Logo AVEPA

Clínica Veterinaria de Pequeños Animales

Revista oficial de AVEPA

  • Inicio
  • Último número
  • Archivo
  • Artículos
  • Para autores
  • Contacto
Cursos Junio-Septiembre 2026
ANUNCIO

Clínica Veterinaria de Pequeños Animales

Revista oficial de AVEPA

  • Inicio
  • Último número
  • Archivo
  • Artículos
  • Para autores
  • Contacto
Curso Oftalmología 2026
ANUNCIO
Clin Vet Peq Anim Vol. 36 • Nº 4 • diciembre 2016

Caso clínico de oncología

Caso Clínico de...

A. I. Raya-Bermúdez

Departamento de Medicina y Cirugía Animal. Facultad de Veterinaria. Universidad de Córdoba. CIOVET (Centro Integral de Oncología Veterinaria)

Otros artículos de A. I. Raya-Bermúdez:
  • Sarcoma histiocítico ocular felino
    Clin Vet Peq Anim Vol. 45 • Nº 4 • diciembre 2025

P. Muñoz-Rascón

CIOVET (Centro Integral de Oncología Veterinaria)

I. López-Villalba

Departamento de Medicina y Cirugía Animal. Facultad de Veterinaria. Universidad de Córdoba. CIOVET (Centro Integral de Oncología Veterinaria)

A. Sacchetti

CIOVET (Centro Integral de Oncología Veterinaria)

A. Barbosa

CIOVET (Centro Integral de Oncología Veterinaria)

E. Martínez-de Merlo

Departamento de Medicina y Cirugía Animal. Universidad Complutense de Madrid

F. Pérez-Rodríguez

CIOVET (Centro Integral de Oncología Veterinaria)

F. Burgos-Sierra

CIOVET (Centro Integral de Oncología Veterinaria)

P. García-Martín

CIOVET (Centro Integral de Oncología Veterinaria)

R. Jiménez-López

CIOVET (Centro Integral de Oncología Veterinaria)

V. Domingo-Roa

CIOVET (Centro Integral de Oncología Veterinaria). Atypia, Oncología Veterinaria y Experimental, Granada.

Contacto: ana.raya@uco.es
Descargar artículo

Historia clínica

Se describe el caso clínico de una perra mestiza, castrada, de 11 años, con estridor respiratorio y epistaxis de varias semanas de evolución. En una tomografía computarizada (TC) se observó una masa que ocupaba la cavidad nasal izquierda e invadía parte de la derecha, con lisis de los huesos palatino, lacrimal izquierdo, maxilar y senos frontales, sin invasión de la lámina cribosa (estadio III, clasificación de Adams). Tras la biopsia se diagnosticó como adenocarcinoma nasal. El tumor se trató durante 5 meses con toceranib fosfato (2,7 mg/kg en protocolo de lunes-miércoles-viernes) (Palladia®, Zoetis, Madrid) y firocoxib (5 mg/kg martes-jueves-sábado; Previcox®, Merial Laboratorios, Barcelona), y aunque los propietarios observaron un beneficio clínico por mejora de los signos clínicos, la TC de control mostró enfermedad progresiva (Fig. 1), por lo que fue remitida para tratamiento de radioterapia.

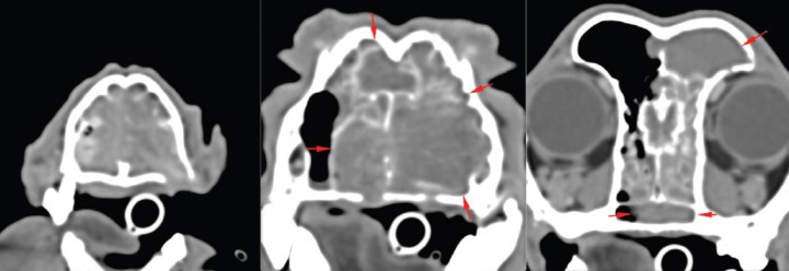
<p>Imagen en TC post-contraste en plano transversal y ventana de tejido blando. Se aprecia una masa que ocupa la cavidad nasal izquierda e invade parte de la derecha, con lisis de los huesos palatino, lacrimal izquierdo, maxilar y senos frontales, sin invasión de la lámina cribosa.</p>
Figura 1

Imagen en TC post-contraste en plano transversal y ventana de tejido blando. Se aprecia una masa que ocupa la cavidad nasal izquierda e invade parte de la derecha, con lisis de los huesos palatino, lacrimal izquierdo, maxilar y senos frontales, sin invasión de la lámina cribosa.

¿Cuáles son los tumores más frecuentes de la cavidad nasal del perro?

Los tumores de cavidad nasal representan aproximadamente un 1% de las neoplasias caninas, con una edad media de presentación de 10 años.[ Turek MM, Lana SE: Tumors of the respiratory system. Section B: nasosinal tumors. En Withrow SJ, Vail DM, Page RL (eds): Small Animal Clinical Oncology, St Louis, Elsevier, 2013; 435-449. ] Los tipos histológicos más comúnmente diagnosticados son los carcinomas, que suponen alrededor de dos tercios de los tumores nasales (adenocarcinoma, carcinoma de células escamosas, etc.), seguidos de los sarcomas (condrosarcoma, fibrosarcoma, etc.), siendo los tumores de células redondas los menos frecuentes (linfoma).[ Turek MM, Lana SE: Tumors of the respiratory system. Section B: nasosinal tumors. En Withrow SJ, Vail DM, Page RL (eds): Small Animal Clinical Oncology, St Louis, Elsevier, 2013; 435-449. , Harris BJ, Lourenço BN, Dobson JM, Herrtage ME: Diagnostic accuracy of three biopsy techniques in 117 dogs with intra-nasal neoplasia. J Small Anim Pract 2014; 55:219-224. [PubMed] ]

¿Cuáles son los principales síntomas de un tumor nasal?

Los principales signos clínicos son inicialmente los estornudos y la descarga nasal unilateral mucopurulenta, que puede ir acompañada, o no, de epistaxis. Conforme el tumor sigue desarrollándose se suele presentar descarga nasal bilateral y, en ocasiones, deformación facial debida a la lisis ósea y a la invasión del tejido subcutáneo por parte del tumor. También pueden observarse exoftalmos y signos neurológicos causados por la invasión intracraneal, generalmente a través del etmoides.[ Turek MM, Lana SE: Tumors of the respiratory system. Section B: nasosinal tumors. En Withrow SJ, Vail DM, Page RL (eds): Small Animal Clinical Oncology, St Louis, Elsevier, 2013; 435-449. , Harris BJ, Lourenço BN, Dobson JM, Herrtage ME: Diagnostic accuracy of three biopsy techniques in 117 dogs with intra-nasal neoplasia. J Small Anim Pract 2014; 55:219-224. [PubMed] ]

¿Cuáles son los principales métodos de diagnóstico?

El diagnóstico presuntivo de tumor nasal puede alcanzarse a partir de radiografía (generalmente en proyección dorso-ventral intraoral) o rinoscopia; sin embargo, la TC tiene la ventaja de que evita la superposición de estructuras y permite una mejor evaluación de la extensión del tumor (invasión de la lámina cribosa), adecuada valoración de los ganglios linfáticos regionales y presencia de metástasis pulmonares. Esta información es necesaria para el correcto estadiaje clínico.[ Finck M, Ponce F, Guilbaud L, et al.: Computed tomography or rhinoscopy as the first-line procedure for suspected nasal tumor: A pilot study. Can Vet J 2015; 56:185-192. [PubMed] ] En aquellos casos en los que exista invasión del sistema nervioso central, la resonancia magnética puede ayudar a determinar con más precisión el grado de infiltración.[ Turek MM, Lana SE: Tumors of the respiratory system. Section B: nasosinal tumors. En Withrow SJ, Vail DM, Page RL (eds): Small Animal Clinical Oncology, St Louis, Elsevier, 2013; 435-449. ]

¿Dónde se localizan normalmente las metástasis de los tumores nasales?

La capacidad metastásica de los tumores nasales depende del tipo y grado histológico de malignidad. Como norma general, son tumores con poca capacidad metastásica. De hecho, la principal causa de mortalidad es la progresión local de la enfermedad y la invasión de los tejidos adyacentes, por encima de la diseminación a distancia del tumor. Cuando suceden las metástasis, las localizaciones más comunes son los ganglios linfáticos regionales y el pulmón.[ Turek MM, Lana SE: Tumors of the respiratory system. Section B: nasosinal tumors. En Withrow SJ, Vail DM, Page RL (eds): Small Animal Clinical Oncology, St Louis, Elsevier, 2013; 435-449. ]

¿Cuál es modalidad terapéutica que mayor probabilidad de control tumoral tiene para los tumores nasales caninos?

Al tratarse de tumores principalmente invasivos, el objetivo clave del tratamiento es el control local de la enfermedad. La resección quirúrgica, normalmente no es posible debido al grado de infiltración en el momento del diagnóstico. Por este motivo, la radioterapia es la modalidad de tratamiento que consigue mayor control a largo plazo. La combinación de cirugía y radioterapia no ha demostrado un mayor beneficio terapéutico respecto a la radioterapia como única modalidad.[ Turek MM, Lana SE: Tumors of the respiratory system. Section B: nasosinal tumors. En Withrow SJ, Vail DM, Page RL (eds): Small Animal Clinical Oncology, St Louis, Elsevier, 2013; 435-449. ]

Los inhibidores de la tirosin-kinasa, como el toceranib, pueden ofrecer buenos resultados en algunos casos, incluso por encima de la quimioterapia convencional, pero por el momento, la información es escasa y se refiere a pocos casos. El empleo de quimioterapia, con o sin AINEs, tiene una eficacia limitada; aunque en el caso de existir enfermedad metastásica o fallar las terapias anteriores, estaría justificado su uso.[ Turek MM, Lana SE: Tumors of the respiratory system. Section B: nasosinal tumors. En Withrow SJ, Vail DM, Page RL (eds): Small Animal Clinical Oncology, St Louis, Elsevier, 2013; 435-449. , London C, Mathie T, Stingle N, et al. Preliminary evidence for biologic activity of toceranib phosphate (Palladia®) in solid tumours. Vet Comp Oncol 2012; 10:194-205. [PubMed] ]

¿Cuáles son los principales efectos secundarios en perros con tumores nasales tratados con radioterapia?

Los efectos secundarios al irradiar la cavidad nasal pueden ser agudos o crónicos. Aparecen sobre el volumen irradiado y dependen de factores como la dosis total y la dosis por fracción. Los efectos agudos se manifiestan durante el tratamiento o en las 3-4 semanas posteriores. Se producen en tejidos con alto índice de proliferación (como piel o mucosas) y los más frecuentes son radiodermitis, mucositis y queratoconjuntivitis. Los efectos crónicos, entre los que se encuentran la necrosis cerebral y ósea o las cataratas, aparecen con menor frecuencia que los agudos y en tejidos con un índice de proliferación más bajo, meses después de finalizar el tratamiento.[ Turek MM, Lana SE: Tumors of the respiratory system. Section B: nasosinal tumors. En Withrow SJ, Vail DM, Page RL (eds): Small Animal Clinical Oncology, St Louis, Elsevier, 2013; 435-449. , Cancedda S, Sabattini S, Bettini G, et al.: Combination of radiation therapy and firocoxib for the treatment of canine nasal carcinoma. Vet Radiol Ultrasound 2015; 56:335-343. [PubMed] ] Los avances en las técnicas de tratamiento, como la radioterapia de intensidad modulada (IMRT), han permitido ajustar con más precisión la dosis de radiación en tumores geométricamente complejos, como los tumores nasales, muy próximos a los ojos y sistema nervioso, disminuyendo los efectos secundarios al recibir el tejido sano una cantidad menor de radiación.[ Turek MM, Lana SE: Tumors of the respiratory system. Section B: nasosinal tumors. En Withrow SJ, Vail DM, Page RL (eds): Small Animal Clinical Oncology, St Louis, Elsevier, 2013; 435-449. ]

¿Cómo se llevó a cabo el tratamiento de radioterapia?

En el centro de radioterapia se realizó una TC de planificación, con el animal en la posición de tratamiento, utilizando como sistemas de inmovilización colchón de vacío, máscara termoconformada y molde dental de silicona. Estos sistemas son fundamentales para el buen posicionamiento del paciente, ya que la terapia se hace en base a la posición del animal en la TC de planificación, que debe reproducirse con total exactitud en cada una de las sesiones. Posteriormente se procedió a la digitalización del volumen tumoral y de los órganos periféricos de riesgo (OAR), obteniendo los histogramas dosis volumen (DVH), que representan la dosis administrada a cada uno de los volúmenes digitalizados (Fig. 2). El tratamiento propuesto consistió en la irradiación del volumen tumoral mediante la técnica de radioterapia de IMRT step&shoot, con un acelerador lineal Elekta (modelo Precise), mediante fotones de 6 MV (Fig. 3). Se conformaron 18 campos isocéntricos y no coplanares con un colimador multiláminas, que modula el haz de radiación en cada campo de tratamiento, adaptándolo a la forma de la lesión. La dosis total fue de 45 Gy (dosis equivalente 57,8 Gy y dosis biológica equivalente 62,29 Gy) administrados en 9 sesiones (3 sesiones semanales, lunes-miércoles-viernes) de 5 Gy. Para los tratamientos, se utilizó sedación con dexmedetomidina (2 µg/kg; Dexdomitor®, Zoetis, Madrid) y butorfanol (0,2 mg/kg; Torphasol®, Esteve, Barcelona), seguida de inducción con propofol a dosis efecto (Vetofol®, Esteve, Barcelona) y mantenimiento con isofluorano (Isoflo®, Esteve, Barcelona). Se realizó un control postural diario mediante imágenes portales ortogonales.

<p>Histogramas dosis volumen, que muestran la dosis total de radiación recibida en el volumen planificado de tratamiento (PTV), volumen tumoral macroscópico (GTV) y órganos de riesgo.</p>
Figura 2

Histogramas dosis volumen, que muestran la dosis total de radiación recibida en el volumen planificado de tratamiento (PTV), volumen tumoral macroscópico (GTV) y órganos de riesgo.

<p>Animal posicionado en el acelerador para la sesión de tratamiento. Inmovilización con colchón de vacío, máscara termoconformada y molde oral. Los pacientes están monitorizados durante todo el tratamiento.</p>
Figura 3

Animal posicionado en el acelerador para la sesión de tratamiento. Inmovilización con colchón de vacío, máscara termoconformada y molde oral. Los pacientes están monitorizados durante todo el tratamiento.

En la tercera semana de tratamiento el animal desarrolló radiodermitis y mucositis oral (Fig. 4), que se resolvieron en dos semanas con tratamiento sintomático basado en antibióticos (espiramicina y metronidazol 12,5 mg/kg/24 h; Rhodogyl®, Sanofi Aventis, Barcelona), antiinflamatorios no esteroideos (robenacoxib 1 mg/kg/24/h; Onsior®, Novartis Animal Health, Barcelona), analgésicos (tramadol 4 mg/kg/12 h; Adolonta®, Grünenthal Pharma, Madrid) y aplicación cada 12 horas de crema y colutorio bloqueantes de radicales libres y específicos para el tratamiento de la radiodermitis y mucositis por radiación (Tectum®, Beacon Biomedicine, Madrid). Tras varias semanas el pelo volvió a crecer con normalidad en la zona irradiada (Fig. 5).

<p>Radiodermitis y mucositis oral (flecha) desarrollada al final del tratamiento.</p>
Figura 4

Radiodermitis y mucositis oral (flecha) desarrollada al final del tratamiento.

<p>A los 3 meses de finalizar el tratamiento el pelo había vuelto a crecer en la zona irradiada.</p>
Figura 5

A los 3 meses de finalizar el tratamiento el pelo había vuelto a crecer en la zona irradiada.

Tres meses después de finalizar el tratamiento, se realizó una TC de control que mostró una remisión parcial, con una reducción del 50 % del volumen tumoral (Fig. 6). Se comenzó un tratamiento con una fórmula magistral de ciclofosfamida oral, a una dosis de 10 mg/m2 cada 24 h, combinada con firocoxib (5 mg/kg/24 h). A los seis meses se volvió a realizar una TC de control donde se observó enfermedad estable. Quince meses después de la finalización del tratamiento, el animal continúa sin síntomas del tumor y no han aparecido efectos secundarios tardíos ni oculares ni neurológicos.

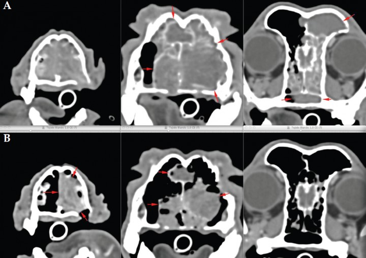
<p>Imagen en TC post-contraste en plano transversal y ventana de tejido blando. (A) Al inicio del tratamiento con radioterapia. (B) A los 3 meses del tratamiento, donde se observa una marcada reducción del volumen tumoral.</p>
Figura 6

Imagen en TC post-contraste en plano transversal y ventana de tejido blando. (A) Al inicio del tratamiento con radioterapia. (B) A los 3 meses del tratamiento, donde se observa una marcada reducción del volumen tumoral.

Discusión

La radioterapia es el tratamiento de elección para los tumores de cavidad nasal, ya que la resección quirúrgica completa, por lo general, no es posible debido a la gran extensión e invasión ósea que suelen tener estos tumores en el momento del diagnóstico. Además, la combinación de cirugía y radioterapia no ha demostrado un mayor beneficio terapéutico respecto a la radioterapia como única modalidad.[ Turek MM, Lana SE: Tumors of the respiratory system. Section B: nasosinal tumors. En Withrow SJ, Vail DM, Page RL (eds): Small Animal Clinical Oncology, St Louis, Elsevier, 2013; 435-449. ] El tiempo medio de supervivencia de los perros con tumores nasales tratados sólo con radioterapia, es de aproximadamente un año frente a los 95 días en animales sin tratamiento, con un peor pronóstico en aquellos tumores que invaden la lámina cribosa, y existiendo variaciones en la bibliografía debido a los diferentes protocolos y técnicas de tratamiento utilizadas.[ Turek MM, Lana SE: Tumors of the respiratory system. Section B: nasosinal tumors. En Withrow SJ, Vail DM, Page RL (eds): Small Animal Clinical Oncology, St Louis, Elsevier, 2013; 435-449. , Cancedda S, Sabattini S, Bettini G, et al.: Combination of radiation therapy and firocoxib for the treatment of canine nasal carcinoma. Vet Radiol Ultrasound 2015; 56:335-343. [PubMed] ]

Excepto en el caso del linfoma nasal, existen pocas referencias sobre quimioterapia como única modalidad de tratamiento de tumores nasales; y estos estudios, por lo general, incluyen pocos animales. Los fármacos más comúnmente utilizados son el cisplatino, el carboplatino y la doxorubicina.[ Turek MM, Lana SE: Tumors of the respiratory system. Section B: nasosinal tumors. En Withrow SJ, Vail DM, Page RL (eds): Small Animal Clinical Oncology, St Louis, Elsevier, 2013; 435-449. ] Un estudio sobre la eficacia del toceranib en el tratamiento de carcinomas nasales reflejó aproximadamente un 70% de beneficio clínico, aunque el número de animales tratados era escaso.[ London C, Mathie T, Stingle N, et al. Preliminary evidence for biologic activity of toceranib phosphate (Palladia®) in solid tumours. Vet Comp Oncol 2012; 10:194-205. [PubMed] ] Aunque no existen estudios que hayan valorado el beneficio de la administración conjunta de firocoxib y ciclofosfamida tras el tratamiento con radioterapia en tumores nasales, la terapia metronómica se utilizó en este caso debido a que existen evidencias de que prolonga el tiempo de supervivencia en otros tumores tratados con radioterapia, como por ejemplo en los sarcomas de tejidos blandos no operables.[ Cancedda S, Marconato L, Meier V, et al. Hypofractionated radiotherapy for macroscopic canine soft tissue sarcoma: a retrospective study of 50 cases treated with a 5 × 6 Gy protocol with or without metronomic chemotherapy. Vet Radiol Ultrasound 2016; 57:75–83. [PubMed] ] Además, se ha descrito que la administración de firocoxib en pacientes tratados con un protocolo paliativo de radioterapia mejora la calidad de vida respecto a los animales que no reciben dicho producto.[ Cancedda S, Sabattini S, Bettini G, et al.: Combination of radiation therapy and firocoxib for the treatment of canine nasal carcinoma. Vet Radiol Ultrasound 2015; 56:335-343. [PubMed] ]

La perra continúa sin síntomas después de quince meses tras la finalización del tratamiento, superando el tiempo medio de supervivencia descrito en la mayoría de los artículos.[ Turek MM, Lana SE: Tumors of the respiratory system. Section B: nasosinal tumors. En Withrow SJ, Vail DM, Page RL (eds): Small Animal Clinical Oncology, St Louis, Elsevier, 2013; 435-449. ] La técnica de IMRT permite adaptar el haz de radiación a la forma del tumor con mayor precisión, minimizando la dosis recibida por los tejidos sanos adyacentes y disminuyendo los efectos secundarios.[ Turek MM, Lana SE: Tumors of the respiratory system. Section B: nasosinal tumors. En Withrow SJ, Vail DM, Page RL (eds): Small Animal Clinical Oncology, St Louis, Elsevier, 2013; 435-449. ]

El caso que se presenta demuestra la eficacia de esta modalidad de tratamiento con escasos efectos secundarios, en un animal con un adenocarcinoma nasal en estadio avanzado.

 

Fuente de financiación: este trabajo no se ha realizado con fondos comerciales, públicos o del sector privado.
Conflicto de intereses: los autores declaran que no existe conflicto de intereses en los datos publicados.

Bibliografía

  1. [1] Turek MM, Lana SE: Tumors of the respiratory system. Section B: nasosinal tumors. En Withrow SJ, Vail DM, Page RL (eds): Small Animal Clinical Oncology, St Louis, Elsevier, 2013; 435-449.
  2. [2] Harris BJ, Lourenço BN, Dobson JM, Herrtage ME: Diagnostic accuracy of three biopsy techniques in 117 dogs with intra-nasal neoplasia. J Small Anim Pract 2014; 55:219-224. [PubMed]
  3. [3] Finck M, Ponce F, Guilbaud L, et al.: Computed tomography or rhinoscopy as the first-line procedure for suspected nasal tumor: A pilot study. Can Vet J 2015; 56:185-192. [PubMed]
  4. [4] London C, Mathie T, Stingle N, et al. Preliminary evidence for biologic activity of toceranib phosphate (Palladia®) in solid tumours. Vet Comp Oncol 2012; 10:194-205. [PubMed]
  5. [5] Cancedda S, Sabattini S, Bettini G, et al.: Combination of radiation therapy and firocoxib for the treatment of canine nasal carcinoma. Vet Radiol Ultrasound 2015; 56:335-343. [PubMed]
  6. [6] Cancedda S, Marconato L, Meier V, et al. Hypofractionated radiotherapy for macroscopic canine soft tissue sarcoma: a retrospective study of 50 cases treated with a 5 × 6 Gy protocol with or without metronomic chemotherapy. Vet Radiol Ultrasound 2016; 57:75–83. [PubMed]

Artículos recomendados

Estas recomendaciones se ofrecen de forma automática.

  • Sarcoma histiocítico ocular felino
    M.T. Artacho-Burgos, A. I. Raya-Bermúdez
    Clin Vet Peq Anim Vol. 45 - Nº 4 · DIC 2025 · Artículo original referido a un solo caso clínico
  • Caso clínico de… Urgencias

    I. Sunyer
    Clin Vet Peq Anim Vol. 45 - Nº 2 · JUN 2025 · Caso Clínico de...
  • Caso clínico de… Cirugía de tejidos blandos

    N. Jurado, L. Fresno, L. Santos
    Clin Vet Peq Anim Vol. 44 - Nº 1 · MAR 2024 · Caso Clínico de...
  • Inicio
  • Historia clínica
  • ¿Cuáles son los tumores más frecuentes de la cavidad nasal del perro?
  • ¿Cuáles son los principales síntomas de un tumor nasal?
  • ¿Cuáles son los principales métodos de diagnóstico?
  • ¿Dónde se localizan normalmente las metástasis de los tumores nasales?
  • ¿Cuál es modalidad terapéutica que mayor probabilidad de control tumoral tiene para los tumores nasales caninos?
  • ¿Cuáles son los principales efectos secundarios en perros con tumores nasales tratados con radioterapia?
  • ¿Cómo se llevó a cabo el tratamiento de radioterapia?
  • Discusión
  • Bibliografía
Artículo anterior Índice de la revista Artículo siguiente
ANUNCIO
Próximos cursos ATVs Elearning
Índice
Inicio Historia clínica ¿Cuáles son los tumores más frecuentes de la cavidad nasal del perro? ¿Cuáles son los principales síntomas de un tumor nasal? ¿Cuáles son los principales métodos de diagnóstico? ¿Dónde se localizan normalmente las metástasis de los tumores nasales? ¿Cuál es modalidad terapéutica que mayor probabilidad de control tumoral tiene para los tumores nasales caninos? ¿Cuáles son los principales efectos secundarios en perros con tumores nasales tratados con radioterapia? ¿Cómo se llevó a cabo el tratamiento de radioterapia? Discusión Bibliografía
Suscripción AVEPA Elearning
ANUNCIO

¿No eres socio de AVEPA y quieres recibir comunicación de las nuevas ediciones en tu correo?

Suscríbete

Suscríbete y te avisaremos cuando publiquemos un nuevo número

Suscribirme

Enlaces rápidos

  • Inicio
  • Último número
  • Archivo
  • Artículos

Información

  • Comité editorial
  • Política de cookies
  • Política de privacidad
  • Términos y condiciones

Contacto

  • info@imaginice.com
  • Envíanos tu artículo
© 2026 Ice Salud Vet SL. Todos los derechos reservados.

Usamos cookies para mejorar tu experiencia. Selecciona cuáles aceptas: