Logo AVEPA

Clínica Veterinaria de Pequeños Animales

Revista oficial de AVEPA

  • Inicio
  • Último número
  • Archivo
  • Artículos
  • Para autores
  • Contacto
Cursos Junio-Septiembre 2026
ANUNCIO

Clínica Veterinaria de Pequeños Animales

Revista oficial de AVEPA

  • Inicio
  • Último número
  • Archivo
  • Artículos
  • Para autores
  • Contacto
Curso Oftalmología 2026
ANUNCIO
Clin Vet Peq Anim Vol. 41 • Nº 4 • diciembre 2021


¿Cuál es tu diagnóstico?

¿Cuál es tu diagnóstico?

A. Durán-Galea

Universidad de Extremadura. Facultad de Veterinaria. Avenida de la Universidad s/n. 10004 Cáceres.

R. Barrera

Universidad de Extremadura. Facultad de Veterinaria. Avenida de la Universidad s/n. 10004 Cáceres.

D. Casamián-Sorrosal

Universidad Católica de Valencia San Vicente Mártir. Facultad de Veterinaria y Ciencias Experimentales. c/ Guillem de Castro 94. 46001 Valencia.

F.J. Duque

Universidad de Extremadura. Facultad de Veterinaria. Avenida de la Universidad s/n. 10004 Cáceres.

M.A. Gonzáles

Universidad de Extremadura. Facultad de Veterinaria. Avenida de la Universidad s/n. 10004 Cáceres.

J. Jiménez-Fragoso

Universidad de Extremadura. Facultad de Veterinaria. Avenida de la Universidad s/n. 10004 Cáceres.

P. Nicolás

Universidad de Extremadura. Facultad de Veterinaria. Avenida de la Universidad s/n. 10004 Cáceres.

M. Santella

Universidad de Extremadura. Facultad de Veterinaria. Avenida de la Universidad s/n. 10004 Cáceres.

J.I. Cristóbal

Universidad de Extremadura. Facultad de Veterinaria. Avenida de la Universidad s/n. 10004 Cáceres.

Contacto: angeladg@hotmail.es
Descargar artículo

Historia clínica

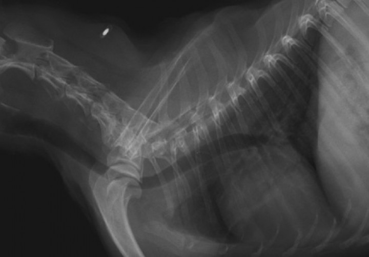
Acude de urgencias a consulta un Yorkshire terrier macho castrado de 13 años de edad y 2 kilos de peso. Tras un episodio de estrés en su clínica de referencia, el animal comenzó a ladrar y “llorar” observándose una grave dilatación en la zona ventral del cuello, la cual aparecía con cada gemido. En la exploración realizada en el Hospital Clínico Veterinario de la Universidad de Extremadura, todas las constantes se encuentran dentro de la normalidad y no se observan anomalías en el cuello ni en la entrada del tórax a la palpación y presión traqueal, incluso tras provocarle la tos. No hay historial de traumatismos ni problemas respiratorios previos. No se observan anomalías relevantes en la hematología y bioquímica completa. Nos remiten una radiografía de cráneo y cuello latero-lateral derecha (Fig. 1) y se realiza a su llegada al HCV de la UEx una radiografía torácica latero-lateral derecha de tórax (Fig. 2).

<p>Proyección latero-lateral derecha de la región cervical incluida la cabeza. Imagen cedida por la Clínica Veterinaria Azureus.</p>
Figura 1

Proyección latero-lateral derecha de la región cervical incluida la cabeza. Imagen cedida por la Clínica Veterinaria Azureus.

<p>Proyección latero-lateral derecha de tórax realizada en nuestro Hospital veterinario el día que llega de urgencia.</p>
Figura 2

Proyección latero-lateral derecha de tórax realizada en nuestro Hospital veterinario el día que llega de urgencia.

Describa las alteraciones radiográficas observadas

En la Fig. 3A se observa una dilatación grave de la tráquea en su porción cervical asociada a una mala alineación de la misma a la entrada del tórax (flechas rojas), visualizándose un pliegue traqueal en localización dorsal (flecha amarilla). A su vez, se aprecia un desplazamiento craneal del pulmón sobrepasando la entrada del tórax (flechas verdes).

Se visualizan cambios discales degenerativos crónicos en la región cervical caudal con espondilosis ventral grado II-III, así como reducción asociada del espacio intervertebral.

No se hallan anomalías radiográficas visibles a nivel de la cabeza ni de la región laríngea.

En la Fig. 3B se aprecia un diámetro traqueal homogéneo en todo su recorrido, tanto cervical como torácico, con una leve reducción del calibre intraluminal traqueal a la entrada del tórax, así como un desplazamiento ventral de la tráquea en esta localización (flecha azul). No se observan patologías mediastínicas/pleurales. El corazón y los grandes vasos no presentan alteraciones significativas, con ausencia de cardiomegalia y/o remodelación cardíaca. No se aprecian patrones pulmonares de interés.

<p>Comparación de las radiografías de las Figs. 1 y 2. (<strong>A</strong>) Dilatación grave de la tráquea en su porción cervical asociada a una mala alineación de la misma a la entrada del tórax (flechas rojas). Se observa el lóbulo craneal izquierdo herniado (flechas verdes), así como la torsión de la tráquea extratorácica (flecha amarilla). (<strong>B</strong>) Se aprecia una leve reducción del calibre intraluminal traqueal a la entrada del tórax, así como un desplazamiento ventral de la tráquea en esta localización (flecha azul).</p>
Figura 3

Comparación de las radiografías de las Figs. 1 y 2. (A) Dilatación grave de la tráquea en su porción cervical asociada a una mala alineación de la misma a la entrada del tórax (flechas rojas). Se observa el lóbulo craneal izquierdo herniado (flechas verdes), así como la torsión de la tráquea extratorácica (flecha amarilla). (B) Se aprecia una leve reducción del calibre intraluminal traqueal a la entrada del tórax, así como un desplazamiento ventral de la tráquea en esta localización (flecha azul).

¿Qué diagnósticos diferenciales son compatibles con estas alteraciones?

Los hallazgos descritos en la Fig. 3A son compatibles con torsión de la tráquea extratorácica en asociación con una herniación pulmonar cervical adquirida.

Los hallazgos descritos en la Fig. 3B son compatibles con la presencia de una membrana dorsal redundante/superposición esofágica con desplazamiento ventral.

¿Qué otras técnicas de imagen realizaría para alcanzar el diagnóstico definitivo?

Debido a la dificultad para llegar al diagnóstico definitivo mediante la exploración física y la realización de una radiografía simple, se recomendó ampliar el protocolo diagnóstico realizando una fluoroscopia digital, ya que es la prueba de elección que permite la obtención de imágenes de forma dinámica y poder determinar así la causa de esta protrusión del pecho durante la exploración forzada.

Como pruebas complementarias, estarían indicadas el examen de vías altas, la traqueoscopia y la broncoscopia para confirmar la posibilidad de colapso u obstrucción traqueal o bronquial intratorácica y descartar enfermedades obstructivas de vías altas proximales a la torsión. 

La tomografía computarizada de cabeza, cuello y tórax podría ayudar a descartar patologías que causen aumento de presión intratorácica, aunque al tratarse de un problema que se evidencia de forma dinámica podría no manifestarse con el paciente sedado o anestesiado. 

Finalmente, se optó junto con el propietario por no realizar estas últimas pruebas debido a limitaciones económicas y al riesgo elevado anestésico y posibles complicaciones. Se llevó a cabo una fluoroscopia digital sin sedación en la que en un estado de reposo y, posteriormente, valorando el reflejo tusígeno no se observaron alteraciones en las imágenes seriadas obtenidas. Sin embargo, cuando el animal se agitó al separarse de su propietaria, comenzó a gemir y se pudo observar la torsión de la tráquea similar a la observada en la radiografía inicial, así como herniación pulmonar cervical grave, colapso traqueal intratorácico y colapso bronquial (Vídeo complementario 1).

Video 1
Fluoroscopia digital latero-lateral derecha de cuello. Se observa dilatación con torsión o pliegue severo de la tráquea extratorácica, colapso traqueal intratorácico y sospecha de colapso bronquial.

Se recomendó un tratamiento conservador de reposo estricto durante 4 semanas con radiografía semanal de revisión, evitar periodos de estrés o anticiparse a estos con la administración de agentes sedantes y, además, evitar el uso de collar y arnés que comprimieran la zona de la tráquea. No se observaron signos clínicos, el paciente permanecía asintomático en la revisión a las 4 semanas y en la radiografía (Fig. 4) se observaba ausencia de herniación pulmonar y apariencia de la tráquea similar a la Fig. 2.

<p>Proyección latero-lateral derecha del tórax y la región cervical realizada a las 4 semanas tras el episodio inicial donde se observa una imagen traqueal compatible con la normalidad.</p>
Figura 4

Proyección latero-lateral derecha del tórax y la región cervical realizada a las 4 semanas tras el episodio inicial donde se observa una imagen traqueal compatible con la normalidad.

Comentario

La herniación de lóbulos pulmonares se define como la protrusión del tejido pulmonar más allá de los límites normales de la cavidad torácica.[ Joanne, T.S.Y., Lim, M.L., Asnawi, O., Shamusul, M.A.H., Khor, K.H. Dynamic cervical lung lobe herniation in a shih tzu dog. J Vet Malaysia 2019; 31(1): 38-42. ] Se ha descrito ocasionalmente en perros, siendo además poco común en personas. Puede clasificarse según su localización anatómica en cervical, torácica y diafragmática; además, según su etiología, puede ser congénita o adquirida, siendo dividida al mismo tiempo en traumática, espontánea y por causas patológicas (por ejemplo, causas neoplásicas o inflamatorias).[ Joanne, T.S.Y., Lim, M.L., Asnawi, O., Shamusul, M.A.H., Khor, K.H. Dynamic cervical lung lobe herniation in a shih tzu dog. J Vet Malaysia 2019; 31(1): 38-42. , Lee, J., Yun, S., Lee, I., Choi, M., Yoon, J. Fluoroscopic characteristics of tracheal collapse and cervical lung herniation in dogs: 222 cases (2012–2015). J Vet Sci 2017; 18(4), 499-505. [PubMed] , Nafe, L., Robertson, I. Hawkins, E. Cervical lung lobe herniation in dogs identified by fluoroscopy. Can Vet J 2013; 54: 955-959. [PubMed] ]

En el caso de las personas, las hernias pulmonares cervicales son debidas principalmente a causas congénitas, siendo observadas en los bebés durante el llanto y pudiendo resolverse espontáneamente. Las hernias pulmonares adquiridas suelen deberse a un incremento de la presión intratorácica combinada con una debilidad de la musculatura torácica, debiéndose principalmente a la presencia de tos crónica, asociada a enfermedad pulmonar obstructiva crónica.[ Joanne, T.S.Y., Lim, M.L., Asnawi, O., Shamusul, M.A.H., Khor, K.H. Dynamic cervical lung lobe herniation in a shih tzu dog. J Vet Malaysia 2019; 31(1): 38-42. ]

En perros, se han descrito principalmente casos de hernias pulmonares cervicales espontáneas asociadas a enfermedad respiratoria de curso prolongado con historia de tos crónica y, también, se han asociado a la torsión o pliegue traqueal.[ Lee, J., Yun, S., Lee, I., Choi, M., Yoon, J. Fluoroscopic characteristics of tracheal collapse and cervical lung herniation in dogs: 222 cases (2012–2015). J Vet Sci 2017; 18(4), 499-505. [PubMed] , Nafe, L., Robertson, I. Hawkins, E. Cervical lung lobe herniation in dogs identified by fluoroscopy. Can Vet J 2013; 54: 955-959. [PubMed] ] Para la detección de la herniación pulmonar las radiografías deben ser realizadas durante la espiración del animal; sin embargo, su visualización va a depender de muchos factores, pudiendo no mostrar dicha alteración. Por otro lado, la fluoroscopia digital podría considerarse la mejor técnica para el diagnóstico de la hernia pulmonar cervical, ya que puede evaluar esta patología durante todo el ciclo respiratorio del animal por tratarse de una técnica donde se obtiene una imagen dinámica. La tomografía computarizada puede ayudar a definir la localización y la extensión del defecto, aunque en muchas ocasiones no se observará la herniación al encontrarse el animal sedado.[ Nafe, L., Robertson, I. Hawkins, E. Cervical lung lobe herniation in dogs identified by fluoroscopy. Can Vet J 2013; 54: 955-959. [PubMed] ]

Previo a las pruebas de imagen está indicada la realización de una correcta exploración física para detectar alteraciones a nivel del cuello y en la entrada del tórax, como abultamientos durante la espiración, al provocar la tos o, como ocurre en nuestro paciente, con el gemido.

En el caso descrito, la herniación estaba asociada a un pliegue o torsión grave de la tráquea y se sospechaba de colapso traqueal y bronquial intratorácico concurrente. Se podría considerar que existía una traqueomalacia subyacente subclínica, enfermedad comúnmente observada en Yorkshire terriers. En esta raza, la traqueomalacia es, a menudo, parte de una malformación traqueal con disrupción anatómica traqueal más grave que el colapso traqueal típico, caracterizada por debilidad de los cartílagos y aplanamiento dorsal del lumen de la tráquea.[ Lesnikowski, S., Weisse, C., Berent, A., Le Roux, A., Tozier, E. Bacterial infection before and after stent placement in dogs with tracheal collapse syndrome. J Vet Intern Med 2020; 34(2), 725-733. [PubMed] ] Un aspecto interesante en este caso es que el paciente parecía presentar solo la herniación y cambios de las vías aéreas durante periodos de estrés y gemidos. La sospecha es que esto era debido, como se ha descrito en medicina humana, al aumento que se produce, en estas situaciones, en la presión intratorácica y el consiguiente aumento de las presiones transmurales traqueales y bronquiales.[ Hysinger, E.B., Panitch, H.B. Paediatric Tracheomalacia. Paediatr Respir Rev 2016; 17:9-15. [PubMed] ]

En conclusión, describimos un caso de hernia cervical pulmonar en perro asociada a torsión traqueal transitoria (con colapso traqueal y bronquial) durante episodios de estrés y gemido. El diagnóstico de estos procesos dinámicos puede realizarse mediante radiografías, pero pueden requerir fluoroscopia durante esos episodios desencadenantes del proceso.

 

Fuente de financiación: este trabajo no se realizó con fondos comerciales, públicos o del sector privado.

Conflicto de intereses: los autores declaran que no existen conflictos de intereses.

Bibliografía

  1. [1] Joanne, T.S.Y., Lim, M.L., Asnawi, O., Shamusul, M.A.H., Khor, K.H. Dynamic cervical lung lobe herniation in a shih tzu dog. J Vet Malaysia 2019; 31(1): 38-42.
  2. [2] Lee, J., Yun, S., Lee, I., Choi, M., Yoon, J. Fluoroscopic characteristics of tracheal collapse and cervical lung herniation in dogs: 222 cases (2012–2015). J Vet Sci 2017; 18(4), 499-505. [PubMed]
  3. [3] Nafe, L., Robertson, I. Hawkins, E. Cervical lung lobe herniation in dogs identified by fluoroscopy. Can Vet J 2013; 54: 955-959. [PubMed]
  4. [4] Lesnikowski, S., Weisse, C., Berent, A., Le Roux, A., Tozier, E. Bacterial infection before and after stent placement in dogs with tracheal collapse syndrome. J Vet Intern Med 2020; 34(2), 725-733. [PubMed]
  5. [5] Hysinger, E.B., Panitch, H.B. Paediatric Tracheomalacia. Paediatr Respir Rev 2016; 17:9-15. [PubMed]

Artículos recomendados

Estas recomendaciones se ofrecen de forma automática.

  • ¿Cuál es tu diagnóstico?
    L. Martín-Carrasco, E. Mínguez-Pereira, R. Salgüero-Fernández, et al.
    Clin Vet Peq Anim Vol. 46 - Nº 1 · MAR 2026 · ¿Cuál es tu diagnóstico?
  • ¿Cuál es tu diagnóstico?
    D. Marbella, A.M. Hernández-Guerra, L. Montalvà-Minguet
    Clin Vet Peq Anim Vol. 45 - Nº 4 · DIC 2025 · ¿Cuál es tu diagnóstico?
  • ¿Cuál es tu diagnóstico?

    J.D. Carrillo, M. Soler, M.S. Echalecu, et al.
    Clin Vet Peq Anim Vol. 45 - Nº 3 · SEP 2025 · ¿Cuál es tu diagnóstico?
  • Inicio
  • Historia clínica
  • Describa las alteraciones radiográficas observadas
  • ¿Qué diagnósticos diferenciales son compatibles con estas alteraciones?
  • ¿Qué otras técnicas de imagen realizaría para alcanzar el diagnóstico definitivo?
  • Comentario
  • Bibliografía
Artículo anterior Índice de la revista Artículo siguiente
ANUNCIO
Próximos cursos ATVs Elearning
Índice
Inicio Historia clínica Describa las alteraciones radiográficas observadas ¿Qué diagnósticos diferenciales son compatibles con estas alteraciones? ¿Qué otras técnicas de imagen realizaría para alcanzar el diagnóstico definitivo? Comentario Bibliografía
Advance Affinity - Intolerance Duck
ANUNCIO

¿No eres socio de AVEPA y quieres recibir comunicación de las nuevas ediciones en tu correo?

Suscríbete

Suscríbete y te avisaremos cuando publiquemos un nuevo número

Suscribirme

Enlaces rápidos

  • Inicio
  • Último número
  • Archivo
  • Artículos

Información

  • Comité editorial
  • Política de cookies
  • Política de privacidad
  • Términos y condiciones

Contacto

  • info@imaginice.com
  • Envíanos tu artículo
© 2026 Ice Salud Vet SL. Todos los derechos reservados.

Usamos cookies para mejorar tu experiencia. Selecciona cuáles aceptas: