Logo AVEPA

Clínica Veterinaria de Pequeños Animales

Revista oficial de AVEPA

  • Inicio
  • Último número
  • Archivo
  • Artículos
  • Para autores
  • Contacto
Cursos Junio-Septiembre 2026
ANUNCIO

Clínica Veterinaria de Pequeños Animales

Revista oficial de AVEPA

  • Inicio
  • Último número
  • Archivo
  • Artículos
  • Para autores
  • Contacto
Curso Oftalmología 2026
ANUNCIO
Clin Vet Peq Anim Vol. 37 • Nº 2 • junio 2017

Obstrucción del tracto de salida del ventrículo derecho por carcinoma de cuerpo aórtico infiltrativo en un perro

Right ventricular outflow tract obstruction due to an infiltrative aortic body carcinoma in a dog

Artículo original referido a un solo caso clínico

P. M. Cortés-Sánchez

Hospital veterinario Estoril. c/ Corona verde 2, 28931 Móstoles, Madrid.

Contacto: pcortescardio@gmail.com
Palabras clave: carcinoma de cuerpo aórtico, necropsia, fallo cardíaco congestivo derecho, perro.
Keywords: aortic body carcinoma, necropsy, right congestive heart failure, dog.

Clin. Vet. Peq. Anim, 2017, 37 (2): 119 - 124

Descargar artículo

Resumen

Se presenta el caso de un perro de raza Bulldog Francés que acude a consulta por un cuadro de ascitis acompañado de intolerancia al ejercicio y presíncopes (pérdida parcial de la consciencia y el tono postural, sin llegar a desplomarse). En la exploración física se detecta un soplo sistólico de grado III/VI sobre la base cardíaca derecha. Tras abdominocentesis diagnóstica, el líquido es clasificado como un trasudado modificado (proteína total = 1,2 mg/dl; células = 0). Se realiza ecocardiografía, donde se diagnostica un cuadro de fallo cardíaco congestivo derecho. La causa del mismo es la presencia de una masa de dos por tres centímetros que obstruye el tracto de salida del ventrículo derecho. Los propietarios desestiman pruebas adicionales. Se realiza abdominocentesis, extrayéndose 2200 mililitros de líquido trasudado modificado y se prescribe tratamiento médico con ramipril, furosemida y espirinolactona. Tras la recidiva de la ascitis a los treinta y tres días, los propietarios deciden la eutanasia del paciente. Se presentan las imágenes de necropsia donde se observa una masa localizada en ventrículo derecho y su infiltración hacia la musculatura ventricular, llegando a apreciarse incluso en el epicardio. La biopsia de este tejido lo caracterizó como un tumor infiltrativo derivado de los quimiorreceptores de la aorta (quemodectoma maligno o carcinoma de cuerpo aórtico). La luz del tracto de salida derecho es un lugar muy inusual como localización para esta neoplasia, siendo también poco frecuente el carácter maligno de los tumores de base aórtica.

Abstract

A French Bulldog is presented for ascites, exercise intolerance and presyncopal episodes. At the physical examination a grade III/VI systolic murmur is auscultated over the right heart base. The abdominal free fluid is classified as a modified transudate (total protein = 1.2 mg/dl; cells = 0). Echocardiography is performed and a diagnosis of right congestive heart failure is made. It is caused by the presence of a tumor located in the right ventricular outflow tract, with a size of two per three centimetres. Owners declined further testing. Treatment consists in abdominocentesis, collecting 2200 milliliters of modified transudate, and medical management with ramipril, furosemide and spironolactone. After thirty-three days of treatment, ascites reoccurs and owners decide to euthanize the patient. Necropsy images are presented, showing the mass in the right ventricular outflow tract and its infiltration into the ventricular muscle, reaching even the epicardium. The postmorten biopsy revealed the tumour derived from the aortic chemoreceptors and was a true malignancy (malignant chemodectoma or aortic body carcinoma). The right ventricular outflow tract is an unusual location for this tumour, as it is its malignant behaviour.

Introducción

Los tumores cardíacos son infrecuentes en la especie canina[ Aupperle H, Marz I, Ellenberger C, Buschatz S, Reischauer A, Schoon HA. Primary and secondary heart tumours in dogs and cats. J Comp Pathol 2007;136(1):18-26. [PubMed] , Ware WA, Hopper DL. Cardiac tumors in dogs: 1982-1995. J Vet Intern Med 1999;13(2):95-103. [PubMed] , Janus I, Nowak M, Noszczyk-Nowak A et al: Epidemiological and pathological features of cardiac tumours in dogs and cats in Poland in 1970 – 2014. Acta Vet Hung 2016; 64 (1): 90–102. [PubMed] ] representando menos del 1 % del total de las neoplasias. Dentro de ellos, se encuentran sobrerrepresentados el hemangiosarcoma (46 % de los tumores cardíacos) de carácter primario o metastático y el quemodectoma (28 %).[ Aupperle H, Marz I, Ellenberger C, Buschatz S, Reischauer A, Schoon HA. Primary and secondary heart tumours in dogs and cats. J Comp Pathol 2007;136(1):18-26. [PubMed] , Ware WA, Hopper DL. Cardiac tumors in dogs: 1982-1995. J Vet Intern Med 1999;13(2):95-103. [PubMed] , Janus I, Nowak M, Noszczyk-Nowak A et al: Epidemiological and pathological features of cardiac tumours in dogs and cats in Poland in 1970 – 2014. Acta Vet Hung 2016; 64 (1): 90–102. [PubMed] , Treggiari E, Pedro B, Dukes-McEwan J, Gelzer AR, Blackwood L. A descriptive review of cardiac tumours in dogs and cats. Vet Comp Oncol. 2015. [PubMed] ] El origen de este segundo tipo de tumor son los quimiorreceptores situados en la raíz de la aorta, por lo que su lugar de desarrollo es la base cardíaca. Muchos animales son diagnosticados de quemodectoma incidentalmente durante una exploración radiológica o ecocardiográfica no relacionadas con síntomas cardíacos. En caso de que haya síntomas, estos suelen ser consecuencia de tres situaciones:

- La compresión de alguna estructura adyacente (vena cava craneal, arteria pulmonar, tráquea, esófago, etc.) cuando la masa alcanza gran tamaño.

- El desarrollo de derrame pericárdico y taponamiento cardíaco subsecuente.

-  La aparición de arritmias.

En estos casos, el tratamiento paliativo (drenaje del derrame, tratamiento médico de la congestión venosa, control de la arritmia, etc.) puede mantener al paciente estable durante periodos de tiempo prolongado, dado que solo el 20 % de los quemodectomas produce metástasis[ Treggiari E, Pedro B, Dukes-McEwan J, Gelzer AR, Blackwood L. A descriptive review of cardiac tumours in dogs and cats. Vet Comp Oncol. 2015. [PubMed] ] y aproximadamente un 50 % infiltra los tejidos adyacentes.[ Aupperle H, Marz I, Ellenberger C, Buschatz S, Reischauer A, Schoon HA. Primary and secondary heart tumours in dogs and cats. J Comp Pathol 2007;136(1):18-26. [PubMed] , Ware WA, Hopper DL. Cardiac tumors in dogs: 1982-1995. J Vet Intern Med 1999;13(2):95-103. [PubMed] , Janus I, Nowak M, Noszczyk-Nowak A et al: Epidemiological and pathological features of cardiac tumours in dogs and cats in Poland in 1970 – 2014. Acta Vet Hung 2016; 64 (1): 90–102. [PubMed] , Treggiari E, Pedro B, Dukes-McEwan J, Gelzer AR, Blackwood L. A descriptive review of cardiac tumours in dogs and cats. Vet Comp Oncol. 2015. [PubMed] ] Si cualquiera de estas dos situaciones ocurriera, pasa a denominarse quemodectoma maligno o carcinoma de cuerpo aórtico. Aparte de la base cardíaca, también han sido descritos, aunque de forma infrecuente, en el cuerpo de la arteria carótida.[ Hardcastle MR, Meyer J, McSporran KD. Pathology in practice. Carotid and aortic body carcinomas (chemodectomas) in a dog. J Am Vet Med Assoc. 2013;242(2):175-7. [PubMed] ] Otras localizaciones o sus metástasis son extremadamente raras.[ Cho KO, Park NY, Park IC, Kang BK, Onuma M. Metastatic intracavitary cardiac aortic body tumor in a dog. J Vet Med Sci 1998;60(11):1251-3. [PubMed] , Kim SK, Huyn CB, Cho KO. Unusual metastasis of malignant aortic body tumor to multiple bones in a dog. J Vet Med Sci 2005; 67(6):625-7. [PubMed] ] Las razas braquicéfalas parecen estar predispuestas, especialmente el Bóxer y el Boston Terrier.[ Hayes HM y Sass B. Chemoreceptor neoplasia: a study of the epidemiological factors of 357 canine cases. J Vet Med Assoc 1988; 35: 401-408. ]

Caso clínico

El paciente es un Bulldog Francés macho, entero, de diez años de edad. Se encuentra vacunado y desparasitado correctamente. Se presenta a consulta por un cuadro de distensión abdominal e intolerancia al ejercicio. Ha sufrido episodios de debilidad generalizada y desorientación, que se clasifican por los datos de la anamnesis como presíncopes.

A la exploración física se observa delgadez generalizada, con pérdida de pelo en los flancos, distensión abdominal moderada con signo de onda ascítica positivo (Fig. 1) y mucosas levemente pálidas. Se aprecia taquipnea leve (38 respiraciones por minuto) y taquicardia (180 latidos por minuto) con soplo sistólico de eyección en base derecha de grado III/VI. El ritmo cardíaco es regular y el pulso femoral, débil. El tiempo de relleno capilar es normal (inferior a tres segundos). La yugular se observa ingurgitada, aunque sin presencia de pulso. El reflejo hepatoyugular es positivo. El resto de la exploración se encuentra dentro de los parámetros fisiológicos.

<p>Aspecto del abdomen en la primera consulta, compatible con ascitis.</p>
Figura 1

Aspecto del abdomen en la primera consulta, compatible con ascitis.

Ante la presencia de líquido libre abdominal, se realiza abdominocentesis diagnóstica y se extraen dos mililitros de líquido translúcido de color amarillento (Fig. 2). Su análisis muestra un contenido bajo en proteína (1,2 mg/dl) y ausencia de células nucleadas, clasificándose como un trasudado modificado. Ante la presencia de soplo y ascitis con trasudado modificado se realiza una ecocardiografía. El paciente tolera con dificultades el decúbito lateral, y no permite la implantación de las pinzas de electrocardiografía, por lo que la ecocardiografía se realiza sin guía electrocardiográfica. En ella se observa:

<p>Aspecto del líquido del abdomen obtenido por centesis. El resultado del análisis fue de trasudado modificado.</p>
Figura 2

Aspecto del líquido del abdomen obtenido por centesis. El resultado del análisis fue de trasudado modificado.

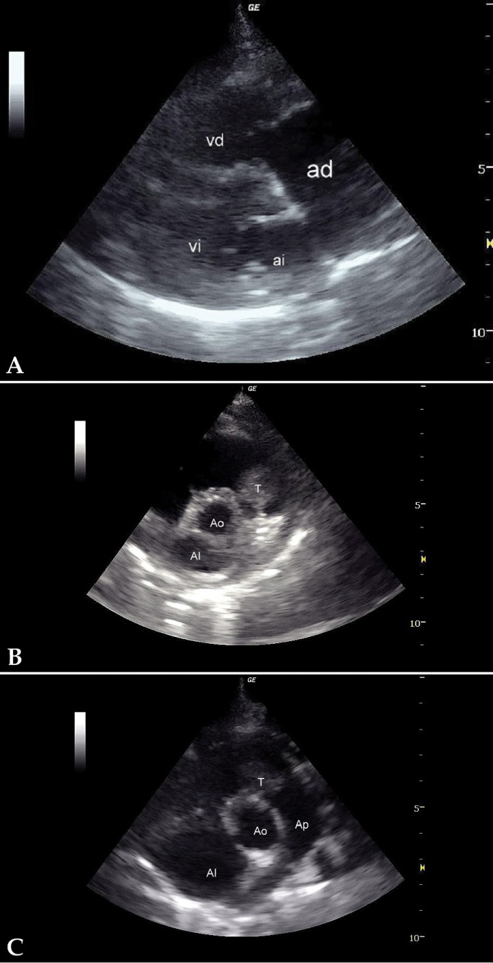
- Dilatación de moderada a severa de cámaras derechas, especialmente atrio derecho (Fig. 3A), con hipertrofia excéntrica del ventrículo derecho.

<p>(A) Corte paraesternal derecho, eje largo, 4 cámaras. Severa dilatación del atrio derecho. (B) Corte paraesternal derecho, eje corto. Presencia de una masa intraluminal en tracto de salida derecho. (C) Corte craneal izquierdo. Presencia de una masa intraluminal en tracto de salida derecho. AD: atrio derecho; AI: atrio izquierdo; VD: ventrículo derecho; VI: ventrículo izquierdo; T: tumor; Ao: aorta; AI: atrio izquierdo; Ap: arteria pulmonar.</p>
Figura 3

(A) Corte paraesternal derecho, eje largo, 4 cámaras. Severa dilatación del atrio derecho. (B) Corte paraesternal derecho, eje corto. Presencia de una masa intraluminal en tracto de salida derecho. (C) Corte craneal izquierdo. Presencia de una masa intraluminal en tracto de salida derecho. AD: atrio derecho; AI: atrio izquierdo; VD: ventrículo derecho; VI: ventrículo izquierdo; T: tumor; Ao: aorta; AI: atrio izquierdo; Ap: arteria pulmonar.

- Ausencia de derrame pericárdico.
- Cámaras izquierdas de volumen reducido.
- Función sistólica normal.
- Válvulas semilunares (pulmonar y aórtica) normales.
- Válvulas atrioventriculares (mitral y tricúspide) normales.
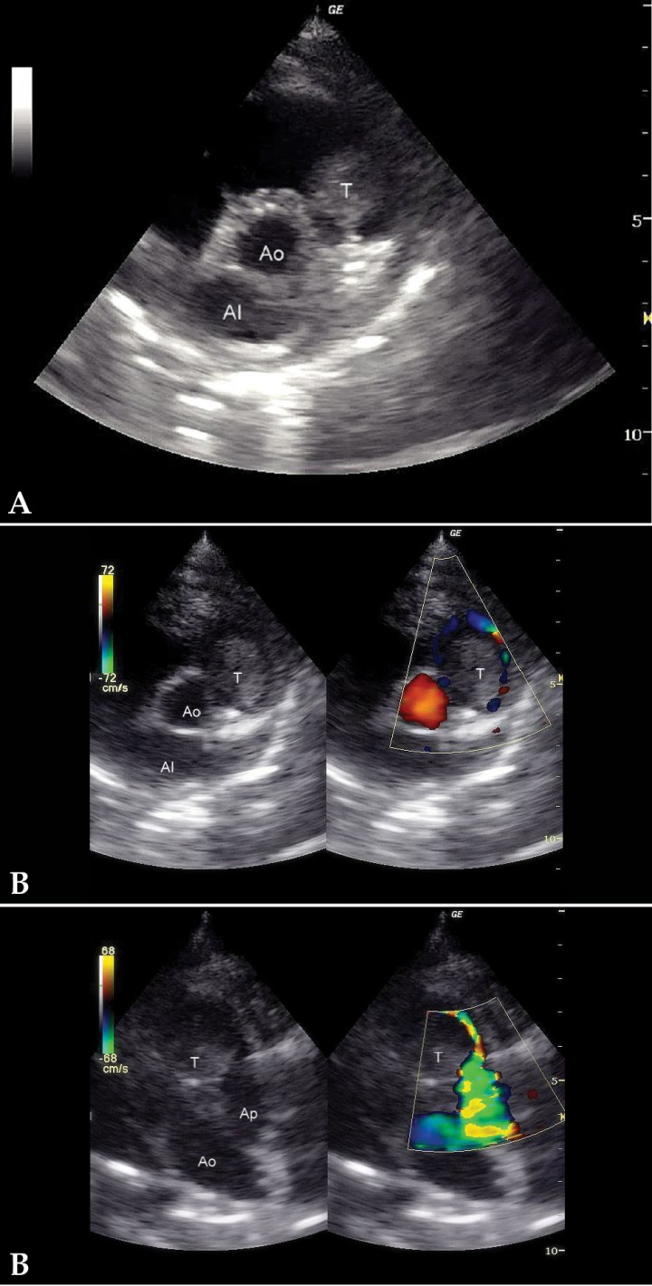
- Presencia de una masa intraluminal de dos por tres centímetros en tracto de salida derecho (Figs. 3B y 3C), que produce una obstrucción al flujo de salida y, por tanto, una reducción del caudal a través de la arteria pulmonar. El flujo laminar de salida a 1,4 m/s se vuelve turbulento a su paso por la masa, a la que rodea claramente (Fig. 4), provocando una aceleración del flujo hasta los 2,9 m/s (Fig. 5).

<p>(A) Corte paraesternal derecho, eje corto. (B) Corte craneal izquierdo. Doppler color con flujo sanguíneo rodeando la masa demostrando obstrucción mecánica del flujo. T: tumor; Ao: aorta; Ap: arteria pulmonar.</p>
Figura 4

(A) Corte paraesternal derecho, eje corto. (B) Corte craneal izquierdo. Doppler color con flujo sanguíneo rodeando la masa demostrando obstrucción mecánica del flujo. T: tumor; Ao: aorta; Ap: arteria pulmonar.

<p>Doppler pulsado arteria pulmonar, flujo acelerado postobstrucción.</p>
Figura 5

Doppler pulsado arteria pulmonar, flujo acelerado postobstrucción.

Se plantea la realización de pruebas adicionales para conocer la naturaleza de este tumor, como citología ecoguiada de la masa[ Pedro B, Linney C, Navarro-Cubas X et al. Cytological diagnosis of cardiac masses with ultrasound guided fine needle aspirates. J Vet Cardiol. 2016;18(1):47-56. [PubMed] ] y tomografía computarizada (TAC) torácica.[ Mai W, Seiler GS, Lindl-Bylicki BJ, Zwingenberger AL. CT and MRI features of carotid body paraganglionomas in 16 dogs. Vet Radiol Ultrasound. 2015;56(4):374-83. [PubMed] , KromhoutK, Gielen I, DeCock HE, Van Dyck K, Van Bree H. Magnetic resonance and computed tomography imaging of a carotid body tumor in a dog. Acta Vet Scand 2012;16;54:24. [PMC] ] Los propietarios lo declinan y solicitan tratamiento paliativo.

Se realiza por tanto manejo médico, realizándose abdominocentesis mediante implantación de catéter de 14 G (2,20 x 50 mm catéter Nipro) (Fig. 6). Se extraen de esta forma 2200 mililitros del mismo tipo de líquido que se obtuvo en el diagnóstico. Se pauta tratamiento médico con ramipril (0,15 mg/kg bid, v.o., Vasotop, MSD), furosemida (2 mg/kg bid, v.o., Seguril, Sanofi) y espirinolactona (2 mg/kg sid, v.o., Prilactone, Ceva).

<p>Técnica de abdominocentesis.</p>
Figura 6

Técnica de abdominocentesis.

Se revisa al paciente en siete días, habiendo una mejoría clínica evidente en su tolerancia al ejercicio y manteniéndose un abdomen de volumen normal. No recurren los episodios presincopales. Se continúa tratamiento sin modificaciones.
Tras treinta y tres días de terapia hay recidiva de la ascitis, ante la cual los propietarios deciden realizar la eutanasia del paciente.

Se realiza la necropsia del animal para alcanzar un diagnóstico definitivo de la masa intracardíaca. En ella se observa:

- Marcada dilatación de ventrículo derecho (Fig. 7A).

<p>(A) Aspecto macroscópico del corazón completo, vista lateral izquierda. Se observa una severa dilatación de ventrículo derecho. (B) Aspecto macroscópico del corazón completo, vista dorsal. Tumor en base cardíaca de gran tamaño, con invasión local. (C) Aspecto macroscópico del corazón completo, vista lateral derecha. Severa dilatación de ventrículo derecho y tumor en base cardíaca de gran tamaño con invasión local.</p>
Figura 7

(A) Aspecto macroscópico del corazón completo, vista lateral izquierda. Se observa una severa dilatación de ventrículo derecho. (B) Aspecto macroscópico del corazón completo, vista dorsal. Tumor en base cardíaca de gran tamaño, con invasión local. (C) Aspecto macroscópico del corazón completo, vista lateral derecha. Severa dilatación de ventrículo derecho y tumor en base cardíaca de gran tamaño con invasión local.

- Presencia de un crecimiento irregular de aspecto blanquecino sobre el epicardio, que forma varias placas de pequeño tamaño (1-2 mm), así como una masa sólida de grandes dimensiones (2 x 4 cm) que abarca la salida de los grandes vasos (Figs. 7B y 7C).

- La sección longitudinal del corazón muestra la presencia de un nódulo de 2 x 2 cm de aspecto muscular blanquecino en la luz del ventrículo derecho, concretamente en su tracto de salida (Fig. 8A).

<p> (A) Aspecto macroscópico del corazón abierto en un plano longitudinal. Dilatación ventricular derecha. Presencia de tumor intraluminal en tracto de salida derecho. (B) Aspecto macroscópico del corazón abierto en un plano longitudinal tras resección de aparato valvular y músculos papilares. Dilatación ventricular derecha. Presencia de tumor intraluminal en tracto de salida derecho. (C) Aspecto macroscópico del corazón abierto en un plano longitudinal y disección de arteria pulmonar intacta. Presencia de tumor intraluminal en tracto de salida derecho.</p>
Figura 8

 (A) Aspecto macroscópico del corazón abierto en un plano longitudinal. Dilatación ventricular derecha. Presencia de tumor intraluminal en tracto de salida derecho. (B) Aspecto macroscópico del corazón abierto en un plano longitudinal tras resección de aparato valvular y músculos papilares. Dilatación ventricular derecha. Presencia de tumor intraluminal en tracto de salida derecho. (C) Aspecto macroscópico del corazón abierto en un plano longitudinal y disección de arteria pulmonar intacta. Presencia de tumor intraluminal en tracto de salida derecho.

- La retirada de los músculos papilares y el aparato valvular permite apreciar su disposición exacta en el tracto de salida derecho y la dilatación de la cavidad del ventrículo derecho secundaria a la obstrucción del flujo de salida (Fig. 8B).

- La disección de la arteria pulmonar permite observar sus ramas limpias de infiltración neoplásica y su endotelio, capa muscular y epitelio intactos, confirmando un origen ajeno a la propia arteria para la masa causante del fallo congestivo derecho (Fig. 8C).

Se envía para análisis histopatológico a Idexx Laboratories el corazón en su totalidad. En el análisis histopatológico de la muestra (Fig. 9) se informa de que se trata de un tumor derivado de los quimiorreceptores aórticos, que ha provocado una severa invasión del tejido muscular ventricular, llegando a atravesar el septo interventricular e invadir el ventrículo derecho, ocupando su luz con la formación de un gran nódulo. Su extensión abarca incluso el epicardio, a donde ha llegado después de infiltrar todo el grosor muscular del ventrículo derecho.

<p>Corte histopatológico de tejido muscular cardíaco invadido por tejido tumoral. Tinción Hematoxilina-Eosina (x40). (Imagen cedida por Idexx Laboratories).</p>
Figura 9

Corte histopatológico de tejido muscular cardíaco invadido por tejido tumoral. Tinción Hematoxilina-Eosina (x40). (Imagen cedida por Idexx Laboratories).

Se alcanza el diagnóstico definitivo de quemodectoma maligno o carcinoma de cuerpo aórtico, con una gran capacidad de invasión local y una localización anómala.

Discusión

Según su localización y de acuerdo con la bibliografía actual,[ Aupperle H, Marz I, Ellenberger C, Buschatz S, Reischauer A, Schoon HA. Primary and secondary heart tumours in dogs and cats. J Comp Pathol 2007;136(1):18-26. [PubMed] , Ware WA, Hopper DL. Cardiac tumors in dogs: 1982-1995. J Vet Intern Med 1999;13(2):95-103. [PubMed] , Janus I, Nowak M, Noszczyk-Nowak A et al: Epidemiological and pathological features of cardiac tumours in dogs and cats in Poland in 1970 – 2014. Acta Vet Hung 2016; 64 (1): 90–102. [PubMed] , Treggiari E, Pedro B, Dukes-McEwan J, Gelzer AR, Blackwood L. A descriptive review of cardiac tumours in dogs and cats. Vet Comp Oncol. 2015. [PubMed] ] un tumor intraluminal en las cámaras cardíacas derechas sería clasificado, como diagnóstico diferencial más probable, como un hemangiosarcoma. La escasa especificidad de la ecocardiografía[ Rajagopalan V, Jesty, SA, Craig LE, Gompf R. Comparison of presuntive echocardiografic and definitive diagnosis of cardiac tumours in dogs. J Vet Intern Med. 2013;27(5):1092-6. [PubMed] ] para el diagnóstico de tumores cardíacos hubiera hecho necesaria la realización de pruebas adicionales. Las técnicas más útiles y menos invasivas serían la aspiración con aguja fina ecoguiada[ Pedro B, Linney C, Navarro-Cubas X et al. Cytological diagnosis of cardiac masses with ultrasound guided fine needle aspirates. J Vet Cardiol. 2016;18(1):47-56. [PubMed] , Yamamoto S, Fukushima R,Hirakawa A, Abe M, Kobayashi M, Machida N. Histopathological and inmunohistochemical evaluation of malignant potential in canine aortic body tumours. J Comp Pathol 2013;149(2-3):182-91. [PubMed] ] y otras técnicas de imagen, como el TAC o la resonancia magnética.[ Mai W, Seiler GS, Lindl-Bylicki BJ, Zwingenberger AL. CT and MRI features of carotid body paraganglionomas in 16 dogs. Vet Radiol Ultrasound. 2015;56(4):374-83. [PubMed] , KromhoutK, Gielen I, DeCock HE, Van Dyck K, Van Bree H. Magnetic resonance and computed tomography imaging of a carotid body tumor in a dog. Acta Vet Scand 2012;16;54:24. [PMC] ] La necropsia y posterior biopsia fue, en este caso, el método que proporcionó el diagnóstico definitivo.

El cuadro clínico del paciente era poco habitual para la patología subyacente, pues la presencia de un quemodectoma suele provocar la aparición de derrame pericárdico[ Shaw SP, Rush JE. Canine pericardial effusion: pathophysiology and cause. Compend Contin Educ Vet. 2007;29(7):400-3. [PubMed] , Warman SM, McGregor R, Fews D, Ferasin L. Congestive heart failure caused by intracardiac tumours in two dogs. J Small Anim Pract. 2006;47(8):480-3. [PubMed] ] o bien desencadenar arritmias[ Schuller S, Van Israel N, Else RW. Third degree atrioventricular block and accelerated idioventricular rhythm associated with a heart base chemodectoma in a syncopal Rottweiler. J Vet Med A Physiol Pathol Clin Med. 2007;54(10):618-23. [PubMed] ] de diversa consideración. El fallo cardíaco congestivo debido a la presencia de una masa intracardíaca es poco frecuente, aunque ya ha sido previamente descrito,[ Warman SM, McGregor R, Fews D, Ferasin L. Congestive heart failure caused by intracardiac tumours in two dogs. J Small Anim Pract. 2006;47(8):480-3. [PubMed] ] y se debe al propio efecto mecánico de la masa que supone un obstáculo físico al flujo sanguíneo. Dependiendo de su localización en los tractos de salida, las válvulas o espacios atrioventriculares o la luz de las propias cámaras cardíacas, podemos ver un cuadro de fallo cardíaco congestivo izquierdo (edema pulmonar), derecho (ascitis/derrame pleural) o ambos simultáneamente.

En este caso, llegar a un diagnóstico definitivo in vivo podría haber permitido un tratamiento más específico, como la radioterapia conformacional[ Rancilio NJ, Higuchi T, Gagnon J, McNiel EA. Use of three-dimensional conformal radiation therapy for treatment of a heart base chemodectoma in a dog. J Am Vet Med Assoc 2012; 15;241(4):472-6. [PubMed] ] o la quimioterapia.[ Gunaldi M, Kara IO, Duman BB, Afsar CU, Ergin M, Avci A. A new approach to the treatment of metastatic paraganglioma: sorafenib. Cancer Res Treat 2014;46(4):411-4. [PubMed] ] También se ha indicado que la realización de pericardiectomía aumenta la esperanza de vida de estos pacientes, aun en ausencia de derrame pericárdico en el momento del diagnóstico,[ Ehrhart N, Ehrhart EJ, Willis J. Analysis of factors affecting survival in dogs with aortic body tumors. Vet Surg. 2002;31(1):44-8. [PubMed] ] empleando además este evento quirúrgico para la toma directa de biopsias incisionales. El empleo de radioterapia o quimioterapia, aunque no curativo, podría haber alargado significativamente la esperanza de vida del paciente. Dado que la función sistólica era adecuada, la reducción del tamaño del tumor mediante la aplicación de estos tratamientos hubiese supuesto una reducción del grado de obstrucción del tracto de salida y, por tanto, una mejora en el flujo sanguíneo evacuado, ayudando significativamente al control médico del fallo cardíaco congestivo.

Se concluye, por tanto, que las neoplasias intracardíacas deben incluirse en el diagnóstico diferencial de fallo cardíaco congestivo, y que su diagnostico definitivo puede alcanzarse mediante la combinación de técnicas de imagen (ecocardiografía, TAC, resonancia magnética) y patología (citología, biopsia). Esto permitirá diseñar un plan terapéutico ajustado al paciente, que en este caso sufría un tumor de naturaleza maligna (poco frecuente en los tumores derivados de quimiorreceptores) y en una localización muy inusual.

 

Fuente de financiación: este trabajo no se realizó con fondos comerciales, públicos o del sector privado.
Conflicto de intereses: el autor declara que no existen conflictos de intereses.

Bibliografía

  1. [1] Aupperle H, Marz I, Ellenberger C, Buschatz S, Reischauer A, Schoon HA. Primary and secondary heart tumours in dogs and cats. J Comp Pathol 2007;136(1):18-26. [PubMed]
  2. [2] Ware WA, Hopper DL. Cardiac tumors in dogs: 1982-1995. J Vet Intern Med 1999;13(2):95-103. [PubMed]
  3. [3] Janus I, Nowak M, Noszczyk-Nowak A et al: Epidemiological and pathological features of cardiac tumours in dogs and cats in Poland in 1970 – 2014. Acta Vet Hung 2016; 64 (1): 90–102. [PubMed]
  4. [4] Treggiari E, Pedro B, Dukes-McEwan J, Gelzer AR, Blackwood L. A descriptive review of cardiac tumours in dogs and cats. Vet Comp Oncol. 2015. [PubMed]
  5. [5] Hardcastle MR, Meyer J, McSporran KD. Pathology in practice. Carotid and aortic body carcinomas (chemodectomas) in a dog. J Am Vet Med Assoc. 2013;242(2):175-7. [PubMed]
  6. [6] Cho KO, Park NY, Park IC, Kang BK, Onuma M. Metastatic intracavitary cardiac aortic body tumor in a dog. J Vet Med Sci 1998;60(11):1251-3. [PubMed]
  7. [7] Kim SK, Huyn CB, Cho KO. Unusual metastasis of malignant aortic body tumor to multiple bones in a dog. J Vet Med Sci 2005; 67(6):625-7. [PubMed]
  8. [8] Hayes HM y Sass B. Chemoreceptor neoplasia: a study of the epidemiological factors of 357 canine cases. J Vet Med Assoc 1988; 35: 401-408.
  9. [9] Pedro B, Linney C, Navarro-Cubas X et al. Cytological diagnosis of cardiac masses with ultrasound guided fine needle aspirates. J Vet Cardiol. 2016;18(1):47-56. [PubMed]
  10. [10] Mai W, Seiler GS, Lindl-Bylicki BJ, Zwingenberger AL. CT and MRI features of carotid body paraganglionomas in 16 dogs. Vet Radiol Ultrasound. 2015;56(4):374-83. [PubMed]
  11. [11] KromhoutK, Gielen I, DeCock HE, Van Dyck K, Van Bree H. Magnetic resonance and computed tomography imaging of a carotid body tumor in a dog. Acta Vet Scand 2012;16;54:24. [PMC]
  12. [12] Rajagopalan V, Jesty, SA, Craig LE, Gompf R. Comparison of presuntive echocardiografic and definitive diagnosis of cardiac tumours in dogs. J Vet Intern Med. 2013;27(5):1092-6. [PubMed]
  13. [13] Yamamoto S, Fukushima R,Hirakawa A, Abe M, Kobayashi M, Machida N. Histopathological and inmunohistochemical evaluation of malignant potential in canine aortic body tumours. J Comp Pathol 2013;149(2-3):182-91. [PubMed]
  14. [14] Shaw SP, Rush JE. Canine pericardial effusion: pathophysiology and cause. Compend Contin Educ Vet. 2007;29(7):400-3. [PubMed]
  15. [15] Warman SM, McGregor R, Fews D, Ferasin L. Congestive heart failure caused by intracardiac tumours in two dogs. J Small Anim Pract. 2006;47(8):480-3. [PubMed]
  16. [16] Schuller S, Van Israel N, Else RW. Third degree atrioventricular block and accelerated idioventricular rhythm associated with a heart base chemodectoma in a syncopal Rottweiler. J Vet Med A Physiol Pathol Clin Med. 2007;54(10):618-23. [PubMed]
  17. [17] Rancilio NJ, Higuchi T, Gagnon J, McNiel EA. Use of three-dimensional conformal radiation therapy for treatment of a heart base chemodectoma in a dog. J Am Vet Med Assoc 2012; 15;241(4):472-6. [PubMed]
  18. [18] Gunaldi M, Kara IO, Duman BB, Afsar CU, Ergin M, Avci A. A new approach to the treatment of metastatic paraganglioma: sorafenib. Cancer Res Treat 2014;46(4):411-4. [PubMed]
  19. [19] Ehrhart N, Ehrhart EJ, Willis J. Analysis of factors affecting survival in dogs with aortic body tumors. Vet Surg. 2002;31(1):44-8. [PubMed]

Artículos recomendados

Estas recomendaciones se ofrecen de forma automática.

  • Fallo hepático en un perro tras intoxicación por ingestión de semillas de Cycas revoluta

    C. García, A. Segarra, N. Bedía, et al.
    Clin Vet Peq Anim Vol. 45 - Nº 3 · SEP 2025 · Artículo original referido a un solo caso clínico
  • Pseudoaneurisma venoso de presunto origen yatrogénico causado al realizar una biopsia ósea

    F. Osorio, L. Feo, J. Puig
    Clin Vet Peq Anim Vol. 45 - Nº 1 · MAR 2025 · Artículo original referido a un solo caso clínico
  • Concordancia entre IDEXX SediVue Dx y el cultivo de orina en perros y gatos

    L. Di Filippo, I. Frías, R. Santiago
    Clin Vet Peq Anim Vol. 44 - Nº 1 · MAR 2024 · Artículo original referido a múltiples casos clínicos
  • Inicio
  • Introducción
  • Caso clínico
  • Discusión
  • Bibliografía
Artículo anterior Índice de la revista Artículo siguiente
ANUNCIO
Próximos cursos ATVs Elearning
Índice
Inicio Introducción Caso clínico Discusión Bibliografía
Milbeprazin
ANUNCIO

¿No eres socio de AVEPA y quieres recibir comunicación de las nuevas ediciones en tu correo?

Suscríbete

Suscríbete y te avisaremos cuando publiquemos un nuevo número

Suscribirme

Enlaces rápidos

  • Inicio
  • Último número
  • Archivo
  • Artículos

Información

  • Comité editorial
  • Política de cookies
  • Política de privacidad
  • Términos y condiciones

Contacto

  • info@imaginice.com
  • Envíanos tu artículo
© 2026 Ice Salud Vet SL. Todos los derechos reservados.

Usamos cookies para mejorar tu experiencia. Selecciona cuáles aceptas: