Logo AVEPA

Clínica Veterinaria de Pequeños Animales

Revista oficial de AVEPA

  • Inicio
  • Último número
  • Archivo
  • Artículos
  • Para autores
  • Contacto
Cursos Junio-Septiembre 2026
ANUNCIO

Clínica Veterinaria de Pequeños Animales

Revista oficial de AVEPA

  • Inicio
  • Último número
  • Archivo
  • Artículos
  • Para autores
  • Contacto
Curso Oftalmología 2026
ANUNCIO
Clin Vet Peq Anim Vol. 42 • Nº 4 • diciembre 2022

Un caso de linfoma epiteliotropo mucocutáneo tratado con oclacitinib

A case of canine mucocutaneous epitheliotropic lymphoma treated with oclacitinib

Artículo original referido a un solo caso clínico

I. Isasi

Dermalervet. Centro Veterinario Lauaxeta. Lauaxeta Olerkari n.º 38. 48100 Mungia (Bizkaia).

J. Altimira

Histovet. Av. Països Catalans n.º 12 local D. 08192 Sant Quirze del Vallés (Barcelona).

Contacto: cvlauaxeta@hotmail.com
Palabras clave: linfoma epiteliotropo canino, fenotipo de células T, presentación mucocutánea, inhibidores de las Janus Kinasas, oclacitinib.
Keywords: canine epitheliotropic lymphoma, T cell phenotype, mucocutaneous presentation, Janus kinase inhibitors, oclacitinib.

Clin Vet Peq Anim 2022, 42 (4): 243-246

Descargar artículo

Resumen

El linfoma epiteliotropo cutáneo canino es una enfermedad poco común, con una respuesta al tratamiento y un pronóstico muy pobres. Este caso describe un perro de raza cocker spaniel y 10 años de edad con lesiones en la trufa, que fueron diagnosticadas como un linfoma epiteliotropo de fenotipo T mediante histopatología e inmunohistoquímica. La neoplasia presentaba afectación exclusiva a nivel mucocutáneo. El paciente fue tratado con oclacitinib (Apoquel®, Zoetis, Madrid, España) a 0,7 mg/kg cada 12 horas produciéndose una remisión total de la enfermedad durante 6 meses tras los cuales apareció un nuevo foco neoplásico.

Abstract

Canine epitheliotropic lymphoma is an uncommon disease, with a very poor response to treatment and prognosis. A 10-year-old Cocker Spaniel was presented with nasal planum lesions. An epitheliotropic T-cell lymphoma was diagnosed by histopathology and immunochemistry. The neoplasm affected exclusively the mucocutaneous junction. The patient was treated with oclacitinib (Apoquel®, Zoetis, Madrid, España) at 0,7 mg/kg twice a day producing a total remission for 6 months, after which a new neoplastic focus appeared.

AVEPA Elearning

La presencia de este logo en un artículo de la revista indica que se publicará un examen sobre el mismo en la plataforma AVEPA Elearning. Su resolución aporta 0,15 créditos dentro del sistema de acreditaciones de especialidades veterinarias de AVEPA.

Introducción

El linfoma epiteliotropo cutáneo (LEC) es un tumor cutáneo maligno poco común.[ Miller WH, Griffin CE, Campbell KL: Epitheliotropic cutaneous lymphoma. En Muller´s & Kirk´s (ed): Small Animal Dermatology, Missouri, Elsevier, 2013; 811-815. ] El pronóstico de la enfermedad es pobre, dependiendo de diversos factores como la forma de afectación del paciente (cutánea o mucocutánea),[ Chan CM, Frimberger AE, Moore AS: Clínical outcome and prognosis of dogs with histopathological features consistent with epitheliotropic lymphoma: a retrospective study of 148 cases (2013-2015). Vet Dermatol 2018; 29(2): 154-e59. [PubMed] ] el número de lesiones, el estadio de la enfermedad[ Chan CM, Frimberger AE, Moore AS: Clínical outcome and prognosis of dogs with histopathological features consistent with epitheliotropic lymphoma: a retrospective study of 148 cases (2013-2015). Vet Dermatol 2018; 29(2): 154-e59. [PubMed] ] en el momento del diagnóstico y la respuesta al tratamiento. El tiempo de supervivencia de los animales afectados oscila de unas semanas a 2 años.[ Chan CM, Frimberger AE, Moore AS: Clínical outcome and prognosis of dogs with histopathological features consistent with epitheliotropic lymphoma: a retrospective study of 148 cases (2013-2015). Vet Dermatol 2018; 29(2): 154-e59. [PubMed] , Gross TL, Ihrke PJ, Walder EJ, Affolter VK: Epitheliotropic lymphoma. En Skin Diseases of the dog and cat (ed): Clinical and histopathologic diagnosis, Oxford, Blackwell Science Ltd, 2005; 876-877. ] Se han descrito numerosos tratamientos no estandarizados y con una respuesta altamente variable e impredecible, incluidos agentes suministrados vía oral, terapias tópicas, radioterapia y quimioterapia con un agente único o combinada. Este caso describe un paciente con un linfoma epiteliotropo con remisión completa durante 6 meses de tratamiento con oclacitinib.

Caso clínico

Se presentó un perro de raza cocker spaniel, castrado y de 10 años de edad, que mostraba una lesión cutánea en la trufa de un año de evolución. Presentaba lesiones erosivo-costrosas e hiperqueratosis con afectación exclusiva de la trufa, no pruriginosas y no asociadas a signos sistémicos. El perro comía pienso de gama media, estaba vacunado y desparasitado adecuadamente. La lesión había aparecido hacía un año. Durante los primeros 6 meses había respondido a tratamientos tópicos a base de corticoides y antibióticos, pero posteriormente había ido empeorando. Se le había realizado una analítica de sangre que mostraba una leve hipercolesterolemia de 290 mg/dl (RN: 125-280 mg/dl) y elevación de la enzima alanina aminotransferasa de 83,9 U/l (RN< 66 U/l), una determinación de anticuerpos frente a Leishmania mediante la técnica de ELISA con resultado negativo y un cultivo y antibiograma en el que se había aislado Staphylococcus spp., sin presencia de resistencias.

El examen clínico del animal no presentó anormalidades. En el examen dermatológico se apreciaron lesiones erosivo-costrosas, hiperqueratosis y escamas de gran tamaño que afectaban a la parte dorsal de la trufa, además había áreas de despigmentación en el filtrum que se extendían hasta la zona cutánea (Fig. 1).

<p>Lesiones erosivo-costrosas, hiperqueratosis y escamas de gran tamaño afectando a la parte dorsal de la trufa, junto con despigmentación en el <em>filtrum</em> que se extiende a la zona cutánea.</p>
Figura 1

Lesiones erosivo-costrosas, hiperqueratosis y escamas de gran tamaño afectando a la parte dorsal de la trufa, junto con despigmentación en el filtrum que se extiende a la zona cutánea.

En el diagnóstico diferencial se incluyó dermatofitosis, pioderma mucocutánea, leishmaniosis, hipotiroidismo, lupus eritematoso discoide, pénfigo eritematoso, LEC e hiperqueratosis nasal idiopática.

Se realizó una citología por impronta de la lesión erosiva bajo las costras que mostraba neutrófilos, numerosas bacterias cocoides extra e intracelulares y algún linfocito aislado. El análisis de T4 total y TSH presentaba valores dentro de la normalidad. Por último, se decidió llevar a cabo una biopsia cutánea; previamente a su realización se prescribió amoxicilina clavulánico oral (Kesium®, Ceva Salud Animal S.A, Barcelona, España) a 12,5 mg/kg cada 12 horas durante 10 días.

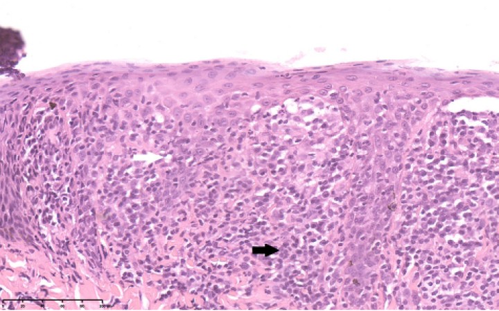
El estudio histopatológico por escisión de la trufa mostró hiperplasia epidérmica y una intensa infiltración dérmica superficial multifocal a difusa, conformada por células linfoides de tamaño medio, con anisocariosis moderada, escaso citoplasma y mitosis aisladas, observándose infiltración focal en la unión dermoepidérmica (epiteliotropismo) (Fig. 2). El diagnóstico presuntivo fue de linfoma epiteliotrópico. El estudio inmunohistoquímico evidenció una población linfoide CD3+, CD20-, fenotipo correspondiente a una población de linfocitos T, que confirmó el diagnóstico de linfoma epiteliotropo cutáneo asociado a fenotipo T (Fig. 3).

<p>Linfoma epiteliotrópico en unión mucocutánea. Infiltración linfoide neoplásica en dermis superficial (flecha negra) y mostrando comportamiento epiteliotrópico (flecha blanca) (tinción hematoxilina-eosina, 30 x).</p>
Figura 2

Linfoma epiteliotrópico en unión mucocutánea. Infiltración linfoide neoplásica en dermis superficial (flecha negra) y mostrando comportamiento epiteliotrópico (flecha blanca) (tinción hematoxilina-eosina, 30 x).

<p>Linfoma epiteliotrópico en unión mucocutánea. Células neoplásicas de imagen anterior (Fig. 2) mostrando tinción positiva a CD3, infiltrando dermis superficial (flecha negra) y mostrando comportamiento epiteliotrópico (puntas de flecha negras) (tinción de linfocitos T mediante técnica inmunohistoquímica con anticuerpo anti-CD3 y contraste con hematoxilina, 30 x).</p>
Figura 3

Linfoma epiteliotrópico en unión mucocutánea. Células neoplásicas de imagen anterior (Fig. 2) mostrando tinción positiva a CD3, infiltrando dermis superficial (flecha negra) y mostrando comportamiento epiteliotrópico (puntas de flecha negras) (tinción de linfocitos T mediante técnica inmunohistoquímica con anticuerpo anti-CD3 y contraste con hematoxilina, 30 x).

Se realizó un estadiaje del tumor mediante aspirado de los linfonodos, radiografías de tórax, abdomen y ecografía abdominal. El resultado del estudio citológico y las pruebas de imagen del paciente no evidenciaron signos de diseminación de la enfermedad, siendo el plano nasal la única lesión del LEC que presentaba.

Tras discutir con la tutora las posibilidades de tratamiento, se optó por el uso de oclacitinib (Apoquel®, Zoetis, Madrid, España) a 0,7 mg/kg cada 12 horas, y se mantuvo la amoxicilina/clavulánico (Kesium®, Ceva Salud Animal S.A., Barcelona, España) a 12,5 mg/kg cada 12 horas durante 15 días.

A las 3 semanas la lesión había mejorado considerablemente, alcanzando la remisión completa a las 6 semanas (Fig. 4), tras lo cual se realizaron revisiones cada 5 semanas.

<p>El paciente tras 6 semanas de tratamiento.</p>
Figura 4

El paciente tras 6 semanas de tratamiento.

A los 6 meses, el paciente acudió a revisión. El examen clínico no mostró alteraciones. En el examen dermatológico se apreció que la lesión de la trufa se mantenía en remisión; sin embargo, había aparecido una mácula despigmentada en el belfo inferior izquierdo (Fig. 5). Se llevó a cabo una biopsia mediante sacabocados de la lesión del belfo que reveló nuevamente la presencia de un infiltrado mononuclear con predominio de formas linfoides de características similares a la muestra de biopsia anteriormente analizada, que presentaba igualmente comportamiento epiteliotrópico y un inmunofenotipo de linfocitos T compatible con un nuevo foco de linfoma epiteliotropo.

<p>Nueva mácula despigmentada en el belfo inferior izquierdo.</p>
Figura 5

Nueva mácula despigmentada en el belfo inferior izquierdo.

Discusión

El tratamiento del linfoma epiteliotropo es desafiante debido a la variable respuesta a los distintos tratamientos, no disponiéndose actualmente de terapias con alta eficacia a largo plazo y logrando únicamente en algunos casos mejorar la calidad de vida de los pacientes.[ Fontaine J, Bovens C, Bettenay S & Mueller RS: Canine cutaneous epitheliotropic T-cell lymphoma: a review. Vet Comp Oncol 2009; 7(1): 1-14. [PubMed] ] Se han descrito tratamientos con lomustina,[ De Lorimier LP: Updates on the management of epitheliotropic cutaneous T-cell lymphoma. Vet Clin North Am: Small Anim Pract 2006; 36(1): 213-228. [PubMed] , Rook KA: Canine and feline cutaneous epitheliotropic lymphoma and cutaneous lymphocytosis. Vet Clin North Am: Small Anim Pract 2019; 49(1): 67-81. [PubMed] , Laprais A, Olivry T: Is CCNU (lomustine) valuable for treatment of cutaneous epitheliotropic lymphoma in dogs? A critically appraised topic. BMC Vet Res 2017; 13(1): 61. [PubMed] ] masitinib,[ Holtermann N, Kiupel M, Kessler M, T et al: Masitinib monotherapy in canine epitheliotropic lymphoma. Vet Comp Oncol 2016; 14(1): 127-135. [PubMed] ] retinoides,[ Ramos SC, Macfarlane MJ, Polton G: Isotretinoin treatment of 12 dogs with epitheliotropic lymphoma. Vet Dermatol 2022; 33(4): 345-e80. [PubMed] ] L-asparaginasa,[ De Lorimier LP: Updates on the management of epitheliotropic cutaneous T-cell lymphoma. Vet Clin North Am: Small Anim Pract 2006; 36(1): 213-228. [PubMed] ] doxorubicina liposomal pegilada,[ De Lorimier LP: Updates on the management of epitheliotropic cutaneous T-cell lymphoma. Vet Clin North Am: Small Anim Pract 2006; 36(1): 213-228. [PubMed] , Rook KA: Canine and feline cutaneous epitheliotropic lymphoma and cutaneous lymphocytosis. Vet Clin North Am: Small Anim Pract 2019; 49(1): 67-81. [PubMed] ] prednisona,[ Chan CM, Frimberger AE, Moore AS: Clínical outcome and prognosis of dogs with histopathological features consistent with epitheliotropic lymphoma: a retrospective study of 148 cases (2013-2015). Vet Dermatol 2018; 29(2): 154-e59. [PubMed] ] cirugía,[ Chan CM, Frimberger AE, Moore AS: Clínical outcome and prognosis of dogs with histopathological features consistent with epitheliotropic lymphoma: a retrospective study of 148 cases (2013-2015). Vet Dermatol 2018; 29(2): 154-e59. [PubMed] ] radiación,[ Rook KA: Canine and feline cutaneous epitheliotropic lymphoma and cutaneous lymphocytosis. Vet Clin North Am: Small Anim Pract 2019; 49(1): 67-81. [PubMed] ] rabacfosadina[ Rook KA: Canine and feline cutaneous epitheliotropic lymphoma and cutaneous lymphocytosis. Vet Clin North Am: Small Anim Pract 2019; 49(1): 67-81. [PubMed] ] y recientemente oclacitinib.[ Aslan J, Shipstone MA, Sullivan LM: Treatment of cutaneous epitheliotropic T-cell lymphoma with oclacitinib: a case report. Vet Dermatol 2021; 32: 398-e11. [PubMed] ] El tiempo de supervivencia de los animales afectados oscila de unas semanas a 2 años.

El oclacitinib es un inhibidor relativamente selectivo de la enzima Janus Kinasa 1 (JAK1), pero también inhibe JAK2, JAK3 y TYK2.[ Gonzales AJ, Bowman JW, Fici GJ, et al: Oclacitinib (APOQUEL®) is a novel Janus kinase inhibitor with activity against cytokines involved in allergy. J Vet Pharmacol Ther 2014; 37(4): 317-324. [PubMed] ] En medicina humana las compañías farmacéuticas han desarrollado nuevos inhibidores de las Janus Kinasas para el control de enfermedades inflamatorias, autoinmunes, enfermedades hematológicas[ Aslan J, Shipstone MA, Sullivan LM: Treatment of cutaneous epitheliotropic T-cell lymphoma with oclacitinib: a case report. Vet Dermatol 2021; 32: 398-e11. [PubMed] ] y enfermedades linfoproliferativas.[ Moskowitz AJ, Jacobsen E, Ruan J et al: Durable responses observed with JAK Inhibition in T-Cell Lymphomas. Blood 2018; 132: 2922. ] En concreto se han visto alteraciones de la señal JAK/SAT en la mayoría de las enfermedades linfoproliferativas de células T incluido el LEC[ Moskowitz AJ, Jacobsen E, Ruan J et al: Durable responses observed with JAK Inhibition in T-Cell Lymphomas. Blood 2018; 132: 2922. ] y se ha demostrado su importancia como diana terapéutica en cánceres de este origen.[ Boheng L, Qin W, Zhubo L, Wee-Joo C Janus Kinase Signaling: Oncogenic Criminal of Lymphoid Cancers. Cancers 2021; 13(20): 5147. [PubMed] ] En medicina veterinaria se ha descrito un caso de linfoma epiteliotropo cutáneo de células T con lesiones cutáneas multifocales con respuesta parcial al tratamiento con oclacitinib.[ Aslan J, Shipstone MA, Sullivan LM: Treatment of cutaneous epitheliotropic T-cell lymphoma with oclacitinib: a case report. Vet Dermatol 2021; 32: 398-e11. [PubMed] ]

En este caso, la tutora desestimó el tratamiento quimioterápico y se decidió instaurar un tratamiento paliativo. Debido a los posibles efectos indeseados de los corticoides y los retinoides a largo plazo, se optó por utilizar oclacitinib. La elección de la dosis de oclacitinib, más elevada que la máxima dosis recomendada, se basó en un caso descrito por Aslan. J et al.[ Aslan J, Shipstone MA, Sullivan LM: Treatment of cutaneous epitheliotropic T-cell lymphoma with oclacitinib: a case report. Vet Dermatol 2021; 32: 398-e11. [PubMed] ] No se puede predecir si una dosis inferior hubiera producido un efecto terapéutico similar.

El tratamiento mediante oclacitinib logró la remisión completa de la enfermedad durante 6 meses. El hecho de que se tratase de una enfermedad de aparición mucocutánea, localizada y sin presencia de diseminación, todos ellos factores considerados de mejor pronóstico[ Chan CM, Frimberger AE, Moore AS: Clínical outcome and prognosis of dogs with histopathological features consistent with epitheliotropic lymphoma: a retrospective study of 148 cases (2013-2015). Vet Dermatol 2018; 29(2): 154-e59. [PubMed] ] en el tratamiento del LEC, puede ser la causa del buen resultado inicial del tratamiento. Sin embargo, el tratamiento con oclacitinib no evitó la progresión de la enfermedad con la aparición de un nuevo foco neoplásico.

El oclacitinib puede ser una alternativa terapéutica para el linfoma epiteliotropo cutáneo de células T. No obstante, se deben realizar más estudios para establecer un protocolo terapéutico y estudiar los efectos de este inhibidor de la JAK con respecto a las terapias convencionales.

Agradecimientos

Agradecemos a la Clínica Veterinaria Leioa la confianza mostrada en nosotros.

Nota de la autora

El presente caso fue presentado en formato póster en el XXI Congreso de Especialidades Veterinarias GTA celebrado en Zaragoza durante los días 22 y 23 de abril del 2022.

 

Fuente de financiación: este trabajo no se ha realizado con fondos comerciales, públicos o del sector privado.

Conflicto de intereses: los autores declaran que no hay conflicto de intereses.

Bibliografía

  1. [1] Miller WH, Griffin CE, Campbell KL: Epitheliotropic cutaneous lymphoma. En Muller´s & Kirk´s (ed): Small Animal Dermatology, Missouri, Elsevier, 2013; 811-815.
  2. [2] Chan CM, Frimberger AE, Moore AS: Clínical outcome and prognosis of dogs with histopathological features consistent with epitheliotropic lymphoma: a retrospective study of 148 cases (2013-2015). Vet Dermatol 2018; 29(2): 154-e59. [PubMed]
  3. [3] Gross TL, Ihrke PJ, Walder EJ, Affolter VK: Epitheliotropic lymphoma. En Skin Diseases of the dog and cat (ed): Clinical and histopathologic diagnosis, Oxford, Blackwell Science Ltd, 2005; 876-877.
  4. [4] Fontaine J, Bovens C, Bettenay S & Mueller RS: Canine cutaneous epitheliotropic T-cell lymphoma: a review. Vet Comp Oncol 2009; 7(1): 1-14. [PubMed]
  5. [5] De Lorimier LP: Updates on the management of epitheliotropic cutaneous T-cell lymphoma. Vet Clin North Am: Small Anim Pract 2006; 36(1): 213-228. [PubMed]
  6. [6] Rook KA: Canine and feline cutaneous epitheliotropic lymphoma and cutaneous lymphocytosis. Vet Clin North Am: Small Anim Pract 2019; 49(1): 67-81. [PubMed]
  7. [7] Laprais A, Olivry T: Is CCNU (lomustine) valuable for treatment of cutaneous epitheliotropic lymphoma in dogs? A critically appraised topic. BMC Vet Res 2017; 13(1): 61. [PubMed]
  8. [8] Holtermann N, Kiupel M, Kessler M, T et al: Masitinib monotherapy in canine epitheliotropic lymphoma. Vet Comp Oncol 2016; 14(1): 127-135. [PubMed]
  9. [9] Ramos SC, Macfarlane MJ, Polton G: Isotretinoin treatment of 12 dogs with epitheliotropic lymphoma. Vet Dermatol 2022; 33(4): 345-e80. [PubMed]
  10. [10] Aslan J, Shipstone MA, Sullivan LM: Treatment of cutaneous epitheliotropic T-cell lymphoma with oclacitinib: a case report. Vet Dermatol 2021; 32: 398-e11. [PubMed]
  11. [11] Gonzales AJ, Bowman JW, Fici GJ, et al: Oclacitinib (APOQUEL®) is a novel Janus kinase inhibitor with activity against cytokines involved in allergy. J Vet Pharmacol Ther 2014; 37(4): 317-324. [PubMed]
  12. [12] Moskowitz AJ, Jacobsen E, Ruan J et al: Durable responses observed with JAK Inhibition in T-Cell Lymphomas. Blood 2018; 132: 2922.
  13. [13] Boheng L, Qin W, Zhubo L, Wee-Joo C Janus Kinase Signaling: Oncogenic Criminal of Lymphoid Cancers. Cancers 2021; 13(20): 5147. [PubMed]

Artículos recomendados

Estas recomendaciones se ofrecen de forma automática.

  • Seroprevalencia de la infección por Toxoplasma gondii en mascotas exóticas (conejos, hurones y cobayas) en clínicas veterinarias de España
    P. Moraleda-Berral, A. Montoya, J.P. Barrera, et al.
    Clin Vet Peq Anim Vol. 46 - Nº 1 · MAR 2026 · Artículo original referido a un solo caso clínico
  • Sarcoma histiocítico ocular felino
    M.T. Artacho-Burgos, A. I. Raya-Bermúdez
    Clin Vet Peq Anim Vol. 45 - Nº 4 · DIC 2025 · Artículo original referido a un solo caso clínico
  • Fallo hepático en un perro tras intoxicación por ingestión de semillas de Cycas revoluta

    C. García, A. Segarra, N. Bedía, et al.
    Clin Vet Peq Anim Vol. 45 - Nº 3 · SEP 2025 · Artículo original referido a un solo caso clínico
  • Inicio
  • Introducción
  • Caso clínico
  • Discusión
  • Agradecimientos
  • Nota de la autora
  • Bibliografía
Artículo anterior Índice de la revista Artículo siguiente
ANUNCIO
Próximos cursos ATVs Elearning
Índice
Inicio Introducción Caso clínico Discusión Agradecimientos Nota de la autora Bibliografía
Boehringer - NexGard
ANUNCIO

¿No eres socio de AVEPA y quieres recibir comunicación de las nuevas ediciones en tu correo?

Suscríbete

Suscríbete y te avisaremos cuando publiquemos un nuevo número

Suscribirme

Enlaces rápidos

  • Inicio
  • Último número
  • Archivo
  • Artículos

Información

  • Comité editorial
  • Política de cookies
  • Política de privacidad
  • Términos y condiciones

Contacto

  • info@imaginice.com
  • Envíanos tu artículo
© 2026 Ice Salud Vet SL. Todos los derechos reservados.

Usamos cookies para mejorar tu experiencia. Selecciona cuáles aceptas: