Logo AVEPA

Clínica Veterinaria de Pequeños Animales

Revista oficial de AVEPA

  • Inicio
  • Último número
  • Archivo
  • Artículos
  • Para autores
  • Contacto
Cursos Junio-Septiembre 2026
ANUNCIO

Clínica Veterinaria de Pequeños Animales

Revista oficial de AVEPA

  • Inicio
  • Último número
  • Archivo
  • Artículos
  • Para autores
  • Contacto
Curso Oftalmología 2026
ANUNCIO
Clin Vet Peq Anim Vol. 45 • Nº 3 • septiembre 2025

¿Cuál es tu diagnóstico?

¿Cuál es tu diagnóstico?

J.D. Carrillo

Hospital Veterinario. Departamento de Medicina y Cirugía Animal. Facultad de Veterinaria. Universidad de Murcia. 30100 Murcia.

M. Soler

Hospital Veterinario. Departamento de Medicina y Cirugía Animal. Facultad de Veterinaria. Universidad de Murcia. 30100 Murcia.

M.S. Echalecu

CIRAVET: Cirugía y Anestesia Veterinaria. Murcia.

B. Mena

Universidad CEU Cardenal Herrera. c/ Santiago Ramón y Cajal s/n. 46115 Alfara del Patriarca, Valencia.

S. Carrillo-Flores

Hospital Veterinario.

A. Agut

Hospital Veterinario. Departamento de Medicina y Cirugía Animal. Facultad de Veterinaria. Universidad de Murcia. 30100 Murcia.

Contacto: juanacs@um.es
Descargar artículo

Historia clínica

Se presentó en consulta un gato macho castrado de raza maine coon, de un año de edad y 5,8 kg de peso, remitido con historia de otitis externa desde hacía un mes.

En la exploración otológica se visualizó una masa en el conducto auditivo externo izquierdo, apreciable desde la abertura del pabellón auricular. La masa era sólida, poco móvil y obstruía totalmente el canal auditivo. El resto del examen físico y pruebas de enfermedades víricas fueron normales. En el análisis sanguíneo se evidenció neutrofilia con desviación a la izquierda y trombocitosis.

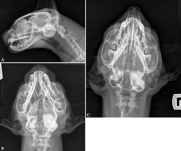
Se realizó un estudio radiográfico de la cabeza del paciente, incluyendo una proyección lateral (Fig. 1A), dorsoventral (Fig. 1B) y rostro 10º ventro-dorsocaudal oblicua (R10ºVCdD) con boca cerrada (Fig. 1C).

Radiografías de la cabeza de un gato maine coon de un año de edad. (A) Proyección lateral. (B) Proyección dorsoventral. (C) Rostro 10º ventro-dorsocaudal oblicua.
Figura 1
Radiografías de la cabeza de un gato maine coon de un año de edad. (A) Proyección lateral. (B) Proyección dorsoventral. (C) Rostro 10º ventro-dorsocaudal oblicua.

Describe las anormalidades radiográficas que se observan

En la proyección lateral (Fig. 2A) se observa con buena definición y sin alteraciones la nasofaringe y paladar blando. Una de las bullas timpánicas (BTs) se aprecia aumentada de opacidad con engrosamiento de su pared ventral, no pudiéndose discernir de qué BT se trata al estar superpuestas. En la proyección dorsoventral (Fig. 2B) se identifica la BT izquierda afectada, encontrándose aumentada su opacidad, con paredes engrosadas y escleróticas. El conducto auditivo externo (CAE) izquierdo se encuentra obliterado y con opacidad tejido blando.

En la proyección rostro 10º ventro-dorsocaudal oblicua con boca cerrada (Fig. 2C) se visualizan con mayor claridad los hallazgos descritos previamente, especialmente el compartimento ventromedial de las BTs y sus paredes.

Mismas radiografías que en la Figura 1. (A) Proyección lateral en la que se aprecia aumento de la opacidad a nivel de las bullas timpánicas con engrosamiento de la pared ventral de una de las bullas (cabezas de flecha), nasofaringe con opacidad aire (asterisco) y paladar blando con grosor y posición normal (flecha). (B) Proyección dorsoventral en la que se identifica que la bulla timpánica afectada es la izquierda, aumentada de opacidad y con engrosamiento y esclerosis de sus paredes (asterisco). Además, el conducto auditivo externo izquierdo se encuentra obliterado, con opacidad tejido blando, sin presencia de gas en su interior (cabezas de flecha). (C) Proyección rostro 10º ventro-dorsocaudal oblicua con boca cerrada en la que se aprecia con mayor claridad el compartimento ventromedial de las bullas y sus paredes (flechas).
Figura 2
Mismas radiografías que en la Figura 1. (A) Proyección lateral en la que se aprecia aumento de la opacidad a nivel de las bullas timpánicas con engrosamiento de la pared ventral de una de las bullas (cabezas de flecha), nasofaringe con opacidad aire (asterisco) y paladar blando con grosor y posición normal (flecha). (B) Proyección dorsoventral en la que se identifica que la bulla timpánica afectada es la izquierda, aumentada de opacidad y con engrosamiento y esclerosis de sus paredes (asterisco). Además, el conducto auditivo externo izquierdo se encuentra obliterado, con opacidad tejido blando, sin presencia de gas en su interior (cabezas de flecha). (C) Proyección rostro 10º ventro-dorsocaudal oblicua con boca cerrada en la que se aprecia con mayor claridad el compartimento ventromedial de las bullas y sus paredes (flechas).

¿Cuáles son los diagnósticos diferenciales con estos signos radiográficos?

Los diagnósticos diferenciales compatibles con un aumento en la opacidad de la BT con esclerosis de su pared son otitis media, pólipo inflamatorio aural (PIA), colesteatoma y neoplasia.

¿Realizarías otras técnicas de diagnóstico para alcanzar el diagnóstico definitivo?

Para evaluar con mayor precisión la lesión y planificar el tratamiento quirúrgico es recomendable realizar una tomografía computarizada (TC).

En este caso, el estudio de TC (General Electric HiSpeed dual, General Electric Healthcare, Madrid) se realizó bajo anestesia general y con el paciente en decúbito esternal. Se realizaron series pre y postcontraste (Iobitridol 300 mg I/ml; a dosis de 600 mg I/kg intravenoso, administrado de manera manual) tras su administración y pasados tres minutos (Fig. 3), con cortes de 3 mm de grosor e intervalo de 1,5 mm con algoritmo estándar (tejido blando) y hueso. El estudio de TC se evaluó en ventana de tejido blando y hueso. En la serie precontraste se visualizó la pared de la BT izquierda gravemente engrosada (5 mm) en comparación con la contralateral (1 mm), y su interior ocupado, casi en su totalidad, por un material de atenuación tejido blando (70 UH) que se extendía a lo largo de la parte horizontal del CAE, teniendo una menor atenuación (38 UH), pero con bordes más atenuados (60 UH). En la imagen inmediata a la administración del contraste se observó un moderado realce periférico o en anillo de la masa (75 UH), mientras que su interior apenas mostraba captación de contraste (44 UH). Pasados tres minutos, el realce se incrementó ligeramente en la periferia de la masa (90 UH) manteniendo una atenuación prácticamente similar en su interior (50 UH).

Imágenes de tomografía computarizada (TC) en plano transversal en ventana de huesos (A) y en ventana de tejidos blandos tras la administración de contraste (B) de la cabeza del paciente, en las que se visualiza severo engrosamiento y esclerosis de las paredes de la bulla timpánica izquierda (asterisco), cuyo interior se encuentra ocupado por material de atenuación tejido blando que se continúa hacia el conducto auditivo externo en el que se aprecia realce postcontraste de manera periférica (en anillo) (flechas).
Figura 3
Imágenes de tomografía computarizada (TC) en plano transversal en ventana de huesos (A) y en ventana de tejidos blandos tras la administración de contraste (B) de la cabeza del paciente, en las que se visualiza severo engrosamiento y esclerosis de las paredes de la bulla timpánica izquierda (asterisco), cuyo interior se encuentra ocupado por material de atenuación tejido blando que se continúa hacia el conducto auditivo externo en el que se aprecia realce postcontraste de manera periférica (en anillo) (flechas).

Estos hallazgos eran compatibles con un PIA con ocupación de la BT y CAE izquierdo, asociado a una severa esclerosis de la pared de dicha bulla.

¿Cuál sería el tratamiento de elección para este tipo de patología?

El tratamiento de elección es la resección completa del PIA. Para ello se realizó, en primer lugar, una doble osteotomía ventral de la BT izquierda para acceder de esta forma al interior de los dos compartimentos que conforman la BT en el gato (Fig. 4A). Posteriormente, se extrajo la base del pólipo junto con gran cantidad de un material mucoviscoso, y se hizo un lavado profuso del interior de la bulla. Tras esto, se procedió a la tracción y avulsión del pólipo desde el CAE (Fig. 4B; Vídeo 1). El estudio histopatológico confirmó el diagnóstico de PIA.

Imágenes intraoperatorias. (A) Vaciado del contenido de la bulla timpánica tras la realización de la doble osteotomía de la bulla timpánica izquierda. (B) Tracción del pólipo inflamatorio aural desde el conducto auricular vertical izquierdo.
Figura 4
Imágenes intraoperatorias. (A) Vaciado del contenido de la bulla timpánica tras la realización de la doble osteotomía de la bulla timpánica izquierda. (B) Tracción del pólipo inflamatorio aural desde el conducto auricular vertical izquierdo.
Video 1
Momento de extracción del pólipo aural.

Comentario

El PIA del oído medio suele diagnosticarse principalmente en gatos y se presenta como una masa pedunculada, no neoplásica y benigna, que puede manifestarse a cualquier edad, aunque tiene una mayor incidencia en animales jóvenes (<2 años), sin identificarse predisposición por raza o sexo. Estos pólipos están constituidos por un tejido fibrovascular cubierto de un tejido ciliado de columnar a escamoso.[ MacPhail CM, Innocenti CM, Kudnig ST, Veir JK, Lappin MR. Atypical manifestations of feline inflammatory polyps in three cats. J Feline Med Surg 2007; 9(3): 219-225. [PubMed] ]

Su etiología es desconocida y se considera que se originan en el epitelio de la BT, la trompa de Eustaquio y/o la mucosa de la nasofaringe, con un crecimiento hacia el CAE, aunque también puede hacerlo hacia la nasofaringe o quedarse contenido en la bulla.[ MacPhail CM, Innocenti CM, Kudnig ST, Veir JK, Lappin MR. Atypical manifestations of feline inflammatory polyps in three cats. J Feline Med Surg 2007; 9(3): 219-225. [PubMed] ] Normalmente se asocian a procesos inflamatorios crónicos, infecciones del tracto respiratorio superior, otitis media o anormalidades congénitas de la rama braquial o faríngea.[ MacPhail CM, Innocenti CM, Kudnig ST, Veir JK, Lappin MR. Atypical manifestations of feline inflammatory polyps in three cats. J Feline Med Surg 2007; 9(3): 219-225. [PubMed] ]

El pólipo puede aparecer bilateral; sin embargo, es más común su presentación unilateral.[ MacPhail CM, Innocenti CM, Kudnig ST, Veir JK, Lappin MR. Atypical manifestations of feline inflammatory polyps in three cats. J Feline Med Surg 2007; 9(3): 219-225. [PubMed] ] Los signos clínicos dependen del lugar de afectación (BT o membrana timpánica con crecimiento hacia el CAE), pudiendo dar lugar a otitis externa, media e interna, ladeo de cabeza, nistagmo, síndrome de Horner y ataxia.[ MacPhail CM, Innocenti CM, Kudnig ST, Veir JK, Lappin MR. Atypical manifestations of feline inflammatory polyps in three cats. J Feline Med Surg 2007; 9(3): 219-225. [PubMed] ] En el caso presentado, el paciente padecía de otitis externa crónica con evidencia de una masa en el interior del CAE izquierdo.

El PIA suele ser una estructura rosada y pediculada, que puede encontrarse ulcerada o cubierta de moco o sangre.[ MacPhail CM, Innocenti CM, Kudnig ST, Veir JK, Lappin MR. Atypical manifestations of feline inflammatory polyps in three cats. J Feline Med Surg 2007; 9(3): 219-225. [PubMed] ] En este caso, el pólipo se acompañaba de una secreción mucosa en el interior de la bulla.

El diagnóstico presuntivo se puede realizar en base al examen otológico y técnicas de imagen, aunque para su diagnóstico definitivo es indispensable un examen histopatológico.[ MacPhail CM, Innocenti CM, Kudnig ST, Veir JK, Lappin MR. Atypical manifestations of feline inflammatory polyps in three cats. J Feline Med Surg 2007; 9(3): 219-225. [PubMed] ]

Las herramientas de diagnóstico por imagen son necesarias para establecer la extensión y el origen del pólipo. Mediante las radiografías se puede valorar si la nasofaringe se encuentra involucrada y ocupada, o si existe desplazamiento ventral del paladar blando, aumento de opacidad de las BT y/o engrosamiento y grado de esclerosis de sus paredes.[ Hammond GJ, Sullivan M, Weinrauch S, King AM. A comparison of the rostrocaudal open mouth and rostro 10 degrees ventro-caudodorsal oblique radiographic views for imaging fluid in the feline tympanic bulla. Vet Radiol Ultrasound 2005; 46(3): 205-209. [PubMed] ] No obstante, para una adecuada evaluación de las BTs la proyección de elección en la especie felina es la rostro 10º ventro-dorsocaudal oblicua con boca cerrada, al aportar un plano de visualización completo de las BTs.[ Hammond GJ, Sullivan M, Weinrauch S, King AM. A comparison of the rostrocaudal open mouth and rostro 10 degrees ventro-caudodorsal oblique radiographic views for imaging fluid in the feline tympanic bulla. Vet Radiol Ultrasound 2005; 46(3): 205-209. [PubMed] ]

Por otra parte, la TC aporta una mayor información anatómica y permite diferenciar el contenido de la BT por su atenuación (UH). El patrón de TC característico del PIA es el de una masa bien definida y pedunculada con marcado realce en anillo tras la administración del contraste. Con respecto a la resonancia magnética, puede ser una herramienta ventajosa, sobre todo en aquellos casos en los que haya sospecha o sintomatología compatible con enfermedad neurológica.[ Shanaman M, Seiler G, Holt DE. Prevalence of clinical and subclinical middle ear disease in cats undergoing computed tomographic scans of the head. Vet Radiol Ultrasound 2012; 53(1): 76-79. [PubMed] , Lamb CR, Sibbing K, Priestnall SI. Pathologic basis for rim enhancement observed in computed tomographic images of feline nasopharyngeal polyps. Vet Radiol Ultrasound 2016, 57(2): 130-136. [PubMed] ] En el presente caso, las pruebas de imagen permitieron apreciar una lesión compatible con un PIA, poniendo de manifiesto una grave esclerosis de la pared de la BT izquierda.

El PIA se puede tratar mediante tracción y avulsión con o sin osteotomía ventral de bulla. El tratamiento de elección es la resección quirúrgica del PIA, desde su base mediante una tracción controlada y legrado o desbridamiento del epitelio de la BT. En aquellos casos en los que el pólipo se encuentre adherido al oído medio se debe realizar una osteotomía ventral de la BT para su total extracción,[ Anders BB, Hoelzler MG, Scavelli TD, Fulcher RP, Bastian RP. Analys is of auditory and neurologic effects associated with ventral bulla osteotomy for removal of auditory polyps and nasopharyngeal masses in cats. J Am Vet Med Assoc 2008; 233(4): 580-585. [PubMed] ] como se hizo en nuestro paciente.

El pronóstico en la especie felina tras la cirugía es de bueno a excelente, aunque cuando se evidencia sordera en el momento de su diagnóstico, esta suele ser irreversible.[ MacPhail CM, Innocenti CM, Kudnig ST, Veir JK, Lappin MR. Atypical manifestations of feline inflammatory polyps in three cats. J Feline Med Surg 2007; 9(3): 219-225. [PubMed] ] 

La incidencia de recidiva estando ocupada la BT y realizando únicamente la tracción del pólipo es mayor (33-41 %) que si se combina con osteotomía ventral de la bulla (0-8 %).[ Anders BB, Hoelzler MG, Scavelli TD, Fulcher RP, Bastian RP. Analys is of auditory and neurologic effects associated with ventral bulla osteotomy for removal of auditory polyps and nasopharyngeal masses in cats. J Am Vet Med Assoc 2008; 233(4): 580-585. [PubMed] ] En el presente caso, no se evidenciaron signos de recidiva pasados dos años.

Las complicaciones posquirúrgicas son frecuentes e incluyen el síndrome de Horner (57 % de los casos), que suele ser transitorio, aunque cuando permanece más de 6 semanas puede llegar a ser permanente, así como la parálisis del nervio facial y el síndrome vestibular, que también pueden ser transitorios, puesto que pueden ser secundarios a la manipulación quirúrgica y la inflamación posoperatoria. En nuestro caso, el paciente no manifestó ninguno de estos signos clínicos durante el posoperatorio.

En conclusión, la presencia de una otitis externa crónica en un gato joven, refractaria al tratamiento médico, puede ser un signo indicativo de la presencia de un PIA, con o sin afección de la bulla timpánica, requiriéndose para su diagnóstico la realización de un estudio de imagen detallado de su cabeza.

Fuente de financiación: este trabajo no se ha realizado con fondos comerciales, públicos o del sector privado.

Conflicto de intereses: los autores declaran que no existe conflicto de intereses.

Bibliografía

  1. [1] MacPhail CM, Innocenti CM, Kudnig ST, Veir JK, Lappin MR. Atypical manifestations of feline inflammatory polyps in three cats. J Feline Med Surg 2007; 9(3): 219-225. [PubMed]
  2. [2] Hammond GJ, Sullivan M, Weinrauch S, King AM. A comparison of the rostrocaudal open mouth and rostro 10 degrees ventro-caudodorsal oblique radiographic views for imaging fluid in the feline tympanic bulla. Vet Radiol Ultrasound 2005; 46(3): 205-209. [PubMed]
  3. [3] Shanaman M, Seiler G, Holt DE. Prevalence of clinical and subclinical middle ear disease in cats undergoing computed tomographic scans of the head. Vet Radiol Ultrasound 2012; 53(1): 76-79. [PubMed]
  4. [4] Lamb CR, Sibbing K, Priestnall SI. Pathologic basis for rim enhancement observed in computed tomographic images of feline nasopharyngeal polyps. Vet Radiol Ultrasound 2016, 57(2): 130-136. [PubMed]
  5. [5] Anders BB, Hoelzler MG, Scavelli TD, Fulcher RP, Bastian RP. Analys is of auditory and neurologic effects associated with ventral bulla osteotomy for removal of auditory polyps and nasopharyngeal masses in cats. J Am Vet Med Assoc 2008; 233(4): 580-585. [PubMed]

Artículos recomendados

Estas recomendaciones se ofrecen de forma automática.

  • ¿Cuál es tu diagnóstico?
    L. Martín-Carrasco, E. Mínguez-Pereira, R. Salgüero-Fernández, et al.
    Clin Vet Peq Anim Vol. 46 - Nº 1 · MAR 2026 · ¿Cuál es tu diagnóstico?
  • ¿Cuál es tu diagnóstico?
    D. Marbella, A.M. Hernández-Guerra, L. Montalvà-Minguet
    Clin Vet Peq Anim Vol. 45 - Nº 4 · DIC 2025 · ¿Cuál es tu diagnóstico?
  • ¿Cuál es tu diagnóstico?

    S. García-Flores, A. Segarra
    Clin Vet Peq Anim Vol. 45 - Nº 2 · JUN 2025 · ¿Cuál es tu diagnóstico?
  • Inicio
  • Historia clínica
  • Describe las anormalidades radiográficas que se observan
  • ¿Cuáles son los diagnósticos diferenciales con estos signos radiográficos?
  • ¿Realizarías otras técnicas de diagnóstico para alcanzar el diagnóstico definitivo?
  • ¿Cuál sería el tratamiento de elección para este tipo de patología?
  • Comentario
  • Bibliografía
Artículo anterior Índice de la revista Artículo siguiente
ANUNCIO
Próximos cursos ATVs Elearning
Índice
Inicio Historia clínica Describe las anormalidades radiográficas que se observan ¿Cuáles son los diagnósticos diferenciales con estos signos radiográficos? ¿Realizarías otras técnicas de diagnóstico para alcanzar el diagnóstico definitivo? ¿Cuál sería el tratamiento de elección para este tipo de patología? Comentario Bibliografía
Boehringer - NexGard
ANUNCIO

¿No eres socio de AVEPA y quieres recibir comunicación de las nuevas ediciones en tu correo?

Suscríbete

Suscríbete y te avisaremos cuando publiquemos un nuevo número

Suscribirme

Enlaces rápidos

  • Inicio
  • Último número
  • Archivo
  • Artículos

Información

  • Comité editorial
  • Política de cookies
  • Política de privacidad
  • Términos y condiciones

Contacto

  • info@imaginice.com
  • Envíanos tu artículo
© 2026 Ice Salud Vet SL. Todos los derechos reservados.

Usamos cookies para mejorar tu experiencia. Selecciona cuáles aceptas: