Logo AVEPA

Clínica Veterinaria de Pequeños Animales

Revista oficial de AVEPA

  • Inicio
  • Último número
  • Archivo
  • Artículos
  • Para autores
  • Contacto
Cursos Junio-Septiembre 2026
ANUNCIO

Clínica Veterinaria de Pequeños Animales

Revista oficial de AVEPA

  • Inicio
  • Último número
  • Archivo
  • Artículos
  • Para autores
  • Contacto
Curso Oftalmología 2026
ANUNCIO
Clin Vet Peq Anim Vol. 38 • Nº 1 • marzo 2018

The role of Computed Tomography in the oncologic patient

Utilidad de la Tomografía Computarizada en oncología

Artículos de Revisión

C. Strohmayer

Department of Companion Animals and Horses. University of Veterinary Medicine Vienna (Vetmeduni). Vienna. Austria.

A. Ansón

Department of Companion Animals and Horses. University of Veterinary Medicine Vienna (Vetmeduni). Vienna. Austria. ImagenVET Teleradiología Veterinaria. Spain.

Contacto: agustina.anson-fernandez@vetmeduni.ac.at
Palabras clave: tomografía computarizada, oncología, neoplasia, perro, gato.
Keywords: computed tomography, oncology, neoplasia, dog, cat.

Clin. Vet. Peq. Anim, 2018, 38 (1): 7 - 14

Descargar artículo

Resumen

La tomografía computarizada (TC) es una modalidad de imagen basada en el uso de rayos X que permite una descripción y localización anatómica precisas de los tumores. Por lo tanto, se utiliza tanto como herramienta diagnóstica como en los procesos de estadiaje y planificación quirúrgica y/o radioterapia. Gracias a su capacidad de reconstrucción multiplanar, se pueden determinar con precisión la relación anatómica y el origen de las masas en comparación con la radiografía y la ecografía. Además, la TC proporciona información importante en términos de invasión de estructuras adyacentes, extensión y resecabilidad de las masas. La TC ofrece un amplio campo de aplicaciones que resulta en una modalidad beneficiosa para la atención del paciente oncológico.

Abstract

Computed tomography (CT) is a radiographic based imaging modality that offers precise anatomical localization and lesion description of neoplastic masses. Thus, it is used as a diagnostic tool, as well as in the staging and treatment processes in terms of surgical and/or radiation therapy planning. Due to its multiplanar reconstruction capability the anatomical relationship and origin of masses can be determined precisely compared to radiography and ultrasound. Furthermore, CT provides important information in terms of invasion of adjacent structures, extension and resectability of the masses. CT offers a wide field of applications resulting in a beneficial modality for the oncologic patient care.

AVEPA Elearning

La presencia de este logo en un artículo de la revista indica que se publicará un examen sobre el mismo en la plataforma AVEPA Elearning. Su resolución aporta 0,15 créditos dentro del sistema de acreditaciones de especialidades veterinarias de AVEPA.

Introduction

With increasing medical improvements in diagnostics and treatment of diseases there is a tendency for companion animals to reach an older age. Since animals get older, neoplastic diseases are a major cause for presentation to the veterinarian.[ Biller B, Berg J, Garrett L et al.: 2016 AAHA Oncology Guidelines for Dogs and Cats. J Am Anim Hosp Assoc 2016; 52:181-204. [PubMed] ] Diagnostic imaging plays a vital role in the work-up of an oncologic patient for adequate diagnosis and staging. Sensitive detection of lesions is necessary to determine appropriate local or systemic therapy and to monitor therapeutic results. Radiography and ultrasound are routinely used as screening tool in veterinary medicine. However, computed tomography (CT) is the preferred modality during the different stages of the work-up of an oncologic patient, namely in a first diagnostic work up, in staging, regarding radiotherapy or surgical planning and for assessing the outcome in follow up scans.[ Forrest LJ: Computed Tomography Imaging in Oncology. Vet Clin Small Anim 2016; 46:499-513. [PubMed] , Kondo Y, Matsunaga S, Mochizuki M, et al.: Prognosis of canine patients with nasal tumors according to modified stages based on computed tomography: a retrospective study. J Vet Med Sci 2008; 70:207-212. [PubMed] ] CT as a cross sectional radiographic modality overcomes limitations of conventional radiography such as summation images and offers an increased spatial resolution. Multiplanar reconstruction allows optimally localizing a lesion, describing the effects to the surrounding tissue, and giving aid in surgical questions regarding resectability. In order to better biologically characterize a lesion, iodinated contrast media gives information about vascularization and thus allows improved demarcation from the surrounding tissue.[ Mattoon JS, Bryan JN: The future of imaging in veterinary oncology: Learning from human medicine. Vet J 2013; 197:541-552. [PubMed] ] However, CT is not available at every hospital, is more cost intensive and requires anaesthesia. So, the benefits need to be weighted against the expenses.

This review describes the main indications for CT in the oncologic patient using examples to illustrate the application for several specific disease processes.

Head and neck

One main indication for CT is the assessment of nasal tumours. In cats lymphoma is the most common nasal neoplasia,[ Nemanic S, Hollars K, Nelson NC et al.: Combination of computed tomographic imaging characterisitics of medial retropharyngeal lymph nodes and nasal passages aids discrimination between rhinitis and neoplasia in cats. Vet Radiol Ultrasound 2015; 56:617-627. [PubMed] , Tromblee TC, Jones JC, Etue AE et al.: Association between clinical characteristics, computed tomography characteristics, and histologic diagnosis for cats with sinonasal disease. Vet Radiol Ultrasound 2006; 47:241-248. [Wiley] ] whereas in the dog carcinomas are most frequent.[ Avner A, Dobson JM, Sales JI et al.: Retrospective review of 50 canine nasal tumours evaluated by low-field magnetic resonance imaging. J Small Anim Pract 2008; 49:233-239. [PubMed] ] CT features associated with nasal neoplasia include soft tissue masses within the nasal cavity with heterogeneous contrast uptake, destruction of the turbinates, lysis of the adjacent bones and intracranial extension.[ Nemanic S, Hollars K, Nelson NC et al.: Combination of computed tomographic imaging characterisitics of medial retropharyngeal lymph nodes and nasal passages aids discrimination between rhinitis and neoplasia in cats. Vet Radiol Ultrasound 2015; 56:617-627. [PubMed] , Tromblee TC, Jones JC, Etue AE et al.: Association between clinical characteristics, computed tomography characteristics, and histologic diagnosis for cats with sinonasal disease. Vet Radiol Ultrasound 2006; 47:241-248. [Wiley] ] CT is the modality of choice in displaying bone changes, which showed to best assess lysis of the turbinates and cribiforme plate (Fig 1).[ Drees D, Forrest LJ, Chappell R: Comarison of computed tomography and magnetic resonance imaging for the evaluation of canine intranasal neoplasia. J Small Anim Pract 2009; 50:334-340. [PubMed] ] Nevertheless, a recent study showed that CT and magnetic resonance imaging (MRI) had a high level of agreement concerning bone involvement of nasal cavity and head. In addition, MRI showed a higher likelihood of identifying meningeal enhancement, which can be due to tumoral extension, peritumoral meningitis or oedema. MRI has a better soft tissue detail, however it is less available, more expensive and CT might be needed anyhow for radiation therapy planning.[ Lux CN, Culp WTN, Johnson LR et al.: Prospective comparison of tumor staging using computed tomography versus magnetic resonance imaging findings in dogs with nasal neoplasia: A pilot study. Vet Radiol Ultrasound 2017; 58:315-325. [PubMed] ]

<div>
<div class=\"Basic-Text-Frame\">
<p>Nasal carcinoma in a 12 year-old German Shepherd. (A) CT transverse image in soft tissue window at the level of the retrobulbar space. There is a large, heterogeneous, contrast-enhancing mass mainly located in the right nasal cavity. Note the severe destruction of the nasal and ethmoid turbinates and frontal bone and nasal septum, with extension of the mass into the left nasal cavity. (B) CT transverse image in soft tissue and (C) bone windows at the level of the frontal sinus. Focal destruction of the right dorsolateral aspect of the cribiforme plate and right frontal bone and protrusion of the mass into the calvarium and the right frontal sinus. R: right.</p>
</div>
</div>
Figura 1

Nasal carcinoma in a 12 year-old German Shepherd. (A) CT transverse image in soft tissue window at the level of the retrobulbar space. There is a large, heterogeneous, contrast-enhancing mass mainly located in the right nasal cavity. Note the severe destruction of the nasal and ethmoid turbinates and frontal bone and nasal septum, with extension of the mass into the left nasal cavity. (B) CT transverse image in soft tissue and (C) bone windows at the level of the frontal sinus. Focal destruction of the right dorsolateral aspect of the cribiforme plate and right frontal bone and protrusion of the mass into the calvarium and the right frontal sinus. R: right.

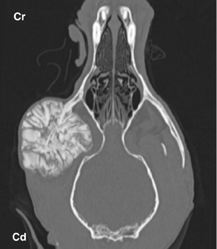
CT is also commonly used in characterizing skull tumours due to the complexity of this region. Although tissue sampling is paramount to obtaining an accurate diagnosis, some tumours have specific CT imaging characteristics, such as multilobular osteochondrosarcoma showing a fine to coarse granular, nonhomogeneous bone mass with well defined margins usually in the occipital region or at the level of the zygomatic arch (Fig. 2).[ Hathcock JT, Newton JC: Computed tomographic characteristics of multilobular tumor of bone involving the cranium in 7 dogs and zygomatic arch in 2 dogs. Vet Radiol Ultrasound 2000; 41: 214-217. [PubMed] ] In particular to assess for oral masses, CT is an important modality for preoperative purposes that gives valuable information about extent and a possible infiltrative nature.[ Ghirelli CO, Villamizar LA, Pinto AC: Comparison of standard radiography and computed tomography in 21 Dogs with maxillary masses. J Vet Dent 2013; 30:72-76. [PubMed] ] Besides, CT has been shown to more confidentially identify nasopharyngeal masses as polyps despite their typical location by a characteristic CT feature. A recent study reported the described rim enhancement of nasopharyngeal polyps in cats to represent a zone of inflammation.[ Lamb CR, Sibbing K, Priestnall SL: Pathologic basis for rim enhancement observed in computed tomographic images of feline nasopharyngeal polyps. Vet Radiol Ultrasound 2016; 57:130-136. [PubMed] ]

<p>Multilobular tumor of bone in an 8 year-old mixed breed dog. Dorsal bone window image of a head show a large, coarse, mineral attenuated mass with well defined margins at the level of the right zygomatic arc. Cr: cranial. Cd: caudal.</p>
Figura 2

Multilobular tumor of bone in an 8 year-old mixed breed dog. Dorsal bone window image of a head show a large, coarse, mineral attenuated mass with well defined margins at the level of the right zygomatic arc. Cr: cranial. Cd: caudal.

Due to the close relationship of anatomical structures of the neck, cross sectional imaging provides important information of origin and extension of neoplasia in this region. Thyroid gland tumour is the most common neoplasia in the neck and can occur from the base of the tongue to the base of the heart. Although ultrasound is a good screening tool, CT or MRI are indicated if surgical resection is considered. The masses are usually highly vascularized, heterogeneous and can contain regions of dystrophic mineralization. CT findings of carotid body and thyroid tumours are different based on anatomical location. Carotid body tumours have a dorsolateral location to the larynx at the level of the bifurcation of the common carotid artery (Fig. 3A). Thyroid masses are located more caudally (Fig. 3B).[ Mai W, Seiler GS, Lindl-Bylicki BJ et al.: CT and MRI features of carotid body paragangliomas in 16 dogs. Vet Radiol Ultrasound 2015; 56:374-383. [PubMed] , Taeymans O, Penninck DG, Peters RM: Comparison between clinical, ultrasound, CT, MRI, and pathology findings in dogs presented for suspected thyroid carcinoma. Vet Radiol Ultrasound 2013; 54:61-70. [PubMed] ]

<p>(A) 8 year-old Golden Retriever with a carotid body tumour on the right side. Transverse CT soft tissue window post contrast image of the neck at the level of the carotid bifurcation (white arrows) and mandibular salivary glands (black asterisks). There is a poorly demarcated mass (white asterisk) with mild heterogeneous contrast enhancement on the right dorsolateral aspect of the larynx causing lateral displacement of the right carotid arteries. (B) Transverse soft tissue window post contrast image of the neck of a 13 year-old mixed breed dog with a mass at the level of the right thyroid gland (white arrow). The mass shows marked heterogeneous contrast enhancement and a central pinpoint mineralization. The left thyroid gland is unremarkable (black asterisk). R: right.</p>
Figura 3

(A) 8 year-old Golden Retriever with a carotid body tumour on the right side. Transverse CT soft tissue window post contrast image of the neck at the level of the carotid bifurcation (white arrows) and mandibular salivary glands (black asterisks). There is a poorly demarcated mass (white asterisk) with mild heterogeneous contrast enhancement on the right dorsolateral aspect of the larynx causing lateral displacement of the right carotid arteries. (B) Transverse soft tissue window post contrast image of the neck of a 13 year-old mixed breed dog with a mass at the level of the right thyroid gland (white arrow). The mass shows marked heterogeneous contrast enhancement and a central pinpoint mineralization. The left thyroid gland is unremarkable (black asterisk). R: right.

Thorax

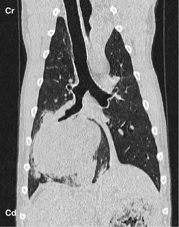
Pulmonary masses can be assessed by CT in order to better delineate margins and tumour extension for surgical planning along with imaging for concurrent pulmonary nodules and regional lymph nodes involvement. Carcinomas are the most frequently primary lung tumours in dogs and cats. Carcinomas are most commonly localized in the caudal lung lobes and described as solitary, well circumscribed, bronchocentric masses with internal air bronchograms, which can cause various degree of bronchial compression (Fig. 4). Other imaging features include contrast enhancement and internal mineralization. Cats in contrast to dogs tend to have more irregular margins and can show intratumoral cavitations and pleural effusion.[ Aarsvold S, Reetz JA, Reichle JK et al.: Computed tomographic findings in 57 cats with primary pulmonary neoplasia. Vet Radiol Ultrasound 2015; 56:272-277. [PubMed] , Marolf AJ, Gibbons DS, Podell BK et al.: Computed tomographic appearance of primary lung tumors in dogs. Vet Radiol Ultrasound 2011; 52:168-172. [PubMed] ] Canine pulmonary histiocytic sarcoma has been reported to present predilection for right middle or left cranial lung lobes (Fig. 5). Carcinomas generally metastasize to tracheobronchial lymph nodes but dogs with histiocytic sarcoma also show involvement of craniomediastinal and sternal lymph nodes.[ Tsai S, Sutherland-Smith J, Burgess K et al.: Imaging characteristics of intrathoracic histiocytic sarcoma in dogs. Vet Radiol Ultrasound 2012; 53:21-27. [PubMed] ]

<p>Dorsal plane reconstructed lung window CT image consistent with a broncoalveolar carcinoma. Note the solitary, well circumscribed, soft tissue attenuating lung mass in the right caudal lung lobe. The lobar bronchus is narrowed and displaced laterally. Ground-glass opacities are present at the periphery of the mass, most likely consistent with local tumour infiltration. Cr: cranial. Cd: caudal.</p>
Figura 4

Dorsal plane reconstructed lung window CT image consistent with a broncoalveolar carcinoma. Note the solitary, well circumscribed, soft tissue attenuating lung mass in the right caudal lung lobe. The lobar bronchus is narrowed and displaced laterally. Ground-glass opacities are present at the periphery of the mass, most likely consistent with local tumour infiltration. Cr: cranial. Cd: caudal.

<p>10 year-old Bernese Mountain dog with a well demarcated bronchocentric soft tissue attenuating mass in the right middle lung lobe. CT features are consistent with histiocytic sarcoma. R: right.</p>
Figura 5

10 year-old Bernese Mountain dog with a well demarcated bronchocentric soft tissue attenuating mass in the right middle lung lobe. CT features are consistent with histiocytic sarcoma. R: right.

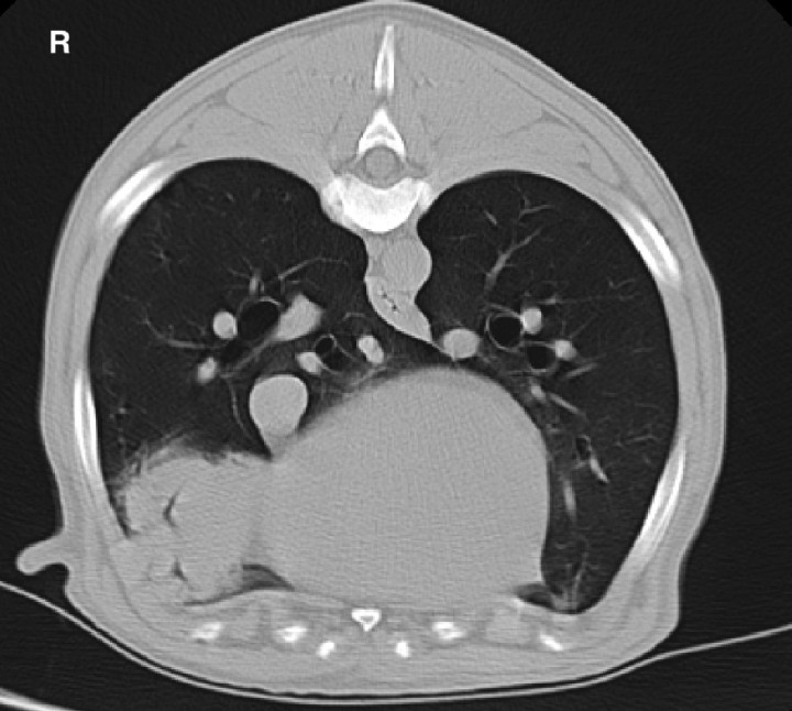
Common mediastinal tumors in dogs and cats include thymoma, heart base tumors, and lymphoma. Other tumor types in this region include thyroid carcinoma, carcinomas of other origin, sarcomas, and mesothelioma. CT evaluation of these tumors is generally nonspecific; however, thymomas are often quite large causing significant mass effect over the adjacent lung lobes, trachea and mediastinal vascular structures, and can extend caudally mainly along the left hemithorax. They can show cystic areas and a solid component with a heterogeneous contrast uptake pattern (Fig. 6).[ Yoon J, Feeney DA, Cronk DE et al.: Computed tomographic evaluation of canine and feline mediastinal masses in 14 patients. Vet Radiol Ultrasound 2004; 45:542-546. [PubMed] ] An important reason for imaging cranial mediastinal neoplasms is to determine the presence and extent of vascular invasion, which can determine operability and prognosis.[ Scherrer W, Kyles A, Samii V et al.: Computed tomographic assessment of vascular invasion and resectability of mediastinal masses in dogs and a cat. N Z Vet J 2008; 56:330-333. [PubMed] ]

<p>(A) Transverse and (B) dorsal reformatted soft tissue window post contrast images of a 6 year-old European Shorthair cat. At the level of the cranioventral mediastinum there is a large, mildly heterogenous contrast enhancing mass (white arrow) with a large cystic area (white asterisk) causing displacement of vascular cranial mediastinal structures to the right and dorsal and caudal displacement of the cardiac silhouette. The mass was consistent with a thymoma. R: right. Cr: cranial. Cd: caudal.</p>
Figura 6

(A) Transverse and (B) dorsal reformatted soft tissue window post contrast images of a 6 year-old European Shorthair cat. At the level of the cranioventral mediastinum there is a large, mildly heterogenous contrast enhancing mass (white arrow) with a large cystic area (white asterisk) causing displacement of vascular cranial mediastinal structures to the right and dorsal and caudal displacement of the cardiac silhouette. The mass was consistent with a thymoma. R: right. Cr: cranial. Cd: caudal.

Abdomen

Liver and splenic masses are the more common detected abdominal masses, which can represent a diversity of malignant and non-malignant origins. Ultrasound is routinely used to assess these masses.[ Penninck D, D’Anjou M-A. Liver. Hecht S, Mai W. Spleen. En Penninck D, D’Anjou M-A (ed): Atlas of Small Animal Ultrasonography. Second Edition, Willey Blackwell, 2015; 183-259. ] Benign and malignant masses can present with similar imaging features, and thus cytologic or histologic sampling is an important diagnostic tool. Moreover, vascularization pattern is crucial in defining masses. Dual- or triple phase CT imaging in dogs has been used in differentiation among hepatocellular carcinoma, benign nodular hyperplasia, and hepatic metastasis.[ Jones ID, Lamb CR, Drees R et al.: Associations between dual-phase computed tomography features and histopathologic diagnoses in 52 dogs with hepatic or splenic masses. Vet Radiol Ultrasound 2016; 57:144-153. [PubMed] , Kutara K, Seki M, Ishikawa C et al.: Triple-phase helical computed tomography in dogs with hepatic masses. Vet Radiol Ultrasound 2014; 55:7-15. [PubMed] ]

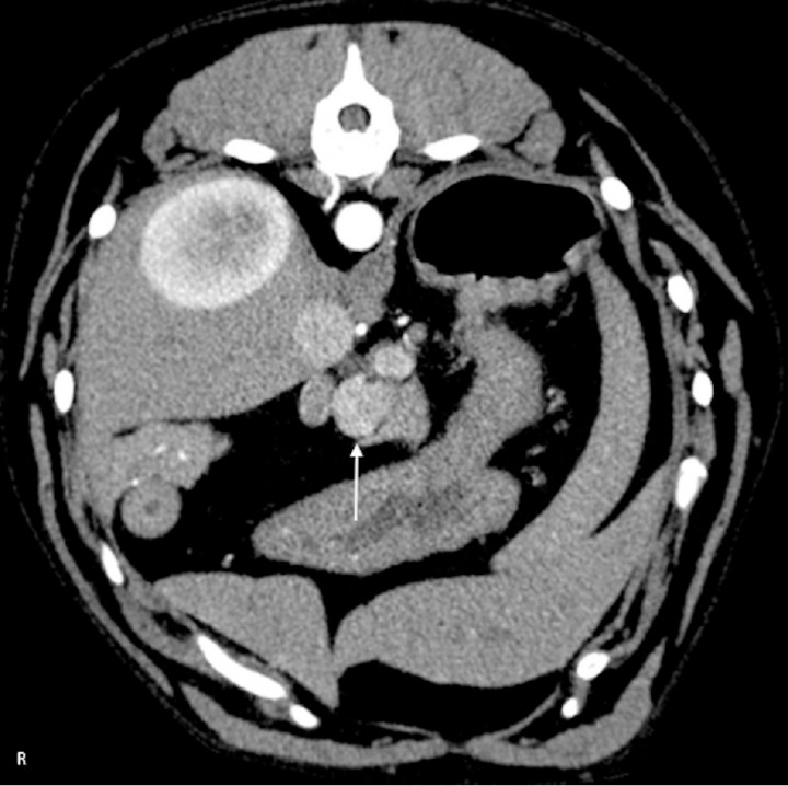
Angiographic CT techniques are also used to evaluate pancreatic insulinomas.[ Fukushima K, Fujiwara R, Yamamoto K et al.: Characterization of triple-phase computed tomography in dogs with pancreatic insulinoma. J Vet Med Sci 2016; 77(12):1549-1553. [PMC] ] Ultrasound is a good screening modality to evaluate the pancreas, however insulinomas, mainly represented by small hypoechoic nodules, have been described challenging to image. Ultrasound is highly dependent on imaging skills of the ultrasonographer and accessibility of the pancreas, however is less cost intensive than CT and does not requires anesthesia.[ Nakamura K, Lim S-Y, Ochiai K et al.: Contrast-enhanced ultrasonographic findings in three dogs with pancreatic insulinoma. Vet Radiol Ultrasound 2015; 56:55-62. [PubMed] ] The big advantage of CT is that offers multiplanar reconstruction, which is especially helpful in a small and anatomically challenging organ, and that angiographic CT techniques maximize the conspicuity of small pancreatic messes. A report of three dogs with insulinoma found that these masses showed a strong contrast enhancement that was present during the arterial phase (Fig. 7).[ Nakamura K, Lim S-Y, Ochiai K et al.: Contrast-enhanced ultrasonographic findings in three dogs with pancreatic insulinoma. Vet Radiol Ultrasound 2015; 56:55-62. [PubMed] ] However, it has lately been reported to show variable attenuation patterns ranging from being hyperattenuated in the arterial phase to also being hypoattenuated in some cases.[ Fukushima K, Fujiwara R, Yamamoto K et al.: Characterization of triple-phase computed tomography in dogs with pancreatic insulinoma. J Vet Med Sci 2016; 77(12):1549-1553. [PMC] ]

<p>CT angiogram transverse soft tissue window image in arterial post contrast phase of an 8 year-old German Pinscher. There is a rounded, contrast enhancing mass (white arrow) at the level of the pancreatic body, compatible with an insulinoma. The mass is hyperattenuating to the pancreas during the arterial phase. R: right.</p>
Figura 7

CT angiogram transverse soft tissue window image in arterial post contrast phase of an 8 year-old German Pinscher. There is a rounded, contrast enhancing mass (white arrow) at the level of the pancreatic body, compatible with an insulinoma. The mass is hyperattenuating to the pancreas during the arterial phase. R: right.

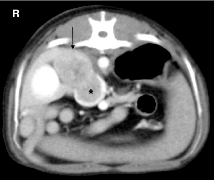
Primary neoplasia of the canine adrenal gland includes adenoma, carcinoma and pheocromocitoma. CT imaging of adrenal masses is especially useful to detect adjacent vascular invasion to assess the resectability of the mass but it is not capable of delineating tumor type. Adrenal masses can contain mineralizations and cystic regions, and can show peripheral rim enhancement representing fibrous encapsulation, or a heterogenous contrast enhancement in delayed postcontrast CT images associated with haemorrhage or infarction. The proximity of the adrenal gland to the caudal vena cava predisposes to vascular invasion of the phrenic and caudal vena cava veins and the formation of thrombus (Fig. 8).[ Gregori T, Mantis P, Benigni L et al.: Comparison of computed tomographic and pathologic findings in 17 dogs with primary adrenal neoplasia. Vet Radiol Ultrasound 2015; 56:153-159. [PubMed] ]

<p>Adrenal gland carcinoma with severe invasion of the caudal vena cava. CT angiogram transverse image in soft tissue window. Note the large mass at the level of the right adrenal gland (arrow) and the large filling defect within the caudal vena cava (black asterisk) at the same level. R: right.</p>
Figura 8

Adrenal gland carcinoma with severe invasion of the caudal vena cava. CT angiogram transverse image in soft tissue window. Note the large mass at the level of the right adrenal gland (arrow) and the large filling defect within the caudal vena cava (black asterisk) at the same level. R: right.

Another important indication for CT are intrapelvic masses of various origin, namely rectal, neural, vascular, glandular, adipose tissue, which are not accessible to transcutaneous ultrasound and are difficult to assess with radiography due to summation, but are better imaged with CT due to multiplanar reconstruction to localize the origin of intrapelvic masses and evaluate for bone or adjacent structures involvement.[ Spector DI, Fischetti AJ, Kovak-McClaran JR: Computed tomographic characteristics of intrapelvic masses in dogs. Vet Radiol Ultrasound 2011; 52:71-74. [PubMed] ]

Skeletal system

Primary bone tumors, of which the osteosarcoma is the most common in dogs, are usually assessed with radiographs, showing varying degree of osteolysis, periosteal reaction, cortical destruction and transition zone length (Fig. 9).[ Thrall DE. Radiographic features of bone tumors and bone infections. En Thrall DE (ed): Textbook of Veterinary Diagnostic Radiology, St Louis, Missouri, Elsevier, 2013; 307-317. ]

<p>8 year-old German Shepherd Dog with a primary bone tumour at the level CT transverse image of the metaphysis of the left humerus in bone window showing a mixed productive and osteolytic aggressive bone lesion with multifocal cortical destruction. R: right.</p>
Figura 9

8 year-old German Shepherd Dog with a primary bone tumour at the level CT transverse image of the metaphysis of the left humerus in bone window showing a mixed productive and osteolytic aggressive bone lesion with multifocal cortical destruction. R: right.

In terms of treatment options, limb amputation is commonly performed, although may not be chosen due to concomitant orthopaedic disease, owner compliance or neurologic disease. In case of limb-sparing surgery, determining lesion margins is essential. Various modalities including radiographs, non-contrast CT, MRI and scintigraphy have been reported with a tendency to overestimate lesion length.[ Wallack ST, Wisner ER, Werner JA et al.: Accuracy of magnetic resonance imaging for estimating intramedullary osteosarcoma extent in pre-operative planning of canine limb-salvage procedures. Vet Radiol Ultrasound 2002; 5:432-441. [PubMed] ] A more recent study described multidetector CT with acquisition of submillimeter thick images to be a feasible modality. It has been shown that assessing with CT intramedullary/endosteal abnormalities represents the best predictor of tumor length.[ Karnik KS, Samii VF, Weisbrode SE et al.: Accuracy of computed tomography in determining lesion size in canine appendicular osteosarcoma. Vet Radiol Ultrasound 2012; 53:273-279. [PubMed] ]

The role of CT in the staging process

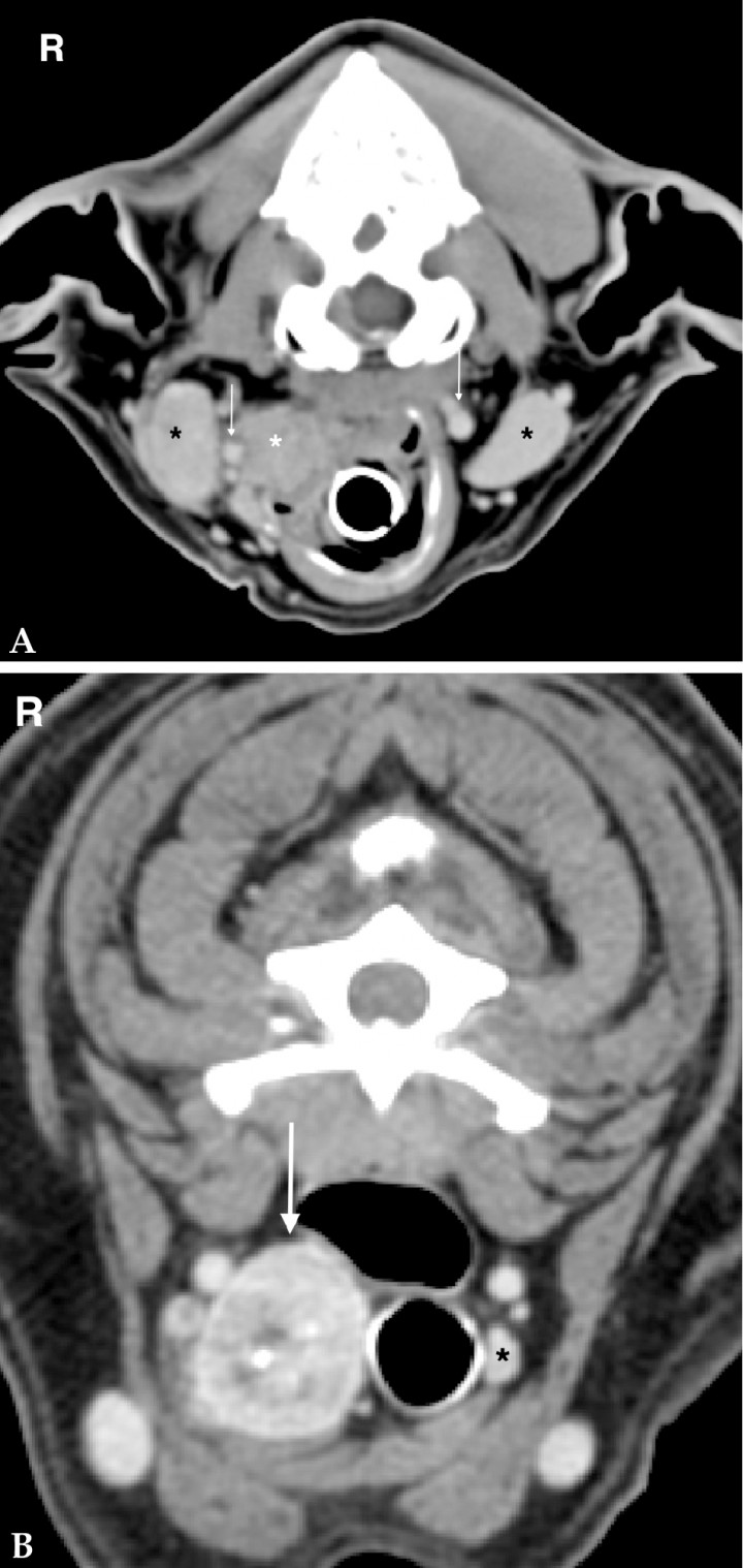
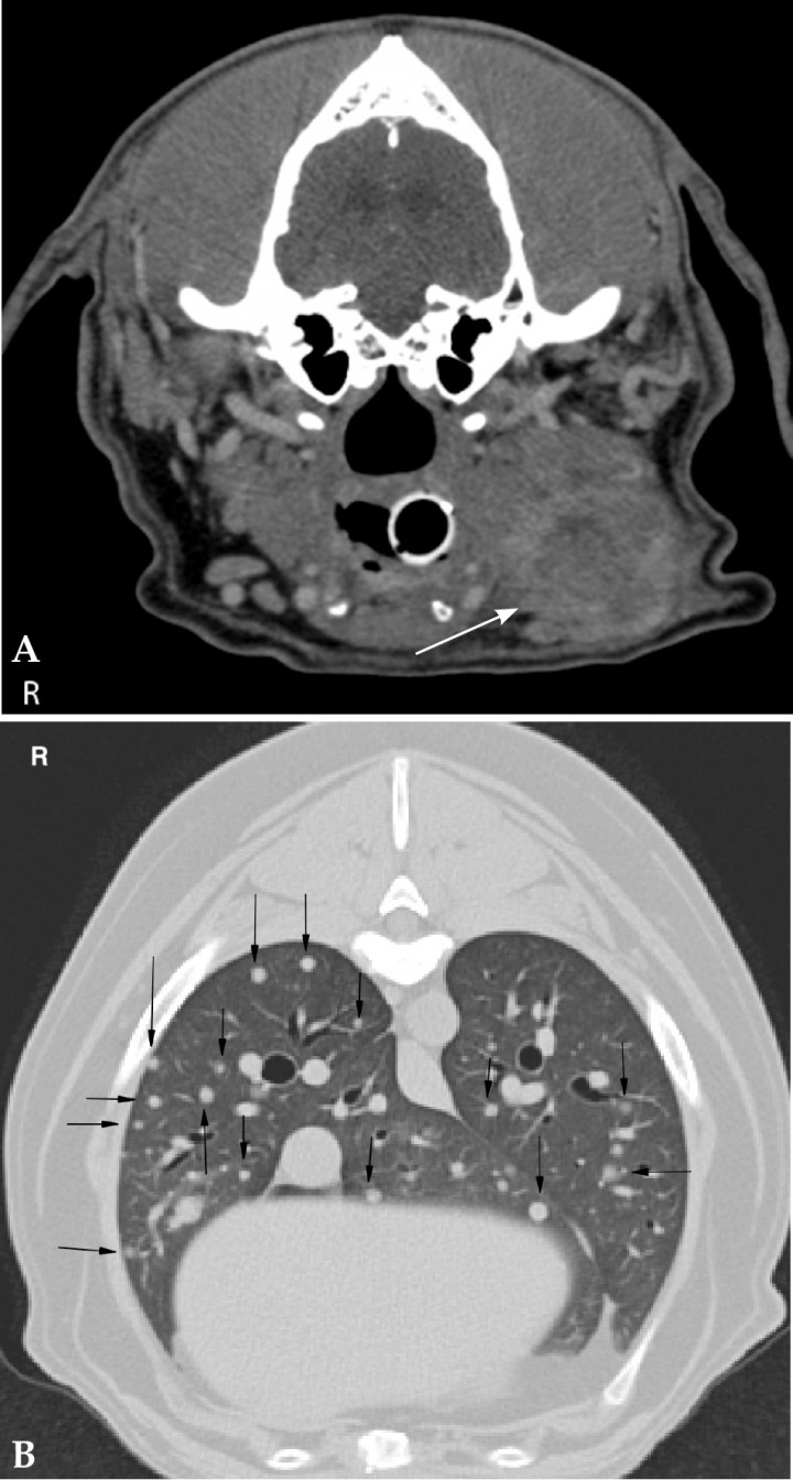
The purpose of diagnostic staging is to assess the extension of local disease and to evaluate for regional and distant metastasis to evaluate treatment options.[ Biller B, Berg J, Garrett L et al.: 2016 AAHA Oncology Guidelines for Dogs and Cats. J Am Anim Hosp Assoc 2016; 52:181-204. [PubMed] ] To assess for regional metastasis, the corresponding sentinel lymph node (SLN), which is the first drainage area of a tumour, needs to be always included in the study and evaluated carefully. It has been suggested that the medial retropharyngeal lymph nodes, which are the sentinel lymph nodes for the head and cervical masses, are more likely to be metastatic than reactive if they present with an asymmetric size or a loss of a detectable hilus of the lymph node in CT; however cytologic or histopathologic examination remains vital (Fig. 10A).[ Nemanic S, Hollars K, Nelson NC et al.: Combination of computed tomographic imaging characterisitics of medial retropharyngeal lymph nodes and nasal passages aids discrimination between rhinitis and neoplasia in cats. Vet Radiol Ultrasound 2015; 56:617-627. [PubMed] ]

<p>(A) Transverse soft tissue window post contrast image of the neck of a 10 year-old Golden Retriever. The left mandibular lymph nodes are severely enlarged with indistinct margins and heterogeneous contrast enhancement (white arrow). Fine aspiration of the lymph node revealed metastasis of a squamous cell carcinoma of the nasal cavity. (B) Transverse lung window post contrast image of an 11 year-old Puggle with an oral melanoma. There are multiple, different sized, regularly marginated, soft tissue nodules throughout the whole lung parenchyma consistent with pulmonary metastasis (black arrows). R: right.</p>
Figura 10

(A) Transverse soft tissue window post contrast image of the neck of a 10 year-old Golden Retriever. The left mandibular lymph nodes are severely enlarged with indistinct margins and heterogeneous contrast enhancement (white arrow). Fine aspiration of the lymph node revealed metastasis of a squamous cell carcinoma of the nasal cavity. (B) Transverse lung window post contrast image of an 11 year-old Puggle with an oral melanoma. There are multiple, different sized, regularly marginated, soft tissue nodules throughout the whole lung parenchyma consistent with pulmonary metastasis (black arrows). R: right.

The lung is a common site of distant metastases among various neoplasms.[ Miles KG, Lattimer JC, Jergens AE et al.: A retrospective evaluation of the radiographic evidence of pulmonary metastatic disease on initial presentation in the dog. Vet Radiol Ultrasound 1990; 31:79-82. [Wiley] ] CT is the most sensitive modality for detection and assessment of pulmonary lesions in human and veterinary medicine.[ Choi DJ, Kwak JM, Kim J et al. Preoperative chest computerized tomography in patients with locally advanced mid or lower rectal cancer: Its role in staging and impact on treatment strategy. J Surg Oncol 2010; 102: 588-592. [PubMed] , Nemanic S, London CA, Wisner ER: Comparison of thoracic radiographs and single breath-hold helical CT for detection of pulmonary nodules in dogs with metastatic neoplasia. J Vet Intern Med 2006; 20:508-515. [PubMed] , Somboonporn C, Simthamnimit P, Puttharak W et al.: Role of chest radiography in the diagnosis and follow-up of pulmonary metastasis in differentiated thyroid cancer. J Med Assoc Thai 2010; 93 Suppl 3:S52-60. [PubMed] ] CT as a cross sectional modality and due to increased spatial resolution is superior to radiography in detecting pulmonary nodules (Fig. 10B). In conventional radiography, pulmonary nodules need to be at least 3 to 5 mm to be detected, whereas in CT pulmonary nodules of 1 mm are visualized. However, CT is not able to replace thoracic radiography for pulmonary metastasis monitoring, especially in light of recent concerns about cumulative diagnostic radiation dose from CT.[ Alexander K, Joly H, Blond L et al.: A Comparison of computed tomography, computed radiography, and film-screen radiography for the detection of canine pulmonary nodules. Vet Radiol Ultrasound 2012; 53:258-265. [PubMed] , Armbrust LJ, Biller DS, Bamford A et al.: Comparison of three-view thoracic radiography and computed tomography for detection of pulmonary nodules in dogs with neoplasia. J Am Vet Med Assoc 2012; 240:1088-1094. [PubMed] , Eberle N, Fork M, Von Babo V et al.: Comparison of examination of thoracic radiographs and thoracic computed tomography in dogs with appendicular osteosarcoma. Vet Comp Oncol 2010; 9:131-140. [PubMed] , Niesterok C, Köhler C, Ludewig E et al.: Comparison of projection radiography and computed tomography for the detection of pulmonary nodules in the dog and cat. Tierärztl Prax 2013; 41:155-162. [PubMed] ]

In case of primary neoplasia, especially with high metastatic rate, emerging whole body CT has been recommended as the most efficient tumor staging technique.[ Vignoli M, Terragni R, Rossi F et al.: Whole body computed tomographic characteristics of skeletal and cardiac muscular metastatic neoplasia in dogs and cats. Vet Radiol Ultrasound 2013; 54:223-230. [PubMed] , Bonaparte A, Dhaliwal RS, Heo J et al.: Whole body computed tomography for tumor staging in dogs: Review of 16 cases. J Vet Sci Technol 2016; 7:1-6. [OMICS] ] In a retrospective study about whole body CT, lymphadenomegaly was the finding most commonly reported. Depending on the type of tumor the spread to regional and distant lymph nodes may vary.[ Bonaparte A, Dhaliwal RS, Heo J et al.: Whole body computed tomography for tumor staging in dogs: Review of 16 cases. J Vet Sci Technol 2016; 7:1-6. [OMICS] ] Tracheobronchial lymph node enlargement has been described to be associated especially with neoplasms including lymphoma, histiocytic sarcoma of the lung and metastatic adenocarcinoma.[ Jones BG, Pollard RE: Relationship between radiographic evidence of tracheobronchial lymph node enlargement and definitive or presumptive diagnosis. Vet Radiol Ultrasound 2012; 53:486-491. [PubMed] ] In that retrospective study it has been further reported that the most common finding in the abdomen was splenomegaly, which may be attributed to the use of anesthetic drugs or neoplasia including hemangiosarcoma, lymphoma, or mast cell tumors.[ Bonaparte A, Dhaliwal RS, Heo J et al.: Whole body computed tomography for tumor staging in dogs: Review of 16 cases. J Vet Sci Technol 2016; 7:1-6. [OMICS] ] Concerning staging canine appendicular osteosarcoma, whole body CT for evaluation for bone metastases has been assessed in comparison to the current recommended method including thoracic radiographs and whole body bone scintigraphy. It has been concluded that whole body CT is useful assessing potential metastatic lesions on bone scintigraphy, however it seems inferior as a screening tool alone compared to a combination of modalities.[ Talbott JL, Boston SE, Milner RJ et al.: Retrospective evaluation of whole body computed tomography for tumor staging in dogs with primary appendicular osteosarcoma. Vet Surg 2017; 46:75-80. [PubMed] ] In cases in which CT scans have been performed for diagnostics, staging and/or radiation therapy planning for neoplasms such as oral/neck neoplasms or thoracic wall masses, a study focused on describing synchronous findings in dogs. They found 5 % tumor-associated abnormalities, including synchronous primary neoplasms, metastases of the primary tumor mainly to the lungs or both.[ Magestro LM, Gieger TL: Detection of synchronous primary tumours and previously undetected metastases in 736 dogs with neoplasia undergoing CT scans for diagnostic, staging and/or radiation treatment planning purposes. Vet Comp Oncol 2017; 15:576-581. [PubMed] ] Another study aimed at describing rarer findings in a late disease course such as skeletal and cardiac muscular metastatic neoplasia in dogs and cats. Multiple nodules were detected in the majority of the cases and most commonly affected epaxial/paraspinal muscles of the cervical, thoracic, and lumbar spine and superficial muscles of the thoracic wall.[ Vignoli M, Terragni R, Rossi F et al.: Whole body computed tomographic characteristics of skeletal and cardiac muscular metastatic neoplasia in dogs and cats. Vet Radiol Ultrasound 2013; 54:223-230. [PubMed] ]

Thus, on the one hand whole body CT is a time-efficient modality, which shows an increased spatial resolution to commonly used modalities for staging such as digital radiography and abdominal ultrasonography. However, on the other hand it is more expensive as a single modality and requires anesthesia.[ Bonaparte A, Dhaliwal RS, Heo J et al.: Whole body computed tomography for tumor staging in dogs: Review of 16 cases. J Vet Sci Technol 2016; 7:1-6. [OMICS] ] So advantages and disadvantages need to be discussed with the owner and decided individually according to the patient.

Conclusion

CT is increasingly attractive to clinicians by offering increased spatial resolution and multiplanar reconstruction in order to describe localization, lesion margins and texture of neoplasms. CT is used to assess nearly all anatomical regions of the body with a varying degree; however, it might be used in combination or be replaced by other imaging modalities depending on availability, costs and patient.

 

Funding: the authors received no financial support for the research, authorship, and/or publication of this article.

Conflicts of interest: the authors declared no potential conflicts of interest with respect to the research, authorship, and/ or publication of this article.

Bibliografía

  1. [1] Biller B, Berg J, Garrett L et al.: 2016 AAHA Oncology Guidelines for Dogs and Cats. J Am Anim Hosp Assoc 2016; 52:181-204. [PubMed]
  2. [2] Forrest LJ: Computed Tomography Imaging in Oncology. Vet Clin Small Anim 2016; 46:499-513. [PubMed]
  3. [3] Kondo Y, Matsunaga S, Mochizuki M, et al.: Prognosis of canine patients with nasal tumors according to modified stages based on computed tomography: a retrospective study. J Vet Med Sci 2008; 70:207-212. [PubMed]
  4. [4] Mattoon JS, Bryan JN: The future of imaging in veterinary oncology: Learning from human medicine. Vet J 2013; 197:541-552. [PubMed]
  5. [5] Nemanic S, Hollars K, Nelson NC et al.: Combination of computed tomographic imaging characterisitics of medial retropharyngeal lymph nodes and nasal passages aids discrimination between rhinitis and neoplasia in cats. Vet Radiol Ultrasound 2015; 56:617-627. [PubMed]
  6. [6] Tromblee TC, Jones JC, Etue AE et al.: Association between clinical characteristics, computed tomography characteristics, and histologic diagnosis for cats with sinonasal disease. Vet Radiol Ultrasound 2006; 47:241-248. [Wiley]
  7. [7] Avner A, Dobson JM, Sales JI et al.: Retrospective review of 50 canine nasal tumours evaluated by low-field magnetic resonance imaging. J Small Anim Pract 2008; 49:233-239. [PubMed]
  8. [8] Drees D, Forrest LJ, Chappell R: Comarison of computed tomography and magnetic resonance imaging for the evaluation of canine intranasal neoplasia. J Small Anim Pract 2009; 50:334-340. [PubMed]
  9. [9] Lux CN, Culp WTN, Johnson LR et al.: Prospective comparison of tumor staging using computed tomography versus magnetic resonance imaging findings in dogs with nasal neoplasia: A pilot study. Vet Radiol Ultrasound 2017; 58:315-325. [PubMed]
  10. [10] Hathcock JT, Newton JC: Computed tomographic characteristics of multilobular tumor of bone involving the cranium in 7 dogs and zygomatic arch in 2 dogs. Vet Radiol Ultrasound 2000; 41: 214-217. [PubMed]
  11. [11] Ghirelli CO, Villamizar LA, Pinto AC: Comparison of standard radiography and computed tomography in 21 Dogs with maxillary masses. J Vet Dent 2013; 30:72-76. [PubMed]
  12. [12] Lamb CR, Sibbing K, Priestnall SL: Pathologic basis for rim enhancement observed in computed tomographic images of feline nasopharyngeal polyps. Vet Radiol Ultrasound 2016; 57:130-136. [PubMed]
  13. [13] Mai W, Seiler GS, Lindl-Bylicki BJ et al.: CT and MRI features of carotid body paragangliomas in 16 dogs. Vet Radiol Ultrasound 2015; 56:374-383. [PubMed]
  14. [14] Taeymans O, Penninck DG, Peters RM: Comparison between clinical, ultrasound, CT, MRI, and pathology findings in dogs presented for suspected thyroid carcinoma. Vet Radiol Ultrasound 2013; 54:61-70. [PubMed]
  15. [15] Aarsvold S, Reetz JA, Reichle JK et al.: Computed tomographic findings in 57 cats with primary pulmonary neoplasia. Vet Radiol Ultrasound 2015; 56:272-277. [PubMed]
  16. [16] Marolf AJ, Gibbons DS, Podell BK et al.: Computed tomographic appearance of primary lung tumors in dogs. Vet Radiol Ultrasound 2011; 52:168-172. [PubMed]
  17. [17] Tsai S, Sutherland-Smith J, Burgess K et al.: Imaging characteristics of intrathoracic histiocytic sarcoma in dogs. Vet Radiol Ultrasound 2012; 53:21-27. [PubMed]
  18. [18] Yoon J, Feeney DA, Cronk DE et al.: Computed tomographic evaluation of canine and feline mediastinal masses in 14 patients. Vet Radiol Ultrasound 2004; 45:542-546. [PubMed]
  19. [19] Scherrer W, Kyles A, Samii V et al.: Computed tomographic assessment of vascular invasion and resectability of mediastinal masses in dogs and a cat. N Z Vet J 2008; 56:330-333. [PubMed]
  20. [20] Penninck D, D’Anjou M-A. Liver. Hecht S, Mai W. Spleen. En Penninck D, D’Anjou M-A (ed): Atlas of Small Animal Ultrasonography. Second Edition, Willey Blackwell, 2015; 183-259.
  21. [21] Jones ID, Lamb CR, Drees R et al.: Associations between dual-phase computed tomography features and histopathologic diagnoses in 52 dogs with hepatic or splenic masses. Vet Radiol Ultrasound 2016; 57:144-153. [PubMed]
  22. [22] Kutara K, Seki M, Ishikawa C et al.: Triple-phase helical computed tomography in dogs with hepatic masses. Vet Radiol Ultrasound 2014; 55:7-15. [PubMed]
  23. [23] Fukushima K, Fujiwara R, Yamamoto K et al.: Characterization of triple-phase computed tomography in dogs with pancreatic insulinoma. J Vet Med Sci 2016; 77(12):1549-1553. [PMC]
  24. [24] Nakamura K, Lim S-Y, Ochiai K et al.: Contrast-enhanced ultrasonographic findings in three dogs with pancreatic insulinoma. Vet Radiol Ultrasound 2015; 56:55-62. [PubMed]
  25. [25] Gregori T, Mantis P, Benigni L et al.: Comparison of computed tomographic and pathologic findings in 17 dogs with primary adrenal neoplasia. Vet Radiol Ultrasound 2015; 56:153-159. [PubMed]
  26. [26] Spector DI, Fischetti AJ, Kovak-McClaran JR: Computed tomographic characteristics of intrapelvic masses in dogs. Vet Radiol Ultrasound 2011; 52:71-74. [PubMed]
  27. [27] Thrall DE. Radiographic features of bone tumors and bone infections. En Thrall DE (ed): Textbook of Veterinary Diagnostic Radiology, St Louis, Missouri, Elsevier, 2013; 307-317.
  28. [28] Wallack ST, Wisner ER, Werner JA et al.: Accuracy of magnetic resonance imaging for estimating intramedullary osteosarcoma extent in pre-operative planning of canine limb-salvage procedures. Vet Radiol Ultrasound 2002; 5:432-441. [PubMed]
  29. [29] Karnik KS, Samii VF, Weisbrode SE et al.: Accuracy of computed tomography in determining lesion size in canine appendicular osteosarcoma. Vet Radiol Ultrasound 2012; 53:273-279. [PubMed]
  30. [30] Miles KG, Lattimer JC, Jergens AE et al.: A retrospective evaluation of the radiographic evidence of pulmonary metastatic disease on initial presentation in the dog. Vet Radiol Ultrasound 1990; 31:79-82. [Wiley]
  31. [31] Choi DJ, Kwak JM, Kim J et al. Preoperative chest computerized tomography in patients with locally advanced mid or lower rectal cancer: Its role in staging and impact on treatment strategy. J Surg Oncol 2010; 102: 588-592. [PubMed]
  32. [32] Nemanic S, London CA, Wisner ER: Comparison of thoracic radiographs and single breath-hold helical CT for detection of pulmonary nodules in dogs with metastatic neoplasia. J Vet Intern Med 2006; 20:508-515. [PubMed]
  33. [33] Somboonporn C, Simthamnimit P, Puttharak W et al.: Role of chest radiography in the diagnosis and follow-up of pulmonary metastasis in differentiated thyroid cancer. J Med Assoc Thai 2010; 93 Suppl 3:S52-60. [PubMed]
  34. [34] Alexander K, Joly H, Blond L et al.: A Comparison of computed tomography, computed radiography, and film-screen radiography for the detection of canine pulmonary nodules. Vet Radiol Ultrasound 2012; 53:258-265. [PubMed]
  35. [35] Armbrust LJ, Biller DS, Bamford A et al.: Comparison of three-view thoracic radiography and computed tomography for detection of pulmonary nodules in dogs with neoplasia. J Am Vet Med Assoc 2012; 240:1088-1094. [PubMed]
  36. [36] Eberle N, Fork M, Von Babo V et al.: Comparison of examination of thoracic radiographs and thoracic computed tomography in dogs with appendicular osteosarcoma. Vet Comp Oncol 2010; 9:131-140. [PubMed]
  37. [37] Niesterok C, Köhler C, Ludewig E et al.: Comparison of projection radiography and computed tomography for the detection of pulmonary nodules in the dog and cat. Tierärztl Prax 2013; 41:155-162. [PubMed]
  38. [38] Vignoli M, Terragni R, Rossi F et al.: Whole body computed tomographic characteristics of skeletal and cardiac muscular metastatic neoplasia in dogs and cats. Vet Radiol Ultrasound 2013; 54:223-230. [PubMed]
  39. [39] Bonaparte A, Dhaliwal RS, Heo J et al.: Whole body computed tomography for tumor staging in dogs: Review of 16 cases. J Vet Sci Technol 2016; 7:1-6. [OMICS]
  40. [40] Jones BG, Pollard RE: Relationship between radiographic evidence of tracheobronchial lymph node enlargement and definitive or presumptive diagnosis. Vet Radiol Ultrasound 2012; 53:486-491. [PubMed]
  41. [41] Talbott JL, Boston SE, Milner RJ et al.: Retrospective evaluation of whole body computed tomography for tumor staging in dogs with primary appendicular osteosarcoma. Vet Surg 2017; 46:75-80. [PubMed]
  42. [42] Magestro LM, Gieger TL: Detection of synchronous primary tumours and previously undetected metastases in 736 dogs with neoplasia undergoing CT scans for diagnostic, staging and/or radiation treatment planning purposes. Vet Comp Oncol 2017; 15:576-581. [PubMed]

Artículos recomendados

Estas recomendaciones se ofrecen de forma automática.

  • Fallo hepático en un perro tras intoxicación por ingestión de semillas de Cycas revoluta

    C. García, A. Segarra, N. Bedía, et al.
    Clin Vet Peq Anim Vol. 45 - Nº 3 · SEP 2025 · Artículo original referido a un solo caso clínico
  • Pseudoaneurisma venoso de presunto origen yatrogénico causado al realizar una biopsia ósea

    F. Osorio, L. Feo, J. Puig
    Clin Vet Peq Anim Vol. 45 - Nº 1 · MAR 2025 · Artículo original referido a un solo caso clínico
  • Concordancia entre IDEXX SediVue Dx y el cultivo de orina en perros y gatos

    L. Di Filippo, I. Frías, R. Santiago
    Clin Vet Peq Anim Vol. 44 - Nº 1 · MAR 2024 · Artículo original referido a múltiples casos clínicos
  • Inicio
  • Introduction
  • Head and neck
  • Thorax
  • Abdomen
  • Skeletal system
  • The role of CT in the staging process
  • Conclusion
  • Bibliografía
Artículo anterior Índice de la revista Artículo siguiente
ANUNCIO
Próximos cursos ATVs Elearning
Índice
Inicio Introduction Head and neck Thorax Abdomen Skeletal system The role of CT in the staging process Conclusion Bibliografía
LetiFend
ANUNCIO

¿No eres socio de AVEPA y quieres recibir comunicación de las nuevas ediciones en tu correo?

Suscríbete

Suscríbete y te avisaremos cuando publiquemos un nuevo número

Suscribirme

Enlaces rápidos

  • Inicio
  • Último número
  • Archivo
  • Artículos

Información

  • Comité editorial
  • Política de cookies
  • Política de privacidad
  • Términos y condiciones

Contacto

  • info@imaginice.com
  • Envíanos tu artículo
© 2026 Ice Salud Vet SL. Todos los derechos reservados.

Usamos cookies para mejorar tu experiencia. Selecciona cuáles aceptas: