Logo AVEPA

Clínica Veterinaria de Pequeños Animales

Revista oficial de AVEPA

  • Inicio
  • Último número
  • Archivo
  • Artículos
  • Para autores
  • Contacto
Cursos Junio-Septiembre 2026
ANUNCIO

Clínica Veterinaria de Pequeños Animales

Revista oficial de AVEPA

  • Inicio
  • Último número
  • Archivo
  • Artículos
  • Para autores
  • Contacto
Curso Oftalmología 2026
ANUNCIO
Clin Vet Peq Anim Vol. 37 • Nº 4 • diciembre 2017

Hiperostosis craneal idiopática en un Bóxer

Idiopathic calvarial hyperostosis in a Boxer

Artículo original referido a un solo caso clínico

M. Simó

Canis Hospital Veterinari. Can Pau Birol, 38. Poligon Industrial Mas Xirgu. 17006 Gerona.

J.M. Marti

Southern Counties Veterinary Hospital. Poulner Hill, Ringwood BH24 3JW (Reino Unido).

J. Cairó

Canis Hospital Veterinari. Can Pau Birol, 38. Poligon Industrial Mas Xirgu. 17006 Gerona.

Contacto: mariasimovesperinas@gmail.com
Palabras clave: hiperostosis craneal, perro, tomografía computarizada, resonancia magnética.
Keywords: calvarial hyperostosis, dog, computed tomography, magnetic resonance.

Clin. Vet. Peq. Anim, 2017, 37 (4): 247 - 249

Descargar artículo

Resumen

Un perro de raza Bóxer, macho, de 7 meses de edad fue valorado por un crecimiento en la zona frontal derecha del cráneo. Después de la valoración clínica, del estudio de diagnóstico por imagen (tomografía computarizada) e histopatología se diagnosticó una hiperostosis craneal idiopática. A los 6 meses del diagnóstico se procede a realizar una resonancia magnética donde no se observa ninguna alteración de la estructura normal del sistema nervioso central. Este caso muestra la evolución obtenida con pruebas de imagen de la hiperostosis craneal idiopática en un Bóxer durante los diecisiete meses posteriores al diagnóstico inicial.

Abstract

A 7-month-old male Boxer was evaluated because of a swelling dorsal to the right frontal bone. The clinical, diagnostic imaging (computed tomography), and histopathology features lead us to the diagnosis of idiopathic calvarial hyperostosis. Six months after the diagnosis, a magnetic resonance study showed no alterations in the anatomy of the central nervous system. This case report shows the follow up imaging characteristics of the idiopathic calvarial hyperostosis in a Boxer over seventeen months after the initial diagnosis.

Introducción

La hiperostosis craneal idiopática (HCI) es una enfermedad que afecta a los perros de razas grandes en crecimiento, en igual medida a machos y hembras. Es una osteopatía que se caracteriza por un crecimiento proliferativo, no tumoral, asimétrico y difuso, en diversos grados, de forma predominante en los huesos frontales del cráneo.[ Mathes RL, Holmes SP, Coleman KD, Radlinsky MA, Moore PA: Calvarial hyperostosis presenting as unilateral exophtalmos in a female English Springer Spaniel. Vet Ophtalmol 2012; 15:263-270. [PubMed] ]

Esta enfermedad presenta una similitud con la osteopatía craneomandibular del West Highland White Terrier, que suele afectar la mandíbula de forma bilateral. También es similar a la hiperostosis craneal infantil en humanos. La etiología de la HCI del perro es desconocida.[ Padgett GA and Mostosky UV: The mode of inheritance of craniomandibular osteopathy in West Highland White terrier dogs. Am J of Med Genet 1986; 25:9-13. [PubMed] ] El objetivo del presente trabajo es evaluar la evolución de la HCI en nuestro paciente, así como realizar un diagnóstico preciso para esta patología.

Caso clínico

Un perro de raza Bóxer, macho, de 7 meses de edad, correctamente vacunado y desparasitado, fue valorado por un crecimiento en la zona frontal derecha del cráneo (Fig. 1). Inicialmente se atribuyó a un traumatismo, pero sin constancia fehaciente de ello. En ese momento se instauró un tratamiento con carprofeno (4 mg/kg SID; Zoetis, Madrid) y ranitidina (1 mg/kg BID; GSK, Madrid), sin ninguna respuesta clínica. El nódulo fue aumentando progresivamente de tamaño. Cuatro semanas después fue referido a nuestro hospital veterinario para intentar establecer un diagnóstico.

<p>Bóxer de 7 meses de edad con una prominencia en la zona frontal derecha.</p>
Figura 1

Bóxer de 7 meses de edad con una prominencia en la zona frontal derecha.

En el examen físico, la palpación de la masa no provocaba dolor ni presentaba más alteración que un crecimiento anómalo, de consistencia dura, no móvil, dorsal a la órbita derecha y de 3 x 4 cm. El hemograma, urianálisis y la bioquímica sanguínea estaban dentro de los rangos de la normalidad.

Además se realizó un test ELISA de leishmaniosis canina, que resultó ser negativo para esta enfermedad.

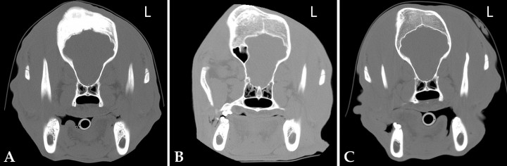
Se procedió a realizar una tomografía computarizada (TC) del cráneo. La adquisición de las imágenes se realizó en cortes de 1 mm de espesor, en dos series procesadas con filtros de tejido blando y hueso. Las imágenes se visualizaron en cortes de forma transversal junto con las reconstrucciones sagital y dorsal. En las imágenes obtenidas se observó una zona focal de reacción perióstica, fusiforme y compacta, en el hueso frontal derecho. Estas lesiones también estaban presentes, en menor intensidad, en el hueso frontal izquierdo. Esta proliferación ósea no presentaba márgenes nítidos, ni zonas de crecimiento de hueso en tejidos blandos, ni tampoco zonas de destrucción ósea descritas como osteólisis (Fig. 2A).

<p>Imágenes de Tomografía Computarizada en plano transversal realizadas en ventana hueso. (A) Momento del diagnóstico. El hueso frontal derecho se observa moderadamente engrosado, además se observa una reacción perióstica fusiforme y aumento de la densidad del hueso de forma heterogénea. (B) A los 6 meses después del diagnóstico; la lesión ósea presenta reducción de la atenuación ósea y remodelación en el hueso frontal derecho. (C) A los 2 años de edad del paciente. La lesión presenta una pequeña disminución de tamaño y reducción de la atenuación ósea respecto al estudio anterior.</p>
Figura 2

Imágenes de Tomografía Computarizada en plano transversal realizadas en ventana hueso. (A) Momento del diagnóstico. El hueso frontal derecho se observa moderadamente engrosado, además se observa una reacción perióstica fusiforme y aumento de la densidad del hueso de forma heterogénea. (B) A los 6 meses después del diagnóstico; la lesión ósea presenta reducción de la atenuación ósea y remodelación en el hueso frontal derecho. (C) A los 2 años de edad del paciente. La lesión presenta una pequeña disminución de tamaño y reducción de la atenuación ósea respecto al estudio anterior.

Para poder precisar más el diagnóstico, tras la TC se realizó una biopsia ósea de la masa en la región dorsolateral derecha con aguja de Jamshidi. También se realizó un cultivo bacteriológico de la muestra.

El mismo día de la toma de la biopsia el animal recibió el alta hospitalaria con tratamiento antibiótico (clindamicina 20 mg/kg BID; Pfizer, Madrid) y antiinflamatorio (carprofeno 4 mg/kg SID; Zoetis, Madrid) a efectos de controlar la inflamación y posible infección. En ese momento se informó a los propietarios de que se esperaría a tener los resultados de las pruebas realizadas para establecer un diagnóstico definitivo.

En el diagnóstico diferencial se incluyó la HCI, una reacción de hiperostosis secundaria a un traumatismo, una reacción inflamatoria de etiología infecciosa o un proceso neoplásico.

La muestra obtenida mediante la biopsia tenía un tamaño de 0,7 x 0,2 x 0,2 cm. El estudio histopatológico, tras tinción con hematoxilina-eosina, reveló la presencia de hueso trabecular, bien diferenciado y sin alteraciones. Los osteoblastos y osteoclastos tenían una morfología normal. En las cavidades medulares se observó tejido fibroso y adiposo. No se visualizaron cambios morfológicos compatibles con inflamación o neoplasia. Los hallazgos histopatológicos eran compatibles con tejido óseo normal.

En el examen bacteriológico de la zona afectada no se detectó crecimiento bacteriano, incluso tras el empleo de medios de enriquecimiento.

En este caso, al ser un perro joven correctamente vacunado y desparasitado en el que los resultados de las pruebas y análisis realizados estuvieron dentro del rango de la normalidad, nuestro diagnóstico fue de hiperostosis craneal idiopática.

Comunicamos a los propietarios que todos los casos descritos de HCI fueron autolimitantes cuando el animal llegó a la madurez esquelética y no necesitaron tratamiento médico ni quirúrgico.

En las revisiones clínicas posteriores se observó una leve disminución del volumen del nódulo en la región frontal.

Transcurridos 6 meses se realizó una segunda TC en la que la lesión ósea se mantenía en dimensiones similares, pero con una disminución considerable de la atenuación ósea en comparación con la primera (Fig. 2B). Esta vez se procedió a realizar también una resonancia magnética (RM) para comprobar que la lesión no afectase a otras estructuras (Fig. 3). Se observó una dismorfia del hueso frontal derecho que deformaba el cráneo en ese lado, sin que existiera un crecimiento óseo hacia el interior de la cavidad craneal. El seno frontal derecho presentaba mayor tamaño, pero estaba normalmente neumatizado. No se observaron alteraciones en los demás huesos que configuran la bóveda craneal ni la base del cráneo. Respecto al parénquima cerebral, cerebeloso y tronco cerebral, no se observaron alteraciones estructurales ni de la señal valorables en las distintas secuencias realizadas.

<p>Imagen de Resonancia Magnética, plano sagital en T2. No se observan lesiones en estructuras adyacentes.</p>
Figura 3

Imagen de Resonancia Magnética, plano sagital en T2. No se observan lesiones en estructuras adyacentes.

A los 2 años de edad del perro y transcurridos 11 meses desde la última TC, cuando el animal ya estaba completamente desarrollado, se procedió a realizar una última TC únicamente para observar la evolución de la lesión (en este momento, el animal no presentaba ningún tipo de conducta anormal ni signos clínicos aparentes). Se observó que la lesión ósea había disminuido ligeramente de tamaño y presentaba una menor atenuación ósea que en la segunda TC (Fig. 2C).

Discusión

En la bibliografía hay descritos actualmente pocos casos clínicos de esta enfermedad, siempre en animales en crecimiento, de 5 a 10 meses de edad y de presentación aislada. La única raza en la que se han descrito casos con mayor frecuencia es en la raza Bullmastiff.[ Pastor KF, Boulay JP, Schelling SH, Carpenter JL: Idiopathic hyperostosis of the calvaria in five young Bullmastiffs. J Am Anim Hosp Assoc 2000;36:439-445. [PubMed] ]

La etiología de la hiperostosis craneal idiopática es desconocida (pueden estar implicados factores genéticos, metabólicos, nutricionales e infecciosos), pero su mayor presentación en determinadas razas hace que la genética sea una causa más probable, como ocurre en la osteopatía craneomandibular del West Highland White Terrier que es autosómica recesiva y se presenta de forma bilateral.[ Padgett GA and Mostosky UV: The mode of inheritance of craniomandibular osteopathy in West Highland White terrier dogs. Am J of Med Genet 1986; 25:9-13. [PubMed] ]

Los perros afectados de HCI no suelen presentar signos clínicos, a excepción de la protuberancia ósea, aunque algunos animales pueden padecer fiebre, cojera y linfoadenopatía.[ Fischetti AJ, Garcia AL, Gross S: What is your diagnosis? Idiopathic calvarial hyperostosis. J Am Vet Med Assoc 2006; 229:211-212. ] Hay descrito un solo caso clínico de hiperostosis craneal idiopática como causa etiológica de exoftalmos unilateral en una hembra de Cocker Spaniel Inglés.[ Mathes RL, Holmes SP, Coleman KD, Radlinsky MA, Moore PA: Calvarial hyperostosis presenting as unilateral exophtalmos in a female English Springer Spaniel. Vet Ophtalmol 2012; 15:263-270. [PubMed] ]

Se decidió descartar la leishmaniosis, ya que el perro vive en una zona endémica y esta enfermedad puede provocar lesiones óseas caracterizadas por reacciones periósticas importantes, aunque en este caso la localización no fuera habitual para la misma.[ Agut A, Corzo N, Murciano J, Laredo FG, Soler M: Clinical and radiographic study of bone and joint lesions in 26 dogs with leishmaniasis. Vet Rec 2003; 153:648-652. ]

La HCI es similar, en el aspecto clínico e histopatológico, a la osteopatía craneomandibular y la hiperostosis cortical infantil humana. En ambos casos se trata de enfermedades autolimitantes cuando se presentan en pacientes jóvenes.[ McConnell JF, Hayes A, Platt SR, Smith KC: Calvarial hyperostosis syndrome in two bullmastiffs. Vet Radiol & Ultrasound 2006; 47:72-77. [PubMed] ] Aun así, existen diferencias. La HCI se presenta como una osteopatía focal, generalmente unilateral, con predilección por los huesos planos del cráneo, mientras que la osteopatía craneomandibular y la hiperostosis cortical infantil humana son bilaterales y afectan al esqueleto apendicular.[ Mathes RL, Holmes SP, Coleman KD, Radlinsky MA, Moore PA: Calvarial hyperostosis presenting as unilateral exophtalmos in a female English Springer Spaniel. Vet Ophtalmol 2012; 15:263-270. [PubMed] ]

La TC es una técnica muy útil para el diagnóstico de la HCI. En nuestro caso utilizamos esta técnica de imagen, ya que permite observar con mayor precisión los huesos del cráneo. Las radiografías son menos precisas para realizar el diagnóstico de este proceso patológico. Además, también puede diagnosticarse mediante resonancia magnética.[ Matiasovic M, Caine A, Scarpante E, Cherubini GB: Magnetic resonance imaging features of craneomandibular osteophaty in an airedale terrier. Vet Radiol & Ultrasound 2016; 57:E27-E29. [PubMed] ]

Por lo general, el estudio histopatológico es la mejor manera de confirmar el diagnóstico.[ Slovak JE, Gilmour LJ, Miles KG: What is your diagnosis? Idiopathic calvarial hyperostosis. J Am Vet Med Assoc 2015; 246:1187-1189. ]

Dependiendo del estadio en el que se encuentre la enfermedad, podemos observar cambios microscópicos inflamatorios. Como en el caso descrito, la ausencia de lesiones óseas características no excluye que se trate de este proceso patológico. El seguimiento de la evolución clínica junto con la segunda y tercera TC, 6 meses más tarde y a los 2 años de edad, reafirmaron el diagnóstico inicial de HCI.

 

Agradecimientos

A Cristina Carles por su total predisposición en la realización del diagnóstico y seguimiento de este caso clínico.

 

Fuente de financiación: este trabajo no se ha realizado con fondos comerciales, públicos o del sector privado.

Conflicto de intereses: los autores declaran que no existe conflicto de intereses.

Bibliografía

  1. [1] Mathes RL, Holmes SP, Coleman KD, Radlinsky MA, Moore PA: Calvarial hyperostosis presenting as unilateral exophtalmos in a female English Springer Spaniel. Vet Ophtalmol 2012; 15:263-270. [PubMed]
  2. [2] Padgett GA and Mostosky UV: The mode of inheritance of craniomandibular osteopathy in West Highland White terrier dogs. Am J of Med Genet 1986; 25:9-13. [PubMed]
  3. [3] Pastor KF, Boulay JP, Schelling SH, Carpenter JL: Idiopathic hyperostosis of the calvaria in five young Bullmastiffs. J Am Anim Hosp Assoc 2000;36:439-445. [PubMed]
  4. [4] Fischetti AJ, Garcia AL, Gross S: What is your diagnosis? Idiopathic calvarial hyperostosis. J Am Vet Med Assoc 2006; 229:211-212.
  5. [5] Agut A, Corzo N, Murciano J, Laredo FG, Soler M: Clinical and radiographic study of bone and joint lesions in 26 dogs with leishmaniasis. Vet Rec 2003; 153:648-652.
  6. [6] McConnell JF, Hayes A, Platt SR, Smith KC: Calvarial hyperostosis syndrome in two bullmastiffs. Vet Radiol & Ultrasound 2006; 47:72-77. [PubMed]
  7. [7] Matiasovic M, Caine A, Scarpante E, Cherubini GB: Magnetic resonance imaging features of craneomandibular osteophaty in an airedale terrier. Vet Radiol & Ultrasound 2016; 57:E27-E29. [PubMed]
  8. [8] Slovak JE, Gilmour LJ, Miles KG: What is your diagnosis? Idiopathic calvarial hyperostosis. J Am Vet Med Assoc 2015; 246:1187-1189.

Artículos recomendados

Estas recomendaciones se ofrecen de forma automática.

  • Fallo hepático en un perro tras intoxicación por ingestión de semillas de Cycas revoluta

    C. García, A. Segarra, N. Bedía, et al.
    Clin Vet Peq Anim Vol. 45 - Nº 3 · SEP 2025 · Artículo original referido a un solo caso clínico
  • Pseudoaneurisma venoso de presunto origen yatrogénico causado al realizar una biopsia ósea

    F. Osorio, L. Feo, J. Puig
    Clin Vet Peq Anim Vol. 45 - Nº 1 · MAR 2025 · Artículo original referido a un solo caso clínico
  • Linfoma espinal primario en un gato

    M. Andueza-Medina, R. Garcia-Hernández, M. Pulido-Anaya, et al.
    Clin Vet Peq Anim Vol. 44 - Nº 2 · JUN 2024 · Artículo original referido a un solo caso clínico
  • Inicio
  • Introducción
  • Caso clínico
  • Discusión
  • Agradecimientos
  • Bibliografía
Artículo anterior Índice de la revista Artículo siguiente
ANUNCIO
Próximos cursos ATVs Elearning
Índice
Inicio Introducción Caso clínico Discusión Agradecimientos Bibliografía
Purina Calming Care
ANUNCIO

¿No eres socio de AVEPA y quieres recibir comunicación de las nuevas ediciones en tu correo?

Suscríbete

Suscríbete y te avisaremos cuando publiquemos un nuevo número

Suscribirme

Enlaces rápidos

  • Inicio
  • Último número
  • Archivo
  • Artículos

Información

  • Comité editorial
  • Política de cookies
  • Política de privacidad
  • Términos y condiciones

Contacto

  • info@imaginice.com
  • Envíanos tu artículo
© 2026 Ice Salud Vet SL. Todos los derechos reservados.

Usamos cookies para mejorar tu experiencia. Selecciona cuáles aceptas: