Logo AVEPA

Clínica Veterinaria de Pequeños Animales

Revista oficial de AVEPA

  • Inicio
  • Último número
  • Archivo
  • Artículos
  • Para autores
  • Contacto
Cursos Junio-Septiembre 2026
ANUNCIO

Clínica Veterinaria de Pequeños Animales

Revista oficial de AVEPA

  • Inicio
  • Último número
  • Archivo
  • Artículos
  • Para autores
  • Contacto
Curso Oftalmología 2026
ANUNCIO
Clin Vet Peq Anim Vol. 37 • Nº 1 • marzo 2017

Enfermedad del compartimento medial de codo. Valoración de la satisfacción de los propietarios de perros sometidos a osteotomía proximal de abducción de cúbito. Estudio preliminar

Medial compartment disease of the canine elbow. Evaluation of dog´s owners satisfaction undergoing proximal abducting ulnar osteotomy. Preliminary study

Artículo original referido a múltiples casos clínicos

S. Ortiz

Hospital Veterinario Universitario. Facultad de Veterinaria y Ciencias Experimentales. Universidad Católica de Valencia “San Vicente Mártir”, Valencia, España.

V. Moratalla

Servicio de Ortopedia y Traumatología. SOT Veterinaria, Valencia, España.

D. Alegre

Hospital Veterinario Universitario. Facultad de Veterinaria y Ciencias Experimentales. Universidad Católica de Valencia “San Vicente Mártir”, Valencia, España.

P. Navarro

Hospital Veterinario Universitario. Facultad de Veterinaria y Ciencias Experimentales. Universidad Católica de Valencia “San Vicente Mártir”, Valencia, España.

C. Soler

Hospital Veterinario Universitario. Facultad de Veterinaria y Ciencias Experimentales. Universidad Católica de Valencia “San Vicente Mártir”, Valencia, España. Departamento de Medicina y Cirugía Animal. Facultad de Veterinaria y Ciencias Experimentales. Universidad Católica de Valencia “San Vicente Mártir”, Valencia, España.

C.I. Serra

Hospital Veterinario Universitario. Facultad de Veterinaria y Ciencias Experimentales. Universidad Católica de Valencia “San Vicente Mártir”, Valencia, España. Departamento de Medicina y Cirugía Animal. Facultad de Veterinaria y Ciencias Experimentales. Universidad Católica de Valencia “San Vicente Mártir”, Valencia, España.

Contacto: ci.serra@ucv.es
Palabras clave: Displasia de codo, compartimento medial, artroscopia, PAUL, valoración propietario.
Keywords: Elbow dysplasia, medial compartment disease, arthroscopy, PAUL, owner evaluation.

Clin. Vet. Peq. Anim, 2017, 37 (1): 33 - 41

Descargar artículo

Resumen

En este estudio se analiza, de forma retrospectiva, el grado de satisfacción de los propietarios de perros con enfermedad del compartimento medial de codo (ECM) sometidos a artroscopia de codo y una osteotomía de abducción proximal de cúbito (PAUL). Se recopiló la información de los pacientes intervenidos con un periodo de evolución mayor o igual a 4 meses mediante cuestionario telefónico a los propietarios. Se concluye que la “PAUL” es una técnica que, en el tratamiento de la enfermedad de compartimento medial de codo, logra un grado de satisfacción excelente (10/10) en el 81,8 % de los casos evaluados, con una gran aceptación por parte del propietario.

Abstract

This study analyses retrospectively the degree of satisfaction of owners of dogs with medial compartment disease undergoing elbow arthroscopy and Proximal Abducting Ulnar Osteotomy (PAUL). Data of the patients undergoing surgery after an evolution period of at least 4 months were collected through telephone calls. It is concluded that PAUL is a new technique for treating medial compartment elbow disease that achieves an excellent degree of satisfaction (10/10) of the owner in 81.8% of the evaluated cases, with a great acceptance by the owner. However, an increased number of cases with a longer evolution period are needed to reach a definitive conclusion.

Introducción

La displasia de codo (DC) es una enfermedad del desarrollo que afecta principalmente a perros de razas grandes durante la etapa de crecimiento, siendo una de las principales causas de cojera de los miembros torácicos (MT) en el perro.[ Milchelsen J: Canine elbow dysplasia. Aetiopathogenesis and current treatment recommendations. Vet J 2013; 196(1): 12-19. [PubMed] , Meyer-Lindenberg A, Fehr M, Nolte I. Co-existence of ununited anconeal process and fragmented medial coronoid process of the ulna in the dog. J Small Anim Pract 2006; 47(2): 61-65. [PubMed] , Fitzpatrick N, Bertran J, Solano MA. Sliding humeral osteotomy. Medium term objective outcome measures and reduction of complications with a modified technique. Vet Surg 2015; 44(2): 137-149. [PubMed] , Fitpatrick N, Yeadon R, Smith T, Schultz K. Techniques of application and initial clinical experience with sliding humeral osteotomy for treatment of medial compartment disease of the canine elbow. Vet Surg 2009; 38: 261-278. [PubMed] , Coppieters E, Gielen I, Verhoeven G, Van Vynckt D, Van Ryssen B. Erosion of the medial compartment of the canine elbow: occurrence, diagnosis and currently available treatment options. Vet Comp Orthop Traumatol 2015; 28(1): 9-18. [PubMed] ] El resultado final de cualquier forma de DC es la osteoartrosis (OA),[ Fitpatrick N, Yeadon R, Smith T, Schultz K. Techniques of application and initial clinical experience with sliding humeral osteotomy for treatment of medial compartment disease of the canine elbow. Vet Surg 2009; 38: 261-278. [PubMed] , Chico A. Opciones de tratamiento en la displasia de codo. Clin Vet Peq Anim 2010; 30(4): 229-238. [UAB] ] de forma que el IEWG (International Elbow Working Group, Grupo de Trabajo Internacional sobre el Codo) estima que el simple hallazgo de artrosis de codo en un perro de raza predispuesta, especialmente si es bilateral, debe ser considerado como probable displasia de codo, incluso aunque la forma primaria de displasia no haya sido identificada.[ Chico A. Opciones de tratamiento en la displasia de codo. Clin Vet Peq Anim 2010; 30(4): 229-238. [UAB] ]

Se describen 4 entidades patológicas que, solas o en combinación, son las responsables de la DC.[ Hazewinkel HAW. Elbow dysplasias. Different entities and their etiologies, incidence and prevalence and genetic aspects. 28th annual meeting IEWG, Cape Town SA, September 17th 2014; 6. ]

  • No Unión del Proceso Ancóneo (NUPA).
  • Fragmentación del Proceso Coronoides Medial (FPMC).
  • Osteocondritis Disecante del Cóndilo humeral medial (OCD).
  • Incongruencia Articular (IA).

La DC que se desarrolla como resultado de FPMC, OCD e IA se conoce como Enfermedad del Compartimento Medial (ECM),[ Fitzpatrick N, Smith T, Evans R, Yeadon R. Radiographic and artroscopic findings in the elbow joints of 263 dogs with medial coronoid disease. Vet Surg 2009; 38: 213-223. [PubMed] ] y se relaciona con la actuación de fuerzas anormales sobre un cartílago normal, habitualmente debido a una incongruencia articular, o de fuerzas normales sobre un cartílago enfermo.[ Coppieters E, Samoy Y, Pey P, Waelbers T, Van Ryssen B. Medial compartment disease in a young large munsterlander. Vl Diergenees Tijds 2012; 81:88-92. [Ugent] , IWEG Abstracts of the 7th annual meeting of the international elbow working group. Constance, Germany VCOT 1996; 9: 58-71. ]

El tratamiento de la DC debe basarse en las causas subyacentes y, para evitar la evolución a un daño articular evidente, debe instaurarse lo antes posible, ya que los cambios degenerativos son progresivos en todas las formas de displasia de codo.[ Meyer-Lindenberg A, Fehr M, Nolte I. Co-existence of ununited anconeal process and fragmented medial coronoid process of the ulna in the dog. J Small Anim Pract 2006; 47(2): 61-65. [PubMed] , Fitpatrick N, Yeadon R, Smith T, Schultz K. Techniques of application and initial clinical experience with sliding humeral osteotomy for treatment of medial compartment disease of the canine elbow. Vet Surg 2009; 38: 261-278. [PubMed] ] Los analgésicos y el tratamiento conservador pueden ayudar a aliviar los signos clínicos del animal, pero no modificarán la evolución de la enfermedad.[ Chico A. Opciones de tratamiento en la displasia de codo. Clin Vet Peq Anim 2010; 30(4): 229-238. [UAB] , Pfeil I, Böttcher P, Starke A: Proximal Abduction Ulna Osteotomy (PAUL) for medial compartment diseases in dogs with Elbow Dysplasia. Proceedings 16th ESVOT Congress 2012: 314-318. ]

Las técnicas quirúrgicas descritas son numerosas (extracción del fragmento, osteotomía radial o cubital, fijación interna del proceso ancóneo, coronoidectomía subtotal, prótesis parciales o totales, etc.), pero los resultados no siempre son satisfactorios.[ Fitpatrick N, Yeadon R, Smith T, Schultz K. Techniques of application and initial clinical experience with sliding humeral osteotomy for treatment of medial compartment disease of the canine elbow. Vet Surg 2009; 38: 261-278. [PubMed] , Coppieters E, Gielen I, Verhoeven G, Van Vynckt D, Van Ryssen B. Erosion of the medial compartment of the canine elbow: occurrence, diagnosis and currently available treatment options. Vet Comp Orthop Traumatol 2015; 28(1): 9-18. [PubMed] , Chico A. Opciones de tratamiento en la displasia de codo. Clin Vet Peq Anim 2010; 30(4): 229-238. [UAB] ]

Debido a que la ECM presenta las manifestaciones más comunes en la DC y en ella se produce una sobrecarga del compartimento medial, se han desarrollado diferentes técnicas quirúrgicas con la finalidad de modificar la distribución de cargas en la articulación.[ Milchelsen J: Canine elbow dysplasia. Aetiopathogenesis and current treatment recommendations. Vet J 2013; 196(1): 12-19. [PubMed] , Fitzpatrick N, Bertran J, Solano MA. Sliding humeral osteotomy. Medium term objective outcome measures and reduction of complications with a modified technique. Vet Surg 2015; 44(2): 137-149. [PubMed] , Fitpatrick N, Yeadon R, Smith T, Schultz K. Techniques of application and initial clinical experience with sliding humeral osteotomy for treatment of medial compartment disease of the canine elbow. Vet Surg 2009; 38: 261-278. [PubMed] , Coppieters E, Gielen I, Verhoeven G, Van Vynckt D, Van Ryssen B. Erosion of the medial compartment of the canine elbow: occurrence, diagnosis and currently available treatment options. Vet Comp Orthop Traumatol 2015; 28(1): 9-18. [PubMed] ] Entre estas técnicas cabe destacar la denominada Sliding Humeral Osteotomy (SHO, Osteotomía Deslizante de Húmero), que surgió hace unos años[ Fitpatrick N, Yeadon R, Smith T, Schultz K. Techniques of application and initial clinical experience with sliding humeral osteotomy for treatment of medial compartment disease of the canine elbow. Vet Surg 2009; 38: 261-278. [PubMed] ] y consiste en la traslación de cargas del compartimento medial al lateral mediante la osteotomía del húmero.[ Coppieters E, Gielen I, Verhoeven G, Van Vynckt D, Van Ryssen B. Erosion of the medial compartment of the canine elbow: occurrence, diagnosis and currently available treatment options. Vet Comp Orthop Traumatol 2015; 28(1): 9-18. [PubMed] ] Dicha técnica no ha conseguido una aceptación generalizada, en parte por la percepción de los clínicos de la dificultad técnica que implica y por un alto índice de complicaciones.[ Fitzpatrick N, Bertran J, Solano MA. Sliding humeral osteotomy. Medium term objective outcome measures and reduction of complications with a modified technique. Vet Surg 2015; 44(2): 137-149. [PubMed] , Fitpatrick N, Yeadon R, Smith T, Schultz K. Techniques of application and initial clinical experience with sliding humeral osteotomy for treatment of medial compartment disease of the canine elbow. Vet Surg 2009; 38: 261-278. [PubMed] ] Además han surgido posteriormente otras técnicas de osteotomía que pretenden el mismo objetivo, como la osteotomía de abducción proximal de cúbito (PAUL) que parece una técnica más sencilla y con un menor índice de complicaciones potenciales.[ Fitzpatrick N, Bertran J, Solano MA. Sliding humeral osteotomy. Medium term objective outcome measures and reduction of complications with a modified technique. Vet Surg 2015; 44(2): 137-149. [PubMed] ] La PAUL es un procedimiento reciente en el tratamiento de la ECM que persigue disminuir las cargas del compartimento medial aliviando la cojera, la rigidez y el dolor articular presente en los animales con dicha patología.[ McConkey MJ, Valenzano DM, Wei A, et al. Effect of the Proximal Abduction Ulnar Osteotomy on intra-articular pressure distribution and contact mechanics of congruent and incongruent canine elbows ex vivo. Vet Surg 2016; 45 (84): 347-355. [PubMed] ]

La hipótesis planteada fue que la realización de un procedimiento quirúrgico como la PAUL en animales diagnosticados de ECM aportaría una mejoría clínica a medio plazo que podría ser evaluada por los propietarios de los animales. Por lo tanto, el objetivo del presente trabajo fue evaluar el grado de satisfacción a medio plazo de los propietarios de perros con ECM sometidos a cirugía de artroscopia y PAUL.

Material y métodos

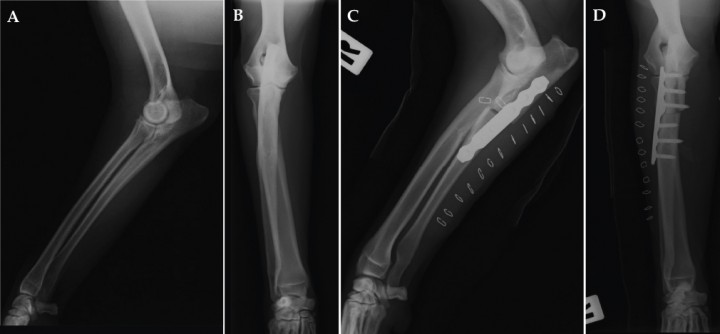
Este es un estudio clínico retrospectivo en el que se incluyen perros diagnosticados de ECM de codo mediante evaluación clínica, estudio radiográfico (Fig. 1), tomografía computarizada (Fig. 2) y evaluación artroscópica (Fig. 3). Dichos pacientes fueron intervenidos mediante la técnica quirúrgica PAUL (Fig. 4) tras la realización de una artroscopia de codo en el mismo acto quirúrgico. Los criterios de inclusión fueron los siguientes: perros que habían sido sometidos a dicho procedimiento quirúrgico en uno o ambos codos y que habían superado un periodo de evolución de cómo mínimo 4 meses. En el caso de intervenirse ambos codos, estas intervenciones debían haberse hecho en dos actos quirúrgicos independientes y con un intervalo mínimo entre ellos de 4 meses.

<div class=\"Basic-Text-Frame\">
<p>Radiografía lateral (A) y cráneo-caudal (B) prequirúrgicas de un codo afectado de enfermedad del compartimento medial. Radiografía lateral (C) y cráneo-caudal (D) postquirúrgicas inmediatas; se aprecia la osteotomía y la colocación de la placa correctamente, observándose el desplazamiento del fragmento proximal producido por el implante.</p>
</div>
Figura 1

Radiografía lateral (A) y cráneo-caudal (B) prequirúrgicas de un codo afectado de enfermedad del compartimento medial. Radiografía lateral (C) y cráneo-caudal (D) postquirúrgicas inmediatas; se aprecia la osteotomía y la colocación de la placa correctamente, observándose el desplazamiento del fragmento proximal producido por el implante.

<div class=\"Basic-Text-Frame\">
<p>Imágenes de tomografía computarizada en plano transversal y ventana de huesos. (A) Se evidencia un fragmento de coronoides medial (flecha amarilla). (B) Imagen de otro paciente en el que además del fragmento craneal (flecha amarilla), se aprecia la deformidad del coronoides y la presencia de un osteofito en la zona medial del coronoides (flecha roja).</p>
</div>
Figura 2

Imágenes de tomografía computarizada en plano transversal y ventana de huesos. (A) Se evidencia un fragmento de coronoides medial (flecha amarilla). (B) Imagen de otro paciente en el que además del fragmento craneal (flecha amarilla), se aprecia la deformidad del coronoides y la presencia de un osteofito en la zona medial del coronoides (flecha roja).

<div class=\"Basic-Text-Frame\">
<p>Imagen artroscópica de codo con síndrome de compartimento medial, donde se aprecia el cóndilo lateral humeral íntegro (asterisco rojo), la región cráneo-medial del coronoides medial con una erosión cartilaginosa de espesor completo (asterisco negro), al igual que en el cóndilo medial (asterisco azul). Nótese que con el palpador se está levantando el fragmento existente en el coronoides medial.</p>
</div>
Figura 3

Imagen artroscópica de codo con síndrome de compartimento medial, donde se aprecia el cóndilo lateral humeral íntegro (asterisco rojo), la región cráneo-medial del coronoides medial con una erosión cartilaginosa de espesor completo (asterisco negro), al igual que en el cóndilo medial (asterisco azul). Nótese que con el palpador se está levantando el fragmento existente en el coronoides medial.

<div class=\"Basic-Text-Frame\">
<p>Imágenes intraquirúrgicas. (A) Se expone la diáfisis cubital proximal tras un abordaje caudolateral. (B) Corte de osteotomía realizado. (C) Reducción y colocación de los tornillos de la placa. (D) Imagen final de la placa colocada.</p>
</div>
Figura 4

Imágenes intraquirúrgicas. (A) Se expone la diáfisis cubital proximal tras un abordaje caudolateral. (B) Corte de osteotomía realizado. (C) Reducción y colocación de los tornillos de la placa. (D) Imagen final de la placa colocada.

El procedimiento quirúrgico se dividió en dos fases: artroscopia y PAUL. El procedimiento quirúrgico se realizó siempre bajo anestesia general, adaptando el protocolo a las características clínicas del paciente, y garantizando en todo momento una correcta analgesia intraquirúrgica. El posicionamiento del paciente fue en decúbito esternal, permitiendo de esta forma la realización de la artroscopia mediante abordaje medial convencional y, tras ella, la realización de la técnica PAUL mediante abordaje caudolateral sin necesidad de modificar la posición del paciente intraquirúrgicamente.

En primer lugar, mediante la artroscopia se realizaba el examen completo de la articulación: incisura cubital, cabeza del radio, cóndilos lateral y medial y coronoides lateral y medial (Fig. 3). En los casos en que existía un fragmento de coronoides medial, aislado o no, éste era extraído durante el procedimiento artroscópico. En las superficies en que se apreciaba condromalacia severa, erosiones o úlceras cartilaginosas (principalmente en coronoides medial), dichas zonas eran legradas y cureteadas hasta la aparición de zona de hueso subcondral sano, que se evidenciaba por la presencia de sangrado del mismo. Tras estudiar los signos de estrés en el compartimento medial (realizando los procedimientos necesarios y previamente expuestos vía artroscópica) y comprobar la integridad del compartimento lateral, se continuaba con la realización de la técnica quirúrgica PAUL. Para ello se realizaba un abordaje caudolateral al tercio proximal de la diáfisis cubital, para posteriormente realizar una osteotomía cubital y colocar una placa de sistema avanzado de bloqueo (ALPS, Kyon, Zurich) de 2 o 3 mm de escalón según las mediciones realizadas (Fig. 4). La medición se realizaba sobre la proyección radiológica cráneo-caudal, valorando el ángulo que formaba el eje longitudinal del radio con el eje de la articulación del codo. Según especifica el fabricante, si este ángulo es mayor de 82º se emplea un escalón de 2 mm y si es menor, de 3 mm.

El tratamiento postquirúrgico constó de cefalosporina (Cefazolina, Normon, Madrid; 20 mg/kg cada 12 h durante 10 días), robenacoxib (Onsior, Novartis, Huningue; 2 mg/kg cada 24 h durante 21 días), buprenorfina (Buprex, Shering-Plough, Madrid; 0,006 mg/kg cada 12 h durante 4 días), omeprazol (Omeprazol Cinfalab, Cinfa, Pamplona; 0,7 mg/kg cada 24 h durante 21 días) y enoxaparina sódica (Clexane, Sanofi-Aventis, Madrid; 50 UI/kg cada 24 h durante 15 días). Se utilizó un vendaje tipo Robert-Jones durante las 4 primeras semanas que se revisaba semanalmente.

El equipo investigador registró la raza, el sexo, la edad en el momento de la intervención, la extremidad intervenida, las pruebas complementarias realizadas y las características de los implantes empleados a partir de los datos de la ficha clínica de cada paciente. El cuestionario se realizó telefónicamente y se especificó tanto el momento de la llamada telefónica, como el tiempo final de evolución para cada caso.

Todos los cuestionarios hacían referencia a 3 momentos concretos: antes de la cirugía, 4 meses postquirúrgicos y en el momento de realizar el estudio que, según cada caso, variaba de los 7 a los 22 meses postquirúrgicos. Se perseguía evaluar, con una escala numérica del 0 al 10, la capacidad del paciente para realizar determinado tipo de procesos relacionados con el grado de actividad. Para ello se plantearon 10 preguntas sobre diversas actividades y otras dos para evaluar el grado de satisfacción del propietario y si repetiría el tratamiento si se encontrara ante una situación similar.

El formulario empleado, adaptado a partir del referenciado por Fitzpatrick y cols.[ Fitpatrick N, Yeadon R, Smith T, Schultz K. Techniques of application and initial clinical experience with sliding humeral osteotomy for treatment of medial compartment disease of the canine elbow. Vet Surg 2009; 38: 261-278. [PubMed] ] (Tabla 1), evaluaba los siguientes aspectos mediante una escala del 0 al 10: (A) cojera del paciente, (B) capacidad para correr sin dolor, (C) capacidad para subir escaleras, (D) capacidad de bajar escaleras, (E) capacidad para realizar ejercicio, (F) capacidad para sentarse sin dolor o molestia, (G) capacidad para tumbarse sin dolor o molestia, (H) capacidad para levantarse de las extremidades anteriores sin dolor o molestias, (I) ¿mueve su perro la cabeza de forma pronunciada al caminar?, (J) ¿mueve su perro la cabeza de forma pronunciada al trotar?, (K) grado de satisfacción con la cirugía realizada, y (L) ¿repetiría el tratamiento en las mismas condiciones?[ Fitpatrick N, Yeadon R, Smith T, Schultz K. Techniques of application and initial clinical experience with sliding humeral osteotomy for treatment of medial compartment disease of the canine elbow. Vet Surg 2009; 38: 261-278. [PubMed] ]

Image
Tabla 1

Para el análisis estadístico de los resultados, se realizó una comparativa en el tiempo de las variables estudiadas mediante un análisis de varianza (ANOVA). Se establecieron las diferencias significativas para una p<0,05.

Resultados

Se intervinieron 11 extremidades (8 pacientes) de especie canina (3 hembras y 5 machos) y de razas Pastor Alemán (1), Labrador (1), Pitbull Terrier Americano (2), Golden Retriever (1), Bulldog Americano (1), Terranova (1) y Mestizo (1). La edad media fue de 15,45 meses (mínimo de 7 y máximo de 30) y el peso medio, de 33,54 kg (mínimo de 23 kg y máximo de 50,5 kg). El periodo de evolución medio fue de 14,27 meses (mínimo de 4 y máximo de 26) (Tabla 2).

<p>EAD: Extremidad anterior derecha, EID: Extremidad anterior izquierda, TC: Tomografía computarizada</p>
Tabla 2

EAD: Extremidad anterior derecha, EID: Extremidad anterior izquierda, TC: Tomografía computarizada

Todas las extremidades estudiadas se sometieron a un estudio ortopédico, radiológico, tomográfico y artroscópico. Los implantes empleados fueron placas del número 9 (tamaño placa numerado según fabricante) en 6 intervenciones, del número 10 (tamaño placa numerado según fabricante) en 3 intervenciones y del número 11 (tamaño placa numerado según fabricante) en 2 intervenciones. El desplazamiento realizado en todos los casos fue de 3 mm (Tabla 2). No se registró ninguna complicación mayor que requiriera una reintervención quirúrgica en el periodo postquirúrgico.

La valoración media del propietario en respuesta a las preguntas formuladas mostró una evolución favorable en todas las variables evaluadas (Fig. 5). Los resultados fueron los siguientes:

<p>Representación gráfica de los resultados del cuestionario. (A) Respuesta de cada propietario a la pregunta “¿Cojea su perro?”. Nótese que la línea del paciente Kuper EAI se solapa en el primer intervalo con Nora EAD, y en el segundo con el resto de pacientes que se mantienen en valores de “0”. Para Kuper EAD, los valores se solapan en todos los intervalos con Khan EAD. (B) Evolución media de cada una de las preguntas. (C) Grado de satisfacción de los propietarios. (D) Respuesta a la pregunta de si repetirían el tratamiento si se volvieran a encontrar en la misma situación.</p>
Figura 5

Representación gráfica de los resultados del cuestionario. (A) Respuesta de cada propietario a la pregunta “¿Cojea su perro?”. Nótese que la línea del paciente Kuper EAI se solapa en el primer intervalo con Nora EAD, y en el segundo con el resto de pacientes que se mantienen en valores de “0”. Para Kuper EAD, los valores se solapan en todos los intervalos con Khan EAD. (B) Evolución media de cada una de las preguntas. (C) Grado de satisfacción de los propietarios. (D) Respuesta a la pregunta de si repetirían el tratamiento si se volvieran a encontrar en la misma situación.

A) ¿Cojea su perro? (10: siempre/ 0: nunca): valor medio de 7,81 puntos antes de la intervención quirúrgica y de 1,3 puntos en el momento del cuestionario.

B) Capacidad para correr sin dolor (10: siempre doloroso/ 0: sin dolor): valor medio de 7 puntos antes de la intervención quirúrgica y de 0,8 puntos en el momento del cuestionario.

C) Capacidad para subir escaleras (10: nula/ 0: muy buena): valor medio de 3,9 puntos antes de la intervención quirúrgica y de 0,8 puntos en el momento del cuestionario.

D) Capacidad de bajar escaleras (10: nula/ 0: muy buena): valor medio de 4,81 puntos antes de la intervención quirúrgica y de 0,7 puntos en el momento del cuestionario.

E) Capacidad para realizar ejercicio (10: se resiste en paseos cortos/ 0: soporta bien largos paseos): valor medio de 5,63 puntos antes de la intervención quirúrgica y de 0,9 puntos en el momento del cuestionario.

F) Capacidad para sentarse sin dolor o molestia (10: nula/ 0: muy buena): valor medio de 1,81 puntos antes de la intervención y de 0,1 puntos en el momento del cuestionario.

G) Capacidad para tumbarse sin dolor o molestia (10: nula/ 0: muy buena): valor medio de 1,63 puntos antes de la intervención y de 0,9 puntos en el momento del cuestionario.

H) Capacidad para levantarse de las extremidades anteriores sin dolor o molestia (10=nula/ 0=muy buena): valor medio de 4,18 puntos antes de la intervención y de 1,1 puntos en el momento del cuestionario.

I) ¿Mueve su perro la cabeza de forma pronunciada al caminar? (10: siempre/ 0: nunca): valor medio de 4,09 antes de la intervención y de 0,3 puntos en el momento del cuestionario.

J) ¿Mueve su perro la cabeza de forma pronunciada al trotar? (10: siempre/ 0: nunca): valor medio de 3,09 puntos antes de la intervención y de 0,3 puntos en el momento del cuestionario.

K) Grado de satisfacción con la cirugía realizada (0: nula/ 10: excelente): obtuvo una puntuación media de 9 puntos.

L) ¿Repetiría el tratamiento en las mismas condiciones? (0: nunca/10: sí, sin dudarlo): obtuvo una puntuación media de 9,1 puntos.

Los resultados obtenidos mostraron por tanto una mejoría (p<0,05) funcional, según la impresión del propietario, en todas las variables evaluadas a excepción de la pregunta F y G (Capacidad para sentarse (F) y para tumbarse (G) sin dolor o molestia; Fig. 5), debido principalmente a unos valores basales muy bajos de inicio en estas 2 variables. El grado de satisfacción por parte del propietario fue máximo (10/10) en 9 de las 11 intervenciones (81,8%) y mostró valores de 4/10 (9,1%) y 6/10 (9,1%) en los otros dos casos restantes (Fig. 5 C).

Discusión

La displasia de codo (DC) es una enfermedad del desarrollo que afecta principalmente a perros de razas grandes durante la etapa de crecimiento.[ Milchelsen J: Canine elbow dysplasia. Aetiopathogenesis and current treatment recommendations. Vet J 2013; 196(1): 12-19. [PubMed] , Meyer-Lindenberg A, Fehr M, Nolte I. Co-existence of ununited anconeal process and fragmented medial coronoid process of the ulna in the dog. J Small Anim Pract 2006; 47(2): 61-65. [PubMed] , Fitzpatrick N, Bertran J, Solano MA. Sliding humeral osteotomy. Medium term objective outcome measures and reduction of complications with a modified technique. Vet Surg 2015; 44(2): 137-149. [PubMed] , Fitpatrick N, Yeadon R, Smith T, Schultz K. Techniques of application and initial clinical experience with sliding humeral osteotomy for treatment of medial compartment disease of the canine elbow. Vet Surg 2009; 38: 261-278. [PubMed] , Coppieters E, Gielen I, Verhoeven G, Van Vynckt D, Van Ryssen B. Erosion of the medial compartment of the canine elbow: occurrence, diagnosis and currently available treatment options. Vet Comp Orthop Traumatol 2015; 28(1): 9-18. [PubMed] ] En este estudio, la media de edad de los perros intervenidos fue de 15,45 meses (rango de 7 a 30 meses) y en todos los casos superaban los 23 kg de peso (23 a 50,5 kg), lo que coincide con las publicaciones que describen una aparición de cojera durante la etapa de crecimiento con mayor presentación en perros de raza grande.[ Milchelsen J: Canine elbow dysplasia. Aetiopathogenesis and current treatment recommendations. Vet J 2013; 196(1): 12-19. [PubMed] , Houlton J. Advances in canine elbow disease. Vet Surg 2009; 38: 133-134. [PubMed] ] En este caso, la representación de machos y hembras fue de 1,75:1, lo cual también se aproxima a la tendencia descrita en anteriores publicaciones, donde los machos se ven afectados con una frecuencia de 2:1 con respecto a las hembras.[ Meyer-Lindenberg A, Fehr M, Nolte I. Co-existence of ununited anconeal process and fragmented medial coronoid process of the ulna in the dog. J Small Anim Pract 2006; 47(2): 61-65. [PubMed] ]

Se han utilizado numerosas modalidades de imagen para evaluar esta compleja patología y la severidad de los cambios articulares descritos en la misma;[ Coppieters E, Gielen I, Verhoeven G, Van Vynckt D, Van Ryssen B. Erosion of the medial compartment of the canine elbow: occurrence, diagnosis and currently available treatment options. Vet Comp Orthop Traumatol 2015; 28(1): 9-18. [PubMed] , Cook CR, Cook JL. Diagnostic imaging of canine elbow dysplasia. A review. Vet Surg 2009; 38(2): 144-53. [PubMed] ] sin embargo, a pesar de tratarse de una enfermedad extensamente estudiada, no se ha establecido una aproximación diagnóstica de elección que represente claras ventajas sobre el resto.[ Cook CR, Cook JL. Diagnostic imaging of canine elbow dysplasia. A review. Vet Surg 2009; 38(2): 144-53. [PubMed] ] La radiografía continúa siendo la modalidad de imagen más utilizada, al tratarse de una prueba accesible, económica y segura. No obstante, establecer un diagnóstico definitivo basándose simplemente en el estudio radiográfico de la articulación resulta muy impreciso, y el diagnóstico temprano de la enfermedad continúa siendo un reto.[ Coppieters E, Gielen I, Verhoeven G, Van Vynckt D, Van Ryssen B. Erosion of the medial compartment of the canine elbow: occurrence, diagnosis and currently available treatment options. Vet Comp Orthop Traumatol 2015; 28(1): 9-18. [PubMed] , Houlton J. Advances in canine elbow disease. Vet Surg 2009; 38: 133-134. [PubMed] ] En nuestro caso, todos los animales se sometieron inicialmente a un estudio radiográfico de codo (proyección lateral y cráneo-caudal) que contribuyó, junto con el resto de pruebas realizadas, al diagnóstico definitivo. Para llegar al diagnóstico definitivo de DC, actualmente se recomienda combinar los resultados obtenidos tras realizar una exploración física y ortopédica completa y un estudio radiográfico de la articulación con pruebas de imagen avanzada, a fin de proponer el tratamiento más adecuado en cada caso particular y poder establecer un pronóstico.[ Cook CR, Cook JL. Diagnostic imaging of canine elbow dysplasia. A review. Vet Surg 2009; 38(2): 144-53. [PubMed] ] En nuestro caso, tras la exploración física y ortopédica y el estudio radiográfico de la articulación, todos los animales se sometieron a estudio tomográfico del codo y, en el momento previo a la cirugía, se llevó a cabo en todos los casos la evaluación artroscópica del mismo. Es importante precisar que los autores de este trabajo realizaban también, durante el procedimiento artroscópico, la extracción de los fragmentos existentes en el coronoides, así como el curetaje de las lesiones cartilaginosas existentes, en sintonía con lo referenciado por Tichenor y Millis (2014).[ Tichenor MA, Millis D. Treatment of medial compartment disease of the canine elbow using proximal abduction ulnar osteotomy procedure and a custom kyon plate. Vet Comp Orthp Traumatol 2014; 4: A31-A32. [Kyon] ]

Se han descrito también otras técnicas de imagen útiles en el diagnóstico de esta patología como la gammagrafía, la ecografía o la resonancia magnética que pueden ayudar en la identificación de fragmentos del coronoides medial o en la evaluación de tejidos blandos; en el caso de la RM, puede ser además especialmente útil para evaluar lesión en el cartílago articular y en el hueso subcondral.[ Cook CR, Cook JL. Diagnostic imaging of canine elbow dysplasia. A review. Vet Surg 2009; 38(2): 144-53. [PubMed] ] En nuestro caso estas últimas técnicas de imagen no se utilizaron.

El tratamiento, por lo tanto, debe basarse en las causas subyacentes y debe instaurarse antes de que se produzcan cambios evidentes en la articulación, pero como se ha descrito la identificación temprana de la enfermedad no resulta sencilla en todas las ocasiones.[ Milchelsen J: Canine elbow dysplasia. Aetiopathogenesis and current treatment recommendations. Vet J 2013; 196(1): 12-19. [PubMed] , Coppieters E, Gielen I, Verhoeven G, Van Vynckt D, Van Ryssen B. Erosion of the medial compartment of the canine elbow: occurrence, diagnosis and currently available treatment options. Vet Comp Orthop Traumatol 2015; 28(1): 9-18. [PubMed] ] Existen numerosas opciones en el tratamiento quirúrgico de la DC según la identificación de la causa subyacente (extracción de fragmento en NUPA o FPMC, diferentes osteotomías, fijación con tornillo, artrodesis, reemplazo de la articulación del codo, etc.),[ Milchelsen J: Canine elbow dysplasia. Aetiopathogenesis and current treatment recommendations. Vet J 2013; 196(1): 12-19. [PubMed] , Fitpatrick N, Yeadon R, Smith T, Schultz K. Techniques of application and initial clinical experience with sliding humeral osteotomy for treatment of medial compartment disease of the canine elbow. Vet Surg 2009; 38: 261-278. [PubMed] ] pero las técnicas habitualmente empleadas no han logrado resultados completamente satisfactorios al corroborarse una progresión de los cambios degenerativos en el tiempo, así como la persistencia de la cojera en un porcentaje importante de los pacientes.[ Fitpatrick N, Yeadon R, Smith T, Schultz K. Techniques of application and initial clinical experience with sliding humeral osteotomy for treatment of medial compartment disease of the canine elbow. Vet Surg 2009; 38: 261-278. [PubMed] , Chico A. Opciones de tratamiento en la displasia de codo. Clin Vet Peq Anim 2010; 30(4): 229-238. [UAB] ]

En los últimos tiempos ha cambiado la forma de entender la displasia de codo. Las teorías recientes sobre su etiología, basadas en las técnicas avanzadas de diagnóstico por imagen, junto con la utilización de la artroscopia, han favorecido la aparición de nuevas técnicas quirúrgicas. Se han propuesto en este punto, en el tratamiento de la ECM, diferentes tipos de osteotomía con la finalidad de trasladar la carga de peso desde el aspecto medial del codo al lateral, de manera que se promueve la descarga de presión sobre el compartimento medial, aumentando la carga en el lateral.[ Coppieters E, Gielen I, Verhoeven G, Van Vynckt D, Van Ryssen B. Erosion of the medial compartment of the canine elbow: occurrence, diagnosis and currently available treatment options. Vet Comp Orthop Traumatol 2015; 28(1): 9-18. [PubMed] , Chico A. Opciones de tratamiento en la displasia de codo. Clin Vet Peq Anim 2010; 30(4): 229-238. [UAB] ]

Entre las técnicas descritas en el tratamiento de la ECM en el perro cabe destacar la SHO, que se cita como una opción válida en animales jóvenes con cojera evidente y lesión del cartílago en el compartimento medial.[ Fitpatrick N, Yeadon R, Smith T, Schultz K. Techniques of application and initial clinical experience with sliding humeral osteotomy for treatment of medial compartment disease of the canine elbow. Vet Surg 2009; 38: 261-278. [PubMed] ] Los estudios publicados sobre esta técnica la relacionan con molestias significativas a corto plazo, junto con una percepción de dificultad técnica por parte del clínico y un aumento del ratio de complicaciones (hasta el 34 % de los pacientes presentaron complicaciones que requirieron una intervención posterior).[ Fitzpatrick N, Bertran J, Solano MA. Sliding humeral osteotomy. Medium term objective outcome measures and reduction of complications with a modified technique. Vet Surg 2015; 44(2): 137-149. [PubMed] ] Se han descrito recientemente otras técnicas de osteotomía como es el caso de la PAUL, con resultados preliminares esperanzadores que evidencian una técnica más sencilla y con menor rango de complicaciones.[ Fitzpatrick N, Bertran J, Solano MA. Sliding humeral osteotomy. Medium term objective outcome measures and reduction of complications with a modified technique. Vet Surg 2015; 44(2): 137-149. [PubMed] , Pfeil I, Böttcher P, Starke A: Proximal Abduction Ulna Osteotomy (PAUL) for medial compartment diseases in dogs with Elbow Dysplasia. Proceedings 16th ESVOT Congress 2012: 314-318. ]

La técnica quirúrgica seleccionada en este estudio para el tratamiento de la ECM fue la PAUL.[ Pfeil I, Böttcher P, Starke A: Proximal Abduction Ulna Osteotomy (PAUL) for medial compartment diseases in dogs with Elbow Dysplasia. Proceedings 16th ESVOT Congress 2012: 314-318. ] Los criterios de inclusión se basaron en la presencia de cojera en la extremidad afectada y dolor a la palpación medial del codo, acompañado de la presencia de alteraciones tomográficas del compartimento medial y la confirmación artroscópica de las mismas, así como del correcto estado del compartimento lateral (cóndilo humeral lateral y cabeza radial). En nuestra experiencia con la PAUL ninguno de los pacientes necesitó ser reintervenido, no se produjeron complicaciones mayores asociadas y el grado de satisfacción de los propietarios fue excelente (10/10) en el 81,8 % de los casos evaluados. Todos los pacientes mostraron una mejoría funcional, según la impresión del propietario, en todas las variables evaluadas a excepción de la pregunta F y G (Capacidad para sentarse (F) y para tumbarse (G) sin dolor o molestia) debido principalmente a unos valores basales muy bajos de inicio en estas 2 variables. Por lo tanto, la PAUL se presenta como una técnica que ofrece resultados esperanzadores.

No obstante, deben considerarse las limitaciones que posee el presente estudio, pues se trata de un estudio retrospectivo sobre un número limitado de intervenciones (11), en el que las variables estudiadas están sujetas a la subjetividad del propietario, y con evoluciones a medio plazo. No debemos olvidar que la variabilidad de los pacientes en cuanto a edad, signos clínicos y signos degenerativos puede establecer un sesgo en la evolución de los mismos que debería tenerse en cuenta en trabajos posteriores.

Conclusión

Según nuestros resultados podemos concluir que la PAUL es una técnica novedosa en el tratamiento de la enfermedad de compartimento medial de codo que logra un grado de satisfacción excelente (10/10), según la percepción del propietario, en el 81,8 % de los casos evaluados. Estos resultados, junto con la baja morbilidad del procedimiento presente en este trabajo, la convierten en una alternativa quirúrgica en el tratamiento de la ECM en perros.

No obstante, los autores manifiestan que es necesario presentar estudios a más largo plazo, con la inclusión de un mayor número de casos y con la comparativa de un grupo control para obtener resultados más concluyentes.

 

Fuente de financiación: este trabajo no se realizó con fondos comerciales, públicos o del sector privado.

Conflicto de intereses: los autores declaran que no existen conflictos de intereses.

Bibliografía

  1. [1] Milchelsen J: Canine elbow dysplasia. Aetiopathogenesis and current treatment recommendations. Vet J 2013; 196(1): 12-19. [PubMed]
  2. [2] Meyer-Lindenberg A, Fehr M, Nolte I. Co-existence of ununited anconeal process and fragmented medial coronoid process of the ulna in the dog. J Small Anim Pract 2006; 47(2): 61-65. [PubMed]
  3. [3] Fitzpatrick N, Bertran J, Solano MA. Sliding humeral osteotomy. Medium term objective outcome measures and reduction of complications with a modified technique. Vet Surg 2015; 44(2): 137-149. [PubMed]
  4. [4] Fitpatrick N, Yeadon R, Smith T, Schultz K. Techniques of application and initial clinical experience with sliding humeral osteotomy for treatment of medial compartment disease of the canine elbow. Vet Surg 2009; 38: 261-278. [PubMed]
  5. [5] Coppieters E, Gielen I, Verhoeven G, Van Vynckt D, Van Ryssen B. Erosion of the medial compartment of the canine elbow: occurrence, diagnosis and currently available treatment options. Vet Comp Orthop Traumatol 2015; 28(1): 9-18. [PubMed]
  6. [6] Chico A. Opciones de tratamiento en la displasia de codo. Clin Vet Peq Anim 2010; 30(4): 229-238. [UAB]
  7. [7] Hazewinkel HAW. Elbow dysplasias. Different entities and their etiologies, incidence and prevalence and genetic aspects. 28th annual meeting IEWG, Cape Town SA, September 17th 2014; 6.
  8. [8] Fitzpatrick N, Smith T, Evans R, Yeadon R. Radiographic and artroscopic findings in the elbow joints of 263 dogs with medial coronoid disease. Vet Surg 2009; 38: 213-223. [PubMed]
  9. [9] Coppieters E, Samoy Y, Pey P, Waelbers T, Van Ryssen B. Medial compartment disease in a young large munsterlander. Vl Diergenees Tijds 2012; 81:88-92. [Ugent]
  10. [10] IWEG Abstracts of the 7th annual meeting of the international elbow working group. Constance, Germany VCOT 1996; 9: 58-71.
  11. [11] Pfeil I, Böttcher P, Starke A: Proximal Abduction Ulna Osteotomy (PAUL) for medial compartment diseases in dogs with Elbow Dysplasia. Proceedings 16th ESVOT Congress 2012: 314-318.
  12. [12] McConkey MJ, Valenzano DM, Wei A, et al. Effect of the Proximal Abduction Ulnar Osteotomy on intra-articular pressure distribution and contact mechanics of congruent and incongruent canine elbows ex vivo. Vet Surg 2016; 45 (84): 347-355. [PubMed]
  13. [13] Houlton J. Advances in canine elbow disease. Vet Surg 2009; 38: 133-134. [PubMed]
  14. [14] Cook CR, Cook JL. Diagnostic imaging of canine elbow dysplasia. A review. Vet Surg 2009; 38(2): 144-53. [PubMed]
  15. [15] Tichenor MA, Millis D. Treatment of medial compartment disease of the canine elbow using proximal abduction ulnar osteotomy procedure and a custom kyon plate. Vet Comp Orthp Traumatol 2014; 4: A31-A32. [Kyon]

Artículos recomendados

Estas recomendaciones se ofrecen de forma automática.

  • Utilidad del hemocultivo en el diagnóstico y el tratamiento antimicrobiano de la septicemia en quelonios
    O. Miñana-Morant, A. Moya-Vázquez
    Clin Vet Peq Anim Vol. 45 - Nº 4 · DIC 2025 · Artículo original referido a múltiples casos clínicos
  • Disgenesia ocular del merle

    M. Castro-Reyes, T. Zapata-Debón, E. Fenollosa-Romero
    Clin Vet Peq Anim Vol. 44 - Nº 4 · DIC 2024 · Artículo original referido a múltiples casos clínicos
  • Artroscopia en la enfermedad del compartimento medial: características de 284 casos

    A. Chico-Carballas, J. Rial-Cels, P. Lafuente-Baigorri
    Clin Vet Peq Anim Vol. 38 - Nº 3 · SEP 2018 · Artículo original referido a múltiples casos clínicos
  • Inicio
  • Introducción
  • Material y métodos
  • Resultados
  • Discusión
  • Conclusión
  • Bibliografía
Artículo anterior Índice de la revista Artículo siguiente
ANUNCIO
Próximos cursos ATVs Elearning
Índice
Inicio Introducción Material y métodos Resultados Discusión Conclusión Bibliografía
Virbac - Movoflex
ANUNCIO

¿No eres socio de AVEPA y quieres recibir comunicación de las nuevas ediciones en tu correo?

Suscríbete

Suscríbete y te avisaremos cuando publiquemos un nuevo número

Suscribirme

Enlaces rápidos

  • Inicio
  • Último número
  • Archivo
  • Artículos

Información

  • Comité editorial
  • Política de cookies
  • Política de privacidad
  • Términos y condiciones

Contacto

  • info@imaginice.com
  • Envíanos tu artículo
© 2026 Ice Salud Vet SL. Todos los derechos reservados.

Usamos cookies para mejorar tu experiencia. Selecciona cuáles aceptas: