Logo AVEPA

Clínica Veterinaria de Pequeños Animales

Revista oficial de AVEPA

  • Inicio
  • Último número
  • Archivo
  • Artículos
  • Para autores
  • Contacto
Cursos Junio-Septiembre 2026
ANUNCIO

Clínica Veterinaria de Pequeños Animales

Revista oficial de AVEPA

  • Inicio
  • Último número
  • Archivo
  • Artículos
  • Para autores
  • Contacto
Curso Oftalmología 2026
ANUNCIO
Clin Vet Peq Anim Vol. 37 • Nº 1 • marzo 2017

Straelensiosis canina. Eficacia de una isoxazolina en el tratamiento de 7 casos clínicos

Canine straelensiosis. Efficacy of an isoxazoline in the treatment of 7 clinical cases

Artículo original referido a múltiples casos clínicos

G. Machicote-Goth

Dermapet. Servicio Dermatológico Veterinario. González Besada 33, bajos. 36620 Vilanova de Arousa – Praza da Nsa. Sra. da Mercé de Conxo, 8. 15706 Santiago de Compostela.

Contacto: dermapet@dermapet.es
Palabras clave: Straelensiosis, isoxazolinas, perro.
Keywords: Straelensiosis, isoxazolines, dog.

Clin. Vet. Peq. Anim, 2017, 37 (1): 17 - 22

Descargar artículo

Resumen

La straelensiosis canina es una enfermedad parasitaria que mayormente afecta a perros de ámbito rural y que se ha descrito recientemente en gatos. Esta enfermedad, descrita por primera vez por Le Net y cols. en 1999, ha incrementado su incidencia en los últimos años principalmente en España, Portugal y Francia. Recientemente se ha detectado también en Israel. Se han intentado numerosos tratamientos basados generalmente en la utilización de lactonas macrocíclicas, amitraz, permetrinas o fipronilo, combinados o no con antiinflamatorios no esteroideos y con antibióticos, con resultados variables. En este estudio se comprueba la buena eficacia del tratamiento de esta enfermedad con una isoxazolina, el fluralaner, en 7 casos clínicos de perros afectados con diferente gravedad.

Abstract

Canine straelensiosis is a parasitic disease that mainly affects dogs from rural environment and that has been recently described in cats. Straelensiosis in dogs was described by first time by Le Net et al. in 1999, and its incidence has increased during the last years, mainly in Spain, France and Portugal. It has recently been described in Israel. Several kinds of treatments using macrocyclic lactones, permetrins, amitraz, fipronil, in combination with NSAIDs and antibiotics have been tried with variable results. This study assessed the level of efficacy of fluralaner, which belongs to the group of isoxazolines, in 7 dogs who suffered the disease with different grades of severity.

AVEPA Elearning

La presencia de este logo en un artículo de la revista indica que se publicará un examen sobre el mismo en la plataforma AVEPA Elearning. Su resolución aporta 0,15 créditos dentro del sistema de acreditaciones de especialidades veterinarias de AVEPA.

Introducción

La straelensiosis es una enfermedad parasitaria causada por el estado larval de Straelensia cynotis. Este parásito es un ácaro de la familia Leeuwenhoekiidae, superfamilia Trombidioidea.[ Le Net J L, Fain A, George C, et al. Straelensiosis in dogs: a newly described nodular dermatitis induced by Straelensia cynotis. Vet Rec 2000; 150, 205-209. [PubMed] , Fain A, Le Net J L. A new larval mite of the genus Straelensia causing nodular dermatitis of dogs in France. Int J Acarol 2000; 26, 339-345. [T&F] , Kaufmann R, Bourdeau P, Waldman L, et al. Straelensiosis in two cats and ten dogs from Israel. J Smal Anim Pract 2015; 56(12):723-7. [PubMed] ]. La forma adulta y la ninfa de éste ácaro pueden vivir de forma libre como carroñeras o parasitando plantas u otros artrópodos. La larva puede parasitar mamíferos, pájaros y reptiles.[ Kaufmann R, Bourdeau P, Waldman L, et al. Straelensiosis in two cats and ten dogs from Israel. J Smal Anim Pract 2015; 56(12):723-7. [PubMed] , Seixas F, Travassos P J, Pinto M L, et al. Dermatitis in a dog induced by Straelensia cynotis: a case report and review of the literature. Vet Derm 2006; 17, 81-84. [PubMed] , Ramirez GA, Altimira J, Garcia B, et al. Clinical, histopathological and epidemiological study of canine straelensiosis in the Iberian Peninsula. (2003–2007). Vet Derm 2009; 20, 35-41. [PubMed] , Machicote G, Quiñones D. Straelensiosis canina: a propósito de un caso clínico. Clin Vet Peq Anim 2006; 26 (3): 243-247. [UAB] ]

En España se ha descrito en diferentes zonas geográficas, principalmente del norte peninsular. Sin embargo, últimamente han sido detectados casos en la zona centro y sur de la península.

Esta larva se caracteriza por invadir de forma profunda el folículo piloso, produciendo una lesión papular característica de color rojo claro a intenso y evolucionando a costras papulares de color oscuro. Produce un patrón de reacción histopatológica que puede considerarse patognomónico, dado el aspecto reactivo de la epidermis y la cutícula de la larva adherida al folículo.[ Kaufmann R, Bourdeau P, Waldman L, et al. Straelensiosis in two cats and ten dogs from Israel. J Smal Anim Pract 2015; 56(12):723-7. [PubMed] , Seixas F, Travassos P J, Pinto M L, et al. Dermatitis in a dog induced by Straelensia cynotis: a case report and review of the literature. Vet Derm 2006; 17, 81-84. [PubMed] , Ramirez GA, Altimira J, Garcia B, et al. Clinical, histopathological and epidemiological study of canine straelensiosis in the Iberian Peninsula. (2003–2007). Vet Derm 2009; 20, 35-41. [PubMed] , Machicote G, Quiñones D. Straelensiosis canina: a propósito de un caso clínico. Clin Vet Peq Anim 2006; 26 (3): 243-247. [UAB] ]

Se desconoce el ciclo biológico de este parásito en su totalidad pero, debido a que afecta frecuentemente a perros de caza o de zonas rurales, se sospecha que dicho ciclo precisa de zonas de bosque donde abundan los zorros, que posiblemente son su huésped definitivo.[ Le Net J L, Fain A, George C, et al. Straelensiosis in dogs: a newly described nodular dermatitis induced by Straelensia cynotis. Vet Rec 2000; 150, 205-209. [PubMed] , Ramirez GA, Altimira J, Garcia B, et al. Clinical, histopathological and epidemiological study of canine straelensiosis in the Iberian Peninsula. (2003–2007). Vet Derm 2009; 20, 35-41. [PubMed] , Machicote G, Quiñones D. Straelensiosis canina: a propósito de un caso clínico. Clin Vet Peq Anim 2006; 26 (3): 243-247. [UAB] ] La enfermedad no ha sido descrita en zonas donde no habitan zorros.[ Kaufmann R, Bourdeau P, Waldman L, et al. Straelensiosis in two cats and ten dogs from Israel. J Smal Anim Pract 2015; 56(12):723-7. [PubMed] ]

Su aspecto clínico es muy evidente y se podría decir que, tras ver algunos casos, la experiencia hace que sea relativamente fácil diagnosticarla. El animal afectado suele presentar un estado general de decaimiento por el dolor generalizado que se evidencia a la palpación. El manto muestra leves irregularidades en el pelo similares a la urticaria, pero al observar la piel, ésta presenta las lesiones papulares anteriormente descritas. La zona dorsal de la cabeza y toda la línea dorsal del tronco están en general afectadas, desplazando al pelo en forma de foliculitis y con un tacto de tipo “miliar”, es decir, pequeñas pápulo-costras que cuando se tocan dan la sensación de granos de mijo. El dorso de la cabeza suele ser la zona más comúnmente afectada, lo que confirmaría el ascenso de las larvas en el momento en que el perro rastrea con la cabeza agachada.

Aunque el raspado sería el método complementario más indicado para confirmar la presencia de la larva (o de la cutícula), dada su ubicación profunda en el folículo y la presencia de dolor, que a veces en algunos perros es muy intenso, su localización se hace muy difícil.[ Kaufmann R, Bourdeau P, Waldman L, et al. Straelensiosis in two cats and ten dogs from Israel. J Smal Anim Pract 2015; 56(12):723-7. [PubMed] , Seixas F, Travassos P J, Pinto M L, et al. Dermatitis in a dog induced by Straelensia cynotis: a case report and review of the literature. Vet Derm 2006; 17, 81-84. [PubMed] , Ramirez GA, Altimira J, Garcia B, et al. Clinical, histopathological and epidemiological study of canine straelensiosis in the Iberian Peninsula. (2003–2007). Vet Derm 2009; 20, 35-41. [PubMed] , Machicote G, Quiñones D. Straelensiosis canina: a propósito de un caso clínico. Clin Vet Peq Anim 2006; 26 (3): 243-247. [UAB] , Bourdeau P. Rare parasitic and parasitic-like skin diseases. Proceedings of the 7th World Congress of Veterinary Dermatology. Vancouver, Canada, July 2012. , Miller WH, Griffin C E, Campbell KL. Parasitic skin diseases. En: Muller and Kirk’s Small Animal Dermatology. 7th ed. Eds W. H. Miller, C. E. Griffin and K. L. Campbell. W.B. Saunders, Philadelphia, PA, USA. 2013; 297-298. ]

La biopsia puede ser el único método confirmatorio para su diagnóstico aunque, según nuestra experiencia, la aplicación de anestesia local puede permitir la extracción por raspado profundo de larvas o de cutículas (con o sin larvas dentro).[ Seixas F, Travassos P J, Pinto M L, et al. Dermatitis in a dog induced by Straelensia cynotis: a case report and review of the literature. Vet Derm 2006; 17, 81-84. [PubMed] , Ramirez GA, Altimira J, Garcia B, et al. Clinical, histopathological and epidemiological study of canine straelensiosis in the Iberian Peninsula. (2003–2007). Vet Derm 2009; 20, 35-41. [PubMed] ]

Dado el aspecto clínico de la enfermedad, su diagnóstico diferencial podría incluirse dentro de las afecciones foliculares, pero su aspecto en la etapa inicial y durante su evolución la hacen muy particular y difícil de confundir.

El objetivo de este estudio fue analizar la efectividad de una isoxazolina para el tratamiento de la straelensiosis canina. Dada su acción acaricida, decidimos utilizar el fluralaner para comprobar, mediante un seguimiento semanal, la evolución de las lesiones y de la sintomatología dolorosa.

Material y métodos

Se presentaron en la clínica 7 casos clínicos de perros que padecían dermatosis por Straelensia cynotis. El diagnóstico de la enfermedad de los 7 casos se realizó en un periodo de 6 meses.

El aspecto clínico, la historia y el raspado o la biopsia nos permitieron confirmar la enfermedad.

Los 7 casos eran perros en contacto con el medio rural que clasificamos por edad, raza, sexo, hábitat y peso (Tabla 1), así como por la intensidad del dolor, la gravedad de la afección y las zonas corporales afectadas (Tabla 2).

Image
Tabla 1
Image
Tabla 2

No todos los perros eran cazadores activos ni habían enfermado en época de caza, pero todos tenían un contacto estrecho con el monte gallego y posiblemente directo o indirecto con los zorros (Vulpes vulpes).

La intensidad del dolor y la gravedad del cuadro se clasificaron asignando de 1 a 5 cruces.

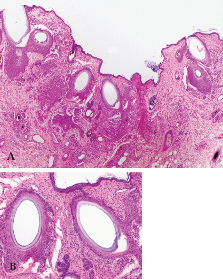
A dos de los perros se les confirmó la enfermedad por biopsia de la zona afectada (Fig 1), a otros dos por raspado profundo bajo anestesia local, y a los tres restantes por la evidencia clínica o por convivir con otro animal afectado y compartir los mismos ambientes y hábitos (Figs. 2, 3 y 4).

<p>(A) Imagen histopatológica del caso 1 donde se puede ver la reacción epidérmica característica y la formación de la cutícula larval cubriendo el folículo (Hematoxilina-Eosina, 100X). (B) Histopatología a más aumentos (400x). Obsérvense las cutículas (Imagen cortesía de Histovet).</p>
Figura 1

(A) Imagen histopatológica del caso 1 donde se puede ver la reacción epidérmica característica y la formación de la cutícula larval cubriendo el folículo (Hematoxilina-Eosina, 100X). (B) Histopatología a más aumentos (400x). Obsérvense las cutículas (Imagen cortesía de Histovet).

<p>Cutícula larval extraída por raspado profundo.</p>
Figura 2

Cutícula larval extraída por raspado profundo.

<p>Cutícula larval extraída por raspado profundo. Obsérvese la larva en su interior.</p>
Figura 3

Cutícula larval extraída por raspado profundo. Obsérvese la larva en su interior.

<p>Imagen del caso 1. Obsérvese la grave reacción papular, casi nodular.</p>
Figura 4

Imagen del caso 1. Obsérvese la grave reacción papular, casi nodular.

Se decidió administrar a todos los perros una toma de fluralaner por vía oral a la dosis habitual recomendada en el prospecto, que oscila entre 25 y 56 mg/kg de peso. A partir del día 0 se realizó un seguimiento semanal para comprobar la evolución de las lesiones y del dolor. Para ello, se realizaron fotografías de control semanal y se comprobó la intensidad del dolor comparando la reacción del animal al frotarle la cabeza, el dorso y la zona lumbar. Esta medición, a pesar de ser subjetiva, se basa en la reacción del paciente (evaluada asignando de 1 a 5 cruces) y en el comentario del propietario (Fig. 5).

<p>Imágenes de los 7 casos en el día 0. (A) Caso 1: reacción prácticamente nodular grave y dolorosa. (B) Caso 2: lesiones en el flanco. (C)Caso 3: lesiones en la cabeza. (D) Caso 4: lesiones en la cabeza. (E) Caso 5: leves lesiones en la cabe­za. (F) Caso 6: lesiones en el dorso de la cabeza. (G) Caso 7: afección también en los pabellones.</p>
Figura 5

Imágenes de los 7 casos en el día 0. (A) Caso 1: reacción prácticamente nodular grave y dolorosa. (B) Caso 2: lesiones en el flanco. (C)Caso 3: lesiones en la cabeza. (D) Caso 4: lesiones en la cabeza. (E) Caso 5: leves lesiones en la cabe­za. (F) Caso 6: lesiones en el dorso de la cabeza. (G) Caso 7: afección también en los pabellones.

Resultados

La evolución se comprobó desde la primera semana. Las lesiones que eran pápulo-pústulas serohemorrágicas se fueron secando y evolucionaron a pequeñas costras con descamación (Fig. 6). El dolor fue decreciendo y el eritema y las irregularidades a la palpación se fueron resolviendo (Tabla 2). Cada semana las lesiones fueron evolucionando a costras que, luego de transformarse en collaretes epidérmicos, se resolvieron como una pequeña descamación (Figs. 7 y 8).

<p>Evolución a los 7 días del caso 6.</p>
Figura 6

Evolución a los 7 días del caso 6.

<div class=\"Basic-Text-Frame\">
<p>Imagen del caso 1, el más grave, a los 30 días.</p>
</div>
Figura 7

Imagen del caso 1, el más grave, a los 30 días.

<div class=\"Basic-Text-Frame\">
<p>Imagen del caso 3, un mes después del tratamiento. Obsérvese la reacción costrosa en proceso de curación.</p>
</div>
Figura 8

Imagen del caso 3, un mes después del tratamiento. Obsérvese la reacción costrosa en proceso de curación.

El tiempo hasta la resolución dependió de la gravedad de las lesiones iniciales. En cinco de los pacientes, la mejoría fue lineal hasta la desaparición de las lesiones antes de los 3 meses. En otro caso (caso 6), la afección se agravó en los primeros quince días después de la administración del fluralaner, aunque luego se produjo una mejoría clara en los días sucesivos. En este caso se administraron AINEs para el control del dolor. El séptimo caso (caso 7), con afección principalmente en la cabeza, fue mejorando de forma progresiva sin manifestar ninguna recaída. Este animal también necesitó analgésicos para el dolor los primeros 15 días de tratamiento.

Solo se presentaron dos casos en los que la evolución no fue lineal hacia la mejoría: el caso 1 y el caso 6. En ambos casos la mejoría fue importante, pero transcurridos dos meses desde la administración del acaricida hubo un recrudecimiento del cuadro con la aparición de nuevas pústulas serohemorrágicas y dolor. En los dos casos se decidió repetir la administración del fluralaner sin haber cumplido los tres meses de intervalo indicados como pauta de administración para el tratamiento de pulgas y garrapatas, con la consiguiente mejoría clara a lo largo del siguiente mes.

Desde el inicio del tratamiento 6 casos se han restablecido totalmente, pero el caso 1 ha presentado una evolución alterna entre procesos de curación y recaídas a pesar de la administración bimensual del fluralaner. No podemos afirmar si esto se debe a reinfestaciones o a procesos forunculosos que no terminan de resolverse en su totalidad (Figs 9 y 10).

<div class=\"Basic-Text-Frame\">
<p>Imagen del caso 1 a los dos meses. Buena evolución.</p>
</div>
Figura 9

Imagen del caso 1 a los dos meses. Buena evolución.

<div class=\"Basic-Text-Frame\">
<p>Imagen del caso 7 a los dos meses. Típica reacción costrosa en proceso de curación.</p>
</div>
Figura 10

Imagen del caso 7 a los dos meses. Típica reacción costrosa en proceso de curación.

Discusión

Desde que la enfermedad fue descrita, y en todas las publicaciones presentadas hasta la fecha, varios han sido los tratamientos propuestos, aunque ninguno ha mostrado una eficacia contrastada.[ Le Net J L, Fain A, George C, et al. Straelensiosis in dogs: a newly described nodular dermatitis induced by Straelensia cynotis. Vet Rec 2000; 150, 205-209. [PubMed] , Fain A, Le Net J L. A new larval mite of the genus Straelensia causing nodular dermatitis of dogs in France. Int J Acarol 2000; 26, 339-345. [T&F] , Kaufmann R, Bourdeau P, Waldman L, et al. Straelensiosis in two cats and ten dogs from Israel. J Smal Anim Pract 2015; 56(12):723-7. [PubMed] , Seixas F, Travassos P J, Pinto M L, et al. Dermatitis in a dog induced by Straelensia cynotis: a case report and review of the literature. Vet Derm 2006; 17, 81-84. [PubMed] , Ramirez GA, Altimira J, Garcia B, et al. Clinical, histopathological and epidemiological study of canine straelensiosis in the Iberian Peninsula. (2003–2007). Vet Derm 2009; 20, 35-41. [PubMed] , Machicote G, Quiñones D. Straelensiosis canina: a propósito de un caso clínico. Clin Vet Peq Anim 2006; 26 (3): 243-247. [UAB] , Bourdeau P. Rare parasitic and parasitic-like skin diseases. Proceedings of the 7th World Congress of Veterinary Dermatology. Vancouver, Canada, July 2012. , Miller WH, Griffin C E, Campbell KL. Parasitic skin diseases. En: Muller and Kirk’s Small Animal Dermatology. 7th ed. Eds W. H. Miller, C. E. Griffin and K. L. Campbell. W.B. Saunders, Philadelphia, PA, USA. 2013; 297-298. ]

Según se propone en varias de las publicaciones,[ Seixas F, Travassos P J, Pinto M L, et al. Dermatitis in a dog induced by Straelensia cynotis: a case report and review of the literature. Vet Derm 2006; 17, 81-84. [PubMed] , Ramirez GA, Altimira J, Garcia B, et al. Clinical, histopathological and epidemiological study of canine straelensiosis in the Iberian Peninsula. (2003–2007). Vet Derm 2009; 20, 35-41. [PubMed] , Machicote G, Quiñones D. Straelensiosis canina: a propósito de un caso clínico. Clin Vet Peq Anim 2006; 26 (3): 243-247. [UAB] ] la enfermedad puede ser autolimitante, por lo que en muchas ocasiones la eficacia de los tratamientos y la autorremisión podrían confundirse. Pero dado el dolor manifestado y la prolongada evolución y gravedad de algunos casos, es necesario tratarlos sin esperar a que se resuelvan espontáneamente.

En las publicaciones más recientes, los autores coinciden en que la curación espontánea podría producirse en un plazo de uno a varios meses en función de la gravedad del cuadro inicial.[ Kaufmann R, Bourdeau P, Waldman L, et al. Straelensiosis in two cats and ten dogs from Israel. J Smal Anim Pract 2015; 56(12):723-7. [PubMed] , Seixas F, Travassos P J, Pinto M L, et al. Dermatitis in a dog induced by Straelensia cynotis: a case report and review of the literature. Vet Derm 2006; 17, 81-84. [PubMed] , Machicote G, Quiñones D. Straelensiosis canina: a propósito de un caso clínico. Clin Vet Peq Anim 2006; 26 (3): 243-247. [UAB] , Bourdeau P. Rare parasitic and parasitic-like skin diseases. Proceedings of the 7th World Congress of Veterinary Dermatology. Vancouver, Canada, July 2012. ] En algunos casos la enfermedad se mantendría en el tiempo siendo bastante resistente a los tratamientos.

Entre estos tratamientos, los más propuestos han sido:[ Kaufmann R, Bourdeau P, Waldman L, et al. Straelensiosis in two cats and ten dogs from Israel. J Smal Anim Pract 2015; 56(12):723-7. [PubMed] , Seixas F, Travassos P J, Pinto M L, et al. Dermatitis in a dog induced by Straelensia cynotis: a case report and review of the literature. Vet Derm 2006; 17, 81-84. [PubMed] , Ramirez GA, Altimira J, Garcia B, et al. Clinical, histopathological and epidemiological study of canine straelensiosis in the Iberian Peninsula. (2003–2007). Vet Derm 2009; 20, 35-41. [PubMed] , Machicote G, Quiñones D. Straelensiosis canina: a propósito de un caso clínico. Clin Vet Peq Anim 2006; 26 (3): 243-247. [UAB] , Bourdeau P. Rare parasitic and parasitic-like skin diseases. Proceedings of the 7th World Congress of Veterinary Dermatology. Vancouver, Canada, July 2012. , Miller WH, Griffin C E, Campbell KL. Parasitic skin diseases. En: Muller and Kirk’s Small Animal Dermatology. 7th ed. Eds W. H. Miller, C. E. Griffin and K. L. Campbell. W.B. Saunders, Philadelphia, PA, USA. 2013; 297-298. ]

  • Lactonas macrocíclicas.
  • Antiinflamatorios no esteroideos.
  • Varios antibióticos.
  • Amitraz.
  • Fipronilo.
  • Peróxido de benzoílo.

A pesar de que en la mayoría de las publicaciones las zonas lesionadas se detallan como dorsales, incluyendo la cabeza y el tronco,[ Le Net J L, Fain A, George C, et al. Straelensiosis in dogs: a newly described nodular dermatitis induced by Straelensia cynotis. Vet Rec 2000; 150, 205-209. [PubMed] , Fain A, Le Net J L. A new larval mite of the genus Straelensia causing nodular dermatitis of dogs in France. Int J Acarol 2000; 26, 339-345. [T&F] , Seixas F, Travassos P J, Pinto M L, et al. Dermatitis in a dog induced by Straelensia cynotis: a case report and review of the literature. Vet Derm 2006; 17, 81-84. [PubMed] , Ramirez GA, Altimira J, Garcia B, et al. Clinical, histopathological and epidemiological study of canine straelensiosis in the Iberian Peninsula. (2003–2007). Vet Derm 2009; 20, 35-41. [PubMed] , Machicote G, Quiñones D. Straelensiosis canina: a propósito de un caso clínico. Clin Vet Peq Anim 2006; 26 (3): 243-247. [UAB] ] en nuestros pacientes observamos alguna pápula de Straelensia en los miembros y en regiones ventrales del cuerpo.

En una publicación reciente se han descrito casos de la enfermedad en felinos.[ Kaufmann R, Bourdeau P, Waldman L, et al. Straelensiosis in two cats and ten dogs from Israel. J Smal Anim Pract 2015; 56(12):723-7. [PubMed] ] La presentación clínica de las lesiones fue similar, afectando principalmente a zonas ventrales y confirmando la presencia de las larvas por raspados profundos.[ Kaufmann R, Bourdeau P, Waldman L, et al. Straelensiosis in two cats and ten dogs from Israel. J Smal Anim Pract 2015; 56(12):723-7. [PubMed] ]

Así mismo podemos confirmar que con raspados muy profundos pudimos aislar cutículas intactas del parásito incluyendo larvas internas en los perros testados (Fig.11).

<p>Obsérvese la equivalencia de las estructuras en el raspado y en la biopsia (Equivalencia gráfica realizada por Gustavo Ramirez. Histovet).</p>
Figura 11

Obsérvese la equivalencia de las estructuras en el raspado y en la biopsia (Equivalencia gráfica realizada por Gustavo Ramirez. Histovet).

Dada la relativamente baja efectividad de los tratamientos propuestos hasta ahora, decidimos iniciar un manejo terapéutico con un grupo de nuevas moléculas acaricidas, las isoxazolinas. En este caso utilizamos el fluralaner que tiene un poder de acción demostrado frente a pulgas y diversas garrapatas de más de dos meses.

Nuestra experiencia con estos 7 casos testados nos hace inferir que las isoxazolinas pueden ser un tratamiento efectivo, aunque no podemos determinar aún con certeza, dado el tamaño de la muestra y la falta de biopsias de seguimiento, la frecuencia de su administración. En el caso del fluralaner, la experiencia parece indicarnos que se debería pautar no más de cada dos meses en el caso de que sea necesario repetir su administración. Nos parecería poco práctico, salvo situación de necesidad, hacer biopsias de control para comprobar la curación. En la clínica diaria, la evolución y los síntomas deberían ser suficientes para decidir la suspensión del tratamiento.

La evolución de las lesiones y de los síntomas nos permite ser optimistas con respecto a la eficacia de estas nuevas moléculas frente a la straelensiosis canina pero, en nuestra experiencia, la gravedad de la afección dependiente del número de folículos afectados y las posibles reinfestaciones pueden hacer variar la frecuencia de la terapia. En nuestro estudio, observamos una rápida resolución de las lesiones con una gran mejoría de los síntomas dolorosos en el primer mes. Sin embargo, en dos casos graves, las lesiones dolorosas precisaron del tratamiento con AINEs y su desaparición fue más lenta.

Sabemos que los ácaros producen una cutícula dentro del folículo que provoca una reacción a cuerpo extraño grave en algunas ocasiones. Creemos que, a pesar de la efectividad de la medicación como acaricida, el tiempo de eliminación del ácaro muerto y de su cutícula puede retrasar, y en algunos casos frenar, la progresión de la mejoría debido a la reacción de forunculosis. Esto podría haber ocurrido en el caso 1, ya que este caso presentó una evolución bifásica con una recaída grave a los dos meses y una nueva recuperación al volver a administrar la medicación.

Aunque muchos autores coinciden en que esta es una enfermedad autolimitante, nuestra experiencia clínica y la comprobación de la evolución en casos sin tratamiento comparados con los tratados con fluralaner nos permite asegurar que este tratamiento puede ser eficaz.

Se hacen necesarios más estudios con un mayor número de pacientes incluidos para poder comprobar científicamente estos resultados y establecer una pauta exacta de administración.

 

Fuente de financiación: este trabajo no se ha realizado con fondos públicos, comerciales o del sector privado.

Conflicto de intereses: el autor declara que no existen conflictos de intereses.

Bibliografía

  1. [1] Le Net J L, Fain A, George C, et al. Straelensiosis in dogs: a newly described nodular dermatitis induced by Straelensia cynotis. Vet Rec 2000; 150, 205-209. [PubMed]
  2. [2] Fain A, Le Net J L. A new larval mite of the genus Straelensia causing nodular dermatitis of dogs in France. Int J Acarol 2000; 26, 339-345. [T&F]
  3. [3] Kaufmann R, Bourdeau P, Waldman L, et al. Straelensiosis in two cats and ten dogs from Israel. J Smal Anim Pract 2015; 56(12):723-7. [PubMed]
  4. [4] Seixas F, Travassos P J, Pinto M L, et al. Dermatitis in a dog induced by Straelensia cynotis: a case report and review of the literature. Vet Derm 2006; 17, 81-84. [PubMed]
  5. [5] Ramirez GA, Altimira J, Garcia B, et al. Clinical, histopathological and epidemiological study of canine straelensiosis in the Iberian Peninsula. (2003–2007). Vet Derm 2009; 20, 35-41. [PubMed]
  6. [6] Machicote G, Quiñones D. Straelensiosis canina: a propósito de un caso clínico. Clin Vet Peq Anim 2006; 26 (3): 243-247. [UAB]
  7. [7] Bourdeau P. Rare parasitic and parasitic-like skin diseases. Proceedings of the 7th World Congress of Veterinary Dermatology. Vancouver, Canada, July 2012.
  8. [8] Miller WH, Griffin C E, Campbell KL. Parasitic skin diseases. En: Muller and Kirk’s Small Animal Dermatology. 7th ed. Eds W. H. Miller, C. E. Griffin and K. L. Campbell. W.B. Saunders, Philadelphia, PA, USA. 2013; 297-298.

Artículos recomendados

Estas recomendaciones se ofrecen de forma automática.

  • Fallo hepático en un perro tras intoxicación por ingestión de semillas de Cycas revoluta

    C. García, A. Segarra, N. Bedía, et al.
    Clin Vet Peq Anim Vol. 45 - Nº 3 · SEP 2025 · Artículo original referido a un solo caso clínico
  • Pseudoaneurisma venoso de presunto origen yatrogénico causado al realizar una biopsia ósea

    F. Osorio, L. Feo, J. Puig
    Clin Vet Peq Anim Vol. 45 - Nº 1 · MAR 2025 · Artículo original referido a un solo caso clínico
  • Concordancia entre IDEXX SediVue Dx y el cultivo de orina en perros y gatos

    L. Di Filippo, I. Frías, R. Santiago
    Clin Vet Peq Anim Vol. 44 - Nº 1 · MAR 2024 · Artículo original referido a múltiples casos clínicos
  • Inicio
  • Introducción
  • Material y métodos
  • Resultados
  • Discusión
  • Bibliografía
Artículo anterior Índice de la revista Artículo siguiente
ANUNCIO
Próximos cursos ATVs Elearning
Índice
Inicio Introducción Material y métodos Resultados Discusión Bibliografía
Alivira - Vominil
ANUNCIO

¿No eres socio de AVEPA y quieres recibir comunicación de las nuevas ediciones en tu correo?

Suscríbete

Suscríbete y te avisaremos cuando publiquemos un nuevo número

Suscribirme

Enlaces rápidos

  • Inicio
  • Último número
  • Archivo
  • Artículos

Información

  • Comité editorial
  • Política de cookies
  • Política de privacidad
  • Términos y condiciones

Contacto

  • info@imaginice.com
  • Envíanos tu artículo
© 2026 Ice Salud Vet SL. Todos los derechos reservados.

Usamos cookies para mejorar tu experiencia. Selecciona cuáles aceptas: