada con la radiografía.[ Griffin S: Feline abdominal ultrasonography: What’s normal? What’s abnormal?. J Feline Med Surg  2020; 22: 847-865. [PubMed] , D. L Clarke: Feline ureteral obstructions Part 1: medical management. J Small Anim Pract 2018; 59(6): 324-333. [PubMed] , Lamb C, Cortellini S, Halfacree Z: Ultrasonography in the diagnosis and management of cats with ureteral obstruction. J Feline Med Surg 2018; 20(1): 15-22. [PubMed] , Kyles A, Hardie E, Wooden B, et. al: Clinical, clinicopathologic, radiographic, and ultrasonographic abnormalities in cats with urteral calculi: 163 cases (1884-2002). J Am Vet Med Assoc 2005; 226(6): 932-936. [PubMed] , Nevins J, Mai W, Thomas E: Associations between ultrasound and clinical findings in 87 cats with urethral obstruction. Vet Radiol Ultrasound 2015; 56(4): 439-447. [PubMed] ] La sensibilidad ecográfica para la detección de ureterolitos es del 77 %, y puede alcanzar el 90 % si se combina con radiografía.[ Griffin S: Feline abdominal ultrasonography: What’s normal? What’s abnormal?. J Feline Med Surg  2020; 22: 847-865. [PubMed] , D. L Clarke: Feline ureteral obstructions Part 1: medical management. J Small Anim Pract 2018; 59(6): 324-333. [PubMed] ] La TC (tomografía computarizada) puede ser de gran utilidad para la detección de ureterolitos no identificados en las técnicas mencionadas previamente.[ D. L Clarke: Feline ureteral obstructions Part 1: medical management. J Small Anim Pract 2018; 59(6): 324-333. [PubMed] , Kyles A, Hardie E, Wooden B, et. al: Clinical, clinicopathologic, radiographic, and ultrasonographic abnormalities in cats with urteral calculi: 163 cases (1884-2002). J Am Vet Med Assoc 2005; 226(6): 932-936. [PubMed] ] En el caso de los gatos, las obstrucciones ureterales pueden ser secundarias a la presencia de ureterolitos, estrechamientos congénitos ureterales, restos de debris inflamatorios, coágulos o ligaduras ureterales iatrogénicas, entre otros.[ Griffin S: Feline abdominal ultrasonography: What’s normal? What’s abnormal?. J Feline Med Surg  2020; 22: 847-865. [PubMed] , D. L Clarke: Feline ureteral obstructions Part 1: medical management. J Small Anim Pract 2018; 59(6): 324-333. [PubMed] ] Múltiples estudios han documentado que los ureterolitos son la causa más común de la obstrucción ureteral felina, siendo los de oxalato cálcico, a su vez, los ureterolitos más comunes.[ Griffin S: Feline abdominal ultrasonography: What’s normal? What’s abnormal?. J Feline Med Surg  2020; 22: 847-865. [PubMed] , D. L Clarke: Feline ureteral obstructions Part 1: medical management. J Small Anim Pract 2018; 59(6): 324-333. [PubMed] , Lamb C, Cortellini S, Halfacree Z: Ultrasonography in the diagnosis and management of cats with ureteral obstruction. J Feline Med Surg 2018; 20(1): 15-22. [PubMed] , Kyles A, Hardie E, Wooden B, et. al: Clinical, clinicopathologic, radiographic, and ultrasonographic abnormalities in cats with urteral calculi: 163 cases (1884-2002). J Am Vet Med Assoc 2005; 226(6): 932-936. [PubMed] ]

Con respecto a los hallazgos ecográficos descritos en las obstrucciones ureterales, cabe destacar renomegalia ipsilateral, dilatación pélvica y/o ureteral y líquido libre perinéfrico.[ Lamb C, Cortellini S, Halfacree Z: Ultrasonography in the diagnosis and management of cats with ureteral obstruction. J Feline Med Surg 2018; 20(1): 15-22. [PubMed] ] El término pielectasia se emplea para describir una dilatación de media a moderada, no obstructiva, de la pelvis renal.[ Griffin S: Feline abdominal ultrasonography: What’s normal? What’s abnormal?. J Feline Med Surg  2020; 22: 847-865. [PubMed] ]

Una pielectasia mayor o igual a 3,5 mm debe ser considerada potencialmente anormal y ser investigada. Si la pielectasia alcanza o excede los 13 mm de diámetro, es indicativa de obstrucción ureteral.[ Griffin S: Feline abdominal ultrasonography: What’s normal? What’s abnormal?. J Feline Med Surg  2020; 22: 847-865. [PubMed] , D. L Clarke: Feline ureteral obstructions Part 1: medical management. J Small Anim Pract 2018; 59(6): 324-333. [PubMed] , Lamb C, Cortellini S, Halfacree Z: Ultrasonography in the diagnosis and management of cats with ureteral obstruction. J Feline Med Surg 2018; 20(1): 15-22. [PubMed] ] En cuanto al hidrouréter, ecográficamente se identifican como estructuras tubulares tortuosas que transcurren desde la pelvis renal a la vejiga de la orina. Cuando la obstrucción ureteral es completa, la dilatación termina de forma abrupta justo a nivel del ureterolito.[ Griffin S: Feline abdominal ultrasonography: What’s normal? What’s abnormal?. J Feline Med Surg  2020; 22: 847-865. [PubMed] ] De forma secundaria podemos observar un aumento de ecogenicidad de la grasa periureteral, así como efusión peritoneal asociada.[ Griffin S: Feline abdominal ultrasonography: What’s normal? What’s abnormal?. J Feline Med Surg  2020; 22: 847-865. [PubMed] , D. L Clarke: Feline ureteral obstructions Part 1: medical management. J Small Anim Pract 2018; 59(6): 324-333. [PubMed] ]

La dilatación ureteral o hidrouréter proximal se observa también con frecuencia en gatos con pielonefritis (46,2 %),[ Griffin S: Feline abdominal ultrasonography: What’s normal? What’s abnormal?. J Feline Med Surg  2020; 22: 847-865. [PubMed] ] por lo que la pielografía anterógrada puede ser de utilidad para detectar defectos de llenado en pelvis renal y uréteres, así como identificar obstrucciones parciales o completas cuando la ecografía no resulta concluyente.[ D. L Clarke: Feline ureteral obstructions Part 1: medical management. J Small Anim Pract 2018; 59(6): 324-333. [PubMed] , Lamb C, Cortellini S, Halfacree Z: Ultrasonography in the diagnosis and management of cats with ureteral obstruction. J Feline Med Surg 2018; 20(1): 15-22. [PubMed] , Kyles A, Hardie E, Wooden B, et. al: Clinical, clinicopathologic, radiographic, and ultrasonographic abnormalities in cats with urteral calculi: 163 cases (1884-2002). J Am Vet Med Assoc 2005; 226(6): 932-936. [PubMed] ]

Por otro lado, la obstrucción uretral es una patología que conlleva un elevado riesgo para la vida de los gatos con enfermedad del tracto urinario inferior.[ Nevins J, Mai W, Thomas E: Associations between ultrasound and clinical findings in 87 cats with urethral obstruction. Vet Radiol Ultrasound 2015; 56(4): 439-447. [PubMed] ] Los hallazgos ecográficos más comunes son: sedimento urinario, engrosamiento de la pared de la vejiga, efusión pericística y ecos en suspensión. En riñones y uréteres, podemos observar pielectasia, renomegalia, efusión perirrenal, aumento de ecogenicidad de la grasa perirrenal y dilatación ureteral.[ Nevins J, Mai W, Thomas E: Associations between ultrasound and clinical findings in 87 cats with urethral obstruction. Vet Radiol Ultrasound 2015; 56(4): 439-447. [PubMed] ] La efusión perirrenal se ha asociado a hiperkalemia severa.[ Griffin S: Feline abdominal ultrasonography: What’s normal? What’s abnormal?. J Feline Med Surg  2020; 22: 847-865. [PubMed] , Nevins J, Mai W, Thomas E: Associations between ultrasound and clinical findings in 87 cats with urethral obstruction. Vet Radiol Ultrasound 2015; 56(4): 439-447. [PubMed] ]

Fuente de financiación: este trabajo no se ha realizado con fondos comerciales, públicos o del sector privado.

Conflicto de intereses: los autores declaran que no existe conflicto de intereses.

Bibliografía

  1. [1] Griffin S: Feline abdominal ultrasonography: What’s normal? What’s abnormal?. J Feline Med Surg  2020; 22: 847-865. [PubMed]
  2. [2] D. L Clarke: Feline ureteral obstructions Part 1: medical management. J Small Anim Pract 2018; 59(6): 324-333. [PubMed]
  3. [3] Lamb C, Cortellini S, Halfacree Z: Ultrasonography in the diagnosis and management of cats with ureteral obstruction. J Feline Med Surg 2018; 20(1): 15-22. [PubMed]
  4. [4] Kyles A, Hardie E, Wooden B, et. al: Clinical, clinicopathologic, radiographic, and ultrasonographic abnormalities in cats with urteral calculi: 163 cases (1884-2002). J Am Vet Med Assoc 2005; 226(6): 932-936. [PubMed]
  5. [5] Nevins J, Mai W, Thomas E: Associations between ultrasound and clinical findings in 87 cats with urethral obstruction. Vet Radiol Ultrasound 2015; 56(4): 439-447. [PubMed]

Artículos recomendados

Estas recomendaciones se ofrecen de forma automática.

  • ¿Cuál es tu diagnóstico?
    L. Martín-Carrasco, E. Mínguez-Pereira, R. Salgüero-Fernández, et al.
    Clin Vet Peq Anim Vol. 46 - Nº 1 · MAR 2026 · ¿Cuál es tu diagnóstico?
  • ¿Cuál es tu diagnóstico?
    D. Marbella, A.M. Hernández-Guerra, L. Montalvà-Minguet
    Clin Vet Peq Anim Vol. 45 - Nº 4 · DIC 2025 · ¿Cuál es tu diagnóstico?
  • ¿Cuál es tu diagnóstico?

    J.D. Carrillo, M. Soler, M.S. Echalecu, et al.
    Clin Vet Peq Anim Vol. 45 - Nº 3 · SEP 2025 · ¿Cuál es tu diagnóstico?
  • Inicio
  • Historia
  • Describe las anormalidades encontradas
  • Establece los diagnósticos diferenciales de los hallazgos encontrados
  • ¿Qué otras técnicas de diagnóstico realizarías para alcanzar un diagnóstico definitivo?
  • Comentario
  • Bibliografía
Artículo anterior Índice de la revista Artículo siguiente
ANUNCIO
Próximos cursos ATVs Elearning
Índice
Inicio Historia Describe las anormalidades encontradas Establece los diagnósticos diferenciales de los hallazgos encontrados ¿Qué otras técnicas de diagnóstico realizarías para alcanzar un diagnóstico definitivo? Comentario Bibliografía
Suscripción AVEPA Elearning
ANUNCIO

¿No eres socio de AVEPA y quieres recibir comunicación de las nuevas ediciones en tu correo?

Suscríbete

Suscríbete y te avisaremos cuando publiquemos un nuevo número

Suscribirme

Enlaces rápidos

  • Inicio
  • Último número
  • Archivo
  • Artículos

Información

  • Comité editorial
  • Política de cookies
  • Política de privacidad
  • Términos y condiciones

Contacto

  • info@imaginice.com
  • Envíanos tu artículo
© 2026 Ice Salud Vet SL. Todos los derechos reservados.

Usamos cookies para mejorar tu experiencia. Selecciona cuáles aceptas: