Logo AVEPA

Clínica Veterinaria de Pequeños Animales

Revista oficial de AVEPA

  • Inicio
  • Último número
  • Archivo
  • Artículos
  • Para autores
  • Contacto
Cursos Junio-Septiembre 2026
ANUNCIO

Clínica Veterinaria de Pequeños Animales

Revista oficial de AVEPA

  • Inicio
  • Último número
  • Archivo
  • Artículos
  • Para autores
  • Contacto
Curso Oftalmología 2026
ANUNCIO
Clin Vet Peq Anim Vol. 38 • Nº 1 • marzo 2018

Metástasis intramedular de un carcinoma mamario en un gato

Intramedullary metastases of a mammary carcinoma in a cat

Artículo original referido a un solo caso clínico

A.M. Hernández-Guerra

Departamento de Medicina y Cirugía Animal. Facultad de Veterinaria. Universidad Cardenal Herrera-CEU, CEU Universities. C/ Tirant lo Blanch, 7, 46115 Alfara del Patriarca, (Valencia).

Otros artículos de A.M. Hernández-Guerra:
  • ¿Cuál es tu diagnóstico?
    Clin Vet Peq Anim Vol. 45 • Nº 4 • diciembre 2025

P. Rojas

Departamento de Medicina y Cirugía Animal. Facultad de Veterinaria. Universidad Cardenal Herrera-CEU, CEU Universities. C/ Tirant lo Blanch, 7, 46115 Alfara del Patriarca, (Valencia).

C. Puente

Departamento de Medicina y Cirugía Animal. Facultad de Veterinaria. Universidad Cardenal Herrera-CEU, CEU Universities. C/ Tirant lo Blanch, 7, 46115 Alfara del Patriarca, (Valencia).

E. Montaner

Departamento de Medicina y Cirugía Animal. Facultad de Veterinaria. Universidad Cardenal Herrera-CEU, CEU Universities. C/ Tirant lo Blanch, 7, 46115 Alfara del Patriarca, (Valencia).

A. Barragán

Departamento de Producción y Sanidad Animal, Salud Pública Veterinaria y Ciencia y Tecnología de los Alimentos. Facultad de Veterinaria. Universidad Cardenal Herrera-CEU, CEU Universities. C/ Tirant lo Blanch, 7, 46115 Alfara del Patriarca, (Valencia).

J. Ortega

Departamento de Producción y Sanidad Animal, Salud Pública Veterinaria y Ciencia y Tecnología de los Alimentos. Facultad de Veterinaria. Universidad Cardenal Herrera-CEU, CEU Universities. C/ Tirant lo Blanch, 7, 46115 Alfara del Patriarca, (Valencia).

Contacto: angelhdez@uch.ceu.es
Palabras clave: felino, médula espinal,, glándula mamaria, metástasis, carcinoma.
Keywords: feline, spinal cord, mammary glands, metastases, carcinoma.

Clin. Vet. Peq. Anim, 2018, 38 (1): 17 - 20

Descargar artículo

Resumen

Se remite un gato Siamés, hembra y esterilizada, de 9 años de edad, por paresia de las extremidades posteriores y masas mamarias. El examen neurológico reveló una paresia ambulatoria de las extremidades posteriores, con pérdida de propiocepción y presencia de reflejos espinales, compatible con una lesión en el segmento medular T3-L3. Tras un estudio citológico con un resultado compatible con carcinoma mamario y signos radiológicos típicos de metástasis pulmonares, se le practicó la eutanasia. En la necropsia, se encontraron múltiples nódulos subcutáneos, firmes, de 0,2 a 2 cm de diámetro en glándula mamaria, región lumbar y esternal, espacios intercostales y musculo esquelético de ambas extremidades posteriores. Histológicamente, la neoplasia mamaria se diagnosticó como carcinoma tubulopapilar simple, con áreas de comedocarcinoma. En la médula espinal (segmento L1-L2) se halló un nódulo metastásico de gran tamaño que expandía la sustancia blanca y comprimía la gris. Nódulos similares estaban presentes en pulmón y músculo esquelético de los miembros posteriores, mostrando la mayoría de ellos un patrón de comedocarcinoma. Según la bibliografía consultada, esta es la primera descripción de metástasis intramedular de carcinoma mamario en un gato; esta condición debería incluirse en la lista de diagnósticos diferenciales de paresia en gatos con tumores de mama.

Abstract

A nine-year-old neutered female Siamese cat was referred to the Veterinary Hospital for hind legs paresis and mammary masses. Complete neurological examination revealed weight-bearing paresis with proprioceptive deficits on both hind legs with spinal reflexes compatible with a T3-L3 lesion. After cytology suggestive of mammary carcinoma and radiological signs compatible with pulmonary metastasis, the cat was euthanized. On necropsy, multiple white, firm, subcutaneous nodules, ranging from 0.2 to 2 cm were observed in mammary glands, lumbar region, sternum, intercostal spaces and skeletal muscle from both hind legs. The main histological finding was a simple tubulopapillary carcinoma with areas of comedocarcinoma in the mammary gland. A large metastatic nodule was observed in the spinal cord (L1-L2 segment) expanding the white matter and compressing the grey matter and central canal. Similar metastatic nodules were present in lungs and skeletal muscles from hind legs, most of them showing a comedocarcinoma pattern. To the authors’ knowledge, this is the first report of intramedullary metastasis of mammary carcinoma in a cat and this condition should be considered in differential diagnosis in cats with paresis and masses in the mammary gland.

Introducción

Las alteraciones medulares en gatos son infrecuentes. Entre las causas descritas están las enfermedades inflamatorias (32 %), neoplásicas (27 %), hereditarias o congénitas (11 %), vasculares (9 %), traumáticas (14 %), degenerativas (6 %) y metabólicas (1 %).[ Marioni-Henry K, Vite CH, Newton AL, van Winkle TJ. Prevalence of diseases of the spinal cord of cats. J Vet Intern Med 2004; 18(6): 851-858. [PubMed] ]

Entre las enfermedades neoplásicas, las más frecuentemente descritas son linfoma (36 %), osteosarcoma (16,5 %) y tumores gliales (9,4 %).[ Marioni-Henry K, Van Winckle TJ, Smith SH, Vite CH. Tumours affecting the spinal cord of cats: 85 cases (1980-2005). J Am Vet Med Assoc, 2008; 232(2): 237-243. [PubMed] , Withrow SJ, Vail DM, Rodney L. Tumors of the Mammary gland. En Withrow SJ, Vail DM (ed): Withrow & MacEwen´s Small Animal Clinical Oncology, 5th ed, WB Saunders 2013; 538-547. ] Por otro lado, tras los tumores cutáneos y el linfoma, los tumores mamarios son la tercera neoplasia más común en el gato, representando el 16 % de los tumores felinos (25 % en las hembras).[ Vascellari M, Baioni E, Ru G, Carminato A, Mutinelli F. Animal tumour registry of two provinces in northern Italy: incidence of spontaneous tumours in dogs and cats. BMC Vet Res, 2009; 5:39. [PubMed] ] Los gatos Siameses presentan un riesgo mayor.[ Withrow SJ, Vail DM, Rodney L. Tumors of the Mammary gland. En Withrow SJ, Vail DM (ed): Withrow & MacEwen´s Small Animal Clinical Oncology, 5th ed, WB Saunders 2013; 538-547. , Hayes HM Jr, Milne KL, Mandell CP. Epidemiological features of feline mammary carcinoma. Vet Rec 1981; 108(22): 476-479. [PubMed] ] Su incidencia podría variar globalmente según la apreciación cultural de la esterilización. A pesar de su alta incidencia, no se han encontrado en la literatura casos descritos de metástasis intramedulares de tumores mamarios en gatos.

El objetivo de este trabajo es presentar por vez primera una metástasis intramedular de un tumor de mama en un gato, entrando a formar parte de los diagnósticos diferenciales de alteración medular en gatos.

Caso clínico

Un gato castrado, hembra de raza Siamesa de nueve años de edad, se remitió al Hospital Veterinario de la Universidad CEU-Cardenal Herrera por paresia de las extremidades posteriores de una semana de duración y presencia de masas mamarias. En el examen físico se observó una masa nodular de 2 cm de diámetro, firme, bien circunscrita en la tercera mama de la cadena derecha y se palpó otro nódulo subcutáneo, de 0,5 x 0,5 cm de diámetro, dorsal a la segunda vértebra lumbar. Se auscultaron ruidos pulmonares aumentados. Un examen neurológico reveló una paresia ambulatoria posterior, más marcada en la extremidad izquierda, con déficits propioceptivos bilaterales y reflejos espinales normales, y la lesión localizada en el segmento medular T3-L3. Se realizó una aspiración por aguja fina del nódulo mamario que reveló una población de células epiteliales con una ratio núcleo/citoplasma aumentada, una moderada variación del tamaño celular, múltiples y prominentes nucléolos y multinucleación, que sugería carcinoma mamario. Las radiografías torácicas mostraron focos multifocales compatibles con metástasis pulmonares. La hematología y bioquímica sanguínea eran normales. Debido al pronóstico grave los dueños decidieron sacrificar al paciente.

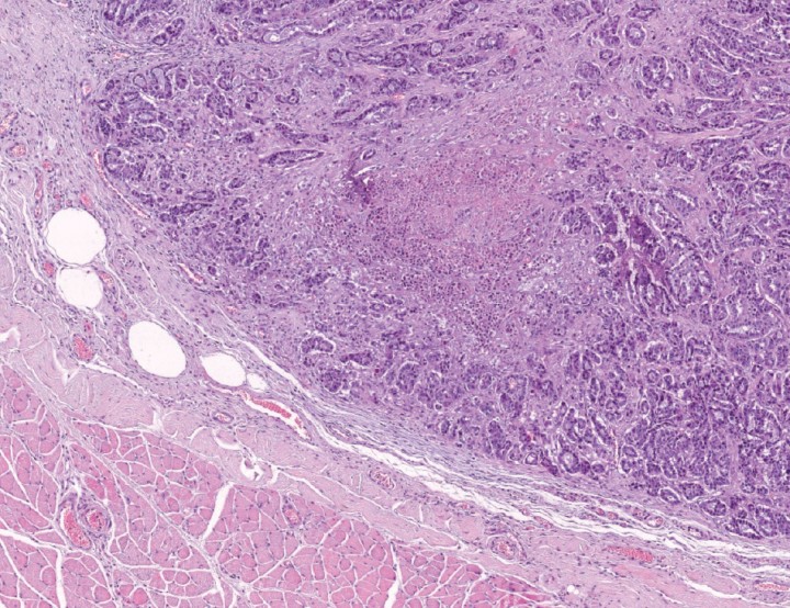
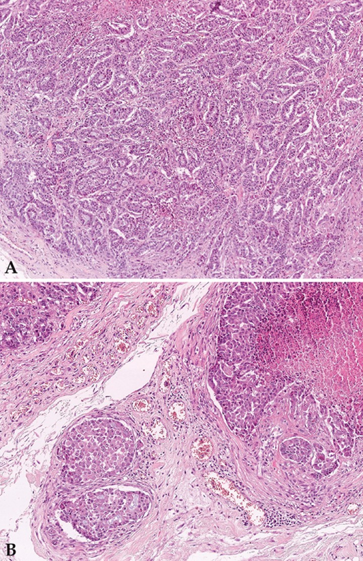
En la necropsia se observaron múltiples nódulos subcutáneos, blancos, firmes de 0,2 a 2 cm de diámetro en región lumbar, región esternal, espacios intercostales y glándulas mamarias e intramusculares de similar morfología. No se observaron lesiones macroscópicas en médula o columna vertebral. En el estudio histológico se observó que la mayor parte de la glándula mamaria había sido reemplazada por una neoplasia maligna no encapsulada, bien circunscrita, compuesta de células epiteliales dispuestas en cordones y túbulos (Fig. 1A). En algunas áreas, las células epiteliales se disponían en patrones sólidos con un gran centro necrótico (Fig. 1B). El índice mitótico y la anisocariosis eran elevados, observándose invasión de las células neoplásicas a vasos linfáticos y sanguíneos. En base a estos hallazgos se diagnosticó un carcinoma tubulopapilar simple, con áreas de comedocarcinoma, de alto grado (grado III).[ Mills SW, Musil KM, Davies JL, Hendrick S, Duncan C, Jackson ML, et al. Prognostic value of histologic grading for feline mammary carcinoma: a retrospective survival analysis. Vet Pathol, 2015; 52(2): 238-249. [PubMed] ] En el pulmón y músculo esquelético de los miembros posteriores, se observaron focos neoplásicos, muchos de ellos mostrando un patrón de comedocarcinoma (“nidos” sólidos con focos necróticos) (Fig. 2). Asimismo, había una evidente invasión vascular, principalmente en pequeñas arteriolas (Fig. 3). Se observó un nódulo metastásico grande, bien circunscrito, no encapsulado en la médula espinal (segmento L1-L2). Las células neoplásicas, que mostraron morfología de comedocarcinoma, expandían la sustancia blanca y comprimían la gris (Fig. 4A). Por su parte, las células neoplásicas presentes en todos estos órganos eran intensamente positivas para citoqueratina y negativas para vimentina y actina, lo que es consistente con un diagnóstico de carcinoma simple (Fig. 4B).

<div class=\"Basic-Text-Frame\">
<p>Imagen microscópica de la glándula mamaria. (A) Carcinoma mamario mostrando un patrón tubulopapilar (HE 100x). (B) Áreas de comedocarcinoma (HE 200x).</p>
</div>
Figura 1

Imagen microscópica de la glándula mamaria. (A) Carcinoma mamario mostrando un patrón tubulopapilar (HE 100x). (B) Áreas de comedocarcinoma (HE 200x).

<div class=\"Basic-Text-Frame\">
<p>Imagen microscópica del músculo esquelético (extremidad posterior izquierda). Se aprecia un nódulo intramuscular metastásico de carcinoma mamario (HE 40x).</p>
</div>
Figura 2

Imagen microscópica del músculo esquelético (extremidad posterior izquierda). Se aprecia un nódulo intramuscular metastásico de carcinoma mamario (HE 40x).

<p>Imagen microscópica del pulmón. Se observan células epiteliales neoplásicas en la luz de arteriolas pulmonares (HE 400x).</p>
Figura 3

Imagen microscópica del pulmón. Se observan células epiteliales neoplásicas en la luz de arteriolas pulmonares (HE 400x).

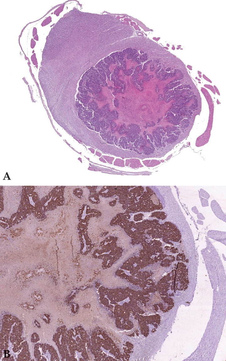
<p>Imagen microscópica de la médula espinal a nivel de L2. (A) Se aprecia metástasis intramedular de carcinoma mamario (HE 20x). (B) Se observan células neoplásicas intensamente positivas para citoqueratina. Inmunohistoquímica para CK AE1/AE3, contrateñido con hematoxilina x40.</p>
Figura 4

Imagen microscópica de la médula espinal a nivel de L2. (A) Se aprecia metástasis intramedular de carcinoma mamario (HE 20x). (B) Se observan células neoplásicas intensamente positivas para citoqueratina. Inmunohistoquímica para CK AE1/AE3, contrateñido con hematoxilina x40.

Discusión

En la especie felina, las neoplasias espinales son la segunda causa más frecuente de alteración espinal, tras enfermedades inflamatorias como la peritonitis infecciosa felina.[ Marioni-Henry K. Feline spinal cord diseases. Vet Clin North Am Small Anim Pract 2010; 40: 1011-1028. [PubMed] ] De las alteraciones neoplásicas, los tumores secundarios representan tan solo el 2,4 % de los tumores espinales, siendo los linfomas los más prevalentes, seguidos del osteosarcoma.[ Marioni-Henry K, Vite CH, Newton AL, van Winkle TJ. Prevalence of diseases of the spinal cord of cats. J Vet Intern Med 2004; 18(6): 851-858. [PubMed] , Marioni-Henry K, Van Winckle TJ, Smith SH, Vite CH. Tumours affecting the spinal cord of cats: 85 cases (1980-2005). J Am Vet Med Assoc, 2008; 232(2): 237-243. [PubMed] ] En cambio, en los perros, los tumores secundarios representan hasta el 34 % de los tumores intramedulares.[ Pancotto TE, Rossmeisl JH Jr, Zimmerman K, Robertson JL, Werre SR. Intramedullary spinal cord neoplasia in 53 dogs (1990-2010): distribution, clinicopathologic characteristics, and clinical behavior. J Vet Intern Med, 2013; 27(6): 1500-1508. [PubMed] ]

Por otro lado, los tumores mamarios felinos son normalmente malignos, con una proporción maligna/benigna de 9:1, y muy agresivos, con un intervalo desde la detección a la muerte de 6 a 12 meses. La edad de presentación oscila entre 9 y 12 años, aunque los gatos Siameses los pueden desarrollar a una edad más temprana, además de sufrir un mayor índice de invasión linfática de neoplasias que otras razas.[ Hayes HM Jr, Milne KL, Mandell CP. Epidemiological features of feline mammary carcinoma. Vet Rec 1981; 108(22): 476-479. [PubMed] ] Esto podría haber favorecido la presencia de invasión intramedular en nuestro caso.

Las metástasis a otros órganos de los carcinomas mamarios son comunes y son la causa más frecuente de mortalidad en estos tumores. Entre los lugares más frecuentes de metástasis figuran nódulos linfáticos regionales, pulmones (como ocurrió en este caso), pleura, hígado, diafragma, glándulas adrenales, huesos y riñones. Sin embargo, según la bibliografía consultada, no hay descripciones previas de metástasis medulares en gatos[ Withrow SJ, Vail DM, Rodney L. Tumors of the Mammary gland. En Withrow SJ, Vail DM (ed): Withrow & MacEwen´s Small Animal Clinical Oncology, 5th ed, WB Saunders 2013; 538-547. ] y sólo una en el perro.[ Pancotto TE, Rossmeisl JH Jr, Zimmerman K, Robertson JL, Werre SR. Intramedullary spinal cord neoplasia in 53 dogs (1990-2010): distribution, clinicopathologic characteristics, and clinical behavior. J Vet Intern Med, 2013; 27(6): 1500-1508. [PubMed] ]

El diagnóstico clínico de los tumores espinales se basa en el examen neurológico, diagnóstico por imagen espinal y biopsia quirúrgica.[ Lorenz MD, Kornegay JN: Pelvic limb paresis, paralysis or ataxia. En Lorenz MD, Coates J, Kent M (ed): Handbook of Veterinary Neurology. 4ª ed. St. Louis Saunders 2004; 131-174. ] Los signos neurológicos varían según la localización del tumor y el grado de compresión medular.[ Moore AS, Ogilvie GK. Nervous system. En Moore AS, Ogilvie GK (ed): Feline Oncology: A comprehensive guide to compassionate care, 1ªed. Trenton NJ: Veterinary Learning Systems, 2001; 251-258. , Adamo PF, Forrest LF, Dubielzig R. Canine and feline meningiomas: diagnosis, treatment and prognosis. Compend Contin Educ Pract Vet 2004; 26(12): 951-965. ] En gatos con tumores espinales y perros con tumores medulares, el dolor espinal y la paraparesia/paraplejia son los signos clínicos más comunes.[ Marioni-Henry K, Van Winckle TJ, Smith SH, Vite CH. Tumours affecting the spinal cord of cats: 85 cases (1980-2005). J Am Vet Med Assoc, 2008; 232(2): 237-243. [PubMed] , Pancotto TE, Rossmeisl JH Jr, Zimmerman K, Robertson JL, Werre SR. Intramedullary spinal cord neoplasia in 53 dogs (1990-2010): distribution, clinicopathologic characteristics, and clinical behavior. J Vet Intern Med, 2013; 27(6): 1500-1508. [PubMed] ] El 61 % de los gatos con tumores espinales muestran dolor, mientras que el 89 % de los perros con tumores intramedulares presentan hiperpatía espinal.[ Marioni-Henry K, Van Winckle TJ, Smith SH, Vite CH. Tumours affecting the spinal cord of cats: 85 cases (1980-2005). J Am Vet Med Assoc, 2008; 232(2): 237-243. [PubMed] , Pancotto TE, Rossmeisl JH Jr, Zimmerman K, Robertson JL, Werre SR. Intramedullary spinal cord neoplasia in 53 dogs (1990-2010): distribution, clinicopathologic characteristics, and clinical behavior. J Vet Intern Med, 2013; 27(6): 1500-1508. [PubMed] ] Sin embargo, en este caso no se halló dolor espinal. Tras el dolor espinal, la paresia/paraplejia está presente en el 34 % de los gatos con tumores espinales,[ Marioni-Henry K, Van Winckle TJ, Smith SH, Vite CH. Tumours affecting the spinal cord of cats: 85 cases (1980-2005). J Am Vet Med Assoc, 2008; 232(2): 237-243. [PubMed] ] dato que concuerda con los hallazgos en la especie canina, donde las localizaciones más frecuentes de los tumores medulares son los segmentos T3-L3 y L4-S2 que representan el 70 % de los casos, de los que sólo el 44 % son tumores secundarios.[ Pancotto TE, Rossmeisl JH Jr, Zimmerman K, Robertson JL, Werre SR. Intramedullary spinal cord neoplasia in 53 dogs (1990-2010): distribution, clinicopathologic characteristics, and clinical behavior. J Vet Intern Med, 2013; 27(6): 1500-1508. [PubMed] ] En este gato, la paresia de los miembros posteriores fue el único signo neurológico observado en el momento de remisión al hospital. En tumores espinales metastásicos, los signos neurológicos pueden aparecer antes que los signos clínicos del tumor primario.[ Bagley RS. Spinal neoplasms in small animals. Vet Clin North Am Small Anim Pract 2010, 40, 915-927. [PubMed] ] Para conocimiento de los autores, esta sería la primera descripción de paresia ambulatoria en un gato asociada a metástasis intramedular de un tumor mamario.

El diagnóstico por imagen es una parte esencial del protocolo diagnóstico de un tumor espinal. La radiografía simple es muy útil en tumores vertebrales,[ Marioni-Henry K, Van Winckle TJ, Smith SH, Vite CH. Tumours affecting the spinal cord of cats: 85 cases (1980-2005). J Am Vet Med Assoc, 2008; 232(2): 237-243. [PubMed] ] pero aporta poca información en los intramedulares.[ Pancotto TE, Rossmeisl JH Jr, Zimmerman K, Robertson JL, Werre SR. Intramedullary spinal cord neoplasia in 53 dogs (1990-2010): distribution, clinicopathologic characteristics, and clinical behavior. J Vet Intern Med, 2013; 27(6): 1500-1508. [PubMed] ] La mielografía puede delinear los tumores intramedulares, mostrando una desviación de las columnas de contraste típica de masa intramedular. La tomografía computarizada aporta más información, en especial combinada con la mielografía, aunque de acuerdo con dos estudios[ Marioni-Henry K, Van Winckle TJ, Smith SH, Vite CH. Tumours affecting the spinal cord of cats: 85 cases (1980-2005). J Am Vet Med Assoc, 2008; 232(2): 237-243. [PubMed] , Pancotto TE, Rossmeisl JH Jr, Zimmerman K, Robertson JL, Werre SR. Intramedullary spinal cord neoplasia in 53 dogs (1990-2010): distribution, clinicopathologic characteristics, and clinical behavior. J Vet Intern Med, 2013; 27(6): 1500-1508. [PubMed] ] puede no detectar algunos tumores intramedulares. Sin embargo, en ninguno de los dos estudios se realizó tomografía computarizada tras administrar contraste intravenoso, lo que podría haber ayudado en la detección de estos tumores.[ Dewey CW. Myelopathies: disorders of the spinal cord. En Dewey CW (Ed): A practical guide to feline and canine neurology. 2ªed. Iowa Wiley-Blackwell: 2008; 232-388. ] La resonancia magnética es la técnica de imagen preferida para el diagnóstico de estos tumores, siendo capaz de detectar el 100 % de los tumores intramedulares en perros y en 6 de 7 gatos.[ Marioni-Henry K, Van Winckle TJ, Smith SH, Vite CH. Tumours affecting the spinal cord of cats: 85 cases (1980-2005). J Am Vet Med Assoc, 2008; 232(2): 237-243. [PubMed] , Pancotto TE, Rossmeisl JH Jr, Zimmerman K, Robertson JL, Werre SR. Intramedullary spinal cord neoplasia in 53 dogs (1990-2010): distribution, clinicopathologic characteristics, and clinical behavior. J Vet Intern Med, 2013; 27(6): 1500-1508. [PubMed] ] En cualquier caso, el diagnóstico definitivo se obtiene mediante biopsia.[ Dewey CW. Myelopathies: disorders of the spinal cord. En Dewey CW (Ed): A practical guide to feline and canine neurology. 2ªed. Iowa Wiley-Blackwell: 2008; 232-388. ] Desgraciadamente, por deseo de los propietarios, en este caso no se realizó ninguna prueba de imagen de la columna vertebral dado el mal pronóstico recibido tras la radiografía torácica.

En conclusión, en gatos que se presenten con paresia ambulatoria y tumores mamarios, debemos introducir en nuestro diagnóstico diferencial la metástasis a nivel medular.

Agradecimientos

Los autores agradecen a Laura Núñez su excelente ayuda técnica.

 

Fuente de financiación: los autores no han recibido ninguna financiación externa, ni pública, ni del sector privado.

Conflicto de intereses: los autores no tienen ningún potencial conflicto de interés.

Bibliografía

  1. [1] Marioni-Henry K, Vite CH, Newton AL, van Winkle TJ. Prevalence of diseases of the spinal cord of cats. J Vet Intern Med 2004; 18(6): 851-858. [PubMed]
  2. [2] Marioni-Henry K, Van Winckle TJ, Smith SH, Vite CH. Tumours affecting the spinal cord of cats: 85 cases (1980-2005). J Am Vet Med Assoc, 2008; 232(2): 237-243. [PubMed]
  3. [3] Withrow SJ, Vail DM, Rodney L. Tumors of the Mammary gland. En Withrow SJ, Vail DM (ed): Withrow & MacEwen´s Small Animal Clinical Oncology, 5th ed, WB Saunders 2013; 538-547.
  4. [4] Vascellari M, Baioni E, Ru G, Carminato A, Mutinelli F. Animal tumour registry of two provinces in northern Italy: incidence of spontaneous tumours in dogs and cats. BMC Vet Res, 2009; 5:39. [PubMed]
  5. [5] Hayes HM Jr, Milne KL, Mandell CP. Epidemiological features of feline mammary carcinoma. Vet Rec 1981; 108(22): 476-479. [PubMed]
  6. [6] Mills SW, Musil KM, Davies JL, Hendrick S, Duncan C, Jackson ML, et al. Prognostic value of histologic grading for feline mammary carcinoma: a retrospective survival analysis. Vet Pathol, 2015; 52(2): 238-249. [PubMed]
  7. [7] Marioni-Henry K. Feline spinal cord diseases. Vet Clin North Am Small Anim Pract 2010; 40: 1011-1028. [PubMed]
  8. [8] Pancotto TE, Rossmeisl JH Jr, Zimmerman K, Robertson JL, Werre SR. Intramedullary spinal cord neoplasia in 53 dogs (1990-2010): distribution, clinicopathologic characteristics, and clinical behavior. J Vet Intern Med, 2013; 27(6): 1500-1508. [PubMed]
  9. [9] Lorenz MD, Kornegay JN: Pelvic limb paresis, paralysis or ataxia. En Lorenz MD, Coates J, Kent M (ed): Handbook of Veterinary Neurology. 4ª ed. St. Louis Saunders 2004; 131-174.
  10. [10] Moore AS, Ogilvie GK. Nervous system. En Moore AS, Ogilvie GK (ed): Feline Oncology: A comprehensive guide to compassionate care, 1ªed. Trenton NJ: Veterinary Learning Systems, 2001; 251-258.
  11. [11] Adamo PF, Forrest LF, Dubielzig R. Canine and feline meningiomas: diagnosis, treatment and prognosis. Compend Contin Educ Pract Vet 2004; 26(12): 951-965.
  12. [12] Bagley RS. Spinal neoplasms in small animals. Vet Clin North Am Small Anim Pract 2010, 40, 915-927. [PubMed]
  13. [13] Dewey CW. Myelopathies: disorders of the spinal cord. En Dewey CW (Ed): A practical guide to feline and canine neurology. 2ªed. Iowa Wiley-Blackwell: 2008; 232-388.

Artículos recomendados

Estas recomendaciones se ofrecen de forma automática.

  • Sarcoma histiocítico ocular felino
    M.T. Artacho-Burgos, A. I. Raya-Bermúdez
    Clin Vet Peq Anim Vol. 45 - Nº 4 · DIC 2025 · Artículo original referido a un solo caso clínico
  • Tratamiento con pregabalina para la epilepsia refractaria felina

    N. Delgado, S. Moya, L. García, et al.
    Clin Vet Peq Anim Vol. 44 - Nº 2 · JUN 2024 · Artículo original referido a múltiples casos clínicos
  • Linfoma espinal primario en un gato

    M. Andueza-Medina, R. Garcia-Hernández, M. Pulido-Anaya, et al.
    Clin Vet Peq Anim Vol. 44 - Nº 2 · JUN 2024 · Artículo original referido a un solo caso clínico
  • Inicio
  • Introducción
  • Caso clínico
  • Discusión
  • Agradecimientos
  • Bibliografía
Artículo anterior Índice de la revista Artículo siguiente
ANUNCIO
Próximos cursos ATVs Elearning
Índice
Inicio Introducción Caso clínico Discusión Agradecimientos Bibliografía
Virbac - Movoflex
ANUNCIO

¿No eres socio de AVEPA y quieres recibir comunicación de las nuevas ediciones en tu correo?

Suscríbete

Suscríbete y te avisaremos cuando publiquemos un nuevo número

Suscribirme

Enlaces rápidos

  • Inicio
  • Último número
  • Archivo
  • Artículos

Información

  • Comité editorial
  • Política de cookies
  • Política de privacidad
  • Términos y condiciones

Contacto

  • info@imaginice.com
  • Envíanos tu artículo
© 2026 Ice Salud Vet SL. Todos los derechos reservados.

Usamos cookies para mejorar tu experiencia. Selecciona cuáles aceptas: