Logo AVEPA

Clínica Veterinaria de Pequeños Animales

Revista oficial de AVEPA

  • Inicio
  • Último número
  • Archivo
  • Artículos
  • Para autores
  • Contacto
Oferta 3+1
ANUNCIO

Clínica Veterinaria de Pequeños Animales

Revista oficial de AVEPA

  • Inicio
  • Último número
  • Archivo
  • Artículos
  • Para autores
  • Contacto
Curso Fluidoterapia
ANUNCIO
Clin Vet Peq Anim Vol. 42 • Nº 3 • septiembre 2022

¿Cuál es tu diagnóstico?

¿Cual es tu diagnóstico?

A. Díaz-González

Hospital Clínico Veterinario. Facultad de Veterinaria de la Universidad de Extremadura. Av. de la Universidad s/n. 10004 Cáceres.

R. Barrera-Chacón

Hospital Clínico Veterinario. Facultad de Veterinaria de la Universidad de Extremadura. Av. de la Universidad s/n. 10004 Cáceres.

J. Jiménez-Fragoso

Hospital Clínico Veterinario. Facultad de Veterinaria de la Universidad de Extremadura. Av. de la Universidad s/n. 10004 Cáceres.

A. Gutiérrez-Villalba

Hospital Clínico Veterinario. Facultad de Veterinaria de la Universidad de Extremadura. Av. de la Universidad s/n. 10004 Cáceres.

J.I. Cristóbal-Verdejo

Hospital Clínico Veterinario. Facultad de Veterinaria de la Universidad de Extremadura. Av. de la Universidad s/n. 10004 Cáceres.

F.J. Duque-Carrasco

Hospital Clínico Veterinario. Facultad de Veterinaria de la Universidad de Extremadura. Av. de la Universidad s/n. 10004 Cáceres.

A.B. García-Ibáñez

Hospital Clínico Veterinario. Facultad de Veterinaria de la Universidad de Extremadura. Av. de la Universidad s/n. 10004 Cáceres.

P. Nicolás-Barceló

Hospital Clínico Veterinario. Facultad de Veterinaria de la Universidad de Extremadura. Av. de la Universidad s/n. 10004 Cáceres.

Contacto: albadiazglez@gmail.com
Descargar artículo

Historia clínica

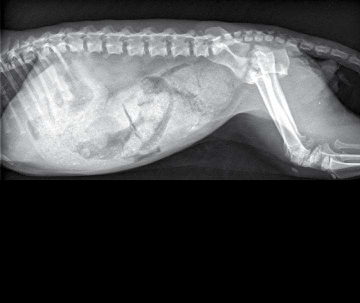
Se presenta en consulta un gato macho, entero, común Europeo, de 1 año de edad, con anorexia y vómitos de 3 días de evolución, además de estreñimiento y apatía desde el nacimiento. En la exploración física general se evidenció a la palpación dolor abdominal y contenido de consistencia compacta en abdomen caudal, ptialismo, retención de dientes deciduos, enanismo desproporcionado, baja condición corporal (2/5) y aumento de la persistencia del pliegue cutáneo. Las alteraciones observadas en la bioquímica sanguínea fueron hipertrigliceridemia (114 mg/dl; rango de referencia: 20-60 mg/dl), hipercolesterolemia (294 mg/dl; rango de referencia: 64-229 mg/dl), hiponatremia (145 mEq/l; rango de referencia: 149-163 mEq/l) e hipocalemia (3,3 mEq/l; rango de referencia: 4,10-5,40 mEq/l). En la hematología pudo observarse una leve leucocitosis debida a neutrofilia (15,31 x 103/µl; rango de referencia: 2,30-10,29 x 103/µl). Se realizaron radiografías de la cavidad abdominal en las proyecciones lateral derecha y ventrodorsal (Fig. 1).

<p>Radiografías de abdomen de un gato común Europeo de 1 año de edad. (<strong>A</strong>) Proyección lateral derecha. (<strong>B</strong>) Proyección ventrodorsal.</p>
Figura 1

Radiografías de abdomen de un gato común Europeo de 1 año de edad. (A) Proyección lateral derecha. (B) Proyección ventrodorsal.

Describe las alteraciones radiográficas observadas

Las radiografías muestran una imagen compatible con megacolon y retención fecal grave ocupando gran parte del abdomen. Se observa retraso en el cierre de los cartílagos de crecimiento vertebrales, además las epífisis vertebrales se encuentran disminuidas de tamaño y con menor grado de osificación. Puede apreciarse disgenesia epifisaria de los cóndilos femorales y tibiales, hipoplasia de la tuberosidad tibial y de la rótula y cierre incompleto de la pelvis (Fig. 2).

<p>Mismas radiografías que en la Figura 1. Imagen compatible con megacolon y retención fecal grave ocupando gran parte del abdomen (flechas rojas). Se observa retraso en el cierre de los cartílagos de crecimiento vertebrales y las epífisis vertebrales se encuentran disminuidas de tamaño y con menor grado de osificación (flechas azules). Puede apreciarse disgenesia epifisaria de los cóndilos femorales y tibiales (flecha morada), hipoplasia de la tuberosidad tibial y de la rótula (flecha verde) y cierre incompleto de la pelvis (flecha amarilla).</p>
Figura 2

Mismas radiografías que en la Figura 1. Imagen compatible con megacolon y retención fecal grave ocupando gran parte del abdomen (flechas rojas). Se observa retraso en el cierre de los cartílagos de crecimiento vertebrales y las epífisis vertebrales se encuentran disminuidas de tamaño y con menor grado de osificación (flechas azules). Puede apreciarse disgenesia epifisaria de los cóndilos femorales y tibiales (flecha morada), hipoplasia de la tuberosidad tibial y de la rótula (flecha verde) y cierre incompleto de la pelvis (flecha amarilla).

¿Qué diagnósticos diferenciales se realizarán en base a estos signos radiográficos?

Los diagnósticos diferenciales para un gato en base a los hallazgos radiológicos relacionados con el megacolon incluyen megacolon idiopático; secundario a patologías neurológicas como el Síndrome de Disautonomía Felina; patologías obstructivas ocasionadas por fracturas de pelvis, cuerpos extraños, neoplasias o atresia anal; dieta inadecuada o enfermedades endocrinas como hipotiroidismo o hiposomatotropismo.[ Robert WB: Megacolon in the cat. Vet Clin Small Anim 2002;32: 901-915. [pubMed] ]

En cuanto al cierre incompleto de las placas de crecimiento y el enanismo desproporcionado se incluyen diagnósticos diferenciales como desequilibrios nutricionales, castración temprana, shunt portosistémico, hipotiroidismo congénito e hiposomatotropismo.[ Iturriaga MP, Cocio JA, Barrs VR: Cluster of cases of congenital feline goitrous hypothyroidism in a single hospital. J Small Anim Pract 2020; 61: 696-703. [pubMed] ]

¿Es necesario realizar otras técnicas de diagnóstico por imagen o pruebas para alcanzar el diagnóstico definitivo?

En este caso el diagnóstico definitivo no se alcanzó únicamente con el examen radiográfico. Si bien la ecografía no es una técnica definitiva para el diagnóstico de este proceso, debería considerarse para descartar otras enfermedades que cursen con la sintomatología descrita. La ecografía de abdomen descartó una imagen compatible con shunt portosistémico (microhepatía, disminución de la visibilidad de vasos portales, urolitiasis y ascitis),[ D’Anjou M, Penninck, Cornejo L, Pibarot P: Ultrasonographic diagnosis of portosystemic shunting in dogs and cats. Vet Radiol Ultrasound 2004; 45(5): 424-437. [pubMed] ] además de posibles neoplasias o cuerpos extraños que pudieran ser causa de obstrucción. También podría considerarse la ecografía de la glándula tiroides, ya que se ha descrito la presencia de bocio en algunos gatos hipotiroideos.[ Iturriaga MP, Cocio JA, Barrs VR: Cluster of cases of congenital feline goitrous hypothyroidism in a single hospital. J Small Anim Pract 2020; 61: 696-703. [pubMed] ] No obstante, a pesar de ser una técnica útil para la evaluación anatómica de la glándula, no aporta información sobre su funcionalidad.[ Bojanic K, Acke E, Jones BR: Congenital hypothyroidism of dogs and cats: a review. N Z Vet J 2011; 59 (3): 115 -122. [pubMed] ] En este paciente la palpación no evidenció la presencia de masas tiroideas, por lo que esta prueba no se llevó a cabo, lo que no descartó por completo la enfermedad.

La Tomografía Computarizada (TC) es una herramienta adecuada y más sensible para evaluar la presencia de masas, cuerpos extraños o fracturas mal osificadas.

Se descartó el hiposomatotropismo de manera indirecta, ya que los niveles de somatomedina C (IGF-1) en sangre no estaban disminuidos (Tabla 1). 

<p>T<sub>4</sub>: Tiroxina T<sub>4</sub>; TSH: Hormona Estimulante del Tiroides; IGF-1: Somatomedina C. En negrita aparecen los valores fuera de rango</p>
Tabla 1

T4: Tiroxina T4; TSH: Hormona Estimulante del Tiroides; IGF-1: Somatomedina C. En negrita aparecen los valores fuera de rango

El resto de diagnósticos diferenciales (causas anatómicas, dietéticas o neurológicas) se excluyeron mediante la anamnesis y el examen físico y neurológico.

Comentario

Dado que uno de los posibles diagnósticos diferenciales tanto para la presencia de megacolon como para el cierre incompleto de las placas de crecimiento en un animal de 1 año de edad es una enfermedad endocrina como el hipotiroidismo congénito,[ Robert WB: Megacolon in the cat. Vet Clin Small Anim 2002;32: 901-915. [pubMed] , Greco DS: Diagnosis of congenital and adult-onset hypothyroidism in cats. Clin Tech Small Anim Pract 2006; 21: 40-44. [pubMed] ] las pruebas complementarias realizadas en este caso fueron la medida en sangre de la concentración de T4 y TSH (Tabla 1). En base a la disminución de T4 se diagnosticó el hipotiroidismo, ya que los niveles elevados de TSH no confirman el diagnóstico,[ Ettinger SJ, Feldman EC. Textbook of Veterinary Internal Medicine. 7th Edition, 2010. Saunders Elsevier. ] además de que actualmente no existe TSH específica felina.

El hipotiroidismo congénito felino es uno de los trastornos endocrinos menos comunes en esta especie, apareciendo aproximadamente en 1 de cada 4000 gatos.[ Bojanic K, Acke E, Jones BR: Congenital hypothyroidism of dogs and cats: a review. N Z Vet J 2011; 59 (3): 115 -122. [pubMed] ] Los principales signos clínicos descritos son enanismo desproporcionado, letargia, constipación (con o sin megacolon), retención de dientes deciduos y anomalías esqueléticas como la disgenesia epifisaria. Los primeros signos de crecimiento anormal suelen aparecer a las 8 semanas de edad.[ Robert WB: Megacolon in the cat. Vet Clin Small Anim 2002;32: 901-915. [pubMed] ]

Los hallazgos laboratoriales descritos en felinos con esta patología son hipercolesterolemia, hiponatremia, hipercalcemia, anemia leve, azotemia y proteinuria e hiperparatiroidismo secundario a la enfermedad renal.[ Bojanic K, Acke E, Jones BR: Congenital hypothyroidism of dogs and cats: a review. N Z Vet J 2011; 59 (3): 115 -122. [pubMed] ] En el presente paciente se halló hipercolesterolemia, debido a la disminución del metabolismo hepático y a la disminución de la excreción fecal de colesterol,[ Greco DS: Diagnosis of congenital and adult-onset hypothyroidism in cats. Clin Tech Small Anim Pract 2006; 21: 40-44. [pubMed] ] además de leve hiponatremia. 

El tratamiento de elección es la levotiroxina sódica, a una dosis inicial de 20 µg/kg de peso corporal una vez al día. El seguimiento se realiza mediante controles rutinarios de hormonas tiroideas y una respuesta clínica favorable.[ Greco DS: Diagnosis of congenital and adult-onset hypothyroidism in cats. Clin Tech Small Anim Pract 2006; 21: 40-44. [pubMed] ] En el presente caso se realizó el análisis de T4 libre para el seguimiento, ya que esta hormona se encuentra menos influenciada por factores no tiroideos.[ Ettinger SJ, Feldman EC. Textbook of Veterinary Internal Medicine. 7th Edition, 2010. Saunders Elsevier. ]

Un diagnóstico temprano y un adecuado tratamiento con levotiroxina podrían revertir los principales signos clínicos y mejorar el desarrollo esquelético, aunque pueden permanecer algunas deformaciones musculoesqueléticas.[  Lim CK, Rosa CT, de Witt Y, Schoeman JP: Congenital hypothyroidism and concurrent renal insufficiency in a kitten. J S Afr Vet Assoc 2014; 85(1): 1144. [pubMed] ]

Tras dos meses de tratamiento, pudo observarse un aumento de la actividad, aparición de los dientes permanentes y mejoría de la sintomatología digestiva. Esta última se asoció a la presencia de megacolon, producido por hipotonía secundaria al hipotiroidismo.[ Robert WB: Megacolon in the cat. Vet Clin Small Anim 2002;32: 901-915. [pubMed] ]

Tras un año de tratamiento, en las radiografías puede observarse el cierre completo de la pelvis, los cuerpos vertebrales de una longitud normal y las líneas de crecimiento de los huesos largos cerradas por completo (Fig. 3). Además, los valores de hormonas tiroideas se encuentran dentro de rango (Tabla 2).

<p>Radiografía en proyección lateral del abdomen y extremidades posteriores del paciente de la Figura 1 tras un año de tratamiento con levotiroxina.</p>
Figura 3

Radiografía en proyección lateral del abdomen y extremidades posteriores del paciente de la Figura 1 tras un año de tratamiento con levotiroxina.

<p>T<sub>4</sub> = Tiroxina T<sub>4</sub>; TSH = Hormona Estimulante del Tiroides.</p>
Tabla 2

T4 = Tiroxina T4; TSH = Hormona Estimulante del Tiroides.

 

En conclusión, a pesar de la escasa incidencia de esta enfermedad, debe considerarse el hipotiroidismo congénito en el diagnóstico diferencial de patologías endocrinas felinas, sobre todo en aquellos casos que cursen con enanismo desproporcionado (Fig. 4) y estreñimiento.

<p>Imagen del paciente con hipotiroidismo congénito al año de edad. Se aprecia el enanismo desproporcionado con cara ancha, cuello corto y extremidades acortadas.</p>
Figura 4

Imagen del paciente con hipotiroidismo congénito al año de edad. Se aprecia el enanismo desproporcionado con cara ancha, cuello corto y extremidades acortadas.

 

Fuente de financiación: este trabajo no se ha realizado con fondos comerciales, públicos o del sector privado.

Conflicto de intereses: los autores declaran que no existe conflicto de intereses.

Bibliografía

  1. [1] Robert WB: Megacolon in the cat. Vet Clin Small Anim 2002;32: 901-915. [pubMed]
  2. [2] Iturriaga MP, Cocio JA, Barrs VR: Cluster of cases of congenital feline goitrous hypothyroidism in a single hospital. J Small Anim Pract 2020; 61: 696-703. [pubMed]
  3. [3] D’Anjou M, Penninck, Cornejo L, Pibarot P: Ultrasonographic diagnosis of portosystemic shunting in dogs and cats. Vet Radiol Ultrasound 2004; 45(5): 424-437. [pubMed]
  4. [4] Bojanic K, Acke E, Jones BR: Congenital hypothyroidism of dogs and cats: a review. N Z Vet J 2011; 59 (3): 115 -122. [pubMed]
  5. [5] Greco DS: Diagnosis of congenital and adult-onset hypothyroidism in cats. Clin Tech Small Anim Pract 2006; 21: 40-44. [pubMed]
  6. [6] Ettinger SJ, Feldman EC. Textbook of Veterinary Internal Medicine. 7th Edition, 2010. Saunders Elsevier.
  7. [7]  Lim CK, Rosa CT, de Witt Y, Schoeman JP: Congenital hypothyroidism and concurrent renal insufficiency in a kitten. J S Afr Vet Assoc 2014; 85(1): 1144. [pubMed]

Artículos recomendados

Estas recomendaciones se ofrecen de forma automática.

  • ¿Cuál es tu diagnóstico?
    L. Montalvà-Minguet, A.M. Hernández-Guerra, D. Marbella
    Clin Vet Peq Anim Vol. 45 - Nº 4 · DIC 2025 · ¿Cual es tu diagnóstico?
  • ¿Cuál es tu diagnóstico?

    J.D. Carrillo, M. Soler, M.S. Echalecu, et al.
    Clin Vet Peq Anim Vol. 45 - Nº 3 · SEP 2025 · ¿Cual es tu diagnóstico?
  • ¿Cuál es tu diagnóstico?

    S. García-Flores, A. Segarra
    Clin Vet Peq Anim Vol. 45 - Nº 2 · JUN 2025 · ¿Cual es tu diagnóstico?
  • Inicio
  • Historia clínica
  • Describe las alteraciones radiográficas observadas
  • ¿Qué diagnósticos diferenciales se realizarán en base a estos signos radiográficos?
  • ¿Es necesario realizar otras técnicas de diagnóstico por imagen o pruebas para alcanzar el diagnóstico definitivo?
  • Comentario
  • Bibliografía
Artículo anterior Índice de la revista Artículo siguiente
ANUNCIO
Oferta 3+1
Índice
Inicio Historia clínica Describe las alteraciones radiográficas observadas ¿Qué diagnósticos diferenciales se realizarán en base a estos signos radiográficos? ¿Es necesario realizar otras técnicas de diagnóstico por imagen o pruebas para alcanzar el diagnóstico definitivo? Comentario Bibliografía
Dechra - DuOtic
ANUNCIO

¿No eres socio de AVEPA y quieres recibir comunicación de las nuevas ediciones en tu correo?

Suscríbete

Suscríbete y te avisaremos cuando publiquemos un nuevo número

Suscribirme

Enlaces rápidos

  • Inicio
  • Último número
  • Archivo
  • Artículos

Información

  • Comité editorial
  • Política de cookies
  • Política de privacidad
  • Términos y condiciones

Contacto

  • info@imaginice.com
  • Envíanos tu artículo
© 2026 Ice Salud Vet SL. Todos los derechos reservados.

Usamos cookies para mejorar tu experiencia. Selecciona cuáles aceptas: