Logo AVEPA

Clínica Veterinaria de Pequeños Animales

Revista oficial de AVEPA

  • Inicio
  • Último número
  • Archivo
  • Artículos
  • Para autores
  • Contacto
Cursos Junio-Septiembre 2026
ANUNCIO

Clínica Veterinaria de Pequeños Animales

Revista oficial de AVEPA

  • Inicio
  • Último número
  • Archivo
  • Artículos
  • Para autores
  • Contacto
Curso Oftalmología 2026
ANUNCIO
Clin Vet Peq Anim Vol. 38 • Nº 2 • junio 2018

Neumonectomía unilateral completa en el tratamiento de neumonía lipídica endógena en un gato

Unilateral complete neumonectomy in the treatment of endogenous lipid pneumonia in a cat

Artículo original referido a un solo caso clínico

P.M. Cortés-Sánchez

Hospital veterinario Estoril. c/ Corona Verde, 2, 28931 Móstoles. Madrid.

Contacto: pcortescardio@gmail.com
Palabras clave: neumonía lipídica, neumonectomía, hipoxia.
Keywords: lipid pneumonia, pneumonectomy, hypoxia.

Clin. Vet. Peq. Anim, 2018, 38 (2): 93 - 99

Descargar artículo

Resumen

Se presenta el caso de una gata persa de 9 años que acude a consulta por un cuadro de disnea desencadenado por una situación de estrés (visita a la peluquería) después de un periodo de meses de disminución progresiva de la actividad. Tras la estabilización inicial, las pruebas diagnósticas demuestran la atelectasia completa del pulmón izquierdo. Se realiza toracotomía exploratoria y ante la imposibilidad de reinsuflar el pulmón afectado, se decide realizar neumonectomía completa. Esto resuelve completamente los signos clínicos del paciente. El estudio histopatológico demuestra la presencia de una severa neumonía lipídica endógena (tras descartarse la posibilidad de aspiración de aceites u otras sustancias y debido a las características histopatológicas del tejido). Esto mantiene al paciente completamente asintomático durante un período de 16 meses, tras el cual se desarrolla un proceso respiratorio con disnea progresiva y fiebre. Se observa respuesta parcial a tratamiento médico con antibióticos. El deterioro del paciente conduce a la eutanasia 3 meses después de la recidiva (19 meses después del primer episodio). El estudio histopatológico del segundo pulmón postmortem confirma la neumonía lipídica endógena bilateral.

Abstract

A 9 years old female Persian cat is presented with dyspnea following a visit to the groomer the day before. Owners had noticed progressive reduction of the exercise tolerance in the last months prior to the episode. After initial stabilization, investigations showed a complete atelectasis of the left lung lobe. Exploratory thoracotomy was performed at this point. After unsuccessful attempts to insufflate the affected lung, the whole left lung was removed (complete pneumonectomy) and submitted to histopathology. This proved a severe endogenous lipid pneumonia (based on the histopathologic characteristics of the tissue and after ruling out the chance of oil inhalation). The surgical procedure resulted in the complete resolution of the clinical sings. The patient remained asymptomatic for 16 months. After that period, respiratory sings reoccurred, in this occasion along with fever. Medical treatment with antibiotics resulted in a mild improvement. Progressive deterioration of the patient led to euthanasia 3 months after the reoccurrence, 19 months after the original presentation. Postmortem histopathologic analysis of the lung proved again the presence of lipid pneumonia.

Introducción

La neumonía lipídica es un proceso inflamatorio muy poco frecuente del parénquima pulmonar[ Jones DJ, Norris CR, Samii VF, Griffey SM. Endogenous lipid pneumonia in cats: 24 cases (1985-1998). J Am Vet Med Assoc. 2000; 1;216:1437-40. [PubMed] , Hadda V, Khilnani GC. Lipoid pneumonia: an overview. Expert Rev Respir Med.2010. 4(6):799-807. [PubMed] , Himsworth CG, Malek S,Saville K,Allen AL. Endogenous lipid pneumonia and what lies beneath. Can Vet J 2008; 49(8): 813–815. [PubMed] , Raya AI, Fernández-de Marco M, Núñez A et. al. Endogenous lipid pneumonia in a dog. J Comp Pathol 2006. 135(2-3):153-155. [PubMed] , Corcoran BM, Martin M, Darke PGG, et al. Lipoid pneumonia in a rough collie dog. J Small Anim Pract 1992. 33(11): 544–548. ] caracterizado por la ocupación del espacio alveolar por lípidos. Su presentación está descrita en varias especies animales, así como en humanos. El origen de estos lípidos permite subclasificarla en dos clases:[ Hadda V, Khilnani GC. Lipoid pneumonia: an overview. Expert Rev Respir Med.2010. 4(6):799-807. [PubMed] , Himsworth CG, Malek S,Saville K,Allen AL. Endogenous lipid pneumonia and what lies beneath. Can Vet J 2008; 49(8): 813–815. [PubMed] , Raya AI, Fernández-de Marco M, Núñez A et. al. Endogenous lipid pneumonia in a dog. J Comp Pathol 2006. 135(2-3):153-155. [PubMed] , Corcoran BM, Martin M, Darke PGG, et al. Lipoid pneumonia in a rough collie dog. J Small Anim Pract 1992. 33(11): 544–548. ] exógena por aspiración de sustancias grasas como aceites, y endógena debido a una infiltración del tejido pulmonar por macrófagos cargados de lípidos.

La ocupación del espacio alveolar por sustancias lipídicas imposibilita el intercambio gaseoso en la región afectada. Al ser un trastorno infrecuente, aún no están completamente establecidos los mecanismos por los que se desarrolla, si bien tanto en medicina humana como en veterinaria parece haber una asociación entre esta patología y las enfermedades que cursan con una severa obstrucción al flujo aéreo en el pulmón, como las neoplasias[ Jones DJ, Norris CR, Samii VF, Griffey SM. Endogenous lipid pneumonia in cats: 24 cases (1985-1998). J Am Vet Med Assoc. 2000; 1;216:1437-40. [PubMed] , Himsworth CG, Malek S,Saville K,Allen AL. Endogenous lipid pneumonia and what lies beneath. Can Vet J 2008; 49(8): 813–815. [PubMed] , Corcoran BM, Martin M, Darke PGG, et al. Lipoid pneumonia in a rough collie dog. J Small Anim Pract 1992. 33(11): 544–548. , Jerram RM, Guyer CL, Braniecki A, Read WK,Hobson HP. Endogenous lipid (cholesterol) pneumonia associated with bronchogenic carcinoma in a cat. J Am Anim Hosp Assoc. 1998; 34(4):275-80. [PubMed] ] o las bronquiectasias severas,[ Himsworth CG, Malek S,Saville K,Allen AL. Endogenous lipid pneumonia and what lies beneath. Can Vet J 2008; 49(8): 813–815. [PubMed] , Jerram RM, Guyer CL, Braniecki A, Read WK,Hobson HP. Endogenous lipid (cholesterol) pneumonia associated with bronchogenic carcinoma in a cat. J Am Anim Hosp Assoc. 1998; 34(4):275-80. [PubMed] , Lin J, Huang LL, Zhang JW, Ye MH, Feng JX. Endogenous lipoid pneumonia presenting as solitary pulmonary nodule: a case report. Int J Clin Exp Pathol 2015. 8(8): 9727-9730. [PubMed] ] clasificándose en este caso la neumonía lipídica como secundaria. Otras etiologías como alteraciones en el metabolismo de los lípidos, hipofisectomía, déficit de vitamina B o exposición a sustancias irritantes han sido descritas en felinos. Aunque la patofisiología parece ser similar en humanos y animales, es más frecuente la presencia de enfermedades obstructivas en las personas, mientras que las enfermedades inflamatorias no infecciosas representan una gran proporción de los casos descritos en gatos.[ Jones DJ, Norris CR, Samii VF, Griffey SM. Endogenous lipid pneumonia in cats: 24 cases (1985-1998). J Am Vet Med Assoc. 2000; 1;216:1437-40. [PubMed] ] También ha sido referida como enfermedad primaria, sin asociación con ninguna otra patología, denominándose en este caso idiopática.[ Jones DJ, Norris CR, Samii VF, Griffey SM. Endogenous lipid pneumonia in cats: 24 cases (1985-1998). J Am Vet Med Assoc. 2000; 1;216:1437-40. [PubMed] , Himsworth CG, Malek S,Saville K,Allen AL. Endogenous lipid pneumonia and what lies beneath. Can Vet J 2008; 49(8): 813–815. [PubMed] , Corcoran BM, Martin M, Darke PGG, et al. Lipoid pneumonia in a rough collie dog. J Small Anim Pract 1992. 33(11): 544–548. , Byerley JS, Hernandez ML, Leigh MW, Antoon JW. Clinical approach to endogenous lipoid pneumonia. Clin Resp J. 2016. 10(2): 259–263. [PubMed] ] Su diagnóstico es aún complicado, y aunque puede sospecharse su presencia mediante pruebas de imagen como la radiología simple o la Tomografía computarizada (TC),[ Lin J, Huang LL, Zhang JW, Ye MH, Feng JX. Endogenous lipoid pneumonia presenting as solitary pulmonary nodule: a case report. Int J Clin Exp Pathol 2015. 8(8): 9727-9730. [PubMed] , Byerley JS, Hernandez ML, Leigh MW, Antoon JW. Clinical approach to endogenous lipoid pneumonia. Clin Resp J. 2016. 10(2): 259–263. [PubMed] , Betancourt S, Martinez-Jimenez S, Rossi S, et al. Lipoid Pneumonia: Spectrum of Clinical and Radiologic Manifestations. Am J of Roentg. 2010; 194: 103-109. [PubMed] ] su confirmación suele requerir la toma de biopsias.[ Lin J, Huang LL, Zhang JW, Ye MH, Feng JX. Endogenous lipoid pneumonia presenting as solitary pulmonary nodule: a case report. Int J Clin Exp Pathol 2015. 8(8): 9727-9730. [PubMed] ]Tampoco está bien documentado su tratamiento, habiéndose propuesto varias opciones, especialmente en medicina humana, tales como la inmunosupresión,[ Byerley JS, Hernandez ML, Leigh MW, Antoon JW. Clinical approach to endogenous lipoid pneumonia. Clin Resp J. 2016. 10(2): 259–263. [PubMed] , Morita H, Arai S, Kurasawa K et al. Intensive immunosuppressive therapy for endogenous lipoid pneumonia associated with rheumatoid arthritis. Mod Rheumatol. 2016. 20:1-5. [PubMed] ] antibioterapia[ Byerley JS, Hernandez ML, Leigh MW, Antoon JW. Clinical approach to endogenous lipoid pneumonia. Clin Resp J. 2016. 10(2): 259–263. [PubMed] ] como adyuvante a la inmunosupresión o lavado terapéutico pulmonar completo.[ Nicholson AG, Wells AU, Hooper J et al. Successful treatment of endogenous lipoid pneumonia due to Niemann-Pick Type B disease with whole-lung lavage. Am J Respir Crit Care Med. 2002. 165(1):128-31. [PubMed] ]

El objetivo de este trabajo es describir una patología que, aunque infrecuente, debe incluirse en la lista de diagnósticos diferenciales en animales que acuden por cuadro respiratorio. Adicionalmente, pretende proponer un posible abordaje terapéutico basado en la cirugía en el caso de poder diagnosticarse antemortem.

Caso clínico

Se presenta una gata hembra castrada, de raza Persa, 3,5 kg de peso y 9 años de edad. El motivo de la consulta es disnea moderada a grave tras un episodio de estrés en la peluquería el día anterior. Previamente a este episodio los propietarios habían notado un mayor aislamiento del animal y una clara disminución de la actividad física en los últimos meses.

A la exploración se observa taquipnea (68 respiraciones/minuto) y espiración claramente prolongada, clasificándose el cuadro como disnea espiratoria y sospechándose, por tanto, de enfermedad de vía aérea baja.[ Ettinger S, Feldman E, Cote E. Textbook of veterinary internal medicine: diseases of the dog and cat. 8th edition. Chapter 28: tachypnea, dyspnea and respiratory distress. 2017. Elsevier. St. Louis Missouri, USA. ] El paciente se mantiene en decúbito esternal y el cuello estirado, aunque con la boca cerrada. La auscultación revela la presencia de soplo sistólico de grado IV/VI en área de proyección esternal izquierda. Los sonidos pulmonares parecen estar levemente mitigados. La palpación abdominal es normal, la temperatura rectal es de 38,8 ºC, los linfonodos no presentan alteraciones, el tiempo de relleno capilar es inferior a tres segundos, y el pulso es fuerte y regular. La frecuencia cardíaca es de 180 lpm.

Para reducir el estrés del paciente se administra butorfanol intramuscular (Torbugesic Vet, Pfizer, Alcobendas) a dosis de 0,1 mg/kg, tras lo cual se realiza radiografía lateral de la cavidad torácica (Fig. 1). En ella se observa un patrón intersticio-alveolar, parcheado en varias zonas del pulmón, eminentemente en región dorsocaudal. La presencia de soplo cardíaco y disnea junto con un patrón radiográfico pulmonar intersticio-alveolar conducen a un diagnóstico presuntivo de edema pulmonar cardiogénico. No se realizan más pruebas diagnósticas en ese momento dado el estado crítico del paciente. Se inicia tratamiento para estabilización con oxigenoterapia en jaula de oxígeno, infusión intravenosa continua de furosemida (Seguril ampollas inyectables, 20 mg/2ml, Sanofi, Barcelona) a dosis de 1 mg/kg/hora durante 12 horas y nitroglicerina transdérmica con aplicación de un cuarto de parche (Nitrodur 10, 0,42 mg/h, MSD, Salamanca).

<div class=\"Basic-Text-Frame\">
<p>Radiografía de tórax lateral derecha. Se observa un patrón intersticial-alveolar en varias áreas, especialmente en región dorsocaudal.</p>
</div>
Figura 1

Radiografía de tórax lateral derecha. Se observa un patrón intersticial-alveolar en varias áreas, especialmente en región dorsocaudal.

Tras 24 horas de hospitalización el paciente ha mejorado notablemente su respiración, aunque se mantiene una prolongación de la espiración. La taquipnea se ha resuelto y la postura del paciente es fisiológica, comiendo y bebiendo con normalidad. Se da el alta y se programa una ecocardiografía. A las 12 horas del alta, el paciente regresa por recidiva de los síntomas. Se aplica de nuevo oxigenoterapia y se administra un bolo de furosemida intravenosa a dosis de 0,5 mg/kg.

Una vez estabilizado el paciente, se realiza una ecocardiografía para confirmar el origen cardíaco de los signos clínicos. El abordaje por el lado derecho no permite localizar el corazón. Se sospecha de una localización anómala del mismo en la caja torácica. Se aborda el corazón solo por el lado izquierdo. Aunque por motivos anatómicos no se logra una idónea optimización de las vistas, es posible observar:

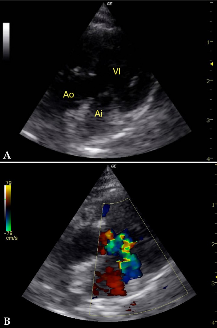
  • Engrosamiento moderado difuso y homogéneo (6,5 mm medido en 2D) de las paredes del ventrículo izquierdo (Fig. 2A) en corte apical 5 cámaras.
  • Presencia de flujo turbulento en el tracto de salida izquierdo con aumento de la velocidad en grado leve (2,2 m/s) simultáneo a insuficiencia mitral (Fig. 2B), lo que permite el diagnóstico de SAM (Systolic Anterior Movement) de la válvula mitral. El tejido endocárdico de esta región se presenta hiperecógeno, compatible con fibrosis.
  • No se observa dilatación del atrio izquierdo.
  • Flujo transmitral de relajación anómala: inversión del flujo E/A con ratio E/A 0,5, lo que sugiere una disfunción diastólica de grado 1.[ Boon J. Veterinary echocardiography. 2nd edition. Chapter 4; p:287-296. 2011. Wiley-Blackwell. Ames, Iowa, USA. ]
<p>Imagen de ecocardiografía. (<strong>A</strong>) Corte apical 5 cámaras lado izquierdo con escasa alineación por desituación del corazón en la caja torácica que muestra engrosamiento difuso de las paredes ventriculares. (<strong>B</strong>) Corte apical 5 cámaras lado izquierdo con Doppler color que muestra la presencia de obstrucción dinámica del tracto de salida izquierdo con movimiento sistólico anterior de la válvula mitral. AI: aurícula izquierda, VI: ventrículo izquierdo, Ao: aorta.</p>
Figura 2

Imagen de ecocardiografía. (A) Corte apical 5 cámaras lado izquierdo con escasa alineación por desituación del corazón en la caja torácica que muestra engrosamiento difuso de las paredes ventriculares. (B) Corte apical 5 cámaras lado izquierdo con Doppler color que muestra la presencia de obstrucción dinámica del tracto de salida izquierdo con movimiento sistólico anterior de la válvula mitral. AI: aurícula izquierda, VI: ventrículo izquierdo, Ao: aorta.

Con estos hallazgos, se diagnostica cardiomiopatía hipertrófica obstructiva con disfunción diastólica de grado 1. Se considera poco probable la enfermedad cardíaca como causante de los signos clínicos y radiográficos.

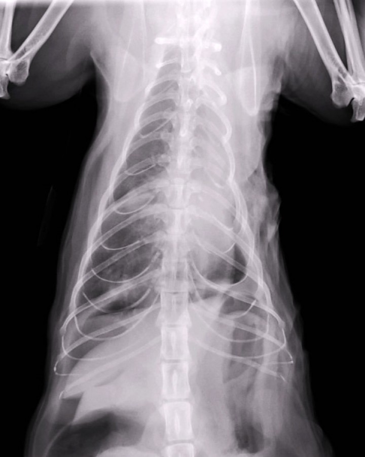
Se realiza radiografía torácica dorsoventral (Fig. 3), en la que se observa el pulmón derecho hiperinsuflado, con desplazamiento lateral del corazón hacia el lado izquierdo. El pulmón izquierdo presenta marcada reducción de volumen por hipoinsuflado, con presencia de alveogramas, regiones atelectásicas y una aparente bulla. Ante estos hallazgos y la pobre respuesta al tratamiento médico, se propone la realización de más pruebas diagnósticas, como una Tomografía Computarizada (TC) de tórax y/o toracotomía exploratoria. Ante la alta probabilidad de requerir un tratamiento quirúrgico posterior, los propietarios deciden realizar la toracotomía exploratoria por ser un método que permite simultáneamente implementar medidas diagnósticas y terapéuticas.

<div class=\"Basic-Text-Frame\">
<p>Radiografía de tórax dorsoventral. Desviación del corazón hacia lado izquierdo del tórax por atelectasia completa de pulmón izquierdo, que presenta patrón intersticial-alveolar y una posible bulla enfisematosa en polo caudal. Pulmón derecho hiperinsuflado. L: izquierda.</p>
</div>
Figura 3

Radiografía de tórax dorsoventral. Desviación del corazón hacia lado izquierdo del tórax por atelectasia completa de pulmón izquierdo, que presenta patrón intersticial-alveolar y una posible bulla enfisematosa en polo caudal. Pulmón derecho hiperinsuflado. L: izquierda.

Se realiza hematología rutinaria y perfil bioquímico prequirúrgico (creatinina, proteínas totales, glucosa, GPT), estando todos los parámetros dentro del rango de referencia. Se procede a anestesia general con propofol i.v. (Propofol lipuro 1%, Braun Vet-care, Barcelona) a dosis de 2 mg/kg posterior a premedicación vía intramuscular con metadona (0,3 mg/kg, Metasedin inyectable 10 mg/ml, Braun, Barcelona), medetomidina (10 µg/kg, Medetor, solución inyectable 1 mg/ml, Virbac, Barcelona)) y midazolam (0,1 mg/kg, Midazolam inyectable 5 mg/ml, Normon, Tres Cantos). Se inicia ventilación mecánica a 12 respiraciones /minuto con 8 cmH de H2O con el ventilador en modo de control de presión. Se procede a toracotomía en sexto espacio intercostal izquierdo. Esta localización permite una óptima exposición del hilio del lóbulo pulmonar caudal.[ Tobias K, Johnston S. Small Animal Surgery. 1st edition. Chapter 103 p:1752-1768. 2011. Elsevier. St Louis, Missouri, USA. ] Se accede a cavidad torácica tras sección de los músculos intercostales en su región media para evitar dañar vasos o nervios, desde la región próxima a la articulación costovertebral en dorsal hasta la unión costocondral en ventral. Se emplea un separador de finochietto para exponer el campo quirúrgico. Se observa un pulmón completamente atelectásico con presencia de una bulla en extremo distal (Fig. 4). Se incrementa progresivamente la presión positiva del ventilador mecánico,[ Hopper K, Powel LL. Basics of mechanical ventilation for dogs and cats. Vet Clin North Am Small Anim Pract 2013. 43(4): 955-969. [PubMed] ] desde 8 cmH2O a 10 cmH2O y, posteriormente, a 12 cmH2O sin lograr reinsuflar el pulmón afectado. Se aplica una PEEP (Presión Positiva al final de la Espiración) inicialmente de 2 cmH2O y, posteriormente, de 4 cmH2O, de nuevo sin obtener resultados. El pulmón permanece completamente atelectásico, por lo que se procede a neumonectomía completa del pulmón izquierdo. Para ello se emplea sutura no reabsorbible de nylon monofilamento 3/0, realizándose ligadura manual de la arteria pulmonar izquierda, el bronquio principal izquierdo y la vena lobar izquierda. Estas estructuras se ligan individualmente. Se realizan tres ligaduras en el bronquio con unos 2 mm de separación entre ellas y dos ligaduras con unos 4 mm de separación en ambos vasos. Para facilitar la ligadura se realiza clampaje con un clamp vascular curvo y se realiza una ligadura distal y otra proximal en el caso de los vasos, y dos ligaduras proximales y una distal en el caso del bronquio. Una vez extirpado el pulmón, el extremo libre del bronquio principal se sutura con patrón continuo para evitar cualquier fuga de aire. Una vez reparada la pared torácica se realiza drenaje torácico para eliminar el gas presente en la cavidad empleando un catéter de 14 gauges insertado en región dorsocaudal respecto a la toracotomía. Se fija el catéter con sutura de nylon 3/0, lo que permite repetir el drenaje una vez concluida la sutura cutánea.

<p>Imagen de la toracotomía intercostal izquierda que muestra pulmón atelectásico y presencia de bulla enfisematosa en su polo distal (estrella).</p>
Figura 4

Imagen de la toracotomía intercostal izquierda que muestra pulmón atelectásico y presencia de bulla enfisematosa en su polo distal (estrella).

La recuperación anestésica es favorable. Se realiza el tercer y último drenaje en el área de recuperación. No se obtiene aire ni líquido y dada la baja tolerancia de los gatos a los sistemas de drenaje permanente, se decide retirar el catéter de toracostomía. Se mantiene al paciente hospitalizado en jaula de oxígeno con fluidoterapia intravenosa a dosis de mantenimiento (60 ml/kg/día) y se medica con: cefazolina intravenosa a 20 mg/kg (Cefazolina Normon 1 g, Tres Cantos), buprenorfina intramuscular a 0,03 mg/kg (Buprecare 0,3 mg/ml, DFV, Barcelona) y meloxicam subcutáneo a 0,1 mg/kg (Metacam inyectable 2 mg/ml, Boehringer Ingelheim, Barcelona).

Se remite el pulmón completo (Fig. 5) para análisis histopatológico.

<div class=\"Basic-Text-Frame\">
<p>Imagen macroscópica del pulmón izquierdo atelectásico extirpado completamente.</p>
</div>
Figura 5

Imagen macroscópica del pulmón izquierdo atelectásico extirpado completamente.

A las 24 horas se realiza otra radiografía de la cavidad torácica, donde se observa disminución de la hiperinsuflación del pulmón derecho. La silueta cardiaca se mantiene desviada hacia el lado izquierdo (Fig. 6), aunque en menor grado. No se observa neumotórax ni derrame pleural apreciable. Se da el alta hospitalaria. Se revisa a las 48 y 72 horas de la intervención. El animal come con apetito, orina y defeca con normalidad y el patrón respiratorio es normal. Se retiran suturas a los 15 días de la intervención.

<div class=\"Basic-Text-Frame\">
<p>Radiografía de tórax dorsoventral postquirúrgica con reducción del hiperinsuflado del pulmón derecho y resituación del corazón en la caja torácica, aunque persiste moderada lateralización.</p>
</div>
Figura 6

Radiografía de tórax dorsoventral postquirúrgica con reducción del hiperinsuflado del pulmón derecho y resituación del corazón en la caja torácica, aunque persiste moderada lateralización.

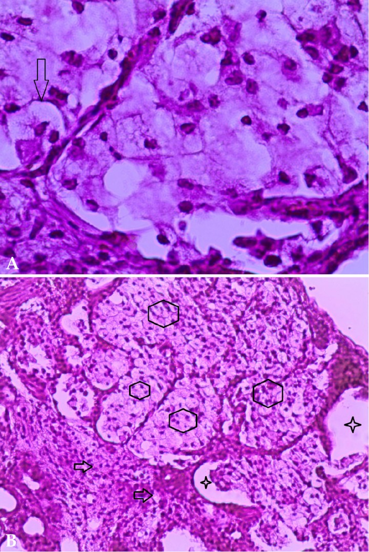
El estudio histopatológico revela un diagnóstico de severa neumonía lipídica endógena. Se observa la presencia de un elevado número de macrófagos de citoplasma de gran tamaño y aspecto espumoso por el acúmulo de vacuolas de lípidos en su interior (Fig. 7A). Estos macrófagos se localizan en el espacio alveolar ocupando por completo su luz (Fig. 7B), y también en el espesor en las paredes interalveolares produciendo un severo engrosamiento de las mismas.

<p>Imágenes microscópicas del pulmón. (<strong>A</strong>) Se observa población macrofágica con amplio citoplasma de aspecto espumoso por la presencia de vacuolas lipídicas (flecha) (Hematoxilina-eosina; 100x). (<strong>B</strong>) Se aprecia la ocupación del espacio alveolar por macrófagos cargados de lípidos (hexágonos). Escasas regiones muestran aire en su interior (estrellas). La misma población macrofágica invade los septos interalveolares (flechas). (Hematoxilina-eosina; 40x). Imágenes cedidas por Histolab.</p>
Figura 7

Imágenes microscópicas del pulmón. (A) Se observa población macrofágica con amplio citoplasma de aspecto espumoso por la presencia de vacuolas lipídicas (flecha) (Hematoxilina-eosina; 100x). (B) Se aprecia la ocupación del espacio alveolar por macrófagos cargados de lípidos (hexágonos). Escasas regiones muestran aire en su interior (estrellas). La misma población macrofágica invade los septos interalveolares (flechas). (Hematoxilina-eosina; 40x). Imágenes cedidas por Histolab.

Ante la gran mejoría del paciente y la escasa evidencia en gatos sobre la eficacia del tratamiento médico de la neumonía lipídica, se decide no prescribir medicación. Se realiza seguimiento a los 30, 60 y 90 días de la intervención. Los propietarios destacan un claro aumento en la actividad del animal y la total ausencia de signos clínicos. Se realiza ecocardiografía de seguimiento a los 6 meses. No hay progresión de las lesiones detectadas y la disfunción diastólica permanece en grado 1, sin dilatación de atrio izquierdo y patrón de relajación anómala. El paciente es asintomático y mantiene un grado de actividad elevado.

A los 16 meses se presenta de nuevo por un cuadro de disminución de la actividad y anorexia, con disnea leve a moderada y temperatura rectal de 40,2 ºC. Se realiza radiografía torácica lateral donde se observa un patrón alveolar parcheado en región ventrocraneal. Se inicia terapia antibiótica empírica, pues se considera un paciente de alto riesgo anestésico y se desconoce el riesgo de realizar lavado broncoalveolar ciego en animales sometidos a neumonectomía completa, pues podría existir la posibilidad de dañar la sutura y reabrir el bronquio ligado. Se prescribe marbofloxacino a 4 mg/kg (Marbocyl 20 mg, Vetoquinol, Alcobendas). El animal comienza a comer de nuevo y la temperatura rectal se normaliza. Se mantiene terapia durante tres semanas. No hay disnea, pero no hay recuperación de la actividad, manteniéndose el animal aislado y en reposo la mayor parte del tiempo. La interrupción de la terapia empeora los signos clínicos, con recidiva de la disnea. Se reinstaura terapia antibiótica, de nuevo con respuesta pobre. La disnea se agrava hasta necesitar suplemento de oxígeno. El paciente se mantiene estable con oxigenoterapia en jaula durante 24 horas, pero cae de nuevo en disnea en aire ambiental a las 12 horas del alta hospitalaria. La dependencia de suplementación de oxígeno hace que se decida la eutanasia del paciente. El análisis histopatológico postmortem confirma la presencia de neumonía lipídica endógena en el pulmón restante.

Discusión

La neumonía lipídica endógena es un proceso inflamatorio pulmonar de origen desconocido y mecanismos fisiopatológicos ambiguos con escasos reportes en medicina veterinaria.[ Jones DJ, Norris CR, Samii VF, Griffey SM. Endogenous lipid pneumonia in cats: 24 cases (1985-1998). J Am Vet Med Assoc. 2000; 1;216:1437-40. [PubMed] , Raya AI, Fernández-de Marco M, Núñez A et. al. Endogenous lipid pneumonia in a dog. J Comp Pathol 2006. 135(2-3):153-155. [PubMed] , Corcoran BM, Martin M, Darke PGG, et al. Lipoid pneumonia in a rough collie dog. J Small Anim Pract 1992. 33(11): 544–548. , Jerram RM, Guyer CL, Braniecki A, Read WK,Hobson HP. Endogenous lipid (cholesterol) pneumonia associated with bronchogenic carcinoma in a cat. J Am Anim Hosp Assoc. 1998; 34(4):275-80. [PubMed] ] Se cree que mayoritariamente es un proceso secundario a enfermedades que cursan con obstrucción severa al flujo aéreo como neoplasias o bronquiectasias,[ Jones DJ, Norris CR, Samii VF, Griffey SM. Endogenous lipid pneumonia in cats: 24 cases (1985-1998). J Am Vet Med Assoc. 2000; 1;216:1437-40. [PubMed] , Himsworth CG, Malek S,Saville K,Allen AL. Endogenous lipid pneumonia and what lies beneath. Can Vet J 2008; 49(8): 813–815. [PubMed] , Corcoran BM, Martin M, Darke PGG, et al. Lipoid pneumonia in a rough collie dog. J Small Anim Pract 1992. 33(11): 544–548. , Jerram RM, Guyer CL, Braniecki A, Read WK,Hobson HP. Endogenous lipid (cholesterol) pneumonia associated with bronchogenic carcinoma in a cat. J Am Anim Hosp Assoc. 1998; 34(4):275-80. [PubMed] , Lin J, Huang LL, Zhang JW, Ye MH, Feng JX. Endogenous lipoid pneumonia presenting as solitary pulmonary nodule: a case report. Int J Clin Exp Pathol 2015. 8(8): 9727-9730. [PubMed] ] o bien a procesos inflamatorios crónicos de diversa índole. También se describen formas primarias idiopáticas. Aunque no hay una predisposición racial conocida, los reportes realizados en la población felina española, incluido el presente caso, son de raza Persa.[ Avellaneda A, Font A. Neumonía lipídica endógena en dos gatos de raza Persa. Clin Vet Peq Anim 2006. 26 (3): 249-254. ] Las alteraciones del metabolismo lipídico o la deficiencia de vitamina B no fueron investigadas en este paciente. El análisis histopatológico del pulmón no reveló ninguna alteración indicativa de un proceso subyacente en el parénquima pulmonar.

El tratamiento de esta enfermedad es controvertido. En medicina humana se han propuesto varias opciones, entre ellas el lavado pulmonar completo, para aclarar la sustancia lipídica que impide el intercambio gaseoso, o la inmunosupresión, si bien esta segunda opción parece más justificada en pacientes con enfermedades inmunomediadas concomitantes.[ Glucksman A, Perez R, Forouhar FA, Burki NK. Lipoid Pneumonia and Sarcoidosis. Conn Med. 2016. 80(2):91-5. [PubMed] , Byerley JS, Hernandez ML, Leigh MW, Antoon JW. Clinical approach to endogenous lipoid pneumonia. Clin Resp J. 2016. 10(2): 259–263. [PubMed] , Morita H, Arai S, Kurasawa K et al. Intensive immunosuppressive therapy for endogenous lipoid pneumonia associated with rheumatoid arthritis. Mod Rheumatol. 2016. 20:1-5. [PubMed] ] El objetivo final de estos tratamientos es abolir la hipoxia incrementando el área de intercambio gaseoso, reducida por la presencia de esta sustancia lipídica. La hipoxia se induce por un proceso de mismatch entre la sangre enviada y el O2 recuperado. Esto se refleja en una disminución del ratio ventilación/ perfusión[ Tobias K, Johnston S. Small Animal Surgery. 1st edition. Chapter 103 p:1752-1768. 2011. Elsevier. St Louis, Missouri, USA. , Swenson MJ, Reece WO. Fisiología de los animales domesticos de Dukes. Tomo 1 pg: 263-293. 1999. Noriega editores, México DF. ] (Va/Q).

La primera opción terapéutica implementada fue intentar reinsuflar el pulmón atelectásico para aumentar la superficie de intercambio. Para ello, se realizó un protocolo de presión positiva in crescendo empleando un ventilador mecánico. Al no ser exitosa y dado el riesgo de producir barotrauma en el pulmón contralateral,[ Hopper K, Powel LL. Basics of mechanical ventilation for dogs and cats. Vet Clin North Am Small Anim Pract 2013. 43(4): 955-969. [PubMed] ] se decidió interrumpir la maniobra tras alcanzar valores de presión positiva de 12 cmH2O y una PEEP de 4 cm de H2O.

El mecanismo fisiológico por el cual se justifica la neumonectomía se basa en la normalización del ratio Va/Q.[ Tobias K, Johnston S. Small Animal Surgery. 1st edition. Chapter 103 p:1752-1768. 2011. Elsevier. St Louis, Missouri, USA. , Swenson MJ, Reece WO. Fisiología de los animales domesticos de Dukes. Tomo 1 pg: 263-293. 1999. Noriega editores, México DF. ] En un paciente con una reducción del área de intercambio de aproximadamente el 50 % como en este caso (un pulmón completamente atelectásico), la sangre que atraviesa el pulmón enfermo permanece con bajas concentraciones de O2 y va a reunirse con la sangre que atraviesa las zonas sanas, reduciendo el contenido total de O2 de la sangre venosa pulmonar. Esto conduce a una dependencia del animal de la suplementación de oxígeno para mantener un grado de oxigenación aceptable y explica la recidiva de los síntomas al ser expuesto al aire ambiental. Reducir el lecho vascular extirpando el pulmón afectado hace que la totalidad de la sangre enviada al pulmón se oxigene correctamente. De esta manera, el ratio (Va/Q) vuelve a equilibrarse y la hipoxia desaparece.

La neumonectomía es una técnica descrita en medicina veterinaria.[ Tobias K, Johnston S. Small Animal Surgery. 1st edition. Chapter 103 p:1752-1768. 2011. Elsevier. St Louis, Missouri, USA. , Hakam S, Sami Bayran A, Ozgur O et al. Comparison of different bronchial closure techniques following pneumonectomy in dogs. J Vet Sci 2007. 8(4): 393-399 [PMC] , Liptak, Monet, Dernell. Pneumonectomy: four case studies and a comparative review. J Small Anim Pract. 2004. 45 (9): 441-447. [PubMed] , Majeski SA, Steffey MA, Mayhey PD et al. Postoperative Respiratory Function and Survival After Pneumonectomy in Dogs and Cats. Vet Surg. 2016. 45(6): 775-781 [PubMed] , Wavreille V, Boston SE, Souza C et al. Outcome After Pneumonectomy in 17 Dogs and 10 Cats: A Veterinary Society of Surgical Oncology Case Series. Vet Surg. 2016. 45(6): 782-789. [PubMed] ] Sus indicaciones suelen incluir el tratamiento de patologías pulmonares con escasa o nula respuesta a tratamiento médico, como las neoplasias, los abscesos o las laceraciones pulmonares graves. El porcentaje de éxito de la técnica es elevado, superior al 80 % tanto en perros como en gatos,[ Majeski SA, Steffey MA, Mayhey PD et al. Postoperative Respiratory Function and Survival After Pneumonectomy in Dogs and Cats. Vet Surg. 2016. 45(6): 775-781 [PubMed] ] aunque la incidencia de complicaciones postoperatorias también es alta, afectando aproximadamente al 75 % de los pacientes.[ Wavreille V, Boston SE, Souza C et al. Outcome After Pneumonectomy in 17 Dogs and 10 Cats: A Veterinary Society of Surgical Oncology Case Series. Vet Surg. 2016. 45(6): 782-789. [PubMed] ] Las complicaciones respiratorias más comunes incluyen derrame pleural persistente, hipoxia, dependencia del oxígeno o tos. Ninguna de ellas afectó al paciente objeto de este reporte. Aparentemente, la neumonectomía completa parece lograr una mejor oxigenación postquirúrgica que la lobectomía,[ Majeski SA, Steffey MA, Mayhey PD et al. Postoperative Respiratory Function and Survival After Pneumonectomy in Dogs and Cats. Vet Surg. 2016. 45(6): 775-781 [PubMed] ] posiblemente por alcanzar una mayor normalización del ratio Va/Q, objetivo principal de la técnica quirúrgica en este caso de neumonía lipídica. El abordaje quirúrgico suele ser por toracotomía intercostal. Dependiendo del área de interés, puede realizarse entre el tercer y el sexto espacio intercostal.[ Tobias K, Johnston S. Small Animal Surgery. 1st edition. Chapter 103 p:1752-1768. 2011. Elsevier. St Louis, Missouri, USA. ] El abordaje se realizó en el sexto espacio debido a que desde esta localización se logra un mejor acceso al hilio del lóbulo pulmonar caudal, donde se observaron las lesiones más severas radiográficamente. El empleo de material específico para la ligadura del bronquio principal y los vasos como grapadoras ha sido descrito, pero no parece aportar beneficios significativos sobre la ligadura manual con respecto al éxito de la técnica,[ Hakam S, Sami Bayran A, Ozgur O et al. Comparison of different bronchial closure techniques following pneumonectomy in dogs. J Vet Sci 2007. 8(4): 393-399 [PMC] , Liptak, Monet, Dernell. Pneumonectomy: four case studies and a comparative review. J Small Anim Pract. 2004. 45 (9): 441-447. [PubMed] ] si bien puede reducir el tiempo quirúrgico. La ligadura manual demostró lograr una óptima estanqueidad en este caso, donde no se observó neumotórax ni derrame pleural significativo tras la intervención.

El paciente mostró una recuperación rápida y completa de la cirugía, sin requerir ningún tratamiento específico ni mostrar signos clínicos de ninguna clase durante un período de 16 meses.

La presentación febril del segundo episodio hizo suponer la presencia de una neumonía de origen infeccioso, siendo el patrón intersticio-alveolar detectado en radiografía en ese momento compatible con esta hipótesis. El riesgo relativo de realizar un lavado broncoalveolar ciego en un paciente que ha sido sometido a neumonectomía unilateral completa hizo que se aplicara tratamiento empírico basado en el uso de antibióticos del grupo de las quinolonas (marbofloxacino a dosis de 4 mg/kg) que muestran una alta concentración y espectro de actividad en tejido respiratorio.[ Lappin MR, Blondeau J, Boothe D et al. Antimicrobial use Guidelines for Treatment of Respiratory Tract Disease in Dogs and Cats: Antimicrobial Guidelines Working Group of the International Society for Companion Animal Infectious Diseases. J Vet Intern Med 2017; 31(2): 279–294. [PubMed] ] La respuesta parcial a este tratamiento con disminución de la fiebre y recuperación del apetito hizo que los propietarios no desearan realizar más pruebas diagnósticas. Cabe la posibilidad de que la colonización bacteriana del pulmón fuera el detonante para el desarrollo de una neumonía lipídica secundaria, o bien que hubiera una contaminación bacteriana secundaria en un pulmón inmunosuprimido por un infiltrado lipídico primario preexistente. La falta de muestras de cultivo, biopsias o pruebas de imagen en ese momento no permiten realizar ninguna valoración al respecto. Hubiera sido de utilidad la realización de una TC torácica que, unida al historial del paciente, podría haber permitido un diagnóstico antemortem de neumonía lipídica en el pulmón contralateral.[ Betancourt S, Martinez-Jimenez S, Rossi S, et al. Lipoid Pneumonia: Spectrum of Clinical and Radiologic Manifestations. Am J of Roentg. 2010; 194: 103-109. [PubMed] ] De esta manera, podrían haberse implementado terapias médicas para ralentizar la progresión de la enfermedad,[ Jones DJ, Norris CR, Samii VF, Griffey SM. Endogenous lipid pneumonia in cats: 24 cases (1985-1998). J Am Vet Med Assoc. 2000; 1;216:1437-40. [PubMed] , Hadda V, Khilnani GC. Lipoid pneumonia: an overview. Expert Rev Respir Med.2010. 4(6):799-807. [PubMed] , Raya AI, Fernández-de Marco M, Núñez A et. al. Endogenous lipid pneumonia in a dog. J Comp Pathol 2006. 135(2-3):153-155. [PubMed] , Corcoran BM, Martin M, Darke PGG, et al. Lipoid pneumonia in a rough collie dog. J Small Anim Pract 1992. 33(11): 544–548. , Morita H, Arai S, Kurasawa K et al. Intensive immunosuppressive therapy for endogenous lipoid pneumonia associated with rheumatoid arthritis. Mod Rheumatol. 2016. 20:1-5. [PubMed] , Nicholson AG, Wells AU, Hooper J et al. Successful treatment of endogenous lipoid pneumonia due to Niemann-Pick Type B disease with whole-lung lavage. Am J Respir Crit Care Med. 2002. 165(1):128-31. [PubMed] ] aunque la falta de evidencia sobre la efectividad de estos tratamientos en gatos siguiera manteniendo un pronóstico de reservado a grave para el paciente. La enfermedad respiratoria fue la causa de la eutanasia de este paciente.

En conclusión, la neumonía lipídica endógena puede afectar a los pequeños animales y, aunque es infrecuente, debe ser incluida en el diagnóstico diferencial de las enfermedades que cursan con una ocupación del espacio alveolar. Las técnicas de diagnóstico no invasivas más adecuadas son el lavado broncoalveolar y la TC, si bien en la mayoría de los casos es necesaria la confirmación histopatológica de la enfermedad mediante la toma de biopsias del parénquima pulmonar. Además de diagnosticar la enfermedad, las imágenes histopatológicas permiten diferenciar entre el origen exógeno o endógeno de la misma, lo que modifica sensiblemente tanto el tratamiento como el pronóstico.

La cirugía pulmonar con extirpación de las regiones afectadas para restablecer el equilibrio del ratio Va/Q y, por tanto, eliminar la hipoxia puede ser una opción válida cuando las regiones afectadas incluyen hasta un 50 % del tejido pulmonar, tal y como se demuestra en el caso descrito.

 

Fuente de financiación: este trabajo no se realizó con fondos comerciales, públicos o del sector privado.

Conflicto de intereses: el autor declara que no existe conflicto de intereses.

Bibliografía

  1. [1] Jones DJ, Norris CR, Samii VF, Griffey SM. Endogenous lipid pneumonia in cats: 24 cases (1985-1998). J Am Vet Med Assoc. 2000; 1;216:1437-40. [PubMed]
  2. [2] Hadda V, Khilnani GC. Lipoid pneumonia: an overview. Expert Rev Respir Med.2010. 4(6):799-807. [PubMed]
  3. [3] Himsworth CG, Malek S,Saville K,Allen AL. Endogenous lipid pneumonia and what lies beneath. Can Vet J 2008; 49(8): 813–815. [PubMed]
  4. [4] Raya AI, Fernández-de Marco M, Núñez A et. al. Endogenous lipid pneumonia in a dog. J Comp Pathol 2006. 135(2-3):153-155. [PubMed]
  5. [5] Corcoran BM, Martin M, Darke PGG, et al. Lipoid pneumonia in a rough collie dog. J Small Anim Pract 1992. 33(11): 544–548.
  6. [6] Jerram RM, Guyer CL, Braniecki A, Read WK,Hobson HP. Endogenous lipid (cholesterol) pneumonia associated with bronchogenic carcinoma in a cat. J Am Anim Hosp Assoc. 1998; 34(4):275-80. [PubMed]
  7. [7] Lin J, Huang LL, Zhang JW, Ye MH, Feng JX. Endogenous lipoid pneumonia presenting as solitary pulmonary nodule: a case report. Int J Clin Exp Pathol 2015. 8(8): 9727-9730. [PubMed]
  8. [8] Glucksman A, Perez R, Forouhar FA, Burki NK. Lipoid Pneumonia and Sarcoidosis. Conn Med. 2016. 80(2):91-5. [PubMed]
  9. [9] Byerley JS, Hernandez ML, Leigh MW, Antoon JW. Clinical approach to endogenous lipoid pneumonia. Clin Resp J. 2016. 10(2): 259–263. [PubMed]
  10. [10] Betancourt S, Martinez-Jimenez S, Rossi S, et al. Lipoid Pneumonia: Spectrum of Clinical and Radiologic Manifestations. Am J of Roentg. 2010; 194: 103-109. [PubMed]
  11. [11] Morita H, Arai S, Kurasawa K et al. Intensive immunosuppressive therapy for endogenous lipoid pneumonia associated with rheumatoid arthritis. Mod Rheumatol. 2016. 20:1-5. [PubMed]
  12. [12] Nicholson AG, Wells AU, Hooper J et al. Successful treatment of endogenous lipoid pneumonia due to Niemann-Pick Type B disease with whole-lung lavage. Am J Respir Crit Care Med. 2002. 165(1):128-31. [PubMed]
  13. [13] Ettinger S, Feldman E, Cote E. Textbook of veterinary internal medicine: diseases of the dog and cat. 8th edition. Chapter 28: tachypnea, dyspnea and respiratory distress. 2017. Elsevier. St. Louis Missouri, USA.
  14. [14] Boon J. Veterinary echocardiography. 2nd edition. Chapter 4; p:287-296. 2011. Wiley-Blackwell. Ames, Iowa, USA.
  15. [15] Tobias K, Johnston S. Small Animal Surgery. 1st edition. Chapter 103 p:1752-1768. 2011. Elsevier. St Louis, Missouri, USA.
  16. [16] Hopper K, Powel LL. Basics of mechanical ventilation for dogs and cats. Vet Clin North Am Small Anim Pract 2013. 43(4): 955-969. [PubMed]
  17. [17] Avellaneda A, Font A. Neumonía lipídica endógena en dos gatos de raza Persa. Clin Vet Peq Anim 2006. 26 (3): 249-254.
  18. [18] Swenson MJ, Reece WO. Fisiología de los animales domesticos de Dukes. Tomo 1 pg: 263-293. 1999. Noriega editores, México DF.
  19. [19] Hakam S, Sami Bayran A, Ozgur O et al. Comparison of different bronchial closure techniques following pneumonectomy in dogs. J Vet Sci 2007. 8(4): 393-399 [PMC]
  20. [20] Liptak, Monet, Dernell. Pneumonectomy: four case studies and a comparative review. J Small Anim Pract. 2004. 45 (9): 441-447. [PubMed]
  21. [21] Majeski SA, Steffey MA, Mayhey PD et al. Postoperative Respiratory Function and Survival After Pneumonectomy in Dogs and Cats. Vet Surg. 2016. 45(6): 775-781 [PubMed]
  22. [22] Wavreille V, Boston SE, Souza C et al. Outcome After Pneumonectomy in 17 Dogs and 10 Cats: A Veterinary Society of Surgical Oncology Case Series. Vet Surg. 2016. 45(6): 782-789. [PubMed]
  23. [23] Lappin MR, Blondeau J, Boothe D et al. Antimicrobial use Guidelines for Treatment of Respiratory Tract Disease in Dogs and Cats: Antimicrobial Guidelines Working Group of the International Society for Companion Animal Infectious Diseases. J Vet Intern Med 2017; 31(2): 279–294. [PubMed]

Artículos recomendados

Estas recomendaciones se ofrecen de forma automática.

  • Seroprevalencia de la infección por Toxoplasma gondii en mascotas exóticas (conejos, hurones y cobayas) en clínicas veterinarias de España
    P. Moraleda-Berral, A. Montoya, J.P. Barrera, et al.
    Clin Vet Peq Anim Vol. 46 - Nº 1 · MAR 2026 · Artículo original referido a un solo caso clínico
  • Sarcoma histiocítico ocular felino
    M.T. Artacho-Burgos, A. I. Raya-Bermúdez
    Clin Vet Peq Anim Vol. 45 - Nº 4 · DIC 2025 · Artículo original referido a un solo caso clínico
  • Fallo hepático en un perro tras intoxicación por ingestión de semillas de Cycas revoluta

    C. García, A. Segarra, N. Bedía, et al.
    Clin Vet Peq Anim Vol. 45 - Nº 3 · SEP 2025 · Artículo original referido a un solo caso clínico
  • Inicio
  • Introducción
  • Caso clínico
  • Discusión
  • Bibliografía
Artículo anterior Índice de la revista Artículo siguiente
ANUNCIO
Próximos cursos ATVs Elearning
Índice
Inicio Introducción Caso clínico Discusión Bibliografía
Alivira - Vominil
ANUNCIO

¿No eres socio de AVEPA y quieres recibir comunicación de las nuevas ediciones en tu correo?

Suscríbete

Suscríbete y te avisaremos cuando publiquemos un nuevo número

Suscribirme

Enlaces rápidos

  • Inicio
  • Último número
  • Archivo
  • Artículos

Información

  • Comité editorial
  • Política de cookies
  • Política de privacidad
  • Términos y condiciones

Contacto

  • info@imaginice.com
  • Envíanos tu artículo
© 2026 Ice Salud Vet SL. Todos los derechos reservados.

Usamos cookies para mejorar tu experiencia. Selecciona cuáles aceptas: