Logo AVEPA

Clínica Veterinaria de Pequeños Animales

Revista oficial de AVEPA

  • Inicio
  • Último número
  • Archivo
  • Artículos
  • Para autores
  • Contacto
Cursos Junio-Septiembre 2026
ANUNCIO

Clínica Veterinaria de Pequeños Animales

Revista oficial de AVEPA

  • Inicio
  • Último número
  • Archivo
  • Artículos
  • Para autores
  • Contacto
Curso Oftalmología 2026
ANUNCIO
Clin Vet Peq Anim Vol. 41 • Nº 2 • junio 2021

Endometritis en perras clínicamente sanas: una nueva percepción sobre las afecciones uterinas

Endometritis in clinically healthy bitches: a new insight into uterine conditions

Artículos de Revisión

R.G. Praderio

Facultad de Ciencias Veterinarias, Universidad Nacional de La Plata. Calle 60 y 118. La Plata (Buenos Aires, Argentina). CONICET. Calle 60 y 118. La Plata (Buenos Aires, Argentina).

M.C. García-Mitacek

Facultad de Ciencias Veterinarias, Universidad Nacional de La Plata. Calle 60 y 118. La Plata (Buenos Aires, Argentina). CONICET. Calle 60 y 118. La Plata (Buenos Aires, Argentina).

M.F. García

Facultad de Ciencias Veterinarias, Universidad Nacional de La Plata. Calle 60 y 118. La Plata (Buenos Aires, Argentina). CONICET. Calle 60 y 118. La Plata (Buenos Aires, Argentina).

F.L. Coralli

Facultad de Ciencias Veterinarias, Universidad Nacional de La Plata. Calle 60 y 118. La Plata (Buenos Aires, Argentina).

M.A. Stornelli

Facultad de Ciencias Veterinarias, Universidad Nacional de La Plata. Calle 60 y 118. La Plata (Buenos Aires, Argentina).

Contacto: astornel9@gmail.com
Palabras clave: perra, endometritis, útero.
Keywords: bitch, endometritis, uterus.

Clin Vet Peq Anim 2021, 41 (2): 75-82

Descargar artículo

Resumen

El complejo hiperplasia endometrial quística/piometra es una afección uterina frecuente en la perra asociada a su fisiología reproductiva. En los últimos años, en relación con la expansión de la cría canina, las consultas por infertilidad o subfertilidad han aumentado en la clínica reproductiva canina. Este hecho ha impulsado estudios endometriales, observándose que la endometritis en la perra clínicamente sana podría ser una importante causa de fallas en la implantación dando como resultado perras vacías o con tamaños de camada menores a lo esperado. El objetivo de la presente revisión es presentar información actualizada respecto a la inflamación endometrial en perras clínicamente sanas y su importancia en la clínica veterinaria diaria.

Abstract

Cystic endometrial hyperplasia-pyometra is a common uterine condition in the bitch associated with her reproductive physiology. In the last years, requests for infertility or subfertility problems have increased in the canine reproductive veterinary clinic. This fact prompted studies about canine endometrium, which showed endometritis in clinically healthy bitches could be an important cause of implantation failures leading to empty bitches and smaller litters. The objective of this paper was to present updated information on endometrial inflammation in clinically healthy bitches and its importance in the daily veterinary clinic.

AVEPA Elearning

La presencia de este logo en un artículo de la revista indica que se publicará un examen sobre el mismo en la plataforma AVEPA Elearning. Su resolución aporta 0,15 créditos dentro del sistema de acreditaciones de especialidades veterinarias de AVEPA.

Introducción

La endometritis ha sido definida como la inflamación de la mucosa uterina que no se extiende más allá del estrato esponjoso.[ Bondurant RH: Inflammation in the bovine female reproductive tract. J Anim Sci 1999; 77:101-110. [pubMed] ,  Sheldon IM, Lewis GS, LeBlanc S, Gilbert RO: Defining postpartum uterine disease in cattle. Theriogenology 2006;65(8):1516-1530. [pubMed] , Fontaine E, Levy X, Grellet A, et al.: Diagnosis of endometritis in the bitch: a new approach. Reprod Dom Anim 2009; 44: 196-199. [pubMed] ] Posteriormente, la endometritis fue definida como la inflamación del endometrio, incluyendo todas sus capas.[ Grant Maxie M, Jubb KVF, Kennedy PC, Palmer N. (6ta Ed): Pathology of domestic animals, Elsevier, 2015. ] Cuando existe inflamación del endometrio en ausencia de signos clínicos se la ha denominado endometritis subclínica (ES).[  Sheldon IM, Lewis GS, LeBlanc S, Gilbert RO: Defining postpartum uterine disease in cattle. Theriogenology 2006;65(8):1516-1530. [pubMed] , Mariño Fuentes B, Quintela Arias LA, Becerra JJ, et al.: Agreement between postmortem endometrial cytology, biopsy and bacteriology in culled dairy cows. Anim Repro Sci 2017; 14: 1024-1033. ] Sin embargo, no todos los investigadores coinciden con esta denominación debido a que una hembra con endometritis probablemente sea subfértil o infértil, siendo la subfertilidad o infertilidad el signo clínico presente. Por este motivo, la denominación “ES” no sería la más adecuada pudiendo utilizarse el término endometritis en hembras clínicamente sanas.[ Praderio R. Endometritis subclínica en la perra. Tesis doctoral. Facultad de Ciencias Veterinarias, Universidad Nacional de La Plata. 2019. ] También se ha sugerido el término endometritis histológica (EH).[ Praderio RG, García Mitacek MC, Nuñez Favre R, et al.: Uterine endometrial cytology, biopsy, bacteriology, and serum C-reactive protein in clinically healthy diestrus bitches. Theriogenology 2019; 131: 153-161. [pubMed] ] Estas nuevas formas de denominar esta entidad se relacionan con la definición de salud “estado de completo bienestar animal, lo cual implica que el animal pueda reproducirse”. Por tanto, si la salud reproductiva se ve afectada, el animal no se encuentra en buen estado de salud. En caninos, cuando una perra es incapaz de concebir y producir una cría viable se la considera infértil; por otro lado, cuando una perra presenta menor tasa de preñez y menores tamaños de camadas que lo esperado para una perra fértil de su misma raza, se la considera subfértil.[ Grundy SA, Feldman E, Davidson A: Evaluation of infertility in the bitch. Clin Tech Small Anim Pract 2002; 17: 108-115. [pubMed] , Wilborn RR, Maxwell HS: Clinical approaches to infertility in the bitch. Vet Clin Small Anim 2012; 42: 457-468. [pubMed] ] La infertilidad o subfertilidad en la clínica reproductiva es un motivo de consulta frecuente. Sin embargo, en la consulta de clínica general el veterinario determina durante el examen si la hembra está clínicamente sana o no, pasando a segundo plano la fertilidad de la misma. Por lo tanto, en este contexto esta entidad podría denominarse ES. Desde hace muchos años, en la especie bovina y equina se ha denominado ES a la inflamación del endometrio que cursa sin signos clínicos evidentes, pero produce fallo en la concepción o implantación. Sin embargo, esta denominación también se ha puesto en discusión en estas especies. Llamaremos a partir de aquí a este tipo de endometritis “EH”.

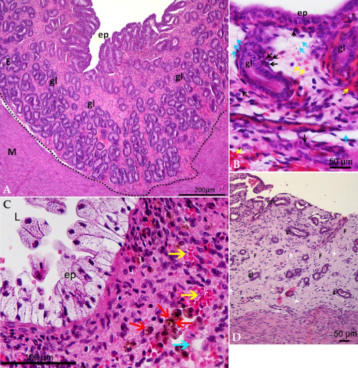
El endometrio normal presenta epitelio cilíndrico simple y lámina propia con tejido conjuntivo y con glándulas endometriales (Fig. 1A). En la EH, el examen histopatológico permite observar cambios inflamatorios como infiltración de células inflamatorias, hiperemia y congestión vascular, hemorragia y edema en el estroma.[ Bondurant RH: Inflammation in the bovine female reproductive tract. J Anim Sci 1999; 77:101-110. [pubMed] , McEntee K: The female genital system. En Jubb KVF, Kennedy PC, Palmer N (ed): Pathology of domestic animals. Academic Press, Orlando, FL, 1983; 305-407. , DeBois C, Manspeaker J: Endometrial biopsy of the bovine. En Morrow DA (2nd ed): Current Therapy in Theriogenology, Philadelphia, PA, WB Saunders Co; 1986; 424-427. ] Asimismo, considerando el curso de la inflamación podemos clasificar a la EH en aguda (Fig. 1B), subaguda (Fig. 1C) y crónica (Fig. 1D). En la EH aguda se observa moderada a severa hiperemia y/o congestión, hemorragia, así como un infiltrado celular inflamatorio difuso (polimorfonucleares neutrófilos; PMNN). En la EH subaguda se observa hiperemia y/o congestión moderada a severa, hemorragia junto con un infiltrado celular inflamatorio en el que, además de neutrófilos, se observan linfocitos y macrófagos con o sin hemosiderina. Por último, en la EH crónica se observa presencia de linfocitos y macrófagos, hiperplasia de tejido conectivo, en ocasiones con atrofia de las glándulas endometriales, leve a moderada hiperemia y/o congestión.[ Praderio R. Endometritis subclínica en la perra. Tesis doctoral. Facultad de Ciencias Veterinarias, Universidad Nacional de La Plata. 2019. , Schlafer DH: Diseases of the Canine Uterus. Reprod Dom Anim 2012; 47: 318-322. [pubMed] , Gifford AT, Scarlett JM, Schlafer DH: Histopathologic findings in uterine biopsy samples from subfertile bitches: 399 cases (1990-2005). J Am Vet Med Assoc 2014; 244: 180-186. [pubMed] ] Macroscópicamente, en la EH el útero no evidencia lesiones.[ Praderio RG, García Mitacek MC, Nuñez Favre R, et al.: Uterine endometrial cytology, biopsy, bacteriology, and serum C-reactive protein in clinically healthy diestrus bitches. Theriogenology 2019; 131: 153-161. [pubMed] ] A partir de la realización de estudios previos sobre endometrio canino se ha hipotetizado que, como afección endometrial que modifica el medioambiente uterino, la EH se relaciona con fallo en la implantación, lo que se asocia a infertilidad o subfertilidad y se ve reflejado en las pérdidas de preñeces, dando como resultado perras vacías o con menores tamaños de camada.[ Fontaine E, Levy X, Grellet A, et al.: Diagnosis of endometritis in the bitch: a new approach. Reprod Dom Anim 2009; 44: 196-199. [pubMed] , Praderio R. Endometritis subclínica en la perra. Tesis doctoral. Facultad de Ciencias Veterinarias, Universidad Nacional de La Plata. 2019. , Gifford AT, Scarlett JM, Schlafer DH: Histopathologic findings in uterine biopsy samples from subfertile bitches: 399 cases (1990-2005). J Am Vet Med Assoc 2014; 244: 180-186. [pubMed] ]

<p>(<strong>A</strong>) Microfotografía de biopsia uterina teñida con hematoxilina y eosina. Endometrio normal de perra. Epitelio de superficie (ep), glándulas endometriales (gl), endometrio (E), miometrio (M). (X100, H&E). (<strong>B</strong>) Microfotografía de biopsia uterina teñida con hematoxilina y eosina. Endometritis histológica aguda. Epitelio de superficie (ep), glándulas endometriales (gl). Las flechas negras marcan neutrófilos, las flechas amarillas marcan glóbulos rojos y las flechas celestes marcan edema. (X600, H&E). (<strong>C</strong>) Microfotografía de biopsia uterina teñida con hematoxilina y eosina. Endometritis histológica subaguda. Epitelio de superficie (ep), lumen (L). Las flechas amarillas marcan glóbulos rojos, las flechas celestes marcan edema y las flechas rojas marcan hemosiderina. (X600, H&E). (<strong>D</strong>) Microfotografía de biopsia uterina teñida con hematoxilina y eosina. Endometritis histológica crónica. Epitelio de superficie (ep), glándulas endometriales (gl), fibrosis (F). Las flechas blancas marcan fibrocitos. (X100, H&E).</p>
Figura 1

(A) Microfotografía de biopsia uterina teñida con hematoxilina y eosina. Endometrio normal de perra. Epitelio de superficie (ep), glándulas endometriales (gl), endometrio (E), miometrio (M). (X100, H&E). (B) Microfotografía de biopsia uterina teñida con hematoxilina y eosina. Endometritis histológica aguda. Epitelio de superficie (ep), glándulas endometriales (gl). Las flechas negras marcan neutrófilos, las flechas amarillas marcan glóbulos rojos y las flechas celestes marcan edema. (X600, H&E). (C) Microfotografía de biopsia uterina teñida con hematoxilina y eosina. Endometritis histológica subaguda. Epitelio de superficie (ep), lumen (L). Las flechas amarillas marcan glóbulos rojos, las flechas celestes marcan edema y las flechas rojas marcan hemosiderina. (X600, H&E). (D) Microfotografía de biopsia uterina teñida con hematoxilina y eosina. Endometritis histológica crónica. Epitelio de superficie (ep), glándulas endometriales (gl), fibrosis (F). Las flechas blancas marcan fibrocitos. (X100, H&E).

En la yegua y en la vaca, la endometritis ocurre en hembras clínicamente sanas y se asocia a fallo en la concepción. Tanto en bovinos como en equinos, la EH produce grandes pérdidas económicas debido a la disminución de la eficiencia reproductiva, siendo una de las principales causas de infertilidad o subfertilidad y aumentando los intervalos parto-concepción y parto-parto.[ Bain AM: The role of infection in infertility in the thoroughbred mare. Vet Rec 1966; 78: 168-173. [pubMed] , Doig PA, McKnight JD, Miller RB: The use of endometrial biopsy in the infertile mare. Can Vet J 1981; 22: 72-76. [pubMed] , Kasimanickam R, Duffield TF, Foster RA, et al.: Endometrial cytology and ultrasonography for the detection of subclinical endometritis in postpartum dairy cows. Theriogenology 2004; 62: 9-23. [pubMed] , LeBlanc MM, Causey RC: Clinical and subclinical endometritis in the mare: Both threats to fertility. Reprod Dom Anim 2009; 44: 10-22. [pubMed] , Sheldon IM, Price SB, Cronin J, Gilbert RO, Gadsby JE: Mechanisms of infertility associated with clinical and subclinical endometritis in high producing dairy cattle. Reprod Dom Anim 2009; 44:1-9. [pubMed] , LeBlanc MM: Advances in the diagnosis and treatment of chronic infectious and post-mating-induced endometritis in the mare. Reprod Domest Anim 2010; 2: 21-27. [pubMed] , Madoz V. Endometritis subclínica en vacas de tambo: diagnóstico, prevalencia e impacto sobre la eficiencia reproductiva. Tesis Doctoral. Facultad de Ciencias Veterinarias, Universidad Nacional de La Plata. 2011. , Cocchia N, Auletta L, Ucello V, et al.: Comparison of the cytobrush, cottonswab and low-volume uterine flush techniques to evaluate endometrial cytology for diagnosing endometritis in chronically infertile mares. Theriogenology 2012; 77: 89-98. [pubMed] ] En yeguas, durante la época reproductiva, el diagnóstico y tratamiento de esta entidad es esencial para lograr altos porcentajes de preñez dentro del plantel.[ Overbeck W, Witte TS, Heuwieser S: Comparison of three diagnostic methods to identify subclinical endometritis in mares. Theriogenology 2011; 75: 1311-1318. [pubMed] ] En dicha especie, la EH es reconocida como la causa más importante de subfertilidad.[ LeBlanc MM, Causey RC: Clinical and subclinical endometritis in the mare: Both threats to fertility. Reprod Dom Anim 2009; 44: 10-22. [pubMed] ]

El complejo hiperplasia endometrial quística (HEQ)-piometra es una afección hormonodependiente en la perra que compromete más frecuentemente a hembras sexualmente maduras, de edad media a avanzada y/o a hembras jóvenes que han sido tratadas con progestágenos.[ Johnston SD, Root Kustritz MV, Olson PNS: Disorders of the canine uterus and uterine tubes (oviducts). En Johnston SD, Root Kustritz MV, Olson PNS (1st ed.): Canine and feline theriogenology, Philadelphia, WB Saunders Company, 2001; 207-224. , Feldman EC, Nelson RW: Complejo hiperplasia endometrial quística/piometra. En Feldman EC, Nelson RW (3ra ed.): Endocrinología y Reproducción canina y felina, Buenos Aires, Argentina, Inter-Médica, 2007; 949-966. ] Una vez instaurada la HEQ, si se produce invasión y multiplicación bacteriana, se desarrolla una piometra.[ Johnston SD, Root Kustritz MV, Olson PNS: Disorders of the canine uterus and uterine tubes (oviducts). En Johnston SD, Root Kustritz MV, Olson PNS (1st ed.): Canine and feline theriogenology, Philadelphia, WB Saunders Company, 2001; 207-224. , Feldman EC, Nelson RW: Complejo hiperplasia endometrial quística/piometra. En Feldman EC, Nelson RW (3ra ed.): Endocrinología y Reproducción canina y felina, Buenos Aires, Argentina, Inter-Médica, 2007; 949-966. ] La piometra es una de las afecciones reproductivas más importantes en la especie canina por su morbilidad y su mortalidad.

En la perra, la importancia que se había adjudicado a la EH como entidad que afecta la eficiencia reproductiva era escasa hace algunos años. La EH era considerada como una entidad de baja incidencia y, por lo tanto, con escaso impacto sobre la eficiencia reproductiva de la perra, mientras que la HEQ era considerada la afección uterina más frecuente.[ Schlafer DH: Diseases of the Canine Uterus. Reprod Dom Anim 2012; 47: 318-322. [pubMed] , Johnston SD, Root Kustritz MV, Olson PNS: Disorders of the canine uterus and uterine tubes (oviducts). En Johnston SD, Root Kustritz MV, Olson PNS (1st ed.): Canine and feline theriogenology, Philadelphia, WB Saunders Company, 2001; 207-224. , Dow C: The cystic hyperplasia-pyometra complex in the bitch. Vet Rec. 1958; 70: 1102-1110. , Verstegen J, Dhaliwal G, Verstegen-Onclin K: Mucometra, cystic endometrial hyperplasia, and pyometra in the bitch: advances in treatment and assessment of future reproductive success. Theriogenology 2008; 70: 364-374. [pubMed] ] Este hecho podría asociarse a que las perras tuvieron un rol preponderante como mascotas en la sociedad y las consultas por problemas de fertilidad eran poco frecuentes en la clínica diaria. Sin embargo, el desarrollo de la cría canina asociado al aumento en la demanda de mascotas de raza ha incrementado el porcentaje de consultas por fallo en la concepción en la clínica reproductiva. Las causas de infertilidad en la perra son muchas y variadas, por lo cual la lista de diagnósticos diferenciales es extensa.[ Grundy SA, Feldman E, Davidson A: Evaluation of infertility in the bitch. Clin Tech Small Anim Pract 2002; 17: 108-115. [pubMed] ] No obstante, en muchas ocasiones la causa de infertilidad o subfertilidad permanece desconocida. La importancia de esta afección en vacas y yeguas y su impacto económico-productivo al afectar la eficiencia reproductiva han sugerido que esta enfermedad podría comportarse de igual modo en la especie canina y ser, por lo tanto, una causa importante de fallo en la concepción. 

El objetivo de esta revisión es presentar información actualizada respecto a la inflamación endometrial en perras clínicamente sanas y su importancia en la clínica veterinaria diaria.

Prevalencia de endometritis histológica

El diagnóstico de EH en la clínica veterinaria diaria es dificultoso, ya que al cursar la EH sin sintomatología clínica a excepción de los fallos en la concepción, usualmente no es un motivo de consulta en las perras mascota, ya que no tienen un fin reproductivo. Por otra parte, en las perras reproductoras en las cuales es importante llegar a la causa de infertilidad, el diagnóstico de endometritis se hace arduo, ya que es necesario realizar una biopsia uterina (BU) mediante laparotomía o mediante endoscopia y, al ser técnicas invasivas y/o costosas, muchas veces no es posible acceder a ellas. En ocasiones, tras aproximar el diagnóstico de infertilidad estimando correctamente el momento del servicio y descartando problemas del macho y manejo del servicio o la inseminación, el propietario accede a realizar la BU. 

Estudios previos sugieren que la EH es una afección importante en la perra, tanto como en la yegua y en la vaca. En diferentes estudios de investigación realizados en la última década se han observado altos porcentajes de EH en la perra y en todos los casos el porcentaje de EH fue mayor que el observado para la HEQ.[ Praderio RG, García Mitacek MC, Nuñez Favre R, et al.: Uterine endometrial cytology, biopsy, bacteriology, and serum C-reactive protein in clinically healthy diestrus bitches. Theriogenology 2019; 131: 153-161. [pubMed] , Gifford AT, Scarlett JM, Schlafer DH: Histopathologic findings in uterine biopsy samples from subfertile bitches: 399 cases (1990-2005). J Am Vet Med Assoc 2014; 244: 180-186. [pubMed] , Christensen BW, Schlafer DH, Agnew DW, et al.: Diagnostic value of transcervical endometrial biopsies in domestic dogs compared with full-thickness uterine sections. Reprod Domest Anim 2012; 47: 342-346. [pubMed] ,  Mir F, Fontaine E, Albaric O, et al.: Findings in uterine biopsies obtained by laparotomy from bitches with unexplained infertility or pregnancy loss: An observational study. Theriogenology 2013; 79: 312-322. [pubMed] ] En los mencionados estudios se comunica una prevalencia de EH que oscila entre el 29 y el 54% (Tabla 1). Si bien se han observado diferencias entre los porcentajes de endometrio normal, EH y de HEQ en los diferentes trabajos, la EH siempre fue la afección más frecuente en todos los estudios realizados en perras clínicamente sanas (Tabla 1). Los trabajos mencionados se realizaron tanto con perras infértiles como con perras sin datos de fertilidad. Para ambos casos, los porcentajes de EH fueron altos y mayores a los porcentajes de HEQ. Por otra parte, en los diferentes estudios se recogieron muestras de perras de diferentes edades y la EH estuvo presente en los diferentes grupos etarios, por lo cual no estaría influenciada por la edad del animal. Hasta el momento, no existen estudios en los que se haya valorado la edad como factor predisponente para la EH en la perra. 

<p>N: número de muestra; EH: endometritis histológica; HEQ: hiperplasia endometrial quística; NOR: normal. +++ Razas más frecuentes en el estudio.</p>
Tabla 1

N: número de muestra; EH: endometritis histológica; HEQ: hiperplasia endometrial quística; NOR: normal. +++ Razas más frecuentes en el estudio.

Se ha propuesto el diestro como la mejor etapa para el diagnóstico de EH, ya que en dicha etapa el endometrio se encuentra más susceptible a sufrir enfermedad.[ Gunnink J: En Onderzoek naar het Afweermechanisme Van De Uterus, University of Utrecht, PhD Thesis, 1973; 143-160. , Dhaliwal G, Murray R, Woldehiwet Z: Some aspects of immunology of the bovine uterus related to treatments for endometritis. Anim Reprod Sci 2001; 67:135-152. [pubMed] ] Según nuestro conocimiento, no existen estudios que hayan comunicado que aumente la prevalencia de EH en alguna de las etapas del diestro, por lo cual sería indistinto tomar la muestra en cualquier etapa de esta fase (temprano, medio o tardío).[ Praderio R. Endometritis subclínica en la perra. Tesis doctoral. Facultad de Ciencias Veterinarias, Universidad Nacional de La Plata. 2019. ] La realización de trabajos que estudien la ocurrencia de EH en las diferentes etapas del ciclo estral y en perras de diferentes grupos etarios podrían confirmar estas hipótesis.

El estudio citológico vaginal junto con la determinación de la concentración sérica de progesterona (P4) nos permitirán identificar el diestro.[ Stornelli MC, García Mitacek MC, Giménez F, et al.: Pharmacokinetics of eCG and induction of fertile estrus in bitches using eCG followed by hCG. Theriogenology 2012; 78:1056-1064. [pubMed] ] El momento del ciclo estral se determina de acuerdo con el porcentaje y tipo de células presentes en la muestra obtenida.[ Stornelli MC, García Mitacek MC, Giménez F, et al.: Pharmacokinetics of eCG and induction of fertile estrus in bitches using eCG followed by hCG. Theriogenology 2012; 78:1056-1064. [pubMed] ]

Toma de muestras endometriales

En la perra, la toma de muestras transcervicales, tal como se realiza en grandes animales, es dificultosa, ya que la anatomía de su tracto reproductivo hace que la maniobra sea compleja y sólo realizable mediante endoscopia utilizando endoscopio rígido. Por ello se han realizado escasos trabajos de investigación utilizando la toma de muestras transcervicales en la perra, ya que se necesita personal altamente capacitado y equipamiento costoso.[ Fontaine E, Levy X, Grellet A, et al.: Diagnosis of endometritis in the bitch: a new approach. Reprod Dom Anim 2009; 44: 196-199. [pubMed] , Christensen BW, Schlafer DH, Agnew DW, et al.: Diagnostic value of transcervical endometrial biopsies in domestic dogs compared with full-thickness uterine sections. Reprod Domest Anim 2012; 47: 342-346. [pubMed] , Watts JR, Wright PJ, Whithear KC: Uterine, cervical and vaginal microflora of the normal bitch throughout the reproductive cycle. J Small Anim Pract 1996; 37: 54-60. [pubMed] , Watts JR, Wright PJ, Lee CS: Endometrial cytology of the normal bitch throughout the reproductive cycle. J Small Anim Pract 1998; 39: 2-9. [pubMed] ] 

El método de toma de muestras uterinas más utilizado en caninos es quirúrgico mediante laparotomía por línea media, ya que es de fácil realización, no necesita equipamiento especial ni costoso, y permite obtener muestras de todas las capas uterinas para poder evaluar no sólo endometrio, sino también miometrio y perimetrio.[ Schlafer DH: Diseases of the Canine Uterus. Reprod Dom Anim 2012; 47: 318-322. [pubMed] ] Además, la laparotomía permite la visualización de los ovarios y el útero, con lo que se obtienen datos valiosos en la aproximación diagnóstica de infertilidad/subfertilidad.[ Schlafer DH: Diseases of the Canine Uterus. Reprod Dom Anim 2012; 47: 318-322. [pubMed] ] Sin embargo, posee como desventajas el ser un método invasivo, requiere someter al animal a un protocolo anestésico y debe ser realizado en quirófano bajo condiciones de asepsia. Aun así, creemos que es sumamente beneficioso y útil contar con la BU como una herramienta de diagnóstico en aquellas perras infértiles o subfértiles de gran valor reproductivo, en las cuales no podemos arribar correctamente al problema de infertilidad o subfertilidad. En el siguiente apartado se desarrollarán algunos aspectos sobre biopsia uterina, citología endometrial y estudio bacteriológico de muestras endometriales.

Estudios complementarios para la aproximación diagnóstica de endometritis en la hembra canina

En la endometritis, los cambios uterinos inflamatorios se localizan en la capa interna del útero ocurriendo infiltración de células inflamatorias, cambios degenerativos de las células epiteliales del endometrio e incluso descamación de estas células hacia la luz uterina.[ McEntee K: The female genital system. En Jubb KVF, Kennedy PC, Palmer N (ed): Pathology of domestic animals. Academic Press, Orlando, FL, 1983; 305-407. , DeBois C, Manspeaker J: Endometrial biopsy of the bovine. En Morrow DA (2nd ed): Current Therapy in Theriogenology, Philadelphia, PA, WB Saunders Co; 1986; 424-427. ] Estos cambios no pueden detectarse mediante estudios complementarios no invasivos como la ultrasonografía.[ Fontaine E, Levy X, Grellet A, et al.: Diagnosis of endometritis in the bitch: a new approach. Reprod Dom Anim 2009; 44: 196-199. [pubMed] ] Por este motivo, se han diseñado diferentes métodos para la toma de muestras endometriales con el fin de realizar estudios citológicos e histológicos del endometrio para el diagnóstico de EH. 

Biopsia uterina

En 1981, Doig y cols. evaluaron biopsias endometriales de yeguas subfértiles o infértiles y las clasificaron de acuerdo con el tipo de lesión. Los mencionados autores observaron que la BU permitía no solo llegar al diagnóstico del grado de lesión, sino también establecer la probabilidad de preñez.[ Doig PA, McKnight JD, Miller RB: The use of endometrial biopsy in the infertile mare. Can Vet J 1981; 22: 72-76. [pubMed] ] Más tarde, Kenney y Doig clasificaron las BU en cuatro categorías, basándose en la localización de las lesiones y en los tipos celulares encontrados. Con esta clasificación se otorga un valor pronóstico de la capacidad del endometrio para permitir la implantación, mantener la gestación y finalizar con un feto a término.[ Kenney R, Doig P: Equine endometrial biopsy. En Morrow D (2nd ed): Current therapy in Theriogenology, Philadelphia, Lea and Febiger, 1986; 723-729. , Rivera Cantero GA. Caracterización histopatológica del endometrio de yeguas con antecedentes clínicoreproductivos de subfertilidad. Tesis Doctoral. Facultad de Ciencias Veterinarias, Universidad Austral de Chile. 2003. , Sertich PL: Intrauterine diagnostic procedures. En Samper JC, Pycock JE, McKinnon AO (Ed.): Current therapy in equine reproduction, Philadelphia, USA, Saunders Elsevier, 2007; 36-43. ]

En la hembra bovina, la BU también ha sido utilizada, primariamente para evaluar a vacas infértiles, y ha sido utilizada para confirmar y cuantificar el diagnóstico clínico de EH.[ Madoz V. Endometritis subclínica en vacas de tambo: diagnóstico, prevalencia e impacto sobre la eficiencia reproductiva. Tesis Doctoral. Facultad de Ciencias Veterinarias, Universidad Nacional de La Plata. 2011. ]

En la actualidad, la BU sigue siendo una herramienta ampliamente utilizada para evaluar el estado sanitario del útero en las especies mencionadas. En la hembra canina, la BU ha sido utilizada en diferentes trabajos de investigación, los cuales han permitido mediante esta técnica identificar la alta prevalencia de EH en caninos.[ Praderio R. Endometritis subclínica en la perra. Tesis doctoral. Facultad de Ciencias Veterinarias, Universidad Nacional de La Plata. 2019. , Gifford AT, Scarlett JM, Schlafer DH: Histopathologic findings in uterine biopsy samples from subfertile bitches: 399 cases (1990-2005). J Am Vet Med Assoc 2014; 244: 180-186. [pubMed] ,  Mir F, Fontaine E, Albaric O, et al.: Findings in uterine biopsies obtained by laparotomy from bitches with unexplained infertility or pregnancy loss: An observational study. Theriogenology 2013; 79: 312-322. [pubMed] ] Por ello, la BU ha sido y es considerada como la mejor herramienta para el diagnóstico de afecciones endometriales y, por lo tanto, una herramienta fiable para el diagnóstico de EH.[ Bondurant RH: Inflammation in the bovine female reproductive tract. J Anim Sci 1999; 77:101-110. [pubMed] , Praderio RG, García Mitacek MC, Nuñez Favre R, et al.: Uterine endometrial cytology, biopsy, bacteriology, and serum C-reactive protein in clinically healthy diestrus bitches. Theriogenology 2019; 131: 153-161. [pubMed] , DeBois C, Manspeaker J: Endometrial biopsy of the bovine. En Morrow DA (2nd ed): Current Therapy in Theriogenology, Philadelphia, PA, WB Saunders Co; 1986; 424-427. , Gifford AT, Scarlett JM, Schlafer DH: Histopathologic findings in uterine biopsy samples from subfertile bitches: 399 cases (1990-2005). J Am Vet Med Assoc 2014; 244: 180-186. [pubMed] , Doig PA, McKnight JD, Miller RB: The use of endometrial biopsy in the infertile mare. Can Vet J 1981; 22: 72-76. [pubMed] , Madoz V. Endometritis subclínica en vacas de tambo: diagnóstico, prevalencia e impacto sobre la eficiencia reproductiva. Tesis Doctoral. Facultad de Ciencias Veterinarias, Universidad Nacional de La Plata. 2011. , Overbeck W, Witte TS, Heuwieser S: Comparison of three diagnostic methods to identify subclinical endometritis in mares. Theriogenology 2011; 75: 1311-1318. [pubMed] ,  Mir F, Fontaine E, Albaric O, et al.: Findings in uterine biopsies obtained by laparotomy from bitches with unexplained infertility or pregnancy loss: An observational study. Theriogenology 2013; 79: 312-322. [pubMed] , Nielsen JM: Endometritis in the mare: a diagnostic study comparing cultures from swab and biopsy. Theriogenology 2005; 64: 510-518. [pubMed] , Chapwanya A, Meade KG, Narciandi F, et al.: Endometrial biopsy: a valuable clinical and research tool in bovine reproduction. Theriogenology 2010; 73: 988-994. [pubMed] ]

Con el fin de estudiar e identificar cambios del endometrio que nos permitan diagnosticar afecciones endometriales, es preciso definir cuál es la imagen histológica normal del endometrio canino. El endometrio normal presenta pliegues longitudinales de mucosa, epitelio columnar simple intacto en la superficie endometrial y tejido conjuntivo formando la lámina propia con glándulas endometriales de estructura conservada (Fig. 1A). 

Citología endometrial

En busca de métodos más sencillos, de fácil realización, más económicos, poco invasivos y de rápida resolución diagnóstica, se ha estudiado la citología endometrial (CE) como herramienta de aproximación diagnóstica de EH en las diferentes especies.[ Fontaine E, Levy X, Grellet A, et al.: Diagnosis of endometritis in the bitch: a new approach. Reprod Dom Anim 2009; 44: 196-199. [pubMed] , Praderio R. Endometritis subclínica en la perra. Tesis doctoral. Facultad de Ciencias Veterinarias, Universidad Nacional de La Plata. 2019. , Overbeck W, Witte TS, Heuwieser S: Comparison of three diagnostic methods to identify subclinical endometritis in mares. Theriogenology 2011; 75: 1311-1318. [pubMed] , Gilbert RO, Shin ST, Guard CL, Erb HN, Frajblat M: Prevalence of endometritis and its effects on reproductive performance of dairy cows. Theriogenology 2005; 64: 1879-1888. [pubMed] , Overbeck W, Jäger K, Schoon HA, Witte TS: Comparison of cytological and histological examinations in different locations of the equine uterusdan in vitro study. Theriogenology 2013; 79:1262-1268. [pubMed] , Madoz LV, Giuliodori MJ, Migliorisi AL, Jaureguiberry M, de la Sota RL: Endometrial cytology, biopsy, and bacteriology for the diagnosis of subclinical endometritis in grazing dairy cows. J Dairy Sci 2014; 97: 195-201. [pubMed] , Gahlot SC, Kumar S, Kumaresan A, et al.: Efficiency of uterine fluid cytology in the diagnosis of subclinical endometritis in the water buffalo (Bubalus bubalis). Reprod Domest Anim 2017; 52(3):513-516. [pubMed] ] La CE se puede obtener mediante lavado uterino o mediante la realización de un cepillado en la superficie del endometrio a través de un hisopo o de un cepillo ginecológico. En las grandes especies, el lavado uterino es una metodología frecuente. En la perra el lavado uterino no se utiliza frecuentemente, aunque algunos trabajos de investigación han implementado este procedimiento.[ Fontaine E, Levy X, Grellet A, et al.: Diagnosis of endometritis in the bitch: a new approach. Reprod Dom Anim 2009; 44: 196-199. [pubMed] , Watts JR, Wright PJ, Lee CS: Endometrial cytology of the normal bitch throughout the reproductive cycle. J Small Anim Pract 1998; 39: 2-9. [pubMed] ] Se ha comunicado que la técnica de cepillado es más fácil, rápida y consistente comparada con la técnica de lavado en las grandes especies.[ Cocchia N, Auletta L, Ucello V, et al.: Comparison of the cytobrush, cottonswab and low-volume uterine flush techniques to evaluate endometrial cytology for diagnosing endometritis in chronically infertile mares. Theriogenology 2012; 77: 89-98. [pubMed] , Overbeck W, Witte TS, Heuwieser S: Comparison of three diagnostic methods to identify subclinical endometritis in mares. Theriogenology 2011; 75: 1311-1318. [pubMed] , Kasimanickam R, Duffield TF, Foster RA, et al.: A comparison of the cytobrush and uterine lavage techniques to evaluate endometrial cytology in clinically normal postpartum dairy cows. Can Vet J 2005; 46:255-259. [pubMed] ] Para la realización del cepillado se puede utilizar tanto hisopo como cepillo ginecológico. Se ha descrito que el cepillo ginecológico levanta más células que el hisopo de algodón y conserva mejor la morfología celular.[ Trimbos JB, Arentz NPW: The efficiency of cytobrush versus the cotton swab in the collection of endocervical cells in cervical smears. Acta Cytol 1986; 30:261-263. [pubMed] ,  Glenthoj A, Bostofte E, Rank F: Brush cytology from the uterine endocervix. Acta Obstet Gynecol Scand 1986; 65:689-691. [pubMed] , Kavak ZN, Eren F, Pekin S, Kullu S: A randomised comparison of the 3 Papanicolaou smear collection methods. Aust NZJ Obstet Gynaecol 1995; 65:689-691. [pubMed] , Bourke M, Mills JN, Barnes AL: Collection of endometrial cells in the mare. Aust Vet J 1997; 75:755-758. [pubMed] ] Se ha comprobado que el porcentaje de neutrófilos estimado sobre la población de células del epitelio superficial del endometrio permite evaluar el grado de inflamación endometrial tanto en la vaca como en la yegua.[ Overbeck W, Witte TS, Heuwieser S: Comparison of three diagnostic methods to identify subclinical endometritis in mares. Theriogenology 2011; 75: 1311-1318. [pubMed] , Gilbert RO, Shin ST, Guard CL, Erb HN, Frajblat M: Prevalence of endometritis and its effects on reproductive performance of dairy cows. Theriogenology 2005; 64: 1879-1888. [pubMed] , Overbeck W, Jäger K, Schoon HA, Witte TS: Comparison of cytological and histological examinations in different locations of the equine uterusdan in vitro study. Theriogenology 2013; 79:1262-1268. [pubMed] ] Sin embargo, en un estudio realizado en vacas, Madoz y cols. encontraron un bajo grado de acuerdo entre los resultados obtenidos por CE en muestras recogidas mediante cepillo ginecológico y los resultados obtenidos por BU. Este resultado sugirió que la CE no parecía ser útil para el diagnóstico de EH. Mientras que la BU permite evaluar todas las capas endometriales, con la CE solo puede evaluarse la capa superficial del endometrio.[ Madoz LV, Giuliodori MJ, Migliorisi AL, Jaureguiberry M, de la Sota RL: Endometrial cytology, biopsy, and bacteriology for the diagnosis of subclinical endometritis in grazing dairy cows. J Dairy Sci 2014; 97: 195-201. [pubMed] ] Al igual que lo hallado por Madoz y cols., en un estudio reciente realizado en perras se observó un bajo grado de acuerdo entre los resultados obtenidos por CE y los resultados obtenidos por BU en el diagnóstico de EH. Por ello, se considera que la CE no permitiría llegar a un diagnóstico de EH en la perra.[ Praderio RG, García Mitacek MC, Nuñez Favre R, et al.: Uterine endometrial cytology, biopsy, bacteriology, and serum C-reactive protein in clinically healthy diestrus bitches. Theriogenology 2019; 131: 153-161. [pubMed] ]

Por lo tanto, si bien existen estudios en los cuales se ha utilizado la CE como herramienta para el diagnóstico de EH en las diferentes especies, aún no se la puede definir como una herramienta útil para el diagnóstico de EH en caninos, por lo cual para la perra la BU sigue siendo hasta el momento el método de elección.[ Praderio RG, García Mitacek MC, Nuñez Favre R, et al.: Uterine endometrial cytology, biopsy, bacteriology, and serum C-reactive protein in clinically healthy diestrus bitches. Theriogenology 2019; 131: 153-161. [pubMed] , Mir F, Fontaine E, Greer M, Vannier F, Fontbonne A: Interés de las biopsias de útero como método diagnóstico de la infertilidad de origen inexplicado en la perra. Clin Vet Peq Anim 2011; 31(1): 35-39. ]

Estudio bacteriológico endometrial: implicación bacteriana en la EH

La implicación bacteriana en la fisiopatología de la EH varía entre las especies. Trabajos realizados en yeguas han mostrado asociación entre aislamiento bacteriano en útero y desarrollo de EH.[ Nielsen JM: Endometritis in the mare: a diagnostic study comparing cultures from swab and biopsy. Theriogenology 2005; 64: 510-518. [pubMed] , Interian L, Díaz N, Martínez J, et al.: Diagnóstico y tratamiento de la endometritis subclínica en yeguas para ser incorporados a un programa de transferencia de embriones. Ciencia y Tecnología Ganadera 2014; 8: 97-102. , Sikora M, Król J, Nowak M, et al.: The usefulness of uterine lavage and acute phase protein levels as a diagnostic tool for subclinical endometritis in Icelandic mares. Acta Vet Scand 2016; 58:50. [pubMed] ] Sin embargo, en la hembra bovina no se observó asociación entre el desarrollo de EH y la presencia de bacterias en el útero.[ Madoz LV, Giuliodori MJ, Migliorisi AL, Jaureguiberry M, de la Sota RL: Endometrial cytology, biopsy, and bacteriology for the diagnosis of subclinical endometritis in grazing dairy cows. J Dairy Sci 2014; 97: 195-201. [pubMed] ] Asimismo, existen escasos trabajos sobre aislamiento bacteriano en útero de perras con EH. En un trabajo realizado por Fontaine y cols. se observó aislamiento bacteriano en la mayoría de los úteros de perras con EH diagnosticada mediante CE.[ Fontaine E, Levy X, Grellet A, et al.: Diagnosis of endometritis in the bitch: a new approach. Reprod Dom Anim 2009; 44: 196-199. [pubMed] ] Las bacterias aisladas en el mencionado trabajo fueron Pasteurella multocida, Streptococcus sp., Staphylococcus intermedius, Escherichia coli y Proteus mirabilis.[ Fontaine E, Levy X, Grellet A, et al.: Diagnosis of endometritis in the bitch: a new approach. Reprod Dom Anim 2009; 44: 196-199. [pubMed] ] En contraposición, en un trabajo realizado por Praderio y cols., no se observó relación entre aislamiento bacteriano y desarrollo de EH en la perra.[ Praderio RG, García Mitacek MC, Nuñez Favre R, et al.: Uterine endometrial cytology, biopsy, bacteriology, and serum C-reactive protein in clinically healthy diestrus bitches. Theriogenology 2019; 131: 153-161. [pubMed] ] Se ha descrito que la toma de muestra para estudio bacteriológico en la EH en caninos puede realizarse mediante un lavado uterino o mediante un hisopo estéril, introduciendo el mismo por el orificio generado en el momento de obtener la BU.[ Fontaine E, Levy X, Grellet A, et al.: Diagnosis of endometritis in the bitch: a new approach. Reprod Dom Anim 2009; 44: 196-199. [pubMed] , Praderio RG, García Mitacek MC, Nuñez Favre R, et al.: Uterine endometrial cytology, biopsy, bacteriology, and serum C-reactive protein in clinically healthy diestrus bitches. Theriogenology 2019; 131: 153-161. [pubMed] ]

Determinación de proteínas séricas de fase aguda

Las proteínas de fase aguda (PFAs) son aquellas que modifican sus concentraciones sanguíneas en respuesta a la fase aguda. La respuesta de fase aguda es una respuesta inespecífica y puede desencadenarse por diversas causas como procesos infecciosos, desórdenes inmunológicos, procesos neoplásicos o traumatismos.[ Kushner I, Mackiewicz A: Acute phase proteins as a disease markers. Dis Markers 1987; 5: 1-11. [pubMed] , Stadnyk AW, Gauldie J: The acute phase protein response during parasitic infection. Inmunol Today 1991; 12: 7-12. [pubMed] ] En respuesta a una lesión, se inicia una reacción local caracterizada por una serie de mecanismos entre los que se incluye la activación de granulocitos y células mononucleares, que se encargarán de producir la liberación de diversos mediadores inflamatorios como las citoquinas. Estos mediadores actuarán desencadenando una respuesta sistémica caracterizada por fiebre, leucocitosis, aumento de la tasa de sedimentación eritrocitaria, aumento de la secreción de ACTH y glucocorticoides, activación del complemento y la cascada de la coagulación, disminución de los niveles de hierro y zinc y cambios en las concentraciones plasmáticas de las PFAs sintetizadas en el hígado, ya que se verá alterada su producción y liberación.[ Heinrich PC, Castell JV, Andus T: Interleukin-6 and the acute phase response. Biochem J 1990; 265: 621-636. [pubMed] ] Las PFAs actúan ante el daño generado restaurando la homeostasis, por lo cual son consideradas marcadores útiles de la inflamación.[ Martínez-Subiela S, Tecles F, Parra M D, Cerón J J: Proteínas de fase aguda: conceptos básicos y principales aplicaciones clínicas en medicina veterinaria. An Vet Murcia 2001; 17: 97-114. , Martínez-Subiela S, Parra ND, Cerón JJ: Principales aplicaciones de las proteínas de fase aguda en la clínica canina. An Vet Murcia 2004; 20: 75-86. , Eckersall PD, Bell R: Acute phase proteins: Biomarkers of infection and inflammation in veterinary medicine. The Veterinary Journal 2010; 185:23-27. [pubMed] , Cerón J: Acute Phase Proteins, Saliva and Education in Laboratory Science: An Update and Some Reflections. BMC Vet Res 2019; 15: 197. [pubMed] ] Algunas PFAs aumentan sus concentraciones plasmáticas en respuesta a la lesión (p. ej., proteína C reactiva, amiloide A sérico, haptoglobina, ceruloplasmina, fibrinógeno, entre otras), mientras que otras disminuyen (p. ej., albúmina, transferrina) por lo cual se las denomina positivas y negativas, respectivamente.[ Martínez-Subiela S, Tecles F, Parra M D, Cerón J J: Proteínas de fase aguda: conceptos básicos y principales aplicaciones clínicas en medicina veterinaria. An Vet Murcia 2001; 17: 97-114. , Martínez-Subiela S, Parra ND, Cerón JJ: Principales aplicaciones de las proteínas de fase aguda en la clínica canina. An Vet Murcia 2004; 20: 75-86. ] Por ello las PFAs son utilizadas tanto para el diagnóstico y pronóstico de enfermedades como para la monitorización de la respuesta a diferentes tratamientos instaurados en los pacientes.[ Martínez-Subiela S, Parra ND, Cerón JJ: Principales aplicaciones de las proteínas de fase aguda en la clínica canina. An Vet Murcia 2004; 20: 75-86. , Eckersall PD, Bell R: Acute phase proteins: Biomarkers of infection and inflammation in veterinary medicine. The Veterinary Journal 2010; 185:23-27. [pubMed] , Cerón J: Acute Phase Proteins, Saliva and Education in Laboratory Science: An Update and Some Reflections. BMC Vet Res 2019; 15: 197. [pubMed] , Martínez-Subiela S, Cerón JJ: Validación analítica de técnicas comerciales para la determinación de haptoglobina, proteína C reactiva y amiloide A sérico en caninos. Arch Med Vet 2005; 37: 61-66. ]

Se han realizado mediciones de diferentes PFAs (ceruloplasmina, amiloide A sérico, haptoglobina, proteína C reactiva) tanto en hembras bovinas y equinas con endometritis clínica y subclínica[ Sikora M, Król J, Nowak M, et al.: The usefulness of uterine lavage and acute phase protein levels as a diagnostic tool for subclinical endometritis in Icelandic mares. Acta Vet Scand 2016; 58:50. [pubMed] , Brodzki P, Kostro K, Krakowski L, Marczuk J: Inflammatory cytokine and acute phase protein concentrations in the peripheral blood and uterine washings of cows with subclinical endometritis in the late postpartum period. Vet Res Commun 2015; 39: 143-149. [pubMed] , Kaya S, Merhan O, Kacar C, Colak A, Bozukluhan K: Determination of ceruloplasmin, some other acute phase proteins, and biochemical parameters in cows with endometritis. Vet World 2016; 9: 1056-1062. [pubMed] ] como en hembras caninas con piometra, habiendo controversias en los diferentes resultados dependiendo del grado de afección, la especie estudiada y la PFA examinada, así como la técnica utilizada para su determinación.[ Praderio RG, García Mitacek MC, Nuñez Favre R, et al.: Uterine endometrial cytology, biopsy, bacteriology, and serum C-reactive protein in clinically healthy diestrus bitches. Theriogenology 2019; 131: 153-161. [pubMed] , Kaya S, Merhan O, Kacar C, Colak A, Bozukluhan K: Determination of ceruloplasmin, some other acute phase proteins, and biochemical parameters in cows with endometritis. Vet World 2016; 9: 1056-1062. [pubMed] , Enginler SO, Ates A, Diren Sıgirer B, et al.: Measurement of C-reactive protein and prostaglandin F2a metabolite concentrations in differentiation of canine pyometra and cystic endometrial hyperplasia/Mucometra. Reprod Dom Anim 2014; 49: 641-647. [pubMed] , Jitpean S, Ström Holst B, Höglund O, et al.: Serum Insulin-like growth factor-I, Iron, C-reactive protein and serum amyloid A for prediction of outcome in dogs with pyometra. Theriogenology 2014; 82: 43-48. [pubMed] ] En la perra, se realizó un trabajo para determinar las concentraciones de proteína C reactiva en hembras con y sin EH, que no pudo demostrar la utilidad de la proteína C reactiva como herramienta de aproximación diagnóstica en la EH.[ Praderio RG, García Mitacek MC, Nuñez Favre R, et al.: Uterine endometrial cytology, biopsy, bacteriology, and serum C-reactive protein in clinically healthy diestrus bitches. Theriogenology 2019; 131: 153-161. [pubMed] ]

Técnicas moleculares para el estudio de mediadores inflamatorios

Varias citoquinas y prostaglandinas desempeñan un papel importante en la preparación del endometrio para la implantación y para la mediación de eventos proinflamatorios.[ Gabler C, Drillich M, Fischer C, et al.: Endometrial expression of selected transcripts involved in prostaglandin synthesis in cows with endometritis. Theriogenology 2009; 71: 993-1004. ] Se ha sugerido que la endometritis podría estar originada por una alteración de los procesos reguladores de la inflamación. Algunos autores creen que todo estaría relacionado con la presencia previa de inflamación en el útero junto con una desproporcionada producción de sustancias anti y proinflamatorias y/o con la elevada producción de especies reactivas de oxígeno (EROs) y ácidos grasos.[ Quintela LA, Vigo M, Becerra JJ, et al.: Endometritis subclínica en ganado vacuno lechero: etiopatogenia y diagnóstico. Revisión Bibliográfica. ITEA 2017; 113(3):250-266. ]

En algunos trabajos realizados en perras sanas y con piometra se ha observado mayor expresión génica de PGE2 y PGF2α en úteros de perras con piometra comparados con los úteros sanos.[ Silva E, Leitao S, Ferreira-Dias G, Lopes da Costa L, Mateus L: Prostaglandin synthesis genes are differentially transcripted in normal and pyometra endometria of bitches. Reprod Dom Anim 2009; 44(2): 200-203. [pubMed] , Silva E, Leitao S, Henriques S, et al.: Gene transcription of TLR2, TLR4, LPS ligands and prostaglandin synthesis enzymes are up-regulated in canine uteri with cystic endometrial hyperplasia-pyometra complex. J Reprod Immunol 2010; 84:66-74. [pubMed] ] En un trabajo realizado por García Mitacek y cols., se estudió la expresión de enzimas de síntesis de prostaglandinas en perras con y sin EH, sin que se observaran diferencias en la expresión del ARNm de PGFS/AKR1C3, COX2 y PTGES-1 de perras con EH en comparación con perras con útero normal.[ García Mitacek MC, Praderio RG, Stornelli MC, de la Sota RL, Stornelli MA: Prostaglandin synthesis enzymes gene transcription in bitches with endometritis. Reprod Dom Anim 2017; 52 (2): 298-302. [pubMed] ] La mencionada comparación se realizó incluyendo EH aguda y crónica en un mismo grupo y comparándolo con el grupo de perras con endometrio normal. Sin embargo, se observaron diferencias significativas al comparar la expresión de COX2 y PTGES-1 entre la EH crónica y la EH aguda, siendo mayor su expresión en la EH aguda. Asimismo, la expresión de COX2 fue mayor en perras con EH aguda en comparación con perras con endometrio normal, mientras que la expresión de PGFS/AKR1C3 y de PTGES-1 fue similar en ambos grupos. Por otra parte, no se observaron diferencias en la expresión génica de ninguna de las enzimas cuando se compararon perras con EH crónica y perras con endometrio normal.[ García Mitacek MC, Praderio RG, Stornelli MC, de la Sota RL, Stornelli MA: Prostaglandin synthesis enzymes gene transcription in bitches with endometritis. Reprod Dom Anim 2017; 52 (2): 298-302. [pubMed] ]

Conclusión

La importancia de la EH como entidad que afectaría la eficiencia reproductiva en la hembra canina ha sido sugerida en los últimos años por diferentes autores, habiéndose descrito su alta prevalencia. Por este motivo, es importante incluir la EH en los diagnósticos diferenciales de cada perra que se presenta a consulta por infertilidad o subfertilidad de origen desconocido. En relación con las técnicas de aproximación diagnóstica, la CE, el cultivo bacteriológico y la determinación de proteína C reactiva no serían herramientas útiles para el diagnóstico de EH en la perra. En contraposición, la BU permite llegar al diagnóstico, por lo que debe seleccionarse y utilizarse de rutina como método complementario de diagnóstico de la EH. Asimismo, es sumamente importante seguir abordando el tema hasta poder dilucidar el origen y los factores desencadenantes de endometritis en hembras clínicamente sanas de las diferentes especies y, en consecuencia, poder aplicar medidas profilácticas y un tratamiento adecuado.

Fuente de financiación: este trabajo no se realizó con fondos comerciales, públicos o del sector privado.

Conflicto de intereses: el autor declara que no existe conflicto de intereses.

Bibliografía

  1. [1] Bondurant RH: Inflammation in the bovine female reproductive tract. J Anim Sci 1999; 77:101-110. [pubMed]
  2. [2]  Sheldon IM, Lewis GS, LeBlanc S, Gilbert RO: Defining postpartum uterine disease in cattle. Theriogenology 2006;65(8):1516-1530. [pubMed]
  3. [3] Fontaine E, Levy X, Grellet A, et al.: Diagnosis of endometritis in the bitch: a new approach. Reprod Dom Anim 2009; 44: 196-199. [pubMed]
  4. [4] Grant Maxie M, Jubb KVF, Kennedy PC, Palmer N. (6ta Ed): Pathology of domestic animals, Elsevier, 2015.
  5. [5] Mariño Fuentes B, Quintela Arias LA, Becerra JJ, et al.: Agreement between postmortem endometrial cytology, biopsy and bacteriology in culled dairy cows. Anim Repro Sci 2017; 14: 1024-1033.
  6. [6] Praderio R. Endometritis subclínica en la perra. Tesis doctoral. Facultad de Ciencias Veterinarias, Universidad Nacional de La Plata. 2019.
  7. [7] Praderio RG, García Mitacek MC, Nuñez Favre R, et al.: Uterine endometrial cytology, biopsy, bacteriology, and serum C-reactive protein in clinically healthy diestrus bitches. Theriogenology 2019; 131: 153-161. [pubMed]
  8. [8] Grundy SA, Feldman E, Davidson A: Evaluation of infertility in the bitch. Clin Tech Small Anim Pract 2002; 17: 108-115. [pubMed]
  9. [9] Wilborn RR, Maxwell HS: Clinical approaches to infertility in the bitch. Vet Clin Small Anim 2012; 42: 457-468. [pubMed]
  10. [10] McEntee K: The female genital system. En Jubb KVF, Kennedy PC, Palmer N (ed): Pathology of domestic animals. Academic Press, Orlando, FL, 1983; 305-407.
  11. [11] DeBois C, Manspeaker J: Endometrial biopsy of the bovine. En Morrow DA (2nd ed): Current Therapy in Theriogenology, Philadelphia, PA, WB Saunders Co; 1986; 424-427.
  12. [12] Schlafer DH: Diseases of the Canine Uterus. Reprod Dom Anim 2012; 47: 318-322. [pubMed]
  13. [13] Gifford AT, Scarlett JM, Schlafer DH: Histopathologic findings in uterine biopsy samples from subfertile bitches: 399 cases (1990-2005). J Am Vet Med Assoc 2014; 244: 180-186. [pubMed]
  14. [14] Bain AM: The role of infection in infertility in the thoroughbred mare. Vet Rec 1966; 78: 168-173. [pubMed]
  15. [15] Doig PA, McKnight JD, Miller RB: The use of endometrial biopsy in the infertile mare. Can Vet J 1981; 22: 72-76. [pubMed]
  16. [16] Kasimanickam R, Duffield TF, Foster RA, et al.: Endometrial cytology and ultrasonography for the detection of subclinical endometritis in postpartum dairy cows. Theriogenology 2004; 62: 9-23. [pubMed]
  17. [17] LeBlanc MM, Causey RC: Clinical and subclinical endometritis in the mare: Both threats to fertility. Reprod Dom Anim 2009; 44: 10-22. [pubMed]
  18. [18] Sheldon IM, Price SB, Cronin J, Gilbert RO, Gadsby JE: Mechanisms of infertility associated with clinical and subclinical endometritis in high producing dairy cattle. Reprod Dom Anim 2009; 44:1-9. [pubMed]
  19. [19] LeBlanc MM: Advances in the diagnosis and treatment of chronic infectious and post-mating-induced endometritis in the mare. Reprod Domest Anim 2010; 2: 21-27. [pubMed]
  20. [20] Madoz V. Endometritis subclínica en vacas de tambo: diagnóstico, prevalencia e impacto sobre la eficiencia reproductiva. Tesis Doctoral. Facultad de Ciencias Veterinarias, Universidad Nacional de La Plata. 2011.
  21. [21] Cocchia N, Auletta L, Ucello V, et al.: Comparison of the cytobrush, cottonswab and low-volume uterine flush techniques to evaluate endometrial cytology for diagnosing endometritis in chronically infertile mares. Theriogenology 2012; 77: 89-98. [pubMed]
  22. [22] Overbeck W, Witte TS, Heuwieser S: Comparison of three diagnostic methods to identify subclinical endometritis in mares. Theriogenology 2011; 75: 1311-1318. [pubMed]
  23. [23] Johnston SD, Root Kustritz MV, Olson PNS: Disorders of the canine uterus and uterine tubes (oviducts). En Johnston SD, Root Kustritz MV, Olson PNS (1st ed.): Canine and feline theriogenology, Philadelphia, WB Saunders Company, 2001; 207-224.
  24. [24] Feldman EC, Nelson RW: Complejo hiperplasia endometrial quística/piometra. En Feldman EC, Nelson RW (3ra ed.): Endocrinología y Reproducción canina y felina, Buenos Aires, Argentina, Inter-Médica, 2007; 949-966.
  25. [25] Dow C: The cystic hyperplasia-pyometra complex in the bitch. Vet Rec. 1958; 70: 1102-1110.
  26. [26] Verstegen J, Dhaliwal G, Verstegen-Onclin K: Mucometra, cystic endometrial hyperplasia, and pyometra in the bitch: advances in treatment and assessment of future reproductive success. Theriogenology 2008; 70: 364-374. [pubMed]
  27. [27] Christensen BW, Schlafer DH, Agnew DW, et al.: Diagnostic value of transcervical endometrial biopsies in domestic dogs compared with full-thickness uterine sections. Reprod Domest Anim 2012; 47: 342-346. [pubMed]
  28. [28]  Mir F, Fontaine E, Albaric O, et al.: Findings in uterine biopsies obtained by laparotomy from bitches with unexplained infertility or pregnancy loss: An observational study. Theriogenology 2013; 79: 312-322. [pubMed]
  29. [29] Gunnink J: En Onderzoek naar het Afweermechanisme Van De Uterus, University of Utrecht, PhD Thesis, 1973; 143-160.
  30. [30] Dhaliwal G, Murray R, Woldehiwet Z: Some aspects of immunology of the bovine uterus related to treatments for endometritis. Anim Reprod Sci 2001; 67:135-152. [pubMed]
  31. [31] Stornelli MC, García Mitacek MC, Giménez F, et al.: Pharmacokinetics of eCG and induction of fertile estrus in bitches using eCG followed by hCG. Theriogenology 2012; 78:1056-1064. [pubMed]
  32. [32] Watts JR, Wright PJ, Whithear KC: Uterine, cervical and vaginal microflora of the normal bitch throughout the reproductive cycle. J Small Anim Pract 1996; 37: 54-60. [pubMed]
  33. [33] Watts JR, Wright PJ, Lee CS: Endometrial cytology of the normal bitch throughout the reproductive cycle. J Small Anim Pract 1998; 39: 2-9. [pubMed]
  34. [34] Kenney R, Doig P: Equine endometrial biopsy. En Morrow D (2nd ed): Current therapy in Theriogenology, Philadelphia, Lea and Febiger, 1986; 723-729.
  35. [35] Rivera Cantero GA. Caracterización histopatológica del endometrio de yeguas con antecedentes clínicoreproductivos de subfertilidad. Tesis Doctoral. Facultad de Ciencias Veterinarias, Universidad Austral de Chile. 2003.
  36. [36] Sertich PL: Intrauterine diagnostic procedures. En Samper JC, Pycock JE, McKinnon AO (Ed.): Current therapy in equine reproduction, Philadelphia, USA, Saunders Elsevier, 2007; 36-43.
  37. [37] Nielsen JM: Endometritis in the mare: a diagnostic study comparing cultures from swab and biopsy. Theriogenology 2005; 64: 510-518. [pubMed]
  38. [38] Chapwanya A, Meade KG, Narciandi F, et al.: Endometrial biopsy: a valuable clinical and research tool in bovine reproduction. Theriogenology 2010; 73: 988-994. [pubMed]
  39. [39] Gilbert RO, Shin ST, Guard CL, Erb HN, Frajblat M: Prevalence of endometritis and its effects on reproductive performance of dairy cows. Theriogenology 2005; 64: 1879-1888. [pubMed]
  40. [40] Overbeck W, Jäger K, Schoon HA, Witte TS: Comparison of cytological and histological examinations in different locations of the equine uterusdan in vitro study. Theriogenology 2013; 79:1262-1268. [pubMed]
  41. [41] Madoz LV, Giuliodori MJ, Migliorisi AL, Jaureguiberry M, de la Sota RL: Endometrial cytology, biopsy, and bacteriology for the diagnosis of subclinical endometritis in grazing dairy cows. J Dairy Sci 2014; 97: 195-201. [pubMed]
  42. [42] Gahlot SC, Kumar S, Kumaresan A, et al.: Efficiency of uterine fluid cytology in the diagnosis of subclinical endometritis in the water buffalo (Bubalus bubalis). Reprod Domest Anim 2017; 52(3):513-516. [pubMed]
  43. [43] Kasimanickam R, Duffield TF, Foster RA, et al.: A comparison of the cytobrush and uterine lavage techniques to evaluate endometrial cytology in clinically normal postpartum dairy cows. Can Vet J 2005; 46:255-259. [pubMed]
  44. [44] Trimbos JB, Arentz NPW: The efficiency of cytobrush versus the cotton swab in the collection of endocervical cells in cervical smears. Acta Cytol 1986; 30:261-263. [pubMed]
  45. [45]  Glenthoj A, Bostofte E, Rank F: Brush cytology from the uterine endocervix. Acta Obstet Gynecol Scand 1986; 65:689-691. [pubMed]
  46. [46] Kavak ZN, Eren F, Pekin S, Kullu S: A randomised comparison of the 3 Papanicolaou smear collection methods. Aust NZJ Obstet Gynaecol 1995; 65:689-691. [pubMed]
  47. [47] Bourke M, Mills JN, Barnes AL: Collection of endometrial cells in the mare. Aust Vet J 1997; 75:755-758. [pubMed]
  48. [48] Mir F, Fontaine E, Greer M, Vannier F, Fontbonne A: Interés de las biopsias de útero como método diagnóstico de la infertilidad de origen inexplicado en la perra. Clin Vet Peq Anim 2011; 31(1): 35-39.
  49. [49] Interian L, Díaz N, Martínez J, et al.: Diagnóstico y tratamiento de la endometritis subclínica en yeguas para ser incorporados a un programa de transferencia de embriones. Ciencia y Tecnología Ganadera 2014; 8: 97-102.
  50. [50] Sikora M, Król J, Nowak M, et al.: The usefulness of uterine lavage and acute phase protein levels as a diagnostic tool for subclinical endometritis in Icelandic mares. Acta Vet Scand 2016; 58:50. [pubMed]
  51. [51] Kushner I, Mackiewicz A: Acute phase proteins as a disease markers. Dis Markers 1987; 5: 1-11. [pubMed]
  52. [52] Stadnyk AW, Gauldie J: The acute phase protein response during parasitic infection. Inmunol Today 1991; 12: 7-12. [pubMed]
  53. [53] Heinrich PC, Castell JV, Andus T: Interleukin-6 and the acute phase response. Biochem J 1990; 265: 621-636. [pubMed]
  54. [54] Martínez-Subiela S, Tecles F, Parra M D, Cerón J J: Proteínas de fase aguda: conceptos básicos y principales aplicaciones clínicas en medicina veterinaria. An Vet Murcia 2001; 17: 97-114.
  55. [55] Martínez-Subiela S, Parra ND, Cerón JJ: Principales aplicaciones de las proteínas de fase aguda en la clínica canina. An Vet Murcia 2004; 20: 75-86.
  56. [56] Eckersall PD, Bell R: Acute phase proteins: Biomarkers of infection and inflammation in veterinary medicine. The Veterinary Journal 2010; 185:23-27. [pubMed]
  57. [57] Cerón J: Acute Phase Proteins, Saliva and Education in Laboratory Science: An Update and Some Reflections. BMC Vet Res 2019; 15: 197. [pubMed]
  58. [58] Martínez-Subiela S, Cerón JJ: Validación analítica de técnicas comerciales para la determinación de haptoglobina, proteína C reactiva y amiloide A sérico en caninos. Arch Med Vet 2005; 37: 61-66.
  59. [59] Brodzki P, Kostro K, Krakowski L, Marczuk J: Inflammatory cytokine and acute phase protein concentrations in the peripheral blood and uterine washings of cows with subclinical endometritis in the late postpartum period. Vet Res Commun 2015; 39: 143-149. [pubMed]
  60. [60] Kaya S, Merhan O, Kacar C, Colak A, Bozukluhan K: Determination of ceruloplasmin, some other acute phase proteins, and biochemical parameters in cows with endometritis. Vet World 2016; 9: 1056-1062. [pubMed]
  61. [61] Enginler SO, Ates A, Diren Sıgirer B, et al.: Measurement of C-reactive protein and prostaglandin F2a metabolite concentrations in differentiation of canine pyometra and cystic endometrial hyperplasia/Mucometra. Reprod Dom Anim 2014; 49: 641-647. [pubMed]
  62. [62] Jitpean S, Ström Holst B, Höglund O, et al.: Serum Insulin-like growth factor-I, Iron, C-reactive protein and serum amyloid A for prediction of outcome in dogs with pyometra. Theriogenology 2014; 82: 43-48. [pubMed]
  63. [63] Gabler C, Drillich M, Fischer C, et al.: Endometrial expression of selected transcripts involved in prostaglandin synthesis in cows with endometritis. Theriogenology 2009; 71: 993-1004.
  64. [64] Quintela LA, Vigo M, Becerra JJ, et al.: Endometritis subclínica en ganado vacuno lechero: etiopatogenia y diagnóstico. Revisión Bibliográfica. ITEA 2017; 113(3):250-266.
  65. [65] Silva E, Leitao S, Ferreira-Dias G, Lopes da Costa L, Mateus L: Prostaglandin synthesis genes are differentially transcripted in normal and pyometra endometria of bitches. Reprod Dom Anim 2009; 44(2): 200-203. [pubMed]
  66. [66] Silva E, Leitao S, Henriques S, et al.: Gene transcription of TLR2, TLR4, LPS ligands and prostaglandin synthesis enzymes are up-regulated in canine uteri with cystic endometrial hyperplasia-pyometra complex. J Reprod Immunol 2010; 84:66-74. [pubMed]
  67. [67] García Mitacek MC, Praderio RG, Stornelli MC, de la Sota RL, Stornelli MA: Prostaglandin synthesis enzymes gene transcription in bitches with endometritis. Reprod Dom Anim 2017; 52 (2): 298-302. [pubMed]

Artículos recomendados

Estas recomendaciones se ofrecen de forma automática.

  • Más allá de los antibióticos: el papel emergente de los antisépticos en oftalmología veterinaria
    M. Leiva, M.T. Peña, R. Vilao
    Clin Vet Peq Anim Vol. 46 - Nº 1 · MAR 2026 · Artículos de Revisión
  • Biomarcadores de daño y remodelación cardíaca, inflamación y estrés oxidativo en perros con cardiopatías. Parte III

    I. Miralles-Plaza, M. J. Fernández-del-Palacio
    Clin Vet Peq Anim Vol. 45 - Nº 3 · SEP 2025 · Artículos de Revisión
  • Hidroureteronefrosis secundaria a un granuloma por probable cuerpo extraño en el muñón uterino tras una ovariohisterectomía en una perra

    B. Mena-Moros, M. Soler, J. Carrillo, et al.
    Clin Vet Peq Anim Vol. 41 - Nº 3 · SEP 2021 · Artículo original referido a un solo caso clínico
  • Inicio
  • Introducción
  • Prevalencia de endometritis histológica
  • Toma de muestras endometriales
  • Estudios complementarios para la aproximación diagnóstica de endometritis en la hembra canina
  • Conclusión
  • Bibliografía
Artículo anterior Índice de la revista Artículo siguiente
ANUNCIO
Próximos cursos ATVs Elearning
Índice
Inicio Introducción Prevalencia de endometritis histológica Toma de muestras endometriales Estudios complementarios para la aproximación diagnóstica de endometritis en la hembra canina Conclusión Bibliografía
Boehringer - NexGard
ANUNCIO

¿No eres socio de AVEPA y quieres recibir comunicación de las nuevas ediciones en tu correo?

Suscríbete

Suscríbete y te avisaremos cuando publiquemos un nuevo número

Suscribirme

Enlaces rápidos

  • Inicio
  • Último número
  • Archivo
  • Artículos

Información

  • Comité editorial
  • Política de cookies
  • Política de privacidad
  • Términos y condiciones

Contacto

  • info@imaginice.com
  • Envíanos tu artículo
© 2026 Ice Salud Vet SL. Todos los derechos reservados.

Usamos cookies para mejorar tu experiencia. Selecciona cuáles aceptas: