Logo AVEPA

Clínica Veterinaria de Pequeños Animales

Revista oficial de AVEPA

  • Inicio
  • Último número
  • Archivo
  • Artículos
  • Para autores
  • Contacto
Cursos Junio-Septiembre 2026
ANUNCIO

Clínica Veterinaria de Pequeños Animales

Revista oficial de AVEPA

  • Inicio
  • Último número
  • Archivo
  • Artículos
  • Para autores
  • Contacto
Curso Oftalmología 2026
ANUNCIO
Clin Vet Peq Anim Vol. 38 • Nº 2 • junio 2018

Diagnóstico por imagen de una comunicación esplenosistémica en un gato

Diagnostic Imaging of a splenosystemic shunt in a cat

Artículo original referido a un solo caso clínico

H. Fominaya-García

Departamento de Diagnóstico por Imagen, Hospital Veterinario VETSIA, C/ Galileo nº 3 28914 Leganés (Madrid). Facultad de Veterinaria, Universidad Complutense de Madrid. Av. Puerta de Hierro, s/n, 28040 Madrid

Otros artículos de H. Fominaya-García:
  • Caso clínico de rehabilitación
    Clin Vet Peq Anim Vol. 35 • Nº 4 • diciembre 2015

V. Silva-Utrera

Departamento de Diagnóstico por Imagen, Hospital Veterinario VETSIA, c/ Galileo, 3, 28914 Leganés, Madrid.

Otros artículos de V. Silva-Utrera:
  • ¿Cuál es tu diagnóstico?

    Clin Vet Peq Anim Vol. 38 • Nº 1 • marzo 2018
  • ¿Cuál es tu diagnóstico?

    Clin Vet Peq Anim Vol. 38 • Nº 2 • junio 2018

E. López-Medina

Departamento de Diagnóstico por Imagen, Hospital Veterinario VETSIA, c/ Galileo, 3, 28914 Leganés, Madrid.

Otros artículos de E. López-Medina:
  • ¿Cuál es tu diagnóstico?

    Clin Vet Peq Anim Vol. 38 • Nº 1 • marzo 2018
  • ¿Cuál es tu diagnóstico?

    Clin Vet Peq Anim Vol. 38 • Nº 2 • junio 2018

P. Battiato

Departamento de Diagnóstico por Imagen, Hospital Veterinario VETSIA. c/ Galileo, 3, 28914 Leganés (Madrid)

Otros artículos de P. Battiato:
  • ¿Cuál es tu diagnóstico?

    Clin Vet Peq Anim Vol. 38 • Nº 1 • marzo 2018

N. Israeliantz

Departamento de Diagnóstico por Imagen, Hospital Veterinario VETSIA, c/ Galileo, 3, 28914 Leganés, Madrid.

A. Anson

Department of Companion Animals and Horses. University of Veterinary Medicine, Veterinärpl. 1, 1210 Wien (Austria)

Contacto: nisraeliantz@gmail.com
Palabras clave: comunicación esplenosistémica, diagnóstico por imagen, tomografía computarizada, gato.
Keywords: splenosystemic shunt, diagnostic imaging, computed tomography, cat.

Clin. Vet. Peq. Anim, 2018, 38 (2): 103 - 106

Descargar artículo

Resumen

Las comunicaciones portosistémicas son una patología poco frecuente en gatos. En particular, aquellas con origen en la vena esplénica han sido descritas recientemente en esta especie y no se ha establecido con claridad su significado clínico. En este caso clínico se describen los hallazgos radiológicos, ecográficos y tomográficos en una gata con una presentación atípica de esta patología.

Abstract

Portosystemic shunts are uncommon in cats. In particular, those originating in the splenic vein have only been recently described in this species, and their clinical significance has not yet been clearly determined. This case report describes the radiographic, ultrasonographic and tomographic findings in a female cat with an atypical presentation of this condition.

AVEPA Elearning

La presencia de este logo en un artículo de la revista indica que se publicará un examen sobre el mismo en la plataforma AVEPA Elearning. Su resolución aporta 0,15 créditos dentro del sistema de acreditaciones de especialidades veterinarias de AVEPA.

Introducción

Las comunicaciones portosistémicas (CPS) son conexiones anómalas entre el sistema venoso portal y el sistémico que permiten la desviación de sangre del primero al segundo. La sintomatología asociada a esta alteración es muy variable y con frecuencia atribuible a una encefalopatía hepática.[ Nelson NC, Nelson LL. Anatomy of extrahepatic portosystemic shunts in dogs as determined by computed tomography angiography. Vet Radiol & Ultrasound 2011; 52:498-506. [PubMed] ]

Esta condición puede tener un origen congénito cuando es el resultado de un desarrollo vascular embrionario anormal. Las CPS adquiridas son consecuencia de un cuadro de hipertensión portal que deriva en la apertura de vascularización embrionaria preexistente que comunica la circulación portal y sistémica, creando un flujo sanguíneo de menor resistencia.[ Palerme JS, Brown JC, Marks SL, Birkenheuer AJ. Splenosystemic shunts in cats: a retrospective of 33 cases (2004-2011). J Vet Intern Med 2013; 27:1347-1353. [PubMed] , Santilli RA, Gerboni G. Diagnostic imaging of congenital porto-systemic shunts in dogs and cats: a review. The Vet J 2003; 166:7-18. [PubMed] ]

La incidencia de CPS en gatos es baja y la mayoría de los casos publicados describen pacientes jóvenes con CPS congénitas con origen en la vena gástrica izquierda e inserción en la vena frénica izquierda, en la vena cava caudal a la altura del foramen epiploico, en la vena ácigos o en la vena cava caudal posthepática.[ Palerme JS, Brown JC, Marks SL, Birkenheuer AJ. Splenosystemic shunts in cats: a retrospective of 33 cases (2004-2011). J Vet Intern Med 2013; 27:1347-1353. [PubMed] , White RN, Shales C, Parry AT. New perspectives on the development of extrahepatic portosystemic shunts. J Small Anim Pract 2017; 58(12): 669-677. [PubMed] ] Las CPS esplenosistémicas se han descrito recientemente en gatos, siendo más frecuentes en gatas castradas. Su etiología (congénita o adquirida) y su significado clínico aún no están claros.[ Palerme JS, Brown JC, Marks SL, Birkenheuer AJ. Splenosystemic shunts in cats: a retrospective of 33 cases (2004-2011). J Vet Intern Med 2013; 27:1347-1353. [PubMed] , Specchi S, Panopoulos I, Adrian AM, Spattini G, Morabito S, Paek M. A “spaghetti sign” in feline abdominal radiographs predicts spleno-systemic collateral circulation. Vet Radiol & Ultrasound. 2018; 59(1): 13-17. [PubMed] ]

En el presente estudio se describen los hallazgos radiológicos, ecográficos y de tomografía computarizada (TC) en una gata con una comunicación esplenosistémica de presentación atípica.

Caso clínico

Se atiende en consulta una gata común Europea castrada de 6 años de edad con historial de pérdida de peso de un mes de duración, decaimiento en las últimas dos semanas e hiporexia de 4 días. La exploración física reveló ictericia. La analítica sanguínea completa mostró un aumento de los parámetros hepáticos: alanina-aminotransferasa (ALT) 187 U/l (12-130 U/l), fosfatasa alcalina 344 U/l (14-111 U/l), gamma-glutamiltranspeptidasa (GGT) 5 U/l (0-4 U/l) y bilirrubina total 6,9 mg/dl (0,0-0,9 mg/dl).

Para valorar el tamaño hepático, se realizó un estudio radiológico abdominal. Se obtuvieron proyecciones lateral derecha y ventrodorsal del abdomen (Fig. 1). En la proyección ventrodorsal, en el abdomen medio-izquierdo y caudomedial al bazo, se observó una estructura tubular y tortuosa de opacidad tejido blando que se superponía con la silueta renal y que se continuaba caudalmente lateral al colon descendente. El hígado presentaba un tamaño normal. El resto de estructuras abdominales no presentaban alteraciones radiológicas evidentes. Dicha estructura presentaba una localización y recorrido atípicos para tratarse de un asa intestinal. Por este motivo, el primer diagnóstico diferencial que se valoró, teniendo en cuenta la historia clínica y la analítica sanguínea, fue una estructura vascular anómala.

<p>(<strong>A</strong>) Proyección lateral derecha del abdomen. (<strong>B</strong>) Proyección ventrodorsal del abdomen. En la proyección VD se observa una estructura tubular y tortuosa de opacidad tejido blando caudomedial al bazo y superpuesta con la silueta renal izquierda que se dirige caudalmente por el lado izquierdo y cranealmente medial al bazo (flechas). Esta estructura no se observa en la proyección lateral. Cr: craneal, Cd: caudal, D: derecha. I: izquierda.</p>
Figura 1

(A) Proyección lateral derecha del abdomen. (B) Proyección ventrodorsal del abdomen. En la proyección VD se observa una estructura tubular y tortuosa de opacidad tejido blando caudomedial al bazo y superpuesta con la silueta renal izquierda que se dirige caudalmente por el lado izquierdo y cranealmente medial al bazo (flechas). Esta estructura no se observa en la proyección lateral. Cr: craneal, Cd: caudal, D: derecha. I: izquierda.

Dados los hallazgos radiográficos y analíticos, se procedió a realizar una ecografía abdominal.

La ecografía abdominal (Fig. 2), realizada con sonda lineal de 5 - 14MHz (Z.one ultra, ZONARE, Mountain View, CA, EE. UU.), reveló un vaso anómalo con origen en la vena esplénica a nivel del hilio esplénico que se dirigía hacia caudal y a nivel del polo craneal de la vejiga presentaba un recorrido tortuoso, tras el cual parecía bifurcarse y rodear a la misma para continuar hacia caudal. El hígado presentaba un parénquima discretamente hiperecogénico de forma difusa con múltiples nódulos hipoecogénicos redondeados de bordes irregulares. La vena porta presentaba un flujo hepatopetal y su velocidad se encontraba dentro de los límites normales (23 cm/s), descartándose la presencia de hipertensión portal. El ratio porta/aorta fue de 0,89. Se observó así mismo urolitiasis vesical.

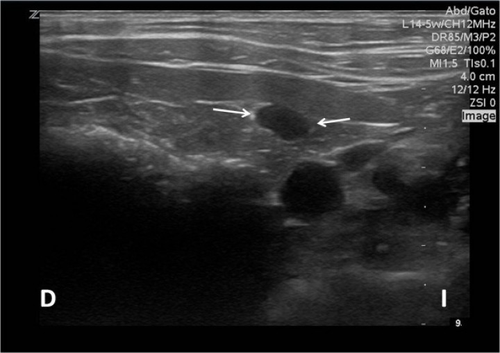
<div class=\"Basic-Text-Frame\">
<p>Imagen ecográfica en un corte transversal en abordaje ventral donde se observa una estructura tubular anecógena adyacente al bazo (flechas). D: derecha, I: izquierda.</p>
</div>
Figura 2

Imagen ecográfica en un corte transversal en abordaje ventral donde se observa una estructura tubular anecógena adyacente al bazo (flechas). D: derecha, I: izquierda.

Basándonos en estos hallazgos se estableció un diagnóstico presuntivo de comunicación extrahepática portosistémica con origen en la vena esplénica. Las lesiones hepáticas podían ser compatibles con áreas de hematopoyesis extramedular, hiperplasia nodular, hematomas, infarto/isquemia o menos probablemente metástasis dada la edad del animal y la ausencia de una neoplasia primaria aparente. Debido a que con la ecografía no fue posible establecer la morfología completa de la comunicación, se recomendó la realización de una angiografía por Tomografía Computarizada (TC) del abdomen.

Se estableció un tratamiento con metronidazol a una dosis de 15 mg/kg BID (Flagyl®, Sanofi, Barcelona), famotidina a una dosis de 0,5 mg/kg/BID (Pepcid®, Johnson & Johnson, Madrid), lactulosa a una dosis de 0,25 g/kg Tid Po (Duphalac®, Abbott Laboratories S.A., Madrid) y Samylin® a una dosis de 1 g SID (VetPlus, L’Hospitalet de Llobregat) con el fin de estabilizar al paciente.

Tras un mes de tratamiento y clínicamente estable, se realizó la TC abdominal con un escáner helicoidal de 16 cortes (Astelion, Toshiba, Japón). Se adquirieron secuencias previas y posteriores a la administración intravenosa de contraste iodado a una dosis de 600 mg/kg (Omnipaque®, GE Healthcare, Madrid) mediante inyección manual. La secuencia postcontraste se adquirió a los 40 segundos del inicio de la administración del mismo.

La TC confirmó la presencia de un vaso anómalo de gran calibre con origen en la vena esplénica que se dirigía caudalmente y que, tras un recorrido extremadamente tortuoso, se dividía, craneal a la vejiga de la orina, en tres vasos de menor calibre: dos se dirigían hacia caudal hasta insertarse en la vena ilíaca externa derecha y el tercero lo hacía en la vena ilíaca externa izquierda (Fig. 3). Estos hallazgos fueron consistentes con la presencia de una comunicación portosistémica extrahepática con origen en la vena esplénica e inserción múltiple en las venas ilíacas externas. También se visualizaron a nivel hepático varias lesiones de entre 2,5 y 4 cm aproximadamente, hipoatenuadas y de bordes irregulares. Tras la administración del contraste intravenoso se observó un realce leve y heterogéneo de las mismas y moderadamente inferior al del parénquima hepático (Fig. 4). Los diagnósticos diferenciales para estas lesiones fueron los mismos que los descritos previamente en los hallazgos ecográficos.

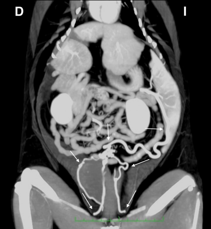
<p>Imagen tomográfica dorsal del abdomen tras la administración de contraste intravenoso, en ventana tejido blando y con proyección de máxima intensidad (MIP) con sumatorio de cortes. Se observa el recorrido de la comunicación desde su origen en la vena esplénica hasta su inserción múltiple en las venas ilíacas externas (flechas). D: derecha, I: izquierda.</p>
Figura 3

Imagen tomográfica dorsal del abdomen tras la administración de contraste intravenoso, en ventana tejido blando y con proyección de máxima intensidad (MIP) con sumatorio de cortes. Se observa el recorrido de la comunicación desde su origen en la vena esplénica hasta su inserción múltiple en las venas ilíacas externas (flechas). D: derecha, I: izquierda.

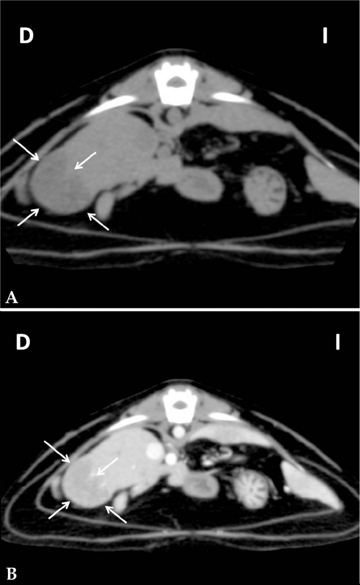
<p>Imagen tomográfica en corte transversal del abdomen en ventana tejido blando. (<strong>A</strong>) Secuencia precontraste. (<strong>B</strong>) Secuencia postcontraste intravenoso. Se observa una lesión hepática (flechas) de bordes irregulares e hipoatenuada que realza levemente tras la administración de contraste intravenoso. D: derecha, I: izquierda.</p>
Figura 4

Imagen tomográfica en corte transversal del abdomen en ventana tejido blando. (A) Secuencia precontraste. (B) Secuencia postcontraste intravenoso. Se observa una lesión hepática (flechas) de bordes irregulares e hipoatenuada que realza levemente tras la administración de contraste intravenoso. D: derecha, I: izquierda.

Se recomendó la toma de muestras de las lesiones hepáticas, pero los propietarios no accedieron. Se optó entonces por continuar el tratamiento médico dado que la paciente se encontraba clínicamente estable. Tras 7 meses de tratamiento, la evolución era favorable.

Discusión

Este estudio describe los signos radiológicos, ecográficos y tomográficos de una gata castrada con una comunicación esplenosistémica cuya morfología difiere de la descrita previamente en gatos. En estudios previos, este tipo de comunicaciones se originaron en la vena esplénica para terminar a nivel de la vena renal izquierda, la vena ovárica o la cava caudal.[ Palerme JS, Brown JC, Marks SL, Birkenheuer AJ. Splenosystemic shunts in cats: a retrospective of 33 cases (2004-2011). J Vet Intern Med 2013; 27:1347-1353. [PubMed] , Specchi S, Panopoulos I, Adrian AM, Spattini G, Morabito S, Paek M. A “spaghetti sign” in feline abdominal radiographs predicts spleno-systemic collateral circulation. Vet Radiol & Ultrasound. 2018; 59(1): 13-17. [PubMed] ] En el presente caso, su inserción era por medio de múltiples vasos a nivel de las venas ilíacas externas. Las comunicaciones esplenosistémicas están descritas con mayor frecuencia en gatas castradas, como en nuestro caso, y en ocasiones no existe sintomatología asociada.[ Palerme JS, Brown JC, Marks SL, Birkenheuer AJ. Splenosystemic shunts in cats: a retrospective of 33 cases (2004-2011). J Vet Intern Med 2013; 27:1347-1353. [PubMed] , Specchi S, Panopoulos I, Adrian AM, Spattini G, Morabito S, Paek M. A “spaghetti sign” in feline abdominal radiographs predicts spleno-systemic collateral circulation. Vet Radiol & Ultrasound. 2018; 59(1): 13-17. [PubMed] ]

Al igual que en estudios previos,[ Palerme JS, Brown JC, Marks SL, Birkenheuer AJ. Splenosystemic shunts in cats: a retrospective of 33 cases (2004-2011). J Vet Intern Med 2013; 27:1347-1353. [PubMed] , Specchi S, Panopoulos I, Adrian AM, Spattini G, Morabito S, Paek M. A “spaghetti sign” in feline abdominal radiographs predicts spleno-systemic collateral circulation. Vet Radiol & Ultrasound. 2018; 59(1): 13-17. [PubMed] ] no pudo determinarse en este caso si el origen de la CPS era congénito o adquirido. La velocidad portal obtenida durante el examen ecográfico descartó un cuadro de hipertensión portal en el momento del diagnóstico.[ Santilli RA, Gerboni G. Diagnostic imaging of congenital porto-systemic shunts in dogs and cats: a review. The Vet J 2003; 166:7-18. [PubMed] ] Dado que la gata se encontraba clínicamente estable y que el significado clínico de este tipo de comunicaciones aún no ha sido establecido,[ Palerme JS, Brown JC, Marks SL, Birkenheuer AJ. Splenosystemic shunts in cats: a retrospective of 33 cases (2004-2011). J Vet Intern Med 2013; 27:1347-1353. [PubMed] , Specchi S, Panopoulos I, Adrian AM, Spattini G, Morabito S, Paek M. A “spaghetti sign” in feline abdominal radiographs predicts spleno-systemic collateral circulation. Vet Radiol & Ultrasound. 2018; 59(1): 13-17. [PubMed] ] se optó por el tratamiento médico. Sin embargo, no pudo alcanzarse un diagnóstico definitivo, ya que no fue posible el estudio histopatológico de las lesiones hepáticas.

La apariencia de las comunicaciones esplenosistémicas en gatos ha sido descrita recientemente. El hallazgo radiográfico característico es la presencia de una estructura de opacidad tejido blando, tubular y tortuosa, en el abdomen izquierdo caudal al bazo y lateral al riñón izquierdo en la proyección ventrodorsal. Este signo radiográfico se conoce como signo del espagueti.[ Specchi S, Panopoulos I, Adrian AM, Spattini G, Morabito S, Paek M. A “spaghetti sign” in feline abdominal radiographs predicts spleno-systemic collateral circulation. Vet Radiol & Ultrasound. 2018; 59(1): 13-17. [PubMed] ] En el presente caso se observó dicho signo, por lo que el estudio radiológico abdominal representó una primera herramienta en la aproximación al diagnóstico de la comunicación esplenosistémica.

La ecografía abdominal resultó de gran utilidad en el diagnóstico de la CPS en este caso, ya que permitió confirmar la presencia de la comunicación y aportó datos de relevancia para el diagnóstico, como la velocidad portal y las lesiones del parénquima hepático. Sin embargo, dada su compleja morfología se optó por la TC, la cual permitió obtener imágenes de alta resolución y una visualización detallada de la anatomía portal anormal, incluyendo los bucles, las ramificaciones y la inserción de la comunicación que describimos.[ Nelson NC, Nelson LL. Anatomy of extrahepatic portosystemic shunts in dogs as determined by computed tomography angiography. Vet Radiol & Ultrasound 2011; 52:498-506. [PubMed] ]

 

Fuente de financiación: este trabajo no se realizó con fondos comerciales, públicos o del sector privado.

Conflicto de intereses: los autores declaran que no existen conflictos de intereses.

Bibliografía

  1. [1] Nelson NC, Nelson LL. Anatomy of extrahepatic portosystemic shunts in dogs as determined by computed tomography angiography. Vet Radiol & Ultrasound 2011; 52:498-506. [PubMed]
  2. [2] Palerme JS, Brown JC, Marks SL, Birkenheuer AJ. Splenosystemic shunts in cats: a retrospective of 33 cases (2004-2011). J Vet Intern Med 2013; 27:1347-1353. [PubMed]
  3. [3] Santilli RA, Gerboni G. Diagnostic imaging of congenital porto-systemic shunts in dogs and cats: a review. The Vet J 2003; 166:7-18. [PubMed]
  4. [4] White RN, Shales C, Parry AT. New perspectives on the development of extrahepatic portosystemic shunts. J Small Anim Pract 2017; 58(12): 669-677. [PubMed]
  5. [5] Specchi S, Panopoulos I, Adrian AM, Spattini G, Morabito S, Paek M. A “spaghetti sign” in feline abdominal radiographs predicts spleno-systemic collateral circulation. Vet Radiol & Ultrasound. 2018; 59(1): 13-17. [PubMed]

Artículos recomendados

Estas recomendaciones se ofrecen de forma automática.

  • Concordancia entre IDEXX SediVue Dx y el cultivo de orina en perros y gatos

    L. Di Filippo, I. Frías, R. Santiago
    Clin Vet Peq Anim Vol. 44 - Nº 1 · MAR 2024 · Artículo original referido a múltiples casos clínicos
  • Mortalidad anestésica en gatos en España. Resultados del proyecto COMPLRED

    J. I. Redondo-García, R. Marti-Scharfhausen Sánchez, I. Bilbao-Castro, et al.
    Clin Vet Peq Anim Vol. 44 - Nº 1 · MAR 2024 · Artículo original referido a múltiples casos clínicos
  • Mieloma múltiple en un gato con afectación extramedular de múltiples órganos abdominales

    L. Magen-Moreno, D. Borràs-Murcia, G. Doria-Torra
    Clin Vet Peq Anim Vol. 41 - Nº 2 · JUN 2021 · Artículo original referido a un solo caso clínico
  • Inicio
  • Introducción
  • Caso clínico
  • Discusión
  • Bibliografía
Artículo anterior Índice de la revista Artículo siguiente
ANUNCIO
Próximos cursos ATVs Elearning
Índice
Inicio Introducción Caso clínico Discusión Bibliografía
Boehringer - NexGard
ANUNCIO

¿No eres socio de AVEPA y quieres recibir comunicación de las nuevas ediciones en tu correo?

Suscríbete

Suscríbete y te avisaremos cuando publiquemos un nuevo número

Suscribirme

Enlaces rápidos

  • Inicio
  • Último número
  • Archivo
  • Artículos

Información

  • Comité editorial
  • Política de cookies
  • Política de privacidad
  • Términos y condiciones

Contacto

  • info@imaginice.com
  • Envíanos tu artículo
© 2026 Ice Salud Vet SL. Todos los derechos reservados.

Usamos cookies para mejorar tu experiencia. Selecciona cuáles aceptas: