Logo AVEPA

Clínica Veterinaria de Pequeños Animales

Revista oficial de AVEPA

  • Inicio
  • Último número
  • Archivo
  • Artículos
  • Para autores
  • Contacto
Cursos Junio-Septiembre 2026
ANUNCIO

Clínica Veterinaria de Pequeños Animales

Revista oficial de AVEPA

  • Inicio
  • Último número
  • Archivo
  • Artículos
  • Para autores
  • Contacto
Curso Oftalmología 2026
ANUNCIO
Clin Vet Peq Anim Vol. 40 • Nº 3 • septiembre 2020

Galería de imágenes de Traumatología

Galería de imágenes

Alberto Ginés

Louisiana State University, School of Veterinary Medicine, Baton Rouge, LA 70803, EE.UU.

Otros artículos de Alberto Ginés:
  • La especialización en Veterinaria

    Clin Vet Peq Anim Vol. 41 • Nº 4 • diciembre 2021
Contacto: agines1@lsu.edu
Descargar artículo

Detalles en el diagnóstico de las fracturas de las líneas de crecimiento

Las fracturas que afectan a la línea de crecimiento de los huesos largos se clasifican según el criterio Salter-Harris en 5 tipos (Figura 1). Estas fracturas, por regla general, requieren de tratamiento quirúrgico, por lo que es fundamental diagnosticarlas a tiempo. Adicionalmente pueden provocar un cierre fisario prematuro, causando deformaciones del hueso afectado.

<p>Clasificación Salter-Harris de las fracturas fisarias. A) Tipo I: la fractura que discurre a través de la línea de crecimiento. B) Tipo II: la fractura se extiende desde la línea de crecimiento a la metáfisis. C) Tipo III: la fractura se extiende desde la línea de crecimiento a la epífisis. D) Tipo IV: la fractura discurre a través de la metáfisis, línea de crecimiento y epífisis. E) Tipo V: la fractura conlleva una compresión de la línea de crecimiento. Los tipos I y II son fracturas extraarticulares y los tipos III y IV son articulares.</p>
Figura 1

Clasificación Salter-Harris de las fracturas fisarias. A) Tipo I: la fractura que discurre a través de la línea de crecimiento. B) Tipo II: la fractura se extiende desde la línea de crecimiento a la metáfisis. C) Tipo III: la fractura se extiende desde la línea de crecimiento a la epífisis. D) Tipo IV: la fractura discurre a través de la metáfisis, línea de crecimiento y epífisis. E) Tipo V: la fractura conlleva una compresión de la línea de crecimiento. Los tipos I y II son fracturas extraarticulares y los tipos III y IV son articulares.

Todo estudio radiológico debe estar compuesto de al menos dos proyecciones ortogonales, aunque en algunos casos sea necesario realizar proyecciones adicionales.

Las consecuencias de no diagnosticar una fractura de este tipo suele conllevar problemas serios de locomoción.

<p>A la hora de diagnosticar fracturas de la línea de crecimiento es fundamental conocer la anatomía normal de estos animales inmaduros durante su crecimiento. Quizás las líneas de crecimiento de la tibia proximal sean la que más dudas generan ante una posible fractura. Estas son las radiografías normales de un perro de 4,5 meses de edad en las que se pueden apreciar las líneas de crecimiento óseas. En la proyección mediolateral (Fig. 2A) la zona de crecimiento de la tibia proximal tiene varios centros de osificación, la tuberosidad tibial (asterisco) y la meseta tibial (flecha). También se observa la línea de crecimiento del fémur distal con su forma en “W”. En la proyección craneocaudal (Fig. 2B) son visibles la línea de crecimiento de la meseta tibial, peroné y fémur.</p>
Figura 2

A la hora de diagnosticar fracturas de la línea de crecimiento es fundamental conocer la anatomía normal de estos animales inmaduros durante su crecimiento. Quizás las líneas de crecimiento de la tibia proximal sean la que más dudas generan ante una posible fractura. Estas son las radiografías normales de un perro de 4,5 meses de edad en las que se pueden apreciar las líneas de crecimiento óseas. En la proyección mediolateral (Fig. 2A) la zona de crecimiento de la tibia proximal tiene varios centros de osificación, la tuberosidad tibial (asterisco) y la meseta tibial (flecha). También se observa la línea de crecimiento del fémur distal con su forma en “W”. En la proyección craneocaudal (Fig. 2B) son visibles la línea de crecimiento de la meseta tibial, peroné y fémur.

<p>Imágenes radiográficas de un cachorro de 6 meses con una fractura de la tuberosidad tibial (TT). Véase el desplazamiento proximal de la tuberosidad tibial (Fig. 3A) como consecuencia de la tracción del ligamento rotuliano. Es muy importante evaluar la proyección craneocaudal (Fig. 3B) para un completo estudio radiológico. Si se compara con el miembro derecho se podría apreciar una localización de la tuberosidad tibial más proximal, así como un desplazamiento proximal de la rótula. Su tratamiento es generalmente quirúrgico con la estabilización de la TT con agujas de Kirschner y un cerclaje (banda de tensión). En animales muy jóvenes puede ser necesaria la retirada de los implantes para evitar un cierre fisario prematuro y desplazamiento distal de la TT.</p>
Figura 3

Imágenes radiográficas de un cachorro de 6 meses con una fractura de la tuberosidad tibial (TT). Véase el desplazamiento proximal de la tuberosidad tibial (Fig. 3A) como consecuencia de la tracción del ligamento rotuliano. Es muy importante evaluar la proyección craneocaudal (Fig. 3B) para un completo estudio radiológico. Si se compara con el miembro derecho se podría apreciar una localización de la tuberosidad tibial más proximal, así como un desplazamiento proximal de la rótula. Su tratamiento es generalmente quirúrgico con la estabilización de la TT con agujas de Kirschner y un cerclaje (banda de tensión). En animales muy jóvenes puede ser necesaria la retirada de los implantes para evitar un cierre fisario prematuro y desplazamiento distal de la TT.

<p>Fractura a nivel de la línea de crecimiento de la tibia proximal en un cachorro de 4,5 meses de edad. En la proyección mediolateral (Fig. 4A) se puede observar que el fragmento proximal de la fractura lo componen la meseta tibial y la tuberosidad tibial. No existe línea de fractura entre la meseta tibial y la tuberosidad tibial. Nótese el desplazamiento caudal de la meseta tibial en relación al resto de la tibia. En la proyección craneocaudal (Fig. 4B) se observa un incremento de la opacidad de los tejidos blandos a nivel de la línea de crecimiento, aunque no existe desplazamiento de la fractura medio-lateralmente.</p>
Figura 4

Fractura a nivel de la línea de crecimiento de la tibia proximal en un cachorro de 4,5 meses de edad. En la proyección mediolateral (Fig. 4A) se puede observar que el fragmento proximal de la fractura lo componen la meseta tibial y la tuberosidad tibial. No existe línea de fractura entre la meseta tibial y la tuberosidad tibial. Nótese el desplazamiento caudal de la meseta tibial en relación al resto de la tibia. En la proyección craneocaudal (Fig. 4B) se observa un incremento de la opacidad de los tejidos blandos a nivel de la línea de crecimiento, aunque no existe desplazamiento de la fractura medio-lateralmente.

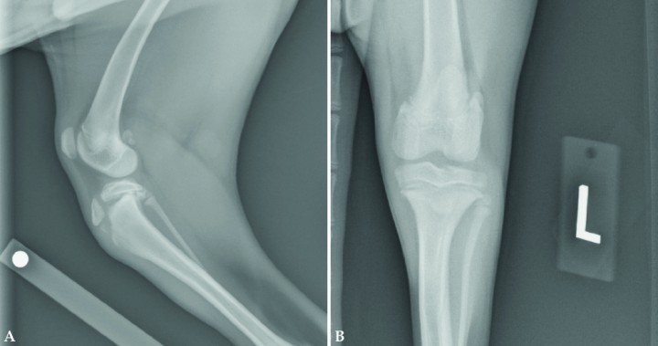
<p>Cachorro de 5,5 meses con una fractura Salter-Harris de tipo II del fémur distal. Este tipo de fracturas suele conllevar un desplazamiento caudal del fémur distal (Fig. 5A) comprometiendo la posible extensión de la rodilla. En la proyección craneocaudal (Fig. 5B) se puede apreciar que la fractura discurre en gran parte por la metáfisis del fémur distal.</p>
Figura 5

Cachorro de 5,5 meses con una fractura Salter-Harris de tipo II del fémur distal. Este tipo de fracturas suele conllevar un desplazamiento caudal del fémur distal (Fig. 5A) comprometiendo la posible extensión de la rodilla. En la proyección craneocaudal (Fig. 5B) se puede apreciar que la fractura discurre en gran parte por la metáfisis del fémur distal.

<p>Radiografías de codo en un cachorro de 3 meses de edad. En la proyección mediolateral (Fig. 6A) podría resultar difícil diagnosticar la fractura, aunque se aprecian elementos que deberían generar sospecha de que no es normal, como la presencia de un posible fragmento óseo superpuesto con la cortical caudal del húmero distal (flecha). Si el estudio radiológico no se completa con una proyección craneocaudal (Fig. 6B) es posible cometer el error de no diagnosticar esta fractura Salter-Harris de tipo IV de la parte lateral del cóndilo humeral.</p>
Figura 6

Radiografías de codo en un cachorro de 3 meses de edad. En la proyección mediolateral (Fig. 6A) podría resultar difícil diagnosticar la fractura, aunque se aprecian elementos que deberían generar sospecha de que no es normal, como la presencia de un posible fragmento óseo superpuesto con la cortical caudal del húmero distal (flecha). Si el estudio radiológico no se completa con una proyección craneocaudal (Fig. 6B) es posible cometer el error de no diagnosticar esta fractura Salter-Harris de tipo IV de la parte lateral del cóndilo humeral.

<p>Radiografías de codo en un cachorro de 3,5 meses de edad. En este caso, el diagnóstico de una posible fractura de la parte lateral del cóndilo humeral puede no parecer tan obvio como en el caso anterior. Si nos fijamos bien, en la proyección mediolateral (Fig. 7A) se puede observar cómo la cortical caudal del húmero distal presenta una pérdida de continuidad (flecha). De igual forma, en la proyección craneocaudal (Fig. 7B) se puede observar una discontinuidad de la cortical lateral (flecha), así como una separación entre la parte medial y lateral del cóndilo humeral (flecha discontinua).</p>
Figura 7

Radiografías de codo en un cachorro de 3,5 meses de edad. En este caso, el diagnóstico de una posible fractura de la parte lateral del cóndilo humeral puede no parecer tan obvio como en el caso anterior. Si nos fijamos bien, en la proyección mediolateral (Fig. 7A) se puede observar cómo la cortical caudal del húmero distal presenta una pérdida de continuidad (flecha). De igual forma, en la proyección craneocaudal (Fig. 7B) se puede observar una discontinuidad de la cortical lateral (flecha), así como una separación entre la parte medial y lateral del cóndilo humeral (flecha discontinua).

<p>Cuando no se realiza el diagnóstico de las fracturas de las líneas de crecimiento a tiempo, estas pueden tener consecuencias graves, incluso cuando las fracturas afectan a una prominencia ósea como el trocánter mayor del fémur. Radiografías de un cachorro de 6 meses de edad que presenta una no-unión de una fractura de la línea de crecimiento del trocánter mayor. En la proyección mediolateral del fémur (Fig. 8A) se observa esclerosis en la zona de la línea de crecimiento del trocánter mayor y signos de no-unión. En la proyección craneocaudal del fémur (Fig. 8B) se observa una no-unión y cambios degenerativos severos de la articulación de la cadera; estos son debidos a laxitud articular exacerbada por la pérdida de soporte muscular.</p>
Figura 8

Cuando no se realiza el diagnóstico de las fracturas de las líneas de crecimiento a tiempo, estas pueden tener consecuencias graves, incluso cuando las fracturas afectan a una prominencia ósea como el trocánter mayor del fémur. Radiografías de un cachorro de 6 meses de edad que presenta una no-unión de una fractura de la línea de crecimiento del trocánter mayor. En la proyección mediolateral del fémur (Fig. 8A) se observa esclerosis en la zona de la línea de crecimiento del trocánter mayor y signos de no-unión. En la proyección craneocaudal del fémur (Fig. 8B) se observa una no-unión y cambios degenerativos severos de la articulación de la cadera; estos son debidos a laxitud articular exacerbada por la pérdida de soporte muscular.

<p>Comparar radiografías de un miembro con el contralateral es una buena forma de facilitar el diagnóstico de algunas fracturas, aunque podría ser más difícil cuando la fractura es bilateral. Estas radiografías son de un cachorro de 10 meses de edad al que no se le diagnosticó una fractura bilateral de la cabeza femoral. La proyección mediolateral de la pelvis (Fig. 9A) no nos ayudaría en el diagnóstico de esta condición, pero sí para descartar otras patologías. En las proyecciones craneocaudales de cada fémur (Fig. 9B-9C) puede parecer a priori que no existe ningún problema, pero si se observan con detenimiento, se visualiza una radiopacidad en el cuello femoral dando una imagen de una estructura circular que engloba la cabeza femoral (flecha). Esta imagen se debe a la rotación de las cabezas femorales debido a la fractura de la línea de crecimiento. Para mejorar la visualización se realiza una radiografía ventrodorsal con los miembros pelvianos en posición de rana (Fig. 9D). En esta proyección se puede apreciar cómo existe un desplazamiento craneal de la metáfisis en relación con la epífisis (flechas).</p>
Figura 9

Comparar radiografías de un miembro con el contralateral es una buena forma de facilitar el diagnóstico de algunas fracturas, aunque podría ser más difícil cuando la fractura es bilateral. Estas radiografías son de un cachorro de 10 meses de edad al que no se le diagnosticó una fractura bilateral de la cabeza femoral. La proyección mediolateral de la pelvis (Fig. 9A) no nos ayudaría en el diagnóstico de esta condición, pero sí para descartar otras patologías. En las proyecciones craneocaudales de cada fémur (Fig. 9B-9C) puede parecer a priori que no existe ningún problema, pero si se observan con detenimiento, se visualiza una radiopacidad en el cuello femoral dando una imagen de una estructura circular que engloba la cabeza femoral (flecha). Esta imagen se debe a la rotación de las cabezas femorales debido a la fractura de la línea de crecimiento. Para mejorar la visualización se realiza una radiografía ventrodorsal con los miembros pelvianos en posición de rana (Fig. 9D). En esta proyección se puede apreciar cómo existe un desplazamiento craneal de la metáfisis en relación con la epífisis (flechas).

Artículos recomendados

Estas recomendaciones se ofrecen de forma automática.

  • Galería de imágenes – Cirugía reconstructiva
    Cristina Rizkallal Santana.
    Clin Vet Peq Anim Vol. 46 - Nº 1 · MAR 2026 · Galería de imágenes
  • Galería de imágenes – Anestesia y analgesia
    A. Meneses-García, T. Mangas-Ballester, J. Viscasillas, et al.
    Clin Vet Peq Anim Vol. 45 - Nº 4 · DIC 2025 · Galería de imágenes
  • La especialización en Veterinaria

    Alberto Ginés
    Clin Vet Peq Anim Vol. 41 - Nº 4 · DIC 2021 · Editorial
  • Inicio
  • Detalles en el diagnóstico de las fracturas de las líneas de crecimiento
Artículo anterior Índice de la revista Artículo siguiente
ANUNCIO
Próximos cursos ATVs Elearning
Índice
Inicio Detalles en el diagnóstico de las fracturas de las líneas de crecimiento
Purina Calming Care
ANUNCIO

¿No eres socio de AVEPA y quieres recibir comunicación de las nuevas ediciones en tu correo?

Suscríbete

Suscríbete y te avisaremos cuando publiquemos un nuevo número

Suscribirme

Enlaces rápidos

  • Inicio
  • Último número
  • Archivo
  • Artículos

Información

  • Comité editorial
  • Política de cookies
  • Política de privacidad
  • Términos y condiciones

Contacto

  • info@imaginice.com
  • Envíanos tu artículo
© 2026 Ice Salud Vet SL. Todos los derechos reservados.

Usamos cookies para mejorar tu experiencia. Selecciona cuáles aceptas: