Logo AVEPA

Clínica Veterinaria de Pequeños Animales

Revista oficial de AVEPA

  • Inicio
  • Último número
  • Archivo
  • Artículos
  • Para autores
  • Contacto
Cursos Junio-Septiembre 2026
ANUNCIO

Clínica Veterinaria de Pequeños Animales

Revista oficial de AVEPA

  • Inicio
  • Último número
  • Archivo
  • Artículos
  • Para autores
  • Contacto
Curso Oftalmología 2026
ANUNCIO
Clin Vet Peq Anim Vol. 37 • Nº 3 • septiembre 2017

Uso de la OCT (Tomografía de Coherencia Óptica) durante el seguimiento de un caso de secuestro corneal en un paciente felino

Use of OCT during the follow-up of a case of corneal sequestrum in a feline patient

Artículo original referido a un solo caso clínico

U. Fernández

IVO (Instituto Veterinario Oftalmológico). C/ Sant Elies, 36, 08006 Barcelona

F. Simó

IVO (Instituto Veterinario Oftalmológico). C/ Sant Elies, 36, 08006 Barcelona

M. D. Torres

IVO (Instituto Veterinario Oftalmológico). C/ Sant Elies, 36, 08006 Barcelona

Contacto: uxuefer@hotmail.com
Palabras clave: Secuestro corneal, otitis interna, tomografía computerizada, hurón.
Keywords: Corneal sequestrum, internal otitis, computed tomography, ferret.

Clin. Vet. Peq. Anim, 2017, 37 (3): 183-186

Descargar artículo

Resumen

Una gata Persa, hembra de 8 años de edad, se presentó con cuadro clínico de blefaroespasmo y epífora del ojo derecho (OD). En la revisión oftalmológica se diagnosticó secuestro corneal. Se programó queratectomía superficial y la decisión del material de soporte tectónico a usar se tomó gracias a la Tomografía de Coherencia Óptica (OCT) intraquirúrgica. Durante los 4 meses siguientes se fueron realizando OCT para control del grosor corneal, hasta que finalmente se dio el alta con un espesor corneal del ojo derecho (OD) de 645 µm, mientras que el ojo izquierdo (OS) tenía un grosor de 666 µm.

Abstract

An 8-year-old Persian female cat was presented with clinical signs of blepharospasm and epiphora in the OD. After ophthalmologic examination, corneal sequestrum was diagnosed. Superficial keratectomy was programmed and the selection of the corneal tectonic support material was achieved using intraoperative OCT. During the following 4 months, regular OCTs were performed to measure corneal thickness; several controls were carried out until the patient regained a thickness of 645 μm on the OD, whereas the OS had a thickness of 666 μm.

Introducción

En la actualidad disponemos de múltiples equipos para valorar la integridad de la córnea, desde la lámpara de hendidura (biomicroscopía) hasta la UBM (ultrasonidos de alta frecuencia).[ Aubin ML, Powell CC, Gionfriddo JR, Fails AD. Ultrasound biomicroscopy of the feline anterior segment. Vet Ophthalmol 2003; 6: 1, 15–17. , Park S, Kang S, Jaegook Lim J et al. Ultrasound biomicroscopy and tonometry in ophthalmologically normal pigeon eyes. Vet Ophthalmol 2017; 1–4. ] La OCT (Tomografía de Coherencia Óptica) se encuentra entre estas herramientas. Su uso inicial fue descrito en 1990 para el estudio de la retina en los seres humanos.[ Gabriele ML, Wollstein G, Ishkawa H et al. Optical Coherence Tomography: History, Current Status and Laboratory Work. Investigativ Ophthalmol & Vis Science 2011; 52:5, 2425-2436. [PubMed] ] La OCT es una extensión de una técnica llamada interferometría de baja coherencia, la cual fue aplicada principalmente para la medición in vivo de la longitud axial del globo ocular.[ Gabriele ML, Wollstein G, Ishkawa H et al. Optical Coherence Tomography: History, Current Status and Laboratory Work. Investigativ Ophthalmol & Vis Science 2011; 52:5, 2425-2436. [PubMed] ]

El principio del funcionamiento de la OCT se basa en los reflejos producidos por una fuente de luz que se divide en dos. Éstas se recogen en un fotodetector que traduce esta señal en un patrón geométrico óptico. Debido a que esta medición es un barrido, obtenemos una serie de cortes que el equipo nos muestra en una imagen bidimensional.[ Gabriele ML, Wollstein G, Ishkawa H et al. Optical Coherence Tomography: History, Current Status and Laboratory Work. Investigativ Ophthalmol & Vis Science 2011; 52:5, 2425-2436. [PubMed] ] Las imágenes obtenidas con este método se corresponden con la apariencia histológica del tejido.[ Gabriele ML, Wollstein G, Ishkawa H et al. Optical Coherence Tomography: History, Current Status and Laboratory Work. Investigativ Ophthalmol & Vis Science 2011; 52:5, 2425-2436. [PubMed] , Famose F. Assessment of the use of spectral domain optical coherence tomography (SD-OCT) for evaluation of the healthy and pathological cornea in dogs and cats. Vet Ophthalmol 2014; 17:1, 12-22. [PubMed] ]

El objetivo de este trabajo es describir un caso de secuestro corneal, conocido también como momificación corneal o queratitis negra, que es la necrosis de las células corneales. La especie más afectada es la felina, aunque también está descrito en el perro[ Bouhanna L, B.Liscoët L, Raymond-Lotron I. Corneal stromal sequestration in a dog. Vet Ophthalmol 2008; 11:4, 211-214. ] y en el caballo.[ McLellan GJ, Archer FJ. Corneal stromal sequestration and keratoconjunctivitis sicca in a horse. Vet Ophthalmol 2000; 3: 207- 212. [PubMed] ] Dentro de los felinos las razas más afectadas son la Persa, el Siamés y el Himalayo.[ Dalla F, Pisoni L, and Masetti L. Feline corneal sequestration: a review of medical treatment in 37 cases. Vet Res Communicat 2007; 31:1, 285-288. [PubMed] , Laguna F, Leiva M, Costa D et al. Corneal grafting for the treatment of feline corneal sequestrum: a retrospective study of 18 eyes (13 cats). Vet Ophtalmol 2015; 18:4, 291-296. [PubMed] , Featherstone HJ and Sansom J. Feline corneal sequestra: a review of 64 cases (80 eyes) from 1993 to 2000. Vet Ophtalmol 2004; 7:4, 213-227. [PubMed] ] La etiología aún es desconocida, aunque se sabe que procesos crónicos como las úlceras (ya sean herpéticas o de otro origen), la queratoconjuntivitis seca y la aplicación de corticoterapia tópica de forma crónica pueden ser factores predisponentes.[ Laguna F, Leiva M, Costa D et al. Corneal grafting for the treatment of feline corneal sequestrum: a retrospective study of 18 eyes (13 cats). Vet Ophtalmol 2015; 18:4, 291-296. [PubMed] , Dubielzig RR, Ketring K, MacLellan GJ et al: Diseases of the cornea and sclera. En R. Dubielzig: Veterinary Ocular Pathology a comparative review, Edinburgh, London, New York, Oxford, Philadelphia, St Louis, Sidney, Toronto, Saunders, 2010; 201-243. [PubMed] , Gelatt KN and Brooks DE. Surgery of the cornea and sclera. En: Gelatt KN. Veterinary Ophthalmic Surgery, Saunders Elsevier, San Francisco; 2011, 157-190. [PubMed] , Maggs DJ: Córnea y esclera. En: Slatter Fundamentos de la oftalmología veterinaria, Barcelona 2009; 179-206. ] Los signos clínicos suelen ser blefaroespasmo, epífora y la presencia de una placa (generalmente central) de color ambar-marrón.[ Dubielzig RR, Ketring K, MacLellan GJ et al: Diseases of the cornea and sclera. En R. Dubielzig: Veterinary Ocular Pathology a comparative review, Edinburgh, London, New York, Oxford, Philadelphia, St Louis, Sidney, Toronto, Saunders, 2010; 201-243. [PubMed] , Maggs DJ: Córnea y esclera. En: Slatter Fundamentos de la oftalmología veterinaria, Barcelona 2009; 179-206. , Lacerda RP, Peña MT, Laguna F et al. Corneal grafting for the treatment of full-thickness corneal defects in dogs: a review of 50 cases. Vet Ophthalmol 2016; 1-10. [PubMed] ]

La naturaleza del pigmento oscuro sigue siendo aún desconocida; en algunos casos, se puede apreciar el pigmento en las capas estromales bajo un epitelio intacto. Las lesiones suelen estar localizadas en el estroma anterior, aunque en ocasiones pueden llegar a afectar todo el espesor corneal. Ni vasos sanguíneos ni células inflamatorias penetran en el estroma secuestrado.[ Laguna F, Leiva M, Costa D et al. Corneal grafting for the treatment of feline corneal sequestrum: a retrospective study of 18 eyes (13 cats). Vet Ophtalmol 2015; 18:4, 291-296. [PubMed] ]

El tratamiento de elección es la queratectomía con o sin soporte tectónico, dependiendo de la profundidad de la misma, ya que en raras ocasiones la placa necrótica es expulsada de manera espontánea por cicatrización posterior. Por el contrario, un alto porcentaje evoluciona y profundiza en el tejido corneal.[ Lacerda RP, Peña MT, Laguna F et al. Corneal grafting for the treatment of full-thickness corneal defects in dogs: a review of 50 cases. Vet Ophthalmol 2016; 1-10. [PubMed] , Strom AR, Cortes DE, Rasmussen CA et al. In vivo evaluation of the cornea and conjunctiva of the normal laboratory beagle using time- and Fourier-domain optical coherence tomography and ultrasound pachymetry. Vet Ophthalmol 2016; 19:1, 50-56. [PubMed] ]

En este artículo describimos el uso de la OCT pre-, intra- y posquirúrgica, una técnica muy útil en el tratamiento y seguimiento de esta enfermedad.

Caso clínico

Gata de raza Persa, hembra de 8 años de edad, fue remitida a nuestro centro por un cuadro de blefaroespasmo y epífora en el OD sin ningún tratamiento tópico instaurado. La exploración neuroftalmológica resultó fisiológica. Presentaba blefaroespamo en el OD y eritema periocular con inflamación asociada. Se observó epífora seromucosa bilateral con hiperemia de la conjuntiva del OD.

El test de Schirmer 1 fue de 10 mm/min en OD y de 14 mm/min en OS. El test de Jones fue negativo en ambos ojos (OU). El test de fuoresceína resultó positivo en OD alrededor de una placa corneal paracentral de color negro que abarcaba aproximadamente un 15 % de la córnea. El resto de la exploración oftalmológica resultó normal en OU. El diagnóstico oftalmológico fue de secuestro corneal en OD.

Se procedió a realizar la prueba de OCT para valorar la profundidad del secuestro y plantear el tratamiento. Al tratarse de una prueba inocua que no precisa contacto directo con el globo ocular (muy similar a una fotografía), salvo en pacientes de muy difícil manejo, se realiza sin sedación con una leve inmovilización de la cabeza del paciente por parte del ayudante o propietario.

En la primera OCT, se apreció un espesor corneal de 551 µm bajo la lesión y una úlcera perilesional con aumento del grosor corneal contiguo (Fig. 1).

<p>(A) Imagen del ojo derecho el día de la primera visita. (B) OCT del ojo derecho el día de la primera visita.</p>
Figura 1

(A) Imagen del ojo derecho el día de la primera visita. (B) OCT del ojo derecho el día de la primera visita.


Se recomendó realizar citología de la lesión mediante hisopo estéril tras la instilación de varias gotas de colirio anestésico (Colircusi Anestésico Doble®, Alcon Cusi S.A, El Masnou, Barcelona) para valorar la presencia de agentes infecciosos que estuvieran complicando la lesión previa realización de la queratectomía. A la espera de los resultados se instauró tratamiento tópico con gel limpiador (Blefarix® Gel, Laboratorios Viñas, Barcelona) cada doce horas (BID) OU, colirio de azitromicina (Azytrop® Colirio monodosis 15 mg/ml, Laboratoires Théa, Clermont-Ferrand Cedex 2) BID OU y lágrimas artificiales (Lagrinet® Neo, OPKO Health Spain SLU, L´Hospitalet de Llobregat) BID OD.

El resultado de la citología fue hiperplasia epitelial con queratinización y leve inflamación neutrofílica. Se observaron bacterias cocoides extracelulares y neutrófilos sin cambios degenerativos, sugestivos de contaminación bacteriana. También se describían cambios sugestivos de sequedad. No se observaron cuerpos de inclusión, pero no se pudo descartar la infección por herpesvirus; por ello, se añadió ganciclovir en gel BID OD (Virgan® gel, Farmila Thea Farmaceutici Spa, Milán) y se programó cirugía de queratectomía del OD.

Cuatro semanas más tarde se realizó queratectomía superficial del OD bajo anestesia general. La segunda OCT, intraquirúrgica, mostró tras queratectomía un espesor corneal de 360 µm de media en el centro de la lesión y un espesor corneal perilesional de 680 µm (Fig. 2). Se optó por realizar un injerto multicapa de membrana pericárdica porcina congelada. El injerto se suturó con Nylon 9/0, y se recubrió con tarsorrafia de membrana nictitante (MN) con Nylon de 4/0 suturada al fórnix conjuntival superior. La medicación postquirúrgica instaurada fue la misma que se recetó previamente y se añadió marbofloxacino (Marbocyl®, Vétoquinol Especialidades Farmacéuticas S.A., Madrid) a 2 mg/kg/24 h por vía oral durante 7 días.

<p>OCT intraquirúrgica del ojo derecho.</p>
Figura 2

OCT intraquirúrgica del ojo derecho.


Los puntos de MN se extrajeron con anestesia tópica en consulta tras dos semanas de la intervención y se retiró el antibiótico tópico (fluoresceína negativo).
Transcurrido un mes postquirúrgico, se extrajeron los puntos corneales bajo sedación y se realizó la tercera OCT, que reveló espesores corneales de 450 µm en la zona del injerto, falta de regeneración estromal y tejido heterogéneo (Fig. 3). Se añadió al tratamiento Vitamina A en gel oftálmico (Ophtosan® pomada, SJ Raamsdonksveer, Holanda) y L-lisina oral.

<p>(A) Imagen del ojo derecho tras retirar los puntos de la tarsorrafia. (B) OCT del ojo derecho tras retirar los puntos de la tarsorrafia.</p>
Figura 3

(A) Imagen del ojo derecho tras retirar los puntos de la tarsorrafia. (B) OCT del ojo derecho tras retirar los puntos de la tarsorrafia.


En la revisión de los 2 meses tras la intervención, se realizó la cuarta OCT que mostró un grosor corneal de 416 µm (habiendo un adelgazamiento desde la última OCT), pero con una mayor homogeneidad del estroma (Fig. 4). Se mantuvo la medicación.

<p>(A) Imagen del ojo derecho tras 8 se­manas de postoperatorio. (B) OCT del ojo derecho tras 8 se­manas de postoperatorio.</p>
Figura 4

(A) Imagen del ojo derecho tras 8 se­manas de postoperatorio. (B) OCT del ojo derecho tras 8 se­manas de postoperatorio.


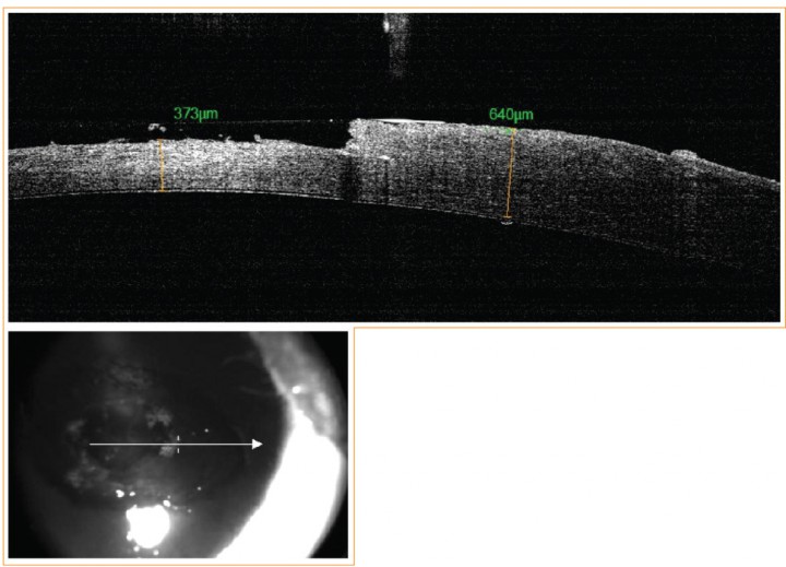
A los 4 meses de la cirugía, en la exploración oftalmológica se apreció leve leucoma cicatricial. En la quinta OCT se observó un espesor corneal de 645 µm en la zona del injerto, con una perfecta continuidad del estroma (Fig. 5). Se comparó con el grosor corneal del OS que fue de 666 µm. Se recomendó lágrima artificial diaria y se dio el alta al paciente.

<p>(A) OCT del ojo derecho a los 4 meses de la cirugía. (B) OTC del ojo izquierdo a los 4 meses de la cirugía.</p>
Figura 5

(A) OCT del ojo derecho a los 4 meses de la cirugía. (B) OTC del ojo izquierdo a los 4 meses de la cirugía.

Discusión

La OCT tiene múltiples aplicaciones en el campo de la oftalmología, tanto del segmento anterior como posterior. Se trata de una técnica que no requiere contacto directo con el globo ocular, siendo muy útil en el campo de la veterinaria.

En el segmento anterior abarca toda la córnea y cámara anterior, siendo de gran utilidad a la hora de valorar el ángulo iridocorneal o para confirmar la presencia de quistes de iris.[ Gabriele ML, Wollstein G, Ishkawa H et al. Optical Coherence Tomography: History, Current Status and Laboratory Work. Investigativ Ophthalmol & Vis Science 2011; 52:5, 2425-2436. [PubMed] , Famose F. Assessment of the use of spectral domain optical coherence tomography (SD-OCT) for evaluation of the healthy and pathological cornea in dogs and cats. Vet Ophthalmol 2014; 17:1, 12-22. [PubMed] , Strom AR, Cortes DE, Rasmussen CA et al. In vivo evaluation of the cornea and conjunctiva of the normal laboratory beagle using time- and Fourier-domain optical coherence tomography and ultrasound pachymetry. Vet Ophthalmol 2016; 19:1, 50-56. [PubMed] , Rosolen SG, Rivière MLK, Lavillegrand S et al. Use of a combined slip-lamp SD-OCT to obtain anterior and posterior segment images in selected animal species. Vet Ophthalmol 2012; 15:2, 105-115. ]

En el segmento posterior, su uso está enfocado en la evaluación de las capas retinianas así como la morfología y anatomía del nervio óptico, ya que las imágenes obtenidas mediante la OCT son análogas a las de un corte histopatológico.[ Rosolen SG, Rivière MLK, Lavillegrand S et al. Use of a combined slip-lamp SD-OCT to obtain anterior and posterior segment images in selected animal species. Vet Ophthalmol 2012; 15:2, 105-115. , Panzan CQ, Given D, Weiland JD et al. Retinal thickness in normal and RCD1 dogs using optical coherence tomography. Ophtalmic Surgery, Lasers and imaging 2004; 35:6, 485- 493. [PubMed] ]

Los valores del grosor corneal publicados hasta ahora son los que se toman de referencia. En alteraciones unilaterales, el ojo adelfo es tomado como referencia. El espesor corneal medio (que varía según la edad, el peso y la región anatómica estudiada) es de 535 µm en perros (variable de 500 a 620 µm) y de 600 µm en gatos (variable de 540 a 660 µm).[ Famose F. Assessment of the use of spectral domain optical coherence tomography (SD-OCT) for evaluation of the healthy and pathological cornea in dogs and cats. Vet Ophthalmol 2014; 17:1, 12-22. [PubMed] , Strom AR, Cortes DE, Rasmussen CA et al. In vivo evaluation of the cornea and conjunctiva of the normal laboratory beagle using time- and Fourier-domain optical coherence tomography and ultrasound pachymetry. Vet Ophthalmol 2016; 19:1, 50-56. [PubMed] ] El uso de la OCT nos proporciona, de manera no invasiva, información in situ de las capas corneales sin necesidad de sedación/anestesia del paciente, por lo que permite valorar la necesidad del procedimiento quirúrgico a realizar dependiendo del espesor corneal.

El tratamiento de elección para el secuestro corneal depende de diferentes parámetros como la profundidad, el tamaño y/o la localización de la lesión. La queratectomía superficial se puede realizar en lesiones que sean menores o iguales al 50 % del grosor corneal, siendo necesario soporte tectónico en lesiones más profundas.[ Lacerda RP, Peña MT, Laguna F et al. Corneal grafting for the treatment of full-thickness corneal defects in dogs: a review of 50 cases. Vet Ophthalmol 2016; 1-10. [PubMed] ] Para ello hay descritas diferentes técnicas: colgajos conjuntivales, transposición corneoconjuntival,[ Barachetti L, Giudice C and Mortellaro CM. Amniotic membrane trasplantation for the treatment of feline corneal sequestrum: pilot study. Vet Ophthalmol 2010; 13:5, 326-330. [PubMed] ] biomateriales (membrana pericárdica,[ Featherstone HJ and Sansom J. Feline corneal sequestra: a review of 64 cases (80 eyes) from 1993 to 2000. Vet Ophtalmol 2004; 7:4, 213-227. [PubMed] ] membrana amniótica,[ Featherstone HJ and Sansom J. Feline corneal sequestra: a review of 64 cases (80 eyes) from 1993 to 2000. Vet Ophtalmol 2004; 7:4, 213-227. [PubMed] ] submucosa intestinal,[ Dulaurent T, Azoulay T, Goulle F et al. Use of bovine pericardium (Tutopatch®) graft for surgical repair of deep melting corneal ulcers in dogs and corneal sequestra in cats. Veter Ophthalmol 2014; 17:2, 91-99. [PubMed] , Goulle F. Use of porcine small intestinal submucosa for corneal reconstruction in dogs and cats: 106 cases. J of Small Anim Pract 2012; 53, 34-43. [PubMed] ] etc.) o trasplantes corneales (homólogo o heterólogo).[ Rosolen SG, Rivière MLK, Lavillegrand S et al. Use of a combined slip-lamp SD-OCT to obtain anterior and posterior segment images in selected animal species. Vet Ophthalmol 2012; 15:2, 105-115. , Panzan CQ, Given D, Weiland JD et al. Retinal thickness in normal and RCD1 dogs using optical coherence tomography. Ophtalmic Surgery, Lasers and imaging 2004; 35:6, 485- 493. [PubMed] ] En opinión de los autores, una de las aplicaciones más atractiva de la OCT es intraquirúrgica, ya que permite valorar el espesor restante tras la queratectomía y decidir el soporte tectónico a utilizar.

Durante el postoperatorio, la OCT es muy útil para valorar la continuidad de las capas y la integración del injerto en la córnea receptora.

Al no necesitar contacto alguno, no requiere sedación, de manera que su uso repetitivo durante el postoperatorio carece de contraindicaciones, además de no estar influenciado por el tamaño del globo ocular a analizar.

En conclusión, teniendo en cuenta la fácil manipulación de este tipo de OCT, que no necesita sedación del paciente por la ausencia de contacto con la superficie corneal, su uso para el diagnóstico, decisión de tratamiento quirúrgico (elección del biomaterial más adecuado tras la queratectomía) y el control de la evolución en el postoperatorio de manera cuantitativa y objetiva (valorando las micras de espesor corneal), es una herramienta de gran utilidad en oftalmología veterinaria, y como en el caso presentado, sirve para realizar el control y seguimiento de un secuestro corneal en un paciente felino.

 

Fuente de financiación: este trabajo no se ha realizado con fondos públicos, comerciales o del sector privado.
Conflicto de intereses: el autor declara que no existen conflictos de intereses.

Bibliografía

  1. [1] Aubin ML, Powell CC, Gionfriddo JR, Fails AD. Ultrasound biomicroscopy of the feline anterior segment. Vet Ophthalmol 2003; 6: 1, 15–17.
  2. [2] Park S, Kang S, Jaegook Lim J et al. Ultrasound biomicroscopy and tonometry in ophthalmologically normal pigeon eyes. Vet Ophthalmol 2017; 1–4.
  3. [3] Gabriele ML, Wollstein G, Ishkawa H et al. Optical Coherence Tomography: History, Current Status and Laboratory Work. Investigativ Ophthalmol & Vis Science 2011; 52:5, 2425-2436. [PubMed]
  4. [4] Famose F. Assessment of the use of spectral domain optical coherence tomography (SD-OCT) for evaluation of the healthy and pathological cornea in dogs and cats. Vet Ophthalmol 2014; 17:1, 12-22. [PubMed]
  5. [5] Bouhanna L, B.Liscoët L, Raymond-Lotron I. Corneal stromal sequestration in a dog. Vet Ophthalmol 2008; 11:4, 211-214.
  6. [6] McLellan GJ, Archer FJ. Corneal stromal sequestration and keratoconjunctivitis sicca in a horse. Vet Ophthalmol 2000; 3: 207- 212. [PubMed]
  7. [7] Dalla F, Pisoni L, and Masetti L. Feline corneal sequestration: a review of medical treatment in 37 cases. Vet Res Communicat 2007; 31:1, 285-288. [PubMed]
  8. [8] Laguna F, Leiva M, Costa D et al. Corneal grafting for the treatment of feline corneal sequestrum: a retrospective study of 18 eyes (13 cats). Vet Ophtalmol 2015; 18:4, 291-296. [PubMed]
  9. [9] Featherstone HJ and Sansom J. Feline corneal sequestra: a review of 64 cases (80 eyes) from 1993 to 2000. Vet Ophtalmol 2004; 7:4, 213-227. [PubMed]
  10. [10] Dubielzig RR, Ketring K, MacLellan GJ et al: Diseases of the cornea and sclera. En R. Dubielzig: Veterinary Ocular Pathology a comparative review, Edinburgh, London, New York, Oxford, Philadelphia, St Louis, Sidney, Toronto, Saunders, 2010; 201-243. [PubMed]
  11. [11] Gelatt KN and Brooks DE. Surgery of the cornea and sclera. En: Gelatt KN. Veterinary Ophthalmic Surgery, Saunders Elsevier, San Francisco; 2011, 157-190. [PubMed]
  12. [12] Maggs DJ: Córnea y esclera. En: Slatter Fundamentos de la oftalmología veterinaria, Barcelona 2009; 179-206.
  13. [13] Lacerda RP, Peña MT, Laguna F et al. Corneal grafting for the treatment of full-thickness corneal defects in dogs: a review of 50 cases. Vet Ophthalmol 2016; 1-10. [PubMed]
  14. [14] Strom AR, Cortes DE, Rasmussen CA et al. In vivo evaluation of the cornea and conjunctiva of the normal laboratory beagle using time- and Fourier-domain optical coherence tomography and ultrasound pachymetry. Vet Ophthalmol 2016; 19:1, 50-56. [PubMed]
  15. [15] Rosolen SG, Rivière MLK, Lavillegrand S et al. Use of a combined slip-lamp SD-OCT to obtain anterior and posterior segment images in selected animal species. Vet Ophthalmol 2012; 15:2, 105-115.
  16. [16] Panzan CQ, Given D, Weiland JD et al. Retinal thickness in normal and RCD1 dogs using optical coherence tomography. Ophtalmic Surgery, Lasers and imaging 2004; 35:6, 485- 493. [PubMed]
  17. [17] Andrew SE, Tou S and Brooks DE. Corneoconjunctival transposition for the treatment of feline corneal sequestra: a retrospective study of 17 cases (1990-1998). Vet Ophthalmol 2001; 4:2, 107-111. [PubMed]
  18. [18] Barachetti L, Giudice C and Mortellaro CM. Amniotic membrane trasplantation for the treatment of feline corneal sequestrum: pilot study. Vet Ophthalmol 2010; 13:5, 326-330. [PubMed]
  19. [19] Dulaurent T, Azoulay T, Goulle F et al. Use of bovine pericardium (Tutopatch®) graft for surgical repair of deep melting corneal ulcers in dogs and corneal sequestra in cats. Veter Ophthalmol 2014; 17:2, 91-99. [PubMed]
  20. [20] Goulle F. Use of porcine small intestinal submucosa for corneal reconstruction in dogs and cats: 106 cases. J of Small Anim Pract 2012; 53, 34-43. [PubMed]

Artículos recomendados

Estas recomendaciones se ofrecen de forma automática.

  • Interpretación de las alteraciones del proteinograma en trece hurones (Mustela putorius furo)

    O. Miñana-Morant, A. Moya-Vázquez
    Clin Vet Peq Anim Vol. 42 - Nº 1 · MAR 2022 · Artículo original referido a múltiples casos clínicos
  • Diagnóstico por imagen de una malformación arteriovenosa hepática en un perro

    V. Silva-Utrera, E. López-Medina, M. Labayru-Prats, et al.
    Clin Vet Peq Anim Vol. 39 - Nº 4 · DIC 2019 · Artículo original referido a un solo caso clínico
  • Diagnóstico por imagen de una comunicación esplenosistémica en un gato

    H. Fominaya-García, V. Silva-Utrera, E. López-Medina, et al.
    Clin Vet Peq Anim Vol. 38 - Nº 2 · JUN 2018 · Artículo original referido a un solo caso clínico
  • Inicio
  • Introducción
  • Caso clínico
  • Discusión
  • Bibliografía
Artículo anterior Índice de la revista Artículo siguiente
ANUNCIO
Próximos cursos ATVs Elearning
Índice
Inicio Introducción Caso clínico Discusión Bibliografía
Boehringer - NexGard
ANUNCIO

¿No eres socio de AVEPA y quieres recibir comunicación de las nuevas ediciones en tu correo?

Suscríbete

Suscríbete y te avisaremos cuando publiquemos un nuevo número

Suscribirme

Enlaces rápidos

  • Inicio
  • Último número
  • Archivo
  • Artículos

Información

  • Comité editorial
  • Política de cookies
  • Política de privacidad
  • Términos y condiciones

Contacto

  • info@imaginice.com
  • Envíanos tu artículo
© 2026 Ice Salud Vet SL. Todos los derechos reservados.

Usamos cookies para mejorar tu experiencia. Selecciona cuáles aceptas: