Logo AVEPA

Clínica Veterinaria de Pequeños Animales

Revista oficial de AVEPA

  • Inicio
  • Último número
  • Archivo
  • Artículos
  • Para autores
  • Contacto
Cursos Junio-Septiembre 2026
ANUNCIO

Clínica Veterinaria de Pequeños Animales

Revista oficial de AVEPA

  • Inicio
  • Último número
  • Archivo
  • Artículos
  • Para autores
  • Contacto
Curso Oftalmología 2026
ANUNCIO
Clin Vet Peq Anim Vol. 38 • Nº 4 • diciembre 2018

¿Cuál es tu diagnóstico?

¿Cuál es tu diagnóstico?

M. Martín-Barroso

Hospital Veterinario 4 de Octubre. Rúa Zaragoza, 1, 15140, A Coruña.

M. Lorenzo-Toja

Hospital Veterinario 4 de Octubre. Rúa Zaragoza, 1, 15140, A Coruña.

P. González de Ramos

Hospital Veterinario 4 de Octubre. Rúa Zaragoza, 1, 15140, A Coruña.

D. M. Porteiro-Vázquez

Hospital Veterinario 4 de Octubre. Rúa Zaragoza, 1, 15140, A Coruña.

Contacto: lola.porteiro@gmail.com
Descargar artículo

Historia clínica

Se presenta en la consulta una perra hembra esterilizada mestiza de Beagle de 11 años de edad y 10 kilos de peso, con historia clínica de tos desde hace tres semanas y un episodio de pérdida del tono postural con relajación de esfínteres. En la exploración física se observan mucosas pálidas, tiempo de relleno capilar aumentado (3 segundos), un soplo holosistólico III/IV de máxima intensidad en el ápex izquierdo con los tonos cardiacos ligeramente atenuados, leve aumento de la frecuencia respiratoria (40 rpm), frecuencia cardiaca de 160 lpm y pulso eucinético. Se realiza una analítica sanguínea completa en la que, en la bioquímica sérica, se aprecia una ligera hipoproteinemia (4,9 g/dl con valores de referencia de 5,0-7,2 g/dl), una hipoalbuminemia (2,2 g/dl con valores de referencia 2,6-4,0 g/dl) y un ligero aumento de la fosfatasa alcalina (94 U/l, con valores de referencia 13,0-83 U/l). No se observan alteraciones en el hemograma ni en las pruebas de coagulación (PT y aPTT). Se realizan radiografías de tórax en proyecciones ortogonales (lateral y ventrodorsal) (Fig. 1)

<p>Radiografías de tórax de un paciente que se presenta con episodio de pérdida del tono postural con relajación de esfínteres. (<strong>A</strong>) Proyección lateral derecha. (<strong>B</strong>) Proyección ventrodorsal.</p>
Figura 1

Radiografías de tórax de un paciente que se presenta con episodio de pérdida del tono postural con relajación de esfínteres. (A) Proyección lateral derecha. (B) Proyección ventrodorsal.

Describe las anormalidades radiográficas que se observan

La silueta cardiaca se observa aumentada de tamaño (VHS=13,5, rango normal: 9,7±0,5), con bordes redondeados y aspecto globoide (Fig. 2), pérdida de definición de las estructuras cardiacas, incluido el borde epicárdico, y desplazamiento dorsal de la tráquea (Fig. 2A). La parte de abdomen visible en la radiografía muestra una moderada hepatomegalia (Fig. 2A) y gas en el estómago (Fig. 2A).

<p>Mismas imágenes que en la Figura 1. (<strong>A</strong> y <strong>B</strong>) Las flechas verdes demarcan los bordes de la silueta cardiaca. (<strong>A</strong>) La flecha amarilla indica el desplazamiento dorsal de la tráquea a causa de la grave cardiomegalia. El asterisco señala el ángulo caudoventral del hígado que sobrepasa el aspecto caudal de las costillas. Estómago ligeramente dilatado con presencia de gas en su interior (estrella).</p>
Figura 2

Mismas imágenes que en la Figura 1. (A y B) Las flechas verdes demarcan los bordes de la silueta cardiaca. (A) La flecha amarilla indica el desplazamiento dorsal de la tráquea a causa de la grave cardiomegalia. El asterisco señala el ángulo caudoventral del hígado que sobrepasa el aspecto caudal de las costillas. Estómago ligeramente dilatado con presencia de gas en su interior (estrella).

¿Cuáles son los diagnósticos diferenciales con estos signos radiográficos?

Los hallazgos radiográficos son compatibles con una cardiomegalia generalizada. El diagnóstico más probable debido al aspecto globoso de la silueta cardiaca es el de efusión pericárdica. Otros diagnósticos diferenciales que se deben incluir son patologías cardiacas adquiridas que cursen con sobrecarga de volumen (como la enfermedad mixomatosa de la válvula mitral), cardiomiopatías primarias (como la cardiomiopatía dilatada familiar) y, con menos probabilidad, patologías cardiacas congénitas (conducto arterioso persistente) y hernia peritoneo-pericárdica-diafragmática.

¿Qué otras técnicas de imagen realizarías para alcanzar el diagnóstico definitivo?

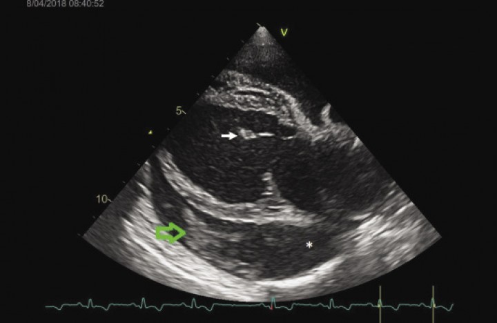
La prueba de elección para valorar las estructuras cardiacas es la ecocardiografía. En el examen ecocardiográfico (Fig. 3) se observó un área hipoecogénica rodeando el corazón, entre el saco pericárdico y las paredes cardiacas, compatible con efusión pericárdica. En el líquido pericárdico se apreció una estructura hiperecogénica, compatible con un coágulo, situada ventralmente al ventrículo y la aurícula izquierda en el eje largo paraesternal derecho. La aurícula y el ventrículo izquierdo se visualizaron muy dilatados y las hojas valvulares de la válvula mitral se observaron muy engrosadas y protruyendo hacia la aurícula izquierda. La aurícula y el ventrículo derecho presentaban un tamaño normal y la pared de la aurícula derecha se colapsaba parcialmente.

<p>Imagen ecocardiográfica: eje largo paraesternal derecho. El asterisco marca el líquido pericárdico anecoico y la flecha verde, el coágulo. La flecha blanca señala la hoja valvular de la válvula mitral.</p>
Figura 3

Imagen ecocardiográfica: eje largo paraesternal derecho. El asterisco marca el líquido pericárdico anecoico y la flecha verde, el coágulo. La flecha blanca señala la hoja valvular de la válvula mitral.

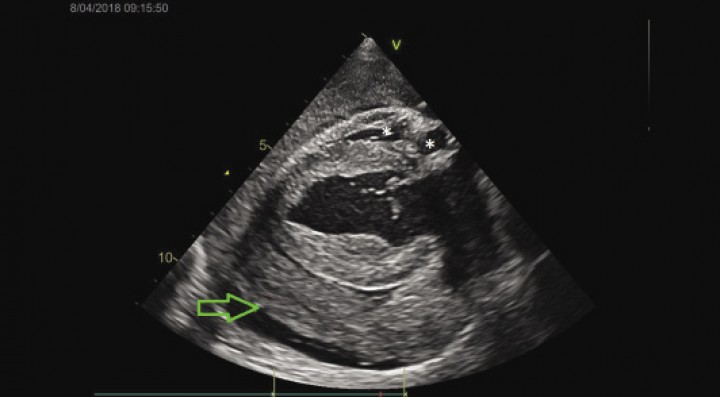
A los pocos minutos de iniciar el examen ecocardiográfico se observó un aumento difuso de la ecogenicidad en el derrame pericárdico con un colapso marcado de la aurícula y el ventrículo derecho y una reducción del volumen del atrio y el ventrículo izquierdo (Fig. 4). Estos hallazgos fueron compatibles con una rotura aguda de la aurícula izquierda con taponamiento cardiaco secundario a la dilatación de la misma por enfermedad degenerativa de la válvula mitral.

<p>Imagen ecocardiográfica: eje largo paraesternal derecho. La flecha verde señala el coágulo de grandes dimensiones y los asteriscos, el colapso de la aurícula y el ventrículo derecho.</p>
Figura 4

Imagen ecocardiográfica: eje largo paraesternal derecho. La flecha verde señala el coágulo de grandes dimensiones y los asteriscos, el colapso de la aurícula y el ventrículo derecho.

El paciente presentaba un grave estado de shock y a causa del grave pronóstico los propietarios deciden realizar la eutanasia.

Comentario

La rotura de la aurícula izquierda es una complicación poco frecuente de los perros con enfermedad degenerativa de la válvula mitral.[ Ettinger SJ, Feldman EC. Textbook of veterinary internal medicine. 7ª ed. Missouri (EE.UU): Elsevier-Saunders, 2010: 1104-1118. , Kittelson MD, Kienle RD. Medicina cardiovascular de pequeños animales. 2ª ed. Barcelona (España): Multimédica, 2000: 413-430. , Kurt S, Kovacevic A. Atrial rupture and pericardial effusion as a complication of chronic mitral valve endocardiosis. Schweiz Arch Tierheilkd. 2012, 154(9):397-401. [PubMed] ] El aumento de la presión en la aurícula izquierda y la dilatación de la misma pueden conducir a la aparición de desgarros o la rotura completa de la aurícula.[ Ettinger SJ, Feldman EC. Textbook of veterinary internal medicine. 7ª ed. Missouri (EE.UU): Elsevier-Saunders, 2010: 1104-1118. , Kittelson MD, Kienle RD. Medicina cardiovascular de pequeños animales. 2ª ed. Barcelona (España): Multimédica, 2000: 413-430. ] En estos casos se produce una hemorragia en el espacio pericárdico que puede conducir a un taponamiento cardiaco más o menos agudo y grave en función del tamaño de la rotura.[ Ettinger SJ, Feldman EC. Textbook of veterinary internal medicine. 7ª ed. Missouri (EE.UU): Elsevier-Saunders, 2010: 1104-1118. , Kittelson MD, Kienle RD. Medicina cardiovascular de pequeños animales. 2ª ed. Barcelona (España): Multimédica, 2000: 413-430. ]

La mayoría de los pacientes con esta complicación presentan antecedentes de enfermedad cardiaca crónica y acuden por un cuadro repentino de debilidad, síncope o dificultad respiratoria.[ Ettinger SJ, Feldman EC. Textbook of veterinary internal medicine. 7ª ed. Missouri (EE.UU): Elsevier-Saunders, 2010: 1104-1118. , Kittelson MD, Kienle RD. Medicina cardiovascular de pequeños animales. 2ª ed. Barcelona (España): Multimédica, 2000: 413-430. ]

En caso de derrame pericárdico hemorrágico por rotura de la aurícula izquierda puede ser necesario realizar una pericardiocéntesis pero, generalmente, se recomienda reposo absoluto sin terapia específica más allá del manejo de la insuficiencia cardiaca congestiva y revisiones ecocardiográficas continuas, a la espera de que se produzca el cierre de la rotura y la resolución del derrame pericárdico.[ Kittelson MD, Kienle RD. Medicina cardiovascular de pequeños animales. 2ª ed. Barcelona (España): Multimédica, 2000: 413-430. ]

El pronóstico es reservado, pero estudios recientes muestran un pronóstico más favorable con una supervivencia media mayor en aquellos pacientes que no presentaban signos clínicos previos de insuficiencia cardiaca congestiva en el momento del diagnóstico.[ Reid k, Tompkins E, Russell NJ, et al. Left atrial rupture secondary to myxomatous mitral valve disease in 11 dogs. J Am Anim Hosp Assoc 2014; 50:405-408. [PubMed] ]

En conclusión, la ecocardiografía es una prueba diagnóstica muy sensible y poco invasiva para realizar el diagnóstico de derrame pericárdico y resulta de gran ayuda para definir la etiología del mismo.

 

Fuente de financiación: esta investigación no se realizó con fondos comerciales, públicos o del sector privado.

Conflicto de intereses: los autores declaran que no existe conflicto de intereses.

Bibliografía

  1. [1] Ettinger SJ, Feldman EC. Textbook of veterinary internal medicine. 7ª ed. Missouri (EE.UU): Elsevier-Saunders, 2010: 1104-1118.
  2. [2] Kittelson MD, Kienle RD. Medicina cardiovascular de pequeños animales. 2ª ed. Barcelona (España): Multimédica, 2000: 413-430.
  3. [3] Kurt S, Kovacevic A. Atrial rupture and pericardial effusion as a complication of chronic mitral valve endocardiosis. Schweiz Arch Tierheilkd. 2012, 154(9):397-401. [PubMed]
  4. [4] Reid k, Tompkins E, Russell NJ, et al. Left atrial rupture secondary to myxomatous mitral valve disease in 11 dogs. J Am Anim Hosp Assoc 2014; 50:405-408. [PubMed]

Artículos recomendados

Estas recomendaciones se ofrecen de forma automática.

  • ¿Cuál es tu diagnóstico?
    L. Martín-Carrasco, E. Mínguez-Pereira, R. Salgüero-Fernández, et al.
    Clin Vet Peq Anim Vol. 46 - Nº 1 · MAR 2026 · ¿Cuál es tu diagnóstico?
  • ¿Cuál es tu diagnóstico?
    D. Marbella, A.M. Hernández-Guerra, L. Montalvà-Minguet
    Clin Vet Peq Anim Vol. 45 - Nº 4 · DIC 2025 · ¿Cuál es tu diagnóstico?
  • ¿Cuál es tu diagnóstico?

    J.D. Carrillo, M. Soler, M.S. Echalecu, et al.
    Clin Vet Peq Anim Vol. 45 - Nº 3 · SEP 2025 · ¿Cuál es tu diagnóstico?
  • Inicio
  • Historia clínica
  • Describe las anormalidades radiográficas que se observan
  • ¿Cuáles son los diagnósticos diferenciales con estos signos radiográficos?
  • ¿Qué otras técnicas de imagen realizarías para alcanzar el diagnóstico definitivo?
  • Comentario
  • Bibliografía
Artículo anterior Índice de la revista Artículo siguiente
ANUNCIO
Próximos cursos ATVs Elearning
Índice
Inicio Historia clínica Describe las anormalidades radiográficas que se observan ¿Cuáles son los diagnósticos diferenciales con estos signos radiográficos? ¿Qué otras técnicas de imagen realizarías para alcanzar el diagnóstico definitivo? Comentario Bibliografía
Alivira - Vominil
ANUNCIO

¿No eres socio de AVEPA y quieres recibir comunicación de las nuevas ediciones en tu correo?

Suscríbete

Suscríbete y te avisaremos cuando publiquemos un nuevo número

Suscribirme

Enlaces rápidos

  • Inicio
  • Último número
  • Archivo
  • Artículos

Información

  • Comité editorial
  • Política de cookies
  • Política de privacidad
  • Términos y condiciones

Contacto

  • info@imaginice.com
  • Envíanos tu artículo
© 2026 Ice Salud Vet SL. Todos los derechos reservados.

Usamos cookies para mejorar tu experiencia. Selecciona cuáles aceptas: