Logo AVEPA

Clínica Veterinaria de Pequeños Animales

Revista oficial de AVEPA

  • Inicio
  • Último número
  • Archivo
  • Artículos
  • Para autores
  • Contacto
Cursos Junio-Septiembre 2026
ANUNCIO

Clínica Veterinaria de Pequeños Animales

Revista oficial de AVEPA

  • Inicio
  • Último número
  • Archivo
  • Artículos
  • Para autores
  • Contacto
Curso Oftalmología 2026
ANUNCIO
Clin Vet Peq Anim Vol. 38 • Nº 3 • septiembre 2018

Caso clínico de Neurología

Caso Clínico de...

C. Blanco

Neurología Veterinaria. c/ Diseño 26, nave 39, PI Los Olivos. 28906 Getafe, Madrid.

M. Moral

Neurología Veterinaria. c/ Diseño 26, nave 39, PI Los Olivos. 28906 Getafe, Madrid.

V. Lorenzo

Neurología Veterinaria. c/ Diseño 26, nave 39, PI Los Olivos. 28906 Getafe, Madrid.

Contacto: valo.lorenzo@gmail.com
Descargar artículo

Historia clínica

Se presentó un perro Schnauzer Mediano, de 6 años de edad, macho no castrado, por un cuadro de incapacidad motora de los miembros pélvicos de presentación aguda tras traumatismo mientras jugaba con otro perro hace unas horas. No se referían antecedentes de enfermedad en la historia clínica del paciente.

En el examen físico general no se observó ninguna alteración relevante. El examen neurológico mostró paraparesia no ambulatoria (grado III/V), con déficits propioceptivos en miembros pélvicos más marcados en el miembro derecho y reflejos espinales normales en los cuatro miembros. La evaluación del estado mental y de los nervios craneales fue normal. No se detectaron signos sugerentes de dolor espinal a la palpación. La analítica general y las radiografías de tórax no revelaron ninguna alteración significativa.

¿Cuál es la localización neuroanatómica en este caso?

El paciente presenta paraparesia no ambulatoria con mayores déficits en el miembro pélvico derecho y reflejos espinales normales. Estos signos son compatibles con una lesión medular en segmentos T3-L3 lateralizada a la derecha.

¿En función de la anamnesis y localización neuroanatómica, cuáles son los diagnósticos diferenciales más probables?

En este caso, los datos de la anamnesis de mayor relevancia y que nos ayudan a establecer nuestro diagnóstico diferencial son la raza, la presentación hiperaguda, la asociación con un traumatismo leve, la lateralización de los signos y la ausencia de dolor significativo en la exploración.

En el diagnóstico diferencial de un paciente con signos de mielopatía aguda lateralizados debemos incluir posibilidades tales como mielopatía isquémica (fundamentalmente por embolismo fibrocartilaginoso), procesos degenerativos discales, principalmente extrusión de núcleo pulposo aguda no compresiva (anteriormente también llamadas extrusiones de alta velocidad y bajo volumen o hernias discales Hansen III), contusiones medulares traumáticas, extrusiones discales compresivas lateralizadas y, con menor probabilidad dada la anamnesis, otros cuadros tales como procesos inflamatorios-infecciosos (mielitis) o neoplásicos.

¿Qué técnica(s) diagnóstica(s) consideras de elección en este caso para llegar al diagnóstico definitivo?

Teniendo en cuenta que los diagnósticos diferenciales incluyen lesiones medulares principalmente de tipo no compresivo, la técnica de elección en este caso es la resonancia magnética (RM), la cual nos permite detectar y tipificar la lesión con mayor detalle y valorar el estado medular para establecer mejor el pronóstico que con otras técnicas como la mielografía o la tomografía computarizada (TC).

Dado el examen físico general normal y la ausencia de antecedentes clínicos y de alteraciones en el hemograma, la bioquímica sanguínea y las radiografías de tórax se consideró conveniente realizar, bajo anestesia general inhalatoria, un estudio por RM de alto campo (Philips Intera 1.5T, Holanda) de la columna torácica y lumbar. En este estudio se evidenció una alteración de la señal intramedular localizada en el nivel correspondiente al tercio caudal de la vértebra T13, con mayor afectación derecha, caracterizada por prolongación de los tiempos de relajación (hiperintesidad en secuencias ponderadas en T2 e hipointensidad en T1) de límites relativamente definidos y ausencia de captación de contraste (Fig. 1A). El disco intervertebral T13-L1 presentaba en su núcleo pulposo una zona hipointensa, con halo hiperintenso en secuencias ponderadas en T2 (Fig. 1B). El diagnóstico presuntivo más probable fue mielopatía isquémica, probablemente por embolismo fibrocartilaginoso de material de núcleo pulposo proveniente del disco T13-L1, sin poder descartar por completo extrusión aguda no compresiva.

<p>Imágenes de Resonancia Magnética. (<strong>A</strong>) Corte transversal sobre el tercio caudal de T13, imagen ponderada en T2. Se observa una alteración de señal intramedular hiperintensa, de límites definidos, algo lateralizada a la derecha. (<strong>B</strong>) Corte transversal sobre el disco intervertebral T13-L1, imagen ponderada en T2. En el núcleo pulposo se observa una disminución de señal focal rodeada de un halo hiperintenso.</p>
Figura 1

Imágenes de Resonancia Magnética. (A) Corte transversal sobre el tercio caudal de T13, imagen ponderada en T2. Se observa una alteración de señal intramedular hiperintensa, de límites definidos, algo lateralizada a la derecha. (B) Corte transversal sobre el disco intervertebral T13-L1, imagen ponderada en T2. En el núcleo pulposo se observa una disminución de señal focal rodeada de un halo hiperintenso.

¿Considerarías conveniente realizar alguna prueba más adicional?

En ocasiones, procesos de tipo inflamatorio-infeccioso (mielitis) pueden tener un patrón radiológico similar, por lo que el análisis de líquido cefalorraquídeo (LCR) puede ser clave para diferenciar estas lesiones y/o aportar más datos clínicos. En el caso presentado, la anamnesis indicaba una presentación hiperaguda asociada a un traumatismo, lo que sugería que el análisis del LCR iba a aportar pocos datos adicionales; sin embargo, si la anamnesis es confusa, se recomienda su realización, dado que en ocasiones las lesiones inflamatorias pueden ser de presentación aparentemente aguda. En casos de mielopatía isquémica, el LCR puede ser normal o estar alterado, especialmente en las primeras fases, presentando ligero aumento de proteínas y pleocitosis mixta de leve a moderada.

¿Qué plan terapéutico instaurarías?

El tratamiento se fundamenta en la instauración temprana de fisioterapia, ya que se asocia a mayor tasa de recuperación. El tratamiento inicial en las fases agudas se orienta a reducir el daño secundario en la médula espinal manteniendo una adecuada perfusión medular (evitar hipotensión sistémica), así como en la administración de antiinflamatorios no esteroideos (AINE). Por otra parte, se recomiendan medidas de manejo general del paciente para evitar úlceras por decúbito o infecciones concomitantes (cambios de postura, cama blanda, vaciar vejiga si es necesario, etc.).

Discusión

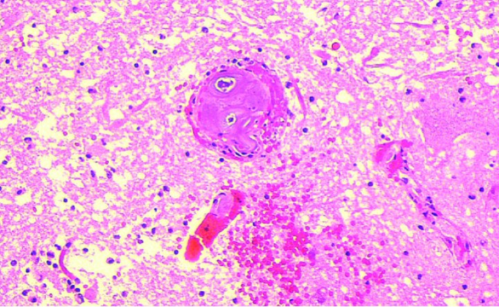
La mielopatía isquémica por embolismo fibrocartilaginoso ha sido descrita en medicina veterinaria de manera más frecuente en el perro, pero también en otras especies, así como en medicina humana.[ De Risio L. Platt SR. Fibrocartilaginous embolic myelopathy in small animals. Vet Clin North Am Small Anim Pract 2010;40:859-869. [PubMed] , Davidovic L, Illic N. Spinal cord ischemia after aortic surgery. J Cardiovascular Surg 2014;55:741-757. [PubMed] , Cuello JP , Ortega-Gutierrez S, Linares G et al. Acute cervical myelopathy due to presumed fibrocartilaginous embolism: a case report and systematic review of the literatura. J Spinal Disord Tech 2014; 27: E276-28. [PubMed] ] Se desconoce con exactitud la fisiopatología, pero en estudios histológicos e histoquímicos el material que se localiza en arteria(s) y/o vena(s) espinal(es) es idéntico al núcleo pulposo del disco intervertebral[ Cauzinille L. Fibrocartilaginous embolism in dogs. Vet Clin North Am Small Anim Pract 2000;30:155-167. [PubMed] ] (Fig. 2), por lo que se acepta que proviene de este, aunque se han descrito casos de embolismos por componentes del anillo fibroso.[ Neer TM. Fibrocartilaginous emboli. Vet Clin North Am Small Anim Pract. 1992 Jul;22(4):1017-26. [PubMed] ] Otras teorías indican que el material embolizado puede provenir de una degeneración metaplásica del endotelio vascular o de cartílago de crecimiento en animales jóvenes.[ De Risio L. Platt SR. Fibrocartilaginous embolic myelopathy in small animals. Vet Clin North Am Small Anim Pract 2010;40:859-869. [PubMed] ]

<p>Imagen de anatomía patológica de un émbolo fibrocartilaginoso en un vaso medular, correspondiente a otro caso. (Hematoxilina & Eosina, x20). Cortesía de M. Pumarola.</p>
Figura 2

Imagen de anatomía patológica de un émbolo fibrocartilaginoso en un vaso medular, correspondiente a otro caso. (Hematoxilina & Eosina, x20). Cortesía de M. Pumarola.

Existen varias teorías acerca de cómo llega el material discal a la vasculatura,[ De Risio L. Platt SR. Fibrocartilaginous embolic myelopathy in small animals. Vet Clin North Am Small Anim Pract 2010;40:859-869. [PubMed] , Cauzinille L. Fibrocartilaginous embolism in dogs. Vet Clin North Am Small Anim Pract 2000;30:155-167. [PubMed] , Neer TM. Fibrocartilaginous emboli. Vet Clin North Am Small Anim Pract. 1992 Jul;22(4):1017-26. [PubMed] , Lorenzo V, Morales C. Mielopatías vasculares. En: capítulo 7, Mielopatías y Problemas de Columna. Morales C, Montoliu P (eds): Neurología Canina y Felina, San Cugat del Vallés, Multimédica ediciones veterinarias, 2013. ] a su penetración al interior del plexo sistema venoso y de ahí, de manera retrógrada, al arterial: por aumento de presión intraabdominal causado por trauma o ejercicio, entrada a través de una neovascularización del disco que se forma en degeneración discal, entrada por vasos embrionarios remanentes en el núcleo pulposo o paso a través de herniación del núcleo a médula ósea del cuerpo vertebral y, de ahí, a senos venosos.

Sea como fuere, como consecuencia del embolismo se desencadena una cascada bioquímica y cambios metabólicos que van a afectar principalmente a la sustancia gris por su alta demanda metabólica.[ De Risio L. Platt SR. Fibrocartilaginous embolic myelopathy in small animals. Vet Clin North Am Small Anim Pract 2010;40:859-869. [PubMed] ]

Esta patología afecta con mayor frecuencia a perros con una edad media de 5,3 años, aunque se han descrito casos desde las 8 semanas hasta los 14,5 años.[ Gandini G, Cizinauskas S, Lang J, et al. Fibrocartilaginous embolism in 75 dogs: clinical findings and factors influencing the recovery rate. J Small Anim Pract 2003;44:76-80. [PubMed] , Bartholomew KA, Stover KE, Olby NJ et al. Clinical characteristics of canine fibrocartilaginous embolic myelopathy (FCE): a systematic review of 393 cases (19732013). Vet Rec 2016;179:650. [PubMed] ] En el caso de los gatos, la edad media de presentación es entre los 7 y 12 años.[ Mikszewski JS, Van Winkle TJ, Troxel MT. Fibrocartilaginous embolic myelopathy in five cats. J Am Anim Hosp Assoc. 2006;42:226-33. [PubMed] ] En cuanto a predisposición racial y sexo, se ha descrito en razas de diferentes tamaños, con mayor incidencia en el Schnauzer miniatura y una moderada predisposición en machos.[ Bartholomew KA, Stover KE, Olby NJ et al. Clinical characteristics of canine fibrocartilaginous embolic myelopathy (FCE): a systematic review of 393 cases (19732013). Vet Rec 2016;179:650. [PubMed] , Cauzinille L, Kornegay JN. Fibrocartilaginous embolism of the spinal cord in dogs: review of 36 histologically confirmed cases and retrospective study of 26 suspected cases. J Vet Intern Med 1996;10:241-245. [PubMed] , De Risio L, Adams V, Dennis R, et al. Magnetic resonance imaging findings and clinical associations in 52 dogs with suspected ischemic myelopathy. J Vet Intern Med 2007;21:1290-1298. [PubMed] ]

Suele asociarse a un traumatismo o actividad física en un 30 % de los casos. La presentación clínica es hiperaguda y en general no progresiva, aunque es posible una cierta progresión de los signos entre los 15 minutos y las 36 horas posteriores.[ Bartholomew KA, Stover KE, Olby NJ et al. Clinical characteristics of canine fibrocartilaginous embolic myelopathy (FCE): a systematic review of 393 cases (19732013). Vet Rec 2016;179:650. [PubMed] ] Los signos neurológicos dependen de la localización y extensión de la lesión medular; pueden afectar a cualquier segmento espinal siendo en gatos más frecuente la localización cervical[ Mikszewski JS, Van Winkle TJ, Troxel MT. Fibrocartilaginous embolic myelopathy in five cats. J Am Anim Hosp Assoc. 2006;42:226-33. [PubMed] ] y en perros, según los últimos estudios, en T3-L3,[ Bartholomew KA, Stover KE, Olby NJ et al. Clinical characteristics of canine fibrocartilaginous embolic myelopathy (FCE): a systematic review of 393 cases (19732013). Vet Rec 2016;179:650. [PubMed] , De Risio L, Adams V, Dennis R, et al. Magnetic resonance imaging findings and clinical associations in 52 dogs with suspected ischemic myelopathy. J Vet Intern Med 2007;21:1290-1298. [PubMed] ] observándose en algunos pacientes una presentación neuroanatómica multifocal.[ Bartholomew KA, Stover KE, Olby NJ et al. Clinical characteristics of canine fibrocartilaginous embolic myelopathy (FCE): a systematic review of 393 cases (19732013). Vet Rec 2016;179:650. [PubMed] , De Lahunta A, Alexander JW. Ischemic Myelopathy Secondary to Presumed Fibocartilaginous Embolism in Nine Dogs. J Am Anim Hosp Assoc. 1976;12:37-4. ] Los signos clínicos suelen ser asimétricos en aproximadamente un 70 % de los casos.[ Bartholomew KA, Stover KE, Olby NJ et al. Clinical characteristics of canine fibrocartilaginous embolic myelopathy (FCE): a systematic review of 393 cases (19732013). Vet Rec 2016;179:650. [PubMed] ]

El diagnóstico definitivo es histopatológico y se basa en la visualización del material fibrocartilaginoso embolizado en un vaso espinal asociado a lesión medular isquémica, aunque los datos clínicos y radiológicos suelen permitir realizar un diagnóstico presuntivo con alta certeza. Los principales diferenciales son la extrusión discal aguda no compresiva y los traumatismos medulares. En la mayoría de casos, la presentación clínica entre un embolismo fibrocartilaginoso y una extrusión discal aguda no compresiva puede ser prácticamente indistinguible. Los siguientes criterios radiológicos se consideran diagnósticos de extrusiones agudas no compresivas: 1) disrupción de la grasa epidural en el espacio intervertebral afectado, 2) cantidad mínima de disco extruido, 3) estrechamiento del espacio intervertebral y 4) disminución del volumen del núcleo pulposo del disco intervertebral afectado.[ De Risio L, Adams V, Dennis R, et al. Association of clinical and magnetic resonance imaging findings with outcome in dogs with presumptive acute noncompressive nucleus pulposus extrusion: 42 cases (2000–2007). J Am Vet Med Assoc 2009;234:495-504. [PubMed] ] Sin embargo, el manejo clínico de ambos procesos es el mismo.

La técnica de elección para el diagnóstico presuntivo es la RM, ya que permite descartar otras causas de mielopatía y establecer mejor un pronóstico. Se observan lesiones intramedulares focales que afectan principalmente a sustancia gris y que pueden extenderse por sustancia blanca adyacente, asimétricas en la mayoría de animales. La lesión suele ser hiperintensa en secuencias ponderadas en T2 e isointensa en T1. Tras la administración de contraste, no suele observarse un realce significativo, aunque puede darse un realce sutil varios días después del inicio de los signos.[ De Risio L, Adams V, Dennis R, et al. Magnetic resonance imaging findings and clinical associations in 52 dogs with suspected ischemic myelopathy. J Vet Intern Med 2007;21:1290-1298. [PubMed] ]

Teniendo en cuenta la similitud en la RM de ambas patologías, extrusión discal aguda no compresiva y embolismo fibrocartilaginoso, se recomienda cautela en la interpretación de las imágenes.

La extracción de líquido cefalorraquídeo puede revelar, sobre todo en las primeras fases, una leve a moderada pleocitosis mixta o neutrofílica de 0-630 células/µl y un aumento de proteínas.[ Gandini G, Cizinauskas S, Lang J, et al. Fibrocartilaginous embolism in 75 dogs: clinical findings and factors influencing the recovery rate. J Small Anim Pract 2003;44:76-80. [PubMed] , Bartholomew KA, Stover KE, Olby NJ et al. Clinical characteristics of canine fibrocartilaginous embolic myelopathy (FCE): a systematic review of 393 cases (19732013). Vet Rec 2016;179:650. [PubMed] ]

En cuanto al tratamiento, tal y como se ha comentado anteriormente, se basa en reducir el daño medular secundario, instaurar fisioterapia temprana y proporcionar medidas de soporte. El uso de analgésicos puede ser necesario pues algunos casos presentan dolor en las primeras 24 horas.

El pronóstico es bueno o excelente en muchos de los casos, recuperándose la ambulación en un plazo medio de 3 semanas, aunque es frecuente observar déficits neurológicos residuales.[ Cuello JP , Ortega-Gutierrez S, Linares G et al. Acute cervical myelopathy due to presumed fibrocartilaginous embolism: a case report and systematic review of the literatura. J Spinal Disord Tech 2014; 27: E276-28. [PubMed] , Gandini G, Cizinauskas S, Lang J, et al. Fibrocartilaginous embolism in 75 dogs: clinical findings and factors influencing the recovery rate. J Small Anim Pract 2003;44:76-80. [PubMed] , Bartholomew KA, Stover KE, Olby NJ et al. Clinical characteristics of canine fibrocartilaginous embolic myelopathy (FCE): a systematic review of 393 cases (19732013). Vet Rec 2016;179:650. [PubMed] , Cauzinille L, Kornegay JN. Fibrocartilaginous embolism of the spinal cord in dogs: review of 36 histologically confirmed cases and retrospective study of 26 suspected cases. J Vet Intern Med 1996;10:241-245. [PubMed] , De Risio L, Adams V, Dennis R, et al. Magnetic resonance imaging findings and clinical associations in 52 dogs with suspected ischemic myelopathy. J Vet Intern Med 2007;21:1290-1298. [PubMed] ] El factor pronóstico más importante, como en cualquier lesión medular, es la presencia o ausencia de sensibilidad profunda.[ Olby N J, Harris T, Burr J et al. Recovery of pelvic limb function in dogs following acute intervertebral disc herniations. J Neurotrauma 2004;21, 49-59. [PubMed] ] Otros factores que pueden influir sobre el pronóstico son la localización de la lesión (siendo más graves las lesiones localizadas en las intumescencias), la simetría de los signos (los que tienen signos simétricos tienen peor pronóstico pues indica una mayor afectación del diámetro medular) y el tamaño del paciente (los de mayor tamaño con signos neurológicos más graves y cervicales presentan un manejo más complicado). Existen otros factores que pueden aportar información pronóstica, como el porcentaje en la RM del área transversal de máxima hiperintensidad en T2 con respecto al área transversal de la médula espinal, siendo favorable cuando es <67 %. Asimismo, lesiones con extensión sagital mayor a 2 veces la longitud del cuerpo vertebral de L2 o C6 (en lesiones lumbares o cervicales, respectivamente) se asocian a peor pronóstico.[ De Risio L, Adams V, Dennis R et al. Association of clinical and magnetic resonance imaging findings with outcome in dogs suspected to have ischemic myelopathy: 50 cases (2000-2006). J Am Vet Med Assoc 2008;233:129-35. [PubMed] ]

 

Fuente de financiación: este trabajo no se ha realizado con fondos comerciales, públicos o del sector privado.

Conflicto de intereses: los autores declaran que no existe conflicto de intereses.

Bibliografía

  1. [1] De Risio L. Platt SR. Fibrocartilaginous embolic myelopathy in small animals. Vet Clin North Am Small Anim Pract 2010;40:859-869. [PubMed]
  2. [2] Davidovic L, Illic N. Spinal cord ischemia after aortic surgery. J Cardiovascular Surg 2014;55:741-757. [PubMed]
  3. [3] Cuello JP , Ortega-Gutierrez S, Linares G et al. Acute cervical myelopathy due to presumed fibrocartilaginous embolism: a case report and systematic review of the literatura. J Spinal Disord Tech 2014; 27: E276-28. [PubMed]
  4. [4] Cauzinille L. Fibrocartilaginous embolism in dogs. Vet Clin North Am Small Anim Pract 2000;30:155-167. [PubMed]
  5. [5] Neer TM. Fibrocartilaginous emboli. Vet Clin North Am Small Anim Pract. 1992 Jul;22(4):1017-26. [PubMed]
  6. [6] Lorenzo V, Morales C. Mielopatías vasculares. En: capítulo 7, Mielopatías y Problemas de Columna. Morales C, Montoliu P (eds): Neurología Canina y Felina, San Cugat del Vallés, Multimédica ediciones veterinarias, 2013.
  7. [7] Gandini G, Cizinauskas S, Lang J, et al. Fibrocartilaginous embolism in 75 dogs: clinical findings and factors influencing the recovery rate. J Small Anim Pract 2003;44:76-80. [PubMed]
  8. [8] Bartholomew KA, Stover KE, Olby NJ et al. Clinical characteristics of canine fibrocartilaginous embolic myelopathy (FCE): a systematic review of 393 cases (19732013). Vet Rec 2016;179:650. [PubMed]
  9. [9] Mikszewski JS, Van Winkle TJ, Troxel MT. Fibrocartilaginous embolic myelopathy in five cats. J Am Anim Hosp Assoc. 2006;42:226-33. [PubMed]
  10. [10] Cauzinille L, Kornegay JN. Fibrocartilaginous embolism of the spinal cord in dogs: review of 36 histologically confirmed cases and retrospective study of 26 suspected cases. J Vet Intern Med 1996;10:241-245. [PubMed]
  11. [11] De Risio L, Adams V, Dennis R, et al. Magnetic resonance imaging findings and clinical associations in 52 dogs with suspected ischemic myelopathy. J Vet Intern Med 2007;21:1290-1298. [PubMed]
  12. [12] De Lahunta A, Alexander JW. Ischemic Myelopathy Secondary to Presumed Fibocartilaginous Embolism in Nine Dogs. J Am Anim Hosp Assoc. 1976;12:37-4.
  13. [13] De Risio L, Adams V, Dennis R, et al. Association of clinical and magnetic resonance imaging findings with outcome in dogs with presumptive acute noncompressive nucleus pulposus extrusion: 42 cases (2000–2007). J Am Vet Med Assoc 2009;234:495-504. [PubMed]
  14. [14] Olby N J, Harris T, Burr J et al. Recovery of pelvic limb function in dogs following acute intervertebral disc herniations. J Neurotrauma 2004;21, 49-59. [PubMed]
  15. [15] De Risio L, Adams V, Dennis R et al. Association of clinical and magnetic resonance imaging findings with outcome in dogs suspected to have ischemic myelopathy: 50 cases (2000-2006). J Am Vet Med Assoc 2008;233:129-35. [PubMed]

Artículos recomendados

Estas recomendaciones se ofrecen de forma automática.

  • Caso clínico de… Urgencias

    I. Sunyer
    Clin Vet Peq Anim Vol. 45 - Nº 2 · JUN 2025 · Caso Clínico de...
  • Caso clínico de… Cirugía de tejidos blandos

    N. Jurado, L. Fresno, L. Santos
    Clin Vet Peq Anim Vol. 44 - Nº 1 · MAR 2024 · Caso Clínico de...
  • Caso clínico de… Urgencias

    M. Solana, C. Gómez-Ullate, J.L. Puchol, et al.
    Clin Vet Peq Anim Vol. 43 - Nº 4 · DIC 2023 · Caso Clínico de...
  • Inicio
  • Historia clínica
  • ¿Cuál es la localización neuroanatómica en este caso?
  • ¿En función de la anamnesis y localización neuroanatómica, cuáles son los diagnósticos diferenciales más probables?
  • ¿Qué técnica(s) diagnóstica(s) consideras de elección en este caso para llegar al diagnóstico definitivo?
  • ¿Considerarías conveniente realizar alguna prueba más adicional?
  • ¿Qué plan terapéutico instaurarías?
  • Discusión
  • Bibliografía
Artículo anterior Índice de la revista Artículo siguiente
ANUNCIO
Próximos cursos ATVs Elearning
Índice
Inicio Historia clínica ¿Cuál es la localización neuroanatómica en este caso? ¿En función de la anamnesis y localización neuroanatómica, cuáles son los diagnósticos diferenciales más probables? ¿Qué técnica(s) diagnóstica(s) consideras de elección en este caso para llegar al diagnóstico definitivo? ¿Considerarías conveniente realizar alguna prueba más adicional? ¿Qué plan terapéutico instaurarías? Discusión Bibliografía
Boehringer - NexGard
ANUNCIO

¿No eres socio de AVEPA y quieres recibir comunicación de las nuevas ediciones en tu correo?

Suscríbete

Suscríbete y te avisaremos cuando publiquemos un nuevo número

Suscribirme

Enlaces rápidos

  • Inicio
  • Último número
  • Archivo
  • Artículos

Información

  • Comité editorial
  • Política de cookies
  • Política de privacidad
  • Términos y condiciones

Contacto

  • info@imaginice.com
  • Envíanos tu artículo
© 2026 Ice Salud Vet SL. Todos los derechos reservados.

Usamos cookies para mejorar tu experiencia. Selecciona cuáles aceptas: