Logo AVEPA

Clínica Veterinaria de Pequeños Animales

Revista oficial de AVEPA

  • Inicio
  • Último número
  • Archivo
  • Artículos
  • Para autores
  • Contacto
Cursos Junio-Septiembre 2026
ANUNCIO

Clínica Veterinaria de Pequeños Animales

Revista oficial de AVEPA

  • Inicio
  • Último número
  • Archivo
  • Artículos
  • Para autores
  • Contacto
Curso Oftalmología 2026
ANUNCIO
Clin Vet Peq Anim Vol. 37 • Nº 4 • diciembre 2017

Psicodermatología: aproximación multidisciplinar a los trastornos compulsivos caninos

Psychodermatology: multidisciplinary approach to the canine compulsive disorders

Artículos de Revisión

G. Quintana

Centro Veterinario A Marosa. Rúa Concepción Arenal, 34, 27880 Burela (Lugo).

R. Álvarez

Etolia Etología Veterinaria. C/ Crianza 25, Parque empresarial Laurotorre, 29130 Alhaurín de la Torre (Málaga).

Contacto: gerqd@hotmail.com
Palabras clave: trastornos compulsivos, serotonina, dermatitis acral, succión de los flancos, comportamiento de persecución de la cola.
Keywords: compulsive disorders, serotonine, acral dermatitis, flank sucking, tailchasing behavior.

Clin. Vet. Peq. Anim, 2017, 37 (4): 235 - 244

Descargar artículo

Resumen

En el presente artículo se abordan de forma integral la etiología, el diagnóstico y el tratamiento de los trastornos compulsivos más frecuentes en el perro, prestando especial atención a aquellos que tienen que ver con otra especialidad y entidad clínica, la dermatología. Muchas de estas dolencias son difíciles de controlar, en gran parte debido a su origen multifactorial, lo que implica la necesidad de colaboración entre los distintos especialistas para llegar a un diagnóstico concluyente y un tratamiento exitoso.

Abstract

This paper comprehensively addresses the causes, diagnosis and treatment of the most common compulsive disorders in canine dermatology. Many of these diseases are difficult to control, largely due to its multicausal origin, implying the need for collaboration between different specialists to reach a conclusive diagnosis and successful treatment.

AVEPA Elearning

La presencia de este logo en un artículo de la revista indica que se publicará un examen sobre el mismo en la plataforma AVEPA Elearning. Su resolución aporta 0,15 créditos dentro del sistema de acreditaciones de especialidades veterinarias de AVEPA.

Introducción

El término trastorno obsesivo compulsivo (TOC) fue introducido en medicina veterinaria en 1991 a partir de un artículo de Goldberger y Rapoport aparecido en la publicación de la American Animal Hospital Association.[ Goldberger, Erica G, Rapoport, JL. Canine Acral Lick Dermatitis: Response to the Antiobsessional Drug Clomipramine. J Am Anim Hosp Assoc 1991. 179-182. ] Hasta los años 90, la literatura existente se había centrado sobre todo en animales de laboratorio y de granja, no existiendo estudios específicos al respecto ni en animales de zoológico ni domésticos, aunque sí había referencias de que su padecimiento podía afectar al bienestar de los mismos.

De forma más reciente, algunos autores han establecido una relación directa entre el estrés y la manifestación de cuadros clínicos diversos. Así, en el año 2011, Buffington y sus colaboradores describen por primera vez el Síndrome de Pandora, el cual engloba un conjunto de patologías crónicas, recurrentes e idiopáticas que afectan a la función (y no exclusivamente a la estructura) del órgano o los órganos implicados.[ Buffington CA. Idiopathic Cystitis in Domestic Cats - Beyond the Lower Urinary Tract. J Vet Intern Med 2011. 25:784-796. [PMC] , Buffington CA, Westropp JL, Chew DJ. From FUS to Pandora syndrome: where are we, how did we get here, and where to now? J Feline Med Surg 2014. 16(5):385-94. [PubMed] ]

Para poder determinar que estamos ante un Síndrome de Pandora se deben tener presentes los siguientes aspectos:[ Buffington CA. Idiopathic Cystitis in Domestic Cats - Beyond the Lower Urinary Tract. J Vet Intern Med 2011. 25:784-796. [PMC] , Buffington CA, Westropp JL, Chew DJ. From FUS to Pandora syndrome: where are we, how did we get here, and where to now? J Feline Med Surg 2014. 16(5):385-94. [PubMed] ]

- Los síntomas que presenta el paciente son de carácter crónico.

- Además de los signos por los que el paciente se presenta en la consulta asociados a un órgano determinado, pueden identificarse otros en órganos distintos.

- La severidad de los signos clínicos es variable, pudiendo aparecer y desaparecer en función del nivel de estrés al que está sometido el paciente.

- La historia del paciente es fundamental. La susceptibilidad o resistencia al estrés de un individuo depende de la genética y del ambiente en el que se ha criado, debiendo indagar en la historia del paciente y, si es posible, en sus antecedentes familiares.

Si bien los estudios de Buffington se centran en la cistitis idiopática felina, éstos sugieren que la vejiga de la orina es tan solo una de las posibles víctimas de un proceso sistémico asociado a una alteración en el sistema de respuesta al estrés. Estos estudios recomiendan, además, el trabajo en equipo de todos los profesionales veterinarios para entender mejor los trastornos que subyacen a estos signos, lo que nos permitirá reducir la incidencia de algunas de estas patologías.[ Buffington CA. Idiopathic Cystitis in Domestic Cats - Beyond the Lower Urinary Tract. J Vet Intern Med 2011. 25:784-796. [PMC] , Buffington CA, Westropp JL, Chew DJ. From FUS to Pandora syndrome: where are we, how did we get here, and where to now? J Feline Med Surg 2014. 16(5):385-94. [PubMed] ]

En la bibliografía veterinaria existen múltiples referencias a trastornos que relacionan procesos dermatológicos con un posible origen conductual; no obstante, dada la complejidad de demostrar la relación causa-efecto, el diagnóstico en la mayor parte de los casos se centra en excluir otras posibles causas de enfermedad. En base a los resultados de Buffington, el padecimiento de otras enfermedades o cuadros clínicos no excluye un trastorno compulsivo (TC), sino todo lo contrario, de forma que el estado de enfermedad inducido por cualquier proceso morboso induce estrés, el cual a su vez contribuye a la aparición o empeoramiento de un TC. Por este motivo, y a tenor de los resultados obtenidos por Buffington, sería más recomendable hablar de un diagnóstico de inclusión y no de exclusión.

En la actualidad existe desacuerdo entre los especialistas en la denominación de este conjunto de patologías, prefiriéndose el término de conductas TC o de TOC.[ Frank D. Repetitive behaviors in cats and dogs; are they really a sign of obsessive-compulsive disorders (OCD)?. Can Vet J 2013; 54(2):129-131. [PMC] ]

Los TC son uno de los problemas conductuales más frecuentes y más estudiados en medicina veterinaria de pequeños animales, definiéndose como aquellos comportamientos anormales que se caracterizan por la realización de conductas repetitivas y persistentes, sin parada espontánea, invariables, sin función obvia[ Mentzel R. Trastorno obsesivo-compulsivo en caninos y felinos. Jornadas AVLZ (Asociación Veterinaria Latinoamericana de Zoopsiquiatría). Lima (Perú). 2006. ] y que si bien en un inicio aparecen en respuesta a un estímulo concreto (por ejemplo dolor, una reacción pruriginosa o frustración), con el tiempo puede surgir en otros contextos y sin el estímulo detonante inicial (es lo que se denomina emancipación de la conducta), empeorando el pronóstico.[ Chávez G. Caso clínico: trastorno obsesivo compulsivo en un perro Bull Terrier. Hosp. Vet. 2013; 5(2): 62-66. ]

Etiología y patogénesis

Dentro de las conductas compulsivas se debe diferenciar entre las conductas de sustitución y las estereotipias, considerando a ambas comportamientos patológicos. Si el animal presenta la capacidad de controlar la parada de la conducta hablamos de conductas de sustitución, mientras que en el caso de las estereotipias el animal es incapaz de detener la conducta sin una intervención externa.[ Mentzel R. Trastorno obsesivo-compulsivo en caninos y felinos. Jornadas AVLZ (Asociación Veterinaria Latinoamericana de Zoopsiquiatría). Lima (Perú). 2006. ]

Las actividades de sustitución o conductas de desplazamiento actúan como válvulas de escape frente a una situación que impide un comportamiento adecuado (frustración), o como resultado de un conflicto entre motivaciones contrapuestas. Se componen de varias fases sucesivas e interreguladas con una señal de parada al final de la secuencia, presentándose intermitentemente. En ciertos estados de ansiedad aumenta la frecuencia de presentación y la intensidad de las mismas y, con el tiempo, pierden la organización de las fases y el control para terminar la secuencia (desaparición de las fases apetitiva y de apaciguamiento), transformándose en una estereotipia.[ Mentzel R. Trastorno obsesivo-compulsivo en caninos y felinos. Jornadas AVLZ (Asociación Veterinaria Latinoamericana de Zoopsiquiatría). Lima (Perú). 2006. ]

Las estereotipias son conductas repetitivas, idénticas e incontroladas que el paciente no puede interrumpir, ya que no hay señal de parada interna, haciéndose necesario un estímulo exterior intenso para detenerlas. Surgen tanto en ambientes hipoestimulantes como hiperestimulantes y, a diferencia de las conductas de desplazamiento, no se identifican estímulos disparadores.[ Mentzel R. Trastorno obsesivo-compulsivo en caninos y felinos. Jornadas AVLZ (Asociación Veterinaria Latinoamericana de Zoopsiquiatría). Lima (Perú). 2006. ]

Tanto las actividades de sustitución como las estereotipias deben considerarse siempre como comportamientos patológicos. El paciente humano puede percibir que el comportamiento es anormal y puede controlarlo en mayor o menor medida; no obstante, en pacientes animales la aplicación de un castigo positivo puede provocar que la conducta la realice “a escondidas” y la aplicación de un refuerzo positivo (voluntario o involuntario) puede empeorar el cuadro clínico.

En cuanto a su etiopatogenia, el TC es un proceso multifactorial en cuyo desarrollo intervienen diversos factores[ Virga V. Behavioral dermatology. Vet Clin North Am Small Anim Pract 2003; 33(2):231-51. [PubMed] ] que describimos a continuación.

 

Genética

El hecho de que se observe con más frecuencia en unas razas o líneas familiares que en otras permite especular sobre un importante componente hereditario.[ Dodman NH, Karlsson EK, Moon-Fanelli A et al. A canine chromosome 7 locus confers compulsive disorder susceptibility. Mol Psychiatry 2010; 15(1):8-10. [PubMed] , Tang R, Noh HJ, Wang D et al. Candidate genes and functional noncoding variants identified in a canine model of obsessive-compulsive disorder. Genome Biol 2014; 15(3):R25. [PubMed] ] Así, por ejemplo, los gatos Siameses son más propensos al acicalamiento compulsivo,[ Buffington CA, Westropp JL, Chew DJ. From FUS to Pandora syndrome: where are we, how did we get here, and where to now? J Feline Med Surg 2014. 16(5):385-94. [PubMed] ] los Bull Terriers al “tailchasing”[ Goldberger, Erica G, Rapoport, JL. Canine Acral Lick Dermatitis: Response to the Antiobsessional Drug Clomipramine. J Am Anim Hosp Assoc 1991. 179-182. , Moon-Fanelli AA, Dodman NH, Famula TR, Cottam N. Characteristics of compulsive tail chasing and associated risk factors in Bull Terriers. J Am Vet Med Assoc 2011; 238(7):883-9. [PubMed] ] y los Doberman Pinscher presentan una mayor tendencia a lamer/succionar los flancos.[ Moon-Fanelli AA, Dodman NH, Cottam N. Blanket and flank sucking in Doberman Pinschers. J Am Vet Med Assoc 2007; 15; 231(6):907-12. [PubMed] ] Las causas genéticas pueden estar relacionadas con:

- Alteraciones estructurales: en algunos casos se ha demostrado la existencia de alteraciones estructurales en el sistema nervioso central en pacientes con TC, por ejemplo, en Doberman Pinscher con lamido de los flancos.[ Ogata N, Gillis TE, Liu X et al. Brain structural abnormalities in Doberman pinschers with canine compulsive disorder. Prog Neuropsychopharmacol Biol Psychiatry 2013; 45:1-6. [PubMed] ]

- Alteraciones funcionales o neuroquímicas: en otros casos, existen alteraciones en los niveles de ciertos neurotransmisores o en la actividad de las vías y receptores de los mismos, concretamente en las vías serotoninérgicas.[ Vermeire S, Audenaert K, De Meester R et al. Serotonin 2A receptor, serotonin transporter and dopamine transporter alterations in dogs with compulsive behaviour as a promising model for human obsessive-compulsive disorder. Psychiatry Res 2012; 201(1):78-87. [PubMed] ] Dichas alteraciones neuroquímicas tienen como foco anatómico del trastorno al sistema límbico. La causa más aceptada es una alteración de la función de los ganglios basales, fundamentalmente por niveles reducidos de serotonina en el núcleo caudado relacionados con aumento de la actividad dopaminérgica, sensibilización a la norepinefrina y liberación de opioides endógenos con efecto autorreforzador a nivel hipotalámico, si bien algunos autores consideran que los TC se producen por una hipersensibilidad de los receptores serotoninérgicos acompañada de hiporreactividad de la dopamina. La interacción entre los neurotransmisores es muy compleja y quizás por ello síntomas similares mejoran con diferentes fármacos, lo que justifica en algunos pacientes buscar la molécula más eficaz para controlar el cuadro.[ Mentzel R. Trastorno obsesivo-compulsivo en caninos y felinos. Jornadas AVLZ (Asociación Veterinaria Latinoamericana de Zoopsiquiatría). Lima (Perú). 2006. ]

 

Experiencias inapropiadas en las primeras etapas de desarrollo del animal

Cabe citar, por ejemplo, destete precoz, falta de habituación, hipoestimulación ambiental, poca manipulación por personas, experiencias aversivas y falta de socialización homo y heteroespecífica. La carencia de estos vínculos socio-afectivos, junto con alteraciones en la formación de las estructuras cerebrales, neuronales y de vías nerviosas y neurotransmisores, predispone al animal al estrés, lo que facilita la aparición de estas conductas.[ Mentzel R. Trastorno obsesivo-compulsivo en caninos y felinos. Jornadas AVLZ (Asociación Veterinaria Latinoamericana de Zoopsiquiatría). Lima (Perú). 2006. ] Existen evidencias que relacionan los cambios acaecidos durante la gestación, la suplementación con micronutrientes y la separación precoz de los cachorros con la aparición de problemas conductuales, entre ellos los TC.[ Tiira K, Hakosalo O, Kareinen L et al. Environmental effects on compulsive tail chasing in dogs. PLoS One 2012; 7(7) e41684. [PMC] ]

 

Estrés y ansiedad

Pueden deberse a múltiples causas, tales como cambios realizados en las rutinas del animal, cambio de domicilio, llegada de un nuevo miembro a la familia, cambio de propietario, competencia por la integración en el hogar de otra mascota, manejo inadecuado (castigo físico, hacinamiento, inconsistencia en la educación, formación de un vínculo inseguro con el propietario, etc.).[ Mentzel R. Trastorno obsesivo-compulsivo en caninos y felinos. Jornadas AVLZ (Asociación Veterinaria Latinoamericana de Zoopsiquiatría). Lima (Perú). 2006. ]

 

Causa orgánica

Múltiples patologías pueden estar presentes y actuar como desencadenantes o perpetuantes de un TC. Si bien en medicina veterinaria no existen evidencias claras sobre la implicación de algunas enfermedades en la aparición de los trastornos compulsivos, en medicina humana existen diversos estudios que evidencian que los pacientes con TOC padecen con mayor frecuencia patologías tiroideas, respiratorias, alérgicas y dolores de cabeza.[ Witthauer C, Gloster A, Meyer AH, Lieb R. Physical diseases among persons with obsessive compulsive symptoms and disorder: a general population study. Soc Psychiatry Psychiatr Epidemiol 2014; 49(12): 2013-22. [PubMed] ] La implicación de los trastornos tiroideos es muy controvertida, ya que no se conoce la relación exacta; se sabe que gran parte de los pacientes humanos con trastornos tiroideos padecen trastornos psiquiátricos, entre ellos TOC, pero una gran parte de los pacientes con TOC no padecen trastornos endocrinos de la glándula tiroidea.[ McCracken JT, Hanna GL. Elevated thyroid indices in children and adolescents with obsessive-compulsive disorder: effects of clomipramine treatment. J Child Adolesc Psychopharmacol 2005; 15(4):581-7. [PubMed] , Placidi GP, Boldrini M, Patronelli A et al. Prevalence of psychiatric disorders in thyroid diseased patients. Neuropsychobiology 1998; 38(4):222-5. [PubMed] ] Es poco frecuente la aparición de TC en animales de edad media-avanzada sin antecedentes de problemas conductuales, debiendo descartar la existencia de un proceso neoplásico.[ Luescher AU. Diagnosis and management of compulsive disorders in dogs and cats. Vet Clin North Am Small Anim Pract 2013; 33(2):253-67. [PubMed] , Tonna M, Ottoni R, Ossola P, De Panfilis C, Marchesi C. Late-onset obsessive-compulsive disorder associated with left cerebellar lesion. Cerebellum 2014; 13(4):531-5. [PubMed] ] Si el paciente padece un trastorno dermatológico, neurológico, ortopédico o de otra índole, debe establecerse un diagnóstico y tratamiento adecuado y valorar la respuesta al mismo. Incluso puede plantearse el tratamiento como un ensayo farmacológico previo al diagnóstico definitivo de un problema conductual, cuyo padecimiento no excluye la existencia de un problema orgánico, sino que pueden confluir y, por ende, deben tratarse de forma integral.

Presentación clínica

Dado que estamos ante una patología con cuadros muy diversos, se tratarán los TC más habituales con implicación dermatológica en la especie canina.

 

Dermatitis acral por lamido

También conocida como granuloma por lamido, se aprecia inicialmente un lamido compulsivo de un miembro en un área delimitada distal y cranealmente que da lugar a una placa oval, firme, engrosada y alopécica, que puede estar erosionada o ulcerada (Figs. 1 a 3). Cuando cronifica, puede aparecer hiperpigmentación, fibrosis e infecciones bacterianas secundarias. Las zonas más comúnmente afectadas son la cara dorsal del carpo, el metacarpo, el tarso o el metatarso.[ Medleau L, Hnilica KA. Capítulo 13: Otras dermopatías del perro. En: Dermatología de pequeños animales, Madrid, Elsevier España, 2007; 327-342. , Miller WH, Grifin CE, Campbell KL. Dermatosis psicogénicas. En: Muller & Kirk: Dermatología en pequeños animales, Buenos Aires, Inter-médica; 2014; 712-724. ] La lesión está aislada en el 74% de los casos y es unilateral; tan solo el 10% de los casos implica las 4 patas.[ Miller WH, Grifin CE, Campbell KL. Dermatosis psicogénicas. En: Muller & Kirk: Dermatología en pequeños animales, Buenos Aires, Inter-médica; 2014; 712-724. ] Puede tener un origen orgánico o psicogénico[ Miller WH, Grifin CE, Campbell KL. Dermatosis psicogénicas. En: Muller & Kirk: Dermatología en pequeños animales, Buenos Aires, Inter-médica; 2014; 712-724. ] y pueden participar múltiples factores. La ansiedad y el estrés pueden contribuir al cuadro, pero hay otras posibles causas que deben confirmarse como desencadenantes o factores perpetuantes del proceso, entre las cuales encontramos:[ Medleau L, Hnilica KA. Capítulo 13: Otras dermopatías del perro. En: Dermatología de pequeños animales, Madrid, Elsevier España, 2007; 327-342. , Miller WH, Grifin CE, Campbell KL. Dermatosis psicogénicas. En: Muller & Kirk: Dermatología en pequeños animales, Buenos Aires, Inter-médica; 2014; 712-724. , Denerolle P, White SD, Taylor TS, Vandenabeele SI. Organic diseases mimicking acral lick dermatitis in six dogs. J Am Anim Hosp Assoc 2007; 43(4):215-20. [PubMed] ]

- Hipersensibilidad (dermatitis atópica, alergia o intolerancia alimentaria, etc.).

- Presencia de ectoparásitos.

- Reacción a cuerpo extraño.

- Neoplasias (linfoma, mastocitoma).

- Demodicosis.

- Querion.

- Hipotiroidismo.

- Neuropatía.

- Procesos traumáticos y ortopédicos (calcinosis circunscrita, granulomas de los puntos de presión).

- Leishmaniasis.

- Esporotricosis.

- Pioderma profunda.

<p>Lesiones en un perro de raza Labrador con dermatitis acral.</p>
Figura 1

Lesiones en un perro de raza Labrador con dermatitis acral.

<p>Lesiones en un perro de raza Border Collie con dermatitis acral.</p>
Figura 2

Lesiones en un perro de raza Border Collie con dermatitis acral.

<div class=\"Basic-Text-Frame\">
<p>(A) Lesiones en un perro de raza Pomerania con dermatitis acral. (B) Evolución tras 6 semanas de tratamiento con un ISRS y un hidrogel de ácido hipocloroso.</p>
</div>
Figura 3

(A) Lesiones en un perro de raza Pomerania con dermatitis acral. (B) Evolución tras 6 semanas de tratamiento con un ISRS y un hidrogel de ácido hipocloroso.

Un 50% de los casos vistos en la consulta del especialista en dermatología presenta causas idiopáticas o psicogénicas, siendo estos últimos los que no presentan antecedentes de enfermedad dermatológica. El aburrimiento, la ansiedad por separación o la restricción de la libertad del can pueden ser un factor causal. Es importante destacar que los perros en los que la enfermedad conductual es la desencadenante suelen presentar asociados otros problemas de comportamiento.[ Miller WH, Grifin CE, Campbell KL. Dermatosis psicogénicas. En: Muller & Kirk: Dermatología en pequeños animales, Buenos Aires, Inter-médica; 2014; 712-724. ]

Es un proceso habitual en la especie canina, estando sobrerrepresentados animales de razas grandes y gigantes, de mediana edad a ancianos, con una clara predisposición racial (Tabla 1).

Image
Tabla 1

“Tailchasing”

Este TC se manifiesta como un animal que da vueltas sobre sí mismo persiguiendo la cola y, en ocasiones, autolesionándose (Fig. 4).[ Medleau L, Hnilica KA. Capítulo 13: Otras dermopatías del perro. En: Dermatología de pequeños animales, Madrid, Elsevier España, 2007; 327-342. , Miller WH, Grifin CE, Campbell KL. Dermatosis psicogénicas. En: Muller & Kirk: Dermatología en pequeños animales, Buenos Aires, Inter-médica; 2014; 712-724. ]

<p>Secuencia de movimientos de un perro de raza Pastor Alemán con <em>“tailchasing”</em>.</p>
Figura 4

Secuencia de movimientos de un perro de raza Pastor Alemán con “tailchasing”.

Como se comentó anteriormente, en su origen existe un componente genético y un componente ambiental,[ Goldberger, Erica G, Rapoport, JL. Canine Acral Lick Dermatitis: Response to the Antiobsessional Drug Clomipramine. J Am Anim Hosp Assoc 1991. 179-182. ] pudiendo iniciarse como una conducta de desplazamiento en respuesta a un conflicto motivacional o a frustración, o como consecuencia de un problema médico (epilepsia, problemas ortopédicos, dermatológicos, trastornos neurológicos, psicóticos o alucinatorios). En algunos casos, la conducta se inicia o se complica a raíz de un refuerzo de la conducta problema por parte de los propietarios, los cuales emplean los refuerzos y castigos con un mal timing o de forma inconsistente.[ Landsberg G, Hunthausen W, Ackerman L. Chapter 10: Stereotypic and compulsive disorders. En: Handbook of behavior problems of the dog and cat, Philadelphia, Elsevier Saunders, 2003; 195-226. ]

Los niveles de ansiedad en el propietario, en el perro y el uso abusivo del castigo puede empeorar el cuadro clínico.[ Landsberg G, Hunthausen W, Ackerman L. Chapter 10: Stereotypic and compulsive disorders. En: Handbook of behavior problems of the dog and cat, Philadelphia, Elsevier Saunders, 2003; 195-226. ]

Es más prevalente en perros jóvenes de cola y pelo largos, si bien muchos detienen este hábito cuando se hacen adultos.[ Miller WH, Grifin CE, Campbell KL. Dermatosis psicogénicas. En: Muller & Kirk: Dermatología en pequeños animales, Buenos Aires, Inter-médica; 2014; 712-724. ] Existe predisposición racial, estando sobrerrepresentados los perros de raza Bull Terrier, Pastor Alemán (Fig. 5) y Pastor Australiano,[ Goldberger, Erica G, Rapoport, JL. Canine Acral Lick Dermatitis: Response to the Antiobsessional Drug Clomipramine. J Am Anim Hosp Assoc 1991. 179-182. , Mentzel R. Trastorno obsesivo-compulsivo en caninos y felinos. Jornadas AVLZ (Asociación Veterinaria Latinoamericana de Zoopsiquiatría). Lima (Perú). 2006. ] por lo que los ejemplares afectados deben eliminarse de los programas de cría.[ Landsberg G, Hunthausen W, Ackerman L. Chapter 10: Stereotypic and compulsive disorders. En: Handbook of behavior problems of the dog and cat, Philadelphia, Elsevier Saunders, 2003; 195-226. ] Aunque no está documentada una predisposición sexual en todos los casos, sí parece existir en el caso de los Bull Terrier una sobrerrepresentación de machos.[ Moon-Fanelli AA, Dodman NH, Famula TR, Cottam N. Characteristics of compulsive tail chasing and associated risk factors in Bull Terriers. J Am Vet Med Assoc 2011; 238(7):883-9. [PubMed] ]

<p>Alopecia traumática en un perro de raza Pastor Alemán con <em>“tailchasing”</em>.</p>
Figura 5

Alopecia traumática en un perro de raza Pastor Alemán con “tailchasing”.

Los Bull Terrier suelen presentar un intenso componente cinético (giros y movimientos aumentados en intensidad y frecuencia) refractario en muchos casos a la modificación de conducta. Pueden aparecer incluso conductas agresivas[ Moon-Fanelli AA, Dodman NH, Famula TR, Cottam N. Characteristics of compulsive tail chasing and associated risk factors in Bull Terriers. J Am Vet Med Assoc 2011; 238(7):883-9. [PubMed] , Landsberg G, Hunthausen W, Ackerman L. Chapter 10: Stereotypic and compulsive disorders. En: Handbook of behavior problems of the dog and cat, Philadelphia, Elsevier Saunders, 2003; 195-226. ] y conductas parecidas a un estado de trance.[ Moon-Fanelli AA, Dodman NH, Famula TR, Cottam N. Characteristics of compulsive tail chasing and associated risk factors in Bull Terriers. J Am Vet Med Assoc 2011; 238(7):883-9. [PubMed] ] En perros de la raza Pastor Alemán también se describen conductas agresivas asociadas al “tailchasing”.[ Kim YM, Choi YJ, Kim SH et al. Response to a combined treatment program with clomipramine, behavioral, and environmental management of compulsive tail chasing in a German Shepherd. Berl Munch Tierarztl Wochenschr 2008; 121(9-10):329-33. [PubMed] ]

 

Succión/lamido de los flancos

Se trata de una condición médica poco estudiada, en la cual el animal lame e introduce zonas de la piel de los flancos en su boca de forma compulsiva, apreciando la zona humedecida, el pelaje rizado y, en algunos casos, lesiones más severas.[ Landsberg G, Hunthausen W, Ackerman L. Chapter 10: Stereotypic and compulsive disorders. En: Handbook of behavior problems of the dog and cat, Philadelphia, Elsevier Saunders, 2003; 195-226. ]

Existe una predisposición racial, estando sobrerrepresentada la raza Doberman Pinscher,[ Miller WH, Grifin CE, Campbell KL. Dermatosis psicogénicas. En: Muller & Kirk: Dermatología en pequeños animales, Buenos Aires, Inter-médica; 2014; 712-724. , Landsberg G, Hunthausen W, Ackerman L. Chapter 10: Stereotypic and compulsive disorders. En: Handbook of behavior problems of the dog and cat, Philadelphia, Elsevier Saunders, 2003; 195-226. ] por lo que se debe descartar a los animales afectados de los programas de cría.[ Landsberg G, Hunthausen W, Ackerman L. Chapter 10: Stereotypic and compulsive disorders. En: Handbook of behavior problems of the dog and cat, Philadelphia, Elsevier Saunders, 2003; 195-226. ] Existen varias teorías que intentan explicar el origen de esta conducta; así, algunos autores consideran que surge como una conducta de sustitución que toma como base de la misma una conducta de succión no alimenticia,[ Miller WH, Grifin CE, Campbell KL. Dermatosis psicogénicas. En: Muller & Kirk: Dermatología en pequeños animales, Buenos Aires, Inter-médica; 2014; 712-724. ] mientras que otros creen que puede tratarse de una epilepsia psicomotora.[ Landsberg G, Hunthausen W, Ackerman L. Chapter 10: Stereotypic and compulsive disorders. En: Handbook of behavior problems of the dog and cat, Philadelphia, Elsevier Saunders, 2003; 195-226. ] En cualquier caso, la conducta llega a ser compulsiva, empeorando cuando se somete el animal a estrés.[ Landsberg G, Hunthausen W, Ackerman L. Chapter 10: Stereotypic and compulsive disorders. En: Handbook of behavior problems of the dog and cat, Philadelphia, Elsevier Saunders, 2003; 195-226. ]

Diagnóstico

Si bien de forma clásica se habla de un diagnóstico de exclusión a la hora de diagnosticar procesos dermatológicos con una base psicógena, cada vez toma más fuerza la necesidad de establecer un diagnóstico de inclusión.[ Buffington CA. Idiopathic Cystitis in Domestic Cats - Beyond the Lower Urinary Tract. J Vet Intern Med 2011. 25:784-796. [PMC] , Buffington CA, Westropp JL, Chew DJ. From FUS to Pandora syndrome: where are we, how did we get here, and where to now? J Feline Med Surg 2014. 16(5):385-94. [PubMed] , Miller WH, Grifin CE, Campbell KL. Dermatosis psicogénicas. En: Muller & Kirk: Dermatología en pequeños animales, Buenos Aires, Inter-médica; 2014; 712-724. ] Así, el diagnóstico etológico se basa en la exclusión previa de causas médicas, lo cual no descarta el padecimiento concurrente de un cuadro etológico y de otro origen.[ Miller WH, Grifin CE, Campbell KL. Dermatosis psicogénicas. En: Muller & Kirk: Dermatología en pequeños animales, Buenos Aires, Inter-médica; 2014; 712-724. , Landsberg G, Hunthausen W, Ackerman L. Chapter 10: Stereotypic and compulsive disorders. En: Handbook of behavior problems of the dog and cat, Philadelphia, Elsevier Saunders, 2003; 195-226. ]

El diagnóstico de los TC se realiza en base a una anamnesis y examen físico completo, descartando previamente el padecimiento de un problema orgánico mediante las pruebas necesarias en función de la sintomatología del paciente; llegados a este punto, será el etólogo clínico el que complete la exploración, emita un diagnóstico e instaure el tratamiento médico o conductual preciso para curar o controlar el proceso, el cual complementará el tratamiento médico del proceso dermatológico concurrente si lo hubiera.

Según Hewson et al (1999),[ Hewson CJ, Luescher UA, Ball RO. The use of chance-corrected agreement to diagnose canine compulsive disorder: an approach to behavioral diagnosis in the absence of a ‘gold standard’. Can J Vet Res 1999; 63(3):201-6. [PMC] ] hay tres factores críticos a la hora de diagnosticar un TC: historia de conflicto o frustración, aumento en el número de contextos en los que aparece la conducta problema y un incremento en la frecuencia diaria de aparición de la conducta.

 

Dermatitis acral

El diagnóstico se basa en la anamnesis, en la exploración física y en descartar otros diagnósticos diferenciales,[ Medleau L, Hnilica KA. Capítulo 13: Otras dermopatías del perro. En: Dermatología de pequeños animales, Madrid, Elsevier España, 2007; 327-342. , Miller WH, Grifin CE, Campbell KL. Dermatosis psicogénicas. En: Muller & Kirk: Dermatología en pequeños animales, Buenos Aires, Inter-médica; 2014; 712-724. ] entre los cuales se incluyen:

- Enfermedades alérgicas: dermatitis alérgica a saliva de pulga, alergias alimentarias y dermatitis atópica.

- Enfermedades parasitarias, tales como la demodicosis o la sarna sarcóptica.

- Procesos infecciosos: pioderma profunda, osteomielitis, infecciones fúngicas.

- Procesos tumorales: mastocitoma, hemangiopericitoma, etc.

- Procesos ortopédicos: artrosis.

- Procesos neurológicos: dolor de origen neuropático.

El hecho de que el empleo de antibióticos de forma empírica no resuelva por completo la lesión justifica la realización de una biopsia, ya que se han visto casos de leishmaniasis, esporotricosis, mastocitomas, linfoma y tumores neurales que cursaron como una dermatitis acral. Histopatológicamente, las lesiones suelen mostrar características propias, pero no son diagnósticas en sí mismas.[ Miller WH, Grifin CE, Campbell KL. Dermatosis psicogénicas. En: Muller & Kirk: Dermatología en pequeños animales, Buenos Aires, Inter-médica; 2014; 712-724. ]

Las radiografías suelen revelar una reacción perióstica secundaria en el hueso por debajo de lesiones grandes y crónicas. La enfermedad articular no es inducida por el lamido; si está presente, puede ser la causa de un lamido excesivo.[ Miller WH, Grifin CE, Campbell KL. Dermatosis psicogénicas. En: Muller & Kirk: Dermatología en pequeños animales, Buenos Aires, Inter-médica; 2014; 712-724. ]

 

“Tailchasing”

Se debe realizar un examen físico completo que incluya hemograma, perfil bioquímico, urianálisis, examen fecal y electroencefalograma si es posible.[ Landsberg G, Hunthausen W, Ackerman L. Chapter 10: Stereotypic and compulsive disorders. En: Handbook of behavior problems of the dog and cat, Philadelphia, Elsevier Saunders, 2003; 195-226. ] En el examen físico debe explorarse minuciosamente la cola para descartar la existencia de un cuerpo extraño, traumas o inflamación; la desviación del eje de la cola o la existencia de dolor a la palpación justifican la realización de un estudio radiológico de la cola.[ Landsberg G, Hunthausen W, Ackerman L. Chapter 10: Stereotypic and compulsive disorders. En: Handbook of behavior problems of the dog and cat, Philadelphia, Elsevier Saunders, 2003; 195-226. ] Analíticamente, en perros con este TC pueden detectarse niveles elevados de colesterol sérico.[ Yalcin E, Ilcol YO, Batmaz H. Serum lipid concentrations in dogs with tail chasing. J Small Anim Pract 2009; 50(3):133-5. [PubMed] ]

En el diagnóstico diferencial se debe incluir:[ Miller WH, Grifin CE, Campbell KL. Dermatosis psicogénicas. En: Muller & Kirk: Dermatología en pequeños animales, Buenos Aires, Inter-médica; 2014; 712-724. , Landsberg G, Hunthausen W, Ackerman L. Chapter 10: Stereotypic and compulsive disorders. En: Handbook of behavior problems of the dog and cat, Philadelphia, Elsevier Saunders, 2003; 195-226. ]

- Trauma en punta de la cola.

- Estenosis lumbosacra.

- Síndrome de la cola de caballo.

- Neuroma del corte de cola.

- Cuerpo extraño.

 

Succión/lamido de los flancos

Estudios recientes han demostrado la existencia de alteraciones estructurales en el cerebro de ejemplares de Doberman Pinscher con este TC.[ Ogata N, Gillis TE, Liu X et al. Brain structural abnormalities in Doberman pinschers with canine compulsive disorder. Prog Neuropsychopharmacol Biol Psychiatry 2013; 45:1-6. [PubMed] ]

El diagnóstico definitivo se alcanza por exclusión, siendo preciso realizar una anamnesis y exploración física minuciosa que debe incluir pruebas complementarias (múltiples raspados de piel, cultivo fúngico, examen fecal y citología de las lesiones). La realización de biopsias de las zonas afectadas[ Miller WH, Grifin CE, Campbell KL. Dermatosis psicogénicas. En: Muller & Kirk: Dermatología en pequeños animales, Buenos Aires, Inter-médica; 2014; 712-724. , Landsberg G, Hunthausen W, Ackerman L. Chapter 10: Stereotypic and compulsive disorders. En: Handbook of behavior problems of the dog and cat, Philadelphia, Elsevier Saunders, 2003; 195-226. ] y un estudio radiográfico pueden ayudar a descartar otras causas médicas que estén contribuyendo a la aparición del problema.[ Landsberg G, Hunthausen W, Ackerman L. Chapter 10: Stereotypic and compulsive disorders. En: Handbook of behavior problems of the dog and cat, Philadelphia, Elsevier Saunders, 2003; 195-226. ]

En el diagnóstico diferencial se debe incluir:[ Miller WH, Grifin CE, Campbell KL. Dermatosis psicogénicas. En: Muller & Kirk: Dermatología en pequeños animales, Buenos Aires, Inter-médica; 2014; 712-724. ]

- Foliculitis localizada: en este caso se asocia con inflamación y alopecia, hiperpigmentación y liquenificación que responde a antibioterapia.

- Procesos alérgicos.

Tratamiento

En aquellos casos en los cuales no existan lesiones de gravedad, salvo un problema estético, y que no interfieren en la salud o el bienestar del perro, puede que no requieran tratamiento médico. No obstante, en los casos en que la conducta compulsiva se vuelve tan intensa que puede llegar a provocar lesiones de importancia o contribuir a la aparición de otros problemas (disminución en la ingesta de alimentos, ausencia de respuesta cuando los propietarios tratan de frenar la conducta problema), el tratamiento médico estaría justificado (Tabla 2), debiendo implementarse de forma concurrente la modificación de la conducta si existe un problema de base etológica.[ Landsberg G, Hunthausen W, Ackerman L. Chapter 10: Stereotypic and compulsive disorders. En: Handbook of behavior problems of the dog and cat, Philadelphia, Elsevier Saunders, 2003; 195-226. ]

Image
Tabla 2

En el tratamiento de los TC con manifestación dermatológica o que se presentan de forma concurrente con procesos dermatológicos se deben valorar los siguientes aspectos:

1. Se debe identificar y corregir la causa orgánica subyacente si la hubiere. La concurrencia de una enfermedad de base orgánica y un trastorno psicógeno es lo que hace que estos casos sean particularmente difíciles de tratar. Los abordajes dermatológicos o conductuales por sí solos serán insuficientes; sólo un enfoque integral alcanzará un resultado exitoso.[ Miller WH, Grifin CE, Campbell KL. Dermatosis psicogénicas. En: Muller & Kirk: Dermatología en pequeños animales, Buenos Aires, Inter-médica; 2014; 712-724. ]

2. Tratar las infecciones secundarias, siendo preciso un tratamiento prolongado (meses) en casos de pioderma profunda, la cual se evidencia en el 94% de los pacientes con dermatitis acral (Figs. 6 y 7).[ Medleau L, Hnilica KA. Capítulo 13: Otras dermopatías del perro. En: Dermatología de pequeños animales, Madrid, Elsevier España, 2007; 327-342. , Miller WH, Grifin CE, Campbell KL. Dermatosis psicogénicas. En: Muller & Kirk: Dermatología en pequeños animales, Buenos Aires, Inter-médica; 2014; 712-724. ] Se recomienda en cualquier caso realizar el cultivo y antibiograma de tejidos profundos obtenidos mediante biopsia, especialmente si no hay una buena respuesta a un tratamiento antimicrobiano empírico. La presencia de gérmenes multirresistentes es frecuente, siendo preferible emplear tejidos profundos para biopsiar y realizar el cultivo y antibiograma,[ Miller WH, Grifin CE, Campbell KL. Dermatosis psicogénicas. En: Muller & Kirk: Dermatología en pequeños animales, Buenos Aires, Inter-médica; 2014; 712-724. , Shumaker AK, Angus JC, Coyner KS, Loeffler DG, Rankin SC, Lewis TP. Microbiological and histopathological features of canine acral lick dermatitis. Vet Dermatol 2008; 19(5):288-98. [PubMed] ] ya que los resultados obtenidos en estos cultivos difieren en gran medida de los realizados con las muestras superficiales.[ Shumaker AK, Angus JC, Coyner KS, Loeffler DG, Rankin SC, Lewis TP. Microbiological and histopathological features of canine acral lick dermatitis. Vet Dermatol 2008; 19(5):288-98. [PubMed] ] Si el proceso se controla completamente con antibioterapia, es poco probable que exista un origen psicogénico sensu stricto.[ Miller WH, Grifin CE, Campbell KL. Dermatosis psicogénicas. En: Muller & Kirk: Dermatología en pequeños animales, Buenos Aires, Inter-médica; 2014; 712-724. ]

<p>Presencia de bacterias del género <em>Simonsiella spp</em>. en la citología de un paciente con dermatitis acral. Tinción panóptico rápido x 100.</p>
Figura 6

Presencia de bacterias del género Simonsiella spp. en la citología de un paciente con dermatitis acral. Tinción panóptico rápido x 100.

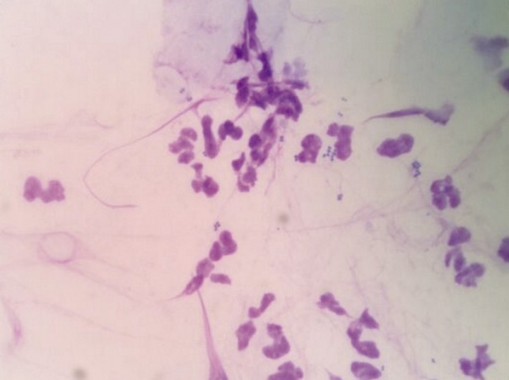
<p>Citología de un paciente con dermatitis acral, evidenciando la presencia de una pioderma. Tinción panóptico rápido x 100.</p>
Figura 7

Citología de un paciente con dermatitis acral, evidenciando la presencia de una pioderma. Tinción panóptico rápido x 100.

3. Se obtienen buenos resultados combinando la antibioterapia con antidepresivos tricíclicos (ATC) o inhibidores selectivos de la recaptación de serotonina (ISRS)[ Rapoport JL, Ryland DH, Kriete M. Drug treatment of canine acral lick. An animal model of obsessive-compulsive disorder. Arch Gen Psychiatry 1992; 49(7):517-21. [PubMed] , Stein DJ, Mendelsohn I, Potocnik F, Van Kradenberg J, Wessels C. Use of the selective serotonin reuptake inhibitor citalopram in a possible animal analogue of obsessive-compulsive disorder. Depress Anxiety 1998; 8(1):39-42. [PubMed] , Wynchank D, Berk M. Fluoxetine treatment of acral lick dermatitis in dogs: a placebo-controlled randomized double blind trial. Depress Anxiety 1998; 8(1):21-3. [PubMed] ] hasta la resolución de las lesiones,[ Miller WH, Grifin CE, Campbell KL. Dermatosis psicogénicas. En: Muller & Kirk: Dermatología en pequeños animales, Buenos Aires, Inter-médica; 2014; 712-724. , Landsberg G, Hunthausen W, Ackerman L. Chapter 10: Stereotypic and compulsive disorders. En: Handbook of behavior problems of the dog and cat, Philadelphia, Elsevier Saunders, 2003; 195-226. ] para luego reducir la dosis un 25% cada 2-4 semanas hasta llegar a la dosis mínima efectiva.[ Landsberg G, Hunthausen W, Ackerman L. Chapter 10: Stereotypic and compulsive disorders. En: Handbook of behavior problems of the dog and cat, Philadelphia, Elsevier Saunders, 2003; 195-226. ] Cuando la causa subyacente no se logra determinar, puede ser beneficioso para algunos pacientes continuar la terapia con psicofármacos, debiendo buscar en cada caso la molécula más eficaz y la dosis mínima efectiva:

a. ATC: amitriptilina y clomipramina.

b. Inhibidores de la monoaminooxidasa: se han descrito casos que responden a la selegilina, posiblemente aquellos que se manifiestan asociados con trastornos emocionales y en síndrome de disfunción cognitiva. Está documentado su empleo en perros de la raza Bull Terrier con “tailchasing”.[ Landsberg G, Hunthausen W, Ackerman L. Chapter 10: Stereotypic and compulsive disorders. En: Handbook of behavior problems of the dog and cat, Philadelphia, Elsevier Saunders, 2003; 195-226. ]

c. ISRS: los ISRS han demostrado una eficacia equiparable a la de los ATC, con menos efectos adversos.[ Landsberg G, Hunthausen W, Ackerman L. Chapter 10: Stereotypic and compulsive disorders. En: Handbook of behavior problems of the dog and cat, Philadelphia, Elsevier Saunders, 2003; 195-226. , Yalcin E. Comparison of clomipramine and fluoxetine treatment of dogs with tail chasing. Tierarztl Prax Ausg K Kleintiere Heimtiere 2010; 38(5):295-9. [PubMed] ]

- Fluoxetina.

- Citalopram: si bien hay pocos estudios sobre su aplicación en medicina veterinaria,[ Stein DJ, Mendelsohn I, Potocnik F, Van Kradenberg J, Wessels C. Use of the selective serotonin reuptake inhibitor citalopram in a possible animal analogue of obsessive-compulsive disorder. Depress Anxiety 1998; 8(1):39-42. [PubMed] ] algunos de ellos parecen indicar una posible toxicidad a dosis elevadas,[ Landsberg G, Hunthausen W, Ackerman L. Chapter 10: Stereotypic and compulsive disorders. En: Handbook of behavior problems of the dog and cat, Philadelphia, Elsevier Saunders, 2003; 195-226. ] por lo que no es una molécula de primera elección.

- Fluvoxamina.

- Sertralina.

- Paroxetina.

4. Dado que los antidepresivos pueden demorarse 2-4 semanas en manifestar su efecto, pueden combinarse con otros psicofármacos con efecto ansiolítico para acelerar la mejoría, entre ellos las benzodiacepinas, antihistamínicos o nutracéuticos como alfa-casozepina.

5. En algunos casos de “tailchasing” con automutilación, el dolor puede ser el factor desencadenante, por lo que el tratamiento con antiinflamatorios o analgésicos opiodes puede ser efectivo. Si se trata de un dolor neuropático, el tratamiento con anticonvulsivos, como la gabapentina, o con antidepresivos, como la amitriptilina, puede mostrarse más efectivo,[ Landsberg G, Hunthausen W, Ackerman L. Chapter 10: Stereotypic and compulsive disorders. En: Handbook of behavior problems of the dog and cat, Philadelphia, Elsevier Saunders, 2003; 195-226. ] pudiendo plantearse un ensayo terapéutico para evaluar la respuesta.

6. Se han empleado otros compuestos como:

a. Bloqueadores de endorfinas (naltrexona):[ Miller WH, Grifin CE, Campbell KL. Dermatosis psicogénicas. En: Muller & Kirk: Dermatología en pequeños animales, Buenos Aires, Inter-médica; 2014; 712-724. , Dodman NH, Shuster L, White SD, Court MH, Parker D, Dixon R. Use of narcotic antagonists to modify stereotypic self-licking, self-chewing, and scratching behavior in dogs. J Am Vet Med Assoc 1988; 193(7):815-9. [PubMed] , White SD. Naltrexone for treatment of acral lick dermatitis in dogs. J Am Vet Med Assoc 1990; 196(7):1073-6. [PubMed] ] han mostrado ser eficaces, pero los pacientes reinciden una vez se suprime el tratamiento. Por ello y dado que su elevado coste y los efectos adversos a largo plazo limitan su empleo, se puede optar por un tratamiento combinado de pentazocina y naloxona o hidrocodona.[ Landsberg G, Hunthausen W, Ackerman L. Chapter 10: Stereotypic and compulsive disorders. En: Handbook of behavior problems of the dog and cat, Philadelphia, Elsevier Saunders, 2003; 195-226. ]

b. Sustitutos de las endorfinas como la hidrocodona.[ Miller WH, Grifin CE, Campbell KL. Dermatosis psicogénicas. En: Muller & Kirk: Dermatología en pequeños animales, Buenos Aires, Inter-médica; 2014; 712-724. , Tynes VV, Sinn L. Abnormal repetitive behaviors in dogs and cats: a guide for practitioners. Vet Clin North Am Small Anim Pract 2014; 44(3):543-64. [PubMed] ]

c. Progestágenos, los cuales presentan serios efectos adversos.[ Miller WH, Grifin CE, Campbell KL. Dermatosis psicogénicas. En: Muller & Kirk: Dermatología en pequeños animales, Buenos Aires, Inter-médica; 2014; 712-724. ]

d. Antagonistas de la dopamina (tioridazina, haloperidol, risperidona) podrían ser efectivos en teoría, pero los importantes efectos adversos desaconsejan su uso. La risperidona, antipsicótico de la familia de las butirofenonas, se reserva para aquellos perros con un importante componente alucinatorio.[ Landsberg G, Hunthausen W, Ackerman L. Chapter 10: Stereotypic and compulsive disorders. En: Handbook of behavior problems of the dog and cat, Philadelphia, Elsevier Saunders, 2003; 195-226. ]

7. El tratamiento requiere de una terapia de comportamiento bien orientada. Esta terapia cognitivo-conductual depende, en gran medida, de dar con la verdadera causa del problema. El tratamiento médico por sí solo, en la mayor parte de los casos, no cura el problema aunque consiga una mejoría evidente, siendo preciso implementar una terapia de modificación de la conducta.[ Goto A, Arata S, Kiyokawa Y, Takeuchi Y, Mori Y. Risk factors for canine tail chasing behaviour in Japan. Vet J 2012; 192(3):445-8. [PubMed] ] Este tratamiento integral comprende varios aspectos: formación del propietario, enriquecimiento ambiental e implementación de técnicas de modificación de conducta. Pueden ser precisos cambios en las rutinas y psicoterapia en la mayor parte de los casos;[ Miller WH, Grifin CE, Campbell KL. Dermatosis psicogénicas. En: Muller & Kirk: Dermatología en pequeños animales, Buenos Aires, Inter-médica; 2014; 712-724. , Goto A, Arata S, Kiyokawa Y, Takeuchi Y, Mori Y. Risk factors for canine tail chasing behaviour in Japan. Vet J 2012; 192(3):445-8. [PubMed] ] así, según Hewson et al (1998)[ Goto A, Arata S, Kiyokawa Y, Takeuchi Y, Mori Y. Risk factors for canine tail chasing behaviour in Japan. Vet J 2012; 192(3):445-8. [PubMed] ] y Overall (2003)[ Overall KL, Dunham AE. Clinical features and outcome in dogs and cats with obsessive-compulsive disorder: 126 cases (1989-2000). J Am Vet Med Assoc 2002; 221(10):1445-52. [PubMed] ] raras veces los psicofármacos curan el problema por sí solos, siendo preciso tratar la conducta. Desde el punto de vista conductual hay una serie de puntos que debemos valorar de cara a conseguir un resultado exitoso:[ Landsberg G, Hunthausen W, Ackerman L. Chapter 10: Stereotypic and compulsive disorders. En: Handbook of behavior problems of the dog and cat, Philadelphia, Elsevier Saunders, 2003; 195-226. ]

a. Es preciso retirar todos los refuerzos que permiten que la conducta persista o empeore.

b. Se puede interrumpir la conducta mediante la aplicación de distracciones, bozal o correa.

c. Debe identificarse el estímulo disparador de la conducta y evitarlo cuando sea posible.

d. Si la conducta aparece sin estímulo desencadenante o éste no se puede evitar o controlar, el tratamiento con psicofármacos, la desensibilización y contracondicionamiento serán necesarias.

8. En ocasiones el etólogo clínico asocia a la terapia conductual un tratamiento médico-dietético que puede clasificarse en:

a. Tratamiento dietético: dietas con mayores niveles de triptófano y reducción en los niveles de otros aminoácidos que interfieren en la disponibilidad de este aminoácido precursor de la serotonina.[ Best J, Nijhout HF, Reed M. Serotonin synthesis, release and reuptake in terminals: a mathematical model. Theor Biol Med Model 2010; 7:34. [PubMed] , Fernstrom JD, Wurtman RJ. Brain Serotonin Content: Physiological Regulation by Plasma Neutral Amino Acids. Science 1972; 178(4059):414-416. [PubMed] , Yuwiler A, Oldendorf WH, Geller E, Braun L. Effect of albumin binding and amino acid competition on tryptophan uptake into brain. J Neuroch 1977; 28(59):1015-1023. [PMC] ]

b. Tratamiento con feromonas: tanto las feromonas felinas como las caninas han demostrado contribuir a reducir las situaciones de ansiedad y estrés, pudiendo compatibilizar su uso con psicofármacos, dietas y otras terapias médicas o conductuales.[ Frank D, Beauchamp G, Palestrini C. Systematic review of the use of pheromones for treatment of undesirable behavior in cats and dogs. J Am Vet Med Assoc 2010; 236(12):1308-16. [PubMed] ]

c. Tratamiento nutracéutico:

- Alfa-casozepina.[ Beata C, Beaumont-Graff E, Diaz C, et al.: Effects of alpha-casozepine (Zylkene) versus selegiline hydrochloride (Selgian, Anipryl) on anxiety disorders in dogs. J Vet Behav 2007; 2:175-183. , Miyaji K, Kato M, Ohtani N, Ohta M. Experimental Verification of the Effects on Normal Domestic Cats by Feeding Prescription Diet for Decreasing Stress. J Appl Anim Welf Sci 2015; 13:1-8. ]

- Triptófano.[ Bosch G, Beerda B, Hendriks WH, van der Poel AF, Verstegen MW. Impact of nutrition on canine behaviour: current status and possible mechanisms. Nutr Res Rev 2007. 20(2):180-94. [PubMed] ]

- Teanina: aunque no existen evidencias sobre su aplicación en medicina veterinaria, contamos con productos que la incorporan en su composición y diversos estudios que avalan su empleo en distintos trastornos psiquiátricos humanos[ Takarada T, Nakamichi N, Kakuda T et al. Daily oral intake of theanine prevents the decline of 5-bromo-2’-deoxyuridine incorporation in hippocampal dentate gyrus with concomitant alleviation of behavioral abnormalities in adult mice with severe traumatic stress. J Pharmacol Sci 2015; 127(3):292-7. , Unno K, Tanida N, Ishii N et al. Anti-stress effect of theanine on students during pharmacy practice: positive correlation among salivary α-amylase activity, trait anxiety and subjective stress. Pharmacol Biochem Behav 2013; 111:128-35. [PubMed] ] y su posible aplicación en los TOC.[ Lardner AL. Neurobiological effects of the green tea constituent theanine and its potential role in the treatment of psychiatric and neurodegenerative disorders. Nutr Neurosci 2014; 17(4):145-55. [PubMed] ]

d. Tratamiento con psicofármacos[ Landsberg G, Hunthausen W, Ackerman L. Chapter 10: Stereotypic and compulsive disorders. En: Handbook of behavior problems of the dog and cat, Philadelphia, Elsevier Saunders, 2003; 195-226. ] descritos anteriormente.

9. Los cambios foliculares y dérmicos secundarios pueden afectar estructuras pilosas y glandulares y dar lugar a reacción de cuerpo extraño, siendo preciso un tratamiento específico. La aplicación tópica de fármacos analgésicos o esteroides puede contribuir a disminuir el lamido.[ Miller WH, Grifin CE, Campbell KL. Dermatosis psicogénicas. En: Muller & Kirk: Dermatología en pequeños animales, Buenos Aires, Inter-médica; 2014; 712-724. ]

10. Pueden ser interesantes terapias alternativas como la ablación con láser o el empleo de barreras mecánicas (bozal, vendajes, collar isabelino). Algunos autores[ Medleau L, Hnilica KA. Capítulo 13: Otras dermopatías del perro. En: Dermatología de pequeños animales, Madrid, Elsevier España, 2007; 327-342. ] no recomiendan la escisión quirúrgica por las frecuentes complicaciones postoperatorias, como la dehiscencia de la herida, que pueden requerir reemplazar parte del tejido por injertos de piel.[ Miller WH, Grifin CE, Campbell KL. Dermatosis psicogénicas. En: Muller & Kirk: Dermatología en pequeños animales, Buenos Aires, Inter-médica; 2014; 712-724. ]

11. Las inyecciones intralesionales y la radioterapia presentan una eficacia modesta en lesiones de pequeño tamaño.[ Miller WH, Grifin CE, Campbell KL. Dermatosis psicogénicas. En: Muller & Kirk: Dermatología en pequeños animales, Buenos Aires, Inter-médica; 2014; 712-724. ]

12. Criocirugía: se puede plantear como último recurso para lesiones tan grandes que no pueden extirparse quirúrgicamente.[ Miller WH, Grifin CE, Campbell KL. Dermatosis psicogénicas. En: Muller & Kirk: Dermatología en pequeños animales, Buenos Aires, Inter-médica; 2014; 712-724. ]

13. Acupuntura: aunque existen publicaciones, debe documentarse más su eficacia en casos de TC.[ Miller WH, Grifin CE, Campbell KL. Dermatosis psicogénicas. En: Muller & Kirk: Dermatología en pequeños animales, Buenos Aires, Inter-médica; 2014; 712-724. ]

14. Electroshock: el empleo de castigo remoto o vendajes ha demostrado una buena respuesta, aunque con una tasa de reincidencia superior al 50%,[ Miller WH, Grifin CE, Campbell KL. Dermatosis psicogénicas. En: Muller & Kirk: Dermatología en pequeños animales, Buenos Aires, Inter-médica; 2014; 712-724. , Eckstein RA, Hart BL. Treatment of canine acral lick dermatitis by behavior modification using electronic stimulation. J Am Anim Hosp Assoc 1996; 32(3):225-30. [PubMed] ] a lo que debemos añadir la afectación del bienestar del animal y el hecho de no tratar la causa primaria del proceso, por lo que no se conseguiría en ningún caso la curación, sino, en el mejor de los casos, el control del mismo.[ Overall KL. Debate on electric shock. Aust Vet J 2003; 81(6):324-327. [PubMed] ]

15. Se ha descrito la posibilidad de que pacientes con TC, especialmente aquellos con “tailchasing” o lamido de los flancos, presenten focos epileptiformes y puedan responder a fármacos para la epilepsia como el fenobarbital o el bromuro potásico.[ Landsberg G, Hunthausen W, Ackerman L. Chapter 10: Stereotypic and compulsive disorders. En: Handbook of behavior problems of the dog and cat, Philadelphia, Elsevier Saunders, 2003; 195-226. , Dodman NH, Knowles KE, Shuster L, Moon-Fanelli AA, Tidwell AS, Keen CL. Behavioral changes associated with suspected complex partial seizures in bull terriers. J Am Vet Med Assoc 1996; 208(5):688-091. [PubMed] ]

Pronóstico

El pronóstico es reservado, especialmente en los casos crónicos donde ya existe una emancipación de la conducta problema.[ Chávez G. Caso clínico: trastorno obsesivo compulsivo en un perro Bull Terrier. Hosp. Vet. 2013; 5(2): 62-66. ] El tratamiento puede durar meses y no siempre se obtiene una curación completa, sino un control del TC en mayor o menor medida.[ Miller WH, Grifin CE, Campbell KL. Dermatosis psicogénicas. En: Muller & Kirk: Dermatología en pequeños animales, Buenos Aires, Inter-médica; 2014; 712-724. ]

El pronóstico de la dermatitis acral es variable. Cuando existen lesiones crónicas y fibróticas para las cuales no encontramos una causa subyacente, el curso de la enfermedad puede cronificar o ser recurrente,[ Miller WH, Grifin CE, Campbell KL. Dermatosis psicogénicas. En: Muller & Kirk: Dermatología en pequeños animales, Buenos Aires, Inter-médica; 2014; 712-724. ] sobre todo cuando no se instaura un tratamiento conductual.[ Miller WH, Grifin CE, Campbell KL. Dermatosis psicogénicas. En: Muller & Kirk: Dermatología en pequeños animales, Buenos Aires, Inter-médica; 2014; 712-724. , Overall KL, Dunham AE. Clinical features and outcome in dogs and cats with obsessive-compulsive disorder: 126 cases (1989-2000). J Am Vet Med Assoc 2002; 221(10):1445-52. [PubMed] , Eckstein RA, Hart BL. Treatment of canine acral lick dermatitis by behavior modification using electronic stimulation. J Am Anim Hosp Assoc 1996; 32(3):225-30. [PubMed] ]

Por otro lado, en los pacientes con “tailchasing”, el pronóstico es bueno en aquellos casos en los que el comportamiento haya sido reforzado y condicionado, pero reservado o malo en otros casos, salvo que se consiga controlar el cuadro clínico con medicación.[ Landsberg G, Hunthausen W, Ackerman L. Chapter 10: Stereotypic and compulsive disorders. En: Handbook of behavior problems of the dog and cat, Philadelphia, Elsevier Saunders, 2003; 195-226. ]

En los perros con un cuadro de lamido/succión de los flancos sin lesiones de importancia, puede tratarse de un problema meramente estético y no ser preciso tratamiento, pero si aparecen lesiones de gravedad y no se detecta un detonante para la conducta, el pronóstico será reservado.[ Landsberg G, Hunthausen W, Ackerman L. Chapter 10: Stereotypic and compulsive disorders. En: Handbook of behavior problems of the dog and cat, Philadelphia, Elsevier Saunders, 2003; 195-226. ]

 

Fuente de financiación: este trabajo no se ha realizado con fondos comerciales, públicos o del sector privado.

Conflicto de intereses: los autores declaran que no existe conflicto de intereses.

Bibliografía

  1. [1] Goldberger, Erica G, Rapoport, JL. Canine Acral Lick Dermatitis: Response to the Antiobsessional Drug Clomipramine. J Am Anim Hosp Assoc 1991. 179-182.
  2. [2] Buffington CA. Idiopathic Cystitis in Domestic Cats - Beyond the Lower Urinary Tract. J Vet Intern Med 2011. 25:784-796. [PMC]
  3. [3] Buffington CA, Westropp JL, Chew DJ. From FUS to Pandora syndrome: where are we, how did we get here, and where to now? J Feline Med Surg 2014. 16(5):385-94. [PubMed]
  4. [4] Frank D. Repetitive behaviors in cats and dogs; are they really a sign of obsessive-compulsive disorders (OCD)?. Can Vet J 2013; 54(2):129-131. [PMC]
  5. [5] Mentzel R. Trastorno obsesivo-compulsivo en caninos y felinos. Jornadas AVLZ (Asociación Veterinaria Latinoamericana de Zoopsiquiatría). Lima (Perú). 2006.
  6. [6] Chávez G. Caso clínico: trastorno obsesivo compulsivo en un perro Bull Terrier. Hosp. Vet. 2013; 5(2): 62-66.
  7. [7] Virga V. Behavioral dermatology. Vet Clin North Am Small Anim Pract 2003; 33(2):231-51. [PubMed]
  8. [8] Dodman NH, Karlsson EK, Moon-Fanelli A et al. A canine chromosome 7 locus confers compulsive disorder susceptibility. Mol Psychiatry 2010; 15(1):8-10. [PubMed]
  9. [9] Tang R, Noh HJ, Wang D et al. Candidate genes and functional noncoding variants identified in a canine model of obsessive-compulsive disorder. Genome Biol 2014; 15(3):R25. [PubMed]
  10. [10] Moon-Fanelli AA, Dodman NH, Famula TR, Cottam N. Characteristics of compulsive tail chasing and associated risk factors in Bull Terriers. J Am Vet Med Assoc 2011; 238(7):883-9. [PubMed]
  11. [11] Moon-Fanelli AA, Dodman NH, Cottam N. Blanket and flank sucking in Doberman Pinschers. J Am Vet Med Assoc 2007; 15; 231(6):907-12. [PubMed]
  12. [12] Ogata N, Gillis TE, Liu X et al. Brain structural abnormalities in Doberman pinschers with canine compulsive disorder. Prog Neuropsychopharmacol Biol Psychiatry 2013; 45:1-6. [PubMed]
  13. [13] Vermeire S, Audenaert K, De Meester R et al. Serotonin 2A receptor, serotonin transporter and dopamine transporter alterations in dogs with compulsive behaviour as a promising model for human obsessive-compulsive disorder. Psychiatry Res 2012; 201(1):78-87. [PubMed]
  14. [14] Tiira K, Hakosalo O, Kareinen L et al. Environmental effects on compulsive tail chasing in dogs. PLoS One 2012; 7(7) e41684. [PMC]
  15. [15] Witthauer C, Gloster A, Meyer AH, Lieb R. Physical diseases among persons with obsessive compulsive symptoms and disorder: a general population study. Soc Psychiatry Psychiatr Epidemiol 2014; 49(12): 2013-22. [PubMed]
  16. [16] McCracken JT, Hanna GL. Elevated thyroid indices in children and adolescents with obsessive-compulsive disorder: effects of clomipramine treatment. J Child Adolesc Psychopharmacol 2005; 15(4):581-7. [PubMed]
  17. [17] Placidi GP, Boldrini M, Patronelli A et al. Prevalence of psychiatric disorders in thyroid diseased patients. Neuropsychobiology 1998; 38(4):222-5. [PubMed]
  18. [18] Luescher AU. Diagnosis and management of compulsive disorders in dogs and cats. Vet Clin North Am Small Anim Pract 2013; 33(2):253-67. [PubMed]
  19. [19] Tonna M, Ottoni R, Ossola P, De Panfilis C, Marchesi C. Late-onset obsessive-compulsive disorder associated with left cerebellar lesion. Cerebellum 2014; 13(4):531-5. [PubMed]
  20. [20] Medleau L, Hnilica KA. Capítulo 13: Otras dermopatías del perro. En: Dermatología de pequeños animales, Madrid, Elsevier España, 2007; 327-342.
  21. [21] Miller WH, Grifin CE, Campbell KL. Dermatosis psicogénicas. En: Muller & Kirk: Dermatología en pequeños animales, Buenos Aires, Inter-médica; 2014; 712-724.
  22. [22] Denerolle P, White SD, Taylor TS, Vandenabeele SI. Organic diseases mimicking acral lick dermatitis in six dogs. J Am Anim Hosp Assoc 2007; 43(4):215-20. [PubMed]
  23. [23] Landsberg G, Hunthausen W, Ackerman L. Chapter 10: Stereotypic and compulsive disorders. En: Handbook of behavior problems of the dog and cat, Philadelphia, Elsevier Saunders, 2003; 195-226.
  24. [24] Kim YM, Choi YJ, Kim SH et al. Response to a combined treatment program with clomipramine, behavioral, and environmental management of compulsive tail chasing in a German Shepherd. Berl Munch Tierarztl Wochenschr 2008; 121(9-10):329-33. [PubMed]
  25. [25] Hewson CJ, Luescher UA, Ball RO. The use of chance-corrected agreement to diagnose canine compulsive disorder: an approach to behavioral diagnosis in the absence of a ‘gold standard’. Can J Vet Res 1999; 63(3):201-6. [PMC]
  26. [26] Yalcin E, Ilcol YO, Batmaz H. Serum lipid concentrations in dogs with tail chasing. J Small Anim Pract 2009; 50(3):133-5. [PubMed]
  27. [27] Shumaker AK, Angus JC, Coyner KS, Loeffler DG, Rankin SC, Lewis TP. Microbiological and histopathological features of canine acral lick dermatitis. Vet Dermatol 2008; 19(5):288-98. [PubMed]
  28. [28] Rapoport JL, Ryland DH, Kriete M. Drug treatment of canine acral lick. An animal model of obsessive-compulsive disorder. Arch Gen Psychiatry 1992; 49(7):517-21. [PubMed]
  29. [29] Stein DJ, Mendelsohn I, Potocnik F, Van Kradenberg J, Wessels C. Use of the selective serotonin reuptake inhibitor citalopram in a possible animal analogue of obsessive-compulsive disorder. Depress Anxiety 1998; 8(1):39-42. [PubMed]
  30. [30] Wynchank D, Berk M. Fluoxetine treatment of acral lick dermatitis in dogs: a placebo-controlled randomized double blind trial. Depress Anxiety 1998; 8(1):21-3. [PubMed]
  31. [31] Yalcin E. Comparison of clomipramine and fluoxetine treatment of dogs with tail chasing. Tierarztl Prax Ausg K Kleintiere Heimtiere 2010; 38(5):295-9. [PubMed]
  32. [32] Dodman NH, Shuster L, White SD, Court MH, Parker D, Dixon R. Use of narcotic antagonists to modify stereotypic self-licking, self-chewing, and scratching behavior in dogs. J Am Vet Med Assoc 1988; 193(7):815-9. [PubMed]
  33. [33] White SD. Naltrexone for treatment of acral lick dermatitis in dogs. J Am Vet Med Assoc 1990; 196(7):1073-6. [PubMed]
  34. [34] Tynes VV, Sinn L. Abnormal repetitive behaviors in dogs and cats: a guide for practitioners. Vet Clin North Am Small Anim Pract 2014; 44(3):543-64. [PubMed]
  35. [35] Goto A, Arata S, Kiyokawa Y, Takeuchi Y, Mori Y. Risk factors for canine tail chasing behaviour in Japan. Vet J 2012; 192(3):445-8. [PubMed]
  36. [36] Overall KL, Dunham AE. Clinical features and outcome in dogs and cats with obsessive-compulsive disorder: 126 cases (1989-2000). J Am Vet Med Assoc 2002; 221(10):1445-52. [PubMed]
  37. [37] Best J, Nijhout HF, Reed M. Serotonin synthesis, release and reuptake in terminals: a mathematical model. Theor Biol Med Model 2010; 7:34. [PubMed]
  38. [38] Fernstrom JD, Wurtman RJ. Brain Serotonin Content: Physiological Regulation by Plasma Neutral Amino Acids. Science 1972; 178(4059):414-416. [PubMed]
  39. [39] Yuwiler A, Oldendorf WH, Geller E, Braun L. Effect of albumin binding and amino acid competition on tryptophan uptake into brain. J Neuroch 1977; 28(59):1015-1023. [PMC]
  40. [40] Frank D, Beauchamp G, Palestrini C. Systematic review of the use of pheromones for treatment of undesirable behavior in cats and dogs. J Am Vet Med Assoc 2010; 236(12):1308-16. [PubMed]
  41. [41] Beata C, Beaumont-Graff E, Diaz C, et al.: Effects of alpha-casozepine (Zylkene) versus selegiline hydrochloride (Selgian, Anipryl) on anxiety disorders in dogs. J Vet Behav 2007; 2:175-183.
  42. [42] Miyaji K, Kato M, Ohtani N, Ohta M. Experimental Verification of the Effects on Normal Domestic Cats by Feeding Prescription Diet for Decreasing Stress. J Appl Anim Welf Sci 2015; 13:1-8.
  43. [43] Bosch G, Beerda B, Hendriks WH, van der Poel AF, Verstegen MW. Impact of nutrition on canine behaviour: current status and possible mechanisms. Nutr Res Rev 2007. 20(2):180-94. [PubMed]
  44. [44] Takarada T, Nakamichi N, Kakuda T et al. Daily oral intake of theanine prevents the decline of 5-bromo-2’-deoxyuridine incorporation in hippocampal dentate gyrus with concomitant alleviation of behavioral abnormalities in adult mice with severe traumatic stress. J Pharmacol Sci 2015; 127(3):292-7.
  45. [45] Unno K, Tanida N, Ishii N et al. Anti-stress effect of theanine on students during pharmacy practice: positive correlation among salivary α-amylase activity, trait anxiety and subjective stress. Pharmacol Biochem Behav 2013; 111:128-35. [PubMed]
  46. [46] Lardner AL. Neurobiological effects of the green tea constituent theanine and its potential role in the treatment of psychiatric and neurodegenerative disorders. Nutr Neurosci 2014; 17(4):145-55. [PubMed]
  47. [47] Eckstein RA, Hart BL. Treatment of canine acral lick dermatitis by behavior modification using electronic stimulation. J Am Anim Hosp Assoc 1996; 32(3):225-30. [PubMed]
  48. [48] Overall KL. Debate on electric shock. Aust Vet J 2003; 81(6):324-327. [PubMed]
  49. [49] Dodman NH, Knowles KE, Shuster L, Moon-Fanelli AA, Tidwell AS, Keen CL. Behavioral changes associated with suspected complex partial seizures in bull terriers. J Am Vet Med Assoc 1996; 208(5):688-091. [PubMed]

Artículos recomendados

Estas recomendaciones se ofrecen de forma automática.

  • Más allá de los antibióticos: el papel emergente de los antisépticos en oftalmología veterinaria
    M. Leiva, M.T. Peña, R. Vilao
    Clin Vet Peq Anim Vol. 46 - Nº 1 · MAR 2026 · Artículos de Revisión
  • Biomarcadores de daño y remodelación cardíaca, inflamación y estrés oxidativo en perros con cardiopatías. Parte III

    I. Miralles-Plaza, M. J. Fernández-del-Palacio
    Clin Vet Peq Anim Vol. 45 - Nº 3 · SEP 2025 · Artículos de Revisión
  • Biomarcadores de daño y remodelación cardíaca, inflamación y estrés oxidativo en perros con cardiopatías. Parte II

    I. Miralles-Plaza, M. J. Fernández-del-Palacio
    Clin Vet Peq Anim Vol. 45 - Nº 2 · JUN 2025 · Artículos de Revisión
  • Inicio
  • Introducción
  • Etiología y patogénesis
  • Presentación clínica
  • Diagnóstico
  • Tratamiento
  • Pronóstico
  • Bibliografía
Artículo anterior Índice de la revista Artículo siguiente
ANUNCIO
Próximos cursos ATVs Elearning
Índice
Inicio Introducción Etiología y patogénesis Presentación clínica Diagnóstico Tratamiento Pronóstico Bibliografía
Purina Calming Care
ANUNCIO

¿No eres socio de AVEPA y quieres recibir comunicación de las nuevas ediciones en tu correo?

Suscríbete

Suscríbete y te avisaremos cuando publiquemos un nuevo número

Suscribirme

Enlaces rápidos

  • Inicio
  • Último número
  • Archivo
  • Artículos

Información

  • Comité editorial
  • Política de cookies
  • Política de privacidad
  • Términos y condiciones

Contacto

  • info@imaginice.com
  • Envíanos tu artículo
© 2026 Ice Salud Vet SL. Todos los derechos reservados.

Usamos cookies para mejorar tu experiencia. Selecciona cuáles aceptas: