Logo AVEPA

Clínica Veterinaria de Pequeños Animales

Revista oficial de AVEPA

  • Inicio
  • Último número
  • Archivo
  • Artículos
  • Para autores
  • Contacto
Cursos Junio-Septiembre 2026
ANUNCIO

Clínica Veterinaria de Pequeños Animales

Revista oficial de AVEPA

  • Inicio
  • Último número
  • Archivo
  • Artículos
  • Para autores
  • Contacto
Curso Oftalmología 2026
ANUNCIO
Clin Vet Peq Anim Vol. 40 • Nº 3 • septiembre 2020

Tratamiento con ondas de choque focales para una no unión asociada a osteomielitis

Focal extracorporeal shockwave therapy as treatment for a nonunion fracture associated with osteomyelitis

Artículo original referido a un solo caso clínico

N. Pastor-Sirvent

Hospital Clínico Veterinario, Universidad de Extremadura. Av. Universidad s/n. 10005 Cáceres.

J. Jiménez-Fragoso

Hospital Clínico Veterinario, Universidad de Extremadura. Av. Universidad s/n. 10005 Cáceres.

M. Santella

Hospital Clínico Veterinario, Universidad de Extremadura. Av. Universidad s/n. 10005 Cáceres.

L. Espadas-González

Hospital Clínico Veterinario, Universidad de Extremadura. Av. Universidad s/n. 10005 Cáceres.

L.J. Ezquerra-Calvo

Hospital Clínico Veterinario, Universidad de Extremadura. Av. Universidad s/n. 10005 Cáceres.

Contacto: nievespastor@unex.es
Palabras clave: osteomielitis, no unión, ondas de choque extracorpóreas, perfusiones regionales.
Keywords: osteomyelitis, non-union, extracorporeal shock waves, regional perfusions.

Clin Vet Peq Anim 2020, 40 (3): 141-147

Descargar artículo

Resumen

Se presenta el caso de un perro mestizo de 1 año de edad que se remite a nuestro hospital para el tratamiento de una osteomielitis que no responde al tratamiento médico y que, posteriormente, desarrolla una no unión ósea oligotrófica. Tras la resolución de la osteomielitis mediante la terapia con perfusiones regionales intravenosas, se opta por el empleo de ondas de choque extracorpóreas para la cicatrización ósea dado que, como describe la literatura en medicina humana, este procedimiento ha emergido como una alternativa eficiente, no invasiva y económica a la cirugía para el tratamiento de las no uniones. Además, el caso presenta la particularidad de desarrollar una no unión hipertrófica por la leve movilidad del foco de fractura, resuelta igualmente mediante el uso de esta técnica fisioterápica.

Abstract

We present the case of a 1-year-old mixed-breed dog that was referred to our hospital for the treatment of osteomyelitis that did not respond to medical treatment and subsequently led to an oligotrophic nonunion. After the resolution of the osteomyelitis by intravenous regional perfusion therapy, extracorporeal shock wave therapy was chosen to stimulate bone healing, since, as described in the human literature, this procedure has emerged as an efficient, non-invasive, and economic alternative to surgery for the treatment of nonunions. Furthermore, this patient developed a hypertrophic nonunion due to the slight mobility at the fracture site, which also resolved by the use of this physical therapy.

AVEPA Elearning

La presencia de este logo en un artículo de la revista indica que se publicará un examen sobre el mismo en la plataforma AVEPA Elearning. Su resolución aporta 0,15 créditos dentro del sistema de acreditaciones de especialidades veterinarias de AVEPA.

Introducción

La no unión ósea se define como un fallo en la consolidación de la fractura, en la que todos los signos de reparación cesan[  Jackson LC, Pacchiana PD. Common complications of fracture repair. Clin Tech Small Anim Pract 2004; 19(3): 168-179. [PMC] ] y que puede ser el resultado de varios factores, como una estabilización inadecuada, una vascularización pobre, una distancia entre fragmentos excesiva, infección, enfermedad local o sistémica concomitante y otros factores idiopáticos. Sin embargo, la mayoría de no uniones están causadas por una mala elección de la técnica quirúrgica o por un fallo en la técnica por parte del cirujano.[ Johnson AL. Fundamentals of orthopedic surgery and fracture management. En: Fossum TW (ed): Small Animal Surgery. 4 ed. St. Louis, Elsevier Mosby, 2012; 1033-105. ]

Durante las últimas décadas, la terapia con ondas de choque extracorpóreas ha emergido como una alternativa eficiente, no invasiva y económica a la cirugía para el tratamiento de las no uniones.[ Kertzman P, Császár NBM, Furia JP, et al. Radial extracorporeal shock wave therapy is efficient and safe in the treatment of fracture nonunions of superficial bones: A retrospective case series. J Orthop Surg Res. 2017; 12(1): 164. [PubMed] ] La cicatrización ósea que producen las ondas de choque está asociada al incremento sistémico de los niveles séricos de óxido nítrico (NO) y factores de crecimiento osteogénicos, el cual puede usarse como predictor en la evaluación de la consolidación ósea en huesos largos.[ Wang CJ, Yang KD, Ko JY, et al. The effects of shockwave on bone healing and systemic concentrations of nitric oxide (NO), TGF-β1, VEGF and BMP-2 in long bone non-unions. Nitric Oxide 2009; 20(4): 298-303. [PubMed] ] Además, se cree que la cicatrización ósea favorecida por esta terapia se debe posiblemente a la inducción de microfracturas en el hueso esponjoso, que producen la liberación de factores de crecimiento osteoinductores y la formación de un hematoma.[ Hsu RWW, Tai CL, Chen CYC, et al. Enhancing mechanical strength during early fracture healing via shockwave treatment: An animal study. Clinical Biomechanics 2003; 18(6): 33-39. [PubMed] ] Numerosos estudios en medicina humana han demostrado una proporción de éxito del tratamiento de no uniones con ondas de choque focales del 76 % aproximadamente después de 6 meses, sin describir complicaciones mayores.[ Alkhawashki HMI. Shock wave therapy of fracture nonunion. Injury 2015; 46 (11): 2248-2252. [PubMed] , Bara T, Synder M, Studniarek M. The application of shock waves in the treatment of delayed bone union and pseudoarthrosis in long bones. Ortop Traumatol Rehabil. 2000; 2(3): 54-57. [PubMed] ]

Este trabajo describe el tratamiento conservador mediante ondas de choque extracorpóreas focales para la no unión ósea derivada de una osteomielitis.

Caso clínico

Un macho de la especie canina, mestizo, de 1 año de edad y 11 kg de peso, llegó remitido a la consulta del Servicio de Cirugía del Hospital Clínico Veterinario de la Universidad de Extremadura (HCV-UEx). Presentaba una historia previa de accidente al introducir el miembro torácico derecho entre los radios de una bicicleta hacía aproximadamente 2 meses. El paciente fue diagnosticado en su clínica de una fractura cerrada diafisaria media transversa de cúbito y radio del miembro torácico derecho. Se realizó cirugía colocando una placa de osteosíntesis, así como un vendaje con férula durante los 15 días posteriores, y tratamiento antibiótico con cefalexina 15 mg/kg BID (Cefaseptin 300 mg, Vétoquinol E.V.S.A., Madrid), metronidazol 25 mg/kg BID (Metrobactin 250 mg, Le Vet Beheer B.V., Países Bajos) y firocoxib 5 mg/kg (Previcox 57 mg, Merial, Lyon, Francia). 

En el momento de la retirada del vendaje se observó una fístula cerca de la zona de incisión, de la que se tomó una muestra para cultivo y antibiograma. A la espera de dicho antibiograma se instauró un tratamiento con amoxicilina-ácido clavulánico 20 mg/kg BID por vía oral (Synulox 250 mg., Zoetis, Madrid). Dicho cultivo resultó positivo a Enterobacter spp., por lo que el tratamiento antibiótico se cambió a ciprofloxacino 10 mg/kg BID por vía oral (Ciprofloxacino Cinfa 250 mg., Laboratorios Cinfa, Navarra) y clindamicina 5 mg/kg BID por vía oral (Clindaseptin 75 mg, Chanelle Animal Health Ltd., Liverpool, Reino Unido) (sensibles en el antibiograma), con los que seguía en el momento de acudir a nuestro centro 10 días después. Así mismo, también estaba tomando carprofeno 2 mg/kg BID por vía oral (Canidryl 20 mg., Ecuphar (Esteve Veterinaria), Barcelona) y omeprazol 0,5 mg/kg SID (Nogastrol, Laboratorio Mayors, Buenos Aires, Argentina).

En la exploración clínica se observó una cojera sin apoyo (5/5) con notable dolor a la palpación del foco de fractura. El paciente presentaba ligero aumento de la temperatura y leve tumefacción de la zona.

Se llevaron a cabo radiografías de la extremidad, en las que se observó una disminución de la densidad ósea en la zona del implante (Fig. 1).

<p>Radiografía mediolateral que muestra la desmineralización y defecto óseo en la zona subyacente al implante secundarios a la osteomielitis, correspondiente al día de la primera consulta (día 48).</p>
Figura 1

Radiografía mediolateral que muestra la desmineralización y defecto óseo en la zona subyacente al implante secundarios a la osteomielitis, correspondiente al día de la primera consulta (día 48).

Se volvió a recoger una muestra para cultivo, en el que se aisló la misma bacteria con una sensibilidad similar a la del antibiograma anterior, además de a la amikacina. Se decidió llevar a cabo perfusiones regionales con esta última a 10 mg/kg (Amikacina Normon 500 mg/100 ml EFG, Laboratorios Normon, S.A., Madrid) en dilución hasta 5 ml de suero salino fisiológico (Suero fisiológico Braun Sol.Iny. 0,9%, B.Braun España, Barcelona), con un total de 3 perfusiones distanciadas 15-20 días entre ellas, tras las cuales se evidenció una mejoría significativa en la clínica (cojera 2/5 con disminución del dolor).

En la siguiente revisión, 3 semanas después de la última perfusión, el paciente presentaba una leve cojera (1/5) y no mostraba dolor. En ese momento se retiró el tratamiento con AINEs y se continuó con la misma antibioterapia por vía oral durante 2 semanas más. En el estudio radiográfico de control se observó un retraso en la consolidación ósea.

El perro volvió a consulta al mes y medio con un aumento de la cojera (3/5) y dolor. En las radiografías realizadas no se apreció una evolución en la cicatrización ósea, por lo que se decidió retirar el implante (Fig. 2), el cual se envió para cultivo y sensibilidad. Se aisló Streptococcus β-hemolítico sensible a amoxilicilina-ácido clavulánico y resistente a los anteriores antibióticos sistémicos administrados. Se administró amoxicilina-ácido clavulánico a 20 mg/kg BID (Synulox 250 mg, Zoetis Spain, S.L., Madrid) por vía oral durante 6 semanas y se colocó un vendaje tipo Robert Jones con férula palmar para aumentar la estabilidad y el paciente se remitió al Servicio de Rehabilitación del HCV-UEx.

<p>Imagen radiológica intraoperatoria en proyección mediolateral durante la retirada del implante (día 146).</p>
Figura 2

Imagen radiológica intraoperatoria en proyección mediolateral durante la retirada del implante (día 146).

En dicho servicio se llevó a cabo una exploración inicial en la que no se observaron alteraciones neurológicas. En el examen de la marcha, se evidenció una alteración del patrón de la marcha en cadena abierta del miembro anterior derecho. Como resultado se observaba el desplazamiento del centro de gravedad hacia la extremidad contralateral y una distribución anómala de las cargas con desviación lateral de la columna hacia el lado izquierdo, lo que producía sobrecarga de la musculatura antigravitatoria. 

En estación, el paciente tenía igualmente desplazado el centro de gravedad por desplazamiento del peso hacia el lado izquierdo sin apoyo de la extremidad anterior derecha.

En la exploración física ortopédica se observaron los siguientes signos:

- Sobrecarga en bíceps de la extremidad afectada y en supraespinoso y tríceps de la extremidad contralateral. No se palparon puntos gatillo miofasciales. 

- Ligera sobrecarga en musculatura paravertebral torácica y trapecios.

Al retirar el vendaje se apreciaba a la palpación: 

- Hipotrofia de musculatura flexora y extensora de carpo y dedos. 

- Dolor severo a la palpación del foco de fractura.

- PROM (Passive Range of Motion) para flexión y extensión de la articulación del hombro y codo se encontraban dentro de los rangos normales. También se encontraban dentro de los rangos normales el PROM en las articulaciones de los miembros pelvianos.

- Se apreciaba limitación severa de la movilidad articular de la articulación del carpo, siendo el PROM de 180º en extensión y 90º en flexión. Además, el paciente presentaba molestias a la movilización.

- La palpación de las articulaciones metacarpofalángicas y falángicas se hallaba dentro de la normalidad.

Se decidió, por tanto, instaurar un plan de rehabilitación cuyos objetivos eran:

- Tratamiento del dolor.

- Promover la cicatrización ósea.

- Tratamiento de los cambios compensatorios asociados a la patología descrita.

- Reeducación de la marcha y reintroducción a su actividad normal previa al desarrollo de la patología.

Tras la valoración funcional (aproximadamente 4 meses después de la primera consulta) y para conseguir los objetivos propuestos, se decidió instaurar un plan de terapia mediante la aplicación de ondas de choque extracorpóreas focales (PiezoWave Vet – WolfÆ, Knittlingen) y se instruyó a los propietarios para la realización en casa de cinesiterapia pasiva, activa y masajes terapéuticos sencillos. Se llevó a cabo la primera sesión, aplicando 1000 pulsos con una densidad de energía de 0,43 mJ/mm2, en el foco de fractura y en los márgenes proximal y distal del foco, sin necesidad de sedación. Al terminar, se volvió a colocar un vendaje tipo Robert Jones con férula rígida palmar.

Se repitió el mismo tratamiento 3 veces más con un intervalo de 10-12 días entre cada una de las sesiones empleando los mismos parámetros, durante las cuales se fue observando una mayor tolerancia del paciente. A partir de la segunda sesión el paciente comenzó a cargar peso con la extremidad tratada, acudiendo a la tercera sesión con una cojera de 1/5. En la cuarta sesión se retiró definitivamente el vendaje. Durante el periodo de terapia con ondas de choque se fueron realizando radiografías de control (Fig. 3), en las que se apreciaron zonas de neoformación ósea activa a partir de los extremos del defecto del radio. En esta fase introdujimos la cinesiterapia pasiva de las articulaciones ahora expuestas (carporradial, intercarpiana, carpometacarpiana, metacarpofalángica e interfalángicas) y la cinesiterapia activa, comenzando con ejercicios sencillos como inicios de cargas, balanceos, cargas alternas, etc.

<p>(<strong>A</strong>) Radiografía mediolateral. (<strong>B</strong>) Radiografía craneocaudal. Se observan claros indicios de neoformación ósea en ambos fragmentos proximal y distal (aproximadamente 1 mes después de comenzar el tratamiento con ondas de choque, día 210).</p>
Figura 3

(A) Radiografía mediolateral. (B) Radiografía craneocaudal. Se observan claros indicios de neoformación ósea en ambos fragmentos proximal y distal (aproximadamente 1 mes después de comenzar el tratamiento con ondas de choque, día 210).

En una revisión posterior (a los 2 meses de la última sesión de ondas de choque), el paciente no mostraba alteraciones en la evaluación de la marcha. A la palpación no presentaba dolor y la palpación superficial y profunda de la musculatura estaba dentro de la normalidad. Sin embargo, se seguía apreciando rigidez en la articulación del carpo, siendo el PROM de 180º en extensión y de 130º en flexión. 

Se repitió la radiografía de control 2 meses después, en la que todavía se apreciaba alguna línea radiolúcida en el foco de fractura, aunque se había producido una consolidación casi completa. Se recomendó seguir con la terapia de masajes y la cinesiterapia tanto activa como pasiva, seguir con actividad controlada y revisar de nuevo en un mes. 

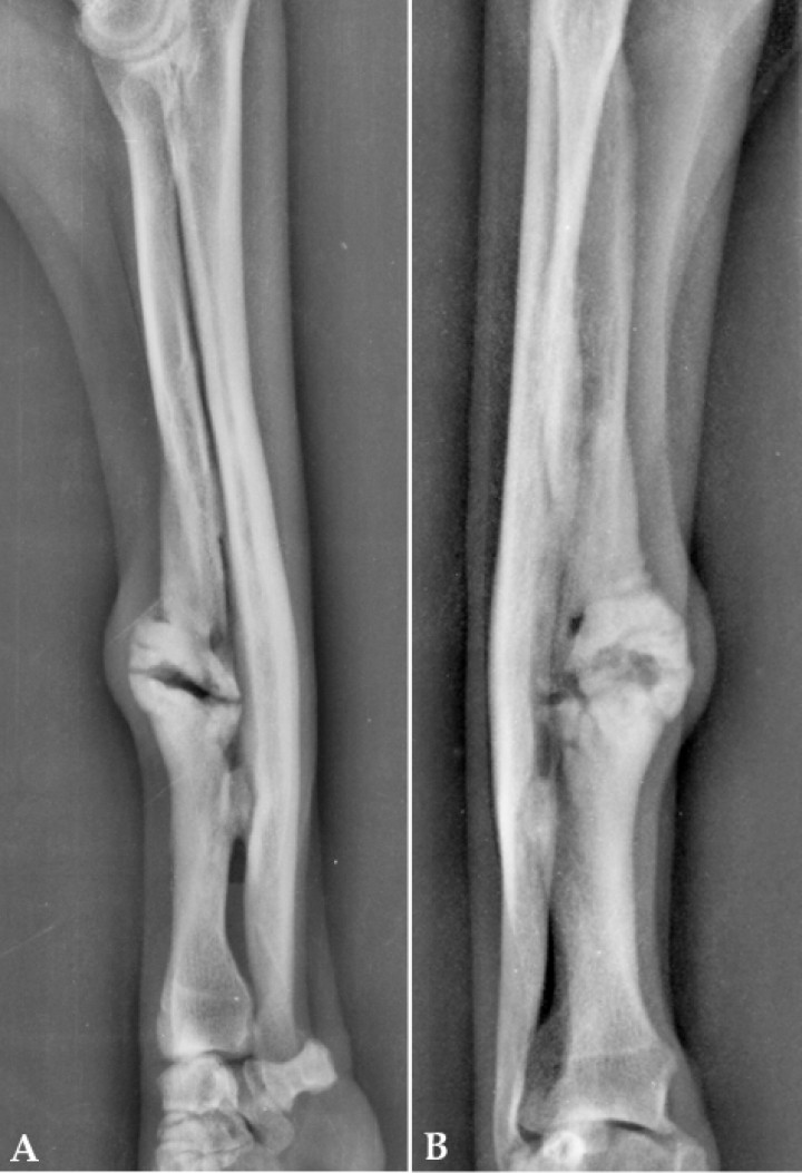
El perro acudió de nuevo a consulta 4 meses después de la última visita con una cojera de 5/5 del miembro afectado. A la palpación, presentaba dolor severo en el foco de fractura, que apenas se dejaba palpar, y abultamiento apreciable visualmente, con inflamación de los tejidos blandos adyacentes. La rigidez articular del carpo seguía siendo evidente, sin mejoría en el PROM. Las imágenes radiológicas revelaron la formación de una no unión hipertrófica (Fig. 4). 

<p> (<strong>A</strong>) Proyección radiológica mediolateral. (<strong>B</strong>) Proyección radiológica craneocaudal. Se puede observar la no unión hipertrófica (día 508).</p>
Figura 4

 (A) Proyección radiológica mediolateral. (B) Proyección radiológica craneocaudal. Se puede observar la no unión hipertrófica (día 508).

Con estos signos se procedió a realizar una sesión de ondas de choque, administrando 700 pulsos con una intensidad de 0,51 mJ/mm2.

A los 15 días se repitió el mismo tratamiento y ya se observó una clara mejoría tanto del dolor como de la cojera (ahora cojera 3-4/5), así como de la inflamación de tejidos blandos alrededor de la lesión. En la radiografía se evidenciaron también signos de mejoría con remodelación del callo y formación de hueso en el foco de fractura. Se volvió a repetir la sesión de ondas de choque con los mismos parámetros.

El paciente volvió a la consulta para tratamiento fisioterápico a los 21 días, mostrando mucha mejoría clínica respecto a la última sesión. Se procedió a dar una nueva sesión de ondas de choque y se citó en un mes para revisión. 

Por último, acudió a revisión un mes después (3 meses desde el diagnóstico de no unión hipertrófica) sin muestras evidentes de alteración de la marcha, sin dolor y con una exploración clínica dentro de los parámetros normales, apreciándose únicamente un ligero abultamiento en la zona del foco de fractura y la rigidez articular del carpo. En la radiografía se observó una unión clínica y remodelación del foco de fractura (Fig. 5). En este momento se decidió dar de alta al paciente.

<p>(<strong>A</strong>) Proyección mediolateral. (<strong>B</strong>) Proyección craneocaudal. Detalle de la consolidación de la fractura un mes después de la última sesión de ondas de choque (día 604).</p>
Figura 5

(A) Proyección mediolateral. (B) Proyección craneocaudal. Detalle de la consolidación de la fractura un mes después de la última sesión de ondas de choque (día 604).

Discusión

En la mayor parte de los casos de osteomielitis en perros se ven implicados diversos agentes infecciosos (bacterias y hongos), que pueden tener un origen exógeno o hematógeno.[ Liò P, Paoletti N, Moni MA, et al. Modelling osteomyelitis. BMC Bioinformatics 2012;13(Suppl 14):512. ] Normalmente la infección por ruta exógena tiene lugar durante la reducción de una fractura cerrada o está asociada a una fractura abierta.[  Jackson LC, Pacchiana PD. Common complications of fracture repair. Clin Tech Small Anim Pract 2004; 19(3): 168-179. [PMC] ] En nuestro caso no se conocen las causas exactas que produjeron la osteomielitis en el lugar del implante, ya que a la llegada a nuestro centro ya presentaba los signos clínicos derivados de ésta. 

Por otra parte, los agentes infecciosos aislados corresponden a los comúnmente hallados en la bibliografía, donde se indica que la causa más frecuente es la contaminación bacteriana asociada a especies de Staphylococcus, en particular; S. intermedius; S.aureus,[ Siqueira EGM, Rahal SC, Ribeiro MG, et al. Exogenous bacterial osteomyelitis in 52 dogs: a retrospective study of etiology and in vitro antimibrobial susceptibility profile (2000-2013). Vet Q. 2014;34(4):201-204. ] seguido de especies de Streptococcus y bacterias gramnegativas, como E. coli, Pseudomonas; Proteus, Pasteurella multocida; Klebsiella.[ Siqueira EGM, Rahal SC, Ribeiro MG, et al. Exogenous bacterial osteomyelitis in 52 dogs: a retrospective study of etiology and in vitro antimibrobial susceptibility profile (2000-2013). Vet Q. 2014;34(4):201-204. ]

La antibioterapia más efectiva contra los microorganismos aislados fue la amoxicilina-clavulánico (79%) y la ceftriaxona (69%).[ Siqueira EGM, Rahal SC, Ribeiro MG, et al. Exogenous bacterial osteomyelitis in 52 dogs: a retrospective study of etiology and in vitro antimibrobial susceptibility profile (2000-2013). Vet Q. 2014;34(4):201-204. ] Varios estudios muestran que los antimicrobianos cruzan las membranas capilares en huesos normales y osteomielíticos, aunque algunos antibióticos presentan concentraciones diferentes en hueso.[ Fossum TW, Hulse DA. Osteomyelitis. Semin Vet Med Surg (Small Anim). 1992; 7(1):85-97. ] Los antimicrobianos más frecuentemente empleados en el tratamiento de la osteomielitis en perros son amoxicilina-clavulánico, amoxicilina, ampicilina, cefadroxil, cefazolina, cefoxitina, cefalexina, clindamicina, enrofloxacina, gentamicina y metronidazol.[  Jackson LC, Pacchiana PD. Common complications of fracture repair. Clin Tech Small Anim Pract 2004; 19(3): 168-179. [PMC] ] Sin embargo, su uso inadecuado incrementa la proporción de bacterias multirresistentes.[ Siqueira EGM, Rahal SC, Ribeiro MG, et al. Exogenous bacterial osteomyelitis in 52 dogs: a retrospective study of etiology and in vitro antimibrobial susceptibility profile (2000-2013). Vet Q. 2014;34(4):201-204. ] En nuestro caso, el abordaje terapéutico escogido inicialmente consistió en realizar de nuevo un cultivo del trayecto fistuloso y seguir con el régimen de antibioterapia establecido anteriormente, en espera del antibiograma. Se aisló nuevamente Enterobacter sp. con la misma sensibilidad que en el antibiograma previo. Al no haber obtenido una respuesta completamente satisfactoria, se decidió incluir, además, una serie de tres perfusiones regionales intravenosas con amikacina. Las perfusiones regionales con este antibiótico se emplean rutinariamente en la clínica equina como tratamiento de infecciones ortopédicas de las extremidades, ya que proporcionan altas concentraciones de antimicrobianos en la región de interés, contribuyendo extraordinariamente a la eliminación de la infección.[ Rubio-Martinez LM, Cruz A. Antimicrobial regional limb perfusion in horses. J Am Vet Med Assoc. 2006;228(5):706-712. [PubMed] ] Rutinariamente se llevan a cabo una serie de 3 perfusiones cada 36-48 horas;[ Rubio-Martinez LM, Cruz A. Antimicrobial regional limb perfusion in horses. J Am Vet Med Assoc. 2006;228(5):706-712. [PubMed] ] sin embargo, en nuestro caso, y dado que no existe un protocolo establecido en pequeños animales, se realizaron 3 perfusiones pero distanciadas 15-20 días debido a problemas logísticos de los propietarios.

El tratamiento de las osteomielitis crónicas ha consistido tradicionalmente en la administración de antibioterapia específica junto con el tratamiento quirúrgico, consistente en lavado del foco de fractura con eliminación de restos de tejidos muertos, posibles secuestros óseos y bordes desvascularizados, empleo de injertos autólogos esponjosos y dejar la herida abierta para tratarla como si la infección fuese aguda;[ DeCamp, C.E., Johnston, S.A., Déjardin, L.M., et al. Treatment of acute and chronic infections. En: Elsevier S (ed). Handbook of Small Animal Orthopedics and Fracture Repair. 4 ed. St. Louis, Elsevier Saunders, 2006; 174-179. ] debiéndose optar por la colocación de fijadores externos tipo II y III en caso de que haya desembocado en una no unión biológicamente activa.[ Piermattei DL, Flo GL. Delayed union and no union. En: Elsevier S (ed). Handbook of Small Animal Orthopedics and Fracture Repair. 4 ed. St. Louis, Elsevier Saunders, 2006; 163-173. ] Si el alineamiento y la aposición no son suficientes el callo debe dividirse en la zona de fractura, pudiendo ser necesaria la apertura del canal medular, la colocación de injertos e, incluso, la realización de osteotomías previas a una apropiada fijación.[ Piermattei DL, Flo GL. Delayed union and no union. En: Elsevier S (ed). Handbook of Small Animal Orthopedics and Fracture Repair. 4 ed. St. Louis, Elsevier Saunders, 2006; 163-173. ] En las no uniones hipertróficas asociadas a osteomielitis se puede prescindir del desbridamiento siempre que la estabilización de la fractura sea adecuada y que no se requiera un abordaje abierto.[ Piermattei DL, Flo GL. Delayed union and no union. En: Elsevier S (ed). Handbook of Small Animal Orthopedics and Fracture Repair. 4 ed. St. Louis, Elsevier Saunders, 2006; 163-173. ] En el caso descrito, se tomó la decisión de llevar a cabo una antibioterapia sistémica y mediante perfusiones regionales para tratar la infección activa posponiendo la retirada del implante para estabilizar un mayor tiempo el foco de fractura. En un principio esta opción terapéutica fue efectiva para controlar temporalmente la infección y el dolor, pero por la dificultad de la resolución de la osteomielitis se tuvo que recurrir a la retirada definitiva del implante. No se optó por estabilizar el foco de fractura mediante fijadores externos, a pesar del importante defecto óseo, ya que el cúbito se encontraba íntegro y los propietarios eran reticentes a llevar a cabo otra cirugía. Para acelerar la cicatrización ósea, en nuestro caso se decidió llevar a cabo una terapia alternativa con ondas de choque extracorpóreas, colocando simplemente un vendaje tipo Robert Jones con férulas para ayudar a la estabilización. Por otra parte, existen estudios que muestran que dicha terapia podría incrementar la efectividad de la antibioterapia sistémica en el control de la osteomielitis.[ Gollwitzer H, Roessner M, Langer R, et al. 2009. Safety and effectiveness of extracorporeal shockwave therapy: results of a rabbit model of chronic osteomyelitis. Ultrasound Med Biol. 2009; 35:595-602. [PubMed] , Inanmaz ME, Uslu M, Isik C, Kaya E, Tas T, Bayram R. Extracorporeal shockwave increases the effectiveness of systemic antibiotic treatment in a implant-related chronic osteomyelitis: experimentl study in a rat model. J Orthop Resh 2014; 32:752-756. ]

El éxito del tratamiento con ESWT (Extracorporeal Shock Wave Therapy) de las no uniones atróficas se puede atribuir a la estimulación de la neovascularización y a la reducción de la respuesta inflamatoria local de los tejidos producida por las ondas, en concordancia con los resultados descritos por estudios previos.[ Wang CJ, Wang FS YL et al. Shock wave therapy induces neovascularization at the tendon-bone junction. A study in rabbits. J Orthop Res. 2003; 21: 984-989. [PubMed] , Davis TA, Stojadinovic A, Anam K et al. Extracorporeal shock wave therapy supresses the early proinflammatory immune response to a severe cutaneous burn injury. Int Wound J. 2009; 6:11-21. [PubMed] ] Mientras que la no unión hipertrófica está relacionada con una inestabilidad mecánica, la no unión atrófica se asocia con un compromiso vascular.[ David J. H. Management of aseptic tibial nonunion. J Am Acad Orthop Surg. 2011; 19: 563-573. [PubMed] ] Se cree que la ESWT puede rescatar la vascularización comprometida en las no uniones atróficas mediante el efecto de neovascularización generado por las ondas de choque, las cuales producen la mejora de la circulación local, facilitando la unión ósea.[ Kuo S-J, Su I-C, Wang C-J KJ-Y. Extracorporeal shockwave therapy (ESWT) in the treatment of atrophic non-unions of femoral shaft fractures. Int J Surg. 2015; 24 :131-134. [PubMed] ]

También se ha descrito en medicina humana una proporción de éxito diferente con este tratamiento en función de la cronicidad del proceso, teniendo un porcentaje de éxito final que oscila entre el 64 % y el 100 %[ Kertzman P, Császár NBM, Furia JP, et al. Radial extracorporeal shock wave therapy is efficient and safe in the treatment of fracture nonunions of superficial bones: A retrospective case series. J Orthop Surg Res. 2017; 12(1): 164. [PubMed] , Kuo S-J, Su I-C, Wang C-J KJ-Y. Extracorporeal shockwave therapy (ESWT) in the treatment of atrophic non-unions of femoral shaft fractures. Int J Surg. 2015; 24 :131-134. [PubMed] , Willems A, Van der Jagt OP, Meuffels DE. Extracorporeal shock wave treatment for delayed unión and nonunion fractures: a systematic review. J Orthop Trauma 2019; 33:97-103. [PubMed] ] mediante el uso de ondas de choque radiales.

No se ha descrito en medicina humana una relación entre los efectos observados y el número de impulsos aplicados en cada sesión; sin embargo, sí que la hay con la densidad de energía empleada,[ Willems A, Van der Jagt OP, Meuffels DE. Extracorporeal shock wave treatment for delayed unión and nonunion fractures: a systematic review. J Orthop Trauma 2019; 33:97-103. [PubMed] , Wang CJ, Yang KD, Wang FS, Hsu CC, Chen HH. Shock wave treatment shows dose-dependent enhancement of bone mass and bone strength after fracture of the femur. Bone 2004; 34(1): 225-230. [PubMed] ] observándose un mayor efecto en la consolidación con densidades de energía más elevadas.[ Wang CJ, Yang KD, Wang FS, Hsu CC, Chen HH. Shock wave treatment shows dose-dependent enhancement of bone mass and bone strength after fracture of the femur. Bone 2004; 34(1): 225-230. [PubMed] ] Nosotros aplicamos densidades de energía alta (0,43 y 0,51 mJ/mm2) siguiendo los programas descritos por otros autores en medicina humana para el tratamiento de pseudoartrosis en no uniones atróficas[ Kuo S-J, Su I-C, Wang C-J KJ-Y. Extracorporeal shockwave therapy (ESWT) in the treatment of atrophic non-unions of femoral shaft fractures. Int J Surg. 2015; 24 :131-134. [PubMed] ] e hipertróficas.[ Cacchio A, Giordano L, Colafarina O, et al. Extracorporeal shock-wave therapy compared with surgery for hypertrophic long-bone nonunions. J Bone Jt Surg Am. 2009; 91(11): 2589-2597. [PubMed] ]

El efecto analgésico inmediato viene condicionado por la desensibilización de las fibras nociceptivas, la liberación local de endorfinas y de sustancia P, y cambios en la transmisión del dolor cortical e inhibición medular. Por otra parte, esta terapia también reduce el número de pequeñas fibras nerviosas mielinizadas.[ Notarnicola A, Moretti L, Tafuri S, et al. Shockwave therapy in the management of complex regional pain syndrome in medial femoral condyle of the knee. Ultrasound Med Biol. 2010; 36(6): 874-879. [PubMed] ] Nuestro paciente, tal como confirmó la propietaria, se benefició de la analgesia producida por la terapia con ondas de choque desde la primera sesión, lo se apreció en una mayor carga en el apoyo de la extremidad, así como en la sensación de bienestar del paciente.

En este caso el tratamiento con ondas de choque contribuyó, junto con el tratamiento antibiótico, tanto a la resolución de la no unión de origen séptico, favoreciendo el proceso de osificación, como a la disminución del dolor del paciente. Así mismo, las terapias manuales y de cinesiterapia activa realizadas por la propietaria en casa han ayudado a mejorar considerablemente las alteraciones musculoesqueléticas provocadas por la propia patología y la compensación derivada de ésta, además de prevenir otras lesiones y reeducar la marcha, a pesar de que no se ha logrado mejorar la rigidez articular del carpo.

 

Fuente de financiación: los autores no han recibido ninguna financiación externa, ni pública, ni del sector privado.

Conflicto de intereses: los autores no tienen ningún potencial conflicto de interés.

Bibliografía

  1. [1]  Jackson LC, Pacchiana PD. Common complications of fracture repair. Clin Tech Small Anim Pract 2004; 19(3): 168-179. [PMC]
  2. [2] Johnson AL. Fundamentals of orthopedic surgery and fracture management. En: Fossum TW (ed): Small Animal Surgery. 4 ed. St. Louis, Elsevier Mosby, 2012; 1033-105.
  3. [3] Kertzman P, Császár NBM, Furia JP, et al. Radial extracorporeal shock wave therapy is efficient and safe in the treatment of fracture nonunions of superficial bones: A retrospective case series. J Orthop Surg Res. 2017; 12(1): 164. [PubMed]
  4. [4] Wang CJ, Yang KD, Ko JY, et al. The effects of shockwave on bone healing and systemic concentrations of nitric oxide (NO), TGF-β1, VEGF and BMP-2 in long bone non-unions. Nitric Oxide 2009; 20(4): 298-303. [PubMed]
  5. [5] Hsu RWW, Tai CL, Chen CYC, et al. Enhancing mechanical strength during early fracture healing via shockwave treatment: An animal study. Clinical Biomechanics 2003; 18(6): 33-39. [PubMed]
  6. [6] Alkhawashki HMI. Shock wave therapy of fracture nonunion. Injury 2015; 46 (11): 2248-2252. [PubMed]
  7. [7] Bara T, Synder M, Studniarek M. The application of shock waves in the treatment of delayed bone union and pseudoarthrosis in long bones. Ortop Traumatol Rehabil. 2000; 2(3): 54-57. [PubMed]
  8. [8] Liò P, Paoletti N, Moni MA, et al. Modelling osteomyelitis. BMC Bioinformatics 2012;13(Suppl 14):512.
  9. [9] Siqueira EGM, Rahal SC, Ribeiro MG, et al. Exogenous bacterial osteomyelitis in 52 dogs: a retrospective study of etiology and in vitro antimibrobial susceptibility profile (2000-2013). Vet Q. 2014;34(4):201-204.
  10. [10] Fossum TW, Hulse DA. Osteomyelitis. Semin Vet Med Surg (Small Anim). 1992; 7(1):85-97.
  11. [11] Rubio-Martinez LM, Cruz A. Antimicrobial regional limb perfusion in horses. J Am Vet Med Assoc. 2006;228(5):706-712. [PubMed]
  12. [12] DeCamp, C.E., Johnston, S.A., Déjardin, L.M., et al. Treatment of acute and chronic infections. En: Elsevier S (ed). Handbook of Small Animal Orthopedics and Fracture Repair. 4 ed. St. Louis, Elsevier Saunders, 2006; 174-179.
  13. [13] Piermattei DL, Flo GL. Delayed union and no union. En: Elsevier S (ed). Handbook of Small Animal Orthopedics and Fracture Repair. 4 ed. St. Louis, Elsevier Saunders, 2006; 163-173.
  14. [14] Gollwitzer H, Roessner M, Langer R, et al. 2009. Safety and effectiveness of extracorporeal shockwave therapy: results of a rabbit model of chronic osteomyelitis. Ultrasound Med Biol. 2009; 35:595-602. [PubMed]
  15. [15] Inanmaz ME, Uslu M, Isik C, Kaya E, Tas T, Bayram R. Extracorporeal shockwave increases the effectiveness of systemic antibiotic treatment in a implant-related chronic osteomyelitis: experimentl study in a rat model. J Orthop Resh 2014; 32:752-756.
  16. [16] Wang CJ, Wang FS YL et al. Shock wave therapy induces neovascularization at the tendon-bone junction. A study in rabbits. J Orthop Res. 2003; 21: 984-989. [PubMed]
  17. [17] Davis TA, Stojadinovic A, Anam K et al. Extracorporeal shock wave therapy supresses the early proinflammatory immune response to a severe cutaneous burn injury. Int Wound J. 2009; 6:11-21. [PubMed]
  18. [18] David J. H. Management of aseptic tibial nonunion. J Am Acad Orthop Surg. 2011; 19: 563-573. [PubMed]
  19. [19] Kuo S-J, Su I-C, Wang C-J KJ-Y. Extracorporeal shockwave therapy (ESWT) in the treatment of atrophic non-unions of femoral shaft fractures. Int J Surg. 2015; 24 :131-134. [PubMed]
  20. [20] Willems A, Van der Jagt OP, Meuffels DE. Extracorporeal shock wave treatment for delayed unión and nonunion fractures: a systematic review. J Orthop Trauma 2019; 33:97-103. [PubMed]
  21. [21] Wang CJ, Yang KD, Wang FS, Hsu CC, Chen HH. Shock wave treatment shows dose-dependent enhancement of bone mass and bone strength after fracture of the femur. Bone 2004; 34(1): 225-230. [PubMed]
  22. [22] Cacchio A, Giordano L, Colafarina O, et al. Extracorporeal shock-wave therapy compared with surgery for hypertrophic long-bone nonunions. J Bone Jt Surg Am. 2009; 91(11): 2589-2597. [PubMed]
  23. [23] Notarnicola A, Moretti L, Tafuri S, et al. Shockwave therapy in the management of complex regional pain syndrome in medial femoral condyle of the knee. Ultrasound Med Biol. 2010; 36(6): 874-879. [PubMed]

Artículos recomendados

Estas recomendaciones se ofrecen de forma automática.

  • Seroprevalencia de la infección por Toxoplasma gondii en mascotas exóticas (conejos, hurones y cobayas) en clínicas veterinarias de España
    P. Moraleda-Berral, A. Montoya, J.P. Barrera, et al.
    Clin Vet Peq Anim Vol. 46 - Nº 1 · MAR 2026 · Artículo original referido a un solo caso clínico
  • Sarcoma histiocítico ocular felino
    M.T. Artacho-Burgos, A. I. Raya-Bermúdez
    Clin Vet Peq Anim Vol. 45 - Nº 4 · DIC 2025 · Artículo original referido a un solo caso clínico
  • Fallo hepático en un perro tras intoxicación por ingestión de semillas de Cycas revoluta

    C. García, A. Segarra, N. Bedía, et al.
    Clin Vet Peq Anim Vol. 45 - Nº 3 · SEP 2025 · Artículo original referido a un solo caso clínico
  • Inicio
  • Introducción
  • Caso clínico
  • Discusión
  • Bibliografía
Artículo anterior Índice de la revista Artículo siguiente
ANUNCIO
Próximos cursos ATVs Elearning
Índice
Inicio Introducción Caso clínico Discusión Bibliografía
Alivira - Vominil
ANUNCIO

¿No eres socio de AVEPA y quieres recibir comunicación de las nuevas ediciones en tu correo?

Suscríbete

Suscríbete y te avisaremos cuando publiquemos un nuevo número

Suscribirme

Enlaces rápidos

  • Inicio
  • Último número
  • Archivo
  • Artículos

Información

  • Comité editorial
  • Política de cookies
  • Política de privacidad
  • Términos y condiciones

Contacto

  • info@imaginice.com
  • Envíanos tu artículo
© 2026 Ice Salud Vet SL. Todos los derechos reservados.

Usamos cookies para mejorar tu experiencia. Selecciona cuáles aceptas: