Logo AVEPA

Clínica Veterinaria de Pequeños Animales

Revista oficial de AVEPA

  • Inicio
  • Último número
  • Archivo
  • Artículos
  • Para autores
  • Contacto
Cursos Junio-Septiembre 2026
ANUNCIO

Clínica Veterinaria de Pequeños Animales

Revista oficial de AVEPA

  • Inicio
  • Último número
  • Archivo
  • Artículos
  • Para autores
  • Contacto
Curso Oftalmología 2026
ANUNCIO
Clin Vet Peq Anim Vol. 40 • Nº 3 • septiembre 2020

¿Cuál es tu diagnóstico?

¿Cuál es tu diagnóstico?

A. Agut

Hospital Clínico Veterinario. Departamento de Medicina y Cirugía Animal. Universidad de Murcia

Otros artículos de A. Agut:
  • ¿Cuál es tu diagnóstico?
    Clin Vet Peq Anim Vol. 35 • Nº 3 • septiembre 2015
  • ¿Cuál es tu diagnóstico?
    Clin Vet Peq Anim Vol. 35 • Nº 4 • diciembre 2015
  • Hallazgos ecográficos, clínicos y laboratoriales del mucocele biliar en el perro: 37 casos
    Clin Vet Peq Anim Vol. 36 • Nº 4 • diciembre 2016
  • Caso clínico de Cirugía

    Clin Vet Peq Anim Vol. 37 • Nº 1 • marzo 2017

B. Mena-Moros

Hospital Clínico Veterinario. Universidad de Murcia. Campus de Espinardo. 30100 Espinardo (Murcia)

M. Soler

Departamento de Medicina Veterinaria y Cirugía Animal. Universidad de Murcia. Campus Universitario de Espinardo. 30100 Murcia.

M.T. Escobar

Departamento de Medicina Veterinaria y Cirugía Animal. Universidad de Murcia. Campus Universitario de Espinardo. 30100 Murcia.

J. Carrillo

Hospital Clínico Veterinario. Departamento de Medicina Veterinaria y Cirugía Animal. Universidad de Murcia. Campus Universitario de Espinardo. 30100 Murcia.

Contacto: beatrizmena1910@um.es
Descargar artículo

Historia clínica

Se presentó en consulta de urgencias un gato Común Europeo, macho castrado, de 10 años y 6,5 kg de peso. El motivo de la consulta fue que había presentado tres vómitos biliosos desde la noche anterior, hiporexia, apatía y habían encontrado un fragmento de hilo en las heces. En la exploración física se apreció una ligera deshidratación y dolor a la palpación abdominal. No se detectaron alteraciones relevantes en las analíticas sanguíneas. Se realizaron radiografías de la cavidad abdominal en proyecciones lateral derecha (Fig. 1A) y ventrodorsal (Fig. 1B).

<p>Radiografías de la cavidad abdominal de un gato Común Europeo de 10 años. (<strong>A</strong>) Proyección lateral derecha. (<strong>B</strong>) Proyección ventrodorsal.</p>
Figura 1

Radiografías de la cavidad abdominal de un gato Común Europeo de 10 años. (A) Proyección lateral derecha. (B) Proyección ventrodorsal.

Descripción de las alteraciones radiográficas observadas

Se observó gran parte de las asas de intestino delgado agrupadas en la zona ventral del abdomen medio (Fig. 2A) y en el lado derecho (Fig. 2B). En su interior se visualizaron pequeñas burbujas de gas distribuidas en forma geométrica. En el resto de las estructuras evaluadas no se apreciaron alteraciones radiológicas evidentes.

<p>Mismas radiografías que en la Figura 1. (<strong>A</strong>) Se observa gran parte de las asas de intestino delgado agrupadas en el abdomen medio (flechas blancas) en la zona ventral. (<strong>B</strong>) Asas agrupadas en el lado derecho (flechas blancas). En su interior se visualizan pequeñas burbujas de gas distribuidas de forma geométrica (flechas negras).</p>
Figura 2

Mismas radiografías que en la Figura 1. (A) Se observa gran parte de las asas de intestino delgado agrupadas en el abdomen medio (flechas blancas) en la zona ventral. (B) Asas agrupadas en el lado derecho (flechas blancas). En su interior se visualizan pequeñas burbujas de gas distribuidas de forma geométrica (flechas negras).

¿Cuáles son los diagnósticos diferenciales compatibles con los signos radiográficos observados?

La acumulación de gas de forma anormal en el interior de intestino delgado, con las burbujas adoptando la morfología de un patrón geométrico, es altamente sugestivo de la plicación del intestino delgado compatible con un cuerpo extraño lineal.

¿Qué otras pruebas recomendarías para alcanzar un diagnóstico definitivo?

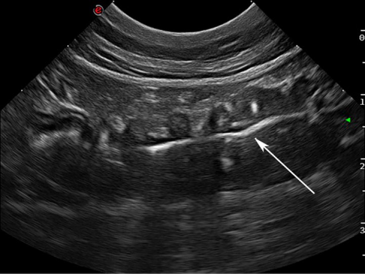
Se procedió a realizar una ecografía de abdomen donde se observó un tramo del yeyuno plicado, que mantenía la estratificación de las capas y en cuyo interior se visualizó una estructura hiperecogénica que proyectaba una sombra acústica tenue (Fig. 3; Vídeo 1). No se apreciaron alteraciones ecográficas evidentes en el resto de los órganos abdominales evaluados, ni tampoco se observaron anomalías a nivel de peritoneo u omento, ni presencia de linfadenopatías.

<p>Imagen ecográfica de una asa de intestino delgado. Se visualiza el intestino plicado y en el interior una línea hiperecogénica consistente con un cuerpo extraño lineal (flecha blanca).</p>
Figura 3

Imagen ecográfica de una asa de intestino delgado. Se visualiza el intestino plicado y en el interior una línea hiperecogénica consistente con un cuerpo extraño lineal (flecha blanca).

Video 1
Cuerpo extraño lineal

Según los hallazgos radiológicos y ecográficos encontrados, el diagnóstico definitivo fue el de un cuerpo extraño lineal en intestino delgado.

El tratamiento recomendado fue la extracción del cuerpo extraño mediante una laparotomía media. No fue necesario realizar una enterotomía, ya que se consiguió resolver manualmente la obstrucción y plicatura, desplazando el cuerpo extraño hacia el colon y liberando de esta forma yeyuno e íleon. Pasadas 24 horas tras la cirugía el paciente defecó un pequeño fragmento de hilo.

Comentario

La ingestión de cuerpos extraños es una patología bastante frecuente en la clínica de pequeños animales y los cuerpos extraños lineales son relativamente comunes en los gatos.[ Griffin, S. Feline abdominal ultrasonography: What’s normal? What’s abnormal? J Feline Med Surg 2019; 21: 1047-1060. [PubMed] ]

Los signos clínicos asociados a este proceso son principalmente vómitos, diarreas, dolor abdominal y deshidratación. En casos más graves en los que exista perforación intestinal, pueden presentar peritonitis y shock.[ Hunt G. B. Linear Foreign Bodies. World Small Animal Veterinary Association World Congress Proceedings 2011, Jeju, Korea, 14-17 de Octubre. ]

Una correcta exploración física es fundamental para detectar en ocasiones los cuerpos extraños lineales, ya que muchas veces, y sobre todo en gatos, los hilos se quedan enganchados alrededor de la base de la lengua y podemos detectarlos rápidamente.[ Hunt G. B. Linear Foreign Bodies. World Small Animal Veterinary Association World Congress Proceedings 2011, Jeju, Korea, 14-17 de Octubre. , Agut A, Reyes A, Soler M. Signos radiográficos de la obstrucción intestinal mecánica. Canis et felis 2015; 136: 34-56. ]

El tratamiento recomendado es la enterotomía simple o múltiple dado que, la mayor parte de las veces, la plicación intestinal no permite extraer fácilmente el hilo y corremos el riesgo de provocar una perforación intestinal.[ Hunt G. B. Linear Foreign Bodies. World Small Animal Veterinary Association World Congress Proceedings 2011, Jeju, Korea, 14-17 de Octubre. ] Sin embargo, en nuestro caso se pudo desplazar manualmente el hilo hasta el colon, por lo que no se requirió en este caso la enterotomía, aunque esto no suele ser el procedimiento habitual.

En los pacientes que presentan una obstrucción intestinal mecánica debido a cuerpos extraños de cualquier tipo, tanto lineales como no lineales, las técnicas de diagnóstico por imagen son una herramienta fundamental para el diagnóstico.[ Agut A, Reyes A, Soler M. Signos radiográficos de la obstrucción intestinal mecánica. Canis et felis 2015; 136: 34-56. ] La técnica de imagen más utilizada en primer lugar suele ser la radiografía de abdomen, visualizándose en el caso de los cuerpos extraños lineales el patrón de plicación de las asas intestinales,[ Agut A, Reyes A, Soler M. Signos radiográficos de la obstrucción intestinal mecánica. Canis et felis 2015; 136: 34-56. , Riedesel A.R. Abdominal cavity: canine and feline. En Thrall D.E.(autor): Textbook of veterinary diagnostic radiology. 7ª edición. Missouri: Elsevier; 2017; 939 – 947. ] aunque en muchas ocasiones no llega a ser diagnóstica y necesitamos recurrir a la ecografía o a técnicas de contraste para obtener un diagnóstico más fiable.[ Agut A, Reyes A, Soler M. Signos radiográficos de la obstrucción intestinal mecánica. Canis et felis 2015; 136: 34-56. ] Actualmente, la ecografía suele ser la técnica de elección ante la realización de una técnica de contraste. En nuestro caso optamos por realizar una ecografía, visualizando el cuerpo extraño lineal como una estructura hiperecogénica en el interior de las asas intestinales afectadas con una sombra acústica tenue, aunque en ocasiones, dependiendo de las características del cuerpo extraño, puede que no se aprecie sombra acústica.[ Griffin, S. Feline abdominal ultrasonography: What’s normal? What’s abnormal? J Feline Med Surg 2019; 21: 1047-1060. [PubMed] ]

Se han realizado estudios comparando la sensibilidad y especificidad de la radiografía y la ecografía para el diagnóstico de la obstrucción intestinal mecánica, siendo la ecografía una técnica mucho más sensible que la radiografía para la detección de cuerpos extraños.[ Tyrrell D, Beck C. Survey of the use of radiography vs. ultrasonography in the investigation of gastrointestinal foreign bodies in small animals. Vet Radiol Ultrasound 2006; 47: 404-408. [PubMed] ] En el presente caso ambas técnicas fueron útiles para el diagnóstico del cuerpo extraño lineal. 

También se ha descrito la tomografía computarizada como una técnica de imagen prometedora para el diagnóstico de obstrucciones gastrointestinales, ya que puede ayudarnos de una forma más clara a localizar la obstrucción al evitar la superposición de estructuras, como ocurre en radiografía, o la presencia de artefactos como la reverberación del gas intestinal, como ocurre en ecografía. Aun así, sigue sin ser la primera técnica de elección debido a las limitaciones que presenta como son el coste económico y el requerimiento de una anestesia general.[ Drost WT, Green EM, Zekas LJ, Aarnes TK, Su L, Habing GG. Comparison of computed tomography and abdominal radiography for detection of canine mechanical intestinal obstruction. Vet Radiol Ultrasound 2016; 57: 366-375. [PubMed] ]

Una de las complicaciones más graves que se podría producir a consecuencia de un cuerpo extraño lineal sería una perforación intestinal y, en ese caso, se produciría un empeoramiento agudo del paciente. Radiológicamente podríamos apreciar una pérdida de visualización de las serosas como signo radiológico de una peritonitis focal y, en ocasiones, podría aparecer gas libre.[ Agut A, Reyes A, Soler M. Signos radiográficos de la obstrucción intestinal mecánica. Canis et felis 2015; 136: 34-56. , Riedesel A.R. Abdominal cavity: canine and feline. En Thrall D.E.(autor): Textbook of veterinary diagnostic radiology. 7ª edición. Missouri: Elsevier; 2017; 939 – 947. ] Ecográficamente se podría observar la grasa adyacente al asa de intestino afectada hiperecogénica, líquido libre ecogénico y/o gas libre. También se podría visualizar una alteración de la estratificación de las capas del asa afectada y una disminución de los movimientos peristálticos en la zona de la perforación.[ Griffin, S. Feline abdominal ultrasonography: What’s normal? What’s abnormal? J Feline Med Surg 2019; 21: 1047-1060. [PubMed] ]

En conclusión, las técnicas de imagen fueron en este caso una herramienta imprescindible para alcanzar un diagnóstico rápido y certero, observándose el patrón de intestino plicado tanto en la radiografía como en la ecografía.

 

Fuente de financiación: este trabajo no se ha realizado con fondos comerciales, públicos o del sector privado.

Conflicto de intereses: los autores declaran que no existe conflicto de intereses.

Bibliografía

  1. [1] Griffin, S. Feline abdominal ultrasonography: What’s normal? What’s abnormal? J Feline Med Surg 2019; 21: 1047-1060. [PubMed]
  2. [2] Hunt G. B. Linear Foreign Bodies. World Small Animal Veterinary Association World Congress Proceedings 2011, Jeju, Korea, 14-17 de Octubre.
  3. [3] Agut A, Reyes A, Soler M. Signos radiográficos de la obstrucción intestinal mecánica. Canis et felis 2015; 136: 34-56.
  4. [4] Riedesel A.R. Abdominal cavity: canine and feline. En Thrall D.E.(autor): Textbook of veterinary diagnostic radiology. 7ª edición. Missouri: Elsevier; 2017; 939 – 947.
  5. [5] Tyrrell D, Beck C. Survey of the use of radiography vs. ultrasonography in the investigation of gastrointestinal foreign bodies in small animals. Vet Radiol Ultrasound 2006; 47: 404-408. [PubMed]
  6. [6] Drost WT, Green EM, Zekas LJ, Aarnes TK, Su L, Habing GG. Comparison of computed tomography and abdominal radiography for detection of canine mechanical intestinal obstruction. Vet Radiol Ultrasound 2016; 57: 366-375. [PubMed]

Artículos recomendados

Estas recomendaciones se ofrecen de forma automática.

  • Caso clínico de Cirugía

    A. Agut, J. D. Carrillo, M. Escobar, et al.
    Clin Vet Peq Anim Vol. 37 - Nº 1 · MAR 2017 · Caso Clínico de...
  • Hallazgos ecográficos, clínicos y laboratoriales del mucocele biliar en el perro: 37 casos
    M. Soler, A. Agut, A. Reyes, et al.
    Clin Vet Peq Anim Vol. 36 - Nº 4 · DIC 2016 · Artículo original referido a múltiples casos clínicos
  • ¿Cuál es tu diagnóstico?
    M. Soler, A. Agut, A. Reyes, et al.
    Clin Vet Peq Anim Vol. 35 - Nº 4 · DIC 2015 · ¿Cuál es tu diagnóstico?
  • Inicio
  • Historia clínica
  • Descripción de las alteraciones radiográficas observadas
  • ¿Cuáles son los diagnósticos diferenciales compatibles con los signos radiográficos observados?
  • ¿Qué otras pruebas recomendarías para alcanzar un diagnóstico definitivo?
  • Comentario
  • Bibliografía
Artículo anterior Índice de la revista Artículo siguiente
ANUNCIO
Próximos cursos ATVs Elearning
Índice
Inicio Historia clínica Descripción de las alteraciones radiográficas observadas ¿Cuáles son los diagnósticos diferenciales compatibles con los signos radiográficos observados? ¿Qué otras pruebas recomendarías para alcanzar un diagnóstico definitivo? Comentario Bibliografía
Virbac - Movoflex
ANUNCIO

¿No eres socio de AVEPA y quieres recibir comunicación de las nuevas ediciones en tu correo?

Suscríbete

Suscríbete y te avisaremos cuando publiquemos un nuevo número

Suscribirme

Enlaces rápidos

  • Inicio
  • Último número
  • Archivo
  • Artículos

Información

  • Comité editorial
  • Política de cookies
  • Política de privacidad
  • Términos y condiciones

Contacto

  • info@imaginice.com
  • Envíanos tu artículo
© 2026 Ice Salud Vet SL. Todos los derechos reservados.

Usamos cookies para mejorar tu experiencia. Selecciona cuáles aceptas: