Logo AVEPA

Clínica Veterinaria de Pequeños Animales

Revista oficial de AVEPA

  • Inicio
  • Último número
  • Archivo
  • Artículos
  • Para autores
  • Contacto
Cursos Junio-Septiembre 2026
ANUNCIO

Clínica Veterinaria de Pequeños Animales

Revista oficial de AVEPA

  • Inicio
  • Último número
  • Archivo
  • Artículos
  • Para autores
  • Contacto
Curso Oftalmología 2026
ANUNCIO
Clin Vet Peq Anim Vol. 35 • Nº 4 • diciembre 2015

Caso clínico de rehabilitación

Caso Clínico de...

A. Delgado-Antón

Hospital Veterinario VETSIA, C/ Galileo nº 3 28914 Leganés (Madrid)

A. Muñiz-Naranjo

Hospital Veterinario VETSIA, C/ Galileo nº 3 28914 Leganés (Madrid)

H. Fominaya-García

Departamento de Diagnóstico por Imagen, Hospital Veterinario VETSIA, C/ Galileo nº 3 28914 Leganés (Madrid). Facultad de Veterinaria, Universidad Complutense de Madrid. Av. Puerta de Hierro, s/n, 28040 Madrid

Otros artículos de H. Fominaya-García:
  • Diagnóstico por imagen de una comunicación esplenosistémica en un gato

    Clin Vet Peq Anim Vol. 38 • Nº 2 • junio 2018

G. del Pueyo-Montesinos

Hospital Veterinario VETSIA, C/ Galileo nº 3 28914 Leganés (Madrid)

Contacto: rehabilitacion@vetsia.es
Descargar artículo

Historia clínica

Un perro mestizo macho, de 2 años de edad y 16 Kg de peso (Fig. 1), fue remitido al servicio de rehabilitación del Hospital Veterinario VETSIA por cojera de extremidad anterior izquierda de 1 mes de duración, que se acentuaba tras la realización de ejercicio físico.

<p>Paciente trabajando en la cinta subacuática.</p>
Figura 1

Paciente trabajando en la cinta subacuática.

El paciente fue tratado con antiinflamatorios no esteroideos (AINEs), observándose una respuesta parcial. En las radiografías de hombro remitidas no se observó ninguna alteración evidente.

La valoración funcional reveló los siguientes hallazgos:

Al paso, el paciente presentaba una marcha envarada de extremidades anteriores, con acortamiento de la fase de apoyo de la extremidad anterior izquierda, así como una disminución de la longitud del paso. Durante la estación, el paciente adelantaba la extremidad anterior izquierda.

A la palpación se apreciaba leve atrofia del músculo supraespinoso y del músculo deltoides de la extremidad afectada con respecto a la extremidad contralateral, así como dolor en la zona de inserción del músculo supraespinoso durante la flexión de hombro. La exploración de ambas articulaciones escápulo-humerales revelaba inestabilidad lateromedial, sin manifestación de dolor ni presencia de subluxación. El paciente presentaba sobrecarga compensatoria de la musculatura del resto de extremidades y el tronco.

Los arcos articulares de las extremidades anteriores medidos con el goniómetro se encontraban dentro de la normalidad. No se detectaron alteraciones en el examen neurológico en el momento de la exploración.

Ante los hallazgos de la exploración se realizó un diagnostico diferencial de:

- Tenosinovitis bicipital.

- Tendinopatía de supraespinoso.

- Osteoartritis escapulohumeral.

- Síndrome de inestabilidad medial de hombro.

¿Qué pruebas complementarias realizarías para concluir el diagnóstico?

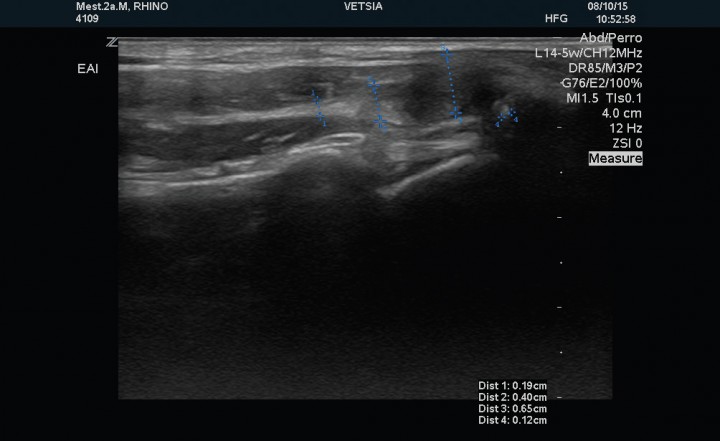
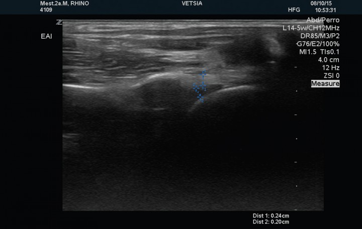
Se realizó examen ecográfico de ambas articulaciones escápulo-humerales con sonda lineal de 12 MHz; los hallazgos ecográficos observados en la articulación izquierda mostraron un tendón del músculo infraespinoso de estructura normal y 2,8 mm de grosor en corte transversal, el tendón del músculo supraespinoso presenta un grosor de 1,7 mm en su porción tendinosa, 4,2 mm en la transición fribrocartilaginosa y de 7,2 mm en la porción fibrocartilaginosa próxima al tubérculo mayor del húmero (zona de máximo grosor), evidenciándose en esta región, próxima a la superficie perióstica, una estructura ecogénica que producía una sombra acústica distal de 3,7mm de diámetro compatible con un foco de mineralización intratendinosa (Fig. 2). El tendón del músculo bíceps braquial presenta su inserción normal en la tuberosidad supraglenoidea con un grosor de 2,7 mm, mostrando su cápsula sinovial un engrosamiento en su porción más proximal (Fig. 3). La cabeza humeral y el cartílago articular se evidencian de contorno liso y grosor normal. La articulación escapulo-humeral derecha no presentaba ningúna alteracion (Fig. 4). La imagen ecográfica es compatible con tendinopatía del tendón del músculo supraespinoso, con mineralización en fibrocartílago de 3,7 mm y signos leves de sinovitis del bicipital.

<p>Corte sagital del tendón del músculo supraespinoso izquierdo en el que se muestra la mineralización (entre los cursores) como una superficie ecogénica irregular con sombra acústica posterior.</p>
Figura 2

Corte sagital del tendón del músculo supraespinoso izquierdo en el que se muestra la mineralización (entre los cursores) como una superficie ecogénica irregular con sombra acústica posterior.

<p>Corte sagital del tendón del músculo bíceps braquial izquierdo en el que se muestra una ligera distensión de la vaina sinovial y engrosamiento de la membrana sinovial.</p>
Figura 3

Corte sagital del tendón del músculo bíceps braquial izquierdo en el que se muestra una ligera distensión de la vaina sinovial y engrosamiento de la membrana sinovial.

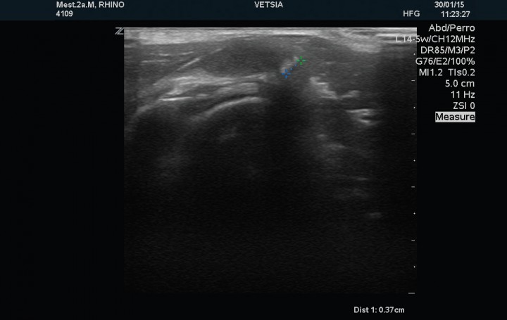
<p>Corte sagital del tendón del músculo supraespinoso derecho sin alteraciones.</p>
Figura 4

Corte sagital del tendón del músculo supraespinoso derecho sin alteraciones.

¿Qué opciones terapéuticas no invasivas estarían indicadas?

En este caso de tendinopatía del músculo supraespinoso, la respuesta a los AINEs y el reposo fue parcial, por lo que se planteó iniciar un tratamiento de rehabilitación con terapia física, terapia manual y ejercicios terapéuticos.

¿Qué objetivos se plantean en la rehabilitación de este caso?

A la hora de establecer los objetivos de nuestro plan de rehabilitación, se tuvieron en cuenta todas las alteraciones detectadas durante la valoración funcional y no únicamente la lesión por la que el paciente acudió al centro. Los objetivos planteados fueron los siguientes:

- Control del dolor y la inflamación en la zona del tendón supraespinoso.

- Tratamiento de los cambios compensatorios derivados de la patología principal, como la sobrecarga de la musculatura del miembro contralateral o de la musculatura paravertebral.

- Reeducación de la marcha y promoción del uso de la extremidad anterior izquierda, evitando nuevos cambios compensatorios.

- Aumento de la estabilización de ambos hombros, mediante el trabajo de la musculatura específica con ejercicios terapéuticos destinados a incrementar la fuerza muscular.

- Controlar el dolor y la inflamación en la zona del tendón supraespinoso.

- Tratar los cambios compensatorios derivados de la patología principal, como la sobrecarga de la musculatura del miembro contralateral o de la musculatura paravertebral.

- Reeducar la marcha y promover el uso de la extremidad anterior izquierda, evitando la aparición de nuevos cambios compensatorios.

- Aumentar la estabilidad de ambos hombros mediante el trabajo de la musculatura específica con ejercicios terapéuticos destinados a incrementar la fuerza muscular.

- Prevenir la progresión de la patología mediante la limitación del ejercicio realizado en casa.

¿Qué terapias físicas y manuales estarían indicadas?

Terapias físicas:

- TENS (Transcutaneous Electrical Nerve Stimulation): Mediante el paso de una corriente eléctrica de baja frecuencia se produce un efecto analgésico en la zona de aplicación. El efecto de esta terapia sobre la sensación de dolor se fundamenta en la teoría de la compuerta o gate control de Melzack y Wall y en la liberación de endorfinas.

En este caso se aplicó este tipo de corriente en la zona de inserción del tendón supraespinoso durante 15 minutos con unos parámetros de 85 Hz, 100 µs, onda simétrica / alterna y modo de emisión continua.

- Ultrasonidos terapéuticos: esta terapia física se basa en la utilización de ondas sonoras de media frecuencia. Los ultrasonidos aplicados de manera continua producen un aumento de temperatura en los tejidos de unos 3 a 5 cm de profundidad, con el consiguiente aumento del flujo sanguíneo, la tasa metabólica, la distensión del colágeno y el umbral de dolor. Además se produce una modificación de la permeabilidad de membranas y de la función celular.

En este caso se utilizó la terapia de ultrasonidos como termoterapia profunda previa a la aplicación del masaje terapéutico y los estiramientos. Los parámetros utilizados fueron: 3 MHz, 1 w/cm2, ciclo continuo, 4 minutos de tratamiento.

- Terapia laser o LLLT (low level laser therapy): LASER es el acrónimo de Light Amplification by Stimulated Emision of Radiation. Esta luz colimada, coherente y monocromática penetra en los tejidos y es absorbida por distintos cromóforos, produciendo una serie de cambios biológicos que llevan a efectos de regeneración tisular, angiogénesis, regulación de la inflamación, analgesia, disminución del tejido fibrótico y mejora de la función nerviosa, entre otros.

La terapia láser, en este caso, fue aplicada en la zona de inserción del músculo supraespinoso en el tubérculo mayor del húmero y en la proyección de su tendón. Se utilizaron unos parámetros de 2000 Hz y 500 Hz para la modulación de la inflamación y para bioestimulación de tejidos, a una dosis inicial de 6 J/cm2.

 

Terapias manuales:

- Cinesiterapia pasiva: esta técnica consiste en la realización de movimientos articulares, sin contracción muscular activa por parte del paciente, con la finalidad de mejorar la producción y distribución del líquido sinovial, reducir el dolor articular y mantener la movilidad de los tejidos, evitando su contractura o acortamiento. Se lleva a cabo en aquellas articulaciones afectadas por una menor carga de peso o una restricción en su movimiento.

- Masaje: técnica que permite la manipulación de los tejidos blandos mediante presiones y movimientos que afectan a piel, fascias, músculos y tendones. El objetivo es mantener la movilidad de los tejidos, mejorar la circulación en la zona, disminuir la sensación de dolor y recuperar el tono muscular normal de la musculatura afectada.

- Estiramientos: esta terapia pretende la elongación de los tejidos para mejorar la elasticidad y flexibilidad, favoreciendo así el movimiento de las articulaciones. Para ello, el terapeuta lleva la articulación hasta el final de su arco articular ejerciendo, en esa posición, una ligera presión.

En este caso, el conjunto de estas tres terapias manuales se llevó a cabo al final de cada sesión de rehabilitación.

 

Terapias activas:

- Hidroterapia: la terapia acuática se fundamenta en el uso de algunas de las propiedades del agua (densidad relativa, presión hidrostática, viscosidad, resistencia, tensión superficial) para la mejora del arco articular, el fortalecimiento de la musculatura y el trabajo propioceptivo, entre otros.

En la primera fase de la rehabilitación, dada la presencia de dolor a la palpación del tendón afectado, se instauró natación con el objetivo principal de fomentar la flexo-extensión de la extremidad afectada evitando la carga de peso. En fases más avanzadas, se pasó a realizar trabajo en cinta subacuática para reeducar la marcha y continuar con el fortalecimiento de la musculatura (Fig. 1).

- Ejercicios terapéuticos: son aquellos diseñados específicamente por el veterinario rehabilitador para lograr el fortalecimiento muscular, la resistencia cardiovascular o mejorar la propiocepción.

En este caso se establecieron una serie de ejercicios destinados a mejorar el tono y la masa muscular del hombro (músculos supraespinoso, infraespinoso y subescapular) con la finalidad de minimizar la inestabilidad articular presente en ambos hombros.

Las terapias descritas se aplicaron durante 7 semanas, tras las cuales, los signos de cojera, el dolor a la palpación de la zona de inserción del tendón supraespinoso y los cambios compensatorios remitieron. En ese punto de la recuperación se decidió pasar a una terapia de mantenimiento basada en ejercicio activo en cinta subacuática, junto con una tabla de ejercicios terapéuticos a realizar en su domicilio, con el fin de continuar fortaleciendo la musculatura del hombro y de esta forma mejorar la estabilidad de dicha articulación y reducir el riesgo de recidiva.

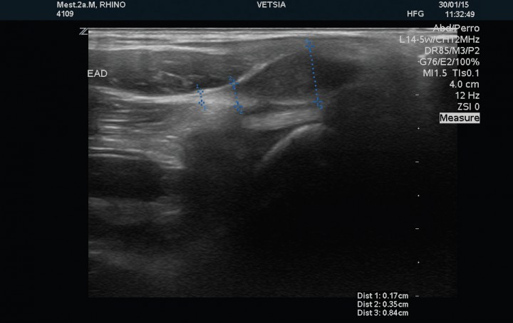
Al finalizar la segunda fase del tratamiento de rehabilitación se repitió la exploración ecográfica. Dicho examen evidenció un tendón del músculo infraespinoso de 2,3 mm de grosor, el tendón del músculo supraespinoso presentaba un grosor de 1,9 mm en su porción tendinosa, 4,0 mm en la transición fibrocartilaginosa y de 6,9 mm en el fibrocartílago, con un foco de mineralización de 1,7 mm de diámetro (Fig. 5). El tendón del músculo bíceps presentaba un grosor de 2,7 mm y la cápsula sinovial se observó de grosor normal, sin evidencia de signos de tenosinovitis (Fig. 6).

<p>Corte sagital del tendón del músculo supraespinoso izquierdo posterior al tratamiento, en el que se observa disminución de la mineralización del tendón (medida número 4).</p>
Figura 5

Corte sagital del tendón del músculo supraespinoso izquierdo posterior al tratamiento, en el que se observa disminución de la mineralización del tendón (medida número 4).

<p>Corte sagital del tendón del músculo bíceps braquial izquierdo sin distensión de la vaina, mostrándose ecográficamente normal.</p>
Figura 6

Corte sagital del tendón del músculo bíceps braquial izquierdo sin distensión de la vaina, mostrándose ecográficamente normal.

Discusión

La calcificación del tendón de inserción del músculo supraespinoso es una patología poco frecuente en la clínica diaria, aunque la incidencia aumenta en el caso de los perros de deporte. Suele aparecer principalmente en razas medianas y grandes,[ Maddox TW, May C, Keeley BJ, McConnell JF. Comparison between shoulder computed tomography and clinical findings in 89 dogs presented for thoracic limb lameness. Vet Radiol Ultrasound. 2013;54(4):358-64. [PubMed] ] entre las que parecen tener una mayor representación el Labrador Retriever y el Rottweiler.[ Laitinen OM, Flo GL. Mineralization of the supraspinatus tendon in dogs: a long-term follow-up. J Am Anim Hosp Assoc. 2000;36(3):262-7. [PubMed] ] Se ha descrito además un mayor riesgo de aparición en hembras no castradas,[ Maddox TW, May C, Keeley BJ, McConnell JF. Comparison between shoulder computed tomography and clinical findings in 89 dogs presented for thoracic limb lameness. Vet Radiol Ultrasound. 2013;54(4):358-64. [PubMed] ] lo que se corresponde con estudios en medicina humana donde se ha demostrado una mayor predisposición en mujeres y una asociación entre la calcificación de tendones y trastornos endocrinos relacionados con los estrógenos y la tiroides.[ Harvie P, Pollard TC, Carr AJ. Calcific tendinitis: natural history and association with endocrine disorders. J Shoulder Elbow Surg. 2007;16(2):169-73. [PubMed] ]

Se han descrito 4 fases en el proceso de mineralización de tendones: degeneración del colágeno en fibrocartílago, calcificación, resorción y reparación. La fase de resorción se corresponde con la fase de aparición de signos clínicos en medicina humana; en ella se produce una respuesta inflamatoria frente a los depósitos de calcio mediante la cual el organismo intenta eliminarlos. También puede producirse molestia en la fase de calcificación en función del tamaño de la mineralización y su localización, por roce mecánico.[ Siegal DS, Wu JS, Newman JS, Del Cura JL, Hochman MG. Calcific tendinitis: a pictorial review. Can Assoc Radiol J. 2009;60(5):263-72. [PubMed] ]

La causa que inicia este ciclo de formación-resorción no está aún identificada, pero existen teorías que la asocian a la posible sobrecarga de las estructuras tendinosas de la articulación[ Soslowsky LJ, Thomopoulos S, Tun S, Flanagan CL, Keefer CC, Mastaw J, et al. Neer Award 1999. Overuse activity injures the supraspinatus tendon in an animal model: a histologic and biomechanical study. J Shoulder Elbow Surg. 2000;9(2):79-84. [PubMed] ] y con el déficit de irrigación que existe de manera fisiológica en la zona de inserción en el tubérculo mayor tanto en el perro como en el hombre.[ Kujat R. The microangiographic pattern of the rotator cuff of the dog. Arch Orthop Trauma Surg. 1990;109(2):68-71. [PubMed] , Rathbun JB, Macnab I. The microvascular pattern of the rotator cuff. J Bone Joint Surg Br. 1970;52(3):540-53. [PubMed] ]

Esta patología puede manifestarse con cojera de extremidad anterior, de intensidad variable, que empeora con el ejercicio. El dolor se hace presente al palpar la zona de inserción del tendón en el tubérculo mayor del húmero y/o a la flexión de la articulación escápulo-humeral. En algunos casos la calcificación es asintomática y puede aparecer de manera uni o bilateral.

Existe además una posible relación entre la calcificación del supraespinoso y otras patologías del hombro, como la tendinitis del bicipital, dada su proximidad anatómica,[ Fransson BA, Gavin PR, Lahmers KK. Supraspinatus tendinosis associated with biceps brachii tendon displacement in a dog. J Am Vet Med Assoc. 2005;227(9):1429-33. [PubMed] ] por lo que es recomendable realizar una exploración exhaustiva y pruebas complementarias suficientes antes de considerar la calcificación del supraespinoso como causa única de la cojera.

El diagnóstico debe establecerse a través del examen clínico y la interpretación de las pruebas de diagnóstico por imagen como pueden ser la radiografía, la ecografía, la resonancia magnética y la tomografía computarizada.

Mediante radiografía puede observarse la calcificación del tendón en su zona de inserción en el tubérculo mayor. En algunos casos la calcificación puede no visualizarse con claridad debido a su mayor o menor densidad y/o a la superposición del tubérculo mayor del húmero en la proyección lateral.

La ecografía músculo-esquelética es la técnica de elección para el diagnóstico de tendinopatías del hombro en medicina humana y resulta de utilidad como confirmación de los hallazgos encontrados en radiografía, así como en los casos en los que existe una lesión no calcificante del tendón. La ecografía aporta información sobre la forma, tamaño y localización de los depósitos de calcio, que se observan como estructuras hiperecoicas de contorno irregular, con o sin sombra acústica bajo ellas.[ Kramer M, Gerwing M, Hach V, Schimke E. Sonography of the musculoskeletal system in dogs and cats. Vet Radiol Ultrasound. 1997;38(2):139-49. [PubMed] ] Se ha descrito que la presencia de un área hipoecoica alrededor de la calcificación es un signo de inflamación activa y está relacionada con la fase de resorción y con la presencia de signos clínicos, como se comentó anteriormente.[ Mistieri ML, Wigger A, Canola JC, Filho JG, Kramer M. Ultrasonographic evaluation of canine supraspinatus calcifying tendinosis. J Am Anim Hosp Assoc. 2012;48(6):405-10. [PubMed] ] En medicina humana, utilizando el modo Doppler Color se ha observado el aumento de vascularización de la zona durante esta fase.[ Mistieri ML, Wigger A, Canola JC, Filho JG, Kramer M. Ultrasonographic evaluation of canine supraspinatus calcifying tendinosis. J Am Anim Hosp Assoc. 2012;48(6):405-10. [PubMed] ]

La resonancia magnética y la tomografía computarizada también han demostrado su utilidad para el diagnóstico de esta patología, aunque en la clínica diaria, debido a su alto coste y a la necesidad de un procedimiento anestésico, son técnicas menos usadas para este fin.

Se contemplan varias opciones terapéuticas, tales como el tratamiento médico conservador, el tratamiento quirúrgico y la aplicación de terapia física y ejercicios terapéuticos.

El tratamiento conservador consiste en la administración de antiinflamatorios no esteroideos y reposo durante 3 meses. Se recomienda como primera opción de tratamiento, previo al tratamiento rehabilitador o quirúrgico.[ Laitinen OM, Flo GL. Mineralization of the supraspinatus tendon in dogs: a long-term follow-up. J Am Anim Hosp Assoc. 2000;36(3):262-7. [PubMed] ]

El tratamiento quirúrgico consiste en la extracción de la mineralización mediante incisión longitudinal en el tendón supraespinoso. El pronóstico es favorable, esperándose una mejoría importante a las 2-4 semanas de la cirugía y un completo restablecimiento en las 6-8 semanas siguientes.[ Piermattei DL, Flo GL, DeCamp CE. Handbook of small animal orthopedics and fracture repair. Saunders-Elsevier, 4º ed. 2006; 291-294. ] Se ha descrito la reaparición de la calcificación en el tendón pasados 5 años de la cirugía, sin reactivación de signos clínicos.[ Laitinen OM, Flo GL. Mineralization of the supraspinatus tendon in dogs: a long-term follow-up. J Am Anim Hosp Assoc. 2000;36(3):262-7. [PubMed] ]

Pese a la efectividad de la cirugía, cada vez surgen más opciones de tratamiento que buscan conseguir resultados similares mediante técnicas no invasivas. Algunas de ellas, como la terapia con ondas de choque extracorpóreas, laserterapia, ultrasonidos terapéuticos, terapia manual y ejercicios terapéuticos controlados se engloban dentro de la especialidad de fisioterapia y rehabilitación.

La terapia regenerativa abre otra vía de tratamiento de esta patología. Se han descrito resultados positivos mediante la inyección ecoguiada de plasma rico en plaquetas (PRP) y células madre.[ Canapp SO. August 18-20, 2011. Supraspinatus tendinopathy: regenerative medicine for supraspinatus tendinopathy, update on canine orthopedic devices. Veterinary Arthrology Advancement Association (VA3) Annual Symposium. Bonita Springs, FL. ]

Todas estas técnicas, por ellas mismas o en combinación, están demostrando buenos resultados en el tratamiento del dolor, en la mejora de la movilidad y en la reducción del tiempo de recuperación del paciente, tanto en medicina humana como veterinaria.[ Canapp SO. August 18-20, 2011. Supraspinatus tendinopathy: regenerative medicine for supraspinatus tendinopathy, update on canine orthopedic devices. Veterinary Arthrology Advancement Association (VA3) Annual Symposium. Bonita Springs, FL. , Green S, Buchbinder R, Hetrick S. Physiotherapy interventions for shoulder pain. Cochrane Database Syst Rev. 2003(2):CD004258. [PubMed] , Marcellin-Little DJ, Levine D, Canapp SO. The canine shoulder: selected disorders and their management with physical therapy. Clin Tech Small Anim Pract. 2007;22(4):171-82. [PubMed] ]

En conclusión: la calcificación del supraespinoso es una alteración relativamente infrecuente en el perro que puede producir cojera del tercio anterior. Una vez descartadas otras alteraciones como causa de la cojera, las opciones de tratamiento son múltiples.

En el presente caso clínico se hace hincapié en mostrar las posibilidades que ofrece la rehabilitación basada en terapias físicas, terapias manuales, ejercicios terapéuticos e hidroterapia en el tratamiento de esta patología, obteniéndose resultados satisfactorios en un periodo de tiempo relativamente corto y evitando la opción quirúrgica.

 

Fuente de financiación: Este trabajo no se ha realizado con fondos comerciales, públicos o del sector privado.

Conflicto de intereses: El autor declara que no existe conflicto de intereses.

Bibliografía

  1. [1] Maddox TW, May C, Keeley BJ, McConnell JF. Comparison between shoulder computed tomography and clinical findings in 89 dogs presented for thoracic limb lameness. Vet Radiol Ultrasound. 2013;54(4):358-64. [PubMed]
  2. [2] Laitinen OM, Flo GL. Mineralization of the supraspinatus tendon in dogs: a long-term follow-up. J Am Anim Hosp Assoc. 2000;36(3):262-7. [PubMed]
  3. [3] Harvie P, Pollard TC, Carr AJ. Calcific tendinitis: natural history and association with endocrine disorders. J Shoulder Elbow Surg. 2007;16(2):169-73. [PubMed]
  4. [4] Siegal DS, Wu JS, Newman JS, Del Cura JL, Hochman MG. Calcific tendinitis: a pictorial review. Can Assoc Radiol J. 2009;60(5):263-72. [PubMed]
  5. [5] Soslowsky LJ, Thomopoulos S, Tun S, Flanagan CL, Keefer CC, Mastaw J, et al. Neer Award 1999. Overuse activity injures the supraspinatus tendon in an animal model: a histologic and biomechanical study. J Shoulder Elbow Surg. 2000;9(2):79-84. [PubMed]
  6. [6] Kujat R. The microangiographic pattern of the rotator cuff of the dog. Arch Orthop Trauma Surg. 1990;109(2):68-71. [PubMed]
  7. [7] Rathbun JB, Macnab I. The microvascular pattern of the rotator cuff. J Bone Joint Surg Br. 1970;52(3):540-53. [PubMed]
  8. [8] Fransson BA, Gavin PR, Lahmers KK. Supraspinatus tendinosis associated with biceps brachii tendon displacement in a dog. J Am Vet Med Assoc. 2005;227(9):1429-33. [PubMed]
  9. [9] Piermattei DL, Flo GL, DeCamp CE. Handbook of small animal orthopedics and fracture repair. Saunders-Elsevier, 4º ed. 2006; 291-294.
  10. [10] Kramer M, Gerwing M, Hach V, Schimke E. Sonography of the musculoskeletal system in dogs and cats. Vet Radiol Ultrasound. 1997;38(2):139-49. [PubMed]
  11. [11] Mistieri ML, Wigger A, Canola JC, Filho JG, Kramer M. Ultrasonographic evaluation of canine supraspinatus calcifying tendinosis. J Am Anim Hosp Assoc. 2012;48(6):405-10. [PubMed]
  12. [12] Canapp SO. August 18-20, 2011. Supraspinatus tendinopathy: regenerative medicine for supraspinatus tendinopathy, update on canine orthopedic devices. Veterinary Arthrology Advancement Association (VA3) Annual Symposium. Bonita Springs, FL.
  13. [13] Green S, Buchbinder R, Hetrick S. Physiotherapy interventions for shoulder pain. Cochrane Database Syst Rev. 2003(2):CD004258. [PubMed]
  14. [14] Marcellin-Little DJ, Levine D, Canapp SO. The canine shoulder: selected disorders and their management with physical therapy. Clin Tech Small Anim Pract. 2007;22(4):171-82. [PubMed]

Artículos recomendados

Estas recomendaciones se ofrecen de forma automática.

  • Caso clínico de… Urgencias

    I. Sunyer
    Clin Vet Peq Anim Vol. 45 - Nº 2 · JUN 2025 · Caso Clínico de...
  • Caso clínico de… Cirugía de tejidos blandos

    N. Jurado, L. Fresno, L. Santos
    Clin Vet Peq Anim Vol. 44 - Nº 1 · MAR 2024 · Caso Clínico de...
  • Diagnóstico por imagen de una comunicación esplenosistémica en un gato

    H. Fominaya-García, V. Silva-Utrera, E. López-Medina, et al.
    Clin Vet Peq Anim Vol. 38 - Nº 2 · JUN 2018 · Artículo original referido a un solo caso clínico
  • Inicio
  • Historia clínica
  • ¿Qué pruebas complementarias realizarías para concluir el diagnóstico?
  • ¿Qué opciones terapéuticas no invasivas estarían indicadas?
  • ¿Qué objetivos se plantean en la rehabilitación de este caso?
  • ¿Qué terapias físicas y manuales estarían indicadas?
  • Discusión
  • Bibliografía
Artículo anterior Índice de la revista Artículo siguiente
ANUNCIO
Próximos cursos ATVs Elearning
Índice
Inicio Historia clínica ¿Qué pruebas complementarias realizarías para concluir el diagnóstico? ¿Qué opciones terapéuticas no invasivas estarían indicadas? ¿Qué objetivos se plantean en la rehabilitación de este caso? ¿Qué terapias físicas y manuales estarían indicadas? Discusión Bibliografía
Dechra - DuOtic
ANUNCIO

¿No eres socio de AVEPA y quieres recibir comunicación de las nuevas ediciones en tu correo?

Suscríbete

Suscríbete y te avisaremos cuando publiquemos un nuevo número

Suscribirme

Enlaces rápidos

  • Inicio
  • Último número
  • Archivo
  • Artículos

Información

  • Comité editorial
  • Política de cookies
  • Política de privacidad
  • Términos y condiciones

Contacto

  • info@imaginice.com
  • Envíanos tu artículo
© 2026 Ice Salud Vet SL. Todos los derechos reservados.

Usamos cookies para mejorar tu experiencia. Selecciona cuáles aceptas: