Logo AVEPA

Clínica Veterinaria de Pequeños Animales

Revista oficial de AVEPA

  • Inicio
  • Último número
  • Archivo
  • Artículos
  • Para autores
  • Contacto
Cursos Junio-Septiembre 2026
ANUNCIO

Clínica Veterinaria de Pequeños Animales

Revista oficial de AVEPA

  • Inicio
  • Último número
  • Archivo
  • Artículos
  • Para autores
  • Contacto
Curso Oftalmología 2026
ANUNCIO
Clin Vet Peq Anim Vol. 38 • Nº 4 • diciembre 2018

Angiomatosis vertebral en un gato

Vertebral angiomatosis in a cat

Artículo original referido a un solo caso clínico

A. Martínez

Hospital Veterinario VETSIA. c/ Galileo, 3, 28914 Leganés, Madrid.

I. Mateo

Hospital Veterinario VETSIA. c/ Galileo, 3, 28914 Leganés, Madrid. Hospital Clínico Veterinario. Universidad Alfonso X el Sabio. Av. Universidad, 1, 28691 Villanueva de la Cañada, Madrid.

M. Pumarola

Unitat de Patologia Murina i Comparada. Facultat de Veterinària. Universitat Autònoma de Barcelona. Edifici V, Travessera dels Turons, 08193 Bellaterra, Barcelona.

Contacto: isidro_mateo@yahoo.es
Palabras clave: angiomatosis, malformación vascular, hamartoma, gato.
Keywords: angiomatosis, vascular malformation, hamartoma, cat.

Clin. Vet. Peq. Anim, 2018, 38 (4): 261 - 266

Descargar artículo

Resumen

Se presenta un caso clínico de un gato de cuatro años de edad remitido por paraparesia no ambulatoria de curso progresivo. La utilización de resonancia magnética y mielo-TC permitió la identificación de una lesión osteoproliferativa que afectaba a cuerpo y aspecto ventral del pedículo izquierdo de la vértebra T6. Dado el carácter compresivo de la lesión, se procedió a la descompresión quirúrgica con toma de muestras para su estudio histopatológico, lo que reveló un tejido óseo trabecular con abundante tejido conjuntivo laxo entre las trabéculas y proliferación de células endoteliales que se organizaban formando abundantes estructuras vasculares. El estado neurológico del paciente fue mejorando de manera progresiva y en la actualidad (dos años tras la cirugía) el cuadro clínico permanece estable. La angiomatosis vertebral es infrecuente en gatos pero debe incluirse en el diagnóstico diferencial de pacientes con lesiones osteoproliferativas que afecten a la columna, ya que su resección quirúrgica puede ser curativa

Abstract

A clinical case of a 4-years-old cat referred for progressive non-ambulatory paraparesis is presented. Myelo-CT and magnetic resonance imaging allowed the identification of an osteoproliferative lesion affecting the T6 vertebral body and left pedicle. Given the compressive nature of the lesion, surgical decompression was performed with biopsy. Histopathology revealed a trabecular bone tissue with loose connective tissue surrounded by a proliferation of endothelial cells organized in vascular structures. Neurological status of the patient improved progressively. Today (two years after surgery) the clinical status of the patient remains stable. Vertebral angiomatosis is a rare disease in cats but should be included in the differential diagnosis of patients with osteoproliferative lesions that affect the spine since its surgical resection can be curative.

AVEPA Elearning

La presencia de este logo en un artículo de la revista indica que se publicará un examen sobre el mismo en la plataforma AVEPA Elearning. Su resolución aporta 0,15 créditos dentro del sistema de acreditaciones de especialidades veterinarias de AVEPA.

Introducción

La angiomatosis es una malformación vascular poco frecuente que se caracteriza por la formación de múltiples angiomas (masas no tumorales que forman vasos sanguíneos).[ Leu HJ. Pathomorphology of vascular malformations. Analysis of 310 cases. Int Angiol 1990; 9:147-154. [PubMed] ] Estos angiomas pueden diferenciarse histológicamente de neoplasias vasculares, ya que presentan una buena diferenciación de las poblaciones celulares que conforman las paredes de los vasos sanguíneos neoformados, incluyendo fibras musculares lisas, tejido conjuntivo laxo y endotelio.[ Leu HJ. Pathomorphology of vascular malformations. Analysis of 310 cases. Int Angiol 1990; 9:147-154. [PubMed] ] Además, en la angiomatosis no se aprecian mitosis o proliferación descontrolada de cualquier tipo celular y sus células endoteliales tienen un ciclo celular normal en comparación con los hemangiomas que presentan una proliferación de células endoteliales.[ Leu HJ. Pathomorphology of vascular malformations. Analysis of 310 cases. Int Angiol 1990; 9:147-154. [PubMed] ]

En medicina veterinaria, el término angiomatosis se ha utilizado para describir diversas afecciones, como lesiones vasoproliferativas dérmicas benignas en bovinos jóvenes (angiomatosis bovina cutánea), proliferaciones vasculares en vísceras abdominales y torácicas (hemangioma diseminado) en perros, proliferaciones vasculares multifocales en la dermis y subcutis (angiomatosis cutánea) en perros, gatos y caballos, y nódulos multifocales de numerosos canales vasculares en las meninges (meningoangiomatosis)[ Pumarola M, Martin De Las Mulas J, Vilafranca M, Obach A. Meningioangiomatosis in the brain stem of a dog. J Comp Pathol 1996; 115:197-201. [PubMed] , Lorenzo V, Pumarola M, Muñoz A. Meningioangiomatosis in a dog: magnetic resonance imaging and neuropathological studies. J Small Anim Pract 1998; 39, 486-489. [PubMed] ] y hueso esquelético y extraesquelético en perros.[ Kuroki K, Britt LG, Franklin SP, Henry CJ. Skeletal-extraskeletal angiomatosis in a dog. Vet Pathol 2010;47:944-947. [PubMed] ]

A pesar de tratarse de lesiones de carácter benigno, cuando estas proliferaciones vasculares afectan a los componentes óseos de la columna (denominada, por tanto, angiomatosis vertebral) pueden dar lugar a sintomatología neurológica producida por la compresión de los segmentos medulares afectados.[ Wells MY, Weisbrode SE. Vascular malformation in the thoracic vertebrae of three cats. Vet Pathol 1987; 24:360-361. [PubMed] , Klock PA, Scrivani PV, Barr SC, et al. Vertebral angiomatosis in a cat. Vet Radiol Ultrasound 2001, 42:42-45. [PubMed] , Schur D, Rademacher N, Vasanjee S, McLaughlin L, Gaschen L. Spinal cord compression in a cat due to vertebral angiomatosis. J Feline Med Surg 2010; 12:179-182. [PubMed] , Ricco C, Bouvy B, Gomes E, Cauzinille L. Lumbar vertebral angiomatosis in a cat. Rev Med Vet 2015; 166:332-335. [Rev Med Vet] , Frizzi M, Ottolini N, Spigolon C, Bertolini G. Feline vertebral angiomatosis: two cases. J Feline Med Surg Open Rep. 2017; 3(2):2055116917744127. [PMC] , Meléndez-Lazo A, Ros C, de la Fuente C, et al. What is your diagnosis? Vertebral mass in a cat. Vet Clin Pathol 2017; 46:185-186. [PubMed] ]

Estas proliferaciones vasculares han sido también descritas en dos gatos jóvenes (con afectación de la columna cervical y lumbar) en las que se denominaron hamartomas vertebrales.[ Parkes JD, Kline KL, Riedesel EA, Haynes JS. A vascular hamartoma arising from the cervical spine of a cat. J Feline Med Surg 2009;11:724-727. [PubMed] , Taylor-Brown FE, Lamb CR, Martineau H, Muir C, Beltran E. Imaging diagnosis - imaging and histopathologic characteristics of a vertebral hamartoma in a cat. Vet Radiol Ultrasound 2018; 59:E12-E16. [PubMed] ] Un hamartoma consiste en una proliferación excesiva y desorganizada de células normales y tejidos asociados que son intrínsecos al órgano en el que aparece y se considera una malformación congénita (una definición, por tanto, intercambiable con la de angiomatosis).[ Summers BA, Cummings JF, de Lahunta A. Veterinary neuropathology. Missouri: Mosby-Year Book, 1995:352-355. ] Teniendo esto en cuenta, las angiomatosis vertebrales son también, sensu stricto, hamartomas vertebrales. Radiológica e histológicamente, los hamartomas vertebrales son indiferenciables de las angiomatosis vertebrales y, por este motivo, en el presente artículo se considerarán como una única entidad patológica.

El siguiente caso describe las características clínicas y radiológicas, así como los hallazgos quirúrgicos e histopatológicos que permitieron establecer el diagnóstico de angiomatosis vertebral en un gato Ragdoll de 4 años de edad con un seguimiento clínico-radiológico de dos años.

Caso clínico

Se trata de un gato de raza Ragdoll, macho entero de cuatro años de edad, que seis meses atrás había presentado un episodio de debilidad de miembros pélvicos y reticencia a saltar de dos semanas de duración con respuesta parcial al tratamiento con meloxicam (Metacam 0,5 mg/ml, Boehringer Ingelheim, Madrid).

En el examen físico mostró dolor a la manipulación de la columna torácica. El examen neurológico reveló paraparesia no ambulatoria con reflejos medulares aumentados en miembros pélvicos, lo que fue compatible con una afección focal o difusa de segmentos medulares T3-L3. El diagnóstico diferencial incluyó procesos inflamatorios, neoplásicos, degenerativos y, con menor probabilidad, malformativos. El análisis de sangre no reveló alteraciones significativas y las pruebas serológicas frente al virus de la leucemia e inmunodeficiencia felina fueron negativas.

Las radiografías obtenidas de la columna torácica y lumbar demostraron esclerosis y proliferación ósea en la vértebra T6, con posible afección del canal vertebral (incremento de radiodensidad a nivel de T6) (Fig. 1). Seguidamente se procedió a la realización de una resonancia magnética (RM) de la columna torácica y lumbar en la que se evidenció una lesión que ocupaba el espacio epidural, hipointensa en secuencias T2W e isointensa en secuencias T1W en relación con la sustancia gris medular. Esta lesión manifestaba mínimo realce tras la administración de contraste endovenoso y se originaba a partir del cuerpo vertebral de T6, del que se diferenciaba difícilmente, ocupando el aspecto ventrolateral izquierdo del canal vertebral y produciendo una compresión severa del cordón medular (Fig. 2). Dada la escasa resolución y detalle de las alteraciones óseas se procedió a la realización de una tomografia computarizada (TC) tras la administración de contraste intratecal (mielo-TC) en la que se observaron extensos fenómenos osteoproliferativos centrados en el cuerpo y pedículo izquierdo de T6 que invadían el aspecto ventrolateral izquierdo del canal vertebral induciendo una desviación severa del cordón medular (Fig. 3). La lesión producía un patrón compresivo extradural con atenuación del anillo de contraste. No se evidenciaron signos de reacción perióstica pero sí pequeñas áreas puntiformes radiolúcidas en el hueso neoformado (Fig. 3B). Previamente a la inyección de contraste intratecal se obtuvo una muestra de líquido cefalorraquídeo que no reveló alteraciones ni en el recuento ni en el tipo celular. El diagnóstico radiológico fue el de una lesión ósea focal que ocupaba el espacio epidural, originada a partir del cuerpo de T6 con compromiso medular severo cuyos diagnósticos diferenciales incluyeron osteomielitis, granuloma inflamatorio, neoplasia ósea, neoformación ósea como consecuencia de traumatismo previo o malformación vascular ósea.

<div class=\"Basic-Text-Frame\">
<p>Radiografía lateral de la columna torácica en la que se aprecia una lesión osteoproliferativa que afecta al cuerpo vertebral de T6 con aumento de opacidad en el canal vertebral a este nivel (flechas).</p>
</div>
Figura 1

Radiografía lateral de la columna torácica en la que se aprecia una lesión osteoproliferativa que afecta al cuerpo vertebral de T6 con aumento de opacidad en el canal vertebral a este nivel (flechas).

<p>Imágenes de resonancia magnética ponderada en T2W. (<strong>A</strong>) Imagen sagital. (<strong>B</strong>) Imagen transversal. Se aprecia una masa en continuidad dorsal con el cuerpo de T6 (flecha).</p>
Figura 2

Imágenes de resonancia magnética ponderada en T2W. (A) Imagen sagital. (B) Imagen transversal. Se aprecia una masa en continuidad dorsal con el cuerpo de T6 (flecha).

<p>(<strong>A</strong>) Reconstrucción sagital de la columna torácica. (<strong>B</strong>) Imagen transversal a nivel del cuerpo vertebral de T6 obtenida mediante mielo-TC. (<strong>C</strong>) Imagen transversal a nivel del borde caudal del cuerpo vertebral de T6 obtenida mediante mielo-TC. Se aprecia engrosamiento del cuerpo y pedículo izquierdo de T6 con compromiso del canal vertebral por la lesión epidural hiperatenuante de bordes bien definidos y áreas de hipoatenuación que le confieren un aspecto granulado (flechas en <strong>A</strong> y <strong>B</strong>). Nótese la deformación del cordón medular característica de una lesión epidural (puntas de flechas en <strong>A</strong> y <strong>C</strong>).</p>
Figura 3

(A) Reconstrucción sagital de la columna torácica. (B) Imagen transversal a nivel del cuerpo vertebral de T6 obtenida mediante mielo-TC. (C) Imagen transversal a nivel del borde caudal del cuerpo vertebral de T6 obtenida mediante mielo-TC. Se aprecia engrosamiento del cuerpo y pedículo izquierdo de T6 con compromiso del canal vertebral por la lesión epidural hiperatenuante de bordes bien definidos y áreas de hipoatenuación que le confieren un aspecto granulado (flechas en A y B). Nótese la deformación del cordón medular característica de una lesión epidural (puntas de flechas en A y C).

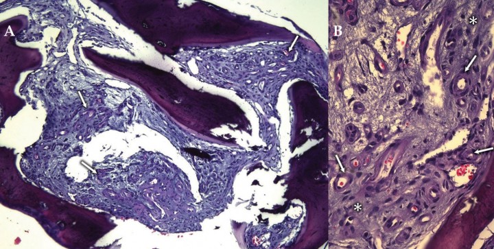
Cinco días después se realizó una hemilaminectomía T5-T7 izquierda para la descompresión del cordón medular. La lámina y pedículos de T6 manifestaban una apariencia rugosa/granulada de consistencia normal. Tras la hemilaminectomía se observó que el tejido óseo invadía el canal vertebral donde no había grasa epidural y el cordón medular aparecía deformado. Se procedió a la retirada del tejido mediante fresado y raspado con gubias y cureta y se procesó una muestra para su estudio histopatológico. Éste reveló la existencia de tejido óseo trabecular con abundante tejido conjuntivo laxo entre las trabéculas que mostraban una escasa cantidad de células hematopoyéticas. Entre las fibras de colágeno se apreció una proliferación de células endoteliales organizadas formando abundantes estructuras vasculares de conformación tortuosa, ramificada o compacta (Fig. 4). Teniendo en cuenta los hallazgos anatomopatológicos el diagnóstico definitivo fue el de angiomatosis vertebral.

<div class=\"Basic-Text-Frame\">
<p>(<strong>A</strong>) Imagen microscópica en la que se aprecia tejido óseo trabecular con escasa población hematopoyética que ha sido sustituida por tejido conjuntivo laxo que contiene estructuras vasculares de diferente calibre (flechas). (<strong>B</strong>) Imagen microscópica en la que se aprecian capilares con endotelio reactivo (morfología fusiforme, núcleo hipercromático y cromatina densa) (flechas) rodeados de fibras musculares lisas en un estroma conjuntivo basófilo (asterisco). Hematoxilina-Eosina (<strong>A</strong> y <strong>B</strong>) . Aumentos: 20x (<strong>A</strong>) y 200x (<strong>B</strong>).</p>
</div>
Figura 4

(A) Imagen microscópica en la que se aprecia tejido óseo trabecular con escasa población hematopoyética que ha sido sustituida por tejido conjuntivo laxo que contiene estructuras vasculares de diferente calibre (flechas). (B) Imagen microscópica en la que se aprecian capilares con endotelio reactivo (morfología fusiforme, núcleo hipercromático y cromatina densa) (flechas) rodeados de fibras musculares lisas en un estroma conjuntivo basófilo (asterisco). Hematoxilina-Eosina (A y B) . Aumentos: 20x (A) y 200x (B).

Se mantuvo al paciente con tratamiento con meloxicam 0,05 mg/kg/24 horas (Metacam 0,5 mg/ml, Boehringer Ingelheim, Madrid), gabapentina 10 mg/kg/8 horas (formulación magistral) y cefalexina 20 mg/kg/12 horas (formulación magistral) durante una semana. La recuperación del paciente fue progresiva hasta alcanzar una recuperación casi completa de la función motora (con persistencia de paraparesia ambulatoria leve y mínima ataxia propioceptiva) un mes después de la intervención.

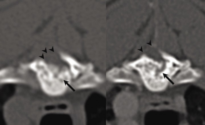
A los seis meses y a los dos años después del procedimiento quirúrgico se procedió a la realización de una TC para reevaluación del estado de la lesión. En estos estudios se ha evidenciado el carácter progresivo de la lesión ósea hiperatenuante con un compromiso creciente del canal vertebral (Fig. 5). Sin embargo, dado que el paciente no ha manifestado un deterioro de su estado neurológico no se ha optado por la reintervención quirúrgica.

<div class=\"Basic-Text-Frame\">
<p>Imagen transversal obtenida mediante TC. (<strong>A</strong>) 6 meses y (<strong>B</strong>) 2 años después de la cirugía. Se aprecia un remanente de tejido óseo trabeculado con áreas punteadas de hipoatenuación originado a partir del cuerpo de T6 (flechas) así como el defecto creado por la hemilaminectomía (puntas de flecha). Nótese el carácter levemente progresivo, evidenciado por un mayor tamaño de la lesión en la imagen <strong>B</strong>.</p>
</div>
Figura 5

Imagen transversal obtenida mediante TC. (A) 6 meses y (B) 2 años después de la cirugía. Se aprecia un remanente de tejido óseo trabeculado con áreas punteadas de hipoatenuación originado a partir del cuerpo de T6 (flechas) así como el defecto creado por la hemilaminectomía (puntas de flecha). Nótese el carácter levemente progresivo, evidenciado por un mayor tamaño de la lesión en la imagen B.

Discusión

Las malformaciones vasculares se clasifican hemodinámicamente en dos grupos: alto flujo (arteriales) o bajo flujo (capilares, venosas, linfáticas o combinadas).[ Schur D, Rademacher N, Vasanjee S, McLaughlin L, Gaschen L. Spinal cord compression in a cat due to vertebral angiomatosis. J Feline Med Surg 2010; 12:179-182. [PubMed] ] Cuando la malformación afecta a hueso se producen diversos cambios óseos que pueden ser caracterizados como distorsión, destrucción, hipertrofia, hipoplasia, cambios de densidad (esclerosis o mineralización) o afección primaria de los vasos dentro del hueso.[ Boyd JB, Mulliken JB, Kaban LB, Upton J, Murray JE. Skeletal changes associated with vascular malformations. Plas Reconstr Surg 1984; 74:789-795. [PubMed] ] Las lesiones destructivas encontradas en los gatos en los que se ha descrito la angiomatosis vertebral se corresponden típicamente con las encontradas en las alteraciones arteriales de alto flujo.[ Wells MY, Weisbrode SE. Vascular malformation in the thoracic vertebrae of three cats. Vet Pathol 1987; 24:360-361. [PubMed] , Klock PA, Scrivani PV, Barr SC, et al. Vertebral angiomatosis in a cat. Vet Radiol Ultrasound 2001, 42:42-45. [PubMed] , Schur D, Rademacher N, Vasanjee S, McLaughlin L, Gaschen L. Spinal cord compression in a cat due to vertebral angiomatosis. J Feline Med Surg 2010; 12:179-182. [PubMed] , Ricco C, Bouvy B, Gomes E, Cauzinille L. Lumbar vertebral angiomatosis in a cat. Rev Med Vet 2015; 166:332-335. [Rev Med Vet] , Frizzi M, Ottolini N, Spigolon C, Bertolini G. Feline vertebral angiomatosis: two cases. J Feline Med Surg Open Rep. 2017; 3(2):2055116917744127. [PMC] , Meléndez-Lazo A, Ros C, de la Fuente C, et al. What is your diagnosis? Vertebral mass in a cat. Vet Clin Pathol 2017; 46:185-186. [PubMed] , Parkes JD, Kline KL, Riedesel EA, Haynes JS. A vascular hamartoma arising from the cervical spine of a cat. J Feline Med Surg 2009;11:724-727. [PubMed] , Taylor-Brown FE, Lamb CR, Martineau H, Muir C, Beltran E. Imaging diagnosis - imaging and histopathologic characteristics of a vertebral hamartoma in a cat. Vet Radiol Ultrasound 2018; 59:E12-E16. [PubMed] ] Cabe destacar que tanto los hamartomas como las angiomatosis vertebrales consisten en una malformación vascular proliferativa asociada a las vértebras, sin que los diferentes autores que las han descrito hayan establecido una diferenciación histológica, clínica o radiológica entre ambos procesos.[ Wells MY, Weisbrode SE. Vascular malformation in the thoracic vertebrae of three cats. Vet Pathol 1987; 24:360-361. [PubMed] , Klock PA, Scrivani PV, Barr SC, et al. Vertebral angiomatosis in a cat. Vet Radiol Ultrasound 2001, 42:42-45. [PubMed] , Schur D, Rademacher N, Vasanjee S, McLaughlin L, Gaschen L. Spinal cord compression in a cat due to vertebral angiomatosis. J Feline Med Surg 2010; 12:179-182. [PubMed] , Ricco C, Bouvy B, Gomes E, Cauzinille L. Lumbar vertebral angiomatosis in a cat. Rev Med Vet 2015; 166:332-335. [Rev Med Vet] , Frizzi M, Ottolini N, Spigolon C, Bertolini G. Feline vertebral angiomatosis: two cases. J Feline Med Surg Open Rep. 2017; 3(2):2055116917744127. [PMC] , Meléndez-Lazo A, Ros C, de la Fuente C, et al. What is your diagnosis? Vertebral mass in a cat. Vet Clin Pathol 2017; 46:185-186. [PubMed] , Parkes JD, Kline KL, Riedesel EA, Haynes JS. A vascular hamartoma arising from the cervical spine of a cat. J Feline Med Surg 2009;11:724-727. [PubMed] , Taylor-Brown FE, Lamb CR, Martineau H, Muir C, Beltran E. Imaging diagnosis - imaging and histopathologic characteristics of a vertebral hamartoma in a cat. Vet Radiol Ultrasound 2018; 59:E12-E16. [PubMed] ] Sin embargo, los términos han sido utilizados de manera independiente, sin referencias cruzadas entre los diferentes artículos que los describen, dando la falsa impresión de que se trata de procesos patológicos diferenciados.

La angiomatosis o hamartoma vertebral ha sido descrita previamente en 11 gatos, que tenían una edad comprendida entre uno y tres años y medio.[ Wells MY, Weisbrode SE. Vascular malformation in the thoracic vertebrae of three cats. Vet Pathol 1987; 24:360-361. [PubMed] , Klock PA, Scrivani PV, Barr SC, et al. Vertebral angiomatosis in a cat. Vet Radiol Ultrasound 2001, 42:42-45. [PubMed] , Schur D, Rademacher N, Vasanjee S, McLaughlin L, Gaschen L. Spinal cord compression in a cat due to vertebral angiomatosis. J Feline Med Surg 2010; 12:179-182. [PubMed] , Ricco C, Bouvy B, Gomes E, Cauzinille L. Lumbar vertebral angiomatosis in a cat. Rev Med Vet 2015; 166:332-335. [Rev Med Vet] , Frizzi M, Ottolini N, Spigolon C, Bertolini G. Feline vertebral angiomatosis: two cases. J Feline Med Surg Open Rep. 2017; 3(2):2055116917744127. [PMC] , Meléndez-Lazo A, Ros C, de la Fuente C, et al. What is your diagnosis? Vertebral mass in a cat. Vet Clin Pathol 2017; 46:185-186. [PubMed] , Parkes JD, Kline KL, Riedesel EA, Haynes JS. A vascular hamartoma arising from the cervical spine of a cat. J Feline Med Surg 2009;11:724-727. [PubMed] , Taylor-Brown FE, Lamb CR, Martineau H, Muir C, Beltran E. Imaging diagnosis - imaging and histopathologic characteristics of a vertebral hamartoma in a cat. Vet Radiol Ultrasound 2018; 59:E12-E16. [PubMed] ] La mayor parte de los pacientes mostraban dolor o reticencia a la manipulación de la columna de larga duración como principal signo clínico. El cuadro clínico progresó lentamente a tetra o paraparesia derivada del compromiso medular producido por la lesión originada en el pedículo, la lámina o el cuerpo vertebral de una vértebra cervical (1 caso), torácica (8 casos) o lumbar (2 casos) (Tabla 1). El diagnóstico se basó en los hallazgos radiológicos (radiografía, mielografía, TC, mielo-TC o RM) y confirmación histopatológica.[ Wells MY, Weisbrode SE. Vascular malformation in the thoracic vertebrae of three cats. Vet Pathol 1987; 24:360-361. [PubMed] , Klock PA, Scrivani PV, Barr SC, et al. Vertebral angiomatosis in a cat. Vet Radiol Ultrasound 2001, 42:42-45. [PubMed] , Schur D, Rademacher N, Vasanjee S, McLaughlin L, Gaschen L. Spinal cord compression in a cat due to vertebral angiomatosis. J Feline Med Surg 2010; 12:179-182. [PubMed] , Ricco C, Bouvy B, Gomes E, Cauzinille L. Lumbar vertebral angiomatosis in a cat. Rev Med Vet 2015; 166:332-335. [Rev Med Vet] , Frizzi M, Ottolini N, Spigolon C, Bertolini G. Feline vertebral angiomatosis: two cases. J Feline Med Surg Open Rep. 2017; 3(2):2055116917744127. [PMC] , Meléndez-Lazo A, Ros C, de la Fuente C, et al. What is your diagnosis? Vertebral mass in a cat. Vet Clin Pathol 2017; 46:185-186. [PubMed] , Parkes JD, Kline KL, Riedesel EA, Haynes JS. A vascular hamartoma arising from the cervical spine of a cat. J Feline Med Surg 2009;11:724-727. [PubMed] , Taylor-Brown FE, Lamb CR, Martineau H, Muir C, Beltran E. Imaging diagnosis - imaging and histopathologic characteristics of a vertebral hamartoma in a cat. Vet Radiol Ultrasound 2018; 59:E12-E16. [PubMed] ] Las características radiológicas de esta patología consisten en la presencia de una esclerosis mal definida con neoformación ósea que puede afectar el canal vertebral.[ Wells MY, Weisbrode SE. Vascular malformation in the thoracic vertebrae of three cats. Vet Pathol 1987; 24:360-361. [PubMed] , Klock PA, Scrivani PV, Barr SC, et al. Vertebral angiomatosis in a cat. Vet Radiol Ultrasound 2001, 42:42-45. [PubMed] , Schur D, Rademacher N, Vasanjee S, McLaughlin L, Gaschen L. Spinal cord compression in a cat due to vertebral angiomatosis. J Feline Med Surg 2010; 12:179-182. [PubMed] , Ricco C, Bouvy B, Gomes E, Cauzinille L. Lumbar vertebral angiomatosis in a cat. Rev Med Vet 2015; 166:332-335. [Rev Med Vet] , Frizzi M, Ottolini N, Spigolon C, Bertolini G. Feline vertebral angiomatosis: two cases. J Feline Med Surg Open Rep. 2017; 3(2):2055116917744127. [PMC] , Meléndez-Lazo A, Ros C, de la Fuente C, et al. What is your diagnosis? Vertebral mass in a cat. Vet Clin Pathol 2017; 46:185-186. [PubMed] , Parkes JD, Kline KL, Riedesel EA, Haynes JS. A vascular hamartoma arising from the cervical spine of a cat. J Feline Med Surg 2009;11:724-727. [PubMed] , Taylor-Brown FE, Lamb CR, Martineau H, Muir C, Beltran E. Imaging diagnosis - imaging and histopathologic characteristics of a vertebral hamartoma in a cat. Vet Radiol Ultrasound 2018; 59:E12-E16. [PubMed] ] En ocasiones el hueso manifiesta pequeñas áreas punteadas de radiolucidez, lo que puede sugerir un fenómeno de carácter agresivo tal como neoplasias óseas u osteomielitis.[ Wells MY, Weisbrode SE. Vascular malformation in the thoracic vertebrae of three cats. Vet Pathol 1987; 24:360-361. [PubMed] , Ricco C, Bouvy B, Gomes E, Cauzinille L. Lumbar vertebral angiomatosis in a cat. Rev Med Vet 2015; 166:332-335. [Rev Med Vet] , Meléndez-Lazo A, Ros C, de la Fuente C, et al. What is your diagnosis? Vertebral mass in a cat. Vet Clin Pathol 2017; 46:185-186. [PubMed] ] Es importante destacar que el estudio histopatológico no ha demostrado fenómenos de lisis o procesos inflamatorios asociados a la angiomatosis vertebral en gatos.

<p>Rx: Radiografía; TC: Tomografía Computarizada; mielo-TC: TC tras la administración de contraste intratecal; RM: Resonancia Magnética.</p>
Tabla 1

Rx: Radiografía; TC: Tomografía Computarizada; mielo-TC: TC tras la administración de contraste intratecal; RM: Resonancia Magnética.

La mielografía, principal método diagnóstico utilizado en los casos descritos previamente, demostró la existencia de una lesión extradural asociada a los cambios óseos, lo que permitió precisar el grado de compromiso medular.[ Wells MY, Weisbrode SE. Vascular malformation in the thoracic vertebrae of three cats. Vet Pathol 1987; 24:360-361. [PubMed] , Klock PA, Scrivani PV, Barr SC, et al. Vertebral angiomatosis in a cat. Vet Radiol Ultrasound 2001, 42:42-45. [PubMed] , Schur D, Rademacher N, Vasanjee S, McLaughlin L, Gaschen L. Spinal cord compression in a cat due to vertebral angiomatosis. J Feline Med Surg 2010; 12:179-182. [PubMed] , Ricco C, Bouvy B, Gomes E, Cauzinille L. Lumbar vertebral angiomatosis in a cat. Rev Med Vet 2015; 166:332-335. [Rev Med Vet] ] Sin embargo, fueron la TC y la mielo-TC las pruebas que mayor información aportaron sobre los cambios óseos del tejido afectado, que consistieron en una proliferación ósea con una atenuación mayor del tejido óseo normal, de borde irregular, que en ocasiones presentaba un punteado radiolúcido.[ Klock PA, Scrivani PV, Barr SC, et al. Vertebral angiomatosis in a cat. Vet Radiol Ultrasound 2001, 42:42-45. [PubMed] , Schur D, Rademacher N, Vasanjee S, McLaughlin L, Gaschen L. Spinal cord compression in a cat due to vertebral angiomatosis. J Feline Med Surg 2010; 12:179-182. [PubMed] , Ricco C, Bouvy B, Gomes E, Cauzinille L. Lumbar vertebral angiomatosis in a cat. Rev Med Vet 2015; 166:332-335. [Rev Med Vet] , Frizzi M, Ottolini N, Spigolon C, Bertolini G. Feline vertebral angiomatosis: two cases. J Feline Med Surg Open Rep. 2017; 3(2):2055116917744127. [PMC] , Meléndez-Lazo A, Ros C, de la Fuente C, et al. What is your diagnosis? Vertebral mass in a cat. Vet Clin Pathol 2017; 46:185-186. [PubMed] , Parkes JD, Kline KL, Riedesel EA, Haynes JS. A vascular hamartoma arising from the cervical spine of a cat. J Feline Med Surg 2009;11:724-727. [PubMed] , Taylor-Brown FE, Lamb CR, Martineau H, Muir C, Beltran E. Imaging diagnosis - imaging and histopathologic characteristics of a vertebral hamartoma in a cat. Vet Radiol Ultrasound 2018; 59:E12-E16. [PubMed] ] En RM, las lesiones epidurales manifestaron señal hiperintensa en las secuencias T2W y T1W, con leve realce tras la administración de contraste endovenoso, lo que sugiere un componente graso o hematopoyético (médula ósea).[ Ricco C, Bouvy B, Gomes E, Cauzinille L. Lumbar vertebral angiomatosis in a cat. Rev Med Vet 2015; 166:332-335. [Rev Med Vet] , Frizzi M, Ottolini N, Spigolon C, Bertolini G. Feline vertebral angiomatosis: two cases. J Feline Med Surg Open Rep. 2017; 3(2):2055116917744127. [PMC] , Taylor-Brown FE, Lamb CR, Martineau H, Muir C, Beltran E. Imaging diagnosis - imaging and histopathologic characteristics of a vertebral hamartoma in a cat. Vet Radiol Ultrasound 2018; 59:E12-E16. [PubMed] , Mai W: Magnetic resonance imaging and computed tomography features of canine and feline spinal cord disease. En: Thrall DE (ed): Textbook of Veterinary Diagnostic Radiology, St Louis, Missouri, ELSEVIER Saunders, 2013; 194-222. ] Lamentablemente, no se ha descrito la imagen de la lesión en las secuencias de saturación de grasa. En el caso presentado aquí, las secuencias T2W y T1W mostraron un componente fundamentalmente hipointenso con mínimo realce tras la administración de contraste endovenoso. Esto puede sugerir que el componente, en lugar de ser graso, consiste en tejido óseo mineralizado.[ Mai W: Magnetic resonance imaging and computed tomography features of canine and feline spinal cord disease. En: Thrall DE (ed): Textbook of Veterinary Diagnostic Radiology, St Louis, Missouri, ELSEVIER Saunders, 2013; 194-222. ]

El resto de hallazgos encontrados en la radiografía, mielografía y mielo-TC de este paciente son comparables a los descritos previamente. Los diagnósticos diferenciales a considerar en un paciente con estos hallazgos radiológicos son fundamentalmente procesos inflamatorios y/o neoplásicos. El linfosarcoma, que puede afectar al cuerpo vertebral en gatos jóvenes infectados por el virus de la leucemia felina, no produce frecuentemente lisis ósea, sino que se manifiesta habitualmente como una masa epidural más o menos infiltrativa.[ Lane SB, Kornegay JN, Duncan JR, Oliver JE Jr. Feline spinal lymphosarcoma: a retrospective evaluation of 23 cats. J Vet Intern Med. 1994; 8:99-104. [PubMed] ] El osteosarcoma, que es el tumor óseo vertebral primario más común en gatos, es muy infrecuente a edad temprana y suele manifestar mayor agresividad radiológica y, menos frecuentemente, reacción perióstica.[ Marioni-Henry K, Vite CH, Newton AL, Van Winkle TJ. Prevalence of diseases of the spinal cord of cats. J Vet Intern Med 2004; 18:851-858. [PubMed] , Kessler M, Tassani-Prell M, von Bomhard D, et al. Feline osteosarcoma: Epidemiologic, clinical and radiographic findings in 78 cases (1990-1995). Tierarztl Prax 1997; 25:275-283. [PMC] ] Las osteomielitis vertebrales producidas por bacterias u hongos son extremadamente infrecuentes en gatos y suelen ir acompañadas de alteraciones en el tejido paravertebral, lo que no sucede en pacientes con angiomatosis.[ Thomas WB. Diskospondylitis and other vertebral infections. Vet Clin North Am Small Anim Pract 2000; 30:169-182. [PubMed] ]

El paciente descrito en el presente caso ha mostrado una recuperación excelente sin recidiva de signos clínicos o radiológicos tras dos años de seguimiento. Este buen resultado tras la descompresión quirúrgica ha sido también citado en la bibliografía anterior. Sin embargo, ningún artículo previo ha descrito la evolución radiológica de la angiomatosis vertebral tras dos años de seguimiento. En este caso se confirma el carácter lentamente progresivo de la lesión. Por este motivo, y teniendo en cuenta la imposibilidad de un adecuado margen de resección, se debe considerar que los pacientes afectados podrían volver a mostrar sintomatología derivada del compromiso medular en un periodo de tiempo presumiblemente largo.

Se debe incluir la angiomatosis o hamartoma vertebral como un diagnóstico diferencial en gatos jóvenes y adultos/jóvenes con hiperestesia de columna y/o paresia en los que las pruebas radiológicas muestren fenómenos de osteoproliferación, especialmente si se ve afectada una única vértebra torácica. A pesar de que las técnicas de diagnóstico por imagen pueden sugerir la presencia de cambios osteolíticos o se hallen signos de proliferación ósea de carácter agresivo, la angiomatosis vertebral es una alteración benigna que debe ser incluida en el diagnóstico diferencial, ya que el diagnóstico definitivo de estas lesiones requiere el estudio histopatológico. Una incorrecta interpretación de los hallazgos radiológicos podría dar lugar a eutanasias innecesarias pues el pronóstico tras la resección quirúrgica de la lesión parece ser favorable. No obstante, se necesitan un mayor número de casos y un seguimiento a más largo plazo dado que se considera probable una recidiva por la imposibilidad de una resección con márgenes adecuados, especialmente cuando se ve afectado el cuerpo vertebral.

El presente caso clínico fue presentado en el XXXIV Congreso VetMadrid organizado por AMVAC durante los días 16-18 de marzo de 2017 en Madrid, España.

 

Fuente de financiación: esta investigación no se realizó con fondos comerciales, públicos o del sector privado.

Conflicto de intereses: los autores declaran que no existe conflicto de intereses en los datos publicados.

Bibliografía

  1. [1] Leu HJ. Pathomorphology of vascular malformations. Analysis of 310 cases. Int Angiol 1990; 9:147-154. [PubMed]
  2. [2] Pumarola M, Martin De Las Mulas J, Vilafranca M, Obach A. Meningioangiomatosis in the brain stem of a dog. J Comp Pathol 1996; 115:197-201. [PubMed]
  3. [3] Lorenzo V, Pumarola M, Muñoz A. Meningioangiomatosis in a dog: magnetic resonance imaging and neuropathological studies. J Small Anim Pract 1998; 39, 486-489. [PubMed]
  4. [4] Kuroki K, Britt LG, Franklin SP, Henry CJ. Skeletal-extraskeletal angiomatosis in a dog. Vet Pathol 2010;47:944-947. [PubMed]
  5. [5] Wells MY, Weisbrode SE. Vascular malformation in the thoracic vertebrae of three cats. Vet Pathol 1987; 24:360-361. [PubMed]
  6. [6] Klock PA, Scrivani PV, Barr SC, et al. Vertebral angiomatosis in a cat. Vet Radiol Ultrasound 2001, 42:42-45. [PubMed]
  7. [7] Schur D, Rademacher N, Vasanjee S, McLaughlin L, Gaschen L. Spinal cord compression in a cat due to vertebral angiomatosis. J Feline Med Surg 2010; 12:179-182. [PubMed]
  8. [8] Ricco C, Bouvy B, Gomes E, Cauzinille L. Lumbar vertebral angiomatosis in a cat. Rev Med Vet 2015; 166:332-335. [Rev Med Vet]
  9. [9] Frizzi M, Ottolini N, Spigolon C, Bertolini G. Feline vertebral angiomatosis: two cases. J Feline Med Surg Open Rep. 2017; 3(2):2055116917744127. [PMC]
  10. [10] Meléndez-Lazo A, Ros C, de la Fuente C, et al. What is your diagnosis? Vertebral mass in a cat. Vet Clin Pathol 2017; 46:185-186. [PubMed]
  11. [11] Parkes JD, Kline KL, Riedesel EA, Haynes JS. A vascular hamartoma arising from the cervical spine of a cat. J Feline Med Surg 2009;11:724-727. [PubMed]
  12. [12] Taylor-Brown FE, Lamb CR, Martineau H, Muir C, Beltran E. Imaging diagnosis - imaging and histopathologic characteristics of a vertebral hamartoma in a cat. Vet Radiol Ultrasound 2018; 59:E12-E16. [PubMed]
  13. [13] Summers BA, Cummings JF, de Lahunta A. Veterinary neuropathology. Missouri: Mosby-Year Book, 1995:352-355.
  14. [14] Boyd JB, Mulliken JB, Kaban LB, Upton J, Murray JE. Skeletal changes associated with vascular malformations. Plas Reconstr Surg 1984; 74:789-795. [PubMed]
  15. [15] Mai W: Magnetic resonance imaging and computed tomography features of canine and feline spinal cord disease. En: Thrall DE (ed): Textbook of Veterinary Diagnostic Radiology, St Louis, Missouri, ELSEVIER Saunders, 2013; 194-222.
  16. [16] Lane SB, Kornegay JN, Duncan JR, Oliver JE Jr. Feline spinal lymphosarcoma: a retrospective evaluation of 23 cats. J Vet Intern Med. 1994; 8:99-104. [PubMed]
  17. [17] Marioni-Henry K, Vite CH, Newton AL, Van Winkle TJ. Prevalence of diseases of the spinal cord of cats. J Vet Intern Med 2004; 18:851-858. [PubMed]
  18. [18] Kessler M, Tassani-Prell M, von Bomhard D, et al. Feline osteosarcoma: Epidemiologic, clinical and radiographic findings in 78 cases (1990-1995). Tierarztl Prax 1997; 25:275-283. [PMC]
  19. [19] Thomas WB. Diskospondylitis and other vertebral infections. Vet Clin North Am Small Anim Pract 2000; 30:169-182. [PubMed]

Artículos recomendados

Estas recomendaciones se ofrecen de forma automática.

  • Concordancia entre IDEXX SediVue Dx y el cultivo de orina en perros y gatos

    L. Di Filippo, I. Frías, R. Santiago
    Clin Vet Peq Anim Vol. 44 - Nº 1 · MAR 2024 · Artículo original referido a múltiples casos clínicos
  • Mortalidad anestésica en gatos en España. Resultados del proyecto COMPLRED

    J. I. Redondo-García, R. Marti-Scharfhausen Sánchez, I. Bilbao-Castro, et al.
    Clin Vet Peq Anim Vol. 44 - Nº 1 · MAR 2024 · Artículo original referido a múltiples casos clínicos
  • Mieloma múltiple en un gato con afectación extramedular de múltiples órganos abdominales

    L. Magen-Moreno, D. Borràs-Murcia, G. Doria-Torra
    Clin Vet Peq Anim Vol. 41 - Nº 2 · JUN 2021 · Artículo original referido a un solo caso clínico
  • Inicio
  • Introducción
  • Caso clínico
  • Discusión
  • Bibliografía
Artículo anterior Índice de la revista Artículo siguiente
ANUNCIO
Próximos cursos ATVs Elearning
Índice
Inicio Introducción Caso clínico Discusión Bibliografía
Purina Calming Care
ANUNCIO

¿No eres socio de AVEPA y quieres recibir comunicación de las nuevas ediciones en tu correo?

Suscríbete

Suscríbete y te avisaremos cuando publiquemos un nuevo número

Suscribirme

Enlaces rápidos

  • Inicio
  • Último número
  • Archivo
  • Artículos

Información

  • Comité editorial
  • Política de cookies
  • Política de privacidad
  • Términos y condiciones

Contacto

  • info@imaginice.com
  • Envíanos tu artículo
© 2026 Ice Salud Vet SL. Todos los derechos reservados.

Usamos cookies para mejorar tu experiencia. Selecciona cuáles aceptas: