Logo AVEPA

Clínica Veterinaria de Pequeños Animales

Revista oficial de AVEPA

  • Inicio
  • Último número
  • Archivo
  • Artículos
  • Para autores
  • Contacto
Cursos Junio-Septiembre 2026
ANUNCIO

Clínica Veterinaria de Pequeños Animales

Revista oficial de AVEPA

  • Inicio
  • Último número
  • Archivo
  • Artículos
  • Para autores
  • Contacto
Curso Oftalmología 2026
ANUNCIO
Clin Vet Peq Anim Vol. 37 • Nº 1 • marzo 2017

¿Cuál es tu diagnóstico?

¿Cuál es tu diagnóstico?

P. Barge-Carmona

Hospital Clínico Veterinario de la Universidad Alfonso X el Sabio, Madrid.

G. Ortiz-Díez

Hospital Clínico Veterinario de la Universidad Alfonso X el Sabio, Madrid.

L. Muñiz-Moris

Hospital Clínico Veterinario de la Universidad Alfonso X el Sabio, Madrid.

S. P. Monteagudo-Franco

Hospital Clínico Veterinario de la Universidad Alfonso X el Sabio, Madrid. Servicio de Ecografía Ambulante A. Casasús, Madrid.

Contacto: pbargcar@gmail.com
Descargar artículo

Historia clínica

Golden Retriever, hembra, no esterilizada, de 6 años de edad y 37 kg de peso. Acude al servicio de urgencias por sintomatología aguda de debilidad, anorexia, poliuria, polidipsia y vómitos improductivos. En la exploración física muestra taquicardia, pulso débil, palidez de membranas mucosas con un tiempo de relleno capilar de 2 segundos y distensión abdominal grave. La analítica sanguínea completa tan solo muestra leve trombocitosis de 595.000/µl (rango de referencia: 186 – 545 x103/µl). Se realizan radiografías del abdomen en tres proyecciones: lateral derecha, lateral izquierda y ventrodorsal (Fig. 1).

<div>
<div class=\"Basic-Text-Frame\">
<p>Radiografía de abdomen lateral derecha (A), lateral izquierda (B) y ventrodorsal (C).</p>
</div>
</div>
Figura 1

Radiografía de abdomen lateral derecha (A), lateral izquierda (B) y ventrodorsal (C).

Describe las anormalidades radiológicas observadas

Se observa una masa de opacidad tejido blando y bordes mal definidos localizada en la zona retroperitoneal derecha que desplaza el paquete intestinal y el riñón derecho ventral y caudalmente. En la proyección ventrodorsal también se visualiza una masa de opacidad tejido blando y bordes mal definidos que ocupa gran parte del abdomen derecho caudal. Existe pérdida de detalle en la zona retroperitoneal y peritoneal. El hígado aparece reducido de tamaño, causando un desplazamiento craneal del eje gástrico. Se visualiza espondilosis a nivel T8-T9, T10-T11, T12-T13 y L7-S1. El resto de estructuras abdominales aparecen dentro de límites normales (Fig. 2).

<p>Mismas imágenes que Fig.1. (A) Radiografía lateral derecha: señala posición del riñón derecho (RD), pérdida de definición de serosas a nivel retroperitoneal (entre flechas blancas) y a nivel peritoneal (asterisco blanco). (B) Radiografía lateral izquierda: muestra posición del riñón izquierdo (RI) y efecto masa desde zona retroperitoneal (flechas negras). (C) Radiografía ventrodorsal: señala posición de riñón izquierdo (RI) y masa mal definida localizada en la zona lateral derecha caudal a la última costilla y parcialmente superpuesta con la columna (flechas blancas), así como otra masa mal definida que ocupa gran parte del abdomen derecho caudal (flechas negras).</p>
Figura 2

Mismas imágenes que Fig.1. (A) Radiografía lateral derecha: señala posición del riñón derecho (RD), pérdida de definición de serosas a nivel retroperitoneal (entre flechas blancas) y a nivel peritoneal (asterisco blanco). (B) Radiografía lateral izquierda: muestra posición del riñón izquierdo (RI) y efecto masa desde zona retroperitoneal (flechas negras). (C) Radiografía ventrodorsal: señala posición de riñón izquierdo (RI) y masa mal definida localizada en la zona lateral derecha caudal a la última costilla y parcialmente superpuesta con la columna (flechas blancas), así como otra masa mal definida que ocupa gran parte del abdomen derecho caudal (flechas negras).

¿Cuáles son los diagnósticos diferenciales con estos signos radiográficos?

Estos hallazgos son consistentes con una masa y efusión en la zona retroperitoneal derecha, para la que se establecen los diagnósticos diferenciales de neoplasia, hematoma, absceso, quiste o granuloma.

¿Qué otras técnicas de diagnóstico realizarías para alcanzar el diagnóstico definitivo?

Tras realizar un aspirado ecoguiado del retroperitoneo confirmando la hemorragia a este nivel, se decidió realizar directamente una tomografía computerizada (TC) del abdomen dado el tamaño del animal.

En las imágenes obtenidas por TC (Figs. 3 y 4) se observa una masa sólida en la glándula adrenal derecha con captación heterogénea de contraste (fase venosa), mostrando un valor medio de 24,4 UH (Unidades Hounsfield) antes del contraste y de 123,4 UH tras la administración de este (Iohexol, Omnipaque 350 mgI/ml, a dosis de 2,2 ml/kg, administrado manualmente). Dicha masa muestra continuidad y mantiene contacto con una masa ligeramente hiperatenuante (35 UH), la cual no muestra realce tras la administración de contraste y se extiende a través del retroperitoneo hasta la altura de L6. A su vez se visualiza una cantidad moderada de líquido libre retroperitoneal. La vena cava caudal se visualiza comprimida, parcialmente englobada y desplazada ventro-medialmente por la masa adrenal sin presentar defectos de llenado que sugieran la existencia de trombosis o invasión de su luz. El riñón derecho se observa desplazado ventro-caudalmente. Se observa una cantidad leve de líquido libre peritoneal.

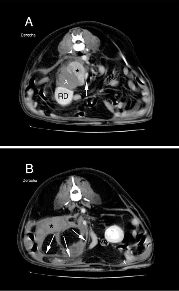
<div>
<p>Imágenes de TC post-contraste en plano transversal de la región abdominal obtenidas 20 segundos después de la administración de contraste y ventana de tejido blando (WW400, WL60), ordenadas de craneal a caudal. (A) Se observa masa adrenal de aproximadamente 3,9 cm (DV) x 3,4 cm (LL) x 3,6 cm (Cr-Cd) con captación heterogénea de contraste (asterisco negro), que mantiene contacto con vena cava caudal sin mostrar invasión intraluminal, desplazándola ventro-medialmente (flecha blanca). Hematoma adyacente (x) que desplaza riñón derecho (RD) caudoventralmente. (B) Se observa la presencia de acúmulo de líquido en zona retroperitoneal (asterisco negro) y, en menor cantidad, en zona peritoneal (asterisco blanco), así como el efecto masa de la zona retroperitoneal (flechas blancas).</p>
</div>
Figura 3

Imágenes de TC post-contraste en plano transversal de la región abdominal obtenidas 20 segundos después de la administración de contraste y ventana de tejido blando (WW400, WL60), ordenadas de craneal a caudal. (A) Se observa masa adrenal de aproximadamente 3,9 cm (DV) x 3,4 cm (LL) x 3,6 cm (Cr-Cd) con captación heterogénea de contraste (asterisco negro), que mantiene contacto con vena cava caudal sin mostrar invasión intraluminal, desplazándola ventro-medialmente (flecha blanca). Hematoma adyacente (x) que desplaza riñón derecho (RD) caudoventralmente. (B) Se observa la presencia de acúmulo de líquido en zona retroperitoneal (asterisco negro) y, en menor cantidad, en zona peritoneal (asterisco blanco), así como el efecto masa de la zona retroperitoneal (flechas blancas).

<div class=\"frame-2\">Imagen de TC post-contraste reformateada en plano sagital de la región abdominal en ventana de tejido blando (WW400, WL60), donde se muestra masa adrenal (asterisco negro) y hematoma adyacente (x) respecto a riñón derecho (RD) y hemorragia retroperitoneal (asterisco blanco).</div>
Figura 4
Imagen de TC post-contraste reformateada en plano sagital de la región abdominal en ventana de tejido blando (WW400, WL60), donde se muestra masa adrenal (asterisco negro) y hematoma adyacente (x) respecto a riñón derecho (RD) y hemorragia retroperitoneal (asterisco blanco).

Como diagnóstico más probable se considera una neoplasia adrenal, siendo el carcinoma y el feocromocitoma las neoplasias más frecuentes con estos hallazgos. Dicha masa ha formado un hematoma asociado a hemorragia retroperitoneal sin mostrar signos que sugieran la invasión de estructuras adyacentes, pero sin poder descartar la existencia de adherencias.

En nuestro caso, tras realizar una adrenalectomía derecha parcial por presentar adherencias a vena cava, riñón y ovario derecho, el paciente comenzó a presentar periodos alternos de arritmias (taquicardia ventricular y supraventricular) con ritmos sinusales, así como periodos de hipertensión sistémica (PS>200 mmHg) paroxísticos, además de oliguria, por lo que el propietario solicitó la eutanasia del paciente tras no mostrar una respuesta efectiva al tratamiento médico postoperatorio.

La biopsia de la masa adrenal reveló que se trataba de un carcinoma adrenal.

Comentarios

Las principales causas de hemorragia retroperitoneal no traumática descritas en medicina veterinaria, incluyen: coagulopatías, neoplasias adrenales y renales, cuerpos extraños retroperitoneales y anomalías vasculares.[ Whittemore JC, Preston CA, Kyles AE, et al. Nontraumatic rupture of an adrenal gland tumor causing intra-abdominal or retroperitoneal hemorrhage in four dogs. J Am Vet Med Asoc 2001;219: 329-333. [PubMed] ] La hemorragia retroperitoneal producida por un tumor adrenal no es frecuente, pero sí potencialmente peligrosa.[ Whittemore JC, Preston CA, Kyles AE, et al. Nontraumatic rupture of an adrenal gland tumor causing intra-abdominal or retroperitoneal hemorrhage in four dogs. J Am Vet Med Asoc 2001;219: 329-333. [PubMed] ] La neoplasia adrenal más comúnmente asociada a hemorragia retroperitoneal es el feocromocitoma. En medicina veterinaria solo han sido descritos seis casos en los cuales el carcinoma adrenal ha sido la neoplasia responsable de haber creado este tipo de condición.[ Whittemore JC, Preston CA, Kyles AE, et al. Nontraumatic rupture of an adrenal gland tumor causing intra-abdominal or retroperitoneal hemorrhage in four dogs. J Am Vet Med Asoc 2001;219: 329-333. [PubMed] , Lang JM, Schertel E, Kennedy S, et al. Elective and emergency surgical management of adrenal gland tumors: 60 cases (1999-2006). J Am Anim Hosp Assoc 2011; 47:428-435. [PubMed] ]

En nuestro caso, la radiografía mostró signos radiográficos específicos de una masa retroperitoneal, que pudo ser confirmada, caracterizada y visualizada por TC, intraquirúrgicamente y confirmada histopatológicamente. Los autores optaron por la realización de una TC debido a la mayor resolución anatómica que ofrece de estructuras abdominales y extraabdominales.

Se considera que el valor de atenuación en las glándulas adrenales sin uso de contraste representa el factor discriminatorio más importante para distinguir entre lesiones benignas y malignas.[ Mikayer H, Takaki H, Matsumoto S, et al. Adrenal nonhyperfunctioning adenoma and nonadenoma: CT attenuation value as discriminative index. Abdom Imaging 1995; 20:559-562. [PubMed] , Morandi F, Mays JL, Newman SJ, et al. Imaging diagnosis – bilateral adrenal adenomas and myelolipomas in a dog. Vet Radiol Ultrasound 2007; 48:246-249. [PubMed] , Giglio RF, Winter MD, Berry CR, et al. Comparison between the CT features of adrenal adenocarcinoma and pheochromocytoma in dogs. Proceeding of the ACVR Annual Scientific Meeting, Savannah, GA, October 8 – 11, 2013; 38. ] En un estudio retrospectivo se concluyó que los valores de atenuación de masas adrenales malignas por encima de 37 UH antes de la administración de contraste endovenoso y mayores de 89 UH tras la administración de éste son sugerentes de feocromocitoma, mientras que valores cercanos a 28,2 UH pre-contraste podrían indicar adenocarcinomas.[ Giglio RF, Winter MD, Berry CR, et al. Comparison between the CT features of adrenal adenocarcinoma and pheochromocytoma in dogs. Proceeding of the ACVR Annual Scientific Meeting, Savannah, GA, October 8 – 11, 2013; 38. ] En nuestro caso, el carcinoma adrenal mostró valores UH semejantes a los sugeridos para carcinomas en las imágenes precontraste, pero sin embargo estos valores fueron mucho más altos en las imágenes post-contraste a aquellos sugeridos para feocromocitomas; estas diferencias pueden deberse a la variabilidad que puede existir en función de la recirculación de contraste, necrosis y hemorragia en el interior de la masa,[ Gregori T, Mantis P, Benigni L, et al. Comparison of computed tomography and pathologic findings in 17 with primary adrenal neoplasia. Vet Radiol Ultrasound 2015; 56: 153-159. [PubMed] ] lo cual suele ocurrir cuando cualquier neoplasia alcanza un tamaño determinado, dando una apariencia heterogénea como es nuestro caso con un tamaño de casi 5 cm de diámetro. Por otro lado, las mineralizaciones son más comunes en tumores adrenocorticales, pero también se han documentado en feocromocitomas, así como regiones quísticas,[ Wisner ER, Zwingenberger AL. Atlas of Small Animal CT and MRI. Wiley-Blackwell Saunders, Iowa, 2015; 561-571. ] aunque tampoco se ha estudiado la incidencia de estas características en las diferentes neoplasias existentes.

Así mismo, estudios recientes demuestran que el uso de TC helicoidal de triple fase (en la cual se evalúan fase arterial, venosa y tardía) tiene un gran potencial para aportar un diagnóstico diferencial preoperatorio así como para realizar un buen planteamiento quirúrgico en función del tipo de masa adrenal.[ Yoshida O, Kutara K, Seki M, et al. Preoperative differential diagnosis of canine adrenal tumors using triple-phase helical computed tomography. Vet Surgery 2016; 45:427–435. [PubMed] ]

La TC en este caso proporciona una resolución anatómica excelente que permitió diferenciar la neoplasia del hematoma formado y de la hemorragia retroperitoneal, ayudando a delimitar la lesión con exactitud y a excluir lesiones retroperitoneales o extra-abdominales que habrían sido difíciles de identificar con la ecografía, lo que conlleva una acción quirúrgica mejor planificada. En cambio, la presencia de adherencias a estructuras adyacentes como la vena cava caudal no pudo predecirse mediante esta técnica.

 

Fuente de financiación: esta investigación no se realizó con fondos comerciales, públicos o del sector privado.

Conflicto de intereses: los autores declaran que no existe conflicto de intereses.

Bibliografía

  1. [1] Whittemore JC, Preston CA, Kyles AE, et al. Nontraumatic rupture of an adrenal gland tumor causing intra-abdominal or retroperitoneal hemorrhage in four dogs. J Am Vet Med Asoc 2001;219: 329-333. [PubMed]
  2. [2] Lang JM, Schertel E, Kennedy S, et al. Elective and emergency surgical management of adrenal gland tumors: 60 cases (1999-2006). J Am Anim Hosp Assoc 2011; 47:428-435. [PubMed]
  3. [3] Mikayer H, Takaki H, Matsumoto S, et al. Adrenal nonhyperfunctioning adenoma and nonadenoma: CT attenuation value as discriminative index. Abdom Imaging 1995; 20:559-562. [PubMed]
  4. [4] Morandi F, Mays JL, Newman SJ, et al. Imaging diagnosis – bilateral adrenal adenomas and myelolipomas in a dog. Vet Radiol Ultrasound 2007; 48:246-249. [PubMed]
  5. [5] Giglio RF, Winter MD, Berry CR, et al. Comparison between the CT features of adrenal adenocarcinoma and pheochromocytoma in dogs. Proceeding of the ACVR Annual Scientific Meeting, Savannah, GA, October 8 – 11, 2013; 38.
  6. [6] Gregori T, Mantis P, Benigni L, et al. Comparison of computed tomography and pathologic findings in 17 with primary adrenal neoplasia. Vet Radiol Ultrasound 2015; 56: 153-159. [PubMed]
  7. [7] Wisner ER, Zwingenberger AL. Atlas of Small Animal CT and MRI. Wiley-Blackwell Saunders, Iowa, 2015; 561-571.
  8. [8] Yoshida O, Kutara K, Seki M, et al. Preoperative differential diagnosis of canine adrenal tumors using triple-phase helical computed tomography. Vet Surgery 2016; 45:427–435. [PubMed]

Artículos recomendados

Estas recomendaciones se ofrecen de forma automática.

  • ¿Cuál es tu diagnóstico?
    L. Martín-Carrasco, E. Mínguez-Pereira, R. Salgüero-Fernández, et al.
    Clin Vet Peq Anim Vol. 46 - Nº 1 · MAR 2026 · ¿Cuál es tu diagnóstico?
  • ¿Cuál es tu diagnóstico?
    D. Marbella, A.M. Hernández-Guerra, L. Montalvà-Minguet
    Clin Vet Peq Anim Vol. 45 - Nº 4 · DIC 2025 · ¿Cuál es tu diagnóstico?
  • ¿Cuál es tu diagnóstico?

    J.D. Carrillo, M. Soler, M.S. Echalecu, et al.
    Clin Vet Peq Anim Vol. 45 - Nº 3 · SEP 2025 · ¿Cuál es tu diagnóstico?
  • Inicio
  • Historia clínica
  • Describe las anormalidades radiológicas observadas
  • ¿Cuáles son los diagnósticos diferenciales con estos signos radiográficos?
  • ¿Qué otras técnicas de diagnóstico realizarías para alcanzar el diagnóstico definitivo?
  • Comentarios
  • Bibliografía
Artículo anterior Índice de la revista Artículo siguiente
ANUNCIO
Próximos cursos ATVs Elearning
Índice
Inicio Historia clínica Describe las anormalidades radiológicas observadas ¿Cuáles son los diagnósticos diferenciales con estos signos radiográficos? ¿Qué otras técnicas de diagnóstico realizarías para alcanzar el diagnóstico definitivo? Comentarios Bibliografía
Purina Calming Care
ANUNCIO

¿No eres socio de AVEPA y quieres recibir comunicación de las nuevas ediciones en tu correo?

Suscríbete

Suscríbete y te avisaremos cuando publiquemos un nuevo número

Suscribirme

Enlaces rápidos

  • Inicio
  • Último número
  • Archivo
  • Artículos

Información

  • Comité editorial
  • Política de cookies
  • Política de privacidad
  • Términos y condiciones

Contacto

  • info@imaginice.com
  • Envíanos tu artículo
© 2026 Ice Salud Vet SL. Todos los derechos reservados.

Usamos cookies para mejorar tu experiencia. Selecciona cuáles aceptas: