Logo AVEPA

Clínica Veterinaria de Pequeños Animales

Revista oficial de AVEPA

  • Inicio
  • Último número
  • Archivo
  • Artículos
  • Para autores
  • Contacto
Cursos Junio-Septiembre 2026
ANUNCIO

Clínica Veterinaria de Pequeños Animales

Revista oficial de AVEPA

  • Inicio
  • Último número
  • Archivo
  • Artículos
  • Para autores
  • Contacto
Curso Oftalmología 2026
ANUNCIO
Clin Vet Peq Anim Vol. 41 • Nº 1 • marzo 2021

Aportación de la tomografía computarizada al estudio de la displasia de codo en el perro

The contribution of computed tomography to study of elbow dysplasia in dogs

Artículo original referido a múltiples casos clínicos

M. Novales-Durán

Universidad de Córdoba, Facultad de Veterinaria. Crta. Nac. IV a Km 396. 14071 Córdoba.

M. Tovar-Escriche

All Creatures Clinic. 51 Windsor Drive. Orpington BR6 6EY (United Kingdom).

B. Blanco-Navas

Universidad de Córdoba, Facultad de Veterinaria. Crta. Nac. IV a Km 396. 14071 Córdoba.

P.J. Ginel-Pérez

Universidad de Córdoba, Facultad de Veterinaria. Crta. Nac. IV a Km 396. 14071 Córdoba.

R. Lucena-Solís

Universidad de Córdoba, Facultad de Veterinaria. Crta. Nac. IV a Km 396. 14071 Córdoba.

Contacto: pv1nodum@uco.es
Palabras clave: perro, codo, displasia, coronoides, TC.
Keywords: dog, elbow, dysplasia, coronoid, CT.

Clin Vet Peq Anim 2021, 41 (1): 25-32

Descargar artículo

Resumen

Este es un estudio retrospectivo de tomografía computarizada (TC) en 33 perros con sospecha de displasia de codo (DC). Se incluyeron 20 machos y 13 hembras, con edades entre 5 y 72 meses, fundamentalmente de razas Labrador Retriever y Pastor Alemán, con cojera uni o bilateral de extremidades anteriores, disminución de movilidad y dolor a la hiperextensión del codo. En todos los perros se valoraron ambos codos (n=66). La TC se realizó en decúbito supino y con los codos extendidos, con un equipo de TC dotado de un multidetector de 2 cortes (modelo CT/e Dual, General Electric). Se detectó la enfermedad de la apófisis coronoides medial del cúbito (EACM) en 53 codos. Otras lesiones de DC, casi siempre asociadas a la anterior, fueron la osteocondrosis/osteochondritis dissecans (OCD) (6 codos), la no unión del proceso ancóneo (NUPA) (3 codos) o la incongruencia articular (IA) (19 codos). Los planos de corte que ofrecieron mejor información fueron el transversal para apreciar la EACM, el sagital para apreciar la NUPA e IA y el dorsal para detectar casos de OC. La TC fue un método no invasivo adecuado de diagnóstico para detectar la EACM y otras enfermedades del codo. Posee una gran capacidad para detectar signos de artrosis.

Abstract

This is a retrospective study involving the CT findings of 33 dogs with suspected elbow dysplasia. The study included 20 males and 13 females with an age range of 5 to 72 months, in which the Labrador Retriever and German Shepherd breeds were the most represented. Clinically, dogs had unilateral or bilateral forelimb lameness, reduced mobility and signs of pain upon elbow hyperextension. Both elbow joints were included in the CT examination (n=66). The CT was performed using a 2-slice multidetector helical CT (CT/e Dual, General Electric) and dogs were positioned in dorsal recumbency with both elbows extended cranially. Medial coronoid disease (MCD) was observed in 53 elbows. Other lesions consistent with elbow dysplasia (ED), such as osteochondrosis/osteochondritis dissecans (OCD) (6 elbows), ununited anconeal process (UAP) and elbow incongruency (EI) (19 elbows) were also observed. The cutting image planes that provided the best information were the transverse plane for the diagnosis of MCD; the sagittal plane for the diagnosis of UAP and EI, and the dorsal plane in cases of OC. CT scan is a non-invasive method suitable for the diagnosis of MCD and other elbow conditions, and it is highly sensitive to detect signs of osteoarthritis.

AVEPA Elearning

La presencia de este logo en un artículo de la revista indica que se publicará un examen sobre el mismo en la plataforma AVEPA Elearning. Su resolución aporta 0,15 créditos dentro del sistema de acreditaciones de especialidades veterinarias de AVEPA.

Introducción

La displasia de codo (DC) es la causa más frecuente de cojera de extremidades anteriores en perros jóvenes de razas grandes y gigantes.[ Fitzpatrick N, Smith T, Evans R, Yeadon R. (2009) Radiographic and arthroscopic findings in the elbow joints of 263 dogs with medial coronoid disease. Vet Surg 2009; 38: 213-223. , How K. Clinical signs of elbow dysplasia and osteoarthritis. Proc 30thAnn Meet Inter Elbow Working Group. Vienna (Austria). 2016: 5-7. , Hazewinkel HAW. Prevalence of elbow dysplasia, and pathogenesis of FCP in young Labradors. Proc 32th Ann Meet Inter Elbow Working Group. Barcelona (Spain). 2018: 5-11. ] Su origen es multifactorial, sumando a la predisposición genética o la influencia de condicionantes medioambientales (sobrepeso, rápido crecimiento, excesivo ejercicio, influencias hormonales).[ Hazewinkel HAW. Prevalence of elbow dysplasia, and pathogenesis of FCP in young Labradors. Proc 32th Ann Meet Inter Elbow Working Group. Barcelona (Spain). 2018: 5-11. ] Bajo el término displasia de codo se engloban cuatro patologías: la no unión del proceso ancóneo (NUPA), la ostecondrosis/osteocondritis disecante del cóndilo humeral (OCD), la enfermedad de la apófisis coronoides medial del cúbito (EACM) y la incongruencia articular (IA). Estas patologías pueden afectar al codo uni o bilateralmente e incluso presentarse en combinación dentro del mismo codo.[ Hazewinkel HAW. Prevalence of elbow dysplasia, and pathogenesis of FCP in young Labradors. Proc 32th Ann Meet Inter Elbow Working Group. Barcelona (Spain). 2018: 5-11. ]

El diagnóstico de la DC se basa en la mayoría de los casos en técnicas de diagnóstico por imagen, aunque en ocasiones es necesaria la exploración artroscópica de la articulación para llegar a un diagnóstico definitivo. La radiografía es la técnica estándar, pero otras técnicas como la gammagrafía, ecografía, TC y resonancia magnética resultan también de gran utilidad. De todas ellas, la TC es la técnica de elección,[ Gielen I, Villamonte-Chevalier A, Broeckx BJG, van Bree H. D. Different imaging modalities in ED; what is their specific added value? Proc 31st Ann Meet Inter Elbow Working Group. Verona (Italy). 2017: 5-8. , Cook C, Cook J. Diagnostic imaging of canine elbow dysplasia: a review. Vet Surg 2009; 38: 144-153. [PubMed] ] sobre todo para valorar aquellos casos en los que el estudio radiográfico del codo resulte negativo o sospechoso de DC. 

Los objetivos de este trabajo son:

  1. Mostrar los signos característicos de la displasia de codo en los distintos planos de corte de la TC, estableciendo las aportaciones y limitaciones de la técnica. 
  2. Describir hallazgos o patologías asociadas a la DC detectados al realizar una TC de codo.

Material y métodos

Animales

Se realizó un estudio retrospectivo con perros con sospecha de DC que habían sido referidos para la realización de una TC al Servicio de Diagnóstico por Imagen del Hospital Clínico Veterinario de la Universidad de Córdoba en los últimos 4 años. Se consideraron los siguientes criterios de inclusión: perros de raza mediana a grande-gigante, de edades superiores a 5 meses, con cojera uni o bilateral de las extremidades anteriores, disminución de movilidad y dolor a la hiperextensión del codo. En estudios radiográficos previos se descartó la existencia de fracturas, luxación de codo, cierre prematuro de las fisis del cúbito o radio, infecciones, neoplasias o panosteítis.

Se incluyeron un total de 33 perros, de ambos sexos y de diferentes razas, con edades superiores a 5 meses. 

Método

En todos los perros se realizaron estudios de TC de ambos codos. En total se estudiaron 66 codos, bajo anestesia general, en decúbito dorsal y con los codos extendidos. La TC se realizó con un equipo dotado de un multidetector de 2 cortes (modelo CT/e Dual, General Electric, Japón). El protocolo escogido fue de 120 kV y 150 mAs, con tamaño de matriz de imagen de 512 x 512. Se realizaban cortes de 0,6 mm en modo helicoidal y pitch de 0,7. Las imágenes se valoraron con ventana de hueso y de tejidos blandos. Para el hueso se utilizó un nivel de ventana (window level, WL) de 100 Unidades Hounsfield (UH) y una amplitud de ventana (window width, WW) de 3000 UH. Los tejidos blandos se estudiaron con nivel de ventana de 40 UH y una amplitud de ventana de 350 UH. Los estudios se valoraron en formato DICOM con el programa Horos© (versión libre para Apple de 64 bit) en los tres planos de corte (transversal, dorsal y sagital), así como las imágenes en 3D. Las estructuras valoradas en cada plano de corte se detallan en la Tabla 1.

Image
Tabla 1

Resultados

En nuestro estudio se incluyeron un total de 33 perros, 20 de los cuales eran machos y 13 hembras. La edad media de presentación fue de 21,2 ± 19,4 meses (media ± DE), siendo el rango de edad de 5 a 72 meses. En relación a la raza, 11 perros fueron Labrador Retriever y 7 Pastor Alemán, quedando otras razas representadas en menor medida (Tabla 2). 

Image
Tabla 2

De los 66 codos estudiados 53 fueron positivos al diagnóstico de EACM en forma de: fragmentaciones (41 codos), fisuras (8 codos), esclerosis (3 codos) y osteomalacia (1 codo) (Fig. 1). La fragmentación se mostró como un único fragmento de 1,5 a 8 mm unido o separado a la apófisis coronoides medial en casi todos los casos, salvo en 3 codos donde aparecieron 2-4 fragmentos. En todos los casos de fragmentación clara los signos aparecían en los tres planos de corte: transversal, dorsal y sagital. Estos planos de corte permitieron diferenciar, además de la fragmentación, signos de degeneración articular sutiles, no siempre apreciados en las radiografías. Las fisuras se diagnosticaron siempre que fuesen visibles en al menos dos de los tres planos de corte (transversal y dorsal, o transversal y sagital). Los casos de esclerosis y ostemalacia de la apófisis resultan dudosos en la TC y solo se incluyeron tras su confirmación artroscópica. Otras lesiones asociadas fueron la OC (6 codos) (Fig. 2), la NUPA (3 codos) (Fig. 3) o la IA (Fig. 4). Como patologías concomitantes se detectaron: osificación incompleta del cóndilo humeral (1 codo) (Fig. 5), fragmentos avulsionados, (2 codos) (Fig. 6), y remodelación en el epicóndilo lateral del húmero (1 codo) (Fig. 7), detectándose como hallazgo la presencia de sesamoideos en el músculo supinador (4 codos). La gran mayoría de los casos (58 codos) presentaban artrosis de diverso grado (Tabla 3).

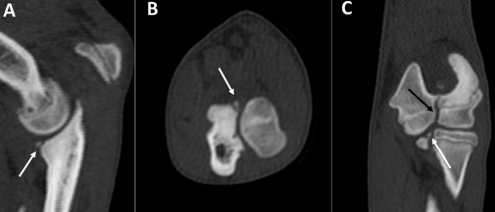
<p>Labrador macho de 8 meses con cojera bilateral. Codo derecho. Planos transversal (<strong>A</strong>), dorsal (<strong>B</strong>) y sagital (<strong>C</strong>). Se indica la fragmentación de la apófisis coronoides medial (flechas blancas). La escotadura radial aparece muy irregular (flecha negra) y presenta esclerosis de la escotadura subtroclear del cúbito (flecha roja). Existe una buena congruencia articular.</p>
Figura 1

Labrador macho de 8 meses con cojera bilateral. Codo derecho. Planos transversal (A), dorsal (B) y sagital (C). Se indica la fragmentación de la apófisis coronoides medial (flechas blancas). La escotadura radial aparece muy irregular (flecha negra) y presenta esclerosis de la escotadura subtroclear del cúbito (flecha roja). Existe una buena congruencia articular.

<p>Labrador Retriever macho de 5 meses, con cojera unilateral intermitente del codo izquierdo. Imagen en 3D del codo, en vista caudal (<strong>A</strong>) y planos dorsal (<strong>B</strong>), sagital (<strong>C</strong>) y transversal (<strong>D</strong>). Osteocondrosis del cóndilo humeral, con abundante hueso esclerótico (flechas negras) y un fragmento osteocondral desprendido del cóndilo (flecha amarilla). Se señala la fragmentación de la apófisis coronoides medial del cúbito (flecha blanca). Existe artrosis avanzada, especialmente manifiesta en la cara medial del codo (M).</p>
Figura 2

Labrador Retriever macho de 5 meses, con cojera unilateral intermitente del codo izquierdo. Imagen en 3D del codo, en vista caudal (A) y planos dorsal (B), sagital (C) y transversal (D). Osteocondrosis del cóndilo humeral, con abundante hueso esclerótico (flechas negras) y un fragmento osteocondral desprendido del cóndilo (flecha amarilla). Se señala la fragmentación de la apófisis coronoides medial del cúbito (flecha blanca). Existe artrosis avanzada, especialmente manifiesta en la cara medial del codo (M).

<p>Cruzado macho de 36 meses con dolor en el codo izquierdo. Radiografía craneocaudal (<strong>A</strong>) e imágenes en 3D del codo por las caras craneal (<strong>B</strong>), caudomedial (<strong>C</strong>) y medial (<strong>D</strong>). Plano transversal a la altura de la apófisis coronoides medial (<strong>E</strong>). Se señala la posición de la apófisis coronoides medial (flechas negras) y del osteofito localizado en la porción distal de la escotadura troclear del cúbito (flechas blancas). Es evidente la no unión del proceso ancóneo (flecha amarilla).</p>
Figura 3

Cruzado macho de 36 meses con dolor en el codo izquierdo. Radiografía craneocaudal (A) e imágenes en 3D del codo por las caras craneal (B), caudomedial (C) y medial (D). Plano transversal a la altura de la apófisis coronoides medial (E). Se señala la posición de la apófisis coronoides medial (flechas negras) y del osteofito localizado en la porción distal de la escotadura troclear del cúbito (flechas blancas). Es evidente la no unión del proceso ancóneo (flecha amarilla).

<p>Pastor Alemán macho de 9 meses. Planos dorsal (<strong>A</strong>), transversal (<strong>B</strong>) y sagital (<strong>C</strong>). Reconstrucción 3D MPR multiplanar para conseguir planos oblicuos. Con este tipo de reconstrucción cada eje tiene un color y produce la imagen en el recuadro del color correspondiente. Existe una fragmentación de la apófisis coronoides medial del cúbito (flecha blanca). En B se ha orientado la línea azul para conseguir el plano sagital perpendicular a la apófisis coronoides (C). En el plano sagital se aprecia un marcado escalón (de 2,6 mm) entre la apófisis coronoides lateral y la epífisis proximal del radio (flecha roja) lo que indica que existe una incongruencia articular.</p>
Figura 4

Pastor Alemán macho de 9 meses. Planos dorsal (A), transversal (B) y sagital (C). Reconstrucción 3D MPR multiplanar para conseguir planos oblicuos. Con este tipo de reconstrucción cada eje tiene un color y produce la imagen en el recuadro del color correspondiente. Existe una fragmentación de la apófisis coronoides medial del cúbito (flecha blanca). En B se ha orientado la línea azul para conseguir el plano sagital perpendicular a la apófisis coronoides (C). En el plano sagital se aprecia un marcado escalón (de 2,6 mm) entre la apófisis coronoides lateral y la epífisis proximal del radio (flecha roja) lo que indica que existe una incongruencia articular.

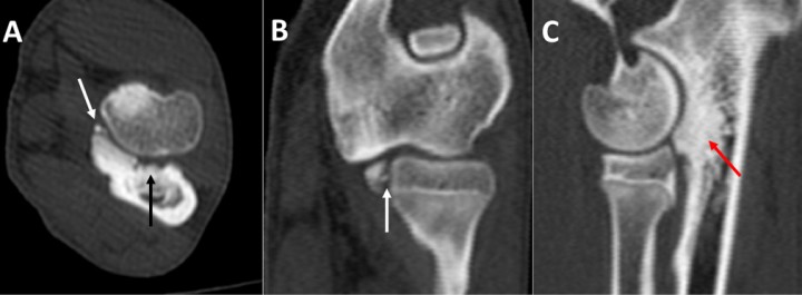
<p>Labrador Retriever, hembra de 6 meses, con cojera crónica intensa del miembro anterior izquierdo. Planos sagital (<strong>A</strong>), transversal (<strong>B</strong>) y dorsal (<strong>C</strong>). Es visible la fragmentación de la apófisis coronoides medial del cúbito (flechas blancas), así como la osificación incompleta del cóndilo del húmero (flecha negra).</p>
Figura 5

Labrador Retriever, hembra de 6 meses, con cojera crónica intensa del miembro anterior izquierdo. Planos sagital (A), transversal (B) y dorsal (C). Es visible la fragmentación de la apófisis coronoides medial del cúbito (flechas blancas), así como la osificación incompleta del cóndilo del húmero (flecha negra).

<p>Pastor Alemán hembra de 8 meses, con cojera de dos semanas y dolor en el codo derecho. Imágenes en 3D del codo por la cara medial (<strong>A</strong>) y planos sagital (<strong>B</strong>) y transversal (<strong>C</strong>). La apófisis coronoides medial del cúbito muestra un pequeño fragmento hipoatenuante (flecha blanca) que se confirmó mediante artroscopia. Además, existe un pequeño fragmento hiperatenuante próximo al borde caudodistal del epicóndilo medial del húmero, que no va acompañado de reacción ósea (flechas negras). Esta estructura asociada al tendón flexor es seguramente un fragmento avulsionado, indicativo de una desmopatía crónica.</p>
Figura 6

Pastor Alemán hembra de 8 meses, con cojera de dos semanas y dolor en el codo derecho. Imágenes en 3D del codo por la cara medial (A) y planos sagital (B) y transversal (C). La apófisis coronoides medial del cúbito muestra un pequeño fragmento hipoatenuante (flecha blanca) que se confirmó mediante artroscopia. Además, existe un pequeño fragmento hiperatenuante próximo al borde caudodistal del epicóndilo medial del húmero, que no va acompañado de reacción ósea (flechas negras). Esta estructura asociada al tendón flexor es seguramente un fragmento avulsionado, indicativo de una desmopatía crónica.

<p>Podenco macho de 42 meses con cojera bilateral por fragmentación de las apófisis coronoides medial de ambos codos. Planos transversal (<strong>A</strong>) y sagital (<strong>B</strong>) del codo izquierdo (Iz) que muestra fragmentación de la apófisis coronoides medial del cúbito (flechas blancas). Imágenes en 3D en vistas caudales de los codo izquierdo (<strong>C</strong>) y derecho (<strong>D</strong>). Existe una importante remodelación del epicóndilo lateral izquierdo (C) (flecha negra) acompañada de remodelación de la apófisis ancónea (flecha amarilla). Se muestra el codo derecho (De) para comparación.</p>
Figura 7

Podenco macho de 42 meses con cojera bilateral por fragmentación de las apófisis coronoides medial de ambos codos. Planos transversal (A) y sagital (B) del codo izquierdo (Iz) que muestra fragmentación de la apófisis coronoides medial del cúbito (flechas blancas). Imágenes en 3D en vistas caudales de los codo izquierdo (C) y derecho (D). Existe una importante remodelación del epicóndilo lateral izquierdo (C) (flecha negra) acompañada de remodelación de la apófisis ancónea (flecha amarilla). Se muestra el codo derecho (De) para comparación.

Image
Tabla 3

Discusión

Realizamos el estudio con el animal en decúbito dorsal y los codos extendidos cranealmente, evitando la superposición de la cabeza para evitar artefactos por endurecimiento del haz, y en ventana hueso con grosores de corte finos y con una amplitud de ventana amplia para valorar bien el hueso subcondral.[ vön Pucker KH, Ondreka N, Tellhelm B. Elbow dysplasia: Computed tomography standards, protocols and quality assurance. Proc 30th Ann Meet Inter Elbow Working Group. Vienna, Austria 2016: 17-18. ] También se realizaron con el antebrazo en posición neutra, evitando la máxima supinación y pronación del antebrazo para poder valorar adecuadamente la incongruencia articular.[ Lau, S, Theyse L, Hazewinkel A. Radiographic, computed tomographic and arthroscopic findings in Labrador Retrievers with medial coronoid disease. Vet Surg 2015; 44: 511-520. [PubMed] ] En este trabajo no hemos incluido ningún animal en decúbito esternal, ya que, aunque puede producir mejor calidad de imagen al no interferir la cabeza y cuello sobre la región del codo, esta posición obliga a forzar excesivamente el cuello. Además, en muchos de estos animales realizamos estudios adicionales del hombro, no incluidos en este trabajo, con lo que evitamos tener que cambiar el decúbito para estudiar dicha región. En nuestra clínica realizamos los TC de hombro y codo en la misma posición. 

Una de las limitaciones del estudio, al trabajar con casos referidos, era que la exploración clínica la realizaban distintos veterinarios. No obstante, escogimos aquellos animales donde la información obtenida era metódica y la exploración clínica se ajustaba a los criterios de selección descritos.[ Fitzpatrick N, Smith T, Evans R, Yeadon R. (2009) Radiographic and arthroscopic findings in the elbow joints of 263 dogs with medial coronoid disease. Vet Surg 2009; 38: 213-223. , How K. Clinical signs of elbow dysplasia and osteoarthritis. Proc 30thAnn Meet Inter Elbow Working Group. Vienna (Austria). 2016: 5-7. , Hazewinkel HAW. Prevalence of elbow dysplasia, and pathogenesis of FCP in young Labradors. Proc 32th Ann Meet Inter Elbow Working Group. Barcelona (Spain). 2018: 5-11. ]

En nuestro estudio se encontró DC más frecuentemente en machos (60,6%) que en hembras (39,4%). Los perros evaluados representaban a 14 razas distintas (incluidos mestizos), todos de razas mediana a grande-gigante. Es llamativo la alta proporción de perros de raza Labrador Retriever, posiblemente la raza con displasia de codo más estudiada.[ Padgett G, Mostosky U, Probst C, Thomas M, Krecke C. The inheritance of osteochondritis dissecans and fragmented coronoid process of the elbow joint in Labrador Retrievers. J Am Hosp Assoc, 1995; 31: 327-330. [PubMed] ] En España, entre los años 2007 y 2018 el grupo GEVO de AVEPA realizó controles radiológicos de displasia de codo a 2800 perros siendo las razas más estudiadas el Labrador (17,3%) y el Rottweiler (17,3%).[ Chico A. Overview of elbow dysplasia screening in Spain. Proc 32th Ann Meet Int Elbow Working Group. Barcelona (Spain): 2018: 12. , Chico-Carballas A, Rial-Cels J, Lafuente-Baigorri P. Artroscopia en la enfermedad del compartimento medial: característica de 284 casos. Clín Vet Peq Anim 2018: 38: 177-188. ] El rango de edad y la distribución entre sexos son similares a los descritos en un estudio multicéntrico realizado en España.[ Chico-Carballas A, Rial-Cels J, Lafuente-Baigorri P. Artroscopia en la enfermedad del compartimento medial: característica de 284 casos. Clín Vet Peq Anim 2018: 38: 177-188. ]

Es bien conocido que la EACM es la patología más frecuente del codo[ Padgett G, Mostosky U, Probst C, Thomas M, Krecke C. The inheritance of osteochondritis dissecans and fragmented coronoid process of the elbow joint in Labrador Retrievers. J Am Hosp Assoc, 1995; 31: 327-330. [PubMed] , Kunst C, Pease A, Nelson, N, Habing G, Ballegeer A. Computed tomographic identification of dysplasia and progression of osteoarthritis in dog elbows previously assigned of grades 0 and 1. Vet Radiol Ultras 2014; 55: 511-520. [PubMed] ] con cojera en razas grande o gigantes y con una mayor presentación bilateral,[ Fitzpatrick N, Smith T, Evans R, Yeadon R. (2009) Radiographic and arthroscopic findings in the elbow joints of 263 dogs with medial coronoid disease. Vet Surg 2009; 38: 213-223. , How K. Clinical signs of elbow dysplasia and osteoarthritis. Proc 30thAnn Meet Inter Elbow Working Group. Vienna (Austria). 2016: 5-7. ] al igual que en nuestro estudio. Es por eso importante realizar siempre estudios de ambos codos aunque los síntomas sean unilaterales. En nuestra experiencia la TC proporciona un diagnóstico fiable cuando se evidencia claramente el fragmento (libre o unido) en los tres planos de corte: transversal, dorsal y sagital. También se pueden observar fisuras en al menos dos planos de corte. En los casos en que observamos aumento de densidad (esclerosis) o disminución (osteomalacia) el diagnóstico no es seguro, siendo necesario realizar una artroscopia para confirmar el diagnóstico.[ Moores A, Benigni L, Lamb C. (2008). Computed tomography versus arthroscopy for detection of canine elbow dysplasia lesions. Vet Surg 2008; 37: 390-398. [PubMed] , Groth A, Beningni L, Moores A, Lamb C. Spectrum of computed tomographic findings in 58 canine elbows with fragmentation of the medial coronoid process. J Small Anim Pract 2009; 50: 15-22. [PubMed] ] En el presente trabajo solamente se han considerado positivos los casos confirmados artroscópicamente. Del total de codos estudiados, cuatro de ellos que resultaron sospechosos de EACM no pudieron ser confirmados mediante artroscopia, de ahí que no fuesen incluidos dentro del grupo. 

En 6 codos (9,1%) se detectó lesión en el cóndilo humeral (OCD o kissing lesion), todos concomitantes con EACM. La OCD consiste en un defecto en la osificación endocondral cuya lesión tiende a manifestarse en la superficie de carga de la zona medial del cóndilo humeral.[ Hornof W, Wind A, Wallack S, Schulz K. Canine elbow dysplasia: the early radiographic detection of fragmentation of the coronoid process. Vet Clin North Am Small Anim Pract 2000; 30: 257-266. [PubMed] ] La TC permite igualmente observar el defecto de osificación con o sin presencia de un fragmento cartilaginoso (flap). En la TC se aprecia una zona hipoatenuante en la parte medial del húmero, que puede ir acompañado de una reacción esclerótica.[ Reichle J, Park R, Bahr A. Computed tomographic findings of dogs with cubital joint lameness. Vet Radiol Ultras 2000; 41: 125-130. [PubMed] , Cook C, Cook J. Diagnostic imaging of canine elbow dysplasia: a review. Vet Surg 2009; 38: 144-153. [PubMed] ] Con la TC el mejor plano para evaluar la OCD es el dorsal, siendo también válido el sagital.[ Reichle J, Park R, Bahr A. Computed tomographic findings of dogs with cubital joint lameness. Vet Radiol Ultras 2000; 41: 125-130. [PubMed] , Cook C, Cook J. Diagnostic imaging of canine elbow dysplasia: a review. Vet Surg 2009; 38: 144-153. [PubMed] ] Los fragmentos de la apófisis coronoides medial, especialmente si están desplazados, pueden erosionar el cóndilo humeral dando lugar a lesiones por roce o contacto (kissing lesions).[ Groth A, Beningni L, Moores A, Lamb C. Spectrum of computed tomographic findings in 58 canine elbows with fragmentation of the medial coronoid process. J Small Anim Pract 2009; 50: 15-22. [PubMed] ] En ocasiones resulta difícil diferenciar estas lesiones de las producidas por la OCD.[ Chico A. Overview of elbow dysplasia screening in Spain. Proc 32th Ann Meet Int Elbow Working Group. Barcelona (Spain): 2018: 12. , Hornof W, Wind A, Wallack S, Schulz K. Canine elbow dysplasia: the early radiographic detection of fragmentation of the coronoid process. Vet Clin North Am Small Anim Pract 2000; 30: 257-266. [PubMed] ]

No es infrecuente que existan dos patologías simultáneas en el codo, como la presencia conjunta de EACM y NUPA descrita en trabajos previos.[ Padgett G, Mostosky U, Probst C, Thomas M, Krecke C. The inheritance of osteochondritis dissecans and fragmented coronoid process of the elbow joint in Labrador Retrievers. J Am Hosp Assoc, 1995; 31: 327-330. [PubMed] ] En un estudio sobre artroscopia en la enfermedad del compartimento medial de 284 casos se detectaron mediante artroscopia lesiones asociadas de EACM y OCD en el 20% de los casos y un 5% asociado a NUPA.[ Chico-Carballas A, Rial-Cels J, Lafuente-Baigorri P. Artroscopia en la enfermedad del compartimento medial: característica de 284 casos. Clín Vet Peq Anim 2018: 38: 177-188. ]

La NUPA se diagnostica fácilmente en una radiografía mediolateral flexionada, por lo que son pocos los casos que nos remiten para diagnosticar la enfermedad mediante TC. Los tres casos remitidos presentaban además EACM y signos de artrosis avanzada. Dada la coexistencia de NUPA y EACM en algunos codos, en nuestra opinión un animal con NUPA debería someterse a una TC para descartar también la presencia de una EACM. De no hacerlo, se podría dar el caso de realizar una cirugía de la enfermedad más llamativa, dejando sin intervenir una EACM que podría haber pasado desapercibida en el estudio radiográfico. 

Solamente hemos encontrado IA en el 28% de los codos. La coexistencia de EACM con IA ya ha sido señalada.[ Samoy Y, Gielen I, van Caelenberg A. et al. Computed tomography findings in 32 joints affected with severe elbow incongruity and fragmented medial coronoid process. Vet Surg 2012; 41: 486-494. [PubMed] ] Aunque la radiografía cuenta con una sensibilidad razonable una vez que la distancia, en el plano sagital, entre la apófisis lateral del cúbito y la epífisis proximal del radio es mayor de 2 mm,[ Alves-Pimenta S, Colaço B, Fernandes A et al. Radiographic assessment of humeroulnar congruity in a medium and a large breed of dog. Vet Radiol Ultras 2017; 58: 627-633. [PubMed] ] la TC resulta mucho más precisa que la radiografía a la hora de valorar dicha IA. Para ello, habitualmente realizamos una reconstrucción multiplanar en 3D, orientando la imagen en planos oblicuos a la apófisis coronoides, obteniendo así la medida radiocubital más exacta.[ Lau SF, Woorhout G. Dog positioning for CT scanning of the elbow joints. Proc. 29th Ann Meet Intern Elbow Working Group, Bangkok (Thailand) 2015; 23-24. , Wisner E, Zwingenberger A. (2015). Atlas of Small Animal CT and MRI. Wiley-Blackwell, West Sussex (UK): 617-635. , Holsworth IG, Wisner ER, Scherrer WE et al. Accuracy of computerized tomographic evaluation of canine radio-ulnar incongruence in vitro. Vet Surgery. 2005; 34: 108-113. [PubMed] , Novales-Durán M, Lucena-Solís R, Tovar-Escriche M, Hernández-Robles E, Ginel-Pérez P, Blanco-Navas B. Claves para interpretar y comprender la tomografía computarizada del codo normal del perro. Clin Vet Peq Anim 2020; 40: 131-139. ] El plano sagital permite apreciar el escalonamiento entre la apófisis lateral del cúbito y la epífisis proximal del radio, mientras que el plano dorsal posibilita valorar la asimetría humerorradial. 

En la TC se pueden detectar otros signos de interés en el codo, en algunos casos patológicos y otros simples hallazgos. De esta forma hemos detectado un codo que presentaba EACM, pero cuya principal patología era la osificación incompleta del cóndilo humeral. Es conocida la aparición fisiológica de dos centros de osificación independientes[ Wisner E, Zwingenberger A. (2015). Atlas of Small Animal CT and MRI. Wiley-Blackwell, West Sussex (UK): 617-635. ] que aparecen alrededor de los 22 días y se fusionan a los 84.[ Gielen I. Joints (shoulder, elbow, tarsus). En Schwarz T, Saunders J (eds): Veterinary Computed Tomography. West Sussex (UK), Wiley-Blackwell. 2011; 408-411. ] En los perros con osificación incompleta del cóndilo del húmero, los dos centros permanecen separados por una fina línea fibrosa, lo que los predispone al padecimiento de fracturas patológicas del cóndilo.[ Robin D, Marcellin-Little D. Incomplete ossification of the humeral condyle in two Labrador Retrievers. J Small Anim Pract 2001; 42: 231-234. [PubMed] ] Si bien la radiografía craneocaudal puede resultar diagnóstica, la superposición del olécranon puede dificultar el diagnóstico, ofreciendo la TC un diagnóstico mucho más preciso, especialmente en el plano dorsal. 

Las lesiones del epicóndilo medial son relativamente frecuentes en el perro,[ Gielen I, Villamonte-Chevalier A, Broeckx BJG, van Bree H. D. Different imaging modalities in ED; what is their specific added value? Proc 31st Ann Meet Inter Elbow Working Group. Verona (Italy). 2017: 5-8. , De Bakker E, Samoy Y, Gielen I, van Ryssen B. Medial humeral epicondylar lesions in the canine elbow. Vet Comp Orthop Traumatol 2011; 24: 9-17. [PubMed] ] incluyendo la presencia de pequeñas avulsiones del mismo, y se le ha relacionado con posibles traumatismos en la inserción del tendón flexor digital superficial[ De Bakker E, Samoy Y, Gielen I, van Ryssen B. Medial humeral epicondylar lesions in the canine elbow. Vet Comp Orthop Traumatol 2011; 24: 9-17. [PubMed] ] apareciendo asociado a diversas formas de artrosis de codo. Normalmente existen signos de remodelación del epicóndilo y con frecuencia entesopatías o artrosis asociadas. En el caso reportado por nosotros, la lesión se centraba en el epicóndilo lateral y no se detectaban entesopatías o áreas hipoatenuantes en los músculos asociados que pudieran indicar signos de inflamación asociados. Es verdad que existía una importante remodelación de la porción lateral de la apófisis ancónea, pero dicha remodelación estaba, en menor medida pero también intensa, en la apófisis ancónea del otro codo. Además, existía una clara EACM. No hemos encontrado referencias sobre esta lesión en la bibliografía consultada. 

La presencia del sesamoideo del músculo supinador es un hallazgo frecuente que se observa hasta en el 30% de los perros estudiados.[ Thrall DE, Robertson ID. Atlas of normal radiographic anatomy & anatomic variants in the dog and cat. St. Louis, Missouri (US). Elsevier-Saunders 2016; 90-135. ] En todos los casos se trataba de fragmentos redondeados, de diverso tamaño y bordes bien delimitados, que no estaban acompañados de imágenes hiperatenuantes en los tejidos blandos próximos, considerando que en el momento del estudio no producían signos clínicos.

Un 87% de todos los codos estudiados presentaban signos de artrosis. Aunque en la mayoría de los casos las radiografías pueden detectar los signos de artrosis, la TC puede determinar signos de degeneración articular en localizaciones muy concretas, como presencia de irregularidades o quistes en la escotadura radial, que hemos detectado en 18 de los codos estudiados. Estas alteraciones, que solamente se aprecian en el plano de corte transversal,[ Groth A, Beningni L, Moores A, Lamb C. Spectrum of computed tomographic findings in 58 canine elbows with fragmentation of the medial coronoid process. J Small Anim Pract 2009; 50: 15-22. [PubMed] ] no pueden determinarse en las radiografías convencionales. Por otra parte, la TC permite diagnosticar de forma muy exacta la posición de los osteofitos, que pueden dar falsas imágenes en las radiografías.

Se sabe que la apófisis ancónea es una estructura asimétrica más alta por su borde lateral y el osteofito de la apófisis ancónea es un signo bastante inicial de DC.[ Hornof W, Wind A, Wallack S, Schulz K. Canine elbow dysplasia: the early radiographic detection of fragmentation of the coronoid process. Vet Clin North Am Small Anim Pract 2000; 30: 257-266. [PubMed] ] En el perro de raza Pastor Belga se ha determinado, mediante TC, que la aparición de un pequeño osteofito en la apófisis ancónea puede ser una variante anatómica siempre que se descarten signos de artrosis.[ Lappalainen A, Mölsä S, Liman A, Laitinen-Vapaavuori O, Snellman M. Radiographic and computed tomography findings in Belgian Sheperd dogs with mild elbow dysplasia. Vet Radiol Ultras 2009; 50: 364-369. [PubMed] ] Cuando se realizan radiografías oficiales de DC, el diagnóstico se basa en ocasiones en cambios sutiles que no siempre son bien aceptados por los propietarios, realizando apelaciones sobre dichas valoraciones.[ Olerth S, Tellhelm B, Amort K, Ondreka N. Explanation of the IEWG grading system. Proc 30th Ann Meet Inter Elbow Working Group. Vienna (Austria). 2016: 14-16. ] En nuestra opinión, muchos de estos cambios sutiles podrían ser bien valorados realizando TC de codo para animales dudosos. El International Elbow Working Group estudia preparar protocolos estandarizados para el control de la DC, si bien de momento no parece existir acuerdo entre los especialistas para la adopción de esta técnica.[ Lappalainen A, Mölsä S, Liman A, Laitinen-Vapaavuori O, Snellman M. Radiographic and computed tomography findings in Belgian Sheperd dogs with mild elbow dysplasia. Vet Radiol Ultras 2009; 50: 364-369. [PubMed] ]

En el diagnóstico de la displasia de codo, la TC es una técnica que complementa otros métodos de diagnóstico por imagen. Si bien existen casos que se pueden diagnosticar mediante radiografías bien posicionadas y con criterios claros de evaluación,[ Hazewinkel HAW. Prevalence of elbow dysplasia, and pathogenesis of FCP in young Labradors. Proc 32th Ann Meet Inter Elbow Working Group. Barcelona (Spain). 2018: 5-11. ] la TC resulta muy útil para el diagnóstico de la EACM siempre que las radiografías no muestren resultados concluyentes, lo cual no excluye que puedan existir casos dudosos en los que se necesite confirmación mediante artroscopia.

Conclusión

Dentro de las DC la TC constituye un excelente método no invasivo de diagnóstico, especialmente en casos de la enfermedad de la apófisis coronoides medial del cúbito no apreciables en las radiografías. Algunos casos necesitan de confirmación artroscópica para su diagnóstico definitivo. El plano de corte transversal es el que ofrece una imagen más precisa de la lesión. 

Un perro con dolor de codo unilateral debería someterse a un estudio de ambos codos, por la alta probabilidad de presentar patologías bilaterales.

 

Fuente de financiación: este trabajo no se realizó con fondos comerciales, públicos o del sector privado.

Conflicto de intereses: los autores declara que no existen conflicto de intereses.

Bibliografía

  1. [1] Fitzpatrick N, Smith T, Evans R, Yeadon R. (2009) Radiographic and arthroscopic findings in the elbow joints of 263 dogs with medial coronoid disease. Vet Surg 2009; 38: 213-223.
  2. [2] How K. Clinical signs of elbow dysplasia and osteoarthritis. Proc 30thAnn Meet Inter Elbow Working Group. Vienna (Austria). 2016: 5-7.
  3. [3] Hazewinkel HAW. Prevalence of elbow dysplasia, and pathogenesis of FCP in young Labradors. Proc 32th Ann Meet Inter Elbow Working Group. Barcelona (Spain). 2018: 5-11.
  4. [4] Gielen I, Villamonte-Chevalier A, Broeckx BJG, van Bree H. D. Different imaging modalities in ED; what is their specific added value? Proc 31st Ann Meet Inter Elbow Working Group. Verona (Italy). 2017: 5-8.
  5. [5] Cook C, Cook J. Diagnostic imaging of canine elbow dysplasia: a review. Vet Surg 2009; 38: 144-153. [PubMed]
  6. [6] vön Pucker KH, Ondreka N, Tellhelm B. Elbow dysplasia: Computed tomography standards, protocols and quality assurance. Proc 30th Ann Meet Inter Elbow Working Group. Vienna, Austria 2016: 17-18.
  7. [7] Lau, S, Theyse L, Hazewinkel A. Radiographic, computed tomographic and arthroscopic findings in Labrador Retrievers with medial coronoid disease. Vet Surg 2015; 44: 511-520. [PubMed]
  8. [8] Padgett G, Mostosky U, Probst C, Thomas M, Krecke C. The inheritance of osteochondritis dissecans and fragmented coronoid process of the elbow joint in Labrador Retrievers. J Am Hosp Assoc, 1995; 31: 327-330. [PubMed]
  9. [9] Chico A. Overview of elbow dysplasia screening in Spain. Proc 32th Ann Meet Int Elbow Working Group. Barcelona (Spain): 2018: 12.
  10. [10] Chico-Carballas A, Rial-Cels J, Lafuente-Baigorri P. Artroscopia en la enfermedad del compartimento medial: característica de 284 casos. Clín Vet Peq Anim 2018: 38: 177-188.
  11. [11] Kunst C, Pease A, Nelson, N, Habing G, Ballegeer A. Computed tomographic identification of dysplasia and progression of osteoarthritis in dog elbows previously assigned of grades 0 and 1. Vet Radiol Ultras 2014; 55: 511-520. [PubMed]
  12. [12] Moores A, Benigni L, Lamb C. (2008). Computed tomography versus arthroscopy for detection of canine elbow dysplasia lesions. Vet Surg 2008; 37: 390-398. [PubMed]
  13. [13] Groth A, Beningni L, Moores A, Lamb C. Spectrum of computed tomographic findings in 58 canine elbows with fragmentation of the medial coronoid process. J Small Anim Pract 2009; 50: 15-22. [PubMed]
  14. [14] Hornof W, Wind A, Wallack S, Schulz K. Canine elbow dysplasia: the early radiographic detection of fragmentation of the coronoid process. Vet Clin North Am Small Anim Pract 2000; 30: 257-266. [PubMed]
  15. [15] Reichle J, Park R, Bahr A. Computed tomographic findings of dogs with cubital joint lameness. Vet Radiol Ultras 2000; 41: 125-130. [PubMed]
  16. [16] Cook C, Cook J. Diagnostic imaging of canine elbow dysplasia: a review. Vet Surg 2009; 38: 144-153. [PubMed]
  17. [17] Samoy Y, Gielen I, van Caelenberg A. et al. Computed tomography findings in 32 joints affected with severe elbow incongruity and fragmented medial coronoid process. Vet Surg 2012; 41: 486-494. [PubMed]
  18. [18] Alves-Pimenta S, Colaço B, Fernandes A et al. Radiographic assessment of humeroulnar congruity in a medium and a large breed of dog. Vet Radiol Ultras 2017; 58: 627-633. [PubMed]
  19. [19] Lau SF, Woorhout G. Dog positioning for CT scanning of the elbow joints. Proc. 29th Ann Meet Intern Elbow Working Group, Bangkok (Thailand) 2015; 23-24.
  20. [20] Wisner E, Zwingenberger A. (2015). Atlas of Small Animal CT and MRI. Wiley-Blackwell, West Sussex (UK): 617-635.
  21. [21] Holsworth IG, Wisner ER, Scherrer WE et al. Accuracy of computerized tomographic evaluation of canine radio-ulnar incongruence in vitro. Vet Surgery. 2005; 34: 108-113. [PubMed]
  22. [22] Novales-Durán M, Lucena-Solís R, Tovar-Escriche M, Hernández-Robles E, Ginel-Pérez P, Blanco-Navas B. Claves para interpretar y comprender la tomografía computarizada del codo normal del perro. Clin Vet Peq Anim 2020; 40: 131-139.
  23. [23] Gielen I. Joints (shoulder, elbow, tarsus). En Schwarz T, Saunders J (eds): Veterinary Computed Tomography. West Sussex (UK), Wiley-Blackwell. 2011; 408-411.
  24. [24] Robin D, Marcellin-Little D. Incomplete ossification of the humeral condyle in two Labrador Retrievers. J Small Anim Pract 2001; 42: 231-234. [PubMed]
  25. [25] De Bakker E, Samoy Y, Gielen I, van Ryssen B. Medial humeral epicondylar lesions in the canine elbow. Vet Comp Orthop Traumatol 2011; 24: 9-17. [PubMed]
  26. [26] Thrall DE, Robertson ID. Atlas of normal radiographic anatomy & anatomic variants in the dog and cat. St. Louis, Missouri (US). Elsevier-Saunders 2016; 90-135.
  27. [27] Lappalainen A, Mölsä S, Liman A, Laitinen-Vapaavuori O, Snellman M. Radiographic and computed tomography findings in Belgian Sheperd dogs with mild elbow dysplasia. Vet Radiol Ultras 2009; 50: 364-369. [PubMed]
  28. [28] Olerth S, Tellhelm B, Amort K, Ondreka N. Explanation of the IEWG grading system. Proc 30th Ann Meet Inter Elbow Working Group. Vienna (Austria). 2016: 14-16.

Artículos recomendados

Estas recomendaciones se ofrecen de forma automática.

  • Fallo hepático en un perro tras intoxicación por ingestión de semillas de Cycas revoluta

    C. García, A. Segarra, N. Bedía, et al.
    Clin Vet Peq Anim Vol. 45 - Nº 3 · SEP 2025 · Artículo original referido a un solo caso clínico
  • Pseudoaneurisma venoso de presunto origen yatrogénico causado al realizar una biopsia ósea

    F. Osorio, L. Feo, J. Puig
    Clin Vet Peq Anim Vol. 45 - Nº 1 · MAR 2025 · Artículo original referido a un solo caso clínico
  • Concordancia entre IDEXX SediVue Dx y el cultivo de orina en perros y gatos

    L. Di Filippo, I. Frías, R. Santiago
    Clin Vet Peq Anim Vol. 44 - Nº 1 · MAR 2024 · Artículo original referido a múltiples casos clínicos
  • Inicio
  • Introducción
  • Material y métodos
  • Resultados
  • Discusión
  • Conclusión
  • Bibliografía
Artículo anterior Índice de la revista Artículo siguiente
ANUNCIO
Próximos cursos ATVs Elearning
Índice
Inicio Introducción Material y métodos Resultados Discusión Conclusión Bibliografía
Flexadin Vetoquinol
ANUNCIO

¿No eres socio de AVEPA y quieres recibir comunicación de las nuevas ediciones en tu correo?

Suscríbete

Suscríbete y te avisaremos cuando publiquemos un nuevo número

Suscribirme

Enlaces rápidos

  • Inicio
  • Último número
  • Archivo
  • Artículos

Información

  • Comité editorial
  • Política de cookies
  • Política de privacidad
  • Términos y condiciones

Contacto

  • info@imaginice.com
  • Envíanos tu artículo
© 2026 Ice Salud Vet SL. Todos los derechos reservados.

Usamos cookies para mejorar tu experiencia. Selecciona cuáles aceptas: