Logo AVEPA

Clínica Veterinaria de Pequeños Animales

Revista oficial de AVEPA

  • Inicio
  • Último número
  • Archivo
  • Artículos
  • Para autores
  • Contacto
Cursos Junio-Septiembre 2026
ANUNCIO

Clínica Veterinaria de Pequeños Animales

Revista oficial de AVEPA

  • Inicio
  • Último número
  • Archivo
  • Artículos
  • Para autores
  • Contacto
Curso Oftalmología 2026
ANUNCIO
Clin Vet Peq Anim Vol. 37 • Nº 1 • marzo 2017

Caso clínico de Cirugía

Caso Clínico de...

A. Agut

Hospital Clínico Veterinario. Departamento de Medicina y Cirugía Animal. Universidad de Murcia

Otros artículos de A. Agut:
  • ¿Cuál es tu diagnóstico?
    Clin Vet Peq Anim Vol. 35 • Nº 3 • septiembre 2015
  • ¿Cuál es tu diagnóstico?
    Clin Vet Peq Anim Vol. 35 • Nº 4 • diciembre 2015
  • Hallazgos ecográficos, clínicos y laboratoriales del mucocele biliar en el perro: 37 casos
    Clin Vet Peq Anim Vol. 36 • Nº 4 • diciembre 2016
  • ¿Cuál es tu diagnóstico?

    Clin Vet Peq Anim Vol. 40 • Nº 3 • septiembre 2020

J. D. Carrillo

Hospital Clínico Veterinario FUVEUM. Universidad de Murcia (UM). Campus de Espinardo. Murcia.

Otros artículos de J. D. Carrillo:
  • Síndrome de dilatación-vólvulo gástrico (DVG)
    Clin Vet Peq Anim Vol. 36 • Nº 3 • septiembre 2016
  • Hallazgos ecográficos, clínicos y laboratoriales del mucocele biliar en el perro: 37 casos
    Clin Vet Peq Anim Vol. 36 • Nº 4 • diciembre 2016

M. Escobar

Hospital Clínico Veterinario FUVEUM. Universidad de Murcia (UM). Campus de Espinardo. Murcia.

Otros artículos de M. Escobar:
  • Síndrome de dilatación-vólvulo gástrico (DVG)
    Clin Vet Peq Anim Vol. 36 • Nº 3 • septiembre 2016

M. Soler

Hospital Clínico Veterinario de la Universidad de Murcia. Departamento de Medicina y Cirugía Animal. Facultad de Veterinaria. Universidad de Murcia.

Otros artículos de M. Soler:
  • Caso clínico de Anestesia

    Clin Vet Peq Anim Vol. 37 • Nº 2 • junio 2017
Contacto: juanacs@um.es
Descargar artículo

Historia clínica

Se presentó en el Hospital un perro mestizo de 9 años de edad, no castrado y 10 kg de peso, por un cuadro clínico de vómitos crónicos y apatía de una semana de duración. En el examen físico no se observó ninguna alteración evidente, la respuesta a estímulos externos era correcta y tenía una temperatura rectal de 38,1 ºC. El análisis sanguíneo no evidenció anormalidades, ni en la hematología ni en la bioquímica sérica. Se realizaron radiografías de la cavidad abdominal (Fig. 1), observándose en la proyección lateral derecha una masa de opacidad tejido blando, redondeada, con bordes bien definidos, de 8 cm de diámetro, localizada caudal al hígado y craneal al bazo (Fig. 1A); en la proyección ventrodorsal, la masa se localizaba en el abdomen craneal y medio (Fig. 1B).

[fig=1A]
[fig=1B]

¿Cuáles son los diagnósticos diferenciales más probables?

En el diagnóstico diferencial de un paciente con un cuadro de vómitos crónicos y con los hallazgos radiográficos observados, pensaríamos en una alteración del antro pilórico que produce un retraso en el vaciado gástrico. Dentro de las alteraciones compatibles deberíamos incluir la presencia de un cuerpo extraño radiotransparente, granuloma, hiperplasia/hipertrofia de la capa muscular o de la mucosa gástrica y, con menor probabilidad, una neoplasia. Otros diagnósticos menos probables serían una masa hepática pedunculada o pancreática.

¿Qué otra(s) técnica(s) diagnóstica(s) sería(n) útil(es) para llegar al diagnóstico definitivo?

Las técnicas que podríamos realizar para caracterizar el diagnóstico más probable, centrado en el estómago, serían ecografía, radiografías con contraste y endoscopia. Mientras que la técnica más útil para valorar el aspecto de la masa, si tuviera su origen tanto en el hígado como en el páncreas, sería en principio una ecografía abdominal. La tomografía computerizada también resulta de gran utilidad en el diagnóstico y la planificación quirúrgica para la extirpación de masas hepáticas, especialmente las de mayor tamaño e invasivas.

Si nos centramos en patologías gástricas, la ecografía abdominal nos aporta información sobre la pared del estómago y el contenido, así como de la motilidad gástrica, sin someter al paciente a una anestesia general. Además, nos permite valorar el resto de órganos del abdomen.

Las radiografías con contraste y fluoroscopia nos servirían para valorar la pared gástrica y el tiempo de vaciado gástrico, utilizando contrastes iodados hidrosolubles. Por otra parte, la endoscopia permite visualizar de forma directa la luz gástrica y realizar una toma de biopsia, aunque tiene la desventaja de requerir una anestesia general del paciente, y si el proceso se localiza en la capa muscular o externamente al estómago no es de utilidad.

Por todo ello, en este caso se decidió realizar una ecografía abdominal en la que se evidenció un estómago muy distendido con contenido líquido y restos de alimento, no visualizándose movimiento peristáltico durante un periodo de observación de cinco minutos, indicando un retraso en el vaciado gástrico. Al evaluar las capas de la pared del estómago a nivel del antro pilórico se observó un engrosamiento de la pared (1,6 cm de grosor) que afectaba a ambos lados de forma asimétrica y hacía protusión hacia la luz gástrica (Fig. 2) (ver vídeo 1). La pared gástrica mantenía la estratificación de sus capas, estando engrosada la mucosa. El resto de los órganos abdominales no presentaba ninguna alteración ecográfica.

<div class=\"Basic-Text-Frame\">
<p>Imagen ecográfica de la zona del antro pilórico. (A) Corte transversal. (B) Corte longitudinal. Se visualiza un engrosamiento asimétrico de la pared (*) que protruye hacia la luz gástrica.</p>
</div>
Figura 2

Imagen ecográfica de la zona del antro pilórico. (A) Corte transversal. (B) Corte longitudinal. Se visualiza un engrosamiento asimétrico de la pared (*) que protruye hacia la luz gástrica.

Video 1

En base a los hallazgos ecográficos, el diagnóstico más probable fue de hiperplasia/hipertrofia de la mucosa gástrica, siendo el menos probable la presencia de una neoplasia. Aunque el diagnóstico definitivo solo se obtiene mediante el examen histopatológico de una muestra de la pared del antro pilórico.

¿Qué plan terapéutico instaurarías?

En este caso la laparotomía exploratoria es el tratamiento de elección con el objetivo de tomar una muestra de biopsia de la pared completa de la zona del antro pilórico, así como para tratar la obstrucción pilórica.

Las opciones quirúrgicas descritas para el tratamiento de la obstrucción pilórica son: la piloromiotomía (Fedet-Ramstedt), piloroplastia transversa (Heineke-Mikulicz), piloroplastia de avance en Y-U y la pilorectomía con gastroduodenostomía. En el presente caso, se optó por realizar una técnica de piloroplastia de avance en Y-U (Fig. 3), ya que permite obtener un mayor incremento del diámetro pilórico (entre un 30-100%) a diferencia del resto de las opciones quirúrgicas mencionadas. Esta técnica preserva la motilidad local y la función pilórica, y tiene como ventajas conseguir una adecuada visualización de la luz pilórica, además de realizar una fácil resección o toma de muestra de la pared pilórica.

<p>Imágenes quirúrgicas de la realización de la piloroplastia de avance en Y-U (A-B) en la que se aprecian las líneas de incisión a espesor completo, comenzando con una línea sobre el antro pilórico que se extiende en forma de Y hacia el cuerpo del estómago (C-D) y la transformación del defecto en U, mediante su cierre (E-F).</p>
Figura 3

Imágenes quirúrgicas de la realización de la piloroplastia de avance en Y-U (A-B) en la que se aprecian las líneas de incisión a espesor completo, comenzando con una línea sobre el antro pilórico que se extiende en forma de Y hacia el cuerpo del estómago (C-D) y la transformación del defecto en U, mediante su cierre (E-F).

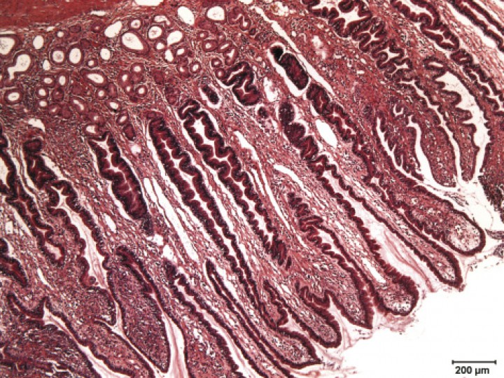
En el estudio histopatológico se observó una marcada hiperplasia del componente glandular gástrico, con presencia de un moderado infiltrado inflamatorio de tipo linfoplasmocitario (Fig. 4), siendo el diagnóstico definitivo de gastritis hipertrófica de la mucosa pilórica tipo III.

<div class=\"Basic-Text-Frame\">
<p>Imagen histopatológica de la mucosa gástrica de la zona pilórica donde se visualiza un gran desarrollo de la mucosa superficial y del cuello de las glándulas, lo que hace que las fosetas o criptas gástricas se observen más profundas. (Hematoxilina-Eosina x5).</p>
</div>
Figura 4

Imagen histopatológica de la mucosa gástrica de la zona pilórica donde se visualiza un gran desarrollo de la mucosa superficial y del cuello de las glándulas, lo que hace que las fosetas o criptas gástricas se observen más profundas. (Hematoxilina-Eosina x5).

Comentario

La gastropiloropatía hipertrófica es un proceso benigno idiopático que ocasiona una obstrucción en la salida estomacal por una reducción marcada del diámetro del lumen del tracto pilórico.[ Portillo EM, Mackin AJ, Cantwell HD, Trostel CT, Pool RR. What is your diagnosis? A soft tissue opacity in the area of the pyloric antrum. J Am Med Assoc 2004; 224 (5):665-666. [PubMed] , Willard M. Aparato digestivo. En Nelson RW, Couto CG (eds): Manual de medicina interna de pequeños animales, Madrid, Elsevier Science, 2006; 262. ] Puede ser de tipo congénito o adquirido. La obstrucción congénita suele ser debida a una alteración en la capa muscular, se denomina comúnmente estenosis pilórica y se suele presentar con mayor frecuencia en razas braquicefálicas jóvenes de menos de un año de edad.[ Cornell K. Stomach. En Tobias KM, Johnston SA (eds): Veterinary surgery small animal, Missouri, Elsevier Saunders, 2012; 1503-1504. ] En cambio, la obstrucción pilórica adquirida puede deberse a una hipertrofia de la mucosa pilórica o a la combinación de la alteración de la capa mucosa y muscular, y normalmente se manifiesta en cánidos con edad media o geriátricos[ Portillo EM, Mackin AJ, Cantwell HD, Trostel CT, Pool RR. What is your diagnosis? A soft tissue opacity in the area of the pyloric antrum. J Am Med Assoc 2004; 224 (5):665-666. [PubMed] ] y razas con tamaño pequeño (menores de 10 kg) como el Lhasa Apso, Shih Tzu, Pequinés[ Portillo EM, Mackin AJ, Cantwell HD, Trostel CT, Pool RR. What is your diagnosis? A soft tissue opacity in the area of the pyloric antrum. J Am Med Assoc 2004; 224 (5):665-666. [PubMed] , Cornell K. Stomach. En Tobias KM, Johnston SA (eds): Veterinary surgery small animal, Missouri, Elsevier Saunders, 2012; 1503-1504. ] y Bichón Maltés,[ Cornell K. Stomach. En Tobias KM, Johnston SA (eds): Veterinary surgery small animal, Missouri, Elsevier Saunders, 2012; 1503-1504. ] observándose una elevada predisposición en machos.[ Bellenguer C, Maddison J, MacPherson G, Ilkiw JE. Chronic hypertrophic pyloric gastropathy in 14 dogs. Aust Vet J 1990; 67(9):317-320. [PubMed] , Walter M, Goldschmidt M, Stone E, Dougherty JF, Matthiesen DT. Chronic hypertrophic pyloric gastropathy as a cause of pyloric obstruction in the dog. J Am Vet Med Assoc 1985; 186(2):157-161. [PubMed] ]

La hipertrofia/hiperplasia pilórica crónica se ha clasificado comúnmente en tres categorías o tipos:[ Bellenguer C, Maddison J, MacPherson G, Ilkiw JE. Chronic hypertrophic pyloric gastropathy in 14 dogs. Aust Vet J 1990; 67(9):317-320. [PubMed] ]

  • Tipo I, en la que la capa muscular se encuentra marcadamente engrosada con hipertrofia y/o hiperplasia de las fibras musculares. Es el proceso menos frecuente.
  • Tipo II, cuando existe hiperplasia y/o hipertrofia tanto de la capa muscular como de la mucosa.
  • Tipo III, donde se observa una hiperplasia y/o hipertrofia de la mucosa gástrica afectando a los elementos glandulares con la formación de quistes intramurales y normalmente la presencia, en algún grado, de inflamación.

La sintomatología asociada a este proceso es principalmente el vómito intermitente crónico, que puede tener una duración de meses o semanas y producirse inmediatamente tras la ingesta u horas después, con la expulsión del alimento parcialmente digerido. La frecuencia de los vómitos, normalmente, va aumentando de manera gradual conforme se agrava la patología.[ Cornell K. Stomach. En Tobias KM, Johnston SA (eds): Veterinary surgery small animal, Missouri, Elsevier Saunders, 2012; 1503-1504. ] Otros signos clínicos que suelen aparecer de forma conjunta es la anorexia y pérdida de peso del animal,[ Portillo EM, Mackin AJ, Cantwell HD, Trostel CT, Pool RR. What is your diagnosis? A soft tissue opacity in the area of the pyloric antrum. J Am Med Assoc 2004; 224 (5):665-666. [PubMed] ] así como regurgitación e hipersalivación, generalmente secundarias al desarrollo de una esofagitis debida a los vómitos crónicos.[ Cornell K. Stomach. En Tobias KM, Johnston SA (eds): Veterinary surgery small animal, Missouri, Elsevier Saunders, 2012; 1503-1504. ]

El diagnóstico presuntivo se basa en la historia clínica, el examen físico y los hallazgos encontrados en las técnicas de imagen y endoscopia.[ Portillo EM, Mackin AJ, Cantwell HD, Trostel CT, Pool RR. What is your diagnosis? A soft tissue opacity in the area of the pyloric antrum. J Am Med Assoc 2004; 224 (5):665-666. [PubMed] , Willard M. Aparato digestivo. En Nelson RW, Couto CG (eds): Manual de medicina interna de pequeños animales, Madrid, Elsevier Science, 2006; 262. , Cornell K. Stomach. En Tobias KM, Johnston SA (eds): Veterinary surgery small animal, Missouri, Elsevier Saunders, 2012; 1503-1504. ] En el examen radiográfico simple se puede sospechar de un retraso en el vaciado gástrico u obstrucción si se observa una retención del contenido gástrico después de más de 8 horas tras la ingestión del alimento, apreciándose un aumento de tamaño de la silueta gástrica. Aunque si la distensión gástrica es tan acusada como en este caso, en la proyección lateral derecha el antro pilórico puede aparecer como una masa redondeada, que hará que dentro de nuestros diagnósticos diferenciales debamos incluir masas hepáticas y pancreáticas. Al utilizar un contraste oral, en la imagen radiográfica se puede evidenciar un estrechamiento brusco del estómago en la zona pilórica.[ Cornell K. Stomach. En Tobias KM, Johnston SA (eds): Veterinary surgery small animal, Missouri, Elsevier Saunders, 2012; 1503-1504. ] Otra opción es la visualización directa a tiempo real del retraso en el vaciado gástrico mediante el uso de la fluoroscopia administrando al paciente alimento junto con el contraste.[ Sánchez-Margallo FM, Ezquerra-Calvo LJ, Soria-Gálvez F, Usón-Gargallo J. Comparison of the effect of laparoscopic and conventional pyloric surgery on gastric emptying in dogs. Vet Radiol Ultrasound 2005; 46(1):57-62. [PubMed] ]

El examen ecográfico es la técnica de mayor utilidad, ya que permite evaluar las capas de la pared gástrica en la región pilórica y el contenido gástrico, así como su motilidad, y poder obtener un diagnóstico presuntivo acertado, dependiente de la experiencia del examinador.[ Barberet V, Schreurs E, Rademacher N, et al. Quantification of the effect of various patient and image factors on ultrasonographic detection of select canine abdominal organs. Vet Radiol Ultrasound 2008; 49(3):273-276. [PubMed] ] Además, mediante esta técnica también podemos evaluar el resto de órganos abdominales y descartar el resto de diagnósticos diferenciales, como masas hepáticas y pancreáticas.

En los casos en los que el proceso se deba a una hipertrofia de la mucosa pilórica, la exploración endoscópica va a ofrecer la posibilidad de obtener un diagnóstico definitivo, ya que los pliegues de la mucosa se encontrarán engrosados y permite tomar una muestra de biopsia para estudio.[ Leib MS, Saunders GK, Moon ML, et al. Endoscopic diagnosis of chronic hypertrophic pyloric gastropathy in dogs. J Vet Intern Med 1993; 7(6):335-341. [PubMed] ]

Aunque la endoscopia y el examen ecográfico nos pueden ayudar a obtener un diagnóstico presuntivo, el diagnóstico definitivo solamente se podrá conseguir mediante el examen histopatológico de la pared del antro pilórico.[ Portillo EM, Mackin AJ, Cantwell HD, Trostel CT, Pool RR. What is your diagnosis? A soft tissue opacity in the area of the pyloric antrum. J Am Med Assoc 2004; 224 (5):665-666. [PubMed] , Willard M. Aparato digestivo. En Nelson RW, Couto CG (eds): Manual de medicina interna de pequeños animales, Madrid, Elsevier Science, 2006; 262. ]

El tratamiento de elección de la hipertrofia / hiperplasia pilórica crónica tiene como objetivo incrementar el diámetro del antro pilórico resolviendo el retardo en el vaciado gástrico y, con ello, consiguiéndose el cese de la sintomatología clínica. Existen diferentes tipos de procedimientos quirúrgicos dependiendo de la gravedad del proceso y la capa de la pared gástrica involucrada.[ Cornell K. Stomach. En Tobias KM, Johnston SA (eds): Veterinary surgery small animal, Missouri, Elsevier Saunders, 2012; 1503-1504. , Kuan S, Hoffmann K, Tisdall P. Ultrasonographic and surgical findigns of a gastric hyperplastic polyp resulting in pyloric obstruction in an 11-week-old French Bulldog. Aust Vet J 2009; 87(6):253-255. [PubMed] ] En el caso de que la hipertrofia únicamente afecte a la capa muscular (Tipo I), la piloromiotomía podría ser utilizada, aunque, a pesar de que tiene como resultado un aumento en el diámetro del antro pilórico, en un estudio6 se observó que el tiempo de vaciado gástrico tras la piloromiotomía apenas es diferente del previo a la intervención quirúrgica. En los casos de hipertrofia / hiperplasia tipo II o III, las técnicas quirúrgicas recomendables son la piloroplastia transversal (Heineke-Mikulicz) o de avance en Y-U, siendo esta última la que ofrece unas mayores ventajas,[ Stanton ME, Bright RM, Toal R, et al. Effects of the Y-U pyloroplasty on gastric emptying and duodenogastric reflux in the dog. Vet Surg 1987; 16(5):392-397. [PubMed] ] por lo que en el presente caso se optó por realizar la piloroplastia de avance en Y-U.

Durante el postoperatorio, la fluidoterapia debe ser mantenida hasta que el animal coma y beba sin ninguna complicación. La incorporación del agua y la alimentación se iniciará a las 12 horas tras la cirugía, siempre que el paciente no presente vómito, en cuyo caso se debe valorar la presencia de un íleo paralítico, alteración de electrolitos (potasio y magnesio) e incluso la instauración de peritonitis.[ Cornell K. Stomach. En Tobias KM, Johnston SA (eds): Veterinary surgery small animal, Missouri, Elsevier Saunders, 2012; 1503-1504. ] La causa más frecuente de la persistencia del vómito tras estos procedimientos suele ser el íleo paralítico, por lo que se administrará como tratamiento un agente procinético, como la metoclopramida, así como antagonistas del receptor de la histamina H2 (ranitidina, famotidina) que inhibirán la producción de ácido gástrico y disminuirán el riesgo de lesionar el esófago y desarrollo de una estenosis esofágica. En los casos más severos, se puede colocar una sonda nasogástrica para descomprimir de forma periódica el estómago y alimentar al paciente, lo que ayudará a estimular la motilidad gástrica.[ Cornell K. Stomach. En Tobias KM, Johnston SA (eds): Veterinary surgery small animal, Missouri, Elsevier Saunders, 2012; 1503-1504. ]

En los últimos años se han realizado estudios experimentales sobre el uso de la laparoscopia para la realización de la piloromiotomía y la piloroplastia,[ Holak P, Matyjasik H, Jalynski M, Adamiak Z, Jaskólska M. Laparoscopic pyloromyotomy and pyloroplasty in dogs. Pol J Vet Sci 2016; 19(1):75-77. [PubMed] , Holak P, Matyjasik H, Jalynski M, Adamiak Z, Przyborowska P. Experimental laparoscopic pyloromyotomy in pigs. Pol J Vet Sci 2015; 18(1):83-89. [PubMed] ] con resultados favorables que indican que es una herramienta de utilidad y menos cruenta que la cirugía convencional para la realización de este tipo de actuaciones quirúrgicas.[ Sánchez-Margallo FM, Ezquerra-Calvo LJ, Soria-Gálvez F, Usón-Gargallo J. Comparison of the effect of laparoscopic and conventional pyloric surgery on gastric emptying in dogs. Vet Radiol Ultrasound 2005; 46(1):57-62. [PubMed] , Holak P, Matyjasik H, Jalynski M, Adamiak Z, Jaskólska M. Laparoscopic pyloromyotomy and pyloroplasty in dogs. Pol J Vet Sci 2016; 19(1):75-77. [PubMed] ]

El pronóstico tras la cirugía es excelente,[ Willard M. Aparato digestivo. En Nelson RW, Couto CG (eds): Manual de medicina interna de pequeños animales, Madrid, Elsevier Science, 2006; 262. , Stanton ME, Bright RM, Toal R, et al. Effects of the Y-U pyloroplasty on gastric emptying and duodenogastric reflux in the dog. Vet Surg 1987; 16(5):392-397. [PubMed] ] estimándose la resolución positiva en un porcentaje superior al 80%.[ Cornell K. Stomach. En Tobias KM, Johnston SA (eds): Veterinary surgery small animal, Missouri, Elsevier Saunders, 2012; 1503-1504. ] En el caso descrito, la evolución fue favorable, desapareciendo la sintomatología de vómitos tras el tratamiento quirúrgico.

 

Fuente de financiación: este trabajo no se ha realizado con fondos comerciales, públicos o del sector privado.

Conflicto de intereses: los autores declaran que no existe conflicto de intereses en los datos publicados.

Bibliografía

  1. [1] Portillo EM, Mackin AJ, Cantwell HD, Trostel CT, Pool RR. What is your diagnosis? A soft tissue opacity in the area of the pyloric antrum. J Am Med Assoc 2004; 224 (5):665-666. [PubMed]
  2. [2] Willard M. Aparato digestivo. En Nelson RW, Couto CG (eds): Manual de medicina interna de pequeños animales, Madrid, Elsevier Science, 2006; 262.
  3. [3] Cornell K. Stomach. En Tobias KM, Johnston SA (eds): Veterinary surgery small animal, Missouri, Elsevier Saunders, 2012; 1503-1504.
  4. [4] Bellenguer C, Maddison J, MacPherson G, Ilkiw JE. Chronic hypertrophic pyloric gastropathy in 14 dogs. Aust Vet J 1990; 67(9):317-320. [PubMed]
  5. [5] Walter M, Goldschmidt M, Stone E, Dougherty JF, Matthiesen DT. Chronic hypertrophic pyloric gastropathy as a cause of pyloric obstruction in the dog. J Am Vet Med Assoc 1985; 186(2):157-161. [PubMed]
  6. [6] Sánchez-Margallo FM, Ezquerra-Calvo LJ, Soria-Gálvez F, Usón-Gargallo J. Comparison of the effect of laparoscopic and conventional pyloric surgery on gastric emptying in dogs. Vet Radiol Ultrasound 2005; 46(1):57-62. [PubMed]
  7. [7] Barberet V, Schreurs E, Rademacher N, et al. Quantification of the effect of various patient and image factors on ultrasonographic detection of select canine abdominal organs. Vet Radiol Ultrasound 2008; 49(3):273-276. [PubMed]
  8. [8] Leib MS, Saunders GK, Moon ML, et al. Endoscopic diagnosis of chronic hypertrophic pyloric gastropathy in dogs. J Vet Intern Med 1993; 7(6):335-341. [PubMed]
  9. [9] Kuan S, Hoffmann K, Tisdall P. Ultrasonographic and surgical findigns of a gastric hyperplastic polyp resulting in pyloric obstruction in an 11-week-old French Bulldog. Aust Vet J 2009; 87(6):253-255. [PubMed]
  10. [10] Stanton ME, Bright RM, Toal R, et al. Effects of the Y-U pyloroplasty on gastric emptying and duodenogastric reflux in the dog. Vet Surg 1987; 16(5):392-397. [PubMed]
  11. [11] Holak P, Matyjasik H, Jalynski M, Adamiak Z, Jaskólska M. Laparoscopic pyloromyotomy and pyloroplasty in dogs. Pol J Vet Sci 2016; 19(1):75-77. [PubMed]
  12. [12] Holak P, Matyjasik H, Jalynski M, Adamiak Z, Przyborowska P. Experimental laparoscopic pyloromyotomy in pigs. Pol J Vet Sci 2015; 18(1):83-89. [PubMed]

Artículos recomendados

Estas recomendaciones se ofrecen de forma automática.

  • ¿Cuál es tu diagnóstico?

    A. Agut, B. Mena-Moros, M. Soler, et al.
    Clin Vet Peq Anim Vol. 40 - Nº 3 · SEP 2020 · ¿Cuál es tu diagnóstico?
  • Caso clínico de Anestesia

    E. Belda, M. Martínez, J.D. Carrillo, et al.
    Clin Vet Peq Anim Vol. 37 - Nº 2 · JUN 2017 · Caso Clínico de...
  • Hallazgos ecográficos, clínicos y laboratoriales del mucocele biliar en el perro: 37 casos
    M. Soler, A. Agut, A. Reyes, et al.
    Clin Vet Peq Anim Vol. 36 - Nº 4 · DIC 2016 · Artículo original referido a múltiples casos clínicos
  • Inicio
  • Historia clínica
  • ¿Cuáles son los diagnósticos diferenciales más probables?
  • ¿Qué otra(s) técnica(s) diagnóstica(s) sería(n) útil(es) para llegar al diagnóstico definitivo?
  • ¿Qué plan terapéutico instaurarías?
  • Comentario
  • Bibliografía
Artículo anterior Índice de la revista Artículo siguiente
ANUNCIO
Próximos cursos ATVs Elearning
Índice
Inicio Historia clínica ¿Cuáles son los diagnósticos diferenciales más probables? ¿Qué otra(s) técnica(s) diagnóstica(s) sería(n) útil(es) para llegar al diagnóstico definitivo? ¿Qué plan terapéutico instaurarías? Comentario Bibliografía
LetiFend
ANUNCIO

¿No eres socio de AVEPA y quieres recibir comunicación de las nuevas ediciones en tu correo?

Suscríbete

Suscríbete y te avisaremos cuando publiquemos un nuevo número

Suscribirme

Enlaces rápidos

  • Inicio
  • Último número
  • Archivo
  • Artículos

Información

  • Comité editorial
  • Política de cookies
  • Política de privacidad
  • Términos y condiciones

Contacto

  • info@imaginice.com
  • Envíanos tu artículo
© 2026 Ice Salud Vet SL. Todos los derechos reservados.

Usamos cookies para mejorar tu experiencia. Selecciona cuáles aceptas: