Logo AVEPA

Clínica Veterinaria de Pequeños Animales

Revista oficial de AVEPA

  • Inicio
  • Último número
  • Archivo
  • Artículos
  • Para autores
  • Contacto
Cursos Junio-Septiembre 2026
ANUNCIO

Clínica Veterinaria de Pequeños Animales

Revista oficial de AVEPA

  • Inicio
  • Último número
  • Archivo
  • Artículos
  • Para autores
  • Contacto
Curso Oftalmología 2026
ANUNCIO
Clin Vet Peq Anim Vol. 45 • Nº 4 • diciembre 2025

¿Cuál es tu diagnóstico?

¿Cuál es tu diagnóstico?

D. Marbella

Anicura Albea Hospital Veterinario. Carretera a las Torres, 19. 35010 Las Palmas de Gran Canaria, Las Palmas.

Otros artículos de D. Marbella:
  • ¿Cuál es tu diagnóstico?

    Clin Vet Peq Anim Vol. 41 • Nº 2 • junio 2021

A.M. Hernández-Guerra

Departamento de Medicina y Cirugía Animal. Facultad de Veterinaria. Universidad Cardenal Herrera-CEU, CEU Universities. C/ Tirant lo Blanch, 7, 46115 Alfara del Patriarca, (Valencia).

Otros artículos de A.M. Hernández-Guerra:
  • Metástasis intramedular de un carcinoma mamario en un gato

    Clin Vet Peq Anim Vol. 38 • Nº 1 • marzo 2018

L. Montalvà-Minguet

Servicio de Diagnóstico por imagen. Hospital Clínico Veterinario. Universidad Cardenal Herrera-CEU, CEU Universities. c/ Ramón y Cajal s/n. 46115 Alfara del Patriarca (Valencia).

Contacto: cv.capitol@hotmail.com


Descargar artículo

Historia

Acudió a consulta una perra mestiza de pastor alemán, entera, de 5 meses de edad y 8,6 kg de peso por paraplejia espástica sin sensibilidad nociceptiva de los miembros posteriores, estirados cranealmente, sin poder adoptar una posición natural en estación y con pérdida de orina por rebosamiento. En su casa de acogida comentaron que había nacido así. Se realizó un estudio radiográfico de la región lumbosacra, con una proyección lateral derecha y otra dorsoventral (Fig. 1).
(A) Radiografía lateral derecha de la región lumbosacra. (B) Radiografía dorsoventral de la región lumbosacra.
Figura 1
(A) Radiografía lateral derecha de la región lumbosacra. (B) Radiografía dorsoventral de la región lumbosacra.

Describe las alteraciones radiográficas observadas

En este caso se realizó una radiografía dorsoventral en lugar de una ventrodorsal facilitada por la posición de las extremidades posteriores, rígidas de cadera a tarso y orientadas cranealmente.
En la proyección lateral (Fig. 2A) tanto la apófisis espinosa de la sexta como de la séptima vértebra lumbar tenían una altura reducida. Se observó una disminución de la radiopacidad a nivel de las apófisis articulares entre L6 y L7. El borde cutáneo a nivel de L6 era irregular y el tejido blando subcutáneo presentaba un aumento de su radiopacidad. 
En la proyección dorsoventral (Fig. 2B) ambos fémures estaban posicionados en dirección craneolateral a la pared abdominal, los cóndilos rotados medialmente y las rótulas laterales a la diáfisis distal. Sobre el cuerpo y en la línea media de L6 se observaba un área radiolúcida con forma de ojo de cerradura, y no se identificaba la apófisis espinosa. La apófisis espinosa de L7 era corta y redondeada. En la línea media de la primera vértebra sacra se observaba un área radiolúcida y no se visualizaba la cresta medial sagital.
Mismas imágenes que la Figura 1. (A) Radiografía lateral derecha de la región lumbosacra. La apófisis espinosa de la sexta como de la séptima vértebra lumbar tienen una altura reducida (flechas rojas). Disminución de la radiopacidad a nivel de las apófisis articulares entre L6 y L7. El borde cutáneo dorsocaudal a L6 se observa irregular y el tejido blando subcutáneo presenta un aumento de su radiopacidad (flecha azul). (B) Radiografía dorsoventral de la región lumbosacra. Fémures posicionados en dirección craneolateral a la pared abdominal, cóndilos rotados medialmente y rótulas laterales a la diáfisis distal. Sobre el cuerpo y en la línea media de L6 se observa un área radiolúcida con forma de ojo de cerradura y no se identifica la apófisis espinosa (flecha roja). La apófisis espinosa de L7 es corta y redondeada (flecha naranja). En la línea media de la primera vértebra sacra (S1) se observa un área radiolúcida y no se visualiza la cresta medial sagital (flecha amarilla)
Figura 2
Mismas imágenes que la Figura 1. (A) Radiografía lateral derecha de la región lumbosacra. La apófisis espinosa de la sexta como de la séptima vértebra lumbar tienen una altura reducida (flechas rojas). Disminución de la radiopacidad a nivel de las apófisis articulares entre L6 y L7. El borde cutáneo dorsocaudal a L6 se observa irregular y el tejido blando subcutáneo presenta un aumento de su radiopacidad (flecha azul). (B) Radiografía dorsoventral de la región lumbosacra. Fémures posicionados en dirección craneolateral a la pared abdominal, cóndilos rotados medialmente y rótulas laterales a la diáfisis distal. Sobre el cuerpo y en la línea media de L6 se observa un área radiolúcida con forma de ojo de cerradura y no se identifica la apófisis espinosa (flecha roja). La apófisis espinosa de L7 es corta y redondeada (flecha naranja). En la línea media de la primera vértebra sacra (S1) se observa un área radiolúcida y no se visualiza la cresta medial sagital (flecha amarilla)

¿Cuáles son los diagnósticos diferenciales compatibles con los signos radiográficos observados?

La imagen radiográfica es compatible con una malformación vertebral, espina bífida en L6 e hipoplasia de las apófisis articulares caudales de L6 y L7. 
El diagnóstico diferencial incluiría un meningocele (MC), meningomielocele (MMC), seno dermoide y síndrome de médula anclada.

¿Es necesario realizar otras técnicas de diagnóstico por imagen o pruebas para alcanzar el diagnóstico definitivo?

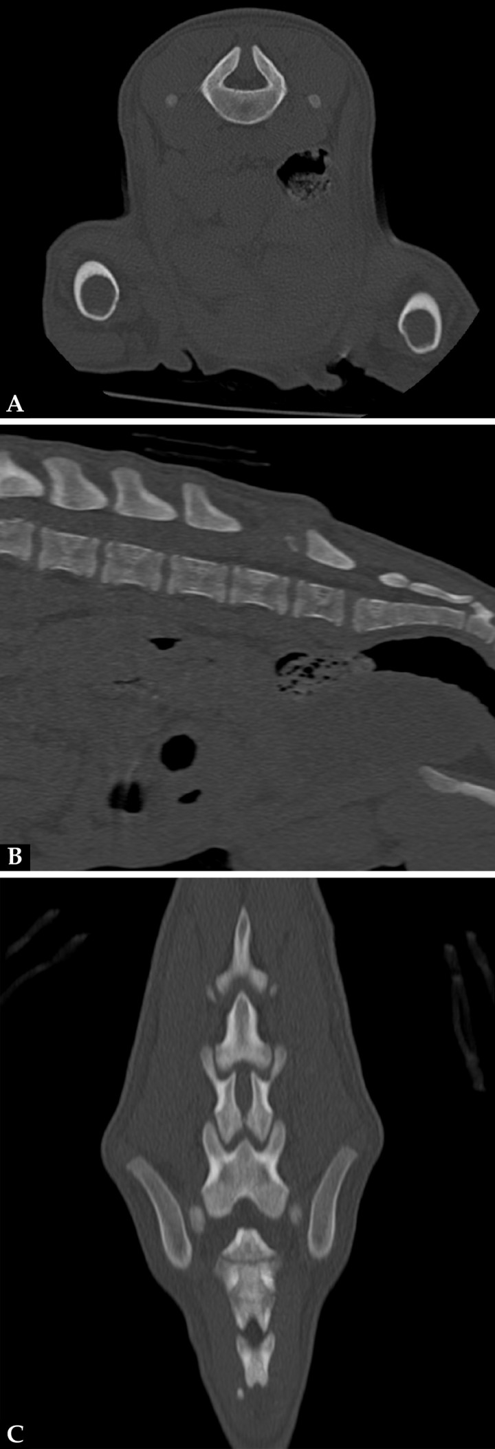
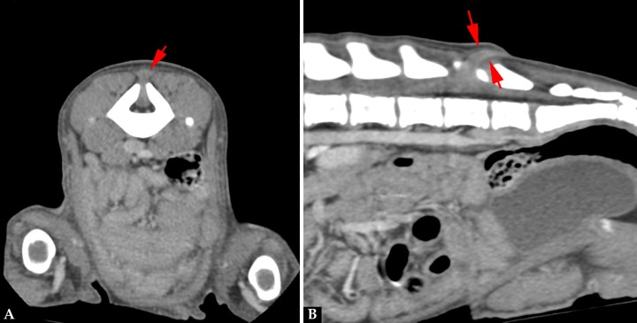
La mielografía podría ayudarnos a valorar el espacio subaracnoideo si sospechamos de un MC/MMC, aunque las técnicas de imagen avanzada, tomografía computarizada (TC) y resonancia magnética (RM) son las pruebas recomendadas si se sospecha de un defecto del tubo neural (DTN). Se realizó un estudio TC (General Electric Brivo CT385 Series de 16 cortes, Hangwei Medical Systems Co Ltd, Beijing, China, 16 cortes) sin y con contraste intravenoso, en el que se observó hipoplasia de la apófisis espinosa de L6 sin fusión de las láminas dorsales dejando un espacio abierto que comunicaba el canal vertebral y el tejido blando lumbar caudodorsal a L6 (Fig. 3). En las imágenes obtenidas en ventana de tejidos blandos tras administración de contraste se apreció el paso por el defecto espinal de tejido del canal vertebral con atenuación tejido blando y realce periférico, hasta el tejido blando dorsal a L6-7 (Fig. 4).
Imágenes de TC en ventana de hueso. (A) Plano transversal. (B) Reconstrucción en plano sagital. (C) Reconstrucción en plano dorsal. Hipoplasia de la apófisis espinosa de L6 sin fusión de las láminas dorsales dejando un espacio abierto que comunica el canal vertebral y el tejido blando lumbar caudodorsal a L6
Figura 3
Imágenes de TC en ventana de hueso. (A) Plano transversal. (B) Reconstrucción en plano sagital. (C) Reconstrucción en plano dorsal. Hipoplasia de la apófisis espinosa de L6 sin fusión de las láminas dorsales dejando un espacio abierto que comunica el canal vertebral y el tejido blando lumbar caudodorsal a L6
Imágenes de TC en ventana de tejidos blandos postcontraste. (A) Plano transversal. Defecto óseo vertebral con paso de tejido del canal vertebral, con atenuación tejido blando y realce periférico, hasta el tejido blando dorsal a L6-7 (flecha roja). (B) Reconstrucción en plano sagital.
Figura 4
Imágenes de TC en ventana de tejidos blandos postcontraste. (A) Plano transversal. Defecto óseo vertebral con paso de tejido del canal vertebral, con atenuación tejido blando y realce periférico, hasta el tejido blando dorsal a L6-7 (flecha roja). (B) Reconstrucción en plano sagital.
Los hallazgos tomográficos indicaban la presencia de un DTN, espina bífida y MC/MMC. El diagnóstico diferencial incluiría un seno dermoide (SD) y el síndrome de médula anclada.

Comentarios

Los DTN son una colección de malformaciones congénitas que típicamente ocurren como resultado del desarrollo anormal y/o cierre del tubo neural durante la embriogénesis,[ Song RB, Glass EN, Kent M. Spina bifida, meningomyelocele, and meningocele. Vet Clin North Am Small Anim Pract 2016; 46: 327-345. [PubMed] ]  pudiendo incluir defectos ectodérmicos, mesodérmicos y del neuroectodermo. Pueden ser malformaciones congénitas del cerebro, la médula espinal, las vértebras y de los tejidos blandos que los rodean.[ Thomas ZM, Podadera JM, Donahoe SL, et al. Neural tube defects in four Shetland sheepdog puppies: clinical characterization and computed tomography investigation. Aust Vet J 2020; 98(7): 312-318. [PubMed] ] La causa de los DTN puede ser: genética, en mujeres embarazadas asociada a déficit de folato, vitamina B12, diabetes mellitus u obesidad, y en experimentación felina se ha asociado a la ingesta de griseofluvina e hidroxiurea.[ Song RB, Glass EN, Kent M. Spina bifida, meningomyelocele, and meningocele. Vet Clin North Am Small Anim Pract 2016; 46: 327-345. [PubMed] ] Entre estos encontramos espina bífida, MC, MMC, siringomielia, diastematomielia y los SD.[ Westworth D, Sturges BK: Congenital malformations in small animals. Vet Clin North Am Small Anim Pract 2010; 40: 951-981. [PubMed] ]
La espina bífida es un defecto en la fusión del arco dorsal vertebral. Es “abierta” si existe comunicación con el exterior a través de un defecto en la piel. “Oculta” se aplicaría al cierre incompleto del arco dorsal y los procesos espinosos sin implicación meníngea ni medular, siendo un hallazgo incidental en estudios de TC y RM.[ Wisner E y Zwingenberger A: Section 3 Vertebral column and spinal cord. En Wisner E y Zwingenberger A (ed): Atlas of small animal CT and MRI, Iowa, Wiley Blackwell, 2015; pp: 279-294. ] La prevalencia real de casos de espina bífida en veterinaria se desconoce, aunque estudios previos sugieren una prevalencia en perros de 0,006 % y en gatos de 0,09 %.[ Song RB, Glass EN, Kent M. Spina bifida, meningomyelocele, and meningocele. Vet Clin North Am Small Anim Pract 2016; 46: 327-345. [PubMed] ]
El MC es la protrusión de las meninges a través del defecto del arco vertebral formando un saco dural que contiene fluido cerebroespinal; y el MMC es la protrusión de las meninges además de tejido nervioso a través del defecto vertebral. 
El SD es la falta de separación entre el ectodermo y el tubo neural durante el desarrollo embrionario, formándose una estructura tubular en la línea media dorsal desde la piel hacia el interior a distintas profundidades; están descritos 6 tipos distintos y tres subtipos.[ Torres R, Giovanella C, Sessums K. Type I and type IV dermoids sinus with associated cervical spina bifida in a Labrador Retriever mixed breed dog. Vet Med Sci 2024:10e1319. [PubMed] ] Están tapizados de folículos pilosos, tejido sebáceo y glándulas sudoríparas.[ Torres R, Giovanella C, Sessums K. Type I and type IV dermoids sinus with associated cervical spina bifida in a Labrador Retriever mixed breed dog. Vet Med Sci 2024:10e1319. [PubMed] ]
Los signos clínicos, dependiendo de la región anatómica y del grado de afectación, son: dolor, mielopatía, deformidades espinales, distintos grados de ataxia, paraparesis, tetraparesis e incontinencia urinaria y/o fecal.[ Song RB, Glass EN, Kent M. Spina bifida, meningomyelocele, and meningocele. Vet Clin North Am Small Anim Pract 2016; 46: 327-345. [PubMed] ] En ocasiones, hay cambios en la piel y el pelo asociados a defectos en la línea media dorsal.
En casos leves el diagnóstico de espina bífida es un hallazgo radiográfico incidental. Los casos moderados y severos se diagnostican en animales jóvenes, con mayor prevalencia en el bulldog inglés y el pastor alemán[ Song RB, Glass EN, Kent M. Spina bifida, meningomyelocele, and meningocele. Vet Clin North Am Small Anim Pract 2016; 46: 327-345. [PubMed] ] (nuestra paciente era mestiza de pastor alemán). Como método diagnóstico, la radiografía simple podría identificar defectos vertebrales, lesiones traumáticas o infecciosas (osteomielitis), mientras que la TC, sola o con mielografía, permite descartar fracturas y/o luxaciones vertebrales, hernias discales y, además, aporta información sobre anomalías vertebrales y los tejidos nerviosos implicados.[ Song RB, Glass EN, Kent M. Spina bifida, meningomyelocele, and meningocele. Vet Clin North Am Small Anim Pract 2016; 46: 327-345. [PubMed] ] No se recomienda realizar una fistulografía en casos de lesión dérmica por el riesgo de contaminación.
En pacientes que presenten signos de inflamación y/o infección se debe analizar el líquido cefalorraquídeo. 
Aunque la resonancia magnética es la técnica de imagen recomendada para evaluar los tejidos nerviosos y proporciona información anatómica importante para diferenciar entre MC, MMC y SD, la confirmación diagnóstica requiere del estudio histológico de las lesiones.
El síndrome de médula anclada puede ocurrir junto con espina bífida y MMC, y se produce por la excesiva tensión en los tejidos nerviosos al unirse estos a las vértebras o la piel. Estos pacientes sufren un empeoramiento progresivo con paresis de miembros posteriores, incontinencia fecal y urinaria.[ Song RB, Glass EN, Kent M. Spina bifida, meningomyelocele, and meningocele. Vet Clin North Am Small Anim Pract 2016; 46: 327-345. [PubMed] ]
En los pacientes con médula anclada se recomienda la cirugía.[ Song RB, Glass EN, Kent M. Spina bifida, meningomyelocele, and meningocele. Vet Clin North Am Small Anim Pract 2016; 46: 327-345. [PubMed] ] Los objetivos quirúrgicos son prevenir un futuro deterioro neurológico y las posibles infecciones cerrando los defectos cutáneos, y mejorar la función neurológica, pero normalmente aquellos animales con incontinencia urinaria y/o fecal antes de la cirugía la continúan presentando después.[ Song RB, Glass EN, Kent M. Spina bifida, meningomyelocele, and meningocele. Vet Clin North Am Small Anim Pract 2016; 46: 327-345. [PubMed] ]
Se intentó cirugía correctora y terapia rehabilitadora con pobre respuesta. Finalmente, la paciente fue eutanasiada por el mal pronóstico y la mala calidad de vida.
Fuente de financiación: este trabajo no se ha realizado con fondos comerciales, públicos o del sector privado.
Conflicto de intereses: los autores declaran que no existe conflicto de intereses.

Bibliografía

  1. [1] Song RB, Glass EN, Kent M. Spina bifida, meningomyelocele, and meningocele. Vet Clin North Am Small Anim Pract 2016; 46: 327-345. [PubMed]
  2. [2] Thomas ZM, Podadera JM, Donahoe SL, et al. Neural tube defects in four Shetland sheepdog puppies: clinical characterization and computed tomography investigation. Aust Vet J 2020; 98(7): 312-318. [PubMed]
  3. [3] Westworth D, Sturges BK: Congenital malformations in small animals. Vet Clin North Am Small Anim Pract 2010; 40: 951-981. [PubMed]
  4. [4] Wisner E y Zwingenberger A: Section 3 Vertebral column and spinal cord. En Wisner E y Zwingenberger A (ed): Atlas of small animal CT and MRI, Iowa, Wiley Blackwell, 2015; pp: 279-294.
  5. [5] Torres R, Giovanella C, Sessums K. Type I and type IV dermoids sinus with associated cervical spina bifida in a Labrador Retriever mixed breed dog. Vet Med Sci 2024:10e1319. [PubMed]

Artículos recomendados

Estas recomendaciones se ofrecen de forma automática.

  • ¿Cuál es tu diagnóstico?
    L. Martín-Carrasco, E. Mínguez-Pereira, R. Salgüero-Fernández, et al.
    Clin Vet Peq Anim Vol. 46 - Nº 1 · MAR 2026 · ¿Cuál es tu diagnóstico?
  • ¿Cuál es tu diagnóstico?

    D. Marbella, A. Inurria, L. Mangas, et al.
    Clin Vet Peq Anim Vol. 41 - Nº 2 · JUN 2021 · ¿Cuál es tu diagnóstico?
  • Metástasis intramedular de un carcinoma mamario en un gato

    A.M. Hernández-Guerra, P. Rojas, C. Puente, et al.
    Clin Vet Peq Anim Vol. 38 - Nº 1 · MAR 2018 · Artículo original referido a un solo caso clínico
  • Inicio
  • Historia
  • Describe las alteraciones radiográficas observadas
  • ¿Cuáles son los diagnósticos diferenciales compatibles con los signos radiográficos observados?
  • ¿Es necesario realizar otras técnicas de diagnóstico por imagen o pruebas para alcanzar el diagnóstico definitivo?
  • Comentarios
  • Bibliografía
Artículo anterior Índice de la revista Artículo siguiente
ANUNCIO
Próximos cursos ATVs Elearning
Índice
Inicio Historia Describe las alteraciones radiográficas observadas ¿Cuáles son los diagnósticos diferenciales compatibles con los signos radiográficos observados? ¿Es necesario realizar otras técnicas de diagnóstico por imagen o pruebas para alcanzar el diagnóstico definitivo? Comentarios Bibliografía
Boehringer - NexGard
ANUNCIO

¿No eres socio de AVEPA y quieres recibir comunicación de las nuevas ediciones en tu correo?

Suscríbete

Suscríbete y te avisaremos cuando publiquemos un nuevo número

Suscribirme

Enlaces rápidos

  • Inicio
  • Último número
  • Archivo
  • Artículos

Información

  • Comité editorial
  • Política de cookies
  • Política de privacidad
  • Términos y condiciones

Contacto

  • info@imaginice.com
  • Envíanos tu artículo
© 2026 Ice Salud Vet SL. Todos los derechos reservados.

Usamos cookies para mejorar tu experiencia. Selecciona cuáles aceptas: