Logo AVEPA

Clínica Veterinaria de Pequeños Animales

Revista oficial de AVEPA

  • Inicio
  • Último número
  • Archivo
  • Artículos
  • Para autores
  • Contacto
Cursos Junio-Septiembre 2026
ANUNCIO

Clínica Veterinaria de Pequeños Animales

Revista oficial de AVEPA

  • Inicio
  • Último número
  • Archivo
  • Artículos
  • Para autores
  • Contacto
Curso Oftalmología 2026
ANUNCIO
Clin Vet Peq Anim Vol. 36 • Nº 4 • diciembre 2016

¿Cuál es tu diagnóstico?

¿Cuál es tu diagnóstico?

N. Díez-Bru

Diagnóstico por Imagen TAC-VET. Centro Médico Veterinario Delicias. Calle Delicias 34, 28045 Madrid

E. García

Diagnóstico por Imagen TAC-VET. Centro Médico Veterinario Delicias. Calle Delicias 34, 28045 Madrid

P. Plaza

Diagnóstico por Imagen TAC-VET. Centro Médico Veterinario Delicias. Calle Delicias 34, 28045 Madrid

R. Sánchez

Diagnóstico por Imagen TAC-VET. Centro Médico Veterinario Delicias. Calle Delicias 34, 28045 Madrid

R. Cruz-Arambulo

Diagnóstico por Imagen TAC-VET. Centro Médico Veterinario Delicias. Calle Delicias 34, 28045 Madrid

Contacto: nataliadbru@gmail.com
Descargar artículo

Historia clínica

Se presenta un gato Persa, hembra castrada, de 15 años de edad, con un cuadro de disnea y enfisema subcutáneo que comienza 4 días después de una limpieza de boca.

El análisis de sangre no reveló anomalías significativas. Se realizaron radiografías lateral derecha y ventrodorsal de la cavidad torácica (Fig. 1).

<p>Radiografías de tórax en proyección lateral derecha (A) y ventrodorsal (B) en un gato Persa de 15 años con un cuadro de disnea y enfisema subcutáneo.</p>
Figura 1

Radiografías de tórax en proyección lateral derecha (A) y ventrodorsal (B) en un gato Persa de 15 años con un cuadro de disnea y enfisema subcutáneo.

Describe las anormalidades radiográficas que se observan

En la proyección lateral derecha del tórax (Fig. 2A) se observa una mejor visualización de las estructuras mediastínicas craneales, incluyendo la pared traqueal, el esófago y los vasos sanguíneos, al aparecer rodeadas por gas. Los hallazgos son sugerentes de neumomediastino. También se observa desplazamiento dorsal de la silueta cardiaca por una banda de opacidad gas y retracción del lóbulo pulmonar caudal, compatible con neumotórax. Hay aumento de la densidad radiológica del pulmón, posiblemente por atelectasia pulmonar secundaria. 

<p>Mismas imágenes que en Figura 1. Proyección lateral de tórax (A): Neumomediastino (elipse); neumotórax (asterisco blanco) con retracción del lóbulo pulmonar caudal (cabeza de flechas blancas); enfisema subcutáneo (flechas blancas) y neumoretroperitoneo (doble asterisco blanco). Osteofitos o artrolitos a nivel de las articulaciones escapulohumerales y pequeñas mineralizaciones a nivel de las siluetas renales (flecha negra). En la proyección ventrodorsal (B) realizada tras drenaje del neumotórax se observa mayor distensión pulmonar.</p>
Figura 2

Mismas imágenes que en Figura 1. Proyección lateral de tórax (A): Neumomediastino (elipse); neumotórax (asterisco blanco) con retracción del lóbulo pulmonar caudal (cabeza de flechas blancas); enfisema subcutáneo (flechas blancas) y neumoretroperitoneo (doble asterisco blanco). Osteofitos o artrolitos a nivel de las articulaciones escapulohumerales y pequeñas mineralizaciones a nivel de las siluetas renales (flecha negra). En la proyección ventrodorsal (B) realizada tras drenaje del neumotórax se observa mayor distensión pulmonar.

Se aprecia gas en la región del cuello que se extiende a lo largo de la pared torácica y abdominal, compatible con enfisema subcutáneo, así como en área retroperitoneal craneal, indicativo de neumoretroperitoneo. Como hallazgos incidentales se visualizan osteofitos o artrolitos a nivel de las articulaciones escapulohumerales, compatible con osteoartrosis, y pequeñas mineralizaciones a nivel de las siluetas renales.

Tras el drenaje del neumotórax se realiza la proyección ventrodorsal (Fig. 2B), ya que la disnea que presentaba el paciente previamente dificultaba realizar proyecciones adicionales. En la imagen se puede observar una mayor distensión pulmonar.

¿Cuáles son los diagnósticos diferenciales con estos signos radiográficos?

Los diagnósticos diferenciales en un paciente con una imagen de neumomediastino, neumotórax, neumoretroperitoneo y enfisema subcutáneo incluyen una perforación o rotura traqueal o esofágica y, con menor probabilidad, de los bronquios o del pulmón.

¿Qué otras pruebas realizarías para alcanzar el diagnóstico definitivo?

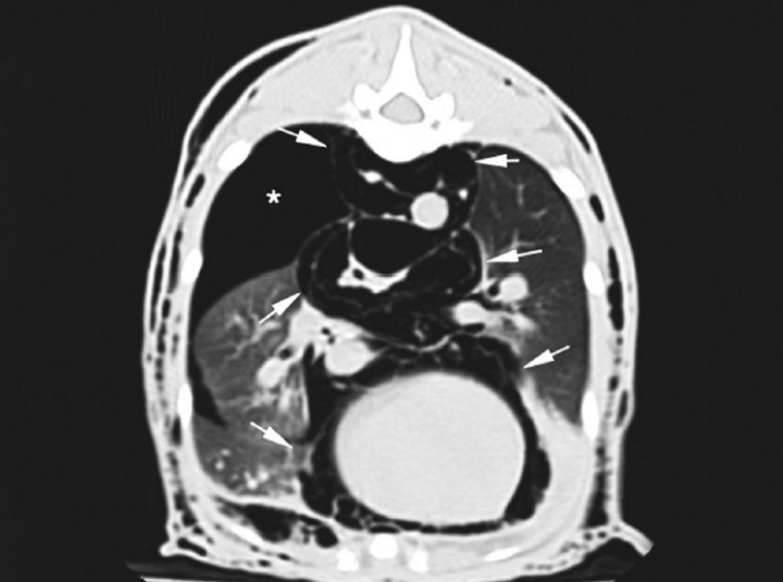
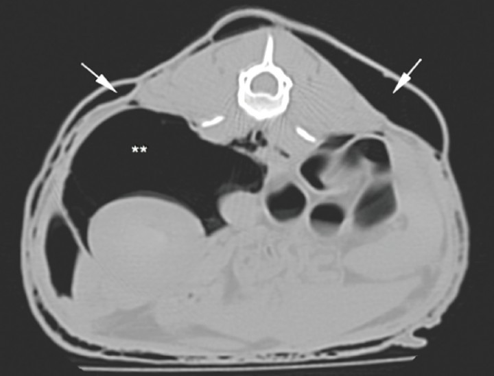
Para llegar a un diagnóstico definitivo podrían ser útiles una tomografía computarizada (TC) o una traqueobroncoscopia. En este caso debido a la historia clínica del paciente se decide hacer una TC. El estudio incluye dos series precontraste procesadas con algoritmos de tejido blando y pulmón, con cortes contiguos de 1 mm de grosor. Se observa dilatación marcada del mediastino con gas, o neumomediastino (Fig. 3), así como neumotórax y compresión de lóbulos pulmonares con atelectasia secundaria. El gas del mediastino se extiende a lo largo de los planos fasciales de los tejidos subcutáneos, causando enfisema muy marcado en cabeza, cuello, pared torácica y pared abdominal. El aire también se extiende caudalmente al espacio retroperitoneal (Fig. 4), cabeza (Fig. 5) y cuello (Fig. 6). Se detecta un pequeño defecto en la pared dorsal de la tráquea, aproximadamente a nivel de C7-T1 (Fig. 6B). Se observa mineralización a nivel del riñón derecho.

<p>Corte transversal de TC en ventana de pulmón. Se observa neumomediastino (flechas blancas) y neumotórax (asterisco blanco).</p>
Figura 3

Corte transversal de TC en ventana de pulmón. Se observa neumomediastino (flechas blancas) y neumotórax (asterisco blanco).

<p>Corte transversal de abdomen craneal en ventana hueso. El asterisco marca el neumoperitoneo.</p>
Figura 4

Corte transversal de abdomen craneal en ventana hueso. El asterisco marca el neumoperitoneo.

<p>Corte transversal a nivel de la cabeza en ventana hueso. Las fechas blancas señalan enfisema subcutáneo.</p>
Figura 5

Corte transversal a nivel de la cabeza en ventana hueso. Las fechas blancas señalan enfisema subcutáneo.

<p>(A) Corte transversal en ventana hueso a nivel de C7. Las fechas blancas señalan enfisema subcutáneo entre fascias. (B) Ampliación de la zona de la traquea. Se observa un defecto a nivel de la pared dorsal de la tráquea (flecha negra).</p>
Figura 6

(A) Corte transversal en ventana hueso a nivel de C7. Las fechas blancas señalan enfisema subcutáneo entre fascias. (B) Ampliación de la zona de la traquea. Se observa un defecto a nivel de la pared dorsal de la tráquea (flecha negra).

La imagen tomográfica sugiere la existencia de una rotura traqueal con neumomediastino, neumotórax, neumoretroperitoneo y enfisema de tejido subcutáneo grave y extenso.

Se realiza una toracotomía mediante abordaje esternal. La rotura de tráquea se resuelve mediante resección de un segmento de la misma y anastomosis termino-terminal. El paciente es dado de alta 10 días después de la intervención.

Comentarios

La rotura de tráquea en pequeños animales es poco frecuente, pero se trata de una entidad clínica con una alta mortalidad, donde un diagnóstico precoz y unas técnicas terapéuticas adecuadas resultan determinantes para la supervivencia de un paciente. La rotura traqueal puede estar provocada por traumatismo intraluminal o por traumatismos externos. El primero está asociado con el procedimiento de intubación endotraqueal, especialmente en la especie felina,[ Hardie EM, Spodnick GJ, Gilson SD, et al. Tracheal rupture in cats: 16 cases (1983–1998). J Am Vet Med Assoc 1999;214:508–512. [PubMed] ] mientras que los segundos se observan generalmente como consecuencia de ataques de perros o atropellos.

La rotura y/o estenosis traqueal es una complicación potencial de la intubación traqueal y está descrita especialmente en medicina humana y en la especie felina.[ Hardie EM, Spodnick GJ, Gilson SD, et al. Tracheal rupture in cats: 16 cases (1983–1998). J Am Vet Med Assoc 1999;214:508–512. [PubMed] , Mitchell SL, McCarthy R, Rudloff E, Pernell RT. Tracheal rupture associated with tracheal intubation in cats: 20 cases (1996-1998). J Am Vet Med Assoc 2000; 216: 1592-1595. [PubMed] ] La vascularización traqueal es sensible a la presión ejercida por el balón hinchable, lo que puede reducir el diámetro u ocluir los capilares de la pared de la tráquea, causando necrosis isquémica de la mucosa o el cartílago. Esto puede provocar lesiones circunferenciales de la pared que conducen a fibrosis y estenosis traqueal progresiva, a medida que progresa la cicatrización. La disrupción de la membrana traqueal dorsal se suele producir por daño intraluminal debido a sobreinsuflación del balón, pero también por cambios de posición de la cabeza sin desconexión del tubo durante la anestesia, el uso de fiador, o por extracción del tubo sin desinflar el balón. Sin embargo, en la mayoría de los gatos, la rotura se debe a sobreinflado del balón.[ Hardie EM, Spodnick GJ, Gilson SD, et al. Tracheal rupture in cats: 16 cases (1983–1998). J Am Vet Med Assoc 1999;214:508–512. [PubMed] , Mitchell SL, McCarthy R, Rudloff E, Pernell RT. Tracheal rupture associated with tracheal intubation in cats: 20 cases (1996-1998). J Am Vet Med Assoc 2000; 216: 1592-1595. [PubMed] ] La estimación de la presión mediante la palpación de la válvula externa no se considera fiable. Es más seguro realizar una ventilación manual mientras se infla lentamente el balón, hasta conseguir sellar la fuga de aire audible a través de la boca del paciente. La rotura de tráquea por intubación es mucho menos frecuente en perros que en gatos.[ Mitchell SL, McCarthy R, Rudloff E, Pernell RT. Tracheal rupture associated with tracheal intubation in cats: 20 cases (1996-1998). J Am Vet Med Assoc 2000; 216: 1592-1595. [PubMed] , Roach W, Krahwinkel DJ. Obstructive lesions and traumatic injuries of the canine and feline tracheas. Compend Contin Educ Vet 2009; 1:86-93. [PubMed] ]

Las lesiones por rotura traqueal pueden producir dos tipos de presentación clínica. La primera es un cuadro agudo de disnea y de compromiso respiratorio. La segunda consiste en un cuadro de desarrollo más crónico que aparece días o semanas después de la anestesia, y se debe a una estenosis circunferencial y progresiva de los extremos proximal y distal del segmento traqueal afectado. En estos casos crónicos, el paso del aire por el lumen se mantiene inicialmente por la presencia de adventicia traqueal intacta, o por engrosamiento del tejido mediastínico, lo que conduce al desarrollo de una pseudotráquea que permite el paso del aire.[ Mitchell SL, McCarthy R, Rudloff E, Pernell RT. Tracheal rupture associated with tracheal intubation in cats: 20 cases (1996-1998). J Am Vet Med Assoc 2000; 216: 1592-1595. [PubMed] , Roach W, Krahwinkel DJ. Obstructive lesions and traumatic injuries of the canine and feline tracheas. Compend Contin Educ Vet 2009; 1:86-93. [PubMed] ]

En gatos con rotura de tráquea las radiografías muestran típicamente neumomediastino y enfisema subcutáneo. En algunos casos se puede observar además neumoretroperitoneo, y también neumotórax si se ha perforado el mediastino. El neumomediastino se produce por salida del aire desde la tráquea hacia los músculos en la región de la entrada torácica, y puede extenderse hasta el espacio retroperitoneal. Si se desarrolla una pseudotráquea, la radiografía puede mostrar discontinuidad de la tráquea y presencia de un divertículo con aire entre los anillos traqueales afectados.[ Hardie EM, Spodnick GJ, Gilson SD, et al. Tracheal rupture in cats: 16 cases (1983–1998). J Am Vet Med Assoc 1999;214:508–512. [PubMed] , Mitchell SL, McCarthy R, Rudloff E, Pernell RT. Tracheal rupture associated with tracheal intubation in cats: 20 cases (1996-1998). J Am Vet Med Assoc 2000; 216: 1592-1595. [PubMed] , Roach W, Krahwinkel DJ. Obstructive lesions and traumatic injuries of the canine and feline tracheas. Compend Contin Educ Vet 2009; 1:86-93. [PubMed] ]

La tomografía computarizada o TC se utiliza para diagnosticar roturas traqueales en medicina humana. Las ventajas de la TC son la posibilidad de determinar la localización y extensión de la rotura (cervical, intratorácica o ambas regiones), definir y diferenciar tejido traqueal y peritraqueal, y permitir reconstrucciones en diferentes planos que pueden ofrecer información valiosa de cara a una planificación quirúrgica.[ Bhandal J, Kuzma A. Tracheal rupture in a cat: Diagnosis by computed tomography. Can Vet J 2008; 49:595-597. [PubMed] ]

La traqueoscopia o broncoscopia puede ser decisiva a la hora de establecer un diagnóstico definitivo, ya que permite en muchos casos visualizar directamente el defecto traqueal. Existen autores que consideran que la traqueoscopia es el método de diagnóstico de elección, aunque hay otros estudios que revelan que, en algunos casos, esta prueba no permite llegar a un diagnóstico definitivo. Esto se puede deber al reducido diámetro de la tráquea en gatos, o a que la membrana traqueal o la presencia de exudados tapen el defecto.[ Hardie EM, Spodnick GJ, Gilson SD, et al. Tracheal rupture in cats: 16 cases (1983–1998). J Am Vet Med Assoc 1999;214:508–512. [PubMed] , Mitchell SL, McCarthy R, Rudloff E, Pernell RT. Tracheal rupture associated with tracheal intubation in cats: 20 cases (1996-1998). J Am Vet Med Assoc 2000; 216: 1592-1595. [PubMed] , Roach W, Krahwinkel DJ. Obstructive lesions and traumatic injuries of the canine and feline tracheas. Compend Contin Educ Vet 2009; 1:86-93. [PubMed] ]

Los gatos con rotura de tráquea que presentan signos moderados de disnea y enfisema subcutáneo pueden responder a tratamiento médico, que consiste en monitorización de la frecuencia respiratoria, suplementación de oxígeno, administración de sedantes y reposo absoluto. El enfisema subcutáneo se monitoriza mediante observación directa y palpación de las zonas afectadas. En aquellos pacientes que presentan un cuadro respiratorio grave (disnea marcada, neumotórax, agravamiento progresivo del enfisema subcutáneo, cianosis) es necesario realizar una cirugía de urgencia para corregir el defecto.[ Hardie EM, Spodnick GJ, Gilson SD, et al. Tracheal rupture in cats: 16 cases (1983–1998). J Am Vet Med Assoc 1999;214:508–512. [PubMed] , Mitchell SL, McCarthy R, Rudloff E, Pernell RT. Tracheal rupture associated with tracheal intubation in cats: 20 cases (1996-1998). J Am Vet Med Assoc 2000; 216: 1592-1595. [PubMed] ]

Conclusiones

La imagen radiológica de enfisema subcutáneo y neumomediastino en un gato tras una historia de anestesia inhalatoria reciente es sugerente de rotura traqueal. Aunque, mientras no esté confirmado por TC, traqueoscopia o cirugía, el diagnóstico seguirá siendo presuntivo.

El tratamiento médico, que consiste fundamentalmente en reposo absoluto y suplementación de oxígeno, puede ser útil en los casos menos graves. Los casos que no responden al tratamiento conservador o que presentan una insuficiencia respiratoria grave deben ser manejados quirúrgicamente.

 

Fuente de financiación: esta investigación no se realizó con fondos comerciales, públicos o del sector privado.

Conflicto de intereses: los autores declaran que no existe conflicto de intereses.

Bibliografía

  1. [1] Hardie EM, Spodnick GJ, Gilson SD, et al. Tracheal rupture in cats: 16 cases (1983–1998). J Am Vet Med Assoc 1999;214:508–512. [PubMed]
  2. [2] Mitchell SL, McCarthy R, Rudloff E, Pernell RT. Tracheal rupture associated with tracheal intubation in cats: 20 cases (1996-1998). J Am Vet Med Assoc 2000; 216: 1592-1595. [PubMed]
  3. [3] Roach W, Krahwinkel DJ. Obstructive lesions and traumatic injuries of the canine and feline tracheas. Compend Contin Educ Vet 2009; 1:86-93. [PubMed]
  4. [4] Bhandal J, Kuzma A. Tracheal rupture in a cat: Diagnosis by computed tomography. Can Vet J 2008; 49:595-597. [PubMed]

Artículos recomendados

Estas recomendaciones se ofrecen de forma automática.

  • ¿Cuál es tu diagnóstico?
    L. Martín-Carrasco, E. Mínguez-Pereira, R. Salgüero-Fernández, et al.
    Clin Vet Peq Anim Vol. 46 - Nº 1 · MAR 2026 · ¿Cuál es tu diagnóstico?
  • ¿Cuál es tu diagnóstico?
    D. Marbella, A.M. Hernández-Guerra, L. Montalvà-Minguet
    Clin Vet Peq Anim Vol. 45 - Nº 4 · DIC 2025 · ¿Cuál es tu diagnóstico?
  • ¿Cuál es tu diagnóstico?

    J.D. Carrillo, M. Soler, M.S. Echalecu, et al.
    Clin Vet Peq Anim Vol. 45 - Nº 3 · SEP 2025 · ¿Cuál es tu diagnóstico?
  • Inicio
  • Historia clínica
  • Describe las anormalidades radiográficas que se observan
  • ¿Cuáles son los diagnósticos diferenciales con estos signos radiográficos?
  • ¿Qué otras pruebas realizarías para alcanzar el diagnóstico definitivo?
  • Comentarios
  • Conclusiones
  • Bibliografía
Artículo anterior Índice de la revista Artículo siguiente
ANUNCIO
Próximos cursos ATVs Elearning
Índice
Inicio Historia clínica Describe las anormalidades radiográficas que se observan ¿Cuáles son los diagnósticos diferenciales con estos signos radiográficos? ¿Qué otras pruebas realizarías para alcanzar el diagnóstico definitivo? Comentarios Conclusiones Bibliografía
Boehringer - NexGard
ANUNCIO

¿No eres socio de AVEPA y quieres recibir comunicación de las nuevas ediciones en tu correo?

Suscríbete

Suscríbete y te avisaremos cuando publiquemos un nuevo número

Suscribirme

Enlaces rápidos

  • Inicio
  • Último número
  • Archivo
  • Artículos

Información

  • Comité editorial
  • Política de cookies
  • Política de privacidad
  • Términos y condiciones

Contacto

  • info@imaginice.com
  • Envíanos tu artículo
© 2026 Ice Salud Vet SL. Todos los derechos reservados.

Usamos cookies para mejorar tu experiencia. Selecciona cuáles aceptas: