Logo AVEPA

Clínica Veterinaria de Pequeños Animales

Revista oficial de AVEPA

  • Inicio
  • Último número
  • Archivo
  • Artículos
  • Para autores
  • Contacto
Cursos Junio-Septiembre 2026
ANUNCIO

Clínica Veterinaria de Pequeños Animales

Revista oficial de AVEPA

  • Inicio
  • Último número
  • Archivo
  • Artículos
  • Para autores
  • Contacto
Curso Oftalmología 2026
ANUNCIO
Clin Vet Peq Anim Vol. 44 • Nº 3 • septiembre 2024

Resolución de una deformación angular en un miembro torácico de un perro de raza grande empleando guías quirúrgicas específicas

Resolution of the angular deformity in a thoracic limb of a large breed dog using specific surgical guides

Artículo original referido a un solo caso clínico

T. Fernández-González

TFG. Alameda 6. 28014 Madrid

M. López-Faisano

Medivet. Delicias 35. 28045 Madrid

J. Pérez-Rodriguez

Medivet. Delicias 35. 28045 Madrid

A. Puentes-Madarnás

BETA Implants. Polígono Veigadaña, Anel do Perral 47. 36416 Mos (Pontevedra)

V. Reinoso-Fernández

BETA Implants. Polígono Veigadaña, Anel do Perral 47. 36416 Mos (Pontevedra)

Contacto: tomas.fernandez.vet@gmail.com
Palabras clave: deformidad angular, placa de crecimiento, guías quirúrgicas específicas.
Keywords: angular deformity, growth plate, specific surgical guides.

Clin Vet Peq Anim 2024, 44 (3): 163-170

Descargar artículo

Resumen

En este trabajo se describe el tratamiento quirúrgico de una deformidad angular en el miembro torácico de un perro de raza grande, debido a un cierre prematuro de la placa de crecimiento distal del cúbito, también llamada fisis o placa epifisaria, utilizando para ello guías quirúrgicas específicas.

Abstract

This work describes the surgical treatment of an angular deformity in the thoracic limb of a large breed dog, driven by a premature closure of the ulna’s distal growth plate, also known as physis or epiphyseal plate, using specific surgical guides.

AVEPA Elearning

La presencia de este logo en un artículo de la revista indica que se publicará un examen sobre el mismo en la plataforma AVEPA Elearning. Su resolución aporta 0,15 créditos dentro del sistema de acreditaciones de especialidades veterinarias de AVEPA.

Introducción

Las deformaciones en los miembros torácicos de los perros (principalmente de razas grandes) generan a menudo anomalías estéticas y problemas funcionales graves, traduciéndose muchos de ellos en cojeras y dolor.[ Fernández T, Gómez L, Ríos A. Deformaciones en los miembros anteriores del perro, como consecuencia de alteraciones en el crecimiento del cúbito. Clin Vet Peq Anim 1990; 10(3): 19-66. , Fox DB. Physeal injuries and angular limb deformities.Vet Clin North Am Small Anim Pract 2021; 51(2): 305-322. [PubMed] ] Aunque estas malformaciones se pueden deber a múltiples causas, nosotros nos vamos a referir en el caso que nos ocupa a un trastorno en el crecimiento de uno de los huesos del antebrazo, el cúbito, que al someter al radio a una tensión progresiva, le va a generar al animal una deformidad en una de las extremidades anteriores en forma de “valgus” (desviación lateral), “curvus o procurvatum” (arqueamiento anterior con desviación del área distal del miembro hacia caudal) y “supinación” (rotación o torsión externa).[ Fernández T, Gómez L, Ríos A. Deformaciones en los miembros anteriores del perro, como consecuencia de alteraciones en el crecimiento del cúbito. Clin Vet Peq Anim 1990; 10(3): 19-66. , Fox DB. Physeal injuries and angular limb deformities.Vet Clin North Am Small Anim Pract 2021; 51(2): 305-322. [PubMed] ] El cúbito y radio, como todos los huesos largos, pueden sufrir alteraciones en su desarrollo si durante el crecimiento se lesiona alguna placa epifisaria. En este sentido, hay que tener en cuenta que la epífisis distal del cúbito es muy vulnerable y susceptible de lesionarse por su especial morfología en forma de “punta de flecha” y que, cuando lo hace, las consecuencias pueden ser graves. A diferencia de las otras epífisis, como, por ejemplo, las del propio radio en las que el crecimiento del hueso está muy repartido entre la epífisis proximal (40 a 50 %) y la distal (50 a 60 %), en el cúbito el crecimiento depende en un 85 % de la epífisis distal, por lo que cualquier lesión en esta epífisis hace que se paralice el crecimiento del hueso o se ralentice, lo que se saldaría con una importante deformidad del antebrazo; la falta de crecimiento longitudinal de este hueso obligaría al radio, que seguiría creciendo en longitud, a adaptarse a la falta de crecimiento del cúbito (al estar articulados ambos en los extremos), provocando, como principal anomalía, una deformidad “valga” del antebrazo.[ Fernández T, Gómez L, Ríos A. Deformaciones en los miembros anteriores del perro, como consecuencia de alteraciones en el crecimiento del cúbito. Clin Vet Peq Anim 1990; 10(3): 19-66. , Fox DB. Physeal injuries and angular limb deformities.Vet Clin North Am Small Anim Pract 2021; 51(2): 305-322. [PubMed] ]

Cuando no ha concluido el desarrollo del animal, se puede intentar un tratamiento dinámico encaminado a reorientar los huesos del antebrazo y reducir el “valgus”, ayudándonos del potencial que nos queda en el radio, cuya placa distal de crecimiento podría seguir activa hasta los 318 días (10 meses y medio, aproximadamente).[ Fox DB. Physeal injuries and angular limb deformities.Vet Clin North Am Small Anim Pract 2021; 51(2): 305-322. [PubMed] , Fox DB, Tomlinson JL, Cook JL et al. Principles of uniapical and biapical radial deformity correction using dome osteotomies and the center of rotation of angulation methodology in dogs. Vet Surg 2006; 35(1): 67-77. [PubMed] ] Para ello, se puede liberar la tensión que ejerce el cúbito mediante una ostectomía distal en este hueso. Antiguamente también se colocaban una o dos grapas en los aspectos craneal y medial de la epífisis del radio con el fin de ralentizar el crecimiento en estas áreas.[ Fernández T, Gómez L, Ríos A. Deformaciones en los miembros anteriores del perro, como consecuencia de alteraciones en el crecimiento del cúbito. Clin Vet Peq Anim 1990; 10(3): 19-66. ]

Sin embargo, si se ha llegado al final del desarrollo de los huesos largos o el remanente que queda es muy reducido, habrá que hacer sendas osteotomías de cúbito y radio encaminadas a conseguir enfrentar de forma adecuada la articulación del codo respecto a la del carpo, perdiendo la longitud menor posible en ambos huesos y consiguiendo la mejor alineación de los mismos.[ Fox DB, Tomlinson JL, Cook JL et al. Principles of uniapical and biapical radial deformity correction using dome osteotomies and the center of rotation of angulation methodology in dogs. Vet Surg 2006; 35(1): 67-77. [PubMed] , Dismukes DI, Fox DB, Tomlinson JL et al. Use of radiographic measures and three-dimensional computed tomographic imaging in surgical correction of an antebrachial deformity in a dog. J Am Vet Med Assoc 2008; 232(1): 68-73. [PubMed] , Knapp JL, Tomlinson JL, Fox DB. Classification of angular limb deformities affecting the canine radius and ulna using the center of rotation of angulation method. Vet Surg 2016; 45(3): 295-302. [PubMed] ] Es precisamente en este sentido donde la planificación quirúrgica a partir de las imágenes en 3D que obtenemos de una tomografía computarizada (TC) y el consiguiente diseño de guías específicas para el paciente se han mostrado muy útiles para resolver estas deformaciones, tal y como muestra este trabajo.[ Worth AJ, Crosse KR, Kersley A. Computer-assisted surgery using 3D printed saw guides for acute correction of antebrachial angular limb deformities in dogs. Vet Comp Orthop Traumatol 2019; 32(3): 241-249. [PubMed] , Hall EL, Baines S, Bilmont A et al. Accuracy of patient-specific three-dimensional-printed osteotomy and reduction guides for distal femoral osteotomy in dogs with medial patella luxation. Vet Surg 2019; 48(4): 584-591. [PubMed] ]

Caso clínico

Se trata de una perra, de raza Mastín, que tenía 7 meses y medio de edad cuando fue atendida por primera vez, y cuyo motivo de consulta era que presentaba una gran deformación en "valgus" del miembro torácico derecho, debido, al parecer, a una lesión de la placa epifisaria de crecimiento distal del cúbito como consecuencia de la retención de un núcleo de cartílago a nivel de la metáfisis distal de este hueso. Las imágenes de la TC que se realizó para verificar la lesión pusieron de manifiesto que la retención de un núcleo de cartílago en la metáfisis también se encontraba presente en el cúbito izquierdo, pero sin apenas consecuencias para el animal, ya que el "valgus" en este otro lado era apenas inapreciable, no así un cierto arqueamiento craneal del radio, que era común en ambos antebrazos. En lo que respecta al ámbito clínico, el animal no parecía presentar cojera vinculada a lesión en los codos, en los que no se detectó efusión sinovial, ni una incongruencia articular destacable en las radiografías y posterior TC.

Tras analizar el caso y conscientes de que aunque la paciente estaba cercana a finalizar el crecimiento de sus huesos largos, todavía le quedaba un cierto remanente para alcanzar la longitud total de los mismos, se decidió intentar una corrección dinámica en el miembro torácico derecho, basada en aprovechar el potencial de crecimiento que supuestamente le quedaba (sobre todo en el radio) con el fin de reducir, al menos parcialmente, la deformidad. Para ello se realizó una ostectomía distal de cúbito, retirándose una porción de hueso de la diáfisis distal de aproximadamente unos dos centímetros y medio, con su correspondiente periostio. Todo ello tenía como fin el liberar al radio de la tensión a la que le sometía el cúbito para que, a partir de ese momento, dejase de actuar como una cuerda restrictiva frente al crecimiento del radio y tratar así de conseguir reducir el "valgus", además de la torsión externa y el arqueamiento craneal “curvus”.

Sin embargo, aunque hubo una cierta mejoría y se redujo algo la deformidad, cuando el animal había terminado su desarrollo y se acercaba al año de edad, se pudo comprobar que el resultado era insuficiente para las expectativas creadas, encontrándonos, tras terminar el crecimiento, con una anomalía anatómica que seguía afectando la funcionalidad de la paciente, por lo que, finalmente, se decidió realizar una corrección quirúrgica definitiva.

Planificación y cirugía

La planificación de la corrección angular se realizó apoyándonos en el estudio que, a partir de una segunda TC, hicieron los ingenieros de la empresa BETA Implants mediante la aplicación de la metodología CORA (Centro de Rotación de la Angulación) para: 

1. determinar la deformación existente;

2. estimar la corrección que habría que realizar a partir de osteotomías asistidas por guías de corte y alineación hechas a medida para la paciente mediante impresión en 3D, usando una resina polimérica, biocompatible y esterilizable en autoclave;

3. y, por último, planificar la posterior estabilización del radio con placas bloqueadas. 

En primer lugar, se llevó a cabo un estudio anatómico en el que se incluyeron tanto el radio derecho como el izquierdo. Esta metodología tiene como objetivo determinar el punto exacto (CORA) donde se debería efectuar el corte y la posterior corrección de la deformación ósea para conseguir su realineación fisiológica y biomecánica, mediante el uso de los ejes anatómicos y mecánicos, las líneas de orientación articular y los ángulos articulares.

Estas mediciones angulares nos permiten comparar el radio afectado con uno estándar y cuantificar cuánto se desvía de los valores morfológicos. Además, es clave realizar dichas mediciones también en la extremidad contralateral (Fig. 1), porque, en caso de no presentar ninguna patología o síntomas clínicos, nos permite aproximar la corrección y respetar en la medida de lo posible la distribución simétrica de cargas.[ Fox DB, Tomlinson JL, Cook JL et al. Principles of uniapical and biapical radial deformity correction using dome osteotomies and the center of rotation of angulation methodology in dogs. Vet Surg 2006; 35(1): 67-77. [PubMed] , Dismukes DI, Fox DB, Tomlinson JL et al. Use of radiographic measures and three-dimensional computed tomographic imaging in surgical correction of an antebrachial deformity in a dog. J Am Vet Med Assoc 2008; 232(1): 68-73. [PubMed] , Knapp JL, Tomlinson JL, Fox DB. Classification of angular limb deformities affecting the canine radius and ulna using the center of rotation of angulation method. Vet Surg 2016; 45(3): 295-302. [PubMed] ]

Comparativa en 3D de ambas extremidades con la correspondiente deformidad.
Figura 1
Comparativa en 3D de ambas extremidades con la correspondiente deformidad.

Una vez realizadas estas mediciones, se puede determinar el CORA. La metodología que lleva por nombre este acrónimo se adaptó de la medicina humana y se aplicó al terreno de la veterinaria en 2006 para proporcionar un sistema de clasificación de deformidades angulares de las extremidades y una planificación preoperatoria, utilizando un vocabulario universal que puede aplicarse a cualquier deformidad de los huesos largos.[ Fox DB, Tomlinson JL, Cook JL et al. Principles of uniapical and biapical radial deformity correction using dome osteotomies and the center of rotation of angulation methodology in dogs. Vet Surg 2006; 35(1): 67-77. [PubMed] ]

Dicha metodología se basa en vistas ortogonales que muestran la posición de las articulaciones, ya que su orientación es el punto de partida para luego determinar la alineación de los huesos y las extremidades.

Las líneas que representan la orientación de las articulaciones, o líneas de orientación articular, se trazan a través de puntos de referencia anatómicos predefinidos. A continuación, se determinan los ejes óseos en función de sus ángulos de intersección con las líneas de orientación articular, utilizando patrones de referencia o la propia extremidad contralateral, si no está afectada.

Si se elucidan más ejes de los que suelen existir para el hueso en cuestión, la intersección de los ejes óseos correspondería al vértice de la deformidad (o deformidades), lo que da lugar a la identificación de un CORA. Por ejemplo, el radio canino posee un eje anatómico singular en el plano frontal. Si se examina un radio concreto utilizando el método CORA y se establece que posee dos ejes anatómicos en el plano frontal que se cruzan dentro de las corticales del hueso, entonces la intersección de los ejes definiría una deformidad singular y se consideraría una deformidad uniapical.[ Knapp JL, Tomlinson JL, Fox DB. Classification of angular limb deformities affecting the canine radius and ulna using the center of rotation of angulation method. Vet Surg 2016; 45(3): 295-302. [PubMed] ] En nuestro caso, el CORA quedó determinado por la intersección de dos ejes anatómicos (líneas rosas en Figs. 1 y 2). Por tanto, en este punto es donde se realizará el corte y posterior giro del fragmento distal para realinear cúbito y radio, es decir, el punto donde se efectuará la ostectomía en estos huesos que al haber quedado unidos se tratarán en bloque (Fig. 2). 

Simulación en 3D de la ostectomía correctiva que se ha de realizar según el software, una vez obtenido el CORA.
Figura 2
Simulación en 3D de la ostectomía correctiva que se ha de realizar según el software, una vez obtenido el CORA.

Tradicionalmente, la planificación de estas correcciones se realizaba sobre radiografías que servían de soporte para calcular y localizar el CORA. Sin embargo, la rectificación de la deformidad que se obtenía con esta metodología, usando tan solo radiografías, no ofrecía el mismo grado de rigor que con las propuestas actuales, ni permitía la corrección en todas las orientaciones. Con el avance de la tecnología (incorporación de la TC) y la experiencia en el ámbito de la traumatología y ortopedia humana, empieza a tener relevancia el empleo de guías quirúrgicas específicas. Estos dispositivos permiten reducir el tiempo de cirugía, aumentar la precisión (obteniendo mejores resultados) y disminuir errores en quirófano. Estas guías están diseñadas para encajar perfectamente sobre el hueso, puesto que se ha copiado la geometría de la TC, contando con dos ranuras para introducir la hoja de la sierra y realizar los cortes, con la orientación necesaria para obtener la corrección prevista (Fig. 3A).[ Worth AJ, Crosse KR, Kersley A. Computer-assisted surgery using 3D printed saw guides for acute correction of antebrachial angular limb deformities in dogs. Vet Comp Orthop Traumatol 2019; 32(3): 241-249. [PubMed] , Hall EL, Baines S, Bilmont A et al. Accuracy of patient-specific three-dimensional-printed osteotomy and reduction guides for distal femoral osteotomy in dogs with medial patella luxation. Vet Surg 2019; 48(4): 584-591. [PubMed] ] En este caso, se planificó la corrección para modificar la deformidad angular que sufrían cúbito y radio, adaptando lo más posible la anatomía de estos huesos a su conformación espacial deseable (en sus tres planos anatómicos: sagital, frontal y transverso), que en ocasiones es la del miembro contralateral, si en este no hay deformidad o es mínima.

(A) Reproducción en 3D de la aplicación de la guía quirúrgica que permitirá realizar los cortes adecuados sobre el cúbito y radio (ostectomía) posibilitando así la mejor alineación de estos huesos. (B). Imagen de la colocación de la guía quirúrgica durante la intervención.
Figura 3
(A) Reproducción en 3D de la aplicación de la guía quirúrgica que permitirá realizar los cortes adecuados sobre el cúbito y radio (ostectomía) posibilitando así la mejor alineación de estos huesos. (B). Imagen de la colocación de la guía quirúrgica durante la intervención.

Para realizar la cirugía se siguió la metodología habitual en lo que se refiere a anestesia [premedicación: dexmedetomidina 0,5 mg/ml (Dexmopet, Fatro) 2 microgramos/kg IV, y metadona 10 mg/ml (Metasedin, solución inyectable, Esteve) 0,2 mg/kg IV; inducción: midazolam 5 mg/ml (Midazolam, Normon) 0,3 mg/kg IV y propofol 10 mg/ml (Propofol Lipuro, Braun) 4 mg/kg IV; mantenimiento: isoflurano (Isoflurin líquido para inhalación, Fatro) al 1,5 % con flujo de oxígeno, 1 litro/minuto a través de tubo intratraqueal del número 11, y fluidoterapia IV con cristaloides (suero lactato – RingerVet, Braun) 3 ml/kg/hora)]. Adicionalmente, se realizó un mantenimiento con infusión continua IV de fentanilo 0,05 mg/ml (Fentanest, Kern Farma) 5 microgramos/kg/hora y ketamina (Ketamidor 100 mg/ml, Richter Farma) 1 mg/kg/hora. La monitorización realizada fue básica con medición de saturación de oxígeno, temperatura, presión arterial y fracción espirada final de dióxido de carbono. La paciente fue posicionada en decúbito supino con tracción del miembro hacia caudal.

Tras exponer el radio, el primer paso consistió en posicionar la guía de corte en la zona cráneo/medial del área media/distal de este hueso (según lo planificado), fijando temporalmente su posición con la ayuda de 4 agujas introducidas a través de los orificios proximales y distales de la guía. Una vez fijada, se realizaron los cortes con una sierra oscilante recta a través de las dos ranuras del dispositivo (Fig. 3B). A continuación, en un segundo paso, se retiró la guía de corte y se sustituyó por la de alineación, empleando el mismo sistema de fijación con agujas para conseguir la reducción de los fragmentos, según la planificación prevista. Esta segunda guía está diseñada para poder mantener en la posición adecuada los fragmentos mientras se estabilizan con la placa principal (Fig. 4A). En este caso, se colocó en primer lugar y como principal una placa bloqueada tipo puente que aplicamos sobre el área craneal del radio, con tornillos de 3,5 mm de diámetro (Fig. 4B). Posteriormente, colocamos otra placa de bloqueo auxiliar, de tipo multiorificios por el aspecto medial, con tornillos de 2,7 mm de diámetro para reforzar la estabilización.

(A) Reproducción en 3D de la aplicación de la guía de alineación para mantener la fijación de los huesos mientras se coloca la placa principal. (B) Aspecto de la placa puente recién colocada junto a la guía de alineación.
Figura 4
(A) Reproducción en 3D de la aplicación de la guía de alineación para mantener la fijación de los huesos mientras se coloca la placa principal. (B) Aspecto de la placa puente recién colocada junto a la guía de alineación.

Tras retirar la guía de alineación se procedió al cierre de la herida quirúrgica y posterior vendaje.

Postoperatorio

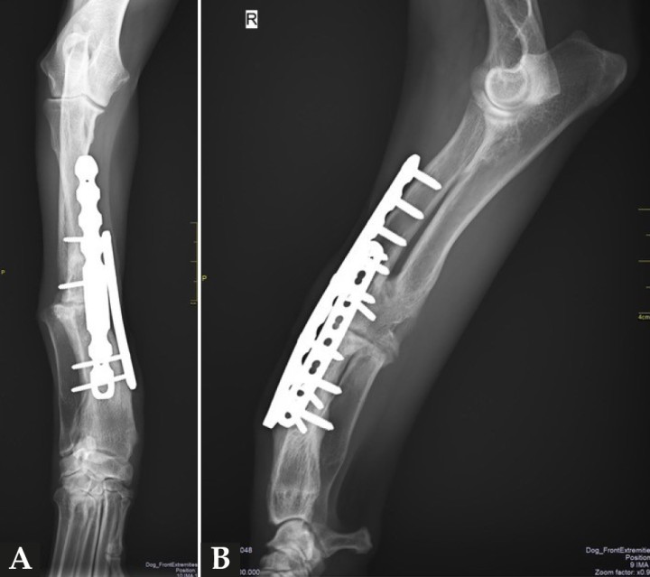
Después de la cirugía se analizaron las radiografías postoperatorias, realizándose las mismas mediciones que en la planificación, y observándose cómo los valores obtenidos tras la cirugía se correspondían con los valores planificados (Fig. 5). Se colocó un vendaje postoperatorio sencillo durante 14 días, para evitar la manipulación del área quirúrgica por parte de la paciente, lo que facilitó una cicatrización correcta de la herida y una buena recuperación del animal, que comenzó a caminar con normalidad a los pocos días de la intervención (Fig. 6).

Proyecciones radiográficas craneocaudal y mediolateral posquirúrgicas. Las radiografías muestran el resultado tras la cirugía.
Figura 5
Proyecciones radiográficas craneocaudal y mediolateral posquirúrgicas. Las radiografías muestran el resultado tras la cirugía.
Imágenes del animal antes y después de la corrección definitiva.
Figura 6
Imágenes del animal antes y después de la corrección definitiva.

Evolución

En cuanto a la evolución, resulta vital realizar radiografías de seguimiento postoperatorio con cierta periodicidad (Fig. 7). Esto nos permite tener un control adecuado del animal y actuar lo antes posible si se presentase algún contratiempo. En el caso que nos ocupa, además de las radiografías postoperatorias realizadas tras la cirugía correctiva y las efectuadas antes de retirar los implantes, se realizó una TC de revisión tras la extracción de los mismos (al año y dos meses de su colocación), observándose en 3D una buena remodelación y alineación de los huesos. Si comparamos estas imágenes de TC con las primeras, es decir, con las de la planificación quirúrgica antes de la corrección, se puede observar que la superposición de ambas TC muestra una alta precisión en lo que respecta al resultado obtenido (Fig. 8).

Proyecciones radiográficas (A) craneocaudal y (B) mediolateral a los 4 meses de la cirugía. Las imágenes muestran la avanzada consolidación de la ostectomía.
Figura 7
Proyecciones radiográficas (A) craneocaudal y (B) mediolateral a los 4 meses de la cirugía. Las imágenes muestran la avanzada consolidación de la ostectomía.
(A) Reconstrucción en 3D de los huesos del antebrazo afectado antes de realizar la ostectomía y colocar los implantes y (B) después de retirarlos.
Figura 8
(A) Reconstrucción en 3D de los huesos del antebrazo afectado antes de realizar la ostectomía y colocar los implantes y (B) después de retirarlos.

Discusión

El cierre prematuro de la placa de crecimiento distal del cúbito y las consiguientes deformaciones que este hecho origina son las complicaciones más comunes en las lesiones de todas las placas epifisarias del perro. Asimismo, está comprobado que estas deformidades se dan con cierta frecuencia en perros de razas grandes y gigantes, sin causa aparente alguna o al menos sin una fácil de concretar, como son problemas nutricionales y retención de núcleos de cartílago (como el caso que nos ocupa), aunque también pueden observarse en animales de otras razas, tras sufrir traumatismos que afecten a la placa distal de crecimiento de alguno de los cúbitos.[ Fernández T, Gómez L, Ríos A. Deformaciones en los miembros anteriores del perro, como consecuencia de alteraciones en el crecimiento del cúbito. Clin Vet Peq Anim 1990; 10(3): 19-66. , Fox DB. Physeal injuries and angular limb deformities.Vet Clin North Am Small Anim Pract 2021; 51(2): 305-322. [PubMed] ] Aquí la deformidad estaba vinculada de una forma muy especial a una de las extremidades, siendo poco manifiesta en la otra, que solo presentaba un cierto arqueamiento craneal, pese a que la retención de cartílago se detectó en las dos. Por otro lado, en este caso como en otros que se describen en la literatura, el problema se limitaba a una deformidad angular lateral y rotacional del antebrazo derecho (“valgus” y “supinación”) junto al arqueamiento anterior o craneal (“curvus”) de las dos extremidades, que ya hemos mencionado, no generando alteraciones articulares de importancia, pero sí un trastorno funcional grave (además de una anomalía estética importante), que le impedía desplazarse con normalidad. 

En este animal, tal y como se ha comentado en la introducción y en la descripción del caso clínico, se intentó primero una técnica dinámica (ostectomía distal de cúbito) para intentar reducir la deformidad, tal y como sugieren algunos autores,[ Fox DB. Radius and ulna. En Tobias KM, Jonhston SA, editors: Veterinary Surgery small animal (vol1). St Louis (MO), Elsevier 2012; 760-784. ] aprovechando el remanente de crecimiento que todavía quedaba, pero no se obtuvo la mejoría deseada y hubo que recurrir a una realineación quirúrgica mediante una ostectomía correctiva.

La planificación de este tipo de cirugía exige un estudio radiológico o de tomografía computarizada previo con el objeto de determinar la localización, el ángulo y la orientación de la osteotomía. El cálculo de los ejes frontal y sagital (FPA y SPA), así como de los ángulos radial medial proximal y radial lateral distal (aMPRA y aLDRA) y el centro de rotación de la angulación (CORA) es fundamental para realizar de forma adecuada la corrección de la deformidad angular.[ Fox DB, Tomlinson JL, Cook JL et al. Principles of uniapical and biapical radial deformity correction using dome osteotomies and the center of rotation of angulation methodology in dogs. Vet Surg 2006; 35(1): 67-77. [PubMed] , Dismukes DI, Fox DB, Tomlinson JL et al. Use of radiographic measures and three-dimensional computed tomographic imaging in surgical correction of an antebrachial deformity in a dog. J Am Vet Med Assoc 2008; 232(1): 68-73. [PubMed] , Knapp JL, Tomlinson JL, Fox DB. Classification of angular limb deformities affecting the canine radius and ulna using the center of rotation of angulation method. Vet Surg 2016; 45(3): 295-302. [PubMed] , Fox DB, Tomlinson JL. Principles of angular limb deformity correction. En Tobias KM, Jonhston SA, editors: Veterinary Surgery small animal (vol 1). St. Louis (MO), Elsevier 2012; 657-668. ] En el caso expuesto, el modelo tridimensional obtenido tras el estudio de TC permitió evaluar con mucha precisión el tipo de deformidad, lo que no siempre es posible con el estudio radiológico simple.[ Kim SY, Snowdon KA, DeCamp CE. Single oblique osteotomy for correction of antebrachial angular and torsional deformities in a dog. J Am Vet Med Assoc 2017; 251(3): 333-339. [PubMed] ]

Se han descrito numerosos métodos para estabilizar la osteotomía del radio, que incluyen sistemas de fijación externa (fijadores externos) e interna (colocación de placas y tornillos). La elección dependerá de diversos factores, tales como la localización, el número y el tipo de osteotomías requeridas, la edad, el carácter del paciente o la contractura secundaria de los tejidos blandos, además de la preferencia del cirujano.[ Fox DB, Tomlinson JL. Principles of angular limb deformity correction. En Tobias KM, Jonhston SA, editors: Veterinary Surgery small animal (vol 1). St. Louis (MO), Elsevier 2012; 657-668. ] Las complicaciones asociadas a los fijadores externos se han descrito en numerosos estudios, tales como movilización de las agujas, infecciones y mala tolerancia por parte de los pacientes y tutores; por otro lado, la colocación de placas impide el ajuste posterior en la alineación, en caso de ser necesario, que sí podría realizarse con la fijación externa.[ Kim SY, Snowdon KA, DeCamp CE. Single oblique osteotomy for correction of antebrachial angular and torsional deformities in a dog. J Am Vet Med Assoc 2017; 251(3): 333-339. [PubMed] , Balfour RJ, Boudrieau RJ, Gores BR. T-plate fixation of distal radial closing wedge osteotomies for treatment of angular limb deformities in 18 dogs. Vet Surg 2000; 29(3): 207-217. [PubMed] , Franklin SP, Dover RK, Andrade N et al. Correction of antebrachial angulation-rotation deformities in dogs with oblique plane inclined osteotomies. Vet Surg 2017; 46: 1078-1085. [PubMed] , Kwan TW, Marcelin-Little DJ, Harrysson OLA. Correction of biapical radial deformation by use of bi-level hinged circular external fixation and distraction osteogénesis in 13 dogs. Vet Surg 2014; 43: 316-329. [PubMed] ]

En el caso que nos ocupa, se optó por una fijación interna con placas de bloqueo, principalmente para facilitar los cuidados postoperatorios de la mascota. En cirugía ortopédica de cúbito y radio solemos aconsejar la retirada de los implantes regularmente, por ser muchas las veces que terminan molestando al estar muy superficiales. En este caso concreto, además, eran dos los implantes (lo que implicaba mayor riesgo) y la curvatura craneal del radio (aunque corregida parcialmente) forzaba más el contacto del implante principal con el subcutis, por lo que entendemos que en un futuro podría haber molestias y riesgo de úlcera por lamido. Por ello, los implantes se retiraron, aproximadamente, al año y dos meses de su colocación.

Actualmente, la reconstrucción en 3D a partir de los estudios de tomografía computarizada permite la obtención de guías específicas que ofrecen una mayor precisión a la hora de hacer la ostectomía, consiguiéndose así una óptima alineación del hueso.[ Wyatt TJ, Lynch AC. Correction of angular limb deformities in two dogs using a conformation-based surgical approach and planning software. Vet Comp Orthop Traumatol open 2023; 6: e84-e92. , Carwardine CR, Gosling MJ, Burton NJ et al. Three-dimensional-printed patient-specific osteotomy guides repositioning guides and titanium plates acute correction of antebrachial limb deformities in dogs. Vet Comp Orthop Traumatol 2021; 31(1): 43-52. [PubMed] , Longo F, Penelas A, Gutbrod A et al. Three-dimensional computer-assisted corrective osteotomy with a patient-specific surgical guide for an antebrachial limb deformity in two dogs. Scweiz Arch Tierheilkd 2019; 161 (7): 473-479. [PubMed] , Altwal J, Wilson CH, Griffon D. Applications of 3-dimensional printing in small-animal surgery: A review of current practices. Vet Surg 2022; 51: 34-51. [PubMed] ] Asimismo, estas guías de corte permiten corregir la deformidad angular en los tres planos del espacio con una gran exactitud,[ Fox DB, Tomlinson JL. Principles of angular limb deformity correction. En Tobias KM, Jonhston SA, editors: Veterinary Surgery small animal (vol 1). St. Louis (MO), Elsevier 2012; 657-668. , De Armond CC, Lewis DD, Kim SE et al. Accuracy of virtual surical planning and custom three-dimensionally printed osteotomy and reduction guides for acute uni. And biapical correction of antebrachial deformities in dogs. Am Vet Med Assoc 2022; 260(13): 1-9. [PubMed] ] tal y como ocurrió en el caso expuesto. 

Otro aspecto de gran importancia en la planificación quirúrgica de estos procedimientos es poder evaluar con precisión la pérdida de longitud que se produce al realizar la ostectomía. Al poder simular las correcciones en 3D, es posible también determinar el acortamiento esperado respecto a la extremidad contralateral. Este acortamiento, en nuestro caso, fue de 10 mm aproximadamente, lo que supone un 5,8 % respecto a la extremidad sana, es decir, un valor que parece asumible en un paciente de estas características y que no debería tener trascendencia según algunos autores[ Carwardine CR, Gosling MJ, Burton NJ et al. Three-dimensional-printed patient-specific osteotomy guides repositioning guides and titanium plates acute correction of antebrachial limb deformities in dogs. Vet Comp Orthop Traumatol 2021; 31(1): 43-52. [PubMed] ] que, aunque asumen el acortamiento que se producirá en estas extremidades cuando se hace una ostectomía en cuña, dada la buena recuperación funcional que se obtiene admiten que no llega a suponer un problema clínico. 

Por último, el estudio efectuado por Townsend y colaboradores (2023) mostró en un modelo ex vivo que las osteotomías en radio realizadas utilizando guías específicas eran más precisas que las realizadas con los métodos convencionales.[ Townsend A, Guevar J, Oxley B et al. Comparison of three-dimensional printed patient-specific guides versus freehand approach for radial osteotomies in normal dogs: Ex vivo model. Vet Surg 2023; 53(2): 234-242. [PubMed] ] De igual manera, otro estudio mostró que no había diferencias en los resultados y la evolución de las correcciones angulares efectuadas con este tipo de guías entre cirujanos con menor y mayor experiencia, motivo por el que se consideran herramientas muy útiles y objetivas en cirugía ortopédica.[ Roh YH, Cho CW, Ryu CH et al. Comparison between novice and experienced surgeons performing corrective osteotomiy with patient-specific guides in dogs base don resulting position accuracy. Vet Sci 2021; 8(3): 40. [PubMed] ]

En conclusión, en el marco de las correcciones angulares, la exposición de este caso clínico pone de manifiesto las ventajas que proporciona la planificación quirúrgica y el empleo de guías de corte y alineación específicas para el paciente, ya que permiten disminuir el tiempo quirúrgico y los errores, mejorando de esta manera los resultados.

 

Fuente de financiación: este trabajo no se realizó con fondos comerciales, públicos o del sector privado.

Conflicto de intereses: los autores declaran que no existen conflicto de intereses.

Bibliografía

  1. [1] Fernández T, Gómez L, Ríos A. Deformaciones en los miembros anteriores del perro, como consecuencia de alteraciones en el crecimiento del cúbito. Clin Vet Peq Anim 1990; 10(3): 19-66.
  2. [2] Fox DB. Physeal injuries and angular limb deformities.Vet Clin North Am Small Anim Pract 2021; 51(2): 305-322. [PubMed]
  3. [3] Fox DB, Tomlinson JL, Cook JL et al. Principles of uniapical and biapical radial deformity correction using dome osteotomies and the center of rotation of angulation methodology in dogs. Vet Surg 2006; 35(1): 67-77. [PubMed]
  4. [4] Dismukes DI, Fox DB, Tomlinson JL et al. Use of radiographic measures and three-dimensional computed tomographic imaging in surgical correction of an antebrachial deformity in a dog. J Am Vet Med Assoc 2008; 232(1): 68-73. [PubMed]
  5. [5] Knapp JL, Tomlinson JL, Fox DB. Classification of angular limb deformities affecting the canine radius and ulna using the center of rotation of angulation method. Vet Surg 2016; 45(3): 295-302. [PubMed]
  6. [6] Worth AJ, Crosse KR, Kersley A. Computer-assisted surgery using 3D printed saw guides for acute correction of antebrachial angular limb deformities in dogs. Vet Comp Orthop Traumatol 2019; 32(3): 241-249. [PubMed]
  7. [7] Hall EL, Baines S, Bilmont A et al. Accuracy of patient-specific three-dimensional-printed osteotomy and reduction guides for distal femoral osteotomy in dogs with medial patella luxation. Vet Surg 2019; 48(4): 584-591. [PubMed]
  8. [8] Fox DB. Radius and ulna. En Tobias KM, Jonhston SA, editors: Veterinary Surgery small animal (vol1). St Louis (MO), Elsevier 2012; 760-784.
  9. [9] Fox DB, Tomlinson JL. Principles of angular limb deformity correction. En Tobias KM, Jonhston SA, editors: Veterinary Surgery small animal (vol 1). St. Louis (MO), Elsevier 2012; 657-668.
  10. [10] Kim SY, Snowdon KA, DeCamp CE. Single oblique osteotomy for correction of antebrachial angular and torsional deformities in a dog. J Am Vet Med Assoc 2017; 251(3): 333-339. [PubMed]
  11. [11] Balfour RJ, Boudrieau RJ, Gores BR. T-plate fixation of distal radial closing wedge osteotomies for treatment of angular limb deformities in 18 dogs. Vet Surg 2000; 29(3): 207-217. [PubMed]
  12. [12] Franklin SP, Dover RK, Andrade N et al. Correction of antebrachial angulation-rotation deformities in dogs with oblique plane inclined osteotomies. Vet Surg 2017; 46: 1078-1085. [PubMed]
  13. [13] Kwan TW, Marcelin-Little DJ, Harrysson OLA. Correction of biapical radial deformation by use of bi-level hinged circular external fixation and distraction osteogénesis in 13 dogs. Vet Surg 2014; 43: 316-329. [PubMed]
  14. [14] Wyatt TJ, Lynch AC. Correction of angular limb deformities in two dogs using a conformation-based surgical approach and planning software. Vet Comp Orthop Traumatol open 2023; 6: e84-e92.
  15. [15] Carwardine CR, Gosling MJ, Burton NJ et al. Three-dimensional-printed patient-specific osteotomy guides repositioning guides and titanium plates acute correction of antebrachial limb deformities in dogs. Vet Comp Orthop Traumatol 2021; 31(1): 43-52. [PubMed]
  16. [16] Longo F, Penelas A, Gutbrod A et al. Three-dimensional computer-assisted corrective osteotomy with a patient-specific surgical guide for an antebrachial limb deformity in two dogs. Scweiz Arch Tierheilkd 2019; 161 (7): 473-479. [PubMed]
  17. [17] Altwal J, Wilson CH, Griffon D. Applications of 3-dimensional printing in small-animal surgery: A review of current practices. Vet Surg 2022; 51: 34-51. [PubMed]
  18. [18] De Armond CC, Lewis DD, Kim SE et al. Accuracy of virtual surical planning and custom three-dimensionally printed osteotomy and reduction guides for acute uni. And biapical correction of antebrachial deformities in dogs. Am Vet Med Assoc 2022; 260(13): 1-9. [PubMed]
  19. [19] Townsend A, Guevar J, Oxley B et al. Comparison of three-dimensional printed patient-specific guides versus freehand approach for radial osteotomies in normal dogs: Ex vivo model. Vet Surg 2023; 53(2): 234-242. [PubMed]
  20. [20] Roh YH, Cho CW, Ryu CH et al. Comparison between novice and experienced surgeons performing corrective osteotomiy with patient-specific guides in dogs base don resulting position accuracy. Vet Sci 2021; 8(3): 40. [PubMed]

Artículos recomendados

Estas recomendaciones se ofrecen de forma automática.

  • Seroprevalencia de la infección por Toxoplasma gondii en mascotas exóticas (conejos, hurones y cobayas) en clínicas veterinarias de España
    P. Moraleda-Berral, A. Montoya, J.P. Barrera, et al.
    Clin Vet Peq Anim Vol. 46 - Nº 1 · MAR 2026 · Artículo original referido a un solo caso clínico
  • Sarcoma histiocítico ocular felino
    M.T. Artacho-Burgos, A. I. Raya-Bermúdez
    Clin Vet Peq Anim Vol. 45 - Nº 4 · DIC 2025 · Artículo original referido a un solo caso clínico
  • Fallo hepático en un perro tras intoxicación por ingestión de semillas de Cycas revoluta

    C. García, A. Segarra, N. Bedía, et al.
    Clin Vet Peq Anim Vol. 45 - Nº 3 · SEP 2025 · Artículo original referido a un solo caso clínico
  • Inicio
  • Introducción
  • Caso clínico
  • Discusión
  • Bibliografía
Artículo anterior Índice de la revista Artículo siguiente
ANUNCIO
Próximos cursos ATVs Elearning
Índice
Inicio Introducción Caso clínico Discusión Bibliografía
Hill's - Reco Start
ANUNCIO

¿No eres socio de AVEPA y quieres recibir comunicación de las nuevas ediciones en tu correo?

Suscríbete

Suscríbete y te avisaremos cuando publiquemos un nuevo número

Suscribirme

Enlaces rápidos

  • Inicio
  • Último número
  • Archivo
  • Artículos

Información

  • Comité editorial
  • Política de cookies
  • Política de privacidad
  • Términos y condiciones

Contacto

  • info@imaginice.com
  • Envíanos tu artículo
© 2026 Ice Salud Vet SL. Todos los derechos reservados.

Usamos cookies para mejorar tu experiencia. Selecciona cuáles aceptas: