Logo AVEPA

Clínica Veterinaria de Pequeños Animales

Revista oficial de AVEPA

  • Inicio
  • Último número
  • Archivo
  • Artículos
  • Para autores
  • Contacto
Cursos Junio-Septiembre 2026
ANUNCIO

Clínica Veterinaria de Pequeños Animales

Revista oficial de AVEPA

  • Inicio
  • Último número
  • Archivo
  • Artículos
  • Para autores
  • Contacto
Curso Oftalmología 2026
ANUNCIO
Clin Vet Peq Anim Vol. 35 • Nº 4 • diciembre 2015

Alopecia en dorso y flancos en cobayas (Cavia porcellus): dos casos clínicos

Alopecia on the back and flanks in two guinea pigs (Cavia porcellus): two clinical cases

Artículo original referido a múltiples casos clínicos

O. Miñana-Morant

Clínica Veterinaria Babieca C/Miramar, 20 - 46701 Gandía (Valencia)

Contacto: oscarvet68@gmail.com
Palabras clave: Alopecia, Cobaya, Distensión abdominal, Linfoma de Hodgkin, Masas subcutáneas, Quistes ováricos.
Keywords: Alopecia, Guinea pig, Abdominal distension, Hodgkin´s Lymphoma, Subcutaneous mass, Ovarian cysts.
Clin. Vet. Peq. Anim, 2015, 35 (4): 241-246
Descargar artículo

Resumen

Dos cobayas hembra (Cavia porcellus), adultas no esterilizadas, se presentan con alopecia en el tronco, una a nivel del dorso y otra a nivel de los flancos, secundaria a diferentes patologías, una asociada a alteración del aparato reproductor y otra de origen neoplásico. Presentan aumento del contorno abdominal, debido en ambos casos, a la presencia de masas de diferente consistencia a la palpación. El estudio ecográfico y radiológico revela en el primer caso la presencia de dos quistes ováricos de gran tamaño de 5 y 7 cm respectivamente; y en el segundo caso, la presencia de dos masas subcutáneas de 3 y 4 cm en ambos flancos. El primero se resuelve quirúrgicamente y la sintomatología desaparece por completo dos meses después de la intervención. El segundo, debido a la mala condición clínica del animal y a su pronóstico, acaba por decisión de los propietarios en eutanasia humanitaria. El estudio histopatológico de las masas revela la presencia de un linfoma de Hodgkin, neoplasia poco común en esta especie.

Abstract

Two adult non-neutered female guinea pigs (Cavia porcellus), were presented with alopecia, one on its back and the other one on its flanks, secondary to other pathologies, one of reproductive system origin and the other of neoplastic origin. Both had swollen abdomens with palpable masses of different consistency. The ultrasound and radiographic examination found two large ovarian cysts of 5 and 7 cm in diameter in the first case, and two subcutaneous masses of 3 and 4 cm in diameter, one on each side of the animal, in the second one. In the first guinea pig, surgery was curative and the symptoms disappeared completely two months after. In the second guinea pig, due to the poor condition and prognosis, the owners decided to euthanize the animal. Necropsy and histopathological examination of the masses revealed an uncommon form of lymphoma in this species (Hodgkin´s lymphoma).

AVEPA Elearning

La presencia de este logo en un artículo de la revista indica que se publicará un examen sobre el mismo en la plataforma AVEPA Elearning. Su resolución aporta 0,15 créditos dentro del sistema de acreditaciones de especialidades veterinarias de AVEPA.

Introducción

Las alopecias en cobayas (Cavia porcellus), como en cualquier otra especie, pueden ser primarias - producidas por ectoparásitos, hongos, virus y bacterias principalmente - y/o secundarias a procesos de origen endocrino, nutricional, hereditario o neoplásico, entre otros.[ Bensignor E, Chai N, Hadjaje C, et al.: Dermatología del cobaya o conejillo de indias en Dermatología de los NAC. Zaragoza, Editorial Servet, 2010; 65- 74. ] Por ello, el objetivo de una consulta dermatológica en esta especie es siempre establecer un diagnóstico etiológico para aplicar el tratamiento adecuado y no recurrir a terapéuticas sintomáticas que sólo nos llevarán a enmascarar los signos clínicos. En este artículo se abordan dos casos de alopecias secundarias de distinta etiología, con patrones de distribución y signos clínicos compatibles con varios diagnósticos diferenciales.

Caso clínico 1

Se presenta para una segunda opinión una cobaya hembra de pelo corto de 3,5 años de edad, sin esterilizar, con pérdida de pelo a nivel del dorso y prurito. Anteriormente se le ha realizado raspado cutáneo con resultado negativo y se le ha aplicado tratamiento tópico con antisépticos locales. El animal come y tiene actividad normal, y no hay signos aparentes de dolor.

En la exploración se observa alopecia a nivel del dorso, sin inflamación de la piel y sin descamación o excoriaciones. No hay presencia de cambios de color como melanosis, ni seborrea. Se aprecia, sin embargo, una distensión importante del abdomen de forma bilateral, de consistencia blanda a la palpación (Figs. 1 y 2).

<p>Alopecia en dorso (caso1).</p>
Figura 1

Alopecia en dorso (caso1).

<p>Dilatación abdominal (caso 1).</p>
Figura 2

Dilatación abdominal (caso 1).

La dermatofitosis no se valora como primer diagnóstico diferencial por el patrón de distribución de la lesión y por el aspecto de la piel (aunque estos animales pueden ser portadores asintomáticos), por lo que no se realiza cultivo de hongos.

Al tratarse de una hembra entera y descartando la posibilidad de una gestación, el diagnóstico más probable de dilatación abdominal junto con la alopecia es la presencia de quistes ováricos, aunque no quedan excluidos otros diagnósticos diferenciales.[ Bensignor E, Chai N, Hadjaje C, et al.: Dermatología del cobaya o conejillo de indias en Dermatología de los NAC. Zaragoza, Editorial Servet, 2010; 65- 74. ]

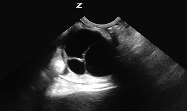
El método diagnóstico de elección en este caso es la ecografía.[ Bean AD: Ovarian cysts in the guinea pig (Cavia porcellus). Vet Clin North Am Anim Pract Exot. 2013; 16(3): 757- 76. [PubMed] ] Con el fin de minimizar el estrés al animal, se realiza una sedación con 0,3 mg/Kg intramuscular (IM) de midazolam[ Carpenter JW: Rodents in Exotic animal formulary, fourth edition. Missouri, Elsevier Editorial, 2012; 480- 493. ] (Midazolam Normon® EFG 15 mg/3 ml- Lab. Normon S.A., Madrid). En la ecografía abdominal se observa la presencia de dos quistes ováricos: de 5 cm de diámetro el derecho, y 7 cm el izquierdo (Fig. 3). Se aprovecha la sedación para realizar una punción ecoguiada de los quistes, consiguiendo extraer 140 ml de líquido. Esto se realiza con el fin de aliviar las posibles molestias que pueda presentar el animal, por la presión que ejercen los quistes dentro de la cavidad abdominal, hasta programar la cirugía, ya que es el tratamiento de elección en estos casos.[ Bean AD: Ovarian cysts in the guinea pig (Cavia porcellus). Vet Clin North Am Anim Pract Exot. 2013; 16(3): 757- 76. [PubMed] , Pilny A: Ovarian cystic disease in guinea pigs. Vet Clin North Am Anim Pract Exot. 2014; 17(1): 69- 75. [PubMed] ]

<p>Quiste ovárico izquierdo (caso 1).</p>
Figura 3

Quiste ovárico izquierdo (caso 1).

La cirugía recomendada es la ovariohisterectomía, porque al tratarse de una hembra adulta (> 6 meses), eliminaremos los posibles riesgos de futuras patologías uterinas.[ Carpenter JW: Rodents in Exotic animal formulary, fourth edition. Missouri, Elsevier Editorial, 2012; 480- 493. ]

Los preparativos prequirúrgicos consisten en un ayuno corto de 3-4 horas. Esta especie no necesita un período de ayuno más prolongado porque no tiene posibilidad de vomitar, pero se les realiza dicho ayuno para que el estómago reduzca su volumen y no comprima las estructuras abdominales y torácicas. Uno de los puntos a tener en cuenta durante el período perioperatorio es la alta tasa metabólica que presentan y, por tanto, el riesgo elevado de sufrir hipotermia,[ Pilny A: Ovarian cystic disease in guinea pigs. Vet Clin North Am Anim Pract Exot. 2014; 17(1): 69- 75. [PubMed] ] por lo que habrá que mantener el calor corporal del animal mediante la colocación de una manta térmica durante todo el proceso quirúrgico (a ser posible con termostato para el control de la temperatura, con el fin de evitar los riesgos asociados al aporte de calor excesivo o incorrecto como vasodilatación periférica o quemaduras).

Se realiza un protocolo preanestésico combinando varios fármacos: atropina 0,05 mg/Kg subcutáneo (SC)[ Carpenter JW: Rodents in Exotic animal formulary, fourth edition. Missouri, Elsevier Editorial, 2012; 480- 493. ] (Atropina® 1 mg/ml- Lab. B.Braun Medical Barcelona) para evitar la hipersalivación, midazolam 0,3 mg/Kg IM[ Carpenter JW: Rodents in Exotic animal formulary, fourth edition. Missouri, Elsevier Editorial, 2012; 480- 493. ] (Midazolam Normon® EFG 15 mg/3ml- Lab. Normon S.A., Madrid), meloxicam 0,5 mg/Kg SC[ Carpenter JW: Rodents in Exotic animal formulary, fourth edition. Missouri, Elsevier Editorial, 2012; 480- 493. ] (Metacam® 5 mg/ml- Lab. Boehringer Ingelheim España S.A., Barcelona), butorfanol 0,4 mg/Kg IM[ Carpenter JW: Rodents in Exotic animal formulary, fourth edition. Missouri, Elsevier Editorial, 2012; 480- 493. ] (Torbugesic® 10mg/ml- Lab. Zoetis Spain S.L., Madrid). Como antibiótico preventivo se aplica enrofloxacina 5 mg/Kg SC[ Carpenter JW: Rodents in Exotic animal formulary, fourth edition. Missouri, Elsevier Editorial, 2012; 480- 493. ] (Alsir 2,5%®- Lab. Dr. Esteve S.A., Barcelona). La inducción se realiza con cámara utilizando isofluorano al 5%[ Carpenter JW: Rodents in Exotic animal formulary, fourth edition. Missouri, Elsevier Editorial, 2012; 480- 493. ] (Isoba® Vet- Lab. Schering-Plough S.A., Madrid) para luego seguir el mantenimiento del plano anestésico con isofluorano al 3-4%[ Carpenter JW: Rodents in Exotic animal formulary, fourth edition. Missouri, Elsevier Editorial, 2012; 480- 493. ] mediante mascarilla (no se realiza la intubación endotraqueal por la dificultad que presenta en esta especie).

Antes de iniciar la cirugía se realiza una inspección y limpieza de la cavidad oral, ya que esta especie suele acumular restos de comida que pueden dar problemas durante la anestesia. Se vuelve a realizar punción ecoguiada de los quistes antes de empezar la cirugía para facilitar su exteriorización fuera de la cavidad abdominal (Fig. 4). La monitorización se realiza mediante pulsioximetría, trazado del ECG y medición de la temperatura mediante una sonda rectal.

<p>Quiste ovárico parcialmente vacío (caso 1).</p>
Figura 4

Quiste ovárico parcialmente vacío (caso 1).

En este caso la técnica quirúrgica utilizada es similar a la realizada en otras especies, incidiendo por la línea alba, con la salvedad de que el ligamento ancho en esta especie es corto y contiene mucha grasa, por lo que será algo más dificultoso identificar y exteriorizar el pedículo ovárico.[ O´Malley B. Sistema reproductor de los cobayas en Anatomía y fisiología clínica de animales exóticos. Zaragoza, Servet editorial, 2007; 256- 258. ] Las ligaduras de los vasos se realizan combinando una sutura sintética monofilamento reabsorbible (Monosyn® 3/0- Lab. B.Braun España S.A., Barcelona) con hemoclips de titanio (Hemoclips titanio Aesculap® - Lab. B.Braun Vetcare S.A., Barcelona). La técnica de cierre es la misma que en otras especies. Se cierra el abdomen con sutura monosyn® 3/0 y la piel con un patrón de sutura intradérmica combinado con la aplicación de adhesivo tisular (Flexbond®- Bioadhesives MS, Alicante). Al finalizar la cirugía se aplica sobre la herida quirúrgica un apósito de poliuretano semipermeable (Tegaderm®- Lab. 3M división médica S.A., Madrid) que facilita la entrada de O2 y la salida de CO2 y vapor de agua, permitiendo mantener limpia la herida sin tener que estresar al animal haciendo curas a diario. Este apósito se mantiene hasta la cicatrización de la herida.

El cuidado postoperatorio es una de las fases más importantes en el éxito de cualquier cirugía realizada en cobayas. Al ser un animal muy estresable los problemas más frecuentes que debemos evitar son el íleo paralítico, la alteración de la flora intestinal y la lipidosis hepática; para ello se administran analgésicos y procinéticos y se usan aquellos antibióticos que menos alteren la flora intestinal, debiendo controlar una adecuada ingesta y normal defecación.

En este caso se administra meloxicam 0,5 mg/Kg vía oral (PO) 24h[ Carpenter JW: Rodents in Exotic animal formulary, fourth edition. Missouri, Elsevier Editorial, 2012; 480- 493. ] 1 semana (Metacam® 1,5 mg/ml- Lab. Boehringer Ingelheim España S.A., Barcelona), metoclopramida 0,5 mg/Kg PO 12h[ Carpenter JW: Rodents in Exotic animal formulary, fourth edition. Missouri, Elsevier Editorial, 2012; 480- 493. ] durante 24h (Primperan® 1 mg/ml- Lab. Sanofi- Aventis S.A., Barcelona), marbofloxacina 4 mg/Kg PO 24h[ Carpenter JW: Rodents in Exotic animal formulary, fourth edition. Missouri, Elsevier Editorial, 2012; 480- 493. ] 1 semana (Marbocyl® 5 mg/comp- Lab. Vétoquinol E.V.S.A., Madrid), butorfanol 0,4 mg/Kg SC 8h[ Carpenter JW: Rodents in Exotic animal formulary, fourth edition. Missouri, Elsevier Editorial, 2012; 480- 493. ] durante las primeras 24h (Torbugesic® 10 mg/ml- Lab. Zoetis Spain S.L., Madrid). Al día siguiente el animal está comiendo con normalidad y defecando.

Dos meses después de la cirugía, el paciente recupera todo el pelaje y sigue con su actividad normal.

Caso clínico 2

Acude a nuestro centro una cobaya hembra sin esterilizar, de pelo largo y 5 años de edad, con alopecia bilateral en los flancos. También presenta problemas de movilidad del tercio posterior, pérdida de apetito, y prurito o acicalamiento continuo de los flancos.

Durante la exploración física se evidencia una alopecia bilateral en los flancos, sin eritema ni descamación (Fig. 5). Tampoco hay cambios de coloración de la piel, pero se detecta la presencia de dos masas palpables a ambos lados del abdomen caudal, de consistencia bastante sólida. Se decide realizar una exploración ecográfica en la que se evidencian dos masas de ecogenicidad mixta, sin presencia de líquido, descartando además, por la situación anatómica, que se trate de quistes ováricos. Se sospecha que las masas son extraabdominales y se realiza una radiografía donde se constata que ambas son subcutáneas, quedando confirmado que no sean quistes o tumores de origen ovárico (Fig. 6).

<p>Alopecia bilateral de flancos (caso 2).</p>
Figura 5

Alopecia bilateral de flancos (caso 2).

<p>Proyección ventrodorsal del caso nº 2. Se observan dos masas de opacidad tejido blando (flechas) localizadas en el subcutáneo.</p>
Figura 6

Proyección ventrodorsal del caso nº 2. Se observan dos masas de opacidad tejido blando (flechas) localizadas en el subcutáneo.

Entre los diagnósticos diferenciales de masas sólidas con pérdida de pelo de la zona afectada tenemos que descartar las neoplasias. El tricofoliculoma es el tumor subcutáneo más frecuente[ Kanfer S, Reavill D R: Cutaneous neoplasia in Ferrets, Rabbits and Guinea Pigs. Vet Clin North Am Anim Pract Exot. 2013; 16(3): 757- 776. [PubMed] ] en esta especie, aunque su presentación suele ser única y de localización dorsolumbar. El resto de neoplasias cutáneas que suelen describirse son adenomas sebáceos, lipomas, fibromas, fibrosarcomas, linfomas y epiteliomas espinocelulares.[ Bensignor E, Chai N, Hadjaje C, et al.: Dermatología del cobaya o conejillo de indias en Dermatología de los NAC. Zaragoza, Editorial Servet, 2010; 65- 74. , Kanfer S, Reavill D R: Cutaneous neoplasia in Ferrets, Rabbits and Guinea Pigs. Vet Clin North Am Anim Pract Exot. 2013; 16(3): 757- 776. [PubMed] ]

Se puede plantear en primer lugar, por ser una técnica poco invasiva y no necesitar anestesia, la realización de una punción con aguja fina de las masas con el fin de determinar las características de las mismas, aunque en algunas ocasiones los resultados de la citología no son concluyentes bien por obtener pocas células, o bien por contaminarse de sangre periférica, grasa o bacterias. Por otra parte, se puede plantear la realización de una biopsia o de una resección quirúrgica, técnicas que aunque son más invasivas y requieren anestesia general, se pueden apoyar considerando que se alcanza siempre un mejor diagnóstico con la valoración histológica de las masas antes o después de su escisión.

Tras valorar la edad y el estado clínico del paciente, el propietario decide realizar la eutanasia humanitaria. Se opta entonces por realizar la necropsia y el estudio histopatológico de las masas subcutáneas (Fig. 7). De forma anecdótica, durante la necropsia se descubre la presencia de pelos acumulados en cavidad oral, lo que constata que la alopecia era autoinfligida.

<p>Masa extraída para histopatología (caso 2).</p>
Figura 7

Masa extraída para histopatología (caso 2).

En dicha necropsia se evidencia la presencia de dos masas sólidas a nivel subcutáneo de 3 y 4 cm. Dichas masas corresponden a una proliferación difusa compacta intensa de linfocitos medianos con numerosas células gigantes poliédricas a estrelladas con uno o varios núcleos redondos y cantidad media-alta de citoplasma eosinófilo con vacuolas claras, compatibles con células de Reed- Sternberg (Fig. 8).

<p>Linfoma Hodgkin like células uni, bi, multinucleadas. Tinción Hematoxilina y Eosina x 20 (A) y x 40 (B) aumentos.</p>
Figura 8

Linfoma Hodgkin like células uni, bi, multinucleadas. Tinción Hematoxilina y Eosina x 20 (A) y x 40 (B) aumentos.

Las masas subcutáneas corresponden a una neoplasia linfoide formada por células compatibles con las observadas en los linfomas de Hodgkin en la especie humana. Esta variante de linfoma o formas similares a esta variante se pueden observar ocasionalmente en algunas especies de mamíferos pequeños como los hurones.

Discusión

En el primer caso, el motivo de la consulta del animal es la alopecia que presenta a nivel del dorso. Al tratarse de una hembra de edad avanzada y sin esterilizar, y presentar dilatación abdominal, el diagnóstico diferencial más probable es el de quistes ováricos.[ Bean AD: Ovarian cysts in the guinea pig (Cavia porcellus). Vet Clin North Am Anim Pract Exot. 2013; 16(3): 757- 76. [PubMed] , Pilny A: Ovarian cystic disease in guinea pigs. Vet Clin North Am Anim Pract Exot. 2014; 17(1): 69- 75. [PubMed] ] Se estima que un 76% de las hembras sin esterilizar de entre 1,5-5 años presentan estos quistes,[ Pilny A: Ovarian cystic disease in guinea pigs. Vet Clin North Am Anim Pract Exot. 2014; 17(1): 69- 75. [PubMed] ] que suelen desarrollarse en la mayoría de los casos a partir de una estructura embrionaria vestigial llamada rete ovarii,[ Pilny A: Ovarian cystic disease in guinea pigs. Vet Clin North Am Anim Pract Exot. 2014; 17(1): 69- 75. [PubMed] ] por lo que no sintetizan hormonas y no responden a tratamientos hormonales, aunque un pequeño porcentaje de ellos puede provenir de los folículos ováricos y tener actividad hormonal.[ Bean AD: Ovarian cysts in the guinea pig (Cavia porcellus). Vet Clin North Am Anim Pract Exot. 2013; 16(3): 757- 76. [PubMed] , Pilny A: Ovarian cystic disease in guinea pigs. Vet Clin North Am Anim Pract Exot. 2014; 17(1): 69- 75. [PubMed] ]

Los síntomas clínicos que pueden encontrarse dependen de la naturaleza, tamaño y distribución de los propios quistes,[ Bean AD: Ovarian cysts in the guinea pig (Cavia porcellus). Vet Clin North Am Anim Pract Exot. 2013; 16(3): 757- 76. [PubMed] ] pudiendo observarse distensión abdominal, problemas intestinales, dolor, anorexia, aumento de peso y taquipnea.[ Bean AD: Ovarian cysts in the guinea pig (Cavia porcellus). Vet Clin North Am Anim Pract Exot. 2013; 16(3): 757- 76. [PubMed] ] Se suele pensar que la alopecia puede ser autoinfligida por las molestias que suelen causar dichos quistes; por ello, en muchos casos, la alopecia seguirá un patrón simétrico y bilateral a nivel de los flancos, ya que el animal tiene mayor acceso a rascarse o morderse, aunque también puede localizarse en abdomen o dorso, como en este caso.[ Pilny A: Ovarian cystic disease in guinea pigs. Vet Clin North Am Anim Pract Exot. 2014; 17(1): 69- 75. [PubMed] ] Sin embargo, si los quistes hubieran sido de origen folicular, hubiera sido probable encontrar otro tipo de sintomatología, como hipertrofia de clítoris, hiperqueratosis de pezones, sangrado vaginal o comportamiento agresivo.[ Bean AD: Ovarian cysts in the guinea pig (Cavia porcellus). Vet Clin North Am Anim Pract Exot. 2013; 16(3): 757- 76. [PubMed] ]

A pesar del enorme tamaño de los quistes encontrados, que contenían una cantidad de líquido que suponía aproximadamente el 15% del peso corporal del animal, no vimos la sintomatología que cabría esperar por la compresión que los mismos estaban ejerciendo tanto dentro de la cavidad abdominal como a nivel torácico, encontrando sólo síntomas dermatológicos a nivel del dorso.

En el segundo caso, debido al patrón de distribución de las lesiones en el que se presenta la típica alopecia bilateral de flancos autoinfligida (“barbering”), y debido a que se trata de una hembra entera y de edad avanzada, uno de los diagnósticos diferenciales más probable también hubiera sido la presencia de quistes ováricos. Sin embargo, durante la exploración física y diagnóstico por imagen se evidencia la dificultad de movimiento del tren posterior, que no es típica en casos de quistes ováricos;[ Bean AD: Ovarian cysts in the guinea pig (Cavia porcellus). Vet Clin North Am Anim Pract Exot. 2013; 16(3): 757- 76. [PubMed] , Pilny A: Ovarian cystic disease in guinea pigs. Vet Clin North Am Anim Pract Exot. 2014; 17(1): 69- 75. [PubMed] ] hay signos de dolor y además las masas son de localización más caudal y subcutáneas, por lo que se obtiene un diagnóstico diferente y menos frecuente. Este tipo de tumor compatible con linfoma de Hodgkin no es común en especies distintas a la humana (el autor sólo ha encontrado referencias bibliográficas correspondientes al hurón (Mustela putorius furo)[ Ammersbach M, Retardo J, Caswell JL, et al.: Laboratory findings, histopathology, and immunophenotype of lymphoma in domestic ferrets. Vet Pathol 2008; 45 (5): 663- 73. [PubMed] , Blomme EA, Foy SH, KH Chapell, La Perle KM: Hypereosinophilic syndrome with Hodgkin´s- like lymphoma in a ferret. J Comp Pathol, 1999; 120 (2): 211- 7. [PubMed] ] dentro de los pequeños mamíferos de compañía). En este caso la anorexia y pérdida de actividad podría proceder de las mismas molestias que pueden estar causando las masas subcutáneas o de los síntomas paraneoplásicos que provoca el linfoma, aunque también se ha descrito un tipo de anorexia por acumulo de pelos en los espacios gingivales en animales que se muerden el pelo.[ Brotons-Campillo NJ: Situación clínica en pequeños mamíferos: Dermatofitosis, Ectoparasitosis, Enfermedades nutricionales. Consulta de Difusión Veterinaria, 2010; 169: 71- 74. ]

El diagnóstico de esta patología se basa en la historia clínica, la exploración física y el estudio histopatológico de la lesión, siendo difícil llegar al diagnóstico completo sin pruebas invasivas. Se podría haber realizado una punción con aguja fina, pero en muchas ocasiones este método tiene bajo valor diagnóstico, por una parte, por la posibilidad de no obtener células tumorales, y por otra, porque no se puede evaluar en muchas ocasiones la invasividad de la neoplasia o el índice mitótico, siendo el propósito llegar a determinar la tipología del tumor, su biología y los efectos que pueda tener a nivel sistémico.[ Mehler SJ, Bennet RA: Surgical oncology of exotic animals. Vet Clin North Am Anim Pract Exot. 2004; 783- 805. [PubMed] ] Por otra parte, en el caso de que el propietario hubiera decidido tratar al animal, se podría haber establecido tratamiento con fármacos como prednisona, ciclofosfamida, L-asparaginasa o doxorrubicina.[ Carpenter JW: Rodents in Exotic animal formulary, fourth edition. Missouri, Elsevier Editorial, 2012; 480- 493. , Kent M: The use of chemotherapy in exotic animals. Vet Clin North Am Anim Pract Exot. 2004; 7(4): 807- 820. [PubMed] , Heatley JJ, Smith AN: Spontaneous neoplasms of lagomorphs. Vet Clin North Am Anim Pract Exot. 2004; 7(3): 561- 577. [PubMed] ]

El diagnóstico diferencial de las alopecias en cobayas que pueden seguir un patrón de distribución como la presentada en los casos expuestos (alopecia en flancos y/o dorso) son principalmente:

- Alopecias parasitarias y fúngicas: las producidas por ectoparásitos son muy frecuentes,[ Bensignor E, Chai N, Hadjaje C, et al.: Dermatología del cobaya o conejillo de indias en Dermatología de los NAC. Zaragoza, Editorial Servet, 2010; 65- 74. ] y suelen producir prurito violento, excoriación y alopecia en espalda, dorso y flancos; mientras que las producidas por hongos suelen empezar por la cabeza[ Bensignor E, Chai N, Hadjaje C, et al.: Dermatología del cobaya o conejillo de indias en Dermatología de los NAC. Zaragoza, Editorial Servet, 2010; 65- 74. ] (hocico, frente, ojos) y provocan descamación. En estas últimas no suele haber prurito salvo que las lesiones avancen afectando a la región lumbosacra, y dicho prurito se debe a infecciones bacterianas secundarias.

- Alopecias endocrinas: la diabetes[ Bensignor E, Chai N, Hadjaje C, et al.: Dermatología del cobaya o conejillo de indias en Dermatología de los NAC. Zaragoza, Editorial Servet, 2010; 65- 74. ] está descrita en cobayas abisinios, es poco frecuente y suele producir poliuria-polidipsia; el hiperadrenocorticismo[ Bensignor E, Chai N, Hadjaje C, et al.: Dermatología del cobaya o conejillo de indias en Dermatología de los NAC. Zaragoza, Editorial Servet, 2010; 65- 74. ] se da en cobayas de pelo largo y se manifiesta con alopecia bilateral, aunque suele haber melanosis; la alopecia de gestación[ Bensignor E, Chai N, Hadjaje C, et al.: Dermatología del cobaya o conejillo de indias en Dermatología de los NAC. Zaragoza, Editorial Servet, 2010; 65- 74. ] normalmente es bilateral, en ambos flancos y sin prurito, se produce al final de la gestación y revierte sola después del parto; el hiperandrogenismo, que es relativamente frecuente en cobayas machos[ Bensignor E, Chai N, Hadjaje C, et al.: Dermatología del cobaya o conejillo de indias en Dermatología de los NAC. Zaragoza, Editorial Servet, 2010; 65- 74. ] suele acompañarse de un estado queratoseborreico y alopecia, pudiendo existir prurito.

- Alopecias nutricionales: la hipovitaminosis C aunque frecuente,[ Bensignor E, Chai N, Hadjaje C, et al.: Dermatología del cobaya o conejillo de indias en Dermatología de los NAC. Zaragoza, Editorial Servet, 2010; 65- 74. ] suele cursar con otra sintomatología (como hinchazón de articulaciones, pododermatitis, descamación, postración y diarrea).

- Neoplasias: respecto a los tumores cutáneos el más común es el tricofoliculoma,[ Bensignor E, Chai N, Hadjaje C, et al.: Dermatología del cobaya o conejillo de indias en Dermatología de los NAC. Zaragoza, Editorial Servet, 2010; 65- 74. , Kanfer S, Reavill D R: Cutaneous neoplasia in Ferrets, Rabbits and Guinea Pigs. Vet Clin North Am Anim Pract Exot. 2013; 16(3): 757- 776. [PubMed] , Valls-Badía X, Vergés Bueno J: Masa en zona lumbar en cobaya (Cavia porcellus) en Casos clínicos de animales exóticos. Zaragoza, Editorial Servet, 2012; 91- 93. ] situado en zona dorsolumbar y puede producir alopecia en la zona. Este tumor suele presentarse de forma única y es más común en machos.

Existen otras alopecias de origen diverso, algunas son poco frecuentes y otras presentan lesiones de piel distintas o con un patrón de distribución diferente a los casos expuestos.

Es importante recordar que las enfermedades o alteraciones dermatológicas son motivo de consulta muy frecuente en la clínica de animales exóticos,[ Palmeiro BS, Roberts H: Clinical Approach to Dermatologic Disease in Exotic Animals. Vet Clin North Am Anim Pract Exot. 2013; 16(3): 523- 577. [PubMed] ] suponiendo un verdadero reto al ser, a menudo, enfermedades de origen multifactorial y/o secundarias a otras patologías, por lo que una evaluación exhaustiva será fundamental para un diagnóstico exitoso.

Agradecimientos

A Noah’s Path por la cesión de las imágenes de Linfoma Hodgkin like células uni, bi, multinucleadas correspondientes a la Figura 8 de este artículo.

 

Fuente de financiación: Este trabajo no se ha realizado con fondos comerciales, públicos o del sector privado.

Conflicto de intereses: Los autores declaran que no existe conflicto de intereses.

Bibliografía

  1. [1] Bensignor E, Chai N, Hadjaje C, et al.: Dermatología del cobaya o conejillo de indias en Dermatología de los NAC. Zaragoza, Editorial Servet, 2010; 65- 74.
  2. [2] Bean AD: Ovarian cysts in the guinea pig (Cavia porcellus). Vet Clin North Am Anim Pract Exot. 2013; 16(3): 757- 76. [PubMed]
  3. [3] Carpenter JW: Rodents in Exotic animal formulary, fourth edition. Missouri, Elsevier Editorial, 2012; 480- 493.
  4. [4] Pilny A: Ovarian cystic disease in guinea pigs. Vet Clin North Am Anim Pract Exot. 2014; 17(1): 69- 75. [PubMed]
  5. [5] O´Malley B. Sistema reproductor de los cobayas en Anatomía y fisiología clínica de animales exóticos. Zaragoza, Servet editorial, 2007; 256- 258.
  6. [6] Kanfer S, Reavill D R: Cutaneous neoplasia in Ferrets, Rabbits and Guinea Pigs. Vet Clin North Am Anim Pract Exot. 2013; 16(3): 757- 776. [PubMed]
  7. [7] Ammersbach M, Retardo J, Caswell JL, et al.: Laboratory findings, histopathology, and immunophenotype of lymphoma in domestic ferrets. Vet Pathol 2008; 45 (5): 663- 73. [PubMed]
  8. [8] Blomme EA, Foy SH, KH Chapell, La Perle KM: Hypereosinophilic syndrome with Hodgkin´s- like lymphoma in a ferret. J Comp Pathol, 1999; 120 (2): 211- 7. [PubMed]
  9. [9] Brotons-Campillo NJ: Situación clínica en pequeños mamíferos: Dermatofitosis, Ectoparasitosis, Enfermedades nutricionales. Consulta de Difusión Veterinaria, 2010; 169: 71- 74.
  10. [10] Mehler SJ, Bennet RA: Surgical oncology of exotic animals. Vet Clin North Am Anim Pract Exot. 2004; 783- 805. [PubMed]
  11. [11] Kent M: The use of chemotherapy in exotic animals. Vet Clin North Am Anim Pract Exot. 2004; 7(4): 807- 820. [PubMed]
  12. [12] Heatley JJ, Smith AN: Spontaneous neoplasms of lagomorphs. Vet Clin North Am Anim Pract Exot. 2004; 7(3): 561- 577. [PubMed]
  13. [13] Valls-Badía X, Vergés Bueno J: Masa en zona lumbar en cobaya (Cavia porcellus) en Casos clínicos de animales exóticos. Zaragoza, Editorial Servet, 2012; 91- 93.
  14. [14] Palmeiro BS, Roberts H: Clinical Approach to Dermatologic Disease in Exotic Animals. Vet Clin North Am Anim Pract Exot. 2013; 16(3): 523- 577. [PubMed]

Artículos recomendados

Estas recomendaciones se ofrecen de forma automática.

  • Utilidad del hemocultivo en el diagnóstico y el tratamiento antimicrobiano de la septicemia en quelonios
    O. Miñana-Morant, A. Moya-Vázquez
    Clin Vet Peq Anim Vol. 45 - Nº 4 · DIC 2025 · Artículo original referido a múltiples casos clínicos
  • Disgenesia ocular del merle

    M. Castro-Reyes, T. Zapata-Debón, E. Fenollosa-Romero
    Clin Vet Peq Anim Vol. 44 - Nº 4 · DIC 2024 · Artículo original referido a múltiples casos clínicos
  • Estudio retrospectivo (2018-2022) de la prevalencia de Staphylococcus pseudintermedius resistentes a meticilina y multirresistentes, implicados en piodermas caninas en un centro dermatológico en Madrid (España)

    C. Yotti-Álvarez, J. Pérez-Gaviro, M. Pérez-Aranda-Redondo
    Clin Vet Peq Anim Vol. 44 - Nº 3 · SEP 2024 · Artículo original referido a múltiples casos clínicos
  • Inicio
  • Introducción
  • Caso clínico 1
  • Caso clínico 2
  • Discusión
  • Agradecimientos
  • Bibliografía
Artículo anterior Índice de la revista Artículo siguiente
ANUNCIO
Próximos cursos ATVs Elearning
Índice
Inicio Introducción Caso clínico 1 Caso clínico 2 Discusión Agradecimientos Bibliografía
Boehringer - NexGard
ANUNCIO

¿No eres socio de AVEPA y quieres recibir comunicación de las nuevas ediciones en tu correo?

Suscríbete

Suscríbete y te avisaremos cuando publiquemos un nuevo número

Suscribirme

Enlaces rápidos

  • Inicio
  • Último número
  • Archivo
  • Artículos

Información

  • Comité editorial
  • Política de cookies
  • Política de privacidad
  • Términos y condiciones

Contacto

  • info@imaginice.com
  • Envíanos tu artículo
© 2026 Ice Salud Vet SL. Todos los derechos reservados.

Usamos cookies para mejorar tu experiencia. Selecciona cuáles aceptas: