Logo AVEPA

Clínica Veterinaria de Pequeños Animales

Revista oficial de AVEPA

  • Inicio
  • Último número
  • Archivo
  • Artículos
  • Para autores
  • Contacto
Cursos Junio-Septiembre 2026
ANUNCIO

Clínica Veterinaria de Pequeños Animales

Revista oficial de AVEPA

  • Inicio
  • Último número
  • Archivo
  • Artículos
  • Para autores
  • Contacto
Curso Oftalmología 2026
ANUNCIO
Clin Vet Peq Anim Vol. 40 • Nº 4 • diciembre 2020

Linfadenitis estéril que responde a esteroides en un perro

Sterile steroid-responsive lymphadenitis in a dog

Artículo original referido a un solo caso clínico

J. Martínez-Caro

Facultad de Veterinaria, Universidad de Santiago de Compostela. Av. Carballo Calero s/n. 27002 Lugo (España).

A. Meléndez-Lazo

Hospital Veterinario Puchol. c/ Sauceda 8. 28050 Madrid (España). LABOKLIN España. Av. Industria 4, Edificio 3. 28108 Alcobendas (Madrid, España). LABOKLIN GmbH & Co. KG. c/ Steubenstraße 4. 97688 Bad Kissingen (Alemania).

P. Battiato

Hospital Veterinario Puchol. c/ Sauceda 8. 28050 Madrid (España).

I. Hoffmann

LABOKLIN GmbH & Co. KG. c/ Steubenstraße 4. 97688 Bad Kissingen (Alemania).

M. Suárez-Rey

Facultad de Veterinaria, Universidad de Santiago de Compostela. Av. Carballo Calero s/n. 27002 Lugo (España).

I. Rodríguez-Piñeiro

Hospital Veterinario Puchol. c/ Sauceda 8. 28050 Madrid (España).

Contacto: javier96martinez@gmail.com
Palabras clave: inflamación estéril, perro, inflamación neutrofílica, fiebre, inmunomediado, esteroides, linfadenitis.
Keywords: sterile inflammation, dog, neutrophilic inflammation, fever, immune-mediated, steroids, lymphadenitis.

Clin Vet Peq Anim 2020, 40 (4): 195-200

Descargar artículo

Resumen

Un perro de raza Jack Russell Terrier, macho, de 15 meses de edad, acudió a consulta de medicina interna con historia de fiebre, apatía, una masa cervical ventral y cojera. Tras realizar pruebas de imagen y examen citológico, se determinó que la lesión cervical se correspondía con una linfadenitis neutrofílica que afectaba al linfonodo retrofaríngeo. Mediante las pruebas de imagen y la realización de distintas pruebas de laboratorio se excluyeron tanto causas locales como sistémicas de tipo neoplásico, inflamatorio e infeccioso. La incapacidad de evidenciar ninguna de las etiologías mencionadas, junto con una respuesta favorable al tratamiento inmunosupresor con prednisona, llevó al diagnóstico de linfadenitis neutrofílica estéril que responde a esteroides. Esta patología debe ser considerada en perros con linfadenitis neutrofílica, granulomatosa, mixta y/o necrotizante, y fiebre de origen desconocido, tras excluir el resto de potenciales causas subyacentes.

Abstract

A 15 month-old Jack Russell Terrier dog, male, came for an internal medicine consultation, with history of fever, apathy, a ventral neck lump and lameness. Diagnostic imaging and cytological examination of the mass were performed, and it was determined that the cervical lesion was a neutrophilic lymphadenitis, affecting the retropharyngeal lymph node. Diagnostic imaging and several laboratory tests allowed ruling out both local and systemic causes, such as neoplastic, inflammatory and infectious conditions. A diagnosis of sterile steroid-responsive lymphadenitis was reached as no evidence of any of the aetiologies described above was found, and a favourable response to immunosuppressive treatment with prednisone was obtained. This pathology needs to be considered in dogs with neutrophilic, granulomatous, mixed or necrotising lymphadenitis and fever of unknown origin, when other potential subjacent causes have been excluded.

AVEPA Elearning

La presencia de este logo en un artículo de la revista indica que se publicará un examen sobre el mismo en la plataforma AVEPA Elearning. Su resolución aporta 0,15 créditos dentro del sistema de acreditaciones de especialidades veterinarias de AVEPA.

Introducción

La linfadenitis estéril que responde a esteroides (LERE) canina (también conocida como linfadenitis neutrofílica-macrofágica estéril o linfadenitis piogranulomatosa idiopática) es una patología poco frecuente. Fue descrita detalladamente por primera vez en enero de 2019, en un estudio retrospectivo que evaluaba 49 casos diagnosticados en el Reino Unido.[ Ribas Latre A, McPartland A, Cain D, et al.: Canine sterile steroid-responsive lymphadenitis in 49 dogs. J Small Anim Pract. 2019; 60(5): 280-290. [PubMed] ] Los signos clínicos más comunes incluían pirexia, letargia, anorexia y linfadenomegalia interna o externa. Los animales jóvenes y las hembras estaban afectadas con mayor frecuencia, así como la raza Springer Spaniel Inglés.[ Ribas Latre A, McPartland A, Cain D, et al.: Canine sterile steroid-responsive lymphadenitis in 49 dogs. J Small Anim Pract. 2019; 60(5): 280-290. [PubMed] ] Tanto es así, que más recientemente una segunda publicación abarcaba 64 pacientes con esta patología, todos ellos pertenecientes a dicha raza.[ Dor C, Gajanayake I, Kortum A, et al.: Characterisation and outcome of idiopathic pyogranulomatous lymphadenitis in 64 English springer spaniel dogs. J Small Anim Pract. 2019; 60(9): 551-558. [PubMed] ]

El diagnóstico de LERE se realiza mediante confirmación citológica o histológica de los siguientes hallazgos: linfadenitis neutrofílica, granulomatosa, mixta (piogranulomatosa) y/o necrotizante; tras la exclusión de todas las causas locales o sistémicas, incluyendo causas neoplásicas, inflamatorias o una infección subyacente (causada por bacterias hongos o protozoos); y respuesta favorable a corticoides.[ Ribas Latre A, McPartland A, Cain D, et al.: Canine sterile steroid-responsive lymphadenitis in 49 dogs. J Small Anim Pract. 2019; 60(5): 280-290. [PubMed] , Dor C, Gajanayake I, Kortum A, et al.: Characterisation and outcome of idiopathic pyogranulomatous lymphadenitis in 64 English springer spaniel dogs. J Small Anim Pract. 2019; 60(9): 551-558. [PubMed] ]

Se ha sugerido una etiología inmunomediada primaria, debido al fracaso en la identificación de agentes infecciosos y a una respuesta favorable a la terapia inmunosupresora con corticoides en la mayoría de los casos.[ Ribas Latre A, McPartland A, Cain D, et al.: Canine sterile steroid-responsive lymphadenitis in 49 dogs. J Small Anim Pract. 2019; 60(5): 280-290. [PubMed] , Dor C, Gajanayake I, Kortum A, et al.: Characterisation and outcome of idiopathic pyogranulomatous lymphadenitis in 64 English springer spaniel dogs. J Small Anim Pract. 2019; 60(9): 551-558. [PubMed] ]

Caso clínico

Se presentó en consulta de medicina interna un perro de raza Jack Russell Terrier, macho, de 15 meses de edad. Presentaba una historia de una semana de duración de fiebre, alteración del estado general, cojera y una masa en la región ventral del cuello, detectada por el propietario. No se conocían los antecedentes patológicos familiares. Desde su adquisición, el paciente se encontraba correctamente vacunado, así como desparasitado interna y externamente. Ninguna vacuna había sido administrada en las semanas previas a la aparición de los síntomas. No convivía con otros perros ni gatos y los propietarios nunca observaron ectoparásitos. Previamente, en otros centros veterinarios, recibió diferentes tratamientos que incluían robenacoxib, famotidina, metronidazol, meloxicam, ranitidina, tramadol y cefovecina.

La exploración física reveló fiebre (39,9 ºC), una voluminosa masa dolorosa en la región cervical ventral izquierda (Fig. 1), una cojera sin apoyo de la extremidad posterior derecha y dolor a la manipulación, tanto lumbar como cervical.

<p>Masa voluminosa y dolorosa a nivel cervical.</p>
Figura 1

Masa voluminosa y dolorosa a nivel cervical.

Entre los diagnósticos diferenciales de la lesión cervical se consideró la presencia de un absceso, hiperplasia linfoide reactiva, linfadenitis, neoplasia en el linfonodo (primaria o metastática), sialoadenitis, mucocele o neoplasia de glándula salival, pudiéndose asociar todas estas condiciones con fiebre. Por otra parte, la cojera y el dolor espinal podrían ser problemas no relacionados (p. ej., ortopédicos) o asociados con la fiebre y el dolor del cuello (p. ej., poliartritis/meningitis o enfermedad infecciosa sistémica).

La aproximación diagnóstica comenzó con un hemograma y análisis bioquímico, los cuales revelaron leucocitosis neutrofílica marcada [leucocitos 28,91 x 109/L, intervalo de referencia (IR) 6-17 x 109/L; neutrófilos: 25,35 x 109/L, IR: 3,62-12,30 x 109/L] e hipoalbuminemia [1,8 g/dL, IR: 2,4-3,9 g/dL].

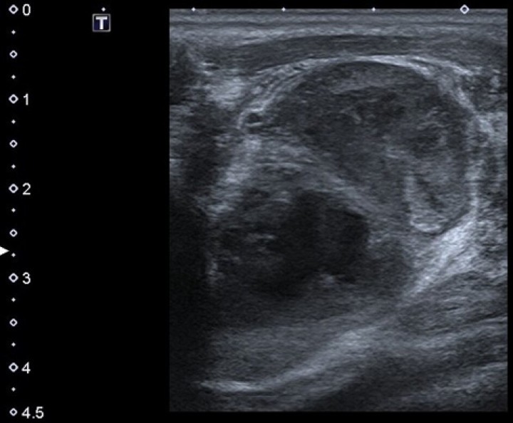
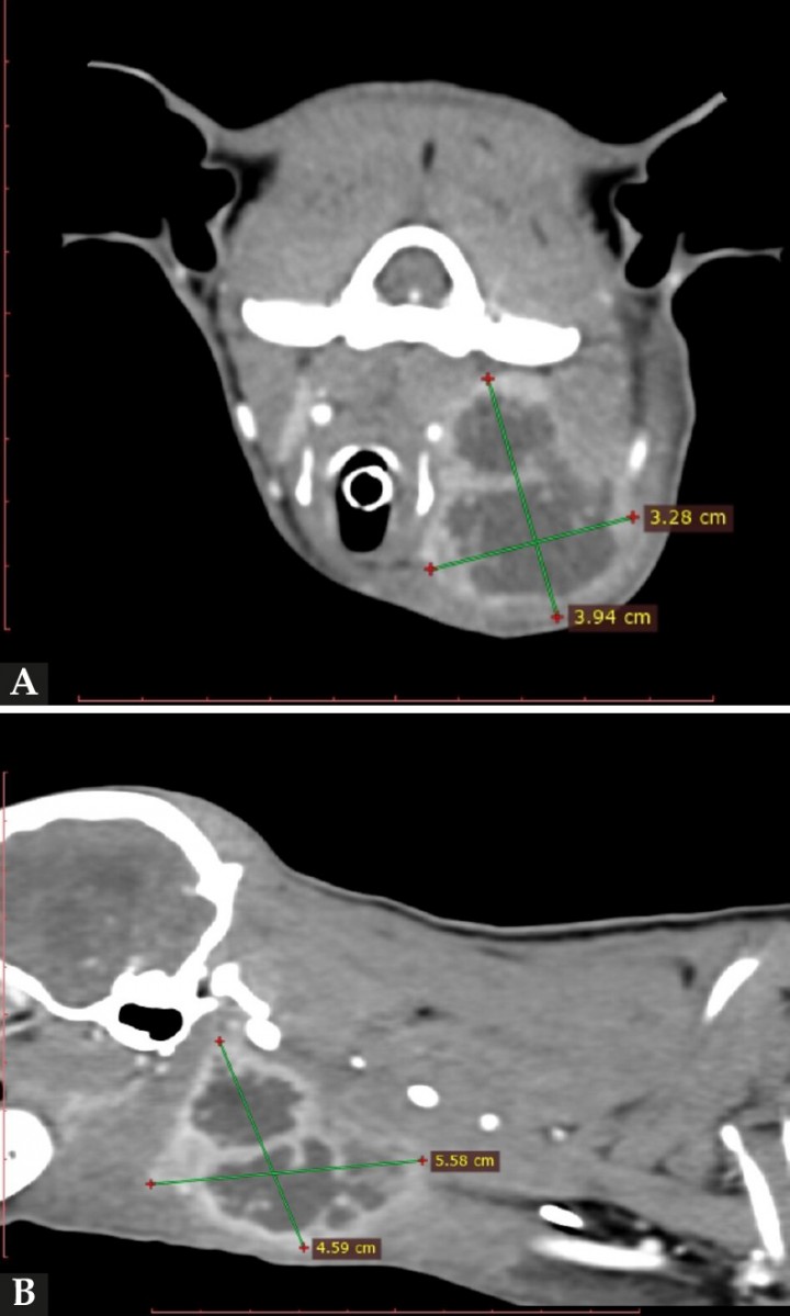
Se realizó una ecografía cervical que mostró un severo incremento del linfonodo (LN) retrofaríngeo izquierdo (3,9 x 1,9 cm), con parénquima heterogéneo y presencia de dos cavidades con contenido hipoecoico con zonas levemente hiperecoicas (Fig. 2). La interpretación fue linfadenitis o absceso linfonodal (de origen desconocido o secundario a cuerpo extraño). Posteriormente, se realizó un estudio de tomografía computarizada, el cual confirmó que la masa cervical tenía origen en el LN retrofaríngeo izquierdo. Además, se confirmó una linfadenomegalia ipsilateral (submandibular, cervical) (Fig. 3), la cual había sido observada durante el examen ecográfico. No se evidenció la presencia de ningún cuerpo extraño tomodensitométricamente visible.

<p>Ecografía cervical. Incremento del linfonodo retrofaríngeo izquierdo (3,9 x 1,9 cm) con parénquima heterogéneo y presencia de dos cavidades con contenido líquido levemente hiperecoico.</p>
Figura 2

Ecografía cervical. Incremento del linfonodo retrofaríngeo izquierdo (3,9 x 1,9 cm) con parénquima heterogéneo y presencia de dos cavidades con contenido líquido levemente hiperecoico.

<p>(<strong>A</strong>) TC, corte axial. Nótese que la masa cervical tiene origen en linfonodo retrofaríngeo izquierdo. (<strong>B</strong>) TC, corte sagital. Véase la misma lesión, alcanzando un tamaño de 5,58 x 4,59 cm.</p>
Figura 3

(A) TC, corte axial. Nótese que la masa cervical tiene origen en linfonodo retrofaríngeo izquierdo. (B) TC, corte sagital. Véase la misma lesión, alcanzando un tamaño de 5,58 x 4,59 cm.

Tras conocer el origen en LN de la masa cervical, se realizó un estudio citológico, en el cual se observaron mayoritariamente neutrófilos (>90 %) y, raramente, macrófagos (<5 %), y se determinó la existencia de una linfadenitis neutrofílica, sin detectar microorganismos (Fig. 4). El cultivo bacteriano (aerobio y anaerobio) y fúngico del contenido del LN resultó negativo.

<p>(<strong>A</strong>) Microfotografía de extensión citológica de la masa submandibular, mostrando inflamación neutrofílica. (<strong>B</strong>) Se aprecian con mayor detalle numerosos neutrófilos degenerados. (Diff-Quik; objetivos de 40x y 100x).</p>
Figura 4

(A) Microfotografía de extensión citológica de la masa submandibular, mostrando inflamación neutrofílica. (B) Se aprecian con mayor detalle numerosos neutrófilos degenerados. (Diff-Quik; objetivos de 40x y 100x).

Con el fin de excluir una afectación generalizada de los LN internos, se efectuaron radiografías torácicas y una ecografía abdominal. En ninguno de estos exámenes se encontraron anomalías destacables.

En cuanto a las pruebas laboratoriales, se cuantificó la concentración de proteína C reactiva, la cual resultó aumentada con 139 mg/L (IR: <15 mg/L). La electroforesis de proteínas séricas (Fig. 5) reveló hipoalbuminemia, incremento de las α2-globulinas (1,4 g/dL, IR: 0,4-1 g/dL) y de las β1-globulinas (1 g/dL, IR: 0,2-0,8 g/dL).

<p>Electroforesis de proteínas séricas.</p>
Figura 5

Electroforesis de proteínas séricas.

Se realizaron serologías para la exclusión de enfermedades infecciosas sistémicas que resultaron negativas para Leishmania infantum (inmunofluorescencia indirecta en laboratorio de referencia) y para Ehrlichia canis, Ehrlichia ewingii, Borrelia burgdorferi, Anaplasma phagocytophilum, Anaplasma platys y Dirofilaria immitis (SNAP 4DX Plus Test, Laboratorios IDEXX, Maine, EEUU). Además, se realizaron PCRs a tiempo real con muestras sanguíneas para Bartonella spp., Ehrlichia spp. y Anaplasma spp., que también resultaron negativas.

A la espera de todos los resultados de los exámenes complementarios, se instauró un tratamiento con prednisona (Prednisona Cinfa 5 mg comprimidos EFG. Laboratorios Cinfa, S.A, Huarte) a dosis inmunosupresora de 1 mg/kg cada 12 horas, doxiciclina a dosis de 5 mg/kg cada 12 horas (Ronaxan 100 mg, Boehringer Ingelheim Animal Health España S.A., Sant Cugat del Vallès), y omeprazol (Arapride 10 mg, Arafarma Group S.A., Guadalajara) a dosis de 1 mg/kg cada 12 horas.

A pesar de la mejoría clínica, el LN retrofaríngeo acabó fistulizando, por lo que comenzaron a realizarse limpiezas de la zona con clorhexidina (Desinclor, clorhexidina digluconato 1%, Imark-Hospital S.L., Ajalvir) cada 8 horas. La ausencia de mejoría tras 48 horas y el riesgo de complicaciones infecciosas motivaron la exéresis quirúrgica bajo anestesia general del LN fistulizado.

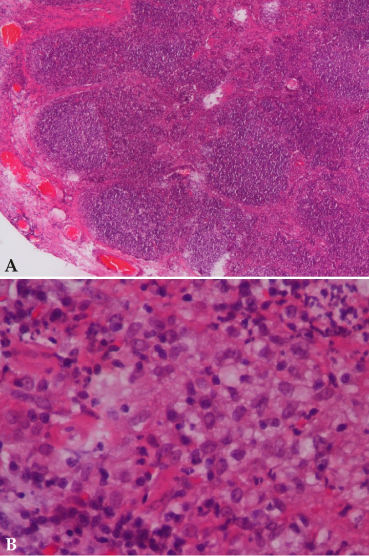
El LN y el tejido circundante se enviaron para estudio histopatológico, observándose un denso infiltrado inflamatorio mixto, con predominio de neutrófilos y macrófagos ocasionales. Además, se realizó una tinción PAS (ácido peryódico reactivo de Schiff) para evidenciar hongos, y tinción Giemsa para ayudar en la visualización de posibles microorganismos. No se observaron microorganismos con ninguna de las tinciones mencionadas. La interpretación fue severa celulitis supurativa y necrotizante activa con linfadenitis asociada (Fig. 6).

<p>(<strong>A</strong>) Microfotografía de sección tisular de la masa, mostrando estructura histológica de linfonodo. (<strong>B</strong>) Se observa imagen a mayores aumentos, consistente con linfadenitis neutrofílica. (Hematoxilina-Eosina; objetivos de 10x y 40x).</p>
Figura 6

(A) Microfotografía de sección tisular de la masa, mostrando estructura histológica de linfonodo. (B) Se observa imagen a mayores aumentos, consistente con linfadenitis neutrofílica. (Hematoxilina-Eosina; objetivos de 10x y 40x).

La concentración de proteína C reactiva se normalizó tras dos semanas de corticoterapia, y la dosis de prednisona fue reduciéndose de forma muy progresiva. Finalmente, para facilitar la dosificación, fue sustituida por prednisolona (Estilsona 7 mg/ml gotas orales en suspensión, Laboratorios Sonphar S.L., Barcelona) a dosis de 0,2 mg/kg cada 72 horas, la cual se interrumpió definitivamente al finalizar el noveno mes. Actualmente, transcurridos 15 meses desde la primera visita, el paciente no ha sufrido ninguna recidiva.

Discusión

Describimos un caso de LERE en un perro joven con fiebre e incremento del tamaño del LN retrofaríngeo izquierdo y, en menor medida, de los LNs submandibular y cervical superficial ipsilaterales. El diagnóstico se realizó tras la exclusión de causas locales o sistémicas, de naturaleza infecciosa o neoplásica, y por la respuesta favorable al tratamiento inmunosupresor con corticoides (prednisona).

Existen varias entidades similares a la LERE, como son la celulitis canina juvenil y la paniculitis nodular estéril canina.[ Dor C, Gajanayake I, Kortum A, et al.: Characterisation and outcome of idiopathic pyogranulomatous lymphadenitis in 64 English springer spaniel dogs. J Small Anim Pract. 2019; 60(9): 551-558. [PubMed] ] Todas tienen en común una posible etiología inmunomediada, la aparición generalmente en perros jóvenes o adultos jóvenes, y la ausencia de microorganismos como agente causal primario.[ Ribas Latre A, McPartland A, Cain D, et al.: Canine sterile steroid-responsive lymphadenitis in 49 dogs. J Small Anim Pract. 2019; 60(5): 280-290. [PubMed] , Dor C, Gajanayake I, Kortum A, et al.: Characterisation and outcome of idiopathic pyogranulomatous lymphadenitis in 64 English springer spaniel dogs. J Small Anim Pract. 2019; 60(9): 551-558. [PubMed] , Santoro D, Prisco M, Ciaramella P.: Cutaneous sterile granulomas/ pyogranulomas, leishmaniasis and mycobacterial infections. J Small Anim Pract. 2008; 49(11): 552-561. [PubMed] , Contreary CL, Outerbridge CA, Affolter VK, et al.: Canine sterile nodular panniculitis: A retrospective study of 39 dogs. Vet Dermatol. 2015; 26(6): 451-e105. [PubMed] ] Además, la combinación de fiebre, los signos inespecíficos que envuelven a diferentes sistemas orgánicos, junto con la neutrofilia en la mayoría de los perros, podría sugerir la existencia de un proceso inflamatorio sistémico, en el caso de LERE.[ Ribas Latre A, McPartland A, Cain D, et al.: Canine sterile steroid-responsive lymphadenitis in 49 dogs. J Small Anim Pract. 2019; 60(5): 280-290. [PubMed] , Dor C, Gajanayake I, Kortum A, et al.: Characterisation and outcome of idiopathic pyogranulomatous lymphadenitis in 64 English springer spaniel dogs. J Small Anim Pract. 2019; 60(9): 551-558. [PubMed] , Dandrieux JR, Timm K, Roosje PJ, et al.: Unusual Systemic Signs in a Dog with Sterile Neutrophilic-Macrophagic Lymphadenitis and Nodular Panniculitis. J Am Anim Hosp Assoc. 2011; 47(2): 117-121. [PubMed] ]

Sin embargo, estas 3 entidades difieren en el modo de presentación. En la celulitis canina juvenil es frecuente encontrar hinchazón bilateral de la cara de forma aguda. Afecta principalmente a párpados, labios, y hocico y suele estar asociada con eritema, pápulas, nódulos, pústulas y vesículas.[ Contreary CL, Outerbridge CA, Affolter VK, et al.: Canine sterile nodular panniculitis: A retrospective study of 39 dogs. Vet Dermatol. 2015; 26(6): 451-e105. [PubMed] ] La paniculitis nodular estéril suele presentarse como nódulos subcutáneos múltiples (aunque pueden ser únicos), que histológicamente muestran una inflamación de la grasa subcutánea, normalmente con predominio de neutrófilos e histiocitos.[ Santoro D, Prisco M, Ciaramella P.: Cutaneous sterile granulomas/ pyogranulomas, leishmaniasis and mycobacterial infections. J Small Anim Pract. 2008; 49(11): 552-561. [PubMed] ] Por último, en la LERE, hay una afección primaria de los LNs (linfadenitis neutrofílica en nuestro caso), afectando con mayor frecuencia a LNs submandibulares, cervicales superficiales y poplíteos,[ Ribas Latre A, McPartland A, Cain D, et al.: Canine sterile steroid-responsive lymphadenitis in 49 dogs. J Small Anim Pract. 2019; 60(5): 280-290. [PubMed] , Dor C, Gajanayake I, Kortum A, et al.: Characterisation and outcome of idiopathic pyogranulomatous lymphadenitis in 64 English springer spaniel dogs. J Small Anim Pract. 2019; 60(9): 551-558. [PubMed] ] y no como resultado del drenaje de otras lesiones. A juzgar por la cronología de los acontecimientos, el diagnóstico histopatológico de nuestro paciente (severa celulitis supurativa y necrotizante activa con linfadenitis asociada) corresponde presuntamente con una celulitis secundaria a la fistulización del LN, el cual estaba afectado previamente.

En nuestro paciente, la presencia de fiebre y de una lesión cervical permitió orientar el abordaje diagnóstico. Se optó en primer lugar por la investigación de la masa cervical y, tras saber que se trataba de una linfadenitis neutrofílica a través del examen citológico, se realizó una amplia batería de pruebas para intentar evidenciar una etiología infecciosa, que incluyó una combinación de pruebas en tejido (cultivo bacteriano y fúngico) y pruebas serológicas especificadas en la descripción del caso clínico. Todos los resultados fueron negativos.

Una posible limitación de nuestro caso podría ser la no realización de PCR para Bartonella spp. y Mycobacterium spp. directamente en tejido lesionado. Las linfadenitis en el caso de infecciones por Bartonella spp. en el perro han sido descritas como piogranulomatosas o granulomatosas;[ Morales SC, Breitschwerdt EB, Washabau RJ, et al.: Detection of Bartonella henselae DNA in two dogs with pyogranulomatous lymphadenitis. J Am Vet Med Assoc. 2007; 230(5): 681-685. [PubMed] , Drut A, Bublot I, Breitschwerdt EB, et al: Comparative microbiological features of Bartonella henselae infection in a dog with fever of unknown origin and granulomatous lymphadenitis. Med Microbiol Immunol. 2014; 203(2): 85-91. [PubMed] ] en el caso descrito aquí la linfadenitis era neutrofílica. Además, en los tres casos descritos en la literatura, la detección de Bartonella henselae se realizó por PCR en sangre y en dos de ellos también por PCR en tejido (linfonodo). A día de hoy, no existen estudios comparativos de la sensibilidad de la PCR para la detección de Bartonella spp. en sangre o en tejido y, por ello, en nuestro caso la efectuamos únicamente en sangre (tejido en el que hay más cantidad de estudios), lo que permitió limitar los costes para el propietario. La búsqueda de Mycobacterium spp. en tejido no se consideró pertinente a criterio del patólogo, ya que las características histológicas y citológicas no se correspondían con las propias de una infección por este agente, en las que se detecta un predominio de macrófagos.[ Turinelli V, Ledieu D, Guilbaud L, et al: Mycobacterium tuberculosis infection in a dog from Africa. Vet Clin Pathol. 2004; 33(3): 177-181. [PubMed] , Campora L, Corazza M, Zullino C, Ebani V V., Abramo F: Mycobacterium avium subspecies hominissuis disseminated infection in a Basset Hound dog. J Vet Diagnostic Investig. 2011; 23(5): 1083-1087. , Etienne CL, Granat F, Trumel C, et al.: A mycobacterial coinfection in a dog suspected on blood smear. Vet Clin Pathol. 2013; 42(4): 516-521. [PubMed] ] Además, debido a la baja cantidad de macrófagos, probablemente la tinción Ziehl-Neelsen no resultaría de gran ayuda.

En ocasiones, el diagnóstico citológico e histopatológico pueden ser discordantes, probablemente por la distribución irregular de las células inflamatorias en el LN. Ribas Latre y colaboradores (2019) obtuvieron una concordancia entre ambas técnicas de tan solo 7 casos de 21 en los que se realizaron ambos procedimientos en pacientes con LERE. Sin embargo, el resultado general de los perros parece no verse afectado por el tipo de inflamación.[ Ribas Latre A, McPartland A, Cain D, et al.: Canine sterile steroid-responsive lymphadenitis in 49 dogs. J Small Anim Pract. 2019; 60(5): 280-290. [PubMed] ] La naturaleza de la inflamación es altamente variable, pudiendo ser desde puramente neutrofílica hasta puramente macrofágica, pasando por mixta con diferente proporción de neutrófilos y macrófagos.[ Ribas Latre A, McPartland A, Cain D, et al.: Canine sterile steroid-responsive lymphadenitis in 49 dogs. J Small Anim Pract. 2019; 60(5): 280-290. [PubMed] , Dor C, Gajanayake I, Kortum A, et al.: Characterisation and outcome of idiopathic pyogranulomatous lymphadenitis in 64 English springer spaniel dogs. J Small Anim Pract. 2019; 60(9): 551-558. [PubMed] ] Por esto, la nomenclatura del proceso es variable y puede incluir adjetivos en cuanto al tipo de linfadenitis (p. ej., neutrofílica, macrofágica, piogranulomatosa o mixta neutrofílica-macrofágica).

El diagnóstico de linfadenitis neutrofílica o supurativa mediante citología se alcanza cuando la proporción de neutrófilos es mayor al 5 % y ante la ausencia de contaminación sanguínea significativa.[ Blauvelt M, Messick JB: The lymph Nodes. En: Valenciano AC, Cowell RL (ed): Cowell and Tyler’s diagnostic cytology and hematology of the dog and cat. 5ª edición, St. Louis, Elsevier, 2019; 171-185. ] No existe un límite exacto en cuanto al porcentaje de macrófagos necesario para considerar inflamación mixta (neutrofílica-macrofágica). Aunque en nuestro caso se observaron macrófagos de forma ocasional, no se consideraron suficientes como para interpretar una inflamación mixta ni piogranulomatosa, para la cual se esperaría una disposición epitelioide de los macrófagos en la citología. La mejor forma de diagnosticar una inflamación piogranulomatosa es la histología y, en este caso, no se observó este tipo de inflamación.

La hipoalbuminemia puede estar causada por diferentes mecanismos: incremento de las pérdidas o del catabolismo, y disminución de la producción o de la absorción. Además, la albúmina es una proteína de fase aguda negativa.[ McGrotty Y, Bell R, McLauchlan G: Disorders of plasma proteins. En: Villiers E, Ristic J (ed): BSAVA Manual of Canine and Feline Clinical Pathology. 3ª edición, Gloucester, BSAVA, 2016; 123-141. ] En nuestro caso, teniendo en cuenta el incremento de las concentraciones de proteína C reactiva y de las globulinas, es probable que la hipoalbuminemia fuera debida a una respuesta de fase aguda negativa.

Un pico en la fracción de las α2-globulinas en el proteinograma se ha asociado con un incremento de la haptoglobina como parte de la respuesta de fase aguda,[ McGrotty Y, Bell R, McLauchlan G: Disorders of plasma proteins. En: Villiers E, Ristic J (ed): BSAVA Manual of Canine and Feline Clinical Pathology. 3ª edición, Gloucester, BSAVA, 2016; 123-141. ] tal y como se observó en nuestro paciente. Además, las concentraciones de proteína C reactiva se han utilizado para evaluar la respuesta al tratamiento en la LERE, normalizándose cuando hay mejora clínica,[ Ribas Latre A, McPartland A, Cain D, et al.: Canine sterile steroid-responsive lymphadenitis in 49 dogs. J Small Anim Pract. 2019; 60(5): 280-290. [PubMed] ] como sucedió en nuestro caso.

Nuestro paciente presentaba también cojera y dolor lumbar y cervical. Se han descrito tanto poliartritis como meningitis en algunos perros con LERE.[ Ribas Latre A, McPartland A, Cain D, et al.: Canine sterile steroid-responsive lymphadenitis in 49 dogs. J Small Anim Pract. 2019; 60(5): 280-290. [PubMed] ] Por tanto, el análisis del líquido cefalorraquídeo y del fluido sinovial hubiera sido recomendable para confirmar o descartar ambas condiciones. Pese a dicha limitación, el hecho de que ambos problemas se solucionaran con el tratamiento inmunosupresor favorece la hipótesis de una etiología inmunomediada, tratándose posiblemente de LERE a juzgar por el resto de hallazgos del caso.

El uso de antibióticos puede ser controvertido, ya que la antibioterapia no se considera un tratamiento efectivo en la LERE.[ Ribas Latre A, McPartland A, Cain D, et al.: Canine sterile steroid-responsive lymphadenitis in 49 dogs. J Small Anim Pract. 2019; 60(5): 280-290. [PubMed] , Dor C, Gajanayake I, Kortum A, et al.: Characterisation and outcome of idiopathic pyogranulomatous lymphadenitis in 64 English springer spaniel dogs. J Small Anim Pract. 2019; 60(9): 551-558. [PubMed] ] Sin embargo, su uso podría estar justificado principalmente ante dos situaciones: en casos en los que por el estado clínico del paciente no se puede esperar a los resultados de las pruebas para agentes infecciosos, o ante la posibilidad de que hayan ocurrido resultados falsos negativos en dichas pruebas y exista una alta sospecha de que realmente se trate de una patología infecciosa.

En nuestro caso, debido a un rápido empeoramiento del paciente, se optó por instaurar antibioterapia con doxiciclina a la espera de los resultados de las pruebas de agentes infecciosos, y se añadió prednisona a dosis inmunosupresoras por la fuerte sospecha de que se tratara de una LERE. El estado del paciente mejoró sustancialmente tras instaurar el tratamiento.

El hecho de que el LN fistulizara podría tener dos explicaciones. Podría ser consecuencia de la punción-aspiración con aguja fina realizada durante el proceso diagnóstico, pero también por la propia naturaleza supurativa (inflamación neutrofílica) y necrotizante (impidiendo la correcta respuesta a la corticoterapia) de la lesión.

La LERE es una enfermedad de reciente descripción y, por ello, no disponemos de estudios comparativos sobre la eficacia de los diferentes inmunosupresores. En el estado de conocimientos actual, los fármacos inmunosupresores utilizados como primera línea son los glucocorticoides (principalmente, prednisolona). Algunos pacientes con LERE pueden recaer tras la interrupción del tratamiento o mientras se disminuye la dosis de la medicación, lo que puede requerir un inmunosupresor de segunda línea.[ Ribas Latre A, McPartland A, Cain D, et al.: Canine sterile steroid-responsive lymphadenitis in 49 dogs. J Small Anim Pract. 2019; 60(5): 280-290. [PubMed] ] Estos medicamentos de segunda línea también se pueden utilizar para disminuir los efectos secundarios de los glucocorticoides y son, principalmente, la ciclosporina y la azatioprina.[ Ribas Latre A, McPartland A, Cain D, et al.: Canine sterile steroid-responsive lymphadenitis in 49 dogs. J Small Anim Pract. 2019; 60(5): 280-290. [PubMed] , Dor C, Gajanayake I, Kortum A, et al.: Characterisation and outcome of idiopathic pyogranulomatous lymphadenitis in 64 English springer spaniel dogs. J Small Anim Pract. 2019; 60(9): 551-558. [PubMed] ] Pueden utilizarse solos o en diferentes combinaciones entre ellos y/o con glucocorticoides. Otros fármacos inmunosupresores usados en menor medida son ciclofosfamida, micofenolato y clorambucilo.[ Ribas Latre A, McPartland A, Cain D, et al.: Canine sterile steroid-responsive lymphadenitis in 49 dogs. J Small Anim Pract. 2019; 60(5): 280-290. [PubMed] ]

En nuestro caso, no se produjeron recidivas durante la fase de disminución de la dosis de prednisona, ni al interrumpir completamente el tratamiento al noveno mes de iniciarlo. Pasados 15 meses desde la primera visita, el paciente continúa asintomático.

En conclusión, la LERE debería ser considerada dentro del diagnóstico diferencial de aquellos perros que presenten pirexia y linfadenitis neutrofílica, macrofágica o mixta, de forma concurrente. Se trata de un diagnóstico de exclusión, por lo que será necesario descartar cualquier otra causa subyacente, tanto local como sistémica, incluyendo causas infecciosas, neoplásicas o inflamatorias. Los pacientes a menudo responden bien al tratamiento inmunosupresor con corticoides, lo que hace sospechar de una etiología inmunomediada primaria. Sin embargo, pueden producirse recaídas al disminuir la dosis o interrumpir el tratamiento. Por tanto, el clínico debe ser consciente de que estos pacientes requerirán una investigación diagnóstica amplia para poder ser identificados y tratados correctamente.

 

Fuente de financiación: este trabajo no se ha realizado con fondos comerciales, públicos o del sector privado.

Conflicto de intereses: los autores declaran que no existe ningún conflicto de interés.

Bibliografía

  1. [1] Ribas Latre A, McPartland A, Cain D, et al.: Canine sterile steroid-responsive lymphadenitis in 49 dogs. J Small Anim Pract. 2019; 60(5): 280-290. [PubMed]
  2. [2] Dor C, Gajanayake I, Kortum A, et al.: Characterisation and outcome of idiopathic pyogranulomatous lymphadenitis in 64 English springer spaniel dogs. J Small Anim Pract. 2019; 60(9): 551-558. [PubMed]
  3. [3] Santoro D, Prisco M, Ciaramella P.: Cutaneous sterile granulomas/ pyogranulomas, leishmaniasis and mycobacterial infections. J Small Anim Pract. 2008; 49(11): 552-561. [PubMed]
  4. [4] Contreary CL, Outerbridge CA, Affolter VK, et al.: Canine sterile nodular panniculitis: A retrospective study of 39 dogs. Vet Dermatol. 2015; 26(6): 451-e105. [PubMed]
  5. [5] Dandrieux JR, Timm K, Roosje PJ, et al.: Unusual Systemic Signs in a Dog with Sterile Neutrophilic-Macrophagic Lymphadenitis and Nodular Panniculitis. J Am Anim Hosp Assoc. 2011; 47(2): 117-121. [PubMed]
  6. [6] Morales SC, Breitschwerdt EB, Washabau RJ, et al.: Detection of Bartonella henselae DNA in two dogs with pyogranulomatous lymphadenitis. J Am Vet Med Assoc. 2007; 230(5): 681-685. [PubMed]
  7. [7] Drut A, Bublot I, Breitschwerdt EB, et al: Comparative microbiological features of Bartonella henselae infection in a dog with fever of unknown origin and granulomatous lymphadenitis. Med Microbiol Immunol. 2014; 203(2): 85-91. [PubMed]
  8. [8] Turinelli V, Ledieu D, Guilbaud L, et al: Mycobacterium tuberculosis infection in a dog from Africa. Vet Clin Pathol. 2004; 33(3): 177-181. [PubMed]
  9. [9] Campora L, Corazza M, Zullino C, Ebani V V., Abramo F: Mycobacterium avium subspecies hominissuis disseminated infection in a Basset Hound dog. J Vet Diagnostic Investig. 2011; 23(5): 1083-1087.
  10. [10] Etienne CL, Granat F, Trumel C, et al.: A mycobacterial coinfection in a dog suspected on blood smear. Vet Clin Pathol. 2013; 42(4): 516-521. [PubMed]
  11. [11] Blauvelt M, Messick JB: The lymph Nodes. En: Valenciano AC, Cowell RL (ed): Cowell and Tyler’s diagnostic cytology and hematology of the dog and cat. 5ª edición, St. Louis, Elsevier, 2019; 171-185.
  12. [12] McGrotty Y, Bell R, McLauchlan G: Disorders of plasma proteins. En: Villiers E, Ristic J (ed): BSAVA Manual of Canine and Feline Clinical Pathology. 3ª edición, Gloucester, BSAVA, 2016; 123-141.

Artículos recomendados

Estas recomendaciones se ofrecen de forma automática.

  • Fallo hepático en un perro tras intoxicación por ingestión de semillas de Cycas revoluta

    C. García, A. Segarra, N. Bedía, et al.
    Clin Vet Peq Anim Vol. 45 - Nº 3 · SEP 2025 · Artículo original referido a un solo caso clínico
  • Pseudoaneurisma venoso de presunto origen yatrogénico causado al realizar una biopsia ósea

    F. Osorio, L. Feo, J. Puig
    Clin Vet Peq Anim Vol. 45 - Nº 1 · MAR 2025 · Artículo original referido a un solo caso clínico
  • Concordancia entre IDEXX SediVue Dx y el cultivo de orina en perros y gatos

    L. Di Filippo, I. Frías, R. Santiago
    Clin Vet Peq Anim Vol. 44 - Nº 1 · MAR 2024 · Artículo original referido a múltiples casos clínicos
  • Inicio
  • Introducción
  • Caso clínico
  • Discusión
  • Bibliografía
Artículo anterior Índice de la revista Artículo siguiente
ANUNCIO
Próximos cursos ATVs Elearning
Índice
Inicio Introducción Caso clínico Discusión Bibliografía
Advance Affinity - Intolerance Duck
ANUNCIO

¿No eres socio de AVEPA y quieres recibir comunicación de las nuevas ediciones en tu correo?

Suscríbete

Suscríbete y te avisaremos cuando publiquemos un nuevo número

Suscribirme

Enlaces rápidos

  • Inicio
  • Último número
  • Archivo
  • Artículos

Información

  • Comité editorial
  • Política de cookies
  • Política de privacidad
  • Términos y condiciones

Contacto

  • info@imaginice.com
  • Envíanos tu artículo
© 2026 Ice Salud Vet SL. Todos los derechos reservados.

Usamos cookies para mejorar tu experiencia. Selecciona cuáles aceptas: