Logo AVEPA

Clínica Veterinaria de Pequeños Animales

Revista oficial de AVEPA

  • Inicio
  • Último número
  • Archivo
  • Artículos
  • Para autores
  • Contacto
Cursos Junio-Septiembre 2026
ANUNCIO

Clínica Veterinaria de Pequeños Animales

Revista oficial de AVEPA

  • Inicio
  • Último número
  • Archivo
  • Artículos
  • Para autores
  • Contacto
Curso Oftalmología 2026
ANUNCIO
Clin Vet Peq Anim Vol. 41 • Nº 1 • marzo 2021

Caso Clínico de Cirugía de tejidos blandos

Caso Clínico de...

D. Bobis-Villagrá

Centro Veterinario La Salle. c/ Sánchez Rojas 4. 37008 Salamanca. Eastcott Referrals. Edison Business Park, Hindle Way, Off Dorcan Way. Swindon SN3 3FR (United Kingdom)

M. Hernández Bonilla

Centro Veterinario La Salle. c/ Sánchez Rojas 4. 37008 Salamanca.

M. Santana López

Centro Veterinario La Salle. c/ Sánchez Rojas 4. 37008 Salamanca.

C. Nieto-Paredes

Centro Veterinario La Salle. c/ Sánchez Rojas 4. 37008 Salamanca.

N. Miño-Fariña

Hospital Veterinario Rof Codina, Facultad de Veterinaria. Estrada da Granxa, s/n. 27002 Lugo.

D.L. Casas-García

Centro Veterinario de Mínima Invasión Canarias. Avda. Juan Carlos I, 17-LOC 12. 35019 Las Palmas de Gran Canaria.

Contacto: diegobobis88@gmail.com
Descargar artículo

Historia clínica

Un Yorkshire Terrier macho esterilizado, de 7 años de edad y 2,4 kg de peso, vacunado y desparasitado (interna y externamente), se presenta en nuestro centro por un cuadro de hematuria, disuria y estranguria de 3 días de evolución. El paciente convive con otro perro de la misma raza que no muestra ningún tipo de sintomatología.

El paciente se había sometido a orquiectomía preescrotal hacía 3 meses, en cuyo procedimiento sufrió un proceso de reacción a la sutura. El paciente fue reintervenido realizándose una exéresis escrotal y limpieza de la zona, con su correspondiente cultivo que mostró la presencia de Staphylococcus pseudointermedius y Burkholderia cepacia (multirresistente, solo sensible a cefalosporina de 3a generación). Se instauró el tratamiento recomendado (amoxicilina-clavulánico 20 mg/kg/BID/PO; Synulox gotas orales®) y cefovecina 8 mg/kg/SC/dosis única (Convenia®), y a la semana del procedimiento el paciente no mostraba ningún síntoma y su evolución fue satisfactoria.

La exploración física general del paciente estaba dentro de la normalidad, incluyendo una palpación abdominal no dolorosa, normotermia y una auscultación torácica/abdominal normal.

En base a la historia clínica y al cuadro clínico, ¿cuál es tu diagnóstico diferencial?

En base a la historia clínica y al cuadro clínico lo correcto es desarrollar el diagnóstico diferencial basado en la hematuria, estranguria y disuria:

  • Vías urinarias altas (riñones y uréteres): necrosis tubular aguda, coagulopatías (CID, hemofilia, etc.), enfermedades glomerulares, hematuria renal idiopática, infecciosas (leptospirosis, leishmaniosis), enfermedades transmitidas por vectores/garrapatas (ehrlichiosis, babesiosis, enfermedad de Lyme, etc.), nefrolitiasis, neoplasias, pielonefritis, trauma, enfermedad renal poliquística o anomalías renovasculares.
  • Vías urinarias bajas (vejiga y uretra): uretritis proliferativa, coagulopatías (CID, intoxicación por cumarinas, etc.), cistitis polipoide, urolitiasis, neoplasias, infecciones del tracto urinario, trauma, ruptura de vejiga o ectasia vascular de la vejiga urinaria.
  • Tracto urogenital (próstata, pene): hiperplasia prostática benigna, prostatitis, urolitiasis, neoplasia o tumor venéreo transmisible.

¿Cuál sería el protocolo diagnóstico a proponer al propietario?

Se propuso a los propietarios realizar una analítica completa consistente en un hemograma, una bioquímica sérica completa y la visualización de un frotis sanguíneo, así como pruebas de imagen complementarias incluyendo un examen radiográfico y ecografía abdominal.

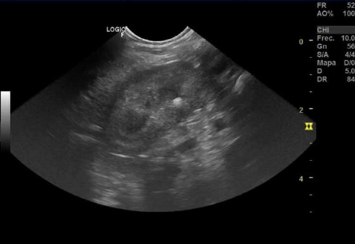
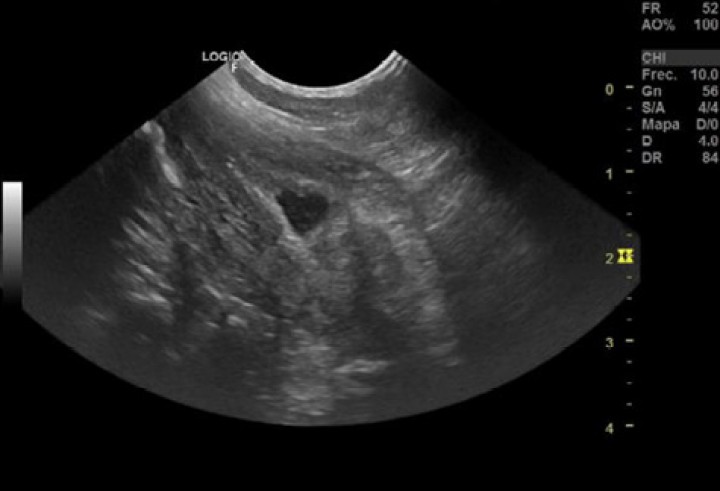
Los resultados de la analítica sanguínea estaban dentro de la normalidad, con excepción de una uremia leve (30 mg/dl; valor de referencia: 7-27 mg/dl). El estudio radiográfico y ecográfico abdominal solo evidenció un foco hiperecoico con un cono de sombra acústica asociado a la unión corticomedular del riñón derecho compatible con una posible calcificación (Fig. 1). La vejiga no pudo ser valorada al presentarse vacía, no pudiéndose realizar cistocentesis para hacer cultivo de orina (Fig. 2).

<p>Imagen de un corte sagital del riñón derecho, en el que puede apreciarse una estructura hiperecogénica en la zona de la pelvis renal.</p>
Figura 1

Imagen de un corte sagital del riñón derecho, en el que puede apreciarse una estructura hiperecogénica en la zona de la pelvis renal.

<p>Corte sagital de la vejiga de orina, en el que podemos apreciar la inexistencia de suficiente orina para ser valorada correctamente.</p>
Figura 2

Corte sagital de la vejiga de orina, en el que podemos apreciar la inexistencia de suficiente orina para ser valorada correctamente.

Al vivir en una zona endémica de Leishmania y con alta infestación de garrapatas, se propuso a su vez la realización de un test rápido (serología) para Anaplasma, Ehrlichia, Dirofilaria y Leishmania (Test rápido Quattro, URANO® vet), siendo este negativo.

¿Qué tratamiento propondríamos?

En base a un tratamiento previo que el paciente había recibido por un cultivo anterior, se prescribió un tratamiento de cobertura antibiótica a base de amoxicilina-ácido clavulánico 20 mg/kg/BID/PO (Synulox® Gotas orales, Zoetis Spain, S.L., Madrid) durante 24 horas con la intención de repetir la ecografía de la vejiga, esta vez con contenido, y proceder a la obtención de orina mediante cistocentesis para el cultivo propuesto.

¿Cuál fue el seguimiento?

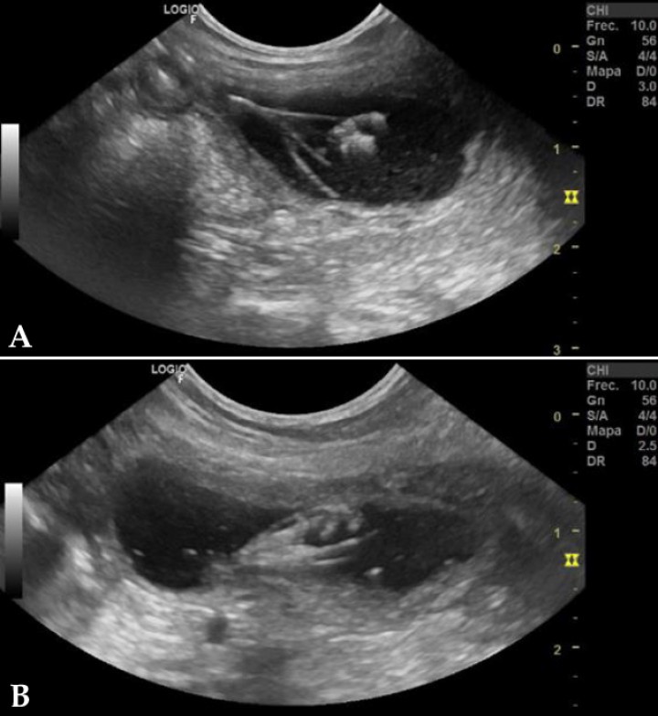
Los propietarios cancelaron la cita de la revisión debido a factores personales y a la mejoría de la sintomatología clínica. Dos días después la hematuria del paciente empeoró drásticamente y acudieron a la consulta. En ese momento se repitió la ecografía abdominal, evidenciándose una vejiga distendida con una pared vesical engrosada y la aparición de una estructura lineal intraluminal compatible con un cuerpo extraño vesical (Fig. 3). Se realizó una cistocentesis y se remitió la muestra para hacer un urocultivo. 

<p>(<strong>A</strong>) Imagen ecográfica de un corte sagital de la vejiga, apreciándose una estructura ramificada hiperecogénica con aspecto de espiga en su interior. (<strong>B</strong>) Imagen ecográfica de un corte sagital de la vejiga, apreciándose desde otro ángulo la estructura hiperecogénica ramificada compatible con cuerpo extraño de origen vegetal (espiga).</p>
Figura 3

(A) Imagen ecográfica de un corte sagital de la vejiga, apreciándose una estructura ramificada hiperecogénica con aspecto de espiga en su interior. (B) Imagen ecográfica de un corte sagital de la vejiga, apreciándose desde otro ángulo la estructura hiperecogénica ramificada compatible con cuerpo extraño de origen vegetal (espiga).

Tras esta última exploración, se estableció un diagnóstico diferencial de:

  • Cuerpo extraño tipo vegetal
  • Cistitis crónica proliferativa
  • Neoplasia

Una vez tenemos el diagnóstico presuntivo, ¿cuáles son las posibilidades terapeúticas y cuál es el pronóstico a largo plazo?

Con objeto de obtener un diagnóstico definitivo era necesario realizar una exploración quirúrgica o endoscópica de la vejiga.

En este caso al no disponer en nuestro centro de los medios endoscópicos necesarios y de la urgencia del proceso, se optó por la realización de una cistotomía ventral (Fig. 4). Se repitió el análisis bioquímico preoperatoriamente, siendo todos los valores normales excepto un aumento leve de la uremia (BUN: 29 mg/dl; valor de referencia: 7-27 mg/dl). Se realizó un abordaje abdominal ventral parapeneano derecho y se realizó una cistotomía longitudinal ventral. La exploración vesical confirmó la presencia intravesical de una espiga de 1,7 cm de longitud, confirmando un diagnóstico de cuerpo extraño vesical. 

<p>(<strong>A</strong>) Exposición de la vejiga de la orina mediante abordaje parapeneano para el procedimiento quirúrgico. (<strong>B</strong>) Momento intraquirúrgico de extracción del cuerpo extraño a través de la cistotomía realizada. (<strong>C</strong>) Detalle intraquirúrgico del aspecto del cuerpo extraño (espiga) extraído.</p>
Figura 4

(A) Exposición de la vejiga de la orina mediante abordaje parapeneano para el procedimiento quirúrgico. (B) Momento intraquirúrgico de extracción del cuerpo extraño a través de la cistotomía realizada. (C) Detalle intraquirúrgico del aspecto del cuerpo extraño (espiga) extraído.

Se realizó el cierre de la cistotomía mediante sutura multifilamento, absorbible, de ácido poliglicólico (Safil®, Braun, Barcelona), realizando una sutura monocapa con patrón continuo en aposición. El cierre de la laparotomía se llevó a cabo por capas, mediante una técnica habitual.

El tratamiento postoperatorio incluyó la hospitalización del paciente durante 24 horas, con fluidoterapia a 3 ml/kg/hora de suero salino fisiológico, velocidad que fue disminuida a 1 ml/kg/hora 6 horas antes de su alta ambulatoria y detenida al darse el paciente de alta. Se administró amoxicilina-ácido clavulánico 20 mg/kg/BID/PO (Synulox® Gotas orales, Zoetis Spain, S.L., Madrid) durante 7 días y meloxicam 0,1 mg/kg/SID/PO (Inflacam® 1 mg, Virbac España S.A., Esplugues de Llobregat) durante 3 días.

El cultivo de la orina obtenida mediante cistocentesis fue negativo. La única anormalidad del urianálisis fue una hematuria severa. (hematíes/hemoglobina/mioglobina: 4+, valor de referencia: negativo).

A las 48 horas de la intervención el paciente no presentaba ningún tipo de sintomatología urinaria y el aspecto ecográfico de la vejiga presentaba un engrosamiento moderado/leve de la pared vesical debido a la propia cistotomía ventral.

A los 10 días se retiraron los puntos y se dio el alta médico/quirúrgica a nuestro paciente.

Discusión

La hematuria, estranguria y disuria son síntomas relativamente frecuentes descritos tanto en la especie humana, canina o felina.[ref=1-3 ]El diagnóstico diferencial conlleva un largo abanico de posibilidades como hemos visto con anterioridad, pero si consultamos la bibliografía existente, son pocas las referencias en las que se contempla la presencia de un cuerpo extraño como diferencial de dicha sintomatología.[ Angel-Caraza J, Pérez García CC, Bende B, Diez-Prieto I, García-Rodríguez B: Mouse barley awn (Hordeum murinum) migration induced cystolithiasis in 2 male dogs. Can Vet J 2011; 52: 67-69. [PubMed] , Angel Caraza J, Quijano Hernández IA, Rodríguez Alarcón CA: Uretrocistoscopia. En D.L. Casas García – A.J. Santana González. (ed): Técnicas de Mínima Invasión en Pequeños Animales. Multimédica Ediciones Veterinarias. Barcelona, España, 2018; Capítulo 18: 235-252. , Berent AC: Interventional Urology, Endourology in Small Animal Veterinary Medicine. Vet Clin Small Anim 2015; 45:825-855. [PubMed] , Cherbinsky O, Westropp J, Tinga S, Jones B, Pollard R: Ultrasonographic features of grass awns in the urinary bladder. Vet Radiol Ultrasound. 2010; 51: 462-465. [PubMed] ]

La mayoría de patologías asociadas a cuerpos extraños en el sistema urinario son debidas al material de sutura, predisponiendo a urolitiasis. Otros cuerpos extraños encontrados descritos en la literatura son catéteres urinarios, pelo, balas, agujas y material vegetal.[ Angel Caraza J, Quijano Hernández IA, Rodríguez Alarcón CA: Uretrocistoscopia. En D.L. Casas García – A.J. Santana González. (ed): Técnicas de Mínima Invasión en Pequeños Animales. Multimédica Ediciones Veterinarias. Barcelona, España, 2018; Capítulo 18: 235-252. , Berent AC: Interventional Urology, Endourology in Small Animal Veterinary Medicine. Vet Clin Small Anim 2015; 45:825-855. [PubMed] , Cherbinsky O, Westropp J, Tinga S, Jones B, Pollard R: Ultrasonographic features of grass awns in the urinary bladder. Vet Radiol Ultrasound. 2010; 51: 462-465. [PubMed] ] Estos cuerpos extraños se pueden alojar en la vejiga mediante varias vías: 1) iatrogénica quirúrgica (o durante un proceso diagnóstico del aparato urinario); 2) vía retrógrada uretral; 3) vía transabdominal (a través de la piel) y 4) vía transvisceral (a través de otro órgano abdominal adyacente que es perforado por el cuerpo extraño abdominal).[ Angel Caraza J, Quijano Hernández IA, Rodríguez Alarcón CA: Uretrocistoscopia. En D.L. Casas García – A.J. Santana González. (ed): Técnicas de Mínima Invasión en Pequeños Animales. Multimédica Ediciones Veterinarias. Barcelona, España, 2018; Capítulo 18: 235-252. , Berent AC: Interventional Urology, Endourology in Small Animal Veterinary Medicine. Vet Clin Small Anim 2015; 45:825-855. [PubMed] , Cherbinsky O, Westropp J, Tinga S, Jones B, Pollard R: Ultrasonographic features of grass awns in the urinary bladder. Vet Radiol Ultrasound. 2010; 51: 462-465. [PubMed] ]

La presencia de cuerpos extraños a nivel del tracto urinario puede promover tanto la proliferación bacteriana debido a la alteración en los mecanismos de defensa, como la aparición de urolitos, descritos en mayor medida los compuestos de estruvita debido a las características fisicoquímicas que promueven en la orina.[ Angel-Caraza J, Pérez García CC, Bende B, Diez-Prieto I, García-Rodríguez B: Mouse barley awn (Hordeum murinum) migration induced cystolithiasis in 2 male dogs. Can Vet J 2011; 52: 67-69. [PubMed] , Houston DM, Eaglesome H: Unusual case of foreign body-induced struvite urolithiasis in a dog. Can Vet J 1999; 40: 125-126. [PubMed] ] Aun así, en el presente caso creemos que, debido a la rápida presentación del cuadro clínico, así como a la rápida actuación, el paciente no llegó a presentar cristaluria, ni urolitiasis, no siendo posible la valoración de la presencia de bacterias en la orina debido a que no realizamos cultivo de la pared vesical y se aplicó una dosis de antibiótico previa a la obtención de la orina para su cultivo.[ Angel Caraza J, Quijano Hernández IA, Rodríguez Alarcón CA: Uretrocistoscopia. En D.L. Casas García – A.J. Santana González. (ed): Técnicas de Mínima Invasión en Pequeños Animales. Multimédica Ediciones Veterinarias. Barcelona, España, 2018; Capítulo 18: 235-252. , Berent AC: Interventional Urology, Endourology in Small Animal Veterinary Medicine. Vet Clin Small Anim 2015; 45:825-855. [PubMed] , Cherbinsky O, Westropp J, Tinga S, Jones B, Pollard R: Ultrasonographic features of grass awns in the urinary bladder. Vet Radiol Ultrasound. 2010; 51: 462-465. [PubMed] , Hamaide, AJ, Martínez, SA, Hauptman, J, Walker, RD: Prospective comparison of four sampling methods (Cystocentesis, Bladder Mucosal Swab, Bladder Mucosal Biopsy, and Urolith Culture) to identify Urinary Tract Infections in Dogs with Urolithiasis. J Am Anim Hosp Assoc. 1998. 34:423-430. [PubMed] ]

Habitualmente, la parte apical de la espiga penetra a través de la piel o de los orificios naturales del cuerpo, siendo el más común el conducto auditivo externo,[ Schultz R, Zwingenberger A: Radiographic, computed tomographic, and ultrasonographic findings with migrating intrathoracic grass awns in dogs and cats. Vet Radiol Ultrasound. 2008; 49(3); 249-255. [PubMed] ] y en cuanto a las localizaciones cutáneas la zona costal es la más habitual.[ Schultz R, Zwingenberger A: Radiographic, computed tomographic, and ultrasonographic findings with migrating intrathoracic grass awns in dogs and cats. Vet Radiol Ultrasound. 2008; 49(3); 249-255. [PubMed] ] Sin embargo es necesario destacar que la penetración por parte del cuerpo extraño puede ocurrir en cualquier localización, tales como la conjuntiva, senos nasales, la cavidad oral, vías respiratorias bajas o el esófago. En muchos casos, las lesiones tienen la apariencia de abscesos y trayectos fistulosos, aunque la migración de las espigas a nivel vesical se ha descrito tanto por migración transvisceral o transcutánea a la cavidad abdominal, de forma retrógrada a través del trayecto uretral. Este último mecanismo de migración es el que se sospecha ocurrió en nuestro paciente debido a la ausencia de adherencias o restos de trayecto fistuloso a nivel perivesical durante la realización de la laparotomía.[ Angel Caraza J, Quijano Hernández IA, Rodríguez Alarcón CA: Uretrocistoscopia. En D.L. Casas García – A.J. Santana González. (ed): Técnicas de Mínima Invasión en Pequeños Animales. Multimédica Ediciones Veterinarias. Barcelona, España, 2018; Capítulo 18: 235-252. , Berent AC: Interventional Urology, Endourology in Small Animal Veterinary Medicine. Vet Clin Small Anim 2015; 45:825-855. [PubMed] , Cherbinsky O, Westropp J, Tinga S, Jones B, Pollard R: Ultrasonographic features of grass awns in the urinary bladder. Vet Radiol Ultrasound. 2010; 51: 462-465. [PubMed] ]

La expulsión de la espiga por vía uretral anterógrada es muy difícil debido a la morfología en cuña de la misma que impide la eliminación mediante contracción del músculo detrusor y vaciado de la vejiga.[ Angel Caraza J, Quijano Hernández IA, Rodríguez Alarcón CA: Uretrocistoscopia. En D.L. Casas García – A.J. Santana González. (ed): Técnicas de Mínima Invasión en Pequeños Animales. Multimédica Ediciones Veterinarias. Barcelona, España, 2018; Capítulo 18: 235-252. , Berent AC: Interventional Urology, Endourology in Small Animal Veterinary Medicine. Vet Clin Small Anim 2015; 45:825-855. [PubMed] , Cherbinsky O, Westropp J, Tinga S, Jones B, Pollard R: Ultrasonographic features of grass awns in the urinary bladder. Vet Radiol Ultrasound. 2010; 51: 462-465. [PubMed] ]

En la actualidad y con los grandes avances de las técnicas de mínima invasión, se nos presenta la oportunidad de poder realizar estos procedimientos mediante métodos como la endoscopia o incluso la laparoscopia, además de la cirugía convencional, que fue la realizada en nuestro caso debido a la no disponibilidad del material necesario para realizar la intervención de forma mínimamente invasiva.[ Tapia-Araya AE, Morcillo Martín E: Técnicas laparoasistidas: cistoscopia, biopsia intestinal de espesor completo. En D.L. Casas García – A.J. Santana González. Técnicas de Mínima Invasión en Pequeños Animales. Ed. Multimédica Ediciones Veterinarias. Barcelona. España. 2018; Capítulo 28: 351-357. , Thieman-Mankin KM, Ellison GW, Jeyapaul CJ, Glotfelty-Ortiz CS: Comparison of short-term complications rates between dogs and cats undergoing appositional single-layer or inverting doublé-layer cystotomy closure: 144 cases (1993-2010). J Am Vet Med Assoc. 2012; 240: 65-68. [PubMed] ]

Nuestro caso podría haberse beneficiado del empleo de la uretrocistoscopia para lo que hubiésemos necesitado un endoscopio flexible de longitud y diámetro adecuado a la uretra del paciente, y que dispusiese de canal de trabajo por el que introducir una pinza de cuerpo extraño o una cesta. Esto nos hubiera permitido el acceso transuretral retrógrado, accediendo a la vejiga y extrayendo la espiga mediante el uso de una técnica endoscópica pura.[ Tapia-Araya AE, Morcillo Martín E: Técnicas laparoasistidas: cistoscopia, biopsia intestinal de espesor completo. En D.L. Casas García – A.J. Santana González. Técnicas de Mínima Invasión en Pequeños Animales. Ed. Multimédica Ediciones Veterinarias. Barcelona. España. 2018; Capítulo 28: 351-357. , Thieman-Mankin KM, Ellison GW, Jeyapaul CJ, Glotfelty-Ortiz CS: Comparison of short-term complications rates between dogs and cats undergoing appositional single-layer or inverting doublé-layer cystotomy closure: 144 cases (1993-2010). J Am Vet Med Assoc. 2012; 240: 65-68. [PubMed] ]

Otras alternativas incluyen la aplicación de técnicas endoscópicas rígidas, tales como la realización de una uretrocistoscopia retrógrada o una cistoscopia percutánea. La primera conlleva la realización de una uretrostomía temporal para la introducción del equipo de endoscopia rígida, de diámetro y longitud adecuados al paciente, a través de la flexura pélvica, procediéndose a la extracción del cuerpo extraño a través de la uretrostomía temporal. La realización de una cistoscopia percutánea (PCCL) consiste en un acceso transabdominal mediante minilaparotomía (10 mm) que permite el acceso a la pared ventral de la vejiga. Allí se implanta un trócar de 6 mm que permita el acceso de un conjunto de óptica rígida y vaina de trabajo para la realización de una cistoscopia. Para llevarla a cabo se distiende la vejiga a través de una sonda vesical introducida por vía transuretral y, bajo palpación, se procede a la celiotomía de 10-15 mm de longitud para exponer la pared ventral de la vejiga. Con una pinza de tracción se sujeta el ápex vesical y se procede a la realización de dos o tres puntos de tracción para evitar que la orina se pueda derramar y contaminar la cavidad abdominal. Una vez la pared vesical se encuentra fijada, se lleva a cabo una pequeña cistotomía por la que se introduce el trócar, recomendándose los de tipo Endotip con el fin de garantizar un acceso transmural de la vejiga para permitir la exploración de toda la mucosa vesical y la uretra proximal de forma anterógrada, lo que en esta ocasión hubiera permitido la extracción del cuerpo extraño sin problemas. Una vez terminadas la cistotomía y la celiotomía se cierran de manera convencional.[ Tapia-Araya AE, Morcillo Martín E: Técnicas laparoasistidas: cistoscopia, biopsia intestinal de espesor completo. En D.L. Casas García – A.J. Santana González. Técnicas de Mínima Invasión en Pequeños Animales. Ed. Multimédica Ediciones Veterinarias. Barcelona. España. 2018; Capítulo 28: 351-357. , Thieman-Mankin KM, Ellison GW, Jeyapaul CJ, Glotfelty-Ortiz CS: Comparison of short-term complications rates between dogs and cats undergoing appositional single-layer or inverting doublé-layer cystotomy closure: 144 cases (1993-2010). J Am Vet Med Assoc. 2012; 240: 65-68. [PubMed] ]

Otra de las alternativas mínimamente invasivas descritas que podría haber sido empleada en este caso es la cistoscopia asistida por laparoscopia, técnica descrita en veterinaria inicialmente para la resolución de litiasis vesicales o pólipos inflamatorios en la especie canina. Se trata de la opción mínimamente invasiva que se describía como alternativa a la cistoscopia transuretral retrógrada cuando esta no puede ser llevada a término, hasta la descripción de la PCCL. Aun así la cistoscopia asistida por laparoscopia sigue siendo una técnica muy aconsejable, ya que presenta los beneficios propios de la mínima invasión como es la baja morbilidad, la disminución del dolor intra y postoperatorio y la reducción del periodo de convalecencia.[ Arulpragasam, SP, Case, JB, Ellison, GW: Evaluation of costs and time required for laparoscopic-assisted versus open cystotomy for urinary cystolith removal in dogs: 43 cases (2009-2012). J Am Vet Med Assoc. 2013. 243:703-708. [PubMed] , Charlesworth, TM, Sanchez, FT: A comparison of the rates of postoperative complications between dogs undergoing laparoscopic and open ovariectomy. J Small Anim Pract. 2019. 60:218-222. [PubMed] ] Otra de sus ventajas es la capacidad de poder explorar la cavidad abdominal en profundidad en el mismo procedimiento, lo que no permiten el resto de técnicas mínimamente invasivas anteriormente descritas.[ Tapia-Araya AE, Morcillo Martín E: Técnicas laparoasistidas: cistoscopia, biopsia intestinal de espesor completo. En D.L. Casas García – A.J. Santana González. Técnicas de Mínima Invasión en Pequeños Animales. Ed. Multimédica Ediciones Veterinarias. Barcelona. España. 2018; Capítulo 28: 351-357. ]

En lo referido a la técnica convencional que realizamos en nuestro caso, podemos comentar que realizamos el cierre de la cistotomía mediante un patrón de sutura de una sola capa en aposición, ya que se ha descrito como una técnica segura y eficaz con un riesgo mínimo de pérdida de orina y una tasa de complicaciones a corto plazo del 37 %, no habiendo diferencias significativas tanto en el ratio de complicaciones como en los días de hospitalización si se compara con el patrón de sutura de doble capa de inversión.[ Thieman-Mankin KM, Ellison GW, Jeyapaul CJ, Glotfelty-Ortiz CS: Comparison of short-term complications rates between dogs and cats undergoing appositional single-layer or inverting doublé-layer cystotomy closure: 144 cases (1993-2010). J Am Vet Med Assoc. 2012; 240: 65-68. [PubMed] , Dru FS: Diagnostic approach to hematuria in dogs and cats. Vet Clin North Am Small Anim Pract 2004; 34: 849-866. [PubMed] ]

En el caso aquí descrito se muestra la sintomatología y el proceso típico de los escasos casos descritos en la literatura sobre este proceso. En conclusión, podemos aconsejar que una posible presencia de cuerpo extraño tanto vesical como uretral debe tenerse en cuenta en el diagnóstico diferencial de hematuria, estranguria o disuria. Adicionalmente, este tipo de sintomatología requiere un seguimiento exhaustivo dado el amplio abanico de posibles diagnósticos, siendo el cuerpo extraño una patología resuelta con una alta tasa de éxito y con una recuperación excelente cuando su diagnóstico es temprano.

 

Fuente de financiación: este trabajo no se ha realizado con fondos comerciales, públicos o del sector privado.

Conflicto de intereses: los autores declaran que no existe conflicto de intereses.

Bibliografía

  1. [1] Angel-Caraza J, Pérez García CC, Bende B, Diez-Prieto I, García-Rodríguez B: Mouse barley awn (Hordeum murinum) migration induced cystolithiasis in 2 male dogs. Can Vet J 2011; 52: 67-69. [PubMed]
  2. [2] Adams, LG, Syme, HM: Enfermedades caninas de las vías urinarias inferiores. En Stephen J. Ettinger, Edward C. Feldman: Tratado de Medicina Interna Veterinaria. Sexta edición. Madrid. Elsevier Saunders. 2007; 1850-1874.
  3. [3] Grauer, GF: Manifestaciones clínicas de las alteraciones urinarias. En Richard W. Nelson. C. Guillermo Couto: Medicina Interna de Pequeños Animales. Cuarta Edición. Barcelona. Elsevier Mosby. 2010; 607-622.
  4. [4] Angel Caraza J, Quijano Hernández IA, Rodríguez Alarcón CA: Uretrocistoscopia. En D.L. Casas García – A.J. Santana González. (ed): Técnicas de Mínima Invasión en Pequeños Animales. Multimédica Ediciones Veterinarias. Barcelona, España, 2018; Capítulo 18: 235-252.
  5. [5] Berent AC: Interventional Urology, Endourology in Small Animal Veterinary Medicine. Vet Clin Small Anim 2015; 45:825-855. [PubMed]
  6. [6] Cherbinsky O, Westropp J, Tinga S, Jones B, Pollard R: Ultrasonographic features of grass awns in the urinary bladder. Vet Radiol Ultrasound. 2010; 51: 462-465. [PubMed]
  7. [7] Houston DM, Eaglesome H: Unusual case of foreign body-induced struvite urolithiasis in a dog. Can Vet J 1999; 40: 125-126. [PubMed]
  8. [8] Hamaide, AJ, Martínez, SA, Hauptman, J, Walker, RD: Prospective comparison of four sampling methods (Cystocentesis, Bladder Mucosal Swab, Bladder Mucosal Biopsy, and Urolith Culture) to identify Urinary Tract Infections in Dogs with Urolithiasis. J Am Anim Hosp Assoc. 1998. 34:423-430. [PubMed]
  9. [9] Schultz R, Zwingenberger A: Radiographic, computed tomographic, and ultrasonographic findings with migrating intrathoracic grass awns in dogs and cats. Vet Radiol Ultrasound. 2008; 49(3); 249-255. [PubMed]
  10. [10] Tapia-Araya AE, Morcillo Martín E: Técnicas laparoasistidas: cistoscopia, biopsia intestinal de espesor completo. En D.L. Casas García – A.J. Santana González. Técnicas de Mínima Invasión en Pequeños Animales. Ed. Multimédica Ediciones Veterinarias. Barcelona. España. 2018; Capítulo 28: 351-357.
  11. [11] Thieman-Mankin KM, Ellison GW, Jeyapaul CJ, Glotfelty-Ortiz CS: Comparison of short-term complications rates between dogs and cats undergoing appositional single-layer or inverting doublé-layer cystotomy closure: 144 cases (1993-2010). J Am Vet Med Assoc. 2012; 240: 65-68. [PubMed]
  12. [12] Arulpragasam, SP, Case, JB, Ellison, GW: Evaluation of costs and time required for laparoscopic-assisted versus open cystotomy for urinary cystolith removal in dogs: 43 cases (2009-2012). J Am Vet Med Assoc. 2013. 243:703-708. [PubMed]
  13. [13] Charlesworth, TM, Sanchez, FT: A comparison of the rates of postoperative complications between dogs undergoing laparoscopic and open ovariectomy. J Small Anim Pract. 2019. 60:218-222. [PubMed]
  14. [14] Dru FS: Diagnostic approach to hematuria in dogs and cats. Vet Clin North Am Small Anim Pract 2004; 34: 849-866. [PubMed]

Artículos recomendados

Estas recomendaciones se ofrecen de forma automática.

  • Caso clínico de… Urgencias

    I. Sunyer
    Clin Vet Peq Anim Vol. 45 - Nº 2 · JUN 2025 · Caso Clínico de...
  • Caso clínico de… Cirugía de tejidos blandos

    N. Jurado, L. Fresno, L. Santos
    Clin Vet Peq Anim Vol. 44 - Nº 1 · MAR 2024 · Caso Clínico de...
  • Caso clínico de… Urgencias

    M. Solana, C. Gómez-Ullate, J.L. Puchol, et al.
    Clin Vet Peq Anim Vol. 43 - Nº 4 · DIC 2023 · Caso Clínico de...
  • Inicio
  • Historia clínica
  • En base a la historia clínica y al cuadro clínico, ¿cuál es tu diagnóstico diferencial?
  • ¿Cuál sería el protocolo diagnóstico a proponer al propietario?
  • ¿Qué tratamiento propondríamos?
  • ¿Cuál fue el seguimiento?
  • Una vez tenemos el diagnóstico presuntivo, ¿cuáles son las posibilidades terapeúticas y cuál es el pronóstico a largo plazo?
  • Discusión
  • Bibliografía
Artículo anterior Índice de la revista Artículo siguiente
ANUNCIO
Próximos cursos ATVs Elearning
Índice
Inicio Historia clínica En base a la historia clínica y al cuadro clínico, ¿cuál es tu diagnóstico diferencial? ¿Cuál sería el protocolo diagnóstico a proponer al propietario? ¿Qué tratamiento propondríamos? ¿Cuál fue el seguimiento? Una vez tenemos el diagnóstico presuntivo, ¿cuáles son las posibilidades terapeúticas y cuál es el pronóstico a largo plazo? Discusión Bibliografía
Advance Affinity - Intolerance Duck
ANUNCIO

¿No eres socio de AVEPA y quieres recibir comunicación de las nuevas ediciones en tu correo?

Suscríbete

Suscríbete y te avisaremos cuando publiquemos un nuevo número

Suscribirme

Enlaces rápidos

  • Inicio
  • Último número
  • Archivo
  • Artículos

Información

  • Comité editorial
  • Política de cookies
  • Política de privacidad
  • Términos y condiciones

Contacto

  • info@imaginice.com
  • Envíanos tu artículo
© 2026 Ice Salud Vet SL. Todos los derechos reservados.

Usamos cookies para mejorar tu experiencia. Selecciona cuáles aceptas: