Logo AVEPA

Clínica Veterinaria de Pequeños Animales

Revista oficial de AVEPA

  • Inicio
  • Último número
  • Archivo
  • Artículos
  • Para autores
  • Contacto
Cursos Junio-Septiembre 2026
ANUNCIO

Clínica Veterinaria de Pequeños Animales

Revista oficial de AVEPA

  • Inicio
  • Último número
  • Archivo
  • Artículos
  • Para autores
  • Contacto
Curso Oftalmología 2026
ANUNCIO
Clin Vet Peq Anim Vol. 43 • Nº 1 • marzo 2023

¿Cuál es tu diagnóstico?

¿Cuál es tu diagnóstico?

R. Peláez-Carmona

Hospital SOS Animal. c/ Spengler 15. 29007 Málaga.

Contacto: rpelaezcarmona@gmail.com
Descargar artículo

Historia clínica

Se presentó en consulta de Traumatología un gato scottish fold, de 2,3 kg de peso y un año de edad, hembra, no esterilizada, por cojera de aparición aguda de la extremidad posterior izquierda de 10 días de evolución, sin antecedentes de traumatismo. El paciente no mostraba alteraciones en la analítica sanguínea. No se observó respuesta al tratamiento con antiinflamatorios no esteroideos (meloxicam vía oral a dosis de 0,05 mg/kg/SID/10 días; Meloxidyl® 0,5 mg/ml, Ceva Salud Animal S.A., Barcelona, España).

El paciente mostraba un tamaño reducido con respecto a la edad y la raza, pero la condición corporal era normal para su tamaño. Se observó acortamiento y engrosamiento de ambas extremidades posteriores a nivel de tarsos, metatarsos y falanges. Durante la exploración ortopédica, únicamente manifestaba dolor a la hiperextensión de la rodilla izquierda.

Se realizaron radiografías de ambas extremidades posteriores en proyección mediolateral (Fig. 1).

<p>Radiografías de las extremidades posteriores de una gata scottish fold de 1 año de edad. (<strong>A</strong>) Proyección mediolateral de la rodilla, tibia, tarso, metatarso y falanges de la extremidad posterior izquierda. (<strong>B</strong>) Proyección mediolateral de la rodilla, tibia, tarso, metatarso y falanges de la extremidad posterior derecha.</p>
Figura 1

Radiografías de las extremidades posteriores de una gata scottish fold de 1 año de edad. (A) Proyección mediolateral de la rodilla, tibia, tarso, metatarso y falanges de la extremidad posterior izquierda. (B) Proyección mediolateral de la rodilla, tibia, tarso, metatarso y falanges de la extremidad posterior derecha.

Describe las anormalidades radiográficas que se observan

En ambas extremidades posteriores se evidencia un desarrollo anormal, con acortamiento, engrosamiento y deformidad de huesos y articulaciones, con pérdida del espacio articular a nivel del tarso, metatarso y falanges, con cambios degenerativos secundarios (signos de osteoartritis) y la presencia de una gran exostosis tarsal caudal, siendo estas lesiones las más evidentes a nivel radiográfico (Fig. 2). Además, se observa una leve efusión articular en rodilla izquierda (cambios en el paquete adiposo infrapatelar) con disminución del área radiolúcida y aumento de densidad correspondiente a la grasa infrapatelar, con desplazamiento caudal de la línea de la fascia poplítea (Fig. 2). En la rodilla derecha no se aprecian cambios compatibles con efusión articular.

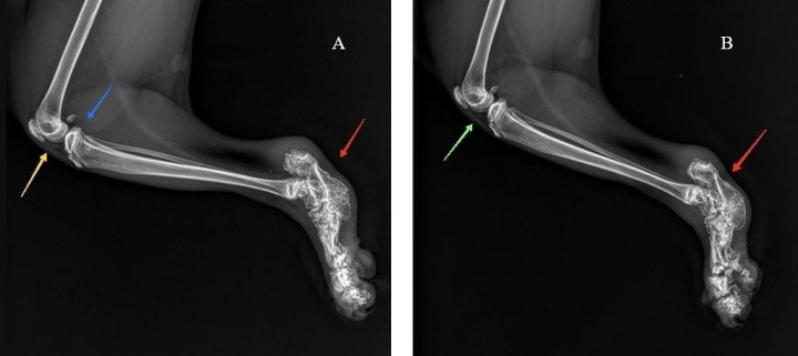
<p>Mismas imágenes que la Figura 1. En ambas imágenes se observa un desarrollo anormal, con acortamiento y deformidad de huesos y articulaciones en tarso, metatarso y falanges, produciendo una pérdida del espacio articular intertarsal con una gran exostosis y crecimiento osteofítico de bordes irregulares a nivel de tarso (flecha roja). En la rodilla izquierda (<strong>A</strong>) se observa efusión articular (flecha amarilla) y desplazamiento caudal de la fascia poplítea (flecha azul). En la rodilla derecha (<strong>B</strong>) no existe efusión articular en la rodilla, visualizándose correctamente el cojinete adiposo infrapatelar (flecha verde).</p>
Figura 2

Mismas imágenes que la Figura 1. En ambas imágenes se observa un desarrollo anormal, con acortamiento y deformidad de huesos y articulaciones en tarso, metatarso y falanges, produciendo una pérdida del espacio articular intertarsal con una gran exostosis y crecimiento osteofítico de bordes irregulares a nivel de tarso (flecha roja). En la rodilla izquierda (A) se observa efusión articular (flecha amarilla) y desplazamiento caudal de la fascia poplítea (flecha azul). En la rodilla derecha (B) no existe efusión articular en la rodilla, visualizándose correctamente el cojinete adiposo infrapatelar (flecha verde).

¿Cuáles son los diagnósticos diferenciales con estos signos radiográficos?

Los diagnósticos diferenciales de las causas de osteoartritis en los gatos incluyen: 

- Causas primarias: osteocondrodisplasia del scottish fold, mucopolisacaridosis felina y degeneración del cartílago relacionada con la edad.[ Allan GS: Signos radiográficos de las enfermedades articulares en perros y gatos. En Thrall DE (ed): Tratado de diagnóstico radiológico veterinario, Buenos Aires, Intermédica, 2009; 325-355. ]

- Causas secundarias: anormalidades del desarrollo (en otras articulaciones: luxación de rótula, displasia de cadera, deformidades), trauma, infecciosas (calicivirus felino) o inflamatorias, nutricionales (hipervitaminosis A), neuropáticas (diabetes mellitus) o inmunomediadas (poliartritis felina progresiva erosiva).[ Allan GS: Signos radiográficos de las enfermedades articulares en perros y gatos. En Thrall DE (ed): Tratado de diagnóstico radiológico veterinario, Buenos Aires, Intermédica, 2009; 325-355. ]

Con respecto a la efusión articular en rodilla, sus diagnósticos diferenciales son: artritis, traumatismos, lesión en ligamentos, lesión en meniscos, luxación de rótula y condromalacia.[ Allan GS: Signos radiográficos de las enfermedades articulares en perros y gatos. En Thrall DE (ed): Tratado de diagnóstico radiológico veterinario, Buenos Aires, Intermédica, 2009; 325-355. ]

¿Qué otras técnicas de diagnóstico realizarías para alcanzar el diagnóstico definitivo?

Al presentar cojera de la extremidad posterior izquierda, con dolor a la exploración de la rodilla izquierda, es recomendable la realización de proyecciones radiográficas ortogonales de dicha articulación, además de radiografías de columna lumbar y pelvis para descartar otras causas de cojera (Fig. 3).

<p>Proyección ventrodorsal de pelvis incluyendo vértebras caudales y rodillas (<strong>A</strong>), lateral derecha de columna lumbar, sacro (<strong>B</strong>) y vértebras caudales (<strong>C</strong>) donde se observan placas epifisarias ensanchadas y menor longitud de vértebras caudales (flechas rojas).</p>
Figura 3

Proyección ventrodorsal de pelvis incluyendo vértebras caudales y rodillas (A), lateral derecha de columna lumbar, sacro (B) y vértebras caudales (C) donde se observan placas epifisarias ensanchadas y menor longitud de vértebras caudales (flechas rojas).

Ante la sospecha de una osteocondrodisplasia, está indicado realizar radiografías de la cola para valorar vértebras caudales, de los carpos, metacarpos y falanges, así como de los tarsos, metatarsos y falanges (Figs. 4 y 5). Estas mostraron acortamiento de vertebras coccígeas, así como de los huesos metacarpianos, metatarsianos y falanges, y deformación y degeneración articular a esos niveles. 

<p>Proyección dorsopalmar de la parte distal de las extremidades anteriores (<em>manus</em>) del paciente donde se observan lesiones similares (aunque más leves) a nivel de carpos, metacarpos y falanges que los encontrados a nivel de tarsos, metatarsos y falanges en las extremidades posteriores.</p>
Figura 4

Proyección dorsopalmar de la parte distal de las extremidades anteriores (manus) del paciente donde se observan lesiones similares (aunque más leves) a nivel de carpos, metacarpos y falanges que los encontrados a nivel de tarsos, metatarsos y falanges en las extremidades posteriores.

<p>Proyección dorsoplantar de la parte distal de las extremidades posteriores (<em>pes</em>) del paciente donde se observa acortamiento, deformidad y engrosamiento de tarsos, metatarsos y falanges, así como pérdida de los espacios articulares de dichas zonas.</p>
Figura 5

Proyección dorsoplantar de la parte distal de las extremidades posteriores (pes) del paciente donde se observa acortamiento, deformidad y engrosamiento de tarsos, metatarsos y falanges, así como pérdida de los espacios articulares de dichas zonas.

El diagnóstico definitivo no se alcanzó únicamente con el examen radiográfico, ya que el examen ortopédico fue muy importante para determinar la causa de la cojera. Durante el examen ortopédico la prueba de cajón anterior fue positiva en la rodilla izquierda, siendo el resto de examen completamente normal, por lo que el diagnóstico definitivo fue de rotura de ligamento cruzado craneal de la rodilla izquierda, además de osteocondrodisplasia del scottish fold.

Comentario

A veces lo evidente no es la causa principal de la sintomatología clínica.

Las imágenes radiográficas son sugerentes de deformación, acortamiento y patología articular degenerativa en carpos, metacarpos, tarsos, metatarsos y falanges.

El scottish fold es una raza felina que se caracteriza por tener el cartílago auricular doblado. Esta debilidad del cartílago auricular es causada por un rasgo autosómico dominante simple (variante genética en TRPV4). Esto da como resultado que las orejas se plieguen hacia adelante y efectos variables sobre el cartílago articular y el hueso. Los animales afectados son de talla más pequeña de lo normal y suelen tener anormalidades en la marcha, siendo la cola más corta y con una base gruesa e inflexible.[ Rorden C, Griswold MC, Moses N et al: Radiographical Survey of Osteochondrodysplasia in Scottish Fold Cats caused by the TRPV4 gene variant. Hum Genet 2021;140(11):1525-1534. [PubMed] ] Las lesiones son radiográficamente evidentes a las 7 semanas de edad.[ Allan GS: Signos radiográficos de las enfermedades articulares en perros y gatos. En Thrall DE (ed): Tratado de diagnóstico radiológico veterinario, Buenos Aires, Intermédica, 2009; 325-355. ] Estas lesiones radiográficas se caracterizan por una distorsión de las metáfisis de los metatarsianos y metacarpianos, siendo las fisis más anchas de lo normal. En las falanges se ven alteraciones similares, pero menos pronunciadas. El acortamiento de los metatarsianos, metacarpianos y falanges conlleva una disminución de la longitud de las extremidades. Las vértebras caudales tienen menor longitud y sus placas epifisarias están ensanchadas. Por tanto, se desarrolla una enfermedad articular degenerativa secundaria, que conduce a anquilosis carpiana, carpo-metacarpiana o tarsiana, tarso-metatarsiana en los gatos con afección grave.[ Rorden C, Griswold MC, Moses N et al: Radiographical Survey of Osteochondrodysplasia in Scottish Fold Cats caused by the TRPV4 gene variant. Hum Genet 2021;140(11):1525-1534. [PubMed] , Chang J, Jung J, Oh S et al: Osteochondrodysplasia in three Scottish Fold cats. J Vet Sci. 2007;8(3):307-309. [PubMed] , Malik R, Allan GS, Howlett CR et al: Osteochondrodysplasia in Scottish Fold cats. Aust Vet J 1999;77(2):85-92. [PubMed] ]

El diagnóstico se sustenta en base a la raza, la historia clínica, los signos clínicos y los hallazgos radiográficos.[ Chang J, Jung J, Oh S et al: Osteochondrodysplasia in three Scottish Fold cats. J Vet Sci. 2007;8(3):307-309. [PubMed] , Malik R, Allan GS, Howlett CR et al: Osteochondrodysplasia in Scottish Fold cats. Aust Vet J 1999;77(2):85-92. [PubMed] ]

La progresión de la enfermedad varía mucho en cada paciente y depende del grado de afectación (de leve hasta grave).[ Malik R, Allan GS, Howlett CR et al: Osteochondrodysplasia in Scottish Fold cats. Aust Vet J 1999;77(2):85-92. [PubMed] ] Como tratamiento paliativo se incluyen los analgésicos (AINEs), los condroprotectores y la radiación. 

La principal causa de lesión del ligamento cruzado craneal (LCC) en el gato es traumática, como resultado de una caída. Los gatos que desarrollan rotura del LCC con poco o ningún traumatismo aparente suelen tener sobrepeso o procesos degenerativos similares a los descritos en perros: disposición irregular de las fibras de colágeno, proliferación de fibrocitos y mineralización distrófica ocasional.[ Harasen G: Feline cruciate rupture. Can Vet J. 2007;48(6):639-640. [PubMed] ]

El diagnóstico de los trastornos de la articulación de la rodilla se basa principalmente en la clínica y la exploración. Los gatos que presentan una rotura aguda del ligamento cruzado craneal mostrarán un inicio repentino de cojera, dolor a la extensión de rodilla y una efusión articular. La prueba de cajón craneal positiva confirma la rotura del ligamento cruzado craneal.[ Harasen G: Feline cruciate rupture. Can Vet J. 2007;48(6):639-640. [PubMed] ] Por su lado, la enfermedad degenerativa felina no suele producir cojera, sino que generalmente afecta al comportamiento y la movilidad del animal, limitando su movimiento, permaneciendo más tiempo acostado y mostrando dificultades al subir y bajar alturas y escaleras; esta actitud a veces se puede confundir con el envejecimiento del animal.[ Lindley S: Recognising pain in cats. A Challenge for our times. MOSAIC, Metacam Symposium on Arthritic disease In Cats 2007. ]

El tratamiento de la rotura del LCC en gatos no está exento de controversia. Los resultados publicados con respecto al tratamiento conservador son bastante buenos y un alto porcentaje de gatos se recupera sin necesidad de cirugía. En este caso, el tratamiento se centró en la lesión del ligamento cruzado craneal y como primera opción se recomendó tratamiento conservador mediante reposo, AINEs (meloxicam 0,05 mg/kg/SID/2 semanas; Meloxidyl® 0,5 mg/ml, Ceva Salud Animal S.A., Barcelona, España) y glucosaminoglicanos (Condrovet® Force HA, Bioiberica, Barcelona, España) de forma indefinida, desapareciendo la cojera a las 8 semanas.[ Harasen G: Feline cruciate rupture. Can Vet J. 2007;48(6):639-640. [PubMed] ]

En conclusión, la exploración ortopédica en este paciente fue determinante para llegar al diagnóstico definitivo, ya que las imágenes radiográficas podían sugerir que la causa de la cojera no se encontraba en la rodilla.

 

Fuente de financiación: este trabajo no se ha realizado con fondos comerciales, públicos o del sector privado.

Conflicto de intereses: el autor declara que no existe conflicto de intereses.

Bibliografía

  1. [1] Allan GS: Signos radiográficos de las enfermedades articulares en perros y gatos. En Thrall DE (ed): Tratado de diagnóstico radiológico veterinario, Buenos Aires, Intermédica, 2009; 325-355.
  2. [2] Rorden C, Griswold MC, Moses N et al: Radiographical Survey of Osteochondrodysplasia in Scottish Fold Cats caused by the TRPV4 gene variant. Hum Genet 2021;140(11):1525-1534. [PubMed]
  3. [3] Chang J, Jung J, Oh S et al: Osteochondrodysplasia in three Scottish Fold cats. J Vet Sci. 2007;8(3):307-309. [PubMed]
  4. [4] Malik R, Allan GS, Howlett CR et al: Osteochondrodysplasia in Scottish Fold cats. Aust Vet J 1999;77(2):85-92. [PubMed]
  5. [5] Harasen G: Feline cruciate rupture. Can Vet J. 2007;48(6):639-640. [PubMed]
  6. [6] Lindley S: Recognising pain in cats. A Challenge for our times. MOSAIC, Metacam Symposium on Arthritic disease In Cats 2007.

Artículos recomendados

Estas recomendaciones se ofrecen de forma automática.

  • ¿Cuál es tu diagnóstico?
    L. Martín-Carrasco, E. Mínguez-Pereira, R. Salgüero-Fernández, et al.
    Clin Vet Peq Anim Vol. 46 - Nº 1 · MAR 2026 · ¿Cuál es tu diagnóstico?
  • ¿Cuál es tu diagnóstico?
    D. Marbella, A.M. Hernández-Guerra, L. Montalvà-Minguet
    Clin Vet Peq Anim Vol. 45 - Nº 4 · DIC 2025 · ¿Cuál es tu diagnóstico?
  • ¿Cuál es tu diagnóstico?

    J.D. Carrillo, M. Soler, M.S. Echalecu, et al.
    Clin Vet Peq Anim Vol. 45 - Nº 3 · SEP 2025 · ¿Cuál es tu diagnóstico?
  • Inicio
  • Historia clínica
  • Describe las anormalidades radiográficas que se observan
  • ¿Cuáles son los diagnósticos diferenciales con estos signos radiográficos?
  • ¿Qué otras técnicas de diagnóstico realizarías para alcanzar el diagnóstico definitivo?
  • Comentario
  • Bibliografía
Artículo anterior Índice de la revista Artículo siguiente
ANUNCIO
Próximos cursos ATVs Elearning
Índice
Inicio Historia clínica Describe las anormalidades radiográficas que se observan ¿Cuáles son los diagnósticos diferenciales con estos signos radiográficos? ¿Qué otras técnicas de diagnóstico realizarías para alcanzar el diagnóstico definitivo? Comentario Bibliografía
Purina Calming Care
ANUNCIO

¿No eres socio de AVEPA y quieres recibir comunicación de las nuevas ediciones en tu correo?

Suscríbete

Suscríbete y te avisaremos cuando publiquemos un nuevo número

Suscribirme

Enlaces rápidos

  • Inicio
  • Último número
  • Archivo
  • Artículos

Información

  • Comité editorial
  • Política de cookies
  • Política de privacidad
  • Términos y condiciones

Contacto

  • info@imaginice.com
  • Envíanos tu artículo
© 2026 Ice Salud Vet SL. Todos los derechos reservados.

Usamos cookies para mejorar tu experiencia. Selecciona cuáles aceptas: