Logo AVEPA

Clínica Veterinaria de Pequeños Animales

Revista oficial de AVEPA

  • Inicio
  • Último número
  • Archivo
  • Artículos
  • Para autores
  • Contacto
Cursos Junio-Septiembre 2026
ANUNCIO

Clínica Veterinaria de Pequeños Animales

Revista oficial de AVEPA

  • Inicio
  • Último número
  • Archivo
  • Artículos
  • Para autores
  • Contacto
Curso Oftalmología 2026
ANUNCIO
Clin Vet Peq Anim Vol. 36 • Nº 1 • marzo 2016

¿Cuál es tu diagnóstico?

¿Cuál es tu diagnóstico?

E. García

Centro de Diagnóstico por Imagen / Centro Médico Veterinario c/ Delicias 34, 28045 Madrid

N. Díez-Bru

Centro de Diagnóstico por Imagen / Centro Médico Veterinario c/ Delicias 34, 28045 Madrid

M. Pinilla

Centro de Diagnóstico por Imagen / Centro Médico Veterinario c/ Delicias 34, 28045 Madrid

P. Plaza

Centro de Diagnóstico por Imagen / Centro Médico Veterinario c/ Delicias 34, 28045 Madrid

R. Sánchez

Centro de Diagnóstico por Imagen / Centro Médico Veterinario c/ Delicias 34, 28045 Madrid

Contacto: henryvet79@hotmail.com
Descargar artículo

Historia clínica

Perro macho de raza Carlino de 3 años de edad con un cuadro de decaimiento y tos de un mes de evolución. Durante el examen físico se detecta disminución de los sonidos pulmonares en el hemitórax izquierdo. La analítica sanguínea revela leucocitosis (42 x 103/µL; valor de referencia 6,0-17,0x 103/µL). Se realizan radiografías de tórax en proyecciones lateral derecha y ventrodorsal (Fig. 1).

<p>Radiografías de tórax en proyección lateral derecha (A) y ventrodorsal (B) de un Carlino de 3 años de edad, con un cuadro de decaimiento y tos de un mes de evolución.</p>
Figura 1

Radiografías de tórax en proyección lateral derecha (A) y ventrodorsal (B) de un Carlino de 3 años de edad, con un cuadro de decaimiento y tos de un mes de evolución.

Describe las anormalidades radiográficas que se observan.

Se observa un aumento de la opacidad pulmonar del lóbulo craneal izquierdo, representado por consolidación en la zona craneal y por un patrón alveolar en la zona caudal, sin desplazamiento de estructuras mediastínicas (Fig. 2). El resto de estructuras intra y extratorácicas no muestran alteraciones radiológicas significativas.

<p>Mismas imágenes que la Figura 1. Se observa un aumento de opacidad pulmonar, consolidación en área craneal y patrón alveolar en área caudal del lóbulo craneal izquierdo (área delimitada en blanco), sin desplazamiento de estructuras mediastínicas. El área círculo negro señala los broncogramas aéreos.</p>
Figura 2

Mismas imágenes que la Figura 1. Se observa un aumento de opacidad pulmonar, consolidación en área craneal y patrón alveolar en área caudal del lóbulo craneal izquierdo (área delimitada en blanco), sin desplazamiento de estructuras mediastínicas. El área círculo negro señala los broncogramas aéreos.

¿Cuáles son los diagnósticos diferenciales con estos signos radiográficos?

La imagen radiológica es compatible con consolidación del lóbulo pulmonar craneal izquierdo. Los diagnósticos diferenciales incluyen: torsión de lóbulo pulmonar, neumonía, contusión torácica, neoplasia (carcinoma broncogénico) o tromboembolismo pulmonar.

¿Qué otras técnicas de imagen realizarías para alcanzar el diagnóstico definitivo?

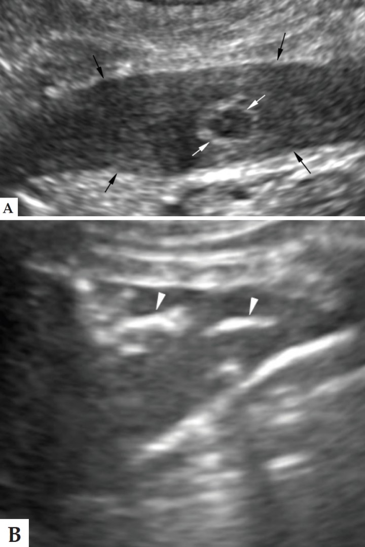
En este caso se realizó una ecografía torácica, observándose consolidación del lóbulo pulmonar craneal izquierdo, parénquima de aspecto hepatizado y estructuras tubulares dilatadas rellenas de líquido en la zona craneal, y broncogramas aéreos en la zona caudal (Fig. 3). El estudio Doppler reveló ausencia de flujo. Los nódulos linfáticos mediastínicos estaban moderadamente aumentados de tamaño (1 cm). Estos hallazgos sugieren consolidación asociada a torsión pulmonar, proceso inflamatorio o neoplasia de infiltración difusa.

<p>Imágenes ecográficas del lóbulo pulmonar craneal izquierdo consolidado (flechas negras) con un broncograma líquido señalado por la flecha blanca (A) y con broncogramas aéreos señalados por las puntas de flecha blancas (B).</p>
Figura 3

Imágenes ecográficas del lóbulo pulmonar craneal izquierdo consolidado (flechas negras) con un broncograma líquido señalado por la flecha blanca (A) y con broncogramas aéreos señalados por las puntas de flecha blancas (B).

Como prueba definitiva de diagnóstico se recurrió a la tomografía computarizada (TC), en la que se observó una terminación abrupta del bronquio principal de la porción craneal del lóbulo pulmonar craneal izquierdo, confirmando así la sospecha de torsión (Fig. 4). El lóbulo afectado presentaba atelectasia severa y un árbol bronquial dilatado y relleno de líquido (Fig. 5). Tras la administración de contraste intravenoso no se observaron venas y arterias pulmonares normales porque, al igual que el bronquio, terminaban abruptamente a nivel del hilio. Asimismo, la distribución periférica de contraste y el realce pleural sugerían la presencia de pleuritis, adherencias y necrosis pulmonar, indicando que los cambios eran muy crónicos, lo que podría complicar la cirugía.

<p>Reconstrucción multiplanar dorsal de mínima intensidad (minIP). La flecha negra señala la terminación abrupta de la porción craneal del bronquio principal del lóbulo pulmonar craneal izquierdo.</p>
Figura 4

Reconstrucción multiplanar dorsal de mínima intensidad (minIP). La flecha negra señala la terminación abrupta de la porción craneal del bronquio principal del lóbulo pulmonar craneal izquierdo.

<p>Imágenes de TC de tórax en los planos axial (A) y sagital (B) y ventana de tejido blando. El lóbulo pulmonar craneal izquierdo está completamente consolidado (flechas blancas), excepto por una pequeña zona en la parte caudal que permanece aireada. Distal a la terminación abrupta del bronquio principal izquierdo se observa una estructura tubular rellena de líquido dentro del pulmón consolidado (flecha negra). Esto es compatible con el árbol bronquial dilatado y relleno de líquido.</p>
Figura 5

Imágenes de TC de tórax en los planos axial (A) y sagital (B) y ventana de tejido blando. El lóbulo pulmonar craneal izquierdo está completamente consolidado (flechas blancas), excepto por una pequeña zona en la parte caudal que permanece aireada. Distal a la terminación abrupta del bronquio principal izquierdo se observa una estructura tubular rellena de líquido dentro del pulmón consolidado (flecha negra). Esto es compatible con el árbol bronquial dilatado y relleno de líquido.

Se realizó lobectomía del lóbulo pulmonar craneal izquierdo mediante toracotomía lateral izquierda, durante la cual se confirmó la torsión lobar. Tras la intervención, el paciente evolucionó favorablemente.

El estudio anatomopatológico reveló una neumonía fibrinonecrotizante secundaria a la torsión del lóbulo pulmonar.

Comentarios

La torsión de lóbulo pulmonar es una patología poco frecuente, que consiste en la rotación de un lóbulo sobre su pedículo broncovascular. Se produce un colapso completo de la vena pulmonar debido a su pared fina, mientras que la arteria pulmonar, de pared más resistente, sufre un colapso parcial. Esto permite que se mantenga el flujo de sangre aferente, sin vía de salida eferente, con el consiguiente aumento de volumen del lóbulo pulmonar afectado.[ D’Anjou MA, Tidwell AS, Hecht S. Radiographic diagnosis of lung lobe torsion. Vet Radiol Ultrasound 2005; 46:478-484. [PubMed] ]

Este proceso puede aparecer de manera espontánea o secundaria a una patología respiratoria previa, como efusión pleural, neumotórax, bronquitis crónica, traumatismo, hernia diafragmática o cirugía previa.[ D’Anjou MA, Tidwell AS, Hecht S. Radiographic diagnosis of lung lobe torsion. Vet Radiol Ultrasound 2005; 46:478-484. [PubMed] , Davies JA, Snead EC, Pharr JW. Tussive syncope in a pug with lung-lobe torsión. Can Vet J 2011; 52:656-660. [PubMed] ] La presentación clínica es variable: letargia, taquipnea, anorexia, disnea, tos, hematemesis, reducción de sonidos pulmonares, taquicardia, hipertermia, crepitaciones en la auscultación, mucosas pálidas, deshidratación, pulso débil y vómitos.[ D’Anjou MA, Tidwell AS, Hecht S. Radiographic diagnosis of lung lobe torsion. Vet Radiol Ultrasound 2005; 46:478-484. [PubMed] , Davies JA, Snead EC, Pharr JW. Tussive syncope in a pug with lung-lobe torsión. Can Vet J 2011; 52:656-660. [PubMed] ] Los hallazgos hematológicos también son variables, pero lo más frecuente es una leucocitosis con neutrofilia.[ D’Anjou MA, Tidwell AS, Hecht S. Radiographic diagnosis of lung lobe torsion. Vet Radiol Ultrasound 2005; 46:478-484. [PubMed] ]

Afecta tanto a perros como a gatos.[ D’Anjou MA, Tidwell AS, Hecht S. Radiographic diagnosis of lung lobe torsion. Vet Radiol Ultrasound 2005; 46:478-484. [PubMed] , Schultz RM, Peters J, Zwingenberger A. Radiography computed tomography and virtual bronchoscopy in four dogs and two cats with lung lobe torsión. J Small Anim Pract 2009;50:360-363. [PubMed] ] En perros se observa en razas grandes y de tórax profundo, así como en razas condrodistróficas pequeñas de tórax ancho y poco profundo, con especial predisposición en Carlinos.[ D’Anjou MA, Tidwell AS, Hecht S. Radiographic diagnosis of lung lobe torsion. Vet Radiol Ultrasound 2005; 46:478-484. [PubMed] , Davies JA, Snead EC, Pharr JW. Tussive syncope in a pug with lung-lobe torsión. Can Vet J 2011; 52:656-660. [PubMed] , Murphy KA, Brisson BA. Evaluation of lung lobe torsión in pugs: 7 cases (1991-2004). J Am Vet Med Assoc 2006; 228:86-90. [PubMed] ] En perros grandes el lóbulo más afectado es el lóbulo medio del pulmón derecho a una edad media de 3,5 años, mientras que en razas pequeñas se afecta principalmente el lóbulo craneal izquierdo, a una edad media de 1,7 años.[ D’Anjou MA, Tidwell AS, Hecht S. Radiographic diagnosis of lung lobe torsion. Vet Radiol Ultrasound 2005; 46:478-484. [PubMed] , Davies JA, Snead EC, Pharr JW. Tussive syncope in a pug with lung-lobe torsión. Can Vet J 2011; 52:656-660. [PubMed] , Murphy KA, Brisson BA. Evaluation of lung lobe torsión in pugs: 7 cases (1991-2004). J Am Vet Med Assoc 2006; 228:86-90. [PubMed] ] No obstante, se ha descrito en todos los lóbulos y puede afectar a más de uno.

Las técnicas de imagen son fundamentales para el diagnóstico. La radiografía convencional sigue siendo la herramienta diagnóstica inicial. Los signos radiológicos que se pueden observar son: consolidación del lóbulo pulmonar afectado, que inicialmente puede aparecer aumentado de tamaño y con márgenes redondeados por la congestión. En fases avanzadas la aparición de necrosis del parénquima conlleva una reducción del volumen del lóbulo afectado (atelectasia). También se pueden visualizar pequeños broncogramas aéreos o acúmulos de gas con un patrón de distribución moteado (enfisema vesicular). Es frecuente la aparición de derrame pleural, que empieza alrededor del lóbulo afectado, pero que puede extenderse uni o bilateralmente.[ D’Anjou MA, Tidwell AS, Hecht S. Radiographic diagnosis of lung lobe torsion. Vet Radiol Ultrasound 2005; 46:478-484. [PubMed] , Schultz RM, Peters J, Zwingenberger A. Radiography computed tomography and virtual bronchoscopy in four dogs and two cats with lung lobe torsión. J Small Anim Pract 2009;50:360-363. [PubMed] ] Sin embargo, estos hallazgos no son definitivos, ya que podrían aparecer en otras patologías como neoplasia o neumonía grave.[ D’Anjou MA, Tidwell AS, Hecht S. Radiographic diagnosis of lung lobe torsion. Vet Radiol Ultrasound 2005; 46:478-484. [PubMed] ] Si se rompe un bronquio, se puede desarrollar neumotórax. En ocasiones se observa una dirección anormal y una interrupción brusca en el recorrido de los bronquios y de los vasos. Esto, junto con el patrón vesicular enfisematoso, son los signos más característicos de esta patología.[ D’Anjou MA, Tidwell AS, Hecht S. Radiographic diagnosis of lung lobe torsion. Vet Radiol Ultrasound 2005; 46:478-484. [PubMed] , Schultz RM, Peters J, Zwingenberger A. Radiography computed tomography and virtual bronchoscopy in four dogs and two cats with lung lobe torsión. J Small Anim Pract 2009;50:360-363. [PubMed] ]

La ecografía permite detectar efusión pleural y consolidación pulmonar con broncogramas líquidos. Con frecuencia se observan focos de gas hiperecogénicos dispersos en la zona central del lóbulo torsionado, y que representan enfisema vesicular. El examen con Doppler permite detectar la ausencia de flujo venoso y la reducción del flujo arterial en el lóbulo afectado. Aunque la ecografía en estos pacientes es útil, generalmente no permite diferenciar una consolidación por torsión de la producida por neumonía o neoplasia pulmonar infiltrativa.[ D’Anjou MA, Tidwell AS, Hecht S. Radiographic diagnosis of lung lobe torsion. Vet Radiol Ultrasound 2005; 46:478-484. [PubMed] ]

La TC presenta una sensibilidad muy superior a la hora de observar la posición anómala de las estructuras bronquiales y vasculares, donde un estudio radiológico y ecográfico no tienen por qué ser concluyentes. Asimismo, la administración de contraste intravenoso permite visualizar la oclusión de los vasos y diferenciar entre un pulmón colapsado vascularizado y un lóbulo necrótico torsionado.[ Schultz RM, Peters J, Zwingenberger A. Radiography computed tomography and virtual bronchoscopy in four dogs and two cats with lung lobe torsión. J Small Anim Pract 2009;50:360-363. [PubMed] , Seiler G, Schwarz T, Vignoli M, et al. Computed tomography features of lung lobe torsión. Vet Radiol Ultrasound 2008; 49:504-508. [PubMed] ]

Se trata de una patología con una alta mortalidad, donde un diagnóstico precoz resulta determinante para la supervivencia del paciente. Sin embargo, el hecho de que el cuadro sea crónico no descarta una torsión pulmonar ya que, una vez pasada la fase aguda, se produce necrosis del lóbulo afectado, y los síntomas pueden cronificarse.

Una vez estabilizado el animal, el tratamiento consiste en la resección quirúrgica del lóbulo pulmonar afectado, con una tasa de supervivencia del 50%. La torsión no debe ser corregida durante la cirugía debido a la liberación a la circulación sanguínea de endotoxinas, sustancias vasoactivas y mediadores de la inflamación, que se forman durante el periodo de hipoperfusión. Los perros de raza pequeña presentan aparentemente un mejor pronóstico que las razas de mayor tamaño.[ Murphy KA, Brisson BA. Evaluation of lung lobe torsión in pugs: 7 cases (1991-2004). J Am Vet Med Assoc 2006; 228:86-90. [PubMed] ]

 

Fuente de financiación: Esta investigación no se realizó con fondos comerciales, públicos o del sector privado.

Conflicto de intereses: Los autores declaran que no existe conflicto de intereses.

Bibliografía

  1. [1] D’Anjou MA, Tidwell AS, Hecht S. Radiographic diagnosis of lung lobe torsion. Vet Radiol Ultrasound 2005; 46:478-484. [PubMed]
  2. [2] Davies JA, Snead EC, Pharr JW. Tussive syncope in a pug with lung-lobe torsión. Can Vet J 2011; 52:656-660. [PubMed]
  3. [3] Schultz RM, Peters J, Zwingenberger A. Radiography computed tomography and virtual bronchoscopy in four dogs and two cats with lung lobe torsión. J Small Anim Pract 2009;50:360-363. [PubMed]
  4. [4] Murphy KA, Brisson BA. Evaluation of lung lobe torsión in pugs: 7 cases (1991-2004). J Am Vet Med Assoc 2006; 228:86-90. [PubMed]
  5. [5] Seiler G, Schwarz T, Vignoli M, et al. Computed tomography features of lung lobe torsión. Vet Radiol Ultrasound 2008; 49:504-508. [PubMed]

Artículos recomendados

Estas recomendaciones se ofrecen de forma automática.

  • ¿Cuál es tu diagnóstico?
    L. Martín-Carrasco, E. Mínguez-Pereira, R. Salgüero-Fernández, et al.
    Clin Vet Peq Anim Vol. 46 - Nº 1 · MAR 2026 · ¿Cuál es tu diagnóstico?
  • ¿Cuál es tu diagnóstico?
    D. Marbella, A.M. Hernández-Guerra, L. Montalvà-Minguet
    Clin Vet Peq Anim Vol. 45 - Nº 4 · DIC 2025 · ¿Cuál es tu diagnóstico?
  • ¿Cuál es tu diagnóstico?

    J.D. Carrillo, M. Soler, M.S. Echalecu, et al.
    Clin Vet Peq Anim Vol. 45 - Nº 3 · SEP 2025 · ¿Cuál es tu diagnóstico?
  • Inicio
  • Historia clínica
  • Describe las anormalidades radiográficas que se observan.
  • ¿Cuáles son los diagnósticos diferenciales con estos signos radiográficos?
  • ¿Qué otras técnicas de imagen realizarías para alcanzar el diagnóstico definitivo?
  • Comentarios
  • Bibliografía
Artículo anterior Índice de la revista Artículo siguiente
ANUNCIO
Próximos cursos ATVs Elearning
Índice
Inicio Historia clínica Describe las anormalidades radiográficas que se observan. ¿Cuáles son los diagnósticos diferenciales con estos signos radiográficos? ¿Qué otras técnicas de imagen realizarías para alcanzar el diagnóstico definitivo? Comentarios Bibliografía
Alivira - Vominil
ANUNCIO

¿No eres socio de AVEPA y quieres recibir comunicación de las nuevas ediciones en tu correo?

Suscríbete

Suscríbete y te avisaremos cuando publiquemos un nuevo número

Suscribirme

Enlaces rápidos

  • Inicio
  • Último número
  • Archivo
  • Artículos

Información

  • Comité editorial
  • Política de cookies
  • Política de privacidad
  • Términos y condiciones

Contacto

  • info@imaginice.com
  • Envíanos tu artículo
© 2026 Ice Salud Vet SL. Todos los derechos reservados.

Usamos cookies para mejorar tu experiencia. Selecciona cuáles aceptas: