Logo AVEPA

Clínica Veterinaria de Pequeños Animales

Revista oficial de AVEPA

  • Inicio
  • Último número
  • Archivo
  • Artículos
  • Para autores
  • Contacto
Cursos Junio-Septiembre 2026
ANUNCIO

Clínica Veterinaria de Pequeños Animales

Revista oficial de AVEPA

  • Inicio
  • Último número
  • Archivo
  • Artículos
  • Para autores
  • Contacto
Curso Oftalmología 2026
ANUNCIO
Clin Vet Peq Anim Vol. 41 • Nº 2 • junio 2021

Mieloma múltiple en un gato con afectación extramedular de múltiples órganos abdominales

Multiple myeloma in a cat with extramedullary involvement of multiple abdominal organs

Artículo original referido a un solo caso clínico

L. Magen-Moreno

El Kau Veterinari. c/ Naïm n.º 9. 08035 Barcelona.

D. Borràs-Murcia

Laboratorio Echevarne. c/ Provença n.º 312, bajos. 08037 Barcelona.

G. Doria-Torra

Laboratorio Echevarne. c/ Provença n.º 312, bajos. 08037 Barcelona.

Contacto: elkau.mascotes@gmail.com
Palabras clave: gato, mieloma múltiple, hipergammaglobulinemia, monoclonal, proteinuria Bence Jones.
Keywords: cat, multiple myeloma, hypergammaglobulinemia, monoclonal, Bence Jones proteinuria.

Clin Vet Peq Anim 2021, 41 (2): 85-91

Descargar artículo

Resumen

El mieloma múltiple (MM) es una neoplasia infrecuente en gatos originada por la proliferación tumoral de células plasmáticas en médula ósea que, frecuentemente, se presenta con metástasis en órganos abdominales, principalmente hígado y bazo. El presente artículo describe el caso de un paciente felino diagnosticado de MM con afectación extramedular en hígado, bazo, páncreas y riñones. Según el conocimiento de los autores este es el primer caso descrito de MM felino con metástasis pancreática y uno de los pocos casos descritos con la confirmación histológica de infiltración renal.

Abstract

Multiple myeloma (MM) represents an infrequently diagnosed plasma cell neoplasia in cats that originates in the bone marrow and commonly metastasizes into abdominal organs, mainly liver and spleen. This paper describes the clinical case of a feline patient diagnosed with MM who presented neoplastic plasma cells within the liver, spleen, pancreas and kidneys. To the authors' knowledge this case represents one of the few cases where the renal involvement by MM has been histologically confirmed in a cat, and the first description of pancreatic metastasis.

AVEPA Elearning

La presencia de este logo en un artículo de la revista indica que se publicará un examen sobre el mismo en la plataforma AVEPA Elearning. Su resolución aporta 0,15 créditos dentro del sistema de acreditaciones de especialidades veterinarias de AVEPA.

Introducción

El mieloma múltiple (MM) es una neoplasia hematológica con origen en células plasmáticas de la médula ósea infrecuentemente diagnosticada en felinos.[ Patel RT, Caceres A, French AF, McManus PM: Multiple myeloma in 16 cats: a retrospective study. Vet Clin Pat 2005; 34(4): 341-352. [pubMed] ] Se describe especialmente en gatos de edad avanzada y, en la mayoría de casos, se observa gammapatía monoclonal, afectación de múltiples órganos abdominales y frecuentemente aparecen lesiones óseas líticas.[ Withrow SJ, Vail DM. Withrow & MacEwen’s Small Animal Clinical Oncology. 4th Edition. St Louis: Elsevier Saunders; 2006. ] La presentación clínica es muy variable en función del órgano afectado. En el presente trabajo se describe el caso de un paciente felino diagnosticado de MM que presentó como particularidad infiltración neoplásica en páncreas y riñones.

Caso clínico

Se presentó en consulta un gato Común Europeo, macho castrado de 16 años por un cuadro de días de evolución consistente en hiporexia, polidipsia y apatía.

En el examen físico inicial el animal presentó una condición corporal baja (4/9), atrofia muscular marcada y deshidratación (6-8%). Durante la exploración se detectó una masa firme subcutánea de unos 3 cm de diámetro ubicada en la zona glútea de la extremidad posterior izquierda. 

Se realizaron hemograma y bioquímica sérica completos incluyendo determinación de T4 total y fructosamina, detección de anticuerpos del virus de la inmunodeficiencia felina (FIV) y antígeno del virus de la leucemia felina (FeLV) mediante inmunocromatografía, electroforesis sérica, urianálisis completo, radiografías de abdomen y tórax, ecografía abdominal y punción con aguja fina de la masa subcutánea.

Los resultados (Tabla 1) evidenciaron anemia no regenerativa, normocrómica con anisocitosis y anisocromia (hematocrito: 21%, ref: 24-45; hemoglobina: 7,2 g/dL, ref: 8-15; eritrocitos: 4,4 x 106 /µL, ref: 5,5-10 x 106). El recuento de leucocitos se encontró dentro de los valores de referencia. Se observó el fenómeno de rouleaux en el frotis sanguíneo. Las anormalidades en la bioquímica fueron azotemia (urea 75 mg/dL, ref: 40-70; creatinina 2,87, ref: <1,60), hiperbilirrubinemia (bilirrubina total: 3,17 mg/dL, ref: <0,6), hiperproteinemia con hipoalbuminemia e hiperglobulinemia (proteínas totales: 128 g/L, ref: 57-80; albúmina 17 g/L, ref: 25-40; globulinas: 111 g/L, ref: 21-40), aumento de AST (AST: 140, ref: 10-60) y T4 total disminuida (T4<0,50 µg, ref:1-4). El calcio total estaba dentro de la normalidad (calcio total: 85 mg/L, ref: 83-102). La prueba de FIV/FeLV resultó negativa y en la electroforesis de proteínas séricas se observó hipergammaglobulinemia de tipo monoclonal (Fig. 1A). El urianálisis reveló isostenuria (densidad: 1020), proteína 1+, además de bilirrubinuria (tira positiva y presencia de cristales de bilirrubina en sedimento), y el sedimento fue inactivo (Tabla 2).

<p>VCM = volumen corpuscular medio; HCM= hemoglobina corpuscular media; CHCM = concentración hemoglobina corpuscular media; T4 = tiroxina total; AST= aspartato aminotransferasa; ALT= alanina aminotransferasa; GGT= gamma-glutamil transferasa; FA= fosfatasa alcalina; CK= creatinkinasa. Los valores en negrita están fuera del intervalo de referencia.</p>
Tabla 1

VCM = volumen corpuscular medio; HCM= hemoglobina corpuscular media; CHCM = concentración hemoglobina corpuscular media; T4 = tiroxina total; AST= aspartato aminotransferasa; ALT= alanina aminotransferasa; GGT= gamma-glutamil transferasa; FA= fosfatasa alcalina; CK= creatinkinasa. Los valores en negrita están fuera del intervalo de referencia.

<p>Electroforesis de proteínas en suero y orina. (<strong>A</strong>) Electroforesis capilar de proteínas séricas en la que se observa un marcado aumento en la fracción de las gammaglobulinas. (<strong>B</strong>) Electroforesis de proteínas urinarias sobre gel de agarosa en el que se demuestra un pico marcado en la fracción de las betaglobulinas. PT=proteínas totales; Alb= albúmina; α-1= alfa-1 globulinas; α-2= alfa-2 globulinas; β= beta globulinas; γ = gamma globulinas; A/G= ratio albúmina/globulina.</p>
Figura 1

Electroforesis de proteínas en suero y orina. (A) Electroforesis capilar de proteínas séricas en la que se observa un marcado aumento en la fracción de las gammaglobulinas. (B) Electroforesis de proteínas urinarias sobre gel de agarosa en el que se demuestra un pico marcado en la fracción de las betaglobulinas. PT=proteínas totales; Alb= albúmina; α-1= alfa-1 globulinas; α-2= alfa-2 globulinas; β= beta globulinas; γ = gamma globulinas; A/G= ratio albúmina/globulina.

Image
Tabla 2

En la ecografía se apreciaron ambos riñones irregulares con leve pérdida de diferenciación corticomedular, disminución de la ecogenicidad del bazo, aumento de la ecogenicidad y volumen del hígado y leve infiltrado de la pared del intestino delgado. No se encontraron cambios patológicos en las radiografías a excepción de una leve espondilosis (L5-L6; L7-S1). La masa del glúteo izquierdo no mostró afectación ósea y la citología de la masa glútea no fue diagnóstica.

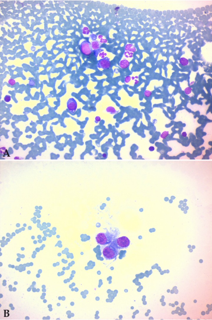
Ante estos resultados se realizaron pruebas adicionales consistentes en electroforesis de orina, estudio de proteinuria de Bence Jones mediante nefelometría, determinación de inmunoglobulinas (Ig) séricas por inmunodifusión, aspiración y citología de médula ósea (fémur izquierdo) y biopsia escisional de la masa glútea. Los resultados mostraron un pico en la fracción beta en la electroforesis (Fig. 1B), proteinuria de Bence Jones positiva para cadenas ligeras lambda (195 mg/dL), aumento marcado de IgG (8600 mg/dL, ref: 600-3800) y disminución de IgA (7,80 mg/dL, ref: 35-600) e IgM (11,70 mg/dL, ref: 70-360) séricas (Tabla 3). Los frotis de médula ósea (Fig. 2) contenían una población hematopoyética de predominio mieloide, con formas proreticulocíticas y reticulocíticas escasas, elementos megacarioblásticos ocasionales y depleción de neutrófilos maduros. Se observó la presencia relativamente abundante (superior al 10%) de elementos celulares de mediano tamaño, de citoplasma escaso a moderadamente abundante y núcleo redondo irregular, en muchos casos con nucléolo prominente. El diagnóstico fue de hipoplasia eritroide con infiltración de células redondas compatibles con células plasmáticas neoplásicas. El diagnóstico de la masa glútea fue de fibrosarcoma.

<p>IgA= inmunoglobulina A; IgG= inmunoglobulina G; IgM= Inmunoglobulina M. Los valores en negrita están fuera del intervalo de referencia.</p>
Tabla 3

IgA= inmunoglobulina A; IgG= inmunoglobulina G; IgM= Inmunoglobulina M. Los valores en negrita están fuera del intervalo de referencia.

<p>Punción de médula ósea. (<strong>A</strong>) Se observan dos células plasmacitoides atípicas en el centro de la imagen, de citoplasma basófilo con leve halo claro perinuclear. (<strong>B</strong>) Elementos celulares atípicos de morfología ambigua. La textura de la cromatina y la morfología nuclear señalan compatibilidad con fenotipo plasmacítico (x400, tinción H/E).</p>
Figura 2

Punción de médula ósea. (A) Se observan dos células plasmacitoides atípicas en el centro de la imagen, de citoplasma basófilo con leve halo claro perinuclear. (B) Elementos celulares atípicos de morfología ambigua. La textura de la cromatina y la morfología nuclear señalan compatibilidad con fenotipo plasmacítico (x400, tinción H/E).

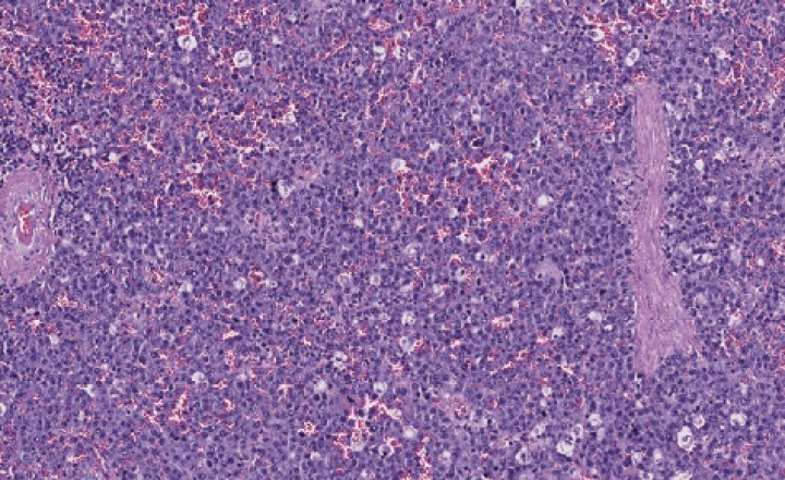
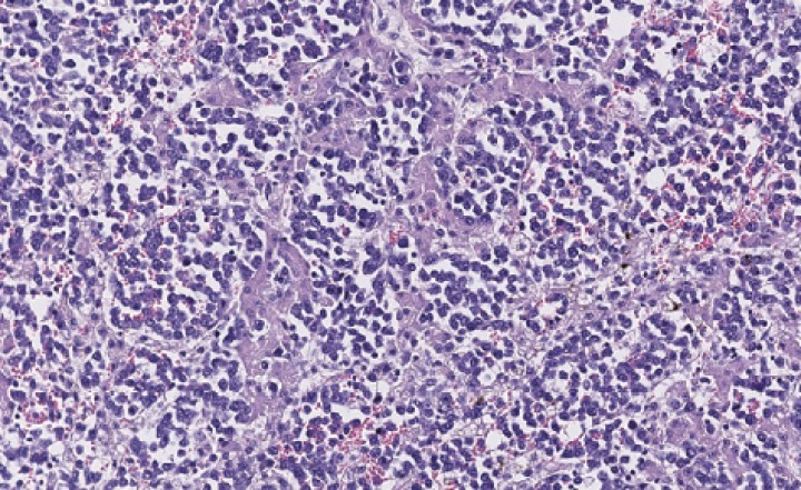
En base a los resultados de la electroforesis, proteína de Bence Jones y la infiltración de células redondas en médula ósea el diagnóstico más probable fue de mieloma múltiple acompañado de enfermedad renal, además de fibrosarcoma cutáneo. Se propuso un tratamiento quimioterápico con melfalán y prednisolona que el propietario rechazó. En su lugar se instauró un tratamiento paliativo con prednisolona 1 mg/Kg (Prednicortone, Dechra, Barcelona) y mirtazapina (1,88 mg cada 48 h; Laboratorios Cinfa, Huarte) como estimulante del apetito. A los 15 días y ante el deterioro del estado del paciente se decidió la eutanasia humanitaria. Se realizó la necropsia completa y toma de muestras con consentimiento del propietario. Los resultados histopatológicos mostraron infiltrado neoplásico difuso de células plasmáticas en bazo e hígado (Figs. 3 y 4), además de focos infiltrativos del mismo origen en páncreas y riñón (Figs. 5 y 6); este último presentó necrosis tubular sin afectación glomerular significativa. En el estudio inmunohistoquímico las células neoplásicas fueron positivas para los marcadores CD79a y CD138 y negativas para CD3 (Fig. 7), clasificándose como una neoplasia de fenotipo plasmocítico. El diagnóstico final fue de mieloma múltiple felino con infiltración extramedular en hígado, bazo, páncreas y riñones.

<p>Bazo. Infiltración masiva de la pulpa blanca y pulpa roja por la población neoplásica (x200, tinción H/E).</p>
Figura 3

Bazo. Infiltración masiva de la pulpa blanca y pulpa roja por la población neoplásica (x200, tinción H/E).

<p>Sinusoides hepáticos distendidos por la presencia circulante de la población neoplásica, con degeneración y pérdida de trabéculas hepatocitarias (x200, tinción H/E).</p>
Figura 4

Sinusoides hepáticos distendidos por la presencia circulante de la población neoplásica, con degeneración y pérdida de trabéculas hepatocitarias (x200, tinción H/E).

<p>Parénquima pancreático infiltrado y parcialmente reemplazado por la neoplasia (x100, tinción H/E).</p>
Figura 5

Parénquima pancreático infiltrado y parcialmente reemplazado por la neoplasia (x100, tinción H/E).

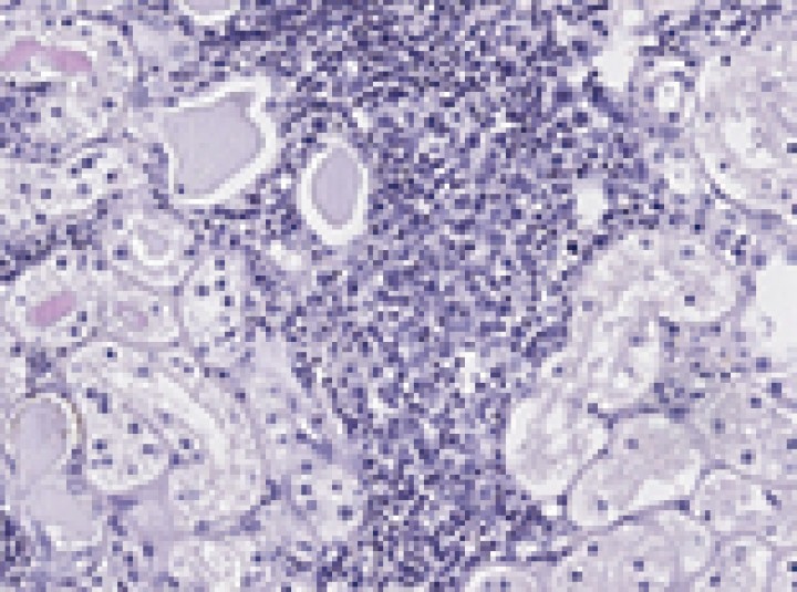
<p>Infiltración intersticial renal por la misma población neoplásica (x200, tinción H/E).</p>
Figura 6

Infiltración intersticial renal por la misma población neoplásica (x200, tinción H/E).

<p>Estudio inmunohistoquímico. (<strong>A</strong>) Positividad débil de la célula neoplásica para marcador CD79 (x200, tinción inmunohistoquímica CD79). (<strong>B</strong>) Las células neoplásicas son negativas para CD3. Se observan escasos linfocitos CD3 positivos (x200, tinción inmunohistoquímica CD3). (<strong>C</strong>) Positividad citoplasmática de la célula neoplásica para marcador CD138 (x200, tinción inmunohistoquímica CD138).</p>
Figura 7

Estudio inmunohistoquímico. (A) Positividad débil de la célula neoplásica para marcador CD79 (x200, tinción inmunohistoquímica CD79). (B) Las células neoplásicas son negativas para CD3. Se observan escasos linfocitos CD3 positivos (x200, tinción inmunohistoquímica CD3). (C) Positividad citoplasmática de la célula neoplásica para marcador CD138 (x200, tinción inmunohistoquímica CD138).

Discusión

El mieloma múltiple (MM) es una neoplasia infrecuente en gatos, representa menos del 1% de las neoplasias felinas[ Patel RT, Caceres A, French AF, McManus PM: Multiple myeloma in 16 cats: a retrospective study. Vet Clin Pat 2005; 34(4): 341-352. [pubMed] ] y aparece, al igual que en perros o humanos, en pacientes de edad avanzada. Su etiología es desconocida, no habiéndose asociado a infecciones por FeLV o FIV.[ Withrow SJ, Vail DM. Withrow & MacEwen’s Small Animal Clinical Oncology. 4th Edition. St Louis: Elsevier Saunders; 2006. ] Se caracteriza por la proliferación neoplásica de células plasmáticas en médula ósea que, en gatos, a diferencia de humanos o perros, frecuentemente se acompaña de metástasis en órganos abdominales como hígado y bazo.[ Mellor PJ, Haugland S, Smith KC, et al. Histopathologic, immunohistochemical, and cytologic analysis of feline myeloma-related disorders: further evidence for primary extramedullary development in the cat. Vet Pathol 2008; 45:159-173. [pubMed] ] La aparición de lesiones óseas líticas en gatos diagnosticados de MM es muy variable en función del estudio consultado, oscilando del 8% al 71,4%.[ Patel RT, Caceres A, French AF, McManus PM: Multiple myeloma in 16 cats: a retrospective study. Vet Clin Pat 2005; 34(4): 341-352. [pubMed] , Mellor PJ, Hauglan S, Murphy S, et al. Myeloma-related disorders in cats commonly present as extramedullary neoplasms in contrast to myeloma in human patients: 24 cases with clinical follow-up. J Vet Intern Med 2006; 20:1376–1383. [pubMed] , Hanna F: Multiple myelomas in cats. J Fel Med Surg 2005; 7:275-2873. [pubMed] ]

En medicina felina el MM se clasifica dentro de un grupo de enfermedades denominado desórdenes relacionados con el mieloma (“myeloma-related disorders” o MRDs) que incluye el mieloma múltiple, plasmacitoma extramedular cutáneo, plasmacitoma extramedular no cutáneo, plasmacitoma óseo solitario, macroglobulinemia de Waldenström, linfoma secretor de inmunoglobulinas, leucemia secretora de inmunoglobulinas y leucemia de células plasmáticas.[ Mellor PJ, Hauglan S, Murphy S, et al. Myeloma-related disorders in cats commonly present as extramedullary neoplasms in contrast to myeloma in human patients: 24 cases with clinical follow-up. J Vet Intern Med 2006; 20:1376–1383. [pubMed] ] Recientemente, se ha propuesto la clasificación de estas neoplasias en función de sus características cito-histopatológicas, la afectación de tejidos y la clínica atribuible.[ Mellor P: Plasma cell disorders. En Susan E. Little (ed): August's Consultations in Feline Internal Medicine, St Louis, WB Saunders, 2016; 535-553. ]

Los gatos afectados por MM presentan signos clínicos inespecíficos siendo la pérdida de peso, letargia y anorexia los más frecuentes.[ Mellor PJ, Hauglan S, Murphy S, et al. Myeloma-related disorders in cats commonly present as extramedullary neoplasms in contrast to myeloma in human patients: 24 cases with clinical follow-up. J Vet Intern Med 2006; 20:1376–1383. [pubMed] ] Las alteraciones clínico-patológicas más habituales son hiperglobulinemia, anemia, azotemia, hipoalbuminemia, hipercalcemia, aumento de transaminasas y proteinuria.[ Cannon CM, Knudson C, Borgatti A: Clinical signs, treatment and outcome in cats with myeloma-related disorder receiving systemic therapy. J Am Anim Hosp Assoc 2015; 51:239-248. [pubMed] ]

El diagnóstico se fundamenta en el cumplimiento de al menos dos de los siguientes cuatro criterios: paraproteinemia, proteinuria de Bence Jones, plasmacitosis en médula ósea (>10%) y lesiones óseas líticas.[ Patel RT, Caceres A, French AF, McManus PM: Multiple myeloma in 16 cats: a retrospective study. Vet Clin Pat 2005; 34(4): 341-352. [pubMed] ] En nuestro caso se cumplieron tres de cuatro criterios exceptuando la presencia de lesiones óseas. 

La paraproteinemia observada es debida a la producción desmesurada de inmunoglobulinas por parte de las células plasmáticas neoplásicas; es característica del MM y orienta el diagnóstico. En el gato, los principales diagnósticos diferenciales a tener en cuenta para gammapatía monoclonal son otros tumores linfoides (linfoma, plasmacitoma extramedular, leucemia linfocítica crónica o aguda), infecciones crónicas (ehrlichiosis, PIF) y gammapatía monoclonal de significado incierto (“monoclonal gammopathy of undetermined significance”, MGUS).[ Withrow SJ, Vail DM. Withrow & MacEwen’s Small Animal Clinical Oncology. 4th Edition. St Louis: Elsevier Saunders; 2006. , Taylor SS, et al. Serum protein electrophoresis in 155 cats. J Fel Med Surg 2010; 12:643-653. [pubMed] ] En la bibliografía aparecen descritos casos de gatos diagnosticados de MM sin presentar gammapatía[ Appel SL, et al. Multiple myeloma with central nervous system involvement in a cat. J Am Vet Med Assoc 2008; 233:743-747. [pubMed] ] o con gammapatía biclonal.[ Patel RT, Caceres A, French AF, McManus PM: Multiple myeloma in 16 cats: a retrospective study. Vet Clin Pat 2005; 34(4): 341-352. [pubMed] , Yamada O, Tamura K, Yagihara H, et al. Light-chain multiple myeloma in a cat. J Vet Diagn Invest 2007; 19:443-447. [pubMed] ]

En la mayoría de los casos, la hiperglobulinemia se debe al incremento marcado de IgG, como en este paciente, aunque se han reportado casos con aumento de IgA.[  Bienzle D, Silverstein DC, Chaffin K: Multiple myeloma in cats: Variable presentation with different immunoglobulin isotypes in two cats. Vet Pathol 2000; 37:364-369. [pubMed] , Igase M, Miyama TS, Kambayashi S, et al. Bimodal immunoglobulin A gammopathy in a cat with feline myeloma-related disorders. J Vet Med Sci 2016; 78(4):691–695. [pubMed] , McDonald WJ, Burton SA, Fuentealba IC: Plasma cell myeloma producing an immunoglobulin A paraprotein in a cat. Can Vet J 1994; 35:157. [pubMed] ] Las consecuencias asociadas con esta hiperglobulinemia en felinos comprenden la aparición del fenómeno de rouleaux (agrupamiento de eritrocitos en formas de pila de moneda) en el frotis sanguíneo, hiperviscosidad asociada con inmunoglobulinas de alto peso molecular (IgA, IgM, siendo raro en IgG), coagulopatías por interferencia de las inmunoglobulinas con factores de coagulación[ Patel RT, Caceres A, French AF, McManus PM: Multiple myeloma in 16 cats: a retrospective study. Vet Clin Pat 2005; 34(4): 341-352. [pubMed] ] y, en casos aislados, fenómenos de crioglobulinemia con procesos de vasculitis.[ Hickford FH, Stokol T, VanGessel YA, Randolph JF, Schermerhorn T: Monoclonal immunoglobulin G cryoglobulinemia and multiple myeloma in a domestic shorthair cat. J Am Vet Med Assoc 2000; 217:1029-1033. [pubMed] ]

El estudio de la proteinuria de estos pacientes revela la presencia de cadenas ligeras de inmunoglobulinas Kappa o Lambda (Bence Jones positivo). La migración de estas proteínas en la electroforesis de orina genera una banda anómala en la fracción beta.

El estudio de médula ósea muestra como signo característico la presencia de plasmacitosis superior al 10% apareciendo en ocasiones, como en el presente caso, depleción de progenitores eritroides cuyo efecto será el de anemia no regenerativa. En gatos con MM, un elevado porcentaje de células plasmáticas son inmaduras y presentan marcada atipia, y un cuarto de la población celular, aproximadamente, muestra figuras en llama.[ Withrow SJ, Vail DM. Withrow & MacEwen’s Small Animal Clinical Oncology. 4th Edition. St Louis: Elsevier Saunders; 2006. ]

Es frecuente encontrar lesiones líticas en radiografías de gatos afectados por MM al igual que sucede en perros[  Fernández R, Chon E: Comparison of two melphalan protocols and evaluation of outcome and prognostic factors in multiple myeloma in dogs. J Vet Intern Med 2018; 32:1060-1069. [pubMed] ] y humanos. Las lesiones óseas pueden ser lesiones osteolíticas discretas u osteopenias difusas afectando principalmente vértebras, costillas, pelvis, cráneo y huesos largos proximales o distales.[ Withrow SJ, Vail DM. Withrow & MacEwen’s Small Animal Clinical Oncology. 4th Edition. St Louis: Elsevier Saunders; 2006. ] Estas lesiones se producen debido a la inducción de la actividad osteoclástica e inhibición de la osteoblástica por parte de la enfermedad. En felinos con lesiones en huesos largos se han descrito cojeras[ Weber NA, Tebeau CS: An unusual presentation of multiple myeloma in two cats. J Am Anim Hosp Assoc 1998; 34:477-483. [pubMed] ] e incluso signos clínicos neurológicos en animales con afectación vertebral.[ Appel SL, et al. Multiple myeloma with central nervous system involvement in a cat. J Am Vet Med Assoc 2008; 233:743-747. [pubMed] ,  Bienzle D, Silverstein DC, Chaffin K: Multiple myeloma in cats: Variable presentation with different immunoglobulin isotypes in two cats. Vet Pathol 2000; 37:364-369. [pubMed] ] Aunque en el presente caso no se observaron lesiones óseas, su presencia no se puede descartar totalmente, ya que no se obtuvieron radiografías de cráneo o la totalidad de los huesos largos.

La ecografía permite valorar la extensión de la enfermedad en órganos abdominales y la toma de muestras de manera poco invasiva. Los hallazgos ecográficos en los órganos afectados no son específicos de la enfermedad y corresponden a cambios en la ecogenicidad y volumen, sobre todo de bazo e hígado.[ Patel RT, Caceres A, French AF, McManus PM: Multiple myeloma in 16 cats: a retrospective study. Vet Clin Pat 2005; 34(4): 341-352. [pubMed] ] La punción ecoguiada de órganos abdominales afectados puede ayudar al diagnóstico de MRDs. En el presente caso, aunque se recomendó la punción, debido a limitaciones presupuestarias se priorizó la aspiración de médula ósea para un mejor estudio de las causas de la anemia observada y ante la sospecha clínica de MM.

El estudio inmunohistoquímico post mortem de los órganos abdominales reveló la presencia de células plasmáticas neoplásicas infiltrando hígado, bazo, riñones y páncreas, lo que confirmó el diagnóstico de MM con afectación extramedular. Aunque se demostró la presencia de células plásmaticas neoplásicas en médula ósea mediante citología, este tejido no se pudo valorar histológicamente. Estas técnicas se corresponden con herramientas complementarias valiosas para el diagnóstico de las MDRs.[ Mellor PJ, Haugland S, Smith KC, et al. Histopathologic, immunohistochemical, and cytologic analysis of feline myeloma-related disorders: further evidence for primary extramedullary development in the cat. Vet Pathol 2008; 45:159-173. [pubMed] ] En el presente caso, la tinción positiva a CD79a (marcador para linfocitos B) y negativo a CD3 (marcador para linfocitos T) permitió clasificar la neoplasia como linfoide de fenotipo B. El uso de ambos marcadores se ha descrito para el diagnóstico de MRDs en gatos.[ Mellor PJ, Haugland S, Smith KC, et al. Histopathologic, immunohistochemical, and cytologic analysis of feline myeloma-related disorders: further evidence for primary extramedullary development in the cat. Vet Pathol 2008; 45:159-173. [pubMed] ] Las células neoplásicas fueron positivas también para CD138, antígeno expresado en células plasmáticas y utilizado para el diagnóstico de MM en humanos, confirmando el origen plasmocítico de la neoplasia. En la bibliografía se ha descrito el uso del marcador MUM-1 para la identificación de células plasmáticas en neoplasias caninas[ Ramos-Vara JA, Miller MA, Valli VEO: Immunohistochemical detection of multiple myeloma 1/interferon regulatory factor 4 (MUM1/IRF-4) in canine plasmacytoma: Comparison with CD79a and CD20. Vet Pathol 2007; 44:875-884. [pubMed] ] y en un caso de MRD felino.[ Igase M, Miyama TS, Kambayashi S, et al. Bimodal immunoglobulin A gammopathy in a cat with feline myeloma-related disorders. J Vet Med Sci 2016; 78(4):691–695. [pubMed] ] Según el conocimiento de los autores, se trata de la primera identificación mediante inmunohistoquímica de células plasmáticas mediante el uso del marcador CD138 en un gato. Aunque su uso podría ayudar al diagnóstico definitivo del MM felino, se requieren estudios adicionales para validar su uso en esta especie.

En nuestro caso, el paciente presentó enfermedad renal en el momento del diagnóstico. La enfermedad renal crónica se diagnostica frecuentemente en gatos con MM.[  Bienzle D, Silverstein DC, Chaffin K: Multiple myeloma in cats: Variable presentation with different immunoglobulin isotypes in two cats. Vet Pathol 2000; 37:364-369. [pubMed] ] En base a diferentes estudios de MDRs felinos, el 30-40% de los gatos presentan azotemia explicada hipotéticamente por causas multifactoriales, como el depósito de cadenas ligeras de inmunoglobulinas, depósitos amiloides o hipercalcemia.[  Bienzle D, Silverstein DC, Chaffin K: Multiple myeloma in cats: Variable presentation with different immunoglobulin isotypes in two cats. Vet Pathol 2000; 37:364-369. [pubMed] , Hickford FH, Stokol T, VanGessel YA, Randolph JF, Schermerhorn T: Monoclonal immunoglobulin G cryoglobulinemia and multiple myeloma in a domestic shorthair cat. J Am Vet Med Assoc 2000; 217:1029-1033. [pubMed] ] Las causas que podrían justificar la azotemia en nuestro paciente son la infiltración neoplásica en los riñones, la paraproteinemia marcada y la deshidratación, además de no poder descartar totalmente una hipercalcemia, ya que no se determinó el calcio ionizado. Tampoco podemos descartar la presencia de enfermedad renal crónica de base al tratarse de un paciente geriátrico y del que no se tenían analíticas previas. La infiltración de células plasmáticas neoplásicas en tejido renal es un hecho poco documentado en medicina felina[ Mellor PJ, Haugland S, Smith KC, et al. Histopathologic, immunohistochemical, and cytologic analysis of feline myeloma-related disorders: further evidence for primary extramedullary development in the cat. Vet Pathol 2008; 45:159-173. [pubMed] ] y descrito en raras ocasiones relacionado con mieloma avanzado en medicina humana.[ Heher EC, Rennke HG, Laubach JP, Richardson PG: Kidney disease and multiple myeloma. Clin J AM Soc Nephrol 2013; 8(11):2007-2017. [pubMed] ] Aunque las causas que llevaron a este paciente a la enfermedad renal fueron posiblemente multifactoriales, los autores consideran que la infiltración renal de la neoplasia pudo ser un aspecto determinante. 

Según el conocimiento de los autores esta es la primera descripción de la afectación extramedular de MM en páncreas en gatos. La afectación pancreática del mieloma es poco frecuente en medicina humana, asociándose a ictericia y dolor abdominal.[  Balliu E, Casas JD, Barluenga E, Guasch I: Multifocal involvement of the pancreas in multiple myeloma: sonographic, CT, and MR imaging findings. Am J Roentgenol 2003; 180:2 545-546. [pubMed] ]

El tratamiento quimioterápico del MM tanto en gatos como en perros incluye diferentes pautas con corticoides, melfalán, ciclofosfamida y clorambucilo.[ Cannon CM, Knudson C, Borgatti A: Clinical signs, treatment and outcome in cats with myeloma-related disorder receiving systemic therapy. J Am Anim Hosp Assoc 2015; 51:239-248. [pubMed] ,  Fernández R, Chon E: Comparison of two melphalan protocols and evaluation of outcome and prognostic factors in multiple myeloma in dogs. J Vet Intern Med 2018; 32:1060-1069. [pubMed] ] El tratamiento paliativo con corticoides generalmente resulta infructuoso.[ Yamada O, Tamura K, Yagihara H, et al. Light-chain multiple myeloma in a cat. J Vet Diagn Invest 2007; 19:443-447. [pubMed] ]

A diferencia de medicina humana, en veterinaria no existe un sistema de estadiaje del MM. En el presente caso, las alteraciones analíticas y la afectación multiorgánica de la neoplasia sugieren un estadio avanzado de la enfermedad, hecho que explicaría la infiltración de órganos no habituales como páncreas y riñón. Se necesitan estudios adicionales para corroborar este hecho, así como para investigar la contribución de la metástasis en riñones a la aparición de una enfermedad de etiología multifactorial como es la enfermedad renal.

En este artículo se describe la presentación clínica y el diagnóstico de un caso de MM felino con afectación extramedular con la particularidad de la infiltración neoplásica en páncreas y riñones.

Fuente de financiación: este trabajo no se ha realizado con fondos comerciales, públicos o del sector privado.

Conflicto de intereses: los autores declaran que no hay conflicto de intereses.

Bibliografía

  1. [1] Patel RT, Caceres A, French AF, McManus PM: Multiple myeloma in 16 cats: a retrospective study. Vet Clin Pat 2005; 34(4): 341-352. [pubMed]
  2. [2] Withrow SJ, Vail DM. Withrow & MacEwen’s Small Animal Clinical Oncology. 4th Edition. St Louis: Elsevier Saunders; 2006.
  3. [3] Mellor PJ, Haugland S, Smith KC, et al. Histopathologic, immunohistochemical, and cytologic analysis of feline myeloma-related disorders: further evidence for primary extramedullary development in the cat. Vet Pathol 2008; 45:159-173. [pubMed]
  4. [4] Mellor PJ, Hauglan S, Murphy S, et al. Myeloma-related disorders in cats commonly present as extramedullary neoplasms in contrast to myeloma in human patients: 24 cases with clinical follow-up. J Vet Intern Med 2006; 20:1376–1383. [pubMed]
  5. [5] Hanna F: Multiple myelomas in cats. J Fel Med Surg 2005; 7:275-2873. [pubMed]
  6. [6] Mellor P: Plasma cell disorders. En Susan E. Little (ed): August's Consultations in Feline Internal Medicine, St Louis, WB Saunders, 2016; 535-553.
  7. [7] Cannon CM, Knudson C, Borgatti A: Clinical signs, treatment and outcome in cats with myeloma-related disorder receiving systemic therapy. J Am Anim Hosp Assoc 2015; 51:239-248. [pubMed]
  8. [8] Taylor SS, et al. Serum protein electrophoresis in 155 cats. J Fel Med Surg 2010; 12:643-653. [pubMed]
  9. [9] Appel SL, et al. Multiple myeloma with central nervous system involvement in a cat. J Am Vet Med Assoc 2008; 233:743-747. [pubMed]
  10. [10] Yamada O, Tamura K, Yagihara H, et al. Light-chain multiple myeloma in a cat. J Vet Diagn Invest 2007; 19:443-447. [pubMed]
  11. [11]  Bienzle D, Silverstein DC, Chaffin K: Multiple myeloma in cats: Variable presentation with different immunoglobulin isotypes in two cats. Vet Pathol 2000; 37:364-369. [pubMed]
  12. [12] Igase M, Miyama TS, Kambayashi S, et al. Bimodal immunoglobulin A gammopathy in a cat with feline myeloma-related disorders. J Vet Med Sci 2016; 78(4):691–695. [pubMed]
  13. [13] McDonald WJ, Burton SA, Fuentealba IC: Plasma cell myeloma producing an immunoglobulin A paraprotein in a cat. Can Vet J 1994; 35:157. [pubMed]
  14. [14] Hickford FH, Stokol T, VanGessel YA, Randolph JF, Schermerhorn T: Monoclonal immunoglobulin G cryoglobulinemia and multiple myeloma in a domestic shorthair cat. J Am Vet Med Assoc 2000; 217:1029-1033. [pubMed]
  15. [15]  Fernández R, Chon E: Comparison of two melphalan protocols and evaluation of outcome and prognostic factors in multiple myeloma in dogs. J Vet Intern Med 2018; 32:1060-1069. [pubMed]
  16. [16] Weber NA, Tebeau CS: An unusual presentation of multiple myeloma in two cats. J Am Anim Hosp Assoc 1998; 34:477-483. [pubMed]
  17. [17] Ramos-Vara JA, Miller MA, Valli VEO: Immunohistochemical detection of multiple myeloma 1/interferon regulatory factor 4 (MUM1/IRF-4) in canine plasmacytoma: Comparison with CD79a and CD20. Vet Pathol 2007; 44:875-884. [pubMed]
  18. [18] Heher EC, Rennke HG, Laubach JP, Richardson PG: Kidney disease and multiple myeloma. Clin J AM Soc Nephrol 2013; 8(11):2007-2017. [pubMed]
  19. [19]  Balliu E, Casas JD, Barluenga E, Guasch I: Multifocal involvement of the pancreas in multiple myeloma: sonographic, CT, and MR imaging findings. Am J Roentgenol 2003; 180:2 545-546. [pubMed]

Artículos recomendados

Estas recomendaciones se ofrecen de forma automática.

  • Concordancia entre IDEXX SediVue Dx y el cultivo de orina en perros y gatos

    L. Di Filippo, I. Frías, R. Santiago
    Clin Vet Peq Anim Vol. 44 - Nº 1 · MAR 2024 · Artículo original referido a múltiples casos clínicos
  • Mortalidad anestésica en gatos en España. Resultados del proyecto COMPLRED

    J. I. Redondo-García, R. Marti-Scharfhausen Sánchez, I. Bilbao-Castro, et al.
    Clin Vet Peq Anim Vol. 44 - Nº 1 · MAR 2024 · Artículo original referido a múltiples casos clínicos
  • Reabsorción dental en un gato: diagnóstico, clasificación y abordaje terapéutico

    J. Albaladejo, A. Miñarro
    Clin Vet Peq Anim Vol. 40 - Nº 4 · DIC 2020 · Artículo original referido a un solo caso clínico
  • Inicio
  • Introducción
  • Caso clínico
  • Discusión
  • Bibliografía
Artículo anterior Índice de la revista Artículo siguiente
ANUNCIO
Próximos cursos ATVs Elearning
Índice
Inicio Introducción Caso clínico Discusión Bibliografía
Purina Calming Care
ANUNCIO

¿No eres socio de AVEPA y quieres recibir comunicación de las nuevas ediciones en tu correo?

Suscríbete

Suscríbete y te avisaremos cuando publiquemos un nuevo número

Suscribirme

Enlaces rápidos

  • Inicio
  • Último número
  • Archivo
  • Artículos

Información

  • Comité editorial
  • Política de cookies
  • Política de privacidad
  • Términos y condiciones

Contacto

  • info@imaginice.com
  • Envíanos tu artículo
© 2026 Ice Salud Vet SL. Todos los derechos reservados.

Usamos cookies para mejorar tu experiencia. Selecciona cuáles aceptas: