Logo AVEPA

Clínica Veterinaria de Pequeños Animales

Revista oficial de AVEPA

  • Inicio
  • Último número
  • Archivo
  • Artículos
  • Para autores
  • Contacto
Cursos Junio-Septiembre 2026
ANUNCIO

Clínica Veterinaria de Pequeños Animales

Revista oficial de AVEPA

  • Inicio
  • Último número
  • Archivo
  • Artículos
  • Para autores
  • Contacto
Curso Oftalmología 2026
ANUNCIO
Clin Vet Peq Anim Vol. 42 • Nº 1 • marzo 2022

Interpretación de las alteraciones del proteinograma en trece hurones (Mustela putorius furo)

Interpretation of proteinogram alterations in thirteen ferrets (Mustela putorius furo)

Artículo original referido a múltiples casos clínicos

O. Miñana-Morant

Babieca Veterinaria. c/ Miramar 20. 46701 Gandía (Valencia)

Otros artículos de O. Miñana-Morant:
  • Utilidad del hemocultivo en el diagnóstico y el tratamiento antimicrobiano de la septicemia en quelonios
    Clin Vet Peq Anim Vol. 45 • Nº 4 • diciembre 2025

A. Moya-Vázquez

Hispalvet Veterinarios. c/ José Luis Navarro 14. 41940 Tomares (Sevilla)

Otros artículos de A. Moya-Vázquez:
  • Utilidad del hemocultivo en el diagnóstico y el tratamiento antimicrobiano de la septicemia en quelonios
    Clin Vet Peq Anim Vol. 45 • Nº 4 • diciembre 2025
Contacto: oscarvet68@gmail.com
Palabras clave: proteinograma, hurón, electroforesis, miofascitis, micobacteriosis.
Keywords: proteinogram, ferret, protein electrophoresis, myofasciitis, mycobacteriosis.

Clin Vet Peq Anim 2022, 42 (1): 27-36

Descargar artículo

Resumen

En hurones, la interpretación del proteinograma (electroforesis de las proteínas séricas) es una herramienta útil como ayuda al diagnóstico y seguimiento de diversas enfermedades, así como para el pronóstico de algunas de ellas. Se describen brevemente trece casos clínicos, en los cuales la realización del proteinograma formó parte del protocolo para alcanzar un diagnóstico definitivo. Se exponen, para cada uno de los casos, los valores absolutos de las distintas fracciones proteicas y su gráfica correspondiente. Se describen e interpretan las alteraciones más significativas de los mismos y su relación con la etiología de cada uno de ellos. Asimismo, se detallan y ejemplifican las alteraciones observadas por los autores en casos tanto de miofascitis idiopática como de micobacteriosis, no referenciadas hasta la fecha.

Abstract

In ferrets, the interpretation of proteinogram (protein electrophoresis) is a useful tool in diagnosis, monitoring, and prognosis of several diseases. A total of 13 real clinical cases, in which a proteinogram has been part of the protocol to reach a definitive diagnosis, are briefly described. For each case, absolute values of the different protein fractions, and their corresponding graphics are presented. Interpretation of the relationship between the most significant variations and their etiology is described. The most relevant alterations observed in protein electrophoresis from ferrets suffering from idiopathic myofasciitis and mycobacteriosis are described by the authors. These changes, exemplified in the present work, have not been referenced until date.

AVEPA Elearning

La presencia de este logo en un artículo de la revista indica que se publicará un examen sobre el mismo en la plataforma AVEPA Elearning. Su resolución aporta 0,15 créditos dentro del sistema de acreditaciones de especialidades veterinarias de AVEPA.

Introducción

El proteinograma es la representación gráfica de la migración y distribución de las proteínas séricas en un sustrato (en acetato de celulosa, gel de agarosa o en capilares). Las proteínas que se identifican en el suero o plasma de los mamíferos son la albúmina y las globulinas; entre estas últimas se incluyen las proteínas de fase aguda (α-globulinas y β-globulinas) e inmunoglobulinas (γ-globulinas). Las proteínas de fase aguda positivas aumentan como respuesta del organismo frente a situaciones como traumatismo, inflamación y/o infección (α1-antitripsina, proteína C reactiva, haptoglobina, fibrinógeno, etc.).[ Melillo A: Applications of serum protein electrophoresis in exotic pet medicine. Vet Clin North Am Exot Anim Pract 2013; 16: 211-225 [PubMed] ]

La distribución de las diversas fracciones del proteinograma del hurón es similar a la de otros carnívoros como perros y gatos, con las particularidades propias de la especie. La albúmina representa aproximadamente la mitad de las proteínas circulantes, y la relación A/G varía entre 1 y 2. En esta especie, la IgA migra en el campo de las globulinas α2 y β1, la IgM en el campo de la globulina β2 o globulina γ, mientras que la IgG lo hace solo en el campo de la γ-globulina.[ Melillo A: Applications of serum protein electrophoresis in exotic pet medicine. Vet Clin North Am Exot Anim Pract 2013; 16: 211-225 [PubMed] , Boussarie D: L’électrophorèse des protéines sériques en pathologie du furet (Mustela putorius furo). Bull Acad Vét France 2007; 160(4): 319-324. ]

En hurones el proteinograma representa una herramienta diagnóstica y pronóstica de gran utilidad. Determinados cambios en los patrones de distribución de las diferentes fracciones proteicas pueden servir de apoyo en el diagnóstico de procesos que cursan con elevación y/o disminución de las mismas[ Melillo A: Applications of serum protein electrophoresis in exotic pet medicine. Vet Clin North Am Exot Anim Pract 2013; 16: 211-225 [PubMed] , Cidoncha A, Pérez E, Vinuesa A, et al.: El proteinograma en la práctica clínica. Medicina Integral 2001; 38 (23): 127-132. , Carpenter JW. Chapter 11: Ferrets. In: Exotic Animal Formulary. Elsevier Saunders, Missouri 2018: 765. , Morera N, Camba E: Coronavirus en hurones. Clininfectovet 2020; (6): 11-17. , Morera N, Sallés CJ, Torres JM, et al.: Cryptococcus gattii infection in a Spanish pet ferret (Mustela putorius furo) and asymptomatic carriage in ferrets and humans from its environment. Med Mycol 2011; 49 (7): 779-784. [PubMed] , Giner J et al.: First report on natural infection with Leishmania infantum in a domestic ferret (Mustela putorius furo) in Spain, Vet Parasitol: Reg Stud Reports 2020; Jan 19. [PubMed] ] (Tabla 1). Aunque estos cambios no son suficientes para alcanzar un diagnóstico definitivo, pueden ayudar en el enfoque de dicho caso y, por lo tanto, en la elección de las pruebas específicas.

Image
Tabla 1

Por lo general, la información publicada acerca de la aplicación práctica del proteinograma en la clínica de hurones es escasa, y en la mayoría de ocasiones debemos acudir a referencias concretas de procesos patológicos donde se describan los cambios más significativos. Diversas publicaciones establecen los rangos de referencia para proteínas totales, albúmina y las diferentes fracciones de globulinas en el hurón[ Melillo A: Applications of serum protein electrophoresis in exotic pet medicine. Vet Clin North Am Exot Anim Pract 2013; 16: 211-225 [PubMed] , Cidoncha A, Pérez E, Vinuesa A, et al.: El proteinograma en la práctica clínica. Medicina Integral 2001; 38 (23): 127-132. , Carpenter JW. Chapter 11: Ferrets. In: Exotic Animal Formulary. Elsevier Saunders, Missouri 2018: 765. , Ravich M, Johnson-Delaney K, Kelleher S, et al.: Quantitation of acute phase and protein electrophoresis fractions in ferrets. Journal of exotic Pet Medicine 2015; 24(2): 201-208. , Lennox A: Ferrets: clinical pathology. En Keeble E, Meredith A (eds). BSAVA Manual of Rodents and Ferrets. British Small Animal Veterinary Association, Gloucester, 2009: 230-236. ] (Tabla 2).

Image
Tabla 2

Los objetivos del presente texto son facilitar la interpretación del proteinograma en hurones en la clínica diaria, así como describir por primera vez algunos cambios electroforéticos en ciertas enfermedades emergentes, como la miofascitis idiopática. Para ello se describen e interpretan los cambios en el proteinograma de diferentes casos clínicos reales. Algunos de ellos están relacionados con enfermedades ampliamente descritas en hurones y que cursan con proteinogramas muy característicos, mientras que otros son en general menos frecuentes y/o incluyen cambios electroforéticos que no han sido descritos hasta la fecha.

Material y métodos

Se realizó un proteinograma a 13 hurones, machos y hembras de diferentes edades, que acudieron a consulta en dos centros veterinarios independientes y con diversa sintomatología clínica. En todos los casos la presentación y/o las alteraciones clínicas hacían recomendable la realización del proteinograma. En función del paciente, la extracción de sangre se realizó de la vena cava craneal o de la vena safena lateral, obteniendo siempre una cantidad suficiente de sangre (1-2 ml) para poder realizar un análisis de sangre completo.

En todos los casos descritos en este artículo se conservó la sangre con dos tipos de anticoagulantes, EDTA y heparina litio, para realizar respectivamente el análisis hematológico y la bioquímica sanguínea. Por cuestiones prácticas y con el fin de estandarizar el procedimiento, para la realización del proteinograma se utilizó plasma a partir de sangre conservada con heparina litio. La mayoría de laboratorios comerciales realizan proteinogramas tanto a partir de plasma como de suero.

Tras la extracción, la sangre se centrifugó inmediatamente a 4000 rpm durante 10 minutos, obteniéndose así el plasma con el que se realizaron los proteinogramas. Dicho plasma se guardó y envió refrigerado al laboratorio de referencia para su procesado, el cual se realizó dentro de las 24 horas siguientes a la toma de la muestra. La medición de las proteínas plasmáticas se llevó a cabo mediante espectrometría ultravioleta sensible y el proteinograma mediante electroforesis capilar (11/13 casos) y gel de agarosa (2/13 casos). Ante la ausencia de rangos de referencia propios por parte de los laboratorios empleados, se tomaron en consideración los valores publicados para hurones en diferentes referencias bibliográficas.[ Melillo A: Applications of serum protein electrophoresis in exotic pet medicine. Vet Clin North Am Exot Anim Pract 2013; 16: 211-225 [PubMed] , Carpenter JW. Chapter 11: Ferrets. In: Exotic Animal Formulary. Elsevier Saunders, Missouri 2018: 765. ]

En cada caso concreto, el diagnóstico definitivo requirió de diversas pruebas específicas que no se detallarán en este artículo; en todos ellos el proteinograma resultó un método de apoyo al diagnóstico y/o pronóstico.

Resultados

Casos 1 y 2 (Enfermedad aleutiana)

Caso 1

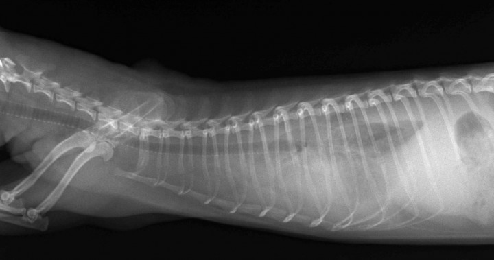
Hurón macho de cuatro meses de edad, no castrado, que presentaba hiporexia, letargo, heces blandas, taquipnea (58 resp./min) y respiraciones superficiales. El animal había convivido unas semanas antes con un visón (Mustela lutreola), aparentemente sano. Las radiografías mostraban derrame pleural (Fig. 1). En el proteinograma de este animal (Tabla 3) destacaba una marcada hipoalbuminemia y una hipergammaglobulinemia policlonal muy evidente.

<p>Radiografía de tórax (vista lateral). Efusión pleural en un hurón diagnosticado de enfermedad aleutiana.</p>
Figura 1

Radiografía de tórax (vista lateral). Efusión pleural en un hurón diagnosticado de enfermedad aleutiana.

<div class=\"Basic-Text-Frame\">
<p>Los valores en azul indican una cifra por debajo del rango de referencia y en rojo por encima del rango.</p>

<p>*Proteinograma realizado con gel de agarosa.</p>
</div>
Tabla 3

Los valores en azul indican una cifra por debajo del rango de referencia y en rojo por encima del rango.

*Proteinograma realizado con gel de agarosa.

Caso 2

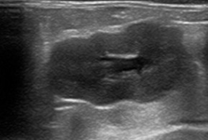
Hurón macho de nueve meses de edad, no castrado, con temblores, debilidad del tercio posterior, mucosas pálidas, pérdida de actividad y de apetito. Presencia de anemia con aumento de urea en la analítica sanguínea, y pérdida de la estructura renal en la ecografía (Fig. 2). En este proteinograma (Tabla 3) también destaca la hipoalbuminemia, aunque no tan marcada como en el caso anterior, y una importante hiperglobulinemia (algo más leve que en el primer caso), con aumento policlonal de γ-globulinas.

<p>Ecografía renal. Alteración de la arquitectura renal en un paciente diagnosticado de enfermedad aleutiana.</p>
Figura 2

Ecografía renal. Alteración de la arquitectura renal en un paciente diagnosticado de enfermedad aleutiana.

Casos 3 y 4 (Coronavirus sistémico)

Caso 3

Hurón hembra de dos años de edad, no esterilizada, que presentaba debilidad generalizada, esplenomegalia, linfadenomegalia abdominal y nefromegalia unilateral (Figs. 3 y 4). La analítica sanguínea mostraba pancitopenia, hipoalbuminemia e hiperglobulinemia. El proteinograma reveló un aumento generalizado de globulinas con una marcada gammapatía policlonal (Tabla 3).

<p>Nefritis y nefromegalia en un paciente con coronavirus sistémico (sección renal).</p>
Figura 3

Nefritis y nefromegalia en un paciente con coronavirus sistémico (sección renal).

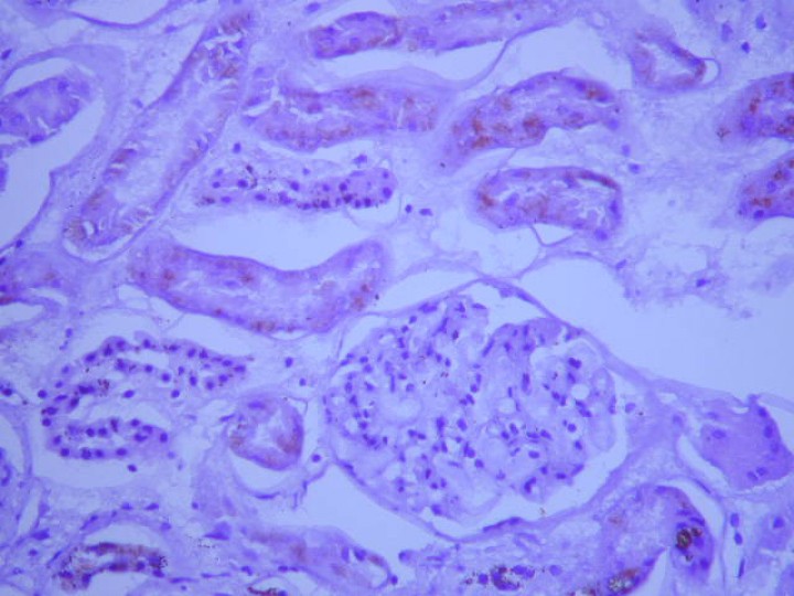
<div>
<div class=\"Basic-Text-Frame\">
<p>Imagen histopatológica (nefritis piogranulomatosa y linfoplasmocitaria con glomerulonefritis membranosa asociada). Tinción hematoxilina-eosina, 400 aumentos.</p>
</div>
</div>
Figura 4

Imagen histopatológica (nefritis piogranulomatosa y linfoplasmocitaria con glomerulonefritis membranosa asociada). Tinción hematoxilina-eosina, 400 aumentos.

Caso 4

Hurón macho de un año de edad, no castrado, que presentaba adelgazamiento crónico y linfadenopatía abdominal. La analítica sanguínea mostraba anemia no regenerativa y trombocitopenia. En el proteinograma se observaba principalmente un aumento de γ y, en menor medida, ß-globulinas (Tabla 3).

 

Caso 5 (Enfermedad catarral epizoótica)

Hurón macho de tres años de edad, no castrado, que presentaba un cuadro digestivo caracterizado por hiporexia, hipertermia y diarreas mucosas verdosas. El proteinograma mostró la presencia de hipoalbuminemia y aumento de α y β-globulinas (Tabla 4).

<div class=\"Basic-Text-Frame\">
<p>Los valores en azul indican una cifra por debajo del rango de referencia y en rojo por encima del rango.</p>

<p>*Proteinograma realizado con gel de agarosa.</p>
</div>
Tabla 4

Los valores en azul indican una cifra por debajo del rango de referencia y en rojo por encima del rango.

*Proteinograma realizado con gel de agarosa.

 

Caso 6 (Moquillo)

Hurón macho de dos años de edad, no castrado, no vacunado. Presentaba un cuadro dermatológico caracterizado por lesiones costrosas en nariz, labios y mentón (Fig. 5), además de hiperqueratosis plantar (Fig. 6). Asimismo, existía hipertermia y secreción nasal purulenta. La analítica sanguínea mostraba anemia leve y leucocitosis neutrofílica. El proteinograma mostró aumento de α y β-globulinas (Tabla 4).

<p>Lesiones costrosas en nariz, labios y mentón.</p>
Figura 5

Lesiones costrosas en nariz, labios y mentón.

<p>Hiperqueratosis plantar.</p>
Figura 6

Hiperqueratosis plantar.

Caso 7 (Enfermedad hepática)

Hurón hembra de tres años de edad, no esterilizada, que presentaba un cuadro crónico de hiporexia y diarreas. Fue diagnosticada de enfermedad hepática inflamatoria crónica (hepatitis linfoplasmocitaria) mediante biopsia. El proteinograma de la paciente mostraba hipoalbuminemia y un aumento de globulinas, con el característico puente β-γ (Tabla 3).

 

Casos 8 y 9 (Miofascitis idiopática diseminada)

Caso 8

Hurón macho de 16 meses de edad, no castrado, que se atendió en consulta por la aparición aguda de un cuadro de apatía, hipertermia (42 ºC), murmullos laríngeos, postración y heces blandas verdes. Se obtuvo un diagnóstico definitivo postmortem de miofascitis idiopática diseminada. En el proteinograma realizado se evidenció un aumento de α y β-globulinas (Tabla 4).

Caso 9

Hurón macho de dos años de edad, no castrado. Se presentó en consulta por un cuadro agudo de hipertermia, debilidad generalizada e hiperestesia, especialmente a la palpación de la musculatura. El paciente presentaba esplenomegalia (Fig. 7) y linfadenopatía abdominal. El proteinograma mostraba hipoalbuminemia y aumento de α y β- globulinas (Tabla 4). Se estableció un diagnóstico definitivo antemortem de miofascitis idiopática mediante biopsia muscular.

<p>Esplenomegalia (imagen intraquirúrgica) en un hurón con miofascitis.</p>
Figura 7

Esplenomegalia (imagen intraquirúrgica) en un hurón con miofascitis.

 

Caso 10 (Micobacteriosis)

Hurón hembra de 4 años de edad, no esterilizada. Acudió a consulta con un cuadro crónico de gastroenteritis caracterizado por vómitos y diarreas. La paciente presentaba linfadenopatía abdominal (Fig. 8). Se estableció un diagnóstico definitivo de micobacteriosis mediante biopsia. El proteinograma mostraba un aumento generalizado de globulinas, apareciendo aquí también un puente β-γ (Tabla 3).

<p>Peritonitis granulomatosa en un hurón con micobacteriosis.</p>
Figura 8

Peritonitis granulomatosa en un hurón con micobacteriosis.

 

Caso 11 (Anemia ferropénica)

Hurón hembra de 6 años de edad, esterilizada, con un cuadro de anorexia, apatía, debilidad extrema y mucosas muy pálidas con aumento del relleno capilar. En la exploración física se detectó una masa a nivel abdominal (confirmada en ecografía) y ascitis. En la analítica sanguínea destacaba la presencia de un hematocrito del 15 %. Se realizó una transfusión de sangre, previa a la realización de una laparotomía exploratoria (Fig. 9). Se comprobó la existencia de una hemorragia profusa en abdomen, como consecuencia de una masa abdominal aislada en mesenterio, compatible con neoplasia (no se realizó biopsia). En el proteinograma (Tabla 4) se observaba hipoalbuminemia y un aumento de globulinas, más destacable de β-globulinas.

<p>Hemoabdomen (imagen intraquirúrgica) en hurón hembra de 6 años, con elevación de β-globulinas.</p>
Figura 9

Hemoabdomen (imagen intraquirúrgica) en hurón hembra de 6 años, con elevación de β-globulinas.

 

Casos 12 y 13 (Linfoma)

Caso 12

Hurón hembra de dos años y medio de edad, no esterilizada. El animal presentaba debilidad generalizada, pérdida de peso y ascitis. La analítica sanguínea evidenció anemia, aumento de enzimas hepáticas e hipoproteinemia. El proteinograma mostraba una disminución generalizada de globulinas (Tabla 5). Se confirmó un diagnóstico definitivo de linfoma multicéntrico con afectación hepática.

<div class=\"Basic-Text-Frame\">
<p>Los valores en azul indican una cifra por debajo del rango de referencia y en rojo por encima del rango.</p>
</div>
Tabla 5

Los valores en azul indican una cifra por debajo del rango de referencia y en rojo por encima del rango.

Caso 13

Hurón hembra de cuatro años y medio de edad, no esterilizada. Se visitó en consulta por un cuadro de apatía, hiporexia y linfadenopatía periférica (Fig. 10). La exploración física y las pruebas complementarias (ecografía abdominal) evidenciaron la presencia de linfadenopatía abdominal y esplenomegalia, con alteración de la ecogenicidad esplénica. El proteinograma resultó prácticamente normal, salvo por leve aumento de α2-globulinas y β-globulinas (Tabla 5). El estudio histopatológico e inmunohistoquímico confirmó la presencia de linfoma de células T.

<p>Hurón con linfadenomegalia.</p>
Figura 10

Hurón con linfadenomegalia.

Discusión

En hurones, como en la mayoría de especies, el proteinograma constituye una prueba de enorme utilidad, tanto para confirmar cambios en las diversas fracciones proteicas como para orientar el caso clínico en función de dichas alteraciones.

Todos los proteinogramas descritos en este artículo han sido realizados a partir del plasma y no de suero. La principal diferencia entre los dos métodos es la ausencia de fibrinógeno en el segundo, siendo así la concentración de sólidos totales del plasma ligeramente más alta que la del suero (alrededor del 5 %). Esto se refleja en el patrón del proteinograma con un aumento de la fracción de β-globulinas (donde migra el fibrinógeno). Dichas variaciones son mínimas y no suelen interferir en la interpretación del proteinograma, si bien deben tenerse en cuenta en cada caso estudiado.

Tanto en los casos de enfermedad aleutiana (1 y 2) como en los de infección por coronavirus sistémico (3 y 4), una de las principales alteraciones analíticas es la presencia de hipoalbuminemia e hipergammaglobulinemia policlonal, con concentraciones de γ-globulinas incluso por encima del 20-60 % del total de proteínas séricas (valores absolutos de 100-120 g/L). La gráfica es muy característica en estas enfermedades víricas sistémicas, con un pico elevado en la región de las γ-globulinas (aumentos de IgG e IgM), acompañado de un descenso marcado de la curva de albúmina.[ Murray J, Kiupel M, Maes RK: Ferret coronavirus associated diseases. Vet Clin North Am Exot Anim Pract 2010; 13(3): 543-560. [PubMed] , Garner MM, Ramsell K, Morera N et al: Clinicopathologic features of a systemic coronavirus-associated disease resembling feline infectious peritonitis in the domestic ferret (Mustela putorius). Vet Pathol. 2008; 45(2): 236-246. [PubMed] , Huynh M, Piazza S: Musculoskeletal and Neurologic Diseases. En Quesenberry, KE, Carpenter JW (eds). Ferrets, Rabbits, and Rodents. Clinical Medicine and Surgery, Fourth edition. Elsevier Saunders, Missouri, 2020 (online): 117-130. ] Este patrón electroforético responde, en el caso de la enfermedad aleutiana, a un proceso inflamatorio generalizado de tipo linfoplasmocítico que causa depósito de inmunocomplejos en los vasos sanguíneos (vasculitis) de numerosos tejidos del organismo (hígado, bazo, timo, sistema nervioso, meninges, riñón).[ Boussarie D: L’électrophorèse des protéines sériques en pathologie du furet (Mustela putorius furo). Bull Acad Vét France 2007; 160(4): 319-324. , Langlois I, Viral diseases of ferrets. Vet Clin Noth Am Exot Anim Pract, 2005, 8: 139-160. [PubMed] ] En el caso de la infección por coronavirus sistémico, se debe principalmente a la aparición de perivasculitis granulomatosa y peritonitis.[ Murray J, Kiupel M, Maes RK: Ferret coronavirus associated diseases. Vet Clin North Am Exot Anim Pract 2010; 13(3): 543-560. [PubMed] , Garner MM, Ramsell K, Morera N et al: Clinicopathologic features of a systemic coronavirus-associated disease resembling feline infectious peritonitis in the domestic ferret (Mustela putorius). Vet Pathol. 2008; 45(2): 236-246. [PubMed] , Laprie C, Duboy J, Martinez J: Coronavirose systémique chez le furet (Mustela putorius): intérêt de l’analyse histologique et immunohistochimique. À propos de trois cas. Pratique médicale et chirurgicale de l’animal de compagnie 2009; 44: 111-115. ] En el caso 3, aunque no es muy evidente, se aprecia un puente β-γ, probablemente debido al aumento de algunas proteínas como las IgM que migran en la fracción β2-globulinas y en la fracción γ-globulinas temprana.[ Boussarie D: L’électrophorèse des protéines sériques en pathologie du furet (Mustela putorius furo). Bull Acad Vét France 2007; 160(4): 319-324. ]

La gammapatía policlonal también puede estar presente en otras enfermedades, tales como linfoma e infecciones crónicas como el caso de Helicobacter sp;[ Boussarie D: L’électrophorèse des protéines sériques en pathologie du furet (Mustela putorius furo). Bull Acad Vét France 2007; 160(4): 319-324. ] sin embargo, tanto en la enfermedad aleutiana como en casos de coronavirus sistémico, los valores de las γ-globulinas suelen ser mucho más elevados.[ Murray J, Kiupel M, Maes RK: Ferret coronavirus associated diseases. Vet Clin North Am Exot Anim Pract 2010; 13(3): 543-560. [PubMed] , Garner MM, Ramsell K, Morera N et al: Clinicopathologic features of a systemic coronavirus-associated disease resembling feline infectious peritonitis in the domestic ferret (Mustela putorius). Vet Pathol. 2008; 45(2): 236-246. [PubMed] , Huynh M, Piazza S: Musculoskeletal and Neurologic Diseases. En Quesenberry, KE, Carpenter JW (eds). Ferrets, Rabbits, and Rodents. Clinical Medicine and Surgery, Fourth edition. Elsevier Saunders, Missouri, 2020 (online): 117-130. ]

En el caso 5 de enteritis catarral epizoótica (coronavirus entérico del hurón), infección producida por un coronavirus digestivo, se observa un patrón con un aumento de α y β-globulinas. Los fenómenos inflamatorios agudos suelen manifestarse con un pico de las α2 y β1-globulinas debido a la migración de las IgA (principal responsable de los procesos de defensa ubicados a nivel de las mucosas) u otras proteínas de fase aguda. En caso de producirse un pico de γ-globulinas, este suele ser más discreto que el que se presenta en casos de enfermedad aleutiana o coronavirus sistémico. Tiempo después de la presentación aguda (de 1-3 semanas más tarde) se puede evidenciar hipoalbuminemia discreta, como también observamos en este caso. Es común observar un descenso de las γ-globulinas después de 2-3 semanas, debido a la pérdida de la inmunidad adquirida.[ Boussarie D: L’électrophorèse des protéines sériques en pathologie du furet (Mustela putorius furo). Bull Acad Vét France 2007; 160(4): 319-324. ] Respecto al caso de la infección por el virus del moquillo (caso 6), observamos hipoalbuminemia y un patrón característico de una enfermedad de curso agudo, con aumento también de α y β-globulinas. Este patrón electroforético con aumento de α y β-globulinas coincide con el descrito por otros autores.[ Perpiñán D, Ramis A, Tomás A, Carpintero E, Bargalló F: Outbreak of canine distemper in domestic ferrets (Mustela putorius furo). Vet Rec 2008; 163: 246-250. [PubMed] ]

Los signos clínicos en hurones con enfermedad hepática son, por lo general, inespecíficos. Las distintas presentaciones patológicas pueden dar lugar a resultados muy variables en el patrón electroforético. El hígado es el órgano exclusivo de síntesis de albúmina y, por lo tanto, sus valores pueden alterarse por una enfermedad hepática grave. Sin embargo, en algunas ocasiones el nivel de proteínas totales puede no verse afectado o incluso estar aumentado, cuando la globulinemia generalmente aumenta. Esto ocurre en el caso 7, donde observamos una disminución importante de la relación A/G debido mayoritariamente a un aumento generalizado de globulinas, aunque también existe hipoalbuminemia. Asimismo resulta bastante evidente la presencia del puente β-γ-globulinas, que puede deberse a un aumento del fibrinógeno (migra en la banda de las β2) o un aumento de las IgM (en el hurón migran en la banda β2 y γ).[ Boussarie D: L’électrophorèse des protéines sériques en pathologie du furet (Mustela putorius furo). Bull Acad Vét France 2007; 160(4): 319-324. , Camus MS, Krimer PM, LeRoy BE, Almy FS. Evaluation of the Positive Predictive Value of Serum Protein Electrophoresis Beta–Gamma Bridging for Hepatic Disease in Three Domestic Animal Species. Vet Pathol 2010; 47 (6): 1064-1070. [PubMed] ]

En el caso de afecciones hepáticas no tumorales como lipidosis hepática o colangiohepatitis aguda, puede observarse un aumento de la α2-globulinas[ Boussarie D: L’électrophorèse des protéines sériques en pathologie du furet (Mustela putorius furo). Bull Acad Vét France 2007; 160(4): 319-324. ] debido al proceso inflamatorio intenso (a veces, también aumentan en hepatitis crónica y casos de linfoma).[ Huynh M, Laloi F: Diagnosis of liver disease in domestic ferrets (Mustela putorius). Vet Clin North Am Exot Anim Pract 2013; 16: 121-144. [PubMed] ] Por otra parte, en general se puede observar un aumento de las β-globulinas en hepatitis agudas (aumento IgM), hepatitis crónicas (hipertransferrinemia, aumento C3, aumento IgM) o colestasis intra o extrahepáticas.[ Boussarie D: L’électrophorèse des protéines sériques en pathologie du furet (Mustela putorius furo). Bull Acad Vét France 2007; 160(4): 319-324. ] Cuando el cuadro se cronifica puede observarse un aumento de la producción de γ-globulinas debido a la presencia de múltiples anticuerpos. En la hepatopatía crónica grave, se espera un aumento de β-globulinas y γ-globulinas (relacionado con la producción de inmunoglobulinas).[ Huynh M, Laloi F: Diagnosis of liver disease in domestic ferrets (Mustela putorius). Vet Clin North Am Exot Anim Pract 2013; 16: 121-144. [PubMed] ] En nuestro caso, diagnosticado como un proceso crónico, podemos observar este aumento de ambas inmunoglobulinas, sobre todo de β-globulinas. Asimismo, en pacientes con colangitis linfocítica se puede observar incremento de las globulinas totales, como consecuencia del incremento de gammaglobulina.[ Giner Audivert, J. Enfermedades hepatobiliares en hurones. Southern European Veterinary Conference, Noviembre 2020. ]

En hurones a los que se ha diagnosticado miofascitis idiopática (biopsias musculares) se han observado cambios en el proteinograma propios de una enfermedad de curso agudo/subagudo (casos 8 y 9), con aumentos de α-globulinas y β-globulinas, sin llegar a aumentar las γ-globulinas. Los autores de este artículo han observado un patrón prácticamente idéntico en todos los casos diagnosticados, en proteinogramas realizados dentro de los primeros siete días desde el inicio de signos compatibles.[ Moya A: Miofascitis idiopática en hurones: cómo evitar que pase desapercibida. Congreso AVEPA- SEVC, Madrid, 2018. ] La miofascitis idiopática se caracteriza por un proceso inflamatorio grave de curso agudo, de naturaleza inmunomediada, que afecta principalmente a músculo liso y esquelético, así como a los tejidos circundantes. Dicha inflamación, de tipo piogranulomatoso, afecta a las fascias de los fascículos musculares, provocando dolor y atrofia muscular.[ Moya A: Miofascitis idiopática en hurones: cómo evitar que pase desapercibida. Congreso AVEPA- SEVC, Madrid, 2018. , Ramsell K, Garner MM: Disseminated idiopathic myofasciitis in ferrets. Vet Clin North Am Exot Anim Pract 2010; 13 (3): 561-575. [PubMed] ] Los autores no han encontrado hasta la fecha referencias bibliográficas sobre los cambios electroforéticos que se producen en esta enfermedad. Dichos cambios en animales con miofascitis idiopática diseminada pueden respaldar un diagnóstico presuntivo en pacientes con cuadros clínicos y hallazgos laboratoriales compatibles, a la espera de confirmación mediante biopsia.

Los autores de este artículo han confirmado varios casos de micobacteriosis en los últimos años, aunque se describe una baja incidencia en hurones. Las alteraciones presentes en el proteinograma incluyen un aumento importante de globulinas, con elevación generalizada de todas las fracciones, y presencia de puente β-γ-globulinas (caso 10). No se han encontrado publicaciones con anterioridad que describan el proteinograma de hurones afectados por micobacteriosis. Cabe destacar la diferencia sustancial con los proteinogramas de otra enfermedad causante de peritonitis granulomatosa, como es la infección por coronavirus sistémico, donde la gammapatía policlonal presenta valores más elevados. Respecto a la presencia del puente β-γ-globulinas cabe destacar que, aunque habitualmente se asocia a enfermedad hepática, la bibliografía también describe su presencia en enfermedades de origen infeccioso en perros, gatos y caballos.[ Camus MS, Krimer PM, LeRoy BE, Almy FS. Evaluation of the Positive Predictive Value of Serum Protein Electrophoresis Beta–Gamma Bridging for Hepatic Disease in Three Domestic Animal Species. Vet Pathol 2010; 47 (6): 1064-1070. [PubMed] ]

En el caso descrito de anemia ferropénica (caso 11), observamos un aumento muy marcado de las β-globulinas. En estas situaciones, se produce un aumento de la síntesis de transferrina (proteína transportadora de hierro) y la migración electroforética de la transferrina corresponde a la zona β1-globulina, siendo esta la proteína que se representa en mayor porcentaje de todas las β-globulinas.[ Pérez Surribas D: Proteínas relacionadas con el metabolismo del hierro. Química Clínica, 2005, 24 (1): 5-40. ] El patrón electroforético en este caso es, por tanto, compatible con esta síntesis de transferrina, aunque también debería considerarse que parte de esta elevación pudiera deberse a la presencia de fibrinógeno, al haber utilizado plasma y no suero para la realización del proteinograma. Asimismo, habría que tener en cuenta el aumento de β-globulinas en caso de hemólisis (aunque no es el caso), ya que la hemoglobina también se representa en esta fracción. La hipoalbuminemia y aumento del resto de globulinas podría deberse, en el caso de la albúmina, a la hemorragia o al proceso inflamatorio (proteína de fase aguda negativa) y, en el caso de las globulinas, a la misma inflamación o a una posible estimulación antigénica, pero la interpretación en este caso estaría limitada por la falta de un diagnóstico definitivo.

El patrón electroforético en casos de linfoma puede ser muy variado, debido a que va a depender en gran medida tanto de los órganos afectados (afectación orgánica) como del fenotipado (B o T). Por norma general, la hiperglobulinemia es poco frecuente en hurones con linfomas de células T, si bien se describen patrones policlonales.[ Ammersbach M, Delay J, Caswell JL, et al.: Laboratory findings, histopathology, and immunophenotype of lymphoma in domestic ferrets. Vet Pathol 2008; 45 (5): 663-673. [PubMed] ] En casos con afectación intestinal y/o hepática grave es frecuente la aparición de hipoalbuminemia. En el caso del linfoma con afección hepática incluido en este texto (caso 12) podemos observar una hipoalbuminemia grave, así como una disminución general de las globulinas, sobre todo de α1-globulinas. La disminución de globulinas se puede observar en casos de insuficiencia hepática y linfomas. La hipoproteinemia general por descenso de globulinas se debe a un déficit de síntesis y tiene un valor pronóstico negativo.[ Boussarie D: L’électrophorèse des protéines sériques en pathologie du furet (Mustela putorius furo). Bull Acad Vét France 2007; 160(4): 319-324. ] Sin embargo, en el caso expuesto de linfoma con afección esplénica (caso 13), el proteinograma es prácticamente normal con un muy leve aumento de α2 y β-globulinas.

En conclusión, la correcta interpretación de las alteraciones en el proteinograma resulta fundamental para identificar las posibles causas de cambios en el patrón de las diferentes fracciones proteicas. La recopilación de casos de proteinogramas en hurones descritos en este artículo ilustra la gran variación existente y la relación de las alteraciones con enfermedades y/o situaciones clínicas concretas, por lo que constituye una guía para esta especie.

Determinadas patologías consideradas emergentes o poco frecuentes en hurones pueden dar lugar a patrones electroforéticos característicos. Deberían tenerse en cuenta las alteraciones descritas en este artículo en casos de miofascitis idiopática diseminada y micobacteriosis.

Debería considerarse la inclusión del proteinograma dentro del protocolo de pruebas diagnósticas analíticas en hurones, ya que complementa los resultados obtenidos en hemograma y bioquímica sanguíneas.

 

Fuente de financiación: este trabajo no se realizó con fondos comerciales, públicos o del sector privado.

Conflicto de intereses: los autores declaran la inexistencia de conflicto de intereses.

Bibliografía

  1. [1] Melillo A: Applications of serum protein electrophoresis in exotic pet medicine. Vet Clin North Am Exot Anim Pract 2013; 16: 211-225 [PubMed]
  2. [2] Boussarie D: L’électrophorèse des protéines sériques en pathologie du furet (Mustela putorius furo). Bull Acad Vét France 2007; 160(4): 319-324.
  3. [3] Cidoncha A, Pérez E, Vinuesa A, et al.: El proteinograma en la práctica clínica. Medicina Integral 2001; 38 (23): 127-132.
  4. [4] Carpenter JW. Chapter 11: Ferrets. In: Exotic Animal Formulary. Elsevier Saunders, Missouri 2018: 765.
  5. [5] Morera N, Camba E: Coronavirus en hurones. Clininfectovet 2020; (6): 11-17.
  6. [6] Morera N, Sallés CJ, Torres JM, et al.: Cryptococcus gattii infection in a Spanish pet ferret (Mustela putorius furo) and asymptomatic carriage in ferrets and humans from its environment. Med Mycol 2011; 49 (7): 779-784. [PubMed]
  7. [7] Giner J et al.: First report on natural infection with Leishmania infantum in a domestic ferret (Mustela putorius furo) in Spain, Vet Parasitol: Reg Stud Reports 2020; Jan 19. [PubMed]
  8. [8] Ravich M, Johnson-Delaney K, Kelleher S, et al.: Quantitation of acute phase and protein electrophoresis fractions in ferrets. Journal of exotic Pet Medicine 2015; 24(2): 201-208.
  9. [9] Lennox A: Ferrets: clinical pathology. En Keeble E, Meredith A (eds). BSAVA Manual of Rodents and Ferrets. British Small Animal Veterinary Association, Gloucester, 2009: 230-236.
  10. [10] Murray J, Kiupel M, Maes RK: Ferret coronavirus associated diseases. Vet Clin North Am Exot Anim Pract 2010; 13(3): 543-560. [PubMed]
  11. [11] Garner MM, Ramsell K, Morera N et al: Clinicopathologic features of a systemic coronavirus-associated disease resembling feline infectious peritonitis in the domestic ferret (Mustela putorius). Vet Pathol. 2008; 45(2): 236-246. [PubMed]
  12. [12] Huynh M, Piazza S: Musculoskeletal and Neurologic Diseases. En Quesenberry, KE, Carpenter JW (eds). Ferrets, Rabbits, and Rodents. Clinical Medicine and Surgery, Fourth edition. Elsevier Saunders, Missouri, 2020 (online): 117-130.
  13. [13] Langlois I, Viral diseases of ferrets. Vet Clin Noth Am Exot Anim Pract, 2005, 8: 139-160. [PubMed]
  14. [14] Laprie C, Duboy J, Martinez J: Coronavirose systémique chez le furet (Mustela putorius): intérêt de l’analyse histologique et immunohistochimique. À propos de trois cas. Pratique médicale et chirurgicale de l’animal de compagnie 2009; 44: 111-115.
  15. [15] Perpiñán D, Ramis A, Tomás A, Carpintero E, Bargalló F: Outbreak of canine distemper in domestic ferrets (Mustela putorius furo). Vet Rec 2008; 163: 246-250. [PubMed]
  16. [16] Camus MS, Krimer PM, LeRoy BE, Almy FS. Evaluation of the Positive Predictive Value of Serum Protein Electrophoresis Beta–Gamma Bridging for Hepatic Disease in Three Domestic Animal Species. Vet Pathol 2010; 47 (6): 1064-1070. [PubMed]
  17. [17] Huynh M, Laloi F: Diagnosis of liver disease in domestic ferrets (Mustela putorius). Vet Clin North Am Exot Anim Pract 2013; 16: 121-144. [PubMed]
  18. [18] Giner Audivert, J. Enfermedades hepatobiliares en hurones. Southern European Veterinary Conference, Noviembre 2020.
  19. [19] Moya A: Miofascitis idiopática en hurones: cómo evitar que pase desapercibida. Congreso AVEPA- SEVC, Madrid, 2018.
  20. [20] Ramsell K, Garner MM: Disseminated idiopathic myofasciitis in ferrets. Vet Clin North Am Exot Anim Pract 2010; 13 (3): 561-575. [PubMed]
  21. [21] Pérez Surribas D: Proteínas relacionadas con el metabolismo del hierro. Química Clínica, 2005, 24 (1): 5-40.
  22. [22] Ammersbach M, Delay J, Caswell JL, et al.: Laboratory findings, histopathology, and immunophenotype of lymphoma in domestic ferrets. Vet Pathol 2008; 45 (5): 663-673. [PubMed]

Artículos recomendados

Estas recomendaciones se ofrecen de forma automática.

  • Enfermedades infecciosas y parasitarias en anfibios en cautividad: estudio retrospectivo de 131 pacientes

    C. Juan-Sallés, V. Almagro, L. Carbonell, et al.
    Clin Vet Peq Anim Vol. 40 - Nº 1 · MAR 2020 · Artículo original referido a múltiples casos clínicos
  • Teratoma adrenal con inclusión renal en un hurón doméstico (Mustela putorius furo)

    M. Ramos-Sánchez, A. Moya-Vázquez, A. Ramis-Salvá, et al.
    Clin Vet Peq Anim Vol. 38 - Nº 1 · MAR 2018 · Artículo original referido a un solo caso clínico
  • Uso de la OCT (Tomografía de Coherencia Óptica) durante el seguimiento de un caso de secuestro corneal en un paciente felino

    U. Fernández, F. Simó, M. D. Torres
    Clin Vet Peq Anim Vol. 37 - Nº 3 · SEP 2017 · Artículo original referido a un solo caso clínico
  • Inicio
  • Introducción
  • Material y métodos
  • Resultados
  • Discusión
  • Bibliografía
Artículo anterior Índice de la revista Artículo siguiente
ANUNCIO
Próximos cursos ATVs Elearning
Índice
Inicio Introducción Material y métodos Resultados Discusión Bibliografía
Purina Calming Care
ANUNCIO

¿No eres socio de AVEPA y quieres recibir comunicación de las nuevas ediciones en tu correo?

Suscríbete

Suscríbete y te avisaremos cuando publiquemos un nuevo número

Suscribirme

Enlaces rápidos

  • Inicio
  • Último número
  • Archivo
  • Artículos

Información

  • Comité editorial
  • Política de cookies
  • Política de privacidad
  • Términos y condiciones

Contacto

  • info@imaginice.com
  • Envíanos tu artículo
© 2026 Ice Salud Vet SL. Todos los derechos reservados.

Usamos cookies para mejorar tu experiencia. Selecciona cuáles aceptas: