Logo AVEPA

Clínica Veterinaria de Pequeños Animales

Revista oficial de AVEPA

  • Inicio
  • Último número
  • Archivo
  • Artículos
  • Para autores
  • Contacto
Cursos Junio-Septiembre 2026
ANUNCIO

Clínica Veterinaria de Pequeños Animales

Revista oficial de AVEPA

  • Inicio
  • Último número
  • Archivo
  • Artículos
  • Para autores
  • Contacto
Curso Oftalmología 2026
ANUNCIO
Clin Vet Peq Anim Vol. 38 • Nº 3 • septiembre 2018

Estudio retrospectivo de condrosarcoma en cobayas (Cavia porcellus)

Retrospective study of chondrosarcoma in guinea pigs (Cavia porcellus)

Artículo original referido a múltiples casos clínicos

C.B. Montoya

Departamento de Patología, Facultad de Medicina Veterinaria y Zootecnia, Universidad Nacional Autónoma de México (UNAM). Avenida Universidad 3000, Cd. Universitaria. 04510 Coyoacán, Ciudad de México, México.

C. Juan-Sallés

Noah’s Path.

M. Máinez

Centro Veterinario La Marina Exóticos. c/ Arquitecto Santiago Pérez Aracil 30. 03203 Elche, Alicante.

A. Montesinos

Centro Veterinario Los Sauces. c/ Sta Engracia, 63. 28010 Madrid.

X. Valls

Clínica Exòtics. c/ Balmes, 423. 08022 Barcelona.

R. Patrício

Allpets-Clínica Veterinária de Tires. Av. Amália Rodrigues 189. São Domingos de Rana, Portugal.

M. Ardiaca

Centro Veterinario Los Sauces. c/ Sta Engracia, 63. 28010 Madrid.

Contacto: noahspath.cjuansalles@gmail.com
Palabras clave: condrosarcoma, cobayas, neoplasias óseas.
Keywords: chondrosarcoma, guinea pig, bone neoplasia.

Clin. Vet. Peq. Anim, 2018, 38 (3): 191 - 196

Descargar artículo

Resumen

Este estudio se basó en la revisión de los historiales, los hallazgos clínicos y radiológicos y las preparaciones histológicas de 6 casos de condrosarcoma en cobayas mascota. Los animales afectados eran 3 hembras, 2 machos y en uno se desconocía el género. El rango de edad de presentación fue de 1,5 a más de 5 años en los casos en los que se disponía de la edad. Cinco de los casos fueron diagnosticados mediante biopsia, y 1 por necropsia. La neoplasia (masa primaria) se localizó en la tibia y/o peroné (2 casos), o en la pelvis, cráneo, escápula y vértebras lumbares (1 caso para cada localización); una cobaya mostraba múltiples masas desde la tibia/peroné hasta la pelvis/zona lumbar caudal. Las masas tenían radiodensidad elevada y crecían en las corticales primarias y periostio con invasión y lisis variable del hueso esponjoso. Dos cobayas mostraron evidencias radiológicas de metástasis pulmonares y posiblemente también a linfonodos regionales. Histológicamente se observó proliferación neoplásica de células productoras de matriz cartilaginosa variablemente mineralizada u osificada. La bibliografía contiene un único caso de condrosarcoma descrito en esta especie. Este estudio retrospectivo sugiere que los condrosarcomas pueden ser más frecuentes en cobayas de lo que sugiere dicha bibliografía.

Abstract

This study consists of a review of the clinical history, radiological findings and histological sections of 6 cases of chondrosarcoma in pet guinea pigs. Affected animals were 3 females, 2 males and 1 cavy of unknown gender. The age range was 1.5 to more than 5 years in cases of known age. Five guinea pigs were diagnosed by biopsy and one at necropsy. Masses were located in the tibia and/or fibula (2 cases) or pelvis, skull, scapula and lumbar vertebrae (1 case each location); one guinea pig had multiple masses from the tibia/fibula to the pelvic/caudal lumbar area. Tumors had a prominent radiodensity and grew in the cortical bone and periosteum with invasion and variable lysis of trabecular bone. Two guinea pigs had radiologic evidence of pulmonary metastases and also possibly in the regional lymph nodes. Histologically, a neoplastic proliferation of cells producing cartilaginous matrix variably mineralized or ossified was noted. There appears to be a single case of chondrosarcoma previously reported in guinea pigs. This retrospective study suggests that chondrosarcoma may be more frequent in guinea pigs than reported.

AVEPA Elearning

La presencia de este logo en un artículo de la revista indica que se publicará un examen sobre el mismo en la plataforma AVEPA Elearning. Su resolución aporta 0,15 créditos dentro del sistema de acreditaciones de especialidades veterinarias de AVEPA.

Introducción

Los condrosarcomas constituyen neoplasias malignas de células productoras de cartílago hialino y matriz fibrilar (no osteoide), que en ocasiones puede contener trabéculas de hueso formadas por osificación endocondral del cartílago neoplásico.[ Bertoni F, Bachini P, Hogendoorn PCW. WHO: Cartilage tumors: Chondrosarcoma, 2002. Capítulo 10, págs. 247-251. , Thompson KG, Pool RR: Tumors of bones: Tumors in domestic animals. Meuten DJ (ed), 4ª ed. Iowa State Press, 2002; 245-318. ] Los condrosarcomas se clasifican en primarios y secundarios; los primarios son aquellos que se presentan de forma espontánea, ya sea en la porción medular del hueso (central o medular) o a partir del periostio (periférico o perióstico), mientras que se denominan secundarios aquellos que se desarrollan en zonas de lesión ósea previa.[ Bertoni F, Bachini P, Hogendoorn PCW. WHO: Cartilage tumors: Chondrosarcoma, 2002. Capítulo 10, págs. 247-251. , Thompson KG, Pool RR: Tumors of bones: Tumors in domestic animals. Meuten DJ (ed), 4ª ed. Iowa State Press, 2002; 245-318. , Craig KE, Dittmer KE, Thompson KG, Kennedy J. Palmer´s: Pathology of domestic animals: Bones and joints. Vol 1, Elsevier, 6ª ed. 2016. ] Estas neoplasias crecen mayoritariamente en huesos planos y en animales su incidencia es baja, excepto en ovejas y en el perro, en el que están consideradas como la segunda neoplasia ósea más comúnmente observada tras el osteosarcoma.[ Thompson KG, Pool RR: Tumors of bones: Tumors in domestic animals. Meuten DJ (ed), 4ª ed. Iowa State Press, 2002; 245-318. , Craig KE, Dittmer KE, Thompson KG, Kennedy J. Palmer´s: Pathology of domestic animals: Bones and joints. Vol 1, Elsevier, 6ª ed. 2016. ] A pesar de su baja frecuencia, están descritas también en gatos y, en casos aislados, en peces, aves, cabras, vacas, hurones, conejos, o roedores.[ Craig KE, Dittmer KE, Thompson KG, Kennedy J. Palmer´s: Pathology of domestic animals: Bones and joints. Vol 1, Elsevier, 6ª ed. 2016. , Garner MM. Cytologic diagnosis of diseases of rabbits, guinea pigs, and rodents. Vet Clin Exot Anim 2007; 10(1):25-49. [PubMed] , Greenacre CB. Spontaneous tumors of small mammals. Vet Clin Exot Anim 2004; 7(3):627-651. [PubMed] , Heatley JJ, Smith AN. Spontaneous neoplasms of lagomorphs. Vet Clin Exot Anim 2004; 7(3):561-577. [PubMed] , Jori F, Cooper JE. Spontaneous neoplasms in captive African cane rats (Thryonomys swinderianus). Vet Pathol 2001; 38(5):556-558.8. [PubMed] , Courtney LA, Furney JW. Ocular chondrosarcoma in Rivulus marmoratus Poey. J Fish Dis 1991; 14: 111-116. , Dittmer KE, French AF, Thompson DJ, Buckle KN, Thompson KG. Primary bone tumors in birds: A review and description of two new cases. Avian Dis 2012; 56:422-426. [PubMed] , Schmid T, Hilbe M, Ohlert S, Nuss K. Chondrosarcoma in the humerus of a goat. Vet Comp Orthop Traumatol 2010; 23(4):273-276. [PubMed] , Acland HM. Chondrosarcoma in a cow. J Comp Path 1983; 93:585-589. , Maguire R, Reavill DR, Maguire P, Jenkins JR. Chondrosarcoma associated with the appendicular skeleton of 2 domestic ferrets. J Exot Pet Med 2014; 23:165-171. , Alves Garcez TN, dos Santos Teixeira F, Lamberts M, Muccillo MS, Krüger Beheregaray W, Fernandes AO, Cabral Gianotti G, Contesini EA. Myxoid chondrosarcoma in a rabbit. Acta Sci Vet 2009; 37(3):295-299. , Kavirayani AM, Sundberg JP, Foreman O. Primary neoplasms of bones in mice: Retrospective study and review of literature. Vet Pathol 2012; 49(1):182-205. [PubMed] ] En cobayas, entre las neoplasias óseas descritas se encuentran únicamente el osteosarcoma, los sarcomas osteogénicos[ Brunetti B, Bo P, Sarli G. Pathology in practice: Productive osteoblastic osteosarcoma with metastases in a guinea pig. J Am Vet Med Assoc 2013; 243(6):801-803. [PubMed] ] y un solo caso de condrosarcoma iliaco.[ Olcott CT, Papanicolaou GN. Studies on spontaneous tumors in guinea pigs. III. A chondrosarcoma of the iliac bone with metastasis to the mammary region. Cancer Res 1943; 3:321-325. ]

El objetivo de este estudio consiste en describir los hallazgos clínicos, radiológicos y patológicos de seis casos de condrosarcoma en cobayas mascota procedentes de España, Portugal y Suecia.

Materiales y métodos

Se revisó la base de datos (del periodo 2008-2017) de un laboratorio especializado en patología de animales silvestres, exóticos y de zoo para casos de condrosarcoma en cobayas. Se evaluaron los historiales clínicos, las radiografías, las descripciones, las fotografías macroscópicas y las preparaciones histológicas teñidas con hematoxilina y eosina disponibles. Igualmente, se realizó la tinción de azul alcián en cuatro casos.

Resultados

En total se identificaron 6 casos de condrosarcoma en esta especie. De estos, 5 fueron diagnosticados mediante biopsia y 1 mediante necropsia e histopatología. Las edades estaban comprendidas entre 1,5 y más de 5 años en 3 cobayas, mientras que en 3 de los animales se desconocía la edad (uno de ellos estaba registrado como “adulto”). Tres cobayas eran hembras, 2 machos y, en el caso restante, no se registró el sexo del animal (Tabla 1).

Image
Tabla 1

Las localizaciones de los condrosarcomas eran tibia y/o peroné (2 casos, ambos en su epífisis proximal y extendiéndose hasta la diáfisis) (Fig. 1), pelvis (1 caso), escápula (1 caso), dorso del cráneo (1 caso; Fig. 2) y en las últimas dos vértebras lumbares (1 caso). Una cobaya mostró múltiples masas óseas distribuidas desde la tibia/peroné hasta la zona lumbar caudal o coxal (Fig. 3), aunque la masa primaria involucraba aparentemente la epífisis proximal de la tibia y peroné, y alguna de las otras masas se interpretaron como posibles metástasis en ganglios regionales (lumbosacro, inguinal y/o poplíteo). Clínicamente, los animales presentaron anorexia o hiporexia (2 casos), apatía (1 caso), pérdida de peso (1 caso) y signos clínicos relacionados directamente con la localización de la neoplasia, como claudicación, ataxia, pérdida de propiocepción, disuria y dolor regional (cada uno de estos síntomas en una única cobaya). En una cobaya con metástasis pulmonares se observó disnea. En 4 cobayas se disponía de estudios radiológicos, que demostraban masas moderada o intensamente radiopacas (opacidad mineral) (salvo en la cobaya 6 [Fig. 1]), las cuales se originaban en las corticales primarias con invasión y osteolisis variable del hueso esponjoso (Figs. 1, 2B y 3). En 2 cobayas se apreciaron numerosos nódulos pulmonares de pequeño tamaño y opacidad similar a las masas óseas (Fig. 3). Una de estas cobayas (caso 1) mostraba además un nódulo similar en la zona inguinal, interpretado como una posible metástasis en ganglio regional (Tabla 1).

<p>Cobaya 6. Imagen radiológica de condrosarcoma en la epífisis proximal de la tibia con extensión hasta zonas distales de la diáfisis y lisis incipiente del hueso cortical y esponjoso en la epífisis proximal. L: izquierda.</p>
Figura 1

Cobaya 6. Imagen radiológica de condrosarcoma en la epífisis proximal de la tibia con extensión hasta zonas distales de la diáfisis y lisis incipiente del hueso cortical y esponjoso en la epífisis proximal. L: izquierda.

<div>
<div class=\"Basic-Text-Frame\">
<p>Cobaya 2. (<strong>A</strong>) Imagen macroscópica de la masa en el cráneo, cubierta por piel no ulcerada. (<strong>B</strong>) Proyección lateral de la cabeza. Se observa la masa de opacidad mineral originándose en los huesos dorsales del cráneo.</p>
</div>
</div>

<div class=\"Basic-Text-Frame\">
<p> </p>

<p> </p>
</div>
Figura 2

Cobaya 2. (A) Imagen macroscópica de la masa en el cráneo, cubierta por piel no ulcerada. (B) Proyección lateral de la cabeza. Se observa la masa de opacidad mineral originándose en los huesos dorsales del cráneo.

 

 

<p>Cobaya 4. Imagen radiológica de un condrosarcoma avanzado con múltiples masas desde la tibia/peroné (presumible masa primaria) hasta el coxal o zona lumbar caudal, así como metástasis numerosas en ambos pulmones. L: izquierda.</p>
Figura 3

Cobaya 4. Imagen radiológica de un condrosarcoma avanzado con múltiples masas desde la tibia/peroné (presumible masa primaria) hasta el coxal o zona lumbar caudal, así como metástasis numerosas en ambos pulmones. L: izquierda.

A 3 cobayas se les aplicó eutanasia, 2 de ellas tras obtener el resultado de la biopsia y la restante tras demostrarse radiológicamente la presencia de metástasis pulmonares; a 2 de estas 3 cobayas se les pudo practicar la necropsia. Los condrosarcomas consistían macroscópicamente en masas de consistencia alta, con zonas grisáceas y blanquecinas y crepitación prominente al corte; en ambos casos se constató la presencia de metástasis pulmonares que consistían en focos blanquecinos nodulares de hasta 3-4 mm de diámetro (Fig. 4), particularmente numerosos en el animal con tumores en la pelvis y extremidad. En la cobaya con la masa en el cráneo, se observaron, además, focos de necrosis y degeneración del cartílago en la unión costo-condral de múltiples costillas, algunos de ellos con apariencia nodular. De las otras 2 cobayas no se dispone de datos de seguimiento. La cobaya restante murió espontáneamente y también se le practicó necropsia.

<p>Cobaya 2. Imagen macroscópica de pequeñas metástasis (focos blanquecinos) del condrosarcoma en los pulmones.</p>
Figura 4

Cobaya 2. Imagen macroscópica de pequeñas metástasis (focos blanquecinos) del condrosarcoma en los pulmones.

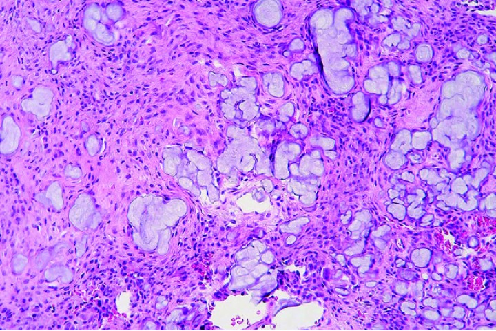
Histológicamente, estos condrosarcomas se caracterizaban por una proliferación de células poliédricas a fibrohistiocíticas o, más raramente, fusiformes dispuestas en nidos, haces o de forma sólida, con depósitos dispersos intercelulares de matriz basófila o anfofílica densa y, en algunos casos, matriz fibrilar eosinofílica que mostraba osificación endocondral o mineralización variable (Figs. 5, 6 y 7); ocasionalmente, se apreciaban zonas con estroma fibroso (Fig. 8).

<div class=\"Basic-Text-Frame\">
<p>Cobaya 2. Imagen microscópica de la biopsia de masa craneal. Se observa producción de abundante matriz cartilaginosa (asteriscos) por nidos de condrocitos neoplásicos dispersos entre dicha matriz. (Hematoxilina y eosina, x40).</p>
</div>
Figura 5

Cobaya 2. Imagen microscópica de la biopsia de masa craneal. Se observa producción de abundante matriz cartilaginosa (asteriscos) por nidos de condrocitos neoplásicos dispersos entre dicha matriz. (Hematoxilina y eosina, x40).

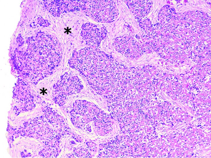
<div class=\"Basic-Text-Frame\">
<p>Cobaya 6. Imagen microscópica de un condrosarcoma tibial, con haces de células fusiformes a fibrohistiocíticas dispersas alrededor de matriz amorfa basófila a grisácea (condroide). (Hematoxilina y eosina, x200).</p>
</div>

<div class=\"frame-2\"> </div>
Figura 6

Cobaya 6. Imagen microscópica de un condrosarcoma tibial, con haces de células fusiformes a fibrohistiocíticas dispersas alrededor de matriz amorfa basófila a grisácea (condroide). (Hematoxilina y eosina, x200).

 
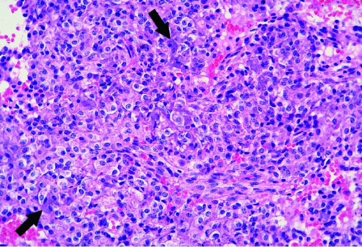
<p>Cobaya 2. Imagen microscópica de una zona de alta densidad celular de un condrosarcoma caracterizada por células predominantemente histiocíticas dispuestas de forma compacta y que producen muy escasa matriz condroide (flechas). (Hematoxilina y eosina, x400).</p>
Figura 7

Cobaya 2. Imagen microscópica de una zona de alta densidad celular de un condrosarcoma caracterizada por células predominantemente histiocíticas dispuestas de forma compacta y que producen muy escasa matriz condroide (flechas). (Hematoxilina y eosina, x400).

<p>Cobaya 4. Imagen microscópica de zonas con haces de estroma fibroso (asteriscos) en un condrosarcoma. (Hematoxilina y eosina, x120).</p>
Figura 8

Cobaya 4. Imagen microscópica de zonas con haces de estroma fibroso (asteriscos) en un condrosarcoma. (Hematoxilina y eosina, x120).

En las 4 cobayas evaluadas con azul alcián, la matriz extracelular se tiñó de color azul intenso con excepción de las zonas osificadas, que eran eosinófilas pálidas a rojas (Figs. 9-12). Las células mostraron un núcleo de redondo a elíptico o irregular con la cromatina laxa o granular, 0-3 nucléolos ocasionalmente prominentes y una cantidad media de citoplasma eosinófilo o basófilo pálido variablemente vacuolizado. La anisocitosis, anisocariosis, pleomorfismo y anaplasia eran generalmente moderados y se distinguían entre 0-3 mitosis por campo de 40 aumentos. En dos cobayas se apreció embolismo de células neoplásicas en vasos sanguíneos y en 3 casos se observaron focos de metástasis pulmonar (Fig. 12). Los niveles de sección evaluados de las múltiples masas de la extremidad posterior hasta zona lumbar de la cobaya 4 no revelaron tejido linfoide, motivo por el cual no se pudo demostrar de forma definitiva que alguna de ellas correspondiera a metástasis en linfonodos regionales. En algunos casos, la neoplasia mostraba amplias áreas de necrosis y/o hemorragia aguda, además de pequeños focos de hemosiderosis.

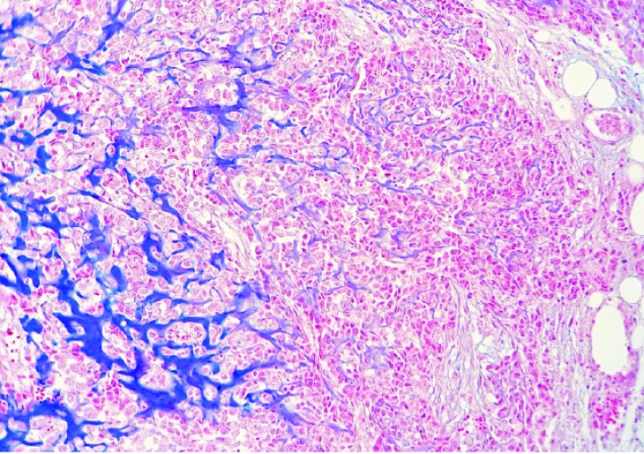
<p>Cobaya 4. Imagen microscópica de una zona altamente celular de un condrosarcoma con transición a una zona de producción de matriz cartilaginosa (azul). (Azul alcián, x220).</p>
Figura 9

Cobaya 4. Imagen microscópica de una zona altamente celular de un condrosarcoma con transición a una zona de producción de matriz cartilaginosa (azul). (Azul alcián, x220).

<p>Cobaya 2. Imagen microscópica de una zona rica en matriz cartilaginosa (azul) de un condrosarcoma con depósito incipiente de osteoide (flechas) en un proceso de osificación endocondral del cartílago neoplásico. (Azul alcián, x220).</p>
Figura 10

Cobaya 2. Imagen microscópica de una zona rica en matriz cartilaginosa (azul) de un condrosarcoma con depósito incipiente de osteoide (flechas) en un proceso de osificación endocondral del cartílago neoplásico. (Azul alcián, x220).

<p>Cobaya 2. Imagen microscópica de una zona de osificación endocondral prominente (asteriscos) de un condrosarcoma con depósitos no osificados de matriz cartilaginosa (cabezas de flecha). (Azul alcián, x480).</p>
Figura 11

Cobaya 2. Imagen microscópica de una zona de osificación endocondral prominente (asteriscos) de un condrosarcoma con depósitos no osificados de matriz cartilaginosa (cabezas de flecha). (Azul alcián, x480).

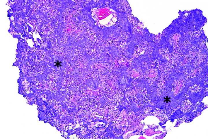
<p>Cobaya 4. Imagen microscópica de metástasis pulmonares de un condrosarcoma que producen abundante matriz cartilaginosa (azul). (Azul alcián, x220).</p>
Figura 12

Cobaya 4. Imagen microscópica de metástasis pulmonares de un condrosarcoma que producen abundante matriz cartilaginosa (azul). (Azul alcián, x220).

Discusión

Este estudio retrospectivo describe los hallazgos clínicos, radiológicos y patológicos de 6 casos de condrosarcoma en cobayas, donde el diagnóstico se basó en el estudio histopatológico (5 casos por biopsia y 1 caso por necropsia). Todos estos condrosarcomas produjeron abundante matriz cartilaginosa, lo cual permitió un diagnóstico incluso en pequeñas biopsias. La tinción de azul alcián permitió una distinción de matriz cartilaginosa de osteoide en los casos o zonas de los tumores en que la primera no era basófila o contenía depósitos de osteoide.

En cobayas, la incidencia de neoplasias es de hasta el 15-30% en animales mayores a 3 años de edad.[ Jelínek F. Spontaneous tumors in guinea pig. Acta Vet Brno 2003; 72:221-228. , Hocker SE, Eshar D, Wouda RM. Rodent oncology: Diseases, diagnostics, and therapeutics. Vet Clin North Am Exot Anim 2017; 20(1):111-134. [PubMed] ] Las neoplasias más comunes en esta especie son los lipomas, los tricofoliculomas, las neoplasias mamarias glandulares y los adenomas papilares broncogénicos.[ Garner MM. Cytologic diagnosis of diseases of rabbits, guinea pigs, and rodents. Vet Clin Exot Anim 2007; 10(1):25-49. [PubMed] , Greenacre CB. Spontaneous tumors of small mammals. Vet Clin Exot Anim 2004; 7(3):627-651. [PubMed] , Jelínek F. Spontaneous tumors in guinea pig. Acta Vet Brno 2003; 72:221-228. , Hocker SE, Eshar D, Wouda RM. Rodent oncology: Diseases, diagnostics, and therapeutics. Vet Clin North Am Exot Anim 2017; 20(1):111-134. [PubMed] ] Entre las neoplasias de origen mesenquimatoso se encuentran los fibromas, los lipomas, los liposarcomas y los mixosarcomas subcutáneos, además de los osteosarcomas, todos ellos (excepto los lipomas) con baja incidencia,[ Greenacre CB. Spontaneous tumors of small mammals. Vet Clin Exot Anim 2004; 7(3):627-651. [PubMed] , Hocker SE, Eshar D, Wouda RM. Rodent oncology: Diseases, diagnostics, and therapeutics. Vet Clin North Am Exot Anim 2017; 20(1):111-134. [PubMed] ] mientras que sólo existe un caso de condrosarcoma descrito en la bibliografía.[ Olcott CT, Papanicolaou GN. Studies on spontaneous tumors in guinea pigs. III. A chondrosarcoma of the iliac bone with metastasis to the mammary region. Cancer Res 1943; 3:321-325. ] En base al estudio presente, sin embargo, es posible que esta neoplasia sea más frecuente en cobayas de lo que sugiere la bibliografía.

En este estudio, al menos 2 de los 3 animales en los que se conocía la edad eran menores de 3 años (1,5 y 2 años), lo cual difiere de la media de edad descrita usualmente para la presentación de neoplasias en esta especie (más de 3 años), aunque para poder confirmar una posible edad de presentación más temprana y determinar posibles factores relacionados con la misma, se requieren estudios adicionales sobre una casuística más amplia. Por ejemplo, algunas razas de perros con predisposición a neoplasias óseas las presentan a edades más tempranas.[ Thompson KG, Pool RR: Tumors of bones: Tumors in domestic animals. Meuten DJ (ed), 4ª ed. Iowa State Press, 2002; 245-318. , Craig KE, Dittmer KE, Thompson KG, Kennedy J. Palmer´s: Pathology of domestic animals: Bones and joints. Vol 1, Elsevier, 6ª ed. 2016. ]

Algunos de los signos clínicos (claudicación, pérdida de propiocepción, disuria, dolor, disnea) estaban aparentemente relacionados con la localización del tumor primario o metástasis, de forma similar a lo descrito en perros, gatos u ovejas con condrosarcoma;[ Craig KE, Dittmer KE, Thompson KG, Kennedy J. Palmer´s: Pathology of domestic animals: Bones and joints. Vol 1, Elsevier, 6ª ed. 2016. ] los síntomas generales (anorexia, pérdida de apetito y pérdida de peso) pudieron deberse a efectos sistémicos de la neoplasia.

De forma similar a otras especies, incluido el ser humano, varios de los condrosarcomas en las 6 cobayas de este estudio afectaban a huesos planos.

Radiológicamente, esta neoplasia es difícil de diferenciar del osteosarcoma, ya que suele ser radiopaca o radiolúcida con áreas de opacidad incrementada debido a las áreas de osificación endocondral o mineralización.[ Thompson KG, Pool RR: Tumors of bones: Tumors in domestic animals. Meuten DJ (ed), 4ª ed. Iowa State Press, 2002; 245-318. ] Tres de las 6 cobayas de este estudio mostraban evidencias radiológicas y/o histopatológicas de enfermedad metastática, sobre todo en pulmones, y dos de ellas posiblemente a linfonodos lumbosacros, inguinales y/o poplíteos, por lo que a diferencia de otras especies, en las cuales los condrosarcomas son localmente invasivos y metastatizan con baja rapidez/frecuencia,[ Bertoni F, Bachini P, Hogendoorn PCW. WHO: Cartilage tumors: Chondrosarcoma, 2002. Capítulo 10, págs. 247-251. , Thompson KG, Pool RR: Tumors of bones: Tumors in domestic animals. Meuten DJ (ed), 4ª ed. Iowa State Press, 2002; 245-318. ] es posible que en cobayas estas neoplasias muestren una mayor tendencia a metastatizar.

En conclusión, los resultados de este estudio retrospectivo sugieren que los condrosarcomas podrían ser más frecuentes en cobayas de lo que se desprende de la bibliografía y que, en esta especie, podrían mostrar una tendencia a metastatizar superior a la observada en otras, si bien se requieren estudios sobre una casuística más amplia para poder extraer conclusiones sólidas a este respecto.

Agradecimientos

Los autores agradecen a Laboratoris ICH (Barcelona) por la excelente asistencia con la histotecnología, así como a Blanca Pérez de la UD Histologia i Anatomia Patològica (Facultat de Veterinària, Universitat Autònoma de Barcelona, Bellaterra) por la realización de la tinción de azul alcián.

 

Fuente de financiación: esta investigación no se realizó con fondos comerciales, públicos o del sector privado.

Conflicto de intereses: los autores declaran que no existe conflicto de intereses en los datos publicados.

Bibliografía

  1. [1] Bertoni F, Bachini P, Hogendoorn PCW. WHO: Cartilage tumors: Chondrosarcoma, 2002. Capítulo 10, págs. 247-251.
  2. [2] Thompson KG, Pool RR: Tumors of bones: Tumors in domestic animals. Meuten DJ (ed), 4ª ed. Iowa State Press, 2002; 245-318.
  3. [3] Craig KE, Dittmer KE, Thompson KG, Kennedy J. Palmer´s: Pathology of domestic animals: Bones and joints. Vol 1, Elsevier, 6ª ed. 2016.
  4. [4] Garner MM. Cytologic diagnosis of diseases of rabbits, guinea pigs, and rodents. Vet Clin Exot Anim 2007; 10(1):25-49. [PubMed]
  5. [5] Greenacre CB. Spontaneous tumors of small mammals. Vet Clin Exot Anim 2004; 7(3):627-651. [PubMed]
  6. [6] Heatley JJ, Smith AN. Spontaneous neoplasms of lagomorphs. Vet Clin Exot Anim 2004; 7(3):561-577. [PubMed]
  7. [7] Jori F, Cooper JE. Spontaneous neoplasms in captive African cane rats (Thryonomys swinderianus). Vet Pathol 2001; 38(5):556-558.8. [PubMed]
  8. [8] Courtney LA, Furney JW. Ocular chondrosarcoma in Rivulus marmoratus Poey. J Fish Dis 1991; 14: 111-116.
  9. [9] Dittmer KE, French AF, Thompson DJ, Buckle KN, Thompson KG. Primary bone tumors in birds: A review and description of two new cases. Avian Dis 2012; 56:422-426. [PubMed]
  10. [10] Schmid T, Hilbe M, Ohlert S, Nuss K. Chondrosarcoma in the humerus of a goat. Vet Comp Orthop Traumatol 2010; 23(4):273-276. [PubMed]
  11. [11] Acland HM. Chondrosarcoma in a cow. J Comp Path 1983; 93:585-589.
  12. [12] Maguire R, Reavill DR, Maguire P, Jenkins JR. Chondrosarcoma associated with the appendicular skeleton of 2 domestic ferrets. J Exot Pet Med 2014; 23:165-171.
  13. [13] Alves Garcez TN, dos Santos Teixeira F, Lamberts M, Muccillo MS, Krüger Beheregaray W, Fernandes AO, Cabral Gianotti G, Contesini EA. Myxoid chondrosarcoma in a rabbit. Acta Sci Vet 2009; 37(3):295-299.
  14. [14] Kavirayani AM, Sundberg JP, Foreman O. Primary neoplasms of bones in mice: Retrospective study and review of literature. Vet Pathol 2012; 49(1):182-205. [PubMed]
  15. [15] Brunetti B, Bo P, Sarli G. Pathology in practice: Productive osteoblastic osteosarcoma with metastases in a guinea pig. J Am Vet Med Assoc 2013; 243(6):801-803. [PubMed]
  16. [16] Olcott CT, Papanicolaou GN. Studies on spontaneous tumors in guinea pigs. III. A chondrosarcoma of the iliac bone with metastasis to the mammary region. Cancer Res 1943; 3:321-325.
  17. [17] Jelínek F. Spontaneous tumors in guinea pig. Acta Vet Brno 2003; 72:221-228.
  18. [18] Hocker SE, Eshar D, Wouda RM. Rodent oncology: Diseases, diagnostics, and therapeutics. Vet Clin North Am Exot Anim 2017; 20(1):111-134. [PubMed]

Artículos recomendados

Estas recomendaciones se ofrecen de forma automática.

  • Seroprevalencia de la infección por Toxoplasma gondii en mascotas exóticas (conejos, hurones y cobayas) en clínicas veterinarias de España
    P. Moraleda-Berral, A. Montoya, J.P. Barrera, et al.
    Clin Vet Peq Anim Vol. 46 - Nº 1 · MAR 2026 · Artículo original referido a un solo caso clínico
  • Utilidad del hemocultivo en el diagnóstico y el tratamiento antimicrobiano de la septicemia en quelonios
    O. Miñana-Morant, A. Moya-Vázquez
    Clin Vet Peq Anim Vol. 45 - Nº 4 · DIC 2025 · Artículo original referido a múltiples casos clínicos
  • Osteosarcoma intraocular asociado a glaucoma y uveítis crónicos en una cobaya (Cavia porcellus)

    M. Ramos-Sánchez, M.J. Gallinato-García, A. Moya-Vázquez, et al.
    Clin Vet Peq Anim Vol. 42 - Nº 2 · JUN 2022 · Artículo original referido a un solo caso clínico
  • Inicio
  • Introducción
  • Materiales y métodos
  • Resultados
  • Discusión
  • Agradecimientos
  • Bibliografía
Artículo anterior Índice de la revista Artículo siguiente
ANUNCIO
Próximos cursos ATVs Elearning
Índice
Inicio Introducción Materiales y métodos Resultados Discusión Agradecimientos Bibliografía
Purina Calming Care
ANUNCIO

¿No eres socio de AVEPA y quieres recibir comunicación de las nuevas ediciones en tu correo?

Suscríbete

Suscríbete y te avisaremos cuando publiquemos un nuevo número

Suscribirme

Enlaces rápidos

  • Inicio
  • Último número
  • Archivo
  • Artículos

Información

  • Comité editorial
  • Política de cookies
  • Política de privacidad
  • Términos y condiciones

Contacto

  • info@imaginice.com
  • Envíanos tu artículo
© 2026 Ice Salud Vet SL. Todos los derechos reservados.

Usamos cookies para mejorar tu experiencia. Selecciona cuáles aceptas: