Logo AVEPA

Clínica Veterinaria de Pequeños Animales

Revista oficial de AVEPA

  • Inicio
  • Último número
  • Archivo
  • Artículos
  • Para autores
  • Contacto
Cursos Junio-Septiembre 2026
ANUNCIO

Clínica Veterinaria de Pequeños Animales

Revista oficial de AVEPA

  • Inicio
  • Último número
  • Archivo
  • Artículos
  • Para autores
  • Contacto
Curso Oftalmología 2026
ANUNCIO
Clin Vet Peq Anim Vol. 38 • Nº 4 • diciembre 2018

Conjuntivitis eosinofílica felina asociada a herpesvirus felino tipo 1

Feline eosinophilic conjunctivitis associated with feline herpesvirus type 1

Artículo original referido a un solo caso clínico

J. González-Pérez

Clínica Veterinaria Escaleritas. Av. Escaleritas, 52B, 35011 Las Palmas de Gran Canaria, Las Palmas

D. Sarmiento-Quintana

DiOftalmo. c/ Cebrián, 43, 35003 Las Palmas de Gran Canaria, Las Palmas

R. Udiz-Rodríguez

Centro de Referencia Visión Veterinaria. Av. de los Majuelos, 93, 38108 San Cristóbal de La Laguna, Santa Cruz de Tenerife

I. Morales-Fariña

Hospital Clínico Veterinaria ULPGC. Campus de Arucas, Trasmontaña, s/n, 35413 Arucas, Las Palmas

Contacto: jes_gp@hotmail.com
Palabras clave: gato, conjuntivitis, eosinofílica, herpesvirus felino, inmunodeficiencia felina, famciclovir.
Keywords: cat, conjunctivitis, eosinophilic, feline herpesvirus, eline immunodeficiency, famciclovir.

Clin. Vet. Peq. Anim, 2018, 38 (4): 243 -251

Descargar artículo

Resumen

Se presenta en consulta un gato Común Europeo, de 8 años de edad, con cuadro bilateral de blefaroespasmo, descarga serosa, inflamación palpebral, hiperemia conjuntival, moderada quemosis, protrusión de la membrana nictitante, estornudos, tos esporádica e inapetencia desde hace 20 días y una historia clínica de conjuntivitis recurrentes. El animal había sido tratado con tobramicina tópica, doxiciclina y lisina, sin mejoría. El examen físico detectó fiebre, úlceras orales y sibilancias en la auscultación. La exploración oftalmológica reveló una conjuntivitis bilateral y queratitis no ulcerativa en el ojo derecho; el ojo izquierdo era no visual y presentaba un simblefaron. Las pruebas diagnósticas incluyeron analítica de sangre que mostró una linfopenia, test de leucemia e inmunodeficiencia felina (FIV) que fue positivo a FIV, y radiografías de tórax que revelaron un patrón broncointersticial. La citología conjuntival confirmó una conjuntivitis eosinofílica y la reacción en cadena cuantitativa de la polimerasa (PCR) resultó positiva al herpesvirus felino tipo 1 (FHV-1). El tratamiento ocular tópico consistió en ciclosporina, clortetraciclina, ciclopentolato y lágrimas artificiales y el sistémico incluyó famciclovir y amoxicilina-clavulánico. A las 48 horas se retiró la ciclosporina por irritación, continuando con el resto del tratamiento. Aunque no se utilizaron inmunosupresores, la recuperación de las lesiones oculares fue completa en 45 días, lo que confirma la implicación del FHV-1. El animal no ha mostrado recidivas en los últimos ocho meses.

Abstract

A common European cat, aged 8 years, with bilateral blepharospasm, serous discharge, palpebral inflammation, blepharitis, conjunctival hyperemia, moderate chemosis, protrusion of the nictitating membrane, sneezing, sporadic cough and lack of appetite for 20 days and a clinical history of recurrent conjunctivitis is presented for consultation. The animal had been treated with topical tobramycin, doxycycline and lysine, without improvement. The physical examination detected fever, oral ulcers and wheezes on auscultation. Ophthalmological examination revealed bilateral conjunctivitis and non-ulcerative keratitis in the right eye. The left eye was non-visual with symblepharon. Diagnostic tests revealed lymphopenia, positive result for feline immunodeficiency (FIV) and no detectable leukemia. Chest X-ray demonstrated a bronchointerstitial pattern, and conjunctival cytology confirmed an eosinophilic conjunctivitis. The quantitative polymerase chain reaction (qPCR) was positive for feline Herpesvirus type 1 (FHV-1). Topical ocular treatment consisted of cyclosporine, chlortetracycline, cyclopentolate and artificial tears; systemic treatment consisted of oral famciclovir and amoxicillin-clavulanic acid. At 48 hours, cyclosporine was removed because of irritation. Despite the removal of the immunosuppressant, the recovery from the ocular lesions was complete in 45 days, confirming the involvement of FHV-1. The animal has had no recurrences in the last eight months.

AVEPA Elearning

La presencia de este logo en un artículo de la revista indica que se publicará un examen sobre el mismo en la plataforma AVEPA Elearning. Su resolución aporta 0,15 créditos dentro del sistema de acreditaciones de especialidades veterinarias de AVEPA.

Introducción

La conjuntivitis eosinofílica (CE) es una respuesta inflamatoria crónica inmunomediada de la conjuntiva desencadenada por un estímulo desconocido. Menos común que la queratitis eosinofílica, puede ocurrir en gatos afectando a uno o ambos ojos. La infiltración eosinofílica de la conjuntiva sin compromiso de la córnea se ha descrito en dos estudios.[ Allgoewer I, Schaffer EH, Stockhaus C, Vogtlin A. Feline eosinophilic conjunctivitis. Vet Ophthalmol 2001; 4 (1): 69-74. [PubMed] , Pentlarge V. Eosinophilic conjunctivitis in five cats. J Am Anim Hosp Assoc 1991; 27: 21-28. ] La edad media de aparición es de siete años aproximadamente. Los signos clínicos incluyen engrosamiento, despigmentación y erosiones de los márgenes palpebrales, blefaroespasmo, inflamación y enrojecimiento de la conjuntiva. El diagnóstico definitivo se realiza mediante examen citológico de raspados conjuntivales o biopsias; la presencia de eosinófilos y gránulos eosinófilicos se considera diagnóstica, aunque también se pueden observar mastocitos, neutrófilos, linfocitos y células plasmáticas.[ Allgoewer I, Schaffer EH, Stockhaus C, Vogtlin A. Feline eosinophilic conjunctivitis. Vet Ophthalmol 2001; 4 (1): 69-74. [PubMed] ] La terapia inmunosupresora con corticoides tópicos es la primera opción debido a su eficacia, ajustando la intensidad del tratamiento a la respuesta clínica. El ungüento tópico de ciclosporina A (CsA) como tratamiento para la queratitis eosinofílica felina ha resultado eficaz en la mayoría de los casos;[ Spiess AK, Sapienza JS, Mayordomo A. Treatment of proliferative feline eosinophilic keratitis with topical 1.5% cyclosporine: 35 cases. Vet Ophthalmol 2009; 12 (2): 132-137. [PubMed] ] además, es el tratamiento de elección si se ha realizado un diagnóstico de herpesvirus felino tipo 1 (FHV-1).

El FHV-1 es uno de las principales agentes causantes de la conjuntivitis felina.[ Gould D. Feline herpesvirus-1: ocular manifestations, diagnosis and treatment options. J Feline Med Surg 2011; 13 (5): 333-346. [PubMed] ] Es frecuente en residencias, criaderos, protectoras y hogares donde los gatos conviven en colectividad. Los animales enfermos eliminan el virus en secreciones orales, nasales y conjuntivales. Los signos clínicos incluyen rinitis, conjuntivitis, fiebre, depresión y anorexia; en cachorros jóvenes o felinos inmunocomprometidos puede presentarse neumonía.[ Thiry E, Addie D, Belák S et al. Feline herpesvirus infection. ABCD guidelines on prevention and management. J Feline Med Surg 2009; 11 (7): 547-555. [PubMed] ] La infección por el FHV-1 se ha relacionado con numerosas enfermedades oculares: oftalmia neonatal, conjuntivitis, queratitis (úlceras dentríticas, úlceras corneales geográficas, queratitis estromal crónica), simblefaron, secuestro corneal, conjuntivitis y queratitis eosinofílica, queratoconjuntivitis seca, queratopatía cálcica en banda, dermatitis periocular y uveítis anterior.[ Gould D. Feline herpesvirus-1: ocular manifestations, diagnosis and treatment options. J Feline Med Surg 2011; 13 (5): 333-346. [PubMed] ] El FHV-1 sigue latente tras la curación clínica y la mayoría de gatos se convierten en portadores de por vida.[ Gould D. Feline herpesvirus-1: ocular manifestations, diagnosis and treatment options. J Feline Med Surg 2011; 13 (5): 333-346. [PubMed] ] El estrés o los tratamientos con corticoides pueden provocar la reactivación y eliminación del virus.

El papel que juega la infección por el FHV-1 en el desarrollo de la CE felina está aún por determinar.

El objetivo de este caso clínico es determinar la eficacia del tratamiento con famciclovir en una conjuntivitis eosinofílica por herpesvirus felino tipo 1, en sustitución a la terapia convencional con inmunosupresores.

Caso clínico

Se presenta en consulta un gato Común Europeo, macho castrado, de 8 años de edad y 5 kg de peso, con una buena condición corporal, antecedente previo de conjuntivitis recurrente en ambos ojos y ojo izquierdo (OS) no visual por traumatismo anterior. Nunca ha sido vacunado, pero sí lo desparasitan regularmente. No tiene historial de alergias ni problemas dermatológicos. De vida semilibre, cohabita con otros tres gatos y recientemente se ha introducido en la vivienda otro gato sin las medidas necesarias de manejo para minimizar el estrés.

El propietario refiere que desde hace 20 días presenta lagrimeo, enrojecimiento e intenso parpadeo en los dos ojos, inapetencia, estornudos y tos esporádica. Diagnosticado por otro veterinario de rinotraqueítis y conjuntivitis, fue tratado en otro centro con tobramicina tópica, doxiciclina y lisina oral durante 15 días, sin que existiese, según el propietario, mejoría evidente.

El examen físico reveló una temperatura rectal de 39,6 ºC, mucosas rosadas, frecuencia cardiaca de 196 latidos por minuto a un ritmo regular, frecuencia respiratoria de 48 respiraciones por minuto y leve descarga nasal. La auscultación cardiaca no mostró alteraciones y en la auscultación pulmonar se detectaron sibilancias. En el examen de la cavidad bucal se apreció halitosis severa, babeo y úlceras indolentes en ambos labios superiores, sin que presentase enfermedad periodontal o problemas en la encía. No se encontraron en piel signos compatibles con el complejo granuloma eosinofílico.

Se realizó un examen oftalmológico, en el que el examen ocular a distancia del ojo derecho (OD) y ojo izquierdo (OS) reveló un cuadro bilateral de inflamación palpebral, blefaroespasmo, descarga ocular serosa y protrusión de la membrana nictitante; en OS la protrusión ocultaba la córnea (Fig. 1).

<p>Presentación bilateral de blefaritis, blefaroespasmo, descarga ocular y protrusión de la membrana nictitante.</p>
Figura 1

Presentación bilateral de blefaritis, blefaroespasmo, descarga ocular y protrusión de la membrana nictitante.

Los párpados superior e inferior de ambos ojos (OU) presentaban inflamación, despigmentación, erosión de los bordes palpebrales y granulaciones blanco rosáceo en la conjuntiva palpebral. La conjuntiva y la membrana nictitante en OU mostraban una intensa hiperemia, una moderada quemosis y un marcado engrosamiento, sin presencia de folículos. Un simblefaron inferomedial en OS entre conjuntiva palpebral y membrana nictitante impedía la retracción completa de la membrana (Fig. 2).

<p>(<strong>A</strong>) OD. (<strong>B</strong>) OS. Despigmentación y erosión de los márgenes palpebrales, y presencia de granulaciones blanco rosáceo en la conjuntiva palpebral. Conjuntiva y membrana nictitante en OU con una intensa hiperemia, una moderada quemosis y un marcado engrosamiento.</p>
Figura 2

(A) OD. (B) OS. Despigmentación y erosión de los márgenes palpebrales, y presencia de granulaciones blanco rosáceo en la conjuntiva palpebral. Conjuntiva y membrana nictitante en OU con una intensa hiperemia, una moderada quemosis y un marcado engrosamiento.

El test de Schirmer tipo 1 (Schirmer Tear Test®, Eickemeyer, Tuttlingen) fue de 17 mm/min en el OD y de 16 mm/min en el OS.

La respuesta a la amenaza, el reflejo fotomotor pupilar directo y el reflejo de deslumbramiento en OD fueron correctos; el reflejo fotomotor pupilar indirecto resultó no evaluable. En OS la respuesta a la amenaza, el reflejo pupilar directo, indirecto y de deslumbramiento fueron negativos, considerándose un ojo no visual.

Mediante el estudio biomicroscópico con lámpara de hendidura portátil (SL-15®, Kowa, Tokio) se observó en la zona temporal del OD una invasión de neovasos desde el limbo esclerocorneal y un edema corneal perivascular, sin alteración del epitelio corneal, compatible con una queratitis superficial (Fig. 3); en OS también se halló neovascularización y un leucoma en el centro de la córnea. La exploración de la cámara anterior del OD no reveló alteraciones; en el OS el iris presentaba cambios de coloración en relación con el ojo contralateral e iris bombé (Fig. 4).

<p>Edema corneal superficial y neovascularización en el cuadrante lateral de la córnea del OD.</p>
Figura 3

Edema corneal superficial y neovascularización en el cuadrante lateral de la córnea del OD.

<p>Neovascularización corneal e iris bombé en OS.</p>
Figura 4

Neovascularización corneal e iris bombé en OS.

Las tinciones vitales con fluoresceína (Ophthalmic Strips U.S.P®, Optitech, Allahabad) y rosa de Bengala (Rose Bengal®, Eickemeyer, Tuttlingen) resultaron negativas. El test de Jones fue positivo descartando posibles obstrucciones del sistema nasolagrimal en OU (Fig. 5).

<p>Test de Jones positivo.</p>
Figura 5

Test de Jones positivo.

El tiempo de ruptura de la película lagrimal (TBUT) fue de 17 segundos en OD y 18 segundos en OS.

La presión intraocular tomada mediante tonometría por aplanamiento (Tono-Pen®VET, Reichert, Nueva York) fue de 17 mmHg en OD y 15 mmHg en OS.

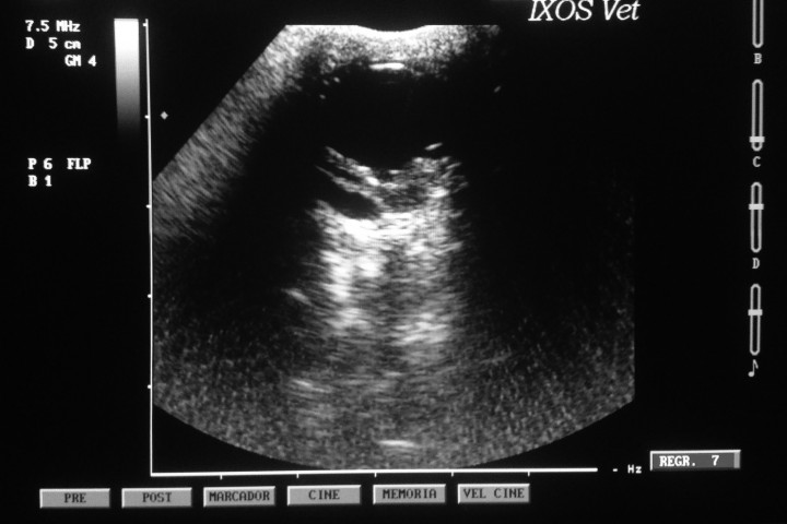
Se realizó oftalmoscopia directa (Welch-Allyn®, Nueva York) del OD previa dilatación pupilar con tropicamida (Colircusí Tropicamida®, Alcon Cusí, Barcelona), así como oftalmoscopia indirecta con lente de 20 dioptrías y un transiluminador de Finoff (Welch-Allyn®, Nueva York). Se tomaron fotografías del fondo del ojo (PanOptic® y accesorio iExaminerTM para iPhone®4S, Welch-Allyn®, Nueva York) que no revelaron anomalías del fondo ocular (Fig. 6). Al no poder observarse el segmento posterior del OS se realizó una ecografía ocular que mostró desprendimiento de retina y adherencias entre iris y cristalino sin presencia de catarata asociada (Fig. 7).

<p>Fondo ocular del OD sin alteraciones.</p>
Figura 6

Fondo ocular del OD sin alteraciones.

<p>Ecografía del OS; obsérvese el desprendimiento de retina en segmento posterior y la acusada disminución de la cámara anterior.</p>
Figura 7

Ecografía del OS; obsérvese el desprendimiento de retina en segmento posterior y la acusada disminución de la cámara anterior.

Los principales diagnósticos diferenciales de conjuntivitis en el gato según su etiología se presentan en la Tabla 1. Por otro lado, las alteraciones corneales que pueden afectar al paciente felino se detallan en la Tabla 2.[ Stiles J. Feline Ophthalmology. En: Gellat KN, Gilger BC y Kern TJ (ed): Veterinary Ophthalmology, volume 2. Fifth Edition. Oxford, Editorial Wiley-Blackwell, 2013; 1477-1559. , Moore PA. Feline corneal disease. Clin Tech Small Anim Pract 2005; 20 (2): 83-93. [PubMed] ]

Image
Tabla 1
Image
Tabla 2

Se extrajo sangre para realizar un análisis hematológico, bioquímico y de detección de leucemia felina (FeLV) e inmunodeficiencia felina (FIV) en plasma (SNAP®Combo Plus, Idexx, Barcelona). Salvo una linfopenia con un recuento de linfocitos de 1461 células/µl (valor de referencia 1500-7000) y un test positivo al FIV, todos los resultados se encontraron dentro del rango de referencia.

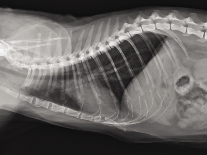
Las radiografías torácicas mostraron un patrón broncointersticial compatible con una bronquitis, evidenciando que, además de rinitis, el paciente presentaba una alteración de las vías respiratorias bajas (Fig. 8).

<p>Radiografía torácica lateral derecha con patrón broncointersticial.</p>
Figura 8

Radiografía torácica lateral derecha con patrón broncointersticial.

En las úlceras indolentes labiales (Fig. 9) la citología reveló neutrófilos degenerados, algunos eosinófilos y bacterias (cocos), lo que confirmó la existencia de una infección bacteriana (Fig. 10).

<p>Úlceras indolentes en labios superiores y fractura del canino superior derecho.</p>
Figura 9

Úlceras indolentes en labios superiores y fractura del canino superior derecho.

<div class=\"Basic-Text-Frame\">
<p>Citología de las úlceras labiales; se observa la presencia de neutrófilos degenerados, abundantes bacterias (cocos) y unos pocos eosinófilos en la preparación. Tinción Diff-Quick, objetivo de inmersión 100x.</p>
</div>
Figura 10

Citología de las úlceras labiales; se observa la presencia de neutrófilos degenerados, abundantes bacterias (cocos) y unos pocos eosinófilos en la preparación. Tinción Diff-Quick, objetivo de inmersión 100x.

Se recomendó biopsia de conjuntiva palpebral, lavado traqueobronquial para toma de muestra y enucleación del OS con biopsia. El propietario rechazó estas recomendaciones.

Previo al test de fluoresceína y sin aplicación de anestesia tópica, se recogió una muestra conjuntival con un hisopo para el estudio de PCR en tiempo real a fin de detectar los microorganismos patógenos que más comúnmente pueden causar conjuntivitis felina: Chlamydophila felis, calicivirus felino, herpesvirus felino y Mycoplasma felis. El resultado fue positivo al FHV-1.

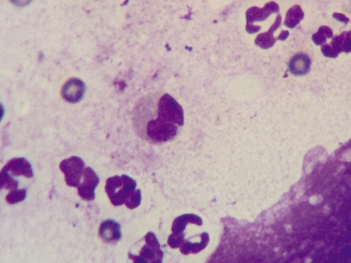
Tras instilar una gota de colirio anestésico de tetracaína y oxibuprocaína (Colicursí Anestésico Doble®, Alcon Cusí, Barcelona) se tomaron muestras conjuntivales cerca del borde palpebral para su estudio citológico. En este procedimiento se hace rodar un cepillo citológico sobre la zona a estudiar y luego suavemente sobre un portaobjetos. A continuación, se deja secar al aire, se fija y se tiñe con una tinción rápida de Diff-Quick (Tinción Main®, Maim, Barcelona). La citología conjuntival mostró eosinófilos, gránulos eosinófilicos y neutrófilos no degenerados (Fig. 11).

<div class=\"Basic-Text-Frame\">
<p>Citología conjuntival que muestra un infiltrado inflamatorio mixto incluyendo eosinófilos, gránulos eosinofílicos y neutrófilos no degenerados. Tinción Diff-Quick 100x.</p>
</div>
Figura 11

Citología conjuntival que muestra un infiltrado inflamatorio mixto incluyendo eosinófilos, gránulos eosinofílicos y neutrófilos no degenerados. Tinción Diff-Quick 100x.

En base a la sintomatología del paciente, el examen oftalmológico y los datos obtenidos en la citología conjuntival, el diagnóstico ocular fue de conjuntivitis eosinofílica asociada con el FHV-1.

Se prescribió tratamiento tópico en ambos ojos consistente en una pomada con hidrocloruro de clortetraciclina (Oftalmolosa Cusí Aureomicina® 5 mg/g, Alcon Cusí, Barcelona) tres veces al día (TID), ungüento de CsA 0,2% (Optimmune©, MSD Animal Health, Salamanca) dos veces al día, hialurato sódico (Hylo-Gel© 2 mg/ml, Brill Pharma, Barcelona) TID y ciclopentolato (Colicursí cicloplejico® 10 mg/ml, Alcon Cusí, Barcelona) TID.

El tratamiento sistémico consistió en amoxicilina-clavulánico (Synulox® 100 mg/ml, Zoetis, Madrid) a una dosis de 15 mg/kg cada 12 horas por vía oral, y famciclovir (Famvir® 250 mg, Novartis, Barcelona) a una dosis de 125 mg/gato cada 12 horas.

Respecto a la evolución, el propietario refirió molestias, inflamación e irritación a las 48 horas tras la aplicación de la pomada de CsA, por lo que se suspendió su administración.

Se realizó control telefónico a los 7 días y el propietario comentó que el animal estaba más animado, el apetito era bueno y el lagrimeo y las molestias habían disminuido, pero se estresaba con la medicación ocular tópica. Al reducirse el dolor ocular se suspendió el ciclopentolato.

En la revisión a los 15 días la temperatura era de 38,5 ºC, el animal no presentaba toses o estornudos y los síntomas oculares habían mejorado, con hiperemia conjuntival moderada, sin descarga ocular y ausencia de dolor. Ante los resultados de la PCR y la ausencia de infección bacteriana en la citología conjuntival, se suspendió el tratamiento con tetraciclina tópica.

En la siguiente revisión a los 30 días, la evolución era favorable, persistía una leve congestión conjuntival, los bordes palpebrales se estaban pigmentando y no se observaba inflamación. Con respecto a la queratitis, la córnea se había aclarado y se apreciaban vasos exangües, sin perfusión (vasos fantasmas). Las radiografías torácicas no revelaron alteraciones pulmonares. Las úlceras labiales habían mejorado y la cicatrización era favorable (Fig. 12). Se retiró el antibiótico sistémico y se mantuvo el famciclovir.

<p>Evolución favorable de las úlceras labiales.</p>
Figura 12

Evolución favorable de las úlceras labiales.

A los 45 días de iniciar la terapia se observó una remisión total de los signos clínicos oculares (Fig. 13) y la ausencia de alteraciones en la citología conjuntival, por lo que se interrumpió el tratamiento sin que el animal haya mostrado recaídas en los últimos ocho meses.

<p>(<strong>A</strong>) OD. (<strong>B</strong>) OS. Remisión total del cuadro clínico conjuntival después de 45 días de tratamiento.</p>
Figura 13

(A) OD. (B) OS. Remisión total del cuadro clínico conjuntival después de 45 días de tratamiento.

Discusión

La conjuntivitis eosinofílica y la queratitis o queratoconjuntivitis eosinofílica (EKC) pueden tener una etiopatogenia similar, pero parecen ser entidades clínicas separadas.[ Pentlarge V. Eosinophilic conjunctivitis in five cats. J Am Anim Hosp Assoc 1991; 27: 21-28. ] Ambas enfermedades son causadas por una presunta respuesta inmunomediada a un estímulo antigénico desconocido.

La EKC se caracteriza por una infiltración de la córnea de células inflamatorias y vascularización progresiva que empieza a nivel del limbo, infiltración rosada irregular con engrosamiento corneal y acumulación de material blanco amarillento en la superficie corneal. En la EKC, la córnea se ve siempre afectada, la conjuntiva a menudo está involucrada y en raras ocasiones, el tercer párpado.[ Dean E y Meunier V. Feline eosinophilic keratoconjunctivitis: a retrospective study of 45 cases (56 eyes). J Feline Med Surg 2013; 15 (8): 661-666. [PubMed] ]En cambio, la CE es una enfermedad conjuntival. La infiltración eosinofílica de la conjuntiva, sin que se produzca afectación corneal como en nuestro paciente, ya ha sido descrita anteriormente,[ Allgoewer I, Schaffer EH, Stockhaus C, Vogtlin A. Feline eosinophilic conjunctivitis. Vet Ophthalmol 2001; 4 (1): 69-74. [PubMed] , Pentlarge V. Eosinophilic conjunctivitis in five cats. J Am Anim Hosp Assoc 1991; 27: 21-28. ] y coincidimos con los autores en que durante el pe­ríodo de observación tam­poco progresó la participación corneal.[ Allgoewer I, Schaffer EH, Stockhaus C, Vogtlin A. Feline eosinophilic conjunctivitis. Vet Ophthalmol 2001; 4 (1): 69-74. [PubMed] ] La queratitis superficial del ojo derecho la asociamos con la infección por el FHV-1, no relacionándola con una EKC debido a la ausencia de alteraciones en la superficie corneal y a la buena respuesta al tratamiento antiviral.

Los objetivos principales de la evaluación citológica conjuntival son la caracterización del exudado y la identificación de la causa de la conjuntivitis según los hallazgos encontrados: bacterias, hongos, cuerpos de inclusión de agentes infecciosos, células inflamatorias o células neoplásicas. Las conjuntivitis se pueden clasificar en función del tipo celular que predomine.[ Young KM. Eyes and Associated Structures. En: Cowell RL y Valenciano AC (ed). Diagnostic cytology and hematology of the dog and cat. Fourth edition. St. Louis, Editorial El Sevier, 2014; 150-170. ] En la citología obtenida en este paciente se observaron eosinófilos y neutrófilos.

Los eosinófilos se estiman inusuales en gatos con conjuntivitis.[ Nasisse MP, Guy JS, Stevens JB, English RV, Davidson MG. Clinical and laboratory findings in chronic conjunctivitis in cats: 91 cases (1983–1991). J Am Vet Med Assoc 1993; 203 (6): 834-837. [PubMed] ] Para algunos autores el FHV-1 no se considera agente causal directo de la CE;[ Allgoewer I, Schaffer EH, Stockhaus C, Vogtlin A. Feline eosinophilic conjunctivitis. Vet Ophthalmol 2001; 4 (1): 69-74. [PubMed] ] sin embargo, para otros autores la presencia de eosinófilos en raspados corneales de gatos con queratitis tiene una clara relación con la infección por el FHV-1.[ Volopich S, Benetka V, Schwendenwein I, Mostl K, Sommerfeld-Stur I, Nell B. Cytologic findings, and feline herpesvirus DNA and Chlamydophila felis antigen detection rates in normal cats and cats with conjunctival and corneal lesions. Vet Ophthalmol 2005; 8 (1): 25-32. [PubMed] ] Recientemente otro estudio demostró que el hallazgo de eosinófilos en frotis conjuntivales puede ser una indicación para llevar a cabo las pruebas de PCR para el FHV-1.[ Hillström A, Tvedten H, Källberg M, Hanås S, Lindhe A, Holst BS. Evaluation of cytologic findings in feline conjunctivitis. Vet Clin Pathol 2012; 41 (2): 283-290. [PubMed] ]

Por otro lado, la presencia de neutrófilos en la citología conjuntival puede estar asociada con agentes infecciosos (bacterias y virus), así como con causas no infecciosas. Se debe sospechar de infección bacteriana si se observan cambios degenerativos celulares, mientras que en las infecciones por el FHV-1 predominan los neutrófilos no degenerados,[ Nasisse MP, Guy JS, Stevens JB, English RV, Davidson MG. Clinical and laboratory findings in chronic conjunctivitis in cats: 91 cases (1983–1991). J Am Vet Med Assoc 1993; 203 (6): 834-837. [PubMed] ] como en este caso. Las inclusiones virales de FHV-1 no suelen encontrarse en muestras teñidas con tinciones de Romanowsky.[ Hillström A, Tvedten H, Källberg M, Hanås S, Lindhe A, Holst BS. Evaluation of cytologic findings in feline conjunctivitis. Vet Clin Pathol 2012; 41 (2): 283-290. [PubMed] ]

Los resultados de la PCR con muestras conjuntivales deben ser interpretados con cautela; así, una PCR positiva no siempre es indicativa de enfermedad, y puede ser debida a una infección latente o a la eliminación del virus en pequeñas cantidades. Tampoco es conveniente tomar muestras de gatos recientemente vacunados con una vacuna atenuada frente al FHV-1.[ Thiry E, Addie D, Belák S et al. Feline herpesvirus infection. ABCD guidelines on prevention and management. J Feline Med Surg 2009; 11 (7): 547-555. [PubMed] ] En nuestro paciente el grupo de síntomas clínicos junto con las pruebas laboratoriales positivas confirmaron una herpesvirosis felina.

La conjuntivitis, la queratitis y la existencia de simblefaron son hallazgos altamente compatibles con una infección por el FHV-1. El cuadro clínico en nuestro caso pudo deberse a la reactivación del virus por estrés tras la introducción de otro gato en la vivienda o estar relacionado con el FIV; los factores inmunosupresores, como el tratamiento con corticoides o una infección por retrovirus, pueden reactivar la replicación viral y provocar que el animal manifieste de nuevo signos clínicos. De hecho, se ha descrito que la tasa de infección por el FHV-1 es mayor en felinos infectados por el FIV o el FeLV en comparación con gatos no infectados.[ Najafi H , Madadgar O, Jamshidi S, Ghalyanchi Langeroudi A, Darzi Lemraski M. Molecular and clinical study on prevalence of feline herpesvirus type 1 and calicivirus in correlation with feline leukemia and immunodeficiency viruses. Veterinario Foro Res 2014; 5 (4): 255-261. [PubMed] ]

Aunque la terapia inmunosupresora es la indicada para la CE,[ Allgoewer I, Schaffer EH, Stockhaus C, Vogtlin A. Feline eosinophilic conjunctivitis. Vet Ophthalmol 2001; 4 (1): 69-74. [PubMed] ] este paciente era linfopénico y presentaba anticuerpos frente al FIV, una infección activa por el FHV-1, fiebre e inapetencia, por lo que los corticoides estaban contraindicados. En la queratitis eosinofílica asociada con el FHV-1, la CsA tópica es el tratamiento de elección,[ Spiess AK, Sapienza JS, Mayordomo A. Treatment of proliferative feline eosinophilic keratitis with topical 1.5% cyclosporine: 35 cases. Vet Ophthalmol 2009; 12 (2): 132-137. [PubMed] ] pero produjo en este animal una marcada irritación ocular. Hubo que suspender la CsA e instaurar un tratamiento ocular de soporte, dando prioridad a tratar los síntomas sistémicos del FHV-1 con famciclovir oral. Para nuestra sorpresa, mientras esperábamos el resultado de la PCR conjuntival, la evolución y la mejoría de la conjuntiva fueron notables, respaldando la implicación del FHV-1 como agente causante de la inflamación conjuntival. Tanto la evolución clínica como la respuesta de la conjuntiva al tratamiento antiviral permitieron concluir la asociación del FHV-1 con este cuadro clínico.

Todos los fármacos antivirales estudiados hasta la fecha son virostáticos y, por lo tanto, se utilizan para reducir la replicación de virus. La eficacia del aciclovir contra el FHV-1 es baja en comparación con su eficacia contra el virus del herpes simple humano y no se recomienda para el tratamiento en gatos. La idoxuridina, la trifluridina y el ganciclovir resultan efectivos, pero deben usarse de 4 a 6 veces al día y frecuentemente causan irritación ocular; se necesitan más estudios en felinos.[ Thomasy SM, Maggs DJ. A review of antiviral drugs and other compounds with activity against feline herpesvirus type 1. Vet Ophthalmol 2016; 1: 119-130. [PubMed] ]

El famciclovir sistémico y el cidofovir tópico son los dos únicos antivirales con eficacia clínica demostrada contra el FHV-1.[ Gould D. Feline herpesvirus-1: ocular manifestations, diagnosis and treatment options. J Feline Med Surg 2011; 13 (5): 333-346. [PubMed] ] Dado que el cidofovir no está actualmente disponible en nuestro país, el famciclovir debe ser considerado el fármaco de elección en el tratamiento de la enfermedad clínica por el FHV-1. Aunque la eficacia clínica del famciclovir se ha probado solamente para dosis de 90 mg/kg TID,[ Thomasy SM, Lim CC, Reilly CM, Kass PH, Lappin MR, Maggs DJ. Evaluation of orally administered famciclovir in cats experimentally infected with feline herpesvirus type-1. Am J Vet Res 2011; 72 (1): 85-95. [PubMed] , Thomasy SM, Shull O, Outerbridge CA et al. Oral administration of famciclovir for treatment of spontaneous ocular, respiratory, or dermatologic disease attributed to feline herpesvirus type 1: 59 cases (2006-2013). J Am Vet Med Assoc 2016; 249 (5): 526-38. [PubMed] ] se han reportado informes de eficacia a dosis más bajas (62 a 125 mg por gato de una a tres veces al día).[ Malik R, Lessels NS, Webb S, et al. Treatment of feline herpesvirus-1associated disease in cats with famciclovir and related drugs. J Feline Med Surg 2009; 11 (1): 40-48. [PubMed] ]

La enucleación del OS con biopsia está indicada al tratarse de un ojo no visual y con posibilidad de glaucoma o sarcoma intraocular.[ Jelínek F. Postinflammatory sarcoma in cats. Exp Toxicol Pathol 2003; 55 (2-3): 167-172. [PubMed] ]

Con respecto al resto del tratamiento, en la conjuntivitis asociada con el FHV-1 se ha recomendado la aplicación tópica de un agente mucinomimético como el hialuronato.[ Lim CC, Reilly CM, Thomasy SM, Kass PH, Maggs DJ. Effects of feline herpesvirus type 1 on tear film break-up time, Schirmer tear test results, and conjunctival goblet cell density in experimentally infected cats. Am J Vet Res 2009; 70 (3): 394-403. [PubMed] ] La amoxicilina-clavulánico fue el antibiótico de elección, por su eficacia en infecciones bacterianas de úlceras labiales y como prevención de posibles infecciones secundarias.[ Wildermuth BE, Griffin CE, Rosenkrantz WS. Response of feline eosinophilic plaques and lip ulcers to amoxicillin trihydrate-clavulanate potassium therapy: a randomized, double-blind placebo-controlled prospective study. Vet Dermatol 2012; 23 (2):110-118. [PubMed] ]

La lisina ha sido utilizada tradicionalmente para el tratamiento del FHV-1 bajo la creencia de que disminuye los niveles de arginina, aminoácido necesario para la síntesis de proteínas herpesvirales evitando así su replicación. Sin embargo, la lisina no antagoniza la arginina en los gatos. Además, disminuir los niveles de arginina es altamente indeseable, ya que los gatos no pueden sintetizar este aminoácido ellos mismos. No seguimos suplementando con lisina por su ineficacia y falta de evidencia científica.[ Bol S, Bunnik EM. Lysine supplementation is not effective for the prevention or treatment of feline herpesvirus 1 infection in cats: a systematic review. BMC Vet Res 2015; 11 (1): 284. [PubMed] ]

En cambio la suplementación dietética con un probiótico potenciador del sistema inmune como Enterococcus faecium SF68 (Fortiflora®, Purina, Barcelona) ha demostrado en estudios recientes disminuir en algunos gatos la morbilidad asociada con la infección crónica por el FHV- 1.[

Lappin MR, Veir JK, Satyaraj E, Czarnecki-Maulden G. Pilot study to evaluate the effect of oral supplementation of Enterococcus faecium SF68 on cats with latent feline herpesvirus 1. J Feline Med Surg 2009;11(8): 650-4.
[PubMed] ]

En conclusión, el diagnóstico de CE asociada con el FHV-1 se basó en los signos clínicos oculares y sistémicos, en la presencia de eosinófilos y neutrófilos no degenerados en la citología conjuntival, en la confirmación diagnóstica mediante PCR y en la respuesta al tratamiento. El tratamiento convencional con corticoesteroides en pacientes inmunosuprimidos o con enfermedad clínica por el FHV-1 está contraindicado. Aunque el papel que juega la infección por el FHV-1 en el desarrollo de la conjuntivitis felina está aún por determinar, se describe el primer caso hasta la fecha de conjuntivitis eosinofílica asociada con el FHV-1 tratado con famciclovir sistémico con evolución favorable.

 

Fuente de financiación: este trabajo no se realizó con fondos comerciales, públicos o del sector privado.

Conflicto de intereses: los autores declaran que no existe conflicto de intereses.

Bibliografía

  1. [1] Allgoewer I, Schaffer EH, Stockhaus C, Vogtlin A. Feline eosinophilic conjunctivitis. Vet Ophthalmol 2001; 4 (1): 69-74. [PubMed]
  2. [2] Pentlarge V. Eosinophilic conjunctivitis in five cats. J Am Anim Hosp Assoc 1991; 27: 21-28.
  3. [3] Spiess AK, Sapienza JS, Mayordomo A. Treatment of proliferative feline eosinophilic keratitis with topical 1.5% cyclosporine: 35 cases. Vet Ophthalmol 2009; 12 (2): 132-137. [PubMed]
  4. [4] Gould D. Feline herpesvirus-1: ocular manifestations, diagnosis and treatment options. J Feline Med Surg 2011; 13 (5): 333-346. [PubMed]
  5. [5] Thiry E, Addie D, Belák S et al. Feline herpesvirus infection. ABCD guidelines on prevention and management. J Feline Med Surg 2009; 11 (7): 547-555. [PubMed]
  6. [6] Stiles J. Feline Ophthalmology. En: Gellat KN, Gilger BC y Kern TJ (ed): Veterinary Ophthalmology, volume 2. Fifth Edition. Oxford, Editorial Wiley-Blackwell, 2013; 1477-1559.
  7. [7] Moore PA. Feline corneal disease. Clin Tech Small Anim Pract 2005; 20 (2): 83-93. [PubMed]
  8. [8] Dean E y Meunier V. Feline eosinophilic keratoconjunctivitis: a retrospective study of 45 cases (56 eyes). J Feline Med Surg 2013; 15 (8): 661-666. [PubMed]
  9. [9] Young KM. Eyes and Associated Structures. En: Cowell RL y Valenciano AC (ed). Diagnostic cytology and hematology of the dog and cat. Fourth edition. St. Louis, Editorial El Sevier, 2014; 150-170.
  10. [10] Nasisse MP, Guy JS, Stevens JB, English RV, Davidson MG. Clinical and laboratory findings in chronic conjunctivitis in cats: 91 cases (1983–1991). J Am Vet Med Assoc 1993; 203 (6): 834-837. [PubMed]
  11. [11] Volopich S, Benetka V, Schwendenwein I, Mostl K, Sommerfeld-Stur I, Nell B. Cytologic findings, and feline herpesvirus DNA and Chlamydophila felis antigen detection rates in normal cats and cats with conjunctival and corneal lesions. Vet Ophthalmol 2005; 8 (1): 25-32. [PubMed]
  12. [12] Hillström A, Tvedten H, Källberg M, Hanås S, Lindhe A, Holst BS. Evaluation of cytologic findings in feline conjunctivitis. Vet Clin Pathol 2012; 41 (2): 283-290. [PubMed]
  13. [13] Najafi H , Madadgar O, Jamshidi S, Ghalyanchi Langeroudi A, Darzi Lemraski M. Molecular and clinical study on prevalence of feline herpesvirus type 1 and calicivirus in correlation with feline leukemia and immunodeficiency viruses. Veterinario Foro Res 2014; 5 (4): 255-261. [PubMed]
  14. [14] Thomasy SM, Maggs DJ. A review of antiviral drugs and other compounds with activity against feline herpesvirus type 1. Vet Ophthalmol 2016; 1: 119-130. [PubMed]
  15. [15] Thomasy SM, Lim CC, Reilly CM, Kass PH, Lappin MR, Maggs DJ. Evaluation of orally administered famciclovir in cats experimentally infected with feline herpesvirus type-1. Am J Vet Res 2011; 72 (1): 85-95. [PubMed]
  16. [16] Thomasy SM, Shull O, Outerbridge CA et al. Oral administration of famciclovir for treatment of spontaneous ocular, respiratory, or dermatologic disease attributed to feline herpesvirus type 1: 59 cases (2006-2013). J Am Vet Med Assoc 2016; 249 (5): 526-38. [PubMed]
  17. [17] Malik R, Lessels NS, Webb S, et al. Treatment of feline herpesvirus-1associated disease in cats with famciclovir and related drugs. J Feline Med Surg 2009; 11 (1): 40-48. [PubMed]
  18. [18] Jelínek F. Postinflammatory sarcoma in cats. Exp Toxicol Pathol 2003; 55 (2-3): 167-172. [PubMed]
  19. [19] Lim CC, Reilly CM, Thomasy SM, Kass PH, Maggs DJ. Effects of feline herpesvirus type 1 on tear film break-up time, Schirmer tear test results, and conjunctival goblet cell density in experimentally infected cats. Am J Vet Res 2009; 70 (3): 394-403. [PubMed]
  20. [20] Wildermuth BE, Griffin CE, Rosenkrantz WS. Response of feline eosinophilic plaques and lip ulcers to amoxicillin trihydrate-clavulanate potassium therapy: a randomized, double-blind placebo-controlled prospective study. Vet Dermatol 2012; 23 (2):110-118. [PubMed]
  21. [21] Bol S, Bunnik EM. Lysine supplementation is not effective for the prevention or treatment of feline herpesvirus 1 infection in cats: a systematic review. BMC Vet Res 2015; 11 (1): 284. [PubMed]
  22. [22] Lappin MR, Veir JK, Satyaraj E, Czarnecki-Maulden G. Pilot study to evaluate the effect of oral supplementation of Enterococcus faecium SF68 on cats with latent feline herpesvirus 1. J Feline Med Surg 2009;11(8): 650-4. [PubMed]

Artículos recomendados

Estas recomendaciones se ofrecen de forma automática.

  • Concordancia entre IDEXX SediVue Dx y el cultivo de orina en perros y gatos

    L. Di Filippo, I. Frías, R. Santiago
    Clin Vet Peq Anim Vol. 44 - Nº 1 · MAR 2024 · Artículo original referido a múltiples casos clínicos
  • Mortalidad anestésica en gatos en España. Resultados del proyecto COMPLRED

    J. I. Redondo-García, R. Marti-Scharfhausen Sánchez, I. Bilbao-Castro, et al.
    Clin Vet Peq Anim Vol. 44 - Nº 1 · MAR 2024 · Artículo original referido a múltiples casos clínicos
  • Mieloma múltiple en un gato con afectación extramedular de múltiples órganos abdominales

    L. Magen-Moreno, D. Borràs-Murcia, G. Doria-Torra
    Clin Vet Peq Anim Vol. 41 - Nº 2 · JUN 2021 · Artículo original referido a un solo caso clínico
  • Inicio
  • Introducción
  • Caso clínico
  • Discusión
  • Bibliografía
Artículo anterior Índice de la revista Artículo siguiente
ANUNCIO
Próximos cursos ATVs Elearning
Índice
Inicio Introducción Caso clínico Discusión Bibliografía
Purina Calming Care
ANUNCIO

¿No eres socio de AVEPA y quieres recibir comunicación de las nuevas ediciones en tu correo?

Suscríbete

Suscríbete y te avisaremos cuando publiquemos un nuevo número

Suscribirme

Enlaces rápidos

  • Inicio
  • Último número
  • Archivo
  • Artículos

Información

  • Comité editorial
  • Política de cookies
  • Política de privacidad
  • Términos y condiciones

Contacto

  • info@imaginice.com
  • Envíanos tu artículo
© 2026 Ice Salud Vet SL. Todos los derechos reservados.

Usamos cookies para mejorar tu experiencia. Selecciona cuáles aceptas: