Logo AVEPA

Clínica Veterinaria de Pequeños Animales

Revista oficial de AVEPA

  • Inicio
  • Último número
  • Archivo
  • Artículos
  • Para autores
  • Contacto
Cursos Junio-Septiembre 2026
ANUNCIO

Clínica Veterinaria de Pequeños Animales

Revista oficial de AVEPA

  • Inicio
  • Último número
  • Archivo
  • Artículos
  • Para autores
  • Contacto
Curso Oftalmología 2026
ANUNCIO
Clin Vet Peq Anim Vol. 40 • Nº 2 • junio 2020

Inestabilidad atlantoaxial con agenesia parcial del atlas en un perro

Atlantoaxial instability with partial atlas agenesia in a dog

Artículo original referido a un solo caso clínico

T. Elvira

Hospital Veterinario VETSIA. c/ Galileo nº 3, 28914 Leganés (Madrid)

I. Mateo

Hospital Veterinario VETSIA. c/ Galileo nº 3, 28914 Leganés (Madrid)

Contacto: isidro_mateo@yahoo.es
Palabras clave: perro, atlas, malformación.
Keywords: dog, atlas, malformation.

Clin Vet Peq Anim 2020, 40 (2): 93-98

Descargar artículo

Resumen

Se presenta la descripción de un caso clínico de perro mestizo, hembra de 4 meses de edad, referido por tetraparesia ambulatoria severa y ataxia propioceptiva de las cuatro extremidades tras sufrir un traumatismo. El examen neurológico fue compatible con una afección de segmentos medulares C1-C5. Tras la realización de radiografías simples y de pruebas de imagen avanzadas (TC y RM) se evidenció la existencia de una severa malformación del atlas consistente en una agenesia completa de su mitad izquierda que daba lugar a inestabilidad de la articulación atlantoaxial con un marcado compromiso medular asociado. Se instauró tratamiento médico conservador y el paciente presentó una leve mejoría de los signos clínicos. Sin embargo, tras un mes de tratamiento, el paciente sufrió una recaída de los signos neurológicos por lo que se practicó la eutanasia del mismo a petición de los propietarios. Las malformaciones del atlas son infrecuentes en perros y gatos, pero deben incluirse en el diagnóstico diferencial de pacientes con signos de mielopatia cervical craneal. Las pruebas de imagen son fundamentales para su diagnóstico y el establecimiento de un posible tratamiento quirúrgico. Según la bibliografía consultada, existe sólo una malformación similar descrita en perros que implique la agenesia completa de un lado del atlas.

Abstract

A 4-month-old female cross breed dog was referred for investigation of an acute onset of tetraparesis after low grade trauma. Neuroanatomical localization of the lesion was considered to be affecting the C1-C5 spinal cord segments. Radiography and advanced imaging (CT and MRI) revealed agenesia of the left half of the atlas leading to joint instability with associated spinal cord compression. Conservative medical treatment was established and the patient showed a slight improvement in clinical signs. However, one month later, the patient suffered a relapse of the neurological signs and was euthanized at the owner’s request. Malformations of the atlas are rare in dogs and cats, but they should be included in the differential diagnosis of patients with signs of cranial cervical myelopathy. Imaging is paramount for the diagnosis and proper surgical planning. According to the veterinary literature, there is only one similar case described in the dog.

AVEPA Elearning

La presencia de este logo en un artículo de la revista indica que se publicará un examen sobre el mismo en la plataforma AVEPA Elearning. Su resolución aporta 0,15 créditos dentro del sistema de acreditaciones de especialidades veterinarias de AVEPA.

Introducción

Las alteraciones malformativas de la articulación atlantoaxial (AA) comprenden diversas patologías que afectan a las estructuras óseas que conforman dicha articulación (p.ej. malformación occipitoatlantoaxial -MOAA- o la hipoplasia del diente del axis) o a sus tejidos blandos (ligamentos, cápsula articular o ligamento atlantoaxial dorsal). Estas alteraciones pueden dar lugar a un compromiso de los primeros segmentos medulares y/o sus raíces nerviosas, que producen una sintomatología fácilmente reconocible, habitualmente dolor y/o tetraparesia de diferentes grados que pueden llegar a terminar en tetraplejia y compromiso respiratorio.[ de Lahunta A, Glass EN, Kent M: Small Animal Spinal Cord Disease. En: Veterinary Neuroanatomy and Clinical Neurology. 4ª Edición. Missouri, Saunders, 2014; 257-301. , Slanina M: Atlantoaxial instability. Vet Clin North Am Small Anim Pract 2016; 46:265-275. [PubMed] ] La patología que con mayor frecuencia afecta a la articulación AA es la inestabilidad AA, generalmente producida por la hipoplasia del diente del axis y/o los ligamentos que la forman.[ Slanina M: Atlantoaxial instability. Vet Clin North Am Small Anim Pract 2016; 46:265-275. [PubMed] ] También se ha descrito inestabilidad AA como consecuencia de traumatismos de columna.[ Hansen SC, Bacek LM, Kuo KW, Taylor AR: Traumatic atlantoaxial subluxation in dogs: 8 cases (2009-2016). J Vet Emerg Crit Care 2019; 29:301-308. [PubMed] ] En cualquier caso, la inestabilidad articular da lugar a un desplazamiento dorsal del cuerpo del axis sobre el atlas con el consecuente compromiso medular.[ de Lahunta A, Glass EN, Kent M: Small Animal Spinal Cord Disease. En: Veterinary Neuroanatomy and Clinical Neurology. 4ª Edición. Missouri, Saunders, 2014; 257-301. , Slanina M: Atlantoaxial instability. Vet Clin North Am Small Anim Pract 2016; 46:265-275. [PubMed] ] Al tener un origen malformativo este fenómeno se produce fundamentalmente en animales jóvenes, aunque los síntomas pueden aparecer en animales adultos.[ Stigen Ø, Aleksandersen M, Sørby R, Jørgensen HJ: Acute non-ambulatory tetraparesis with absence of the dens in two large breed dogs: case reports with a radiographic study of relatives. Acta Vet Scand 2013; 55:31. [PubMed] ] De manera ocasional también se han descrito malformaciones que afectan a la articulación AA y atlanto-occipital (AO) de perros y gatos jóvenes y que, en algunos casos, producen inestabilidad articular sin estar asociadas a un defecto en el diente del axis.[ Dewey CW, Marino DJ, Loughin CA: Craniocervical junction abnormalities in dogs. N Z Vet J 2013; 61:202-211. [PubMed] , Jaggy A, Huto VL, Roberts RE, Oliver JE. Occipitoatlantoaxial malformation with atlantoaxial subluxation in a cat. J Small Anim Pract 1991; 32:366-372. [Wiley] ] Entre ellas, cabe destacar el solapamiento atlanto-occipital, la malformación tipo Chiari, las MOAA y otros defectos en la segmentación de los primeros segmentos vertebrales cervicales.[ Dewey CW, Marino DJ, Loughin CA: Craniocervical junction abnormalities in dogs. N Z Vet J 2013; 61:202-211. [PubMed] ] El objetivo de este trabajo es presentar un caso de una inestabilidad AA causada por un defecto en el desarrollo de la mitad izquierda del atlas con semiología clínica referida a esa localización en un perro joven de tamaño grande. Se comparan los hallazgos clínico-radiológicos con el único caso similar descrito en la literatura veterinaria[ Watson AG, de Lahunta A, Evans HE: Morphology and embryological interpretation of a congenital occipito-atlanto-axial malformation in a dog. Teratology 1988; 38:451–459. [PubMed] ] y se analizan sus analogías con enfermedades malformativas descritas en otras especies, incluida la humana.

Caso clínico

Es referida para evaluación neurológica una perra mestiza de 4 meses de edad y 23 kilos de peso por presentar dolor cervical y tetraparesia de 4 días de evolución tras sufrir un traumatismo. En la exploración física se palpó una asimetría del atlas, que parecía rotado, lo que hacía que el paciente sufriese una desviación severa del cuello con gran dolor a la manipulación. El examen neurológico reveló tetraparesia ambulatoria severa con retraso simétrico de las reacciones posturales en las cuatro extremidades. Los reflejos medulares y la evaluación de los pares craneales eran normales. Este examen fue compatible con una afección focal o difusa de los segmentos medulares C1 - C5. El diagnóstico diferencial, teniendo en cuenta la historia clínica y la exploración física, incluyó principalmente procesos de carácter malformativo, sin poder descartarse enfermedades traumáticas, inflamatorias o neoplásicas. Se realizaron radiografías de la columna cervical en proyección lateral y ventrodorsal donde se apreció una inestabilidad de la articulación AA evidenciada por aumento de distancia entre la lámina del atlas y la apófisis espinosa del axis (Fig. 1A). Sin embargo, el hallazgo más relevante consistió en la ausencia del ala (apófisis transversa modificada) y la mitad izquierda del cuerpo del atlas (Fig. 1B). Posteriormente se procedió a la realización de una tomografía computarizada (TC) donde se confirmó la existencia de una malformación cervical con desplazamiento rostral del axis, que hacía que el diente del axis sobrepasase el límite craneal del cuerpo del atlas y los cóndilos del occipital, quedando en contacto con el aspecto ventral de la médula oblonga (signo radiológico denominado “invaginación basilar” en medicina humana) (Fig. 2, A y B). El atlas presentaba una agenesia de su mitad izquierda y en su lugar se apreciaron dos pequeños núcleos óseos independientes que ocupaban una posición dorsolateral izquierda no unidos con el resto de estructuras óseas (Fig. 2, C). Aunque el arco derecho del atlas quedaba íntimamente asociado con el cóndilo derecho del occipital, se evidenció una conformación atlanto-occipital derecha normal, con una línea articular bien formada pero rotada (Fig. 2, B). En el aspecto ventral del atlas se observaba el “intercentrum” 1, así como la sincondrosis neurocentral derecha (Fig. 2, B). Sin embargo, la sincondrosis neurocentral izquierda y la dorsal no podían ser evidenciadas debido a la ausencia del centro de osificación del arco neural izquierdo (Fig. 2, C). Todas estas alteraciones hacían que la articulación atlanto-occipital quedase rotada, haciendo que la cabeza girase en contra del sentido de las agujas del reloj visto desde un plano dorsal (Fig. 3, A y B). El agujero vertebral lateral y el agujero transverso del arco derecho del atlas estaban correctamente formados (Fig. 3, A). Por otro lado, se apreció como el aspecto craneal del cuerpo del axis y la apófisis odontoides estaban deformados, engrosados e hiperostóticos (Fig. 2, A). El borde craneal de la apófisis espinosa del axis quedaba deformado con desviación derecha, haciendo leve prominencia sobre el atlas (Figs. 2A y 3A). Posteriormente, se decidió realizar una resonancia magnética de la columna cervical para valorar el parénquima medular, donde se evidenció una severa compresión dorsoventral de la médula espinal a nivel de la articulación AA con obliteración del espacio subaracnoideo ventral y dorsal (Fig. 4). Las secuencias ponderadas en T2 demostraron la hiperintensidad del parénquima medular en el punto de mayor compromiso (Fig. 4).

<p><strong>(A) </strong>Radiografía lateral de la columna cervical. Nótese el desplazamiento dorsal del cuerpo del axis con respecto al atlas y la distancia anormalmente amplia entre la apófisis espinosa del axis y el arco del atlas (flecha).<strong> (B) </strong>Radiografía ventrodorsal de la columna cervical craneal. Nótese la ausencia de la mitad izquierda del atlas (flecha). Compárese con el lado contrario en el que se puede evidenciar el ala del atlas formado normalmente (puntas de flecha) quedando asociado a una rotación anómala de la cabeza.</p>
Figura 1

(A) Radiografía lateral de la columna cervical. Nótese el desplazamiento dorsal del cuerpo del axis con respecto al atlas y la distancia anormalmente amplia entre la apófisis espinosa del axis y el arco del atlas (flecha). (B) Radiografía ventrodorsal de la columna cervical craneal. Nótese la ausencia de la mitad izquierda del atlas (flecha). Compárese con el lado contrario en el que se puede evidenciar el ala del atlas formado normalmente (puntas de flecha) quedando asociado a una rotación anómala de la cabeza.

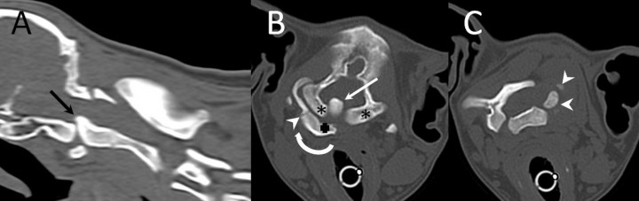
<p><strong>(A) </strong>Reconstrucción sagital obtenida mediante TC de la unión craneocervical. Obsérvese el desplazamiento craneal del axis sobre el cuerpo del atlas que hace que el diente deformado y engrosado sobrepase el hueso basioccipital desplazando a la médula oblonga (flecha), denominado invaginación basilar. <strong>(B)</strong> Imagen transversal obtenida mediante TC a nivel de los cóndilos del occipital en la que se puede apreciar como el diente del axis está incluido dentro de la cavidad craneal (flecha) y la adecuada formación de los cóndilos del occipital (asteriscos). Tambien puede apreciarse el intercentrum I (cruz) y la sincondrosis neurocentral derecha (punta de flecha), pero no la izquierda. En esta imagen la rotación del atlas es evidente teniendo en cuenta la posición del cuerpo (flecha circular que indica el sentido de la rotación). <strong>(C) </strong>Imagen transversal obtenida mediante TC a nivel de la lámina del atlas en la que se aprecian dos núcleos de osificación independientes de posición dorsolateral izquierda (puntas de flecha).</p>
Figura 2

(A) Reconstrucción sagital obtenida mediante TC de la unión craneocervical. Obsérvese el desplazamiento craneal del axis sobre el cuerpo del atlas que hace que el diente deformado y engrosado sobrepase el hueso basioccipital desplazando a la médula oblonga (flecha), denominado invaginación basilar. (B) Imagen transversal obtenida mediante TC a nivel de los cóndilos del occipital en la que se puede apreciar como el diente del axis está incluido dentro de la cavidad craneal (flecha) y la adecuada formación de los cóndilos del occipital (asteriscos). Tambien puede apreciarse el intercentrum I (cruz) y la sincondrosis neurocentral derecha (punta de flecha), pero no la izquierda. En esta imagen la rotación del atlas es evidente teniendo en cuenta la posición del cuerpo (flecha circular que indica el sentido de la rotación). (C) Imagen transversal obtenida mediante TC a nivel de la lámina del atlas en la que se aprecian dos núcleos de osificación independientes de posición dorsolateral izquierda (puntas de flecha).

<p><strong>(A)</strong> Reconstrucción tridimensional en vista dorsal obtenida mediante TC. Obsérvese la rotación de la cabeza con respecto al eje longitudinal y la ausencia de la totalidad del arco izquierdo del atlas, donde solo es posible apreciar dos pequeños fragmentos óseos (flechas). <strong>(B) </strong>Reconstrucción tridimensional en vista ventral obtenida mediante TC en la que se aprecia el “intercentrum 1” rotado (asterisco), así como la ausencia del arco izquierdo del atlas. El defecto de la cavidad timpánica izquierda es un artefacto creado durante la reconstrucción.</p>
Figura 3

(A) Reconstrucción tridimensional en vista dorsal obtenida mediante TC. Obsérvese la rotación de la cabeza con respecto al eje longitudinal y la ausencia de la totalidad del arco izquierdo del atlas, donde solo es posible apreciar dos pequeños fragmentos óseos (flechas). (B) Reconstrucción tridimensional en vista ventral obtenida mediante TC en la que se aprecia el “intercentrum 1” rotado (asterisco), así como la ausencia del arco izquierdo del atlas. El defecto de la cavidad timpánica izquierda es un artefacto creado durante la reconstrucción.

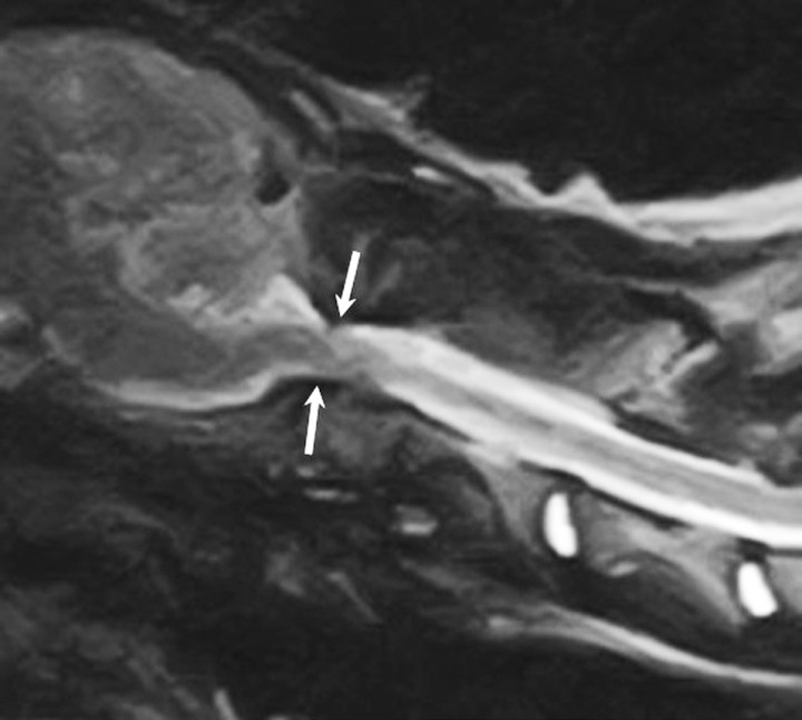
<p>Imagen sagital ponderada en T2 obtenida mediante RM de la columna cervical. Véase el compromiso medular a nivel de la articulación atlantoaxial, marcado por una obliteración del espacio subaracnoideo ventral y dorsal (flechas), lo cual produce una desviación sigmoidea del cordón medular.</p>
Figura 4

Imagen sagital ponderada en T2 obtenida mediante RM de la columna cervical. Véase el compromiso medular a nivel de la articulación atlantoaxial, marcado por una obliteración del espacio subaracnoideo ventral y dorsal (flechas), lo cual produce una desviación sigmoidea del cordón medular.

Dada la complejidad de la lesión y la dificultad en la realineación o remodelación de la articulación en un paciente en desarrollo, no se consideró viable un tratamiento quirúrgico y se instauró tratamiento médico conservador consistente en meloxicam 0,1mg/kg/24 horas (Metacam 1,5 mg/ml, Boehringer Ingelhem, Madrid), tramadol 2mg/kg/8 horas (Tramadol, Normon 50 mg capsulas, Madrid) y famotidina 1mg/kg/24 horas (Famotidina, Cinfa comp. recub. 40 mg, Madrid) durante una semana y se recomendó reposo estricto. No se consideró la utilización de una coaptación externa por la gran rotación que manifestaba el cuello y porque, debido a la grave malformación, no parecía posible una realineación manual ni una fijación permanente. Tras una mejoría inicial significativa el paciente sufrió una recaída, de igual intensidad que el episodio inicial, a las 4 semanas, por lo que los propietarios decidieron que se realizase la eutanasia humanitaria.

Discusión

Las malformaciones del atlas que causan inestabilidad atlanto-axial son una causa poco común de mielopatía cervical en perros.[ Dewey CW, Marino DJ, Loughin CA: Craniocervical junction abnormalities in dogs. N Z Vet J 2013; 61:202-211. [PubMed] , Petite A, McConell F, De Stefani A, McKee M, Dennis R. Congenital occipito-atlanto-axial malformation in five dogs. Proceedings of the Annual Conference of the EAVDI, 6-9 agosto de 2008, Solvaer, Noruega. Publicado en Vet Radiol and Ultrasound 2009; 50:118. ] El atlas se desarrolla a partir de tres centros de osificación (arcos neurales derecho e izquierdo e intercentro 1) que quedan unidos por las sincondrosis dorsal y centroneurales derecha e izquierda. El axis se desarrolla a partir de 7 (centro del proatlas, centro 1 y 2, intercentro 2, arcos neurales derecho e izquierdo y epífisis).[ Watson AG, Evans HE, de Lahunta A: Ossification of the atlas-axis complex in the dog. Anat Histol Embryol 1986; 15:122–138. [PubMed] ] Los errores en este complicado desarrollo embriológico parecen ser el origen más probable de las malformaciones que afectan al occipital, atlas o axis de manera conjunta o independiente.[ Watson AG, Evans HE, de Lahunta A: Ossification of the atlas-axis complex in the dog. Anat Histol Embryol 1986; 15:122–138. [PubMed] , Hensinger RN: Osseous anomalies of the craniovertebral junction. Spine 1986; 11:323-333. [PubMed] ] El momento y el lugar en el que se produzca la alteración en el desarrollo determinará el resultado final malformativo. En el presente caso, el defecto en la formación completa del arco izquierdo sugiere que la alteración embriopatogénica se produjo durante un estadio muy primordial del desarrollo de este área, probablemente entre los días 30 y 33 de gestación en perros.[ Watson AG, Evans HE, de Lahunta A: Ossification of the atlas-axis complex in the dog. Anat Histol Embryol 1986; 15:122–138. [PubMed] , Watson AG, de Lahunta A, Evans HE. Prenatal development of the composite occipito-atlanto-axial sinovial joint cavity in the dog. Anat Rec 1986; 216:423-433. [PubMed] ] En el día 30 de gestación ya se ha producido la diferenciación entre los cartílagos primitivos del occipital y el atlas, lo que da lugar a la articulación AA.[ Watson AG, de Lahunta A, Evans HE. Prenatal development of the composite occipito-atlanto-axial sinovial joint cavity in the dog. Anat Rec 1986; 216:423-433. [PubMed] ] Los núcleos de osificación de los arcos neurales del complejo AA se comienzan a formar en embriones de 33 días.[ Watson AG, Evans HE, de Lahunta A: Ossification of the atlas-axis complex in the dog. Anat Histol Embryol 1986; 15:122–138. [PubMed] ] En el presente caso, el defecto en la osificación del atlas sugiere un defecto previo al día 33 de gestación. Por otro lado, la correcta formación de la articulación AA (en el lado derecho) sugiere un correcto desarrollo hasta el día 30. El único caso similar descrito en la literatura veterinaria se trata de un perro de raza San Bernardo de 13 semanas de edad con una MOAA congénita en la que la mitad derecha del arco del atlas era más pequeña que la mitad izquierda, y además se había fusionado con el hueso exoocipital derecho. La mitad izquierda del arco del atlas y el intercentro 1 formaron una unidad que, con el cóndilo occipital izquierdo normal, formaba una articulación atlanto-occipital normal en el lado izquierdo. El diente del axis estaba hipoplásico, el proceso espinoso era corto y el extremo craneal y las mitades caudales de las láminas izquierda y derecha del arco neural no se habían fusionado dorsalmente.[ Watson AG, de Lahunta A, Evans HE: Morphology and embryological interpretation of a congenital occipito-atlanto-axial malformation in a dog. Teratology 1988; 38:451–459. [PubMed] ] La independencia del atlas con el occipital, presente en el caso aqui descrito, y la correcta formación del occipital, suponen la mayor diferencia entre ambos casos. Debido a que el occipital y las dos primeras vértebras cervicales tienen un desarrollo embriológico conjunto tanto temporal como espacialmente, los trastornos que afectan a esta región en el periodo crítico de su desarrollo frecuentemente dan lugar a malformaciones en todas las estructuras implicadas.[ Watson AG, Evans HE, de Lahunta A: Ossification of the atlas-axis complex in the dog. Anat Histol Embryol 1986; 15:122–138. [PubMed] , Hensinger RN: Osseous anomalies of the craniovertebral junction. Spine 1986; 11:323-333. [PubMed] , Watson AG, de Lahunta A, Evans HE. Prenatal development of the composite occipito-atlanto-axial sinovial joint cavity in the dog. Anat Rec 1986; 216:423-433. [PubMed] ] Con una afección tan severa del atlas, se genera una gran inestabilidad de la unión craneocervical, provocando una rotación de la articulación atlanto-occipital, la impactación del axis contra el occipital y la subluxación AA.[ Watson AG, de Lahunta A, Evans HE. Prenatal development of the composite occipito-atlanto-axial sinovial joint cavity in the dog. Anat Rec 1986; 216:423-433. [PubMed] ] En nuestro paciente todos estos cambios produjeron una estenosis del canal vertebral, responsable de los signos clínicos debido al grave compromiso medular. Esto hace suponer que, como alternativa terapéutica, se podría haber considerado la estabilización quirúrgica de la articulación. La ausencia de la mitad del cuerpo del atlas impedía la artrodesis de la articulación AA mediante abordaje ventral, tal y como se ha descrito en un gato con inestabilidad AA debido a una MOAA consistente en hipoplasia condilar y del diente del axis.[ Watson AG, Hall MA, de Lahunta A: Congenital occipitoatlantoaxial malformation in a cat. Compend Contin Educ Pract Vet 1985; 7:245–253. ] La fijación dorsal tampoco se consideró una opción terapéutica viable debido a la ausencia de la mitad del arco del atlas y la imposibilidad para crear una artrodesis de la articulación. La inestabilidad AA produce un compromiso medular asociado que habitualmente da lugar a sintomatología clínica antes del año de edad.[ Slanina M: Atlantoaxial instability. Vet Clin North Am Small Anim Pract 2016; 46:265-275. [PubMed] ] Sin embargo, está bien reconocido en la literatura veterinaria que algunos pacientes con malformaciones congénitas manifiestan los síntomas de manera tardía, en muchas ocasiones desencadenados por traumatismos leves sobre la región.[ Slanina M: Atlantoaxial instability. Vet Clin North Am Small Anim Pract 2016; 46:265-275. [PubMed] , Dewey CW, Marino DJ, Loughin CA: Craniocervical junction abnormalities in dogs. N Z Vet J 2013; 61:202-211. [PubMed] ] Aunque existen ciertas patologías malformativas que afectan a la vertebras C1 y C2 en las que se sospecha su carácter genético hereditario (como los equinos de raza Árabe con MAOO)[ Watson AG, Mayhew IG: Familial congenital occipitoatlantoaxial malformation (OAAM) in the Arabian horse. Spine 1986; 11:334-349. [PubMed] ] la presentación fortuita y extremadamente infrecuente de estas malformaciones en los perros hacen que esta causa no pueda ser confirmada en esta especie.

En humanos se han descrito también malformaciones en las que existen defectos en la formación del atlas, habitualmente del arco posterior, habiéndose desarrollado una clasificación detallada de las mismas.[ Currarino G, Rollins N, Diehl JT: Congenital defects of the posterior arch of the atlas: a report of seven cases including an affected mother and son. AJNR Am J Neuroradiol 1994; 15:249-254. [PubMed] , Junewick JJ, Chin MS, Meesa IR, Ghori S, Boynton SJ, Luttenton CR: Ossification patterns of the atlas vertebra. AJR Am J Roentgenol 2011; 197:1229-1234. [PubMed] ] En esta clasificación el caso canino aquí descrito se encuadraría dentro del grupo de defectos de tipo B, siendo un defecto completo (el tipo B engloba defectos unilaterales del arco neural de severidad variable, desde pequeñas hendiduras hasta agenesia completa). Cabe destacar que, según la bibliografía consultada, no existen casos en medicina humana en los que se describa una agenesia completa del arco neural de un lado (defecto completo del tipo B) como el aquí descrito. El tipo A consiste en un defecto de fusión del arco en la línea media, el tipo C consiste en un defecto bilateral del arco vertebral con preservación del aspecto dorsal y de parte de los pedículos. Si los pedículos están ausentes pero se mantiene el tubérculo posterior se clasifican como defectos tipo D, mientras que la ausencia completa del arco del atlas se denomina tipo E.[ Currarino G, Rollins N, Diehl JT: Congenital defects of the posterior arch of the atlas: a report of seven cases including an affected mother and son. AJNR Am J Neuroradiol 1994; 15:249-254. [PubMed] ] Al igual que en los pacientes caninos los humanos con malformaciones craneocervicales de cualquier tipo tienen un mayor riesgo de sufrir subluxación AA y déficits neurológicos, particularmente después de un trauma menor.[ Klimo P Jr, Rao G, Brockmeyer D: Congenital anomalies of the cervical spine. Neurosurg Clin N Am 2007;18 :463-478. [PubMed] ] Esto se debe a la inestabilidad que producen estas alteraciones que, en ciertas ocasiones, es subclínica hasta el momento del traumatismo, tal y como ocurrió en nuestro caso. Esta inestabilidad subclínica quedaría compensada, en cierta medida, por fenómenos de fibrosis de los tejidos blandos periarticulares que son, sin embargo, incapaces de soportar las cargas de la articulación en una situación traumática.

Cabe destacar que la subluxación AA presente en el perro aquí descrito, no está originada por una alteración específica del diente del axis, que es la malformación que con mayor frecuencia produce instabilidad en dicha articulación. Los cambios encontrados en el diente del axis se consideraron consecuencia de fenómenos hiperplásicos derivados de la inestabilidad de la articulación.

En conclusión, las malformaciones del atlas deben ser incluidas en el diagnóstico diferencial en pacientes con mielopatia cervical C1-C5, especialmente en animales jóvenes. El pronóstico vendrá dado por el compromiso medular asociado a la malformación, a la inestabilidad, y la respuesta al tratamiento médico conservador o la posibilidad de realizar un tratamiento quirúrgico para la descompresión y/o estabilización de las estructuras afectadas.

El presente caso clínico fue presentado como parte de una comunicación libre en el XVII Congreso de Especialidades Veterinarias organizado por AVEPA durante los días 20 - 21 de abril de 2018 en Madrid (España).

 

Fuente de financiación: este trabajo no se realizó con fondos comerciales, públicos o del sector privado.

Conflicto de intereses: los autores declaran que no existe conflicto de intereses.

Bibliografía

  1. [1] de Lahunta A, Glass EN, Kent M: Small Animal Spinal Cord Disease. En: Veterinary Neuroanatomy and Clinical Neurology. 4ª Edición. Missouri, Saunders, 2014; 257-301.
  2. [2] Slanina M: Atlantoaxial instability. Vet Clin North Am Small Anim Pract 2016; 46:265-275. [PubMed]
  3. [3] Hansen SC, Bacek LM, Kuo KW, Taylor AR: Traumatic atlantoaxial subluxation in dogs: 8 cases (2009-2016). J Vet Emerg Crit Care 2019; 29:301-308. [PubMed]
  4. [4] Stigen Ø, Aleksandersen M, Sørby R, Jørgensen HJ: Acute non-ambulatory tetraparesis with absence of the dens in two large breed dogs: case reports with a radiographic study of relatives. Acta Vet Scand 2013; 55:31. [PubMed]
  5. [5] Dewey CW, Marino DJ, Loughin CA: Craniocervical junction abnormalities in dogs. N Z Vet J 2013; 61:202-211. [PubMed]
  6. [6] Jaggy A, Huto VL, Roberts RE, Oliver JE. Occipitoatlantoaxial malformation with atlantoaxial subluxation in a cat. J Small Anim Pract 1991; 32:366-372. [Wiley]
  7. [7] Watson AG, de Lahunta A, Evans HE: Morphology and embryological interpretation of a congenital occipito-atlanto-axial malformation in a dog. Teratology 1988; 38:451–459. [PubMed]
  8. [8] Petite A, McConell F, De Stefani A, McKee M, Dennis R. Congenital occipito-atlanto-axial malformation in five dogs. Proceedings of the Annual Conference of the EAVDI, 6-9 agosto de 2008, Solvaer, Noruega. Publicado en Vet Radiol and Ultrasound 2009; 50:118.
  9. [9] Watson AG, Evans HE, de Lahunta A: Ossification of the atlas-axis complex in the dog. Anat Histol Embryol 1986; 15:122–138. [PubMed]
  10. [10] Hensinger RN: Osseous anomalies of the craniovertebral junction. Spine 1986; 11:323-333. [PubMed]
  11. [11] Watson AG, de Lahunta A, Evans HE. Prenatal development of the composite occipito-atlanto-axial sinovial joint cavity in the dog. Anat Rec 1986; 216:423-433. [PubMed]
  12. [12] Watson AG, Hall MA, de Lahunta A: Congenital occipitoatlantoaxial malformation in a cat. Compend Contin Educ Pract Vet 1985; 7:245–253.
  13. [13] Watson AG, Mayhew IG: Familial congenital occipitoatlantoaxial malformation (OAAM) in the Arabian horse. Spine 1986; 11:334-349. [PubMed]
  14. [14] Currarino G, Rollins N, Diehl JT: Congenital defects of the posterior arch of the atlas: a report of seven cases including an affected mother and son. AJNR Am J Neuroradiol 1994; 15:249-254. [PubMed]
  15. [15] Junewick JJ, Chin MS, Meesa IR, Ghori S, Boynton SJ, Luttenton CR: Ossification patterns of the atlas vertebra. AJR Am J Roentgenol 2011; 197:1229-1234. [PubMed]
  16. [16] Klimo P Jr, Rao G, Brockmeyer D: Congenital anomalies of the cervical spine. Neurosurg Clin N Am 2007;18 :463-478. [PubMed]

Artículos recomendados

Estas recomendaciones se ofrecen de forma automática.

  • Fallo hepático en un perro tras intoxicación por ingestión de semillas de Cycas revoluta

    C. García, A. Segarra, N. Bedía, et al.
    Clin Vet Peq Anim Vol. 45 - Nº 3 · SEP 2025 · Artículo original referido a un solo caso clínico
  • Pseudoaneurisma venoso de presunto origen yatrogénico causado al realizar una biopsia ósea

    F. Osorio, L. Feo, J. Puig
    Clin Vet Peq Anim Vol. 45 - Nº 1 · MAR 2025 · Artículo original referido a un solo caso clínico
  • Concordancia entre IDEXX SediVue Dx y el cultivo de orina en perros y gatos

    L. Di Filippo, I. Frías, R. Santiago
    Clin Vet Peq Anim Vol. 44 - Nº 1 · MAR 2024 · Artículo original referido a múltiples casos clínicos
  • Inicio
  • Introducción
  • Caso clínico
  • Discusión
  • Bibliografía
Artículo anterior Índice de la revista Artículo siguiente
ANUNCIO
Próximos cursos ATVs Elearning
Índice
Inicio Introducción Caso clínico Discusión Bibliografía
Milbeprazin
ANUNCIO

¿No eres socio de AVEPA y quieres recibir comunicación de las nuevas ediciones en tu correo?

Suscríbete

Suscríbete y te avisaremos cuando publiquemos un nuevo número

Suscribirme

Enlaces rápidos

  • Inicio
  • Último número
  • Archivo
  • Artículos

Información

  • Comité editorial
  • Política de cookies
  • Política de privacidad
  • Términos y condiciones

Contacto

  • info@imaginice.com
  • Envíanos tu artículo
© 2026 Ice Salud Vet SL. Todos los derechos reservados.

Usamos cookies para mejorar tu experiencia. Selecciona cuáles aceptas: