Logo AVEPA

Clínica Veterinaria de Pequeños Animales

Revista oficial de AVEPA

  • Inicio
  • Último número
  • Archivo
  • Artículos
  • Para autores
  • Contacto
Cursos Junio-Septiembre 2026
ANUNCIO

Clínica Veterinaria de Pequeños Animales

Revista oficial de AVEPA

  • Inicio
  • Último número
  • Archivo
  • Artículos
  • Para autores
  • Contacto
Curso Oftalmología 2026
ANUNCIO
Clin Vet Peq Anim Vol. 44 • Nº 3 • septiembre 2024

Evaluación de la ratio volumen atrio izquierdo/peso mediante el método sumatorio de discos en el corte paraesternal derecho 4 cámaras, en 205 pacientes

Evaluation of the left atrial volume/weight ratio using the summation method of discs in the right parasternal 4-chamber view, in 205 patients

Artículo original referido a múltiples casos clínicos

Ó. Monge-Utrilla

Hospital veterinario Mediterráneo IVC Evidensia. Av. Mediterráneo 14. 28007 Madrid. Hospital veterinario Parla Sur IVC Evidensia. Av. de Ronda 14. 28980 Parla (Madrid).

Contacto: oscar.monge@ivcevidensia.es
Palabras clave: disnea, cardiología, ecocardiografía, urgencias, atrio izquierdo.
Keywords: dyspnoea, cardiology, echocardiography, emergency, left atrium.

Clin Vet Peq Anim 2024, 44 (3): 157-160

Descargar artículo

Resumen

La valoración del volumen del atrio izquierdo en los pacientes caninos con disnea tiene especial importancia para diferenciar si es de origen cardíaco, como la insuficiencia cardíaca congestiva secundaria a enfermedad crónica degenerativa mitral (ECDM), o a un problema respiratorio primario. Por ello el estudio de una medida ecocardiográfica como la ratio volumen del atrio izquierdo/peso en el corte paraesternal derecho 4 cámaras mediante el método sumatorio de discos es de utilidad en estos pacientes, ya que se ha observado que un valor de esta ratio mayor de 2,25 ml/kg presenta una alta sensibilidad y especificidad en la discriminación de los pacientes con insuficiencia cardíaca congestiva secundaria a ECDM.

Abstract

Assessment of increased left atrial volume in dogs with dyspnea is especially important to differentiate whether it is of cardiac origin, such as congestive heart failure secondary to chronic degenerative mitral disease (ECDM), or a primary respiratory disease. The study of an echocardiographic measurement such as the left atrial volume/weight ratio in the right parasternal 4-chamber echocardiographic view using the summation method of discs is useful in these patients. A value higher than 2.25 ml/kg presents high sensitivity and specificity in the discrimination of patients with congestive heart failure secondary to ECDM.

AVEPA Elearning

La presencia de este logo en un artículo de la revista indica que se publicará un examen sobre el mismo en la plataforma AVEPA Elearning. Su resolución aporta 0,15 créditos dentro del sistema de acreditaciones de especialidades veterinarias de AVEPA.

Introducción

La enfermedad crónica degenerativa mitral (ECDM) produce un aumento del volumen del atrio izquierdo (AI) durante su progresión,[ Höllmer M, Willesen JL, Tolver A, Koch J. Left atrial volume and function in dogs with naturally occurring myxomatous mitral valve disease. J Vet Cardiol 2017; 19(1): 24-34. [PubMed] ] habiéndose establecido en estudios previos tanto valores fisiológicos respecto al peso y la raza del paciente[ Höllmer M, Willesen JL, Tolver A, Koch J. Left atrial volume and phasic function in clinically healthy dogs of 12 different breeds. Vet J 2013; 197(3): 639-645. [PubMed] ] como su correlación con el estadio de la ECDM.[ Höllmer M, Willesen JL, Tolver A, Koch J. Left atrial volume and function in dogs with naturally occurring myxomatous mitral valve disease. J Vet Cardiol 2017; 19(1): 24-34. [PubMed] ] Este aumento de volumen en el AI como en el ventrículo izquierdo (VI) produce una sobrecarga de presión crónica, tanto en estas cámaras como en las venas pulmonares. Esta sobrecarga de presión, junto con los mecanismos compensatorios de la insuficiencia cardíaca congestiva (ICC), se traducirá en la generación de edema pulmonar en el paciente.[ Höllmer M, Willesen JL, Tolver A, Koch J. Left atrial volume and function in dogs with naturally occurring myxomatous mitral valve disease. J Vet Cardiol 2017; 19(1): 24-34. [PubMed] ]

Se han evaluado múltiples parámetros ecocardiográficos que pueden utilizarse en pacientes disneicos como valores predictivos de ICC izquierda secundaria a ECDM[ Schober KE, Hart TM, Stern JA, et al. Detection of congestive heart failure in dogs by Doppler echocardiography. J Vet Intern Med 2010; 24(6): 1358-1368. [PubMed] ] basados en las dimensiones o volumen del AI, así como medidas específicas, por ejemplo, el diámetro anteroposterior del AI normalizado,[ Marchesotti F, Vezzosi T, Tognetti R, et al. Left atrial anteroposterior diameter in dogs: reference interval, allometric scaling, and agreement with the left atrial-to-aortic root ratio. J Vet Med Sci 2019; 81(11): 1655-1662. [PubMed] ] el ratio entre la arteria pulmonar y vena pulmonar[ Merveille AC, Bolen G, Krafft E, et al. Pulmonary vein-to-pulmonary artery ratio is an echocardiographic index of congestive heart failure in dogs with degenerative mitral valve disease. J Vet Intern Med 2015; 29(6): 1502-1509. [PubMed] ] o la ratio entre el volumen del AI y el peso del paciente (LAv/BW),[ Höllmer M, Willesen JL, Tolver A, Koch J. Left atrial volume and function in dogs with naturally occurring myxomatous mitral valve disease. J Vet Cardiol 2017; 19(1): 24-34. [PubMed] , Höllmer M, Willesen JL, Tolver A, Koch J. Left atrial volume and phasic function in clinically healthy dogs of 12 different breeds. Vet J 2013; 197(3): 639-645. [PubMed] , Wesselowski S, Borgarelli M, Bello NM, Abbott J. Discrepancies in identification of left atrial enlargement using left atrial volume versus left atrial-to-aortic root ratio in dogs. J Vet Intern Med 2014; 28(5): 1527-1533. [PubMed] ] permitiendo detectar de forma rápida la posibilidad de una ICC izquierda secundaria a ECDM. 

La medición de la ratio LAv/BW se realiza principalmente en un corte paraesternal izquierdo apical 4 y 2 cámaras, por personal con formación en ecocardiografía.[ Höllmer M, Willesen JL, Tolver A, Koch J. Left atrial volume and function in dogs with naturally occurring myxomatous mitral valve disease. J Vet Cardiol 2017; 19(1): 24-34. [PubMed] , Höllmer M, Willesen JL, Tolver A, Koch J. Left atrial volume and phasic function in clinically healthy dogs of 12 different breeds. Vet J 2013; 197(3): 639-645. [PubMed] , Wesselowski S, Borgarelli M, Bello NM, Abbott J. Discrepancies in identification of left atrial enlargement using left atrial volume versus left atrial-to-aortic root ratio in dogs. J Vet Intern Med 2014; 28(5): 1527-1533. [PubMed] ] El método utilizado para la medición del volumen del atrio izquierdo es el método biplano área-longitud,[ Höllmer M, Willesen JL, Tolver A, Koch J. Left atrial volume and phasic function in clinically healthy dogs of 12 different breeds. Vet J 2013; 197(3): 639-645. [PubMed] ] fijando como valor fisiológico <1,1 ml/kg[ Wesselowski S, Borgarelli M, Bello NM, Abbott J. Discrepancies in identification of left atrial enlargement using left atrial volume versus left atrial-to-aortic root ratio in dogs. J Vet Intern Med 2014; 28(5): 1527-1533. [PubMed] ] y ≥2,25 ml/kg[ Höllmer M, Willesen JL, Tolver A, Koch J. Left atrial volume and function in dogs with naturally occurring myxomatous mitral valve disease. J Vet Cardiol 2017; 19(1): 24-34. [PubMed] ] como valor predictivo de ICC izquierda. 

El objetivo de este estudio es evaluar el uso de la ratio LAv/BW en el paciente canino con ECDM, para detectar los pacientes disneicos que acuden al servicio de urgencias debido a ICC izquierda secundaria a ECDM. Se quiere valorar si es capaz de detectar pacientes en estadio C de la ECDM según el consenso para esta enfermedad del Colegio Americano de Medicina Interna veterinaria (ACVIM).[ Keene BW, Atkins CE, Bonagura JD, et al. ACVIM consensus guidelines for the diagnosis and treatment of myxomatous mitral valve disease in dogs. J Vet Intern Med 2019; 33(3): 1127-1140. [PubMed] ] Este valor puede obtenerse en un examen “focused cardiac ultrasound” (FCU),[ DeFrancesco TC, Ward JL. Focused Canine Cardiac Ultrasound. Vet Clin North Am Small Anim Pract 2021; 51(6): 1203-1216. [PubMed] ] incluso por personal sin formación o conocimientos profundos en ecocardiografía, pero sí entrenado en la obtención de los cortes ecocardiográficos incluidos en un examen FCU.[ DeFrancesco TC, Ward JL. Focused Canine Cardiac Ultrasound. Vet Clin North Am Small Anim Pract 2021; 51(6): 1203-1216. [PubMed] ] Se utiliza el corte paraesternal derecho longitudinal 4 cámaras y el método monoplano sumatorio de discos (MOD)[ Bouvard J, Thierry F, Culshaw GJ, et al. Assessment of left atrial volume in dogs: comparisons of two-dimensional and real-time three-dimensional echocardiography with ECG-gated multidetector computed tomography angiography. J Vet Cardiol 2019; 24: 64-77. [PubMed] ] como método de “screening” inicial hasta que se pueda realizar una valoración ecocardiográfica completa del paciente. Valorar el uso de la ratio LAv/BW utilizando el corte paraesternal derecho longitudinal 4 cámaras y el método monoplano sumatorio de discos (MOD)[ Bouvard J, Thierry F, Culshaw GJ, et al. Assessment of left atrial volume in dogs: comparisons of two-dimensional and real-time three-dimensional echocardiography with ECG-gated multidetector computed tomography angiography. J Vet Cardiol 2019; 24: 64-77. [PubMed] ] es necesario, ya que la realización de otras mediciones como la ratio AI/Ao en el corte paraesternal derecho transversal puede ser difícil técnicamente.

Materiales y métodos

Estudio retrospectivo de 205 pacientes caninos diagnosticados de ECDM mediante ecocardiografía (M8, Mindray, Shenzen) en los que se realizó la ratio LAv/BW utilizando el corte paraesternal derecho longitudinal 4 cámaras y el método monoplano sumatorio de discos (MOD)[ Bouvard J, Thierry F, Culshaw GJ, et al. Assessment of left atrial volume in dogs: comparisons of two-dimensional and real-time three-dimensional echocardiography with ECG-gated multidetector computed tomography angiography. J Vet Cardiol 2019; 24: 64-77. [PubMed] ] y que, posteriormente, se clasificaron según el consenso para esta enfermedad del Colegio Americano de Medicina Interna veterinaria (ACVIM).[ Keene BW, Atkins CE, Bonagura JD, et al. ACVIM consensus guidelines for the diagnosis and treatment of myxomatous mitral valve disease in dogs. J Vet Intern Med 2019; 33(3): 1127-1140. [PubMed] ]

Según este consenso se clasifican como pacientes con ECDM en estadio B2 aquellos que presentan un soplo sistólico de grado ≥3 sobre 6, un índice cardiovertebral (VHS) en radiografía >10,5, una ratio atrio izquierdo/ aorta (AI/Ao) ≥1,6 y el diámetro interno del ventrículo izquierdo normalizado a la superficie corporal (LVIDNd) ≥1,7.[ Keene BW, Atkins CE, Bonagura JD, et al. ACVIM consensus guidelines for the diagnosis and treatment of myxomatous mitral valve disease in dogs. J Vet Intern Med 2019; 33(3): 1127-1140. [PubMed] ] Se clasifica a los pacientes como estadio C de la ECDM si cumplen los criterios del estadio B2 y, además, presentan signos consistentes con ICC izquierda como disnea o taquipnea, y cambios en la radiografía torácica, como la presencia de patrón intersticial perihiliar o difuso, o patrón alveolar compatible con edema pulmonar.[ Keene BW, Atkins CE, Bonagura JD, et al. ACVIM consensus guidelines for the diagnosis and treatment of myxomatous mitral valve disease in dogs. J Vet Intern Med 2019; 33(3): 1127-1140. [PubMed] ] Se valoró la existencia de otros signos en la radiografía torácica, como disminución del diámetro de las vías respiratorias (tráquea y bronquios principales), presencia de patrón bronquial o imágenes compatibles con la presencia de masas a nivel torácico, tanto a nivel de parénquima pulmonar como de mediastino, buscando descartar la presencia de enfermedades respiratorias primarias que pudieran cursar con la misma sintomatología que la ICC izquierda. 

Se excluyeron del estudio los pacientes con patologías concomitantes a la ECDM, tanto cardíacas como de otros sistemas orgánicos, excepto la presencia de hipertensión pulmonar estimada mediante ecocardiografía.

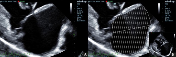
Se realizó la medición del volumen del atrio izquierdo con el método monoplano sumatorio de discos (MOD)[ Bouvard J, Thierry F, Culshaw GJ, et al. Assessment of left atrial volume in dogs: comparisons of two-dimensional and real-time three-dimensional echocardiography with ECG-gated multidetector computed tomography angiography. J Vet Cardiol 2019; 24: 64-77. [PubMed] ] a partir de la técnica de Simpson, que consiste en la medición del volumen del AI mediante la suma de los volúmenes de diferentes discos contiguos perpendiculares al eje mayor del AI generados por el software del ecógrafo, tras trazar el área del AI y su eje mayor de forma manual. Esta medición se realizó desde el corte paraesternal derecho longitudinal de 4 cámaras en telesístole, previo a la apertura de la válvula mitral (Fig. 1). Se siguió el borde endocárdico del atrio izquierdo, previo a la apertura de la válvula mitral en la telesístole cardíaca, sin incluir las venas pulmonares. Posteriormente, lo correlacionamos con el peso del paciente realizando la ratio: LAv/BW = volumen del atrio izquierdo (ml) / peso del paciente (kg).[ Höllmer M, Willesen JL, Tolver A, Koch J. Left atrial volume and function in dogs with naturally occurring myxomatous mitral valve disease. J Vet Cardiol 2017; 19(1): 24-34. [PubMed] , Höllmer M, Willesen JL, Tolver A, Koch J. Left atrial volume and phasic function in clinically healthy dogs of 12 different breeds. Vet J 2013; 197(3): 639-645. [PubMed] , Wesselowski S, Borgarelli M, Bello NM, Abbott J. Discrepancies in identification of left atrial enlargement using left atrial volume versus left atrial-to-aortic root ratio in dogs. J Vet Intern Med 2014; 28(5): 1527-1533. [PubMed] ]

ECDM. (A) Medida mediante MOD del volumen del AI. (B) Corte paraesternal derecho 4 cámaras, zoom AI. Ratio LA/BW = 3, 8 ml/kg.
Figura 1
ECDM. (A) Medida mediante MOD del volumen del AI. (B) Corte paraesternal derecho 4 cámaras, zoom AI. Ratio LA/BW = 3, 8 ml/kg.

Se llevó a cabo el estudio estadístico mediante el uso de un software comercial (Statgraphics, Statgraphics Technologies, Virginia), realizando una prueba ANOVA y Kruskal-Wallis. Se valoró si existían diferencias estadísticamente significativas (p<0,001) entre las medias y medianas de los diferentes estadios de la ECDM en la ratio LAv/BW, principalmente de los pacientes en estadio B2 y C[ Keene BW, Atkins CE, Bonagura JD, et al. ACVIM consensus guidelines for the diagnosis and treatment of myxomatous mitral valve disease in dogs. J Vet Intern Med 2019; 33(3): 1127-1140. [PubMed] ] de la enfermedad. Posteriormente, se valoró la especificidad y sensibilidad de este método para la detección de pacientes en ICC izquierda o según las guías ACVIM en estadio C[ Keene BW, Atkins CE, Bonagura JD, et al. ACVIM consensus guidelines for the diagnosis and treatment of myxomatous mitral valve disease in dogs. J Vet Intern Med 2019; 33(3): 1127-1140. [PubMed] ] mediante las fórmulas “sensibilidad = (animales realmente positivos/ positivos totales) x 100” y “especificidad = (animales realmente negativos/ negativos totales) x 100”, utilizando el valor de corte ≥2,25 ml/kg.[ Höllmer M, Willesen JL, Tolver A, Koch J. Left atrial volume and function in dogs with naturally occurring myxomatous mitral valve disease. J Vet Cardiol 2017; 19(1): 24-34. [PubMed] ] Esto permitió estimar si esta medida discriminaba entre pacientes con congestión venosa y sobrecarga de presión en el atrio izquierdo, es decir, pacientes que según los criterios de las guías ACVIM para la ECDM se encontrarían en un estadio C y, por tanto, en ICC izquierda, de los pacientes sin enfermedad cardíaca descompensada.

Resultados

Se incluyeron 205 pacientes con ECDM, con un peso medio de 11,24 kg (rango de 1,36-61 kg) y 35 razas diferentes, siendo los animales de raza mestiza y Yorkshire terrier los más representados. Una vez realizada la ratio LAv/BW, los animales se clasificaron en 4 estadios según las guías ACVIM[ Keene BW, Atkins CE, Bonagura JD, et al. ACVIM consensus guidelines for the diagnosis and treatment of myxomatous mitral valve disease in dogs. J Vet Intern Med 2019; 33(3): 1127-1140. [PubMed] ] para la ECDM: estadio B1 (80 pacientes), estadio B2 (72 pacientes), estadio C (41 pacientes) y estadio D (12 pacientes) (Tabla 1). 

Image
Tabla 1

Se observaron diferencias estadísticamente significativas (p<0,001) entre las medianas de los diferentes estadios de la ECDM en la ratio LAv/BW, excepto si se utilizaba para la diferenciación de los estadios C y D de la enfermedad (p>0,05) (Figs. 2 y 3).

Gráfico medianas de los diferentes estadios de la enfermedad degenerativa crónica de la válvula mitral respecto al ratio LAv/BW con un intervalo de confianza del 95 %.
Figura 2
Gráfico medianas de los diferentes estadios de la enfermedad degenerativa crónica de la válvula mitral respecto al ratio LAv/BW con un intervalo de confianza del 95 %.
Gráfico de dispersión del ratio LAv/BW respecto a los diferentes estadios de la enfermedad crónica degenerativa de la válvula mitral.
Figura 3
Gráfico de dispersión del ratio LAv/BW respecto a los diferentes estadios de la enfermedad crónica degenerativa de la válvula mitral.

Con los resultados obtenidos y utilizando como valor predictivo de ICC izquierda una ratio LAv/BW ≥2,25 ml/kg, se obtuvo una especificidad del 98,7 % y sensibilidad del 91,1 % en la detección de pacientes con ICC izquierda y, por lo tanto, en estadio C de la ECDM, respecto a pacientes con enfermedad cardíaca no descompensada, es decir, en estadios B1 o B2 de la ECDM.

Discusión

El diagnóstico correcto de pacientes con sintomatología respiratoria, como disnea o taquipnea, debido a la presencia de ICC izquierda secundaria a ECDM tiene gran importancia en la toma de decisiones terapéuticas, sobre todo en la consulta de urgencias. Por ello, es necesario la evaluación de parámetros que permitan su detección de forma sencilla para personal sin conocimientos profundos de ecocardiografía, pero sí entrenados en el examen FCU.[ DeFrancesco TC, Ward JL. Focused Canine Cardiac Ultrasound. Vet Clin North Am Small Anim Pract 2021; 51(6): 1203-1216. [PubMed] ]

La ratio LAv/BW ha sido estudiada con este propósito, pero obteniéndose mediante un método biplano área-longitud en los cortes paraesternales izquierdos 4 y 2 cámaras,[ Höllmer M, Willesen JL, Tolver A, Koch J. Left atrial volume and function in dogs with naturally occurring myxomatous mitral valve disease. J Vet Cardiol 2017; 19(1): 24-34. [PubMed] , Höllmer M, Willesen JL, Tolver A, Koch J. Left atrial volume and phasic function in clinically healthy dogs of 12 different breeds. Vet J 2013; 197(3): 639-645. [PubMed] , Wesselowski S, Borgarelli M, Bello NM, Abbott J. Discrepancies in identification of left atrial enlargement using left atrial volume versus left atrial-to-aortic root ratio in dogs. J Vet Intern Med 2014; 28(5): 1527-1533. [PubMed] ] siendo un método complicado de realizar para veterinarios sin entrenamiento y conocimientos profundos en ecocardiografía, como es el personal del servicio de urgencias. Se ha valorado la realización de mediciones desde el corte paraesternal derecho longitudinal 4 cámaras, ya que este corte ecocardiográfico se incluye en el entrenamiento para la realización de FCU.[ DeFrancesco TC, Ward JL. Focused Canine Cardiac Ultrasound. Vet Clin North Am Small Anim Pract 2021; 51(6): 1203-1216. [PubMed] ] Sin embargo, este tipo de examen ecográfico no comprende los cortes desde el hemitórax izquierdo utilizados anteriormente para obtener esta ratio.[ Höllmer M, Willesen JL, Tolver A, Koch J. Left atrial volume and function in dogs with naturally occurring myxomatous mitral valve disease. J Vet Cardiol 2017; 19(1): 24-34. [PubMed] , Höllmer M, Willesen JL, Tolver A, Koch J. Left atrial volume and phasic function in clinically healthy dogs of 12 different breeds. Vet J 2013; 197(3): 639-645. [PubMed] , Wesselowski S, Borgarelli M, Bello NM, Abbott J. Discrepancies in identification of left atrial enlargement using left atrial volume versus left atrial-to-aortic root ratio in dogs. J Vet Intern Med 2014; 28(5): 1527-1533. [PubMed] ]

Se ha decidido evaluar la ratio LAv/BW mediante el método MOD[ Bouvard J, Thierry F, Culshaw GJ, et al. Assessment of left atrial volume in dogs: comparisons of two-dimensional and real-time three-dimensional echocardiography with ECG-gated multidetector computed tomography angiography. J Vet Cardiol 2019; 24: 64-77. [PubMed] ] en el corte longitudinal 4 cámaras desde el hemitórax derecho, como método para evaluar de una forma objetiva el tamaño del AI para su inclusión dentro de un examen FCU[ DeFrancesco TC, Ward JL. Focused Canine Cardiac Ultrasound. Vet Clin North Am Small Anim Pract 2021; 51(6): 1203-1216. [PubMed] ] realizado por personal sin entrenamiento avanzado en ecocardiografía, previo entrenamiento en la obtención de la vista ecocardiográfica y la medición descrita. Se ha podido comprobar que la ratio LAv/BW mediante el método MOD[ Bouvard J, Thierry F, Culshaw GJ, et al. Assessment of left atrial volume in dogs: comparisons of two-dimensional and real-time three-dimensional echocardiography with ECG-gated multidetector computed tomography angiography. J Vet Cardiol 2019; 24: 64-77. [PubMed] ] en el corte longitudinal 4 cámaras desde el hemitórax derecho era capaz de detectar de forma adecuada los pacientes con ICC izquierda, que corresponderían a un estadio C de la ECDM.[ Keene BW, Atkins CE, Bonagura JD, et al. ACVIM consensus guidelines for the diagnosis and treatment of myxomatous mitral valve disease in dogs. J Vet Intern Med 2019; 33(3): 1127-1140. [PubMed] ]

A pesar de que en este trabajo no se realiza un estudio previo de validación de la técnica, siendo una limitación de este y de sus resultados, sí que se ha observado que la obtención del corte longitudinal 4 cámaras desde el hemitórax derecho requiere de una menor curva de aprendizaje y es de menor dificultad técnica que la realización de un corte transversal a la altura de la aorta y atrio izquierdo desde el hemitórax derecho para la obtención de una ratio AI/Ao. 

Basándonos en los resultados, la obtención de una ratio LAv/BW ≥2,25 ml/kg en un paciente disneico presenta una buena sensibilidad y especificidad para la detección de pacientes con ICC izquierda secundaria a ECDM, es decir, en estadio C, al compararlos con su clasificación mediante los criterios ACVIM de ECDM,[ Keene BW, Atkins CE, Bonagura JD, et al. ACVIM consensus guidelines for the diagnosis and treatment of myxomatous mitral valve disease in dogs. J Vet Intern Med 2019; 33(3): 1127-1140. [PubMed] ] al igual que el método biplano área-longitud.[ Höllmer M, Willesen JL, Tolver A, Koch J. Left atrial volume and phasic function in clinically healthy dogs of 12 different breeds. Vet J 2013; 197(3): 639-645. [PubMed] ] Esto permite la identificación de los pacientes disneicos por ICC izquierda secundaria a ECDM con una sensibilidad y especificidad similares a los criterios utilizados por las guías ACVIM[ Keene BW, Atkins CE, Bonagura JD, et al. ACVIM consensus guidelines for the diagnosis and treatment of myxomatous mitral valve disease in dogs. J Vet Intern Med 2019; 33(3): 1127-1140. [PubMed] ] para la ECDM y, por tanto, permitiría seleccionar una terapia adecuada para la estabilización del paciente, como el uso de terapia diurética y pimobendán, que no sería efectiva en pacientes, por ejemplo, con enfermedad respiratoria primaria. Se facilitaría así un tratamiento adecuado hasta que se realice una valoración ecocardiográfica completa del paciente por un especialista. 

A pesar de estos resultados, sería necesario la evaluación de este parámetro en otras causas de ICC izquierda, como la cardiomiopatía dilatada canina, y evaluar la variabilidad interoperador e intraoperador, principalmente al ser realizada por personal sin entrenamiento avanzado en ecocardiografía, para una mayor seguridad en su uso. Debería incluirse la realización de un estudio prospectivo con personal entrenado en la realización de un examen FCU[ DeFrancesco TC, Ward JL. Focused Canine Cardiac Ultrasound. Vet Clin North Am Small Anim Pract 2021; 51(6): 1203-1216. [PubMed] ] y esta medición ecocardiográfica, y la correlación de sus resultados con los obtenidos por personal especializado en cardiología, utilizando los criterios de clasificación de las guías ACVIM de la ECDM.[ Keene BW, Atkins CE, Bonagura JD, et al. ACVIM consensus guidelines for the diagnosis and treatment of myxomatous mitral valve disease in dogs. J Vet Intern Med 2019; 33(3): 1127-1140. [PubMed] ]

En conclusión, la utilización de la ratio LAv/BW mediante el método MOD,[ Bouvard J, Thierry F, Culshaw GJ, et al. Assessment of left atrial volume in dogs: comparisons of two-dimensional and real-time three-dimensional echocardiography with ECG-gated multidetector computed tomography angiography. J Vet Cardiol 2019; 24: 64-77. [PubMed] ] de forma aislada o asociada a otras mediciones obtenidas en el corte paraesternal derecho longitudinal 4 cámaras,[ Schober KE, Hart TM, Stern JA, et al. Detection of congestive heart failure in dogs by Doppler echocardiography. J Vet Intern Med 2010; 24(6): 1358-1368. [PubMed] , Marchesotti F, Vezzosi T, Tognetti R, et al. Left atrial anteroposterior diameter in dogs: reference interval, allometric scaling, and agreement with the left atrial-to-aortic root ratio. J Vet Med Sci 2019; 81(11): 1655-1662. [PubMed] , Merveille AC, Bolen G, Krafft E, et al. Pulmonary vein-to-pulmonary artery ratio is an echocardiographic index of congestive heart failure in dogs with degenerative mitral valve disease. J Vet Intern Med 2015; 29(6): 1502-1509. [PubMed] ] puede permitir reconocer a los pacientes con ICC izquierda secundaria a ECDM, es decir, pacientes en estadio C de la ECDM según las guías ACVIM,[ Keene BW, Atkins CE, Bonagura JD, et al. ACVIM consensus guidelines for the diagnosis and treatment of myxomatous mitral valve disease in dogs. J Vet Intern Med 2019; 33(3): 1127-1140. [PubMed] ] por veterinarios entrenados en la realización de un examen FCU[ DeFrancesco TC, Ward JL. Focused Canine Cardiac Ultrasound. Vet Clin North Am Small Anim Pract 2021; 51(6): 1203-1216. [PubMed] ] de forma rápida y causando poco estrés en el paciente, facilitando así la toma de decisiones terapéuticas adecuadas y evitando errores diagnósticos en los pacientes disneicos.

 

Fuente de financiación: no existen fuentes de financiación para este estudio. 

Conflicto de intereses: el autor no presenta conflictos de intereses.

Bibliografía

  1. [1] Höllmer M, Willesen JL, Tolver A, Koch J. Left atrial volume and function in dogs with naturally occurring myxomatous mitral valve disease. J Vet Cardiol 2017; 19(1): 24-34. [PubMed]
  2. [2] Höllmer M, Willesen JL, Tolver A, Koch J. Left atrial volume and phasic function in clinically healthy dogs of 12 different breeds. Vet J 2013; 197(3): 639-645. [PubMed]
  3. [3] Schober KE, Hart TM, Stern JA, et al. Detection of congestive heart failure in dogs by Doppler echocardiography. J Vet Intern Med 2010; 24(6): 1358-1368. [PubMed]
  4. [4] Marchesotti F, Vezzosi T, Tognetti R, et al. Left atrial anteroposterior diameter in dogs: reference interval, allometric scaling, and agreement with the left atrial-to-aortic root ratio. J Vet Med Sci 2019; 81(11): 1655-1662. [PubMed]
  5. [5] Merveille AC, Bolen G, Krafft E, et al. Pulmonary vein-to-pulmonary artery ratio is an echocardiographic index of congestive heart failure in dogs with degenerative mitral valve disease. J Vet Intern Med 2015; 29(6): 1502-1509. [PubMed]
  6. [6] Wesselowski S, Borgarelli M, Bello NM, Abbott J. Discrepancies in identification of left atrial enlargement using left atrial volume versus left atrial-to-aortic root ratio in dogs. J Vet Intern Med 2014; 28(5): 1527-1533. [PubMed]
  7. [7] Keene BW, Atkins CE, Bonagura JD, et al. ACVIM consensus guidelines for the diagnosis and treatment of myxomatous mitral valve disease in dogs. J Vet Intern Med 2019; 33(3): 1127-1140. [PubMed]
  8. [8] DeFrancesco TC, Ward JL. Focused Canine Cardiac Ultrasound. Vet Clin North Am Small Anim Pract 2021; 51(6): 1203-1216. [PubMed]
  9. [9] Bouvard J, Thierry F, Culshaw GJ, et al. Assessment of left atrial volume in dogs: comparisons of two-dimensional and real-time three-dimensional echocardiography with ECG-gated multidetector computed tomography angiography. J Vet Cardiol 2019; 24: 64-77. [PubMed]

Artículos recomendados

Estas recomendaciones se ofrecen de forma automática.

  • Pérdida de consciencia en consulta de un paciente canino secundaria a rotura del atrio izquierdo

    O. Monge-Utrilla, N. de Andrés-Fernández
    Clin Vet Peq Anim Vol. 44 - Nº 1 · MAR 2024 · Artículo original referido a un solo caso clínico
  • Manejo anestésico del paciente con patología cardiaca adquirida

    A. Martinez-Albiñana, Q. Plaza-del Castaño, N. Aguilar-Gallego, et al.
    Clin Vet Peq Anim Vol. 42 - Nº 3 · SEP 2022 · Artículos de Revisión
  • A-FAST y T-FAST (Parte II) – Ecografía abdominal y torácica en urgencias

    N. Aguilar-Gallego, A. García-Fernández
    Clin Vet Peq Anim Vol. 42 - Nº 2 · JUN 2022 · Artículos de Revisión
  • Inicio
  • Introducción
  • Materiales y métodos
  • Resultados
  • Discusión
  • Bibliografía
Artículo anterior Índice de la revista Artículo siguiente
ANUNCIO
Próximos cursos ATVs Elearning
Índice
Inicio Introducción Materiales y métodos Resultados Discusión Bibliografía
Boehringer - NexGard
ANUNCIO

¿No eres socio de AVEPA y quieres recibir comunicación de las nuevas ediciones en tu correo?

Suscríbete

Suscríbete y te avisaremos cuando publiquemos un nuevo número

Suscribirme

Enlaces rápidos

  • Inicio
  • Último número
  • Archivo
  • Artículos

Información

  • Comité editorial
  • Política de cookies
  • Política de privacidad
  • Términos y condiciones

Contacto

  • info@imaginice.com
  • Envíanos tu artículo
© 2026 Ice Salud Vet SL. Todos los derechos reservados.

Usamos cookies para mejorar tu experiencia. Selecciona cuáles aceptas: