Logo AVEPA

Clínica Veterinaria de Pequeños Animales

Revista oficial de AVEPA

  • Inicio
  • Último número
  • Archivo
  • Artículos
  • Para autores
  • Contacto
Cursos Junio-Septiembre 2026
ANUNCIO

Clínica Veterinaria de Pequeños Animales

Revista oficial de AVEPA

  • Inicio
  • Último número
  • Archivo
  • Artículos
  • Para autores
  • Contacto
Curso Oftalmología 2026
ANUNCIO
Clin Vet Peq Anim Vol. 40 • Nº 4 • diciembre 2020

Reabsorción dental en un gato: diagnóstico, clasificación y abordaje terapéutico

Tooth resorption in a cat: diagnosis, classification and therapeutic approach

Artículo original referido a un solo caso clínico

J. Albaladejo

La Clínica Veterinaria de Ronda Sur. Paseo de Florencia 24, bajo. 30010 Murcia. Hospital de Urgencias Veterinarias de la Región de Murcia. c/ Chimeneas 22. 30110 Murcia.

A. Miñarro

La Clínica Veterinaria de Ronda Sur. Paseo de Florencia 24, bajo. 30010 Murcia.

Contacto: joaquin@veterinariorondasur.es
Palabras clave: gato, reabsorción dental, radiografía dental, exodoncia, amputación coronal.
Keywords: cat, tooth resorption, dental radiography, extraction, crown amputation.

Clin Vet Peq Anim 2020, 40 (4): 203-208

Descargar artículo

Resumen

Se presenta un caso de reabsorción dental (RD) en una gata Común Europea de 5 años de edad que acudió a consulta con historia de apetito caprichoso y sialorrea. El examen dental inicial puso de manifiesto la presencia de dos dientes afectados por RD, así como la aparente ausencia de otros siete dientes. El posterior examen dental bajo anestesia general, junto con el correspondiente estudio radiológico dental, permitió clasificar en sus distintos tipos la RD presente en cada uno de los dientes afectados. El tratamiento consistió en la amputación de la corona con retención intencionada de raíces en los dientes afectados por RD de tipo 2 y tipo 3. El paciente evolucionó favorablemente y los signos se resolvieron en 24 horas. 

Abstract

A case of tooth resorption (TR) in a 5 y/o DSH female cat that came to the clinic with anorexia and sialorrhea is described. Initial dental examination showed not only two teeth affected by TR but also seven other teeth missing. Subsequent dental and radiographic examinations under general anesthesia allowed us to classify the different types of TR present in each affected tooth. Treatment included coronal amputation with intentional root retention in teeth with type 2 and type 3 TR. The patient progressed favorably and clinical signs resolved in 24 hours.

Introducción

La reabsorción dental (RD) es una patología frecuente en la especie felina y se presenta clínicamente como un defecto en el tejido duro del diente a nivel de la unión cemento-esmalte, acompañado frecuentemente con sobrecrecimiento gingival y/o ausencia de dientes.[ Gorrel C. Tooth resorption in cats. Pathophysiology and treatment options. J Fel Med Surg 2015; 17: 37-43. [PubMed] , Ingham KE, Gorrel C, Blackburn J, et al. Prevalence of odontoclastic resorptive lesions in a population of clinically healthy cats. J Small Anim Pract 2001; 42: 439-443. [PubMed] ] La prevalencia de RD varía del 28 % al 67 % en diversas poblaciones de gatos domésticos en función de la edad media de dicha población, de si tenían problemas bucales y si en el estudio se realizaron radiografías dentales.[ Ingham KE, Gorrel C, Blackburn J, et al. Prevalence of odontoclastic resorptive lesions in a population of clinically healthy cats. J Small Anim Pract 2001; 42: 439-443. [PubMed] , Verstraete FJM, van Aarde RJ, Nieuwoudt BA, Mauer E, Kass PH. The dental pathology of feral cat Marion Island, part 2: Periodontitis, external odontoclastic resorption lesions and mandibular thickening. J Comp Path 1996; 115: 283-297. [PubMed] ] En este artículo se presenta el caso clínico de una gata de 5 años de edad con dolor oral asociado a RD de tipo 2 y tipo 3 y se detalla el correspondiente tratamiento y su evolución.

Caso clínico

Acudió a consulta una gata hembra Común Europea de pelo corto de 5 años, esterilizada, sin acceso al exterior, correctamente vacunada y desparasitada y negativa frente a retrovirus mediante test rápido Elisa (IDEXX SNAP® Combo Test). La paciente presentaba signos de posible dolor oral consistentes en apetito caprichoso y sialorrea desde hacía seis semanas. En la exploración general se observó sobrepeso (P=6 kg, CC 6/9) como único hallazgo significativo. 

En la exploración dental inicial se apreció la posible ausencia de varios dientes (106, 109, 201, 206, 209, 301 y 401, Fig. 1), presencia de enfermedad periodontal y presencia de cálculo y gingivitis con sobrecrecimiento gingival en 307 y 407 (Fig. 1) compatible con RD (Figs. 2-4).

<p>Nomenclatura dental.</p>
Figura 1

Nomenclatura dental.

<p>Ausencia aparente de 201, 301, 401 (primeros incisivos maxilar izquierdo, mandibular izquierdo y derecho) (flechas).</p>
Figura 2

Ausencia aparente de 201, 301, 401 (primeros incisivos maxilar izquierdo, mandibular izquierdo y derecho) (flechas).

<p> Ausencia aparente de 106 (segundo premolar maxilar dere­cho) y 109 (primer molar maxilar derecho). Cálculo dental de índice 2 en 107 (asterisco). Gingivitis y sobrecrecimiento de la encía que cubre parcialmente el diente 407 compatible con RD (flecha).</p>
Figura 3

 Ausencia aparente de 106 (segundo premolar maxilar dere­cho) y 109 (primer molar maxilar derecho). Cálculo dental de índice 2 en 107 (asterisco). Gingivitis y sobrecrecimiento de la encía que cubre parcialmente el diente 407 compatible con RD (flecha).

<p>Ausencia aparente de 206 (segundo premolar maxilar izquier­do) y 209 (primer molar maxilar izquierdo). Cálculo dental de índice 2 en 207 (asterisco). Gingivitis y sobrecrecimiento de la encía que cubre parcialmente el diente 307 compatible con RD (flecha).</p>
Figura 4

Ausencia aparente de 206 (segundo premolar maxilar izquier­do) y 209 (primer molar maxilar izquierdo). Cálculo dental de índice 2 en 207 (asterisco). Gingivitis y sobrecrecimiento de la encía que cubre parcialmente el diente 307 compatible con RD (flecha).

Se procedió a la sedación de la paciente para la realización del examen oral completo. Se administró metadona (Semfortan®, Ecuphar, Barcelona) a 0,2 mg/kg intramuscular, dexmedetomidina (Dexdomitor®, Ecuphar, Barcelona) a 0,01 mg/kg intramuscular, alfaxolona (Alfaxan®, Dechra, Barcelona) a 0,2 mg/kg intramuscular. En la exploración de la cavidad oral mediante sonda periodontal (Sonda explorador XP23, Hu-Friedy®, Chicago) no se detectaron más alteraciones (bolsas periodontales o fracturas dentales) que las ya detectadas inicialmente. Se realizó una analítica de sangre completa que no reflejó alteración analítica relevante ni en el hemograma ni en la bioquímica. 

Mediante la exploración dental y el estudio radiológico posterior se determinó que la enfermedad periodontal presente era de estadío 1 (EP 1; Tabla 1) al mostrar gingivitis asociada pero sin pérdida de inserción periodontal.[ AVDC board. Veterinary Dental Nomenclature. Recommendations from the AVDC Nomenclature Committee adopted by the American Dental College Board. www.avdc.org. ] También se determinó que existía un índice gingival de 1 (IG 1; Tabla 2) en premolares y molares al existir una leve gingivitis marginal con leve inflamación sin sangrado en la exploración con la sonda periodontal. En 307 y 407 dicho índice gingival era de 2 (IG 2) al hallar mayor inflamación de la encía con presencia de sangrado en la exploración con la sonda periodontal.[ AVDC board. Veterinary Dental Nomenclature. Recommendations from the AVDC Nomenclature Committee adopted by the American Dental College Board. www.avdc.org. ] El índice de placa era de uno (IP 1; Tabla 3) al observar una fina capa que cubría menos de un tercio de la superficie de los dientes.[ AVDC board. Veterinary Dental Nomenclature. Recommendations from the AVDC Nomenclature Committee adopted by the American Dental College Board. www.avdc.org. ]

<p>Fuente: <a href=\"https://www.vin.com/apputil/content/defaultadv1.aspx?id=5709744&pid=11372&\" target=\"_blank\">https://www.vin.com/apputil/content/defaultadv1.aspx?id=5709744&pid=11372&</a></p>
Tabla 1

Fuente: https://www.vin.com/apputil/content/defaultadv1.aspx?id=5709744&pid=11372&

<p>Fuente: <a href=\"https://www.vin.com/apputil/content/defaultadv1.aspx?id=5709744&pid=11372&\" target=\"_blank\">https://www.vin.com/apputil/content/defaultadv1.aspx?id=5709744&pid=11372&</a></p>
Tabla 2

Fuente: https://www.vin.com/apputil/content/defaultadv1.aspx?id=5709744&pid=11372&

<p>Fuente: <a href=\"https://www.vin.com/apputil/content/defaultadv1.aspx?id=5709744&pid=11372&\" target=\"_blank\">https://www.vin.com/apputil/content/defaultadv1.aspx?id=5709744&pid=11372&</a></p>
Tabla 3

Fuente: https://www.vin.com/apputil/content/defaultadv1.aspx?id=5709744&pid=11372&

El índice de cálculo dental era de 2 (IC 2; Tabla 4) en 107 y 207 (Fig. 1) al detectar un cálculo de tamaño moderado cubriendo entre un tercio y dos tercios de la superficie del diente.[ AVDC board. Veterinary Dental Nomenclature. Recommendations from the AVDC Nomenclature Committee adopted by the American Dental College Board. www.avdc.org. ] No existía ni afectación ni exposición de furca, así como tampoco movilidad en los dientes.[ AVDC board. Veterinary Dental Nomenclature. Recommendations from the AVDC Nomenclature Committee adopted by the American Dental College Board. www.avdc.org. ]

<p>Fuente: <a href=\"https://www.vin.com/apputil/content/defaultadv1.aspx?id=5709744&pid=11372&\" target=\"_blank\">https://www.vin.com/apputil/content/defaultadv1.aspx?id=5709744&pid=11372&</a></p>
Tabla 4

Fuente: https://www.vin.com/apputil/content/defaultadv1.aspx?id=5709744&pid=11372&

Se administró propofol (Propovet®, Ecuphar, Barcelona) a 1 mg/kg intravenoso para poder realizar un estudio radiológico dental completo. Para radiografiar los incisivos y caninos se realizaron sendas radiografías oclusales mediante la técnica de la bisectriz, para los premolares y molares mandibulares se usó la técnica paralela, mientras que para los premolares y molares maxilares se usó la técnica extraoral paralela modificando ligeramente el ángulo.[ Niemic BA. Feline dental radiography and radiology, a primer. J Fel Med Surg 2014; 16: 887-899. ]

En el estudio radiológico dental se observó presencia de restos radiculares en 201, 301 y 401 como consecuencia de fractura dental, signos radiológicos compatibles con RD de tipo 3 afectando a 307 y 407, así como signos radiológicos compatibles con RD de tipo 2 afectando a 106, 206, 308 y 408 (Tabla 5, Figs. 5-8). 

Image
Tabla 5
<p>(<strong>A</strong>) Radiografía dental oclusal de los incisivos y caninos maxilares donde se observa el resto radicular consecuencia de fractura dental en 201 (flecha). (<strong>B</strong>) Radiografía dental oclusal de los incisivos y caninos mandibulares donde se observan restos radiculares consecuencia de fracturas dentales en 301 y 401 (flechas).</p>
Figura 5

(A) Radiografía dental oclusal de los incisivos y caninos maxilares donde se observa el resto radicular consecuencia de fractura dental en 201 (flecha). (B) Radiografía dental oclusal de los incisivos y caninos mandibulares donde se observan restos radiculares consecuencia de fracturas dentales en 301 y 401 (flechas).

<p>(<strong>A</strong>) Radiografía dental extraoral de la arcada maxilar derecha. Se observa alteración radiológica compatible con RD de tipo 2 del 106 (flecha). (<strong>B</strong>) Radiografía dental extraoral de la arcada maxilar izquierda. Se observa alteración radiológica compatible con RD de tipo 2 del 206 (flecha).</p>
Figura 6

(A) Radiografía dental extraoral de la arcada maxilar derecha. Se observa alteración radiológica compatible con RD de tipo 2 del 106 (flecha). (B) Radiografía dental extraoral de la arcada maxilar izquierda. Se observa alteración radiológica compatible con RD de tipo 2 del 206 (flecha).

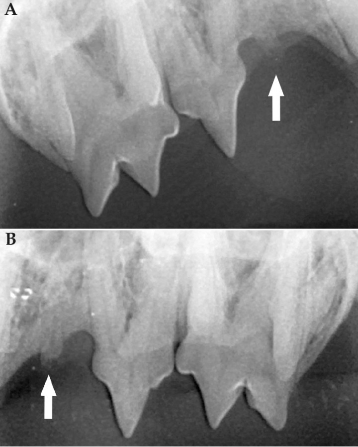
<p>(<strong>A</strong>) Radiografía dental intraoral de los premolares y molar mandibulares derechos. Se observa pérdida de tejido duro del diente a nivel de la cara distal de la corona de 407 (flecha roja) y cierto grado de anquilosis a nivel radicular (flecha blanca), hallazgos radiológicos compatibles con RD de tipo 3. Existe cierto grado de anquilosis a nivel radicular en 408, compatible con RD tipo 2 (flecha azul). (<strong>B</strong>) Radiografía dental intraoral de los premolares y molar mandibulares izquierdos. Se observa pérdida de tejido duro del diente a nivel de la cara mesial de la corona de 307 (flecha roja) y cierto grado de anquilosis a nivel radicular (flecha blanca), hallazgos radiológicos compatible con RD de tipo 3. Existe cierto grado de anquilosis a nivel radicular en 308, compatible con RD tipo 2 (flecha azul).</p>
Figura 7

(A) Radiografía dental intraoral de los premolares y molar mandibulares derechos. Se observa pérdida de tejido duro del diente a nivel de la cara distal de la corona de 407 (flecha roja) y cierto grado de anquilosis a nivel radicular (flecha blanca), hallazgos radiológicos compatibles con RD de tipo 3. Existe cierto grado de anquilosis a nivel radicular en 408, compatible con RD tipo 2 (flecha azul). (B) Radiografía dental intraoral de los premolares y molar mandibulares izquierdos. Se observa pérdida de tejido duro del diente a nivel de la cara mesial de la corona de 307 (flecha roja) y cierto grado de anquilosis a nivel radicular (flecha blanca), hallazgos radiológicos compatible con RD de tipo 3. Existe cierto grado de anquilosis a nivel radicular en 308, compatible con RD tipo 2 (flecha azul).

<p>Clasificación del Colegio Americano de Odontología Veterinaria (AVDC) de las reabsorciones dentales felinas en función de su imagen radiológica.</p>
Figura 8

Clasificación del Colegio Americano de Odontología Veterinaria (AVDC) de las reabsorciones dentales felinas en función de su imagen radiológica.

El tratamiento llevado a cabo consistió en la exodoncia de los restos radiculares de los incisivos fracturados 201, 301 y 401 y la amputación de la corona con retención intencionada de sus respectivas raíces en el caso de los premorales afectados por RD de tipo 2 (106, 206, 308 y 408) y tipo 3 (307 y 407).[ DuPont G.A. Radiographic evaluation and treatment of feline dental resorptive lesions. Vet Clin North Am Small Anim Pract. 2005; 35: 943-62. [PubMed] , Reiter A.M., Soltero-Rivera M.M.. Applied feline oral anatomy and tooth extraction techniques. An illustrated guide. J Fel Med Surg 2014.; 16: 900-913. [PubMed] , Dupont G. Crown amputation with intentional root retention dental resorptive lesions in cats. J Vet Dent. 2002; 19: 107-110. [PubMed] ]

Se realizó la inducción anestésica del paciente mediante la administración de propofol (Propovet®, Ecuphar, Barcelona) a 2 mg/kg intravenoso lento y el mantenimiento con isofluorano (Isoflo®, Ecuphar, Barcelona). El bloqueo de los nervios infraorbitario y mandibular se realizó mediante la instilación en los agujeros infraorbitario y mandibular (con abordaje extraoral del último), respectivamente, de 0,1 ml de una dilución 4:1 de bupivacaína (Bupivacaína 0,5 %, Braun, Barcelona) y lidocaína (Lidocaína 2 %, Braun, Barcelona), correspondientes a 2 mg totales de lidocaína y 1,5 mg totales de bupivacaína.

La enfermedad periodontal existente fue tratada mediante detartaje y posterior pulido, proceso previo a la exodoncia o amputación de los dientes afectados por RD.

La exodoncia de las raíces de los incisivos 201, 301 y 401 se realizó mediante extracción cerrada, incisión de la encía (hoja bisturí n.º 11) y el uso de un luxador (luxador recto EL2SX, Hu-Friedy®, Chicago) introduciéndolo en el espacio periodontal de cada diente con movimientos rotatorios suaves alrededor de cada raíz dental y la ayuda final de un fórceps de extracción (fórceps pediátrico FX79CE, Hu-Friedy®, EE.UU.).

Las amputaciones de las coronas de los premolares 106, 206, 307, 308, 407 y 408 (Fig. 1) se llevaron a cabo mediante la realización de un flap gingival a nivel de ambas caras (bucal y lingual) de los dientes (hoja bisturí n.º 11), exponiendo de este modo el margen del hueso alveolar. La corona del diente fue amputada mediante una fresa de corte (fresa de carburo tungsteno H31RPC Edenta®, Suiza), con la que se fresó una pequeña porción de raíz para asegurarse que las raíces retenidas de forma intencionada fuesen apicales a la cresta alveolar. Del mismo modo se fresó ligeramente el hueso alveolar para limar posibles imperfecciones. El flap gingival fue posicionado y suturado usando una sutura reabsorbible de 5/0 con aguja atraumática (Atramat® PGLA90 Rapid 5/0, Barcelona). 

En el postoperatorio se prescribió buprenorfina (Buprex®, RB Pharmaceuticals Limited, Madrid) en mucosa oral a dosis de 0,02 mg/kg cada 8 h durante 4 días, meloxicam (Metacam®, Boehringer Ingelheim, Barcelona) a dosis inicial de 0,2 mg/kg subcutáneo seguido de 0,1 mg/kg vía oral cada 24 h durante 7 días y amoxicilina/ácido clavulánico (Kesium®, Ceva, Barcelona) a dosis de 10 mg amoxicilina / 2,5 mg ácido clavulánico por kg cada 12 h durante 7 días. La evolución del paciente fue satisfactoria y los signos clínicos desaparecieron a las 24 h del procedimiento. Se realizaron controles a la semana y a los 15 días donde se constató una adecuada cicatrización y la reducción de la gingivitis asociada. Se recomendó la realización de un estudio radiológico dental anual para valorar la aparición de nuevas lesiones reabsortivas y controlar la evolución de los restos radiculares de 106, 206, 307, 308, 407 y 408.[ Gorrel C. Tooth resorption in cats. Pathophysiology and treatment options. J Fel Med Surg 2015; 17: 37-43. [PubMed] ]

Discusión

Se desconoce la etiología exacta de la RD siendo un tema de controversia e investigación.[ Reiter A.M., Mendonza K.A. Feline Odontoclastic Resorptive Lesions In Unsolved Enigma In Veterinary Dentistry. Vet Clin North Am Small Anim Pract. 2002; 32: 791-837. [PubMed] ] Se ha observado que todos los gatos padecen de reabsorciones superficiales que afectan al cemento a nivel de las raíces dentales. Lo que ocurre es que en los gatos que padecen RD esas lesiones no cicatrizan correctamente, quizás debido a un defecto inherente en el cemento.[ Gorrel C, Larsson Å. Feline odontoclastic resorptive lesions: unveiling the early lesion. J Small Anim Pract 2002; 43: 482-488. [PubMed] ] Del mismo modo, se piensa que conforme el gato envejece el proceso de curación se vuelve más lento que el de reabsorción rompiéndose el equilibrio existente entre ambos procesos.[ Gorrel C, Larsson Å. Feline odontoclastic resorptive lesions: unveiling the early lesion. J Small Anim Pract 2002; 43: 482-488. [PubMed] ]

El sistema numérico empleado para denominar a los dientes en este artículo es el sistema de Triadan modificado, que es el de elección en Odontología Veterinaria (Fig. 1).[ Reiter A.M., Soltero-Rivera M.M.. Applied feline oral anatomy and tooth extraction techniques. An illustrated guide. J Fel Med Surg 2014.; 16: 900-913. [PubMed] ] Los dientes 307 y 407 son los más frecuentemente afectados por RD,[ Ingham KE, Gorrel C, Blackburn J, et al. Prevalence of odontoclastic resorptive lesions in a population of clinically healthy cats. J Small Anim Pract 2001; 42: 439-443. [PubMed] , Reiter A.M., Mendonza K.A. Feline Odontoclastic Resorptive Lesions In Unsolved Enigma In Veterinary Dentistry. Vet Clin North Am Small Anim Pract. 2002; 32: 791-837. [PubMed] ] tal y como ocurre en el caso presentado. Parece ser que el estudio radiológico dental del 307 y 407 podría ser usado como método rápido de screening de RD felina, ya que en 9/10 gatos con RD estaban afectadas esos dientes.[ Heaton M, Wilkinson J, Gorrel C, Butterwick R. A rapid screening technique for feline odontoclastic resorptive lesions. J Small Anim Pract 2004; 45: 598-601. [PubMed] ]

Es frecuente encontrar un patrón simétrico en la distribución de las lesiones por RD.[ Ingham KE, Gorrel C, Blackburn J, et al. Prevalence of odontoclastic resorptive lesions in a population of clinically healthy cats. J Small Anim Pract 2001; 42: 439-443. [PubMed] ] Esta característica se cumple en buena parte de nuestro caso al presentar lesiones simétricas en 307/407 (RD de tipo 3) así como en 106/206 y en 308/408 (RD de tipo 2). 

La RD se considera, en general, una patología dolorosa siendo en principio menos probable el dolor cuando las lesiones se circunscriben a la raíz sin afectar a la cavidad pulpar y no están en contacto con el exterior.[ Gorrel C. Tooth resorption in cats. Pathophysiology and treatment options. J Fel Med Surg 2015; 17: 37-43. [PubMed] , Gorrel C, Larsson Å. Feline odontoclastic resorptive lesions: unveiling the early lesion. J Small Anim Pract 2002; 43: 482-488. [PubMed] ] Los hallazgos pueden ser muy variados: anorexia, sialorrea, disfagia, halitosis, apatía, letargia, adelgazamiento, estornudos, movimientos frecuentes con la lengua, pérdida de dientes, sangrado bucal, aunque la mayoría de los casos se presentan sin signos clínicos.[ Gorrel C, Larsson Å. Feline odontoclastic resorptive lesions: unveiling the early lesion. J Small Anim Pract 2002; 43: 482-488. [PubMed] ] Algunos de estos síntomas como el apetito caprichoso, la sialorrea o la pérdida de dientes estaban presentes en el caso que nos ocupa. La RD ha sido también descrita como posible detonante de crisis de dolor oral dentro del denominado síndrome de dolor orofacial felino, en especial en la raza Burmés (aunque no de forma exclusiva en dicha raza), lo cual sugiere un componente hereditario asociado. En los gatos que padecen dicho síndrome se encuentran con frecuencia lesiones orales entre las que estarían la RD.[ Rusbridge C, Heath S, Gunn-Moore DA, et al.. Feline orofacial pain syndrome (FOPS): a retrospective study of 113 cases. J Fel Med Surg. 2010; 12: 498-508. [PubMed] ]

El diagnóstico de la RD se basa en la combinación de la inspección visual, el examen bajo anestesia con un explorador dental y el uso de la radiografía intraoral.La radiografía, además, es la única manera de evaluar las lesiones radiculares, que están presentes en el 80 % de los casos.[ Gorrel C. Tooth resorption in cats. Pathophysiology and treatment options. J Fel Med Surg 2015; 17: 37-43. [PubMed] , Niemic BA. Feline dental radiography and radiology, a primer. J Fel Med Surg 2014; 16: 887-899. , DuPont G.A. Radiographic evaluation and treatment of feline dental resorptive lesions. Vet Clin North Am Small Anim Pract. 2005; 35: 943-62. [PubMed] , Gorrel C, Larsson Å. Feline odontoclastic resorptive lesions: unveiling the early lesion. J Small Anim Pract 2002; 43: 482-488. [PubMed] ]

Son varios los estudios que han identificado dos tipos de raíces en RD.[ Niemic BA. Feline dental radiography and radiology, a primer. J Fel Med Surg 2014; 16: 887-899. , DuPont G.A. Radiographic evaluation and treatment of feline dental resorptive lesions. Vet Clin North Am Small Anim Pract. 2005; 35: 943-62. [PubMed] , DuPont G, DeBowes L. Comparison of periodontitis and root replacement in cat teeth with resorptive lesions. J Vet Dent 2002; 19: 71-75. [PubMed] ] Por un lado, las raíces con RD de tipo 1 se caracterizan por una radiodensidad normal de la raíz y un espacio periodontal intacto y en un estudio[ DuPont G, DeBowes L. Comparison of periodontitis and root replacement in cat teeth with resorptive lesions. J Vet Dent 2002; 19: 71-75. [PubMed] ] suponían el 49,4 % de los casos; por otro lado, las raíces con RD de tipo 2 son radiolúcidas y existe ausencia de ese espacio periodontal y en ese estudio suponían el 50,6 % de los casos. Las RD de tipo 1 estaban 8 veces más asociadas a periodontitis que las RD de tipo 2. En base a estos datos es posible que las reabsorciones de tipo 1 sean de origen inflamatorio y asociadas a enfermedad periodontal y las reabsorciones de tipo 2 sean las realmente idiopáticas,[ Gorrel C. Tooth resorption in cats. Pathophysiology and treatment options. J Fel Med Surg 2015; 17: 37-43. [PubMed] , DuPont G, DeBowes L. Comparison of periodontitis and root replacement in cat teeth with resorptive lesions. J Vet Dent 2002; 19: 71-75. [PubMed] , Girard N, Servet E, Biourges V, et al. Feline dental resorptions in a colony of 109 cats. J Vet Dent 2008; 25: 166-174. [PubMed] ] siendo la edad un factor de riesgo en este tipo[ Girard N, Servet E, Biourges V, et al. Feline dental resorptions in a colony of 109 cats. J Vet Dent 2008; 25: 166-174. [PubMed] ] y habiéndose propuesto diferentes modelos de etiopatogenia.[ Gorrel C. Tooth resorption in cats. Pathophysiology and treatment options. J Fel Med Surg 2015; 17: 37-43. [PubMed] ]

De este modo las lesiones reabsortivas presentes en 307 y 407 del caso que nos ocupa se clasifican como tipo 3 según la clasificación de la AVDC[ AVDC board. Veterinary Dental Nomenclature. Recommendations from the AVDC Nomenclature Committee adopted by the American Dental College Board. www.avdc.org. ] por la pérdida de radiopacidad a nivel de la corona y el cuello del diente (lesión tipo 1), asociadas a su vez con la desaparición del espacio ocupado por el ligamento periodontal a nivel apical, con zonas de fusión entre el hueso y la raíz (anquilosis, lesión tipo 2). Las lesiones reabsortivas presentes en los premolares 106, 206, 308 y 408 se clasifican como tipo 2 siguiendo la misma clasificación[ AVDC board. Veterinary Dental Nomenclature. Recommendations from the AVDC Nomenclature Committee adopted by the American Dental College Board. www.avdc.org. ] (Tabla 1, Fig. 8). Cabe señalar que existe otra clasificación paralela para la RD en función de su gravedad y localización en 5 clases.[ AVDC board. Veterinary Dental Nomenclature. Recommendations from the AVDC Nomenclature Committee adopted by the American Dental College Board. www.avdc.org. ]

El tratamiento que se realizó en estos dientes afectados por RD de tipo 2 y tipo 3 (premolares 106, 206, 307, 308, 407 y 408) fue la amputación de la corona con retención intencionada de sus respectivas raíces, tratamiento de elección según la bibliografía,[ Gorrel C. Tooth resorption in cats. Pathophysiology and treatment options. J Fel Med Surg 2015; 17: 37-43. [PubMed] , Niemic BA. Feline dental radiography and radiology, a primer. J Fel Med Surg 2014; 16: 887-899. , DuPont G.A. Radiographic evaluation and treatment of feline dental resorptive lesions. Vet Clin North Am Small Anim Pract. 2005; 35: 943-62. [PubMed] , Reiter A.M., Soltero-Rivera M.M.. Applied feline oral anatomy and tooth extraction techniques. An illustrated guide. J Fel Med Surg 2014.; 16: 900-913. [PubMed] , Dupont G. Crown amputation with intentional root retention dental resorptive lesions in cats. J Vet Dent. 2002; 19: 107-110. [PubMed] ] estando desaconsejado en casos con patología endodóntica o positivos al virus de la inmunodeficiencia o leucemia felina.[ Niemic BA. Feline dental radiography and radiology, a primer. J Fel Med Surg 2014; 16: 887-899. , DuPont G.A. Radiographic evaluation and treatment of feline dental resorptive lesions. Vet Clin North Am Small Anim Pract. 2005; 35: 943-62. [PubMed] , Dupont G. Crown amputation with intentional root retention dental resorptive lesions in cats. J Vet Dent. 2002; 19: 107-110. [PubMed] , Gorrel C, Larsson Å. Feline odontoclastic resorptive lesions: unveiling the early lesion. J Small Anim Pract 2002; 43: 482-488. [PubMed] ]

Los dientes incisivos 201, 301 y 401 presentaban restos radiculares y su tratamiento consistió en la exodoncia de dichos restos. 

En conclusión, la reabsorción dental es una patología muy frecuente en gatos a menudo infradiagnosticada por el clínico en nuestro país.[ Castelló P. Diagnóstico y tratamiento de la reabsorción dental felina. A propósito de un caso clínico. Clin. Vet. Peq. Anim, 2016; 36: 91-96. ] Se considera una patología dolorosa salvo excepciones. Es esencial hacer un buen examen de la cavidad oral a todos los gatos que acudan a la clínica por cualquier motivo. Es imprescindible del mismo modo realizar un estudio radiológico dental completo en aquellos casos en los que encontremos alteraciones a ese u otro nivel, ya que es el único que permite clasificar el tipo de RD presente en cada diente y, por tanto, decidir el tratamiento más adecuado en función del mismo.

Agradecimientos

A nuestras compañeras de equipo Zara Ortega y Alisha Kirsten y nuestros compañeros de GEMFE, entre otros: Valentina Aybar, Juanjo Vega, Tania Velasco, Belén Montoya, Llibertat Real y Yaiza Gómez.

 

Fuente de financiación: este trabajo no se realizó con fondos comerciales, públicos o del sector privado.

Conflicto de intereses: los autores declaran que no existe conflicto de intereses.

Bibliografía

  1. [1] Gorrel C. Tooth resorption in cats. Pathophysiology and treatment options. J Fel Med Surg 2015; 17: 37-43. [PubMed]
  2. [2] Ingham KE, Gorrel C, Blackburn J, et al. Prevalence of odontoclastic resorptive lesions in a population of clinically healthy cats. J Small Anim Pract 2001; 42: 439-443. [PubMed]
  3. [3] Verstraete FJM, van Aarde RJ, Nieuwoudt BA, Mauer E, Kass PH. The dental pathology of feral cat Marion Island, part 2: Periodontitis, external odontoclastic resorption lesions and mandibular thickening. J Comp Path 1996; 115: 283-297. [PubMed]
  4. [4] AVDC board. Veterinary Dental Nomenclature. Recommendations from the AVDC Nomenclature Committee adopted by the American Dental College Board. www.avdc.org.
  5. [5] Niemic BA. Feline dental radiography and radiology, a primer. J Fel Med Surg 2014; 16: 887-899.
  6. [6] DuPont G.A. Radiographic evaluation and treatment of feline dental resorptive lesions. Vet Clin North Am Small Anim Pract. 2005; 35: 943-62. [PubMed]
  7. [7] Reiter A.M., Soltero-Rivera M.M.. Applied feline oral anatomy and tooth extraction techniques. An illustrated guide. J Fel Med Surg 2014.; 16: 900-913. [PubMed]
  8. [8] Dupont G. Crown amputation with intentional root retention dental resorptive lesions in cats. J Vet Dent. 2002; 19: 107-110. [PubMed]
  9. [9] Reiter A.M., Mendonza K.A. Feline Odontoclastic Resorptive Lesions In Unsolved Enigma In Veterinary Dentistry. Vet Clin North Am Small Anim Pract. 2002; 32: 791-837. [PubMed]
  10. [10] Gorrel C, Larsson Å. Feline odontoclastic resorptive lesions: unveiling the early lesion. J Small Anim Pract 2002; 43: 482-488. [PubMed]
  11. [11] Heaton M, Wilkinson J, Gorrel C, Butterwick R. A rapid screening technique for feline odontoclastic resorptive lesions. J Small Anim Pract 2004; 45: 598-601. [PubMed]
  12. [12] Rusbridge C, Heath S, Gunn-Moore DA, et al.. Feline orofacial pain syndrome (FOPS): a retrospective study of 113 cases. J Fel Med Surg. 2010; 12: 498-508. [PubMed]
  13. [13] DuPont G, DeBowes L. Comparison of periodontitis and root replacement in cat teeth with resorptive lesions. J Vet Dent 2002; 19: 71-75. [PubMed]
  14. [14] Girard N, Servet E, Biourges V, et al. Feline dental resorptions in a colony of 109 cats. J Vet Dent 2008; 25: 166-174. [PubMed]
  15. [15] Castelló P. Diagnóstico y tratamiento de la reabsorción dental felina. A propósito de un caso clínico. Clin. Vet. Peq. Anim, 2016; 36: 91-96.

Artículos recomendados

Estas recomendaciones se ofrecen de forma automática.

  • Concordancia entre IDEXX SediVue Dx y el cultivo de orina en perros y gatos

    L. Di Filippo, I. Frías, R. Santiago
    Clin Vet Peq Anim Vol. 44 - Nº 1 · MAR 2024 · Artículo original referido a múltiples casos clínicos
  • Mortalidad anestésica en gatos en España. Resultados del proyecto COMPLRED

    J. I. Redondo-García, R. Marti-Scharfhausen Sánchez, I. Bilbao-Castro, et al.
    Clin Vet Peq Anim Vol. 44 - Nº 1 · MAR 2024 · Artículo original referido a múltiples casos clínicos
  • Mieloma múltiple en un gato con afectación extramedular de múltiples órganos abdominales

    L. Magen-Moreno, D. Borràs-Murcia, G. Doria-Torra
    Clin Vet Peq Anim Vol. 41 - Nº 2 · JUN 2021 · Artículo original referido a un solo caso clínico
  • Inicio
  • Introducción
  • Caso clínico
  • Discusión
  • Agradecimientos
  • Bibliografía
Artículo anterior Índice de la revista Artículo siguiente
ANUNCIO
Próximos cursos ATVs Elearning
Índice
Inicio Introducción Caso clínico Discusión Agradecimientos Bibliografía
Purina Calming Care
ANUNCIO

¿No eres socio de AVEPA y quieres recibir comunicación de las nuevas ediciones en tu correo?

Suscríbete

Suscríbete y te avisaremos cuando publiquemos un nuevo número

Suscribirme

Enlaces rápidos

  • Inicio
  • Último número
  • Archivo
  • Artículos

Información

  • Comité editorial
  • Política de cookies
  • Política de privacidad
  • Términos y condiciones

Contacto

  • info@imaginice.com
  • Envíanos tu artículo
© 2026 Ice Salud Vet SL. Todos los derechos reservados.

Usamos cookies para mejorar tu experiencia. Selecciona cuáles aceptas: