Logo AVEPA

Clínica Veterinaria de Pequeños Animales

Revista oficial de AVEPA

  • Inicio
  • Último número
  • Archivo
  • Artículos
  • Para autores
  • Contacto
Cursos Junio-Septiembre 2026
ANUNCIO

Clínica Veterinaria de Pequeños Animales

Revista oficial de AVEPA

  • Inicio
  • Último número
  • Archivo
  • Artículos
  • Para autores
  • Contacto
Curso Oftalmología 2026
ANUNCIO
Clin Vet Peq Anim Vol. 45 • Nº 2 • junio 2025

¿Cuál es tu diagnóstico?

¿Cuál es tu diagnóstico?

S. García-Flores

UCD Veterinary Hospital. University College Dublin. Stillorgan Rd, Belfield. Dublín 4 (Irlanda).

A. Segarra

Servicio de Diagnóstico por Imagen. Hospital Veterinario Puchol. c/ Sauceda 8, Fuencarral-El Pardo. 28050 Madrid.

Contacto: santigf98@hotmail.com
Descargar artículo

Historia

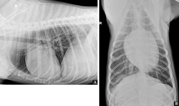
Se presenta un labrador hembra esterilizada de 6 años a mediados del mes de agosto en la región de Madrid, con historial de fiebres recurrentes de 15 días de evolución a la cual se le realizaron pruebas de enfermedades infecciosas transmitidas por vectores (Ehrlichia, Anaplasma, Filaria y Leishmania) con resultados negativos. Se administró antibioterapia de amplio espectro y antiinflamatorios no esteroideos y las fiebres cesaron puntualmente. Su centro veterinario la remitió porque al terminar el tratamiento la paciente volvió a mostrar decaimiento y fiebre de 39,7 ºC. Analíticamente presentaba leucocitosis neutrofílica severa (30,96 x 109/l; RR: 6,00-17,00 x 109/l) y un panel bioquímico sin alteraciones reseñables. Se realizó proteína C reactiva con valor superior a 150 mg/dl (RR: 1-10 mg/dl). Se realizó estudio ecográfico abdominal que no presentaba alteraciones. Se realizó un estudio radiográfico de tórax con proyecciones lateral derecha y ventrodorsal (Fig. 1).

<p>Radiografías de tórax de la paciente en proyección lateral derecha (<strong>A</strong>) y ventrodorsal (<strong>B</strong>). Fallo en la técnica: Presencia de la letra indicativa del decúbito en superposición con la paciente.</p>
Figura 1

Radiografías de tórax de la paciente en proyección lateral derecha (A) y ventrodorsal (B). Fallo en la técnica: Presencia de la letra indicativa del decúbito en superposición con la paciente.

Descripción de las alteraciones radiográficas observadas

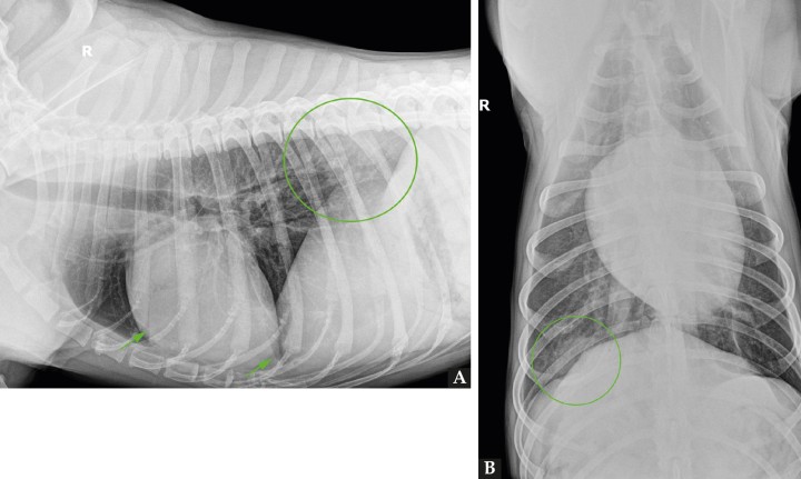
En la proyección lateral derecha se evidencia un patrón intersticial no estructurado en el aspecto dorsal de los lóbulos pulmonares caudodorsales que impide la correcta visualización del pilar diafragmático derecho a dicho nivel; en este caso, la proyección presenta una rotación significativa la cual posiblemente haya permitido visualizar la lesión radiológica con mayor claridad (Fig. 2A). Asimismo, en la proyección ventrodorsal se localiza en la zona de proyección del lóbulo pulmonar caudal derecho un foco de patrón intersticial no estructurado junto a una lesión de tipo nodular y bordes mal definidos, en la zona de proyección de la décima costilla (Fig. 2B). Se observa, además, la presencia de fisuras pleurales, indicativas de efusión pleural leve bilateral. El resto de las estructuras evaluables no muestran alteraciones reseñables.

<p>Mismas radiografías que Figura 1. (<strong>A</strong>) Radiografía de tórax en proyección latero-lateral derecha; resaltado se observa un patrón intersticial no estructurado a nivel caudodorsal (círculo) que impide la correcta visualización del pilar diafragmático derecho. Además, se evidencia la presencia de fisuras pleurales (flechas). (<strong>B</strong>): Radiografía de tórax en proyección ventrodorsal; resaltado se evidencia un patrón estructurado de tipo nodular en la zona de proyección de la décima costilla (círculo).</p>
Figura 2

Mismas radiografías que Figura 1. (A) Radiografía de tórax en proyección latero-lateral derecha; resaltado se observa un patrón intersticial no estructurado a nivel caudodorsal (círculo) que impide la correcta visualización del pilar diafragmático derecho. Además, se evidencia la presencia de fisuras pleurales (flechas). (B): Radiografía de tórax en proyección ventrodorsal; resaltado se evidencia un patrón estructurado de tipo nodular en la zona de proyección de la décima costilla (círculo).

Diagnósticos compatibles con los signos radiográficos observados (diagnóstico diferencial)

Los hallazgos observados incluyen un patrón intersticial no estructurado con interrupción del pilar diafragmático derecho, junto con un patrón estructurado de tipo nodular de 25 x 54 mm, ambos localizados en la porción caudodorsal del lóbulo pulmonar caudal derecho. Estos hallazgos sugieren los siguientes diagnósticos diferenciales: absceso/granuloma pulmonar, tromboembolismos pulmonares, tumores pulmonares primarios (carcinoma broncoalveolar, adenocarcinoma pulmonar, sarcoma histiocítico, carcinoma de células escamosas.), metástasis únicas de tumores primarios o un área única de consolidación pulmonar simulando un nódulo debido a una neumonía o bronconeumonía. Además, las fisuras pleurales indican la presencia de efusión en el espacio pleural, la cual puede ser de tipo trasudado puro (p. ej., hipoproteinemia), trasudado modificado (p. ej., neoplasias pulmonares/pleurales, quilotórax, trauma torácico), exudado (p. ej., piotórax) o de tipo hemorrágico.

¿Es necesario realizar otras técnicas de diagnóstico por imagen?

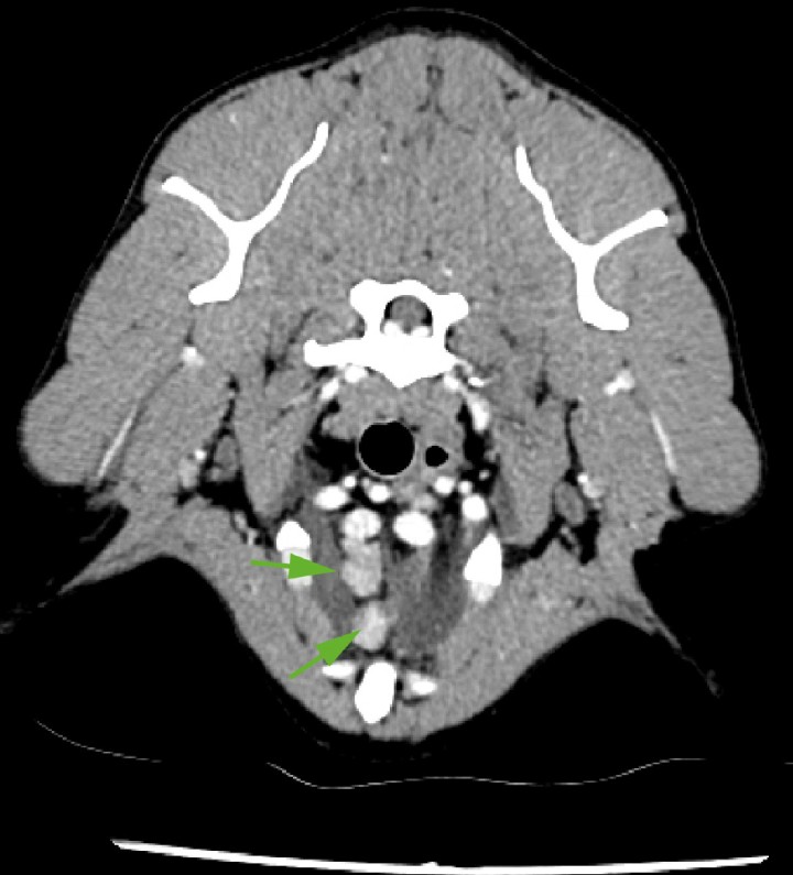
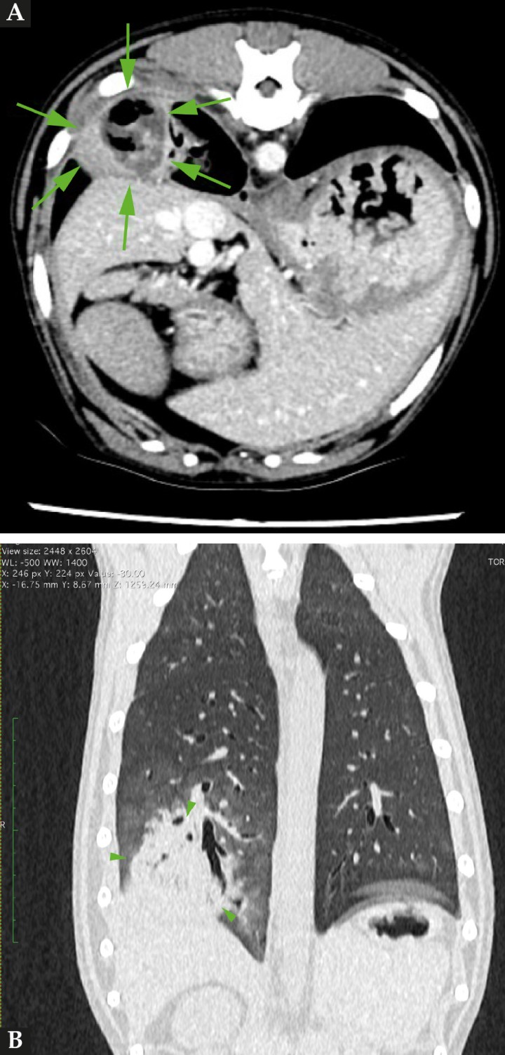
Debido a su bajo coste y accesibilidad, la ecografía es la técnica de elección para localización y toma de muestra siempre que la lesión pulmonar contacte con la pared torácica y exista ventana acústica, pero en este caso no permite visualizar la totalidad de la lesión y su posible afectación o relación con estructuras más profundas; por ello, la prueba definitiva para el diagnóstico de nuestra paciente fue la tomografía computarizada (TC). En este caso, se realizó un estudio tomográfico del tórax con equipo de TC de 16 cortes. (Aquilion Lightning, Canon Medical System Corporation, Tokio, Japón) y administración de contraste de intravenoso Optiray 300 mg/ml (Ioversol) (Guerbet, Roissy CdG Cedex, Francia) a dosis de 2 ml/kg. En dicho estudio se observó en el margen caudodorsal del lóbulo caudal derecho una masa de cápsula bien definida y márgenes irregulares [longitud (4 cm) x altura (3,4 cm) x anchura (3,6 cm)] y atenuaciones de tipo gas-tejido blando/fluido en su interior (30 UH precontraste y 80 UH postcontraste) (Fig. 3); además, en los márgenes de dicha masa, se observó un patrón en vidrio esmerilado del parénquima pulmonar. Se apreció también un leve incremento de tamaño de los linfonodos mediastínicos craneales y esternales (Fig. 4) y una moderada cantidad de líquido pleural con atenuación de 15-17 UH, que se presentaba de forma bilateral en ambos hemitórax (Fig. 5), provocando secundariamente una atelectasia de los ápices ventrales del lóbulo medio derecho, craneal izquierdo y craneal derecho.

<p>(<strong>A</strong>) Imagen de TC en ventana tejido blando postcontraste de corte trasversal del tórax y ventana pulmón. (<strong>B</strong>) En corte dorsal a la altura de T10, se aprecia un incremento de atenuación del parénquima con la presencia de una masa de márgenes irregulares (4 cm de diámetro) (puntas de flecha) con cápsula bien definida y con captación de contraste (114 UH), y una cavidad con gas y necrosis/fluido en su interior.</p>
Figura 3

(A) Imagen de TC en ventana tejido blando postcontraste de corte trasversal del tórax y ventana pulmón. (B) En corte dorsal a la altura de T10, se aprecia un incremento de atenuación del parénquima con la presencia de una masa de márgenes irregulares (4 cm de diámetro) (puntas de flecha) con cápsula bien definida y con captación de contraste (114 UH), y una cavidad con gas y necrosis/fluido en su interior.

<p>Imagen de TC en ventana tejido blando postcontraste de corte trasversal; a la entrada del tórax, se evidencian los linfonodos mediastínicos craneales y esternal (flechas) aumentados de tamaño, con márgenes bien definidos, parénquima homogéneo, atenuación (50 UH) en fase precontraste y captación de contraste homogénea y moderada. Se aprecia, además, ligera hiperintensidad de la grasa perinodal.</p>
Figura 4

Imagen de TC en ventana tejido blando postcontraste de corte trasversal; a la entrada del tórax, se evidencian los linfonodos mediastínicos craneales y esternal (flechas) aumentados de tamaño, con márgenes bien definidos, parénquima homogéneo, atenuación (50 UH) en fase precontraste y captación de contraste homogénea y moderada. Se aprecia, además, ligera hiperintensidad de la grasa perinodal.

<p>Imagen de TC en ventana tejido blando postcontraste de corte trasversal; a la altura de T6, se evidencia presencia moderada de fluido pleural en ambos hemitórax (flechas).</p>
Figura 5

Imagen de TC en ventana tejido blando postcontraste de corte trasversal; a la altura de T6, se evidencia presencia moderada de fluido pleural en ambos hemitórax (flechas).

Las conclusiones del estudio indicaron como principal diagnóstico diferencial un absceso en el lóbulo caudal derecho con pleuritis, efusión pleural moderada bilateral y neumonitis perilesional lobar asociada con presencia, además, de leve linfadenopatía mediastínica y esternal, posiblemente causada por la presencia de un cuerpo extraño no identificado en TC.

Debido a los hallazgos tomográficos, se sometió a la paciente a toracotomía mediante abordaje en el sexto espacio intercostal derecho y se realizó lobectomía total del lóbulo pulmonar caudal derecho con colocación de tubo de drenaje torácico. Las muestras de parénquima pulmonar extirpadas se mandaron a un laboratorio externo para su cultivo microbiológico. Durante la hospitalización, la paciente tuvo una evolución positiva y se fueron haciendo controles radiográficos seriados cada 24 horas, evidenciándose una baja producción de líquido pleural y un buen aspecto radiológico del parénquima. A las 48 horas postquirúrgicas se le retiró el tubo de drenaje torácico, y a las 72 horas recibió el alta hospitalaria. Al cabo de una semana, los resultados del cultivo mostraron el crecimiento de colonias escasas de Pasteurella canis, Streptococcus minor y Peptostreptococcus canis, todas ellas sensibles a la antibioterapia de amplio espectro ya pautada (amoxicilina-ácido clavulánico). Una vez terminado el tratamiento antibiótico la paciente no volvió a presentar recidivas.

Comentario

Un absceso pulmonar se define como una zona circunscrita de contenido purulento o restos necróticos en el parénquima pulmonar, que da lugar a una cavidad y, tras la formación de una fístula broncopulmonar, a un espacio de aire-líquido en el interior de la cavidad.[ Kuhajda I, Zarogoulidis K, Tsirgogianni K, et al. “Lung abscess-etiology, diagnostic and treatment options.” Annals of translational medicine 2015; 3 (13): 183. [PubMed] ] La formación de abscesos pulmonares puede ser una secuela de neumonía, inhalación, penetración o migración de un cuerpo extraño, o una infección pleural grave.[ Eiras-Diaz A, Frykfors von Hekkel A, Hanot E, et al. CT findings, management and short-term outcome of dogs with pyothorax: 101 cases (2010–2019). J Small Anim Pract 2021; 62(11): 959-966. [PubMed] ] Una de las causas más frecuentes de absceso pulmonar es la migración de un cuerpo extraño que puede ser visible o no por técnicas de imagen y, aunque en este caso no se encontró durante la exploración quirúrgica, no se puede descartar su presencia. Según la forma de propagación, el absceso pulmonar puede ser broncogénico (aspiración, inhalación) o hematógeno (diseminación desde otros focos infecciosos).[ Kuhajda I, Zarogoulidis K, Tsirgogianni K, et al. “Lung abscess-etiology, diagnostic and treatment options.” Annals of translational medicine 2015; 3 (13): 183. [PubMed] ] Habitualmente, los abscesos pulmonares se han descrito radiológicamente como estructuras radiopacas únicas o múltiples, con una pared gruesa e irregular y con una o varias cavidades con aire en su interior,[ Dennis, Ruth et al. “Handbook of Small Animal Radiology and Ultrasound: Techniques and Differential Diagnoses” Saunders, Second Ed, 2010. ] dando así una imagen comúnmente denominada como “aire-fluido” que se puede presentar también en otras patologías como quistes o tumores pulmonares.[ Kuhajda I, Zarogoulidis K, Tsirgogianni K, et al. “Lung abscess-etiology, diagnostic and treatment options.” Annals of translational medicine 2015; 3 (13): 183. [PubMed] ] Sin embargo, en este caso en concreto, el absceso pulmonar se manifestó con un patrón de tipo nodular, sin apreciarse una cavidad de aire en su interior en radiografía convencional. Este patrón radiográfico asociado a abscesos pulmonares ya ha sido descrito en perros anteriormente.[ Jasleen Kaur., et al. “Multiple Pulmonary Abscesses in a Greyhound Dog". Acta Scientific Veterinary Sciences 2023; 5(11): 01-02. ]

Pese al uso extendido de la radiografía convencional, la TC parece ser la herramienta más útil en estos casos para localizar las lesiones y la extensión de las mismas, y para establecer con mayor seguridad un diagnóstico presuntivo. En la TC, los abscesos vienen definidos por una pared de aspecto y grosor variables, de límites mal definidos que se infiltran en tejidos circundantes, y con un contenido mixto de gas y fluido y con una atenuación media de las cavidades abscesales de 30 UH (rango de 5 a 60 UH).[ Vansteenkiste DP, Lee KC, Lamb CR. Computed tomographic findings in 44 dogs and 10 cats with grass seed foreign bodies. J Small Anim Pract 2014; 55(11): 579-584. [PubMed] ] En casos como el presentado en este artículo, el uso de la ecografía también es de cierta utilidad, tanto para la localización o toma de muestra de la lesión, como para la obtención de muestra de la efusión pleural asociada y su correspondiente acercamiento al diagnóstico, pero cabe recalcar que debido a sus limitaciones (incapacidad de ver la totalidad de la lesión o posibles nuevas lesiones más profundas en el parénquima) no es la técnica de elección para este tipo de lesiones.

Este caso sirve como ejemplo para recordar que los abscesos pulmonares pueden presentarse con diferentes cambios a nivel radiológico, así que siempre se debe tener en cuenta esta patología como diagnóstico diferencial en pacientes con fiebre, leucocitosis y lesiones focales en el parénquima pulmonar.

Fuente de financiación: este trabajo no se ha realizado con fondos comerciales, públicos o del sector privado.

Conflicto de intereses: los autores declaran que no existe conflicto de intereses.

Bibliografía

  1. [1] Kuhajda I, Zarogoulidis K, Tsirgogianni K, et al. “Lung abscess-etiology, diagnostic and treatment options.” Annals of translational medicine 2015; 3 (13): 183. [PubMed]
  2. [2] Eiras-Diaz A, Frykfors von Hekkel A, Hanot E, et al. CT findings, management and short-term outcome of dogs with pyothorax: 101 cases (2010–2019). J Small Anim Pract 2021; 62(11): 959-966. [PubMed]
  3. [3] Dennis, Ruth et al. “Handbook of Small Animal Radiology and Ultrasound: Techniques and Differential Diagnoses” Saunders, Second Ed, 2010.
  4. [4] Jasleen Kaur., et al. “Multiple Pulmonary Abscesses in a Greyhound Dog". Acta Scientific Veterinary Sciences 2023; 5(11): 01-02.
  5. [5] Vansteenkiste DP, Lee KC, Lamb CR. Computed tomographic findings in 44 dogs and 10 cats with grass seed foreign bodies. J Small Anim Pract 2014; 55(11): 579-584. [PubMed]

Artículos recomendados

Estas recomendaciones se ofrecen de forma automática.

  • ¿Cuál es tu diagnóstico?
    L. Martín-Carrasco, E. Mínguez-Pereira, R. Salgüero-Fernández, et al.
    Clin Vet Peq Anim Vol. 46 - Nº 1 · MAR 2026 · ¿Cuál es tu diagnóstico?
  • ¿Cuál es tu diagnóstico?
    D. Marbella, A.M. Hernández-Guerra, L. Montalvà-Minguet
    Clin Vet Peq Anim Vol. 45 - Nº 4 · DIC 2025 · ¿Cuál es tu diagnóstico?
  • ¿Cuál es tu diagnóstico?

    J.D. Carrillo, M. Soler, M.S. Echalecu, et al.
    Clin Vet Peq Anim Vol. 45 - Nº 3 · SEP 2025 · ¿Cuál es tu diagnóstico?
  • Inicio
  • Historia
  • Descripción de las alteraciones radiográficas observadas
  • Diagnósticos compatibles con los signos radiográficos observados (diagnóstico diferencial)
  • ¿Es necesario realizar otras técnicas de diagnóstico por imagen?
  • Comentario
  • Bibliografía
Artículo anterior Índice de la revista Artículo siguiente
ANUNCIO
Próximos cursos ATVs Elearning
Índice
Inicio Historia Descripción de las alteraciones radiográficas observadas Diagnósticos compatibles con los signos radiográficos observados (diagnóstico diferencial) ¿Es necesario realizar otras técnicas de diagnóstico por imagen? Comentario Bibliografía
Hill's - Reco Start
ANUNCIO

¿No eres socio de AVEPA y quieres recibir comunicación de las nuevas ediciones en tu correo?

Suscríbete

Suscríbete y te avisaremos cuando publiquemos un nuevo número

Suscribirme

Enlaces rápidos

  • Inicio
  • Último número
  • Archivo
  • Artículos

Información

  • Comité editorial
  • Política de cookies
  • Política de privacidad
  • Términos y condiciones

Contacto

  • info@imaginice.com
  • Envíanos tu artículo
© 2026 Ice Salud Vet SL. Todos los derechos reservados.

Usamos cookies para mejorar tu experiencia. Selecciona cuáles aceptas: